Оценка функции миокарда при пороках клапанов по тканевой допплер-эхокардиографии
Добавил пользователь Евгений Кузнецов Обновлено: 31.01.2026
Лекция для врачей "Основы ЭхоКГ: допплерэхокардиография". Лекцию для врачей проводит профессор В. А. Изранов.
На лекции рассмотрены следующие вопросы:
- Основные допплерографические характеристики трансмитрального и транстрикуспидального диастолического потока
- AT (acceleration time) - время ускорения потока, т.е. время от щелчка открытия клапана до пика скорости потока (м\с)
- DT (deceleration time) - время замедления потока, т.е. время от пика скорости до базовой линии (м\с)
- ЕТ (ejection time) - время выброса, т.е. время от щелчка открытия до щелчка закрытия клапана
- Vmax- максимальная скорость потока (м\с)
- Е - раннее диастолическое наполнение (Vmax = 70-100 см\с)
- А - позднее диастолическое наполнение (в момент систолы предсердий, Vmax = 40-70 см\сек)
- Е\А = 1,0-1,5
- Vmean - средняя скорость потока. Вычисляется как сумма скоростей потока, измеренных каждые 2 мс по отношению к числу измерений.
- Основные измерения в допплер эхокардиографическом исследовании
- IVCT (isovolumetric contractility time) время изоволюметрического сокращения - время от щелчка закрытия митрального клапана до щелчка открытия аортального клапана (65±20 мс)
- IVRT (isovolumetric relaxation time) время изоволюметрического расслабления - время от щелчка закрытия аортального клапана до щелчка открытия митрального клапана (65±20 мс). VTI (velocity time integral) - интеграл линейной скорости потока; VTI = Vmean*ET (см)
- Основные уравнения используемые в допплерометрических расчетах
- СО = HR*SV
- SV= CSA*VTI
- VTI = ET*Vmean
- CSA = nD²/4
- ΔР = 4V²(упрощенное уравнение Бернулли)
- CO (cardiac output) - минутный объем кровотока
- HR (heart rate) - частота сердечных сокращений
- SV (stroke volume) - ударный объем
- CSA (crossection area) - площадь поперечного сечения (сосуда или отдела сердца)
- VTI (velocity time integral) - интеграл линейной скорости
- ЕТ (effusion time) - время кровотока
- Vmean - средняя скорость кровотока (вычисляется как сумма скоростей, измеренные каждые 2 мс по отношению к числу измерений)
- ΔР - максимальный градиент давления по разные стороны обструкции (мм рт.ст.)
- V-максимальная скорость кровотока дистальнее обструкции (м\с)
Книга "Эхокардиография от Рыбаковой" - М. К. Рыбакова, В. В. Митьков
![]()
Данное издание представляет собой практическое руководство по эхокардиографии, в котором отражены все современные технологии, применяемые в настоящее время. Исключительный интерес для специалистов представляет CD-ROM с подборкой видеоклипов по всем основным разделам, включающих редкие случаи диагностики.
Особенность издания - попытка объединить и сравнить результаты эхокардиографического исследования сердца и паталогоанатомический материал по всем основным разделам.
Большой интерес представляют разделы, содержащие новые технологии исследования, такие как трех- и четырехмерная реконструкция сердца в реальном времени, тканевая допплерография. Большое внимание уделено также классическим разделам эхокардиографии - оценке легочной гипертензии, клапанных пороков сердца, ишемической болезни сердца и ее осложнений и т.д.
В книге представлены огромный иллюстративный материал, большое количество схем и рисунков, приведены алгоритмы тактики проведения исследования и диагностики по всем разделам эхоКГ.
Руководство помогает разрешить спорные и злободневные вопросы, позволяет ориентироваться в расчетах и измерениях, содержит необходимую справочную информацию.
Книга написана сотрудниками кафедры ультразвуковой диагностики ГБОУ ДПО «Российская медицинская академия последипломного образования'' Министерства здравоохранения Российской Федерации» (база - ГКБ им. С.П. Боткина, Москва).
Издание предназначено для специалистов эхокардиографии, врачей ультразвуковой и функциональной диагностики, кардиологов и терапевтов.Книга "Эхокардиография в таблицах и схемах" - М. К. Рыбакова
![Книга]()
Данная книга содержит большое количество схем и таблиц по всем основным вопросам трансторакального эхокардиографического исследования, помогает разрешить спорные и злободневные вопросы эхокардиографии, позволяет ориентироваться в расчетах и измерениях, содержит необходимую справочную информацию. Подробно описаны нормальная анатомия и физиология сердца, патология клапанного аппарата, мокарда, перикарда, плевральных полостей, аорты, протезированных клапанов сердца, приведены стандартные позиции эхокариографического исследования и расчеты. Особый интерес могут вызвать разделы, посвященные диагностике врожденных пороков сердца у взрослых, объемных образований сердца и средостения и дифференциальной диагностике в эхокардиографии.
Книга УЗИ предназначена для специалистов эхокардиографии, ультразвуковой и функциональной диагностики УЗИ, кардиологов, терапевтов и студентов медицинских вузов.
Книга "Дифференциальная диагностика в эхокардиографии". Издание 2-е. с DVD-ROM - Митьков В. В., Рыбакова М. К.
![Книга]()
Книга написана сотрудниками кафедры ультразвуковой диагностики Российской медицинской академии последипломного образования (база — ГКБ им. С.П. Боткина, Москва) и является 2-м, переработанным и дополненным изданием. Книга является уникальным изданием благодаря представленному дифференциально-диагностическому эхокардиографическому ряду, подкрепленному видеоматериалами и иллюстрациями, которые помогают систематизировать, классифицировать и провести дифференциальную эхокардиографическую диагностику.
Помимо эхограмм, во 2-е издание включены схемы, которые помогают научиться распознавать признаки той или иной патологии сердца или совокупность признаков и оценить характер нарушения гемодинамики, а также в главе 10 добавлен дифференциально-диагностический раздел, посвященный применению контрастных веществ. Книга включает все основные разделы современной кардиологии с позиции дифференциальной диагностики. Прилагаемый диск включает обширный видеоматериал по всем основным разделам с комментариями к нему.
Издание предназначено для специалистов эхокардиографии, врачей ультразвуковой и функциональной диагностики, кардиологов и терапевтов и вызовет интерес как у специалистов со стажем, так и у начинающих эхокардиографистов и студентов медицинских вузов.
Книга "Клиническая эхокардиография" - Шиллер Н. Б., Осипов М. А.
![Книга]()
Книга "Клиническая эхокардиография" написана американским и отечественным специалистами, это самое популярное в России руководство по эхокардиографии. Книга предназначена и для тех кардиологов, которые лишь начинают осваивать эхокардиографию, и для тех, кто уже давно ею занимается.
Изучив руководство, врач сможет выполнять эхокардиографические исследования на самом современном уровне - так, как это делают в Лаборатории эхокардиографии Калифорнийского университета в Сан-Франциско.
Книга "Эхокардиография при врожденных пороках сердца у взрослых" - М. К. Рыбакова, В. В.Митьков
![Книга]()
Диагностика врожденных пороков сердца - один из самых сложных разделов в кардиологии и эхокардиографии. Благодаря современным технологиям в эхокардиографии и пренатальной диагностике сердца плода диагностика врожденных пороков сердца стала более ранней, что способствовало существенному сокращению числа взрослых пациентов с данной патологией. Однако и в настоящее время можно встретить пациентов с различными врожденными пороками сердца даже в весьма почтенном возрасте.
Данное издание содержит историю описания того или иного врожденного порока, подробный анализ гемодинамики, особенностей эхокардиографической диагностики. Книга написана сотрудниками кафедры ультразвуковой диагностики Российской медицинской академии непрерывного последипломного образования (база - ГКБ им. С.П. Боткина, Москва) и включает все основные врожденные пороки сердца у взрослых с позиции эхокардиографии. Большое внимание уделено также дифференциальной диагностике в эхокардиографии при подозрении на врожденный порок сердца у больного, особенностям исследования сердца у детей и подростков, малым аномалиям развития сердца. Издание содержит большое количество иллюстраций и схем, а также примеры эхокардиографических заключений.
Предназначено для специалистов эхокардиографии, врачей ультразвуковой и функциональной диагностики, кардиологов и терапевтов.Оценка локальной сократимости миокарда левого желудочка методом тканевой допплерографии у больных с различными формами ишемической болезни сердца
Московский государственный медицинский стоматологический университет.
Кафедра клинической функциональной диагностики РПДО.
Москва, Россия.![]()
УЗИ аппарат HM70A
Экспертный класс по доступной цене. Монокристальные датчики, полноэкранный режим отображения, эластография, 3D/4D в корпусе ноутбука. Гибкая трансформация в стационарный сканер при наличии тележки.
Для неинвазивной оценки локальной сократимости миокарда левого желудочка (ЛЖ) наиболее часто используют эхокардиографию. Эта доступная и информативная методика имеет серьезный недостаток, связанный с необъективностью исследования. Стандартная ЭхоКГ позволяет оценивать локальную сократимость исследуемого сегмента левого желудочка только визуально в сравнении с сократимостью соседних зон; при этом на результат оценки в большой степени влияют опыт и квалификация исследователя [1]. При интерпретации стресс-ЭхоКГ требуется производить оценку локальной сократимости миокарда в динамике на фоне нагрузки, что делает результаты пробы еще более субъективными. Отсутствие количественных диагностических критериев является основной причиной низкой меж- и внутриоператорской воспроизводимости результатов стресс-ЭхоКГ 3.
Тканевая допплерография (ТДГ) представляет собой ультразвуковую методику, которая дает возможность количественно оценивать локальную сократимость миокарда. Высокая информативность тканевой допплерографии при выявлении диссинергии миокарда подтверждена в эксперименте с острым нарушением коронарного кровоснабжения [5, 6]. Результаты клинических исследований также показали, что тканевая допплерография позволяет выявлять зоны нарушенной локальной сократимости у больных острым инфарктом миокарда - ИМ [7] и постинфарктным кардиосклерозом - ПИКС [8]. Имеются данные об успешном применении тканевой допплерографии при стресс-ЭхоКГ с добутамином [9].
В настоящее время тканевая допплерография чрезвычайно редко используется в обычной диагностической практике, поскольку эта методика еще недостаточно изучена. В литературе приводится более десятка скоростных, линейных и временных параметров, рассчитываемых при тканевой допплерографии, однако четкие количественные критерии гипоакинезии отсутствуют. Недостаточно подробно описаны изменения тканевой допплерографии на фоне нагрузки у здоровых лиц и пациентов с недостаточностью коронарного кровоснабжения. Особую проблему представляет феномен постсистолического укорочения (ПСУ), которое регистрируется при проведении тканевой допплерографии в зонах ишемии и очагового кардиосклероза [10, 11]. Большинство авторов признают, что появление ПСУ сопутствует патологическим процессам, протекающим в миокарде, однако данные литературы о том, как следует его интерпретировать, в настоящее время противоречивы и неоднозначны.
Цель проведенного нами исследования состояла в изучении практических возможностей тканевой допплерографии при выявлении нарушений локальной сократимости у больных с различными формами ИБС. Была поставлена задача выявить изменения показателей тканевой допплерографии, которые характеризуют диссинергию миокарда левого желудочка, как постоянную (при постинфарктном кардиосклерозе), так и преходящую (при ишемии на фоне фармакологической нагрузки). При этом мы стремились к тому, чтобы разработать как можно более специфичные и простые в применении диагностические критерии на основе показателей тканевой допплерографии, которые могли бы в будущем увеличить объективность и воспроизводимость результатов ЭхоКГ и стресс-ЭхоКГ.
Материал и методы
В исследование был включен 71 пациент, в том числе 51 больной ИБС и 20 человек без сердечно-сосудистой патологии, проходивших обследование и лечение в госпитале Главмосстроя (МСЧ N47) с 2001 по 2004 г. Больные ИБС были разделены на 2 группы: в 1-ю группу был включен 31 больной с постинфарктным кардиосклерозом, во 2-ю - 20 больных со стабильной стенокардией напряжения без предшествующего инфаркта миокарда. Пациентам со стабильной стенокардией была проведена диагностическая стресс-ЭхоКГ с добутамином и атропином по стандартному протоколу для выявления зон с нарушенным коронарным кровоснабжением. У всех лиц контрольной группы также была выполнена стресс-ЭхоКГ с добутамином и атропином вплоть до достижения субмаксимальной ЧСС.
ЭхоКГ (стандартная и в режиме тканевой допплерографии) проводилась на ультразвуковой диагностической системе Vivid Five фирмы General Electric (США) секторным датчиком c частотой 3,75 МГц. Исследовалось движение продольных волокон миокарда в проекциях по длинной оси левого желудочка из верхушечного доступа. Тканевая допплерография проводилась в 4-, 3- и 2-камерной проекциях в каждом из 16 сегментов левого желудочка и в 4 точках митрального кольца: у основания заднеперегородочной, боковой, нижней и передней стенок левого желудочка. Оценивались следующие параметры.
- Пиковые миокардиальные скорости: Sm (см/с) - пиковая систолическая скорость; Em (см/с) - пиковая скорость раннего диастолического расслабления; Am (см/с) - пиковая скорость в фазу систолы предсердий.
- Временные интервалы: систолический (TRS; от вершины зубца R на ЭКГ до вершины пика Sm) и диастолический (TRE; от вершины зубца R на ЭКГ до вершины пика Em).
- Амплитуда систолического смещения миокарда (INT) 1 .
- Пиковая скорость и амплитуда систолической деформации: SR (strain rate) и ST (strain).
1 Смещение (пройденный путь) в течение сердечного цикла рассчитывалось как интеграл от скорости по времени. Амплитуда систолического смещения измерялась в момент закрытия аортального клапана.
Оценивались также показатели тканевой допплерографии, характеризующие феномен ПСУ.
- Амплитуда постсистолического пика скорости, регистрируемого в фазу изоволюмического расслабления (Sps). Вычислялось отношение скоростей Sps/Sm.
- Форма кривой движения миокарда в течение сердечного цикла. Формы кривых движения миокарда в зависимости от наличия ПСУ подразделялись на 3 типа: "норма", "ступень" и "седло".
- Постсистолическая деформация (STps).
Статистическая обработка данных проводилась c помощью пакета программ STATISTICA 5,0 (StatSoft Inc., США, 1999). При анализе материала для всех параметров тканевой допплерографии рассчитывали среднее, стандартное отклонение (SD), медиану (med), 25 и 75 процентили, минимальное и максимальное значения.
Абсолютный и процентный прирост параметров тканевой допплерографии во время нагрузки представлен в виде доверительных интервалов для среднего. Достоверность различий значений параметров тканевой допплерографии в группах оценивалась по критерию t-Стьюдента и по непараметрическим критериям.
Использование тканевой допплерографии при оценке нарушений локальной сократимости в покое
Для того, чтобы оценить возможности тканевой допплерографии при выявлении нарушений локальной сократимости в покое, мы сравнили показатели тканевой допплерографии больных с постинфарктным кардиосклерозом и здоровых лиц. Сегменты больных с постинфарктным кардиосклерозом были разделены на 3 подгруппы по результатам двухмерной ЭхоКГ: нормокинетичные (n=184), гипокинетичные (n=121) и акинетичные (n=104). Дискинетичные сегменты были исключены из анализа вследствие малого их числа (n=4).
В подгруппах сегментов с нарушенной локальной сократимостью при сопоставлении с контрольной группой было выявлено достоверное снижение миокардиальных скоростей как в систолу (Sm), так и в раннюю и позднюю диастолу (Em и Am). Наряду со снижением скоростей в этих зонах отмечалось уменьшение амплитуды систолического смещения (INT), а также скорости и амплитуды систолической деформации (SR и ST). В подгруппе сегментов, где отсутствовал систолический прирост (акинезия), значения скоростных и линейных показателей тканевой допплерографии были достоверно ниже, чем в подгруппе с умеренным снижением сократимости (гипокинезия). Следует отметить, что в подгруппе визуально интактных сегментов у больных с постинфарктным кардиосклерозом также было выявлено небольшое, но достоверное снижение указанных параметров тканевой допплерографии по сравнению с контрольной группой (рис.1).
![Значения основных показателей тканевой допплерографии у больных с постинфарктным кардиосклерозом и в контрольной группе]()
Рис. 1. Значения основных показателей тканевой допплерографии у больных с постинфарктным кардиосклерозом и в контрольной группе.
Временные интервалы TRS и TRE в гипо- и акинетичных сегментах были достоверно увеличены по сравнению с сегментами контрольной группы (172±59 и 154±53 мс в сравнении со 144±50 мс, p 0,05). Это может объясняться эффектом "подтягивания", который приводит к ложному увеличению скоростных и линейных показателей в зонах гипоакинезии, граничащих с интактным миокардом. У больных с высокой ФВ и небольшим объемом пораженного миокарда "подтягивание " в большей степени влияет на движение постинфарктных зон левого желудочка.
При тканевой допплерографии митрального кольца (МК) в точках, расположенных у основания стенок левого желудочка, содержащих два и более сегментов со сниженной сократимостью, были выявлены все описанные выше признаки сократительной дисфункции миокарда: снижение миокардиальных скоростей и систолического смещения, увеличение временных интервалов TRS и TRE. У основания нормокинетичных стенок левого желудочка показатели Sm, Em, Am и INT были выше, чем при гипоакинезии, однако достоверно ниже, чем в контрольной группе. SR и S на уровне митрального кольца у больных с постинфарктным кардиосклерозом и в контрольной группе достоверно не различались (рис. 2).
![Значения основных показателей тканевой допплерографии митрального кольца у больных с постинфарктным кардиосклерозом и в контрольной группе]()
Рис. 2. Значения основных показателей тканевой допплерографии митрального кольца у больных с постинфарктным кардиосклерозом и в контрольной группе.
На рис. 3-5 приведены различные варианты ПСУ у больных с постинфарктным кардиосклерозом.
![Тканевая допплерография в норме. У больного с постинфарктным кардиосклерозом регистрируется высокоамплитудный пик постсистолической скорости (Sps)]()
![Тканевая допплерография при постинфарктном кардиосклерозе. У больного с постинфарктным кардиосклерозом регистрируется высокоамплитудный пик постсистолической скорости (Sps)]()
б) При постинфарктном кардиосклерозе. У больного с регистрируется высокоамплитудный пик постсистолической скорости (Sps).
![Норма - формы кривых движения миокарда]()
![Седло - формы кривых движения миокарда с постинфарктным кардиосклерозом]()
б) При постинфарктном кардиосклерозе.
![Ступень - формы кривых движения миокарда с постинфарктным кардиосклерозом]()
в) При постинфарктном кардиосклерозе.
"Седловидная" и "ступенчатая" формы движения обусловлены наличием постсистолического смещения миокарда, превышающего по амплитуде максимальное систолическое смещение.
![Кривые деформации миокарда в норме]()
![Кривые деформации миокарда при постинфарктном кардиосклерозе]()
б) При постинфарктном кардиосклерозе. У больного регистрируется высокоамплитудный пик постсистолической деформации (STps).
Вертикальная линия (AV) на рис. 3-5 соответствует времени закрытия аортального клапана. На представленных графиках также отмечается наличие базально-верхушечного градиента (снижение пиковых миокардиальных скоростей, продольного систолического смещения и деформации от основания к верхушке левого желудочка).
Достоверных различий между гипо- и акинетичными сегментами по характеристикам ПСУ не было выявлено, хотя в подгруппе акинетичных сегментов ПСУ регистрировалось несколько чаще. В нормокинетичных сегментах у больных с постинфарктным кардиосклерозом пики Sps и STps определялись значительно чаще, чем в контрольной группе (53 и 30% в сравнении с 18 и 2% случаев соответственно; p<0,05). ПСУ также было выявлено в 68% точек митрального кольца, расположенных у основания стенок левого желудочка с нарушенной сократимостью.
Значение миокардиального рабочего индекса в диагностике гипертрофии миокарда левого желудочка (данные тканевого допплеровского исследования)
![]()
Эталон новых стандартов! Беспрецедентная четкость, разрешение, сверхбыстрая обработка данных, а также исчерпывающий набор современных ультразвуковых технологий для решения самых сложных задач диагностики.
Миокардиальный рабочий индекс (МРИ) - один из наиболее информативных показателей «глобальной» сократимости миокарда [1, 2]. Он описан A. Stoylen и соавт. как «. индекс суммарной работы миокарда (MRI)» и рассчитывается методом допплер-эхокардиографии (Д-ЭхоКГ) по графику допплеровского спектра трансмитрального потока: MRI = (ИВС+ИВР)/ПИКлж, где (ИВС+ИВР) - суммарное изометрическое состояние миокарда, ПИКлж - период изгнания крови из ЛЖ [3]. Этот индекс по сути характеризует соотношение потенциальной (суммарное изометрическое состояние) и кинетической (период динамического изгнания крови из ЛЖ) энергии миокарда ЛЖ. Использование данного индекса ограничено при правожелудочковой дисфункции у больных с сопутствующей легочной патологией и с легочной гипертензией.
В 1995 г. С. Tei и соавт. [4] впервые предложили рассчитывать МРИ (Tei индекс) по допплеровскому спектру трансмитрального и трансаортального потоков при Д-ЭхоКГ. Представляются важными изучение и сравнение значений МРИ, полученных в режиме импульсно-волновой тканевой допплерографии (ТД) и при постобработке тканевого допплеровского изображения (ТДИ).
Цель работы - с помощью методик тканевого допплеровского исследования миокарда (ТД и ТДИ) изучить значимость миокардиального рабочего индекса «Tei» (tМРИ) при гипертрофии ЛЖ у больных с артериальной гипертензией (АГ).
Для решения поставленной задачи были обследованы 110 человек, из них 80 больных с АГ со стабильным превышением нормативов систолического (САД) и диастолического (ДАД) АД на фоне гипотензивной терапии (критерии ЕОАГ-ЕОК) и с превышением индекса массы миокарда ЛЖ (ИММЛЖ), по данным ЭхоКГ, выше нормативов и 30 здоровых добровольцев, составивших контрольную группу. Все больные были разделены на 2 группы. Степени АГ устанавливались в соответствии с классификацией ЕОАГ-ЕОК. Обследованные пациенты с АГ были разделены на 2 группы по выраженности гипертрофии миокарда ЛЖ с учетом значения ИММЛЖ, рассчитанных в В-режиме ЭхоКГ по программе A-L, с критериями гипертрофии по ИММЛЖ. Наличие гипертрофии определялось по критерию Helak (1981), выраженность гипертрофии миокарда ЛЖ - по значению ИММЛЖ (рекомендации ASE 2005). К 1-й группе были отнесены 40 больных с АГ 1-й (36, или 90%) и 2-й (4, или 10%) степени и с 30-40% гипертрофией ЛЖ, которую расценивали как незначительную или умеренную. Среди больных этой группы были 22 (55%) мужчины и 18 (45%) женщин. Значение ИММЛЖ в контроле составило 74,9±8,0 г/м² (р<0,0001), у больных 2-й группы оно было наибольшим и составило 151,8±32,0 г/м² (при р2-1,к<0,0001), в то время как в 1-й группе - соответственно 102,9±14,3 г/м². Средний возраст пациентов 1-й группы составил 54,7±13,8 года. Во 2-ю группу вошли 40 больных с АГ 2-й (2, или 5%) и 3-й степени (38, или 95%) с более чем 200% гипертрофией ЛЖ, которую расценивали как выраженную. В этой группе были 18 (45%) мужчин и 22 (55%) женщины (средний возраст 56,0±11,1 года). В контрольную группу из 30 человек с нормальными значениями ИММЛЖ вошли 18 (60%) мужчин и 12 (40%) женщин (средний возраст 52,0±12,9 года).
Методика импульсно-волновой ТД
Анализ продольного движения миокарда проводился в верхушечном 4-камерном срезе сердца с синхронной записью мониторного отведения ЭКГ при задержке дыхания пациента в течение 5-10 сердечных циклов (рис. 1). Контрольный объем (5x8 мм) ТД размещался в латеральной и медиальной частях фиброзного кольца митрального клапана (МФК). Точкой начала отсчета временных фаз считали зубец R ЭКГ. Проводился анализ параметров ТД от латеральной (МФКл) и медиальной (МФКм) частей фиброзного кольца митрального клапана: ТМРИ вычислялся по ТД в медиальной и латеральной частях МФК по графикам максимальной скорости движения МФК как отношение разницы временного интервала между началом положительной волны ИВС до начала «Еm» (a’) и временем систолической волны Sm (b’), по формуле:
![Принцип расчета ТМРИ по ТД фиброзного кольца митрального клапана]()
Рис. 1. Принцип расчета ТМРИ по ТД фиброзного кольца митрального клапана.
Эхокардиография с доплеровским анализом
![УЗИ сердца]()
Для оценки турбулентности системы кровообращения, а также скорости тока крови потребуется эхокардиография с доплеровским анализом. На сегодняшний день метод считается наиболее востребованным исследованием в кардиологии, особенно для диагностирования сердечных патологий в детском возрасте. Какие существуют показания к проведению анализа? Какими преимуществами обладает исследование и как правильно к нему подготовиться?
Основная характеристика исследования
Эхокардиографию с доплеровским анализом считают наиболее эффективной методикой для определения расположения и работы различных сердечных структур в режиме реального времени.
![УЗИ сердца]()
Допплеровский принцип широко применяют в медицине для определения направленности кровотока в сосудах и структурах сердцаОснова метода заключается в вычислении соотношения скорости передвижения объекта по отношению к видоизмененной частоте отражаемого сигнала. При соприкосновении ультразвуковых волн с перемещающимися кровяными тельцами наблюдается преобразование частот, значимость которой является доплеровским сдвигом. Поскольку частота воспроизводства ультразвуковой волны постоянна, то изменение ее частоты указывает на направление и скорость тока крови. Как правило, он воссоздается эхо-прибором в виде слышимого сигнала, который доступен для восприятия человека.
Достоинства метода
Эхокг обладает высокой информативностью, поэтому её назначают мужчинам, женщинам в период беременности, и детям.
Анализ имеет множество преимуществ, среди которых:
- неинвазивная техника проведения диагностики;
- обработка большого количества информации в короткие сроки;
- точное воспроизведение результатов.
Информативное исследование имеет доступную ценовую политику, поэтому в случае необходимости его сможет пройти каждый.
Задачи диагностики
Оценить функционирование сердца невозможно без проведения диагностики его анатомических структур и показателей кровотока в магистральных сосудах. Именно с этой целью современное ультразвуковое оборудование, предназначенное для выполнения эхо кг, оснащено приборами с допплером и необходимым программным обеспечением. Благодаря этому, специалисты получают возможность проводить одновременную визуализацию сердечных структур и допплерографию.
![Сердце]()
Благодаря высокой информативности метода, можно выявить новообразования в структурах сердца на ранней стадииМетодика позволяет диагностировать следующие параметры деятельности органа:
- выявить патологические изменения в направлении тока крови;
- визуализировать пролапс митрального клапана;
- оценить параметры структурных элементов сердца;
- определить локализацию тромбов и аневризму аорты;
- диагностировать врожденные и приобретенные сердечные патологии.
Эхокардиография совместно с допплерографией позволяет специалистам провести оценку сердечной деятельности, а также выявить формирование патологических процессов на раннем этапе.
Показания к проведению исследования
Заболевания сердечно-сосудистой системы в большинстве случаев могут развиваться без каких-либо признаков. Для своевременной диагностики сердечных недугов рекомендовано походить эхокардиографию с допплером последующим посещением кардиолога для оценки результатов один раз в год.
![Сердце и давление]()
Эхокардиограмму следует проходить людям, страдающим артериальной гипертензией, которая сопровождается частыми головокружениями и обморокамиВ обязательном порядке диагностику следует проходить пациентам, у которых присутствуют следующая симптоматика:
- Посторонние шумы в сердце, сопровождаемые нарушениями ритма.
- Болезненность в области грудной клетки или сердца.
- Отечность нижних конечностей.
- Увеличение размеров печени.
- Острое или хроническое нарушение коронарного кровотока.
- Усиление сердцебиения.
- Одышка.
- Цианоз носогубного участка.
- Повышенная утомляемость, даже при незначительных усилиях.
Эхокардиографию назначают пройти ребенку, у которого в динамике наблюдается недостаточный набор массы тела.
Уздг необходимо пройти пациентам, которые перенесли оперативные вмешательства на область грудной клетки. Людям, страдающим от хронической головной боли также следует пройти процедуру. Поскольку характер головной боли может приобрести патологическое течение, когда часть тромба начинает мигрировать по сердечным отделам.
Используемые виды допплерографии
Современная ультразвуковая аппаратура позволяет осуществлять диагностику с допплерометрией в трех основных режимах:
Метод цветного картирования (ЦДК) - это очень эффективное исследование, позволяющие произвести оценку состояния не только сосудов, но и выявить локализацию тромбов, атеросклеротических бляшек, а также аневризму аорты. Интерпретация данных помогает определить специалисту характер новообразования и темп его развития.
![Допплерография сердца]()
Методика спектральной допплерографии объединяет в себе постоянный и импульсно-волновой режимыНа сегодняшний день наиболее широко применяемым исследованием при помощи допплера является тканевая методика. Данный метод оптимизирован для изучения не только направления кровотока, но и визуализации движений сердечных тканей. В ходе допплеровского анализа происходит окрашивание миокарда в различные цвета в соответствии со скоростью и направленностью кровяного потока. Технику применяют для выявления локализованных изменений в сократительной функции миокарда. Данные, получаемые в ходе анализа, регистрируются в виде графика, отображающего зависимость скорости от времени.
Алгоритм проведения процедуры
Эхокардиография с использованием допплера проводится как обычная ультразвуковая диагностика. Процедура не требует проведения специальных подготовительных мероприятий, за исключением отказа от пищи, алкоголя и курения за несколько часов до скрининга.
![УЗИ сердца]()
Процедура проведения эхокардиографии с допплерографиейЭтапы проведения диагностики:
- Освободить область грудной клетки от одежды.
- Принять горизонтальное положение на левом боку, чтобы обеспечить максимальную визуализацию верхушки сердца.
- На область грудины наносить специальный гель, после чего подключают датчики.
- Датчики передают ультразвуковые волны по тканям организма пациента, затем они преобразовываются в электрический сигнал, обрабатываемый аппаратурой эхокардиограммы.
- Данные регистрируются на мониторе в виде четкого изображения.
- Интерпретация данных проводится после процедуры, однако в ходе исследования уже могут визуализироваться патологические изменения.
Оценка результатов
Данные, полученные в ходе процедуры, являются важным диагностическим критерием, поэтому их расшифровкой должен заниматься высококвалифицированный кардиолог. В первую очередь специалист проводит оценку сократительной способности миокарда, а затем определяет параметры, функциональное состояние левого и правого желудочков.
![Параметры работы сердца и движения кровотока в норме]()
Параметры работы сердца и движения кровотока в нормеПри оценке данных проведенного скрининга у ребенка необходимо учитывать площадь поверхности тела.
Эхокардиография с допплеровским анализом является высокоинформативной современной методикой для диагностирования различных заболеваний сердца. При помощи исследования определяется функциональная способность отдельных сердечных элементов, а также скорость и направленность кровотока. Все данные, полученные в ходе анализа, играют важную роль в постановке правильного диагноза, от них зависит дальнейшая тактика лечения пациента.
Возможности трансторакальной эхокардиографии в диагностике врожденных пороков сердца (клинические наблюдения)
![]()
Идеальный инструмент для пренатальных исследований. Уникальное качество изображения и весь спектр диагностических программ для экспертной оценки здоровья женщины.
Введение
Врожденные пороки сердца (ВПС) составляют около 30% от всех врожденных пороков развития у детей и выявляются примерно у 1% новорожденных, родившихся живыми. У взрослых врожденные пороки сердца встречаются значительно реже - примерно у 0,2%, на их долю приходится не более 1% заболеваний сердца [1]. Структура врожденных пороков сердца у детей и взрослых существенно различается. Так, у детей преобладают сложные и тяжелые пороки, обусловливающие высокую смертность (50-80%) в течение 1-го года жизни. У взрослых наиболее часто встречаются дефекты межпредсердной или межжелудочковой перегородки, умеренно выраженные клапанные пороки, открытый артериальный проток, коарктация аорты, на них приходится около 90% врожденных пороков сердца [1].
К редким врожденным порокам сердца относится корригированная транспозиция магистральных сосудов (КТМС), частота которой составляет 0,4-1,2% от всех врожденных пороков сердца.
Анатомическая сущность порока заключается в том, что в результате бульбовентрикулярной инверсии при нормальном положении сердца морфологически правый желудочек располагается слева, от него отходит аорта, занимающая левостороннее положение. Левый желудочек располагается справа, от него отходит легочная артерия, находящаяся справа от аорты. При этом гемодинамика корригирована тем, что морфологически левый желудочек сообщается посредством двустворчатого клапана с правым предсердием и в него поступает венозная кровь, а правый желудочек сообщается посредством трехстворчатого клапана с левым предсердием и в него поступает артериальная кровь [2].
На основании клинико-анатомических особенностей выделяют 3 вида корригированной транспозиции магистральных сосудов [1]:
- При нормальном положении сердца без сопутствующих врожденных пороков сердца.
- При нормальном положении с другими врожденными пороками сердца.
- При аномалиях положения сердца.
При изолированной корригированной транспозиции магистральных сосудов (без сопутствующих пороков) расстройства гемодинамики отсутствуют. Однако в большинстве случаев корригированной транспозиции магистральных сосудов сочетается с другими врожденными пороками. Наиболее частыми сопутствующими аномалиями являются дефект межжелудочковой перегородки (ДМЖП), недостаточность и/или стеноз артериального (анатомически трикуспидального) атриовентрикулярного клапана [2, 4].
Среди частых врожденных пороков сердца у взрослых следует отметить дефект межжелудочковой перегородки, частота которого составляет 15-25% от всех врожденных пороков сердца 3. Почти в 2/3 случаев имеются сопутствующие врожденные пороки сердца. Наиболее частым вариантом дефекта межжелудочковой перегородки является перимембранозный дефект, распространенность которого составляет около 80%. Второе место по частоте занимают мышечные трабекулярные дефекты [4].
По данным ряда авторов, у 25-40% пациентов с дефектом межжелудочковой перегородки происходит спонтанное закрытие дефекта в период между 1-м и 4-м годом жизни, реже в возрасте до 8 лет [3, 5, 6]. Закрытие дефекта может быть обусловлено разрастанием фиброзной ткани, пролиферацией эндокарда, створкой трикуспидального клапана, смыканием краев дефекта. Точность эхокардиографии в обнаружении дефекта межжелудочковой перегородки зависит от его размера и местоположения.
Нередким врожденным пороком сердца является двустворчатый аортальный клапан. Частота его в популяции составляет около 1% [1]. При этом врожденном пороке сердца имеются две почти равнозначные по размеру створки, линия их смыкания, как правило, расположена горизонтально или вертикально [4]. При изолированном варианте двустворчатого клапана аорты течение порока доброкачественное. Состояние, особенно взрослых, может прогрессирующе ухудшаться при развитии осложнений: утолщения створок с развитием стеноза клапана, недостаточности аортального клапана, присоединении инфекционного эндокардита [1]. Подтверждение наличия двустворчатого аортального клапана при трансторакальной эхокардиографии требует получения изображения из позиции по короткой оси с высокой разрешающей способностью, достаточной для адекватной визуализации морфологии клапана. Добиться такого изображения у взрослых часто затруднительно [4].
Таким образом, оценка возможностей трансторакальной эхокардиографии в диагностике врожденных пороков сердца является актуальной.
В статье представлены результаты обследования трех пациентов: больного П., 34 лет; больного С., 38 лет и больного Л., 42 лет. Обследование проводилось в условиях амбулаторного приема и носило скрининговый характер. Причиной обследования явилось обращение больных, которые не относились по ведомственному признаку к Клиническому госпиталю с поликлиникой Медотдела УВД Курской области. Сонографическое исследование пациентов проводилось по традиционной методике на современном ультразвуковом сканере, оснащенном мультичастотным микроконвексным датчиком с частотой 2-4 МГц.
Наблюдение 1
Больной П., 34 лет, обратился в отделение ультразвуковой диагностики для проведения эхокардиографии в связи с тем, что в последние полгода его стала беспокоить одышка при привычной физической нагрузке. Ранее пациент нигде не обследовался.
При проведении эхокардиографии в месте обычного расположения левого желудочка лоцировался анатомически правый желудочек, который верифицировался по наличию модераторного пучка. Анатомически правый желудочек соединялся с левым предсердием через трикуспидальный клапан, который лоцировался ближе к верхушке сердца по сравнению с митральным клапаном. Последний соединял морфологически левый желудочек с правым предсердием, в который впадала нижняя полая вена (рис. 1). Определялся параллельный ход магистральных артерий, при этом аорта лоцировалась слева и спереди от легочной артерии. Таким образом, имело место предсердно-желудочковое и желудочково-артериальное несоответствие. У пациента выявлялась также недостаточность митрального и трикуспидального клапанов. На последнем клапане отмечалось увеличение градиента давления (рис. 2, 3).
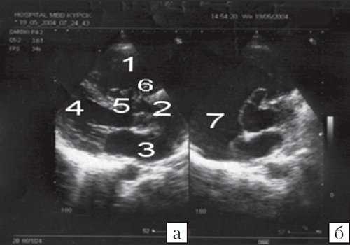
![Эхокардиограмма больного П (четырехкамерная проекция)]()
Рис. 1. Эхокардиограмма больного П. (четырехкамерная проекция).
1 - анатомически правый желудочек; 2 - модераторный пучок; 3 - трикуспидальный клапан; 4 - левое предсердие; 5 - анатомически левый желудочек; 6 - митральный клапан; 7 - правое предсердие; 8 - печень; 9 - нижняя полая вена.
![Трансмитральный поток у больного П ((импульсноволновая допплерография)]()
Рис. 2. Трансмитральный поток у больного П. (импульсноволновая допплерография).
![Транстрикуспидальный поток у больного П (постоянноволновая допплерография)]()
Рис. 3. Транстрикуспидальный поток у больного П. (постоянноволновая допплерография).
Имеющаяся допплер-эхокардиографическая картина была расценена как корригированная транспозиция магистральных сосудов, сочетающаяся с аномалией атриовентрикулярных клапанов. Пациент был направлен к кардиологу для дообследования и лечения.
Наблюдение 2
Причиной обращения пациента С., 38 лет, проживающего в одном из районов Курской области, послужила необходимость ежегодного сонографического обследования по поводу порока сердца (о характере порока пациент не знал).
При эхокардиографии определялся дефект межжелудочковой перегородки, локализовавшийся в ее перимембранозной части (рис. 4). На это указывало более медиальное (ближе к сектальной створке трикуспидального клапана) расположение дефекта при локации сердца по короткой оси из парастернальной позиции. Дефект был закрыт мембраной, в результате чего сформировалась аневризма межжелудочковой перегородки, которая пролабировала в полость правого желудочка. Кроме того, у пациента имела место аномалия митрального клапана в виде наличия его двойного отверстия (рис. 5). Регистрировалась регургитация различной степени через атриовентрикулярный и аортальный клапаны. Проходимость аневризмы межжелудочковой перегородки не была выявлена.
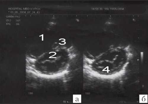
![Эхокардиограмма больного C (а - парастернальная позиция по длинной оси, б - парастернальная позиция по короткой оси на уровне аорты)]()
Рис. 4. Эхокардиограмма больного С.
а) - парастернальная позиция по длинной оси;
б) - парастернальная позиция по короткой оси на уровне аорты.1 - правый желудочек; 2 - аорта; 3 - левое предсердие; 4 - левый желудочек; 5 - дефект межжелудочковой перегородки; 6 - аневризма межжелудочковой перегородки; 7 - правое предсердие.
![Эхокардиограмма больного С (парастернальная позиция по короткой оси на уровне митрального клапана)]()
Рис. 5. Эхокардиограмма больного С. (парастернальная позиция по короткой оси на уровне митрального клапана).
1 - правый желудочек; 2 - левый желудочек; 3 - аневризма межжелудочковой перегородки; 4 - митральный клапан с двойным отверстием.
Следовательно, в данном случае имелся дефект межжелудочковой перегородки со спонтанным его закрытием, сочетавшийся с аномалией митрального клапана (двойное отверстие митрального клапана), недостаточностью аортального, митрального и трикуспидального клапанов.
Наблюдение 3
Больной Л., 42 лет, проходил эхокардиографическое обследование в связи с артериальной гипертонией. При сканировании сердца из парастернального доступа по короткой оси на уровне аорты определялись две створки аортального клапана, линия смыкания которых располагалась вертикально. Более четкая локация створок отмечалась в систолу (рис. 6). Допплерографически регистрировалась недостаточность аортального клапана I степени.
![Эхокардиограмма больного]()
Рис. 6. Эхокардиограмма больного Л. (парастернальная позиция по короткой оси на уровне аорты).
а) - диастола (неполная), б) - систола.Таким образом, у пациента имелся врожденный порок сердца - двустворчатый аортальный клапан в сочетании с недостаточностью.
Заключение
Из трех представленных наблюдений наиболее показательно первое, где пациент с редким и сложным пороком сердца достиг среднего возраста, не имея клинических проявлений заболевания. Этот факт, вероятно, связан с тем, что за счет корригированной транспозиции магистральных сосудов сохранялось физиологическое направление кровотока, а сопутствующие пороки атриовентрикулярных клапанов были компенсированы. По мере истощения функциональных резервов сердца появились симптомы сердечной недостаточности, что привело больного в лечебное учреждение. Проведенная трансторакальная эхокардиография позволила диагностировать корригированную транспозицию магистральных сосудов с сопутствующими пороками митрального и трикуспидального клапанов у больного с правосформированным и леворасположенным сердцем.
Отличительной особенностью второго наблюдения является то, что довольно большой перимембранозный дефект межжелудочковой перегородки был полностью закрыт мембраной с формированием аневризмы перегородки. При этом имела место аномалия строения митрального клапана в виде двойного отверстия. Указанные выше пороки сочетались с недостаточностью аортального, митрального и трикуспидального клапанов.
Третье наблюдение демонстрирует асимптомность течения врожденного порока сердца - двустворчатого аортального клапана. Хотя порок и сочетался с недостаточностью клапана аорты, последняя была невыраженной, что не приводило к расстройствам гемодинамики. Только обследование по поводу артериальной гипертонии позволило диагностировать у пациента порок сердца.
Таким образом, трансторакальная допплер-эхокардиография с использованием современных ультразвуковых сканеров позволяет проводить адекватную диагностику врожденных, в том числе сложных, пороков сердца у взрослых больных.
Литература
- Белоконь Н.А., Подзолков В.П. Врожденные пороки сердца. М.: Медицина. 1991. 351 с.
- Болезни сердца и сосудов / Под ред. Е.И. Чазова. М.: Медицина. 1992. Т.2. 508 с.
- Амосова Е.Н. Клиническая кардиология. Киев: Здоровье. 1998. Т.1. 710 с.
- Фейгенбаум Х. Эхокардиография. М.: Видар. 1999. 512 с.
- Фрид М., Грайнс С. Кардиология в таблицах и схемах. М.: Практика. 1996. 733 с.
- Шиллер Н., Осипов М.А. Клиническая эхокардиография. М.: Мир. 1993. 347 с.
УЗИ сканер WS80
Читайте также:
- Травмы современного пятиборья. Травмы футбола
- Значимость и достоверность клинических исследований. Принципы отбора участников
- Синдром Любарша-Пика (Lubarsch-Pick)
- Клиника абсцесса средостения. Пример гнойного медиастино-перкардита
- Рентгенограмма, КТ, МРТ, УЗИ при ревматоидном артрите тазобедренного сустава































