Оценка строения синуса. Оценка капсулы лимфатического узла.
Добавил пользователь Евгений Кузнецов Обновлено: 31.01.2026
1 Институт молекулярной патологии и патоморфологии ФГБНУ "Федеральный исследовательский центр фундаментальной и трансляционной медицины"
Проведено патоморфологическое (с использованием методов морфометрического анализа) исследование общих подвздошных лимфатических узлов 170 пациенток (средний возраст 32±5,43 года) с диагнозом «Рак шейки матки I, II или III стадии»; по классификации «TNM» все пациентки соответствовали T1N0-1M0 или T2N0-1M0. В 2/3 случаев от всех наблюдений регистрировался плоскоклеточный неороговевающий рак, реже встречался плоскоклеточный ороговевающий рак; аденокарцинома и cancer in situ были представлены единичными случаями. Больным проводили следующие виды лечения: радикальную абдоминальную трахелэктомию без неоадъювантной химиотерапии, расширенную экстирпацию матки по Вертгейму без неоадъювантной химиотерапии, расширенную экстирпацию матки по Вертгейму после неоадъювантной химиотерапии препаратами платины, расширенную экстирпацию матки по Вертгейму после неоадъювантной химиотерапии с включением в курс лечения препарата Панавир, индуктора синтеза интерферона. Установлено, что неоадъювантная химиотерапия у пациенток с раком шейки матки вызывает значительную склеротическую трансформацию коркового и мозгового вещества общих подвздошных лимфатических узлов (увеличение объемной плотности соединительной ткани в 3,9-12,9 раза по сравнению с пациентками без неоадъювантной химиотерапии). При этом уменьшается объемная плотность структур с высокой митотической активностью - лимфоидных узелков без центров размножения (в 1,7 раза). Включение иммуномодулятора в схему химиотерапии не предупреждает и не снижает выраженность склеротической трансформации подвздошных лимфатических узлов, но сопровождается восстановлением объемной плотности лимфоидных узелков без герминативных центров.

1. Pimple S., Mishra G., Shastri S. Global strategies for cervical cancer prevention. Curr. Opin. Obstet. Gynecol. 2016. vol. 28. no. 1. P. 4-10.
2. Soerjomataram I., Lortet-Tieulent J., Parkin D.M., Ferlay J., Mathers C., Forman D., Bray F. Global burden of cancer in 2008: a systematic analysis of disability-adjusted life-years in 12 world regions. Lancet. 2012. vol. 380. no. 9856. P. 1840-1850.
3. Costales A., Michener C., Escobar-Rodriguez P.F. Radical trachelectomy for early stage cervical cancer. Curr. Treat. Options Oncol. 2018. vol. 19. no. 12. P. 75.
4. Shim S.H., Lee S.W., Park J.Y., Kim Y.S., Kim D.Y., Kim J.H., Kim Y.M., Kim Y.T., Nam J.H. Risk assessment model for overall survival in patients with locally advanced cervical cancer treated with definitive concurrent chemoradiotherapy. Gynecol. Oncol. 2013. vol. 128. P. 54-59.
6. Leath C.A., Monk B.J. Twenty-first century cervical cancer management: A historical perspective of the gynecologic oncology group/NRG oncology over the past twenty years. Gynecol. Oncol. 2018. vol. 150. no. 3. P. 391-397.
7. Чернышова А.Л., Коломиец Л.А., Красильников С.Э. Органосохраняющее лечение при инвазивном раке шейки матки // Сиб. онкол. журн. 2011. № 2 (44). С. 72-78.
8. Closon F., Tulandi T. Uterine myomata: Organ-preserving surgery. Best Pract. Res. Clin. Obstet. Gynaecol. 2016. vol. 35. P. 30-36.
9. Mallmann P., Mallmann C. Neoadjuvant and adjuvant chemotherapy of cervical cancer. Oncol. Res. Treat. 2016. vol. 39. no. 9. P. 522-524.
10. Красильников С.Э., Обухова Л.А., Тархов А.В., Юкляева Н.В. Изменения структуры регионарных лимфатических узлов и субпопуляционного состава лимфоцитов периферической крови при плоскоклеточном раке шейки матки в условиях введения цитостатиков и индуктора интерфероногенеза ридостина // Бюллетень СО РАМН. 2005. Т. 25. № 1. С. 21-27.
11. Соколова Т.М., Шувалов А.Н., Телков М.В., Колодяжная Л.В., Ершов Ф.И. Препарат “Ридостин” индуцирует транскрипцию широкого спектра генов системы интерферона в клетках человека // Бюл. экспер. биол. и мед. 2013. Т. 156. № 8. С. 179-182.
12. Переводчикова Н.И. Руководство по химиотерапии опухолевых заболеваний: 2-е изд., доп. М.: Практическая медицина, 2005. 704 с.
13. Цыплаков Д.Э., Петров С.В. Гиперпластическая фолликулярная реакция регионарных лимфатических узлов при раке (иммуногистохимия, ультраструктура, прогностическое значение) // Арх. патол. 1997. Т. 59. № 4. С. 55-60.
14. Ikezawa Y., Nakazawa M., Tamura C., Takahashi K., Minami M., Ikezawa Z. Cyclophosphamide decreases the number, percentage and the function of CD25+ CD4+ regulatory T cells, which suppress induction of contact hypersensitivity. J. Dermatol. Sci. 2005. vol. 39. no. 2. P. 105-112.
15. Rotman J., Koster B.D., Jordanova E.S., Heeren A.M., de Gruijl T.D. Unlocking the therapeutic potential of primary tumor-draining lymph nodes. Cancer. Immunol. Immunother. 2019. DOI: 10.1007/s00262-019-02330-y.
Рак шейки матки (РШМ) является одной из ведущих причин заболеваемости и смертности женщин во всем мире, несмотря на все усилия, предпринимаемые исследователями и клиницистами по улучшению его диагностики и лечения. Это четвертый по распространенности рак [1], средний уровень заболеваемости которым составляет 9,0 на 100 000 человек в развитых странах и 17,8 на 100 000 - в развивающихся странах. Согласно данным Международного агентства по изучению рака, ежегодно в мире от этого заболевания умирают 190 000 женщин (летальность составляет около 30%) [2]. Отмечается «омоложение» данной патологии: 53,2% пациенток находятся в репродуктивном возрасте (30-49 лет), что обусловливает необходимость разработки и применения щадящих методов лечения с возможным сохранением репродуктивной функции [3]. Наблюдается также тенденция к росту запущенных случаев заболевания: в 42,7% РШМ впервые диагностируется на III-IV стадиях.
Появление метастазов из клеток опухоли в лимфатических узлах (ЛУ) является одним из главных звеньев распространения ракового процесса, в том числе и РШМ. В литературе содержатся результаты изучения ЛУ онкологических больных до и после возникновения метастазов. Метастазы в регионарные лимфатические узлы являются, по мнению некоторых авторов, важным прогностическим фактором для пациентов с РШМ [4], что обусловливает необходимость их изучения с использованием расширяющегося арсенала структурно-функциональных и молекулярных методов [5].
Лечение РШМ определяется стадиями заболевания и включает, как правило, хирургическое вмешательство (от малоинвазивных до радикальных манипуляций), химиотерапию (неоадъювантную и адъювантную), сочетанную химио- и лучевую терапию [6]. В последние десятилетия все большее внимание уделяется разработке органосохраняющих хирургических операций при лечении новообразований разной локализации, что обусловлено необходимостью снижения инвалидизации, послеоперационных осложнений, достижения хороших косметических результатов [7; 8]. Однако следует отметить, что малоинвазивная (органосохраняющая) хирургия часто сопровождается значительно более высокими показателями рецидивов и значительным ухудшением общей выживаемости, поэтому во многих случаях предпочтительными являются комбинированные схемы лечения, направленные на эффективное подавление опухолевого роста. Основная роль в подавлении опухолевого роста принадлежит химиотерапии и лучевой терапии, которые оказывают разной степени выраженности как системное, так и местное повреждающее воздействие на другие органы и ткани. Показано, что химиотерапия и отдельные химические соединения, в частности препараты платины, оказывают повреждающее действие на разные лимфоидные органы [9], что может приводить к иммуносупрессии и нарушениям лимфотока.
Для протекции выраженных цитотоксических повреждений лимфоидных органов, в том числе ЛУ, и индукции в них регенераторных процессов в схемы противоопухолевой терапии все чаще вводят различные иммуномодуляторы. Ранее было показано, что неоадъювантная иммунотерапия ридостином без сочетания с другими видами лечения при раке вызывает выраженный лечебный патоморфоз опухоли и не приводит к повышению частоты послеоперационных осложнений [10], что может быть обусловлено его способностью индуцировать широкий спектр генов системы интерферона [11]. Применение иммуномодуляторов стимулирует процессы регенерации иммунокомпетентных клеток в поврежденных лимфатических коллекторах, также отмечена положительная тенденция к снижению длительности лимфореи в послеоперационном периоде. Однако действие иммуномодуляторов, в том числе и индукторов интерферона, на измененные вследствие химиотерапии ЛУ пациентов при РШМ изучено недостаточно. Оценка динамики структурных преобразований в лимфатических узлах при РШМ при разных схемах химиотерапии имеет большое значение для разработки наиболее эффективных методов лечения этого заболевания.
Цель исследования - изучить характер и выраженность патоморфологических изменений общих подвздошных лимфатических узлов больных при раке шейки матки после неоадъювантной химиотерапии в комбинации с индуктором синтеза интерферона Панавиром.
Материал и методы исследования
Обследованы 170 больных, находившихся на лечении в отделении онкогинекологии ГБУЗ НСО «Новосибирский областной онкологический диспансер» в 2004-2015 гг. с диагнозом «Рак шейки матки I, II или III стадии»; по классификации «TNM» все пациенты соответствовали T1N0-1M0 или T2N0-1M0. В зависимости от метода неоадъювантной химио- и иммунотерапии женщины были распределены на 4 группы: 1-я группа - 21 больная после радикальной абдоминальной трахелэктомии без неоадъювантной химиотерапии; 2-я группа - 17 пациентов после расширенной экстирпации матки по Вертгейму без неоадъювантной химиотерапии; 3-я группа - 75 пациенток после расширенной экстирпации матки по Вертгейму после неоадъювантной монохимиотерапии препаратами паклитакселя и платины [12]; 4-я группа - 57 больных после расширенной экстирпации матки по Вертгейму после неоадъювантной монохимиотерапии препаратами платины и включения в курс лечения препарата Панавир® (вагинальные суппозитории) - оригинального отечественного противовирусного препарата растительного происхождения с иммуномодулирующими свойствами, способствующего индукции синтеза интерферона. Комбинированную химиотерапию паклитакселем (175 мг) и цисплатином (75 мг) проводили в 3 курса (каждый последующий курс через 21 день). Панавир включали в схему химиотерапии с началом каждого курса (по 10 вагинальных суппозиториев, по 0,2 мг активного вещества). Оперативное вмешательство проводили через 21 день после окончания 3-го курса химиотерапии.
Средний возраст всех обследованных больных при РШМ составил 32±5,43 года: у больных с удалением матки по Вертгейму - 32,2±5,61 года, у больных с радикальной трахелэктомией - 31,2±4,87 года.
По клиническим особенностям опухоли во всех группах были представлены следующими формами: экзофитная, экзофитно-язвенная, эндофитная, эндофитно-язвенная, смешанная и опухоль, растущая из цервикального канала. По гистологическому строению все опухоли были представлены плоскоклеточным неороговевающим или ороговевающим раком, аденокарциномами различной степени дифференцированности и cancer in situ. Все пациентки из всех групп в полной мере получали симптоматическое лечение и коррекцию сопутствующих заболеваний.
Для патоморфологического изучения биоптаты ЛУ, забранные во время оперативного вмешательства, фиксировали в 10% растворе забуференного нейтрального формалина, затем после стандартной проводки заливали в парафин. Срезы окрашивали гематоксилином и эозином и по Ван Гизону по общепринятым методикам. Препараты исследовали в микроскопе Axioimager M1 (Carl Zeiss, Германия) при увеличении до 1000 раз.
С помощью морфометрического анализа в ЛУ оценивали объемную плотность (в %) капсулы, соединительной ткани отдельно в корковом и мозговом веществе, подкапсульного синуса, поверхностной и глубокой коры, лимфоидных узелков без центров и со светлыми центрами, мозговых синусов и мякотных тяжей. Морфометрические исследования проводили на изображениях, полученных с помощью цифровой видеокамеры и программного обеспечения Axiovision (Carl Zeiss, Германия) при увеличении в 200 раз.
Статистическую обработку полученных данных выполняли с помощью программы MS Excel 7.0 (Microsoft, США), вычисляли среднее значение, его ошибку. Значимость различий определяли с помощью критерия Стьюдента. Статистически значимыми считали различия при p
Результаты исследования и их обсуждение
По результатам биопсии шейки матки группы больных по видам примененных операций - расширенная экстирпация матки по Вертгейму и органосохраняющая радикальная трахелэктомия - значительно друг от друга не отличались. Преобладали (около 2/3 от всех наблюдений) пациентки с плоскоклеточным неороговевающим раком (таблица 1), несколько реже встречались женщины с плоскоклеточным ороговевающим раком; аденокарцинома и cancer in situ были представлены единичными случаями.
УЗИ лимфатических узлов что показывает

В современной медицине актуальной остается проблема дифференциальной диагностики лимфаденита (или аденопатии), т.е. патологических изменений в лимфатических узлах (ЛУ), сопровождающихся увеличением последних. Обсуждаемые анатомические структуры выполняют защитную функцию, задерживая микроорганизмы, токсины, чужеродные белки, продукты тканевого распада. Перечисленные элементы в норме подвергаются фагоцитозу без каких-либо клинических проявлений. В случае снижения иммунитета или накопления критической массы биологических и химических соединений в лимфоузлах возникает инфекционно-воспалительный процесс.

Лимфатическая система (схематично)
По топографическому признаку ЛУ делят на две группы:
- поверхностные, расположенные в подкожно-жировой клетчатке;
- глубокие, локализующиеся в мышцах и внутренних органах.
При интерпретации УЗ-снимков врач оценивает особенности визуализации исследуемых структур. Основными объектами изучения выступают соединительнотканная капсула и ворота, где проходят артерии, вены, нервы и лимфатические сосуды. В норме доктор четко дифференцирует указанные анатомические образования в зоне интереса.
Причины лимфаденопатии
Увеличение ЛУ как с нарушением нормального строения, так и без него происходит вследствие:
- повышения продукции иммунных клеток при попадании инфекционных агентов и чужеродных веществ;
- инвазии или метастазирования злокачественной опухоли;
- жировой инфильтрации на фоне дислипидемии;
- разрастания соединительной ткани после перенесенных воспалительных заболеваний.

Увеличение лимфатических узлов при лимфогранулематозе
Признаки лимфаденита чаще наблюдают в области шеи, подмышечных впадин, паха. В большинстве случаев указанное состояние развивается при проникновении в организм вирусов, грибов, бактерий, реже - при новообразованиях.
Первый вариант сопровождается симптомами воспаления и возникает на фоне:
- ОРВИ;
- гриппа;
- тонзиллита;
- периостита;
- ангины и пр.
Помимо перечисленных инфекционных заболеваний, реактивные изменения в ЛУ обнаруживают при туберкулезе, сифилисе, актиномикозе. Аденопатию при данных патологиях выделяют в нозологической классификации как специфическую, характеризующуюся длительным хроническим течением.
Показания к УЗИ лимфатических узлов
Диагностика острого вирусного или бактериального поражения периферических органов лимфатической системы проста. При осмотре, наряду с увеличением и болезненностью ЛУ, врач выявляет специфические признаки инфекции:
- покраснение, гнойную деструкцию миндалин;
- ринорею;
- кашель;
- гипертермию и пр.
После лечения перечисленные симптомы обычно исчезают. Трудности вызывает определение причин хронической аденопатии. Последняя требует назначения лучевых методов диагностики, в ходе которых доктор сможет отличить доброкачественные, в том числе воспалительные, и злокачественные процессы в зоне интереса. Доступным и информативным способом визуализации лимфоузлов является УЗИ.

Метастазы рака молочной железы в поверхностных лимфоузлах
Выполнение ультрасонографии показано при жалобах на:
- появление на теле уплотнений овальной или округлой формы, чувствительных либо безболезненных при пальпации;
- общую слабость;
- повышение температуры тела;
- затруднение при глотании;
- головокружение;
- резкое похудение;
- гиперемию кожных покровов и отек мягких тканей в области лица, шеи, подмышек, паха.
Помимо диагностического поиска причин впервые возникшей аденопатии, ультразвуковое исследование применяют у онкологических больных в качестве скрининга. Выполнять сканирование ЛУ таким пациентам необходимо после оперативного вмешательства и/или химиотерапии не реже одного раза в год.
Ценность эхографии в медицине заключается и в возможности проведения неинвазивной пункции лимфатических узлов. Под УЗ-контролем врач с помощью тонкой иглы получает содержимое анатомического образования (аспирационная биопсия) и направляет материал в лабораторию. По результатам микроскопического анализа определяют характер и природу патологического процесса.
УЗИ подмышечных лимфоузлов

УЗИ аксиллярных лимфоузлов
Подмышечные аденопатии чаще обусловлены активностью смешанной микробной флоры. В развитии изменений ЛУ указанной локализации основное значение имеют возбудители токсоплазмоза, фелиноза, мононуклеоза, цитомегаловирусной инфекции. Реже увеличенные лимфоузлы в обсуждаемой анатомической области обнаруживают при гематологических и аллергических заболеваниях.
Визуализация признаков аденопатии воспалительного характера в подмышке вызывает затруднение в связи с близким расположением потовых желез, особенно при выполнении сканирования на УЗ-аппаратах среднего класса. Около 97% таких больных поступают в стационар с подозрением на острый гнойный гидраденит. Установить причину патологии помогает правильно собранный эпидемиологический анамнез и ультразвуковое исследование на оборудовании с высокой разрешающей способностью.
Диагностический поиск при увеличении ЛУ в подмышечных впадинах направлен и на выявление онкологических заболеваний, преимущественно рака молочной железы.
УЗИ подчелюстных лимфоузлов
Подчелюстные лимфоузлы закладываются в клетчатке одноименного треугольника в количестве 6-10 штук и одними из первых реагируют на инфекционные процессы в зубах, слизистых оболочек рта, полости носа, придаточных пазух, костях лицевого черепа.
Аденопатии указанной локализации чаще наблюдают у детей до 7 лет на фоне тонзиллитов, риносинуситов, стоматитов и пр. Обозначенная особенность в эпидемиологии обусловлена незавершенностью формирования у лиц дошкольного возраста лимфатической системы. Среди взрослых рассматриваемое состояние в большинстве случаев связано с одонтогенными воспалительными заболеваниями и опухолями.

Ультразвуковое исследование лимфатических узлов шеи
УЗ-сканирование при поражении подчелюстных ЛУ обычно проводят в комплексе с визуализацией мягких тканей лица и шеи.
УЗИ лимфоузлов паховой области
Паховая аденопатия преимущественно возникает при патологиях органов малого таза как инфекционного, так и неинфекционного характера.
Основными причинами увеличения лимфоузлов указанной локализации являются:
- заболевания, передающиеся половым путем;
- вульвит, кольпит, эндометрит, абсцесс бартолиниевой железы (у женщин);
- баланит, орхит (у мужчин);
- воспалительные процессы в прямой кишке и перианальной области - осложненный геморрой, парапроктит;
- злокачественные новообразования;
- паразитарные инвазии.

Паховые лимфоузлы на УЗИ
Как проводят УЗИ лимфоузлов
Ультразвуковая диагностика не требует специальной подготовки. Сканирование ЛУ проводят в положении пациента лежа на спине в позе, позволяющей без затруднений увидеть все элементы в исследуемой анатомической зоне. В процессе УЗ-визуализации шейных лимфоузлов необходимо попеременно поворачивать голову в правую и левую стороны для оценки состояния тканей в боковых отделах изучаемой области.
При аденопатии подмышечных впадин в ходе эхографии пациенту потребуется завести руки за затылок. Перед УЗИ нужно убедиться в отсутствии на теле одежды и предметов, создающих препятствие к доступу пъезоэлемента.
В ходе процедуры используют датчик частотой 7,5-10 МГц в В-режиме. Для оценки состояния кровотока в ЛУ и прилежащих структурах применяют функцию, основанную на эффекте Допплера.
Проведение УЗИ при лимфадените занимает около 30-40 минут. По окончании ультразвуковой диагностики доктор выдает заключение, с которым необходимо обратиться к лечащему врачу для сопоставления полученной УЗ-картины с результатами дополнительных обследований (цитологических, иммуногистохимических и пр.).
Что показывает УЗИ лимфоузлов
При расшифровке эхограмм специалист оценивает:
- форму (преимущественно округлая или овальная);
- размер по длинной оси (анатомически не более 1,5 см);
- контуры лимфоузлов.
Важным критерием нормы является наличие визуальной дифференциации обсуждаемых анатомических образований на кору и ворота.

Аденопатия инфекционного генеза на сонограммах характеризуется следующими изменениями в строении ЛУ:
- нечеткостью границ;
- увеличением в диаметре - в среднем до 2-4 см;
- неоднородностью структуры;
- нарушением целостности капсулы - показатель прорыва воспалительной жидкости в соседние ткани.
Осложнения при заболеваниях ЛОР-органов влияют на особенности УЗ-визуализации лимфоузлов шеи - последние на экране ультразвукового сканера могут выглядеть как анэхогенные жидкостные образования либо как участки низкой и высокой эхогенности, чередующиеся друг с другом. Указанные изменения на снимках характерны для гнойного расплавления и формирования аденофлегмоны.
Изменения лимфоузлов на УЗИ при злокачественных новообразованиях
В ходе УЗИ ЛУ можно заподозрить наличие у исследуемого опухоли с агрессивным течением. Выявить прорастание последней или метастазы в лимфоузлы с помощью пальпации невозможно. Благодаря неинвазивности, высокой информативности и доступности, ультразвуковое сканирование является методом скрининга как при первичной диагностике злокачественных процессов в крови, лимфе, внутренних органах, так и у больных после оперативного лечения и/или химиотерапии.

УЗИ с допплерографией у пациентов онкологического профиля показывает следующие нарушения в строении ЛУ:
- увеличение в размерах - обычно до 6-6,5 см;
- шарообразную деформацию или неправильные контуры;
- спаянность в виде конгломератов;
- отсутствие дифференциации на кору и ворота;
- неоднородность структуры с зонами повышенной и пониженной эхогенности;
- жидкостные включения и кальцинаты;
- усиленный кровоток и образование новых сосудов (ангиогенез).
Указанные изменения на снимках чаще обнаруживают при лимфоме.
С помощью ультразвуковой визуализации невозможно оценить морфологию опухоли. После получения заключения доктора УЗДГ следует посетить лечащего врача. Для определения причины увеличения лимфоузлов необходимо выполнение цитологического и гистологического анализов.
Применение УЗИ для оценки состояния поверхностных групп лимфатических узлов

Доступная эффективность. Универсальный ультразвуковой сканер, компактный дизайн и инновационные возможности.
Введение
Одним из нерешенных вопросов клинической медицины является оценка состояния различных групп лимфатических узлов. Это относится как к лимфатическим узлам, расположенным в брюшной полости и забрюшинном пространстве, так и группам лимфатических узлов, имеющих поверхностное расположение и доступных пальпаторной оценке. Согласно данным Gritcman, при выявлении метастазов в лимфатические узлы шеи показатели чувствительности, специфичности и точности метода пальпации составляют 69, 87 и 80%. При УЗИ эти показатели состаляют 92, 84 и 89% соответственно [1]. Для сравнения - чувствительность КТ в диагностике метастатического поражения шейных лимфатических узлов составляет 75-85%, МРТ - 84-85% 3. Улучшить диагностические возможности эхографии позволило сочетание ее с тонкоигольной биопсией. При этом показатели чувствительности составили 96%, специфичности 94% и точности - 88% [5]. Данная работа посвящена проблеме диагностики доброкачественных аденопатий шеи - зоны цервикальных (глубоких яремных, югулярных) лимфатических узлов.
Лимфатические узлы представляют собой коллекторные органы, которые принимают участие в процессах обеззараживания организма и расположены в местах слияния нескольких лимфатических сосудов. Лимфатические узлы претерпевают структурные изменения на протяжении всей жизни человека. С момента рождения и до 12 лет лимфатические узлы находятся в стадии своего формирования. Затем наступает длительный период функциональной активности, который в старости заканчивается инволюцией лимфатического узла. При активизации лимфатического узла на фоне воспаления либо за счет других процессов происходит перестройка его внутренней структуры, увеличение размеров, при этом лимфатические узлы становятся пальпируемыми. Данное состояние лимфатических узлов клинически трактуется как аденопатия (лимфадениты). Доброкачественные аденопатий могут сопровождаться повышенной выработкой нормальных лимфоцитов, усилением васкуляризации, отеком либо замещением структур лимфатического узла на соединительную или жировую ткань [6].
Для того чтобы правильно определить тактику лечения больных с аденопатиями необходимо знать природу процесса - доброкачественная или злокачественная. При этом необходимо знать варианты эхографического изображения различных доброкачественных изменений лимфатических узлов.
Материалы и методы
Для изучения эхографической картины доброкачественных процессов в лимфатических узлах нами обследовано 326 пациентов с клинически определяемыми аденопатиями (в возрасте от 18 до 36 лет). Из них были выделена группа в 100 человек с доброкачественными изменениями в лимфатических узлах (в группу оценки умышленно не включались доброкачественные аденопатии при туберкулезном поражении и другой специфической инфекции лимфатических узлов).
После пальпаторного выявления измененных лимфатических узлов их дальнейший анализ осуществлялся на основании данных ультразвукового и морфологического (цитологического и гистологического) заключения. Пальпаторную оценку проводил врач-онколог. Морфологическое заключение было получено на основании цитодиагностики после тонкоигольной биопсии (45 случаев). У остальных пациентов подтверждение доброкачественности процесса было клиническим (динамическое наблюдение сроком 1-3 месяца).
Ультразвуковое исследование проводили на различных ультразвуковых аппаратах среднего и высокого класса. Эхографическое заключение давал специально обученный диагност.
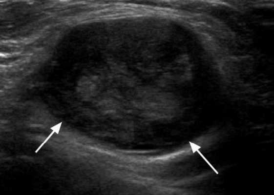
За основу УЗ оценки были приняты следующие критерии:
- форма лимфатического узла (овальная, шаровидная, неправильная);
- дифференциация области ворот лимфатического узла (есть/нет изображение);
- состояние коры лимфатического узла (кортикальный слой узкий/широкий гипоэхогенный);
- общая эхогенность лимфатического узла (повышенная, средняя, низкая);
- дифференциация составных частей лимфатического узла (есть/нет);
- соотношение поперечного и переднезаднего диаметров лимфатического узла (более 1, менее 1, равно 1) (J.N. Bruneton 1995) [7].
Из группы лиц с доброкачественной аденопатией визуализировано 217 лимфатических узлов. При этом как правило выявлялось более двух лимфатических узлов на одной из сторон шеи.
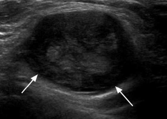
Практически во всех случаях дифференцировали лимфатический узел Кютнера (югулодигастральный), расположенный на границе средней и верхней трети шеи. Выявляемые лимфатические узлы имели размеры от 0,5 х 0,2 см до 2,3 х 0,8 см. УЗ-оценку производили после полипозиционного осмотра и нахождения самой длинной горизонтальной оси, что и принимали за максимальный поперечный диаметр. Большая часть лимфатических узлов (187) имели овальную форму с соотношением поперечного/переднезаднего более 1 (рис. 1 - 3). Тенденцию к округлению имели 30 лимфатических узлов, соотношение поперечного/переднезаднего приближалось к 1.


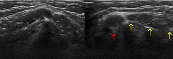
Рис. 1. УЗ-томограмма увеличенного реактивно измененного лимфатического узла: а - на фоне аденовирусной инфекции, б - после проведения противовоспалительного лечения

Рис. 2. Эхографическое изображение непальпируемого югулярного лимфатического узла на фоне остаточных явлений после перенесенного фарингита.

Рис. 3. Эхографическое изображение непальпируемого югулярного лимфатического узла без четкой клинической симптоматики воспалительного процесса в области головы и шеи.
Мы установили, что, как правило, более округлая конфигурация лимфатического узла при его размерах, превышавших 10 мм, сопровождалась небольшими болевыми ощущениями, и более выраженной простудной (воспалительного характера) симптоматикой. Лимфатические узлы менее 10 мм чаще всего плохо пальпировались, либо вообще не выявлялись пальпаторно. Во всех случаях эхографически хорошо дифференцировался гипоэхогенный кортикальный слой и широкое, средней или чуть ниже средней эхогенности изображение области ворот лимфатических узлов. Четкость дифференциации составных частей лимфатического узла была снижена при размерах менее 5 мм. Мы отмечали различную толщину гипоэхогенного изображения области коры лимфатического узла: от очень широкой - при выраженности или прогрессировании воспалительного процесса, до узкой - на фоне положительной динамики.
В группе доброкачественных аденопатий во всех случаях при УЗ-контроле через 1 месяц выявлявшиеся ранее лимфатические узлы не дифференцировались. При этом у 20 человек с выявленной аденопатией не было симптоматики простудных заболеваний, у 70 человек с доброкачественной аденопатией в момент обследования были установлены небольшие простудные явления (35 человек с ощущением першения в горле, 17 с небольшим насморком, у 18 человек остаточные явления перенесенного ранее острого респираторного заболевания). Большинство пациентов не проводили никакого специального противовоспалительного лечения, в то же время 16 человек принимали различные антибиотики широкого спектра действия. Независимо от проведения либо отсутствия, какой либо терапии лимфатические узлы переставали дифференцироваться при УЗИ в течение 5-7 дней с момента начала наблюдения. При этом нами отмечено, что на фоне медикаментозной терапии лимфатические узлы становились невидимыми при эхографии раньше (на 3-5 день с момента начала лечения).
Особую группу доброкачественных аденопатий составили 10 пациентов с воспалением легких, протекавшем на фоне ВИЧ инфекции.
Мы выявили совершенно другую УЗ-картину состояния пальпируемых лимфатических узлов при динамической оценке у больных с синдромом иммунодефицита. Оцениваемые лимфатические узлы имели эхографические признаки доброкачественного процесса, в большинстве наблюдений их размеры превышали 2-2,5 см. При этом во всех случаях дифференцировались составные части лимфатического узла. Определялся узкий кортикальный слой и широкая гиперэхогенная сердцевина при сохранении овальной конфигурации и соотношении поперечного/переднезаднего более 1.
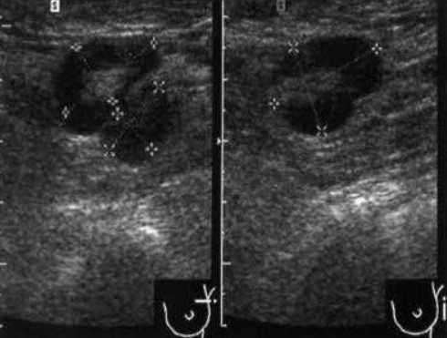
При повторных УЗ осмотрах на фоне массированной противовоспатительной терапии было отмечено увеличение числа лимфатических узлов вовлеченных в процесс активизации. При этом заметной перестройки эхоструктуры и уменьшения размеров в наблюдаемых лимфатических узлах отмечено не было (рис 4).


Рис. 4. Варианты изображения увеличенного лимфатического узла с УЗ-признаками доброкачественной аденопатии у больного с синдромом иммунодефицита.
Таким образом, на основании полученных данных можно сделать следующие выводы:
- в ответ на воспалительные (микробной или вирусной этиологии) процессы лимфатические узлы отвечают изменением эхоструктуры в виде улучшения четкости дифференциации лимфатических узлов на фоне окружающих тканей. При этом отмечается увеличение толщины гипоэхогенного изображения коры лимфатического узла. Гиперэхогенное изображение области ворот сужено. Процесс выздоровления (возвращение лимфатического узла в состояние покоя на фоне медикаментозной терапии или за счет собственных защитных сил) характеризуется сначала уменьшением толщины корковой части и общих размеров лимфатического узла, а затем практически полным отсутствием его дифференциации с окружающими тканями;
- у больных с воспалительными процессами на фоне синдрома иммунодефицита не было отмечено УЗ признаков активизации коры, что в контрольной группе проявлялось увеличением толщины области ворот и тенденцией к округлой конфигурации. При динамическом наблюдении УЗ-картина свидетельствовала о вовлечении в процесс все новых лимфатических узлов. "Старые" же лимфатические узлы на фоне проводимой терапии не имели УЗ признаков положительной динамики.
Следовательно, эхография позволяет не только выявлять доброкачественные изменения лимфатических узлов, но и оценивать положительную или отрицательную динамику изменения эхоструктуры лимфатического узла в ответ на медикаментозную терапию или собственную сопротивляемость организма.
Литература
- Greetzman W., Chembirek H., Hajek P. et al. Sonographische hals anatomie und betendung beim lymphkoten staging von Koph-Hals-Malignomen. Stuttgart; N.Y.; S.G. Thieme Verlag. 1987. p.146.
- Feinmesser R., Freedman I.L., Noyek A.M., et al. Metastatic neck disease: a clinical radiographic patologic correlative study. Arch. Otolaryngol.Head Neck Surg. 113:1307-1310, 1987.
- Stem W.B.R, Silver C.E., Zeifen B.A. et al. Computed tomography of the clinically negative neck. Head Neck 12:109-113, 1990.
- Van den Brekel M.W.M., Casteliging I.A., Croll G.A. et al. Magnetic resonance imaging US. Palpation of cervical lymph node metastasis. Arch. Otolaryngol.Head Neck Surg. 117:666-673, 1991
- Takashima Sh., Sone S., Nomura W. et al. Nonpalpable lymphatic nodes of the neck: assessment with US and US-guided fine-needle aspiration biopsy. J. of clinical ultrasound V.25.N6, July/August 1997.
- Заболотская Н.В. Ультразвуковая томография при заболеваниях лимфатической системы/Ультразвуковая диагностика в акушерстве, гинекологии и педиатрии. - 1993. - N2. С.133-142.
- Brunetone L., Rubaltelli., Solbiati L. Lunph nodes. In:Ultrasound of superficial structures. Ed by Solbiati L., Rizzetto G. p.279-303.
УЗИ сканер HS50
Оценка строения синуса. Оценка капсулы лимфатического узла.
Препарат 22.
| Лимфатический узел. Окраска гематоксилин-эозином. |
(Нижеследующее описание основывается на материале раздела 21.1.1.)
А. Общий план строения
а) (Малое увеличение)

от узла отходят вены и выносящие лимфатические сосуды
и входят в узел артерии и нервы.
плотной волокнистой соединительной тканью.
лимфоидная ткань (т.е. ретикулярн ая ткань, в петлях которой располагаются лимфоциты),
а также лимфатические синусы - пространства, выстланные ретикулоэндотелиальными ("береговыми") клетками и служащие для перемещения лимфы через узел.
корковое вещество (на периферии узла), представленное лимфатическими узелками , или фолликулами ( 3 на снимке а и 1 на снимке в);
паракортикальную зону ( 2 на снимке в), где лимфоидная ткань расположена диффузно (т.е. неупорядоченно);
мозговое вещество ( более светлую область в центре узла) - здесь лимфоидная ткань организована в мозговые тяжи (3 на снимке в) .
6. Лимфатические синусы также подразделяют на 3 вида:
краевой синус (2 на снимке а ) - между капсулой и лимфатическими фолликулами
вокругузелковые синусы - между трабекулами и узелками
мозговые синусы (4 на снимке в ) - между трабекулами и мозговыми тяжами .
Теперь подробней рассмотрим три области лимфоидной ткани.
Б. Корковое вещество (лимфатические узелки)
реактивный (или герминативный) центр (4) , в котором, в свою очередь, можно выделить 3 зоны :
тёмную (в основании фолликула),
светлую базальную и
светлую апикальную ;
а также корона (5) (на периферии узелка), имеющая обычно вид тёмного полумесяца.
а) Темная зона реактивного центра : здесь происходят
стимуляция антигеном В-клеток (при участии макрофагов, дендритных клеток и Т-хелперов ) и
мутагенез стимулированных В-клеток ( центробласто в).
б) Светлая базальная зона реактивного центра:
отбор среди продуктов мутагенеза ( центроцитов ) клеток с наибольшим сродством к антигену (такие клетки превращаются в В-иммунобласты).
б) Светлая апикальная зона реактивного центра :
интенсивные деления В-иммунобластов .
г) Корона узелка :
дифференцировка клеток, образовавшихся из В-иммунобластов, - проплазмоцитов - и постепенная миграция созревающих клеток в мозговые тяжи;
превращение части В-иммунобластов в В-клетки памяти .
В. Паракортикальная зона
зрелые активированные клетки (Т-хелперы, Т-киллеры, Т-супрессоры).
способны "представлять" антигены лимфоцитам (в данном случае - Т-клеткам).
посткапиллярных венул с высоким эндотелием, через которых могут проходить лимфоциты.
Г. Мозговые тяжи
пролиферирующие проплазмоциты
и с ами плазматические клетки.
Д Строма и лимфатические синусы лимфоузла
2. а) Стенки лимфатических синусов выстланы
ретикулоэндотелиальными ("береговыми") клетками,
между которыми во многих местах находятся оседлые макрофаги.
Я изучил: 1) строение разных ЛУ у человека, белой крысы, кролика, собаки и быка, но главным образом - верхних брыжеечных и подколенных. Срезы ЛУ были окрашены азур-II-эозином, пикрофуксином по Ван Гизон и орсеином; 2) развитие ЛУ у зародышей человека и белой крысы, в основном - панкреатодуоденальных, верхних брыжеечных, поясничных.
Строение ЛУ и их синусов очень изменчиво даже у одного индивида, не говоря уже о ЛУ представителей разных видов. Брыжеечные ЛУ (типичные висцеральные) у всех видов отличаются большим развитием паренхимы, особенно коркового вещества. В подколенных ЛУ (соматического типа) лучше выражены капсула, трабекулы и промежуточные синусы. У человека и крупных животных, особенно у собаки (даже в брыжеечных ЛУ), последние развиты гораздо лучше, чем у мелких грызунов. В брыжеечных ЛУ крысы трабекулы - чаще всего очень тонкие. Это затрудняет выявление очень тонкой выстилки промежуточных синусов. С целью обнаружить ее я перфузировал 1% раствор глутаральдегида в брыжеечные ЛУ крысы. В результате синусы фиксировались в дилатированном состоянии, что позволило мне впервые описать и продемонстрировать паракортикальные синусы. Они сопровождают посткапиллярные венулы с высокими эндотелиоцитами, в том числе на границе Т-доменов, залегают с внешней и внутренней стороны от венул, заходят на территорию Т-доменов, где происходят пролиферация, дифференциация, функциональная специализация Т-лимфоцитов, миграция плазмобластов. Встречаются также ветви краевого синуса, входящие в толщу лимфоидных узелков, имеющие очень тонкую эндотелиальную выстилку.
Закладка ЛУ у плодов человека и белой крысы происходит однотипно: эмбриональные лимфатические коллекторы, в т.ч. мешки, с эндотелиальными стенками расширяются и охватывают (эпиболия) прилегающие, расположенные на их пути кровеносные сосуды с более толстыми, дифференцированными и резистентными к давлению стенками. Иначе говоря, кровеносные сосуды инвагинируют в просвет лимфатических коллекторов вместе с их эндотелиальными стенками и межсосудистой соединительной тканью. Такие инвагинации (стромальные зачатки ЛУ) насыщаются лимфоцитами и становятся лимфоидными. Их рост сопровождается сужением и искривлением просвета матричного лимфатического коллектора с образованием первичного краевого синуса ЛУ с эндотелиальными стенками. Он окружает лимфоидный зачаток. Его внутренняя стенка, по сравнению с наружной (капсулярной), приобретает все большую площадь поверхности, поэтому ее эндотелиальный покров быстрее растягивается, к тому же подвергается «размывающему» воздействию трансфузионного лимфотока, разрыхляющего и перфорирующего эндотелий. Эндотелий внутренней стенки краевого синуса врастает в толщу паренхимы ЛУ с образованием промежуточных синусов. Их эндотелиальная выстилка подвергается еще меньшему гидростатическому давлению и все большему «размывающему» воздействию трансфузионного лимфотока, становится еще более тонкой и рыхлой. Сквозь окошки эндотелиальной «решетки» ретикулярные и тонкие коллагеновые волокна проникают в просвет синусов ЛУ из стромы его вещества, капсулы и трабекул, составляют механическую решетку в просвете синусов. Их выстилка продолжается в эндотелий афферентных и эфферентных ЛС - непрерывное лимфатическое русло.
Читайте также:
- Свойства трупной крови. Местные особенности трупной крови
- Техника операции при вывихе суставного отростка шейного позвонка
- Диагностика эпистатуса по КТ, МРТ головного мозга
- Консультации специалистов при эпилепсии. Консультация больных эпилепсией.
- Хирургические и нехирургические методы лечения тугоухости и шума в ушах
