Опухоли печени под действием полония. Накопление полония в средах глаза
Добавил пользователь Владимир З. Обновлено: 22.01.2026
Ю.А. Александров
Основы радиационной экологии
Учебное пособие. - Йошкар-Ола: Мар. гос. ун-т, 2007. - 268 с.
Раздел 3. Биологическое действие ионизирующих излучений
3.6. Радиационные поражения человека
3.6.2. Биологическое действие инкорпорированных радионуклидов
У многих радионуклидов существенная в биологическом отношении активность содержится в очень малом количестве вещества. Так, масса 50 мкКи полония-210 (доза, при поступлении которой в организм человека можно ожидать развития глубоких нарушений функций печени и почек) составляет всего 12´10 -9 г, а 1 мКи стронция-90 (ЛД 50/30 для крыс) содержится в 8 мкг этого изотопа. Даже труднорастворимые соединения радионуклидов в столь малых количествах часто оказываются в растворе в виде ионов, что значительно облегчает их проникновение через биологические барьеры, всасывание и распространение по организму.
3.6.2.1. Пути поступления радиоактивных веществ в организм
Во внутреннюю среду РВ могут попасть ингаляционно, через стенки желудочно-кишечного тракта, через травматические и ожоговые повреждения, через неповрежденную кожу. Всосавшиеся РВ через лимфу и кровь могут попасть в ткани и органы, фиксироваться в них, проникнуть внутрь клеток и связаться с внутриклеточными структурами.
Знание пути поступления радионуклида в организм весьма важно в практическом отношении. У ряда РВ характер всасывания, распределение по органам и тканям, выведение и биологическое действие существенно зависят от пути поступления.
Ингаляционное поступление радиоактивных веществ. Общая поверхность альвеол составляет около 100 м 2 , что приблизительно в 50 раз превышает поверхность кожи, и при контакте, особенно профессиональном, с аэрозолями РВ, радиоактивными газами и парами ингаляционный путь заражения является основным.
Радионуклиды, попавшие в органы дыхания, в различной степени могут задерживаться в легких и верхних дыхательных путях. На количество РВ, остающееся в органах дыхания после выдоха, влияют прежде всего аэродинамические свойства аэрозоля, зависящие от размера, плотности, формы частиц, от их влажности, гигроскопичности, растворимости и химической природы. В легких откладываются преимущественно частицы диаметром от 0,01 до 1 мкм. Имеют значение и анатомо-физиологические особенности дыхательной системы, в частности, соотношение размеров альвеолярных и бронхиальных поверхностей, минутный объем легких, частота дыхания, скорость движения воздуха по дыхательным путям.
Метаболизм радионуклидов, оставшихся после выдоха в органах дыхания, определяется следующими основными процессами:
- ретроградным выносом частиц со слизью в результате деятельности мерцательного эпителия в глотку с последующим их заглатыванием (отчасти, отхаркиванием);
- резорбцией РВ в кровь через альвеолярные мембраны с последующим отложением в органах или выведением. Резорбции подвергаются преимущественно растворимые частицы. В зависимости от их растворимости время резорбции может составлять от нескольких десятков минут до нескольких дней и даже более. Степень резорбции одного и того же радионуклида сильно зависит от химической формулы соединения, в состав которого он входит;
- фагоцитозом макрофагами нерастворимых частиц и коллоидных форм радионуклидов. Часть захвативших радионуклиды фагоцитов ретроградно удаляется в глотку и заглатывается или отхаркивается. Другая часть транспортируется лимфой и откладывается в бронхо-легочных узлах. Наибольшее практическое значение этот вид отложения имеет при ингаляционном поступлении нерастворимых или слабо растворимых соединений плутония, тория, цезия.
Около 10% радионуклидов, захваченных фагоцитами, перемещаются через альвеолярную мембрану с периодом полувыведения около нескольких дней. Небольшая часть РВ задерживается в паренхиме легких, эпителиальных клетках: период полувыведения из них составляет около 600 суток. Еще прочнее фиксация РВ в бронхо-легочных лимфатических узлах, куда они попадают с фагоцитами.
При оценке опасности ингаляционного поступления РВ учитывают лучевую нагрузку на легкие, эпителий бронхов, регионарные лимфатические узлы, на стенку желудочно-кишечного тракта, последствия резорбции, а в случае ингаляции гамма излучающих радионуклидов определенное значение может иметь и облучение других органов грудной полости.
При поступлении радионуклидов через органы дыхания их химические соединения подразделяются на три ингаляционных класса в зависимости от длительности эффективного периода полувыведения (Тэфф.) из легких. К классу «М» (медленный) отнесены соединения с Тэфф. более 100 сут., к классу «П» (промежуточный) - с Тэфф. от 10 до 100 сут. и к классу «Б» (быстрый) - с Тэфф. менее 10 суток.
Поступление радиоактивных веществ через желудочно-кишечный тракт. Желудочно-кишечный тракт - второй основной путь поступления РВ в организм. Оно может произойти как непосредственно после их попадания во внешнюю среду, так и после прохождения по биологическим цепочкам. Поражающее действие при алиментарном поступлении радиоактивных веществ связано как с лучевой нагрузкой на стенку пищеварительного тракта, так и с всасыванием РВ в кровь и лимфу.
Продвижение радионуклидов по желудочно-кишечному тракту не имеет каких-то особенностей по сравнению с нерадиоактивными веществами, содержащимися в пище. Резорбция РВ зависит от химических свойств вещества (главным образом, растворимости), физиологического состояния желудочно-кишечного тракта (рН среды, моторная функция), состава пищевого рациона. Молоко, например, способствует усилению всасывания радиоактивного стронция. Резорбция радионуклидов снижается при увеличении содержания в пище стабильных изотопов этих же элементов и наоборот.
Преимущественно через ЖКТ поступают и всасываются щелочные элементы - K, Ca, Na, Rb, Cs, I, и в меньшей степени - щелочно-земельные элементы - Sr (40-60%), Co (30%), Mg (10%), Zn (10%), Ba (5%). Трансурановые элементы и редкоземельные металлы в желудочно-кишечном тракте образую труднорастворимые соединения и поэтому степень их всасывания очень низкая - Po - 6%, Ru - 3%, U -
3-6%, Pu - 0,01%, Zr - 0,01%.
Всасывание хорошо растворимых радионуклидов происходит в основном в тонкой кишке. Значительно меньше РВ всасывается в желудке. Всасывание в толстой кишке практического значения не имеет. Наиболее интенсивно и полно резорбируются растворимые радионуклиды, находящиеся в ионной форме. Радионуклиды щелочных металлов и галоидов после попадания в желудочно-кишечный тракт практически полностью всасываются в кровь. Изотопы редкоземельных элементов, плутония, трансурановых элементов вследствие склонности их солей к гидролизу и образованию труднорастворимых и нерастворимых соединений всасываются в кишке в пределах нескольких сотых-деся-титысячных долей процента от поступившего количества. Всосавшиеся радионуклиды могут повторно и неоднократно (с желчью, кишечными соками) поступать в желудочно-кишечный тракт и дополнительно
облучать его слизистую оболочку.
Все сказанное относится и к радиоактивным продуктам, вторично попавшим в желудочно-кишечный тракт после ингаляционного
поступления.
Нерастворимые и мало растворимые гамма-излучатели облучают кишечник и другие органы брюшной полости, а бета-излучатели - только слизистую оболочку кишки, в основном до выведения радионуклидов с калом, в течение примерно 30 часов. Однако в криптах кишечника РВ могут задерживаться в течение длительного времени, формируя
высокие локальные дозы.
При нормировании поступления радионуклидов в организм с водой и пищей, так же как и при нормировании ингаляционного поступления, исходят из той предпосылки, чтобы при достижении предела годового поступления (ПГП) величина дозы, накопленной за год, равнялась величине соответствующего годового предела дозы.
Поступление радиоактивных веществ через неповрежденные кожные покровы, раневые и ожоговые поверхности. Большинство радиоактивных веществ практически не проникают через неповрежденную кожу. Исключение составляют окись трития, йод, нитрат и фторид уранила, а также полоний. Коэффициенты резорбции в этих случаях
составляют сотые и тысячные доли единицы.
Проникновение РВ через кожу зависит от площади загрязненного участка, от физико-химических свойств соединения, в состав которого они входят, растворимости в воде и липидах, рН среды, от физиологического состояния кожи. Всасывание радионуклидов повышается при повышении температуры среды вследствие расширения кровеносных и лимфатических сосудов, раскрытия сальных и потовых желез.
Требует особого внимания радиоактивное загрязнение ран в производственных и лабораторных условиях. Основную опасность в случае производственного заражения представляет резорбция высокотоксичных радионуклидов (например, полоний), которая у растворимых РВ может достигать десятков процентов от общего количества, поступившего в рану. Большие количества РВ могут поступить не только через колотые или резаные раны, но и через небольшие царапины и ссадины. Всасывание через них щелочных, щелочноземельных элементов и галоидов в 100-200 раз превышает резорбцию через неповрежденную кожу; это всасывание с поверхности раны трудно растворимых РВ (чаще всего относится и к продуктам ядерного взрыва) происходит медленнее и в значительно меньшем количестве, но все же в сотни раз интенсивнее, чем через интактную кожу. С поверхности ожогов I-II степеней продукты ядерного взрыва всасываются всего в 2-10 раз быстрее.
Проявление общего действия резорбированных продуктов ядерного взрыва с раневых и ожоговых поверхностей мало вероятно. Лишь в редких случаях возможно поступление через раны значительных количеств редкоземельных элементов.
Резорбция плохо растворимых соединений РВ в основном происходит по лимфатическим путям, в результате чего радионуклиды накапливаются в лимфатических узлах. Оттуда некоторая часть радионуклидов с фагоцитами поступает в органы ретикулоэндотелиальной системы. Последствия резорбции чаше всего связаны с избирательной тропностью тех или иных изотопов к отдельным органам (новообразования, лейкозы, другие системные заболевания крови).
В месте нахождения радионуклида в плохо растворимой форме могут возникнуть опухоли (чаще остеогенные саркомы). Имеет значение и воздействие ионизирующего излучения на течение раневого процесса. При поступлении в рану большого количества плохо резорбирующихся радионуклидов под влиянием облучения в клетках тканей раневой поверхности развиваются дегенеративные и некротические процессы, снижается способность клеток к размножению. В ранах часто развиваются гнойные, иногда анаэробные процессы. Медленно отторгаются некротизированные ткани, замедляется регенерация.
3.6.2.2. Метаболизм радиоактивных веществ, всосавшихся в кровь
В крови радионуклиды могут находиться в свободном состоянии или в составе различного рода химических соединений и комплексов. Значительная часть радионуклидов связывается протеинами. Часть радионуклидов, попавших в кровь, выводится из организма, другая часть проникает в органы и депонируется в них. Знание характера распределения, особенностей обмена и депонирования РВ, возможного их перераспределения со временем необходимо для предсказания преимущественного поражения того или другого органа, дозы облучения этого критического органа, клинических проявлений и исхода поражения.
Понятия концентрация и содержание радионуклида в органе не являются синонимами. Под концентрацией понимают удельную активность радионуклида, выражаемую в Бк/г, а содержание - это абсолютное значение активности в целом органе. Концентрация РВ в органе после однократного поступления постепенно снижается, что зависит от радиоактивного распада изотопа и его биологического выведения.
Суммарная константа уменьшения концентрации изотопа в органе (Тэфф.) представляет собой сумму констант радиоактивного распада и биологического выведения. При расчетах чаще пользуются понятием эффективного периода полувыведения - Тэфф. Он связан с периодом полураспада и периодом биологического полувыведения:
При длительном поступлении РВ в организме или в отдельном органе ежедневно накапливается определенная доля поступившего за эти сутки количества. Показателем этого накопления служит величина, называемая «кратностью накопления». Эта величина показывает, во сколько раз содержание радионуклида превышает величину его ежедневного поступления. Так, если к концу поступления РВ в организме содержится 150% от величины суточного поступления, кратность накопления составит 1,5.
Бывает, что после одноразового сравнительно массивного радиоактивного заражения поступление РВ в организм не прекращается полностью, а продолжается длительное время, но в меньших количествах. В этих случаях могут преобладать (в зависимости от уровня поступления) либо процессы депонирования в органе, либо процессы выведения из него.
3.6.2.3. Выведение радиоактивных веществ из организма
Попавшие в организм РВ могут выводиться через почки, желудочно-кишечный тракт (в том числе с желчью), легкие, а также со слюной, молоком, потом. В большинстве случаев основные количества РВ экскретируются с калом и мочой. С калом преимущественно выводятся РВ, поступившие алиментарным путем, а также и при ингаляционном заражении и вторичном заглатывании частиц, вынесенных ретроградно в глотку. Некоторые растворимые радионуклиды могут выделяться с желчью и другими пищеварительными соками и также выводиться с калом. В желудочно-кишечном тракте процессы экскреции РВ постоянно сопровождаются процессами их реабсорбции.
При выведении радионуклидов преимущественно с мочой высокая доза облучения может быть получена почками.
Выведение с выдыхаемым воздухом имеет существенное значение для трития, паров окиси трития, радона и торона, образующихся при распаде поступивших в организм радия и тория.
Динамика выведения РВ из организма описывается теми же формулами, которые приводились в предыдущем разделе при характеристике скорости уменьшения концентрации радионуклидов в отдельных органах. По содержанию РВ в выделениях можно судить о количестве их в организме как на момент определения, так и на момент поступления.
Таким образом, в обмене поступивших в организм радионуклидов можно выделить четыре основные стадии:
- образование на месте поступления первичного депо (кожа, раны, слизистые оболочки желудочно-кишечного тракта, верхних дыхательных путей);
- всасывание с мест поступления в кровь или лимфу;
- депонирование в критическом органе (образование вторичных
депо);
- выведение различными путями, в том числе и с явлениями
рециркуляции.
Продолжительность названных стадий существенно различается для различных радионуклидов и их соединений, а также для разных путей поступления РВ в организм.
Указанные положения должны учитываться при оценке клинической картины поражения и планировании лечебно-профилактических мероприятий. Особенности пространственного и временного распределения дозы определяют характер течения поражения отдельными радионуклидами, различающийся как по особенностям проявления, так и по срокам формирования эффектов. В зависимости от этого меняются и конкретные диагностические, и лечебные мероприятия в различные сроки с момента заражения, и прогностическая оценка данных радиометрических определений.
3.6.2.4. Биологическое действие радиоактивных веществ
При внутреннем радиоактивном заражении (инкорпорации радионуклидов) количество поступивших в организм радионуклидов чаще всего не может создать в течение короткого времени дозы, достаточно высокой для развития острого лучевого поражения. В этих случаях более характерно развитие хронической лучевой болезни.
При внутреннем радиоактивном заражении концепция критического органа представляется сложнее, чем при общем внешнем облучении. В этом случае прежде всего имеют значение особенности распределения радионуклидов по органам и тканям (тропность радионуклидов). Важным фактором являются значения пороговых повреждающих доз для разных тканей. По способности преимущественно накапливаться в тех или иных органах выделяют следующие основные группы радиоактивных элементов (табл. 42).
Таблица 42 - Типы распределения радиоактивных элементов в организме
Элементы 1 группы периодической системы:
Н, Li, Na, К, Rb, Cs, Ru, Cl, Br и др.
Опухоли печени под действием полония. Накопление полония в средах глаза
По следам расследования Скотленд-Ярда
Предисловие
Смерть Александра Литвиненко в лондонской больнице была, если судить по реакции средств массовой информации, наиболее сенсационным событием 2006 года. Ему были посвящены тысячи статей во всех странах, несколько книг и кинофильмов. Это событие вызвало также серию осложнений в отношениях Великобритании и России. Хотя и до настоящего времени не представлено убедительных доказательств того, что смерть Литвиненко была преднамеренным убийством, сомневающихся в этом практически нет. Среди «заказчиков» убийства фигурируют главы правительств, эмигранты-миллиардеры, секретные службы разных государств и другие организации. В попытках раскрытия предполагаемого преступления участвуют британская полиция и контрразведка, российская прокуратура и следственный комитет, германская, французская и итальянская полиции, Интерпол. Несмотря на все усилия, проблемы не столько проясняются, сколько усложняются.
Основную сенсацию смерти бывшего малоизвестного оперативного работника КГБ и ФСБ обеспечил тот факт, что за несколько часов до его смерти после длительной болезни без ясного диагноза в его организме был обнаружен полоний-210, редкий радиоактивный изотоп, никогда ранее не применявшийся для криминальных целей. Однако все данные патолого-анатомического исследования, так называемого пост-мортема, были засекречены и остаются государственной тайной до настоящего времени. Поэтому и сейчас ничего не известно о дозах полония и даже о том, была ли смерть Литвиненко прямым результатом радиоактивного отравления. В подобных случаях, согласно нормам британского законодательства, первоначальное изучение всех данных рассматривается не судом присяжных, а предварительным судебным разбирательством (inquest) или «Coroner’s Court» (в США это «Grand Jury»), которое и определяет причину смерти и предусматривает последующие действия.
Выяснение всех проблем, связанных со смертью Литвиненко, со временем становится все более и более трудным. Моя цель в настоящей работе попытаться прояснить хотя бы некоторые из них и прежде всего вопрос о том, почему был использован полоний-210. Лично я не имел опыта работы с этим изотопом. Однако в течение всего периода моей научной работы, начавшейся в 1951 году, я использовал разнообразные радиоактивные изотопы в экспериментах с растениями и животными. Я не детектив, а научный работник. Однако «следователь» и «исследователь» — это родственные профессии. Было, конечно, и несколько других причин, которые вызвали мой интерес не к криминальной стороне этой проблемы, а к тому, почему организаторы этой акции выбрали для своих целей именно полоний.
Жорес Медведев
Лондон, май 2008 г.
Глава первая. БОЛЕЗНЬ БЕЗ ДИАГНОЗА
Вернувшись вечером 1 ноября 2006 года домой после нескольких деловых встреч в центре Лондона, Александр Литвиненко уже ночью почувствовал боли в животе и тошноту. К утру ему стало хуже, начались рвота, головокружение и все признаки пищевого отравления. Жена Марина, несмотря на протесты мужа, вызвала «скорую помощь». В Лондоне для этого нужно набрать по телефону 999 и минут через десять подъедет «амбуланс» с медперсоналом, готовым оказать помощь на месте или отвезти больного в ближайшую больницу. Литвиненко доставили в Барнет-госпиталь — самый крупный медицинский центр северного Лондона. Это очень большая и современная больница (построена в 1999 году), обслуживающая около 500 тысяч человек. Литвиненко был помещен в гастроэнтерологическое отделение. Поскольку у него были явные признаки пищевого отравления, обычно связанного с бактериальной инфекцией, сразу было начато лечение большими дозами антибиотиков и взята кровь на анализ. В Англии наиболее часто бактериальное пищевое отравление связано с заражением пищевых продуктов сальмонеллой, но точное определение причин желудочно-кишечной инфекции требует несколько дней. Жена осталась в больнице, так как сам Литвиненко, даже после шести лет жизни в Англии, почти не владел английским.
В течение первой недели диагноз — бактериально-пищевое отравление — оставался неизменным. Возникли подозрения, что его причина — ленч в японском суши-баре, в котором Литвиненко встречал знакомого итальянца именно 1 ноября.
Сомнения в верности диагноза возникли только через неделю, когда жена, дежурившая в палате, обратила внимание на выпадение волос из пышной шевелюры мужа. Очередной анализ крови показал заметное снижение числа молодых лимфоцитов — это указывало на ослабление иммунной системы. Больного проверили на СПИД и гепатит «В», но тесты оказались отрицательными. Проба костного мозга показала явные аномалии в делящихся клетках. Началось пожелтение кожи — это указывало на нарушение желчеобразования в печени. Диагноз бактериального пищевого отравления был изменен на химическое отравление неизвестной природы. В Барнет-госпитале есть большое радиологическое отделение, в котором используют радиацию для лечения больных раком и радиоизотопы для диагностических целей. В этом отделении есть вся необходимая аппаратура для диагностики лучевых синдромов любого типа. Однако в него Литвиненко не отправляли — радиационное отравление просто не подозревалось.
В больницах государственного здравоохранения в Великобритании разнообразные тесты и анализы делают по наличным симптомам, а не по всему спектру возможностей. При бюджетном финансировании нередко приходится отказываться от очень дорогих методик. В частных больницах, особенно в США, наоборот, число разнообразных анализов и обследований очень велико, так как их оплачивает либо страховая компания, либо сам пациент. В этом случае Литвиненко прошел бы через очень большую серию анализов и тестов и по сумме их показателей неизбежно установили бы наличие острой лучевой болезни и присутствие источника альфа-излучения. Американская медицина ориентирована на приборную диагностику. В современных ядерных державах, к которым относятся США, Англия и Франция, где существуют радиохимические заводы, радиоизотопы применяются в разных отраслях промышленности и в медицине, сброс радиоизотопов из научных лабораторий производится в общие системы канализации. С учетом этого тест на радиоактивность, кстати, один из самых дешевых, является обязательным. Европейская и особенно британская медицина более консервативна и по-прежнему полагается в основном на интуицию врачей, а не на компьютерные анализы.
Снижение активности костного мозга возникает при многих отравлениях, прежде всего тяжелыми металлами, например свинцом и ртутью, так как именно быстроделящиеся клетки наиболее чувствительны к ядам. Если пациент не чувствует ухудшения через неделю, то врачи ожидают начало регенераций в костном мозге, полагая, что действие антибиотиков и выведение токсина с мочой должно вести к выздоровлению. Не исключено, что в местной больнице просто не оказалось опытного токсиколога. Из-за относительно скромных зарплат в обычных больницах наиболее компетентные специалисты постепенно переходят в частные клиники или даже уезжают в США, где их доходы сразу увеличиваются в три-четыре раза. Им на смену приходят молодые врачи, практиканты и иммигранты, чаще всего из бывших британских колоний, где медицинское образование формировалось по британским программам. В Европе наиболее высокий уровень медицины и особенно токсикологии существует в Германии. Самые опытные радиационные токсикологи работают в России, Украине и Белоруссии.
Друг Литвиненко американец Александр Гольдфарб, часто приходивший в палату, как биохимик, работающий в большом медицинском центре в Нью-Джерси, безусловно понимал ограничения британской медицины. Он поэтому решил пригласить одного из наиболее опытных лондонских токсикологов профессора Джона Генри (John Henry), который работал в частной больнице и преподавал в одном из колледжей Лондонского университета. Джон Генри незадолго до этого прославился тем, что только по фотографии установил диагноз — отравление диоксином — Виктору Ющенко, кандидату в президенты Украины, попавшему во время выборной кампании с неизвестным отравлением в австрийскую больницу. Жизнь Ющенко в это время была уже вне опасности, но на коже лица возникли многочисленные язвы. Австрийские доктора подозревали вирусное заболевание. Джон Генри, посмотрев на фотографию, напечатанную в газете, сразу определил, что это отравление диоксином — промышленным ядом. Австрийская клиника признала этот диагноз только через месяц, так как попытки идентифицировать яд оказались безуспешными. Диоксин, попадая в организм в небольших количествах, растворяется в жирах и надолго остается в жировой ткани, а не выводится с мочой и не циркулирует в крови. Симптомы отравления диоксином иногда проявляются через две-три недели после его попадания в организм. Отравители Ющенко не найдены и до настоящего времени.
ФГБУ "Институт хирургии им. А.В. Вишневского" Минздрава России, Москва
Псевдовоспалительная опухоль печени
Журнал: Доказательная гастроэнтерология. 2013;(2): 63‑69
Шевченко Т.В., Паклина О.В., Кармазановский Г.Г., Яшина Н.И., Жаворонкова О.И., Мелехина О.В., Ветшева Н.Н., Шуракова А.Б., Чжао А.В. Псевдовоспалительная опухоль печени. Доказательная гастроэнтерология. 2013;(2):63‑69.
Shevchenko TV, Paklina OV, Karmazanovskiĭ GG, Iashina NI, Zhavoronkova OI, Melekhina OV, Vetsheva NN, Shurakova AB, Chzhao AV. A pseudoinflammatory hepatic tumour. Russian Journal of Evidence-Based Gastroenterology. 2013;(2):63‑69. (In Russ.).
Псевдовоспалительная миофибробластическая опухоль - редкая опухоль, не имеющая характерных признаков как клинической картины, так и лучевых методов исследования. Представлено клиническое наблюдение за пациентом с большой псевдоопухолью правой доли печени, имеющей сходство с гепатоцеллюлярным раком. Произведена правосторонняя гемигепатэктомия. Послеоперационный период осложнился поддиафрагмальным жидкостным скоплением. Проводилось пункционно-дренажное лечение под контролем ультразвукового исследования. Результаты иммуногистохимического исследования подтвердили диагноз "псевдовоспалительная опухоль печени".
Воспалительная миофибробластическая опухоль (ВМО) печени является редким доброкачественным заболеванием. В литературе данная опухоль известна как плазмоклеточная гранулема, смешанноклеточная псевдоопухоль, воспалительная псевдоопухоль, так как гистологически представлена веретеноклеточными и звездчатыми миофибробластами и воспалительными инфильтратами, состоящими из плазмоцитов, лимфоцитов, гранулоцитов. Впервые ВМО с возможным поражением разных органов была упомянута в 1939 г., а ее локализацию в печени впервые в 1953 г. описали G. Pack и H. Baker, предположив, что исходом данной опухоли является цирроз с развитием в последующем печеночной недостаточности [1, 2].
ВМО чаще всего встречается в молодом возрасте и преимущественно поражает легкие, но подобный опухолевый процесс возможен в любой части тела. Около 43% внелегочных случаев локализуется в брыжейке и сальнике, реже опухоль встречается в мягких тканях любой локализации, средостении, органах желудочно-кишечного тракта, мочевом пузыре, яичниках, матке. В литературе упоминаются случаи развития опухоли у пациентов, страдающих болезнью Крона, у больных с синдромом Шегрена, при подагре, хроническом и первично-склерозирующем холангите, аутоиммунном панкреатите, миелобластической лейкемии 6.
Клинически, как правило, пациенты отмечают высокую температуру и, возможно, боли в правом подреберье. Последнее обусловлено локализацией опухоли вблизи капсулы печени и ее растяжением при росте опухоли. Такая симптоматика не специфична и сопровождает значительное число заболеваний, что приводит к диагностическим ошибкам. Экспериментально доказано, что развитию ВМО печени способствует застой желчи, приводящий к холангиту с последующим развитием перидуктального фиброза и генные нарушения образования фосфолипидов [11, 12].
Ввиду отсутствия специфической семиотики при лучевых методах диагностики чаще всего высказываются подозрения о гепатоцеллюлярном раке [13].
Клиническое наблюдение
Пациент К., 48 лет, заболел остро в начале января 2012 г., когда появилась лихорадка до 39 °С. Госпитализирован в инфекционное отделение городской больницы по месту жительства с диагнозом острая респираторная вирусная инфекция, там же появилась желтушность кожных покровов. После исключения вирусного гепатита переведен в хирургическое отделение. При ультразвуковом исследовании (УЗИ) выявлено образование правой доли печени 12×14 см. Опухолевые маркеры: альфафетопротеин - 1,99 ЕД/мл (норма), СА19-9 -

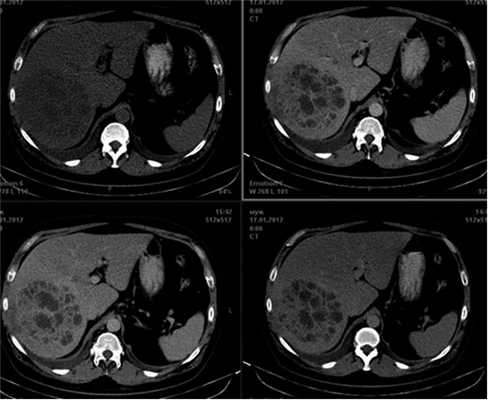
97 ЕД/мл (норма менее 37). Уровень билирубина - 90 мкмоль/л. При спиральной КТ с контрастным усилением (рис. 1) Рисунок 1. Компьютерная томограмма печени у пациента с псевдоопухолью. заподозрен гепатоцеллюлярный рак с внутриорганным метастатическим поражением и двухсторонний экссудативный плеврит. При последующей плевральной пункции было эвакуировано 1500 мл транссудата, не содержащее по данным цитологического обследования опухолевых клеток.
Для дальнейшего обследования и лечения пациент переведен в Институт хирургии им. А.В. Вишневского.
При поступлении. Состояние удовлетворительное, ориентирован во времени и пространстве. Температура тела 38 °С. Кожные покровы и видимые слизистые оболочки обычной окраски, отеков нет. При аускультации дыхание везикулярное, ослаблено в нижних отделах справа; частота дыхания - 17 в минуту. Пульс 76 в минуту, ритмичный. Язык влажный, обложен белым налетом. Живот не вздут, симметричный, участвует в дыхании, при пальпации мягкий, безболезненный во всех отделах. Перистальтические шумы не усилены. Печень, селезенка не увеличены, желчный пузырь не пальпируется. Стул жидкий, нормального цвета, регулярный. Дизурических явлений нет. Область почек безболезненна. Симптом поколачивания отрицательный с обеих сторон.
Выполнено МРТ органов брюшной полости.

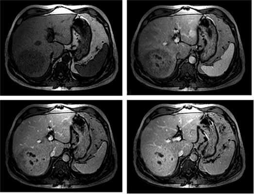
В VI-VII сегментах печени определяется объемное образование с нечеткими, волнистыми контурами, неоднородной структуры, в центре имеются неправильной формы участки с жидкостными характеристиками. Окружающая паренхима с признаками инфильтративных изменений. По верхнему контуру образования прослеживается дугообразно деформированная ветвь правой печеночной вены, по переднему контуру - смещенная ветвь средней печеночной вены (рис. 2). Рисунок 2. Магнитно-резонансная томограмма органов брюшной полости без контрастного усиления. В правой доле печени — опухолевый узел округлой формы гетерогенной структуры с неровными контурами. Наиболее отчетливо визуализируется в импульсной последовательности STIR.

При контрастном усилении отмечено накопление контрастного вещества в артериальную фазу центробежно, с наибольшей локализацией контрастного агента в центральной части (рис. 3). Рисунок 3. Магнитно-резонансная томограмма с контрастированием (нативное исследование, 15 с - артериальная фаза, 60 с - венозная фаза, более 4,5 мин - отсроченная фаза). К отсроченной фазе образование набирает контрастный препарат всем объемом, довольно гомогенно и по отношению к паренхиме печени - слабогиперинтенсивно. При этом в центральной части свободными от контрастного средства во все фазы исследования остаются жидкостные участки.
Заключение: МР-картина опухоли правой доли печени с вторичными очагами. Лимфоаденопатия. Калькулезный холецистит. Правосторонний гидроторакс.
УЗИ органов брюшной полости. Печень увеличена, контуры ровные, четкие, паренхима диффузно уплотнена, неоднородной структуры, повышенной эхогенности, с зонами неизмененной паренхимы в проекции IV сегмента. В проекции VII и VIII сегментов определяется солидное образование несколько пониженной эхогенности, неоднородной структуры с гипоэхогенными зонами, ровными, местами нечеткими контурами, размером 108×134 мм. Правая печеночная вена диаметром 5,4 мм огибает образование по переднемедиальному контуру, тесно контактирует с ним на этом уровне, на протяжении 37 мм тромбирована. Проксимально правая печеночная вена проходима, линейная скорость кровотока (ЛСК) - 22 см/с с монофазным типом кровотока. Средняя печеночная вена имеет рассыпной тип строения, левая - диаметром 7,0 мм; интактны. По переднему контуру образования определяются ветви собственной печеночной артерии, ЛСК - 72 см/с. При исследовании в цветном допплеровском картировании в образовании определяются единичные венозные сосуды, ЛСК - 10 см/с (рис. 4). Рисунок 4. УЗИ печени. Кроме того, в проекции III сегмента, имеется гипоэхогенное образование, неоднородной структуры диаметром 20 мм, а также создается впечатление о наличии образований в проекции VI сегмента диаметром 7,5 мм и в V сегменте диаметром 23 мм (рис. 5). Рисунок 5. УЗИ: вторичные очаги в сегментах печени.
Заключение: умеренной степени кровоснабжения опухоль правой доли печени с вовлечением правой печеночной вены, наличием дополнительных образований (отсев) в проекции III сегмента левой доли печени. Тромбоз правой печеночной вены в проксимальном сегменте вены с вовлечением в структуру образования.
Под контролем УЗИ выполнена тонкоигольная аспирационная биопсия образования печени, получено скудное количество густого содержимого серого цвета.
Цитологическое исследование: воспалительный процесс; опухолевые клетки не обнаружены.
Эзофагогастродуоденоскопия. Язва пилорического канала размером до 5-6 мм. Острые эрозии желудка. Диффузный гастрит. Взята биопсия.
Гистологическое исследование. Материал представлен фрагментами слизистой оболочки желудка с признаками хронической воспалительной инфильтрации, грануляционной и некротизированной тканей.
При контрольной эзофагогастродуоденоскопии после противоязвенной терапии отмечена положительная динамика по сравнению с предыдущим исследованием в виде заживления острых эрозий и уменьшения размера язвы до 3-4 мм; хроническая эрозия пилорического отдела желудка, диффузный антрум-гастрит.
Колоноскопия. Единичные дивертикулы сигмовидной кишки без признаков дивертикулита.
Операция. С предварительным диагнозом гепатоцеллюлярный рак, пациент был прооперирован. Интраоперационно: печень увеличена с признаками жировой дистрофии, левая доля гипертрофирована. В правой доле пальпаторно определяется образование 10,0 см в диаметре плотноэластической консистенции с нечеткими границами, тесно прилегающее к диафрагме в области VI-VII сегментов печени, во II сегменте печени имеется плотное образование диаметром 2,0 см. Асцита нет. Желчный пузырь с утолщенными стенками, блестящей серозой. Тупым и острым путем опухоль отделена от диафрагмы. Холецистэктомия с перевязкой пузырного протока и артерии. После выделения, прошивания и пересечения элементов правой печеночной ножки выполнена правосторонняя гемигепатэктомия с последующей радиочастотной термоабляцией очага во II сегменте печени под контролем интраоперационного УЗИ. Послеоперационное течение осложнилось абсцессом правого поддиафрагмального пространства, который был санирован пункционно-дренажным методом под контролем УЗИ.
При макроскопическом исследовании опухоль представлена узлом с нечеткими границами размером 8×10 см, на разрезе желтоватого цвета (рис. 6, 7). Рисунок 6. Опухоль VI-VII сегментов печени на разрезе. Рисунок 7. Визуализирован тромб в правой печеночной вене (стрелка).

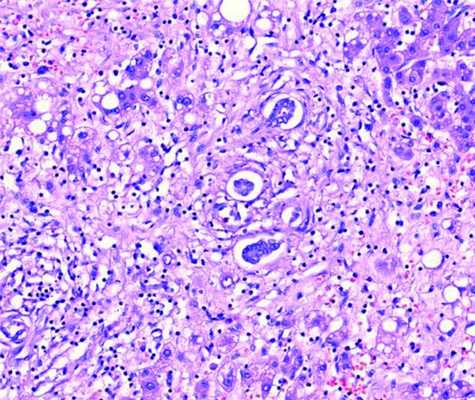
При микроскопическом исследовании опухоль представлена полями фибробластов и миофибробластов с участками миксоматоза и некроза, а также хронической воспалительной инфильтрацией в виде лимфоидных фолликулов и плазмоцитов. Печеночная ткань в виде остаточных островков среди веретенообразных и звездчатых клеток со светлыми ядрами, содержащими единичные маленькие ядрышки, со светлой амфифильной цитоплазмой и нечеткими клеточными границами (рис. 8). Рисунок 8. Печеночная ткань в виде остаточных островков среди веретенообразных и звездчатых клеток со светлыми ядрами. Окрашивание гематоксилином и эозином. Желчные протоки атрофированы, деформированные, окруженные миксоматозной фибропластической стромой. Воспалительная инфильтрация носит неравномерный характер. Между сформированными лимфоидными фолликулами, часть из которых со светлыми зародышевыми центрами, отмечается скудная лимфоцитарная, плазмоцитарная и моноцитарная инфильтрация, рассеянная в миксоматозной строме. Среди фибробластов отмечаются крупные звездчатые клетки с гиперхромными атипичными ядрами и просматривающимся ядрышками.
При иммуноморфологическом исследовании выявлены многочисленные СD45Ra-позитивные лимфоциты (В-лимфоциты) формирующие множественные лимфоидные фолликулы, часть из которых, сливаясь, формирует фигуры неправильной формы (рис. 9). Рисунок 9. СD45Ra-позитивные лимфоциты, формирующие множественные лимфоидные фолликулы. Иммуногистохимическое исследование. СD45Ro-позитивные или Т-лимфоциты единичны и располагаются вне фолликулов. Отмечается выраженная диффузная экспрессия гладкомышечного актина по всей площади опухоли миофибробластоподобными клетками вокруг лимфоидных фолликулов (рис. 10). Рисунок 10. Диффузная экспрессия гладкомышечного актина. Иммуногистохимическое исследование. Реакция с ALK и CD117 - отрицательная.
Морфологическая дифференциальная диагностика ВМО прежде всего зависит от локализации опухолевого процесса. При локализации в брыжейке, забрюшинном пространстве их дифференцируют от десмоидной опухоли, воспалительной липосаркомы, воспалительной лейомиосаркомы, склерозирующего мезентерита; при локализации в печени - от гастроинтестинальной стромальной опухоли.
Представленный случай демонстрирует сложность дифференциальной диагностики псевдовоспалительных опухолей печени, требующей во всех случаях предоперационной биопсии и последующего иммуногистохимического исследования препарата. Во время написания данной статьи наш пациент чувствовал себя хорошо, вел активный образ жизни, признаков рецидива заболевания нет.
Влияние полония на организм человека
Среди всех существующих интоксикаций отравление полонием - одно из самых страшных. Оно характеризуется тяжелыми симптомами и приводит к необратимым последствиям. Являясь радиоактивным элементом, полоний поражает человека вплоть до смертельного исхода. Благо, отравится им не так уж легко. И все же узнать о том, где мы можем сталкиваться с этим опасным веществом, будет не только интересно, но и поучительно.
Определение металла - полоний

Полоний - это радиоактивный химический элемент в виде мягкого металла серебристого цвета. В мизерных количествах полоний встречается в природе. В микроскопических дозах изотопы полония содержаться в некоторых продуктах питания, например, смородине и клубнике. На растения они попадают из почвы или воздуха. Толика полония присутствует в морской воде, а поэтому и в морской рыбе.
Искусственно полоний производится в атомных реакторах с помощью облучения изотопов висмута. В малом количестве его используют в промышленности. Он настолько опасен для жизни, что работают с этим материалом только в специальных герметичных боксах, предварительно облачившись в защитные костюмы. Ни в коем случае нельзя допускать его контакт с телом. Попав в организм даже в очень маленьких дозах (менее одного грамма), он необратимо разрушает внутренние органы и ткани, поражает все системы жизнедеятельности. Полоний в 4 триллиона раз токсичнее синильной кислоты.
В большей степени вредоносными для человеческого здоровья являются излучаемые полонием альфа-частицы. Они и становятся причиной разрушения органов и образования злокачественных опухолей.
Этот редкий химический элемент был открыт еще в 1898 году семейной четой Кюри и назван в честь родины супруги семейства - Польши. Женщина получила за открытие Нобелевскую премию.
Использование полония в промышленности
В промышленной деятельности обычно используют с так называемым полонием-210, период полураспада которого самый короткий - 138 дней и 9 часов. В основном его используют, чтобы снять статическое напряжение. Кроме того, полоний применяют в космонавтике и машиностроении, в создании нейтронных источников и радиоактивного оружия. Также предпринимают попытки лечить рак полонием, который способен убивать метастазы.
Серебристый металл применяли на космических кораблях, чтобы обогревать аппаратуру. Для этого его нужно немного, а по количеству производимой энергии он обходит другие атомные источники.
Как отличный антистатик полоний используют в пульверизаторах для покраски автомобилей. Подача воздуха происходит через ионизатор с полонием. Раньше вещество использовали, чтобы уменьшить напряжение возникновения искры в автомобильных свечах зажигания.
Из-за угрозы ядерного терроризма полоний должен жестко контролироваться в любой стране.
Истории отравления организма человека полонием

История приводит в доказательство опасности полония некоторые известные смертельные случаи при отравлении организма человека. Дочь первооткрывателей вещества Ирен Кюри умерла от лейкемии. Считается, что она получила отравление радиоактивным полонием, работая с ним в лаборатории. Через время это привело к болезни и смерти.
В наше время громкое отравление полонием случилось в 2006 году, когда в Лондоне серебристый порошок подсыпали в чай критику Москвы, бывшему работнику КГБ, Александру Литвиненко. Чтобы диагностировать попадание элемента в организм, врачам понадобилось несколько недель. Все признаки указывали на то, что Литвиненко получил радиационное поражение. Но так как счетчик, который замеряет подобные заражения, не мог обнаружить вещество, ученые склонялись к мнению, что больной поражен радиоактивным таллием. Полоний нелегко определить в организме, медицинская практика сталкивается с подобными случаями крайне редко.
Ученые случайно обнаружили вещество в организме Литвиненко, хотя для того, чтобы понять причину болезни, были запущены мощные средства. В тот день, когда ученые наконец-то выявили причину отравления, Литвиненко умер. Его болезнь развивалась в течение месяца и привила к смертельному исходу, несмотря на то, что за его жизнь боролись опытные британские специалисты.
Существует версия, по которой смерть палестинского лидера Ясира Арафата в 2004 году наступила вследствие отравления полонием.
Важно! Получить отравление полонием в быту сложно. Это редкое вещество строго контролируется государством.
Хотя полонию не существует противоядия, убить им не так и просто. Доступ к этому редкому серебристому порошку имеют немногие, так как объекты, на которых производится полоний, жестко контролируются правительством. А попасть случайно в организм с едой или любым другим способом в смертельных дозах он не может.
Вред курения для организма человека из-за полония в табаке
Полоний накапливается в табаке, листья которого содержат радиоактивные частички, которые не удаляются во время обработки - это одна из причин вреда курения. В 2008 году ученые Стэндфордского университета и клиники Майо в Рочестере провели исследования в данной области. Их выводы относительно накопления полония в табаке красноречивы: «Производители табака обнаружили этот элемент более 40 лет назад, попытки изъять его были безуспешны».
При активном курении полоний скапливается в организме очень медленно. Его действие не будет заметным быстро. Но через определенный промежуток времени этот радиоактивный элемент способен вызвать рак легких.
Хуже всего, что производители сигарет, знают о проблеме, но пытаются скрыть ее от потребителей. Много лет они пытались избавиться от проблемы, используя разные технологии обработки сырья и даже генную инженерию. Но их попытки оказались безуспешными. Не помогают в данном вопросе и сигаретные фильтры.
Ученые предлагают размещать информацию о присутствии полония в табаке на сигаретных пачках. Но пока их энтузиазм не находит отклика у производителей.
Причины раковых заболеваний организма человека из-за полония

Американские исследователи в 1991 году провели обследование работников одного из ядерных предприятий США, которые проработали там с 1944 по 1972 год; ученые обнаружили, что многие из них заболели на рак почек и легких - одной из основных причин онкологий считают именно полоний. Строгие меры безопасности не были способны оградить здоровье работников полностью.
В лабораториях, где проводятся работы с опасным веществом, нельзя хранить ни воду, ни еду, ни косметику. Более того, то, что люди едят и пьют, нельзя ставить на полки, на которых хоть раз держали полоний. Малейший контакт с серебристым порошком может привести к непоправимым последствиям.
Опыты, которые проводились на лабораторных крысах, показали, что полоний приводит к образованиям опухолей толстого кишечника, почек, семенников и других органов. Кроме того, он вызывает изменения в крови и цирроз печени.
Симптомы отравления организма человека полонием
Полоний становится жизненно опасным, попадая в организм человека, указываю на симптомы тяжелого отравления. Это может случиться через дыхательные пути, если надышаться полонием. Заражение способно произойти через рану на теле. Самым надежным способом отравления считается попадания полония в пищевод, то есть с едой или напитками.
Признаки отравления таким редкостным ядом на самом деле не уникальны. Это одна из причин, почему диагностировать отравление полонием очень сложно. Попадая в организм, он начинает медленно, но уверенно разрушать его. Частички элемента оседают в костном мозге, коже, почках, печени и селезенке. Достаточно 0,1-0,2 мкг, чтобы запустить машину смерти в человеке. Данная доза способна убить за месяц-два. Если увеличить дозу, смерть наступит быстрее.
Если количество вещества, попавшего в организм, небольшое, у больного наблюдаются следующие признаки:
- боль в животе,
- тошнота,
- рвота,
- диарея,
- запор,
- повышение артериального давления,
- учащенное сердцебиение,
- усталость, вплоть до апатии,
- онемение пальцев на руках и ногах,
- помутнение сознания и бред,
- нарушение зрения.
О тяжелом отравлении говорят такие симптомы:
- организм стареет на глазах,
- обостряются хронические заболевания,
- кожа и ногти становятся тонкими,
- выпадают волосы,
- изменения в двигательной моторике,
- кровавый стул,
- иммунитет перестает функционировать,
- судороги,
- психозы,
- начинаются перебои в работе печени и почек,
- распухает горло,
- происходит частичная или полная слепота,
- образовываются опухоли в разных местах.
Тяжелая симптоматика возникает при дальнейшем развитии лучевой болезни. Поражаются все внутренние системы: пищеварительная, кроветворная, сердечная, нервная. Наиболее губительно полоний действует на печень, почки и костный мозг. Поэтому функционирование этих органов отказывает в первую очередь.
Важно! Из-за сложности обнаружения полония в организме, установить правильный диагноз медикам тяжело.
Полоний сложно обнаружить в крови. Чтобы понять причину болезни, медикам необходимо сделать большое количество анализов. Так как симптомы отравления подобны признакам отравлений другими тяжелыми металлами, выдвинуть версию интоксикации именно полонием непросто.
Если вовремя не определить причину болезни, летальный исход наступает необратимо. Зная причину заболевания, врачи могут только облегчить страдания и продлить жизнь.
Первая помощь при отравлении организма человека полонием

При отравлении организма человека полонием, необходимо срочно оказать первую помощь:
Уже в больнице врачи будут регулярно промывать больному желудок, бороться за работу печени и почек с помощью всевозможных препаратов. Оказать более ощутимую помощь могут решительные методы: пересадка костного мозга и переливание крови.
Заключение
Радиоактивный полоний является одним из самых сильных ядов в мире. Работая с ним, важно соблюдать все меры предосторожности. Необходимо использовать специальные костюмы, не прикасаться к веществу, ни в коем случае не хранить рядом напитки или еду. Заражение полонием очень болезненно и смертельно для человека. Квалифицированная помощь может облегчить состояние, но вылечить полностью не способна.
Курение - как медленный процесс накопления ядовитого вещества в организме - также является опасным. Об этом следует не забывать активным курильщикам. Приложить усилия для того, чтобы бросить вредную привычку, на самом деле жизненно важно. Берегите себя!
Полоний: стратегический яд
В последние дни о невероятной опасности радиоактивного полония-210 узнал весь мир. Naked Science разобрался, что это за элемент, откуда берется и как действует на организм.
Открыт полоний был в 1898 году Марией Склодовской-Кюри, изучавшей смоляную урановую руду, и назван ею в честь родной Польши. В Периодической системе химических элементов он получил номер 84, разместившись почти у самой нижней ее границы, в 16-й группе, которую «возглавляют» кислород и сера. Известно около 30 изотопов полония, ядра которых содержат 84 протона и разное количество нейтронов, что дает им массу от 194 до 218 атомных единиц. Изотопом, с которым работала Мария Склодовская-Кюри, был полоний-210 - забавно, но именно из-за него поднялся сегодня весь этот переполох.
Полоний - тяжелый элемент, который в природе встречается чрезвычайно редко и в количествах, для здоровья обычного человека не представляющих никакой опасности. Он появляется в ходе радиоактивного распада урана, который на своем долгом пути, ведущем к нерадиоактивному свинцу, проходит целый ряд превращений: полоний - одна из «остановок» на этом маршруте.
Впрочем, долго он не существует: период его полураспада в зависимости от изотопа составляет от сотен микро- и даже наносекунд до нескольких суток, за исключением полония-208 и полония-209, для которых он достигает 2,9 и 125 лет соответственно. Период полураспада полония-210 составляет 138 дней. Этим и объясняются редкость этого элемента в естественных условиях и необходимость его искусственного синтеза для промышленных, научных и военных целей.
С помощью сложнейших и опаснейших манипуляций полоний в крошечных количествах удается выделять из урановой руды. Как правило, это долгоживущий полоний-209, который превращают в полоний-210, «обстреливая» нейтронами, образующимися в ядерных реакторах. Считается, что основным производителем его является Россия, точнее говоря, завод «Авангард» в закрытом Сарове - бывшем Арзамасе-16, хотя точные сведение о таких секретных производствах найти не так-то просто. Не так давно производство полония было возобновлено и в США.
Полоний находит применение не только в ядерных детонаторах и всевозможных неприятных бомбах. Из него делают компактные и эффективные источники нейтронного излучения, антистатические ионизаторы воздуха. Полониевые радиоизотопные источники тепловой энергии устанавливаются, например, на аппараты долговременных космических миссий, которые отправляются в далекий космос, где света недостаточно для постоянного питания от солнечных батарей. В общем, материал этот стратегический.
В то же время полоний является одним из самых опасных веществ, известных современной токсикологии. Точная смертельная доза полония не установлена, но известно, что 250 мг его совершенно определенно приведут к гибели, что делает полоний как минимум в 250 тыс. раз токсичнее цианидов, хотя некоторые специалисты считают, что это серьезное преуменьшение и токсичность полония выше в триллионы раз.
С другой стороны, полоний легко абсорбируется другими химическими веществами, включая воду, окружающие нас предметы и воздух, так что для настоящего отравления необходимы большие дозы, которые гарантировали бы проникновение хотя бы минимального количества в организм жертвы. Стоит заметить, что и альфа-частицы, которые выделяются при распаде полония, также легко поглощаются даже парой листов бумаги, и это затрудняет его обнаружение детекторами радиоактивности.
Но даже если вы проглотите немножко полония, шанс выжить у вас остается: необходимо провести срочное и глубокое промывание желудка, а также принять хелатирующие препараты, которые связывают тяжелые металлы и облегчают их выведение из организма. Если эти экстренные меры не принять оперативно, шансов почти не останется. Хотя, в отличие от тех же цианидов, полоний действует отнюдь не моментально, но из кишечника (или из легких при вдыхании его паров) он легко проникает в кровоток и уже тогда разносится по всему телу, вызывая нарушения, несовместимые с жизнью.
Повреждения наносит все тот же радиоактивный распад полония-210: хотя он излучает считающиеся на самыми «проблемными» альфа-частицы, которые легко задерживаются минимальным экраном. Происходит это с такой интенсивностью, что даже брать образец в руки не рекомендуется. Кроме того, при распаде полоний сильно разогревается - с одной стороны, это и позволяет использовать его в качестве источника энергии в космосе и других изолированных обстоятельствах, а с другой, заставляет его испаряться, переходя в аэрозоль, который слишком легко вдохнуть.
Разбежавшись по организму, полоний продолжает распадаться, выделяя невероятное множество альфа-частиц. Состоящие из пары протонов и пары нейтронов, они летят подобно тяжелым ядрам, беспорядочно сталкиваясь с молекулами нашего тела и разрывая их на куски. При этом образуются отдельные фрагменты - свободные радикалы, обладающие исключительно высокой химической активностью. Они, в свою очередь, вступают в реакцию с практически любой подвернувшейся молекулой, повреждая тонкую биохимическую машинерию клетки.
Если полоний был получен перорально, он успевает нанести повреждения и в желудочно-кишечном тракте, что выражается в сильной рвоте - первом из признаков такого отравления. В течение нескольких дней практически погибает костный мозг, в котором происходит созревание клеток крови. Очень ярко это проявляется в резком падении числа белых кровяных телец, которые гибнут массово и становятся практически неспособны защищать организм от инфекционных агентов.
Гибнут и волосяные фолликулы, чрезвычайно чувствительные к недостатку снабжения кислородом: у обреченного выпадают волосы. Все эти симптомы наблюдались у несчастной дочери Марии Склодовской-Кюри - Ирен Жолио-Кюри, которая умерла от лейкемии, вызванной, скорее всего, контактом с этим опаснейшим ядом. Она стала первой, но, увы, не последней жертвой полония.
Читайте также:
- КТ при переломе суставных отростков, дуг грудных и поясничных позвонков
- Рак бронхиальных желез. Светлоклеточная опухоль легких.
- Аппендикулярно-генитальный синдром
- Диагностика метастазов во внутригрудные лимфатические узлы на рентгене, КТ, МРТ
- Задачи лечения болезней периодонта. Принципы лечения гингивита и периодонтита.
