Околомозговое скопление жидкости - причины, клиника, диагностика
Добавил пользователь Валентин П. Обновлено: 13.12.2025
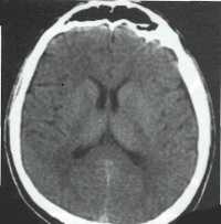
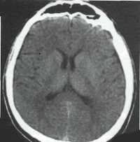
Гидроцефалия — повышенное скопление цереброспинальной жидкости в ликворной системе головного мозга. Гидроцефалия сопровождает многие врожденные и приобретенные неврологические заболевания. Клинически она проявляется признаками повышенного внутричерепного давления (головная боль, тошнота, давление на глаза), симптомами сдавления мозговых структур (вестибулярная атаксия, нарушения зрения, психические расстройства, эпи-приступы) и симптомами, характерными для вызвавшего ее заболевания. Диагностика гидроцефалии включает рентгенографию черепа, офтальмологические исследования, Эхо-ЭГ (у грудных детей — нейросонографию), МРТ или КТ головного мозга. Хирургическое лечение гидроцефалии позволяет скорректировать врожденные аномалии ликворной системы, провести удаление нарушающих ликвороциркуляцию внутричерепных образований, наладить отток ликвора из полости черепа.
МКБ-10


Общие сведения
Гидроцефалия в дословном переводе означает «водянка головы». В современной неврологии это часто встречающийся клинический синдром, который может отмечаться при многих заболеваниях, врожденных аномалиях или посттравматических состояниях головного мозга. Возникновение гидроцефалии связано с в теми или иными нарушениями в ликворной системе мозга. Появлению гидроцефалии подвержены люди любого возраста. Гидроцефалия может возникать у новорожденных, иметь врожденный характер, развиваться у детей и у взрослых, сопровождать атрофические процессы, происходящие в головном мозге у стариков. Однако наиболее часто она встречается в педиатрической практике.

Причины
К накоплению избыточного количества ликвора в ликворной системе головного мозга приводят 3 патологических механизма: выработка избыточного количества цереброспинальной жидкости, нарушение ее всасывания или расстройство ликвороциркуляции. В основе гидроцефалии может лежать один из указанных механизмов или их сочетание. Причины, вызывающие нарушения в работе ликворной системы, могут действовать в период внутриутробного развития и обуславливать врожденную гидроцефалию или влиять на мозг после рождения и вызывать появление так называемой приобретенной гидроцефалии. К причинам гидроцефалии относятся:
1. Врожденная гидроцефалия:
- пороки развития ликворной системы (атрезия отверстий Мажанди и Лушки
- дефекты в строении подпаутинного пространства
- стеноз сильвиевого водопровода, синдром Денди-Уокера и пр.)
- краниовертебральные аномалии (аномалия Киари, врожденная базилярная импрессия)
- внутриутробные инфекции (токсоплазмоз, врожденный сифилис, цитомегалия, краснуха), родовая травма.
2. Приобретенная гидроцефалия:
- воспалительные процессы в головном мозге и его оболочках (энцефалит, арахноидит, менингит)
- сосудистые нарушения (кровоизлияния в желудочки, геморрагический инсульт или внутримозговые гематомы с прорывом крови в желудочки).
- прорастание желудочков и сдавление ликворных путей на фоне коллоидной кисты III желудочка и внутримозговых опухолей (астроцитомы, герминомы, ганглионевромы и др.). При этом нарушается нормальная циркуляция ликвора и его отток из полости черепа.
Отдельно выделяют атрофическую (заместительную) форму гидроцефалии, которая возникает вследствие посттравматической гибели или возрастной атрофии тканей головного мозга. При этом цереброспинальная жидкость заполняет пространство, которое образуется внутри черепной коробки в результате уменьшения объема головного мозга. Атрофическая гидроцефалия в пожилом возрасте может развиваться на фоне нарушения кровоснабжения головного мозга при атеросклерозе мозговых сосудов, гипертонической болезни, диабетической макроангиопатии.
Патогенез
В норме ликвор (цереброспинальная жидкость) вырабатывается сосудистыми сплетениями сообщающихся между собой желудочков головного мозга. Наибольшее его количество образуется в боковых желудочках, откуда ликвор поступает в III желудочек, а из него по сильвиевому водопроводу в IV желудочек. Затем ликвор попадает в субарахноидальное (подпаутинное) пространство, которое простирается над всей поверхностью головного мозга, а в каудальном направлении проходит область краниовертебрального перехода и дальше окружает спинной мозг на всем его протяжении. Находящаяся в субарахноидальном пространстве цереброспинальная жидкость постоянно всасывается арахноидальной (паутинной) оболочкой спинного и головного мозга и попадает в кровь. Указанные выше этиологические факторы, нарушающие выработку, движение и всасывание ликвора, приводят к ее избыточному накоплению и возникновению гидроцефалии.
Классификация
По этиологическому принципу выделяется врожденная и приобретенная гидроцефалия. По механизму возникновения гидроцефалия классифицируется на открытую и закрытую форму.
- Открытая гидроцефалия связана с гиперпродукцией ликвора или нарушением его всасывания при нормальной ликвороциркуляции.
- Закрытая гидроцефалия вызвана нарушением оттока цереброспинальной жидкости из-за сдавления, частичной или полной обтурации какого-либо участка ликворной системы головного мозга.
В зависимости от того, где происходит избыточное накопление ликвора различают внутреннюю и наружную гидроцефалию. Внутренняя гидроцефалия сопровождается скоплением ликвора в желудочках мозга. Наружная гидроцефалия характеризуется избытком ликвора в субарахноидальном и субдуральном пространстве.
По особенностям течения гидроцефалию классифицируют как острую, подострую и хроническую. Острая гидроцефалия отличается быстрым развитием, при котором через несколько суток после возникновения первых признаков заболевания наступает декомпенсация. Подострая гидроцефалия развивается в течение месяца, а хроническая — более полугода.
Большое клиническое значение имеет разделение гидроцефалии на стабилизировавшуюся (компенсированную) и прогрессирующую (нарастающую).
- Стабилизировавшаяся гидроцефалия не нарастает и обычно протекает с нормальным давлением ликвора.
- Прогрессирующая гидроцефалия отличается усугублением симптоматики, сопровождается повышением ликворного давления, плохо поддается консервативной терапии и приводит к атрофии тканей головного мозга.
Симптомы гидроцефалии
Гидроцефалия у взрослых
Накопление избыточного количества цереброспинальной жидкости в ограниченном пространстве черепной коробки приводит к повышению внутричерепного давления, что и обуславливает наиболее типичные симптомы гидроцефалии. У взрослых и детей старшего возраста к ним относятся: не снимающаяся анальгетиками интенсивная головная боль, тошнота, рвота, чувство давления на глазные яблоки. Указанные симптомы могут возникнуть остро или нарастать постепенно, имея в начале заболевания преходящий характер. Атрофическая гидроцефалия зачастую протекает без признаков повышения внутричерепного давления и выявляется лишь при дополнительном обследовании пациента.
В большинстве случаев гидроцефалия сопровождается неврологической симптоматикой, которая обусловлена как сдавлением мозговых структур расширенными ликворными пространствами, так и основным заболеванием, являющимся причиной развития гидроцефалии. Наиболее часто при гидроцефалии отмечаются вестибулярные и зрительные нарушения. К первым относится вестибулярная атаксия, проявляющаяся головокружением, неустойчивостью походки, шумом в ушах и голове, нистагмом. Со стороны зрения может наблюдаться значительное снижение остроты зрения, выпадение определенных участков полей зрения, застойные диски зрительных нервов; при длительном течении гидроцефалии может развиться атрофия зрительных нервов.
Гидроцефалия может протекать с нарушениями двигательной и чувствительной сферы: парезами и параличами, повышением сухожильных рефлексов и мышечного тонуса, понижением или полным выпадением всех видов чувствительности, образованием спастических контрактур конечностей. Окклюзионная гидроцефалия, обусловленная нарушением циркуляции ликвора в области задней черепной ямки, характеризуется симптомами мозжечковой атаксии: нарушением координации и походки, крупноразмашистыми несоразмерными движениями, изменением почерка и пр.
В некоторых случаях гидроцефалия сопровождается психическими расстройствами, которые у взрослых чаще проявляются нарушениями эмоционально-волевой сферы: эмоциональной неустойчивостью, неврастенией, беспричинной эйфорией с быстрым переходом к состоянию безразличия и апатии. При резком увеличении внутричерепного давления, возможно агрессивное поведение.
Гидроцефалия у детей
У детей из-за большой податливости костей черепа не наблюдается повышения внутричерепного давления, гидроцефалия у них сопровождается увеличением размеров черепа. У новорожденных и детей раннего возраста гидроцефалия характеризуется слишком большим размером головы, выбуханием вен скальпа, напряжением и отсутствием пульсации большого родничка, отеком дисков зрительных нервов.
Часто отмечается симптом «заходящего солнца» - ограничение движений глазных яблок кверху. Может наблюдаться расхождение швов черепа. Постукивание по черепу сопровождается характерным звуком (симптом «треснутого горшка»). У детей первого года жизни гидроцефалия приводит к отставанию в развитии. Они позже начинают держать голову, переворачиваться, сидеть и ходить.
Дети, у которых имеется выраженная гидроцефалия, отличаются шарообразной формой головы, ее слишком большим размером, глубоко посаженными глазами, оттопыренными ушами, истончением кожи головы. Может отмечаться снижение зрения, повышение мышечного тонуса в нижних конечностях, нарушения со стороны черепных нервов. В отличие от взрослых, в детском возрасте гидроцефалия чаще сопровождается не эмоционально-волевыми расстройствами, а интеллектуальной недостаточностью.
Дети с гидроцефалией обычно малоподвижны и страдают ожирением. Они апатичны, безынициативны, не имеют свойственной их сверстникам привязанности к родственникам. Снижение степени гидроцефалии зачастую приводит к повышению интеллектуальных способностей и активности ребенка.
В подростковом возрасте гидроцефалия зачастую возникает остро на фоне инфекционного заболевания, психической или физической травмы. При этом она сопровождается интенсивной головной болью, многократной рвотой, брадикардией. Возможны приступы потери сознания, иногда судорожные приступы. В отдельных случаях наблюдаются эпизодические психозы с галлюцинаторным или бредовым синдромом.
Диагностика
Клинические симптомы гидроцефалии обычно настолько характерны, что позволяют неврологу заподозрить ее наличие при первом же осмотре пациента. Для определения степени и формы гидроцефалии, а также для выявления лежащего в ее основе заболевания проводятся дополнительные обследования:

Лечение гидроцефалии
Выбор метода лечения гидроцефалии зависит от ее этиологии. Консервативная терапия часто проводится при приобретенной гидроцефалии, обусловленной воспалительными заболеваниями, перенесенной ЧМТ, кровоизлиянием в желудочки. Осуществляется лечение основного заболевания, а для уменьшения степени гидроцефалии и повышенного внутричерепного давления назначаются мочегонные препараты (ацетазоламид, фуросемид).
Врожденная гидроцефалия обычно требует хирургического вмешательства, направленного на коррекцию лежащего в ее основе порока развития. Если гидроцефалия обусловлена наличием объемного процесса в головном мозге, то она также лечится хирургическим методом. По показаниям производится удаление внутричерепной гематомы, операции по удалению опухолей, вскрытие или тотальное иссечение абсцесса головного мозга, разъединение спаек при арахноидите и др.
В случаях, когда устранить причину гидроцефалии не представляется возможным применяются шунтирующие операции:
Они направленны на создание дополнительных путей оттока цереброспинальной жидкости из полости черепа. Шунтирующие операции могут проводиться как дополнение к хирургическому лечению основного заболевания, если в ходе операции не удается восстановить нормальную циркуляцию ликвора.
Субдуральная гигрома
Субдуральная гигрома — локальное избыточное накопление прозрачной или имеющей примесь крови цереброспинальной жидкости в промежутке между твердой и арахноидальной церебральными оболочками. Гигрома может быть травматической, самопроизвольной и ятрогенной. В клинике преобладают общемозговые симптомы, очаговый дефицит выражен умеренно. Диагностика включает рентгенографию черепа, оценку неврологического статуса, МРТ или КТ головного мозга; при отсутствии последних — Эхо-ЭГ и люмбальную пункцию. Субклинические гигромы малого размера подлежат наблюдению. В остальных случаях проводится дренирование гигромы. При рецидивировании устанавливается гигромо-перитонеального шунт.


Субдуральная гигрома (греч. «hygros» — влажный) — скопление цереброспинальной жидкости между подпаутинной (арахноидальной) и твердой церебральной оболочкой. При тяжелой черепно-мозговой травме (ЧМТ) сочетается с субдуральными гематомами и ушибом головного мозга. Гигрома субдурального пространства отличается от гематомы той же локализации отсутствием капсулы и прозрачностью своего содержимого, которое может содержать лишь небольшую примесь крови. Известны случаи трансформации гигромы в субдуральную гематому хронического течения вследствие кровоизлияния в гигрому с последующей инкапсуляцией.
Субдуральная гигрома может сформироваться в любом возрастном периоде. Однако риск ее появления нарастает с возрастом и при наличии атрофических изменений в церебральных тканях. Наиболее частая локализация субдуральной гигромы — это надвисочные области. Клинические проявления гигромы обусловлены увеличением ее объема и сдавлением ею прилежащих церебральных тканей. При малом объеме содержимого субдуральная гигрома имеет субклиническое течение и может стать неожиданной находкой при обследовании по поводу иной церебральной патологии. В силу своей локализации субдуральная гигрома находится в сфере интересов специалистов в области неврологии и нейрохирургии.

Считается, что наиболее часто субдуральная гигрома является следствием травм головы, причем не только тяжелых, но и легких, даже незначительных. Однако гигрома может возникать и по другим причинам, в т. ч. самопроизвольно. Основные причины включают:
- ЧМТ. Различные данные указывают на диагностирование гигромы в 5-20% закрытой черепно-мозговой травмы. Время формирования гигромы может варьировать, в связи с чем выделяют острые, подострые и хронические травматические гигромы.
- Разрыв кисты. В основе самопроизвольных, или нетравматических, гигром лежит, как правило, разрыв арахноидальной кисты. Поскольку арахноидальные кисты часто имеют врожденный характер, субдуральные гигромы, сформировавшиеся вследствие их разрыва, диагностируются преимущественно в молодом возрасте и у детей. Описаны случаи врожденной гигромы церебральных оболочек.
- Ятрогении. Отдельную группу составляют гигромы ятрогенного генеза, формирующиеся после нейрохирургических операций. Чаще образование гигром наблюдается после вмешательств по поводу внутримозговых опухолей, арахноидальных кист и аневризм сосудов головного мозга. Ятрогенный механизм формирования гигром связывают с возникающей после операции ликвореей.
Вопрос патогенеза гигромы травматического генеза до сих пор остается открытым. Согласно одной теории гигрома образуется вследствие разрыва паутинной церебральной оболочки с формированием клапана, посредством которого происходит нагнетание цереброспинальной жидкости в субдуральное пространство. В соответствии с другой теорией патогенеза гигрома является следствием скопления экссудата травмированной твердой церебральной оболочки. Ряд исследователей считают, что гигрома субдуральной локализации формируется за счет разобщения твердой и арахноидальной оболочки в момент травмы с появлением между ними полости, в которую изливается цереброспинальная жидкость поврежденных базальных цистерн.
Симптомы субдуральной гигромы
Клинические признаки во многом аналогичны симптомам гематомы аналогичной локализации. К ним относятся: утрата сознания и его спутанность, сдавливающая или распирающая цефалгия, тошнота и рвота, ухудшение зрения, нарушения речи, потеря памяти, дискоординаторные симптомы. Возможны психические расстройства: перепады настроения, агрессивность, нелепое поведение, элементы дезориентации. По мере увеличения гигромы в объеме появляются и нарастают признаки сдавления головного мозга. Этот процесс происходит более постепенно, чем при субдуральной гематоме. Прогрессирующий масс-эффект приводит к дислокации церебральных структур и компрессии продолговатого мозга с возникновением дыхательных и сердечных расстройств.
Очаговый неврологический дефицит имеет более мягкую выраженность, чем при гематоме субдурального пространства. Он, как правило, представлен анизокорией и гемипарезом. Оболочечные симптомы в виде ригидности затылочных мышц констатируется лишь у 20% пациентов. Примерно в 40% отмечаются эпиприступы, чаще генерализованного характера. Хроническая гигрома при малом объеме может иметь субклиническое течение. Ее трансформация в хроническую гематому может быть спровоцирована дополнительным травмированием.
Диагностический алгоритм при травме головы включает тщательное неврологическое и инструментальное обследование. Основные методы диагностики включают:
- Рентген. На первом этапе выполняется рентгенография черепа. Ангиография церебральных сосудов не всегда способствует выявлению гигромы, которая подобно гематоме обнаруживается в виде бессосудистой полосы и неотличима от нее.
- Эхоэнцефалография. Помогает установить степень повышения внутричерепного давления и наличие дислокации церебральных структур.
- Люмбальная пункция. (при отсутствии противопоказаний). Исследование цереброспинальной жидкости дает выраженное повышение концентрации альбумина, при наличии субарахноидального кровоизлияния обнаруживается кровь.
- Томография. Дифференцировать гигрому субдурального пространства от опухолей церебральных оболочек, арахноидальной кисты и субдуральной гематомы позволяет только проведение МРТ или КТ головного мозга. Зачастую на томографии можно увидеть т. н. «дорожку», соединяющую гигрому с цистернами основания мозга. Томография позволяет точно установить локализацию и объем гигромы, выявить другие церебральные повреждения при ЧМТ, оптимально спланировать лечебные мероприятия.

Лечение субдуральной гигромы
Консервативную терапию гигром осуществляют неврологи, хирургическое лечение — нейрохирурги. Субдуральная гигрома небольших размеров, не дающая клинических проявлений, нуждается в динамическом наблюдении, в том числе и томографическом. При нарастании ее объема показано хирургическое дренирование.
Хирургическая аспирация содержимого гигромы осуществляется под общим наркозом через фрезевое отверстие в черепе. Затем производится установка субдурального дренажа, который снимают через 1-2 суток. Субдуральная гигрома имеет значительную склонность к рецидивам. Многие пациенты вынуждены неоднократно проходить процедуру дренирования. Многочисленные рецидивы являются поводом для рассмотрения вопроса о возможности проведения шунтирующей операции с созданием гигромо-перитонеального шунта.
Прогноз
Прогноз гигромы во многом зависит от сопутствующих обстоятельств: наличия травматических повреждений вещества и оболочек мозга, степени развития церебрального ангиоспазма, возраста пациента, существования атрофии мозга и т. п. Случаи, когда субдуральная гигрома не сочетается с другой патологией головного мозга и своевременно дренируется, имеют благоприятный прогноз вплоть до 100% обратного развития всех неврологических симптомов.
Ликворея
Ликворея - это истечение спинномозговой жидкости (ликвора) через дефекты в твердой мозговой оболочке. Патология в основном возникает при черепно-мозговых травмах, реже причиной выступают церебральные опухоли, врожденные дефекты, осложнения нейрохирургических вмешательств. При ликворее прозрачная жидкость без запаха вытекает из уха или носа, зачастую присоединяются нарушения сознания и признаки очагового повреждения структур ЦНС. Для диагностики заболевания выполняется КТ и МРТ головного мозга, эхоэнцефалография, рентгенконтрастные исследования. Лечение проводится консервативным и/или хирургическим способом.



Ликворея возникает у 2-3% людей с травмами головы и в 5-11% случаев при переломе основания черепа. При тяжелых повреждениях лицевого скелета и назоэтмоидальноорбитального комплекса частота осложнения достигает 40%. Патология имеет большое клиническое значение в клинической неврологии, поскольку указывает на обширную травматизацию внутричерепных структур и требует неотложного комплексного лечения. Усилия врачей направлены на совершенствование диагностики ликвореи, что важно для ее своевременной и адекватной терапии.

Причины ликвореи
Основным этиологическим фактором патологического состояния называют ЧМТ, которые сопровождаются повреждениями костных структур и подлежащих оболочек мозга. Чаще всего проблема развивается при травмах основания черепа, пирамиды височной кости, лобной пазухи. По биомеханике повреждения различают ЧМТ следующих видов: ударно-противоударные, ускорения-замедления и сочетанные. Другие причины ликвореи:
- Объемные новообразования. Опухоли мозга и костных структур, имеющие инвазивный тип роста, способны повреждать оболочки и формировать дефект для истечения ликвора. Патология наблюдается при запущенных стадиях, когда новообразование достигает больших размеров.
- Врожденные пороки развития. При черепно-мозговых и спинномозговых грыжах развиваются патологические пути оттока цереброспинальной жидкости (ЦСЖ). Патология проявляется с раннего детства, сопровождается другими неврологическими нарушениями.
- Ятрогенные факторы. Вторичная ликворея возникает как осложнение нейрохирургических операций, при которых случайно травмируется твердая мозговая оболочка. Такая ситуация возможна при тяжелых травмах головы, дефиците современного оборудования для интраоперационной нейровизуализации.
При переломах черепа смещенные костные фрагменты повреждают мозговые оболочки, в результате чего наблюдается истечение ликвора. Существует 3 ведущих механизма повреждений: ущемление отломками костей, прободение церебральных оболочек, обширные разрывы без признаков регенерации. Пролабирование оболочек мозга в костные дефекты препятствует их заражению и способствует формированию грыжи, содержащей элементы мозгового вещества.
Высокая частота ликвореи обусловлена особенностями анатомического строения основания черепа. Кости имеют неоднородную структуру, содержат большое количество воздухоносных полостей и отверстий для сосудисто-нервных пучков. Мозговые оболочки плотно прилегают к твердым структурам, поэтому их разрывы наблюдаются даже при минимальных травмах головы и смещении внутричерепного содержимого.

По времени развития выделяют первичную (раннюю) ликворею, появляющуюся в первые 24 часа после травмы, и вторичную (позднюю) возникающую спустя несколько дней и даже недель. Отдельным вариантом является скрытая ликворея, когда пациенты не замечают выделения ЦСЖ из носа или ушного прохода. В практической неврологии и нейрохирургии важное значение имеет классификация болезни по локализации:
- Назальная - вытекание цереброспинальной жидкости из одного или обоих носовых ходов.
- Отоликворея - истечение ликвора из наружного слухового прохода.
- Послеоперационная - патологическое выделение ликвора после трепанации черепа и других нейрохирургических манипуляций.
Симптомы ликвореи
В 97% случаев наблюдается вытекание прозрачной жидкости из носового или слухового хода. Ликворея носит постоянный или интермиттирующий характер, объем выделений варьирует от 1 до 30 мл в сутки. При перемене положения тела и наклонах головы количество отделяемого возрастает. Жидкость не имеет запаха и посторонних включений, при назальной форме пациенты могут принимать ее за первый симптом насморка или респираторной аллергии.
В горизонтальном положении, особенно во время сна, ликвор затекает из носовой полости в горло и раздражает слизистые. Больных беспокоят мучительные кашлевые приступы, которые уменьшаются в позе полусидя. Профузная ликворея сопровождается попаданием ЦСЖ в желудок. При этом возникает клиника острого неинфекционного гастрита: боли и рези в эпигастрии, дискомфорт после еды, тошнота и рвота.
Клиническая картина посттравматической ликвореи нередко сопровождается признаками сотрясения или ушиба головного мозга. Пациенты предъявляют жалобы на головные боли, слабость, головокружение и сильную тошноту. Симптомы усиливаются при попытках встать с постели и активных движениях. Также возникают вегетативные реакции: приливы крови к лицу, чрезмерная потливость, нарушения сердечного ритма.
Неврологические проявления включают асимметрию сухожильных рефлексов, анизокорию, нистагм. При более серьезных травмах головного мозга возникает двигательная дисфункция, умеренные менингеальные симптомы. Больные сообщают о кратковременной потере памяти на момент травмы, реже встречается ретроградная и антеградная амнезия.
Осложнения
Первичная оценка состояния пациентов с предполагаемой ликвореей проводится врачом-неврологом. Степень нарушения сознания определяется с помощью Шкалы Комы Глазго, далее проводится полный неврологический осмотр. Для обследования больных с сочетанными травмами привлекают нейрохирурга, анестезиолога-реаниматолога, травматолога. В комплексную диагностическую программу входят следующие методы:
- КТ головного мозга. Рентгенологическая диагностика с высокой точностью показывает костные дефекты, которые могут стать причиной повреждения dura mater. Дополнительные сведения для нейрохирургии дает церебральная МРТ, направленная на визуализацию содержимого черепной коробки.
- КТ-цистернография. Нейровизуализация с эндолюмбальным введением рентгеноконтрастных веществ - «золотой стандарт» в диагностике ликвореи. Методика определяет локализацию ликворных фистул, состояние костных структур пораженной области.
- Эхоэнцефалография. Церебральная сонография используется для быстрой и неинвазивной диагностики внутричерепных новообразований, визуализации косвенных признаков повреждения головного мозга. Важнейший показатель ЭхоЭГ - состояние срединных структур (М-эхо).
- ЛОР-обследование. При риноскопии определяется гиперемия и отечность слизистой оболочки, истечение водянистой жидкости по носовым ходам. Для уточнения топики патологического процесса проводится эндоскопия носа. При отоликворее визуализируется травматическая перфорация барабанной перепонки.
- Анализ ликвора. Микроскопическое и микробиологическое исследование вытекаемой жидкости необходимо для подтверждения ликвореи. При обнаружении в ликворе признаков гнойного воспаления, проводится расширенная диагностика для определения патогенного возбудителя.
Дифференциальная диагностика
При нетяжелых вариантах ЧМТ важно отличать назальную ликворею от серозного ринита, поскольку выделяющаяся жидкость не имеет патогномоничных признаков. ЦСЖ содержит много глюкозы (2,3-4 ммоль/л) и мало белка (0,1-0,22 ммоль/л), чем отличается от воспалительного экссудата, который образуется при ЛОР-заболеваниях. Дифференциальная диагностика также проводится с доброкачественными опухолями назальной полости, которые продуцируют слизь.

КТ-цистернография. Симптом «ликворной дорожки» — контрастированная СМЖ в правой половине полости носа (стрелка)
Лечение ликворея
Консервативная терапия
Основная задача - создать благоприятные условия для закрытия дефекта мозговых оболочек и формирования рубца на месте истечения ликвора. Пациентам назначают строгий постельный режим, приподнимание головного конца кровати на 30-70°. На период лечения исключаются любые физические нагрузки, натуживание, эмоциональное перенапряжение. Комплексная терапия при ликворее включает следующие направления:
- Дегидратация. Мочегонные препараты используются для уменьшения внутричерепного давления и нормализации циркуляции ликвора. Это ускоряет закрытие и регенерацию повреждений церебральных оболочек.
- Антибактериальная терапия. Превентивный прием противомикробных препаратов необходим для профилактики гнойных менингитов. Лекарства подавляют бактерии, колонизирующие верхние дыхательные пути, и препятствуют их распространению на структуры ЦНС.
- Дренирование ЦСЖ. Процедура проводится при неэффективности других консервативных методов лечения. Ликвороприемник устанавливают на уровне головы больного, чтобы избежать вторичной внутричерепной гипотензии.
Хирургическое лечение
Помощь нейрохирургов требуется при ликворее, продолжающейся более 7 суток. Чтобы устранить дефект и прекратить истечение цереброспинальной жидкости, проводятся открытые транскраниальные или мини-инвазивные трансназальные вмешательства. Преимущества эндоскопической хирургии: минимальная травматизация тканей, отсутствие риска послеоперационной аносмии. Техника операции подбирается индивидуально с учетом характера и тяжести травмы.
Существует 2 точки зрения относительно сроков выполнения нейрохирургического вмешательства. Сторонники ранних операций (в первые 1,5 недели после травмы) сообщают, что со временем возрастает риск развития менингита, из-за чего адекватное лечение осложняется. Медики, предпочитающие отсроченные операции, подчеркивают высокую частоту самопроизвольного прекращения ликвореи в течение 2-3 недель консервативной терапии.
Результативность хирургического вмешательства зависит от расположения ликворной фистулы, точности предоперационной диагностики, опыта нейрохирурга. Большинству пациентов требуется однократная операция. При повреждении латеральной стенки клиновидной пазухи может потребоваться повторное вмешательство, поскольку интраоперационная визуализация таких дефектов затруднена.
Реабилитация
Восстановительный период после операций в нейрохирургии занимает около 6 недель. Пациентам назначают комплексное медикаментозное лечение: антибактериальные, дегидратационные и симптоматические препараты. Поясничный дренаж устанавливается не более чем на 2-3 суток. Постепенная активизация пациентов начинается со второго дня послеоперационного периода, при этом важно избегать наклонов головы, поднятия тяжестей, повышения внутрибрюшного давления.
Прогноз и профилактика
Киста околоносовой пазухи - симптомы и лечение
Что такое киста околоносовой пазухи? Причины возникновения, диагностику и методы лечения разберем в статье доктора Нагорной Оксаны Александровны, ЛОРа со стажем в 16 лет.
Над статьей доктора Нагорной Оксаны Александровны работали литературный редактор Вера Васина , научный редактор Ольга Медведева и шеф-редактор Маргарита Тихонова

Определение болезни. Причины заболевания
Киста околоносовой пазухи (paranasal sinus cysts) — это патологическое образование, которое состоит из оболочки и полости, содержащей жидкость.
Синонимы заболевания: мукоцеле околоносовой пазухи и ретенционная киста. Код по Международной классификации болезней (МКБ-10): J34.1 - киста или мукоцеле носовых синусов.
Кисты бывают от небольших размеров, еле различимых на компьютерной томографии, до огромных, занимающих всю полость пазухи [13] [15] .
Кисты могут формироваться в различных околоносовых пазухах:
- в верхнечелюстных — 80 % от всех случаев;
- в решётчатом лабиринте (в ячейках решётчатой кости, в верхней группе околоносовых пазух) — 15 %;
- в клиновидной и лобной пазухах — 5 % [1][3] .

Эпидемиология
Зачастую кисты развиваются без симптомов и выявляются случайно на рентгенограмме черепа, поэтому оценить их распространённость сложно. При случайных рентгенологических и МРТ-исследованиях, по разным данным, кисты встречаются у 10-30 % пациентов [3] [14] [15] .
Причины заболевания
- хронический ринит и синусит;
- травмы с повреждением стенок околоносовых пазух — переломы верхней челюсти и орбиты, огнестрельные лицевые ранения, грубые стоматологические вмешательства и др.;
- длительное воздействие аллергенов и фоновых аллергических заболеваний — при аллергии выделятся много слизи и увеличивается вязкость назального секрета, что блокирует протоки желёз;
- хронический полипозный риносинусит; ;
- апикальный периодонтит — воспаление в области верхушки корня зуба;
- анатомические особенности — наличие костных выступов (септ) в просвете синуса, дополнительное соустье пазухи, аномальное развитие крючковидного отростка и др. [12][13]
При обнаружении схожих симптомов проконсультируйтесь у врача. Не занимайтесь самолечением - это опасно для вашего здоровья!
Симптомы кисты околоносовой пазухи
Кисты околоносовых пазух часто протекают бессимптомно. Клинические признаки, как правило, появляются при большом размере кисты и связаны с её давлением на стенки пазухи. Симптомы становятся выраженными, когда киста полностью закрывает просвет придаточной пазухи носа [10] .
Самый частый симптом у пациентов с кистой верхнечелюстных пазух — это периодическая тупая головная боль на стороне кисты, возникающая из-за раздражения рецепторов тройничного нерва.

Со временем хронический болевой синдром приводит к изменениям со стороны психики: больные становятся раздражительными, развивается депрессия и нарушается сон.
Другие симптомы заболевания схожи с острым воспалением в пазухе (гайморитом):
- дискомфорт и чувство наполнения в области поражённой пазухи, которые усиливаются при наклонах головы вперёд;
- односторонняя заложенность носа;
- ощущение давления, тяжести и напряжённости около глазницы;
- боль в щеке, распространяющаяся на скулу и зубы;
- обильная вязкая слизь, стекающая по задней стенке глотки;
- нарушение обоняния;
- отёк щеки;
- дискомфорт в области челюсти и лба;
- признаки интоксикации (повышение температуры, общее недомогание, утомляемость, разбитость, снижение аппетита), которые появляются при нагноении кисты.
Если киста появилась давно и достигла больших размеров, то может сместиться глазное яблоко, из-за чего ухудшится зрение. Кисты ячеек решётчатого лабиринта вызывают изменения в слезовыводящих путях и приводят к хроническому слезотечению. Поэтому некоторые пациенты обращаются сперва не к отоларингологу, а к офтальмологу [11] .
В редких случаях может произойти самопроизвольный разрыв кисты и её опорожнение. При этом из одной половины носа вытекает прозрачная жёлтая жидкость. Когда отхождение жидкости прекращается, симптомы, связанные с давлением кисты на стенки пазухи, стихают.
В целом, клинические признаки болезни достаточно разнообразны и зависят от того, где расположена киста, её размера и продолжительности заболевания.
Патогенез кисты околоносовой пазухи
На слизистую оболочку носа и околоносовые пазухи постоянно воздействуют различные факторы: инфекционные агенты, химические вещества, температура и другие физические свойства воздушного потока.
Непрерывное выделение слизи и её циркуляция в полостях пазух и носа позволяют согревать и увлажнять вдыхаемый воздух, очищать его от взвешенных частиц, бактерий, вирусов и грибковых спор.
Cлизь состоит из двух слоёв:
- Наружного густого гелеобразного слоя толщиной 2 мкм. Его выделяют специальные бокаловидные клетки, расположенные в слизистой оболочке.
- Лежащего под ним более жидкого слоя (золя) толщиной 2-4 мкм. Золь выделяют подслизистые ацинозные железы. В нём содержатся ферменты, разрушающие плёнки болезнетворных микробов, и белки иммунной защиты: лизоцим и лактоферрин.
![Слизь и клетки эпителия [19]](/pimg3/okolomozgovoe-skoplenie-zhidkosti-CB911F.jpg)
Киста формируется из-за изменений в слизистой оболочке околоносовых пазух: отёка, нарушения оттока слизи, гипоксии и ряда других причин, провоцирующих закупорку выводных протоков ацинозных желёз.
В дальнейшем продукты воспаления растягивают концевые отделы желёз. Их просвет постепенно заполняется густым содержимым, и формируется киста. Расширение протоков желёз ведёт к атрофии их перегородок, преобразованию малых желёз и кист в большие кисты. Киста растёт до тех пор, пока давление внутри неё не сравняется с давлением окружающих тканей [9] .
Кроме механической закупорки протоков желёз, к появлению кисты приводит повреждение ресничек мерцательного эпителия слизистой носа. В результате окончательно блокируется продвижение секрета из железистых протоков.
Также кисты могут развиваться как осложнение отёчной формы гайморита [10] . Воспалительный экссудат в просвете пазухи раздражает слизистую оболочку и усиливает выделения секрета в её полость. Если воспалительная жидкость не рассасывается, не выводится и длительно давит на слизистую оболочку, то это приводит к дистрофии и рубцовым изменениям желёз. При этом железы продолжают вырабатывать слизистый секрет. В результате формируются небольшие шаровидные ёмкости с тонкими фиброзными стенками, заполненные специфической жидкостью — будущие кисты [2] .
Классификация и стадии развития кисты околоносовой пазухи
По внутреннему содержимому кисты околоносовых пазух бывают:
- слизистыми;
- гнойными;
- серозными;
- заполненными воздухом [8] .
По месту образования различают кисты:
- верхнечелюстной пазухи;
- лобной пазухи;
- этмоидальные (в передних и задних ячейках решётчатого лабиринта);
- клиновидные (в самой задней пазухе, расположенной под основанием черепа).
По происхождению:
- Ретенционные кисты — истинные кисты, которые возникают из-за полной или частичной непроходимости выводных протоков желёз, вырабатывающих слизь. Истинные кисты выстланы эпителием слизистой оболочки [13][14] .
- Ложные кисты — это кистоподобные образования, происхождение которых до конца не изучено. Чаще возникают у мужчин. Возможные причины появления ложных кист: патология верхних зубов, воздействие аллергенов или инфекции. Ложные кисты образуются в толще слизистой оболочки и не имеют эпителиальной выстилки [13][14][15] .
- Одонтогенные кисты формируются вокруг воспалённого корня верхнего зуба и заполнены гноем. Они бывают радикулярными и фолликулярными. Первые образуются около воспалённого корня кариозного зуба и постепенно прорастают через атрофированную костную ткань челюсти в пазуху. Вторые возникают из фолликула воспалённого молочного зуба [1][8] .
Стадии заболевания
Различают три стадии развития кисты околоносовой пазухи:
- Бессимптомная — период, когда киста в пазухе не вызывает дискомфорта, обычно её размеры не превышают 1 см. У некоторых пациентов эта стадия может протекать длительно и не переходить в последующие. В таком случае кисту случайно обнаруживают при рентгенологическом или томографическом исследовании по другому поводу [3] . Как правило, лечение в этом случае не требуется, нужно лишь наблюдать, не будет ли киста расти.
- Стадия клинических проявлений — киста становится больше 1 см и появляются первые симптомы: головная боль и заложенность носа.
- Стадия развития осложнений — симптомы становятся выраженными: появляется гнойный насморк, сильно болит голова, возникают признаки интоксикации и отекают веки. Оболочка кисты может самопроизвольно прорваться, и патологическое содержимое истечёт из неё, в таком случае самочувствие временно улучшится.
Осложнения кисты околоносовой пазухи
Осложнения, связанные с нагноением кист:
- гнойный риносинусит;
- флегмона орбиты — разлитое гнойное воспаление глазничной клетчатки с её расплавлением и омертвением;

Осложнения, связанные с увеличением размеров кисты:
- Блок соустья пазухи и прилегающих внутриносовых структур — развивается из-за скопления циркулирующей слизи в околоносовых пазухах. Проявляется болезненностью в области переносицы, угла глаза или лба.
- Деформация лицевого скелета — редкое осложнение, при котором лобный отросток верхней челюсти выпячивается, переносица и слёзная борозда уплощаются и смещается глазное яблоко.
- Компрессия орбиты — сдавливаются структуры внутри глазницы, из-за чего нарушается зрение.
Диагностика кисты околоносовой пазухи
Диагностика включает: эндоскопию, рентгенографию придаточных пазух носа, мультиспиральную и конусно-лучевую компьютерную томографию, магнитно-резонансную томографию.
Эндоскопия
Врач осматривает полость носа жёстким или гибким эндоскопом. Метод позволяет оценить состояние выводного соустья, а также наличие или отсутствие отделяемого из синусов. Визуализировать кисту можно, если есть фонтанелла — добавочное соустье или дополнительное отверстие на стенке верхнечелюстной пазухи [9] .

Рентгенография придаточных пазух носа
Скрининговый метод, позволяющий заподозрить кисту. Снимок делается в прямой проекции. Недостатки метода: невозможно посмотреть в проекциях сверху и сбоку, нет визуализации клиновидной пазухи, часто кисту ошибочно принимают за синусит.
Мультиспиральная компьютерная томография (МСКТ)
МСКТ — это метод лучевой диагностики, основанный на сканировании организма рентгеновскими лучами. Позволяет получить качественное трёхмерное изображение околоносовых пазух, полноценно изучить форму, плотность, размеры кисты и оценить её распространение в прилежащие структуры черепа [5] .
Конусно-лучевая компьютерная томография (КЛКТ)
КЛКТ — это современный рентгеновский метод исследования, разновидность компьютерной томографии. Он высоко информативен и применяется при диагностике в стоматологии, оториноларингологии и челюстно-лицевой хирургии. Позволяет выполнять точные измерения и визуализировать мельчайшие детали как костей, так и мягких тканей [4] .
Другие достоинства КЛКТ: лучевая нагрузка ниже, чем при КТ, нет наложения анатомических структур и искажения их размеров [4] [5] .

Магнитно-резонансная томография (МРТ)
МРТ проводится в двух режимах:
- Т1 — кисты дают средний либо слабый сигнал. Сила сигнала зависит от концентрации в них белка.
- Т2 — кисты дают очень интенсивный сигнал. Размеры кисты на изображении могут быть больше, чем на самом деле.
Вариабельность сигнала при МРТ не позволяет поставить окончательный диагноз. Чтобы уточнить или подтвердить его, после МРТ, как правило, проводится КЛКТ [16] .
Лечение кисты околоносовой пазухи
Лечение зависит от типа кисты, её расположения и размера. Если она меньше 1 см и нет выделений, то врач предлагает консервативные методы: регулярное обследование, таблетки, спреи и капли. Если киста больших размеров или есть гнойное отделяемое, то потребуется операция.
Медикаментозное лечение кист
Метод позволяет устранить неприятные симптомы и причины образования кисты: отёк, воспаление и блок соустья пазухи. Медикаментозное лечение эффективно и может облегчить состояние пациента на ранних стадиях заболевания. Однако оно не поможет, когда фиброзная оболочка кисты стала слишком плотной.
Применяются препараты:
- сосудосуживающие капли — быстро уменьшают отёк в области соустья и нормализуют вентиляцию пазух полости носа; лекарства этой группы вызывают зависимость, безопасно использовать их можно не более 5 дней подряд;
- антигистаминные средства — помогут, если киста вызвана аллергией;
- муколитики — нормализуют отток слизи;
- антисептики — помогают бороться с воспалением и очищают поверхность слизистой оболочки полости носа;
- топические глюкокортикостероиды — наиболее эффективны при лечении аллергической риносинусопатии, затяжных синуситов, гиперплазии слизистой оболочки в области соустья и остиомеатального комплекса;
- обезболивающие — уменьшают боль, возникшую из-за давления кисты на окружающие ткани [6] ;
- пробиотики — нормализуют микрофлору полости носа и носоглотки, что важно при лечении хронического воспаления верхних дыхательных путей.
- киста более 8 мм;
- неэффективность консервативного лечения;
- признаки нагноения внутри кисты [7] .
Самый популярный метод лечения кист — это прокалывание, или пункция. Хирург прокалывает стенку кисты тонкой иглой и откачивает гнойное отделяемое [1] . Однако этот метод имеет только временный эффект. Прокалывание кисты, как и самопроизвольное вытекание её содержимого, на некоторое время избавляет от боли. Но постепенно киста снова срастается и начинает накапливать гнойную жидкость. Чтобы удалить её полностью, потребуется более серьёзное хирургическое вмешательство [8] .
Гайморотомия по Колдуэллу — Люку
Проводится через разрез под верхней губой в полости рта. Это классический метод удаления кисты пазухи, однако сейчас он практически не используется из-за высокой травматичности: после операции могут формироваться рубцы, спайки и нарушаться работа пазух.

Микрогайморотомия
Малоинвазивная хирургическая методика, которая проводится через переднюю стенку гайморовой пазухи. В кости формируется отверстие 4-8 мм, и киста удаляется специальными инструментами. Выполняется под общим обезболиванием. Недостатком является риск повреждения ветвей тройничного нерва и формирование стойкой лицевой невралгии.
Функциональная эндоскопическая ринохирургия (Functional Endoscopic Sinus Surgery, FESS-хирургия)
Этот метод считается самым щадящим и эффективным: при процедуре не делаются ненужные надрезы и проколы на лице пациента. Выполняется через полость носа под контролем эндоскопа. Позволяет достигнуть всех околоносовых синусов, включая клиновидную, лобную пазухи и клетки решётчатого лабиринта. Операцию проводят под местной и общей анестезией [17] .

- можно применять для лечения детей;
- уменьшают вероятность рецидива кисты;
- в стационаре нужно находиться не более двух дней;
- разрез быстро заживает;
- операция не оставляет шрамов;
- нет риска, что появятся спайки [18] .
Относительные недостатки: требуются подготовленные специалисты и специальное оборудование, из-за чего операция стоит дорого.
Прогноз. Профилактика
Кисты околоносовых пазух возникают при длительном отёке слизистой оболочки полости носа и пазух. Причина этого — воспалительные и аллергические заболевания, поэтому прогноз зависит от их течения. Важно не допускать обострения болезни, которая привела к образованию кисты.
Если нормализовать функции носа, поддерживать адекватную вентиляцию околоносовых пазух и корректно провести операцию по удалению кисты, то прогноз благоприятный и риск рецидива крайне мал.
Чтобы предотвратить появление кист пазух, необходимо:
- своевременно лечить насморк и синусит;
- регулярно посещать стоматолога и вовремя лечить зубы;
- своевременно устранять аллергию и избегать аллергенов;
- проходить профилактические осмотры у оториноларинголога и аллерголога, соблюдать их рекомендации [6][8] .
При появлении боли и других симптомов кисты пазухи нужно немедленно обратиться к врачу.
Гидроцефалия у взрослых

Гидроцефалия у взрослых - патологическое состояние, которое характеризуется избыточным накоплением спинномозговой жидкости в ликворных пространствах головного мозга. Гидроцефалия бывает самостоятельным заболеванием или следствием разнообразных патологических процессов в головном мозге.
Длительно протекающая гидроцефалия может привести к инвалидности или летальному исходу. Эффективное лечение гидроцефалии у взрослых проводят неврологи Юсуповской больницы.
Гидроцефалия головного мозга у пожилых людей
Гидроцефалия у пожилых людей возникает при скоплении избыточного количества жидкости в головном мозге вследствие нарушения продукции или всасывания спинномозговой жидкости либо закупорки путей, по которым происходит отток ликвора. Избыточное количество цереброспинальной жидкости может придавливать ткани головного мозга к черепу, вызывая поражение мозговой ткани. В Юсуповской больнице профессора и врачи высшей категории устанавливают диагноз с помощью современных методов исследования. Неврологи выясняют причину и степень заболевания, применяют индивидуальные схемы лечения пациентов.
Вещество головного и спинного мозга постоянно омывается спинномозговой жидкостью. Она защищает мозг от повреждений и обеспечивает питательными веществами. Циркуляция ликвора осуществляется в субарахноидальном пространстве между мягкой и сосудистой оболочкой вдоль поверхности больших полушарий мозга и мозжечка. Под основанием головного мозга расположены цистерны, в которых скапливается цереброспинальная жидкость. Они соединяются с субарахноидальным пространством.
Ликвор сосредоточен в трёх желудочках головного мозга. Они сообщаются с четвёртым желудочком, который располагается между стволом мозга и мозжечком. Из четвёртого желудочка спинномозговая жидкость через два боковых отверстия поступает в спинномозговой канал и распространяется вниз до поясничного отдела. При блокировке путей оттока ликвора развивается гидроцефалия.
При наличии повышенного внутричерепного давления врачи Юсуповской больницы назначают пожилым людям диакарб, маннит и маннитол в сочетании с фуросемидом или лазиксом. Эти препараты обладают диуретическим эффектом, выводят избыточное количество жидкости из организма. Диакарб временно блокирует выработку ликвора. Для коррекции уровня калия в организме используют аспаркам или панангин. Питание мозговой ткани у пожилых пациентов улучшается после применения кавинтона, актовегина, церебролизина, семакса.
Нейрохирурги в клиниках-партнёрах Юсуповской больницы выполняют пожилым людям следующие эндоскопические операции:
- акведуктопластику;
- эндоскопическую вентрикулоцистерностомию дна третьего желудочка;
- удаление внутрижелудочковой опухоли мозга;
- септостомию;
- эндоскопическую установку системы шунтов.
После операции улучшается состояние пациентов, неврологические симптомы подвергаются обратному развитию. Пожилые люди с гидроцефалией восстанавливают способность к самообслуживанию, адаптируются к социальной жизни.

Гидроцефалия бывает врождённой и приобретенной.
В зависимости от механизма развития различают следующие виды гидроцефалии у взрослых:
- окклюзионная гидроцефалия у взрослых - развивается по причине нарушения тока спинномозговой жидкости из-за блока ликворопроводящих путей сгустком крови, частью опухоли или спайкой;
- открытая гидроцефалия - возникает вследствие нарушения всасывания в венозную систему головного мозга на уровне венозных синусов, пахионовых грануляций, арахноидальных ворсин, ячеек;
- гиперсекреторная гидроцефалия - развивается при избыточной продукции ликвора сосудистыми сплетениями желудочков.
Открытая гидроцефалия имеет название «сообщающаяся гидроцефалия головного мозга у взрослых». Заместительная гидроцефалия головного мозга у взрослых является одной из разновидностей заболевания. Она сопровождается постепенным уменьшением объёма вещества головного мозга и замещением спинномозговой жидкости.
Бывает гидроцефалия внутренняя и внешняя. Внутренняя гидроцефалия характеризуется чрезмерным содержание ликвора в желудочках. Для наружной гидроцефалии характерно избыточное содержание в субарахноидальном пространстве спинномозговой жидкости при одновременно нормальных показателях её содержания в желудочках.
В зависимости от уровня внутричерепного давления гидроцефалия у взрослых может быть:
- нормотензивной (ликворное давление нормальное);
- гипертензивной (давления спинномозговой жидкости повышено);
- гипотензивной (пониженное ликворное давление).
Острая гидроцефалия развивается в течение 3 суток, хроническая - от 3 недель до 6 месяцев и больше.
Гидроцефалия у взрослых развивается вследствие следующих причин:
- инфекционных заболеваний головного мозга и его оболочек (энцефалиты, менингиты, вентрикулиты);
- новообразований ствола головного мозга, околостволовых структур или желудочков мозга);
- сосудистой патологии головного мозга (субарахноидальное и внутрижелудочковое кровоизлияние в результате разрыва неправильного соединения артериовенозных сосудов или аневризм);
- энцефалопатии (токсические, алкогольные);
- пороков развития нервной системы;
- травм головного мозга и посттравматических состояний.
Атрофическая гидроцефалия развивается на фоне следующих заболеваний:
опухолей желудочков и вещества мозга
токсических и алкогольных энцефалопатий
инфекционных поражений мозга (вентрикулитов, энцефалитов, менингитов)
сосудистой мозговой патологии, в том числе разрыва аневризмы и внутрижелудочковых и субарахноидальных кровоизлияний головного мозга, возникших вследствие дефектов артериовенозных соединений
патологии развития нервной системы (синдром Денди-Уокера, стеноз сильвиевого водопровода)
посттравматических состояний и травм головного мозга
При атрофической энцефалопатии цереброспинальная жидкость заполняет пространство, образующееся внутри черепной коробки в результате уменьшения объема головного мозга. Атрофическая гидроцефалия головного мозга у лиц пожилого и старческого возраста может развиваться на фоне нарушения кровоснабжения головного мозга при артериальной гипертензии, атеросклерозе мозговых сосудов, диабетической ангиопатии.
Клиническая картина зависит от срока формирования гидроцефалии, механизма развития и уровня давления спинномозговой жидкости. При острой и подострой окклюзионной гидроцефалии пациенты предъявляют жалобы на головную боль, более выраженную в утренние часы (особенно после сна), которая сопровождается тошнотой и рвотой, приносящими облегчение. Возникает ощущение давления на глазные яблоки изнутри, появляется чувство «песка» в глазах и жжения. Боль носит распирающий характер. Возможно покраснение склер.
Если давление ликвора увеличивается, присоединяется сонливость. Это является плохим прогностическим признаком, так как свидетельствует о нарастании симптоматики и угрожает потерей сознания. Может ухудшаться зрение, появляться ощущение «тумана» перед глазами. На глазном дне офтальмологи выявляют застойные диски зрительных нервов. Если пациенту не будет оказана медицинская помощь, увеличится содержание ликвора и внутричерепного давления.
В дальнейшем развивается дислокационный синдром - состояние, угрожающее жизни пациента. При сдавлении среднего мозга происходит быстрое угнетение сознания вплоть до комы, развивается парез взора вверх, расходящееся косоглазие, угнетением рефлексов. Когда происходит компрессия продолговатого мозга, нарушается глотание, до потери сознания изменяется голос, угнетается дыхание и сердечная деятельность.
Сообщающаяся гидроцефалия головного мозга у взрослых чаще имеет хроническое течение. Заболевание развивается постепенно, через несколько месяцев после воздействия провоцирующего фактора. Вначале нарушается цикличность сна, появляется сонливость или бессонница. У пациентов ухудшается память, появляется быстрая утомляемость, вялость. По мере прогрессирования заболевания когнитивные нарушения усугубляются вплоть до деменции. Пациенты ведут себя неадекватно и теряют способность к самообслуживанию.
При хронической гидроцефалии у взрослых нарушается ходьба. Походка становится неустойчивой, замедленной. Затем присоединяется затруднение начала движения, неуверенность при стоянии. Пациент в положении сидя или лёжа может имитировать езду на велосипеде, ходьбу. В вертикальном положении эта способность мгновенно теряется. Походка становится «магнитной». Пациент как бы приклеен к полу, а, сдвинувшись с места, делает шаркающие мелкие шаги на широко расставленных ногах или топчется на месте. Определяется повышенный мышечный тонус. В запущенных случаях снижается мышечная сила, появляются парезы в нижних конечностях. Прогрессируют расстройства равновесия, вплоть до невозможности самостоятельно сидеть или стоять.
У пациентов с хронической гидроцефалией может учащаться мочеиспускание, особенно по ночам. Постепенно присоединяются повелительные позывы к мочеиспусканию, требующие немедленного опорожнения. Со временем развивается недержание мочи.

Умеренная наружная гидроцефалия у взрослого может быть первичным или вторичным заболеванием. Она развивается после инсульта, менингита, в результате артериальной гипертензии, онкологической патологии, нестабильности шейного отдела позвоночника, церебрального атеросклероза. Умеренная наружная гидроцефалия часто протекает бессимптомно и приводит к гипоксии мозга. У пациентов имеют место следующие признаки внешней гидроцефалии:
- головные боли, похожие на мигрень;
- быстрая утомляемость;
- тошнота и рвот;
- нарушение слуха и зрения.
Диагностика гидроцефалии у взрослых
Врачи Юсуповской больницы проводят диагностику гидроцефалии с помощью компьютерной и магнитно-резонансной томографии. Эти методы позволяют определить размеры и форму желудочков, цистерн мозга субарахноидального пространства. Если врачи клиники неврологии выявляют ранние признаки гидроцефалии на МРТ, они назначают медикаментозное лечение, позволяющее остановить прогрессирование болезни. Рентгенография цистерн основания мозга позволяет уточнить тип гидроцефалии и оценить направление тока ликвора.
Неврологи Юсуповской больницы применяют следующие методы диагностики атрофической гидроцефалии:
- магнитно-резонансную или компьютерную томографию, позволяющую определить размеры и форму цистерн мозга, желудочков и субарахноидального пространства;
- рентгенографию цистерн, при помощи которой уточняют тип гидроцефалии и определяют направление тока ликвора;
- диагностическую пробную спинномозговую пункцию со сбором 40-55 мл ликвора, сопровождающуюся кратковременным улучшением состояния пациента;
- ультразвуковое исследование сосудов головного мозга для определения состояния артериального и венозного кровотока.
После анализа результатов комплексного исследования назначают индивидуальное лечение. Тактику ведения пациентов с тяжёлой гидроцефалией вырабатывают на заседании экспертного совета с участием профессоров, врачей высшей категории. Нейрохирурги определяют показания к выполнению оперативного вмешательства.
Пробную диагностическую поясничную пункцию с выведением 30-50 мл ликвора проводят с целью диагностики заболевания. После процедуры временно улучшается состояние пациента вследствие восстановления кровоснабжения ишемизированных тканей мозга на фоне снижения внутричерепного давления. При острой гидроцефалии поясничную пункцию не выполняют в связи с высоким риском вклинения ствола головного мозга и развитием дислокационного синдрома.
Для уточнения диагноза неврологи Юсуповской больницы назначают краниографию, ультразвуковое исследование, ангиографию. Результаты обследования обсуждают на заседании экспертного совета, где вырабатывают тактику ведения пациента с гидроцефалией.
Остались вопросы? Мы вам перезвоним
Мы с радостью проконсультируем вас и ответим на все интересующие вопросы.
Лечение гидроцефалии у взрослого
Как лечить гидроцефалию головного мозга у взрослых? Начальные стадии гидроцефалии неврологи Юсуповской больницы лечат медикаментозно.
Медикаментозное лечение гидроцефалии у взрослых проводят с использованием следующих препаратов:
- снижающих внутричерепное давление и способствующих выведению избытка жидкости. К таким препаратам относят «Диакарб», «Маннитол» и «Маннит» в сочетании с «Лазиксом» и «Фуросемидом». В данном случае обязательно пациенту назначают препарат «Аспаркам», корректирующий уровень калия в организме.
- улучшающих питание тканей головного мозга. В эту группу входят «Кавинтон», «Глиатилин», «Кортексин», «Холин», «Актовегин», «Семакс» и др.
При острой гидроцефалии проводят трепанацию черепа и накладывают наружные дренажи, обеспечивающие отток избыточной жидкости. По дренажной системе вводят лекарственные препараты. Шунтирование головного мозга при гидроцефалии у взрослых - вид оперативного вмешательства, при помощи которого избыток спинномозговой жидкости выводят в естественные полости организма человека с помощью сложной системы катетеров и клапанов. В полостях ликвор беспрепятственно всасывается.
Нейрохирурги для лечения гидроцефалии у взрослых применяют малотравматичную нейроэндоскопическую методику - эндоскопическую вентрикулоцистерностомию дна третьего желудочка. В желудочки мозга вводят хирургический инструмент с камерой на конце. С камеры изображение передаётся на монитор, что позволяет точно контролировать все манипуляции. На дне третьего желудочка создают дополнительное отверстие, соединяющееся с цистернами основания мозга. Так восстанавливается физиологический отток ликвора между желудочками и цистернами.
Если у вас или близких есть признаки гидроцефалии, звоните по телефону Юсуповской больницы, где контакт-центр работает круглосуточно. Неврологи проведут обследование и после установки диагноза составят индивидуальную схему лечения. Персонал клиники неврологии внимательно относится к пожеланиям пациентов.

Сколько живут с данным диагнозом
Когда диагностирована гидроцефалия головного мозга у взрослого, продолжительности жизни зависит от нескольких факторов:
Читайте также:
