Особенности височной кости новорожденного. Формирование наружного слухового прохода
Добавил пользователь Евгений Кузнецов Обновлено: 21.01.2026
Кафедра оториноларингологии педиатрического факультета, научно-исследовательская лаборатория экспериментальной и клинической детской оториноларингологии Российского национального исследовательского медицинского университета им. Н.И. Пирогова, Москва
Кафедра гистологии лечебного факультета РНИМУ им. Н.И. Пирогова;
Морозовская детская городская клиническая больница
Морозовская детская городская клиническая больница
ГБУЗ "Бюро судебно-медицинской экспертизы" Департамента здравоохранения Москвы
ГБУЗ "Бюро судебно-медицинской экспертизы Департамента здравоохранения города Москвы"
Клинико-анатомические особенности среднего уха недоношенных новорожденных в различные сроки гестации
Журнал: Вестник оториноларингологии. 2012;77(5): 27‑30
Рахманова И.В., Древаль А.А., Мамченко С.И., Асташкина О.Г., Столярова Е.П., Матроскин А.Г. Клинико-анатомические особенности среднего уха недоношенных новорожденных в различные сроки гестации. Вестник оториноларингологии. 2012;77(5):27‑30.
Rakhmanova IV, Dreval' AA, Mamchenko SI, Astashkina OG, Stoliarova EP, Matroskin AG. Clinical and anatomical features of the middle ear in the premature infants at different gestational time. Vestnik Oto-Rino-Laringologii. 2012;77(5):27‑30. (In Russ.).
Цель исследования - анализ анатомических особенностей строения среднего уха у недоношенных новорожденных различного гестационного возраста. Изучены анатомо-топографические особенности строения среднего уха 100 мертворожденных и живорожденных новорожденных (200 височных костей). Выявлены отличительные клинико-анатомические особенности строения барабанной полости недоношенных новорожденных в различные сроки гестации и доношенных новорожденных; в жидкости, содержащейся в барабанной полости, найден Β-хориональный гонадотропин человека.
По данным Центрального НИИ организации и информации здравоохранения, болезни уха и сосцевидного отростка встречались в 2008 г. у 1 049 510 детей (5007,6 на 100 000 населения), а в 2009 г. — у 1 097 870 детей (5205,2 на 100 000 населения). Частота среднего отита среди всех болезней уха в детском возрасте, по данным М.Р. Богомильского, В.С. Минасяна [1], составляет 25—40%, причем основным контингентом являются дети до 3 лет — 71—75%.
В настоящее время улучшение технической базы родильных домов, перинатальных центров дало возможность выхаживать недоношенных новорожденных детей с низкой и экстремально низкой массой тела, что в то же время может увеличивать процент заболеваемости детей острым средним отитом.
Изучению анатомических особенностей височной кости посвящено в мировой литературе множество работ. Большинство из них дает общее представление о строении височных костей без указания возрастных особенностей [2—6].
Лишь в некоторых изданиях бегло указываются анатомические различия височной кости ребенка и взрослого без уточнения периодов детства [7, 8]. В то же время именно эти особенности в значительной степени определяют частоту острых воспалений среднего уха, а также серьезные осложнения, в том числе внутричерепные.
Цель исследования — изучение анатомических особенностей строения среднего уха у недоношенных новорожденных различного гестационного возраста.
Материал и методы
Были изучены анатомо-топографические особенности строения среднего уха 100 новорожденных (200 височных костей), рожденных мертвыми (83 новорожденных, 166 височных костей) или проживших от нескольких часов до 2 мес и умерших вскоре в результате тяжелых соматических заболеваний и пороков развития, не связанных с органом слуха (17 новорожденных, 34 височные кости).
Новорожденные были объединены в 4 группы в зависимости от сроков гестации. Первые 3 группы (опытные) составили недоношенные, а 4-ю (контрольную) — доношенные новорожденные. В 1-ю группу были включены недоношенные, рожденные до 28 нед гестации, их число составляло 31 (31,0%); во 2-ю группу — рожденные на 29—32-й неделе — 30 (30,0%); в 3-ю группу — на 33—37-й неделе — 18 (18,0%) и 4-я группа была представлена новорожденными на 38—40-й неделе и включала 21 (21,0%) новорожденного. Таким образом, в группе до 28 нед гестации нами были изучены 62 височные кости, в группе 29—32 нед — 60, 33—37 нед — 36, а рожденных в срок 38—40 нед — 42 височные кости.
Для изучения анатомических структур среднего уха отсепаровывали кожный лоскут в околоушной области вместе с ушной раковиной, обнажали барабанную перепонку и производили ее замеры — вертикальный и поперечный.
За вертикальный размер нами было принято расстояние от внутреннего края чешуи височной кости до середины нижней стенки барабанного кольца, проходящее через рукоятку молоточка, а за поперечный — расстояние между внутренними поверхностями передней и задней стенок барабанного кольца, соответствующее стенкам барабанной полости, проведенное через конец рукоятки молоточка перпендикулярно большому диаметру.
После отсепаровки барабанной перепонки от барабанного кольца и рукоятки молоточка четко обозревалась барабанная полость.
Барабанную перепонку, барабанное кольцо и слуховые косточки фиксировали в 10% растворе нейтрального формалина.
Слуховые косточки и барабанное кольцо декальцинировали в растворе «Decale State» (США), проводили по спиртам восходящей концентрации, заливали в парафин и на микротоме готовили срезы толщиной 2,5—3 мкм. Приготовленные препараты окрашивали гематоксилином и эозином по методу ван Гизона с окраской на эластику и просматривали в световом микроскопе Olimpus (Япония) при ув. 40—400.
Содержимое барабанной полости аспирировали. Из всех полученных образцов были приготовлены мазки, которые подвергались в дальнейшем светооптическому анализу. Все мазки были окрашены гематоксилином и эозином по методу Романовского—Гимзы.
Для исследования качественной характеристики жидкости, находящейся в барабанной полости (pH жидкости, наличие β-хорионального гонадотропина человека), 38 образцов жидкостного содержимого барабанной полости после однократной заморозки (-21 °С) были отправлены на исследование в Бюро СМЭ ДЗ Москвы.
На всем протяжении препарирования проводилась фотосъемка.
Для статистического анализа использовался статистический пакет обработки данных SPSS Statistics 18 (IBM COMPANY, США), а также встроенная функция математического/статистичекого анализа программы MS Exel 2003.
Результаты и обсуждение
Среднее ухо новорожденного ребенка находится в толще височной кости и включает в себя барабанную перепонку (membrana tympani), полость среднего уха (cavum tympani — барабанную полость), слуховые косточки: молоточек (maleolus), наковальню (incudis), стремечко (stapes). На медиальной стенке барабанной полости имеется возвышение овальной формы — мыс (promontorium), образованный выступом основного завитка улитки. Кзади и кверху от мыса находится окно преддверия (fenestra vestibule), а кзади и книзу от него располагается окно улитки (fenestra cochleae).
Со стороны наружного слухового прохода барабанная перепонка новорожденных детей от 28 до 40 нед гестации покрыта более или менее выраженной плотной субстанцией или тканью, имеющей при проведенном светооптическом анализе фибриллярную структуру, перемежающуюся с клетками эпителия и тенями клеток различной формы. Выявленная нами субстанция исчезает практически полностью к 3-й неделе — 1 мес жизни.
Барабанная перепонка у новорожденных в срок до 32 нед гестации плотная, серого или серо-синего цвета, единственным опознавательным знаком является рукоятка молоточка.
В группах от 33 до 40 нед гестации барабанная перепонка серого цвета, плотная, рукоятка молоточка также четко определяется.
Светооптический анализ препаратов барабанной перепонки на всех сроках исследования выявил, что барабанная перепонка имеет три слоя: наружный эпителиальный, средний фиброзный, внутренний, находящийся со стороны барабанной полости (слизистый). Также нами выявлена отчетливая эпителизация барабанной перепонки со стороны наружного слухового прохода.

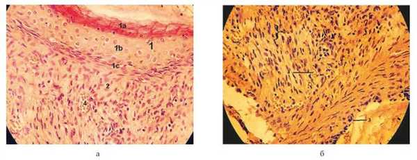
Эпителий у новорожденных до 28 нед гестации выглядит в виде узкой полоски с неровным рельефом (рис. 1, а, б на цв. вклейке). Рисунок 1. Микропрепарат. Гистологическое строение барабанной перепонки недоношенного новорожденного до 28 нед гестации (а, б) (1 — ороговевающий эпителий: 1а — кератиновый слой, 1b — шиповатый слой, 1с — базальный слой; 2 — соединительнотканные волокна; 3 — слизистый слой, 4 — сосуды). Окраска гематоксилином и эозином. Ув. 400.
Отчетливо выражены процессы ороговения в отдельных участках барабанной перепонки, кератиновый слой достигает значительных размеров, что согласуется с данными литературы [2, 6]. Шиповатый слой эпителия состоит из 1—3 слоев рыхло расположенных клеток. Субэпителиальная соединительная ткань развита хорошо, обильно васкуляризирована.
Толщина эпителиального пласта барабанной перепонки в срок 29—32 нед гестации увеличивается. Количество клеток шиповатого слоя эпителия неравномерно нарастает, подэпителиальная соединительная ткань более компактна.
Эпителий барабанной перепонки у новорожденных в срок 33—37 нед гестации выглядит в виде широкой полосы, роговой слой часто десквамирован.
В 38—39 нед барабанная перепонка представлена широкой полоской многослойного плоского ороговевающего эпителия. Соединительнотканная основа плотная, с рыхлым расположением клеток.
Средний слой во всех исследуемых группах представлен плотной неоформленной соединительной тканью с хаотичным расположением эластических и коллагеновых волокон. По мере приближения волокон к рукоятке молоточка их направление становится более упорядоченным, образуется сухожильный футляр, окружающий рукоятку молоточка с обеих сторон.
Слизистый слой барабанной перепонки у новорожденных в срок до 32 нед гестации представлен однорядным кубическим или уплощенным эпителием, а в срок гестации 33—40 нед — в основном однорядным кубическим эпителием. Поверхность слизистого слоя покрыта структурами с нежно ячеистым рисунком (см. рис. 1, б на цв. вклейке).

С увеличением гестационного возраста происходит рост барабанной перепонки. Достоверно установлено, что барабанная перепонка увеличивается в вертикальном размере до 33 нед гестации (p<0,05). До 28 нед вертикальный размер барабанной перепонки составил 7,6±0,1 мм, в группе 29—32 нед — 8,6±0,1 мм, 33—37 нед — 8,6±0,2 мм, 38—40 нед — 9,0±0,1 мм. Поперечный размер барабанной перепонки достоверно увеличивается до 29 нед (p<0,05): до 28 нед он составляет 6,8±0,1 мм, 29—32 нед — 7,2±0,1 мм, 33—37 нед — 7,2±0,2 мм, 38—40 нед — 7,2±0,2 мм. Также нами было установлено, что асимметрия барабанной перепонки между правым и левым ухом практически отсутствует (см. таблицу).
Барабанное кольцо (annulus tympanicus) представляет собой незавершенное кольцо или «подкову». В срок до 33 нед барабанное кольцо легко отделяется от стенок барабанной полости, а с 33 нед гестации оно более плотно прикрепляется к стенкам барабанной полости и присоединяется швами к чешуе височной кости в области верхней стенки барабанной полости.
При исследовании гисто- и цитоархитектоники барабанного кольца нами было установлено, что уже в срок 21 нед гестации барабанное кольцо имеет костную структуру, представленную тонковолокнистой костной тканью.
После отсепаровки барабанной перепонки в барабанной полости четко просматриваются слуховые косточки (молоточек, наковальня, стремечко), мыс, окно улитки, окно преддверия.

Мыс у новорожденных до 30 нед гестации полностью занимает нижнюю часть барабанной полости, гипотимпанум отсутствует (рис. 2, а на цв. вклейке). Рисунок 2. Макропрепарат барабанной полости. Барабанная полость новорожденного на сроке гестации 23 (а) и 31 (б) нед (барабанная перепонка удалена). 1 — рукоятка молоточка (частично удалена — а), 2 — длинная ножка наковальни, 3 — стремечко, 4 — промонториум, 5 — окно улитки, 6 — барабанное кольцо, 7 — участок барабанной перепонки.
В верхних отделах барабанной полости располагаются слуховые косточки. Со временем промонториум по мере роста черепа отходит кзади, уплощается и уже в срок около 30 нед гестации появляется область гипотимпанума (рис. 2, б на цв. вклейке).

Молоточек, наковальня и стремечко в срок гестации до 32 нед имеют смешанную структуру. Хрящевая основа косточек сменяется островками грубоволокнистой костной ткани (рис. 3, а на цв. вклейке). Рисунок 3. Микропрепарат. Гистоархитектоника наковальни в различном гестационном возрасте. Гистоархитектоника наковальни новорожденного в срок 26 (а) и 39 (б) нед гестации (1 — глубоковолокнистая костная ткань, 2 — тонковолокнистая костная ткань, 3 — остеон, 4 — хрящевая ткань, 5 — гаверсовы каналы). Окраска гематоксилином и эозином. Ув. 400.
В срок от 33 до 40 нед (рис. 3, б на цв. вклейке) гистоархитектоника слуховых косточек уже иная. Основной структурой слуховых косточек является тонковолокнистая костная ткань. Клетки и соединительнотканные волокна расположены упорядоченно, но все так же участками просматривается гиалиновый хрящ.
При цитологическом исследовании мазков содержимого барабанной полости нами были определены клетки крови (эритроциты, макрофаги, лимфоциты), полиморфные клетки (многие из которых были на стадии деструкции), клетки-тени, фибриллярные структуры. После центрифугирования при цитологическом исследовании мазков определялись только десквамированные (слущенные) клетки.
Весь исследуемый материал до и после центрифугирования имел нейтральный pH жидкости (pH=7,0).
В образцах, отправленных на исследование в Бюро СМЭ ДЗ Москвы, жидкостного содержимого, собранного из барабанной полости новорожденных (живорожденных и мертворожденных), нами был обнаружен β-хориональный гонадотропин человека.
Заключение
В своем исследовании мы рассматривали височные кости живорожденных, мертворожденных недоношенных и доношенных новорожденных, которые были объединены в соответствии со сроками гестации. В ходе работы нами выявлены некоторые особенности анатомических структур среднего уха, характерные для определенного срока гестации.
Так, нами было отмечено, что со стороны наружного слухового прохода барабанная перепонка новорожденных детей от 28 до 40 нед гестации покрыта более или менее выраженной тканью или плотной субстанцией, исчезающей полностью к 3-й неделе — 1 мес жизни.
До 30 нед гестации отсутствует нижняя стенка барабанной полости, мыс (промонториум) резко вдается кпереди, отсутствует гипотимпанум. Это согласуется с данными одних авторов [8] и противоречит данным других [9].
Барабанное кольцо уже в срок гестации 21 нед имеет костную структуру и представлено тонковолокнистой костной тканью (по данным А.Е Бетремеева [9], очаги окостенения в барабанном кольце появляются у плодов на сроке 84 дней).
По данным многих авторов [2, 4—7, 9], барабанная перепонка к моменту рождения имеет такой же размер, как и у взрослого человека (высота 9,0—10,0 мм, поперечный размер 8 мм). В своих наблюдениях мы установили более интенсивный рост барабанной перепонки в вертикальном размере от 7,6±0,1 мм (в срок до 28 нед) до 9,0±0,1 мм (в 38—40 нед) и практическое отсутствие роста барабанной перепонки в поперечном размере начиная со срока 29 нед гестации (7,2 мм).
Слуховые косточки у недоношенных новорожденных во всех исследованных нами группах имеют костно-хрящевую структуру. Костная ткань молоточка, наковальни и стремечка с увеличением срока гестации становится более компактной, количество гаверсовых каналов и остеонов увеличивается, что не совпадает с данными исследования В.Н. Левина [3], который указывал, что пластинчатая кость появляется у плода в 6 мес и заканчивает свое формирование к 8 мес внутриутробного развития.
В жидкости, содержащейся в барабанной полости, был выявлен β-хориональный гонадотропин человека, а также определен pH, который равен 7,0. Эти факты, соответствуя данным иностранной литературы [10], позволяют нам предположить, что в барабанной полости содержится околоплодная жидкость [10, 11].
Особенности строения уха у детей раннего возраста
Анатомо-физиологические и иммунобиологические особенности детского организма определяют особенности клинического течения заболеваний уха у детей раннего возраста. Это находит свое выражение в частоте воспалительных заболеваний среднего уха, тяжести течения, более частых осложнениях, переходе процесса в хронический. Перенесенные в раннем детстве заболевания уха способствуют развитию осложнений у детей старшего возраста и во взрослом состоянии. Анатомо-физиологические особенности уха у детей раннего возраста имеют место во всех отделах.
Ушная раковина у грудного ребенка мягкая, малоэластичная. Завиток и мочка выражены не отчетливо. Формируется ушная раковина к четырем годам.
Наружный слуховой проход у новорожденного ребенка короткий, представляет собой узкую щель, заполненную первородной смазкой. Костная часть стенки еще не развита и верхняя стенка прилегает к нижней. Слуховой проход направлен вперед и книзу, поэтому, чтобы осмотреть слуховой проход, ушную раковину нужно оттянуть назад и книзу.
Барабанная перепонка более плотная, чем у взрослых за счет наружного кожного слоя, который еще не сформировался. В связи с этим обстоятельством при остром среднем отите перфорация барабанной перепонки происходит реже, что способствует развитию осложнений.
Барабанная полость у новорожденных заполнена миксоидной тканью, которая является хорошей питательной средой для микроорганизмов, в связи с чем увеличивается опасность развития отитов в этом возрасте. Рассасывание миксоидной ткани начинается с 2-3 недельного возраста, однако, может находиться в барабанной полости в течение первого года жизни.
Слуховая труба в раннем возрасте короткая, широкая и горизонтально расположена, что способствует легкому проникновению инфекции из носоглотки в среднее ухо.
Сосцевидный отросток не имеет сформировавшихся воздухоносных ячеек, кроме пещеры (антрум), которая расположена непосредственно под наружной поверхностью сосцевидного отростка в области треугольника Шипо. Поэтому при воспалительном процессе (антрите) часто развивается в заушной области болезненный инфильтрат с оттопыриванием ушной раковины. При отсутствии необходимого лечения возможны внутричерепные осложнения. Пневматизация сосцевидного отростка происходит по мере роста ребенка и заканчивается в возрасте 25-30 лет.
Височная кость у новорожденного ребенка состоит из трех самостоятельных элементов: чешуи, сосцевидного отростка и пирамиды в связи с тем, что они разделены хрящевыми зонами роста. Кроме того, в височной кости часто встречаются врожденные дефекты, которые способствуют более частому развитию внутричерепных осложнений.
Внутреннее ухо представлено костным лабиринтом, расположенным в пирамиде височной кости, и находящимся в нем перепончатым лабиринтом.
Костный лабиринт состоит из трех отделов: преддверия, улитки и трех полукружных каналов. Преддверие - средняя часть лабиринта, на наружной стенке которого расположены два окна, ведущие в барабанную полость. Овальное окнопреддверия закрыто пластинкой стремени. Круглое окно закрыто вторичной барабанной перепонкой. Передняя часть преддверия сообщается с улиткой через лестницу преддверия. Задняя часть содержит два вдавления для мешочков вестибулярного аппарата. Улитка - костный спиральный канал в два с половиной оборота, который делится костной спиральной пластинкой на лестницу преддверия и барабанную лестницу. Между собой они сообщаются через отверстие, находящееся у верхушки улитки. Полукружные каналы - костные образования, расположенные в трех взаимно перпендикулярных плоскостях: горизонтальной, фронтальной и сагитальной. Каждый канал имеет два колена - расширенную ножку (ампулу) и простую. Простые ножки переднего и заднего полукружных каналов сливаются в одну, поэтому у трех каналов имеется пять отверстий. Перепончатый лабиринт состоит из перепончатой улитки, трех полукружных каналов и двух мешочков (сферического и эллиптического), расположенных в преддверии костного лабиринта.Между костным и перепончатым лабиринтом находится перилимфа, которая представляет собой видоизмененную спинномозговую жидкость. Перепончатый лабиринт заполнен эндолимфой.
Во внутреннем ухе находятся два анализатора, связанных между собой анатомически и функционально - слуховой и вестибулярный.Слуховой анализатор расположен в улитковом протоке. А вестибулярный- в трех полукружных каналах и двух мешочках преддверия.
Слуховой периферический анализатор. В верхнем коридоре улитки расположен спиральный (кортиев) орган, который представляет собой периферическую часть слухового анализатора. На разрезе он имеет треугольную форму. Нижней его стенкой является основная мембрана. Сверху находится преддверная (рейсснерова) мембрана. Наружная стенка образована спиральной связкой и расположенными на ней клетками сосудистой полоски. Основная мембрана состоит из эластических упругих поперечно расположенных волокон, натянутых в виде струн. Длина их увеличивается от основания улитки к области верхушки. Спиральный (кортиев) орган имеет очень сложное строение и состоит из внутренних и наружных рядов чувствительных волосковых биполярных клеток и поддерживающих (опорных) клеток. Отростки волосковых клеток спирального органа (слуховые волоски) соприкасаются с покровной мембраной и при колебании основной пластинки происходит их раздражение, в результате чего механическая энергия трансформируется в нервный импульс, который распространяется до спирального ганглия, затем по VIII паре черепно-мозговых нервов в продолговатый мозг. В дальнейшем большая часть волокон переходит на противоположную сторону и по проводящим путям импульс передается в корковый отдел слухового анализатора - височную долю полушария.
Вестибулярный периферический анализатор. В преддверии лабиринта имеются два перепончатых мешочка с находящимся в них отолитовым аппаратом. На внутренней поверхности мешочков имеются возвышения (пятна), выстланные нейроэпителием, состоящим из опорных и волосковых клеток. Волоски чувствительных клеток образуют сеть, которая покрыта желеобразной субстанцией, содержащей микроскопические кристаллики - отолиты. При прямолинейных движениях тела происходит смещение отолитов и механическое давление, что вызывает раздражение нейроэпителиальных клеток. Импульс передается преддверному узлу, а затем по вестибулярному нерву (VIII пара) в продолговатый мозг.
На внутренней поверхности ампул перепончатых протоков имеется выступ - ампулярный гребешок, состоящий из чувствительных клеток нейроэпителия и опорных клеток. Чувствительные волоски, склеивающиеся между собой, представлены в виде кисточки (купуля). Раздражение нейроэпителия происходит в результате перемещения эндолимфы при смещении тела под углом (угловые ускорения). Импульс передается волокнами вестибулярной ветви преддверно-улиткового нерва, которая заканчивается в ядрах продолговатого мозга. Эта вестибулярная зона связана с мозжечком, спинным мозгом, ядрами глазодвигательных центров, корой головного мозга.
Особенности строения уха у детей
Ушная раковина у новорожденного очень мягкая, неэластичная, контуры выражены слабо, завиток и мочка окончательно формируются лишь к концу 4-го года жизни. К моменту рождения она как бы круглая: высота и ширина почти одинаковы, увеличение происходит очень быстро, особенно на 1-м году жизни. К 15 годам рост ушной раковины заканчивается полностью.
Эти особенности следует учитывать при определении показаний к косметическим операциям у детей.
Строение ушной раковины (рис. 1):
- козелок (tragus);
- завиток (helix);
- противозавиток (anthelix);
- противокозелок (antitragus);
- полость раковины (cavum couchae).
Наружный слуховой проход новорожденных и грудных детей слабо развит: он короткий, узкий, внутренняя костная часть представлена лишь барабанным кольцом (annulus tympanicus), имеет вид щели, выполненной первородной смазкой (vemix caseosa), состоящей из жира с небольшой примесью кожного эпидермиса, которая значительно затрудняет отоскопию.
![]() |
| Рис. 1. Строение ушной раковины |
Наружный слуховой проход имеет 4 стенки. Передняя стенка образуется из барабанного кольца, нижняя - производное барабанного кольца.
Через щели в нижней стенке наружного слухового прохода (санториниевы) в него могут прорываться гнойники парафарингеального пространства.
У грудного ребенка, когда сосцевидный отросток еще не развит, нижняя стенка прикрепляется к хрящевому шиловидному отростку, лежащему почти горизонтально и находящемуся в непосредственном соседстве с нисходящей частью лицевого нерва, что обусловливает легкость возникновения его пареза.
Верхняя стенка возникает из чешуи барабанной кости.
Задняя стенка образуется частично из барабанного кольца и отчасти из чешуи височной кости.
Наружный слуховой проход ребенка до 1 года почти лишен костного отдела, поэтому надавливание на козелок легко передается на стенки барабанной полости.
Строение наружного слухового прохода 3-4-летнего ребенка приближается к его строению у взрослого.
Изогнутость слухового прохода обеспечивает защиту барабанной перепонки. Так, при прямом и широком слуховом проходе у ребенка наблюдались случаи повреждения барабанной перепонки карандашом или авторучкой.
У грудного ребенка сустав нижней челюсти почти вплотную примыкает к наружному слуховому проходу. Этим обстоятельством, а также мягкостью стенок объясняется изменение его ширины при сосании и жевании. Вблизи этой области расположена околоушная слюнная железа, что приводит в ряде случаев к прорыву ее абсцесса в наружный слуховой проход.
У детей старшего возраста наружный слуховой проход имеет длину 2,5 см, 2/з составляет перепончато-хрящевой отдел, его просвет становится овальным.
Наиболее узкое место наружного слухового прохода, так называемый перешеек (isthmus), расположен в костной части; если при неумелом удалении инородного тела оно проталкивается за перешеек, дальнейшие манипуляции становятся весьма затруднительными и иногда требуется даже хирургическое вмешательство. В связи с тем что хрящевой и костный отделы наружного слухового прохода составляют некоторый угол, для его выпрямления при отоскопии у маленьких детей необходимо оттянуть ушную раковину кзади и книзу, а у старших детей - кзади и кверху.
В наружном слуховом проходе имеются сальные и церуминальные железы, вырабатывающие ушную серу (glandulae ceruminosae), избыточная продукция серы приводит к образованию серных пробок, ухудшающих слух. Умеренное количество ушной серы необходимо, так как она играет некоторую защитную роль, препятствуя попаданию пыли, мелких насекомых и т.д.
Иннервация стенок наружного слухового прохода осуществляется веточками тройничного и блуждающего нервов. У некоторых больных появляется рефлекторный кашель при введении воронки или при манипуляциях в слуховом проходе. Воспаление веточки тройничного нерва при вирусных инфекциях (Herpes zoster) приводит к появлению в этой области своеобразных высыпаний, сопровождающихся сильной болью, а иногда и парезом лицевого нерва.
Наружный слуховой проход заканчивается барабанной перепонкой (membrana tympani).
57. Особенности строения височной кости у новорождённых и детей первого года жизни.
Височная кость у новорожденного представлена тремя отдельными несросшимися костями — чешуей, барабанной частью и пирамидой с бугорком сосцевидной области (в виде небольшого возвышения, лежащего позади верхнезаднего края барабанного кольца). Эти кости соединены между собой фиброзными швами, и их слияние происходит одновременно с окостенением обычно в течение первого года жизни. В это же время, а часто только к концу второго года постепенно наступает закрытие щелей между отдельными частями височной кости. Существующие в первый год жизни ребенка швы состоят из фиброзной соединительной ткани, имеющей сосудистые и нервные включения. Особое значение имеет щель между пирамидой и чешуйчатой костью, которая переходит на наружной поверхности височной кости сзади. Как правило, распространение процесса из среднего уха в полость черепа происходит не прямым путем, а через соединительнотканные образования, содержащие кровеносные и лимфатические сосуды.
Таким образом, с ростом ребенка формируется височная кость, а вместе с нею совершенствуется и вся система среднего уха: слуховая труба, барабанная полость, вход в антрум и ячейки сосцевидного отростка. Наибольшие изменения претерпевает сосцевидный отросток, который у новорожденных практически отсутствует. Имеющийся сосцевидный бугорок занят одной воздухоносной полостью — антрумом. Анатомо-топографическое положение антрума значительно изменяется с возрастом. Так, по данным работ врачей Выренкова и Кривощапова, антрум постепенно несколько увеличивается и смещается сверху вниз, занимая передневерхний угол треугольника Шипо. Однако его увеличение не абсолютное, расширяются размеры полости за счет истончения перегородок с окружающими его ячейками. При этом утолщается кортикальный слой кости, увеличивается глубина его залегания и несколько сужается вход в антрум.
Органы чувств
, lamina spiralis ossea. Двухслойная костная пластинка, которая начинается от стержня улитки и выступает в просвет улиткового канала. Вместе с улитковым протоком полностью разделяет канал на лестницу преддверия и барабанную лестницу. Рис. Б.
Крючок спиральной пластинки
, hamulus laminae spiralis. Свободный, загнутый кверху в виде крючка конец костной спиральной пластинки у верхушки улитки. Рис. Б.
Отверстие улитки, геликотрема
Вторичная спиральная пластинка
, lamina spiralis secundaria. Костный гребень в нижней половине первого завитка улитки, который отходит от наружной стенки спирального канала напротив костной спиральной пластинки. Таким образом, нижняя часть базилярной пластинки натянута между двумя спиральными костными гребнями. Рис. Б.
Внутренний слуховой проход
, meatus acusticus internus. Начинается на задней стенке пирамиды височной кости и имеет длину, примерно, 1 см. В нем проходят преддверно-улитковый и лицевой нервы, а также артерия и вена лабиринта. Рис. А.
Внутреннее слуховое отверстие
Дно внутреннего слухового прохода
Поперечный гребень
, crista transversa. Ориентирован в поперечном направлении и разделяет дно внутреннего слухового прохода на верхнее и нижнее поле. Рис. А.
Поле лицевого нерва
Поле улитки
, area cochleae. Обширная область, которая расположена книзу от поперечного гребня и содержит продырявленный спиральный путь. Рис. А.
Продырявленный спиральный путь
, tractus spiralis foraminosus. Соответствует спиральному каналу улитки. Содержит отверстия, через которые проходят волокна от спирального узла, формирующие улитковую часть преддверно-улиткового нерва. Рис. А.
Верхнее преддверное поле
, area vestibularis superior. Расположено латерально от поля лицевого нерва. Содержит отверстия, через которые проходят волокна эллиптически-мешотчатоампулярного нерва. Рис. А.
Нижнее преддверное поле
, area vestibularis inferior. Находится с латеральной стороны от продырявленного спирального пути. Содержит отверстия, через которые проходят волокна сферически-мешотчатого нерва. Рис. А.
Одиночное отверстие
, foramen singulare. Находится позади нижнего преддверного поля и содержит заднюю ветвь ампулярного нерва. Рис. А.
СРЕДНЕЕ УХО
Барабанная полость
, cavitas tympanica (cavum tympani). Имеет вид косо ориентированного щелевидного пространства, которое расположено кнутри от барабанной перепонки и содержит слуховые косточки. Сверху и сзади барабанная полость сообщается с сосцевидными ячейками, спереди и снизу - со слуховой трубой и далее с носоглоткой.
Покрышечная стенка
, paries tegmentalis. Костная пластинка (tegmen tympani), которая отделяет барабанную полость от полости черепа и расположена с латеральной стороны от дугообразного возвышения на передней стенке пирамиды височной кости. Рис. В.
Надбарабанное углубление
, recessus epitympanicu. Часть барабанной полости, которая дугообразно изогнута вверх и латерально, располагаясь выше уровня барабанной перепонки. Рис. В.
Купольная часть
Яремная стенка
Шиловидный выступ
, prominentia styloidea. Возвышение на нижней стенке барабанной полости, которое соответствует шиловидному отростку. Рис. В.
Лабиринтная стенка
Окно преддверия
Ямочка окна преддверия
, fossula fenestrae vestibuli. Небольшое углубление на медиальной стенке барабанной полости между молоточком и наковальней. Рис. В.
Борозда мыса
, sulcus promontorii. Находится на поверхности мыса. В ее разветвлениях лежат нервы, формирующие барабанное сплетение. Рис. В.
Читайте также:
- Амниотические, кожные и мышечные лоскуты для реконструкции влагалища. Кишечная вагинопластика
- Установка усиливающих экранов. Уход за касетами и причины засвечивания снимков
- Диагностика центральной нейроцитомы по КТ, МРТ
- Рентгенограмма при искусственном поясничном межпозвонковом диске
- Синдром удлиненного QT (LQT): причины, диагностика, лечение
