Остеомиелит челюсти: причины, симптомы и лечение
Добавил пользователь Владимир З. Обновлено: 21.11.2025
Остеомиелит - воспаление костного мозга, при котором обычно поражаются все элементы кости (надкостница, губчатое и компактное вещество). В зависимости от этиологии остеомиелита он подразделяется на неспецифический и специфический (туберкулезный, сифилитический, бруцеллезный и т. п.); посттравматический, гематогеный, послеоперационный, контактный. Клиническая картина зависит от вида остеомиелита и его формы (острая или хроническая). Основу лечения острого остеомиелита составляет вскрытие и санация всех гнойников, при хроническом остеомиелите - удаление полостей, свищей и секвестров.
МКБ-10


Общие сведения
Остеомиелит (от лат. osteon кость + myelos костный мозг + itis воспаление) - воспаление костного мозга, при котором обычно поражаются все элементы кости (надкостница, губчатое и компактное вещество). По статистике, остеомиелит после травм и операций составляет 6,5% всех болезней опорно-двигательного аппарата. Чаще поражает бедренную и плечевую кость, кости голени, позвонки, нижнечелюстные суставы и верхнюю челюсть. После открытых переломов диафиза трубчатых костей посттравматический остеомиелит возникает в 16,3% случаев. Мужчины болеют остеомиелитом чаще женщин, дети и пожилые - чаще людей молодого и среднего возраста.
Классификация
Выделяют неспецифический и специфический остеомиелит. Неспецифический остеомиелит вызывают гноеродные бактерии: золотистый стафилококк (90% случаев), стрептококк, кишечная палочка, реже - грибки. Специфический остеомиелит возникает при туберкулезе костей и суставов, бруцеллезе, сифилисе и т. д.
В зависимости от пути, которым микробы проникают в кость, различают эндогенный (гематогенный) и экзогенный остеомиелит. При гематогенном остеомиелите возбудители гнойной инфекции заносятся через кровь из удаленного очага (фурункул, панариций, абсцесс, флегмона, инфицированная рана или ссадина, тонзиллит, синусит, кариозные зубы и пр.). При экзогенном остеомиелите инфекция проникает в кость при ранении, операции или распространяется с окружающих органов и мягких тканей.
В начальных стадиях экзогенный и эндогенный остеомиелит различаются не только по происхождению, но и по проявлениям. Затем отличия сглаживаются и обе формы болезни протекают одинаково. Выделяют следующие формы экзогенного остеомиелита:
- посттравматический (после открытых переломов);
- огнестрельный (после огнестрельных переломов);
- послеоперационный (после проведения спиц или операций на костях);
- контактный (при переходе воспаления с окружающих тканей).
Как правило, остеомиелит вначале протекает остро. В благоприятных случаях заканчивается выздоровлением, в неблагоприятных - переходит в хронический. При атипичных формах остеомиелита (абсцессе Броди, альбуминозном остеомиелите Оллье, склерозирующем остеомиелите Гарре) и некоторых инфекционных болезнях (сифилисе, туберкулезе и др.) острая фаза воспаления отсутствует, процесс носит первично-хронический характер.
Острый остеомиелит
Проявления острого остеомиелита зависят от пути проникновения инфекции, общего состояния организма, обширности травматического поражения кости и окружающих мягких тканей. На рентгенограммах изменения видны спустя 2-3 недели с начала заболевания.
Гематогенный остеомиелит
Как правило, развивается в детском возрасте, причем треть пациентов заболевает в возрасте до 1 года. Достаточно редкие случаи развития гематогенного остеомиелита у взрослых на самом деле являются рецидивами болезни, перенесенной в детском возрасте. Чаще поражает большеберцовую и бедренную кости. Возможно множественное поражение костей.
Из удаленного очага воспаления (абсцесс мягких тканей, флегмона, инфицированная рана) микробы с кровью разносятся по организму. В длинных трубчатых костях, особенно - в их средней части хорошо развита широкая сеть сосудов, в которой скорость кровотока замедляется. Возбудители инфекции оседают в губчатом веществе кости. При неблагоприятных условиях (переохлаждение, снижение иммунитета) микробы начинают усиленно размножаться, развивается гематогенный остеомиелит. Выделяют три формы заболевания:
Септико-пиемическая форма. Характерно острое начало и выраженная интоксикация. Температура тела поднимается до 39—40°, сопровождается ознобом, головной болью и повторной рвотой. Возможны потеря сознания, бред, судороги, гемолитическая желтуха. Лицо больного бледное, губы и слизистые оболочки синюшны, кожа сухая. Пульс учащенный, давление снижено. Селезенка и печень увеличиваются, иногда развивается бронхопневмония.
На 1-2 сутки болезни появляется точно локализованная, резкая, сверлящая, распирающая или рвущая, усиливающаяся при малейших движениях боль в области поражения. Мягкие ткани конечности отечны, кожа горячая, красная, напряженная. При распространении на близлежащие суставы развивается гнойный артрит.
Через 1-2 недели в центре поражения формируется очаг флюктуации (жидкость в мягких тканях). Гной проникает в мышцы, образуется межмышечная флегмона. Если флегмону не вскрыть, она может вскрыться самостоятельно с образованием свища или прогрессировать, приводя к развитию параартикулярной флегмоны, вторичного гнойного артрита или сепсиса.
Местная форма. Общее состояние страдает меньше, иногда остается удовлетворительным. Преобладают признаки местного воспаления кости и мягких тканей.
Адинамическая (токсическая) форма. Встречается редко. Характеризуется молниеносным началом. Преобладают симптомы острого сепсиса: резкое повышение температуры, тяжелый токсикоз, судороги, потеря сознания, выраженное снижение артериального давления, острая сердечно-сосудистая недостаточность. Признаки костного воспаления слабые, появляются поздно, что затрудняет постановку диагноза и проведение лечения.
Посттравматический остеомиелит
Возникает при открытых переломах костей. Развитию болезни способствует загрязнение раны в момент травмы. Риск развития остеомиелита увеличивается при оскольчатых переломах, обширных повреждениях мягких тканей, тяжелых сопутствующих повреждениях, сосудистой недостаточности, снижении иммунитета.
Посттравматический остеомиелит поражает все отделы кости. При линейных переломах зона воспаления обычно ограничена местом перелома, при оскольчатых переломах гнойный процесс склонен к распространению. Сопровождается гектической лихорадкой, выраженной интоксикацией (слабость, разбитость, головная боль и т. д.), анемией, лейкоцитозом, повышением СОЭ. Ткани в области перелома отечны, гиперемированы, резко болезненны. Из раны выделяется большое количество гноя.

МРТ стопы. Остеомиелит таранной и большеберцовой кости с наличием обширной зоны деструкции костной ткани.
Огнестрельный остеомиелит
Чаще возникает при обширных поражениях костей и мягких тканей. Развитию остеомиелита способствует психологический стресс, снижение сопротивляемости организма и недостаточная обработка раны.
Общие симптомы сходны с посттравматическим остеомиелитом. Местная симптоматика при остром огнестрельном остеомиелите нередко выражена слабо. Отек конечности умеренный, обильное гнойное отделяемое отсутствует. О развитии остеомиелита свидетельствует изменение раневой поверхности, которая становится тусклой и покрывается серым налетом. В последующем воспаление распространяется на все слои кости.
Несмотря на наличие очага инфекции, при огнестрельном остеомиелите обычно наступает сращение кости (исключение - значительная раздробленность кости, большое смещение отломков). При этом гнойные очаги оказываются в костной мозоли.
Послеоперационный остеомиелит
Является разновидностью посттравматического остеомиелита. Возникает после операций по остеосинтезу закрытых переломов, ортопедических операций, проведения спиц при наложении компрессионно-дистракционных аппаратов или наложении скелетного вытяжения (спицевой остеомиелит). Как правило, развитие остеомиелита вызвано несоблюдением правил асептики или большой травматичностью операции.
Контактный остеомиелит
Возникает при гнойных процессах окружающих кость мягких тканей. Особенно часто инфекция распространяется с мягких тканей на кость при панариции, абсцессах и флегмонах кисти, обширных ранах волосистой части головы. Сопровождается увеличением отека, усилением болей в области повреждения и образованием свищей.
Лечение
Только в стационаре в отделении травматологии. Выполняют иммобилизацию конечности. Проводят массивную антибиотикотерапию с учетом чувствительности микроорганизмов. Для уменьшения интоксикации, восполнения объема крови и улучшения местного кровообращения переливают плазму, гемодез, 10% раствор альбумина. При сепсисе применяют методы экстракорпоральной гемокоррекции: гемосорбцию и лимфосорбцию.
Обязательным условием успешного лечения острого остеомиелита является дренирование гнойного очага. На ранних стадиях в кости делают трепанационные отверстия с последующим промыванием растворами антибиотиков и протеолитических ферментов. При гнойных артритах выполняют повторные пункции сустава для удаления гноя и введения антибиотиков, в некоторых случаях показана артротомия. При распространении процесса на мягкие ткани образовавшиеся гнойники вскрывают с последующим открытым промыванием.
Хронический остеомиелит
При небольших очагах воспаления, комплексном и своевременном лечении, преимущественно у молодых пациентов восстановление костной ткани преобладает над ее разрушением. Очаги некроза полностью замещаются вновь образованной костью, наступает выздоровление. Если этого не произошло (примерно в 30% случаев), острый остеомиелит переходит в хроническую форму.
Примерно к 4 неделе при всех формах острого остеомиелита происходит секвестрация - образование омертвевшего участка кости, окруженного измененной костной тканью. На 2-3 месяц заболевания секвестры окончательно отделяются, на месте разрушения кости формируется полость и процесс становится хроническим.
Симптомы
При переходе острого остеомиелита в хронический состояние пациента улучшается. Боли уменьшаются, становятся ноющими. Формируются свищевые ходы, которые могут выглядеть, как сложная система каналов и выходить на поверхность кожи далеко от места повреждения. Из свищей выделяется умеренное количество гнойного отделяемого.
В период ремиссии состояние пациента удовлетворительное. Боли исчезают, отделяемое из свищей становится скудным. Иногда свищи закрываются. Продолжительность ремиссии при остеомиелите колеблется от нескольких недель до нескольких десятков лет, зависит от общего состояния и возраста больного, локализации очага и т. д.
Развитию рецидива способствуют сопутствующие заболевания, снижение иммунитета и закрытие свища, приводящее к скоплению гноя в образовавшейся костной полости. Рецидив болезни напоминает стертую картину острого остеомиелита, сопровождается гипертермией, общей интоксикацией, лейкоцитозом, повышением СОЭ. Конечность становится болезненной, горячей, краснеет и отекает. Состояние пациента улучшается после открытия свища или вскрытия гнойника.

КТ стопы. Посттравматический хронический остеомиелит пяточной кости с наличием секвестра (красная стрелка) и свищевого хода (синяя стрелка).
Осложнения
Хронический остеомиелит часто осложняется переломами, образованием ложных суставов, деформацией кости, контрактурами, гнойным артритом, малигнизацией (злокачественным перерождением тканей). Постоянно существующий очаг инфекции влияет на весь организм, вызывая амилоидоз почек и изменения внутренних органов. В период рецидива и при ослаблении организма возможен сепсис.
Диагностика
Постановка диагноза при хроническом остеомиелите в большинстве случаев не вызывает затруднений. Для подтверждения проводят МРТ, КТ или рентгенографию. Для выявления свищевых ходов и их связи с остеомиелитическим очагом выполняют фистулографию.
Операция показана при наличии остеомиелитических полостей и язв, гнойных свищей, секвестров, ложных суставах, частых рецидивах с интоксикацией, выраженной болью и нарушением функции конечности, малигнизации, нарушении деятельности других органов и систем вследствие хронической гнойной инфекции.
Выполняют некрэктомию (секвестрэктомию) - удаление секвестров, грануляций, остеомиелитических полостей вместе с внутренними стенками и иссечение свищей с последующим промывным дренированием. После санации полостей проводят костную пластику.
4. Острый остеомиелит: клинический протокол/ Экспертная комиссия по вопросам развития здравоохранения - 2013
Хронический остеомиелит - это хронический воспалительный процесс, поражающий все элементы кости: костный мозг, надкостницу, компактное и губчатое вещество. Обычно становится исходом острого остеомиелита, реже наблюдается первично хроническое течение. Характерно чередование ремиссий и обострений. В фазе обострения наблюдаются симптомы общей интоксикации, боли, отек, гиперемия пораженного отдела и образование свищей. В фазе ремиссии симптомы сглаживаются или исчезают. Диагноз выставляется с учетом анамнеза, клинических проявлений, данных рентгенографии и других исследований. Лечение чаще оперативное, производится секвестрэктомия, по показаниям выполняются реконструктивные вмешательства.


Хронический остеомиелит - хроническое воспаление кости. Обычно возникает после острого остеомиелита. Может поражать любую кость, однако чаще страдают длинные трубчатые кости. Отмечается преобладание больных с поражением нижних конечностей. Хронический остеомиелит выявляется у людей любого возраста и пола. Характерно длительное течение с чередованием обострений и ремиссий. Продолжительность ремиссий может колебаться от нескольких недель до нескольких лет.
Длительно существующее воспаление оказывает разрушительное влияние не только на кость, но и на другие органы. Пораженный сегмент может искривляться или укорачиваться, иногда в зоне воспаления формируется ложный сустав. Ограничивается подвижность соседних суставов, возникают контрактуры. При локализации очага в околосуставной зоне возможно развитие гнойного артрита. Свищи с постоянным гнойным отделяемым доставляют пациентам существенные неудобства, являются источником неприятного запаха, затрудняют общение, негативно влияют на карьеру и личную жизнь. У больных, много лет страдающих остеомиелитом, часто выявляются дистрофические изменения внутренних органов и амилоидоз почек.

Причины
Хронический остеомиелит может стать исходом любой формы острого остеомиелита. У детей преобладают хронические гнойные процессы, возникшие на фоне гематогенного остеомиелита. У взрослых первое место по распространенности занимает хронический посттравматический остеомиелит, который обычно развивается на фоне открытых переломов, но может возникать и после оперативных вмешательств по поводу закрытых повреждений кости (такой остеомиелит называют послеоперационным).
Хронический остеомиелит также часто развивается после огнестрельных переломов, сопровождающихся обширным повреждением тканей, разрушенных в результате прямого воздействия снаряда и образования зоны коммоции. Заживление таких ран всегда происходит через нагноение, что способствует формированию хронического гнойного очага в области поврежденной кости. Относительно редко встречаются хронические воспаления кости, обусловленные контактным распространением инфекции (из близко расположенной гнойной раны, флегмоны либо абсцесса).
Патогенез
Первично в очаге воспаления, как правило, действуют грамположительные гноеродные бактерии (стафилококки, пневмококки или стрептококки). По мере хронизации процесса грамположительная флора замещается грамотрицательной или дополняет ее, образуя микробные ассоциации. В посевах из очагов хронического остеомиелита могут обнаруживаться клебсиелла, вульгарный протей, кишечная палочка, синегнойная палочка и другие микроорганизмы.
Вероятность перехода острого остеомиелита в хронический зависит от множества факторов, в числе которых общее состояние организма, наличие или отсутствие иммунных нарушений, особенности строения и кровоснабжения костной ткани, состояние системы кровообращения и т. д. Хронический остеомиелит чаще развивается у пациентов, страдающих от тяжелых соматических заболеваний и сочетанных травм, а также у ослабленных и истощенных больных. Большое значение имеет площадь поражения кости и окружающих мягких тканей.
Острый остеомиелит переходит в хронический спустя примерно месяц после появления первых симптомов. К этому моменту в кости формируются секвестры, начинается отторжение некротизированных тканей, образуются свищи. При отсутствии эффекта от лечебных мероприятий, проводимых в течение 1,5 месяцев с момента начала заболевания, можно говорить о хроническом гнойном воспалении кости. В последующем процесс протекает волнообразно, при этом частота и тяжесть обострений могут существенно варьироваться.
Симптомы хронического остеомиелита
В фазе ремиссии больной чувствует себя удовлетворительно. В пораженной области обычно сохраняется свищ с небольшим количеством гнойного отделяемого, однако признаки общей интоксикации отсутствуют. Иногда свищ закрывается. Местное воспаление слабо выражено, преобладают признаки хронического вялотекущего процесса. Мягкие ткани в зоне остеомиелитического очага уплотнены, кожа с багровым, реже - синюшным оттенком. При хроническом остеомиелите конечности пораженный сегмент, как правило, утолщен, может выявляться отечность дистальных отделов, обусловленная нарушениями крово- и лимфообращения.
Обострение напоминает стертую картину острого остеомиелита. У пациента повышается температура, появляется слабость, разбитость, боли в мышцах и другие симптомы интоксикации. Отек пораженного сегмента увеличивается. Кожа краснеет, болевой синдром становится более интенсивным. Возможно образование межмышечных флегмон, сопровождающееся ухудшением общего состояния и появлением интенсивных распирающих или дергающих болей, нарушающих сон пациента.
Мягкие ткани в области флегмоны становятся напряженными, местная температура повышается. В ряде случаев при пальпации удается определить участок флюктуации. Количество отделяемого по свищу увеличивается. Если в период ремиссии свищ закрылся, состояние больного улучшается после образования нового свища или нескольких свищей, которые могут формироваться как в непосредственной близости от гнойных очагов, так и на значительном удалении.
Диагностика
Основным инструментальным методом исследования при хроническом остеомиелите является рентгенография. На рентгенограммах определяются признаки разрушения кости в сочетании с элементами пролиферации. В области гнойного очага видна полость, часто выявляются секвестры в виде плотных теней с неровными контурами и сохраненным костным рисунком. Вокруг зоны воспаления определяются участки склероза. В фазе обострения возникает периостит, количество и характер периостальных наслоений зависят от давности и выраженности процесса.
Иногда из-за значительного склерозирования кости мелкие очаги на рентгенограммах не выявляются. Кроме того, рентгенография не позволяет оценить изменения мягких тканей, поэтому в сомнительных случаях больных дополнительно направляют на КТ кости и МРТ. Важной частью предоперационного исследования является фистулография, по результатам которой определяется объем и тактика оперативного вмешательства. Фистулография дает возможность увидеть направление свищевого хода, который нередко бывает извилистым и имеет сложную форму. При помощи этого исследования можно определить объем полостей, выявить связь свища с секвестром и т. д.

КТ локтевого сустава. Утолщение кортикального слоя плечевой кости за счет гиперостоза/остеосклероза (желтая стрелка), периостальные наложения (синяя стрелка), свищевые ходы (красная стрелка).
Лечение хронического остеомиелита
Лечение проводят специалисты в области травматологии и ортопедии. Лечебная тактика определяется в зависимости от состояния больного, выраженности, распространенности и стадии патологических изменений, а также наличия сопутствующих осложнений со стороны пораженного сегмента (ложные суставы, укорочение или грубая деформация конечности) и выраженности дистрофических изменений внутренних органов. В период обострения назначают антибиотики и средства для стимуляции иммунитета, осуществляют дренирование гнойных полостей при помощи специальных игл или катетеров.
Полости и свищи промывают растворами антибиотиков. Межмышечные флегмоны вскрывают и дренируют. Хирургические вмешательства выполняют после стихания острых воспалительных явлений. Проводится секвестрэктомия - полностью удаляются очаги некроза, грануляции и участки избыточного склерозирования. Свищевые ходы иссекают, основываясь на данных фистулографии. Осуществляют промывание операционной раны растворами антисептиков. После полного очищения раны оставшиеся костные стенки перфорируют, удаленные участки замещают костными трансплантатами.
В ряде случаев проводится более сложное, многоэтапное лечение хронического остеомиелита. При ложных суставах, укорочении и выраженной деформации может потребоваться остеотомия, резекция участка кости, не вовлеченного в патологический процесс и другие лечебные мероприятия. Для исправления угловых деформаций и удлинения пораженного сегмента конечности врачи-травматологи накладывают аппараты Илизарова.
Прогноз и профилактика
Прогноз зависит от давности заболевания, объема поражения, состояния здоровья пациента и радикальности хирургического вмешательства. При свежих процессах и полном иссечении небольших очагов часто наблюдается полное выздоровление. При застарелом остеомиелите прогноз ухудшается из-за трофических изменений мягких тканей, обширной дистрофической перестройки кости, ухудшения местного кровоснабжения и неблагоприятного общего фона, обусловленного нарушением деятельности различных органов. Тем не менее, оперативное лечение показано даже в запущенных случаях, поскольку хронический гнойный процесс оказывает негативное влияние на все органы и может стать причиной серьезного ухудшения здоровья пациента. Профилактика включает предупреждение и адекватное лечение травм и заболеваний, которые могут стать причиной остеомиелита.
3. Остеомиалит. Клинические рекомендации / Общероссийская общественная организация травматологов-ортопедов России (АТОР) - 2016
4. Хронический остеомиелит: диагностика, лечение, профилактика / Винник Ю. С., Маркелова Н. М., Шагеев А. А. // Сибирское медицинское обозрение - 2009
Остеомиелит челюсти - симптомы и лечение
Что такое остеомиелит челюсти? Причины возникновения, диагностику и методы лечения разберем в статье доктора Дунаевской Натальи Вадимовны, стоматолога-ортопеда со стажем в 16 лет.
Над статьей доктора Дунаевской Натальи Вадимовны работали литературный редактор Вера Васина , научный редактор Пётр Козлов и шеф-редактор Маргарита Тихонова

Определение болезни. Причины заболевания
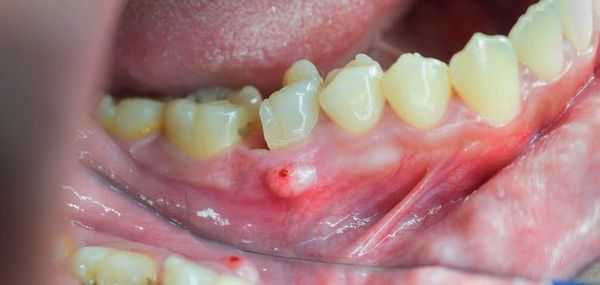
Остеомиелит челюсти (osteomyelitis of the jaws) — это гнойно-некротический процесс, который развивается в кости и костном мозге челюсти с вовлечением окружающих мягких тканей. Другое название заболевания — «некроз челюсти».
При острой форме остеомиелита в области повреждённого зуба возникает боль, которая усиливается при надавливании на челюсть. Наблюдается выраженный отёк, покраснение и припухлость, лицо становится несимметричным. Пациент жалуется на головные боли и общую слабость, температура тела повышается до 39 °C.
![Остеомилеит челюсти [19]](/pimg3/osteomielit-chelyusti-prichini-25992.jpg)
Распространённость
Острым и хроническим остеомиелитом болеют люди всех возрастов и обоих полов. Однако чаще заболевание встречается у мужчин, потому что они, как правило, несвоевременно обращаются за медицинской помощью [8] . Средний возраст пациентов составляет 39 лет [7] .
Выделяют следующие виды остеомиелита челюсти:
- Одонтогенные — развиваются из-за инфекции в зубе и составляют 74,2 % от всех случаев остеомиелита [18] .
- Травматические — возникают после травмы, например при переломе челюсти. Зачастую заболевание развивается, когда пациент обращается в больницу только на 7-10-й день после повреждения [5] .
- Гематогенные — инфекция попадает с током крови из какого-либо органа. Встречаются при хронических и острых инфекциях: скарлатине, дифтерии и хроническом тонзиллите.
Согласно статистике, 15 % больных остеомиелитом поступают в отделение в состоянии алкогольного опьянения и при опросе указывают на частый приём алкогольных напитков, 13 % сейчас или в прошлом употребляли наркотики, следовательно страдают иммунодефицитами.
У 45,7 % больных остеомиелитом, поступивших в стационар, выявлено обострение хронического процесса и нагноение мягких тканей, из которых 47,6 % случаев составляют флегмоны, а 52,4 % — абсцессы.
У 13 % пациентов с остеомиелитом челюсти выявляются гепатиты В и С, а у 2 % — ВИЧ-инфекция [5] .
Причины остеомиелита челюсти
- Позднее обращение к стоматологу — зуб долго болел, но дискомфорт подавлялся домашними методами лечения, например полосканиями с содой и солью.
- Хронические инфекционные и вирусные болезни: тонзиллит, синусит, гайморит и ангина.
- Инъекции или переливание крови, при которых инфекция может попасть в кровоток. В стоматологии часто применяют плазмолифтинг — в область слизистой оболочки дёсен инъекционно вводят обогащённую тромбоцитами плазму собственной крови пациента. При нарушении правил безопасности микробы могут попасть в кровоток.
- Травматизм, частые переломы и ранения.
- Туберкулёз и сифилис суставов.
- Аллергия.
- Иммунодефицит на фоне заболеваний или длительного приёма некоторых препаратов, например при химиотерапии.
- Стрессы, физическое и нервное истощение. При длительном стрессе нарушаются защитные функции организма и человек становится восприимчивым к инфекциям [17] .
- В очень редких случаях — нарушение функции височно-нижнечелюстного сустава.
При обнаружении схожих симптомов проконсультируйтесь у врача. Не занимайтесь самолечением - это опасно для вашего здоровья!
Симптомы остеомиелита челюсти
Симптомы зависят от типа остеомиелита, течения болезни и степени поражения тканей.
Симптомы острой формы остеомиелита подразделяются на два вида:
- Местные симптомы:
- В области повреждённого зуба возникает боль. Она усиливается при ощупывании, постукивании и лёгком надавливании на челюсть и мягкие ткани. Неприятные ощущения чаще более выражены на участках рядом с больным зубом и снижаются при давлении на него.
- Поражённый зуб постепенно расшатывается, и возникает синдром «клавиш» — соседние зубы тоже становятся подвижными.
- Шейные и подчелюстные лимфатические узлы увеличиваются и болят.
- В некоторых случаях нарушается чувствительность губ и ухудшаются вкусовые ощущения.
- Общие симптомы:
- возникают головные боли, особенно в области висков;
- развивается общая слабость и утомляемость, нарушается сон;
- температура тела повышается до 39 °C.
После острой стадии наступает подострая. На десне образуется гнойничок или свищ, через который гнойные выделения и воспалительная жидкость выходят наружу.

Затем боль утихает, но очаг инфекции остаётся, поэтому сохраняется высокая температура и нарастает слабость. Если в этот период не обратиться к врачу, то инфекция распространится по всему организму и человек может погибнуть.
Хроническая форма длится от нескольких месяцев до нескольких лет. Описанные выше симптомы то появляются, то стихают или даже полностью исчезают. При длительном течении болезни зубы становятся подвижными, челюсть утолщается и могут измениться контуры лица.
Как правило, при хроническом остеомиелите пациенты не обращают внимания на болезненные симптомы, а повышение температуры и слабость связывают с простудными заболеваниями [4] .
Патогенез остеомиелита челюсти
Выделяют три теории происхождения остеомиелита:
- Инфекционно-эмболическая теория. Основоположники этой теории считали, что костная ткань воспаляется из-за нарушения кровоснабжения. Инфекция оседает в кровеносных сосудах и закупоривает мелкие капилляры. В результате этого питательные вещества и кислород не поступают к кости, возникает гнойное воспаление и некроз. Данная теория признана некорректной после того, как было подробно исследовано строение кровеносной системы, костей и окружающих тканей [7] .
- Нервно-трофическая теория. Её приверженцы полагают, что остеомиелит развивается при обострениях болезней зубов, например при периодонтите. Также к болезни приводят нарушения в работе иммунной системы. При частых обострениях заболеваний зубов наступает сенсибилизация — иммунные клетки перестают распознавать инфекцию и развивается гнойно-некротический процесс.
- Гематогенная теория. Первоначально воспаление развивается в костном мозге и проявляется отёком и покраснением кожи. Из-за отёка увеличивается внутрикостное давление и, как следствие, сдавливаются сосуды в костном канале. Это приводит к закупорке сосудов и развитию гнойно-некротического процесса [13][14][15] .
Остальные причины — травмы, аллергия, стрессы, нарушение функции височно-нижнечелюстного сустава — провоцируют развитие остеомиелита без хронического воспаления в зубе. Такой остеомиелит можно отнести к неодонтогенному: травматическому и аллергическому. Но и в этом случае заболевание развивается на фоне нарушенного движения крови по сосудам, ухудшения её свёртываемости и гнойно-некротических процессов.
Классификация и стадии развития остеомиелита челюсти
Остеомиелит классифицируют в зависимости от распространённости, источника инфицирования и рентгенологических признаков.
Виды остеомиелита челюсти
Отдельно выделяют нетипичный остеомиелит челюсти, когда процесс протекает бессимптомно: температура тела не повышается, костная ткань разрушается незначительно, свищи не образуются. Такую форму называют первично-хроническим остеомиелитом [7] [8] .
Стадии остеомиелита челюстей
- Острая — длится 14 суток.
- Подострая — наступает на 15-20-е сутки.
- Хроническая — от 30 суток до нескольких лет.
- Обострение хронического остеомиелита [8] .
Осложнения остеомиелита челюсти
Среди осложнений остеомиелита можно выделить местные и общие. Местные возникают непосредственно в полости рта, а общие затрагивают весь организм. Общие осложнения приводят к тяжёлым последствиям, долго лечатся и иногда заканчиваются гибелью пациента.
Местные осложнения:
- разрушение кости;
- выпадение зубов из-за увеличения их подвижности;
- хроническое воспаление в полости рта;
- появление кист внутри челюсти, что характерно для острой фазы заболевания;
- контрактура височно-нижнечелюстного сустава — состояние, при котором сложно или невозможно открыть рот; ;
- флегмона — разлитое гнойное воспаление мягких тканей;
- лимфаденит — множественное увеличение лимфатических узлов [4][9] .

Общие осложнения:
Диагностика остеомиелита челюсти
Диагностика заболевания включает:
- сбор жалоб;
- визуальный осмотр;
- лабораторные исследования;
- инструментальные методы.
Сбор жалоб
Пациенты обычно жалуются на слабость, недомогание, плохое самочувствие и высокую температуру тела. Они отмечают, что зуб стал подвижным, нарушилась речь, трудно открывать рот и принимать пищу. Некоторые пациенты указывают на отёк лица с «больной» стороны.
- спрашивает о недавних травмах челюстно-лицевой области;
- выясняет, есть ли общие соматические заболевания, например сахарный диабет, болезни мочеполовой системы и желчнокаменная болезнь;
- уточняет, когда возникли симптомы, проявились ли они впервые или уже были раньше;
- узнаёт, как давно пациент посещал стоматолога.
Осмотр
Врач обращает внимание на бледность кожи и асимметричность лица, вызванную отёком мягких тканей. При ощупывании выявляется, что регионарные лимфатические узлы с поражённой стороны увеличены и болезненны. Пациент с трудом открывает рот, язык обложен налётом, изо рта исходит неприятный запах [7] .
При осмотре полости рта заметны покраснение и отёк слизистой оболочки в области больного зуба и близлежащих тканей. Зуб разрушен, подвижен при пальпации, боль усиливается при постукивании по нему. Подвижными и болезненными также могут быть несколько неповреждённых зубов в зоне поражения.
Лабораторные исследования
- Общий анализ крови. На активный воспалительный процесс указывают:
- повышение СОЭ до 40-70 мм/ч;
- лейкоцитоз, сдвиг лейкоцитарной формулы влево;
- положительная проба на С-реактивный белок;
- уменьшение альбуминов и повышение глобулинов;
- рост показателей активности щелочной и кислой фосфатазы.
- Биохимический анализ крови — позволяет исключить сахарный диабет и оценить функции почек и печени.
- Общий анализ мочи — при остеомиелите в ней появляется белок, клетки крови, гиалиновые и зернистые цилиндры.
Инструментальные методы диагностики
Компьютерная томография (КТ) — самый информативный метод диагностики остеомиелита челюсти. Это 3D-исследование, которое позволяет определить очаг инфекции и степень выраженности воспаления, его длительность и характер. С помощью КТ можно выявить не только крупные, но и мелкие образования, единичные и групповые, а также проанализировать, насколько далеко распространилась инфекция.

В некоторых случаях в свищевой ход вводят контрастное вещество. Такой метод исследования с контрастом называется фистулографией [9] [10] .
Рентгенография в первую неделю, как правило, не выявляет изменения в кости — в этот период воспалена только верхушка корня зуба. К концу второй недели кость разрушается и становится прозрачнее.
Дифференциальная диагностика
- между видами остеомиелита: одонтогенным, травматическим и гематогенным;
- острым периоститом;
- добро- и злокачественными новообразованиями;
- поражением полости рта специфическими инфекционными заболеваниями: туберкулёзом, сифилисом, актиномикозом.
Лечение остеомиелита челюсти
Лечение проводится только в стационаре под наблюдением врача и может быть медикаментозным и хирургическим [9] . По отдельности эти методы мало результативны и даже могут навредить пациенту. Схемы лечения зависят от стадии заболевания.
Лечение острого и подострого остеомиелита
При первом посещении срочно удаляют запущенный повреждённый зуб. Затем полость рта тщательно промывают антибиотиками. Это необходимо сделать, чтобы убрать из раны микробов и гной.
В следующие дни рану обрабатывают дезинфицирующими средствами и вводят инъекции противомикробных препаратов. С их помощью удаётся воздействовать непосредственно на очаг инфекции и не дать ей распространиться. В дополнение к основному лечению применяют питательные составы с витаминами С и группы В.
На подострой стадии болезни важно сдержать распространение инфекции и не дать воспалению перейти на окружающие ткани.
Для этого применяют:
- капельницы с антибиотиками;
- препараты, снижающие или подавляющие воспаление;
- резиновый дренаж для оттока экссудата.

Также в кровоток вводят витаминные комплексы и препараты, очищающие организм от микробов и продуктов их жизнедеятельности. Конкретные лекарства и дозировки подбирает лечащий врач.
Дополнительной терапией после основного лечения могут стать методы физиотерапии: УВЧ-терапия или лечение непостоянными токами. Считается, что они ускоряют процессы заживления [7] [16] .
Лечение хронического остеомиелита
При появлении некротизированных полостей с распадом кости и окружающих её тканей потребуется операция. Для этого повреждённую область рассекают, поражённые участки убирают и накладывают шину. В дальнейшем с помощью рентгенологических методов врач контролирует, как восстанавливается костная ткань [11] .
Чтобы помочь организму бороться с инфекцией, дополнительно принимают антибиотики в таблетках. Чаще всего назначают Метронидазол и усиливают его эффект препаратами из группы цефалоспоринов 3-4-го поколения.
Если состояние пациента не улучшается, то добавляют фторхинолоны или Рифампицин. Основная задача антибиотиков — не дать бактериям размножаться [7] . Лекарства помогают уменьшить воспаление и удержать патологический процесс в пределах поражённого участка.
Также ротовую полость ежедневно обрабатывают бактерицидными средствами, применяют капельницы с витаминами и плазмозамещающими жидкостями, которые очищают организм от токсинов.
Дополнительно рекомендовано полоскать рот настоями ромашки, зверобоя, мяты и окопника. Фитосредства уменьшают воспаление, ускоряют выздоровление и практически не имеют побочных эффектов.
Прогноз. Профилактика
Если пациент при первых признаках остеомиелита обращается к врачу, то прогноз благоприятный. Если же болезнь запущена, то делать какие-либо выводы сложно: неизвестно, хватит ли у организма сил для борьбы с инфекцией. В тяжёлых случаях могут развиться опасные осложнения, от которых человек может погибнуть [9] .
Самым непредсказуемым является гематогенный остеомиелит. Развитие всех других форм, как правило, можно предотвратить. Для этого достаточно придерживаться простых правил:
Одонтома - симптомы и лечение
Что такое одонтома? Причины возникновения, диагностику и методы лечения разберем в статье доктора Чаманяна Роберта Михайловича, стоматолога со стажем в 12 лет.
Над статьей доктора Чаманяна Роберта Михайловича работали литературный редактор Елизавета Цыганок , научный редактор Елена Страндстрем и шеф-редактор Маргарита Тихонова

Одонтома (Odontoma) — это доброкачественная опухоль челюстных костей, образованная из зубных тканей, которая растёт быстро и безболезненно.
![Одонтома [21]](https://probolezny.ru/media/bolezny/odontoma/odontoma-21_s.jpg)
Согласно определению Всемирной организации здравоохранения (ВОЗ), одонтома не является частью зуба, но состоит из тех же тканей: эмали, дентина, цемента и пульпы. В зависимости от типа одонтомы ткани могут располагаться хаотично или упорядоченно, напоминая структуру настоящего зуба [1] .
Распространённость одонтомы
Среди одонтогенных опухолей, которые развиваются из зубных тканей, одонтома встречается чаще всего. Средний возраст выявления составляет 14,8 лет, но обычно одонтому находят у пациентов от 10 до 20 лет. У мужчин встречается чаще, чем у женщин (59 % против 41 %). На верхней челюсти сложные одонтомы развиваются в 67 % случаев, а на нижней — в 33 % [2] [3] .
Причины развития одонтомы
Причины развития таких опухолей остаются неизвестными, однако проведённые исследования позволили выявить следующие факторы риска:
- локальные травмы;
- воспаление и/или инфекция полости рта (например, остеомиелит челюсти);
- увеличение количества зрелых амелобластов (клеток, из которых формируется эмаль зубов);
- клеточные остатки зубных пластинок;
- наследственные аномалии (например, синдром Гарднера или синдром Германа);
- гиперактивность одонтобластов (клеток пульпы, ответственных за образование дентина);
- изменения в участке ДНК, который контролирует развитие зубов, что зачастую задерживает смену молочных зубов на постоянные;
- химиолучевая терапия [4][5][6] .
Симптомы одонтомы
Большинство одонтом протекают бессимптомно, однако к линическая картина зависит от типа новообразования. Мягкая одонтома растёт медленно и только пока формируются зубы. Твёрдая одонтома развивается непрерывно.
Основные симптомы мягкой одонтомы:
- кость челюсти увеличивается в размерах и вздувается;
- иногда новообразование разрушает кортикальную пластинку и развивается уже в надкостнице, проникая в мягкие ткани, при этом процесс протекает бессимптомно;
- поражённая ткань кости темнеет, её структура становится мягкой;
- при надавливании на зону поражения может пойти кровь.
![Мягкая одонтома [22]](https://probolezny.ru/media/bolezny/odontoma/myagkaya-odontoma-22_s.jpg)
Основные симптомы твёрдой одонтомы:
- быстрый рост;
- появление на кости опухоли с бугристой поверхностью;
- образование язвы, дно которой выстилает зубная ткань;
- сдвижение и повреждение зачатков или самих зубов при развитии твёрдой одонтомы.
![Твёрдая одонтома [23]](https://probolezny.ru/media/bolezny/odontoma/tvyordaya-odontoma-23_s.jpg)
Патогенез одонтомы
Сейчас у учёных нет исчерпывающих сведений, которые бы объясняли механизмы развития болезни от появления до первых видимых симптомов. В большинстве случаев одонтома развивается в зоне клыков и резцов верхней челюсти, второе место по распространённости занимает нижне-передняя область нижней челюсти, третье — нижне-задняя область нижней челюсти [7] [8] .
Имеющиеся результаты исследований позволяют лишь выделить три стадии развития однотом в зависимости от объёма отложений кальция (степени кальцификации):
- I стадия — начальная, зубные ткани не кальцифицированы, пропускают рентгеновские лучи, т. е. рентгенопрозрачны;
- II стадия — промежуточная, характеризуется частичной кальцификацией;
- III стадия — конечная, одонтому можно увидеть с помощью рентгена, на снимке она окружена рентгенопрозрачным (тёмным) ореолом [9][10] .
Классификация и стадии развития одонтомы
Первую классификацию одонтом предложил Б. Брокас в 1866 году [11] . После неё появилось много других классификаций, но наиболее популярной и часто используемой является классификация, составленная представителями ВОЗ. В её основе лежит тип новообразований, который состоит из дентина и эмали и часто выглядит нормально. Всего классификация включает в себя 4 типа опухолей:
- амелобластическую фиброодонтому — состоит из кальцифицированной зубной и зубной сосочковой ткани, которая напоминает фиброму, считается незрелым предшественником сложной одонтомы;
- одонто-амелобластому — очень редкое новообразование, которое по структуре и клиническим проявлениям напоминает амелобластому, но содержит эмаль и дентин;
- сложную одонтому — беспорядочную массу зубных тканей с отложениями солей кальция;
- составную одонтому — упорядоченное скопление зубоподобных структур, которое состоит из всех зубных тканей [12] .
Врачи также разделяют одонтомы по макроскопическим, рентгенологическим и микроскопическим признакам:
- составные — все ткани зуба в новообразовании упорядочены, у пациента находят несколько аномальных миниатюрных зубов, иногда окружённых фиброзным мешочком, которые состоят из эмали, дентина, цемента и пульпы.
- сложные — образованы из беспорядочной массы кальцифицированной эмали и дентина [15] .
На основе содержания новообразований одонтомы также делятся на три типа:
- эпителиальные — преимущественно состоят из эпителия;
- композитные — состоят из мезодермы и эпителия;
- соединительнотканные — состоят из соединительной ткани [13] .
В зависимости от расположения в челюсти выделяют следующие типы:
- внутрикостные — возникают внутри кости и могут прорываться в ротовую полость;
- внекостные, или периферические, — возникают в мягких тканях, покрывающих части челюстей, которые несут зубы, такие одонтомы имеют тенденцию к расслаиванию [14] .
Осложнения одонтомы
Если вовремя не найти одонтому и не начать её лечить, опухоль может сдавить нервные окончания и зубные корни, что приводит к острой боли. Из-за роста новообразований во рту появляются места, которые трудно очистить зубной щёткой и другими способами. Это повышает риск развития кариеса и воспалений, особенно дёсен.
Иногда развитие одонтомы приводит к неправильному развитию и формированию зубного ряда, что заметно мешает пациенту в повседневной жизни. Например, ему приходится менять пищевые привычки (выбирать жидкую и мягкую пищу, которая не будет причинять дискомфорт при жевании), также пациент чувствует себя неуверенно из-за внешнего дефекта.
Наряду со сверхкомплектными зубами одонтома является основной причиной патологии, при которой не могут прорезаться постоянные резцы, так как опухоль преграждает им путь [19] . Поэтому при выявлении первых признаков болезни необходимо сразу обратиться к стоматологу для дальнейшей диагностики и лечения [7] .
Диагностика одонтомы
Обычно одонтомы находят на плановых профилактических приёмах у стоматолога или в ходе рентгенологических исследований при диагностике других болезней. Растущую одонтому можно обнаружить с помощью обычной рентгенографии, но её тяжело опознать без отложений кальция, т. е. на начальной стадии развития опухоли.
Определить тип одонтомы только на основе визуального осмотра практически невозможно, так как новообразование обычно находится в костных структурах и никак не проявляется внешне, например объём кости остаётся прежним. Даже в редких случаях, когда опухоль прорывается в полость рта и может быть исследована визуально и вручную, сложно определить тип новообразования, так как сложная и составная одонтомы выглядят одинаково [16] . Поэтому при диагностике всегда используют инструментальные методы исследования.
Инструментальная диагностика
В случае сложной одонтомы на рентгенографическом изображении сравнительно хорошо видно организованные деформированные зубы или зубоподобные структуры, похожие на рентгенопрозрачные кисты. Сама одонтома выглядит как образование неправильной овальной формы. Обычно она окружена чётко очерченной тонкой рентгенопрозрачной зоной.
![Сложная одонтома [24]](https://probolezny.ru/media/bolezny/odontoma/slozhnaya-odontoma-24_s.jpg)
Составная одонтома выглядит как многочисленная группа маленьких деформированных зубов или зубоподобных структур. Рентгенография не всегда показывает детальные различия, поэтому изображение составной одонтомы может быть похоже на снимок сложного новообразования. Это затрудняет дифференциацию между двумя типами опухоли, от которой зависит тактика лечения и прогноз [17] .
Чтобы установить точный диагноз, врачи используют дополнительные диагностические методы, в том числе гистологическое исследование. Однако даже оно не всегда даёт максимальную точность при определении типа одонтомы.
![Составная одонтома [25]](https://probolezny.ru/media/bolezny/odontoma/sostavnaya-odontoma-25_s.jpg)
В этом случае наиболее эффективным методом диагностики является микрорентгенография. Она помогает различить гистологические структуры на основе их рентгеноконтрастности и/или рентгенопрозрачности. При этом снимки с большим увеличением, которые демонстрируют даже самые мелкие дентинные канальцы, по своей точности сопоставимы с гистологическими изображениями. Но, ксожалению, несмотря на эффективность метода на данный момент он доступен не всем пациентам [1] .
Одонтому часто путают с фиброзно-костными поражениями, кальцифицирующими кистозными опухолями, образованным из зубной ткани, хроническим остеомиелитом и фиброзной дисплазией, при которой здоровая челюстная кость заменяется соединительной тканью. Дифференциальную диагностику также необходимо проводить с амелобластной фибромой, амелобластной фиброодонтомой и одонтоамелобластомой.
Если одонтома располагается в области зубных корней, врач дифференцирует её с очаговым остаточным воспалением кости (оститом), цементомой, кальцифицирующей эпителиальной и аденоматоидной одонтогенной опухолью, сверхкомплектным зубом, цементированием фибромы или доброкачественной остеобластомой.
Предположительную одонтому в зоне зубной коронки различают с аденоматоидной и кальцифицирующей эпителиальной одонтогенной опухолью, амелобластной фибродентиномой или одонтоамелобластомой.
При расположении в верхнечелюстной пазухе одонтому можно спутать с синуситом, периапикальной инфекцией с полипами в верхнечелюстной пазухе (антральными полипами), антральным микозом, смещением корня или зуба, инородным телом, периферической остеомой, доброкачественным разрастанием зародышевых клеток, инвертированной папилломой, антральной карциномой или саркомой [3] [9] [17] .
Отличить одонтому от всех перечисленных заболеваний можно только на основании структуры новообразования.
Лечение одонтомы
Одонтома развивается только в пределах кости и надкостницы челюсти и не поражает другие ткани. Однако чтобы избежать проблем с прорезыванием постоянных зубов и дальнейших осложнений, например кистозных изменений или разрушения челюстных костей, одонтому необходимо вовремя лечить.
Основной метод лечения — хирургическое удаление новообразования. Так как одонтому окружает ткань, её удаление представляет собой простую хирургическую процедуру, похожую на удаление зуба. Аккуратная, правильно проведённая операция поможет избавиться от опухоли с минимальным риском осложнений и рецидивов, что особенно актуально при незрелых сложных одонтомах.
Согласно статистике, одонтомы легко удаляются, при этом костная перегородка снижает риск повреждения соседних зубов. Однако встречаются случаи, когда одонтома прорастает в соседний зуб или зубы, которые при лечении повреждаются, но впоследствии их можно легко восстановить [6] [18] .
Реабилитация после операции протекает по-разному, поэтому общих правил о том, что разрешается делать, а чего делать нельзя, не существует. Врач даёт индивидуальные рекомендации в зависимости от типа одонтомы, тактики лечения и особенностей пациента.
При своевременном корректном лечении поражённая область постепенно восстанавливается. В редких случаях новообразования появляются повторно. К сожалению, сейчас нет точной статистики по соотношению исходов и прогнозов одонтом. В литературных источниках упоминаются отдельные клинические случаи с тем или иным исходом, но этого недостаточно для составления достоверной статистики.
Отсутствие лечения влечёт за собой развитие осложнений: ретинированные зубы, заложенность носа, отодентальный синдром (увеличение зубов в сочетании с тугоухостью). Однако более подробных сведений относительно этих осложнений и исследований, посвящённых разбору тех или иных случаев, не существует.
В исключительных случаях, при отсутствии лечения, одонтома может спонтанно прорезаться в мягкие ткани. Это сопровождается острой болью, воспалением прилегающих мягких тканей или инфекцией, связанной с нагноением. Прорезавшаяся одонтома может вызвать кариес и абсцесс.
Профилактика одонтомы
Наиболее эффективной мерой профилактики является ранняя диагностика: тщательный осмотр у стоматолога, а также рентгенографическое обследование пациентов с признаками задержки прорезывания, отсутствия или временного смещения зубов, вне зависимости от наличия травмы в истории болезни. Особенно это актуально для детей и подростков.
Ранняя диагностика помогает избежать более сложного и дорогого лечения, обеспечивает лучший прогноз, минимизирует риск развития рецидивов, позволяет избежать смещения или удаления пульпы соседнего зуба [20] .
Остеомиелит нижней и верхней челюсти: причины, симптомы и лечение
Остеомиелит носит инфекционный характер, классифицируется на несколько основных видов и чаще всего проявляется у мужской части населения. Тактика лечения остеомиелита челюсти зависит от выраженности симптомов и этиологии болезни.

Что такое остеомиелит челюсти
Остеомиелит в стоматологии - это воспаление костной ткани челюсти инфекционного и гнойного характера. К возбудителям болезни относятся:
- стафилококки;
- кишечная палочка;
- туберкулезная палочка;
- риккетсии;
- стрептококки;
- синегнойная палочка;
- клебсиелла;
- грамотрицательные бактерии;
- вирусы.

Чаще всего встречается стрептококковое и стафилококковое инфицирование челюстных тканей. Нередко заболевание приводит к генерализации инфекции, из-за чего происходит заражение всей костной системы человека и тканей, находящихся неподалеку.
Остеомиелит - это мультифакторная болезнь, на вероятность ее развития влияют:
- инфицирование патогенными микроорганизмами;
- состояние иммунной системы;
- нарушение местного кровообращения.
Причины возникновения
Челюстной остеомиелит возникает из-за проникновения в организм болезнетворных бактерий или вирусов. Дальнейшее течение болезни зависит от состояния иммунитета человека. Если он в порядке, то заболевание переходит в хроническую стадию или вовсе не развивается. Но при иммунодефиците воспалительный процесс начнет прогрессировать.
Какие болезни провоцируют остеомиелит
Все причины развития остеомиелита можно разделить на несколько разновидностей:
Источник заражения - больной зуб. Вредные вещества попадают в кость через пульпу при:
- пульпите;
- альвеолите;
- периодонтите;
- кисте корня зуба.
Патогенные микроорганизмы попадают в костную систему из первичного источника воспаления:
- тонзиллит (хроническая и острая форма заболевания);
- фурункулез;
- отит;
- скарлатина;
- грипп;
- омфалит.
- переломы челюсти;
- глубокие порезы;
- огнестрельные ранения;
- повреждение слизистой оболочки носа;
- инфицирование во время операции.
Тактика лечения зависит от точного диагностирования, но при любом виде патологии сначала надо уничтожить источник воспаления, а только потом воздействовать на органы и системы, которые были заражены вторично. Если пациент страдает сахарным диабетом, патологией кроветворных органов или онкологическим заболеванием, прогнозы ухудшаются.
Остеомиелит после удаления зуба
Остеомиелит может возникнуть после удаления зуба. В этом случае инфекция попадает в лунку из-за недостаточно качественной обработки полости рта. Из лунки болезнетворные микроорганизмы проникают в костную ткань. Одним из основных признаков заболевания становится повышенная подвижность зубов, находящихся рядом с лункой.

Остеомиелит при наличии молочных зубов
Кариозная полость в молочном зубе, которую вовремя не вылечили, также может стать причиной развития патологии. Причем инфекция нередко разрушает зачатки основного зуба, поэтому при появлении любых проблем с молочными зубами, их надо быстро лечить, а не надеяться на то, что они скоро выпадут. Молочные зубы тоже удаляют, если они стали источником воспаления в организме.
Виды и симптомы остеомиелита челюсти
Симптоматика заболевания зависит от локализации очага инфекции, вида и формы патологии. При остеомиелите верхней челюсти к симптомам развития патологии можно отнести иррадиирующие боли в глазное яблоко, висок или ухо, а при нижнечелюстной патологии боль отдает в шею или даже в плечо.
Одонтогенный
В стоматологии обычный одонтогенный остеомиелит считают наиболее распространенной формой заболевания. Эта болезнь возникает в качестве осложнения зубных патологий.

На фото признаки острого одонтогенного остеомиелита
Симптомами патологии считаются:
- резкое увеличение температуры;
- отек лица, особенно у края глазницы;
- увеличение лимфоузлов;
- появление гноя в носовых ходах;
- возникновение свищевых ходов;
- болезненность лица при пальпации.
Травматический

На фото показан травматический остеомиелит нижней челюсти
Главными симптомами травматического остеомиелита являются:
- сильный озноб;
- выделение экссудата из места травмирования;
- болезненные ощущения в раневой зоне;
- интоксикация организма.
Самые частые симптомы остеомиелита нижней челюсти - отечность и появление ложного сустава. Ложный сустав возникает из-за нарушения регенерирующего процесса костной ткани после перелома. Отломки соединяются рыхлой тканью, а не костной мозолью, из-за чего они неплотно зафиксированы друг с другом.
На ранних стадиях патологии клиническая картина может быть стерта из-за травмы, она начинает активно проявляться лишь на 3-5 день после инфицирования.
Гематогенный
Развитие гематогенного остеомиелита связано с попаданием патогенной микрофлоры в челюсть из другой воспаленной области.
- вялость;
- отек слизистой;
- высокая температура;
- бледность кожных покровов;
- появление свищей;
- общая интоксикация организма.
Болезнь нередко сопровождается воспалением костей всего черепа и поражением некоторых внутренних органов.
Острая форма болезни
Острый остеомиелит челюсти возникает внезапно и характеризуется общими и локальными симптомами. К признакам заболевания относятся:
- увеличение температуры до 40 °C;
- бледность кожных покровов;
- сильные боли в месте нахождения патогенного зуба, со временем они теряют четкую локализацию и распространяются на всю челюсть;
- расшатывание болезненного зуба;
- внезапная слабость;
- артрит челюстного сустава;
- болевые ощущения при глотании;
- зловонный запах изо рта;
- отек и гиперемия мягких тканей;
- повышенная потливость;
- ярко выраженная асимметрия лица;
- увеличение лимфоузлов.
При наличии этих симптомов показано проводить дифференциальную диагностику:
- со специфической формой туберкулеза, сифилиса или актиномикоза;
- с гнойным периоститом;
- с онкологическими болезнями челюсти.
Хроническая форма
Хронический остеомиелит образуется на фоне острой формы заболевания и сильного иммунитета. Иногда болезнь переходит в хроническую стадию из-за неправильно подобранного лечения. Симптоматика патологии:
Фото рецидивирующего одонтогенного остеомиелита нижней челюсти
Перед началом лечения требуется провести лабораторные исследования, на их основании можно определить наличие воспаления в организме:
- повышение СОЭ;
- лейкоцитоз;
- лейкопения (при генерализованной форме);
- большое содержание палочкоядерных нейтрофилов;
- гемолитическая анемия;
- гипоальбуминемия;
- гиперглобулинемия;
- наличие C-реактивного белка;
- рост трансаминаз печени;
- снижение уровня калия, хлора и натрия;
- повышение уровня фосфора и кальция.
- эритроцитов;
- эритроцитарных цилиндров;
- следов белка.
- забора биоптата из гнойного очага воспаления;
- определения возбудителя.
Показывает классические признаки остеомиелита:
Одонтогенный остеомиелит на рентген-снимке
Лечение остеомиелита при воспалении кости челюсти
Лечение зависит от этиологии и симптоматики заболевания. Оно должно включать следующие разновидности терапии:
- антибактериальную;
- иммуномодулирующую;
- десенсибилизирующую.
Если нет возможности вылечить болезнь таблетированными средствами, показано оперативное вмешательство.
Принимать обезболивающие таблетки можно только после консультации с врачом, неконтролируемый прием подобных препаратов может привести к серьезным осложнениям. Эти лекарства направлены на снятие болевого синдрома, а не на устранение очага инфицирования.
Антибиотики при остеомиелите
Антибиотики назначаются при остеомиелите челюсти до хирургического вмешательства и санации очага инфицирования, что помогает ускорить процесс угнетения болезнетворных микроорганизмов и предотвратить их активное размножение.
Классификация
Для лечения остеомиелита чаще всего используются следующие антибактериальные препараты:
- пенициллины: Амоксицилин, Бензилпенициллин, Нафциллин;
- цефалосорины особенно эффективны в отношении стафилококкового остеомиелита: Цефтриаксон, Цефуроксим;
- фторхинолы: Левофлоксацин, Ципрофлоксацин;
- аминогликозиды: Амикацин, Торбамицин;
- гликопептиды: Ванкомицин, Тейкопланин.
Для предупреждения развития микотической (грибковой) инфекции, помимо антибиотиков, следует принимать Флуконазол, Нистатин или Кетоконазол.
Пробиотики после антибиотиков
После курсового приема антибиотиков показаны пробиотики:
- монокомпонентные: Лактобактерин, Бифидумбактерин, Бактиспорин;
- поликомпонентные: Бифилонг, Ацилакт, Ацинол, Линекс;
- комбинированные: Бифилиз, Бифидумбактерин форте.
Оперативное лечение в стоматологической клинике
Оперативное лечение остеомиелита состоит из различных шагов, которые выполняются в зависимости от клиники заболевания и результатов комплексного обследования. К ним относятся:
- Радикальная хирургическая обработка: секвестрэктомия, секвестрнекрэктомия, трепанация длинной кости, резекция челюстной кости.
- Проведение остеосинтеза.
- Замещение полостей васкуляризованными тканями.
- Лечение дефектов мягких тканей.
- Хирургическая обработка очага инфицирования.
- Удаление зуба.
Операции при остеомиелите проводятся во всех крупных городах России (не только в Москве или Санкт-Петербурге). Перед тем как согласиться на хирургическое вмешательство, целесообразно запросить у клиники лицензию на проведение манипуляций такого плана.
Местная терапия
Сразу же после оперативного вмешательства необходимо обработать поверхность раны антисептиками - Левосином, Хинифурилом, Йодопироном или Мирамистином. Помимо этого, следует применять пенообразующие аэрозоли Диоксизоль и Аминитрозол, а также раневые покрытия (стерильные листы) Альгимаф, Гентацикол и Альгипор. Такая обработка поможет предупредить послеоперационное гнойное воспаление челюсти.
Физиотерапия
К наиболее эффективным методам физиотерапии при заболеваниях челюстей относятся:
- электрофорез с растворами антибиотиков;
- ультравысокочастотная терапия;
- УФ-облучение.
Средства народной медицины
Препараты народной медицины - это необязательная часть комплексного лечения остеомиелита. Эту болезнь нельзя лечить в домашних условиях примочками из трав, но для снятия некоторых воспалительных симптомов можно использовать следующие средства (при условии подходящей антибактериальной терапии и разрешения врача):
- мумие;
- прополис и продукты пчеловодства;
- раствор соды и соли;
- травяные отвары.
Эти средства обладают слабовыраженным лечебным действием, но они могут использоваться в комплексной терапии остеомиелита, так как практически не имеют побочных эффектов.
Осложнения
Если не заниматься лечением первичного или хронического остеомиелита верхней и нижней челюсти, болезнь может привести к серьезным осложнениям:
- инфицирование мягких тканей лица, шеи и даже спины;
- сепсис и генерализация инфекции;
- воспаление орбитальной области, что может привести к потере зрения;
- менингит.
Если выбрать неправильный способ лечения, остеомиелит может перерасти в остеонекроз - отмирание клеток кости, поэтому нельзя затягивать обращение к доктору.
Другие заболевания челюсти у людей
Остеомиелит челюсти можно спутать с иными заболеваниями, наиболее распространенные:
| Название заболевания | Определение | Краткое описание |
|---|---|---|
| Остит | Воспаление костной ткани за пределами периодонта зуба. | Как самостоятельное заболевание остит существует недолго, он быстро перерастает в периостит. |
| Периостит | Воспаление надкостницы. | Бывает острым и хроническим, гнойным и серозным. Гнойная форма болезни развивается как осложнение гнойного периодонтита, серозная - из-за травм. Гнойный периостит сопровождается расплавлением мягких тканей и надкостницы, что приводит к формированию свищей. |
| Сепсис | Инфекционное воспаление костных тканей. | Возникает из-за наличия в организме очага инфекции, часто приводит к смерти больного. |
| Киста | Полость на корне зуба или в самой кости с эпителиальной выстилкой или без нее. | Имеют одонтогенный (из-за заболеваний зубов) и неодонтогенный генез. |
| Фиброзная дисплазия | Образование доброкачественной опухоли. | Процесс сопровождается существенной деформацией формы лица. Причины заболевания неизвестны, врачи не исключают влияние наследственности. |
| Остеосаркома, хондросаркома, лимфома | Злокачественные опухоли. | Развиваются в любых костных тканях и даже в челюсти. |
При малейшем подозрении на остеомиелит костной ткани верхней или нижней челюсти нужно обращаться к стоматологам, не дожидаясь усиления симптомов и возникновения осложнений. Лучше удалить проблемный зуб, а не ждать образования отека или опухоли. К тому же признаки недомогания могут указывать на более серьезное заболевание, выявить которое может только врач.
Читайте также:
