Нарушения мозгового кровообращения. Виды нарушения мозгового кровообращения
Добавил пользователь Евгений Кузнецов Обновлено: 01.11.2025
Нарушение мозгового кровообращения - это актуальнейшая медико-социальная проблема настоящего времени, представляющая собой группу заболеваний, проявляющихся хроническим или острым нарушением гемодинамики в сосудах головного мозга, ведущих к снижению церебрального кровоснабжения.
В связи с прогрессирующим общим старением населения, т.е. увеличением количества лиц пожилого возраста в популяции, общая численность больных острым или хроническим нарушением мозгового кровообращения увеличивается из года в год.
Одним из наиболее информативных среди современных методов нейровизуализации является метод МРТ диагностики.
Только благодаря современным программам, используемым в МРТ диагностике, стало возможным распознавание признаков нарушения мозгового кровообращения уже в первые 24 часа.
Согласно современной классификации, нарушения мозгового кровообращения подразделяются на:
- Острые нарушения мозгового кровообращения: ишемический инсульт, геморрагический инсульт, преходящие нарушения мозгового кровообращения.
- Хронические нарушения мозгового кровообращения (дисциркуляторные энцефалопатии гипертонического и атеросклеротического генеза.
1. Острые нарушения мозгового кровообращения
Преходящие нарушения мозгового кровообращения - представляют собой остро возникающие нарушения мозгового кровообращения, проявляющиеся общемозговой или очаговой симптоматикой длительностью не более 24 часов. Их называют также транзиторными ишемическими атаками (ТИА) по причине того, что в их основе лежит преходящая ишемия в бассейне одного или нескольких сосудов головного мозга.

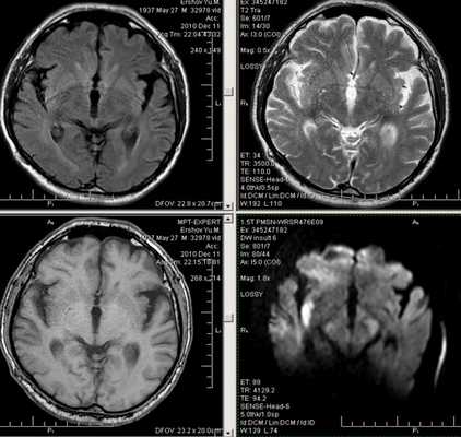
Первые часы ОНМК. Изменения в области правого островка демонстрирует только программа DW insult.
В отличие от преходящих нарушений мозгового кровообращения для инсультов характерны стойкие нарушения мозговых функций различной степени выраженности.
Инсульты по характеру патологического процесса делят на ишемические и геморрагические.
Ишемический инсульт.
В списке заболеваний, приводящих к формированию ишемического инсульта, на первом месте находится атеросклероз, зачастую на фоне сахарного диабета. Кроме того частой причиной выступает гипертоническая болезнь, также в сочетании с атеросклерозом.
Между тем существует множество заболеваний, способных осложняться инсультом, из которых следует назвать клапанные пороки сердца с эмболиями, гематологические заболевания (лейкозы, эритремии), васкулиты при коллагенозах.
Этиопатогенетическим фактором, непосредственно приводящим к снижению тока крови по сосудам, является стеноз и окклюзия сосудов головного мозга. В части случаев роль играют сосудистые мальфомации и (достаточно редко) шейный остеохондроз с патологией межпозвонковых дисков - при инсультах в вертебро-базиллярном бассейне.
Триггерным фактором в развитии инсульта нередко выступает психическое и физическое перенапряжение (стресс, переутомление, перегрев, переохлаждение).
Главным патогенетическим условием развития инсульта является дефицит притока крови к определенному участку вещества головного мозга с формированием зоны гипоксии и дальнейшим некрозообразованием. Величина участка ишемического инсульта зависит от степени развития коллатерального кровообращения.
Клинически ишемический инсульт характеризуется преобладанием очаговой симптоматики над общемозговой, а также тесной связью очаговых симптомов с бассейном кровоснабжения конкретного сосуда головного мозга.
Симптоматика нарастает постепенно, на протяжении нескольких часов, а иногда и дней. Возможна смена нарастания симптомов их ослаблением (мерцание симптомов на начальных этапах инсульта).
Ишемический инсульт наиболее часто развивается в каротидном бассейне. В вертебро-базиллярном - несколько реже.
При поражениях крупных (магистральных) артерий развиваются обширные, территориальные, инсульты соответственно зоне кровоснабжения пораженного сосуда. Вследствие повреждения мелких артерий формируются лакунарные инсульты с мелкими очагами поражения.

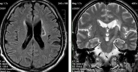
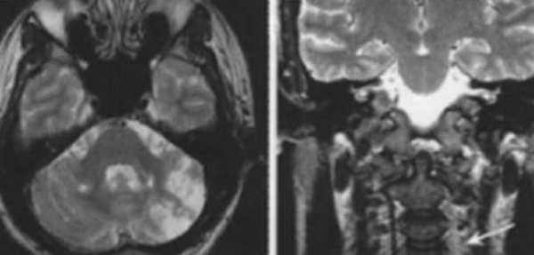
Бассейн кровоснабжения левой верхней мозжечковой артерии, острая стадия НМК.

Зона подострого ишемического НМК, в бассейне правой средней мозговой артерии. В режиме Т1 визуализируется симтом «вуалирования»- изоинтенсивность МР-сигнала.

Подострая стадия ишемического НМК. При внутривенном контрастировании определяется накопления КВ в бороздах на уровне зоны ишемии (гиральный тип усиления).

Зона хронического ишемического НМК, в бассейне левой задней мозговой артерии.

Ишемическое ОНМК, ствол мозга (подострый период)

Одно из преимуществ МРТ в оценке последствий инсульта - возможность визуализировать нисходящую Валлеровскую дегенерацию аксонов в стволе мозга и кортико-спинальном тракте на стороне поражения.

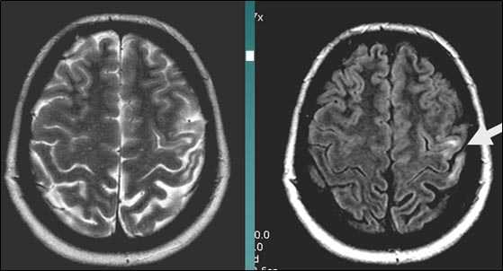
Кортикальное ишемическое НМК

Лакунарное ишемическое ОНМК на фоне хронической сосудистой недостаточности.
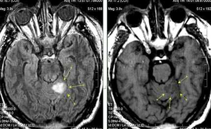
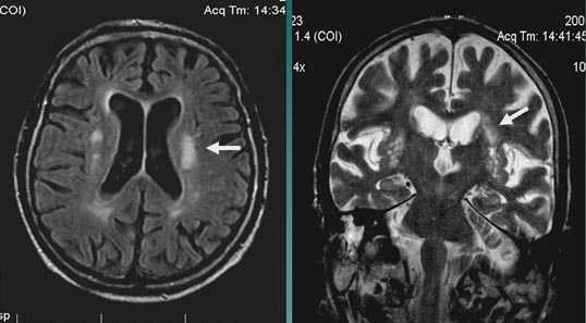
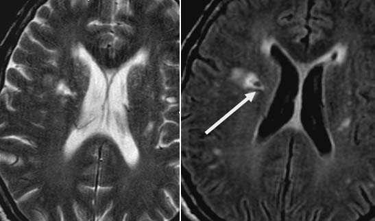
Некоторые инфаркты при дисциркуляторной энцефалопатии протекают бессимптомно. Это «немые» инфаркты, которые, как правило, локализуются в глубоких отделах мозга и диагностируются только при МРТ. Этот случай показывает возможности выявление очага ограниченного ишемического ОНМК базальных ядер слева на фоне хронической ишемии.

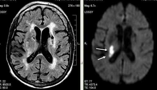
Выраженная сосудистая энцефалопатия с наличием множественных очагов хронической ишемии, лакунарных постишемических кист. Программа ДВИ четко показывает фокус острого ОНМК в базальных ядрах справа на фоне лейкодистрофии.

Ишемической инсульт в бассейне левой средней мозговой артерии. Отсутствие феномена пустоты потока на уровне интракраниального отдела левой ВСА (признаки замедления кровотока).

Ишемический инсульт в ВББ слева. Отсутствие феномена пустоты потока на уровне экстракраниального отдела левой позвоночной артерии (признаки замедления кровотока).

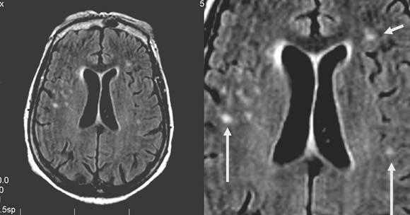
Постишемическая лакунарная киста с перифокальным глиозом (средняя треть corona radiata справа)
Геморрагический инсульт.
Развитие геморрагического инсульта чаще всего обусловлено гипертонической болезнью на фоне атеросклероза. В некоторых случаях причиной кровоизлияний может быть патология судов (врожденные ангиомы, аневризмы сосудов), а также другие причины артериальной гипертензии (феохромацитома, заболевания почек, СКВ, аденома гипофиза и др.).
происходит пропитывание плазмой крови стенки сосуда с нарушением ее трофики и последующей деструкцией, формированием микроаневризм, разрывами сосудов и выходом свободной крови в вещество головного мозга, т.е. развитие инсульта по типу гематомы. Кроме того возможно формирование инсульта по типу геморрагического пропитывания, в основе которого лежит механизм диапедеза.
В случаях кровоизлияний в мозг, обусловленных разрывом сосуда, зачастую происходит прорыв крови в желудочки мозга или субарахноидальное пространство.
Нередко крупный геморрагический инсульт сопровождается выраженным отеком, что приводит к смещению срединных структур головного мозга, различным типам вклинения, деформациям ствола мозга с последующим развитием вторичных мелких кровоизлияний.
Развитие геморрагического инсульта происходит, как правило, днем, во время активной физической деятельности. Характерно появление как общемозговых, так и очаговых симптомов. Внезапная резкая головная боль, нарушение сознания, тахикардия, учащенное громкое дыхание, развитие гемипареза или гемиплегии - типичные начальные симптомы кровоизлияния. Нарушение сознания варьирует от сопора до глубокой комы с утратой всех рефлексов, нарушением ритма дыхания, значительным повышение артериального давления, гиперемией кожных покровов, потоотделением, напряженным пульсом. Иногда отмечаются анизокария, расходящееся косоглазие, парез взора, гемиплегия, редко - менингиальные симптомы.

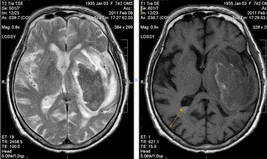
Внутримозговая гематома (граница острой и ранней подострой стадий - 3 суток), осложнившаяся внутрижелудочковым кровоизлиянием.

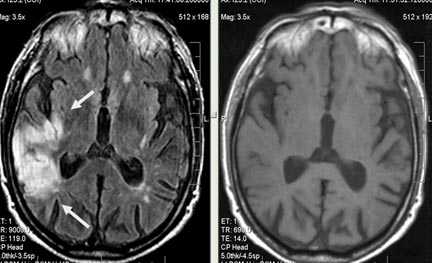
Внутримозговая гематома, поздний подострый период (14-21 день) с перифокальным отеком вокруг гематомы.

Внутримозговая гематома правой теменной доли. Граница поздней подострой и ранней хронической стадии. В Т2-ВИ виден ободок гемосидерина (стрелка).
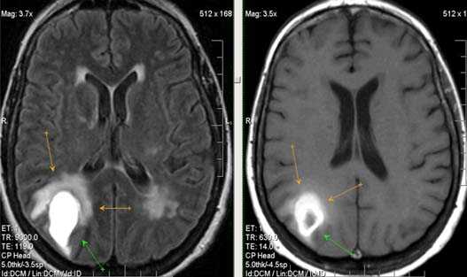
Хочется подчеркнуть возможность МРТ в выявлении последствий геморрагического поражения - остается хорошо дифференцируемый по Т2 ободок гемосидерина, недоступный для визуализации при других методах нейровизуализации.

Стрелками показан ободок гемосидерина по периферии постишемической кисты.
2. Хронические нарушения мозгового кровообращения
Хронические нарушения мозгового кровообращения - это прогрессирующая форма цереброваскулярной патологии, характеризующаяся многоочаговым или диффузным ишемическим поражением головного мозга с постепенным развитием неврологических и психологических нарушений.
Основными причинами, вызывающими хроническое расстройство мозгового кровообращения, являются артериальная гипертензия, атеросклероз сосудов головного мозга, заболевания сердца, сопровождающиеся сердечной недостаточностью.
Клинически хронические нарушения мозгового кровообращения проявляются расстройствами в эмоциональной сфере, нарушением равновесия, ходьбы, ухудшением памяти и др. когнитивных функций, псевдобульбарными нарушениями, нейрогенными расстройствами мочеиспускания, приводящие со временем к дезадаптации больных.
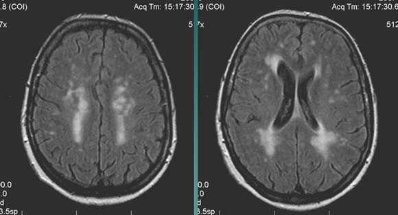
Характерным проявлением ДЭП на МР-томограммах является наличие множественных очагов глиоза.

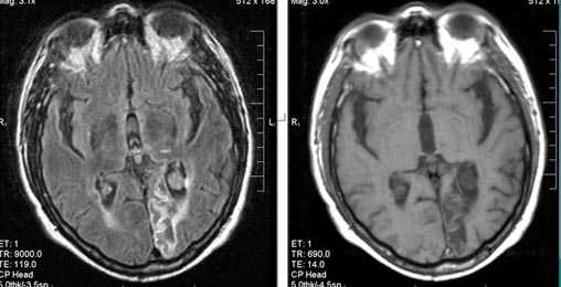
В белом веществе левой лобной и обеих теменных долей, преимущественно субкортикально, выявлены множественные мелкие очаги хронической ишемии (большинство локализованных в бассейне правой средней мозговой артерии).
Проявлением хронической ишемии является также развитие выраженных дистрофических изменений белого вещества паравентрикулярной локализации - лейкоареоз.

Выраженные дистрофические изменения белого вещества паравентрикулярной локализации - лейкоареоз.

Сочетание мультифокальных очаговых изменений с диффузной кортикальной церебральной атрофией.
Нарушение мозгового кровообращения причины, симптомы, методы лечения и профилактики
Нарушение мозгового кровообращения — это расстройства здорового перемещения крови по сосудам головного мозга. Возникает из-за хронических патологий кровеносной и сердечно-сосудистой систем, регулярно высокого артериального давления, образования тромбов и аневризм. Сопровождается головными болями, головокружением, снижением умственных способностей, памяти, внимания. При появлении болезни нарушается координация движений, обостряются такие патологии, как эпилепсия, ишемия, гипертония. При нарушении кровообращения головного мозга следует строго соблюдать рекомендации врача и постоянно проходить медосмотр для исключения осложнений.

Клиники ЦМРТ более 10 лет специализируются на консервативном лечении нарушений мозгового кровообращения. Центры оснащены современным экспертным оборудованием для точной диагностики, эффективного лечения и реабилитации. Опытные специалисты применяют индивидуальный подход, составляя комплекс лечебных мероприятий, направленных на борьбу с патологией на всех стадиях.
Запишитесь на прием к неврологу
Поставить точный диагноз, определив причины и характер заболевания, назначить эффективное лечение может только квалифицированный врач на очном приеме.
Запишитесь к врачу через онлайн-форму на сайте или по телефону
Невролог
стаж 8 лет
Невролог • Остеопат • Мануальный терапевт
стаж 28 лет
Невролог • Остеопат • Реабилитолог • Вертебролог • Рефлексотерапевт
стаж 37 лет
Адреса лечебных клиник в Москве
Причины нарушения мозгового кровообращения
Система кровоснабжения мозга устроена таким образом, что кровеносные сосуды в голове обеспечивают бесперебойный кровоток. Движение крови по артериям и капиллярам обеспечивает весь организм кислородом и питательными веществами для стабильной жизнедеятельности. Малейшие сбои механизма тормозят передачу импульсов головного мозга. Причинами могут быть:
- хроническая гипертония (повышенное артериальное давление);
- ревматические расстройства работы сердца;
- дегенерации в шейном отделе позвоночника;
- патологии сердца и кровеносных сосудов;
- повреждения сердечных клапанов;
- неврологические отклонения;
- избыточное физическое напряжение;
- частые стрессы и нервные потрясения;
- черепно-мозговые травмы;
- внутримозговое кровоизлияние;
- атеросклероз сосудов;
- избыток холестерина в крови;
- остеохондроз;
- сколиоз.
Статью проверил
Дата публикации: 24 Марта 2021 года
Дата проверки: 24 Марта 2021 года
Дата обновления: 24 Октября 2022 года
Содержание статьи
Симптомы
- Головокружения, продолжительный головные боли, шум в ушах;
- дискомфорт или болевой синдром в глазах при повороте или наклоне головы;
- частичная утрата зрения и слуха, запутанное мышление, потеря сознания;
- тошнота, рвота без причины;
- снижение вкусовых способностей и чувствительности языка;
- затруднения глотания и дыхания;
- онемение или покалывание конечностей;
- бледность кожи, изменение цвета глазных белков;
- судороги и спазмы лицевых мышц;
- обострение эпилептических припадков;
- внезапный озноб или жар, беспричинное повышение температуры тела;
- раздвоение в глазах, яркие искры и точки;
- неконтролируемая координация движений;
- снижение интеллекта, провалы в памяти;
- задержка умственного развития;
- временные парезы тела и лица;
- увеличенное потоотделение;
- затруднения речи;
- общая слабость;
- сонливость.
Стадии развития нарушения мозгового кровообращения
Скорость и особенности развития болезни зависят от формы протекания:
- Острая. Возникает внезапно, характеризуется резким проявлением симптомов и коротким течением болезни.
- Хроническая. Представляет собой постоянные расстройства кровотока в головном мозге, которые периодически обостряются.
Различают три стадии развития хронической формы:
- Первая. Выражается в постоянной усталости, рассеянности, необоснованной агрессии и вспыльчивости. Наблюдается быстрая утомляемость, раздражительность, смена настроения, незначительные провалы в памяти. Возникает мигрень, нарушается режим сна и отдыха.
- Вторая. Сопровождается нестабильностью походки, значительным ухудшением памяти, снижением концентрации внимания, медленным восприятием внешних факторов. Пациент слышит шум в ушах и голове, не уверен в себе, часто хочет спать, может впасть в депрессию или совершить суицид. Начинается деградация личности.
- Третья. Происходит обострение всех симптомов, отклонения в умственном развитии и мышлении, потеря памяти. Функции опорно-двигательного аппарата спутаны, наблюдается тремор конечностей, судороги и спазмы. Речь бессвязная, возможны галлюцинации.
Разновидности
Виды заболевания классифицируют по исходной причине появления, степени распространения и признакам. Определить конкретный тип патологии может врач после диагностики.
Острое нарушение мозгового кровообращения
ОНМК характеризуется неожиданным и длительным расстройством деятельности головного мозга. Проявляется в виде инсульта, инфаркта и кровоизлияний в мозг. Чаще всего случается при атеросклерозе. Бывает разных типов:
- Транзиторный. Затрудняется речь и мышление, немеют конечности и пальцы, меняется походка и движения при ходьбе.
- Церебральный. Сбивается сон, краснеет лицо и шея, болят глазницы, уши закладывает или появляются шумы, возможна тошнота и рвота.
- Ишемический. Возникает вследствие резкого сокращения количества крови, продаваемой в мозг по сосудам, инсульта, отмирания нейронов и мягких тканей.
- Геморрагический. Развивается после повреждения целостности микрососудов или разрыва сосудистых стенок, что провоцирует кровоизлияние.
Преходящее нарушение мозгового кровообращения (ПНМК)
Представляет собой острые ишемические и транзиторные атаки, которые проходят самостоятельно в течение суток. Появляется из-за патологий кровоснабжения, сердечно-сосудистой системы, проблем в офтальмологии, иммунологии, эндокринологии, а также при наличии аневризмов или тромбов.
Дисциркуляторное нарушение мозгового кровообращения
Другое название — дисциркуляторная энцефалопатия. Этот тип — хроническая форма болезни, которая говорит о недостатке крови в головных сосудах. Медленно прогрессирует, но стремительно поражает ткани, вызывая их омертвение и сбои естественных функций. Возникает вследствие атеросклероза или хронической гипертонии
Диагностика
Чтобы поставить диагноз, необходимо обратиться к неврологу или невропатологу. Специалист проводит опрос и осмотр пациента, после чего направляет его на обследования:
- КТ и МРТ. Подробно изучают и передают информацию о ходе инсульта и его последствиях.
- Эхоэнцефалоскопию. Показывает объём и локацию повреждений структур.
- Транскраниальный допплер. Оценивает и показывает подробное течение ишемического инсульта.
В сети клиник ЦМРТ возможно обследоваться с помощью таких методик:
МРТ (магнитно-резонансная томография)
УЗИ (ультразвуковое исследование)
Дуплексное сканирование
Компьютерная топография позвоночника Diers
Чек-ап (комплексное обследование организма)
КТ (компьютерная томография)
К какому врачу обратиться
Для сбора и анализа симптомов обратитесь к терапевту. Он выдаст направление к более узким специалистам: неврологу, который занимается нарушениями кровообращения, офтальмологу и другим.
Острое нарушение мозгового кровообращения причины, симптомы, методы лечения и профилактики
Инсульт или острое нарушение мозгового кровообращения - состояние, требующее экстренной госпитализации и проведения различных медицинских мероприятий. Для него характерна общемозговая или неврологическая симптоматика, сохраняющаяся на протяжении 24 часов. Инсульт бывает ишемическим и геморрагическим. В первом случае причиной патологии считается окклюзия сосудов мозга, во втором - разрыв сосудов на фоне кровоизлияния в мозг.
Резкое прогрессирование инсульта может привести к летальному исходу, поэтому важно оказать пациенту грамотную медицинскую помощь. Раньше ишемический инсульт в основном диагностировался у пожилых людей, но сейчас он встречается и у лиц младше 40 лет.

Причины острого нарушение мозгового кровообращения
Патология возникает вследствие таких причин:
- повышенное артериальное давление;
- заболевания сердца и сосудов;
- шейный остеохондроз;
- транзиторные ишемические атаки;
- заболевания крови;
- генетическая предрасположенность;
- сахарный диабет;
- наследственная тромбофилия;
- атеросклероз сонных артерий;
- хронический стресс;
- курение и злоупотребление спиртными напитками;
- малоподвижный образ жизни;
- наличие избыточного веса;
- интоксикация на фоне чрезмерного приема медикаментов.
Если имеется несколько причин, то существенно возрастает риск кровоизлияния в голове.
Ишемический инсульт сопровождается следующими симптомами:
- головная боль;
- тошнота и рвота;
- нарушение чувствительности;
- слепота на один глаз;
- нарушение речи;
- угнетение состояния;
- светобоязнь;
- ригидность шейных мышц;
- симптом Кернига.
После визуального осмотра врач фиксирует неврологические и общемозговые нарушения, характерные для инсульта. Чтобы подтвердить диагноз, используются такие методы диагностики:
- Анализ крови. Позволяет обнаружить признаки сгущения крови.
- Магнитно-резонансная томография. Предназначена для выявления поражений в головном мозге, определение их локализации и размеров.
- Ультразвуковое исследование экстракраниальных артерий. Помогает изучить состояние артерий за пределами черепной коробки.
- Электрокардиограмма. Выявляет нарушения ритма сердца.
- Транскраниальная допплерография. Исследование артерий в черепной коробке.
- Ультразвуковое исследование сердца. Позволяет найти тромбы в полостях сердца.
В зависимости от причин, различают 5 форм ишемического инсульта:
- Атеротромботический. Возникает вследствие атеросклероза крупных артерий.
- Кардиоэмболический. Причиной выступает аритмия, клапанный порок сердца или инфаркт миокарда.
- Лакунарный. Развивается при нарушении проходимости мелких артерий.
- Ишемический инсульт с неустановленной причиной.
- Ишемический инсульт, возникающий на фоне редких заболеваний.
Диагностикой и лечением ишемического инсульта занимаются неврологи и реаниматологи.

Шехбулатов Арслан Висрадиевич

Ефремов Михаил Михайлович

Ливанов Александр Владимирович

Соловьев Игорь Валерьевич

Славин Дмитрий Вячеславович
Коновалова Галина Николаевна
Первая помощь при остром нарушении мозгового кровообращения
Для облегчения состояния больного до приезда скорой помощи следует выполнить ряд действий:
- Обеспечить доступ воздуха в помещение.
- Ослабить галстук или пояс для облегчения дыхания и кровообращения.
- Слегка приподнять голову, уложить больного на бок, поскольку возможно выделение рвотных масс. Именно такое положение тела позволит ими не захлебнуться.
- Опустить ноги пострадавшего в теплую воду для перераспределения крови в организме.
- Измерить с помощью тонометра артериальное давление. Если оно повышено, то нужно дать больному лекарственное средство, прописанное ему лечащим врачом для нормализации давления. При этом запрещено принимать еду и питье.
- Измерить температуру тела. Если температура более 38 градусов, больному нужно дать 2 таблетки Парацетамола. Другие жаропонижающие препараты категорически запрещены. При отсутствии Парацетамола можно положить на голову лед.
По приезду врачей необходимо детально описать наблюдаемые симптомы инсульта, запомнить время, когда произошел удар. Эти сведения помогут поставить диагноз.
Базисная терапия включает такие мероприятия:
- борьба с головной болью;
- коррекция и контроль артериального давления;
- купирование судорог;
- контроль уровня глюкоза в крови;
- контроль и коррекция работы сердца;
- поддержание водно-электролитного баланса;
- кислородотерапия по показаниям.
Лечение
Устранить отек мозга помогут диуретические средства. Во время нахождения пациента в стационаре важно периодически поворачивать его с боку на бок для профилактики пролежней. Если он в сознании, то следует начинать пассивную стимуляцию мышц и речевую гимнастику.
Для предотвращения ухудшений при появлении бляшек в сосудах назначают статины. Они снижают общее количество липидов и устраняют холестериновые отложения. Также в курс лечения могут входить блокаторы кальциевых каналов, блокаторы рецепторов ангиотензина II и ингибиторы АПФ.

Мануальная терапия

Внутримышечные инъекции

Внутривенные инъекции

Инъекционные блокады

Кинезиотейпирование

Внутрисуставные уколы, инъекции

Физиотерапия

Лечебный массаж

Изготовление индивидуальных ортопедических стелек Формтотикс

Рефлексотерапия

Озонотерапия

Плазмотерапия

SVF-терапия суставов
Комплексная реабилитация на многофункциональном тренажере Aidflex MFTR
Лечебная физкультура (ЛФК)
Внутривенное лазерное облучение крови
Внутритканевая электростимуляция
Ударно-волновая терапия (УВТ)
Реабилитация
После выписки из больницы для ускорения процесса выздоровления пациент проходит необходимую реабилитацию под контролем врача. В зависимости от тяжести патологии, реабилитационный период может затянуться до нескольких лет. Если пренебрегать рекомендациями врача, то в ближайшие 6 месяцев может произойти повторный удар, но в более тяжелой форме.
Для восстановления утраченных функций и навыков понадобится помощь эрготерапевта. После острого нарушения мозгового кровообращения полезно делать массаж и заниматься лечебной физкультурой. Комплекс упражнений разрабатывается индивидуально, чтобы предотвратить растяжения и перегрузки. Эффективно заниматься на специальных тренажерах под наблюдением врача. Кроме того, людям, перенесшим инсульт, назначают бальнеотерапию, парафинотерапию, электротерапию и иглорефлексотерапию.
Чтобы восстановить речь, необходимо заниматься с логопедом. Для нормализации эмоционального состояния требуются консультации с психотерапевтом.
Важно обеспечить пациенту полноценный сон, прогулки на свежем воздухе и специальную диету. Ежедневно следует употреблять свежие овощи и фрукты, ограничить прием соли и калорийность рациона, исключить алкогольные напитки. Для нормализации уровня холестерина в крови нужно ограничить потребление жирных сортов мяса, сливочного масла и молочных продуктов. Полезно включить в рацион следующие продукты:
- авокадо;
- апельсины;
- бананы;
- картофель;
- орехи;
- семечки;
- шпинат.
Хирургическое лечение
Хирургическое вмешательство показано в том случае, если закупорку артерий не удалось убрать с помощью медикаментов. В ходе операции в закупоренный сосуд вводят устройство, которое захватывает тромб и удаляет его.
Осложнения
В большинстве случаев инсульт вносит изменения в жизнь пациента. Осложнения после геморрагического инсульта считаются более тяжелыми, чем ишемического. В 80% случаев пациенты после перенесенной патологии становятся инвалидами. После выписки с больницы пациенту требуется посторонняя помощь и поддержка для восстановления двигательной активности. Степень тяжести осложнений зависит от остроты инсульта и от того, какая часть головного мозга была поражена.
К последствиям инсульта относят:
- односторонний или полный паралич тела;
- онемение и потеря чувствительности кожи;
- затрудненная ходьба;
- нарушение глотания;
- ухудшение или потеря слуха и речи;
- снижение интеллекта;
- нарушение координации движений;
- паралич тазовых органов;
- изменение психического состояния и характера;
- потеря навыков самообслуживания.
Восстановление у пожилых пациентов происходит значительно дольше и тяжелее. У пациентов младше 40 лет минимальное количество неврологических нарушений, а гематома имеет не обширный масштаб. На благоприятный прогноз влияет отсутствие аритмий, сердечно-сосудистых заболеваний, нормальное артериальное давление. Повышается шанс на выздоровление у людей, чья профессиональная деятельность связана с интеллектуальным трудом.
Профилактика
Для предотвращения острого нарушения мозгового кровообращения рекомендуется соблюдать такие правила:
- Своевременно лечить заболевания, способствующие развитию инсульта.
- Отказаться от алкоголя и курения.
- Откорректировать массу тела.
- Вести активный образ жизни.
- Ограничить потребление жирных и жареных продуктов.
- Поддерживать умственную деятельность с помощью решения кроссвордов, чтения книг и написания текстов.
Источники
«Современное состояние проблемы острых нарушений мозгового кровообращения». А. С. Ярош, Н. А. Филина, Л. А. Пирогова, 2014.
«Медицинская помощь и ее организация больным с острым нарушением мозгового кровообращения». Л. М. Тибекина, 2013.
«Острые нарушения мозгового кровообращения: структура факторов риска». В. Н. Бутиков, В. В. Дудайте, Г. О. Пенина, 2009.
«Когнитивная дисфункция у больных в остром периоде острого нарушения мозгового кровообращения». Н. А. Низовка, Н. Н. Страмбовская, Л. А. Суранова, 2008.
Нарушение мозгового кровообращения

Головной мозг относится к главному руководящему центру всего организма, он отвечает за координацию слаженной работы всех тканей и систем, полноценную работу внутренних органов. Высшая деятельность, речь, мышление, восприятие, движение — все это области ответственности мозга. Поэтому полноценное поступление к нему глюкозы и кислорода, и многих других необходимых для жизнедеятельности субстратов, должно происходить непрерывно и в приоритетном порядке.
Особенности снабжения кровью и работы клеток таковы, что именно ткань, даже при условии проблем организма и при наличии различных патологий, снабжается кровью в первую очередь (наряду с сердечной мышцей), чтобы обеспечить работу всех остальных органов и систем. В современной медицине уделяется большое внимание такой проблеме как нарушение кровоснабжения головного мозга острого и хронического происхождения, так как из-за этой патологии с каждым годом растет процент так называемых «молодых смертей», а также случаев инвалидизации с серьезными и необратимыми последствиями.
40-50 лет назад серьезные случаи регистрировались в основном у людей преклонного возраста, перешагнувших рубеж 60-летия, сегодня нередко проблемы с кровотоком выявляются у пациентов в возрасте 30-40, а в ряде случаев и до 30 лет. Такая тенденция опасна, поскольку молодые люди сталкиваются с полной нетрудоспособностью, инвалидностью и невозможностью самостоятельного передвижения в результате перенесенного инсульта.
Мозговое кровообращение в нормальных условиях

За счет особого строения сосудов процесс снабжения кровью клеток осуществляется непрерывно и полноценно в любых условиях, будь то отдых и сон или активная деятельность в периоды стрессов и напряженной работы. Посредством регуляции тонуса - полушария и ствол получают необходимые вещества непрерывно и в необходимом объеме, даже если возрастают физические нагрузки или требуется умственное сосредоточение. Это возможно за счет перераспределения тока крови от одних отделов к другим, где в данный момент требуется поступление большего объема кислорода и питания.
При различных отклонениях от нормы в силу возрастных особенностей или различных патологий, формируются нарушения кровообращения головного мозга, имеющие острые формы или хроническое, неуклонно прогрессирующее течение. В результате нарушений тонуса капилляров и вен или процесса распределения крови по областям, блокируется поступление к клеткам кислорода и глюкозы, из-за чего они прогрессивно отмирают. Учитывая то, что нейроны не обладают способностью к регенерации, функции в зоне погибших клеток утрачиваются безвозвратно.
Обычно плохой кровоток головного мозга формируется в силу резкого сужения просвета капилляра, вызванного спазмом или различными патологическими процессами внутри него, а также перекрытием его просвета (обтурация) бляшкой, тромбом или эмболом. Нарушение тока крови по сосудам приводит к обескровливанию определенных участков (ишемия).
Причины нарушения
Если говорить об основных причинах и сопутствующих факторах, приводящих к данному отклонению, можно выделить следующие:
- Влияние возраста. Обычно проблемы с кровотоком развиваются после 45-55 лет, а также генетическая предрасположенность.
- Значительно выше риск повреждения мозга при наличии ранее имевших место травм головы (сотрясения, ушибы).
- Могут приводить к нарушению кровообращения в голове вредные привычки и наличие лишнего веса в связи с изменением баланса жиров и накоплением холестерина на стенках капилляров.
- Недостаток двигательной активности, особенно в комбинации с хроническим стрессом и высокой эмоциональностью.
- Существенное влияние оказывают такие патологии как сахарный диабет, гипертензия любого генеза, проблемы с сердцем, приводящие к нарушению гемодинамики.
- Способствуют формированию заболевания и нарушения свертывания крови как со склонностью к тромбозу, так и с усиленной кровоточивостью.
- Одной из достаточно распространенных проблем, имеющих прогрессирующий характер, является нарушение кровотока в области шейного отдела позвоночника при остеохондрозе, из-за чего страдает и ток крови в артериях.
Что такое нарушение мозгового кровообращения?

Исходя из перечисленных причинных факторов, можно ответить на вопрос, что это за патология. Это проблемы капилляров, в результате формирования которых постоянно или периодически нарушается доставка к нейронам (определенной зоны коры или подкорковых образований) кислорода и питательных веществ, в силу чего они страдают от гипоксии и «голода», а при длительно существующей проблеме - прогрессивно отмирают. Соответственно, функционирование зон, страдающих от гипоксии и дефицита питательных веществ, нарушается, что отражается на работе организма в целом.
Если плохое кровообращение в голове формируется на небольшом участке, соседние нейроны могут взять на себя утраченные пораженными клетками функции, и внешне на организме это может не отразиться. Но гибель большого участка коры или подкорки, или ствола грозит серьезными чувствительными или двигательными расстройствами, необратимыми изменениями и даже гибелью пациента при отсутствии своевременной медицинской помощи.
Виды нарушений кровотока головного мозга
Исходя из времени возникновения и длительности воздействия, все возможные нарушения можно разделить на две большие группы.
- Острые процессы, возникающие внезапно, на фоне полного здоровья, приводящие к резким и выраженным изменениям как кратковременного и обратимого характера (транзиторные ишемические атаки), так и необратимого характера (инсульты ишемического и геморрагического типов).
- Хронически протекающие поражения или так называемая прогрессирующая дисциркуляторная энцефалопатия (поражение ткани в результате дефицита питания и гипоксии).
Острое нарушение
Если прицельно рассматривать именно острое заболевание, состояние возникает резко, на фоне провоцирующих факторов или через некоторое время после их воздействия, и приводит к серьезным и выраженным расстройствам в работе.
По типу поражения можно выделить три варианта:
- геморрагический инсульт (кровоизлияние);
- ишемический инсульт (инфаркт мозга);
- транзиторная ишемическая атака (преходящие ишемические расстройства).
Геморрагический инсульт возникает при разрыве капилляра, пораженного атеросклерозом или иной патологией, на фоне повышения давления внутри его просвета, травматического воздействия или врожденных аномалий. В результате происходит излитие определенного объема крови в область серого вещества и пропитывание ею клеток, их сдавление и нарушение функций, что приводит к отмиранию определенной зоны коры или подкорки, иных структур.
К основным симптомам относят возникновение приступа днем, на фоне физической активности или эмоциональных переживаний, начинающегося с внезапной головной боли и тошноты, спутанности сознания на фоне учащения и затруднении дыхания, тахикардии (частое сердцебиение). Типичны односторонние поражения конечностей и лица (паралич, гемиплегия), с утратой рефлексов, разным размером зрачка, параличом взгляда и косоглазием.
Ишемический инсульт возникает на фоне длительного спазма или закупорки их тромбом или эмболом. Способствует сужению просвета сосудов наличие атеросклеротического их поражения, из-за чего изначально уже нарушено кровообращение головного мозга, но оно может компенсироваться дополнительными обходными анастомозами.
При провоцирующих факторах (стресс, волнение, тяжелые нагрузки), в период ночного сна или при пробуждении могут возникать резкие спазмы или тромбы, в силу чего появляются патологические симптомы:
- внезапно возникающая или нарастающая головная боль;
- паралич на противоположной очагу стороне тела;
- расстройства координации движений, неустойчивость походки;
- расстройства речи и зрения.
ТИА (транзиторная ишемическая атака), или преходящие расстройства кровотока, типичны для гипертензии или атеросклероза. Проявления обычно кратковременны и обратимы, постепенно проходят по мере восстановления кровотока и длятся не более суток.
К проявлениям ТИА, в зависимости от локализации ишемии, относятся следующие:
- онемение половины тела, противоположной очагу поражения;
- кратковременный паралич конечностей или парез (частичное поражение);
- онемение лица, расстройства речи;
- приступы эпилепсии;
- слабость в ногах и руках, головокружения, нарушения глотания и звукопроизношения;
- расстройства зрения с вспышками в глазах, точками, двоением предметов;
- провалы в памяти, потери ориентации.
Основные признаки нарушения мозгового кровообращения при наличии артериальной гипертензии, особенно кризового течения - специфические. К ним относят сильную головную боль с ощущением давления в области глазных яблок, постоянное ощущение сонливости, заложенность ушей (как в самолете), приступы тошноты и рвоты. На фоне этих симптомов краснеет лицо и резко усиливается отделение липкого холодного пота, подобные проявления приводят к страху смерти, но проходят на протяжении суток.
Хроническое нарушение мозгового кровообращения

Помимо острых расстройств, имеющих яркую клиническую симптоматику, существуют хронические нарушения кровотока (ХНМК). Механизмы патологии связаны с постепенно ухудшающимся притоком крови в силу различных изменений в капиллярах. То есть, если дать определение ХНМК - что это такое, можно сказать, что это прогрессирующее состояние, возникающее на фоне патологических изменений сосудов (спазм и сужение их просвета, образование бляшек, склерозирование), приводящее к хронической гипоксии и дефициту питания ткани. На фоне этой проблемы формируется особая патология - дисциркуляторная энцефалопатия (ДЭП), при ней кора буквально «утыкана» мелкими очагами отмирания клеток, из-за чего происходит прогрессивное расстройство его основных функций.
Первоначально изменения малозаметны, дефицит питания и кислорода компенсируется усилением скорости кровотока и компенсаторными его возможностями. По мере прогрессивной гибели нейронов постепенно нарастают и становятся все более яркими и выраженными. С годами это приводит к нарушению памяти, когнитивных функций и даже навыков самообслуживания, к проблемам сна, питания и физиологических отправлений. Люди с тяжелой ДЭП получают инвалидность и требуют постоянного ухода и надзора.
По типу нарушений можно выделить три варианта патологии:
- Ангиоспастический тип нарушения мозговой гемодинамики, при котором снижается количество крови в артериях с повышением их тонуса, при этом отток крови по венам вполне нормальный. Спазмы артерий становятся причиной вечерних головных болей, раздражительности, проблем со зрением (двоение, мушки) и координацией движений.
- Ангиогипотонический тип нарушений с понижением тонуса артериальных сосудов и сложностями в плане венозного оттока. Проявляется в виде «распирающих» головных болей в зоне затылка по ночам или утром, особенно при приеме горизонтального положения, формированием отека в области век, тошнотой, сонливостью и заторможенностью.
- Смешанный тип имеет признаки всех описанных вариантов нарушения мозговой гемодинамики.
Хроническая болезнь длится много лет, неуклонно прогрессирует даже на фоне лечения, приводит изначально только к обменным сдвигам, затем к формированию грубой органической симптоматики. В последней стадии ХНМК являются причиной инвалидности и полной беспомощности пациентов.
Острое нарушение мозгового кровообращения

Одной из главных проблем в неврологии и нейрохирургии сегодня считается нарушение кровоснабжения головного мозга как острого, так и хронического происхождения, приводящее к временным или стойким негативным последствиям для пациента. Связано это с повреждением различных структур головного мозга (нейронов коры, подкорковых и стволовых образований) вследствие дефицита питательных элементов и кислорода, которые не могут полноценно и в достаточном объеме доставляться в область через патологически измененные сосуды. Одним из самых тяжелых в плане прогноза для здоровья и жизни, лечения и реабилитации пациента является острое нарушение мозгового кровообращения (обычно в медицинской документации его сокращают как ОНМК), при котором развиваются транзиторные (преходящие) ишемические атаки, а также велик риск инсульта по ишемическому (инфаркт) или геморрагическому типу (кровоизлияние).
Причины ОНМК
Для развития этой патологии необходимы причины, которые изменяют строение и тонус капилляров, мешая полноценной доставке крови, богатой кислородом и питательными веществами в головной мозг.
Основными факторами риска являются сосудистые патологии (аневризмы, васкулиты, поражения атеросклерозом) или артериальная гипертензия, особенно с кризовым течением.
Еще до развития серьезных проблем можно выявить минимальные проявления, типичные для атеросклеротического поражения вен и артерий. К ним относят расстройства сна и головные боли, снижение работоспособности, особенно к вечеру, периодически возникающие головокружения и ощущение шума в голове. Могут отмечаться раздражительность и нервозность; сильная эмоциональность с резкими переходами от радости к слезам; снижение слуха и памяти; рассеянность; снижение концентрации внимания; периодически возникающие неприятные ощущения на коже в виде покалываний, ползания мурашек.
Нередки симптомы неврозов - астенического, ипохондрического или депрессивного.
Опасными в плане инсультов или транзиторных ишемических атак становятся учащающиеся гипертонические кризы, приводящие к резкому спазму кровеносных сосудов, расстройство водно-электролитного баланса и реологических свойств крови (она сгущается, делается вязкой, хуже протекает по капиллярам). Перечисленные патологические изменения приводят к стимуляции надпочечников, увеличивающих выделение вазопрессорных (сужающих) факторов, что, в свою очередь, способствует развитию временного или постоянного сосудистого спазма.
Наличие сосудистой патологии, беспокоящих симптомов, плохого самочувствия — серьезный повод для начала профилактического лечения с целью предотвращения острой формы болезни.
Острое нарушение мозгового кровообращения: развитие патологии

Чтобы понять, что такое ОНМК в медицине, важно определиться, каким образом происходит снабжение кровью головного мозга и какие сбои кровеносной системы наиболее опасны. Шейные артерии поставляют кровь, насыщенную кислородом и питательными веществами, через большое затылочное отверстие в полость черепа. Весь орган густо оплетен сетью артерий и вен с отходящими от них капиллярами, что позволяет полноценно питать нейроны кровью. Для каждой ветви артерии определена своя зона ответственности, а по венам кровь оттекает от головы, постепенно собираясь в крупные сосуды.
Опасны как перебои притока крови по артериям, так и сбой оттока крови по венам (так называемые застойные явления). Обычно острая недостаточность мозгового кровообращения формируется в случаях, когда страдают артерии и происходит их разрыв с кровотечением или закупорка с выраженным спазмом и ишемией определенной зоны. Венозные проблемы более типичны для хронического течения патологических процессов в силу застоя крови в артериях и венах и замедления скорости оттока.
Что такое ОНМК со стойкими нарушениями

По своей сути острое нарушение мозгового кровообращения - это резко возникающее несоответствие между объемами поступающей крови, приносящей кислород и питательные вещества к тканям, с создающимися потребностями. Подобная опасная ситуация возникает в результате стойкой ишемии определенного участка ткани в результате выраженного спазма или перекрытия просвета тромбом или эмболом. По такому механизму развивается ишемический инсульт. Другим вариантом перебоя кровообращения, в результате которого может пострадать головной мозг, является разрыв капилляров с вытеканием крови в ткани, кровоизлияние с образованием гематомы или участка геморрагического пропитывания. Оба варианта относятся к стойким сбоям кровообращения.
Что такое ОНМК преходящего типа

В результате резких и относительно кратких по длительности воздействий могут развиваться транзиторные нарушения, связанные с временным, но ярко выраженным спазмом сосудов. Если говорить о преходящих нарушениях кровообращения, что это такое можно понять, зная основные механизмы их образования. Это временный спазм капилляров в голове, вызванный различными неблагоприятными внешними факторами или внутренними патологическими процессами, приводящий к формированию определенного комплекса негативных симптомов. Неврологические проявления спазма сохраняются в течение от нескольких минут или часов до суток с последующим полным восстановлением всех нарушенных функций.
Подобные состояния относятся к предынсультным, они требуют особого внимания врачей и самих пациентов, так как без адекватного лечения и устранения всех причин, приводящих к данной аномалии, такие сбои грозят развитием в дальнейшем инсульта.
Самыми частыми причинами ТИА (транзиторных ишемических атак) являются следующие:
- артериальная гипертония с кризовым течением, на фоне которой возникают резкие спазмы;
- атеросклеротическое поражение стенок капилляров, приводящее к сужению их просвета, из-за чего приток крови к серому веществу головного мозга уменьшается;
- сердечные аритмии, нарушающие кровообращение, в том числе и зоны головы;
- сердечная недостаточность или острый сосудистый коллапс.
Описать преходящие острые нарушения мозгового кровообращения, что это в плане проявлений - несложно. Все симптомы можно разделить на:
Общемозговые симптомы:
- появление резкой и сильной, мучительной головной боли с головокружениями, приступами тошноты и рвоты;
- возможны кратковременные потери сознания или ощущение оглушенности, дезориентация пациента в пространстве и времени.
Очаговая симптоматика:
- возникновение временных параличей и парезов (частичный паралич отдельной зоны), а также чувства ползания мурашек (парестезии);
- зрительные расстройства с мельканием точек, вспышками света или мушками;
- разнообразные речевые расстройства;
- проблемы координации при ходьбе или движениях конечностей;
- несоблюдение функций отдельных ядер черепно-мозговых нервов (проблемы с открытием рта, миганием глаз, глотанием).
Если диагноз преходящего нарушения кровообращения ставится сразу, и начинаются активные профессиональные лечебные мероприятия по устранению спазма, восстановлению нормального кровотока, ведется грамотная борьба с аритмиями и гипертензией, то кровоснабжение восстанавливается, и все отрицательные симптомы проходят на протяжении суток без последствий. При игнорировании подобных проявлений или самолечении могут возникать более серьезные патологические состояния - инсульты.
ОНМК, церебральный инсульт: что это за диагноз

При наличии стойких расстройств кровообращения головного мозга формируются длительные периоды обескровливания определенных зон с прогрессивной гибелью нейронов и формированием участка некроза тканей, что формирует церебральный инсульт.
Если речь идет о диагнозе стойкого нарушения, что это значит с клинической точки зрения? Это формирование грубых расстройств и тяжелой симптоматики вплоть до коматозного состояния и гибели пациента от усиливающихся дыхательных и сосудистых нарушений.
Так, больные с ОНМК - это люди, пережившие геморрагический инсульт (кровоизлияние вследствие разрыва капилляра) или ишемический (необратимая закупорка тромбом или эмболом, стойкий необратимый спазм атеросклеротически измененного сосуда).
Признаки

При геморрагическом инсульте симптомы развиваются остро, признаки обычно выявляются на фоне физической или эмоциональной нагрузки в утреннее или дневное время, происходит потеря сознания, может сформироваться коматозное состояние пациента.
Внешние признаки ОНМК: у пациента краснеет лицо, развивается косоглазие или отведение глаз вбок, лицо и голова развертываются в сторону очага кровоизлияния. На противоположной гематоме стороне тела отмечается паралич конечности - верхней и нижней, а также определяются патологические рефлексы сухожилий и мышц. Если кровоизлияние локализовано в области стволовых образований, возникают прогрессирующие сосудистые, сердечные и дыхательные расстройства, повышение артериального давления.
На фоне ишемического инсульта симптомы развиваются менее остро, но более длительно, постепенно проявления заболевания все более нарастают по силе и тяжести. Неврологические симптомы при данном типе зависят от локализации питающей артерии, обширности зоны ишемии и длительности воздействия. При закупорке крупной артерии возможна кома с необратимыми изменениями речи, двигательной сферы и стойкими расстройствами функций внутренних органов пациента.
Последствия данной патологии

Если транзиторные ишемические атаки учащаются, их длительность становится все более продолжительной и не устраняются причины, приводящие к подобным случаям, основными из последствий ОНМК становятся инсульты и инвалидизация пациента. Особенно неблагоприятные прогнозы имеют состояния на фоне глубоких поражений сознания с ранним развитием церебральной комы. В этом случае создается реальная угроза жизни для пациента, особенно на фоне лизиса тромба и повторного кровотечения с утяжелением пагубных последствий.
Если состояние после острого нарушения мозгового кровообращения приводит к развитию паралича конечностей с нарушением двигательной сферы, либо формируются расстройства зрения, дефекты речи, нарушения ориентации и памяти, пациент будет нуждаться в постоянном медицинском уходе и медицинской помощи.
Читайте также:
