Нарушение функции щитовидной железы на МРТ головного мозга
Добавил пользователь Евгений Кузнецов Обновлено: 01.01.2026
Когда иммунная система «ополчается» против нормальных органов, тканей организма, говорят об аутоиммунном заболевании. Одной из таких патологий является аутоиммунный тиреоидит. О нём мы побеседовали с врачом-эндокринологом «Клиника Эксперт» Ростов-на-Дону Аидой Низамовной Гюльмагомедовой.
— Аида Низамовна, что такое аутоиммунный тиреоидит?
— Это специфическое воспаление щитовидной железы. При этом заболевании в организме обнаруживаются антитела к железе. Приведу некоторые сведения о ней.
Сама по себе щитовидная железа невелика, но при этом представляет собой самую крупную эндокринную железу нашего организма. Она состоит из двух долей и перешейка и по форме напоминает бабочку. Правда, иногда встречается дополнительная, пирамидальная, доля. Размер каждой из долей примерно с ногтевую фалангу большого пальца человека. В среднем объём щитовидной железы у женщин не превышает 18 миллилитров, у мужчин — не более 25. Важно отметить, что нижней границы её размера на сегодняшний день не существует: она может быть совсем небольшой, но при этом исправно выполнять свои функции — в достаточном количестве вырабатывать гормоны.
Аутоиммунный тиреоидит был впервые описан японским врачом Хашимото в 1912 году, поэтому у болезни есть ещё и другое название — тиреоидит Хашимото.
При аутоиммунном тиреоидите в организме обнаруживаются антитела к щитовидной железе.
— Как часто встречается аутоиммунный тиреоидит у россиян и в мире?
— Распространённость носительства антител к щитовидной железе достигает до 26 % у женщин и 9 % у мужчин. Что, однако, не означает, что все эти люди больны аутоиммунным тиреоидитом. В Великобритании было проведено исследование, в котором приняли участие около трёх тысяч человек, и вот что выяснилось. Например, у женщин риск развития заболевания составил всего 2 %. То есть из 100 носительниц повышенного содержания антител к щитовидной железе нарушение её функции развивалось только у двух.
— Каковы причины аутоиммунного тиреоидита? Почему он возникает?
— Это достаточно сложное заболевание. По каким-то до сих пор не вполне понятным причинам наша иммунная система начинает воспринимать щитовидную железу как чужеродный орган и вырабатывает к ней антитела. Они повреждают клетки, образующие тиреоидные гормоны. В результате количество гормонов уменьшается и развивается состояние, которое называют «гипотиреоз» (простыми словами — снижение функции щитовидной железы).
Подробнее о гипотиреозе можно прочитать в нашей статье
— Каковы симптомы аутоиммунного тиреоидита?
— Их выраженность может варьировать от полного отсутствия жалоб до тяжёлых последствий, опасных для жизни пациента. При снижении функции щитовидной железы страдают практически все органы. Наиболее типичными проявлениями болезни можно считать наличие таких симптомов:
- общая слабость;
- утомляемость;
- прибавка веса;
- ощущение холода без видимых причин;
- снижение аппетита;
- отёчность;
- появление хриплости голоса;
- сухость кожи;
- повышенная ломкость и выпадение волос;
- ломкость ногтей.
Со стороны нервной системы это такие жалобы, как сонливость, ухудшение памяти, концентрации внимания, невозможность сосредоточиться, в отдельных случаях депрессия.
Что касается сердечно-сосудистой системы: может быть замедленный пульс, повышение диастолического (нижнего) артериального давления.
Желудочно-кишечный тракт: имеется склонность к хроническим запорам.
Половая система: у женщин отмечается нарушение менструального цикла, бесплодие, в отдельных случаях возможно прерывание беременности; у мужчин — нарушение эрекции.
Уровень холестерина в крови может быть повышенным.
Читайте материалы по теме:
— Как проводится диагностика этого заболевания? Есть ли какие-то анализы, которые помогут выявить аутоиммунный тиреоидит?
— Подтвердить или опровергнуть диагноз достаточно просто. Для этого надо определить уровень тиреотропного гормона (ТТГ) — это самый важный и необходимый тест при любых нарушениях функции щитовидной железы, а также антитела к ТПО (тиреоидной пероксидазе). При нормальных показателях ТТГ можно практически полностью исключить патологию этого органа. При гипотиреозе на фоне аутоиммунного тиреоидита уровень ТТГ будет повышенным, а свободный тироксин (гормон щитовидной железы) снижен, по принципу обратной связи. Так работает у нас в организме большая часть гормонов. Что это значит? Когда количество тиреоидных гормонов в крови уменьшается, гипофиз, в определённых клетках которого образуется ТТГ, «узнаёт» об этом в первую очередь. «Уловив» снижение уровня гормонов, клетки гипофиза начинают в большем количестве вырабатывать ТТГ, чтобы «подстегнуть», простимулировать работу щитовидной железы. Поэтому, если в этот период взять кровь и измерить уровень ТТГ, он будет повышен.
Анализ выглядит достаточно привычно для всех — это сдача крови из вены натощак.
— Может ли быть поставлен диагноз «аутоиммунный тиреоидит» при нормальных гормонах?
— В настоящее время этот диагноз при нормальном значении гормонов не правомочен.
— А если при этом был также сделан анализ и на антитела к щитовидной железе, и они были выявлены?
— Далеко не всегда обнаружение этих антител свидетельствует о наличии аутоиммунного тиреоидита. Само по себе их носительство не является заболеванием. Практически у 20 % здоровых людей в крови могут обнаруживаться антитела к щитовидной железе. К примеру, в зарубежной научной литературе аутоиммунный тиреоидит как самостоятельная клиническая проблема практически не рассматривается. Лечить это нужно только в случае развития гипотиреоза, то есть снижения функции щитовидной железы.
— Как проводится лечение аутоиммунного тиреоидита?
— Лечение заключается в возмещении недостатка тиреоидных гормонов в организме. Это называется заместительной терапией. Человеку надо дать то, чего ему не хватает — в данном случае недостающий тироксин (основная форма тиреоидных гормонов щитовидной железы). Пациент ежедневно должен принимать современные препараты на основе тироксина. По своей структуре они совершенно не отличаются от нашего собственного гормона, который при нормальных условиях производит щитовидная железа. Правильно подобранная дозировка этих препаратов предотвращает все возможные неблагоприятные последствия дефицита гормонов. Госпитализация при этом не требуется. Но заместительная терапия в случаях заболевания проводится пожизненно, поскольку сама по себе нормальная работа щитовидной железы восстановиться не может.
— Насколько эффективно применение БАДов при аутоиммунном тиреоидите?
— При лечении не только этого, но и других заболеваний места БАДам нет. Любой добросовестный современный врач должен придерживаться принципов доказательной медицины. Иными словами, подход к профилактике, диагностике и лечению заболеваний щитовидной железы применяется, исходя из имеющихся доказательств эффективности и безопасности препаратов. БАДы же для лечения применяться не могут. Это положение регламентировано во всех странах.
БАДы для лечения аутоиммунного тиреоидита применяться не могут
— Если этот недуг обнаружен у женщины репродуктивного возраста, которая планирует беременность, возникает вопрос: а можно ли забеременеть при аутоиммунном тиреоидите?
— Напомню: носительство антител — это не заболевание и, соответственно, не выступает в роли препятствия для наступления беременности. Однако если у женщины, которая хочет родить ребёнка, выявлено нарушение функции щитовидной железы, то оно может помешать наступлению беременности и вынашиванию плода. Если женщина страдает гипотиреозом, то ребёнок при рождении может иметь различные отклонения и дефекты (это и нарушение умственного развития, и проблемы роста). В том числе у ребёнка может быть и врождённый гипотиреоз. Поэтому крайне важно выявление и лечение болезни заранее.
Записаться на приём к врачу-эндокринологу можно здесь
ВНИМАНИЕ: услуга доступна не во всех городах
Беседовал Игорь Чичинов
Редакция рекомендует
Для справки
Гюльмагомедова Аида Низамовна
Член Российской Ассоциации эндокринологов, член Ассоциации эндокринологов Ростовской области.
Общий стаж работы более 10 лет.
Опыт ведения «Школы диабета 1 и 2 типа».
Опыт ведения Школы «Правильного питания и снижения веса».
Автор около 20 печатных работ в научных журналах.
Принимает по адресу: г. Ростов-на-Дону, ул. Красноармейская, 262.
Другие статьи по теме
Снижение веса, учащённый пульс, беспокойство, раздражительность - эти, а также ряд других. Если щитовидная железа «разбушевалась»: что такое гипертиреоз?
Говоря о диабете, обычно подразумевают сахарный. Однако есть и несахарный диабет, а. Сахарный? Не только! Что такое несахарный диабет?
МРТ щитовидной железы что показывает
Магнитно-резонансная томография щитовидной железы применяется для диагностики поражений этого органа, в том числе злокачественной природы. Исследование также применяется с профилактической целью.
Состояние эндокринных желез сильно влияет на работу нервной системы и всего организма. Магнитно-резонансная томография позволяет детально исследовать щитовидную железу. Также исследование активно применяется для оценки результативности применения гормональных средств и проведения хирургических вмешательств. Томография щитовидной железы — это наиболее информативный способ диагностики и оценки работы эндокринной системы человека.

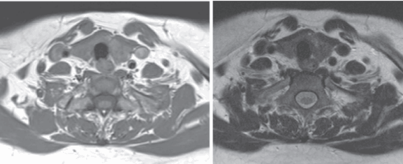
Рисунок 1,2. МРТ мягких тканей шеи (Т2-ВИ и Т1-fs-ВИ контрастное усиление). Патологических образований в структуры щитовидной железы не выявлено.
Что лучше: КТ, УЗИ или МРТ щитовидной железы?
Болезни эндокринных желез рекомендуется диагностировать с помощью нескольких исследований. КТ больше подходит для изучения костных структур. Но при наличии металлических элементов в теле пациента и других противопоказаний к проведению МРТ можно использовать КТ.
УЗИ хорошо визуализирует новообразования, патологические участки, выявляет изменение анатомии органа. Методы МРТ и УЗИ позволяет определять точное расположение узелков и других новообразований, получать предварительную информацию о природе опухоли.
Диагностируемые болезни
Щитовидная железа синтезирует гормональные вещества (трийодтиронин, тироксин и тиреокальциотонин), участвующие во многих внутренних реакциях организма. Болезни этого органа влияют на нервную систему, органы репродукции у женщин и мужчин, нередко вызывают проблемы с зачатием и продолжительное бесплодие. Заболевания вызывают колебания веса, повышенную потливость, перебои с настроением и сном. Но при правильно назначенном лечении удается корректировать проявления даже хронических патологий.
Выявленные на МРТ болезни щитовидной железы:
узловой, диффузный зоб;
опухоли разной природы;
Многие заболевания протекают с гиперплазией тканей железы, появлением дискомфортных ощущений в области горла. Возможно появление одышки, сильного сердцебиения, постоянной усталости и апатии. Эти признаки пациенты могут принимать за проявления других имеющихся нарушений.
МРТ щитовидной железы с контрастом
Диагностику с дополнительным контрастированием применяют преимущественно для выявления образований, которые имеют разветвленную сеть кровеносных сосудов. Контрастные препараты хорошо заметны во время исследования.
Методика позволяет определять точное место локализации патологического новообразования, предполагать тип заболевания. Благодаря активному росту новых сосудов в области злокачественных очагов с помощью МРТ удается выявлять патологию на ранней стадии, когда эффективны малоинвазивные методы лечения и отсутствует риск метастазирования.

Выявит ли МРТ рак щитовидной железы
МРТ по праву считается одним из наиболее информативных способов диагностики. Метод прекрасно визуализирует раковые изменения, позволяет определять начальные нарушения в форме, размере и контурах органа.
Предположительные признаки и изменения при наличии злокачественного новообразования:
нечеткий контур органа;
наличие кальцинатов, кист;
неоднородная структура выявленных образований;
образование собственной сети кровеносных сосудов в области патологического очага;
отсутствие четко определяемой границы между нормальными и патологическими тканями.
После получения результатов МРТ, которые указывают на возможно злокачественную природу но в образовании, назначаются дополнительные методы диагностики. Необходимо проводить биопсию и детально изучать патологические ткани органа.
Контрастирование при МРТ улучшает визуализацию злокачественных опухолей. Поэтому при подозрении на онкологические изменения используют дополнительно парамагнитный контрастный препарат. Его вводят внутривенно незадолго до процедуры. Метод дает возможность не только определять саму опухоль и получать информацию о месте ее нахождения, но и оценивать состояние лимфатической системы, области грудной клетки, выявлять метастазы.
Диагност, зная, что показывает МРТ щитовидной железы при озлокачествлении клеток, сможет легко заподозрить наличие онкологических изменений и рекомендовать пациенту проведение уточняющей диагностики. Раннее выявление рака играет ключевую роль в снижении смертности и сохранении работоспособности после лечения.
Нормы размеров щитовидной железы у детей и женщин
Размеры щитовидной железы отличаются в зависимости от возраста, веса, пола, используемого лечения и других факторов. Железа у женщин весит меньше, чем у мужчин. При расшифровке исследования врач обязательно учитывает размер органа. Его увеличение или уменьшение в сочетании с другими структурными изменениями может говорить о наличии опасных заболеваний.
Размер щитовидной железы у женщин составляет 15-18 см3, у мужчин - 23-28 см3, а у детей — 2-16 см3 (в зависимости от возраста). У подростков это значение приближается к варианту нормы, характерному для взрослых людей.
Показания и противопоказания
Дисфункция щитовидной железы связана с увеличением или снижением гормональной активности органа, что приводит к гипер- или гипотиреозу и вызывает большое количество сопутствующих заболеваний. МРТ проводят как при наличии определенных жалоб и показаний, так и с профилактической целью.

Рекомендуется записаться на исследование при наличии следующих признаков:
дискомфорт в горле во время глотания;
изменения веса и аппетита;
склонность к одышке;
нарушения сна и настроения, склонность к раздражительности;
увеличение размера шеи в области проекции расположения железы.
Эндокринные патологии нередко имеют наследственную природу и сочетаются с сахарным диабетом, гипертонией, аутоиммунными нарушениями. В таком случае диагностика должна быть комплексной, обеспечивающей всестороннее изучение организма пациента.
Нередко МРТ назначают в период подготовки к беременности или во время лечения бесплодия, связанного с нарушением функции щитовидной железы. Также диагностика требуется людям, которым проводили оперативное или консервативное лечение эндокринных патологий.
Исследование безопасно и не требует сложной подготовки, но имеет определенные противопоказания и ограничения. В первую очередь запрещено проводить диагностику при наличии в организме металлических элементов, вживленных приборов, так как они могут выходить из строя и перегреваться под действием магнитного поля.
Относительным противопоказанием является клаустрофобия. Если человек боится замкнутых пространств или сильно волнуется, стоит рассмотреть вариант проведения диагностики на аппарате открытого типа. Необходимо уточнять заранее, делают ли МРТ щитовидной железы на таком оборудовании.
Запрещено исследование и при наличии татуировок, выполненной с помощью красок, содержащих элементы железа. Любые магнитные и металлические элементы могут приводить к ожогам и получению недостоверной информации. Перед диагностикой врач рассказывает о противопоказаниях, уточняет у пациента о наличии протезов или других металлических конструкций.

Патологические состояния эндокринной системы вызывают изменения нейрогуморальной регуляции тела человека и провоцируют нарушения работы жизненно важных органов. Диагностика заболеваний щитовидной железы с помощью магнитно-резонансной томографии позволяет дифференцировать процесс на ранней стадии, избегая развития опасных осложнений.
МРТ - аппаратное исследование состояния внутренних структур без применения инвазивных методик. Сканирование проводят с помощью индукционного поля, воздействующего на атомы водорода в молекулах воды. Резонанс заряженных частиц позволяет получить отклик сканируемых тканей. Интенсивность ответной реакции напрямую зависит от насыщенности изучаемых структур жидкостью.

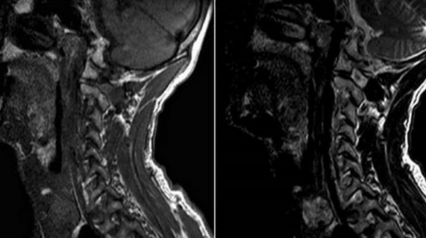
Снимки МРТ мягких тканей шеи
Проведение магнитнорезонансной томографии с использованием различных режимов повышает информативность исследования рыхлых элементов. Изучение особенностей кровоснабжения зоны интереса и диагностика новообразований требуют применения контрастного раствора. В качестве «окрашивающего» препарата используют хелаты гадолиния.
Заболевания щитовидной железы
Органы эндокринной системы вырабатывают гормоны - биологически активные вещества, регулирующие жизнедеятельность организма. Щитовидная железа, расположенная в нижней части передней поверхности шеи, продуцирует тироксин, трийодтиронин и кальцитонин. Задняя поверхность анатомического образования охватывает нижний отдел гортани и верхнюю часть трахеи. Орган состоит из двух равных долей, соединенных перешейком. В норме вес железы у взрослого человека достигает 15-20 грамм.
Заболевания щитовидки протекают с усилением или снижением секреции, что обусловливает характерную клиническую картину. В зависимости от этиологии патологических изменений различают:
аутоиммунные тиреопатии (Базедова болезнь, неинфекционный тиреоидит и пр.);
гиперплазии железы (диффузный или узловой зоб);
новообразования (добро- и злокачественные);
инфекционные тиреоидиты (подострый, гнойный, специфический);
Базедова болезнь (диффузный токсический зоб) - системная патология, сопровождающаяся повышенной секрецией гормонов. На фоне гиперфункции щитовидной железы возникают признаки тиреотоксикоза:
плаксивость, раздражительность, другие симптомы психической нестабильности;
тахикардия, аритмия, сердечная недостаточность;
снижение массы тела;
экзофтальм (смещение глазного яблока вперед).
В лечении Базедовой болезни используют консервативные методы (тиреостатическую терапию) и хирургическое вмешательство (резекцию органа).

Опухоль щитовидной железы на МРТ
Доброкачественные гиперплазии различают по морфологическим признакам:
диффузный зоб - равномерное увеличение органа в размерах при постепенном снижении функциональности (гипотиреоза);
узловые образования - появление уплотнений в тканях железы, секреция уменьшается;
смешанный тип - встречаются признаки обеих патологий.
В отдельную группу выделяют эндемический зоб, развивающийся на фоне недостатка йода. К характерным внешним признакам гиперпластического процесса относят деформацию шеи, изменение голоса. Пациент жалуется на затрудненное глотание, «ком» в горле. На снимках, полученных в результате магнитно-резонансной томографии, определяют увеличение щитовидной железы, изменение структуры органа.
Признаками гипотиреоза являются:
чувство тяжести в области средостения, брадикардия;
изменения массы тела;
алопеция (выпадение волос), сухость кожных покровов;
нарушения работы желудочно-кишечного тракта, запоры;
отечность лица, малоподвижная мимика;
анемия (дефицит железа);
снижение памяти, интеллекта;
нарушения менструального цикла (у женщин).
У пожилых больных при отсутствии лечения и ухода состояние переходит в гипотиреоидную кому, которая в 80% случаев имеет летальный исход. Основным методом лечения является заместительная гормональная терапия.
Злокачественные опухоли (рак щитовидной железы) сопровождаются увеличением регионарных лимфатических узлов. Пациенты отмечают боль в горле, наличие уплотнения, часто возникают жалобы на кашель.

Новообразование (указано стрелкой) на МРТ щитовидной железы
Тиреоидиты - воспалительные процессы, имеют инфекционную и аутоиммунную природу. Вторые встречаются чаще и протекают в хронической форме. Симптомы отсутствуют, в некоторых случаях наблюдается незначительное увеличение органа. При развитии гипотиреоза развивается клиническая картина, характерная для дефицита гормонов щитовидки. Среди врожденных аномалий выделяют:
аплазию (отсутствие органа);
дистопию (аномальное расположение);
врожденные кисты щитовидки;
дополнительные железы и пр.
Врожденные дефекты возникают при нарушениях формирования и развития органа во внутриутробном периоде. Заболевания могут сопровождаться гипо- и гиперфункцией щитовидной железы с характерными клиническими симптомами.
Делают ли МРТ щитовидной железы?
Магнитно-резонансная томография обеспечивает детальную визуализацию рыхлых структур. В результате сканирования получают послойные изображения щитовидной железы, расположенных рядом лимфатических узлов, кровеносных сосудов, мягких тканей шеи, гортани.
Исследование отличается высокой информативностью по сравнению с другими методами аппаратной диагностики. Томограммы показывают изменения формы и размеров анатомического образования, позволяют выявить структурные нарушения и патологические очаги диаметром от 3 мм.
МРТ щитовидной железы делают при подозрении на развитие онкологических, воспалительных, дегенеративных и дистрофических процессов. Метод дает информацию о локализацию очага, позволяет оценить взаимодействие измененных и здоровых тканей.
При увеличении железы в размерах по описанию томограмм можно определить характер гиперплазии. Узелки и капсулы выглядят на снимках МРТ как очаги с гипо- или гиперинтенсивным сигналом, отличным от реакции окружающих тканей. Метод показывает сдавление трахеи новообразованием, распространение патологического процесса в загрудинное пространство.

Мягкие ткани шеи на МРТ
Магнитно-резонансное сканирование может применяться в качестве основного или дополнительного метода исследования в диагностике эндокринных заболеваний.
Показания и противопоказания к МРТ щитовидной железы
Гормональный дисбаланс служит поводом для исследования органов эндокринной системы. Признаки гипо- или гипертиреоза свидетельствуют о нарушениях секреторной функции щитовидной железы. Задача врача заключается в определении этиологии, характера, интенсивности патологического процесса. Выбор метода лечения во многом зависит от того, что показывает МРТ щитовидной железы.
при подозрении на «загрудинный» зоб;
перед хирургическим вмешательством;
в случае гиперплазии щитовидной железы;
при подозрении на развитие новообразования;
для выявления особенностей воспалительного процесса;
в послеоперационном периоде.
Магнитно-резонансное исследование показано пациентам при недостаточной информативности УЗИ, когда по результатам последнего выявлена патология, но для постановки диагноза требуются дополнительные сведения.
Метод имеет ряд противопоказаний, связанных с физической природой магнитного поля. МРТ не проводят:
больным с вживленными электронными устройствами медицинского назначения;
людям с татуировками, выполненными ферромагнитными красками;
пациентам с металлическими эндопротезами, расположенными в зоне исследования;
женщинам с грудными имплантатами при наличии магнитных направляющих.
Некоторые металлы, взаимодействуя с индуцируемым аппаратом полем, могут нагреваться, вызывая неприятные ощущения у пациента. Несъемные протезы в рассматриваемой зоне становятся причиной появления дефектов на послойных изображениях, затрудняя расшифровку результатов.
Электромагнитные приборы взаимодействуют с полем томографа, что может привести к поломке оборудования. Пациентам с кардиостимуляторами, инсулиновыми помпами и другими устройствами назначают альтернативное инструментальное исследование.

Онкологический процесс на томограммах щитовидной железы
МРТ противопоказана на ранних сроках беременности. Контрастирование запрещено вне зависимости от периода гестации. Не используют раствор гадолиния у пациентов, страдающих тяжелыми патологиями печени и почек. Причиной служит усиление нагрузки на органы фильтрации в процессе выведения препарата.
Подготовка к МРТ щитовидной железы
Процедура магнитно-резонансной томографии достаточно проста, при необходимости сеанс проводят в день обращения в клинику. Специальной подготовки МРТ щитовидки не требует, пациенту нужно предупредить врача о возможных противопоказаниях, сообщает о сопутствующих заболеваниях.
При повышенной нервозности, клаустрофобии, выраженном болевом синдроме перед обследованием проводят премедикацию. По рекомендации специалиста пациент принимает седативные и обезболивающие препараты (самостоятельное употребление лекарственных средств перед сканированием запрещено).
В случае МРТ с контрастированием желательно перекусить за час до сеанса. Кормящие женщины заранее сцеживают молоко для ребенка. Прикладывать малыша к груди после внутривенной инъекции контраста рекомендуют не раньше чем через 6-12 часов.

Исследование щитовидной железы на закрытом томографе
Перед сканированием пациент переодевается в удобный комплект (пижаму), снимает металлические украшения, пирсинг, аксессуары и ложится на стол томографа. Конечности и голову больного фиксируют при помощи креплений и валиков, что позволит обеспечить неподвижное положение тела во время исследования.
Видно ли на МРТ рак щитовидной железы?
Благодаря резонансному движению заряженных частиц в ответ на воздействие магнитного поля метод визуализируют структурное перерождение тканей, изменение формы, размеров, контуров сканируемого органа. Послойные фотографии, сделанные в аксиальной, фронтальной и сагиттальной проекциях, отображают малейшие трансформации щитовидной железы, включая патологии кровеносных сосудов.
Основными признаками злокачественной опухоли на МРТ являются:
неоднородная структура образования, наличие кист и кальцинатов;
размытый ореол вокруг опухоли (что свидетельствует о перифокальном отеке паренхимы железы);
отсутствие четкой границы между пораженными и здоровыми тканями, инфильтрация атипичных клеток в окружающие структуры;
особенности кровообращения: собственная сеть сосудов представляет собой сложную запутанную систему с большим количеством анастомозов.
Контрастная МРТ при раке щитовидной железы показывает медленное накопление индикатора, что является признаком малигнизации (озлокачествления) образования.
Метод отражает состояние окружающих тканей, позволяет выявить как первичное образование, так и метастазирование опухоли в регионарные лимфатические узлы, загрудинную область, ткани шеи. Точную локализацию очага и степень прорастания атипичных клеток в соседние структуры устанавливают при помощи трехмерного изображения сканируемой зоны.

Метастазы на снимках МРТ шеи
Врач-рентгенолог указывает в описании признаки злокачественного образования щитовидной железы, но окончательный диагноз ставят на основании дополнительных исследований (биопсии, клинических анализов и пр.)
Что лучше: МРТ или КТ щитовидной железы?
Выбор метода сканирования зависит от состояния здоровья пациента. Оба вида томографии детально визуализируют строение щитовидной железы, отражая патологические изменения уже на начальных этапах заболевания.
КТ показана лицам, имеющим противопоказания к назначению магнитно-резонансного сканирования. При наличии металлических штифтов и коронок рекомендуют делать рентгеновское обследование, позволяющее получить четкие снимки без дефектов и искажений. Преимуществом рентгена является продолжительность процедуры - один сеанс занимает не более 15 минут.
Компьютерная томография головы и шеи дает наиболее точное изображение костных и хрящевых структур. МРТ информативнее в отношении мышечных волокон, жировой клетчатки, эпителиальной и нервной тканей. Магнитно-резонансное сканирование не дает вредной ионизирующей нагрузки, поэтому может применяться при обследовании беременных во 2 и 3 триместре.

Новообразование в области щитовидной железы
«Не только УЗИ». Каковы возможности МРТ щитовидной железы?
УЗИ щитовидной железы - довольно распространённая диагностическая процедура. Но иногда пациенту может быть показана магнитно-резонансная томография. В каких случаях показана МРТ щитовидной железы и в чём особенности исследования, нам рассказал врач-рентгенолог диагностического центра «МРТ Эксперт» Липецк Артём Валерьевич Неделин.
- Артём Валерьевич, что показывает МРТ щитовидной железы?
- Магнитно-резонансная томография - высокоточный метод диагностики. Его эффективность оценивается в 85 % - 95 %. При обследовании щитовидной железы МРТ позволяет оценить размер и форму органа, выявить патологические изменения в самой железе и близких к ней тканях.
- Эффективна ли МРТ при диагностике новообразований (например, рака щитовидной железы)? Чем картина опухолевой ткани отличается от картины здоровой железистой ткани?
- Здоровой щитовидной железе свойственна однородность. При наличии опухоли, во-первых, железа увеличивается, во-вторых, появляются изменения в структуре. Также по МРТ можно судить о типе опухолевого процесса: злокачественным новообразованиям присуща большая неоднородность. Поэтому эффективность МРТ в диагностике новообразований высока. Для большей точности применяют МРТ щитовидной железы с контрастированием: разница в накоплении контрастного вещества в тканях - важный диагностический фактор.
«Неужели недостаточно того, что МРТ является высокоинформативным методом? Зачем нужен контраст?», - спрашивают больные. Цитата из материала «Для чего нужен контраст при МРТ?»
- В чём преимущества МРТ перед УЗИ щитовидной железы? В каких случаях предпочтительнее МРТ, в каких УЗИ?
- МРТ позволяет построить три проекции. Это способствует высокой точности диагностики, причём на томограмме видны и окружающие щитовидную железу ткани. Но МРТ - дорогостоящий метод. Невозможно, да и не нужно отправлять на томографию каждого пациента. УЗИ - более доступный и тоже довольно точный метод, подходящий для первичной диагностики. Точность УЗИ во многом зависит от качества аппарата и квалификации врача. Если на УЗИ выявлена патология, но требуется дополнительная информация, пациенту назначают МРТ щитовидной железы.
Подробнее об УЗИ щитовидной железы можно прочитать в нашей статье
- Артём Валерьевич, что лучше: МРТ или КТ щитовидной железы?
- По точности данных и степени детализации при обследовании щитовидной железы эти методы почти равноценны. Однако в долговременной перспективе в 87 % случаев целесообразнее проводить МРТ: процедуру можно выполнять многократно, как угодно часто, она не несёт лучевой нагрузки, поэтому позволяет отслеживать состояние пациента в динамике. КТ может потребоваться, если помимо щитовидной железы и тканей шеи нужно обследовать лёгкие (например, определить, нет ли в них метастазов опухоли).
Когда КТ незаменима? Читайте здесь
- Как долго длится МРТ-обследование щитовидной железы?
- Как правило, при МРТ осматривают не только саму железу, но и ткани шеи. В зависимости от сложности случая обследование может длиться до 45 минут.
- Артём Валерьевич, есть ли какие-то особенности в подготовке именно к этому виду исследования?
- Нет, от пациента, который собирается сделать МРТ щитовидной железы, специальная подготовка не требуется.
Что покажет МРТ щитовидной железы с контрастом и без

В медицинских центрах СПб и Лен. области МРТ щитовидной железы назначает врач-эндокринолог, когда есть необходимость проверить работу щитовидной железы. Синтезируемые ею гормоны отвечают за множество важных процессов жизнедеятельности, и нарушение функций этого органа немедленно отражается на состоянии всего организма. В случае дисфункции щитовидной железы у человека могут начаться проблемы с обменом веществ, работой сердца, нервной системой, сосудами и опорно-двигательным аппаратом. Болезни щитовидной железы можно с большой достоверностью определить посредством УЗИ, компьютерной томографии (КТ), магнитно-резонансной томографии, а также на основе данных лабораторных анализов.
БЕСПЛАТНАЯ
КОНСУЛЬТАЦИЯ О ДИАГНОСТИКЕ
Если сомневаетесь, запишитесь на бесплатную консультацию.
Или проконсультируйтесь по телефону
Что показывает МРТ щитовидной железы и когда назначается
Увеличение щитовидной железы - самый распространенный симптом, свидетельствующий о проблемах с этим органом. Для выяснения причин патологии в арсенале врачей медицинских учреждений СПб есть несколько диагностических методов. УЗИ и компьютерная томография (КТ) являются наиболее часто используемыми методами и нередко применяются при необходимости комплексно обследовать гортань, щитовидную железу, слюнные и лимфатические узлы и мягкие ткани шеи. Посредством этих видов скрининга оценивают общее состояние этих органов, а также наличие аномальных изменений. Однако, МРТ щитовидной железы является предпочтительным методом диагностики в случаях подозрения на рак или при необходимости уточнить первичный диагноз.
сколько стоит магнитно-резонансная томография щитовидной железы
| Наименование услуги | Цена | Цена МРТ 3 Тл | Акции и скидки |
|---|---|---|---|
| МРТ мягких тканей лица | от 4000 руб. | от 8000 руб. | Ночью (23.00-07.00) |
| МРТ мягких тканей бедра (МРТ мягких тканей ягодиц, МРТ седалищного нерва) | от 4000 руб. | от 8000 руб. | Ночью (23.00-07.00) |
| МРТ мягких тканей шеи (МРТ тканей, МРТ слюнных желез, МРТ щитовидной железы, МРТ лимфатических узлов) | от 4000 руб. | от 8000 руб. | Ночью (23.00-07.00) |
| МРТ мягких тканей конечностей | от 4500 руб. | от 8000 руб. | Ночью (23.00-07.00) |
| МРТ молочных желез (МРТ тканей груди, МРТ подмышечных лимфоузлов) | от 4200 руб. | от 9000 руб. | Ночью (23.00-07.00) |
| Введение контрастного вещества | от 3500 руб. | от 3500 руб. |
Что входит в стоимость
- Подготовка пациента
- Диагностика на томографе
- Расшифровка данных (томограмм)
- Оформление письменного заключения
- Запись снимков на носитель по выбору клиники (пленка, флешка, CD диск)
- Контрастное усиление при томографии с контрастом всегда оплачивается дополнительно, исходя из веса пациента.
- Варианты оборудования, установленного в наших центрах: компьютерные томографы 16 срезов, 32 срезов, 64 срезов, 124 срезов, 160 срезов, магнитно-резонансные томографы открытого типа 0.4Т, полуоткрытого типа 1.5Т, закрытого типа 1.5Т, полузакрытого типа 1.5Т закрытого типа 3.0Т
Какие болезни выявляет МРТ щитовидки?
Также КТ или МРТ щитовидной железы назначают при необходимости диагностировать следующие заболевания:
Базедова болезнь - аутоиммунное заболевание, при котором щитовидная железа увеличивается в размерах из-за регулярной чрезмерной выработки гормонов. Большую роль в появлении этого заболевания играет наследственность. Спровоцировать развитие Базедовой болезни могут стрессовые ситуации, респираторно-вирусные заболевания носоглотки, травмы головного мозга, инфекционные болезни. Обычно специалист озвучивает диагноз «Базедова болезнь» уже при первичном осмотре. Основанием для постановки этого диагноза являются внешние признаки и данные лабораторных анализов на количество гормонов в крови пациента. Но при атипичном расположении щитовидной железы используется МРТ или КТ исследование щитовидной железы для уточнения диагноза.
Аутоимунный тиреоидит - хроническое воспаление в тканях щитовидной железы. Это заболевание, при котором клетки щитовидной железы разрушаются собственной иммунной системой, поскольку она воспринимает их как чужеродные элементы. Болезнь встречается преимущественно у женщин в возрасте от 40 до 50 лет. Основная его причина связана с генетически обусловленным пороком иммунной системы. На тиреоидит приходится почти треть всех случаев заболеваний щитовидной железы. КТ или МРТ щитовидной железы при подозрении на тиреоидит дает возможность обследовать состояние органа, отследить наличие в его тканях патологических изменений и правильно поставить диагноз.
Врачи МРТ центров СПб предупреждают - аутоимунный тиреоидит имеет свойство развиваться постепенно и незаметно, и , увы, его последствия для организма разрушительны. Особенно опасно заболевание для детей, у которых наблюдается задержка умственного и физического развития, а в тяжелых случаях глубокая умственная отсталость. У взрослых заболевание вызывает сильные отеки, истощение нервной системы, стойкую депрессию, заболевания сердечно-сосудистой системы. Поэтому при малейших подозрениях на расстройства функции щитовидной железы незамедлительно стоит обратиться к врачу-эндокринологу и по его назначению сделать диагностику щитовидной железы с помощью УЗИ, КТ или МРТ исследования.
Рак щитовидной железы. Злокачественные опухоли щитовидной железы могут быть медуллярными, фолликулярными, папиллярными и недифференцируемыми. Чаще всего диагностируют фолликулярную и папиллярную формы рака щитовидной железы, которые отличаются агрессивным течением с образованием большого количества метастазов в различных тканях и органах. Для выявления злокачественных новообразований назначают МРТ щитовидной железы с контрастированием. Этот метод дает возможность точно определить месторасположение, размеры и форму опухоли. При подозрении на метастазы, а также при рисках деформацию соседних органов, которая могла быть вызвана увеличившейся в размерах щитовидной железой, дополнительно проводят МРТ обследование грудной клетки.
Магнитно-резонансная томография - это один из методов онкодиагностики, при котором возможно получить как послойное, так и трехмерное изображение любого участка тела. С помощью высокопольных и сверхвысокопольных МРТ-аппаратов можно определить самое маленькое объемное образование размером вплоть до 1-2 мм, оценить его контуры и характер, наличие капсулы и её состояние, идентифицировать, прорастает ли это образование в соседние ткани, не смещает ли оно рядом расположенные органы.
Преимущества МРТ щитовидной железы
По мнению медспециалистов томография имеет ряд существенных преимуществ:
- Не нужно применять йодосодержащие контрастные вещества для определения сдавления соседних органов увеличенной щитовидной железой.
- Возможность получить трехмерное изображение.
- Возможность диагностики трийоднегативных метастазов рака щитовидной железы.
- Она позволяет лучше визуализировать увеличенные лимфатические узлы в грудной полости по сравнению с рентгенологическими исследованиями.
- Отсутствие лучевой нагрузки.
Несмотря на все свои преимущества, МРТ щитовидной железы не относиться к рутинным методам диагностики зоба. Для этого есть ряд причин:
- Поверхностное расположение органа позволяют определить зоб щитовидной железы визуально или с помощью пальпации.
- В качестве дополнительного метода исследования обычно применяется более дешевая УЗИ диагностика и лабораторные анализы. Цена МРТ щитовидной железы в несколько раз выше, чем УЗИ, хотя в случае с щитовидной железой по информативности эти методы вполне сопоставимы.
- Невозможно четко отличить злокачественные новообразования от доброкачественных без дополнительной процедуры биопсии.
Все это лишь подтверждает факт, что в любой диагностике есть свои тонкости и нюансы. Поэтому, всегда лучше, когда выбор корректного метода диагностики осуществляет лечащий врач в соответствии с первичным диагнозом и особенностями состояния здоровья пациента. Несмотря на свою безопасность, томография щитовидной железы не всегда хорошо переносится пациентами. Дело в том, что во время процедуры пациент находится в специальной трубе, т.е. в замкнутом пространстве в течение 15-30 минут, к тому же сам томограф при работе издает громкие неприятные звуки, которые некоторые люди плохо переносят.
Подготовка к томографии щитовидки
В МРТ центрах СПб МР-сканирование щитовидной железы осуществляется с использованием высокопольных и сверхвысокопольных томографов с закрытым контуром. Каких-либо специальных мероприятий для подготовки к магнитно-резонансной томографии проводить не требуется. Процедура скрининга не влияет на последующую работоспособность и не требует восстановительного периода. Врачи советуют прийти на диагностику в удобной для продолжительного лежания одежде, не имеющей металлических деталей: пуговиц, кнопок, косточек, молний.
Многих пациентов беспокоит безопасность МРТ щитовидной железы с введением контраста, как для самой щитовидной железы, так и для других органов. Эти опасения абсолютно беспочвенны. Щитовидная железа от этой процедуры не пострадает, равно как и другие органы. При МРТ щитовидной железы контраст вводится обследуемому внутривенно и выводится организмом естественным путем в течение суток.
Где делают качественную МРТ щитовидной железы?
- Кононенко С.Н. Ранняя диагностика и дифференцированное лечение рака щитовидной железы. // Хирургия. Журнал им. Н.И. Пирогова. 2000. -№3.
- Кузнецов H.A., Бронтвейн А.Т., Абулов С.Э., Лапченко М.И., Назаренко В.А., Семенов И.Г. Ранняя диагностика и тактика лечения очаговых образований щитовидной железы. // РМЖ. 2002. - №3.
- Балаболкин М.И. Дифференциальная диагностика и лечение эндокринных заболеваний: руководство /М.И. Балаболкин, Е.М. Клебанова, В.М. Креминская. М.: Медицина, 2002. - 752 с.
- Baranова Г.Р. Применение магнитно-резонансной томографии в диагностике заболеваний щитовидной железы / Г.Р. Baranова, И.М. Михайлов // Медицинская визуализация. 2006. - №3. - С. 15-20.
Ямасито С. Диагностика заболеваний щитовидной железы / С. Ямасито. М. Ито. - Токио: Фонд содействия здравоохранению им. Сасакава, 1996. - 330 с.
Читайте также:
