Образование оболочек плода. Желточный мешок
Добавил пользователь Владимир З. Обновлено: 31.10.2025

Фото УЗИ плода при беременности 4-5 недель
Самый ранний срок, на котором можно разглядеть с помощью трансвагинального УЗИ плодное яйцо в полости матки - это 30-й день гестации, или 4-5 акушерских недель беременности. Уровень ХГЧ крови при этом должен быть не менее 1000 мЕд/мл. В это время ещё не видно ни эмбриона, ни желточного мешка. При визуализации двух плодных яиц можно утверждать, что это дихориальная многоплодная беременность. При визуализации одного плодного яйца можно утверждать, что это монохориальная беременность. Но на этом сроке мы ещё не можем сказать сколько эмбрионов находится в каждом плодном яйце. Кроме того, во время однократного УЗИ мы ещё не можем сказать, прогрессирует ли данная беременность, так как у эмбриона ещё нет сердцебиения. Средний внутренний диаметр (СВД) плодного яйца на этом сроке 2-10 мм.
В заключении будет указано: Маточная беременность малого срока.
5-6 недель

Фото УЗИ плода при беременности 5-6 недель
На этом сроке внутри плодного яйца появляется белое колечко - это желточный мешок.
В стенке желточного мешка образуются очаги эритропоэза, которые формируют капиллярную сеть, поставляя эритробласты (ядерные эритроциты) в первичную кровеносную систему плода. Желточный мешок является источником первичных половых клеток, которые мигрируют из его стенки к закладкам гонад эмбриона. До 6-й недели после оплодотворения желточный мешок, играя роль «первичной печени», продуцирует многие важные для эмбриона белки — альфа-фетопротеин, трансферрины, альфа2-микроглобулин. К концу I триместра беременности этот провизорный орган перестает функционировать и редуцируется.
Нормальные размеры желточного мешка 2-6 мм. Если в плодном яйце визуализируются два желточных мешка, значит это монохориальная многоплодная беременность. Но если внутри плодного яйца виден один желточный мешок, а эмбрион ещё отчётливо не визуализируется, то это всё ещё может оказаться монохориальная моноамниотическая двойня.
Эмбрион в начале 5-й недели практически неразличим на стенке желточного мешка, но уже к концу недели копчико-теменной размер (КТР) эмбриона достигает 3 мм.
СВД плодного яйца 11-16 мм.
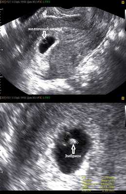
6 - 7 недель

Фото УЗИ плода при беременности 6-7 недель
Внутри плодного яйца мы видим "колечко с драгоценным камнем" :) - это желточный мешок и уже хорошо различимый эмбрион, расположенные рядом. Сердце эмбриона начинает биться в начале 6-й акушерской недели беременности. Именно наличие пульсации сердца является достоверным ультразвуковым признаком прогрессирующей беременности. При КТР ≥6 мм и отсутствии пульсации сердца делается заключение об остановке развития данного эмбриона. Нормальная частота сердечных сокращений (ЧСС) эмбриона в самом начале 6-й недели 70-90 ударов в минуту, но уже к концу недели становится более 100 уд. в мин. На ранних сроках беременности большее значение имеет не ЧСС, а как таковое наличие или отсутствие сердечных сокращений. Иногда, при неразвивающейся беременности можно увидеть отражение пульсации сосудов матери внутри эмбриона и принять их за сердцебиение ребёнка. Но в этом случае частота пульсации будет идентична ЧСС матери.
Наличие одного желточного мешка, одного эмбриона и одного пульсирующего сердца в подавляющем большинстве случаев говорит об одноплодной беременности. Но в очень редких случаях это могут в последствии оказаться неразделившиеся близнецы.
СВД плодного яйца 13-23 мм. КТР эмбриона 4-9 мм.
7 - 8 недель

Фото УЗИ плода при беременности 7-8 недель
Расстояние между эмбрионом и желточным мешком постепенно увеличивается и становится хорошо различим желточный проток (ductus vitellinus), соединяющий между собой желточный мешок и кишечник эмбриона. Так же, как и желточный мешок, проток на более поздних сроках запустевает и рассасывается, но если это не происходит по каким-то причинам, то у человека формируется слепое выпячивание стенки подвздошной кишки - дивертикул Меккеля.
До этого срока хорион имеет кольцевидную форму, окружает плодное яйцо со всех сторон и пока ещё нельзя сказать к какой стенке матки прикрепился эмбрион.
В случае монохориальной двойни ещё не видно амниотических оболочек и при наличии двух желточных мешков всё ещё нельзя сказать является ли данная беременность моно или диамниотической. Если плодное яйцо содержит два желточных мешка и два плода с наличием сердечной активности, в последующем количество амниотических полостей может быть больше, чем количество плацент (монохориальная диамниотическая) или одинаковым (монохориальная моноамниотическая). В этом случае точно определить амниональность возможно после 8 недель, когда амниотические оболочки начинают четко визуализироваться.
ЧСС эмбриона 130-160 ударов в минуту.
СВД плодного яйца 24-30 мм, КТР эмбриона 9-15 мм.
8 - 9 недель
Во время УЗИ у эмбриона уже можно отчётливо различить отдельные сегменты - голову, туловище, конечности. Появляется первая двигательная активность. Становятся хорошо видны амниотические оболочки и уже можно говорить о количестве амниотических пузырей при многоплодной беременности. Происходит дифференцировка хориона на гладкий, обращённый в сторону полости матки, и ветвистый, из которого впоследствии будет формироваться плацента, так что уже можно говорить о преимущественном расположении хориона по передней или задней стенке матки.
ЧСС эмбриона увеличивается до 160-180 ударов в минуту.
СВД плодного яйца 31-37 мм. КТР эмбриона 16-22 мм.
9 - 10 недель

Фото УЗИ плода при беременности 9-10 недель
Продолжается развитие эмбриона. Уже отчётливо видны ручки ножки, а на хорошем аппарате порой удаётся разглядеть даже пальчики на руках и ногах. Частота сердцебиения на этом сроке достигает 170-190 ударов в минуту. Шевеления эмбриона становятся активными, и есть работы, показывающие, что чем активнее ребёнок, тем длиннее будет пуповина (хотя тут может быть и обратная зависимость).
Фото УЗИ при беременности, фото плода при УЗИ во время беременности
Основы проведения УЗИ в первом триместре беременности

Экспертный класс по доступной цене. Монокристальные датчики, полноэкранный режим отображения, эластография, 3D/4D в корпусе ноутбука. Гибкая трансформация в стационарный сканер при наличии тележки.
Введение
Несмотря на свою высокую стоимость и неизвестные осложнения, применение УЗИ в акушерстве оправдано по следующим причинам: (а) Как минимум 50% тех женщин, которые уверенно заявляют, что знают свои сроки беременности, ошибаются, по меньшей мере, на две недели, а сроки наступления родов могут иметь критическое значение для выживания ребенка, (б) 90% аномалий плода возникают без отягощенной наследственности. Даже при клинически нормально протекающей беременности могут возникать грубые аномалии плода. Редко у будущих матерей можно обнаружить явные факторы риска. (в) Ни клиническое исследование, ни наследственность не дают надежной информации о многоплодной беременности. (г) В значительном числе случаев с низко расположенной плацентой не наблюдается каких-либо симптомов до начала кровотечения.
Показания для проведения УЗИ в первом триместре
Основные показания для проведения УЗИ в первом триместре беременности - сомнения относительно срока беременности, отсутствие достаточных клинических данных о нормальном протекании беременности. При проведении исследования можно использовать следующие подходы:
- Оценка и регистрация состояния плодного мешка и эмбриона (подтверждение наличия беременности), точное определение срока беременности и локализации - маточная или внематочная беременность.
Плодный мешок представляет собой полостное кольцевидное образование, соответствующее хориональной полости, и занимает дно или среднюю часть полости матки. Границей его является широкое кольцо эхосигналов (трофобластическое кольцо). Эксцентрично расположенный плодный мешок указывает на наличие двурогой матки, беременности в рудиментарном роге матки или угрожающий выкидыш. Форма плодных оболочек зависит от степени наполнения мочевого пузыря матери. Кроме того, необходимо исключить пузырный занос, псевдобеременность при объемных образованиях органов малого таза или гормонально-активных опухолях яичников. - Подтверждение в режиме реального масштаба времени сердечной деятельности эмбриона (для обнаружения слабой пульсации может потребоваться усиление).
- Подтверждение многоплодной беременности.
- Выявление объемных образований матки и придатков (необходимо исключить наличие миомы и опухолей яичников, которые могут помешать нормальному течению беременности или родов).
Биометрия плода на ранних сроках беременности
Трансабдоминальное УЗИ
| Биометрия плода | Недель |
|---|---|
| Плодный мешок | 3-5 |
| Плацента | 4-5 |
| Cердечная деятельность | 5-7 |
| Эмбрион и желточный мешок | - |
| Обнаружение двойного децидуального мешка | 5 |
| Симптом двойного пузырька | 6-7 |
| Головка | 9 |
| Желудочки | 11 |
Первым признаком внутриматочной беременности является наличие плодного мешка, его внутренний диаметр 5 мм соответствует сроку 5 недель беременности по менструации. Разрыв трофобластического кольца свидетельствует о патологии течения беременности. Имплантационное кровоизлияние разделяет слои decidua capsularis и decidua vera. Оно выглядит в виде треугольной анэхогенной зоны снаружи плодного мешка, вдоль дна или внутренних границ плодных оболочек. Кровоизлияние возникает в половине всех случаев беременности и в большинстве из них гематома рассасывается к сроку 15 недель. Хориональная полость превращается в амниотическую после слияния амниона и хориона. Имитировать это может пустой плодный мешок при двойне или гематома позади плодных оболочек.
Желточный мешок, который является наиболее ранним источником кроветворения, выглядит как замкнутое кольцо или две параллельные линии, плавающие внутри хориональной полости. К семи неделям он имеет размер 4-5 мм и исчезает к 11 неделе - сроку, в течение которого могут возникнуть врожденные аномалии.
Трансвагинальное УЗИ
Трансвагинальное УЗИ позволяет установить указанные признаки (таблица 1) на 1 неделю раньше, поскольку в этом случае для визуализации тазовых органов используются высокочастотные датчики.
Таблица 2: Биометрия плода - вероятность обнаружения хориональной полости, желточного мешка, эмбриона.
Схема: Биометрия плода на ранних сроках беременности.
ЖМ - желточный мешок, ПМ - плодный мешок.
Примечания
- Утолщение хорио-децидуальной оболочки к 4 неделям является первым ультразвуковым признаком маточной беременности.
- Феномен двойного пузырька образован комплексом амниотический пузырек-эмбрион-желточный мешок.
- Отчетливая пульсация вблизи желточного мешка может появляться еще до того как становится виден эмбрион.
Патология
Кровотечение с гипертонусом матки или без такового может быть связано с выкидышем, эрозией шейки матки, полипом, эктопической беременностью или пузырным заносом.
Самопроизвольный выкидыш - прерывание беременности независимо от причины до срока 20 недель. Он возникает в 10% случаев беременности, чаще всего между 5 и 12 неделями.
Угрожающий выкидыш - признаками являются обнаружение при повторных исследованиях снижения двигательной активности эмбриона, замедление сердечно-сосудистых пульсаций, маленькие размеры плодного мешка по сравнению с размерами эмбриона, неровные контуры плодного мешка и зона ретрохорионического кровоизлияния.
Неизбежный выкидыш устанавливается при наличии преждевременного разрыва плодных оболочек при расширении шейки матки. Может быть выявлена различная картина: нормальный плодный мешок, отделение плодных оболочек от стенки матки, атипичное положение оболочек, появление границы жидкость-жидкость, что указывает на кровотечение в полость плодного мешка, расширение шейки матки или расположение плодного яйца в шейке матки или влагалище.
Неполный выкидыш. Его признаками являются пустой или плохо очерченный плодный мешок, увеличение матки и наличие в полости недифференцированной высокоэхогенной массы.
Состоявшийся выкидыш. Матка увеличена, без признаков наличия плодного мешка, эмбриона или плаценты в ее полости, выраженные центральные эхосигналы могут быть обусловлены децидуальной реакцией. Применение УЗИ может помочь избежать хирургического вмешательства.
Разрушение плодного яйца. При этом состоянии в плодном мешке отсутствует эмбрион. До 7 недель требуется проведение повторного исследования. Плодный мешок выглядит непропорционально маленьким или большим по сравнению с размерами матки. Плодные оболочки плохо очерчены или имеют неправильную форму. Симптом желточного мешка имеет диагностическое значение при разрушении плодного яйца. В 50% случаев наблюдаются хромосомные аномалии.
Несостоявшийся выкидыш. В этом случае происходит задержка эмбриона в полости матки после его смерти. Иногда бывает сложно визуализировать погибший эмбрион вследствие воспаления ворсинок хориона, что приводит к гидропическим изменениям плаценты. Эмбрион может иметь маленькие размеры, быть отечным или деформированным из-за мацерации.
Эктопическая беременность возникает при имплантации бластоцисты вне полости матки, в 90% случаев - в маточной трубе (ампула или перешеек). Другими возможными местами являются брюшная полость, яичник или шейка матки. К предрасполагающим факторам развития эктопической беременности относятся воспалительные заболевания тазовых органов, использование внутриматочных контрацептивов, хирургические вмешательства на органах брюшной полости, таза или маточных трубах, бесплодие. Клинические симптомы: отсутствие очередной менструации, положительный тест на беременность, боли в животе, кровяные выделения из влагалища, обнаружение объемного образования в области придатков, хорионический гонадотропин более 6500 mTU/ml и при этом не происходит удвоения уровня ХГ каждые несколько дней. До установления окончательного диагноза эктопической беременности важно убедиться в отсутствии плодного мешка в полости матки, поскольку в 1:30,000 случаев возможно сочетание маточной и внематочной беременности.
При внематочном плодном мешке в полости матки могут быть обнаружены ложные плодные оболочки. Ложные оболочки легко отличить по их центральному расположению в полости матки, отсутствию двойного кольца и признаков наличия эмбриона в оболочках. Разрыв при внематочной беременности ведет к возникновению гемоперитонеума. Ранняя ультразвуковая диагностика позволяет в короткие сроки провести хирургическое удаление эктопически расположенного эмбриона до возникновения осложнений, угрожающих жизни.
При центральном положении плодного мешка возможна беременность в одном из рогов двурогой матки. Брюшная внематочная беременность возможна в том случае, если плодный мешок или эмбрион визуализируются за пределами тела матки. Имплантация происходит на кишечник или сальник. Следует исключать ретроверсию и аномалии развития матки. Объемные образования смешанной структуры могут быть видны при яичниковой или шеечной беременности. При хроническом разрыве плодовместилища в полости таза могут быть выявлены плотные массы, обусловленные организацией сгустков крови в гематоме. При эктопической беременности дифференциальный диагноз проводят с кистой желтого тела, эндометриодной кистой, гидропиосальпинксом и петлями тонкой кишки.
Плодное яйцо и изменение его размеров

Если врач в ходе ультразвукового исследования сообщает женщине, что в полости матки видит плодное яйцо, тогда можно поздравить эту пациентку, ведь через девять месяцев она станет мамой.
Установить наличие, а также размеры плодного яйца на УЗИ можно уже на седьмой-девятый день задержки месячных.
Если плодное яйцо располагается в матке - следовательно, беременность является нормальной. Специалист сразу же определяет размер плодного яйца по срокам, его форму и месторасположение. Кроме того, он обратит особенное внимание, нет ли отслойки или других патологических состояний.
Как плодное яйцо выглядит?
Плодное яйцо представляет собой круглое или овальное тело, диаметр которого составляет несколько миллиметров. В ходе первого же УЗИ измеряется размер плодного яйца (4 мм - обычно такой диаметр яйца на первом УЗИ большинства женщин). Учитывая его размер, врач может определить срок беременности. Однако в некоторых ситуациях погрешность в выявлении составляет от одной до полутора недель. Поэтому специалист, пытаясь установить срок, должен также учитывать показатель копчико-теменного размера.
Уже на третьей-восьмой неделях беременности плодное яйцо напоминает образование в форме овала или шара. С пятой-шестой недель желточный мешок, обеспечивающий питание эмбриона и выполняющий кроветворную функцию на самых ранних стадиях развития зародыша, напоминает пузырек, находящийся внутри плодного яйца. На данной стадии плодное яйцо размеры в норме имеет от полутора до двух с половиной сантиметров. Рассмотреть эмбрион можно уже в это время. Он напоминает пятимиллиметровую полоску, расположенную поблизости от желточного мешка. В это время определить, где у плода какая часть и структура, пока невозможно, однако уже регистрируется сердцебиение. В это время сердце будущего малыша бьется с частотой от 150 до 230 ударов в минуту. Уже в это время у эмбриона начинает формироваться нервная трубка.
К концу седьмой недели плод приобретает характерную форму, напоминающую букву С. В этот период времени он успел открепиться от плодного яйца. На ультразвуковом исследовании уже можно различать головку, туловище, а также крохотные зачатки ножек и ручек. Кроме того, в плодном яйце уже просматривается вполне сформированная пуповина.
Плодное яйцо неправильной формы
Форма плодного яйца в норме является овальной или округлой. Если же оно выглядит приплюснутым с боков и напоминает фасолину, это может говорить о тонусе матки. Подобное состояние должен отслеживать врач. Если пациентку не беспокоит ничего, тогда деформация не имеет угрозы состоявшейся беременности. При повышенном тонусе матки доктора принимают определенные меры (прием лекарственных медикаментов, постельный режим), чтобы убрать гипертонус, а также вернуть плодному яйцу его нормальную правильную форму. Этого добиваются, расслабив мышцы матки женщины.
Однако, если плодное яйцо обладает неправильной формой, а у пациентки наблюдаются болевые ощущения, выделения или симптомы раскрытия шейки матки, то необходимо принимать срочные меры. В подобных случаях женщина определяется в стационар на дальнейшее сохранение беременности.
Отслойка плаценты на раннем сроке беременности
Отслойка плодного яйца представляет собой начинающийся аборт. В подобном случае отмечается преждевременное отторжение от стенок матки плодного яйца. Надо отметить, что при начинающемся самопроизвольном выкидыше очень большое значение уделяется вовремя оказанной помощи, поскольку, в большинстве ситуаций, беременность возможно сохранить. Очень важно делать все правильно и быстро. Сопровождают отслойку тянущие болевые ощущения в нижней части живота, боли в области поясницы, выделениями темно-красной, а иногда и коричневой, окраски. К причинам, которые вызывают отслойку плодного яйца, относятся дисфункция яичников, всевозможные заболевания пациентки (воспалительные процессы, опухоли, инфекционные недуги), недоразвитие половых органов женщины, сильный токсикоз, сильные физические нагрузки, постоянные стрессы. Однако наиболее явной причиной отслоения плодного яйца выступает нехватка прогестерона, который обычно называют гормоном беременности.
Когда у беременной женщины отмечаются признаки отслоения плодного яйца, ей (или родственникам) необходимо в срочном порядке вызвать скорую помощь, а также позвонить гинекологу-акушеру, чтоб сообщить ему о происшедшем. Пока не приехала бригада скорой помощи, женщине необходимо лечь, а также поднять кверху ноги. Можно также их упереть о стенку или расположить на спинке дивана.
Отслоение плодного яйца опасно тем, что может спровоцировать аборт или замершую беременность. Поэтому при минимальном подозрении на отслойку, необходимо обратиться за помощью к врачу.
Пустое плодное яйцо
Следует понимать, что на очень ранних сроках в плодном яйце зародыша не видно, и это является нормой. А вот примерно с пяти недель зародыш уже должен хорошо визуализироваться. В ситуации, если эмбрион не виден, через одну-две недели назначается повторное исследование. Когда и в этот раз эмбрион и сердцебиение отсутствуют, это говорит об анэмбрионии. В данном случае пациентке необходимо сделать чистку.
Нужно знать, что даже в случае пустого плодного яйца тест на выявление беременности все равно показывает положительный результат. Это вызвано тем, что в организме уже запущены определенные механизмы, начал вырабатываться человеческий хорионический гонадотропин - особенный «беременный гормон».
Причины того, что в плодном яйце отсутствует зародыш, в большинстве случаев лежат на генетическом уровне. Кроме того, анэмбрионию может вызвать прием определенных медицинских средств, которые строго запрещены в период беременности.
Следующую беременность рекомендуют планировать хотя бы через шесть месяцев.
Развитие плодного яйца

Один из наиболее достоверных признаков беременности, плодное яйцо, является группой клеток, продолжающих деление в процессе движения к матке. Его внешний слой, хорион, способствует поступлению кислорода и веществ, необходимых для питания плодного яйца. Плодное яйцо на УЗИ выглядит в виде образования овальной либо круглой формы, с диаметром, исчисляемым в миллиметрах. Если плодное яйцо не визуализируется - беременность не наступила.
Зачатие и развитие плодного яйца
Беременностью называется процесс развития плода из оплодотворенной яйцеклетки. Этот процесс имеет несколько этапов.
Первым этапом является оплодотворение сперматозоидом яйцеклетки - зачатие, которое чаще всего происходит в ампулярном сегменте маточной трубы непосредственно после того, как яйцевая клетка вышла из яичника. Гиалуронидаза - фермент, выделяемый сперматозоидами, повышает проницаемость тканей, благодаря чему происходит проникновение сперматозоидов в яйцеклетку через её прозрачную оболочку. В протоплазму яйцеклетки обычно внедряется только один сперматозоид, навстречу которому на ооплазме возникает, так называемый, воспринимающий бугорок. Отделяясь от хвоста, головка сперматозоида сливается в ядром яйцеклетки, которое движется ей навстречу, в результате чего происходит образование общего ядра дробления оплодотворенного яйца - зиготы. При оплодотворении двух яйцеклеток образуются два плодных яйца (двуяйцевая двойня), трех - 3 плодных яйца (трехяйцевая тройня). В отдельных случаях двойня может быть однояйцевой, обусловленной атипическим дроблением яйцеклетки.
Перистальтические сокращения маточных труб позволяют яйцу, продолжающему собственное дробление продвигаться к матке для прикрепления в её полости.
Наружный слой клеток морулы, трофобласт, который обеспечивает питательную среду для эмбриона, расплавляет подлежащую слизистую оболочку, в результате чего происходит имплантация.
Вследствие нарушения целостности капилляров, находящихся в расплавленной слизистой оболочке матки, образуется скопление крови, которое омывает трофобластические выросты. Дефект, который образовался на месте закрепления плодного яйца, покрывается «фибринозным грибом» (сгустком фибрина), после чего происходит разрастание краев слизистой оболочки и образование капсулы.
В ходе прикрепления к слизистой оболочке матки, имеющей утолщенную, рыхлую структуру, в ней происходит процесс децидуального метаморфоза, после чего функциональный слой разделяется на два пласта: компактный, обращенный в просвет матки, состоящий из децидуальных клеточных структур, элементами которых являются протоплазма и гликоген и губчатый, более глубоко расположенный, обращенный к мышечному слою матки и состоящий из клеток соединительной ткани.
Слизистая оболочка матки, называемая в этот период децидуальной, растягивается благодаря заполнению межжелезистых пространств кровеносными сосудами, её толщина, составляющая до наступления беременности от 1 до 2 мм, теперь достигает 10 мм.
Оплодотворенное яйцо состоит из двух клеточных комплексов:
- эктобласта, связанного с трофобластом, в котором позже происходит образование полости амниона;
- эндобласта, расположенного в центре и являющегося первичной кишечной полостью и полостью желточного мешочка, покрытой клетками энтодермы; перегородкой между двумя данными полостями является эмбриобласт, в котором происходит развитие будущего эмбриона.
На сроке беременности от 3 до 8 недель плодное яйцо имеет круглую или овальную форму. Желточный мешочек - образование в плодном яйце, обеспечивающие питание зародыша и обладающие кроветворной функцией, выглядит как пузырек в полости плодного яйца (на сроке от 5 до 6 недель). Диаметр плодного яйца достигает 2,5 сантиметров. В эту же стадию беременности в процессе ультразвукового исследования можно рассмотреть зародыш, у которого уже регистрируется сердцебиение до 230 ударов в минуту, имеющий вид полоски длиной около 5 мм, расположенной около желточного мешочка. В это же время у эмбриона происходит формирование нервной трубки.
Характерная форма зародыша, похожая на букву С, приобретается им к окончанию седьмой недели. В эту стадию беременности происходит открепление плода от поверхности плодного яйца, на УЗИ просматриваются голова, туловище, зачатки верхних и нижних конечностей, в плодном яйце можно рассмотреть пуповину.
Нужно заметить, что если на УЗИ выявлены два плодных яйца или 3 плодных яйца, это свидетельствует о том, что беременность многоплодная.
Проблемы развития плодного яйца
В период нидации (внедрения плодного яйца с помощью ворсинок хориона в слизистую матки) могут возникнуть ряд проблем. В связи с тем, что удачная имплантация плодного яйца находится в зависимости от скорости его продвижения по маточной трубе, при слишком быстром движении оболочки плодного яйца могут не успеть сформироваться полноценно, что препятствует закреплению яйца на стенке матки и приводит к прерыванию беременности (выкидыш плодного яйца).
Постоянного наблюдения требуют и случаи низкого прикрепления плодного яйца, которые могут свидетельствовать о шеечной (внематочной) беременности. В данной ситуации проводится оперативное вмешательство, так как развитие беременности такого вида несет угрозу здоровью женщины, вплоть до удаления матки.
При прерванной беременности нужно внимательно проследить, чтобы яйцо вышло полностью. Остатки плодного яйца удаляются посредством выскабливания стенок полости матки. В случаях, если причины выкидыша осталась неустановленной, проводится гистологический анализ плодного яйца.
Остатки плодного яйца, оставшиеся после выкидыша в полости матки, могут привести к развитию инфекционного процесса, для лечения которого потребуется антибактериальная терапия.
Еще одним осложнением, к которому могут привести остатки плодного яйца, являются кровотечения.
«Ложное яйцо», появляющееся при внематочной беременности и отличающееся на УЗИ формой и шириной стенок, является скоплением крови или железистого секрета маточной трубы.
Одна из серьезных патологий развития - пустое плодное яйцо, появляющееся в силу ряда причин: возраста матери, наличия генетических нарушений, приема лекарственных препаратов, противопоказанных при беременности. Необходимо учитывать, что на 1-2 неделе беременности пустое плодное яйцо является нормой (плод на данном сроке просто визуально неразличим), тогда как наличие данной патологии на более поздних сроках ведет к медицинскому прерыванию беременности.
Деформированное плодное яйцо
Случаи, когда на УЗИ регистрируется деформированное плодное яйцо, которое имеет вид фасолины, приплюснутой с обоих боков, являются свидетельством тонуса матки. Данное состояние не является патологией развития и при отсутствии каких-либо симптомов не несет угрозу прерывания беременности. Основным лечением является обеспечение женщине полного покоя, назначение постельного режима и приема препаратов, направленных на снижение гипертонуса, после чего плодное яйцо, как правило, принимает свою первоначальную правильную форму.
Если же данное видоизменение сопровождается болями, кровянистыми выделениями, либо симптомами раскрытия шейки матки, необходима срочная госпитализация, где будут приняты меры по исправлению дефекта.
Читайте также:
- Разрыв передней крестообразной связки: причины, симптомы и лечение
- Изменение концентрации лекарства в плазме и его эффект
- Признаки кровотечения из средней артерии. Органы при кровотечении из артерии среднего калибра
- Нарушение речи при мозговых дисплазиях и после прививок
- Диагностика паралича Белла по КТ, МРТ
