Модельнолитой протез на ZL-аттачменах. Тактика с оставшимися зубами
Добавил пользователь Евгений Кузнецов Обновлено: 21.01.2026
Почти на каждом сайте стоматологии говорят, что лучший способ протезирования — импланты, и это соответствует истине. Но как быть тем, кто в силу тех или иных обстоятельств не может прибегнуть к «золотому стандарту»? Пугающая картина «протез в стакане» — в далеком прошлом.
Бюгельный протез — отличный выбор, чтобы восстановить зубы, и при этом не разориться из-за их стоимости, а фиксация на замках используется сотнями тысяч пациентов. Наша тема сегодня — аттачмены, их виды, плюсы и минусы.
Бюгельный протез на кламмерах, аттачменах или телескопических креплениях: что выбрать?
У каждого вида креплений бюгельного протеза — свои преимущества и недостатки. Выбор зависит от конкретной клинической ситуации и, не в последнюю очередь, от финансовой составляющей. Все виды креплений для бюгеля и их принципиальные отличия сморите в таблице:
- Самые дешевые бюгели.
- Не требуют препарирования зуба.
- Достаточно надежны.
- Служат до 10 лет.
- Снижают скорость потери костной ткани.
- Защищают слизистую.
- Незаметны при улыбке и разговоре.
- Обеспечивают нормальную артикуляцию.
- Не требуют длительного привыкания, сложного ухода, дорогостоящего ремонта.
- Дешевле телескопических.
- Обеспечивают отличную эстетику.
- Защищают слизистую.
- Гарантируют плотную фиксацию и на верхней челюсти, и на нижней.
- Незаметны при улыбке и разговоре.
- Обеспечивают нормальную артикуляцию.
- Не требуют длительного привыкания.
- Служат не более 5 лет.
- Крепления заметны при улыбке и разговоре.
- Требуют обточки опорных зубов для установки коронки с креплением.
- Требуют значительной обточки
- одного-двух опорных зубов для установки коронки под коронку протеза.
- Самые дорогие крепления по цене.
Кому подходят протезы на аттачменах?
Эта разновидность имеет определенные показания. Тем у кого:
- Отсутствуют 3 и более зубов подряд в передней или боковой части зубного ряда;
- Нарушена дикция и жевание по причине потери одного или нескольких зубов;
- Выявлены заболевания околозубных тканей, например, пародонтит;
- Эмаль подвержена повышенной стираемости;
- Есть противопоказания к имплантации либо нет возможности ее выполнить.
Этапы протезирования бюгелем с фиксацией на аттачментах:
№1 Диагностика. Сначала осматривают полость рта, затем — панорамный снимок, замеры прикуса в трех плоскостях, диагноз и план лечения. Определяют опору, на которую предстоит закрепить протез.
№2 Подготовка. Если выявлены кариозные очаги, их устраняют. Опорные зубы готовят к протезированию — их необходимо обточить. Далее выполняют слепки для будущего протеза.
№3 Изготовление. Сначала выполняют модель из гипса, затем отливают металлический каркас, шлифуют его, полируют, припасовывают на модель, моделируют базис из воска и прикрепляют к нему искусственные зубы.
№4 Примерка. На этом этапе съемную конструкцию с фиксацией на аттачменах примеряют и, при необходимости, корректируют. Базис из воска меняют на пластмассовый.
№5 Установка. Выполняют закрепление протеза в полости рта.
Каковы преимущества нашей клиники в Москве?
- Опыт. Мы устанавливаем бюгельные протезы на аттачменах уже 10 лет и знаем, как сделать срок их службы максимальным, эстетику — безупречной, функциональность — полной.
- Технологии. В нашем распоряжении — передовое оборудование и сертифицированные безопасные материалы, что помогает достигать цели — восполнения потери.
- Качество. В том, что касается конечного результата, мы не идем на компромиссы. Каждый проходит под строгим контролем для прогнозируемого и надежного результата.
- Гарантии. Мы уверены в своей работе, поэтому на все виды работ даем гарантию 5 лет. Если за это время что-нибудь выйдет из строя, мы отремонтируем бесплатно.
- Цены. Мы стараемся сделать протезирование доступнее, предлагая оплату в рассрочку, в кредит, выполняя налоговый вычет. Кроме того, регулярно проводим акции.
Протезирование — наш основной профиль деятельности, мы знаем как и умеем это делать. И тысячи установленных нами протезов на аттачменах и многих других уже выполняют свою функцию прямо сейчас.
Крепление современных протезов на аттачменах
Аттачмены — крепления небольшого размера, применяющиеся в съемном и несъемном протезировании. С помощью аттачменов протез надежно крепится к имплантам или опорным зубам. Благодаря надежности фиксации человек не испытывает дискомфорт во время пережевывания пищи и разговора. Главное преимущество системы attachment — эстетичность и надежность.

Аттачменты и их классификация
Замковые крепления (аттачмент) являются частью общей ортодонтической съемной конструкции и обеспечивают ее устойчивость и амортизацию. Данное устройство состоит из двух частей, которые располагаются на протезе и на зубе. Замковый механизм обеспечивает надежную фиксацию съемного или стационарного протеза в полости рта и обладает отличными свойствами амортизации.
Строение замковой конструкции можно сравнить с кнопочным механизмом: одна часть располагается на протезе, вторая — на зубе. Механизм защелкивается, и конструкция надежно фиксируется в полости рта.
Аттачмены стоматология разделяет на несколько видов в соответствии с разнообразием форм и размеров, типом замкового соединения.
- по размерам — макро и микроустройства;
- по функциональным характеристикам — подвижные и жесткие;
- по качеству исполнения — точные и полуточные;
- по месту расположения — внутрикоронковые/внекоронковые, внутрикорневые/накорневые, межкоронковые, вспомогательные.
Замковые крепления состоят из двух компонентов — патрицы и матрицы. Патрица располагается на поверхности опорного зуба, матрица — непосредственно на протезе. Они характеризуются скользящей конфигурацией, удерживают протез в стабильном равновесии. В момент крепления матрица защелкивается, обхватывая патрицу. Материалом изготовления attachment является пластик или металл.

Внутрикоронковые и внекоронковые аттачмены
Внутрикоронковые крепления отличаются расположением матрицы — она не выступает за контур импланта или твердых тканей зуба. Все внутрикоронковые соединения выполняются жестким методом и требуют наличие дополнительного опорного зуба к уже имеющемуся.
Внекоронковые крепления отличаются выступающей частью патрицы за коронку опорного зуба. Данные конструкции выполняют нежесткими. Недостатком является затруднение при чистке: необходимо использовать дополнительные инструменты гигиены полости рта — нити, ирригаторы. Иначе происходит скопление бактериального налета.
Корневые и внутрикорневые аттачмены перед установкой требуют обработки корней опорных зубов. Внутрикорневые крепления монтируются в корне зуба, а затем цементируются.
Вспомогательные аттачмены могут располагаться в любой части протеза. По своей структуре они бывают фрикционными, винтовыми и затворными. Затворы и межкоронковые соединения используют в комбинированных протезах для соединения стационарной и съемной частей.
- рельсовое;
- ригельное;
- штанговое;
- шаровидное.
Наибольшее распространение получил шаровидный замок, в котором патрица выполнена из металла, а матрица — из пластика. Такое крепление незаметно в полости рта и не вызывает эстетического неудобства, в отличие от кламмерной системы фиксации. Матрица с патрицей могут защелкиваться разными способами: винтовым, механическим, магнитным.

Правило светофора
- мягкие — зеленого цвета;
- средней жесткости — желтого цвета;
- жесткие — красного цвета.
Тип жесткости подбирает ортодонт в соответствии с потребностью пациента и особенностями конструкции протезов. В жестком соединении механическая нагрузка при жевании передается на опорные зубы. В мягком (лабильном) варианте механическая нагрузка равномерно распределяется по всей челюсти.
Виды протезов на аттачменах
Конструкции отличаются между собой типом замковых креплений — протез на аттачменах изготовляют по особой технологии, монтируя патрицу на коронку зуба заранее. Патрица представляет собой выступающий элемент шаровидной формы, который при защелкивании заходит в паз на протезе — матрицу.
- частично-съемных;
- покрывающих;
- разборных мостовидных;
- на имплантах.
Показания к применению
- частичная адентия;
- патологическая стираемость эмали;
- заболевания пародонта;
- недопустимость установки имплантов;
- клинические виды нарушения прикуса.
Противопоказания тоже имеются:
- невозможность установки коронки с вмонтированной патрицей;
- некоторые виды заболевания пародонта, не позволяющие установку коронок на зуб.
Важно! Что такое аттачмент? Это фиксирующий замок на протезах, который препятствует убыванию костной ткани челюсти, в отличие от традиционных замковых элементов. Аттачмент снижает жевательную нагрузку на десны.
Протезы на аттачменах имеют неоспоримое преимущество перед другими видами креплений — эстетический комфорт.

Бюгельные конструкции
Аттачмены Бредент — бюгельный протез — используются для крепления искусственной десны к зубам. Основной особенностью конструкций Бредент является замковый скрытый механизм, надежно удерживающий протез в полости рта.
Бюгельные протезы Bredent отличаются равномерным распределением нагрузки при жевании на всю челюсть, а не только на опорные зубы. Замочки легко открываются, позволяя вынимать конструкцию для санирования и очищения.
Сэндвич-протезы
Данные ортодонтические конструкции — новинка в стоматологии. Сэндвич представляет собой привычный покрывной условно-съемный протез на аттачменах — в этом его инновационное отличие. Сэндвич держится на опорных зубах и не имеет небного перекрытия.
Обычные съемные протезы опираются на десны, конструкции на аттачменах фиксируются к опорным зубам с помощью замочков. К недостаткам сэндвич-конструкций на замковом креплении является высокая цена — от 100 000 рублей за челюсть. Однако если сравнивать с имплантацией, себестоимость изделий на замковых креплениях обходится в разы дешевое.
Установка и особенности использования
Перед установкой ортодонтических конструкций на аттачменах стоматолог-ортодонт назначает санирование полости рта и лечение десен. Затем следует серия клинико-лабораторных диагностик для подбора правильной конструкции. Далее проводится примерка конструкции с attachment без фиксации. Это необходимо для получения точного слепка челюсти.
После этой процедуры мастер изготавливает искусственную челюсть в соответствии с полученным оттиском. Далее ортодонт устанавливает конструкцию и фиксирует в полости рта.
Бюгельные и сэндвич-протезы на аттачменах требуют внимательного ухода — их необходимо ополаскивать после еды. Особенно тщательно нужно следить за чистотой замковых креплений. Если протез начал балансировать в полости рта, нужно обратиться к ортодонту для замены утративших прочность крепежных элементов.
Чтобы замки надежно фиксировали протез и долго служили, нужно относиться к ним бережно. Прежде всего, следует исключить повышенную механическую нагрузку при жевании. Однако этого не достаточно — многое зависит и от конструкции изделий и оценки механической нагрузки на корни зубов при жевании. Это зависит от мастерства и опыта ортодонта.
Протез не должен оказывать деформирующего влияния на кость челюсти, корень зуба и зубную коронку, чтобы процесс жевания был полноценным. Неравномерное распределение механической нагрузки в полости рта сказывается на состоянии замкового крепления — attachment. К сожалению, не качественно смоделированный протез может стать причиной утраты здоровых зубов со временем.
Искусство моделирования протеза состоит в правильной оценке адекватной нагрузки на здоровые зубы и создании равновесия внутри челюсти при жевании. Для этого моделируют на челюсти-антагонисте соответствующую равновесию конструкцию. — в этом случае проблем с утратой зубов не будет.

Преимущества
Протезы на аттачменах приобрели популярность у пациентов стоматологических клиник, прежде всего, из-за эстетического удобства при использовании. Вновь обретенная радость наслаждения любимой пищи, отсутствие дискомфорта при общении дорогого стоят.
- легкость в использовании, прочность замка;
- равномерность распределения жевательной нагрузки;
- разборная конструкцию можно отремонтировать, заменив испорченные детали;
- четкость артикуляции при ношении протезов;
- нет необходимости снимать протез во время сна.
Пациенты отмечают полностью восстановленную жевательную функцию, отсутствие болевых ощущений при пережевывании пищи. Это возможно только за счет перераспределения механической нагрузки равномерно на всю челюсть. Конструкция не выпадает и не сдвигается во время приема пищи.
- сложная модификация attachment требует высококвалифицированного подхода к изготовлению и установке;
- себестоимость готовых изделий находится на высокой ценовой планке;
- для использования протезов на замках необходимо обтачивать под коронки здоровые зубы;
- замковый механизм быстро ломается.
Как часто следует обновлять замочки? Максимум через полтора года конструкция требует замены из-за ослабления фиксирующих элементов. Однако стоимость замены деталей не высокая — в пределах 1000 рублей. Ортодонт заменит замок за несколько минут с помощью специальных инструментов.
Частой замены требуют пластиковые детали устройства, они больше подвержены деформации. Однако несмотря на имеющиеся недостатки, популярность ортодонтических систем на аттачменах растет. Конструкции имеют больше положительных характеристик, чем отрицательных.

Крепкая фиксация, удобство в использовании, легкость очищения и отсутствие дискомфорта при общении — все виды аттачменов получили высокую оценку пациентов стоматологических клиник. Несмотря на высокую цену, attachment система окупается длительностью эксплуатации и недорогим обслуживанием.
Протезы с креплением на крючках уходят в прошлое. Система аттачмент более совершенна и удобна. Ассортимент замковых креплений составляет более ста наименований. Каждый вид отличается от другого особенным способом крепления, размерами и функционалом. Разброс цен на протез с интегрированной системой attachment составляет от 100 до 1200 условных единиц. В стоимость входит цена за диагностику, установку, само ортодонтическое изделие и замка к нему.
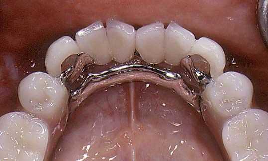
Бюгельный протез на аттачментах Bredent

Бюгельный протез на аттачментах — наиболее эстетичный вариант съемного протезирования.
В основе его конструкции находится дугообразный каркас или бюгель, выполненный из прочного металла. На него крепится полимерный базис с искусственными зубами из керамики или других материалов.
Фиксируется протез на опорных зубах, накрытых металлокерамической коронкой. С внутренней стороны коронки располагается миниатюрный замок-аттачмент, который надежно пристегивает к себе протез.
Установить фиксирующий механизм можно не только в коронке зуба, но и в здоровом корне.
Наши врачи


Бюгельный протез на аттачменах: устройство протеза
Замковые крепления являются отличной альтернативой крючкам-кламмерам. Главное преимущество аттачментов — это их незаметность во рту при разговоре или улыбке. Фиксация протеза происходит с внутренней стороны зубов либо в межзубном пространстве. Бюгельная конструкция состоит из металлического сетчатого каркаса, искусственных десен седловидной формы и керамических зубных коронок. Опорные зубы накрывают металлокерамической коронкой снабженной замком-аттачментом. Другая его половина будет закреплена на бюгельную конструкцию. Во время надевания протеза две половинки замка плотно защелкиваются.
Конструкция аттачмента Bredent

Немецкая фирма Bredent является производителем самых различных видов аттачментов. Однако зачастую ее ассоциируют лишь с шаровидным видом крепления.
- Патрицы - металлического шарика, который располагается на коронке опорного зуба, импланте или прямо в корне;
- Матрицы - пластиковой детали с углублением по размеру патрицы.
Защелкиваться аттачмент может механическим способом, винтовым или магнитным. Шаровидные крепления стали популярны благодаря своей универсальности и надежности, но далеко не всегда это единственно правильное решение.
Бюгельный протез на аттачменах: расположение замкового крепления
Расположение замкового крепления будет различаться от участка протезирования и состояния опорных зубов.
Внутрикоронковые крепления - в них патрица не выступает за край коронки зуба. Такие крепления выполняются жестким методом и требуют дополнительного опорного зуба.
Внекоронковые крепления - металлическая патрица выступает за край зуба. Такая конструкция бывает нежесткой и требует тщательного гигиенического ухода.
Внутрикорневые аттачменты - устанавливаются внутри корневого канала и требуют предварительную подготовку зубного корня. После установки затвора полость цементируется. Чаще всего такие системы устанавливают на челюсть лишенную зубов.
Вспомогательные аттачменты устанавливаются в любой части протеза. Их используют в протезах, которые сочетают в себе съемную и стационарную часть.
Жесткий или мягкий аттачмент
Для того, чтобы создать правильную нагрузку на все части протеза и во избежание перегрузки опорных зубов используют аттачменты различной жесткости.

Различают три типа жесткости:
- Красный - жесткий аттачмент;
- Желтый - средней жесткости;
- Зеленый - мягкий.
Тип жесткости аттачмента подбирает специалист с учетом всех особенностей конструкции. При выборе жесткого крепления, вся жевательная нагрузка ложится на опорные зубы. Таким образом, при помощи регулировки жесткости аттачмента можно выбрать наиболее правильное положение протеза, при котором вся жевательная система будет сбалансирована.
Преимущества протезов на аттачментах Bredent
Протезы на аттачментах Bredent приобретают всю большую популярность из-за надежности, равномерности распределения жевательной нагрузки и высокой эстетичности улыбки после их установки.
- легкость и прочность всей конструкции и креплений;
- возможность сбалансировать протез для распределения жевательной нагрузки;
- отсутствие влияния на артикуляцию;
- возможность ремонта съемной части протеза;
- длительный срок службы.
Недостатки протеза на аттачментах
Протез на аттачментах относится к классу высокотехнологичных конструкций, соответственно его цена будет значительно выше более простых аналогов.
- сложная конструкция протеза требует высококвалифицированного подхода;
- опорные зубы необходимо обтачивать под коронки с замковым механизмом;
- замки со временем ломаются и требуют замены (особенно пластиковые);
- каждые полгода протез требует перебазировки.
Несмотря на высокую цену бюгельный протез на аттачментах сложно переоценить. С основными задачами протезирования, удобством использования и высокой эстетикой он справляется отлично. Аттачменты Bredent имеют высокую репутацию среди ортодонтов и имеют все необходимые качества для успешного протезирования.
Бюгельные протезы на аттачменах
Среди разновидностей дугообразных ортопедических конструкций существует бюгельный протез на аттачменах. В отличие от кламмерных устройств крепежные элементы в нем расположены внутри и абсолютно незаметны для окружающих.
Аттачмены - это замки, состоящие из двух частей (съемной и несъемной). Первая находится на самом протезе, вторая фиксируется к искусственной коронке, надетой на опорный зуб. При установке бюгельного протеза на аттачменах обе части соединяются, за счет чего изделие надежно удерживается в полости рта.
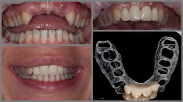
Бюгельные протезы на аттачменах: фото до и после



Изготовление бюгельного протеза на аттачменах
Бюгельные протезы на замках аттачменах создаются в несколько этапов:
- Стоматолог-ортопед вместе с пациентом решает, какое именно замковое крепление будет в изделии - кнопочное, балочное, рельсовое и т.д.;
- С помощью шкалы Вита определяется оттенок опорных зубов — это нужно для того, чтобы съемный протез на аттачменах смотрелся как можно естественнее.
- Делается слепок челюсти.
- В лаборатории отливаются металлическая дуга и крепления, затем к ней присоединяются пластмассовая десна и искусственные зубы.
- Протез примеряется пациентом и, если необходимо, корректируется.
Бюгельные протезы на аттачменах: показания и противопоказания
Главные показания к применению аттачментов или протезов на замковых креплениях - это отсутствие возможности осуществить имплантацию и наличие в ротовой полости как минимум двух опорных зубов.
А к противопоказаниям можно отнести следующие факторы:
- плохое состояние пародонта;
- резорбция (разрушение) костной ткани челюсти;
- патологическая стираемость зубной эмали;
- серьезные дефекты опорных зубов;
- неглубокое дно ротовой полости;
- короткая уздечка языка;
- низкое небо;
- глубокий прикус;
- малая высота клинических коронок зубов;
- аллергия на материалы компонентов протезов на аттачменах;
- инфекции полости рта, дыхательных путей, внутренних органов;
- неврологические и сердечнососудистые болезни.
Преимущества и недостатки
Аттачмены или протезы на замковых креплениях имеют множество преимуществ:
- высокая прочность и долговечность (устройство способно прослужить до семи лет);
- возможность провести полноценное протезирование даже при отсутствии большей части зубов;
- оптимальное распределение жевательного давления: равномерная нагрузка приходится на всю челюсть;
- компактный размер: зубные протезы на аттачменах не закрывают небо, поэтому их ношение не вызывает рвотного рефлекса, нарушений дикции и восприятия вкусов;
- короткий адаптационный период: после нескольких дней привыкания пациент перестает испытывать дискомфорт.
- отсутствие риска развития протезного стоматита;
- возможность предупредить расшатывание и выпадение оставшихся зубов;
- применение стандартных материалов замков при изготовлении бюгельного протеза с системой фиксации на аттачменах: это позволяет легко подобрать замену;
- возможность контролировать износ конструкции.
Однако данный вид высокотехнологичного протезирования не лишен и определенных недостатков:
- дольно высокая цена, поскольку изготовление бюгельных протезов на замках аттачменах требует применения дорогостоящих материалов и специализированного оборудования, а также самой высокой квалификации сотрудников зуботехнической лаборатории;
- в некоторых случаях помимо обтачивания опорных зубов может потребоваться их депульпирование;
- при использовании пластмассовых замковых креплений их нужно часто менять;
при поломке ортопедической конструкции ремонт может занять длительное время, поскольку это весьма трудоемкий процесс.
Съемный протез на имплантах с кнопочной фиксацией

Надежно закрепить зубные протезы можно, если поставить их на импланты. Системы во рту фиксируют несколькими способами. Один из самых удобных для пациента — съемный кнопочный. Способ крепления такой же, как и у заклепок на одежде. Системы крепят к титановым корням шаровидными абатментами или локаторами. Съемное протезирование на имплантах рекомендуют тем, кто не хочет заменять отсутствующие зубы традиционными челюстями на присосках, а несъемные конструкции установить невозможно по показаниям или по ограниченным финансовым возможностям.
- Когда используется: отсутствие от 1 зуба до полной адентии
- Вид анестезии: местная анестезия
- Время процедуры: от 45 минут до 2,5 часов
- Период лечения: от 3 дней до 6 месяцев
- Возрастные ограничения: с 18 лет (в нашей клинике)
Особенности конструкции
Кнопочные съемные протезы отличаются от традиционных наличием дополнительных фиксирующих элементов. Благодаря им конструкция надежно удерживается в одном положении: не слетает и не смещается.
Принцип крепления ортопедической системы во рту прост. На верхушке импланта (абатменте) располагается первая часть замка — патрица. Вторая часть — матрица представляет собой углубление в ортопедической конструкции. При надевании протеза матрица соединяется с абатментом искусственного корня до характерного щелчка.
Плюс данного метода протезирования — его можно реализовать и после классической, и после мини-имплантации.
Устанавливать съемные конструкции можно и на верхней, и на нижней челюсти. В первом случае протезирование проводят не менее, чем на 4 имплантах, независимо от диаметра и размера титановых корней. Это обусловлено мягкой и рыхлой костью верхней челюсти. Если имплантов будет меньше, то не получится качественно закрепить на них ортопедический протез.
Покрывной протез на 2 импланта можно установить только при восстановлении нижнего ряда. При этом диаметр титановых корней не может быть меньше 4-5 мм, иначе пострадает устойчивость всей системы. Если зубы нижней челюсти восстанавливают с помощью мини-имплантов, то их понадобится столько же, сколько для верхней челюсти — четыре.
- На шаровидных фиксаторах. Головка таких изделий по форме напоминает шар. Протезы с шаровидной фиксацией стоят недорого, но у конструкции есть один существенный недостаток. Постепенно головки абатмента изнашиваются и перестают надежно удерживать систему. Через 2-3 года придется снова обращаться к ортопеду. Из-за высокой изнашиваемости, изделия рекомендуются как временные.
- На экваторных абатментах (локаторах). Локаторы по форме похожи на конус. В отличие от шаровидных головок, они меньше изнашиваются. У такого вида креплений есть и другое преимущество — на них можно установить ортопедические системы под большим углом наклона.

Виды фиксаций съемных протезов на имплантах
Съемный протез на имплантах — это конструкция, замещающая утраченные зубы. Состоит из искусственных коронок и акрилового базиса, крепится на вживленные в челюсть искусственные корни. Такие конструкции пациент может снять самостоятельно без помощи врача.
У протезирования на имплантах определенно есть плюсы. Изделия прочно крепятся во рту и под них не попадают частички пищи, как это случается со съемными конструкциями на присосках. Пациент может легко извлечь искусственные зубы, чтобы почистить и обработать их.
Но система не лишена минусов. Она менее прочная по сравнению с несъемными искусственными челюстями, имеющими титановую дугу в базисе. Изделия без дуги быстрее ломаются и требуют частой коррекции. Из-за возможности расшатывания и небольшого смещения искусственных корней съемное протезирование чаще рассматривают, как временный способ маскировки визуальных дефектов.
Способы, которыми протез крепится во рту:
- Балочная фиксация. Импланты соединяют между собой титановой дугой (балкой), на которую затем ставят ортопедические системы.
- Кнопочным креплением. На каждый титановый имплант надевают абатмент. Его соединяют с силиконовыми матрицами (углублениями) в искусственной челюсти.

Преимущества и недостатки кнопочной фиксации по сравнению с балочной
Балочные протезы также съемные, но более прочные. Импланты после установки объединяются балкой, на которую фиксируется протез с соответствующим углублением в базисе. За счет этого конструкция не расшатывается, крепежные элементы не стираются, нагрузка распределяется более равномерно.
Сравним плюсы и минусы кнопочных протезов по отношению к балочным:
Преимущества
- Низкая цена;
- простота изготовления;
- возможность установки под старую ортопедическую систему;
- простота проведения гигиенических процедур.
Недостатки
- Возможность незначительного расшатывания протеза;
- быстрое стирание крепежных элементов, из-за чего съемная челюсть будет вылетать;
- возможный риск перегрузки имплантов (особенно если используются только 2 точки опоры);
- неэффективное распределение жевательной нагрузки между протезируемыми участками челюсти.
Этапы протезирования
Протезы на шаровидных и локаторных фиксаторах устанавливаются на мини-имплантаты или на классические искусственные корни. От этого зависит способ установки и сроки протезирования.

На мини-имплантах
Протез на имплантах ставят уже через 2-3 дня после вживления искусственных корней. Не нужно ждать пока они приживутся в челюсти.
- Изготовление ортопедической системы. Ее делают по слепкам, предварительно снятым с зубов пациента. В зуботехнической лаборатории в протез монтируют специальные матрицы, которые будут защелкиваться на верхушке импланта.
- Установка имплантов. Для вживления тонких титановых опор в десне делают небольшой прокол. Имплантат вживляют в кости челюсти, где он стабилизируется несколько дней.
- Фиксация протеза. Врач совмещает абатменты искусственных мини-корней с матрицами протеза.
Мини-имплантация не лишена недостатков. Тонкие штифты, которые вживляют в челюсть, не выдерживают чрезмерных жевательных нагрузок и вылетают. Мы советуют пациентам, планирующим установку съемных протезов, классическую двухэтапную операцию.
После окончания процедуры врач расскажет пациенту о том, как ухаживать за искусственными зубами.

Cтоматолог-ортопед , врач высшей категории
Установить на импланты ортопедические системы, бывшие в употреблении, можно, если срок их службы не превышает 3 года. Но старые съемные конструкции нельзя использовать в таком виде, в каком они есть. Их придется доработать в лаборатории — установить внутрь изделия крепление под шаровидные абатменты. Иногда такая доработка обходится дороже, чем новый протез.
Правила ухода
Профилактический уход — выполняется стоматологом:
- профессиональная чистка протеза каждый год;
- перебазировка конструкции;
- ремонт всей системы или ее отдельных систем, например, матрицы.
Регулярный уход — ежедневные действия пациента для продления службы изделия:
- очищение поверхности протеза от остатков пищи с помощью ирригатора и ершиков;
- ополаскивание конструкции водой;
- хранение системы в антисептических растворах 1 раз в неделю.
Пациентам также рекомендуется отказаться от грубой пищи, которая провоцирует появление сколов и трещин на системе: сухариков, орешек, семечек.
Отличия от несъемных протезов на имплантах
Несъемные конструкции на имплантах — постоянные, прочные, надежные. В базисе предусмотрена титановая дуга, которая объединяет имплантаты и делает протез устойчивым. Такие конструкции крепятся винтовым способом (условно-съемные) или цементным (несъемные). Их не нужно снимать для специального ухода. Срок службы — от 15 лет.
Читайте также:
