Обезболевание при резекции верхушки корня зуба. Оперативный доступ
Добавил пользователь Владимир З. Обновлено: 21.11.2025
Методы современной стоматологии направлены на сохранение зубной единицы. К удалению прибегают в крайнем случае, если щадящие техники лечения неэффективны. Резекция верхушки корня зуба (апикоэктомия) - микрохиругическое вмешательство по иссечению пораженных инфекцией тканей с частью травмированного зубного корня. Операция проводится, если воспаление приняло форму кисты или гранулемы. Главным условием успешности подобного хирургического вмешательства, является своевременность обращения пациента к стоматологу. Если патологический процесс распространится на большую часть корня, зуб придется удалять.
Показания к операции
- Некачественное эндодонтическое лечение, приведшее к воспалению верхушки корня;
- наличие кисты, гранулемы или иного новообразования, не более 1 см в диаметре;
- перфорация стенок корня при пломбировании;
- штифт или культевая вкладка в зубном канале;
- непроходимость дентального канала из-за врожденного дефекта развития;
- установленная на зуб коронка или мост.

Когда операция не проводится
Как любое иное хирургическое вмешательства, апикоэктомия имеет ограничения и противопоказания. К ним относят:
- Подвижность зубов II-IV степени;
- разрушение коронковой части зуба (больше 50%);
- наличие трещин в пораженном корне;
- сильное искривление корневого канала (невозможно запломбировать);
- скученность зубов, не позволяющая выделить пораженный корень;
- острое инфекционное, вирусное заболевание;
- тяжелые нарушения свертываемости крови;
- декомпенсированный сахарный диабет;
- иммунодефицит в тяжелой форме;
- онкология в активной стадии.
Некоторые из ограничений к резекции корня - это показание к удалению пораженной единицы. Вторая часть относится к общим противопоказаниям к любому хирургическому вмешательству. Риск проведения операции для пациента оцениваются индивидуально.
Специалисты клиники Илатан прилагают все усилия для спасения зубной единицы, если для этого существует возможность. Но при наличии прямых показаний к удалению, к примеру, обширном поражении зубных тканей, апикоэктомию врач предлагать не будет.
Подготовка к процедуре
Предоперационная подготовка включает дезинфекцию зубного канала и его пломбирование. Канал герметично пломбируют на 2/3 длины за пару дней до вмешательства. Резекция верхушки корня проводится под местной инфильтрационной (для верхней челюсти) или проводниковой (для нижней челюсти) анестезией.
Этапы резекции
- Формирование доступа - стоматолог рассекает десну, обнажает челюстную кость. Формирует в костной ткани небольшое отверстие (в проекции верхушки корня), получая доступ к патологическому очагу. Зачастую, в проекции кисты костная ткань растворилась, выпиливать отверстие не нужно.
- Иссечение тканей и коррекция верхушки - врач удаляет очаг воспаления вместе с погибшей верхушкой корня, отсекая ее перпендикулярно верхней зубной оси (до уровня, заполненного пломбировочной массой). Пустое пространство заполняет костнопластическим материалом (быстрее восстанавливается костный объем).
- Наложение швов - ушивание раневого участка иногда выполняют с установкой дренажа для оттока сукровицы. Дренаж устанавливают между швами, через 1-2 дня его удаляют.
Резекция корня занимает 40-60 минут, зависит от расположения зуба. На клыках и резцах вмешательство провести легче, чем на многокорневых единицах.
Восстановительный период
Вся операция длится около часа, восстановительный период занимает до полугода и больше, в зависимости от того, насколько быстро регенерирует костная ткань. В первые 1-2 суток после хирургической процедуры, пациента беспокоит умеренная боль, отек, покраснение десны. Через 3-4 дня неприятные симптомы уменьшаются, состояние улучшается. Чтобы послеоперационный период прошел быстро и беспроблемно, врач даст необходимые рекомендации по уходу, назначит обезболивающие препараты, а также короткий курс антибиотикотерапии.

Уход после резекции зуба
- Не жевать на прооперированной стороне.
- До заживления раны отказаться от раздражающей, твердой пищи (еда должна быть теплой, мягкой).
- Не использовать жесткую зубную щетку, агрессивные пасты, ополаскиватель.
- Принимать назначенные врачом антибиотики для профилактики инфекции.
- Полоскать рот после еды раствором антисептика.
- Первую неделю после операции ограничить физнагрузки до умеренных, исключить экстремальные, контактные виды спорта.
- Не посещать баню, бассейн, сауну до полного заживления раны.
- Воздерживаться от употребления слишком твердых продуктов, пока кость полностью не восстановится (минимум 3 месяца).
- Регулярно приходить на осмотр к хирургу, для оценки результатов операции.
Возможные осложнения
Резекция корня - микрооперация, цель которой сохранить полную функциональность пораженного зуба. Обычно, риск осложнений минимальный, но полностью их исключить нельзя. Иногда возможны следующие осложнения:
- Кровотечение из-за травмы близлежащих сосудов;
- инфицирование послеоперационной раны;
- рецидив кисты, гранулемы (если не были удалены все пораженные ткани);
- перфорация гайморовой пазухи, носового хода;
- повреждение нерва, проходящего по альвеолярному гребню;
Иногда осложнения обусловлены особенностями строения челюсти, например, близкое расположение корней к верхнечелюстной пазухе. К осложнениям, вызванным несоблюдением врачебных рекомендаций, относят отек, воспаление тканей. Игнорирование совета по ограничению физнагрузки, чревато развитием кровотечения, несоблюдение гигиены - инфицированием раны.
Стоимость резекции корня зуба
Цена резекции корня формируется в зависимости от объемов хирургического вмешательства, затратами на расходный материал, анестезию. Результат процедуры полностью оправдывает потраченные средства. Ведь это дешевле, чем удаление с дальнейшей имплантацией и протезированием. Сколько стоит резекция зуба врач точно скажет после осмотра и диагностики.
Удаление корня разрушенного или гнилого зуба: больно ли, процесс удаления
В прошлом веке на вопрос, больно ли удалять корень зуба, если коронка полностью разрушена, многие стоматологи дали бы утвердительный ответ. Боль в процессе и после процедуры, осложнения от анестезии и неприятные ощущения преследовали многих пациентов. Но сегодня ситуация изменилась - больной зуб и его корень можно вырвать абсолютно безболезненно.
Кому придется расстаться с зубом
После удаления зуба в кабинете врача осложнения возникают крайне редко. Гораздо чаще печальные последствия наступают при его самопроизвольном выпадении вследствие разрушения или травмы. В таких случаях есть два выхода: реставрация дентина и эмали или удаление зубного корня.
Удалить корень зуба придется при следующих симптомах:
- постоянный дискомфорт в десне;
- резкая боль при жевании;
- опухшие мягкие ткани;
- кровотечение;
- появление гноя.
Верный признак воспалительного процесса в десне - повышение температуры тела при отсутствии симптомов другой болезни.
Важно! Откладывать визит в стоматологию нельзя, даже если появился только один из этих симптомов. Любые подозрения на то, что корень зуба остался в десне и начал гнить, должны стать причиной срочного обращения к врачу.
Какими бывают корни зубов, смотрите на фото:
Временные противопоказания
Оперативное удаление корня разрушенного зуба противопоказано в период:
- рецидива сложного психического расстройства;
- острой фазы ОРВИ;
- обострения неврологического заболевания;
- реабилитации после инфаркта.
Доктора стоматологических клиник осведомлены обо всех противопоказаниях к экстракции. Но не все состояния имеют яркие клинические признаки, поэтому во избежание неприятных последствий необходимо предупредить врача о недомогании.
Обобщенная схема удаления зубов
Процесс удаления любого зуба включает такие этапы:
- Обследование и сбор анамнеза (аллергический статус, сведения о состоянии здоровья и зубочелюстного аппарата).
- Подготовка операционного поля: обработка места укола, полоскание рта антисептиком.
- Анестезия.
- Отслоение десны от зуба с помощью гладилки.
- Расшатывание зуба щипцами.
- Извлечение зуба из лунки.
- Обработка лунки антисептиком.
- Остановка кровотечения с помощью тампонады.
По такой схеме проводится простое удаление. В некоторых ситуациях, к примеру, при вырывании зуба мудрости или сильно разрушенного коренного зуба, требуется проведение сложной экстракции. Ее основное отличие в том, что помимо щипцов, стоматолог применяет бормашину для выпиливания костной ткани или распиливания корня на части, долото, молоток и другие стоматологические инструменты.
Схема удаления зуба мудрости
Особенно сложным бывает избавление от зуба мудрости. Из-за нахождения в заднем квадранте челюсти доступ к нему осложнен. При анатомически неверном расположении или искривленных корнях, которые часто встречаются у третьих моляров, стоматолог бывает вынужден сделать надрезы на деснах, выдернуть корень по частям, а затем наложить швы.
Как происходит удаление разрушенного зуба
Процесс удаления зуба - простая стоматологическая операция. Сложность возрастает, когда нужно удалить корень зуба, который полностью разрушен. Факторы, требующие вмешательства опытного специалиста:
- небольшой размер оставшейся коронки;
- состояние окружающих тканей;
- расположение оставшихся твердых тканей зуба под верхним краем десны;
- дефекты десен, корней.
Влияет на сложность операции и принадлежность позиции верхней или нижней челюсти. На верхней челюсти стенки лунок длиннее и толще, соответственно, зубы удаляются из них с большим трудом - для выполнения манипуляции нужна высокая квалификация дантиста.
Зубы мудрости, от которых остался только корень, удаляют так же, как и обычные моляры, но у некоторых пациентов заживление после такого вмешательства проходит очень болезненно.
Обследование и подготовка
Процедура начинается с тщательного обследования и подготовки больного. При его первом обращении в клинику врач сделает рентген и произведет осмотр ротовой полости.
- определить состояние зуба, оценить масштаб разрушения;
- уточнить наличие аллергии, противопоказаний, воспаления;
- выбрать способ обезболивания;
- составить план операции;
- подготовить инструменты.
В качестве инструментов для удаления гнилого корня зуба используют бормашину, щипцы, набор элеваторов (фото).
Обязательное условие - гигиеническая обработка расположенных рядом тканей. Вырывание возможно только после снятия камней и налета с окружающих операционное поле коренных зубов, резцов или клыков. Непосредственно перед экстракцией ротовая полость обрабатывается раствором Хлоргексидина.
Обезболивание
Бывают случаи, когда дентин разрушается постепенно, без воспаления, без появления гнили. В таких ситуациях возможно безболезненное удаление корня без применения обезболивающих средств, однако, чаще приходится использовать анестезию.
Выбор препарата осуществляется с учетом:
- возраста;
- аллергического статуса;
- наличия соматических заболеваний;
- индивидуальной непереносимости лекарственных препаратов;
- наличия хронических заболеваний: эпилепсии, сахарного диабета;
- сложности предстоящей операции.
Обо всех отклонениях пациент должен предупредить стоматолога до начала процедуры. В большинстве случаев корень зуба удаляют при местной анестезии - один или два укола для резцов, от 2 до 4 уколов в десну для моляров. Но если разрушились два зуба, или предстоит вскрытие челюсти, больной получает общий наркоз - будет спать, пока врач не закончит выдергивать зуб.
Особенности обезболивания зуба с гнилым корнем
Обезболивающий укол делается в место проекции зубных корней. Но если лекарство будет введено в область гнилого участка, оно может не подействовать, и человеку будет больно в процессе экстракции.
Лечение пациентов с гнилыми корнями выполняется в два этапа. В первый визит стоматолог обезболивает десну, препарирует ее и очищает от гноя. Во время второго посещения анестезия выполняется повторно, и врач убирает корень, который сгнил внутри десны.
Удаление
Как удалить зуб, если остался только корень, решает врач. Обычно начинают с применения щипцов. Даже если разрушенные корни остаются под десной, лунки полностью не зарастают - стоматолог может аккуратно подцепить остатки твердых тканей и легко их вырвать.
Если зуб раскрошился до самого основания, его вырывают элеватором. Введя инструмент между десной и дентином, доктор давит на ручку и совершает вращательные движения небольшой амплитуды. В результате волокна пародонта сдвигаются, а корень выдавливается из лунки.
Бормашина используется, когда перед удалением нужно раздробить твердые ткани коренного зуба. При правильно выполненной анестезии такая процедура проходит безболезненно, неприятные ощущения возможны лишь тогда, когда десна уже заживает.
Снятие воспаления
При удалении гнилого корня довольно часто обнаруживается воспалительный процесс. Чтобы ранка благополучно заросла и не загноилась, принято делать обработку антисептиком. Но одна обработка не обеспечит должной профилактики, поэтому в свежую лунку закладывают противовоспалительный препарат. С ним лунка заживет быстрее, а у пациента будет меньше шансов заболеть альвеолитом.
Наложение швов
Для извлечения корневой системы врач отделяет и поднимает лоскуты мягких тканей, прикрепить их обратно можно только посредством наложения швов. Стягивать нитями края лунок принято при двойном или тройном удалении, когда препарированию подверглась значительная часть десны. Делается это для того, чтобы пострадавший участок быстрее зарос и не причинял больному дискомфорт.
Если в лунке остались осколки корня
Если стягивание краев раны было выполнено кетгутом, лечение пациента можно считать оконченным. Если применялся нерассасывающийся материал, пациенту придется вернуться в стоматологию для снятия швов через неделю. За это время необходимо отследить состояние десен, собственные ощущения и поставить врача в известность, если:
Это значит, что в лунке сгнивают небольшие осколки тканей зуба, которые могли остаться незамеченными во время экстракции. Врач должен назначить пациенту повторный рентген-снимок, проверить качество проведения операции и выяснить причину недомогания. Бездействие чревато развитием альвеолита (воспаления лунки), остеомиелита, флегмоны и других серьезных заболеваний.
Как происходит удаление гнилого корня зуба с сохранением коронки
Зуб, в котором остался только корень, не всегда вырывают целиком. К примеру, если на верхушке корня развивается воспалительный процесс, но сам зуб еще можно спасти, проводится резекция верхушки корня - частичное удаление.
Процедура осуществляется после пломбирования каналов, под местной анестезией. Операция несложная и длится не более получаса. Основные ее этапы:
- Сбор анамнеза.
- Подготовка операционного поля.
- Анестезия.
- Разрезание десны для доступа к корню.
- Отслаивание мягких тканей.
- Выпиливание «окошка» в кости.
- Отсекание воспаленного участка корня с гранулемой или кистой.
- Закладывание в полость препаратов, стимулирующих рост костной ткани.
- Наложение швов.
Что делать после удаления
После любого хирургического вмешательства следует соблюдать все рекомендации дантиста, а также:
- не есть в течение 2 часов после манипуляции;
- охлаждать мягкие ткани лица в проекции удаленного корня;
- отказаться от курения на два дня;
- принимать прописанное обезболивающее;
- делать антисептические аппликации;
- следить, не крошатся ли другие зубы.
Иногда после сложной экстракции стоматологи назначают пациентам антибиотики. Игнорировать это назначение нельзя - после того, как из лунки вырывают зуб, в ней образуется очаг инфекции, который можно погасить только с помощью лекарств.
В следующем видео схематично показаны разные методы удаления резцов, клыков, моляров и премоляров нижней и верхней челюсти.
Резекция верхушки корня зуба: отзывы
Статья написана хирургом-стоматологом со стажем более 19 лет.
Резекция верхушки корня зуба - это хирургический метод лечения гранулем и кист, образующихся у верхушки корня из-за хронического воспалительного процесса (вызванного инфекцией в корневых каналах зуба). Гранулемы и кисты являются подвидами заболевания, называемого хроническим периодонтитом.
Отличаются они друг от друга только размерами… Если очаг воспаления у верхушки корня больше 1 см в диаметре - образование называют радикулярной кистой, а если менее 1 см - гранулемой или кистогранулемой. Визуально они представляют из себя «мешочек с гноем», прикрепленный к верхушке корня зуба.
Таким образом, основными показания к проведению резекции является наличие воспалительного очага у верхушки корня зуба, который сложно вылечить при помощи методики консервативной лечения хронического периодонтита. Последняя заключается во временном пломбировании корневых каналов препаратами на основе гидроксида кальция (сроком на 2-3 месяца).
Как проводится резекция корня зуба -
Смысл операции резекции заключается в отсечении бормашиной верхушки корня зуба вместе с «гнойным мешочком». И многих пациентов поэтому сразу интересует вопрос - сколько прослужит зуб после резекции. Нужно сказать, что операция никак не влияет на срок службы зуба, т.к. размер удаляемой части корня очень мал.
Резекция корня зуба является достаточно простой операцией, и длится она обычно от 20 до 40 минут. Передние зубы оперируются быстрее, что связано с удобством визуального контроля операции, но боковые зубы (6-7 моляры) - требуют от врача больше усилий и времени. На анимации ниже вы можете увидеть все основные этапы операции.
Резекция зуба: анимация
1. Подготовка к операции -
Резекция зуба может быть проведена только при условии отсутствии активного гнойного воспаления в области верхушки корня. Если присутствует припухлость десны или боль при нажатии на зуб - необходимо сначала снять активный воспалительный процесс.
Если операция планируется в зубе, корневые каналы уже были запломбированы, то стратегия тут может быть разной. Например, если канал этого зуба хорошо запломбирован на всем протяжении (кроме как у самой верхушки корня) - распломбировывать такой канал необязательно, ведь верхушка все-равно будет спиливаться. Во всех остальных случаях потребуется перепломбировка корневых каналов.
2. Методика операции -
Операция проводится под местным обезболиванием, и абсолютно безболезненна. Умеренные болезненные ощущения возникают только по окончании операции, что потребует приема обезболивающих препаратов. Чуть ниже вы сможете подробно увидеть ход операции на схематических изображениях и видео, но сначала мы обратив ваше внимание на основные моменты в ходе операции.
Основные этапы операции -
Схема операции (рис.5-10) -
Если киста была большого размера, то заживление кости можно простимулировать специальными костно-пластическими материалами на основе синтетического гидроксиапатита - препаратами «Колапол» или «Коллапан». В некоторых случаях при операции резекции может также применяться ретроградное пломбирование корневого канала (см.ниже).
Резекция зуба: видео операции
На видеороликах ниже вы можете увидеть как проводится разрез десны, обнажается костная ткань в проекции корня зуба, и хирург высверливает окошко в костной ткани, после чего - производится отсечение верхушки корня зуба бормашиной. Обратите внимание, что вместе с верхушкой корня врач выскабливает еще и образовавшийся у верхушки корня зуба очаг воспаления (гранулему/кисту).
Резекция верхушки корня зуба: цена 2022
Сколько стоит резекция верхушки корня зуба - цена в клиниках эконом-класса и средней ценовой категории на 2022 год составит от 4500 до 10 000 рублей.
Такая разница в цене будет прежде всего зависеть от положения зуба - доступ к корням передних зубов достаточно прост, и поэтому операция проводится достаточно быстро. Однако хирургический доступ к верхушкам корней боковых зубов (особенно 6-7 моляров) - весьма сложен, поэтому операция требует намного больше времени и усилий врача.
Ретроградное пломбирование корневого канала при резекции -
Само название методики «ретроградное пломбирование корневого канала» подразумевает, что после отсечения верхушки корня зуба бормашиной - верхняя часть корневого канала будет еще и дополнительно запломбирована со стороны отсеченной верхушки.
Суть методики (см.видео ниже) -
при помощи ультразвуковой насадки верхняя часть корневого канала распломбировывается (на 2 мм глубже спила). После этого распломбированная часть корневого канала пломбируется специальным материалом типа «ПроРут» (ProRoot-MTA). Это гарантирует плотную обтурацию пломбировочным веществом корневого канала и не даст размножаться инфекции в корневом канале, что вызовет повторное образование кисты.
Ретроградное пломбирование является золотым стандартом при проведении резекции во всем цивилизованном мире, т.к. практически полностью исключает риск повторного образования кист. В России применяется редко в силу слабой квалификации большинства хирургов-стоматологов (некоторые за всю жизнь не сделали ни одной подобной операции, и не видят в этом смысла), а также из-за необходимости применения дорогих материалов.
Ретроградное пломбирование: видео
Этот метод особенно необходим, когда резекция делается на зубах, корневые каналы которых были запломбированы давно, и доктор принял решение, что дополнительно перепломбировывать их перед операцией не нужно. Последнее иногда бывает, когда на зубе стоит искусственная коронка, и перелечивание зуба приведет к необходимости в том числе и повторного протезирования.
Резекция верхушки корня: отзывы пациентов
Все пациенты отмечают, что операция абсолютно безболезненна. Однако послеоперационная боль возникнет сразу после прохождения анестезии (сильные боли после резекции не характерны). На следующее утро вы можете увидеть отек мягких тканей лица в проекции операции, иногда - гематому. В редких случаях бывает нагноение операционной раны, но это случается не часто. Предотвратить это осложнение помогает профилактическое назначение антибиотиков.
После операции обычно назначаются -
- антибиотик Амоксиклав 625 мг (по 1 таб. - 2 раза в день, 6-7 дней), ,
- полоскания раствором0,05%Хлоргексидина.
Рецидив и повторная операция -
процент рецидивов по официальной статистике - около 1-3%. Если операция сделана по всем правилам, то никаких осложнений быть не должно. Тут есть 2 главных момента, обуславливающих качество операции. Во-первых - оболочка кисты должна быть убрана полностью (т.к. если даже небольшой фрагмент оболочки кисты останется - она появится снова).
Во-вторых - это качество пломбирования корневого канала. Если корневой канал был подготовлен плохо, например, неплотно запломбирован - это приведет к размножению инфекции по стенкам канала и новому образованию кисты. И в том числе тут может помочь ретроградное пломбирование корневого канала, о котором мы рассказали выше.
Альтернативы резекции зуба -
Резекция в большинстве случаев не является обязательным и безальтернативным методом лечения гранулем и кист. Обязательное проведение резекции требуется только при наличии кист большого размера (например, 1,5-2 см и более). Последнее связано с тем, что оболочка кист большого размера очень плотная и толстая, и целиком не исчезает даже при хорошем консервативном лечении (хотя сама киста и уменьшается в размерах).
Терапевтическое лечение кист проводится терапевтом стоматологом, и единственный недостаток этого метода заключается в длительности терапии и в несколько большем количестве посещений врача. Для того, чтобы гранулема/киста начала уменьшаться и исчезла - необходимо полностью нейтрализовать источник инфекции в корневых каналах, а затем запломбировать корневые каналы лечебной пастой на основе гидроксида кальция сроком на несколько месяцев.
Через несколько месяцев врач сделает вам рентгеновский снимок, чтобы посмотреть насколько уменьшалась киста, и если все хорошо - назначит вас на постоянное пломбирование корневых каналов. До этого же момента вы будете ходить с временной пломбой. Нужно отметить, что консервативное лечение не всегда оказывается эффективным, и зуб раз за разом воспаляется. Поэтому бывает проще иногда сразу запломбировать корневой канал на постоянной основе, и на следующий день провести операцию и убрать кисту.
Резекция зуба: преимущества
Мы уже сказали, что резекция корня зуба делается обычно при наличии кист и гранулем, возникновение которых связано с инфекцией в корневом канале. Если корневые каналы в причинном зубе ранее не были запломбированы, то в большинстве случаев сначала применяется терапевтическое лечение.
Но в большинстве случаев гранулемы/кисты возникают вследствие некачественного пломбирования корневых каналов (рис.12). Зачастую в таких ситуациях можно сразу провести резекцию - без перелечивания каналов в зубе, но обязательное условие для этого - корневой канал должен быть плохо запломбирован только у самой верхушки корня, а на остальном протяжении - хорошо.
Ситуации, когда резекция лучше консервативного лечения -
- В корневом канале есть штифт или культевая вкладка (рис.13-14) -
металлические штифты и культевые вкладки фиксируют в корневых каналах на специальный очень прочный стоматологический цемент. Попытка извлечения в этом случае может привести в том числе - к перелому корня зуба (и необходимости удаления зуба).
Поэтому, если в корневом канале есть штифт или культевая вкладка, а сам канал запломбирован на всем протяжении хорошо, и только у верхушки корня недопломбирован, то это тоже показание для проведения резекции корня зуба.

Поэтому, если на зубе стоит коронка (особенно если со штифтом) - как на рис.13-14, а корневые каналы плохо запломбированы только у самой верхушки корня, то лучше сделать резекцию верхушки корня. Во время операции недопломбированная часть канала вместе с верхушкой корня отсекается бормашиной, а киста удаляется. Надеемся, что наша статья оказалась для Вас полезной!
Источники:
1. Высшее проф. образование автора по хирургической стоматологии,
2. На основе личного опыта работы хирургом-стоматологом,
3. National Library of Medicine (USA),
4. «Амбулаторная хирургическая стоматология» (Безруков В.),
5. «Хирургическая стоматология и челюстно-лицевая хирургия» (Кулаков А.).
Резекция верхушки корня зуба: восстановление после операции, резекция десны
Хирургическое удаление патологических образований воспалительного характера в ротовой полости необходимо в случае неэффективности традиционного эндодонтического лечения. Операции такого плана сложны и требуют от хирурга-стоматолога высокой квалификации и опыта, особенно вмешательства, проводимые в области зубного корня. Но резекция верхушки корня зуба позволяет полностью удалить патологическое образование и блокировать воспаление, сохранив здоровый зуб.

Что такое резекция верхушки зубного корня
Деятельность патогенных микроорганизмов в сочетании с недостаточным соблюдением гигиены ротовой полости, ослабленным иммунитетом может привести к инфицированию и развитию воспалительного процесса в мягких и твердых околозубных тканях. При появлении патологических образований в мягких тканях (кисты, свищи, абсцессы, фурункулы) требуется их удаление.
Высокую эффективность показывает удаление очагов воспаления и инфекции хирургическим путем вместе с верхней частью зубного корня, такая операция часто проводится на клыках и резцах. На малярах резекция выполняется редко в связи с множественностью корней и сложностью проведения вмешательства. Метод позволяет полностью сохранить функции зуба.
Резекция верхушки корня зуба проводится для удаления патологического образования в околозубной области, не поддающего медикаментозному лечению. Но есть и ряд второстепенных показаний, при которых хирургическое удаление корневой верхушки целесообразнее, чем другие методы лечения.
Лечение воспаления в корневых каналах после пломбирования
После удаления нерва канал заполняется композитом, пломбировочный материал должен заполнить канал до самого верха корня. Если композит не попал в какую-либо часть канала, высок риск развития инфекционного либо воспалительного процесса, который может стать причиной возникновения кист, абсцессов, гранулем и свищей в околозубных мягких тканях.
Восстановить здоровье депульпированного зуба можно посредством резекции верхушки зубного корня. Операция дает возможность удалить неправильно запломбированный участок канала, провести санацию очага воспаления.
Лечение дефектов корневых каналов со штифтами и вкладками
Резекция проводится, если воспалительный процесс возник в каналах со штифтами или вкладками. Операция позволяет частично сохранить корень и избежать удаления зуба. Дело в том, что штифты фиксируются медицинским композитом высокой прочности, и извлечь их, не разрушив корень, практически невозможно.
С помощью хирургии врач может добраться до верхушки корня и снять воспаление в канале, не затрагивая штифты и культевые вкладки в зубе.
Для сохранения коронки
Резекция проводится при лечении кисты или другого околозубного образования воспалительного характера, если на зубе с запломбированными каналами установлена коронка. Операция позволяет сохранить конструкцию.
Если диаметр образования превышает 1 см
При больших кистах, гранулемах и абсцессах медикаментозное лечение длительно, чревато серьезными осложнениями и недостаточно эффективно. Инфекция может распространиться на десны, мягкие ткани всей ротовой полости и даже костную ткань. Рассечение десны, резекция верхней части корня в полости образования и установка дренажа обеспечивают отток гноя и быстрое заживление раны.
Противопоказания
Противопоказаниями к проведению оперативного вмешательства являются:
- Пародонтит, осложненный подвижностью зубов.
- Выраженные стадии пародонтоза с сильным обнажением зубной шейки.
- Опухолевый процесс в зоне роста зуба.
Этапы проведения резекции верхушки корня зуба
Операция может длиться от тридцати до шестидесяти минут, длительность зависит от расположения зуба и очага воспаления, размера области поражения, стадии заболевания.
Проведение операции на передних зубах требует меньше времени. Осуществлять хирургическое вмешательство на молярах, расположенных в труднодоступных местах, сложнее, поэтому такие операции занимают больше времени.
Предоперационная подготовка
В том случае, когда запланирована операция на зубе, каналы которого не пломбировались в прошлом, за 2-3 дня до процедуры врач в обязательном порядке пломбирует их. Корневой канал расширяется, тщательно дезинфицируется и заполняется композитом с таким расчетом, чтобы материал проник за область корневой верхушки. В качестве пломбировочного композита для будущей резекции в современной стоматологии применяется фосфат-цемент.
Процедура выполняется под местной анестезией. При проведении хирургического вмешательства на верхней челюсти показана инфильтрационная анестезия, которая обеспечивает обезболивание на большую глубину тканей и действует долго. При резекции верхушки корня зуба на нижней челюсти рекомендована проводниковая анестезия: анестетик вводится в зону рядом с тройничным нервом, в результате чего блокируются и нервы, и окружающие ткани.
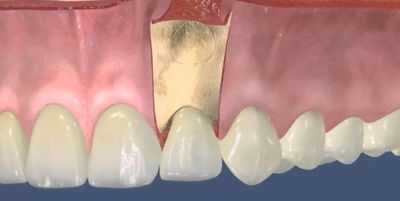
Рассечение десны и обеспечение доступа к верхушке корня
Производится дугообразный надрез на десне, и отслаивается слизистая оболочка. Образовавшийся лоскут ткани отгибается, обнажая челюстную кость и надкостницу. В той области кости, где было диагностировано образование, хирург проделывает небольшое отверстие с помощью бормашины. Процедура безболезненна.
Удаление верхушки корня зуба и воспаленных тканей
Сделанное бормашиной отверстие выступает в роли канала. Через него выполняется обнаружение верхушки и отсечение ее от остального корня. После выполнения резекции врач достает обломок верхушки корня с кистой либо очагом воспаления с помощью пинцета.
Если в результате удаления кисты образовалась полость большого размера (более 10 мм), врач заполняет ее остеопластическим материалом для ускорения регенеративных процессов в костной ткани и ее быстрого восстановления.
Ушивание раны
После проведения операции по резекции верхушки корня зуба рана промывается раствором антибиотика, и производится санация полости рта. Затем врач восстанавливает рельеф слизистых оболочек и накладывает швы. Для лучшего оттока крови и сукровичных выделений, которые в большом количестве появляются в первые два дня после операции, между швами устанавливается дренаж, благодаря которому уменьшается послеоперационная гематома и отек.
В течение получаса после операции к ране прикладывается холод, на область подбородка и верхней губы на 10 часов накладывается давящая повязка. Есть можно спустя 3-4 часа после резекции.
Резекция верхушки корня зуба: что нужно делать после операции
Послеоперационный уход заключается в обеспечении тщательной регулярной гигиены полости рта. Для скорейшего восстановления обычно назначается противовоспалительная терапия, включающая курс иммуномодуляторов, полосканий, аппликаций и ванночек.
В первые дни следует исключить из рациона твердую пищу и отдавать предпочтение супам, гомогенизированным кашам, мясным и овощным пюре, молочным блюдам. Пока не будут сняты швы, и не затянется рана, необходимо воздерживаться от подъема тяжестей и высокой физической активности. Необходимо свести к минимуму стрессовые ситуации и нагрузку на психику.
При соблюдении всех рекомендаций врача заживление рассеченной десны займет не более месяца, а полное восстановление костной ткани - до полугода.
Резекция очень эффективна и позволяет полностью избавить пациента от воспалительной патологии у зубного корня. Послеоперационные осложнения возникают чаще всего из-за некомпетентности врача. Если операция проводится высококвалифицированным хирургом в Москве или регионах, риск осложнений минимален.
Резекция верхушки корня зуба
Весь контент iLive проверяется медицинскими экспертами, чтобы обеспечить максимально возможную точность и соответствие фактам.
У нас есть строгие правила по выбору источников информации и мы ссылаемся только на авторитетные сайты, академические исследовательские институты и, по возможности, доказанные медицинские исследования. Обратите внимание, что цифры в скобках ([1], [2] и т. д.) являются интерактивными ссылками на такие исследования.
Если вы считаете, что какой-либо из наших материалов является неточным, устаревшим или иным образом сомнительным, выберите его и нажмите Ctrl + Enter.
Современная хирургия предусматривает проведение всевозможных, и даже очень сложных, операций. Многие стоматологические заболевания также приходится лечить хирургическим путем. Одной из таких стоматологических операций является резекция верхушки корня зуба, или, говоря медицинским языком, апикоэктомия.
Основная цель вмешательства - это удаление элемента тканей, поврежденного патологическим процессом. При этом само тело зуба сохраняется. Процедура считается достаточно сложной, поэтому более подробная информация о ней не будет лишней.
Показания к резекции верхушки корня зуба
Апикоэктомия назначается для лечения пациентов с осложненным периодонтитом, протекающем с образованием кисты, гранулемы, либо с попаданием инфекции в корневой канал. Кистозный элемент обычно прикреплен к верхушке зубного корня.
В каких именно случаях приходится прибегать к операции?
- При некачественном лечении каналов корня, когда в некоторых частях недолеченного канала возникает инфекционный очаг, провоцирующий развитие кисты.
- При наличии штифта или вкладки в канале корня, что при попытках удаления кисты может привести к повреждению зубного корня.
- При лечении кисты зуба, на котором установлена коронка, с запломбированными каналами корня.
- Кистозное образование размером больше 10 мм является однозначным показанием к оперативному вмешательству.
Как и большинство хирургических операций, резекция корня зуба, кроме показаний, обладает и некоторыми противопоказаниями, которые необходимо учитывать при назначении вмешательства:
- расшатанность зубов;
- острые инфекционные процессы в организме;
- серьезные сердечно-сосудистые патологии;
- острое течение периодонтита;
- значительное повреждение тела зуба;
- трещины зубного корня.
Техника проведения резекции
Процедура апикоэктомии обыкновенно длится не более одного часа. Это может зависеть от местонахождения зуба относительно зубного ряда. Легче поддается лечению передний ряд зубов.
Оперативное вмешательство проводится поэтапно.
- Пациента готовят к процедуре. Если каналы пораженного зуба не были запломбированы, то их пломбируют за сутки-двое до операции, но не ранее.
- Вмешательство протекает при местном обезболивании. Предварительно пациента проверяют на вероятность аллергии.
- Хирург проводит надрез в области десны, обнажая кость, в которой проделывается отверстие для доступа к кисте.
- Сквозь проделанное отверстие врач отсекает корневую верхушку вместе с кистой.
- После удаления больших по размеру кист образовавшуюся полость наполняют искусственной костной тканью. Если же киста была небольшая, то этот шаг пропускают.
- Хирург ушивает разрез в десне, оставляя небольшой участок для постановки дренажа.
- Для предупреждения кровотечения врач на 20-30 минут прикладывает холод. Также это служит профилактикой отека и гематомы.
После процедуры пациенту рекомендуется тщательно соблюдать правила гигиены ротовой полости, полоскать зуб противовоспалительными растворами.
Принимать пищу можно не ранее, чем спустя 3 ч после вмешательства. При этом продукты должны быть перетертыми и не должны содержать твердых частиц.
Пациенту выписывают справку о временной нетрудоспособности до того момента, пока не будут сняты швы. Обычно это происходит на 5-7 день.
Если не соблюдать перечисленные правила, то киста может развиться вновь. В таком случае может потребоваться повторная резекция верхушки корня зуба.
Последствия после резекции верхушки корня зуба
Какими могут быть последствия после процедуры апикоэктомии? Чаще всего это такие осложнения, как:
- кровотечение;
- перфорация стенки гайморовых пазух;
- неполное удаление очага;
- воспалительная реакция;
- травматическое поражение нервов.
Кроме этого, киста может развиться повторно: чаще всего это происходит после неграмотно проведенной резекции, либо при несоблюдении правил гигиены ротовой полости.
В период восстановления следует принимать антибиотики, назначенные стоматологом. Если назначенное лечение проигнорировать, либо самостоятельно изменять схему лечения, то в таком случае также возможно повторное развитие патологии.
Осложнения после резекции верхушки корня зуба - например, нагноение раны, сводятся к нулю, если соблюсти все необходимые асептические правила и принимать антибиотики.
После операции срок службы пораженного зуба не отличается от такового у здоровых зубов. Главное - тщательно соблюдать все рекомендации лечащего доктора.
Что делать, если болит зуб после резекции верхушки корня?
Боль, возникающая после резекции верхушки корня, может быть признаком осложнений, таких как:
- перфорация гайморовых пазух;
- повреждение альвеолярного нерва;
- развитие гнойного процесса в ране;
- некачественная очистка операционной полости и рецидив кисты.
Кроме этого, важно учитывать характер боли: ноющая, стреляющая, усиливающаяся при накусывании, постоянная, периодическая и т. п.
Если после операции появилась боль, то для уточнения диагноза необходимо учитывать и другие сопутствующие признаки:
- повышенная температура тела;
- усиление болей при наклонах головы;
- избыточная чувствительность пораженного зуба;
- заложенность в носу и пр.
Для уточнения диагноза и составления плана необходимого лечения придется провести некоторые обследования, в частности, рентгенографию и ортопантомографию.
Восстановление после резекции верхушки корня зуба
Как мы уже говорили, процедура апикоэктомии - сложная операция, длительность которой составляет около 1 ч. При соблюдении всех рекомендаций врача восстановление происходит относительно быстро.
На протяжении 2-3-х дней следует избегать значительной физической активности.
Кушать можно уже спустя 3 ч после вмешательства, но только теплую и жидкую пищу. В будущем рекомендуется отказаться от слишком горячей и холодной пищи, а также от слишком соленых и кислых продуктов.
Нежелательно в дальнейшем проводить агрессивное отбеливание зубов.
Первые несколько дней после операции может беспокоить отечность тканей и незначительная боль. Однако с применением антибиотиков и обезболивающих средств рана быстро заживает, а боль бесследно проходит.
Оперирующий хирург может назначить профилактическую рентгенографию через 2-3 месяца после вмешательства, чтобы убедиться в успешном купировании инфекционного процесса.
На протяжении 3-х месяцев после процедуры желательно избегать употребления твердой пищи, такой как орехи, семечки и т. д.
В подавляющем большинстве случаев резекция верхушки корня зуба помогает пациентам сохранить зуб с его основными функциями, а также предупредить многие стоматологические проблемы в будущем.
Читайте также:
- Почему не получается забеременеть? Как лечить бесплодие?
- Особенности строения клеток растений
- Длительность течения рака толстой кишки. Множественный рак толстой кишки при полипозе
- Изменение формы стопы. Мышцы и тыл стопы
- Аритмогенная дисплазия правого желудочка (АДПЖ). Изолированная желудочковая некомпактность миокарда (ИЖНКМ) и отсутствие перикарда
