Острый остеомиелит у ребенка - лучевая диагностика
Добавил пользователь Владимир З. Обновлено: 13.12.2025
Проведен анализ результатов применения различных методов лучевой диагностики острого гематогенного остеомиелита у 108 пациентов от 3 до 17 лет и у 97 пациентов с острым метаэпифизарным остеомиелитом, возраст которых составлял от 0 до 3 лет, проходивших лечение в период с 2003 по 2018 гг. в детской областной клинической больнице г. Твери. Представлены недостатки и преимущества, оценены ранние диагностические возможности с учетом возраста и фазы воспалительного процесса таких методов, как рентгенография, ультразвуковое исследование, магнитно-резонансная томография, компьютерная томография. Наиболее эффективными и надежными у детей раннего возраста в интрамедуллярную фазу являются ультразвуковое исследование и магнитно-резонансная томография. В данной возрастной группе МРТ требует проведения анестезиологического пособия. В экстрамедуллярную фазу показаны рентгенография и компьютерная томография. Компьютерная томография оказывает высокую лучевую нагрузку на детский организм. У пациентов в возрасте от 3 до 17 лет в интрамедуллярную фазу предпочтение отдается магнитно-резонансной томографии и эхографическому исследованию. В экстрамедуллярную фазу наиболее результативны компьютерная томография (при сроке заболевания более 7 суток) и рентгенологическое исследование.

1. Гришаев В.В. Отдаленные результаты комплексного лечения метаэпифизарного остеомиелита у детей раннего возраста // Новые технологии в детской хирургии: сб. науч. труд., посвящ.100-летию мед. образования в Пермском крае. Пермь, 2014. С. 42-46.
3. Руселик Е.А. Факт внутриутробного инфицирования в развитии гнойно-септических заболеваний у новорожденных и детей грудного возраста // Инновационные технологии в педиатрии и детской хирургии: материалы Всероссийской конференции. М., 2011. С.409.
4. Carmody O, Cawley D, Dodds M. Acute haematogenous osteomyelitis in children. Ir. Med. J. 2014. V. 107(9). Р. 269-270.
5. Цыбин А.А., Бояринцев В С., Машков А.Е., Слесарев В.В., Султонов Ш.Р. Остеомиелит у детей. Тула: Издательство «Аквариус», 2016. 384 с.
6. Лабузов Д.С., Салопенкова А.Б., Прощенко Я.Н. Методы диагностики острого метаэпифизарного остеомиелита у детей.// Ортопедия, травматология и восстановительная хирургия детского возраста. 2017. Т. 5. Выпуск 2. С.-59-64.
8. Гумеров А.А., Лапиров С.Б., Гайнанов Ф.Х. Организация помощи детям с острым гематогенным остеомиелитом в республике Башкортостан // Актуальные вопросы хирургической инфекции у детей: материалы Всероссийского симпозиума детских хирургов. Воронеж, 2004. С. 73-74.
9. Гаркавенко Ю.Е., Семенов М.Г., Трощиева Д.О. Комплексное лечение детей с последствиями гематогенного остеомиелита: на стыке проблем // Ортопедия, травматология и восстановительная хирургия детского возраста. 2016. Т. 4, № 2. С. 29-36.
10. Fayad L.M., Carrino J.A., Fishman E.K. Musculoskeletal infection: role of CT in the emergency department. Radiographics. 2007. V. 27. Р. 1723-1736.
12. Ковалинин В.В., Клещевникова К.Ю., Джанчатова Б.А. Лучевая диагностика остеомиелита. // Российский электронный журнал лучевой диагностики. 2014. Т. 4. № 3. С. 66-76.
13. Feigin and Cherry's Textbook of Pediatric Infectious Diseases Seventh Edition. James D. Cherry, Gail J. Harrison, Sheldon L. Kaplan, William J. Steinbach, and Peter J. Hotez. Chapter. 2014. V. 55. Р. 711-727.
14. Завадовская В.Д., Полковникова С.А. , Масликов В.М. // Российский электронный журнал лучевой диагностики. 2017. № 7(2). С. 94 - 101.
15. Pineda C, Espinosa R, Pena A. Radiographic imaging in osteomyelitis: the role of plain radiography, computed tomography, ultrasonography, magnetic resonance imaging, and scintigraphy. Semin Plast Surg. 2009. V. 23(2). Р. 80-89. DOI: 10.1055/s-0029-1214160.
16. Щелоченкова Т.Д. Комплексная диагностика и лечение гематогенного остеомиелита у детей: дис…канд. мед. наук. Тверь, 2018.159 с.
Острый гематогенный остеомиелит (ОГО) - тяжелое гнойно-септическое заболевание, встречающееся в детской хирургической практике [1, 2]. За счет многообразия клинических проявлений, наличия атипичных форм, а также патоморфоза возбудителя последних лет оно представляет собой одно из наиболее опасных проявлений воспалительного процесса [3, 4]. Острому гематогенному остеомиелиту принадлежит одно из доминирующих мест по трудностям диагностики, тяжести течения и неблагоприятным исходам [5]. У детей раннего возраста (от 0 до 3 лет) процент осложнений с развитием ортопедической патологии (такой как деформации и укорочения конечностей, вывихи, анкилозы и контрактуры суставов), по данным ряда авторов, варьирует от 31% до 71% [6]. Инвалидность формируется от 10% до 40% случаев [7]. У детей более старшей возрастной группы (от 3 до 17 лет) наблюдается хронизация процесса в разбросе значений от 3,1% до 40%. Развиваются как ранние осложнения, так и осложнения отдаленного периода (секвестры, свищи, ограничение функции пораженного сегмента) [8].
Доля ортопедических осложнений ОГО в данной возрастной группе составляет 22-71,2%, инвалидности - 16,2-53,7%. Остается высоким процент диагностических ошибок в ранний период болезни (от 25% до 58,3%) [9]. Сроки диагностики оказывают существенное влияние на своевременность оказания хирургической помощи и прогноз заболевания. Ранняя диагностика (в первые 2-3 суток) и адекватное лечение могут привести к выздоровлению в 95% случаев [10]. Лучевые методы диагностики в постановке диагноза «острый гематогенный остеомиелит» на современном этапе развития медицины являются приоритетными [11, 12]. Однако, учитывая анатомо-физиологические особенности развития и строения костной ткани в онтогенезе, остаются дискутабельными вопросы об информативности и диагностической ценности тех или иных методов [13] в разные фазы остеомиелита у детей разных возрастных групп [14, 15].
Цель исследования: определить диагностическую ценность различных методов медицинской визуализации, последовательность их применения с учетом стадии воспалительного процесса у детей разных возрастных групп.
Материал и методы исследования
За период 2003-2018 гг. во II хирургическом отделении ГБУЗ ДОКБ г. Твери с диагнозом «острый гематогенный остеомиелит» находилось 108 детей. Мальчиков было 71 (66%), девочек - 37 (34%), возраст пациентов - от 3 до 17 лет. С метаэпифизарным остеомиелитом (МЭО) - 97 детей: мальчики - 59 (60%), девочки - 38 (40%), возраст - от 0 до 3 лет.
На диагностическом этапе применяли различные методы медицинской визуализации, представленные в таблице 1.
Количество обследованных пациентов с ОГО и МЭО лучевыми методами диагностики
Метод лучевой диагностики
Количество обследованных детей с ОГО
Количество обследованных детей с МЭО
Результаты исследования и их обсуждение
Рентгенологическое обследование выполнялось всем пациентам в качестве стандартизированного лучевого метода исследования патологии костной системы при поступлении, через 2 недели и через 21 день (отслеживались динамика процесса деструкции костной ткани и эффективность лечения). Чувствительность метода - 43-75%, специфичность - 50%, точность - 50-60%. На 3-5-й день заболевания у 19 (25%) пациентов от 0 до 3 лет обнаружены: увеличение объема мягких тканей на стороне поражения, расширенная суставная щель, неровность эпифизарного контура, остеопороз метафизарной зоны. На 10-14-й день заболевания регистрировались реакция периоста и очаги деструкции в метаэпифизарной зоне (n=48; 84,31%). Рентгенография не обладает достаточной чувствительностью к визуализации хрящевых структур, в связи с чем в начальные периоды заболевания является малоинформативным методом.
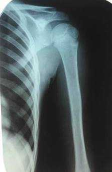
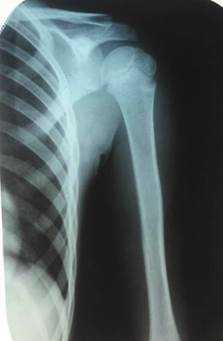
У детей возрастной группы от 3 до 17 лет на 5-7-е сутки болезни рентгенологически деструктивных костных изменений не определялось. Первые рентгенологические проявления в виде увеличения объема и плотности мягких тканей, линейного периостита, нечеткости костной структуры, утолщения и разрыхления коркового слоя отмечались в среднем на 10-14-е сутки (n=43; 39%). Периостит, разрыхление коркового слоя, остеопороз и остеосклероз, деструкция определялись на более поздних сроках. Таким образом, рентгенография не может рассматриваться в качестве метода диагностики остеомиелита на ранних сроках (рис. 1).


Рис. 1. Острый гематогенный остеомиелит плечевой кости - 11-е сутки заболевания
Ультразвуковая диагностика проводилась всем пациентам с МЭО (n=97; 100%), в дебюте заболевания выполнена у 29 детей (29,89%). Методика высоковерифицируема во время операции. Чувствительность метода - 92,5%, специфичность - 84,6%, точность - 91,04%. Определялись следующие эхографические признаки: увеличение толщины мягкотканых структур, скопление жидкости вокруг сустава, со стороны полости сустава наблюдались утолщение капсулы, присутствие внутрисуставной жидкости; изменения структуры эпифизарного хряща, формы и структуры ядра, окостенения эпифиза, изменения эхогенности зоны метаэпифиза, размытость ее границ, гиперэхогенность надкостницы и ее утолщение, нарушение границ наружного контура. Изменения в метаэпифизарной зоне - основной эхографический признак МЭО - регистрировались на 4-7-й день болезни. У пациентов в интрамедуллярной фазе обнаружены: отек параоссальных мягких тканей (n=15; 51%), утолщение капсулы сустава (n=10; 34%), жидкость в полости сустава (n=11; 37%). В экстрамедуллярной фазе на 4-7-й день МЭО: изменения эпифизарного хряща в виде участков повышенной эхогенности (n=31; 64%), нечеткость контура метафиза (n=35, 72%), утолщение надкостницы (n=26; 51%) (рис. 2).


Рис. 2. Сонограммы левой бедренной кости. УЗ-картина деструктивного процесса
У пациентов с ОГО в старшей возрастной группе в интрамедуллярную фазу выявлялись изменения объема мягких тканей, периостальная реакция, изменения эхогенности поверхностей суставов и кортикального слоя. УЗ-признаки остеомиелита выявлялись уже на 4-е сутки (n=28; 41%) в виде явлений периостита (гиперэхогенные участки, располагающиеся параллельно кортикальному слою кости). На 7-е сутки визуализировалось четкое утолщение коркового слоя с участками фрагментации (n=30; 44%). Причем при рентгенологическом исследовании, выполненном в том же временном интервале, каких-либо патологических признаков обнаружено не было. Периостальная реакция выявлялась в период разгара клинических проявлений болезни. В остром периоде заболевания проводился УЗ-мониторинг с целью оценки динамики воспалительного процесса и контроля эффективности проводимой терапии, что влияло на выбор тактики лечения (хирургическая или консервативная).
С 2010 г. при диагностике острого гематогенного остеомиелита у детей в возрасте от 3 до 17 лет стала применяться магнитно-резонансная томография. В период с 2012 по 2018 гг. показания к применению данного метода были расширены, обследование выполнено 26 пациентам.
В острой стадии на 1-3-и сутки МРТ выполнялась у 10 (38%) пациентов, на 5-7-е сутки от начала заболевания - у 16 (61%) детей. Чувствительность метода - 82-98%, специфичность - 75-99%. Использовался МР-томограф i-Open 0,36 Т, режимы исследования Т1, Т2, STIR плоскости: аксиальная, коронарная и сагиттальная. Полученные результаты сопоставимы с литературными описаниями. Патологические процессы в костном мозге выглядели в виде участков так называемой патологической гидратации. Для отека костного мозга были характерны уменьшение сигнала на Т1 локусах и его повышение на Т2 изображениях. Для инфильтрации мягких тканей первоначально отмечено серозное воспаление, затем по мере прогрессирования процесса - его переход в гнойный миозит. Изменения в мягких тканях отображались регистрацией увеличения сигнала на Т1 взвешенных изображениях, на Т2 определялись нечеткость границ мышечной ткани, изменения в структуре, выявлялись скопления жидкости в очаге поражения. При повреждении кортикального слоя кости в мягкие ткани через гаверсовы каналы проникал жир.
В более поздние сроки при МРТ определялась веретенообразная деформация трубчатых костей на уровне поражения за счет выраженного неравномерного утолщения коркового слоя. В костномозговом канале определялись полости деструкции различных размеров, в ряде случаев с наличием внутренних перегородок и неоднородным содержимым. Реакция со стороны надкостницы характеризовалась ее неравномерным утолщением [16].
При поражении зоны эпифиза выявлялись патологические изменения суставных структур, нарушение их формы, уменьшение толщины, «изъеденность» хряща, признаки остеосклероза субхондральной зоны. На поздних сроках заболевания секвестры отчетливее определяются на КТ, МРТ несколько уступает в визуализации кортикального слоя кости. У пациентов с метаэпифизарным остеомиелитом в возрасте от 0 до 3 лет выполнено 21 исследование (21,6%). МРТ проводилось в 3 случаях при септической форме заболевания. В 10 (47%) случаях МРТ-исследование использовалось в качестве уточняющей методики в интрамедуллярную фазу на 1-3-и сутки от момента поступления при недостаточной информативности УЗ и рентгенологического методов. В 8 (38%) случаях МРТ применялось при поступлении пациентов на 4-7-е сутки заболевания (рис. 3, 4).


Рис. 3. Томограмма (МРТ) тазобедренных суставов. МЭО левой бедренной кости. 3-и сутки
Рис. 4. Томограмма (МРТ) тазобедренных суставов. ОГО левой подвздошной кости, 7-е сутки
Компьютерная томография внедрена в работу клиники с 2013 г. Чувствительность метода - 67%, специфичность - 75-83% [11]. При проведении КТ выявлялись зоны остеосклероза, имеющие высокую плотность. Визуализировались участки остеопороза с очагами резорбции костной ткани, определялась неоднородность кортикальной пластинки в области диафизарного перехода. Определялись деформации суставных поверхностей в случаях вовлечения суставов в патологический процесс. Наши исследования согласуются с данными литературы о высокой лучевой нагрузке и низкой информативности КТ в интрамедуллярную фазу остеомиелита у детей старше 3 лет. КТ применялась нами у 16 пациентов (14%) на 7-10-й день заболевания, признана одним из лучших методов визуализации секвестров.
У детей с метаэпифизарным остеомиелитом КТ выполнена в 15% случаев, так как сопряжение с высокой лучевой нагрузкой и необходимость анестезиологического пособия ограничивают применение данного метода. Наиболее достоверные результаты были получены в экстрамедуллярную фазу.
Таким образом, результаты исследования свидетельствуют о необходимости применения рассмотренных методов лучевой диагностики с учетом стадии остеомиелитического процесса и возраста пациента. У пациентов от 3 до 17 лет в интрамедуллярную фазу острого гематогенного остеомиелита наиболее информативны магнитно-резонансная томография и несколько уступающий, но широкодоступный ультразвуковой метод. Рентгенография и компьютерная томография в данный период применяются с целью дифференциальной диагностики с другими заболеваниями костно-мышечной системы, так как не позволяют в полной мере выявить патологические изменения в костном мозге. В экстрамедуллярную фазу диагностически значимы компьютерная томография (срок заболевания более 7 суток) и рентгенологическое исследование, сохраняет высокую информативность и УЗИ.
В начальную фазу МЭО у детей от 0 до 3 лет целесообразно применять такие методы лучевой диагностики, как УЗИ и МРТ. Рентгенография используется в качестве стартового метода с целью дифференциальной диагностики остеомиелита с повреждениями и другими заболеваниями опорно-двигательного аппарата. В экстрамедуллярную фазу сохраняет свою значимость УЗИ, становятся информативными рентгенография и компьютерная томография.
Остеомиелит у детей
Остеомиелит у детей - это гнойное поражение костного мозга, распространяющееся на все слои кости, окружающие ткани. Чаще имеет гематогенный характер. Манифестирует выраженной гипертермией, слабостью, ознобами, нарушением общего состояния, к которым вскоре присоединяются очень сильные сверлящие, рвущие боли. Развивается флегмона, формируется свищ. При хронизации наблюдается чередование обострений и ремиссий. Патология диагностируется на основании клинических проявлений, данных рентгенографии, КТ, лабораторных исследований. Лечение включает антибиотикотерапию, вскрытие и дренирование гнойников, секвестрэктомию.
МКБ-10

Общие сведения
Остеомиелит у детей в половине случаев диагностируется в возрасте от 6 до 14 лет. Почти треть больных составляют дети младше 1 года. Девочки страдают вдвое реже мальчиков, что обусловлено некоторыми анатомическими особенностями. Могут вовлекаться любые костные структуры, но чаще всего поражаются метафизы длинных трубчатых костей: бедренной, большеберцовой, плечевой. Детский остеомиелит представляет серьезную проблему из-за тяжести состояния больных, возможности летального исхода, риска возникновения опасных осложнений, хронизации процесса.

Причины
Остеомиелит развивается при инфицировании патогенными микроорганизмами. 80-85% случаев заболевания у детей вызывается золотистым стафилококком. Реже в качестве возбудителей выступают стрептококки, пневмококки, кишечная либо синегнойная палочка, клебсиелла, вульгарный протей. Причинами специфического остеомиелита являются туберкулезная палочка, бруцелла, бледная спирохета. Микробы попадают в костный мозг гематогенно, из внешней среды или из близлежащих тканей. Источниками гематогенной инфекции становятся:
- стоматологические патологии: кариозные зубы;
- ЛОР-заболевания: синусит, тонзиллит, острый отит;
- гнойные процессы: поверхностные и глубокие пиодермии;
- небольшие травмы: инфицированные раны и ссадины;
- поражения кожи у грудничков: опрелости, незаживающие пупочные ранки.
Высокая распространенность гематогенного остеомиелита в детском возрасте связана с особенностями строения костных структур. В области метафиза у детей располагается множество сосудов, кровоток замедлен из-за необходимости интенсивного питания растущей кости. Многие мелкие сосуды слепо заканчиваются ближе к эпифизу. В результате в метафизе скапливаются болезнетворные бактерии, которые начинают размножаться при ухудшении состояния организма.
Причиной контактного инфицирования являются открытые переломы, раны после операций на костных структурах и близлежащих тканях, глубокие гнойные поражения (абсцессы, флегмоны), распространяющиеся на кость. В качестве предрасполагающего фактора развития всех видов остеомиелита рассматривают иммунные нарушения, возникающие на фоне следующих состояний:
- острые и хронические общие инфекции;
- переохлаждение;
- сахарный диабет;
- онкологические патологии;
- соматические заболевания.
Патогенез
При гематогенном поражении гнойник первично формируется в костном мозге, а затем распространяется изнутри кнаружи. При контактной форме вначале возникает периостит, потом гной переходит снаружи внутрь, на костный мозг. В обоих случаях микробы проникают в ранее здоровые слои кости через гаверсовы каналы, надкостница отслаивается, кость перестает получать питательные вещества и некротизируется.
В зоне поражения скапливаются вещества, выделяемые болезнетворными бактериями, остатки погибших микробов, собственных клеток иммунной системы. Токсины всасываются в кровь, разносятся по организму, что провоцирует состояние интоксикации. Из-за высокого давления гноя на неэластичную кость при гематогенном остеомиелите появляются чрезвычайно резкие боли, интенсивность которых несколько снижается после расплавления надкостницы и прорыва в мягкие ткани.
При других видах остеомиелита этап первичного гнойника в костной ткани при сохранении целостности других слоев отсутствует, поэтому болевой синдром выражен менее ярко. Гной расплавляет не только кость, но и окружающие мягкие ткани. Формируется флегмона, которая в последующем прорывается наружу с образованием свища. При открытых переломах, операционных разрезах гной выходит наружу через рану.
Классификация
Остеомиелит у детей может быть эндогенным (гематогенным) или экзогенным. Различают следующие формы экзогенного воспаления кости:
- Посттравматический. Наблюдается у пострадавших с открытыми переломами.
- Послеоперационный. Выявляется у детей, перенесших остеосинтез, костную пластику, другие вмешательства на костях. Иногда формируется после проведения спиц (спицевой остеомиелит).
- Контактный. Диагностируется при флегмонах, абсцессах, глубоких инфицированных ранах мягких тканей, распространяющихся на кость.
Огнестрельный остеомиелит и атипичные варианты болезни (склерозирующий остеомиелит Гарре, абсцесс Броди) у детей обнаруживаются очень редко. Вначале заболевание протекает остро, в дальнейшем иногда становится хроническим.
Симптомы
Гематогенный остеомиелит у детей
Самая распространенная септико-пиемическая форма болезни манифестирует бурно. Температура тела ребенка повышается до 39-40°C, общее состояние резко ухудшается, возникают слабость, разбитость, головная боль, неоднократная рвота. Возможны судороги, нарушения сознания, бред. У ряда детей формируется гемолитическая желтуха. Кожа становится сухой и бледной, слизистые оболочки приобретают синюшный оттенок. Наблюдаются гипотония, тахикардия, тахипноэ, гепатоспленомегалия.
Через 1-2 дня возникает болезненность в пораженном сегменте. Иногда возникает несколько очагов в разных костях. Боль быстро усиливается, приобретает дергающий, сверлящий, разрывающий характер. Малейшее движение вызывает взрыв боли, поэтому дети замирают в постели. Конечность отечная, гиперемированная, горячая на ощупь. На фоне тяжелой интоксикации развиваются нарушения обмена, страдают функции печени и почек.
Местная и токсическая формы остеомиелита обнаруживаются реже. При местной форме общая симптоматика выражена незначительно, детей беспокоят проявления со стороны пораженной конечности. Токсическая форма характеризуется преобладанием общих симптомов, тяжелым токсикозом, грубыми электролитными нарушениями, острой сердечно-сосудистой недостаточностью. Возможен летальный исход еще до появления болей в конечности.
Экзогенный остеомиелит у детей
Для посттравматической и послеоперационной разновидностей заболевания типична более сглаженная симптоматика. Состояние ребенка ухудшается, возникает гипертермия, наблюдаются симптомы интоксикации. В ране появляется гнойное отделяемое, ткани вокруг краснеют, отекают. Интенсивность болей нарастает, но болевой синдром не достигает такой выраженности, как у пациентов с гематогенным остеомиелитом.
Объем гнойного процесса зависит от исходного состояния. При линейных переломах страдает только зона повреждения. При наличии осколков отмечается тенденция к распространению инфекции по сегменту. После операций гной проникает под металлоконструкции или вызывает отторжение трансплантатов. Тяжелый токсикоз при отсутствии осложнений нехарактерен.
Контактный остеомиелит формируется на фоне уже существующего гнойного процесса в мягких тканях, сопровождается усилением болевого синдрома, нарастанием интоксикации и гипертермии. Через некоторое время образуется свищ, после чего боли уменьшаются, состояние пациента улучшается.
Хронический остеомиелит у детей
При сохранении симптомов более 4-6 месяцев остеомиелит приобретает хроническое течение, отмечается чередование ремиссий и обострений. Обострения нередко провоцируются перегрузкой, острыми инфекциями, ухудшением состояния при соматических заболеваниях. Свищ периодически закрывается, после чего воспаление активизируется, появляются симптомы, напоминающие стертую клиническую картину острого остеомиелита. После очередного открытия свищевого хода состояние нормализуется.
Осложнения
Гематогенный остеомиелит, а также остеомиелит при внутрисуставных и околосуставных переломах нередко осложняются гнойным артритом. В исходе формируются контрактуры. При всех видах остеомиелита возможно развитие сепсиса с образованием вторичных гнойных очагов. Иногда наблюдаются деструктивная пневмония, гнойный перикардит. Омертвение большого участка кости может стать причиной патологического перелома.
В период восстановления кости происходит ее дистрофическая перестройка, что приводит к нарушению роста и деформации конечности ребенка. Хронический остеомиелит неблагоприятно влияет на состояние сердца, почек и печени, провоцирует амилоидоз внутренних органов, у некоторых детей становится причиной развития хрониосепсиса.
Диагностика
Диагностику остеомиелита у детей осуществляют ортопеды. На ранних стадиях патологию определяют на основании клинической симптоматики, поскольку визуализационные методики показывают изменения не ранее 7-10 дня от момента появления первых признаков болезни, а результаты лабораторных исследований неспецифичны и могут наблюдаться при любом тяжелом гнойном процессе. Для подтверждения диагноза применяют следующие методы:
- Рентгенография. Становится информативной примерно через 2 недели с начала заболевания. Вначале на снимках обнаруживаются признаки периостита. Затем обнаруживаются изменения, свидетельствующие о разрежении губчатого вещества. Спустя 2-4 месяца на рентгенограммах начинают просматриваться секвестры.
- УЗИ. Применяется для выявления периостального утолщения кости на ранней стадии болезни. Позволяет подтвердить наличие остеомиелита до появления рентгенографических признаков.
- МРТ с контрастированием. Свидетельствует о характерных нарушениях кровоснабжения. Является еще одной методикой, применяемой для ранней диагностики остеомиелита.
- Фистулография. Производится при наличии хронического остеомиелита. Дает возможность уточнить расположение свищевых ходов. Назначается на этапе планирования операций, при необходимости выполняется интраоперационно.
- Лабораторные анализы. В общем анализе крови определяется повышение СОЭ, лейкоцитоз со сдвигом влево. При проведении биохимического исследования обнаруживаются острофазовые белки. Бактериологический посев крови может свидетельствовать о наличии бактериемии.
Лечение остеомиелита у детей
Консервативная терапия
Пациента экстренно госпитализируют в отделение детской ортопедии. Осуществляют следующие консервативные мероприятия:
- Иммобилизация. Конечность фиксируют с помощью пластиковой или гипсовой повязки.
- Антибиотикотерапия. Начинается при поступлении. Полусинтетические пенициллины или цефалоспорины вводят парентерально в течение 4 или более недель. После нормализации показателей острофазовых белков переходят на пероральный прием медикаментов.
- Инфузионная терапия. Целью инфузий является уменьшение выраженности интоксикации, коррекция водно-солевого и кислотно-щелочного обмена, улучшение локального кровообращения. Используют плазму, коллоидные и кристаллоидные растворы.
- Симптоматическая терапия. Ребенку назначают обезболивающие средства. По показаниям вводят медикаменты для улучшения функций внутренних органов.
- Экстракорпоральная гемокоррекция. Лимфосорбция или гемосорбция показаны при тяжелом токсикозе, позволяют уменьшить проявления интоксикации, снизить риск развития опасных соматических осложнений.
Хирургическое лечение
Тактика оперативного лечения определяется особенностями течения и стадией развития остеомиелита. Детям могут быть показаны следующие вмешательства:
- Вскрытие, дренирование. Гнойник в кости вскрывают сразу после формирования с помощью фрезы, проводят проточно-промывное дренирование с использованием протеолитических ферментов и антибактериальных препаратов.
- Декомпрессия субпериостального пространства. Хирургическую либо аспирационную декомпрессию производят при наличии иммунодефицита или атипичном течении заболевания.
- Артротомия. Может потребоваться при развитии гнойного артрита. В относительно легких случаях рекомендованы повторные пункции с промыванием полости сустава растворами антибиотиков.
- Секвестрэктомия. Операцию осуществляют при хроническом остеомиелите. Секвестры, полости, грануляции и свищевые ходы иссекают, выполняют промывное дренирование.
- Костно-пластические методики. Показаны после полной санации инфекционного очага для устранения деформации или укорочения конечности.
- Вмешательства на суставах. Требуются пациентам, перенесшим гнойный артрит. Как и костная пластика, проводятся после санации зоны поражения. Для улучшения функции конечности могут использоваться артропластика, артролиз или артродез.
Прогноз
Прогноз определяется формой болезни, своевременностью и адекватностью терапевтических мероприятий, наличием осложнений. При позднем начале терапии, токсической форме гематогенного остеомиелита, развитии сепсиса, гнойных поражениях внутренних органов возможна гибель больного. Примерно у 70% детей в исходе наблюдается полное выздоровление, в остальных случаях отмечается хронизация процесса.
Профилактика
Профилактические мероприятия включают устранение очагов инфекции, укрепление иммунитета, предупреждение детского травматизма. Операции на костях проводят с учетом имеющихся противопоказаний, строгим соблюдением правил асептики, обязательной послеоперационной антибиотикотерапией.
1. Острый гематогенный остеомиелит у детей. Федеральные клинические рекомендации/ Вечеркин В.А., Гисак С.И. и др. - 2015.
Острый остеомиелит у ребенка - лучевая диагностика

Остеомиелит
Остеомиелит - воспаление костного мозга, при котором обычно поражаются все элементы кости (надкостница, губчатое и компактное вещество). В зависимости от этиологии остеомиелита он подразделяется на неспецифический и специфический (туберкулезный, сифилитический, бруцеллезный и т. п.); посттравматический, гематогеный, послеоперационный, контактный. Клиническая картина зависит от вида остеомиелита и его формы (острая или хроническая). Основу лечения острого остеомиелита составляет вскрытие и санация всех гнойников, при хроническом остеомиелите - удаление полостей, свищей и секвестров.


Остеомиелит (от лат. osteon кость + myelos костный мозг + itis воспаление) - воспаление костного мозга, при котором обычно поражаются все элементы кости (надкостница, губчатое и компактное вещество). По статистике, остеомиелит после травм и операций составляет 6,5% всех болезней опорно-двигательного аппарата. Чаще поражает бедренную и плечевую кость, кости голени, позвонки, нижнечелюстные суставы и верхнюю челюсть. После открытых переломов диафиза трубчатых костей посттравматический остеомиелит возникает в 16,3% случаев. Мужчины болеют остеомиелитом чаще женщин, дети и пожилые - чаще людей молодого и среднего возраста.
Выделяют неспецифический и специфический остеомиелит. Неспецифический остеомиелит вызывают гноеродные бактерии: золотистый стафилококк (90% случаев), стрептококк, кишечная палочка, реже - грибки. Специфический остеомиелит возникает при туберкулезе костей и суставов, бруцеллезе, сифилисе и т. д.
В зависимости от пути, которым микробы проникают в кость, различают эндогенный (гематогенный) и экзогенный остеомиелит. При гематогенном остеомиелите возбудители гнойной инфекции заносятся через кровь из удаленного очага (фурункул, панариций, абсцесс, флегмона, инфицированная рана или ссадина, тонзиллит, синусит, кариозные зубы и пр.). При экзогенном остеомиелите инфекция проникает в кость при ранении, операции или распространяется с окружающих органов и мягких тканей.
В начальных стадиях экзогенный и эндогенный остеомиелит различаются не только по происхождению, но и по проявлениям. Затем отличия сглаживаются и обе формы болезни протекают одинаково. Выделяют следующие формы экзогенного остеомиелита:
- посттравматический (после открытых переломов);
- огнестрельный (после огнестрельных переломов);
- послеоперационный (после проведения спиц или операций на костях);
- контактный (при переходе воспаления с окружающих тканей).
Как правило, остеомиелит вначале протекает остро. В благоприятных случаях заканчивается выздоровлением, в неблагоприятных - переходит в хронический. При атипичных формах остеомиелита (абсцессе Броди, альбуминозном остеомиелите Оллье, склерозирующем остеомиелите Гарре) и некоторых инфекционных болезнях (сифилисе, туберкулезе и др.) острая фаза воспаления отсутствует, процесс носит первично-хронический характер.
Острый остеомиелит
Проявления острого остеомиелита зависят от пути проникновения инфекции, общего состояния организма, обширности травматического поражения кости и окружающих мягких тканей. На рентгенограммах изменения видны спустя 2-3 недели с начала заболевания.
Гематогенный остеомиелит
Как правило, развивается в детском возрасте, причем треть пациентов заболевает в возрасте до 1 года. Достаточно редкие случаи развития гематогенного остеомиелита у взрослых на самом деле являются рецидивами болезни, перенесенной в детском возрасте. Чаще поражает большеберцовую и бедренную кости. Возможно множественное поражение костей.
Из удаленного очага воспаления (абсцесс мягких тканей, флегмона, инфицированная рана) микробы с кровью разносятся по организму. В длинных трубчатых костях, особенно - в их средней части хорошо развита широкая сеть сосудов, в которой скорость кровотока замедляется. Возбудители инфекции оседают в губчатом веществе кости. При неблагоприятных условиях (переохлаждение, снижение иммунитета) микробы начинают усиленно размножаться, развивается гематогенный остеомиелит. Выделяют три формы заболевания:
Септико-пиемическая форма. Характерно острое начало и выраженная интоксикация. Температура тела поднимается до 39—40°, сопровождается ознобом, головной болью и повторной рвотой. Возможны потеря сознания, бред, судороги, гемолитическая желтуха. Лицо больного бледное, губы и слизистые оболочки синюшны, кожа сухая. Пульс учащенный, давление снижено. Селезенка и печень увеличиваются, иногда развивается бронхопневмония.
На 1-2 сутки болезни появляется точно локализованная, резкая, сверлящая, распирающая или рвущая, усиливающаяся при малейших движениях боль в области поражения. Мягкие ткани конечности отечны, кожа горячая, красная, напряженная. При распространении на близлежащие суставы развивается гнойный артрит.
Через 1-2 недели в центре поражения формируется очаг флюктуации (жидкость в мягких тканях). Гной проникает в мышцы, образуется межмышечная флегмона. Если флегмону не вскрыть, она может вскрыться самостоятельно с образованием свища или прогрессировать, приводя к развитию параартикулярной флегмоны, вторичного гнойного артрита или сепсиса.
Местная форма. Общее состояние страдает меньше, иногда остается удовлетворительным. Преобладают признаки местного воспаления кости и мягких тканей.
Адинамическая (токсическая) форма. Встречается редко. Характеризуется молниеносным началом. Преобладают симптомы острого сепсиса: резкое повышение температуры, тяжелый токсикоз, судороги, потеря сознания, выраженное снижение артериального давления, острая сердечно-сосудистая недостаточность. Признаки костного воспаления слабые, появляются поздно, что затрудняет постановку диагноза и проведение лечения.
Посттравматический остеомиелит
Возникает при открытых переломах костей. Развитию болезни способствует загрязнение раны в момент травмы. Риск развития остеомиелита увеличивается при оскольчатых переломах, обширных повреждениях мягких тканей, тяжелых сопутствующих повреждениях, сосудистой недостаточности, снижении иммунитета.
Посттравматический остеомиелит поражает все отделы кости. При линейных переломах зона воспаления обычно ограничена местом перелома, при оскольчатых переломах гнойный процесс склонен к распространению. Сопровождается гектической лихорадкой, выраженной интоксикацией (слабость, разбитость, головная боль и т. д.), анемией, лейкоцитозом, повышением СОЭ. Ткани в области перелома отечны, гиперемированы, резко болезненны. Из раны выделяется большое количество гноя.

МРТ стопы. Остеомиелит таранной и большеберцовой кости с наличием обширной зоны деструкции костной ткани.
Огнестрельный остеомиелит
Чаще возникает при обширных поражениях костей и мягких тканей. Развитию остеомиелита способствует психологический стресс, снижение сопротивляемости организма и недостаточная обработка раны.
Общие симптомы сходны с посттравматическим остеомиелитом. Местная симптоматика при остром огнестрельном остеомиелите нередко выражена слабо. Отек конечности умеренный, обильное гнойное отделяемое отсутствует. О развитии остеомиелита свидетельствует изменение раневой поверхности, которая становится тусклой и покрывается серым налетом. В последующем воспаление распространяется на все слои кости.
Несмотря на наличие очага инфекции, при огнестрельном остеомиелите обычно наступает сращение кости (исключение - значительная раздробленность кости, большое смещение отломков). При этом гнойные очаги оказываются в костной мозоли.
Послеоперационный остеомиелит
Является разновидностью посттравматического остеомиелита. Возникает после операций по остеосинтезу закрытых переломов, ортопедических операций, проведения спиц при наложении компрессионно-дистракционных аппаратов или наложении скелетного вытяжения (спицевой остеомиелит). Как правило, развитие остеомиелита вызвано несоблюдением правил асептики или большой травматичностью операции.
Контактный остеомиелит
Возникает при гнойных процессах окружающих кость мягких тканей. Особенно часто инфекция распространяется с мягких тканей на кость при панариции, абсцессах и флегмонах кисти, обширных ранах волосистой части головы. Сопровождается увеличением отека, усилением болей в области повреждения и образованием свищей.
Лечение
Только в стационаре в отделении травматологии. Выполняют иммобилизацию конечности. Проводят массивную антибиотикотерапию с учетом чувствительности микроорганизмов. Для уменьшения интоксикации, восполнения объема крови и улучшения местного кровообращения переливают плазму, гемодез, 10% раствор альбумина. При сепсисе применяют методы экстракорпоральной гемокоррекции: гемосорбцию и лимфосорбцию.
Обязательным условием успешного лечения острого остеомиелита является дренирование гнойного очага. На ранних стадиях в кости делают трепанационные отверстия с последующим промыванием растворами антибиотиков и протеолитических ферментов. При гнойных артритах выполняют повторные пункции сустава для удаления гноя и введения антибиотиков, в некоторых случаях показана артротомия. При распространении процесса на мягкие ткани образовавшиеся гнойники вскрывают с последующим открытым промыванием.
Хронический остеомиелит
При небольших очагах воспаления, комплексном и своевременном лечении, преимущественно у молодых пациентов восстановление костной ткани преобладает над ее разрушением. Очаги некроза полностью замещаются вновь образованной костью, наступает выздоровление. Если этого не произошло (примерно в 30% случаев), острый остеомиелит переходит в хроническую форму.
Примерно к 4 неделе при всех формах острого остеомиелита происходит секвестрация - образование омертвевшего участка кости, окруженного измененной костной тканью. На 2-3 месяц заболевания секвестры окончательно отделяются, на месте разрушения кости формируется полость и процесс становится хроническим.
Симптомы
При переходе острого остеомиелита в хронический состояние пациента улучшается. Боли уменьшаются, становятся ноющими. Формируются свищевые ходы, которые могут выглядеть, как сложная система каналов и выходить на поверхность кожи далеко от места повреждения. Из свищей выделяется умеренное количество гнойного отделяемого.
В период ремиссии состояние пациента удовлетворительное. Боли исчезают, отделяемое из свищей становится скудным. Иногда свищи закрываются. Продолжительность ремиссии при остеомиелите колеблется от нескольких недель до нескольких десятков лет, зависит от общего состояния и возраста больного, локализации очага и т. д.
Развитию рецидива способствуют сопутствующие заболевания, снижение иммунитета и закрытие свища, приводящее к скоплению гноя в образовавшейся костной полости. Рецидив болезни напоминает стертую картину острого остеомиелита, сопровождается гипертермией, общей интоксикацией, лейкоцитозом, повышением СОЭ. Конечность становится болезненной, горячей, краснеет и отекает. Состояние пациента улучшается после открытия свища или вскрытия гнойника.

КТ стопы. Посттравматический хронический остеомиелит пяточной кости с наличием секвестра (красная стрелка) и свищевого хода (синяя стрелка).
Осложнения
Хронический остеомиелит часто осложняется переломами, образованием ложных суставов, деформацией кости, контрактурами, гнойным артритом, малигнизацией (злокачественным перерождением тканей). Постоянно существующий очаг инфекции влияет на весь организм, вызывая амилоидоз почек и изменения внутренних органов. В период рецидива и при ослаблении организма возможен сепсис.
Диагностика
Постановка диагноза при хроническом остеомиелите в большинстве случаев не вызывает затруднений. Для подтверждения проводят МРТ, КТ или рентгенографию. Для выявления свищевых ходов и их связи с остеомиелитическим очагом выполняют фистулографию.
Операция показана при наличии остеомиелитических полостей и язв, гнойных свищей, секвестров, ложных суставах, частых рецидивах с интоксикацией, выраженной болью и нарушением функции конечности, малигнизации, нарушении деятельности других органов и систем вследствие хронической гнойной инфекции.
Выполняют некрэктомию (секвестрэктомию) - удаление секвестров, грануляций, остеомиелитических полостей вместе с внутренними стенками и иссечение свищей с последующим промывным дренированием. После санации полостей проводят костную пластику.
4. Острый остеомиелит: клинический протокол/ Экспертная комиссия по вопросам развития здравоохранения - 2013
Читайте также:
