Мезодермальные мешки эмбриона. Взрослый организм ланцетника
Добавил пользователь Евгений Кузнецов Обновлено: 11.12.2025
1. Беклемишев В.Н. Основы сравнительной анатомии беспозвоночных животных. - М.: Наука, 1964. - Т. 1. - 433 с.
2. Гудвин Б. Аналитическая физиология клеток и развивающихся организмов / пер. с англ. - М.: Мир, 1978. - 330 с.
4. Иванов П.П. Первичная и вторичная метамерия тела // Журнал общей биологии. - 1944. - № 5. - С. 61-95.
6. Лебедкин С.И., Герке П.Я. Основы теоретической анатомии человека. - Рига: изд-во АН Латвийской ССР, 1963. - 356 с.
7. Ливанов Н.А. Пути эволюции животного мира // Ученые записки Казанск. гос. ун-та. - 1945. - Т. 105. - Кн. 3. - Вып. 9. - С. 114.
8. Петренко В.М. Морфогенез корней нижней полой вены в эмбриогенезе человека // Морфология. - 1998. - Т. 114. - № 5. - С. 56-59.
9. Петренко В.М. О морфогенезе брыжеечных лимфатических узлов у новорожденных белой крысы // Успехи современного естествознания. - 2011. - № 9. - С. 49-52.
10. Петренко В.М. Квазисегментарное устройство тела человека // Международный журнал прикладных и фундаментальных исследований. - 2014. - № 8. - Ч. 1. - С. 59-62.
13. Станек И. Эмбриология человека / пер. со словац. - Братислава: изд-во Словац. АН «Веда», 1977. - 440 с.
Введение
Метамерия и сегментация тела играют важную роль в жизнедеятельности животных [6,10,11,14]. Метамерия состоит в повторении внутренних органов по длинной оси тела животного, от нее не всегда отличают внешнюю сегментацию [14]. Н.А. Ливанов заметил, что «…метамерия представляет явление сложное, которое в известной мере - во «внешней» метамерии, может быть связано с движением животного и с выработкой локомоторных придатков, параподий, а во всей полноте будет раскрыто… при анализе «внутренней» метамерии тела» [7]. По мнению Л.А. Зенкевича, одним из важных условий возникновения метамерии тела является уплотнение наружных покровов тела, что усиливает защиту животного, но ограничивает подвижность тела. Противоречие снимает образование эластичных межсегментных соединений [14]. А. Ланг считал, что тело животного разделяется на метамеры, благодаря появлению тех или иных органов, метамерное расположение которых полезно животному: в связи с его змеевидными движениями (придатки для ползания) или с необходимостью увеличить плодовитость (повторное расположение гонад), или с потребностью улучшить условия кровообращения (повторное расположение анастомозов между главными продольными сосудами). Следствием метамерии отдельных органов является метамерия мезодермы и разделение ее на сомиты уже в эмбриогенезе [14]. П.П. Иванов [4] разделил метамеры на ларвальные (головные, челюстные), связанные с фукциями нащупывания и захвата субстрата, зарывания в грунт, и постларвальные (туловищные). В отличие от П.П. Иванова, В.Н. Беклемишев [1] считал метамерию результатом приспособления животного не к локомоции, а к размножению. Поэтому ларвальные сегменты лишены полового аппарата. Согласно П.П. Иванову [4], постларвальная сегментация тела у вторичноротых животных возникает вследствие дополнительной, но не полной сегментации заднего или туловищного отдела тела путем повторного образования некоторых органов, например гонад, или путем метамерных сужений и расширений продольных органов, например образования печеночных выступов и перехватов между ними в кишечнике. Под это определение подпадает морфогенез центральных краниальных брыжеечных лимфоузлов [9].
Механизм формирования сомитов в эмбриогенезе остается неизвестным, его изучение не выходит за чисто описательный уровень, хотя и проведено уже немало различных экспериментов [3,5]. Разные авторы указывают на влияние хорды и нервной трубки, гензеновского узелка и боковой пластинки мезодермы. A.M. Turing (1952) математически показал, что распространение какого-либо метаболита на протяжении аксиальной мезодермы носит волнообразный характер, из чего некоторые эмбриологи сделали вывод о существовании каких-то веществ, обладающих морфогенетическим давлением. Однако результаты ряда опытов на зародышах амфибий отрицают существование каких-либо влияний, передающихся от головного конца дорсальной мезодермы к ее хвостовому концу, регулирующих ее сегментацию. Возможно сегментация аксиальной мезодермы не зависит от какого-либо регуляторного сигнала, исходящего от головного участка, а может начаться в любой точке по оси зародыша независимо от участков, лежащих кпереди от нее. При этом не исключена возможность, что в каждом изолированном отрезке оси зародыша инициируется новый кранио-каудальный регулирующий механизм [3].
Цель исследования: рассмотреть возможную роль общеизвестных процессов эмбрионального органогенеза в образовании сомитов.
Материал и методы исследования
Работа проведена на 30 эмбрионах человека 4-8 нед. (5-30 мм теменно-копчиковой длины). После фиксации в жидкости Буэна материал заливали в парафин с последующим изготовлением серийных срезов толщиной 5-7 мкм в трех основных анатомических плоскостях. Срезы окрашивали гематоксилином и эозином, смесью Маллори, альциановым и толуидиновым синими при рН = 1,0-5,0 под ферментативным контролем.
Результаты исследования их обсуждение
В еще несегментированной аксиальной мезодерме эмбриона человека определяются сгущения клеток. Быстро растущие кластеры все более темных клеток разделяются постепенно утолщающимися прослойками более светлых клеток: цепь сомитов удлиняется, последовательно присоединяя новые звенья, в которых клетки приобретают радиальную ориентацию. У амфибий они описаны как розетки, в их пределах аффинитет между мезодермальными клетками выше, чем между соседними розетками [3]. Образование сомитов происходит с конца 3-й нед и до начала 6-й нед [12]. В эти сроки наблюдается скручивание тела эмбриона вокруг продольной оси в процессе интенсивного каудального удлинения эмбриона, плавающего вокруг сужающегося зародышевого ствола, в окружении уплотняющихся оболочек. Эмбрион до фиксации освобождают от стягивающих при фиксации оболочек, чтобы получить его недеформированные срезы. На 6-й нед заметно накопление протеогликанов в зачатках позвонков. Охрящевление туловищного скелета ясно выражено на 7-й нед, когда прекращается кручение эмбриона, которое, видимо, с 4-5 нед тормозят сердце и печень, интенсивно растущие в каудальном направлении.
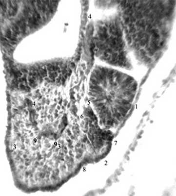
Наиболее интенсивно сомитообразование происходит у эмбриона человека 4-й нед [12]. Обособление закладки любого органа в эмбриогенезе сопряжено с формированием его автономного сосудистого русла. В литературе [12,13] сообщается лишь, что дорсальные ветви дорсальной аорты идут по обе стороны от нервной трубки, в рыхлую мезенхиму между сомитами - межсегментарные артерии. Им после рождения соответствуют межреберные и поясничные артерии. В конце 4-й нед новообразование поясничных сомитов наблюдается дорсокаудальнее бифуркации аорты (рис. 1-3).

Рис. 1. Эмбрион человека 5 мм длины (4 недель), сагиттальный срез: 1,2 - вещество и проток мезонефроса; 3 - метанефрогенная бластема; 4,5 - поясничные сомиты на разных этапах развития; 6 - недифференцированная
дорсальная мезодерма; 7,8 - протоковая вена
и ее корни; 9-11 - межсомитные сосуды.
Гематоксилин и эозин. Ув. 200.

Рис. 2. Эмбрион человека 5 мм длины (4 недель), сагиттальный срез: 1-2 -сомиты на разных этапах морфогенеза; 3-3 - несегментированная аксиальная мезодерма; 4-4 - протоковая вена; 5,6 - межсомитные сосуды; 7,8 - межсомитные борозды; 9 - ветви протоковой вены,
внедряющиеся в аксиальную мезодерму.
Гематоксилин и эозин. Ув. 200.

Рис. 3. Эмбрион человека 5 мм длины (4 недель), сагиттальный срез: 1,2 - сомиты; 3,4 - сегментация недифференцированной дорсальной мезодермы (новообразование сомитов);
5 - протоковая вена; 6-9 - межсомитные сосуды. Стрелки указывают на светлые клинья
мезенхимы и микрососуды, внедряющиеся
в тяж дорсальной мезодермы.
Гематоксилин и эозин. Ув. 300.
В этой области, между протоком мезонефроса (вентрально) и сомитами (дорсально) проходит протоковая вена, вентрокаудальный приток посткардинальной вены [8]. Вслед за протоком и веществом мезонефроса протоковая вена поворачивает вентромедиально. От ее изгиба отходят ветви, вентральные - к метанефрогенной бластеме, дорсальные - к сомитам и несегментированной мезодерме. Межсегментарные сосуды вместе с рыхлой мезенхимой внедряются в толщу тяжа дорсальной мезодермы, в промежутки между еще только намечающимися сомитами.
Изложенное позволяет предположить, что в пространственно-временном аспекте сомитообразование сопряжено с кручением «мягкого» тела эмбриона в процессе его интенсивного каудального удлинения. Кручение является особым видом сдвига, приводящему к смещению слоев в неупругих телах вплоть до «течения» материала, как в жидкостях. Рыхлая мезенхима пластична, очень легко деформируется с усилением циркуляции межклеточной жидкости. Все это должно стимулировать рост протокапилляров, лишенных базальной мембраны. Кручение тела эмбриона сопровождается сходной деформацией продольных тяжей дорсальной мезодермы. На ее протяжении возникают участки сужения, где определяются выступы рыхлой мезенхимы с кровеносными микрососудами. Их стенки испытывают повышенное наружное давление (касательное напряжение кручения ?), что индуцирует их уплотнение и утолщение, начиная с эндотелия, - развитие его базальной мембраны и адвентициальной оболочки. Резистентность сосуду придает и кровяное давление (жидкость несжимаема). В результате возникает клин растущей жесткости, который: 1) «отсекает» от тяжа дорсальной мезодермы сомит; 2) фиксирует тяж мезодермы в этом месте, что приводит к каудальному распространению волны кручения и сегментирования дорсальной мезодермы. Такое (ступенчатое, пошаговое) ее взаимодействие с кровеносными сосудами, когда последние внедряются в мезодермальный тяж, «нарезая» сомиты, можно сравнить с зубчатой передачей, а с учетом кручения - с винтообразной передачей. Размер ее «шага» (→ сомита), т.е. сегментирования мезодермы, определяют, очевидно, мезодермальные клетки: тип (способ их группировки) и пределы (объем сомита) их роста адекватны свойствам их белков, информация о первичной структуре которых записана в геноме клеток. Сосудисто-мезенхимные перегородки аксиальной мезодермы растут между формирующимися розетками, т.е. в «слабые» места дифференцирующегося тяжа мезодермы - места снижающегося аффинитета ее клеток. Хотя в этих же участках определяются «перехваты» тела эмбриона, обусловленные кручением - генетическая детерминация и эпигенетическая регуляция процесса ?
Заключение
Кровеносные сосуды участвуют в морфогенезе сомитов как (раз)делители их зачатков в условиях продольного растяжения и кручения тела эмбриона с его мягким скелетом. Предлагаемая двухволновая модель сегментирования осевой мезодермы подкрепляет мое же предположение [10] о важной роли аорты в становлении квазисегментарного устройства тела человека, начиная с его эмбрионального периода развития. Волны дифференциации осевой мезодермы: 1) детерминации (или распространения компетентности [2]) - продольное растяжение мезодермы при удлинении эмбриона с напряжением адгезии клеток индуцирует их пролиферацию и сгущение, что стимулирует рост микрососудов; 2) регуляции процесса (как в виртуальной модели периодического морфогенеза E.С.Zeeman [2]) - кручение обусловливает поперечную перетяжку мезодермы, что облегчает ее разделение на сомиты сосудисто-мезенхимными клиньями. Причем вторая волна дифференциации (~ кручение) инициируется ее первой волной (удлинение тела эмбриона → краниокаудальный градиент напряжения мезодермы). Моя гипотеза корреллирует с разными предположениями о механике становлении метамерии животного в эволюции: 1) А.Ланга - связь с локомоцией и размещением сосудов; 2) Б. Гатчека и Э. Перрье - способность пролиферировать на заднем конце тела однородные небольшие участки [14].
Эмбриогенез ланцетника
Индивидуальное развитие ланцетника представляет собой простейшую исходную схему эмбриогенеза, путем постепенного усложнения которой в ходе эволюции возникли более сложные системы развития хордовых животных, включая человека.
СТРОЕНИЕ ЯЙЦЕКЛЕТКИ. ОПЛОДОТВОРЕНИЕ
Яйца ланцетника бедны желтком и микроскопически малы (100-120мкм), относятся к изолецитальному типу. Желточные зерна невелики и распределены в цитоплазме почти равномерно. Тем не менее, в яйцеклетке выделяют анимальный и вегетативный полюс. В области анимального полюса при созревании яйцеклетки происходит отделение редукционных телец. Ядро в оплодотворенной яйцеклетке находится ближе к анимальному полюсу в силу не совсем равномерного распределения желтка, располагаясь в свободной от желточных включений части клетки. Созревание яйцеклетки происходит в воде. Первое редукционное тельце отделяется на анимальном полюсе ооцита еще до оплодотворения. Оно смывается водой и погибает.
Самки ланцетника выметывают яйца в воду, сюда же самцы выпускают сперматозоиды - оплодотворение наружное, моноспермное. После проникновения сперматозоида вокруг яйцеклетки образуется оболочка оплодотворения, которая препятствует проникновению в яйцо других
избыточных спермиев. Вслед за этим происходит отделение второго редукционного тельца, которое располагается между желточной оболочкой и яйцеклеткой.
Все дальнейшее развитие проходит также в воде. Через 4-5 дней из яйцевой оболочки вылупливается микроскопическая личинка, которая переходит к самостоятельному питанию. Сначала она плавает, а затем оседает на дно, растет и совершает метаморфоз
ДРОБЛЕНИЕ. БЛАСТУЛА
Малое количество желтка объясняет простоту дробления и гаструляции. Дробление полное, почти равномерное, радиального типа, в результате образуется целобластула (рис. 1).
Рис. 1. Дробление яйца ланцетника (по Алмазову, Сутулову, 1978):
А - зигота; Б, В, Г - образование бластомеров (показано расположение веретена деления)
Анимальный полюс приблизительно соответствует будущему переднему концу тела личинки. Оплодотворенная яйцеклетка (зигота) целиком дробится на бластомеры в правильной геометрической прогрессии. Бластомеры почти одинаковой величины, анимальные лишь не-
сколько мельче вегетативных. Первая борозда дробления - меридиональная, проходит через анимальный и вегетативный полюс. Она разделяет шаровидное яйцо на две совершенно симметричные половины, но бластомеры округляются. Они шаровидные, имеют малую площадь со-
прикосновения. Вторая борозда дробления также меридиональная, перпендикулярна первой, а третья - широтная.
По мере увеличения количества бластомеров они все больше расходятся от центра зародыша, образуя посередине большую полость. В конце концов, зародыш принимает форму типичной целобластулы - пузырька со стенкой, образованной одним слоем клеток - бластодермой и с полостью, заполненной жидкостью - бластоцелем (рис. 2).
Клетки бластулы, вначале округлые и потому не плотно сомкнутые, затем приобретают форму призм и плотно смыкаются. Поэтому позднюю бластулу, в противоположность ранней, называют эпителиальной.
Стадия поздней бластулы завершает период дробления. К концу этого периода размеры клеток достигают минимума, а общая масса зародыша не увеличивается по сравнению с массой оплодотворенной яйцеклетки.


Рис. 2. Бластула ланцетника (по Алмазову, Сутулову, 1978):
А - внешний вид; Б - поперечный разрез (стрелка показывает задне-переднее направление тела будущего зародыша); В - расположение материалов будущих органов на сагитальном разрезе бластулы
Гаструляция происходит путем инвагинации - впячивания вегетативного полушария бластулы внутрь, по направлению к анимальному полюсу (рис. 3). Процесс протекает постепенно и заканчивается тем, что все вегетативное полушарие бластулы уходит внутрь и становится внутренним зародышевым листком - первичная энтодерма зародыша. Фактор, обуславливающий инвагинацию - разница темпов деления клеток в краевой зоне и в вегетативной части бластулы, приводящей к активному перемещению клеточного материала. Анимальное полушарие становится

Рис. 3. Начальные стадии гаструляции ланцетника (по Мануиловой, 1973):
наружным зародышевым листком - первичная эктодерма. Зародыш приобретает вид двуслойной чаши с широко зияющим отверстием - первичным ртом или бластопором. Полость, в которую ведет бластопор, называют гастроцель (полость первичного кишечника). Бластоцель в результате впячивания низводится до узкой щели между наружным и внутренним зародышевыми листками. На данной стадии зародыш носит название гаструлы (рис. 4 А, Б).
Первичный кишечник (архентерон), представленный внутренним зародышевым листком, окружающим полость гаструлы, является зачатком не только пищеварительной системы, но и других органов и тканей личинки. Бластула, как и яйцеклетка, плавает анимальным полюсом кверху в силу большего веса вегетативного полушария.
В результате инвагинации центр тяжести зародыша перемещается и гаструла поворачивается бластопором кверху.
Бластопор окружен дорсальной, вентральной и боковыми губами. Далее происходит концентрическое смыкание краев бластопора и удлинение зародыша. У ланцетника, представителя вторичноротых, бластопор соответствует не ротовому, а заднепроходному отверстию, обозначая
задний конец зародыша. В результате смыкания краев бластопора и выпячивания тела в передне-заднем направлении, зародыш удлиняется. При этом поперечник гаструлы уменьшается - общая масса составляющих зародыш клеток не может увеличиваться, пока развитие идет под покровом яйцевых оболочек. Зародыш приобретает билатеральную симметрию.
Расположение зачатков в поздней гаструле лучше всего видно на поперечном разрезе зародыша (рис. 4 В, Г).
Наружную стенку его образует эктодерма, неоднородная в своем составе. В дорcальной части эктодерма утолщена и состоит из высоких цилиндрических клеток. Это зачаток нервной системы, которая остается


Гаструла ланцетника (по Мануиловой, 1973):
А - ранняя стадия; Б - поздняя стадия; В - поперечный разрез через позднюю гаструлу; Г - гаструла, переходящая в нейрулу (поперечный разрез)
еще на поверхности и образует так называемую медуллярную или нервную пластинку. Остальная эктодерма состоит из мелких клеток и является зачатком покрова животного. Под нервной пластинкой во внутреннем зародышевом листке располагается зачаток хорды, по обеим сторонам которого в виде двух тяжей находится материал мезодермы. В брюшной части располагается энтодерма, образующая основание первичной кишки, крышу которой составляют зачатки хорды и мезодермы .
Материал будущих внутренних органов, находясь в бластуле снаружи, в процессе гаструляции перемещается внутрь зародыша и располагается на местах, развивающихся из них органов. Только зачаток нервной системы остается еще на поверхности. Он погружается внутрь зародыша на стадии, следующей за гаструлой.
НЕЙРУЛЯЦИЯ И ОБРАЗОВАНИЕ ОСЕВЫХ ОРГАНОВ
По окончании гаструляции начинается следующий этап в развитии зародыша - дифференцировка зародышевых листков и закладка органов. Наличие комплекса спинных органов: нервной трубки, хорды и осевой мускулатуры, известных также под именем осевых, является одной их
характерных черт типа хордовых.
Стадия, на которой происходит закладка осевых органов, называется нейрулой. Внешне она характеризуется изменениями, происходящими с зачатком нервной системы.
Они начинаются с нарастания эктодермы по краям нервной пластинки. Образующиеся нервные валики растут навстречу друг другу и затем смыкаются. Пластинка же погружается внутрь и сильно прогибается (рис. 5).

Рис. 5. Нейрула ланцетника (по Мануиловой, 1973):
А - ранняя стадия (поперечный разрез); Б - поздняя стадия (поперечный
разрез), буквой “ Ц ” обозначена вторичная полость тела (целом)
Это приводит к образованию желобка, а затем нервной трубки, которая в передней и задней части зародыша некоторое время остается открытой (указанные изменения удобнее всего проследить на поперечном разрезе зародыша). Вскоре, в задней части тела эктодерма нарастает на бластопор и отверстие нервной трубки, закрывая их таким образом, что нервная трубка остается сообщенной с кишечной полостью - образуется нервно-кишечный канал.
Одновременно с формированием нервной трубки существенные изменения происходят и во внутреннем зародышевом листке. Из него постепенно обособляются материалы будущих внутренних органов. Зачаток хорды начинает выгибаться, выделяется из общей пластинки и превращается в обособленный тяж в виде сплошного цилиндра. Одновременно происходит обособление мезодермы. Этот процесс начинается с появления небольших карманообразных выростов по двум сторонам
внутреннего листка. По мере роста они отделяются от энтодермы и в ви-де двух тяжей с полостью внутри располагаются по всей длине зародыша. Кроме продольных желобков от переднего конца первичного кишечника последовательно отчленяются еще две пары целомических мешков.
Таким образом, в развитии ланцетника имеется стадия, характеризующаяся наличием трех пар сегментов и свидетельствующая об эволюционном родстве ланцетника с трехсегментарными личинками полухордовых и иглокожих. У ланцетника ярко выражен энтероцельный способ
образования целома - его отшнуровка от первичного кишечника. Этот способ является исходным для всех вторичноротых животных, но почти ни у кого из вышестоящих позвоночных, за исключением круглоротых, с такой ясностью не представлен. После отделения хорды и мезодермы
края энтодермы постепенно сближаются в спинной части и в конце концов смыкаются, образуя замкнутую кишечную трубку.
В ходе дальнейшего развития мезодерма сегментируется: тяжи разделяются поперечно на первичные сегменты или сомиты. Из них образуются три основные закладки:
• дерматом формируется из наружной, обращенной к эктодерме стенке сомита, - из его клеток впоследствие возникает соединительная часть кожи, представленная преимущественно фибробластами;
• склеротом образуется из внутренней части сомита, примыкающей к хорде (низшие позвоночные) или к хорде и нервной трубке (высшие позвоночные) - представляет зачаток осевого скелета;
• миотом представляет часть сомита, расположенную между дерматомом и склеротомом - является зачатком всей поперечно-полосатой мускулатуры.
Дифференцировка сомитов у ланцетника протекает иначе, чем у позвоночных. Это различие выражается в том, что у позвоночных сегментируется только спинная часть мезодермальных тяжей, тогда как у ланцетника они полностью распадаются на сегменты. Последние вскоре разделяются на спинную часть - сомиты, и брюшную - спланхнотом.
Сомиты, из которых развивается туловищная мускулатура, остаются обособленными друг от друга, спланхнотомы же сливаются на каждой стороне, образуя левую и правую полости, которые затем объединяются под кишечной трубкой в общую вторичную полость тела (целом).
В развитии ланцетника, с одной стороны, ясно представлены черты типичных позвоночных (характерное расположение зачатков при гаструляции, формирование хорды из дорсальной стенки первичной кишки и нервной пластинки из дорсальной эктодермы), а с другой - черты беспозвоночных вторичноротых животных (целобластула, инвагинационная гаструла, трехсегментная стадия, энтероцельная закладка мезодермы и образования целома).
В дальнейшем, в связи с образованием хвоста нервно-кишечный канал исчезает. В головной части кишечной трубки прорывается ротовое отверстие, а на заднем конце, под хвостом, образуется анальное - путем вторичного прорыва стенки тела животного на месте закрывшегося бластопора. Зародыш переходит в стадию свободноплавающей личинки.
Образование мезодермы и хорды у ланцетника и млекопитающих
Хорда имеет энтодермальное происхождение. Стенки первичной кишки образуют по бокам многочисленные парные карманообразные выпячивания. Между ними участок энтодермы утолщается, а затем отделяется от первичной кишки. Образуется хорда.
Хорда - это упругий, эластичный стержень. Имеется только у хордовых животных. Но у ланцетника хорда сохраняется всю жизнь, а у всех остальных хордовых животных (рыб, земноводных, рептилий, птиц, млекопитающих) она имеется только у зародыша. Постепенно на месте хорды образуется позвоночник.
Образование мезодермы
Карманообразные выпячивания первичной кишки всё более углубляются и отделяются от энтодермы. Образуются многочисленные замкнутые мешочки, лежащие вдоль кишки. Стенки этих мешочков - мезодерма, полость мешочков - целом или вторичная полость тела. Мезодерма может образовываться и путём перемещения клеток в пространство между эктодермой и энтодермой (иммиграция) В дальнейшем из мезодермы образуются все органы мезодермального происхождения.
Дифференцировка мезодермы и ее производные.
а) Хорда (1).образуется практически одновременно с образованием самой мезодермы.
б) Формирующие её клетки мигрируют из эпибласта через первичный бугорок.
в) А. Хорда - непарная осевая структура. Б. Одна из её функций - установление оси тела.
г) Другие нижеперечисленные производные мезодермы являются парными.
а) Сомиты (2) находятся по бокам от хорды и образуются из дорсальной мезодермы..
б) Их ключевая особенность состоит в том, что они представляют собой сегменты - компактные скопления мезодермальных клеток.
в) А. Всего вдоль осевой линии образуется 10-11 пар сомитов (у человека - 44 пары). Б. Но появляются все пары сомитов не одновременно, а последовательно - в направлении от передней части зародыша к задней.
г) Несколько позднее в каждом сомите становится возможным выделить 3 части:
дерматом (3) (прилегающий к эктодерме) - зачаток дермы (внутреннего слоя кожи),
миотом (4) (среднюю часть) - зачаток поперечно-полосатых мышц,
склеротом (5) (прилегающий к хорде) - зачаток скелета.
Нефро- гоно- томы
Нефрогонотомы (6), или сегментные ножки находятся латеральнее сомитов и, как следует из второго названия, тоже сегментированы.
б) Представляют собой зачатки системы выделения и гонад, в связи с чем в них уже довольно рано выявляются отдельные канальцы.
Спланх- нотомы
а) Спланхнотомы (7) - это несегментированная часть мезодермы, которая находится ещё латеральнее нефрогонотомов.
б) Расслаивается на 2 листка:
париетальный листок (7,А), прилегающий к эктодерме, висцеральный листок (7,Б), прилегающий к энтодерме.
в) А. Из обоих этих листков образуется эпителий, выстилающий внутренние полости организма (грудную, брюшную).
Б. Кроме того, висцеральный листок - зачаток миокарда и эпикарда.
г) Полость (8) между названными листками называется целомической .
а) Мезенхима (9) - это совокупность подвижных отростчатых клеток, выселяющихся из разных отделов мезодермы - прежде всего,
из сомитов и спланхнотома.
б) Находится как внутри зародыша, так и вне его (внезародышевая мезенхима).
в) Из мезенхимы образуются
сосуды (в т.ч. аорта (10)), ткани внутренней среды организма -
все виды соединительных тканей (в т.ч. скелетные и хрящевые), кроветворная ткань и сама кровь,
Дифференцировка мезодермы и образование мезенхимы Сразу после своего образования мезодерма подразделяется на два главных отдела (Рис. Л-С, Т6): сомиты — спинной отдел и спланхнотом — брюшной отдел. Между сомитами и спланхнотомом имеется еще один отдел — сегментная ножка, с помощью которой они соединяются (Рис. С). Сомиты разделяются на три части: дерматом, склеротом, миотом. Дерматом дает начало мезенхиме дерматома, из нее образуется дерма — собственно кожа. Миотом является источником поперечнополосатых мышц. Из склеротома образуется мезенхима склеротома, которая дает начало костям и хрящам. Спланхнотом делится на висцеральный и париетальный листки, между которыми находится вторичная полость тела — целом (Рис. С). Висцеральный и париетальный листки дают начало висцеральным и париетальным серозным оболочкам. Кроме того, из висцерального листка спланхнотома выселяются клетки, которые дают начало мезенхиме спланхнотома. Из нее развивается соединительная ткань. Таким образом, мезенхима образуется как минимум из трех источников — висцерального листка спланхнотома, дерматома, склеротома. Из мезенхимы развивается вся соединительная ткань. Из сегментных ножек, находящихся в грудном отделе зародыша (первые 8-10 сегментов), закладывается предпочка и мезонефральный (вольфов) проток, из которого образуются каналец придатка семенника и семявыносящий проток. Из сегментных ножек, находящихся в туловищных отделах зародыша, развивается первичная почка, которая сначала функционирует у зародыша, а потом из канальцев первичной почки образуются прямые канальцы, канальцы сети семенника, выносящие канальцы придатка семенника. Сегментные ножки каудального отдела зародыша не отделяются одна от другой (не сегментируются), а формируют нефрогенный тяж, из которого развивается окончательная почка.
У ланцетника тоже есть хрящ

Голова ланцетника Branchiostoma floridae, увеличенная в 15 раз, с хордой (нервным тяжем и мускулатурой, которые прекрасно видны сквозь прозрачное тело); а щупальца, окружающие рот, состоят из хрящеподобных клеток. Фото © Maria del Pilar Gomez с сайта blog.mbl.edu
Ученые, получившие возможность пронаблюдать развитие ланцетника от личиночной стадии до взрослого животного, зарегистрировали у личинок формирование хрящевых клеток. Эти клетки составляют основу скелета ротовых щупалец. Прежде считалось, что в типе хордовых клеточный хрящ появился только у предков позвоночных и является их отличительным признаком. Теперь же стало ясно, что хрящевой скелет не появился из ниоткуда на пустом месте, для его образования были задействованы уже имевшиеся клеточные и генетические блоки.
Сейчас мы уже далеко ушли от той стартовой точки, с которой в XX веке сравнительная анатомия и эмбриология начали реконструировать становление костного скелета позвоночных. Тогда он считался производным хорды бесчерепных, представленных в современном мире ланцетником; промежуточной стадией между костным и скелетом и хордой предполагался хрящевой скелет. Весь скелет, включая и хорду, и хрящи, и костный череп, у хордовых слагался, как предполагали, из клеток мезодермы — среднего зародышевого листка.
У ланцетников (бесчерепных) нервного гребня нет, он появляется у миног и миксин (бесчелюстных). Их скелет сложен из хряща. Известен также набор генов, которые работают по ходу формирования скелетных элементов у эмбрионов позвоночных, миног и ланцетника: у них много общего в этом смысле. Но всё же многие регуляторные участки и гены у позвоночных специфичны: как выясняется, их появление, скорее всего, связано с полногеномной дупликацией у предков позвоночных (см. Геном ланцетника помог раскрыть секрет эволюционного успеха позвоночных, «Элементы», 23.06.2008). Все эти уточнения касаются формирования плана строения хордовых: эктодерма, под ней нервная трубка, под ней кишка, а между нервной трубкой и эктодермой у позвоночных появляется нервный гребень.

Рис. 1. a — личинка ланцетника во время метаморфоза. Neural tube — нервная трубка, Notochord — хорда, Oral cirri — ротовые щупальца, Gill slits — жаберные щели, Gut — кишка. b — ротовой скелет, окрашенный альциановым синим. Изображение из обсуждаемой статьи в Nature
Серьезной брешью остается вопрос: откуда же взялись клетки собственно костей и хрящей, которые, очевидно, являются отличительной чертой всех позвоночных? Пусть не костные клетки, а хрящевые — ведь у примитивных позвоночных, у целого класса рыб и у всех эмбрионов позвоночных скелет строится из хряща. Можно ли найти хрящевые клетки или их аналоги у ланцетников? Чтобы ответить на этот вопрос, требуются тонкие гистологические исследования эмбрионов ланцетников, сравнение факторов образования хрящевой ткани у позвоночных и ланцетников. Эту работу проделали специалисты из Колорадского университета в Боулдере (США) и Института биологии клеток и организмов (Institute of cellular and organismic biology) в Тайбэе (Тайвань).
Ученым повезло: у них появилась возможность поработать с личинками ланцетника, у которых как раз и формируется скелет глотки и рта (рис. 1). Ланцетников Branchiostoma floridae лишь совсем недавно научились выращивать в лаборатории от личиночной планктонной стадии до взрослого животного. Именно поэтому зоологи впервые наблюдали весь ход становления морфологических признаков. Они показали, как во время развития формируются щупальца вокруг рта, которые, как это ни удивительно, состоят их клеток, напоминающих по некоторым признакам хондроциты — хрящевые клетки (рис. 2).
Эти клетки окрашиваются специфическим для хряща красителем; они делятся в том же направлении и содержат те же крупные вакуоли, что и хрящ эмбрионов позвоночных; оболочки клеточного тяжа сходны по химическому составу с хрящевыми тяжами позвоночных, потому и окрашиваются они одинаково. Остается предположить, что щупальца ланцетников слагаются из хрящевых клеток, как и скелет всех эмбрионов позвоночных (мы же помним, что если животное выглядит как собака, лает как собака, кусается как собака, то это собака). Значит, в каком-то виде клеточный хрящ у эмбрионов ланцетника всё же имеется, и как раз там, где у других позвоночных объявляются клетки загадочного нервного гребня — в оформлении рта.
Хондроциты в щупальцах, как выяснилось, делятся под контролем тех же факторов роста фибробластов, что и у позвоночных. Если во время метаморфоза блокировать их работу химическими ингибиторами, то вырастет нормальное животное, но без щупалец. Также в щупальцах во время метаморфоза экспрессируются гены фибриллярного коллагена (ColA ) — важного слагаемого хрящевой ткани. У позвоночных при образовании коллагена и дифференциации хондроцитов из клеток нервного гребня работает специфический сигнальный каскад, в котором факторы роста связаны с транскрипционными факторами семейства SOXE (SOX9, SOXD). Эти транскрипционные факторы тоже удалось выявить в растущих щупальцах ланцетника во время метаморфоза. Также нашлись и другие гены этого каскада, известные по исследованиям рыбки данио рерио. Всё это вместе показывает, что у ланцетника уже имелись базовые компоненты — клеточные, молекулярные, регуляторные — для образования клеточной хрящевой ткани.

Рис. 2. Образование щупалец вокруг рта у личинок ланцетника: c — начало метаморфоза, d — середина метаморфоза, e — конец метаморфоза (фотография взрослой особи, сделанная электронным сканирующим микроскопом); длина масштабного отрезка — 100 мкм. f — окрашенные специфическим для хондроцитов красителем — альциановым синим (Alcian blue) — клетки щупалец личинок ланцетника. g — жаберный аппарат у личинок миноги. h — то же у эмбрионов данио рерио; стрелками показаны места деления клеток. i-k — те же ткани с окрашенными оболочками и ядрами; стрелками показаны вакуоли созревающих хондроцитов, звездочками — ядра поделившихся клеток. Увеличение: f, i — в 1000 раз, g, j — в 700 раз, h, k — в 500 раз. Изображение из обсуждаемой статьи в Nature
Но важно подчеркнуть, что клеточный хрящ в щупальцах ланцетника, несмотря на всю схожесть с хрящом позвоночных, всё же является производным мезодермы, а не нервного гребня. Должна была быть какая-то последовательность событий, которая привела к тому, что клетки нервного гребня переняли свойства (генетические и биохимические) мезодермальных хрящевых клеток щупалец. Тут можно только фантазировать, правда с опорой на факты. А факты свидетельствуют о том, что клетки нервного гребня, чтобы стать хондроцитами, включили особые регуляторные последовательности, в частности TFAP2A и tfap2c, которые отсутствуют у ланцетников. Эти транскрипционные факторы заставили генетическую программу формирования хряща сработать в клетках нервного гребня.
Поэтому предкам позвоночных не было нужды «изобретать» новую ткань для своего скелета. Вместо этого в клетках элементов головного скелета, берущих начало из нервного гребня, включилась с помощью новых регуляторных элементов уже проверенная программа дифференциации хондроцитов.
Источник: David Jandzik, Aaron T. Garnett, Tyler A. Square, Maria V. Cattell, Jr-Kai Yu & Daniel M. Medeiros. Evolution of the new vertebrate head by co-option of an ancient chordate skeletal tissue // Nature. 2015. V. 518. P. 534-537.
Развитие эмбриона актинии

На этой микрофотографии — эмбрион актинии Nematostella vectensis, проходящий стадию гаструлы. Актинии, или морские анемоны, — это отряд морских стрекающих (книдарий) из класса коралловых полипов. Сиреневым цветом окрашен активный белок ß-катенин. Видно, что белок экспрессируется во внешнем слое тела эмбриона — эктодерме, а во внутреннем слое — энтомезодерме (см. Endomesoderm) — экспрессия практически отсутствует.
Изображение получено методом иммунофлюоресценции: в эмбрионы актинии вводили антитела (взятые у кролика), специфичные к ß-катенину как к антигену. Когда антитело вступало в реакцию с антигеном, расположенным на поверхности клеток, активировался флюоресцентный маркер, который ярко окрашивал ткань — что мы и наблюдаем на снимках.
У двусторонне-симметричных животных (билатерий), от червей до млекопитающих, все ткани и органы тела в процессе эмбриогенеза развиваются из трех зародышевых листков — эктодермы (из нее образуются покровы тела и нервная система), энтодермы (ЖКТ и другие внутренние органы) и мезодермы (мышцы, кости и кровеносная система). У другой большой группы животных, книдарий (к ним относятся, в частности, коралловые полипы и гидроидные), отличающихся радиально-симметричным строением тела, таких лепестков всего два — эктодерма и энтомезодерма (которая имеет комбинированную функцию).
Эта разница впервые проявляется во время эмбрионального развития, на стадии гаструлы. До этого эмбрион представляет собой однослойный шарик (бластулу) из клеток, появившихся в результате деления зиготы. При гаструляции на вегетативном полюсе этого шарика слой клеток впячивается внутрь (этот процесс называется инвагинацией). При этом образуется отверстие — первичный рот (бластопор), а зародыш становится двухслойным. У билатерий после этого часть клеток мигрирует вглубь тела и образует самостоятельную мезодерму. У книдарий же такого не происходит, и организм остается двухслойным, несмотря на то что в их геноме есть все гены, необходимые для формирования третьего слоя.

А — гаструляция и последующее образование зародышевых листков, органов и тканей у актинии N. vectensis. Бледно-розовым цветом показана хаотичная «разбросанность» клеток энтомезодермы (Endomesoderm). B — микрофотографии иммунофлюоресцентно окрашенных эмбрионов N. vectensis. Видна активность ß-катенина (сиреневый) в эктодерме и отсутствие таковой в энтомезодерме. Изображение из статьи M. Salinas-Saavedra et al., 2018. Germ layer-specific regulation of cell polarity and adhesion gives insight into the evolution of mesoderm
Ученые давно пытаются понять, почему так получается. Недавно удалось показать, что ключевую роль в этом процессе играют PAR-белки. У билатерий они регулируют соединение клеток друг с другом (адгезию) и их ориентацию в пространстве на стадии гаструлы как в эктодерме, так и в энтодерме. При этом непосредственно за адгезию клеток отвечает белок ß-катенин, который PAR-белки активируют, направляя его из глубины цитоплазмы к клеточному кортексу (см. Cell cortex) — слою белков на внутренней поверхности клеточной мембраны, который регулирует ее поведение и функции белков внешнего слоя.
У книдарий эти процессы происходят только в эктодерме. При гаструляции во всем теле эмбриона N. vectensis (в отличие от дрозофил — излюбленного модельного животного из числа билатерий) PAR-белки расщепляются, но в эктодерме они затем синтезируются вновь, под управлением специальных PAR-генов. В энтомезодерме же этого не происходит, потому что там PAR-гены подавляются snail-генами. (У билатерий snail-гены активируются только в мезодерме, уже после ее формирования.) В тонкостях взаимодействия между PAR- и snail-генами ученые разобрались с помощью метода точечного редактирования генома CRISPR/Cas9 (см. Систему CRISPR-CAS9 удалось заснять в действии, «Элементы», 06.12.2017), «вырезая» те или иные гены и наблюдая, как после этого идет развитие эмбриона.
В результате у клеток энтомезодермы ослабевают межклеточные контакты и нарушается пространственная ориентация. По-видимому, именно это препятствует согласованной миграции клеток и образованию самостоятельной мезодермы.
Исследование закономерностей развития разных слоев тела у актиний может прояснить работу аналогичных механизмов у людей. Сбои в дифференциации зародышевых листков могут вести к нарушениям эмбрионального развития, в том числе тяжелых. Кроме того, экспрессия β-катенина меняется при наличии злокачественной опухоли (например, при раке толстой кишки, предстательной или щитовидной железы).
Читайте также:
