Опоясывающий лишай. Причины и механизмы развития
Добавил пользователь Евгений Кузнецов Обновлено: 11.12.2025
Назначают ацикловир внутрь 800 мг 5 раз в сутки в течение 7-10 дней.
При неэффективности ацикловира альтернативными средствами являются:
- Валацикловир 1000 мг 3 раза в сутки в течение 7 дней или,
- Фамцикловир 500 мг внутрь 3 раза в сутки в течение 7 дней.
При отсутствии эффекта в указанные сроки или рецидивировании заболевания необходимо продолжение противовирусной терапии до прекращения появления кожных высыпаний.
Лечение опоясыающего герпеса у детей
Ацикловир 20 мг/кг массы тела внутрь 4 раза в сутки в течение 5 дней.
Лечение пациентов с ослабленным иммунитетом (пациенты со злокачественными новообразованиями, реципиенты трансплантированных внутренних органов, ВИЧ- инфицированные пациенты)
Ацикловир 10 мг/кг массы тела внутривенно капельно 4 раза в сутки.
По достижении контроля над инфекцией внутривенное введение препарата может быть прекращено, а до окончания курса лечения (по поводу основного заболевания) противовирусный препарат может быть назначен перорально.
При небольшой степени иммуносупрессии целесообразно пероральное применение ацикловира (800 мг 5 раз в день), валацикловира (1000 мг 3 раза в день) или фамцикловира (500 мг 3 раза в день).
Лечение болевого синдрома при опоясывающем герпесе
Целесообразно поэтапное лечение зостер-ассоциированного болевого синдрома во всех его фазах. Так, при лечении острой герпетической невралгии противоболевая терапия состоит из трех основных этапов:
- 1-й этап: аспирин, парацетамол, НПВС;
- 2-й этап: опиоидные анальгетики, включая трамадол;
- 3-й этап: препараты с центральным анальгетическим действием (трехциклические атидепрессанты, антиконвульсанты).
Важным моментом является наблюдение за динамикой болевого синдрома в острой стадии, так как усиление болей со временем может указывать на прогрессирование инфекционного процесса.
Кортикостероиды
Добавление к противовирусным средствам глюкокортикостероидных препаратов в течение 3 недель в постепенно уменьшающейся дозировке (60 мг преднизолона ежедневно в течение 7 дней с последующим снижением дозы) приводит к сокращению острого болевого синдрома. Наиболее целесообразна комбинированная терапия при поражении ветвей тройничного нерва. Наряду с уменьшением острой боли у пациентов, получавших комбинированное лечение, наблюдалось улучшение сна, возвращение к повседневной нормальной активности и сокращение приема анальгетиков. При назначении глюкокортикостероидов необходимо учитывать противопоказания: артериальную гипертензию, сахарный диабет, язвенную болезнь желудка и двенадцатиперстной кишки, нередко наблюдаемые у лиц пожилого возраста.
Невральные блокады
Симпатические и эпидуральные блокады используются при крайне тяжелом болевом синдроме. Имеются единичные рандомизированные клинические испытания, показавшие эффективность однократного эпидурального введения стероидов и местных анестетиков в плане облегчения острой боли. Терапия с применением многократных эпидуральных инъекций анестетика и метилпреднизолона без противовирусного лечения при опоясывающем герпесе давала снижение частоты постгерпетической невралгии по сравнению с внутривенным введением ацикловира и преднизолона. Эти данные позволяют полагать, что «агрессивное» обезболивание является вполне эффективным при опоясывающем герпесе.
Лечение постгерпетической невралгии
В настоящее время для лечения постгерпетической невралгии выделяют 5 основных групп лечебных средств: антиконвульсанты, трициклические антидепрессанты, пластырь с лидокаином, капсаицин, опиоидные анальгетики.
Антиконвульсанты
Габапентин и прегабалин — два наиболее часто используемых для купирования невропатической боли, связанной с ПГН, антиконвульсанта. Схема применения габапентина. Начальная доза: 1-й день 300 мг вечером; 2-й день по 300 мг 2 раза (днем и вечером); 3-й день по 300 мг 3 раза. Титрование: 4-6-й день 300-300-600 мг; 7-10-й день 300-600-600 мг; 11-14-й день 600-600-600 мг. Суточная терапевтическая доза 1800-3600 мг, поддерживающая доза 600—1200 мг/сут. Прегабалин обладает с габапентином сходным механизмом действия, однако не требует медленного титрования и поэтому более удобен при клиническом применении. Препарат назначают два раза в сутки. Начальная доза — 75 мг два раза, суточная терапевтическая доза 300-600 мг.
Антидепрессанты
Препараты этой группы, особенно трициклические (нортриптилин и амитриптилин), являются важными компонентами в лечении боли при ПГН. Благодаря активации нисходящих серотонин- и норадреналинергических антиноцицептивных систем и способности блокировать натриевые каналы антидепрессанты блокируют восприятие боли.
Пластырь с 5% лидокаином
Апплицируется на зону воздействия в начале хронизации боли или сразу после установления диагноза ПГН. Пластырь накладывают на интактную, сухую, невоспаленную кожу, т. е. во время активных герпетических высыпаний.
Капсаицин
Препарат, изготовляемый из красного перца, оказывает раздражающее действие и используется в виде мази или пластыря. Препарат должен наноситься на область поражения 3—5 раз в день для поддержания длительного эффекта.
Опиоидные анальгетики
Оксикодон, метадон, морфий также могут использоваться в лечении ПГН. Они уменьшают невропатическую боль благодаря связыванию опиоидных рецепторов в ЦНС либо ингибированию обратного захвата серотонина или норадреналина в периферических нервных окончаниях — нервных синапсах.
Наружное лечение
На эрозии наносят водные растворы красителей, мази, кремы и аэрозоли, содержащие противовирусные средства (пенцикловир, ацикловир, оксолин, панавир и др.).
Материал подготовил: Раводин Роман Анатольевич , дерматовенеролог, дерматоонколог, дерматокосметолог. Доктор медицинских наук, доцент
Опоясывающий герпес (опоясывающий лишай) - симптомы и лечение
Что такое опоясывающий герпес (опоясывающий лишай)? Причины возникновения, диагностику и методы лечения разберем в статье доктора Александрова Павла Андреевича, инфекциониста со стажем в 14 лет.
Над статьей доктора Александрова Павла Андреевича работали литературный редактор Маргарита Тихонова , научный редактор Сергей Федосов
Определение болезни. Причины заболевания
Опоясывающий герпес (опоясывающий лишай) — это инфекционное заболевание, которое возникает у людей, переболевших ветряной оспой. Его вызывает вирус Varicella zoster (вирус ветряной оспы), который активизируется из латентного состояния и поражает задние корешки спинного мозга, межпозвоночные нервные узлы (ганглии) и кожу.
Клинически характеризуется умеренно выраженным синдромом общей инфекционной интоксикации, везикулёзной сыпью по ходу чувствительных нервов, вовлечённых в процесс, и выраженными болями.

Этиология
Семейство — Herpesviridae (от греч. herpes — ползучий)
Вид — вирус герпеса 3 типа — Varicella zoster (VZV, HHV-3).
Varicella zoster — ДНК-содержащий клеточно-ассоциированный вирус овальной формы. В диаметре он достигает 120-179 нм. Покрыт липидной оболочкой с гликопротеиновыми шипиками. Имеет антигены как снаружи, так и внутри (сердцевинные антигены). Их количество и качество непостоянно. Других вариантов патогена не найдено.

После того, как человек перенёс ветряную оспу, вирус ретроградным обратным путём перемещается по отросткам нервных клеток (аксонам) к ганглиям. Там он пожизненно сохраняется в латентном состоянии. Антигены вируса на поверхности инфицированных нейронов отсутствуют. Это не позволяет иммунной системе распознать данные клетки.
Для животных непатогенен. Очень неустойчив во внешней среде, изменяется при нагревании. Солнечная радиация, свежий воздух при проветривании, стандартные дезинфицирующие средства и жирорастворители убивают вирус почти мгновенно [1] [2] [5] [7] [9] [10] .
Эпидемиология
Заболеванию подвержены люди, которые перенесли ветряную оспу (как правило, давно) при снижении иммунореактивности организма. К ним относятся пожилые, беременные, ВИЧ-инфицированные, люди после стресса или трансплантации органов — получающие иммуносупрессивную терапию (подавление нежелательных реакций иммунной системы) и другие иммунодепрессированные контингенты.
Так как заболевание развивается из-за реактивации вируса, уже находящегося в организме, опоясывающий герпес называют эндогенной болезнью.
Заболевание не носит массовый характер. У него нет чёткой сезонности. Чуть чаще болеют женщины и представители белой расы.
Люди с опоясывающим герпесом являются источником распространения вируса и могут быть опасны в плане заражения ветряной оспой у ранее не болевших людей, особенно детей.
В среднем заболеваемость находится на уровне 10-12 случаев на 1000 человек старше 60 лет. В последнее десятилетие наблюдается рост заболеваемости в более младших возрастных группах.
У ВИЧ-инфицированных опоясывающий герпес — достаточно частое проявление при снижении уровня СД4 (белых кровяных телец) ниже 0,5 на 10 9 /л. При отсутствии прогрессирующей иммуносупрессии повторные рецидивы наблюдаются редко (не более 5 % случаев) [1] [3] [5] [7] [10] .
При обнаружении схожих симптомов проконсультируйтесь у врача. Не занимайтесь самолечением - это опасно для вашего здоровья!
Симптомы опоясывающего герпеса
Инкубационный период в привычном понимании отсутствует, так как опоясывающий герпес — это не первичная инфекция. Может пройти вся жизнь, а манифестация так и наступит, хотя вирус в организме присутствует.
Предугадать развитие болезни сложно. Её начало и проявления широко различаются и зависят от степени тяжести. Заболеванию может предшествовать стресс, травма или ОРЗ.
Выделяют симптоматику отдельных форм опоясывающего лишая.
Ганглиокожная форма
Эта форма начинается с продромы — лёгкое недомогание, нарушения чувствительности, умеренные болевые ощущения в местах будущих высыпаний. Этот период длится до семи дней. Затем боли становятся выраженными, появляется лихорадка, умеренно выраженный синдром общей инфекционной интоксикации. Иногда боли усиливаются даже при дуновении ветра (т.н. аллодинические боли — от неболевых раздражителей).
Через 3-10 дней в этих местах на фоне покраснения появляется везикулёзная сыпь. При этом интенсивность боли обычно снижается. Сыпь возникает с одной стороны, ограниченная областью иннервации одного сенсорного ганглия. Везикулы имеют тенденцию к группировке.

В дальнейшем содержимое везикул мутнеет, иногда вскрывается. Через 4-5 дней от появления сыпи появляются корочки. Они исчезают на 2-4 неделе болезни.

Разрешаются в ысыпания бесследно, но только при отсутствии расчёсов и глубоких воспалительных повреждений. А вот болевые феномены могут сохраняться длительно, иногда до года. Это требует своевременной противовирусной терапии и купирования боли.
В целом боли при опоясывающем герпесе достаточно выраженные, усиливаются при движении, прикосновении (даже незначительном). Их можно расценить как острые (с продромы и до одного месяца), подострые (1-4 месяца) и хронические (более 4 месяцев - постгерпетическая невралгия - типичная нейропатическая боль). Характер болей может быть различным - постоянным и спонтанным, чаще жгучим, давящим. Иногда боли сравнивают с ударом тока. Они могут причинять значительные физические страдания больным, нарушать сон, изматывать пациента.
Локализация болей и сыпи соответствует проекции поражённых нервов.

Глазная форма
Высыпания появляются на лице, носе и глазах. Это связано с поражением тройничного нерва и гассерова узла. Сыпь распространяется от уровня глаза до теменной области, резко прерывается по срединной линии лба. Иногда процесс затрагивает глаз.

Ушная форма
Поражается коленчатый узел. При этом захватывается ушная раковина, наружный слуховой проход. Может возникнуть паралич лицевого нерва и лицевой мускулатуры — т.н. синдром Ханта. Теряется вкусовая чувствительность.

Гангренозная (некротическая) форма
Возникает глубокое поражение кожи. Формируются грубые рубцы, иногда с геморрагическим пропитыванием содержимого — геморрагическая форма. Чаще всего развивается у пожилых людей с отягощённым соматическим анамнезом — сахарным диабетом, язвенной болезнью и т. д.

Менингоэнцефалитическая форма
Чаще наблюдается при расположении сыпи на голове. Повышается температура, возникают головные боли, тошнота и рвота, не приносящая облегчения, менингеальный синдром, нарушения сознания, кома. Летальность при этом состоянии — свыше 60 %.
Диссеминированная форма
Возникает при СПИДе. Высыпания распространяются по всему кожному покрову. Часто при этом поражаются внутренние органы — лёгкие, мозг, печень, почки. Прогноз неблагоприятный.
Ганглионевралгическая форма
Характерные высыпания отсутствуют, но есть явный болевой синдром. Диагностика крайне затруднительна. Из-за очень позднего диагноза лечение сводиться лишь к купированию боли. Применение противовирусных препаратов в отсроченный период явно не влияет на процесс.
Опоясывающий герпес при беременности
У беременных опоясывающий герпес (при отсутствии ВИЧ) обычно не имеет каких-либо отличий. Он не влияет на течение беременности и не вызывает поражения плода/ребёнка [2] [3] [6] [8] [10] .
Патогенез опоясывающего герпеса
Даже спустя много лет после перенесённой ветряной оспы вирус сохраняется в межпозвоночных нервных узлах и задних корешках спинного мозга. Под воздействием провоцирующего фактора (ВИЧ, стресса, приёма иммунодепрессантов, онкологии, радиации, пересадки органов и других) он активизируется и выходит из нервных клеток. Продвигаясь по аксонам чувствительных нервных стволов (чаще межрёберных, тройничного нерва) до кожного покрова, вызывает характерное поражение кожи — болезненную везикулёзную сыпь.
Такой процесс происходит у людей с наличием специфических антител класса G в низких концентрациях и сниженным уровнем клеточного иммунитета.

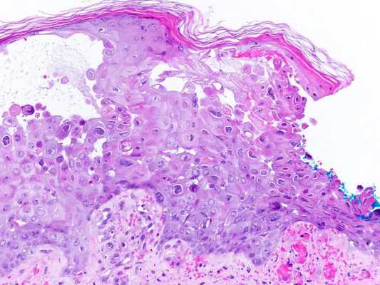
Патоморфологические изменения кожи напоминают изменения при простом герпесе:
- возникает внутриклеточный и межклеточный отёк эпидермиса;
- в верхних отделах росткового слоя образуются пузырьки;
- происходит баллонирующая дегенерация и дистрофия цитоплазмы — клетки шиповатого слоя округляются, увеличиваются и отделяются друг от друга и разрушаются;
- появляются гигантские клетки, которые содержат несколько ядер, в том числе с эозинофильными включениями.

В патогенезе болезни ведущими являются не эпителиотропные свойства вируса, а нейротропные. Из-за часто повторяющихся болевых стимулов, частичного повреждения миелиновой оболочки, покрывающей аксоны и нейроны, и участков чувствительных нервов вирус повышает чувствительность ноцицепторов центральной нервной системы [1] [2] [5] [7] [10] .
Классификация и стадии развития опоясывающего герпеса
МКБ-10 (Международная классификация болезней) выделяет семь вариантов опоясывающего герпеса (B02):
- B02.0 — опоясывающий лишай с энцефалитом;
- B02.1 — опоясывающий лишай с менингитом;
- B02.2 — опоясывающий лишай с другими осложнениями со стороны нервной системы: постгерпетический ганглионит узла коленца лицевого нерва, полиневропатия, невралгия тройничного нерва;
- B02.3 — опоясывающий лишай с глазными осложнениями: блефарит, конъюнктивит, иридоциклит, ирит, кератит, кератоконъюнктивит, склерит;
- B02.7 — диссеминированный опоясывающий лишай;
- B02.8 — опоясывающий лишай с другими осложнениями;
- В02.9 — опоясывающий лишай без осложнений.
По клинической картине выделяют две основные формы заболевания:
- Типичная (без осложнений и с осложнениями):
- эритематозная — покраснения;
- везикулёзная — покраснение с образованием везикул (пузырьков);
- пустулёзная — покраснение, везикулы, нагноение пузырьков;
- буллёзная — тяжело протекающая форма с появлением на коже пузырей, наполненных экссудатом, впоследствии нередко нагнаивающихся.
- Атипичная (без осложнений, с осложнениями):
- абортивная — наблюдается лишь гиперемия, иногда возникают папулы, но без везикул, т. е. без пузырьков;
- геморрагическая — содержимое везикул пропитывается кровью;
- гангренозная — с некрозом тканей;
- генерализованная — обширные высыпания, поражающие несколько участков кожи;
- диссеминированная (в т. ч. у ВИЧ-инфицированных) — обширные высыпания с поражениями внутренних органов; крайне неблагоприятный прогноз;
- опоясывающий герпес с поражением органа зрения (офтальмогерпес с развитием кератита, эписклерита, иридоциклита) и неврита зрительного нерва;
- опоясывающий герпес с поражением слизистой полости рта, глотки, гортани, ушной раковины и слухового прохода.
По степени тяжести заболевание может быть:
- лёгким;
- среднетяжёлым;
- тяжёлым (с осложнениями) [1][2][10]
Осложнения опоясывающего герпеса
- Поперечный миелит — острое воспаление серого и белого вещества одного или нескольких прилегающих сегментов спинного мозга. Возникают головные, шейные и спинные боли. Затем добавляется чувство слабости, опоясывающей скованности груди и живота — двигательные параличи, задержка мочи и кала. Для диагностики проводится МРТ и анализы ликвора.
- Менингоэнцефалит — резкое повышение температуры, сильная головная боль, тошнота, рвота, менингеальный симптомы, нарушение сознания. Диагностируется с помощью МРТ и анализов ликвора. Прогноз неблагоприятный.
- Офтальмогерпес — покраснение, нарушение зрения, боль в глазу. В итоге приводит к глаукоме и слепоте.
- Отит — боли в ухе, повышение температуры тела, выделения из уха, нарушения слуха. Может привести к глухоте.
- Ганглионеврит — воспаление нервного ганглия с относящимися к нему нервными стволами. Сопровождается выраженными стреляющими, жгучими болезненными ощущениями, которые возникают из-за малейших воздействий на поражённый очаг. Возникает в основном у пожилых больных при отсутствии своевременного лечения.
- Бактериальная суперинфекция — нагноение участков высыпаний.

- Диссеминация у больных СПИДом — распространение вируса. Приводит к бронхиту, эзофагиту, гастриту, колиту, циститу, миозиту, перикардиту, плевриту, перитониту, пневмонии, гепатиту, миокардиту и артриту[1][4][9][10] .
Диагностика опоясывающего герпеса
Лабораторная диагностика:
- Клинический анализ крови: нормоцитоз (нормальные размеры эритроцитов) или лейкопения (сниженное количество лимфоцитов). При присоединении вторичной флоры возможен нейтрофильный лейкоцитоз — чрезмерно повышенный уровень нейтрофилов. СОЭ в норме или повышена.
- Биохимический анализ крови: как правило, без существенных отклонений, зависит от распространённости процесса и наличия сопутствующих заболеваний.
- ИФА-диагностика крови: выявление повышенного титра IgG антител как маркера инфицирования вирусом, нарастание титра в 4 раза, иногда появление IgM к вирусу ветряной оспы.
- ПЦР биологического материала (отделяемого высыпаний, ликвора, крови): выявление ДНК вируса.
- Экспресс-методы — изучение под микроскопом мазков-отпечатков из высыпаний: обнаруживаются гигантские многоядерные клетки — симпласты — с внутриядерными включениями и специфические антигены с моноклональными антителами. Проводится в основном в научных целях.
- Общий анализ мочи неинформативен [1][2][5][7][9][10] .
Дифференциальная диагностика:
- везикулёзный осповидный риккетсиоз — пребывание на очаговой территории, факт укусу клеща, первичный аффект, панваскулит (воспаление стенок сосуда), генерализованная лимфаденопатия;
- инфекция простого герпеса — одиночные пузырьки, чаще в области губ и половых органов, отсутствие явных болей; — контакт с больным ветряной оспой или опоясывающим герпесом, отсутствие ветряной оспы в прошлом, единичные несливающиеся везикулы по всему телу, отсутствие болей в местах высыпаний;
- энтеровирусная инфекция — теплое время года, преимущественное поражение кистей и стоп, в основном папулёзные элементы сыпи, часто в совокупности с синдромом поражение ЖКТ;
- укусы блох и клопов — яркая зудящая сыпь — папулы, гиперемия в местах укусов — первичные аффекты, наличие элементов в основном на открытых участках кожи;
- болевая форма терапевтических заболеваний до характерных высыпаний — стенокардия, инфаркт, печёночная и почечная колики — заключение делается на основании характерных изменений биохимии, УЗИ и ЭКГ;
- рожистое воспаление — отсутствие везикул, характерный вид пламени [1][3][4][10] .
Лечение опоясывающего герпеса
Пациентов с тяжёлыми формами опоясывающего герпеса необходимо госпитализировать в инфекционный стационар. Остальные больные при отсутствии серьёзных сопутствующих состояний могут лечиться на дому.
В первую очередь показан приём препаратов прямого противогерпетического действия (на основе ацикловира) в высоких дозировках. Он снижает выраженность и длительность инфекционного и постинфекционного (болевой синдром) процесса.
Начать такое лечение нужно как можно раньше — не позднее семи дней от начала болезни и трёх дней от появления сыпи.
При применении препаратов в более поздние сроки их эффективность резко снижается, так как вирус уже достиг пика своего развития и вызвал каскад иммунонейропатологических реакций.
Использование местных средств против герпеса — мазей и кремов — оказывает слабый терапевтический эффект.
Для подсушивающего, местного антисептического действия используют любой местный антисептик подобного рода — цинковые болтушки, растворы бриллиантового зелёного.
При обширных поражениях, сопровождающихся выраженной воспалительной реакцией, используются противовоспалительные средства, глюкокортикостероиды и противоаллергические препараты.
При выраженных болях (ганглионевритах) стандартные противоболевые средства (НПВС) малоэффективны, поэтому предпочтение следует отдавать антиконвульсантам центрального действия и антидепрессантам. Физиотерапия ослабляет болевые ощущения. Приём витаминов, БАДов и т. п. явного значения не имеет [1] [2] [3] [8] [10] .
Прогноз. Профилактика
При неосложнённых и локализованных формах болезни прогноз благоприятный. При развитии ганглионевритических болей может существенно снизиться качество жизни на достаточно длительный срок (до года), а при менингоэнцефалитической и диссеминированной формах — на ещё более серьёзный срок, нередки летальные исходы.
Профилактика болезни в очаге заражения не проводится. Если опоясывающим герпесом болел ВИЧ-инфицированный пациент, то достаточно проветрить помещение.
В целях неспецифической профилактики опоясывающего герпеса нужно постараться вести здоровый образ жизни, сбалансировано и полноценно питаться, избегать стрессовых ситуаций.
В качестве специфической профилактики используются вакцины против ветряной оспы — "Варилрикс" и "Окавакс". Их можно делать как до болезни ветряной оспы (детям и неболевшим взрослым), так и после (пожилым людям с риском реактивации вируса).
Опоясывающий лишай (герпес Зостер). Проявления в полости рта
Рекомендовано
Экспертным советом
РГП на ПХВ «Республиканский центр
развития здравоохранения»
Министерства здравоохранения
и социального развития
Республики Казахстан
от «15» октября 2015 года
Протокол № 12
Название протокола: Опоясывающий лишай (герпес Зостер).
Опоясывающий лишай - инфекционное заболеваний вызываемое нейротропным вирусом (вирус Зостер) семейства герпес [7].
Код протокола:
Код (коды) по МКБ-10:
B 02 опоясывающий лишай (Herpes zoster)
Сокращения, используемые в протоколе:
ПЦР - полимеразная цепная реакция
ДНК - дезоксирибонуклеиновая кислота
Дата разработки/пересмотра протокола: 2015 год
Категория пациентов: взрослые.
Пользователи протокола: дерматолог, инфекционист, невропатолог, врач-стоматолог общей практики, терапевт, врач общей практики.
Оценка на степень доказательности приводимых рекомендаций.
Таблица - 1 Шкала уровня доказательности:
| А | Высококачественный мета-анализ, систематический обзор РКИ или крупное РКИ с очень низкой вероятностью (++) систематической ошибки результаты которых могут быть распространены на соответствующую популяцию. |
| В | Высококачественный (++) систематический обзор когортных или исследований случай-контроль или Высококачественное (++) когортных или исследований случай-контроль с очень низким риском систематической ошибки или РКИ с не высоким (+) риском систематической ошибки, результаты которых могут быть распространены на соответствующую популяцию. |
| С | Когортное или исследование случай-контроль или контролируемое исследование без рандомизации с не высоким риском систематической ошибки (+). Результаты, которых могут быть распространены на соответствующую популяцию или РКИ с очень низким или невысоким риском систематической ошибки (++ или +), результаты которых не могут быть непосредственно распространены на соответствующую популяцию. |
| D | Описание серии случаев или неконтролируемое исследование или мнение экспертов. |
| GPP | Наилучшая фармацевтическая практика. |

Автоматизация клиники: быстро и недорого!
- Подключено 300 клиник из 4 стран
- 800 RUB / 4500 KZT / 27 BYN - 1 рабочее место в месяц

Автоматизация клиники: быстро и недорого!
- Подключено 300 клиник из 4 стран
- 1 место - 800 RUB / 4500 KZT / 27 BYN в месяц
Мне интересно! Свяжитесь со мной
Классификация
Клиническая классификация: [7]
В 02.2 Опоясывающий лишай с другими осложнениями со стороны нервной системы.
В 02.20 Постгерпетическая невралгия тройничного нерва
В 02.21 Постгерпетическая невралгия других черепных нервов
В 02.8 Опоясывающий лишай с другими осложнениями
В 02.8Х Проявления в полости рта
В 02.9 Опоясывающий лишай без осложнений
Клиническая картина
Cимптомы, течение
Диагностические критерии постановки диагноза [2,3,4,5,6,7,10,11]
Жалобы и анамнез: [2,3,4,5,6,7,10,11]
Анамнез:
В анамнезе ветряная оспа, контакт с инфицированным лицом или снижение иммунитета организма, наличие стресса, обострение соматического заболевания.
Физикальное обследование: [2,3,4,5,6,7,10,11]
На слизистой оболочке полости рта и коже пораженной стороны появляются везикулы диаметром от 1 до 6 мм, которые быстро лопаются, образуя единичные или сливные эрозии, покрытые фибринозным налетом. Отмечается регионарный лимфаденит. На коже пузырьки образуют корочки, после их отпадения остается пигментация кожи. Реже пузырьки могут иметь геморрагическое содержимое (геморрагическая форма) или некротизируются (гангренозная форма).
Диагностика
Перечень диагностических мероприятий:
Основные (обязательные) диагностические обследования, проводимые на амбулаторном уровне:
1. Сбор жалоб и анамнеза.
2. Визуальный осмотр слизистой полости рта и кожных покровов.
Дополнительные диагностические обследования, проводимые на амбулаторном уровне:
1. Цитологическое исследование.
2. Обнаружение вируса герпеса 3 типа (ВПГ-III) в биологическом материале методом ПЦР.
Минимальный перечень обследования, который необходимо провести при направлении на плановую госпитализацию: нет
Основные (обязательные) и дополнительные диагностические обследования, проводимые на стационарном уровне (при экстренней госпитализации проводятся диагностические обследования не проведенные на амбулаторном уровне): нет
Диагностические мероприятия, проводимые на этапе скорой неотложной помощи: нет
Инструментальные исследования: нет.
Показания для консультации специалистов:
· консультация невропатолога - для комплексного лечения
· консультация дерматолога - для исключения кандидоза другой локализации
· консультация терапевта, врача общей практики - для выявления соматической патологии.
Лабораторная диагностика
Лабораторные исследования: [7,10]
· цитологическое - многоядерные гигантские клетки.
обнаружение вируса герпеса 3 типа (ВПГ-III) в биологическом материале методом ПЦР - обнаружение ДНК вируса Зостер.
Дифференциальный диагноз
Дифференциальный диагноз:
Таблица - 2. Дифференциальная диагностика
| Нозологическая форма | Опоясывающий лишай | Простой герпес полости рта | Невралгия ветвей тройничного нерва | Рожистое воспаление | Экзема |
| Жалобы | наличие односторонних высыпаний по невральным сегментам, подъем температуры 40° | Наличие везикулярных высыпаний в полости рта, подъем температуры до 39° | Наличие болей по ходу тройничного нерва, наличие «триггерной зоны» | Наличие гиперемии кожи на ограниченном участке | Наличие элемента поражения связано с воздействием аллергена |
| Объективные данные | односторонняя везикулярная сыпь по ходу невральных сегментов в виде «гроздьев винограда», «гирлянд» | одиночные или множественные везикулярные высыпания в полости рта, быстро вскрывающиеся с образованием эрозий и афт, явления катарального и язвенно-некротического гингивита | изменений на коже и в полости рта нет, имеется снижение чувствительности, наличие болезненности при пальпации мест выхода ветвей тройничного нерва, «триггерные (курковые) зоны» | поражение с типичной локализацией на лице или нижних конечностях, увеличение лимфоузлов, типичные красные и болезненные пятна с неровными краями, похожими на пламя, при покое боли исчезают. | острая воспалительная отечная эритема с последующим высыпанием группы быстро вскрывающихся микровезикул, на месте которых обнажаются точечные эрозии - так «серозные колодцы», из глубины которых выделяется серозный экссудат, образуя обильно мокнущую поверхность, постепенно серозная жидкость подсыхает, образуя серовато-жёлтые корки |
| Дополнительные методы исследования | Цитологически гигантские многоядерные клетки, ПЦР - ДНК вируса Зостер | Цитологически гигантские многоядерные клетки, ПЦР - ДНК вируса герпеса простого | Не требуется | Лабораторные методы исследования не имеют самостоятельного значения | Общий клинический анализ крови - повышение количества эозинофилов (норма 0-5). |
Лечение
ликвидация воспалительного процесса и увеличение периода ремиссии.
Тактика лечения: [4,5,7,8,9,10,12] лечение проводится на амбулаторном уровне.
Объем лечебных мероприятий определяется формой болезни, размером очага, быстротой развития процесса.
Немедикаментозное лечение: [4,5,7,10] Режим III. Стол №15.
Медикаментозное лечение: [4,5,7,8,9,10,12]
Медикаментозное лечение, оказываемое на амбулаторном уровне:
Местная медикаментозная терапия:
Обезболивающие препараты:
1. Лидокаина гидрохлорид, 1% для аппликаций на слизистую полости рта перед приемом пищи до стихания болевых ощущений.
При непереносимости:
2. Прокаин, 5мг/мл, 0,5%, для аппликаций на слизистую полости рта, с целью обезболивания перед приемом пищи и обработкой элементов поражения до стихания болевых ощущений.
Антисептики:
3. Хлоргексидина биглюконат, 0,05%, для обработки полости рта 3 раза в день в течение 10 дней.
Противовирусные препараты (выбрать один из них):
4. Ацикловир, 5%, для аппликаций на слизистую оболочку 3-4 раза в день в течение 7-14 дней в зависимости от степени тяжести.
5. Пенцикловир, 1%, для аппликаций на пораженный участок каждые 2 ч (примерно 8 раз/сут), курс в течение 4 дней Интерферон, 2 мл, растворить в 2 мл теплой воды в виде аппликаций 5-6 раз в день в течение 7-14 дней в зависимости от степени тяжести.
Эпителизирующие препараты:
6. Токоферола ацетат, 30%, в виде аппликаций на слизистую полости рта, 3 раза в день до полной эпителизации элементов поражения.
Общая медикаментозная терапия:
Нестероидные противовоспалительные препараты (выбрать один из них):
1. Парацетамол, 500мг, перорально, 1таблетка 3 раз в сутки, максимально до 5-7 дней.
2. Ибупрофен, 200мг, 1 таблетка 3 раза в сутки, максимальная суточная доза 2,4г, максимально не более 5 дней.
Противовирусные препараты (выбрать один из них):
3. Ацикловир, 200мг, перорально, 1 таблетка 5 раз в день в течение 7-14 дней в зависимости от степени тяжести.
Другие виды лечения: нет.
Хирургическое вмешательство: нет.
Индикаторы эффективности лечения:
удовлетворительное состояние, стойкая ремиссия.
Препараты (действующие вещества), применяющиеся при лечении
| Ацикловир (Acyclovir) |
| Ибупрофен (Ibuprofen) |
| Лидокаин (Lidocaine) |
| Парацетамол (Paracetamol) |
| Пенцикловир (Penciclovir) |
| Прокаин (Procaine) |
| Токоферол (Tocopherol) |
| Хлоргексидин (Chlorhexidine) |
Госпитализация
Показания для госпитализации с указанием типа госпитализации:
Показания для плановой госпитализации: нет.
Показания для экстренной госпитализации: тяжелое течение с риском развития энцефалита, менингита.
Профилактика
Профилактические мероприятия:
· устранение контакта с этиологическим фактором;
· общее оздоровление организма;
· диспансерное наблюдение;
Дальнейшее ведение: диспансерное наблюдение два раза в год.
Информация
Источники и литература
- Протоколы заседаний Экспертного совета РЦРЗ МЗСР РК, 2015
- Список использованной литературы: 1. Приказ МЗ РК №473 от 10.10.2006г. «Об утверждении Инструкции по разработке и совершенствованию клинических руководств и протоколов диагностики и лечения заболеваний». 2. Анисимова И.В., Недосеко В.Б., Ломиашвили Л.М. Заболевания слизистой оболочки рта и губ. - 2005. - 92 с. 3. Диагностика в терапевтической стоматологии: Учебное пособие / Т.Л.Рединова, Н.Р.Дмитракова, А.С.Япеев и др. - Ростов н/Д.: Феникс, 2006. -144с. 4. Заболевания слизистой оболочки полости рта и губ / Под ред. Проф.Е.В.Боровского, проф.А.Л.Машкиллейсона. - М.:МЕДпресс, 2001. -320с. 5. Зазулевская Л.Я. Болезни слизистой оболочки полости рта. Учебник для студентов и практических врачей. - Алматы, 2010. - 297 с. 6. Лангле Р.П., Миллер К.С. Атлас заболеваний полости рта: Атлас / Перевод с английского под ред. Л.А.Дмитриевой. -М.: ГЭОТАР-Медиа, 2008. -224с. 7. Терапевтическая стоматология. Национальное руководство. Москва, Гэотар-Медиа, 2009, 908с. 8. Hügler P , Siebrecht P , Hoffmann K , Stücker M , Windeler J , Altmeyer P and Laubenthal H. Prevention of postherpetic neuralgia with varicella-zoster hyperimmune globulin.- European journal of pain (London, England), 2002, 6(6), 435 9. Gopal MG , Shannoma , Sharath Kumar BC , Ramesh M , Nandini AS and Manjunath NC. A Comparative study to evaluate the efficacy and safety of acyclovir and famciclovir in the management of herpes zoster.- Journal of Clinical and Diagnostic Research, 2013, 7(12), 2904 10. Laskaris G. Treatment of Oral Diseases. A Concise Textbook.- Thieme, Stuttgart/New York, 2006, p.300 11. Laskaris G. Color Atlas of Oral Diseases, 3rd edition.- Stuttgart: ThiemeVergal, 2003 12. Pan B-C , Hou X-W and Li X-P. Curative effect of recombinant human interferon alpha2b gel combined with aciclovir on herpes zoster.- Chinese Journal of Biologicals, 2008, 21(8), 711
Информация
Список разработчиков протокола с указание квалификационных данных:
1. Есембаева Сауле Сериковна - доктор медицинских наук, профессор, директор Института стоматологии Казахского Национального медицинского университета им.С.Д.Асфендиярова;
2. Баяхметова Алия Алдашевна - доктор медицинских наук, профессор, заведующая кафедры терапевтической стоматологии Казахского Национального медицинского университета им.С.Д.Асфендиярова;
3. Сухочева Татьяна Михайловна - кандидат медицинских наук, ассистент кафедры терапевтической стоматологии Казахского Национального медицинского университета им.С.Д.Асфендиярова;
4. Тулеутаева Светлана Толеуовна - кандидат медицинских наук, зав.кафедры стоматологии детского возраста с курсом хирургической стоматологии Карагандинского государственного медицинского университета;
5. Манекеева Замира Тауасаровна - врач стоматолог Института стоматологии Казахского Национального медицинского университета им.С.Д.Асфендиярова.
6. Тулеутаева Райхан Есенжановна - кандидат медицинских наук, доцент кафедры фармакологии и доказательной медицины Государственного медицинского университета г.Семей .Указание на отсутствие конфликта интересов: нет
Рецензенты:
1. Жаналина Бахыт Секербековна - доктор медицинских наук, профессор РГП на ПХВ Западно-Казахстанский государственный медицинский университет им. М.Оспанова, заведующая кафедрой хирургической стоматологии и стоматологии детского возраста;
2. Маргвелашвили Владимир Владимирович - доктор медицинских наук, профессор, руководитель Департамента стоматологии и челюстно-лицевой хирургии Тбилисского государственного университета им. И. Джавахишвили.Указание условий пересмотра протокола: пересмотр протокола через 3 года и/или при появлении новых методов диагностики и/или лечения с более высоким уровнем доказательности.
Лишай опоясывающий
Опоясывающий лишай - это вирусное поражение кожи и слизистых оболочек, вызываемое вирусом varicellа-zoster (вирусом V-Z), которое клинически проявляется высыпаниями сгруппированных пузырьков на гиперемированном основании по ходу нервов в иннервируемом ими участке кожи - дерматоме.
Синонимы
опоясывающий герпес, herpes zoster.
Эпидемиология
Возраст: чаще болеют взрослые люди, особенно старше 50 лет, дети страдают крайне редко.
Пол: не имеет значения.Анамнез
Заболевание начинается с появления односторонних болевых ощущений, зуда, жжения или парестезий в дерматоме или в нескольких соседних дерматомах по ходу соответствующих нервов за несколько дней до появления высыпаний либо одновременно с ними. Высыпания сначала представлены воспалительными пятнами, вскоре на их поверхности появляются сгруппированные пузырьки. Впоследствии пузырьки подсыхают в корочки медово-жёлтого цвета или вскрываются с образованием эрозий. Спустя 3-4 недели высыпания, как правило, бесследно разрешаются. При иммунодефиците возможно развитие генерализованной формы опоясывающего лишая, а также гангренозной (некротической) формы, последняя характеризуется образованием в месте высыпаний струпов чёрного цвета, отторгающихся с формированием язв.
Течение
острое начало с последующим самостоятельным разрешением в течение 1-2 месяцев, высыпания быстрее разрешаются под действием противовирусных препаратов. В случае тяжёлого течения, особенно на фоне выраженного иммунодефицита, возможен летальный исход.
Этиология
возбудитель заболевания - вирус ветряной оспы и опоясывающего герпеса - Varicella zoster virus семейства Herpesviridae. Отличительным свойством представителей этого семейства является способность вызывать хроническую латентную инфекцию, т.е. способность к длительному (пожизненному) персистированию с последующей реактивацией. Вирус Varicella zoster является этиологическим агентом двух клинических форм заболевания - первичной инфекции (ветряной оспы) и ее рецидива (опоясывающего герпеса). Первичное заражение вирусом V-Z происходит при ветряной оспе, после чего вирус переходит в латентную форму и пожизненно локализуется в чувствительных ганглиях спинномозговых или черепных нервов. Сам вирус varicellа-zoster представляет собой двухцепочечную ДНК, заключенную в икосаэдрический капсид, окружённый внешней оболочкой. При снижении иммунитета, вызванном различными факторами, происходит репликация и накопление вируса в ганглиях, после чего он мигрирует по чувствительным нервным волокнам в кожу и слизистые, вызывая местную воспалительную реакцию с образованием пузырьков. При контакте с больным опоясывающим лишаем происходит заражение неиммунизированных лиц (чаще всего детей) ветряной оспой воздушно-капельным путем.
Предрасполагающие факторы
- приём глюкокортикоидных (стероидных) гормонов и других иммуносупрессантов;
- осенне-зимнее время года;
- ранее перенесённая ветряная оспа;
- онкологические заболевания;
- ВИЧ-инфекция;
- стресс;
- воздействие холода (переохлаждение);
- воздействие тепла (перегревание);
- воздействие УФО (солнца);
- истощение;
- лучевая терапия;
- злоупотребление алкоголя (алкоголизм);
- употребление наркотиков;
Жалобы
на болезненные высыпания, парестезии (чувство ползания мурашек), зуд и жжение в месте высыпаний сгруппированных пузырьков. Больные часто предъявляют на боль в нервах по ходу высыпаний, иногда беспокоит боль в животе или груди, предшествующая появлению сыпи. Может ухудшаться общее самочувствие - повышается температура тела, отмечается озноб, общая слабость и недомогание, сопровождающиеся болью в мышцах (суставах), головной болью. На месте пузырьков в дальнейшем образуются болезненные эрозии (язвы), отделяющие серозный экссудат. В месте высыпаний отмечается выраженная отёчность кожи, особенно заметная на лице. Как правило, происходит одностороннее увеличение регионарных лимфоузлов, которые уплотняются и становятся болезненными. При поражении ушных ганглиев возможно появление шума в ушах, головокружения и снижение слуха вплоть до глухоты. В случае локализации высыпаний на половом члене возможно возникновение фимоза (парафимоза), при поражении уретры возникает боль и резь при мочеиспускании. При поражении глаз беспокоит ощущение «песка в глазах», светобоязнь, может снижаться острота зрения вплоть до полной слепоты. Нередко развивается птоз век. При высыпаниях во рту развивается гиперсаливация (повышенное слюноотделение), возможна дисфагия (нарушение глотания). В случае поражения лицевого нерва может развиться односторонний парез мимических мышц лица, проявляющийся их слабостью и односторонним уменьшением мимики лица. Возможен парез диафрагмы, характеризующийся одышкой. При любой форме опоясывающего лишая могут поражаться вегетативные ганглии, что проявляется вазомоторными расстройствами, задержкой мочеиспускания, запорами, поносами и т. п.
Дерматологический статус
процесс поражения кожи носит распространённый асимметричный характер, пузырьки тесно группируются, частично сливаясь друг с другом (герпетиформная группировка), и располагаются чаще всего полосовидно по ходу нервов в иннервируемом ими участке кожи - дерматоме, реже процесс носит диссеминированный характер.
Элементы сыпи на коже
- воспалительные пятна розового или красного цвета до 2-х и более см в диаметре, фестончатых очертаний с нерезкими границами, на поверхности которых в дальнейшем образуются пузырьки, реже - папулы;
- пузырьки с пупковидным вдавлением в центре до 0,2 см в диаметре с серозным, реже с серозно-геморрагическим содержимым, нередко сливающиеся друг с другом с образованием более крупных элементов до 0,5 см в диаметре, имеющих фестончатые очертания. Пузырьки располагаются на поверхности воспалительных пятен и в дальнейшем подсыхают с образованием корок медово-жёлтого (желтовато-коричневого или бурого) цвета или вскрываются с формированием эрозий;
- при буллёзной форме формируются пузыри с напряжённой покрышкой и серозным (реже серозно-геморрагическим) содержимым до 1 или более 1 см в диаметре, располагающиеся на гиперемированном основании. Периферический симптом Никольского (отслойка эпидермиса с образованием эрозии при трении пальцем здоровой кожи вблизи пузырей) - отрицательный. Краевой симптом Никольского (отслойка эпидермиса на значительное расстояние при потягивании его обрывков по краю эрозии) - отрицательный. Симптом груши (свисание содержимого пузыря при вертикальном положении тела, по форме напоминающее грушу) - отрицательный. Симптом Асбо-Хансена (увеличение площади пузыря при надавливании на его покрышку) - отрицательный. В дальнейшем пузыри или вскрываются с образованием эрозий или подсыхают с формированием корок;
- при абортивной форме на фоне воспалительных пятен возможно высыпание полушаровидных папул до 0,2 см в диаметре розового или красного цвета с пупковидным вдавлением в центре. При диаскопии папулы полностью обесцвечиваются и в дальнейшем бесследно разрешаются или трансформируются в пузырьки;
- корки медово-жёлтого или желтовато-коричневого (реже бурого) цвета, по отторжении которых образуются эрозии, реже - язвы, окружённые венчиком гиперемии;
- возможно формирование струпа, представляющего собой участок некроза кожи чёрного цвета, окружённого зоной демаркационного воспаления;
- вторичные эрозии, образующиеся при вскрытии пузырьков (пузырей) или отторжении корок, болезненные при пальпации, от 0,5 см в диаметре и более, имеют фестончатые очертания и окружены венчиком воспалительной гиперемии. В дальнейшем эрозии разрешаются бесследно, иногда трансформируются в язвы;
- при выраженном иммунодефиците часто встречаются вторичные язвы, болезненные при пальпации, размеры которых могут колебаться от 1 до 20 см и более, что связано с их склонностью к периферическому росту. Края язв могут быть отвесными или неровными, а дно может содержать участки некротического распада тканей. По периферии язвы окружены зоной воспалительной гиперемии и в дальнейшем постепенно разрешаются с образованием рубца;
Элементы сыпи на слизистых
- воспалительные пятна красного цвета 2 см и более в диаметре, фестончатых очертаний с нерезкими границами, на поверхности которых в дальнейшем образуются пузырьки;
- пузырьки полушаровидной формы с пупковидным вдавлением в центре до 0,2 см в диаметре с серозным (реже - серозно-геморрагическим) содержимым, нередко сливающиеся друг с другом с образованием более крупных элементов, имеющих фестончатые очертания. Пузырьки располагаются на поверхности воспалительных пятен и в дальнейшем вскрываются с формированием эрозий или (при локализации на губах) подсыхают с образованием корок медово-жёлтого (желтовато-коричневого) или бурого цвета;
- вторичные эрозии, образующиеся при вскрытии пузырьков или отторжении корок (на красной кайме губ), болезненные при пальпации, от 0,5 см в диаметре и более, имеют фестончатые очертания и окружены венчиком воспалительной гиперемии. В дальнейшем эрозии разрешаются бесследно, при выраженном иммунодефиците они могут трансформироваться в язвы;
- при иммунодефицитных состояниях часто встречаются вторичные язвы, характеризующиеся выраженной болезненностью при пальпации, размеры которых могут колебаться от 0,5 до 5 см в диаметре и более, что связано с их склонностью к периферическому росту. Края язв могут быть отвесными, или неровными, а дно может содержать участки некротического распада тканей или покрываться налётом. По периферии язвы окружены зоной воспалительной гиперемии и в дальнейшем постепенно разрешаются с образованием рубца;
- плёнчатые налёты белого, серого или коричневого цвета, располагающиеся на поверхности эрозий или язв;
- на красной кайме губ нередко встречаются корки медово-жёлтого или желтовато-коричневого (реже бурого) цвета, по отторжении которых образуются эрозии, реже - язвы, окружённые венчиком гиперемии;
Придатки кожи
не изменены, на месте язв возможно развитие очагов рубцовой алопеции.
Локализация
односторонняя - лицо (в зонах иннервации ветвей тройничного нерва), на теле - по ходу межрёберных нервов, могут вовлекаться пояснично-крестцовые и шейные дерматомы; реже возможны диссеминированные высыпания по всему телу.
ветряная оспа, вирусная пузырчатка полости рта и конечностей, аллергический дерматит, простой герпес, рожистое воспаление лица, герпетиформный дерматит Дюринга, импетиго, многоформная экссудативная эритема (при локализации на губах), стенокардия, плеврит, острый живот, болезни позвоночника.
Сопутствующие заболевания
рак желудка и других отделов желудочно-кишечного тракта, рак легкого, миелобластный лейкоз, лимфобластный лейкоз, болезнь Ходжкина (лимфогранулематоз), ювенильная хроническая миелогенная лейкемия, ВИЧ-инфекция, иммунодефицитные состояния, не ВИЧ-обусловленные, состояние после трансплантации органов и тканей.
Диагноз
Иногда достаточно клинической картины, для подтверждения диагноза могут применяться перечисленные методы лабораторной диагностики.
Патогенез
После перенесённой ветряной оспы вирус varicellа-zoster сохраняется в нервных ганглиях, где приобретает бессимптомное латентное течение. Реактивация инфекции происходит при снижении иммунитета, обусловленном различными причинами (ВИЧ-инфекция, лейкозы, злокачественные новообразования, приём иммуносупресантов и др.). Обязательным компонентом активизации инфекции является своеобразный вирусный ганглионеврит с поражением спинальных (черепномозговых) ганглиев и задних корешков, что обусловливает различной степени выраженности болевой синдром и другие неврологические нарушения. Благодаря своим нейротропным свойствам вирус V-Z мигрирует в кожу (слизистую оболочку) по нервным проводникам и вызывает клинические проявления заболевания в иннервируемом ими дерматоме. Проникая в кожу или слизистую оболочку, вирус размножается в глубоких слоях эпидермиса (эпителия), вызывая гибель зараженных клеток, образование пузырьков (пузырей) и местную воспалительную реакцию вплоть до некротических изменений. Вирус может вовлекать в воспалительный процесс вегетативные (паравертебральные) ганглии, поражать оболочки и сам головной мозг (при внедрении вируса V-Z в двигательные нейроны и корешки возникает картина амиотрофического радикулоплексита, в серое вещество спинного мозга - миелитического синдрома, в ликворную систему - менингорадикулоневрита или серозного менингита и т. д.). Могут поражаться также и внутренние органы (специфическая пневмония, гепатит, перикардит, миокардит, панкреатит, эзофагит, энтероколит, цистит, артрит и др.).
Опоясывающий лишай
Опоясывающий лишай - вирусное заболевание. Возбудителем является вирус «герпес зостер» из семейства герпесвируса. Поражает нервную систему, кожу и слизистые. Заболевание сопровождается высыпаниями на лице и теле, а также очень сильными болями.
Опоясывающий лишай по МБК называют еще опоясывающий герпес. По Международной классификации болезней десятого пересмотра код опоясывающего лишая по МКБ 10 общий В02 и разделяется на несколько видов.
Опоясывающий лишай может появиться у людей, которые болели ветрянкой. После выздоровления вирус остается в организме и спит в нервной ткани. При благоприятных для вируса обстоятельствах происходит его активизация, и человек заболевает опоясывающим лишаем.
Причины появления опоясывающего лишая на теле человека самые различные.
Причины опоясывающего лишая не влияют на течение болезни, но необходимо помнить, что болезнь заразная и до тех пор, пока на теле есть высыпания, контакты следует ограничить.
Как только высыпания прекратились и стали покрываться корочками, больной перестает быть заразным. Но боли могут продолжаться до двух месяцев.
Причинами возникновения опоясывающего лишая могут стать: снижение защиты организма; прием лекарственных средств, снижающих иммунитет; переохлаждение или перенасыщение ультрафиолетом организма; заболевания, вызывающие иммунодефицит (СПИД); онкология; лучевая терапия; стрессы; беременность; возраст (более 50 лет) и другие.
Начальная стадия опоясывающего лишая выражается состоянием, похожим на грипп: небольшое повышение температуры, общая слабость, боль в мышцах и суставах. В дополнение к общему недомоганию появляется болезненный зуд и жжение в местах, где позже появится герпетическая сыпь.Обычно это места по ходу расположения нерва (смотрите фото опоясывающего лишая у нас в атласе и на странице). Связано это с инфицированием нервных отростков. Такое состояние может продолжаться до четырех суток.
Сколько будет длиться болезнь опоясывающий лишай? Ответ на этот вопрос зависит от того, в каком состоянии находится больной опоясывающим герпесом и как проводится лечение. Обычно человек болеет не более одного месяца. Причем, как только высыпания прекратились и стали покрываться корочками, больной перестает быть заразным. Однако, боли могут продолжаться до двух месяцев.
На форумах люди жалуются в основном на жуткую боль.
«…опоясывающий лишай - продолжения ветрянки. У моей мамы появился после серьезной болезни. Высыпаний не было достаточно длительное время, но были сильные боли в районе лопатки. Сначала врач решил, что это невралгия и выписал пиявки. Они немного помогли. Боль стала меньше, но окончательно не ушла. Высыпания смазываем зеленкой. Сейчас их стало значительно меньше».
Судя по отзывам на форумах об опоясывающем лишае, лечение опоясывающего лишая и применение обезболивающих препаратов должно подбираться для каждого заболевшего индивидуально.
«… сыпь почти прошла, но боли в пояснице ужасные. Не могу лежать, сидеть, спать. Когда же это пройдет? Обезболивающие лекарства не помогают».
Опоясывающий герпес
Опоясывающий герпес - заболевание, когда первом контакте вируса с организмом возникает ветряная оспа, а в последующем может появиться опоясывающий герпес.
Диета при опоясывающем лишае
Диета при опоясывающем лишае поможет ускорить выздоровление.Питание должно быть полноценным.
Что можно при опоясывающем лишае
Пациент, которому поставили диагноз опоясывающего лишая, часто задает интересные вопросу доктору, на которые, конечно, нужно дать ответ.
Опоясывающий лишай: герпес
Опоясывающий лишай, или, как его по-другому называют, опоясывающий герпес или герпес-зостер: всего существует несколько разновидностей вируса герпеса.
Заразен ли опоясывающий лишай
Заразен ли опоясывающий лишай для окружающих? Один из наиболее частых вопросов, задаваемых по этому заболеванию.
Опасен ли опоясывающий лишай
Опоясывающий лишай - заболевание, вызванное вирусом герпеса 3 типа, которое может возникнуть в том числе и у беременных.
Последствия после опоясывающего лишая
Опоясывающий лишай - инфекционное заболевание и его нейротропные свойства грозят возможными неврологическими осложнениями.
Зуд при опоясывающем лишае
Пузырьковые высыпания, которые появляются при заболевании, зачастую сопровождаются зудом и жжением при опоясывающем лишае.
После опоясывающего лишая: что бывает?
В благоприятных ситуациях опоясывающий лишай может пройти без последствий, но бывают и такие осложнения как невралгия (болевой синдром).
Лечение опоясывающего лишая народными средствами
Опоясывающий лишай требует активной противовирусной и симптоматической терапии. Но способствовать выздоровлению могут и народные средства лечения опоясывающего лишая.
Опоясывающий лишай на лице
Опоясывающий лишай может возникнуть на различных участках тела, где есть нервные отростки. Часто симптомы опоясывающего лишая проявляются на лице.
Опоясывающий лишай у детей
В настоящее время увеличивается число детей с ослабленным иммунодефицитом, что провоцирует болезни, ассоциированные с вирусом герпеса.
Опоясывающий лишай у человека
Опоясывающий лишай - вирусная инфекция, спровоцированная вирусом герпеса и сопровождающаяся сильными болями и высыпаниями на коже. Чаще всего им болеют пожилые люди с ослабленным иммунитетом.
Опоясывающий лишай у взрослых
Опоясывающий лишай - инфекционное заболевание, поражающее не только кожу, но и нервную систему у взрослых людей .
Лечение опоясывающего лишая
Поставив диагноз опоясывающий лишай, необходимо сразу приступать к лечению. Противовирусная терапия специфичная.
Опоясывающий лишай симптомы
Какие симптомы характерны для опоясывающего лишая? Наши специалисты постараются подробно ответить на этот вопрос.
Читайте также:
- Поражение костей при хронической почечной недостаточности (ХПН)
- Основы кардиологии. Понятия кардиологии в картинках
- УЗИ, МРТ при кровоизлиянии в надпочечник у плода
- Величина и предел увеличения межальвеолярной высоты
- Сердце при смене стоячего положения на лежачее. Сердечные звуки при смене положения
