Небное положение отдельных зубов. Лечение небного положения зубов.
Добавил пользователь Владимир З. Обновлено: 22.11.2025
Каждый зуб, находящийся в зубном ряду имеет определенную анатомическую форму и величину.
Аномалия размера и формы зуба - это отклонение от нормы размера и формы зуба.
Что провоцирует / Причины Аномалии размера и формы зуба:
Причинами появления аномалии размера и формы зуба является влияние патогенных факторов на организм матери в момент закладывания зачатков зубов. Патогенные факторы могут быть различной природы, и нарушения в питании женщины, и воздействие химических агентов, и влияние патогенных микроорганизмов и вирусов, и недостаточное количество микроэлементов в воде и пище. Эти аномалии могут быть обусловлены генетическими факторами и эндокринными расстройствами.
Симптомы Аномалии размера и формы зуба:
Аномалии размера зубов
Для определения нормальных размеров зубной коронки было проведено большое количество измерений размеров коронки зуба отдельно у мужчин и женщини на основании полученных данных были выведены среднестатистические показатели нормальных размеров коронки зуба для женщин и мужчин. Сравнивая размеры конкретного зуба с показателями размеров среднестатистического зуба, можем выявить отклонения от нормы в ту и другую сторону. Конечно, существуют границы, в пределах которых размеры зуба считаются нормальными. Если же размеры зуба, полученные при измерении, значительно меньше тех, которые приняты за нормальные, то речь идёт о такой аномалии развития зубного ряда как микродентия. В тех случаях, когда размеры зуба значительно превышают показатели нормальных размеров, можно вести речь о макродентии.
Существуют состояния, когда и уменьшенные и увеличенные размеры коронки зубов в относительных единицах соответствуют норме. Так у людей с большим ростом закономерно развитие зубных коронок, которые по своим абсолютным показателям можно отнести к макродентии. Точно так же нельзя говорить о микродентии в том случае, когда обладатели небольших зубов имеют небольшой рост.
Патологическим состоянием считается тот вариант, когда при нормальных средних антропометрических показателях отмечается значительное увеличение или уменьшение размеров зубной коронки.
Различают макродентию и микродентию зубов.
Макродентия - увеличение мезио-дистальных размеров зубов по сравнению с их среднестатистическими показателями. Могут быть нарушены размеры резцов, преимущественно верхних. Эта аномалия присуща, как правило, центральным верхним резцам. Значительное увеличение размеров зубов обнаруживается визуально, степень увеличения определяют при сравнении результатов измерения со средними статистическими параметрами в норме.
Диагностика. Резкое увеличение размеров зубов диагностируется как мегалодентия. Определяют следующие параметры зубов: ширину, толщину и высоту коронковой части. Ширину или мезиодистальный размер премоляров и моляров и медио-латеральный - резцов и клыков - измеряют в самой широкой части коронки зуба, высоту - от десневого края на уровне шейки зуба до режущего края резцов, бугра клыков премоляров и моляров. Толщина - наибольший параметр коронки в орально-вестибулярном направлении.
Микродентия - уменьшение размеров зубов по сравнению со среднестатистическими данными. Возможно уменьшение размера всех зубов, но, как правило, это касается только отдельных. Наиболее часто встречается аномалия верхних боковых резцов. Резко выраженная микродентия диагностируется визуально.
Аномалия размеров зубов часто сочетается с аномалией их формы. Сравнение ширины зуба в коронковой части и имеющегося для него места в зубном ряду при аномалии его положения приобретает существенное значение для прогноза и влияет на выбор метода лечения.
Диагностика. Поскольку форма, параметры и окклюзия зубных рядов зависят от размеров зубов, следует определить взаимозависимость размеров верхних и нижних зубов, что имеет важное значение как в прикусе молочных зубов, так и в период смены зубов и в прикусе постоянных зубов. Это следует, в частности, из установленной закономерности: сумма ширины коронок постоянных зубов больше таковых временных (прикус молочных зубов) верхних в среднем на 7,1 мм, нижних - на 5,3 мм.
От величины коронок верхних и нижних вторых молочных моляров в значительной степени зависит их смыкание. Если эти величины равны, то позади зубных рядов образуется мезиальная ступенька, благодаря чему будет оптимальным смыкание первых постоянных моляров. Если размеры коронок вторых нижних молочных моляров больше верхних на 2 мм, то их дистальные поверхности обычно находятся в одной вертикальной плоскости. Если разница размеров превышает 2 мм, то может образоваться дистальная ступенька. И то и другое приводит к дистальной окклюзии.
Измерение параметров резцов верхней и нижней челюстей, оценка их соразмерности имеют большое значение для прогноза смыкания зубных рядов в вертикальной плоскости. Соотношение суммы ширины коронок верхних резцов и нижних резцов, по Тонну, выражается как 4:3 или индексом 1,33 при физиологической окклюзии постоянных зубов. В прикусе молочных зубов индекс по Долгополовой составляет 1,3.
К аномалиям размера зубов также относятся так называемые гигантские зубы. Чаще всего это центральные верхние или боковые резцы. Иногда гигантские зубы располагаются в переднем участке нижней челюсти и в области премоляров. Такие зубы могут образовываться за счет:
- сращения корней двух вполне сформированных соседних зубов;
- слияния зачатков двух соседних зубов;
- сращения или слияния двух зубов, один из которых нормальный, а другой - сверхкомплектный.
Кроме гигантских зубов встречаются шиповидные и уродливой формы зубы. Аномалийную форму чаще всего имеют верхние боковые резцы при частичной адентии (частичном отсутствии зубов), врожденных расщелинах альвеолярного отростка и неба. Шиповидную форму могут иметь и сверхкомплектные зубы.
Нарушение формы зубной коронки не такое и редкое явление в наше время. Хочется отметить, что нарушение формы зуба может быть вызвано как влиянием тератогенных факторов на этапе закладки этих органов, так и влиянием патологических факторов при том или ином патологическом процессе в организме, что приводит к возникновению характерных для того или иного заболевания форм зубов.
Аномалийную форму также имеют:
- Зубы Гетчинсона - верхние центральные резцы с отвертко- и бочкообразной формой коронки (размер у шейки больше, чем к режущего края), имеющие полулунную выемку на режущем крае. Полулунная выемка может быть покрыта эмалью, но иногда эмаль наблюдается только на углах зуба, а в средней части дентин не покрыт эмалью.
- Зубы Фурнье - похожи на зубы Гетчинсона, но без полулунной выемки по режущему краю. Зубы Фурнье и Гетчинсона встречаются при врожденном сифилисе и др. заболеваниях.
- Зубы Пфлюгера - первые большие коренные зубы (шестерки) у которых размер коронки около шейки больше, чем у жевательной поверхности, а бугры недоразвиты. Развитие зубов Пфлюгера объясняют действием сифилитической инфекции.
Отмечается такая аномалия развития формы зуба, как «перекрученные» зубы, что в основном проявляется на внешнем виде центральных и боковых резцов. Особой патологией является наличие «шиловидных» зубов, эта патология встречается достаточно часто и поражает боковые резцы верхней челюсти с обеих сторон.
Аномалии количества зубов в зубном ряду
Кроме того, что размеры зуба не соответствуют принятому за нормальный размер зубной коронки, встречаются случаи, когда отмечается несоответствие положенного числа зубов в зубном ряду. Это может проявляться в виде уменьшения количества постоянных зубов в зубном ряду в результате того, что из зубного зачатка зуб не прорезался. Кроме этого может отмечаться слияние зубов в процессе развития. При этом наиболее часто данная патология затрагивает центральный и боковой резец, что приводит к приобретенной макродентии и отсутствию боковых резцов в зубном ряду верхней челюсти с одной или двух сторон. Для развития данной патологии характерна наследственная предрасположенность.
Отсутствие зубов называется адентией, а их задержка в челюсти - ретенцией. Адентия может быть частичной - отсутствует один или несколько зубов, и полной - отсутствуют все зубы. Первичная адентия возникает в случае, если один или несколько зубов не прорезывались, вторичная - после удаления зуба. При ретенции зуб, как правило, полностью сформирован, за исключением, иногда, его корней.
Аномалии положения отдельных зубов. Это наиболее часто встречающаяся аномалия. Различают оральное (небное, язычное), вестибулярное, мезиальное, дистальное положения, поворот зубов, транспозицию, низкое, высокое положение. Небное., язычное и вестибулярное прорезывание зубов обусловлено, в основном, сужением зубных рядов, наличием сверхкомплектных зубов. Повороты зубов вокруг оси также наблюдаются при сужении зубных рядов и сочетаются с изменением положения: наклоном, смещением. Транспозиция зубов - аномалия положения зубов, характеризующаяся заменой местоположения соседних зубов.
Аномалии корней. Эти аномалии наблюдаются часто и проявляются разнообразно. Количество корней может быть уменьшено или увеличено, и они могут быть изогнуты в различных направлениях (иногда под углом 90°). Отклонение корня от обычного направления значительно затрудняет прохождение канала, а иногда делает его вообще невозможным. Это следует учитывать при лечении пульпита и периодонтита.
Лечение Аномалии размера и формы зуба:
Лечение зубов, имеющих аномалийную форму и размер можно осуществить ортопедическим методом - при помощи протезирования искусственными коронками, вкладками, винирами.
Как возможный вариант - реставрация зубов при помощи композитных пломб светового отверждения.
При незначительном изменении формы зуба можно обойтись без лечения, если зуб не вызывает эстетических претензий и выполняет свою функцию
Лечение гиподонтии (уменьшение количества зубов по сравнению с нормой) сводится к рациональному протезированию, которому предшествует устранение (если имеется) нарушений положения отдельных зубов и зубных рядов.
При лечении аномалии положения зубов используют многообразные ортодонтические конструкции (съемные, несъемные), причем на первом этапе проводят нормализацию формы и размера зубных рядов, окклюзии.
Лечение пациентов с аномалиями размеров зубов, как правило, ортопедическое. При макродентии в сочетании с аномалиями формы и размеров зубных рядов и окклюзией требуется предварительная ортодонтическая коррекция, позволяющая восстановить анатомическую форму путем изготовления искусственной коронки. Исключение составляют случаи макродентии и микродентии, нерезко выраженные в индивидуальном отношении, когда диапазон различия размеров зубов невелик, имеются определенные несоответствия с размерами базисов челюстей и типом лица. Иначе говоря, это те редкие случаи, когда можно обойтись только ортодонтической коррекцией или коррекцией с удалением отдельных зубов.
К каким докторам следует обращаться если у Вас Аномалии размера и формы зуба:
Вас что-то беспокоит? Вы хотите узнать более детальную информацию о Аномалии размера и формы зуба, ее причинах, симптомах, методах лечения и профилактики, ходе течения болезни и соблюдении диеты после нее? Или же Вам необходим осмотр? Вы можете записаться на прием к доктору .
Дистопированный зуб
Дистопированный зуб - зуб, занимающий неправильное положение в зубном ряду или смещенный за пределы альвеолярного отростка челюсти. К вариантам дистопии относят вестибулярное, оральное, мезиальное, дистальное расположение зуба, инфраположение, супраположение, тортопозицию и транспозицию. Дистопированные зубы представляют косметический и функциональный недостаток; могут способствовать формированию неправильного прикуса, хронической травматизации слизистой оболочки полости рта, развитию перикоронарита, сочетаться с ретенцией. Дистопированные зубы выявляются в процессе стоматологического осмотра, изучения ортопантомограмм, моделей челюстей и телерентгенограмм. В зависимости от своего расположения дистопированные зубы могут подлежать ортодонтическому лечению или удалению.

Общие сведения
Дистопированный зуб (дистопия) - аномалия зуба, характеризующаяся его неправильным положением в зубной дуге или за ее пределами и затрудняющая прорезывание других зубов. В стоматологии под правильным положением зубов понимают строго определенную позицию, соответствующую каждому зубу в зубном ряду, а также его взаимоотношения с соседними зубами и зубами-антагонистами на противоположной челюсти. Зубы, выросшие со смещением или наклоном, а также прорезавшиеся вне зубной дуги, считаются дистопированными. Чаще всего дистопированными бывают нижние третьи моляры («зубы мудрости»), верхние и нижние резцы, верхние клыки; реже - верхние и нижние премоляры и верхние третьи моляры. Дистопия зубов часто сочетается с ретенцией, дистальным, мезиальным, открытым прикусом, скученностью зубов и пр.

Причины дистопии зубов
К дистопии зубов могут приводить эмбриональные, генетические либо экзогенные факторы. Чаще всего наличие дистопированных зубов обусловлено атипичным формированием зачатков зубов в эмбриональном периоде. Дистопия зубов может быть связана с макродентией, наличием сверхкомплектных зубов в зубном ряду, резкой диспропорцией размеров молочных и постоянных зубов, преждевременным удалением временных зубов, нарушением сроков и последовательности прорезывания некоторых зубов, частичной адентией.
Дистопированные зубы могут появляться при несоответствии величины зубов размерам челюсти; довольно часто это встречается у детей, которые наследуют от одного из родителей крупные зубы, а от другого - маленькую челюсть. Генетическая предрасположенность также может являться фактором дистопии зубов.
Экзогенные факторы, обусловливающие появление дистопированных зубов, обычно носят травматический характер. В их числе - рубцы слизистой оболочки полости рта, механические повреждения зуба (ушиб, вывих зуба), полученные при падении, ударе и т. п., вредные привычки (сосание большого пальца, прикусывание карандаша и др.). При частичном изменении положения зуба, сохранившего связь с лункой, говорят о неполной травматической дистопии. В случае полного смещения зуба за пределы лунки и удержании его положения только за счет мягких тканей, травматическая дистопия расценивается как полная.
Дистопии клыков обычно способствует их позднее, в сравнении с другими постоянными зубами, физиологическое прорезывание (в возрасте от 9-12 лет). Поэтому к моменту появления клыков, для них часто не остается достаточно места в зубном ряду, отчего они вынужденно занимают место во втором ряду, становясь дистопированными. Зубы мудрости оказываются дистопированными из-за того, что в молочном прикусе у них отсутствуют зубы-предшественники, а, следовательно, «восьмеркам» самостоятельно приходится «прокладывать» себе путь через костную ткань. Кроме этого, дистопии третьих моляров способствует их позднее прорезывание, а также крайнее положение в зубном ряду, когда отсутствие зуба-соседа не регулирует их местоположение и правильное размещение.
Классификация дистопии
В зависимости от характера смещения выделяют:
- аномалии положения зубов в сагиттальной и трансверзальной плоскости (вестибулярное и оральное, мезиальное и дистальное положение дистопированных зубов)
- аномалии положения зубов в вертикальной плоскости (супрапозиция верхних и нижних зубов, инфрапозиция верхних нижних зубов)
- тортопозиция и транспозиция
Иногда к аномалиям положения зубов также относят диастемы, тремы, скученность зубов. Вестибулярное положение зубов (лабиальная/губная позиция передних зубов, буккальная/щечная позиция боковых зубов) характеризуется смещением зубов в сторону преддверия полости рта, кнаружи от зубного ряда. Оральное положение зубов (палатинальная/небная позиция верхних зубов и лингвальная/язычная позиция нижних зубов) предполагает смещение зуба в глубину полости рта.
Под мезиальным положением зубов понимают их смещение кпереди, под дистальным - смещение кзади от своего нормального места положения в зубной дуге. Расположение зубов выше окклюзионной плоскости носит название супраположения; ниже плоскости смыкания зубных рядов - инфраположения. Реже среди аномалий положения встречается тортопозиция - поворот зуба вокруг продольной оси и транспозиция - взаимная перестановка зубов в зубном ряду.
Симптомы дистопии зубов
Дистопированные зубы могут причинять эстетические неудобства, а также вызывать функциональные нарушения. В ряде случаев дистопированный зуб оказывается расположенным вне альвеолярного отростка (например, в теле или ветви челюсти, в твердом нёбе, глазнице, стенке полости носа и др.).
Дистопированные зубы нарушают нормальное прорезывание других зубов, что способствует формированию неправильного прикуса. Смещение или наклонное положение дистопированных зубов вызывает повреждение и травмирование тканей языка, губ, щек с образование декубитальных язв. Кроме этого, неправильное положение зубов затрудняет проведение адекватной гигиены полости рта, удаление зубного налета и пищевых остатков, создавая тем самым благоприятные условия для развития кариеса.
Над непрорезавшейся частью дистопированных и ретинированных зубов часто образуются десневые карманы (капюшоны), в которых также скапливаются остатки пищи и микроорганизмы, вызывающие воспалительный процесс - перикоронарит.
Дистопированные зубы могут служить причиной нарушений жевательной функции и звукопроизношения.
Диагностика дистопии зубов
Наличие дистопированных зубов обычно выявляется стоматологом-терапевтом или ортодонтом в процессе клинического осмотра. Для уточнения положения дистопированных зубов обычно проводится ортопантомография, изготовление и изучение гипсовых моделей челюстей, телерентгенография с расчетом телерентгенограмм, оценка прикуса.
На основании комплекса методов диагностики решается вопрос об оптимальной лечебной тактике в отношении дистопированных зубов. С этой целью пациенту может потребоваться консультация стоматолога-хирурга или пародонтолога.
Лечение дистопии зубов
Если дистопированный зуб не представляет серьезной эстетической и функциональной проблемы, а лишь наносит хроническую травму слизистой оболочке полости рта, можно ограничиться пришлифовыванием острых бугров. При наличии для дистопированного зуба места в зубной дуге осуществляется ортодонтическое лечение. В остальных случаях выбор делается в пользу удаления дистопированных зубов.
Для исправления положения зубов используются съемные и несъемные ортодонтические аппараты механического и функционального действия, брекет-системы.
Удаление дистопированного зуба в хирургической стоматологии относится к разряду сложных операций. Абсолютными показаниями к удалению дистопированных зубов служат челюстные кисты, периостит и остеомиелит челюсти, полная травматическая дистопия зуба; относительными показаниями - периодонтит и пульпит, сложности с лечением кариеса 7-х зубов или протезированием и др. Осложнения, связанные с удалением дистопированного зуба, могут включать вывих соседнего зуба, вывих и перелом нижней челюсти, травму нижнечелюстного канала, кровотечение из лунки зуба. Дистопированные зубы, расположенные вне альвеолярного отростка, необходимо удалять в условиях стационара.
При неполной травматической дистопии под местной или общей анестезией осуществляется репозиция смещенного зуба с его последующим шинированием с помощью гелиокомпозита или проволочных лигатур. В большинстве случаев дистопированные зубы требуют проведения комбинированного аппаратно-хирургического лечения.
Прогноз и профилактика
Лечение дистопированных зубов желательно проводить до окончания роста лицевого скелета (14-16 лет). Это связано с лучшими эстетическими и функциональными результатами, более быстрыми сроками нормализации положения зубов. Коррекция положения дистопированных зубов у взрослых имеет свои нюансы и технические сложности, чаще требует проведения подготовительно-профилактических вмешательств (экстракции отдельных зубов, компактостеотомии, фибротомии и пр.).
Профилактика аномалий положения зубов начинается еще в период внутриутробного развития ребенка и продолжается после его рождения. Она включает обеспечение оптимальных условий для развития зубочелюстной системы: благоприятное протекание беременности, рациональное вскармливание, борьбу с вредными оральными привычками, предупреждение травм челюстей, наблюдение ребенка у стоматолога с момента прорезывания зубов, рациональное протезирование при преждевременной потере молочных зубов.
Аномалии зубов
Аномалии зубов - это различного рода морфологические и функциональные отклонения от нормального количества, размера, формы, цвета, положения, сроков прорезывания, структуры тканей зубов. Аномалии зубов сопровождаются деформацией челюстно-лицевой области, неправильным прикусом, затруднениями при откусывании и пережевывании пищи, дефектами речи, эстетическими недостатками. Диагностика аномалий зубов включает внутриротовую рентгенографию, проведение и анализ ТРГ, панорамную рентгенографию, ОПТГ, томографию ВНЧС, снятие слепков, изготовление и измерение диагностических моделей челюстей, электромиографию и др. Способ лечения определяется видом аномалии зубов.
МКБ-10



Аномалии зубов - разнородная группа врожденных или приобретенных нарушений отдельных зубов, зубных рядов или прикуса, изменяющих нормальное функционирование зубочелюстной системы. Согласно имеющимся в клинической стоматологии сведениям, различные аномалии зубов встречаются у 40-50 % детей и подростков и 30 % (по данным некоторых авторов - у 70-80%) взрослых. В норме каждому зубу присущи определенные характеристики (анатомическая форма, величина и др.), которые определяются периодом формирования прикуса и местом зубной единицы в зубном ряду. Отклонения от физиологической нормы в количестве, размерах, форме, цвете, положении, сроках прорезывания, структуре твердых тканей расцениваются как аномалии зубов.

Причины
Общие причины
Причины, провоцирующие аномалии зубов, весьма разнообразны и могут быть условно поделены на эндогенные и экзогенные. Эндогенные причины, в свою очередь, включают генетические и эндокринные факторы.
- Генетические признаки могут быть обусловлены наследуемыми от родителей особенностями зубочелюстной системы - размерами и формой зубов, челюстей, строением и функцией мягких тканей и т. д. Аномалии зубов часто входят в структуру врожденных пороков и наследственных заболеваний - расщелин верхней губы, мягкого и твердого неба, альвеолярного отростка; синдрома Шершевского-Тернера, синдрома Секкеля, синдрома Ваарденбурга, синдрома Дауна, несовершенного остеогенеза и многих других.
- Факторы эндокринного порядка оказывают существенное влияние на формирование зубочелюстной системы. Так, при гипотиреозе наблюдается задержка прорезывания и смены зубов, гипоплазия эмали, деформация и остеопороз челюстей, адентия, изменение формы и размеров коронок зубов. Своеобразие развития челюстей и аномалии зубов отмечаются при гиперпаратиреозе, гипокортицизме, гипофизарном нанизме и др.
Экзогенные причины формирования аномалий зубов делятся на пренатальные, интранальные и постнатальные, общие и местные.
- К общим пренатальным факторам относятся неблагоприятные влияния окружающей среды на развивающийся плод, многоплодие, наличие амниотических тяжей, гипоксия плода, задержка внутриутробного развития, токсикозы беременности, внутриутробные инфекции, стрессовые ситуации во время беременности и т. д.
- Интранатальные факторы, способствующие развитию аномалий зубов, включают осложненное течение родов - обвитие пуповиной, асфиксию, внутричерепные родовые травмы, длительный безводный промежуток, синдром дыхательных расстройств.
- В постнатальном периоде аномалии зубов могут быть связаны с заболеваниями детского возраста: рахитом, гиповитаминозом, недостаточным пребыванием ребенка на свежем воздухе, искривлением носовой перегородки и нарушением носового дыхания, гипертрофией небных миндалин и пр.
Местные факторы
Среди местных факторов наиболее значимая этиологическая роль в развитии аномалий зубов принадлежит:
- искусственному вскармливанию;
- делительному использованию соски, сосанию пальца;
- кормлению детей дошкольного возраста мягкой пищей;
- травмам зубов;
- короткой уздечке верхней губы или языка;
- осложненному кариесу, приводящему к раннему удалению зубов;
- остеомиелиту челюсти, ведущему к гибели зубных зачатков и др.
Наличие ретинированных или сверхкомплектных зубов может приводить к аномалиям положения зубов. Аномалии цвета зубов отмечаются при наличии зубного налета, проникновении в трещины зуба пищевых красителей, воздействии никотина, деминерализации эмали, некрозе пульпы, зубной гранулеме, флюорозе, травмах зуба, сопровождающихся внутренним кровоизлиянием, пломбировании каналов резорцин-формалиновой смесью и др.

Классификация
Наиболее полная классификация аномалий зубочелюстной системы выделяет аномалии отдельных зубов, аномалии зубного ряда, а также аномалии развития челюстей. К аномалиям отдельных зубов относятся:
- Аномалии величины зубов (микро- и макродентия)
- Аномалии количества зубов (частичная и полная адентия (гиподонтия), гипердонтия)
- Аномалии формы зубов (шиповидные, зубы Гетчинсона, Фурнье, Пфлюгера и др.)
- Аномалии структуры твердых тканей зубов (гипоплазия, гиперплазия, несовершенный дентиногенез, несовершенный амелогенез)
- Аномалии сроков прорезывания зубов (преждевременное, запоздалое)
- Аномалии положения зубов (оральное, вестибулярное, дистальное, мезиальное, инфраположение, супраположение, поворот вокруг продольной оси, транспозиция)
- Аномалии цвета зубов (пигментированная окраска эмали или дентина).
Аномалии количества
Аномалии числа зубов включают гиперодонтию (увеличение количества зубов) и адентию (отсутствие зубов). Клиника адентии подробно рассмотрена в рамках отдельной статьи.
Гиперодонтия характеризуется наличием сверхкомплектных зубов, которые обычно прорезываются вне зубного ряда (орально, вестибулярно) и приводят к смещению соседних, правильно расположенных зубов. Сверхкомплектные зубы чаще встречаются в постоянном прикусе, располагаются на верхней челюсти, имеют неправильную форму и атипичные размеры. Реже сверхкомплектные зубы не прорезываются совсем или занимают место в зубном ряду.
Аномалии величины
К аномалиям размеров зубов относятся макродентия (гигантские зубы) и микродентия (мелкие зубы). Макродентия сопровождается увеличением размеров зубных коронок по сравнению с нормой. Как правило, при данной аномалии зубов страдают центральные верхние резцы. Гигантские зубы могут приводить к аномалиям положения других зубов, затруднению их прорезывания, скученности. Гигантские зубы являются косметическим дефектом, ухудшающим гармонию лица.
Микродентия, напротив, характеризуется непропорционально маленькими коронками. Как правило, встречаются мелкие верхние боковые резцы, однако уменьшение размеров может касаться всех зубов. Обычно мелкие зубы разделены большими межзубными промежутками, что также искажает внешний вид лица.
Аномалии формы
Среди аномалий формы зубов встречаются следующие основные виды: шиповидные зубы, зубы Гетчинсона, зубы Фурнье, зубы Пфлюгера и др.
Коронки шиповидных зубов по форме напоминают шип или конус. Чаще всего данная аномалия зубов имеет отношение к центральным и боковым резцам, а также сверхкомплектным зубам.
Зубы Гетчинсона имеют отверткообразную и бочкообразную форму коронки, т. е. их шейка по размерам превосходит режущий край; дополнительно по режущему краю проходит полулунная выемка. Эта аномалия характерна для верхних центральных резцов. Аналогичная форма (за исключением полулунной выемки) наблюдается и у зубов Фурнье.
Зубы Пфлюгера характеризуются преобладанием размеров шейки над размерами жевательной поверхности первых большие коренных зубов, недоразвитием бугров «шестерок».
Аномалии структуры твердых тканей
Данные нарушения включают локальную и генерализованную гипоплазию, гиперплазию, несовершенный дентино- и амелогенез. Гипоплазия эмали проявляется наличием симметричных пятен, ямок, бороздок на коронковой части зуба. Дефекты затрагивают все зубы одновременно, могут сочетаться с аномалиями цвета, размеров и формы зубов. Гиперплазия проявляется в форме эмалевых капель, лишних бугорков на жевательных поверхностях зубов; часто протекает совместно с аномалиями окклюзии и положения зубов.
Несовершенный амелогенеза характеризуется появлением желтой или коричневой пигментации, уменьшением толщины эмали, повышенной чувствительностью зубов к температурным, механическим и химическим раздражителям. Данная аномалия зубов иногда сочетается с микродентией, изменением формы зубов.
Несовершенство дентиногенеза затрагивает нарушение развития дентина молочных и постоянных зубов. При аномалии дентина зубы приобретают янтарно-желтый или серовато-коричневый опалесцирующий цвет, быстро стираются, разрушаются и выпадают.
Аномалии положения
При аномалиях положения зубы могут занимать неправильное положение в пределах зубного ряда или вне его. К данного рода аномалиям относятся дистальное, мезиальное, оральное, вестибулярное положение, инфраположение, супраположение, тортоаномалия и транспозиция.
Дистальное положение зуба - это его смещение назад по зубному ряду по сравнению с оптимальным положением; мезиальное положение - смещение зуба вперед по зубному ряду. О вестибулярном положении зуба говорят в случае его смещения ближе к преддверию полости рта (губное положение передних зубов, щечное положение боковых зубов); об оральном положении - при смещении зуба вглубь полости рта (лингвальном положении зубов на нижней челюсти и небном - на верхней челюсти). Под супраположением понимается такая аномалия, при которой зубы располагаются выше окклюзионной кривой; под инфраположением - ниже окклюзионной кривой.
Тортоаномалия характеризуется разворотом зуба вдоль вертикальной оси; транспозиция - взаимным изменением положения зубов (премоляр вместо клыка и наоборот).
Аномалии цвета
Цвет, блеск и прозрачность эмали относятся к оптическим характеристикам зуба. В норме зубы могут иметь оттенки от бело-голубого до желтого. Считается, что голубоватая эмаль является более хрупкой, а желтоватая - более прочной.
При различных патологических состояниях возможное изменение цвета зубов до розового, серого, коричневого, коричнево-черного, зелено- коричневого, лилового, серо-синего, черного и пр. Патологическая пигментация зубов может иметь вид отдельных пятен или носить диффузный характер.
Диагностика
Выяснение этиологии аномалий зубов может потребовать консультативного участия генетика, эндокринолога, отоларинголога, педиатра. Непосредственная диагностика и лечение аномалий зубов проводится с участием различных специалистов-стоматологов: терапевтов, пародонтологов, ортодонтов, стоматологов-ортопедов, стоматологов-хирургов, имплантологов. Проводитсяподробное клиническое обследование (осмотр лица и полости рта, подробное изучение анамнестических данных). Инструментальная диагностика:
- Рентген. Для уточнения аномалий зубов, определения плана лечения и его контроля осуществляется рентгенографическое обследование: телерентгенография (ТРГ), анализ и расчет телерентгенограмм, изучение лица пациента по фотографиям с расчетом необходимых индексов. внутриротовая рентгенография, панорамная рентгенография челюстей, ортопантомография, МСКТ ВНЧС и пр.
- Снятие оттисков. В обязательном порядке осуществляется снятие слепков и изготовление диагностических моделей из гипса, на основании которых производится изучение характеристик зубов, зубных рядов и челюстей.
- ЭФИ. С целью оценки функционального состояния мышц лица выполняется электромиография.

Лечение аномалий зубов
Аномалии зубов требуют специализированного, порой длительного и многоэтапного, терапевтического, хирургического, ортодонтического, ортопедического лечения. Конкретные мероприятия зависят от вида аномалии:
- Аномалии количества. Зубы, нарушающие правильное построение зубных рядов, подлежат удалению, а для коррекции положения смещенных зубов требуется проведение ортодонтического лечения. Если сверхкомплектный зуб расположен в дуге и не препятствует росту соседних зубов, он может быть сохранен, а его форма исправлена с помощью несъемного протезирования (коронки).
- Аномалии размеров. Коррекция микродентии проводится путем покрытия мелких зубов коронками или их удаления с последующим протезированием. Аномалии величины зубов часто сочетаются с аномалиями их формы. Лечение данной аномалии заключается в удалении гигантских зубов, исправлении положения соседних зубов и закрытии дефектов с помощью протезирования или дентальной имплантации.
- Аномалии формы. Выявление аномалий формы является основанием для протезирования дефектных зубов с помощью коронок или виниров либо удаления с последующим замещение съемными или несъемными протезами. Возможно проведение реставрации зубов с использованием светоотверждаемых композитных материалов.
- Аномалии структуры твердых тканей. Лечение несовершенного амелогенеза включает прием микроэлементов и поливитаминов, глицерофосфата кальция, проведение местной реминерализующей терапии (аппликаций фосфатсодержащих препаратов, назубного электрофореза препаратов кальция). Решение проблемы несовершенного дентиногенеза может быть достигнуто с помощью протезирования (коронок, виниров, частичных или полных съемных протезов, мостовидных протезов) либо дентальной имплантации.
- Аномалии положения. Устраняются с помощью врача-ортодонта. Для этого используются съемные и несъемные ортодонтические аппараты, брекет-системы, лицевая дуга и пр.
- Аномалии цвета. Во всех случаях аномалий цвета зубов требуется установление причин изменения окраски эмали и при необходимости проведение коррекции системных нарушений. Местное лечение заключается в проведении профессиональной гигиены полости рта, использовании различных способов отбеливания зубов.
Комплексный подход и использование возможностей современной терапевтической стоматологии и хирургии, ортопедии, ортодонтии позволяют устранить любые аномалии зубов, восстановить эстетику и нормальное функционирование зубочелюстной системы.
Профилактика формирования аномалий зубов включает заботу о правильном внутриутробном и постнатальном развитии ребенка, рациональное питание, своевременную коррекцию эндокринных нарушений, регулярное посещение стоматолога для проведения необходимых профилактических и лечебных мероприятий.
2. Этиология и профилактика зубочелюстных аномалий/ С.В. Чуйкин, С.В. Аверьянов, Г.Г.Акатьева, Е.Ш. Мухаметова, Т.В. Снеткова, Е.Г. Егорова - 2011.
3. Болезни зубов некариозного происхождения/ В.Ф. Михальченко, Н.Ф. Алешина, Т.Н. Радышевская, А.Г. Петрухин. - 2005.
Аномалии зубных рядов
Аномалии зубных рядов - это врожденные или приобретенные нарушения формы и длины нижней и верхней зубных дуг, характеризующиеся неправильным расположением (скученностью, асимметрией, транспозицией, изменением количества и пр.) зубов. Сопровождаются неправильным прикусом, нарушениями смыкания зубов, неудовлетворительной эстетикой улыбки. Диагностируются аномалии зубных рядов на основании признаков, выявленных во время стоматологического осмотра, изучения диагностических моделей и рентгенологических данных. Лечение аномалий зубных рядов состоит в восстановлении их нормальной формы и длины при помощи ортодонтической терапии, методов хирургической и ортопедической стоматологии.



Аномалии зубных рядов - обобщенное название ряда патологий формы и длины зубных дуг, оказывающих влияние на эстетику улыбки человека и функциональность зубочелюстной системы. Нормальная анатомическая форма зубного ряда верхней челюсти напоминает полуэллипс, а нижней - параболу. Аномалии зубных рядов могут характеризоваться удлинением либо укорочением, сужением или расширением зубных дуг на определенных участках челюсти. Аномалии зубных рядов проявляют себя скученным или неправильным расположением зубов (оральным или вестибулярным наклоном, поворотом по оси и т. д.), неполной адентией, тремами, диастемами, гиперодонтией и т. п. Нарушения формы и длины зубных рядов могут развиваться независимо друг от друга. В таких случаях часто наблюдается неправильная окклюзия пар зубов-антагонистов.

Основополагающими факторами, лежащими в основе формирования аномалий зубных рядов, считают недоразвитость и деформацию челюстей, обусловленные генетическими отклонениями, различными заболеваниями, перенесенными в детстве, а также вредные оральные привычки (сосание пустышек, пальцев и пр.). Аномалии зубных рядов бывают обусловлены недоразвитостью и деформациями челюстей, развившимися на фоне:
- различных болезней (например, рахита);
- парафункции мимической и жевательной мускулатуры, мышц языка;
- затрудненности носового дыхания;
- макродентии или микродентии;
- нарушений глотания (дисфагии);
- гиперодонтии или частичной адентии;
- короткой уздечки языка и т. д.
Аномалии зубных рядов различаются по отношению к трансверзальной (горизонтальной), сагиттальной (передне-задней) и вертикальной плоскости.
1. Трансверзальными аномалиями называют сужение или расширение зубных дуг, характеризующееся уменьшенным или увеличенным расстоянием между медиальной плоскостью и латерально стоящими от нее зубами. Среди нарушений, относящихся к данному виду, встречаются следующие формы:
- V-образная (сужение в боковых сегментах, разворот центральных и боковых резцов вокруг своей оси, выдающийся вперед фронтальный участок);
- остроугольная (сужение в области клыков);
- общесуженная (все зубы располагаются очень тесно, ближе к медиальной плоскости);
- седловидная (сужение в области премоляров и первых моляров);
- трапециевидная (уплощение фронтального участка челюсти, сужение боковых отделов);
- асимметричная (различное расположение боковых зубов по отношению к медиальной плоскости с разных сторон челюсти);
- аномалии, характеризующиеся гиперодонтией.
2. Сагиттальные аномалии зубных рядов (удлинение или укорочение) возникают из-за вестибулярного или орального наклона зубов во фронтальной области.
3. Вертикальными аномалиями называются зубоальвеолярные укорочения и удлинения отдельных сегментов зубных рядов.

Симптомы
Одним их главных симптомов аномалий зубных рядов считается скученность зубов, которая выражается в очень тесном их расположении. При этом зубы обычно развернуты вокруг собственной оси и «находят» друг на друга. Довольно распространенными признаками аномалий зубных рядов являются диастемы и тремы - щели между отдельными зубами. К аномальным проявлениям относят также отклонения числа зубов. Это может быть как частичная адентия (врожденная или приобретенная), так и наличие сверхкомплектных зубов.
Кроме того, к симптомам аномалий зубных рядов причисляют наклоны зубов в различных направлениях. При вестибулярном наклоне зубы смещены наружу (в сторону щек), а при оральном - внутрь (в сторону языка). Встречается мезиодистальное отклонение зубов, при котором зубы в ряду относительно своего нормального положения наклонены вперед или назад. Разворот зубов (обычно - резцов) вокруг продольной оси также рассматривается как признак аномалии.
Диагностика аномалий зубных рядов осуществляется врачом-стоматологом и ортодонтом на основании обнаруженных во время осмотра клинических признаков, рентгенологического исследования (ортопантомографии) и антропометрического анализа гипсовых моделей челюстей пациента. Для объективной оценки всех параметров зубных рядов с челюстей пациента снимаются оттиски и изготавливаются диагностические модели, после чего с использованием циркуля и линейки проводится их изучение. Размеры зубов анализируют с использованием таблиц Ветцеля и В.Л. Устименко.
На моделях также измеряют протяженность зубных рядов. После определения мезиодистальных размеров зубов получают их сумму. Затем проводят измерение длины зубного ряда при помощи капроновой нитки или тонкой проволоки, которую располагают вдоль режущего края и жевательной поверхности зубов до линии дистальных поверхностей вторых молочных или первых постоянных моляров. Значение суммы поперечных размеров зубов при скученности или дефиците места оказывается меньше протяженности зубного ряда, а при наличии щелей между зубами - больше. В случае асимметрии зубных рядов ширина их правых и левых частей измеряется от срединной линии, образованной небным швом на верхней и уздечкой языка - на нижней челюсти.
Лечение аномалий зубных рядов
Коррекция аномалий зубных рядов предполагает применение методов ортодонтии, хирургической и ортопедической стоматологии, приводящих к расширению или сокращению зубных дуг и правильной постановке зубов. Рациональный способ лечения определяется с учетом совокупности нескольких факторов: смыкания боковых зубов, причин аномалии (недоразвитость базиса челюсти или др.), суженности зубной дуги, возраста пациента (завершен ли период активного роста челюстей). Также учитывается, возможно ли устранить аномалию только лишь методами ортодонтии, или необходимо и целесообразно подключать хирургические и ортопедические методы лечения и т. д.

Ортодонтическое лечение
В настоящее время существует значительное количество различных систем ортодонтических аппаратов, позволяющих с успехом устранять многие аномалии зубных рядов. У детей с молочным прикусом и во время прорезывания постоянных зубов отклонения устраняются с помощью пластиночных аппаратов с винтами. При равномерном сужении зубного ряда винт размещают в области премоляров в середине зубной дуги, а при глубоком небе используется пружина Коффина.
Если сужению зубного ряда сопутствует протрузия верхних фронтальных зубов, применяется пластиночный ортодонтический аппарат с винтом, дополненный вестибулярной дугой. При расположении сужения в переднем либо заднем сегменте зубного ряда винт устанавливается соответственно локализации аномалии. По показаниям используются ограничители. В случае одностороннего сужения или смещения нескольких зубов применяется асимметричное положение винта и распил пластинки. При трапециевидной форме зубного ряда (его уплощении на фронтальном участке) используется пластинка с секторальным распилом в области резцов, а при укорочении переднего участка верхней челюсти возможно применение капп Шварца и Бынина.
При постоянном прикусе воздействие на аномалии зубных рядов осуществляется с помощью несъемной аппаратуры (например, дуги Энгля) и брекет-систем, посредством которых возможно одновременно перемещать зубы вперед и придавать нормальное положение относительно их собственной оси. При укорочении боковых сегментов зубного ряда зачастую бывает недостаточно места для клыков и премоляров из-за того, что первые моляры смещены вперед. Для придания им нормального положения показано использование пластинки с секторальным распилом, винтом и кламмером на смещаемый зуб. В подобных случаях одних ортодонтических методов может оказаться недостаточно, поэтому приходится прибегать к удалению премоляра, отчего лечение лучше проводить сразу после прорезывания постоянных зубов.
В последнее время все большее распространение получают несъемные дуговые ортодонтические аппараты и лингвальные брекеты, которые фиксируются с небной стороны коронок зубов. Будучи весьма функциональными, они имеют значительные эстетические преимущества, поскольку не видны окружающим, что немаловажно для пациентов, особенно в пубертатном периоде.
Ортопедическое лечение
При расширении зубного ряда у пациента возникают щели и промежутки между зубами. Устранение трем и диастем с использованием ортодонтических аппаратов затруднено, поскольку возникновение таких аномалий обычно связано с увеличением тела челюсти или альвеолярного отростка. Проблему можно устранить протезированием. Но если промежутки не слишком значительны и не вызывают у пациента нареканий, ортопедическое и ортодонтическое воздействие является необязательным.
Хирургическое лечение
В случае макродентии и скученности зубов одно ортодонтическое лечение малоэффективно. Для расстановки зубов в правильное положение обычно требуется удаление 1-2 зубов, чаще премоляров, на место которых перемещают аномально расположенные резцы и клыки. Такое сочетание ортодонтической и хирургической стоматологии часто применяется у пациентов старшего возраста, но если диагноз макродентия поставлен в период смены зубов, возможно использование метода Хотца, при котором последовательно удаляемые молочные зубы позволяют правильно располагать прорезающиеся постоянные зубы. Своевременное применение этого метода зачастую дает возможность избежать ортодонтической помощи или сделать ее минимальной.
Важную роль в исправлении аномалий зубных рядов играет ранняя диагностика: чем раньше будут начаты лечебные мероприятия, тем большего успеха, как правило, удается добиться. Самым благоприятным периодом для профилактики и лечения аномалий считается дошкольный возраст, который связан с формированием молочного прикуса, позднее терапия становится менее эффективной и требует больших затрат. В случае своевременного обнаружения и лечения аномалий зубных рядов прогноз в целом благоприятный. Современные стоматологические методы позволяют исправлять большинство отклонений.
Профилактика возникновения аномалий зубных рядов состоит в устранении их возможных причин в пренатальном периоде и в первые годы жизни ребенка. Профилактические мероприятия включают в себя заботу о здоровье матери и ребенка, лечение хронических и инфекционных заболеваний, избавление от вредных привычек (сосание пальцев, предметов) и т. п. Для раннего обнаружения развития аномалий зубов рекомендуется регулярно посещать стоматолога в рамках профосмотра.
3. Аномалии зубных рядов в структуре зубочелюстных аномалий у детей 7-18 лет/ Суслова О.В., Желизняк Н.А., Стеценко Д.В., Кордонец Е.Л., Анисимов М.В.// Вестник стоматологии. - 2019.
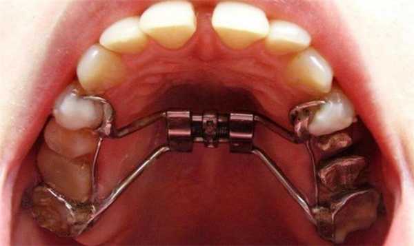
Небный бюгель для коррекции неправильного прикуса
В современной ортодонтии применяется много различных приспособлений и устройств, назначение большинства из них непонятно человеку несведущему. Пластины для зубов, капы, брекет-системы - перечислять можно долго. Достойное место в этом ряду занимает небный бюгель - конструкция для укрепления моляров и коррекция прикуса, в случае, если он имеет отклонения от нормы. Мнения об этом устройстве противоречивы, но большинство специалистов в области ортодонтии считают его применение эффективным.

Неправильный прикус - дефект коварный. Сначала он может не причинять неудобств, но с течением времени его развитие приводит к смещению и расшатыванию зубов, нарушению целостности ряда. В результате наблюдаются такие последствия, как нарушения дикции, неравномерная истираемость зубов, сбой дыхательной функции, неправильная работа височно-челюстного сустава и прочее. Для того чтобы не допустить появления перечисленных недугов, появление дефектов прикуса требуется отслеживать с самого начала, после чего принимать меры по его коррекции.

Небный бюгель представляет собой каркас, жесткая форма которого позволяет добиться смещения коренных зубов на правильное место. Она же удерживает их от произвольных движений и тем самым формирует нужную конфигурацию прикуса. Устройство представляет собой дугу из металлической проволоки, на ее концах имеются крепления - они применяются для фиксации на зубах.
Конструктивные особенности и принцип работы
Небный бюгель, как устройство, находится в стадии усовершенствования. Меняются способы крепления, типы фиксаторов и прочие детали конструкции.
Первое впечатление о нем обычно негативное - кажется, что устройство крайне неудобно и ограничивает возможности человека: вызывает дефекты речи, мешает качественно пережевывать пищу, создает дискомфорт. Однако те, кто пошел на установку данного приспособления, отмечают, что непривычным его ношение было только в первые две недели, потом человек привыкает и перестает его замечать. Этому способствует небольшая толщина проволоки и отсутствие характерного металлического привкуса, так как материал инертен, устойчив к биологическим и химическим воздействиям.
Располагается небный бюгель между верхними коренными зубами, на небольшом расстоянии от неба. Его форма - это дуга, что отражено в названии, если перевести его с немецкого. Ее жесткость дает возможность переместить коренные зубы в правильное положение. Они прикрепляются к каркасу и в течение определенного времени меняют свое положение. Так корректируется прикус, кроме этого, происходит укрепление моляров, которым проволочная дуга не дает смещаться.

Решение о применении небного бюгеля принимается врачом-ортодонтом, который производит осмотр пациента и определяет состояние ротовой полости. Процедура включает проведение ортопантомограммы зубов. В некоторых ситуациях бюгель применяется в сочетании с расширителями, которые участвуют в изменении формы верхней челюсти. Крепление этих устройств осуществляется аналогичным образом, расширение возможно благодаря наличию раздвижного элемента.
Противопоказания
Как любое медицинское средство, небный бюгель имеет свои противопоказания к применению. Количество их невелико, в перечень входят:
- психические расстройства;
- патологические состояния костной ткани челюсти;
- Заболевания иммунной системы.
Выявить, есть они у конкретного пациента или нет, помогает осмотр врача ортодонта и изучение анамнеза, с которым больной приходит в клинику. Случаи, когда доктор решает отказаться от применения данного устройства, редки, что дает возможность широко рекомендовать его установку.
Разновидности конструкций, их установка, правила использования
Основа конструкции бюгеля одна - металлическая дуга, состоящая из тонкой проволоки. Сегодня применяется три разновидности:
- Фиксированный паяный. Изготавливается индивидуально, в лаборатории, примерка производится только в ротовой полости.
- Съемный. Это устройство стандартное, кольца подбираются по размеру зубов.
- Точная лингвальная дуга.
Кроме этого, устройства различаются по конструкции креплений, при помощи которых происходит фиксация относительно коренных зубов. Наиболее распространены два вида: кольца либо замковые крепления. Какое из них лучше подойдет - решает врач.
Перед установкой приспособления требуется провести осмотр, в процессе которого определяется наиболее подходящий тип конструкции. После того, как он выбран или изготовлен, начинается установка. Положение бюгеля определяется таким образом, чтобы между ним и нёбом оставался промежуток шириной в 1,0-1,5 мм. Кольца на концах дуги крепятся на коренные зубы.

Нёбный бюгель - это инородное тело в ротовой полости, и поначалу его присутствие будет причинять неудобства. Возможно появление незначительных дефектов речи, дискомфорт во время приема и пережевывания пищи, иногда болезненные ощущения. Эти неудобства полностью перестают ощущаться через 1-2 недели ношения, человек адаптируется и не замечает его в течение дня. Ориентировочный срок, на который устанавливается бюгель - три месяца, он корректируется в зависимости от результатов лечения. Периодически требуется посещать ортодонта, он оценивает состояние конструкции и достигнутый результат. В период ношения обязательно следить за рационом, так как прием некоторых видов пищи может причинять неудобства.
Преимущества и недостатки
Разумеется, перевес наблюдается в сторону первых, иначе ортодонты не рекомендовали бы ношение бюгеля так часто. К ним относятся:
- Эстетические свойства. При ношении, в отличие от брекет-систем, его не видно, так как он находится на внутренней поверхности челюсти.
- Непродолжительный период адаптации.
- Отсутствие неприятных ощущений во время ношения.
- Повышенная эффективность в сочетании с брекетами.
Из недостатков главным считаются те самые неприятные ощущения во время адаптационного периода. Это может быть незначительное травмирование языка, а также нарушения дикции. Исчезают они спустя 10-14 дней после установки приспособления, так что обращать на них внимание не стоит.
Читайте также:
