Остеонекроз - характеристика для врачей лучевой диагностики
Добавил пользователь Евгений Кузнецов Обновлено: 28.01.2026
В статье описан случай остеонекроза нижней челюсти у пациента, прошедшего курс лучевой терапии при лечении рака языка. Проведена оценка возможностей методов лучевой диагностики в выявлении местных тканевых реакций после лучевой терапии, проявляющихся в виде радионекроза. Для анализа изменений костной ткани выполнялись клинико-лабораторное обследование, а также комплексная лучевая диагностика, что позволило достоверно оценить состояние костных структур и мягких тканей, определить степень поражения и выявить осложнения. По данным проведенных рентгенологических исследований установлено, что при оценке состояния костной ткани многосрезовая компьютерная томография (МСКТ) и конусно-лучевая компьютерная томография (КЛКТ) сопоставимы по диагностической эффективности, однако для выявления изменений мягких тканей более информативна МСКТ. КЛКТ может успешно применяться в ходе и после лечения остеонекроза челюстей в качестве контрольного метода для оценки его эффективности.
Ключевые слова
Об авторах
ГБОУ ВПО «Первый Московский государственный медицинский университет им. И.М. Сеченова» Министерства здравоохранения РФ
Россия
д. м. н., профессор кафедры лучевой диагностики и лучевой терапии,
ул. Малая Трубецкая, 8, стр. 2, Москва, 119991
д. м. н., профессор, чл.-корр. РАН, заведующий кафедрой пластической хирургии Института профессионального образования,
Список литературы
1. Каприн А.Д., Старинский В.В., Петрова Г.В. Состояние онкологической помощи населению России в 2014 году. М.: МНИОИ им. П.А. Герцена; 2015.
2. Studer G., Bredell M., Studer S., Huber G., Glanzmann C. Risk profile for osteoradionecrosis of the mandible in the IMRT era. Strahlenther Onkol. 2016; 192 (1): 32-9.
3. Ольшанский В.О., Решетов И.В., Томина С.В. Проблема рака гортани на страницах журнала «Вестник оториноларингологии». Вестник оториноларингологии. 2006; 5: 56-8.
4. Постнов Ю.Г. Лечение поздних лучевых повреждений костей и мягких тканей: Автореф. дис. … канд. мед. наук. Обнинск; 2012.
5. Barret A., Dobbs J., Morris S., Roques T. Practical radiotherapy planning. 4th ed. London: Hodder Arnold; 2009: 44-62, 88-204.
6. Rapidis A.D., Scully C. Oral oncology: imagine the future. Future Oncol. 2009; 5 (8): 1221-3. DOI: 10.2217/fon.09.102.
7. He Y., Liu Z., Tian Z., Dai T., Qiu W., Zhang Z. Retrospective analysis of osteoradionecrosis of the mandible: proposing a novel clinical classification and staging system. Int. J. Oral. Maxillofac. Surg. 2015; 44 (12): 1547-57. DOI: 10.1016/j.ijom.2015.04.006.
8. Thorn J.J., Hansen H.S., Specht L., Bastholt L. Osteoradionecrosis of the jaws: clinical characteristics and relation to the field of irradiation. J. Oral. Maxillofac. Surg. 2000; 58 (10): 1088-93.
9. Mendenhall W.M. Mandibular osteoradionecrosis. J. Clin. Oncol. 2004; 15; 22 (24): 4867-8.
10. Бабкова А.А., Серова Н.С., Басин Е.М., Курешова Д.В., Паша С.П., Корнев А.И. Лучевая диагностика остеонекрозов костей лицевого черепа у пациентов на фоне употребления дезморфина. REJR. 2014; 2; 109-14.
11. Медведев Ю.А., Басин Е.М. Фосфорные некрозы челюстей. Врач. 2012; 1: 21-5.
12. Серова Н.С., Курешова Д.Н., Бабкова А.А., Басин Е.М. Многосрезовая компьютерная томография в диагностике токсических фосфорных некрозов челюстей. Вестник рентгенологии и радиологии. 2015; 5: 11-6.
Рецензия
При поддержке: грант Президента РФ МД-5534.2016.7 «Разработка новых лучевых технологий и алгоритмов их применения в 3D-моделировании, диагностике и мониторинге лечения заболеваний и повреждений челюстно-лицевой области»
Асептический некроз кости (остеонекроз): причины, симптомы, лечение

Асептический некроз кости (остеонекроз) — это тяжело протекающее заболевание, характеризующееся разрушением костных клеток на каком-либо участке кости вследствие нарушения кровоснабжения этой области. Самой частой локализацией данного патологического процесса является головка бедренной кости, значительно реже затрагиваются другие костные структуры. В этой статье мы поговорим о причинах развития, симптомах и лечении асептического некроза кости.
Почему развивается и как проявляется асептический некроз кости?
Асептический некроз кости — это полиэтиологичное заболевание, свою роль в развитии которого играет совокупность сразу нескольких факторов.
Непосредственной причиной возникновения данной болезни является нарушение поступления крови к тому или иному участку костной ткани. Спровоцировать проблемы с кровоснабжением могут хронические интоксикации, например, на фоне злоупотребления алкоголем или проведения химиотерапии. Еще один возможный провоцирующий фактор — это лучевые повреждения организма.
Также данная патология иногда развивается из-за атеросклероза сосудов, проблем с кроветворением, болезней соединительной ткани. Реже в основе его возникновения лежат тяжелые соматические заболевания, например, хроническая почечная недостаточность, злокачественные опухоли и прочее.
Кроме этого, асептический некроз кости может выступать в качестве осложнения ковидной инфекции, что было доказано учеными из ЦКСП Петрозаводск в работе, опубликованной в 2022 году.
Первоочередным клиническим проявлением становится болевой синдром, локализующийся в пораженной области, не сопровождающийся местными воспалительными признаками (отеком, покраснением).
На первых порах боль появляется периодически, затем становится постоянной, все больше усиливается. На поздних стадиях пациента беспокоят болезненные ощущения даже по ночам. Болевой синдром становится настолько выраженным, что приводит к ограничению двигательной активности больного человека. Прием нестероидных противовоспалительных препаратов оказывает только лишь кратковременный эффект.
Лечение асептического некроза кости

Для начала необходимо постараться максимально разгрузить пораженную область. С этой целью больному человеку рекомендуется избегать повышенных физических нагрузок, использовать различные ортопедические приспособления при необходимости.
Лекарственная терапия должна проводиться только под контролем врача. Для нормализации кровообращения назначаются антиагреганты, ангиопротекторы, сосудорасширяющие препараты.
Для устранения болевого синдрома показаны нестероидные противовоспалительные средства, блокады с введением анестетиков, глюкокортикостероидов и других медикаментов.
Основу лечения составляют препараты кальция, направленные на восстановление костной ткани.
Дополнительно используются различные физиотерапевтические процедуры, лечебная гимнастика.
При неэффективности консервативной терапии решается вопрос о проведении хирургического вмешательства.
Асептический некроз кости (остеонекроз)
Асептический некроз кости или остеонекроз - это патология, характеризующаяся отмиранием участков костной ткани вследствие нарушения ее кровоснабжения. Недостаточное поступление крови к костной ткани ведет к образованию участка некроза и разрушению пораженной области. Наиболее часто при данном заболевании затрагивается головка бедренной кости. Значительно реже в патологический процесс вовлекаются плечевая кость, предплечья, лодыжки, колени и так далее.
В подавляющем большинстве случаев данная болезнь возникает у пациентов, находящихся в возрастном диапазоне от двадцати пяти до сорока лет. Примерно у половины больных людей патология имеет двусторонний характер. Мужчины в несколько раз чаще женщин сталкиваются с таким заболеванием.
Симптомы
Симптомы асептического некроза кости малоспецифичны. Чаще всего клиническая картина при данном заболевании нарастает постепенно. Примечательно то, что при двусторонней локализации патологического процесса, как правило, отмечается более стремительное прогрессирование симптоматики, нежели при одностороннем поражении.
Первоочередным клиническим признаком асептического некроза является боль в пораженной области. В том случае, если остеонекроз затронул головку бедренной кости, пациент указывает на болевой синдром, локализующийся в области паха. Несколько реже он определяется в бедренной кости или пояснично-крестцовой области. Важно то, что какие-либо внешние изменения, например, отек или покраснение, отсутствуют.
На первых порах боль возникает периодически, преимущественно при физической нагрузке. По мере прогрессирования болезни болевой синдром становится гораздо более интенсивным, начинает появляться и в состоянии покоя, приобретает постоянный характер. При этом прием нестероидных противовоспалительных препаратов чаще всего не дает ожидаемого эффекта.
В некоторых случаях пациенты указывают на такую сильную боль, что они вообще не могут ходить, получать какую-либо нагрузку на пораженную область. Чаще всего при данном заболевании симптоматика периодически усиливается, а затем на некоторое время ослабевает, что делает возможным возвращение больного человека к привычному образу жизни.
Отмечается постепенное прогрессирование нарушений двигательной активности. В том случае, если патологический процесс локализуется в области головки бедренной кости, вначале пациент замечает, что ему все тяжелее вывернуть бедро наружу или кнутри, затем ограничивается отведение бедра. Спустя еще некоторое время присоединяются трудности со сгибанием и разгибанием в тазобедренном суставе.
По мере дальнейшего прогрессирования асептического некроза присоединяются признаки, указывающие на развитие тяжелого деформирующего остеоартроза.
Формы
Формы асептического некроза кости бывают:
- Первичным (идиопатическим) - развивающимся без какой-либо видимой причины;
- Вторичным - возникающем на фоне алкогольной зависимости, травмы, приема глюкокортикостероидов и так далее.
В зависимости от сопутствующих рентгенологических изменений данное заболевание делится на пять стадий:
Рентгенологические изменения отсутствуют. Патологический процесс можно обнаружить только с помощью магнитно-резонансной томографии или сцинтиграфии. На этой стадии болезнь может иметь бессимптомное течение или сопровождаться слабо выраженными клиническими признаками, о которых мы говорили выше.
При помощи рентгенографического исследования выявляются признаки склероза, очагового остеопороза. Пораженные отделы кости затемнены, исчезает структурность ее рисунка. Возможно обнаружение многочисленных микропереломов в пораженной области.
Омертвевшие участки кости рассасываются и замещаются грануляционной тканью. На рентгенограмме можно увидеть костные фрагменты, имеющие различные размеры и формы, уплотнение субхондральной кости.
Суставные поверхности уплотнены, фрагментированность костного вещества исчезает.
Суставная щель сужена, обнаруживаются остеофиты, в кости видны кистозные полости, возникшие на фоне дегенеративно-дистрофических изменений.
Причины
Причины асептического некроза кости бывают различными.
Первичная, или идиопатическая форма, асептического некроза кости встречается значительно реже, нежели вторичная. При первичной форме точные причины развития данного заболевания не установлены.
Что касается вторичной формы, чаще всего она бывает ассоциирована с хроническими интоксикациями. Спровоцировать возникновение этой болезни может длительный прием глюкокортикостероидов или химиопрепаратов. Нередко такая патология диагностируется у людей, злоупотребляющих алкоголем.
В 2013 году ученые из Научно-исследовательского института ревматологии г. Москвы опубликовали работу, по результатам которой было установлено, что риск возникновения асептического некроза кости повышается при приеме 400 мл этанола в неделю, что эквивалентно 20 стандартным бутылкам пива.
Кроме этого, считается, что данное заболевание может развиваться на фоне лучевой терапии, коагулопатии, например, ДВС-синдрома, системных заболеваний, например, системной красной волчанки. В группе риска находятся люди, имеющие тяжелые нарушения со стороны функциональной активности печени и почек, перенесшие различные травмы, онкологические патологии, декомпрессионную болезнь и так далее.
Методы диагностики
Диагностика асептического некроза кости начинается со сбора жалоб и анамнеза, затем проводится объективный осмотр. Для дифференциальной диагностики с другими заболеваниями опорно-двигательного аппарата проводятся общий и биохимический анализы крови, в которых при асептическом некрозе не обнаруживается каких-либо отклонений.
Ведущая роль в диагностике асептического некроза кости отводится различных инструментальным методам исследования:
На начальных этапах заболевания рентгенографическое исследование не информативно. По мере прогрессирования болезни выявляются такие признаки, как плотная тень, соответствующая некротическому очагу, деформация суставной поверхности сустава, признаки вторичного деформирующего остеоартроза.
- Магнитно-резонансная и компьютерная томография.
Позволяют выявить нарушения в структуре и плотности костного вещества, обнаружить очаг некроза, уточнить его размеры и локализацию. В 2020 году ученые из Саратовского ГМУ им. В.И. Разумовского опубликовали работу, по результатам которой было установлено, что с помощью МРТ возможна диагностика ранних стадий заболевания, что позволяет в короткие сроки начать лечение и как можно дольше отсрочить применение радикальных методов.
Данный метод рекомендуется использовать для дифференциальной диагностики остеонекроза и онкологических болезней.
Лечение
Лечение асептического некроза кости, прежде всего, подразумевает максимальную разгрузку пораженной области.
Из медикаментов могут использоваться нестероидные противовоспалительные препараты, направленные на купирование болевого синдрома, кальцийсодержащие средства в сочетании с нативным витамином D.
Кроме этого, план лечения дополняется антикоагулянтами. В 2019 году ученые из Северо-западного государственного медицинского университета им. И.И. Мечникова опубликовали работу, в которой было установлено, что применение антикоагулянтов может замедлить или вовсе остановить процесс развития ишемии при асептическом некрозе головки бедренной кости.
Также показан длительный прием хондропротекторов, применение физиотерапевтических методов лечения, например, лазеротерапии.
При неэффективности вышеперечисленных консервативных мероприятий может потребоваться проведение хирургического вмешательства, объем которого выбирается индивидуально для каждого конкретного пациента в зависимости от выраженности и локализации некроза.
Осложнения
К осложнениям асептического некроза кости относятся развитие контрактуры пораженных суставов, присоединение деформирующего остаеоартроза. Все это приводит к потере трудоспособности и инвалидизации человека.
Профилактика
Профилактика асептического некроза кости сводится к избеганию травм, отказу от приема алкоголя, аккуратному использованию глюкокортикостероидов, своевременному лечению заболеваний, способных спровоцировать развитие асептического некроза кости.
Какие вопросы следует задать врачу
Что такое асептический некроз кости, почему он возникает?
Какие симптомы позволяют заподозрить асептический некроз кости?
Какие методы обследования назначаются для подтверждения диагноза?
Как проводится лечение асептического некроза кости?
Можно ли его предотвратить?
Советы пациенту
Асептический некроз кости - это постепенно прогрессирующая болезнь. В связи с этим крайне важно незамедлительно обратиться к врачу при появлении боли в костях различной локализации для точного установления ее природы и назначения необходимой терапии.
Остеонекроз суставов причины, симптомы, методы лечения и профилактики
Остеонекроз суставов — патологический процесс, омертвение костей из-за недостаточного притока крови. Остеонекроз сопровождается гибелью остеоцитов, при этом основное костное вещество сохраняется. Болезнь поражает в основном кости ног и рук, реже встречается в области челюсти. В зависимости от степени развития патологии, её лечением занимается ортопед или хирург.

Причины остеонекроза суставов
Омертвение кости могут провоцировать разнообразные причины, в числе которых:
- перенесенные травмы и их осложнения, чрезмерные нагрузки на кость во время занятий спортом или тяжёлой работы;
- острые воспалительные процессы, которые локализуются в костной ткани;
- перенесенные инфекционные заболевания, особенно, если они перешли в хроническую форму или дали осложнения;
- болезни Паджета, Гоше;
- лейкемия, анемия, рак, ВИЧ и СПИД;
- употребление стероидов, прохождение химиотерапии, воздействие радиации.
Статью проверил
Дата публикации: 24 Марта 2021 года
Дата проверки: 24 Марта 2021 года
Дата обновления: 24 Октября 2022 года
Содержание статьи
Симптомы остеонекроза суставов
На ранних стадиях заболевание протекает бессимптомно, поэтому пациенты зачастую обращаются к врачу уже в запущенных случаях. На последних стадиях омертвение костей дает о себе знать острой болью в месте некроза, обездвиживанием поражённых конечностей.
- постоянной припухлости дёсен;
- шатании зубов;
- онемении челюсти;
- патологии десны, при которой через неё видно обнажённую кость.
При подозрении на остеонекроз в клинике ЦМРТ пациенту рекомендуют пройти рентгенологическое обследование и магнитно-резонансную томографию. Если есть вероятность сопутствующего заболевания, например, нарушения свёртываемости крови, пациенту нужно сдать анализы:
МРТ (магнитно-резонансная томография)
УЗИ (ультразвуковое исследование)
Дуплексное сканирование
Компьютерная топография позвоночника Diers
Чек-ап (комплексное обследование организма)
КТ (компьютерная томография)
К какому врачу обратиться
При острой боли в области сустава запишитесь на приём к ортопеду. Если болезнь поддаётся консервативному лечению, врач подберет программу сам, а при необходимости — привлечёт хирурга.
Асептический некроз костей в коленном суставе

Коленный сустав - это самый крупный и мощный сустав человеческого тела. Он образован нижним концом бедренной кости, верхним концом большеберцовой кости и надколенником. Эти три кости в области контакта друг с другом покрыты суставным хрящом - ровной гладкой тканью, защищающей суставные концы костей и обеспечивающей беспрепятственное их скольжение друг относительно друга.
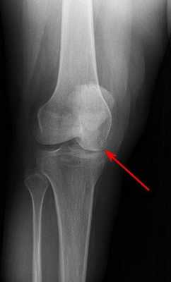
Остеонекроз коленного сустава наиболее часто локализуется во внутренней части суставного конца бедренной кости - внутреннем мыщелке, однако может также поражать наружный мыщелок или суставной конец (плато) большеберцовой кости.
Анатомические особенности коленного сустава
Коленный сустав, образованный надколенником, верхней частью большеберцовой и нижней частью бедренной кости, является самым большим и мощным в теле человека. Формирующие данный сустав кости в области соприкосновения друг с другом покрыты гладким суставным хрящом, обеспечивающим их скольжение при совершении человеком любого рода повседневных движений.
Как показывает медицинская практика, чаще всего остеонекроз возникает во внутреннем мыщелке, хотя, не редко, его локализацией может являться и наружный мыщелок (плато большеберцовой кости).

Рис. Чаще всего, остеонекроз коленного сустава поражает внутренний мыщелок бедра.
Причины остеонекроза
Как уже было отмечено выше, остеонекроз развивается при нарушениях кровоснабжения тех или иных участков костных тканей. В этом случае, при дефиците питательных веществ, наблюдается дистрофия и так называемое «проваливание» суставного хряща, что и ведет к развитию, а также последующему прогрессированию остеоартроза.
Септический (аваскулярный) некроз коленного сустава характерен для пациентов, использующих в течении долгого времени гормональную терапию, злоупотребляющих алкоголем и, в ряде случаев, получивших травму.
Кроме того, в своей практике специалисты выделяют и так называемый спонтанный остеонекроз, имеющий, на данный момент, неопределенную этиологию и характеризующийся значительным болевым синдромом в области колена.
Как правило, в группе риска находятся люди в возрасте от 60 лет, среди которых подавляющее большинство - женщины.
Факторы риска
Выявить точные причины нарушения кровоснабжения того или иного участка костной ткани, зачастую, практически невозможно. Однако сегодня врачи перечисляют следующие факторы риска, так или иначе влияющие на развитие недуга:
- вывих коленного сустава, стрессовый перелом, а также иные виды травм, ведущие к повреждению сосудов;
- серповидноклеточная анемия, ожирение, красная волчанка;
- регулярный прием кортикостероидов, например, при ревматоидном артрите, бронхиальной астме и т.д. Здесь важно отметить, что на сегодняшний день точно не определено, каким именно образом стероиды могут влиять на развитие остеонекроза, однако, при этом, прямая связь проявления заболевания с приемом препаратов данной группы очевидна;
- чрезмерное и продолжительное употребление алкоголесодержащих продуктов;
- трансплантация донорских органов и т.д.
Как бы то ни было, при несвоевременном диагностировании остеонекроза на начальных стадиях, а также при отсутствии надлежащего лечения, данное заболевание гарантированно развивается в тяжелый остеоартроз.
Симптоматика остеонекроза
Остеонекроз (асептический некроз) развивается стадийно, проявляя себя, на первых этапах, внезапными дискомфортными и болевыми ощущениями во внутренней области колена, вызванными незначительными травмами, а также повышенной физической активностью.
По мере развития недуга человек начинает испытывать затруднения и сильную боль не только при совершении простейших повседневных движений, но и, даже, находясь в положении стоя.
Другими симптомами асептического некроза могут являться:
- существенные ограничения в движениях сустава;
- появление отечностей по внутренней и передней поверхностях колена;
- локальные болезненные ощущения при проведении пальпации.
Процесс развития недуга происходит достаточно быстро и может занимать до одного года. По этой причине важно своевременно определить (диагностировать) наличие остеонекроза и начать его своевременное лечение, что позволит достичь весьма благоприятных результатов.

Четыре стадии асептического некроза (остеонекроза). На первой стадии серьезных изменений не наблюдается, в то время как при четвертой очевидны тяжелая форма остеоартрита и ярко выраженный коллапс коленного сустава.
Методы диагностики заболевания
Фзикальное обследование
При физикальном обследовании специалист обсуждает с пациентом особенности его самочувствия, выясняет имеющиеся жалобы, проводит тщательное обследование, а также сбор анамнеза учитывая наличие следующих признаков:
- локализированных болевых ощущений, в том числе при нагрузке собственным весом;
- локальных гипертермий и суставных отечностей;
- нестабильности сустава;
- любых признаков травмирования связок, мышц и сухожилий, окружающих коленный сустав.

В процессе обследования лечащий врач устанавливает наиболее болезненные участки коленного сустава.
В большинстве случаев для асептического некроза характерно возникновение внезапных, не связанных с травмой, болей, проявляющихся преимущественно в ночное время суток. Также, зачастую, специалистом наблюдается скопление в суставе внутриколенной жидкости.
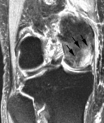
Диагностирование заболевания на ранних этапах проводится при помощи МРТ.
Виды лучевой диагностики
Рентгенография. Полученное при рентгенографическом исследовании изображение позволяет распознать плотные анатомические структуры, включая костные ткани. Данная методика обследования, как правило, выполняется с целью выявления, а также определения степени патологического изменения костей, характерного для последних стадий асептического некроза. Однако, при этом, обнаружить при помощи рентгенографии какие-либо изменения на начальных стадиях недуга не представляется возможным.

На снимке можно увидеть признаки асептического некроза внутреннего мыщелка бедренной кости.

Постепенно, с развитием заболевания может наблюдаться сужение суставной щели, сопряженное с травмированием хрящевой ткани сустава.
МРТ (магнитно-резонансная томография). Данная диагностическая методика позволяет обнаружить патологии, не отображаемые на рентгеновских снимках и/или не имеющие тех или иных симптомов. Благодаря такой важной особенности, МРТ считается более предпочтительным вариантом диагностирования остеонекроза.

Костная сцинтиграфия. Сцинтиграфия костной ткани (остеосцинтиграфия или ОСГ), особенностью которой является предварительная внутривенная инъекция безопасного для здоровья радиофармпрепарата (РФП), является одним из результативных вариантов диагностики остеонекроза. Данная методика позволяет увидеть и провести достаточно подробное исследование процесса поглощения и последующего накопления тканями радиоактивного препарата, сделав нужные выводы о развитии заболевания.
Тактика лечения остеонекроза
Особенность лечения остеонекроза, в первую очередь, зависит от следующих нюансов:
- этиология заболевания;
- стадия недуга;
- масштаб поражения тканей.
При этом специалисты разделяют асептический некроз на четыре стадии:
1 и 2 стадия, продолжительность которой длится до года, характеризуется видимым при МРТ образованием отечности в костной ткани, и дает высокий процент вероятности выздоровления.
3 и 4 стадии - характеризуется практически необратимыми процессами разрушения костной ткани.
Таким образом, при наличии у пациента первой и, в ряде случаев, второй стадии заболевания, могут применяться консервативные методики лечения.
Консервативное лечение
Устранение начальной формы остеонекроза по консервативной методике может включать:
- медикаментозное воздействие путем приема нестероидных препаратов (например, ибупрофена) противовоспалительного действия (НПВП), достаточно эффективно устраняющих болевые ощущения и воспаления. Повысить результативность лечения можно при помощи дополнительного приема витаминных комплексов и хондропротекторов;
- использование брейса, либо костылей в сочетании с ограничением нагрузок, в частности, на пораженную недугом конечность. Это позволит замедлить развитие остеонекроза и обеспечить максимум условий для восстановления тканей;
- прохождение индивидуально разработанной физиотерапевтом программы лечебной физкультуры, в том числе и в бассейне;
- ограничение ряда движений, провоцирующих усиление боли (модификация активности).
Как правило, при грамотном составлении и соблюдении комплекса рекомендаций, консервативное лечение дает положительные результаты.
В случаях, когда площадь поражения сустава достаточно большая, а консервативное лечение не принесло желаемого результата, специалисты назначают малоинвазивное артроскопическое хирургическое вмешательство.
Хирургическое лечение
На сегодняшний день, существует ряд весьма эффективных методик хирургического лечения асептического некроза.
Микрофактуринг и артроскопический дебридмент. При такой методике хирургического вмешательства специалист применяет миниатюрные инструментарий и видеокамеру, позволяющие достаточно эффективно выполнить извлечение из сустава поврежденной хрящевой ткани, а также микроскопических костных фрагментов. Если же площадь поражения не значительна, врач формирует несколько отверстий (микропереломов), что позволяет запустить процессы репарации и, тем самым, нормализовать кровоснабжение на конкретном участке кости.
Внутренняя декомпрессия. Сутью такой операции является формирование в кости нескольких небольших, либо одного крупного канала с целью уменьшения так называемого внутрикостного давления. Такая технология обеспечивает образование новых сосудов, питающих пораженную суставную часть, устраняет костный коллапс, а также эффективным образом препятствует развитию остеоартроза.

Внутренняя декомпрессия на начальных этапах проявления остеонекроза
Остеохондропластика. Нередко внутреннюю декомпрессию сопрягают с заменой частей коленного сустава остеохондральным трансплантатом, взятым из здоровой кости, как самого пациента, так и донора. Кроме того, в последнее время, в медицине вполне успешно стали применяться и трансплантаты синтетического происхождения
Имплантация аутологичных хондроцитов (ИАХ). ИАХ, как методика, проводится в 2 этапа. Первый включает забор специалистом небольшого объема хондроцитов (хрящевых клеток), с целью последующего увеличения их объема путем культивирования в лабораторных условиях. Второй - имплантацию полученного биовещества в область пораженного недугом коленного сустава. Впоследствии, подсаженные клетки начинают разрастаться, замещая собой больные.
Остеотомия. Во время данной процедуры специалисты удаляют части бедренной или большеберцовой кости обеспечивая, тем самым, перераспределение нагрузки с больного участка, на здоровый.
Тотальное эндопротезирование (одномыщелковое). В случаях, когда остеонекроз достигает пика развития, вызывая коллапс кости, врачи рекомендуют выполнить замену коленного сустава пластиковыми, либо металлическими элементами. Это, в большинстве случаев, позволяет в некоторой степени восстановить изначальные функциональные возможности коленного сустава.
Исход заболевания
Как показывает медицинская практика, в подавляющем большинстве случаев использование той или иной из вышеперечисленных методик лечения асептического некроза обеспечивает не только купирование болевого синдрома, но и нормализацию функционирования коленного сустава. При этом, качество устранения данного недуга напрямую зависит от индивидуальной клинической картины пациента, стадии, на которой удалось диагностировать заболевание, а также правильности тактики лечения.
Стоимость услуг
Первичная консультация специалиста
- Ознакомление с жалобами пациента и историей болезни
- Проведение осмотра
- Выявление симптомов заболевания
- Изучение данных анализов крови, рентгенограмм, МРТ, а также других видов исследования
- Постановка диагноза
- Определение тактики и методик лечения
- Повторный анализ результатов, полученных при проведении диагностики во время первого посещения кабинета врача
- Определение точного диагноза
- Составление плана лечения
Внутрисуставная инъекция препарата на основе гиалуроновой кислоты (стоимость препарата «Дьюралан» не включается)
- Введение анестезионного препарата
- Введение препарата на основе гиалуроновой кислоты
PRP-терапия и плазмолифтинг (проводится в случае наличия травм и/или заболеваний коленного сустава)
- Консультация ортопеда
- Забор крови для анализа
- Приготовление плазмы с высоким содержанием тромбоцитов
- Введение плазмы в больной участок сустава
Корригирующая остеотомия большеберцовой кости для лечения артроза
- Нахождение в стационаре
- Эпидуральная анестезия
- Хирургическое вмешательство
- Операционные винты и пластины
- Прочие операционные материалы
- Нахождение в стационаре
- Эпидуральная анестезия
- Артроскопия, хондропластика и коабляция поврежденной хрящевой ткани (резекция мениска выполняется исходя из индивидуального клинического случая)
- Расходные операционные материалы
Одномыщелковое эндопротезирование коленного сустава
- Нахождение в стационаре
- Эпидуральная анестезия
- Эндопротезирование
- Материалы для операции
- Эндопротез коленного сустава
Послеоперационный прием специалиста
- Послеоперационный осмотр
- Изучение послеоперационных данных МРТ и рентгенограмм
- Рекомендации по реабилитационному восстановлению
- Пункция коленного сустава
- Внутрисуставная инъекция препарата на основе гиалуроновой кислоты
- Снятие швов
Отзывы о враче
Меня зовут Воробьева Елена. В августе 2021 Денис Сергеевич сделал мне операцию по замене тазобедренного сустава. В феврале 2022 года я пришла на очередной осмотр. Доктор сказал, что у меня все абсолютно .
Обратился к Денису Сергеевичу на консультацию по поводу проведения эндопротезирования коленного сустава. Ранее в той же клинике был поставлен диагноз гонартроз с рекомендацией оперироваться. Доктор .
У бабушки (91 год) был сложный перелом плеча со смещением. Никто не брался ей помочь, а в больницу с ковидом отправлять бабушку было страшно. Несколько врачей сказали, что ничем помочь не могут. От .
Мне, Митрополевский Татьяне Валентиновне, 1949 г. Рождения, была выполнена операция тотального цементного эндопротезирования левого тазобедренного сустава. Первая аналогичная операция на правом суставе .
Проживаю в Ростовской области. Последние два года очень беспокоила боль в тазобедренном суставе, уже ничего не помогало, и я решилась на эндопротезирование. По совету ростовского хирурга обратилась .
Больше года ежеминутно я чувствовала мигрирующую боль в области таза, боль усиливалась после сидения и лежания на боку. Прошла весь путь врачей от гинекологии, урологии, проктологии, неврологии и тому .
Обратилась к врачу с сильнейшей болью в тазобедренного суставе, практически не могла ходить. Денис Сергеевич внимательно осмотрел, назначил обследование, по результатам которого провел манипуляции .
Якушев Денис Сергеевич - травматолог-ортопед, но ещё и врач и человек с большой буквы. В 2016 году доктор Якушев Д.С. прооперировал тазобедренный сустав справа у моей мамы. Операция была экстренная .
Очень понравилось всё! Врач подробно рассказал обо всем, объяснил ситуацию. Понятно и доступно! Внимательность, профессионализм! Приятно было пообщаться. Специалиста рекомендую на все 100%!
Хочу сказать большое спасибо Якушеву Денису Сергеевичу! Обратился к нему с отрывом сухожилия бицепса. Диагноз был поставлен очень оперативно и сразу назначена плановая операция. Операцию сделали по .
Мне понравился весь мед персонал, а главное, мой лечащий врач - Якушев Денис Сергеевич. Этот человек на своем месте. Я живу в ростовской обл., хорошие люди дали номер телефона Денис Сергеевич, созвонились .
Хотим выразить огромную благодарность Якушеву Денису Сергеевичу! Спасибо Вам большое за Ваш профессионализм и внимательность, за теплое, доброжелательное отношение к нам и желание помочь! Пациенту .
С 2011 года у моей свекрови (сейчас ей 70 лет) появились сильнейшие боли в правой ноге в области бедра и колена. Мы с мужем неоднократно ее записывали к различным травматологам-ортопедам и неврологам .
Народ! Спешу сообщить, что наша медицина жива, пока у неё есть такие доктора, как Якушев Денис Сергеевич - Травматолог-ортопед, не ошиблась, именно с большой буквы. 28.01.2020 доктор Якушев Д.С.
В январе 2020 г. мужу сделали операцию по замене правого тазобедренного сустава в ФНКЦ МФБА России. Оперировал травматолог-ортопед Якушев Денис Сергеевич. Операция прошла прекрасно, всего за 1 ч. 10 .
Читайте также:
