Переломы костей таза при переездах. Пример перелома костей таза
Добавил пользователь Евгений Кузнецов Обновлено: 22.11.2025
Таз представляет собой мощное костное кольцо, служащее основанием для позвоночника. Переломы костей таза встречаются относительно нечасто, составляя у взрослых лишь 3% всех переломов.
Большинство переломов таза возникают вследствие высокоэнергетической травмы, например при автомобильных авариях. Поскольку кости таза располагаются в непосредственной близости от крупных кровеносных сосудов и внутренних органов, переломы этих костей могут сопровождаться массивным внутренним кровотечением и другими повреждениями, требующими неотложного медицинского вмешательства.
В некоторых случаях, например у лиц пожилого возраста с низким качеством костной ткани, для возникновения перелома таза достаточно низкоэнергетической травмы - обычно падения с высоты собственного роста.
Тактика лечения переломов таза варьирует и зависит от тяжести повреждения. Низкоэнергетические повреждения зачастую можно лечить консервативно, тогда как высокоэнергетические обычно требуют хирургического лечения, задачей которого является восстановление анатомии и стабильности тазового кольца, которое позволит пациенту вернуться к полноценной повседневной жизни.
Анатомия костей таза
Таз представляет собой костное кольцо, расположенное в нижней части тела и являющееся связующим звеном между позвоночником и нижними конечностями. Таз образован следующими костями:
- крестец (крупная треугольная кость, являющаяся основанием позвоночника);
- копчик;
- 2 безымянные (тазобедренные) кости.
Каждая безымянная кость образована тремя костями - подвздошной, седалищной и лонной. У детей они существуют как три отдельные кости, однако по мере созревания скелета сливаются в единую кость. В месте своего слияния эти три кости образуют вертлужную впадину - чашеобразное углубление, являющееся частью тазобедренного сустава.
Кости таза соединяются с крестцом мощными соединительнотканными пучками, называемыми связками, и вместе они под грудной клеткой образуют чашеобразную полость, вмещающую органы таза.
В полости таза расположены крупные нервные стволы, кровеносные сосуды, часть петель кишечника, мочевой пузырь и органы репродуктивной системы. Таз служит защитой для этих важных анатомических образований. Кроме того, кости таза являются местом прикрепления мышц пояса нижних конечностей, бедра и живота.

Таз служит местом прикрепления мышц и защитой для органов нижнего отдела брюшной полости.
Классификация переломов
Поскольку таз представляет собой кольцо, перелом в одной его части нередко сопровождается переломом или повреждением связок в другой. Принято выделять несколько типов переломов костей таза. Отношение перелома к тому или иному типу определяется направлением линии перелома и характером травмирующей силы, которая привела к его возникновению.
Наряду с описанием собственно характера перелома повреждения таза принято разделять на "стабильные" и "нестабильные", что определяется сохранением или нарушением структурной целостности тазового кольца.
Стабильные переломы. Данный тип переломов обычно отличается наличием лишь одной линии перелома и сохранением анатомии тазового кольца. Низкоэнергетические переломы - это обычно стабильные повреждения. К стабильным переломам относятся следующие:

Перелом крыла подвздошной кости.

Перелом верхней и нижней ветвей лонной кости.

Изолированный перелом крестца.
Нестабильные переломы. Данный тип переломов характеризуется нарушением целостности тазового кольца как минимум в двух точках, при котором анатомия таза, как правило, нарушается (происходит смещение фрагментов). Чаще всего такие переломы возникают вследствие высокоэнергетической травмы. К нестабильным переломам относят следующие:

Повреждение в результате передне-задней компрессии таза.

Вертикально-нестабильный перелом. При данном переломе одна половина таза смещается вверх.

Перелом в результате боковой компрессии. При данном типе перелома одна половина таза ротируется внутрь.
И стабильные, и нестабильные переломы таза подразделяются на "открытые", при которых имеется повреждение кожных покровов в области перелома, и "закрытые", когда кожа в области перелома не повреждена. Открытые переломы считаются наиболее серьезными, поскольку рана является входными воротами для инфекции. Для профилактики инфекционных осложнений необходимо неотложное начало лечебных мероприятий.
Причины переломов костей таза
Высокоэнергетическая травма
Перелом костей таза может возникать вследствие высокоэнергетической травмы при:
- - дорожно-транспортных происшествиях;
- - сдавлении таза вследствие обрушения тех или иных конструкций;
- - падении с высоты (например, с лестницы).
В зависимости от направления вектора и величины травмирующей силы повреждения таза могут представлять непосредственную угрозу жизни и требовать неотложного начала лечебных мероприятий.
Низкое качество костной ткани
Переломы костей таза могут развиваться на фоне снижения качества костной ткани. Наиболее часто такие переломы наблюдаются у лиц пожилого возраста, страдающих остеопорозом. Переломы у таких пациентов могут возникать даже при падении с высоты собственного роста или при обычных безобидных действиях, например при вставании из ванны или спуске по лестнице. Такие повреждения обычно стабильны, не сопровождаются нарушением целостности тазового кольца и могут представлять собой лишь повреждение единственной кости.
Другие причины
Гораздо реже встречаются, например, такие переломы, когда происходит отрыв костного фрагмента в месте прикрепления мышцы. Эти переломы называются отрывными и чаще всего встречаются у молодых спортсменов с пока еще незрелой костной системой. Отрывные переломы обычно не приводят к нестабильности таза и не сопровождаются повреждением внутренних органов.
Симптомы переломов костей таза
Переломы костей таза всегда сопровождаются болевым синдромом. Боль усиливается при движениях в тазобедренном суставе и при попытках встать и пойти. Нередко во избежание усиления болевого синдрома пациент удерживает ногу в определенном положении - обычно в положении сгибания в тазобедренном суставе. У некоторых пациентов могут иметь место отек и кровоизлияния в области тазобедренного сустава.
Обследование в условиях стационара
Немедленная стабилизация состояния
Пациенты с переломами, являющимися следствием высокоэнергетической травмы, практически всегда попадают или доставляются в травматологические центры или отделения неотложной помощи, где ввиду тяжести полученных повреждений они нуждаются в немедленном оказании медицинской помощи.
Переломам, полученным вследствие высокоэнергетической травмы, могут сопутствовать повреждения головы, груди, брюшной полости и конечностей. Массивная кровопотеря может привести к развитию такого состояния, как травматический шок - жизнеугрожающее нарушение функций организма, сопровождающееся нарушением работы большинства внутренних органов.
Лечение пациентов с высокоэнергетическими переломами костей таза требует мультидисциплинарного подхода с вовлечением значительного числа медицинских специалистов. В некоторых случаях прежде, чем приступить к лечению перелома костей таза и других повреждений, пациент нуждается в восстановлении проходимости дыхательных путей, коррекции дыхательных и гемоциркуляторных нарушений. Физикальное обследование
При обследовании врач оценит состояние таза, тазобедренных суставов и нижних конечностей. Также он оценит, сохранены ли движения в голеностопных суставах и пальцах стопы и чувствительность подошвенной поверхности стопы.
Также врач, с тем чтобы не пропустить другие повреждения, самым тщательным образом обследует иные части тела. Дополнительные методы исследования
Рентгенография. Рентгенография обеспечивает возможность получения статических изображений плотных анатомических образований, например костей. Все переломы костей таза требуют рентгенологического исследования, нередко с использованием дополнительных проекций, которые позволяют врачу оценить характер смещения фрагментов.

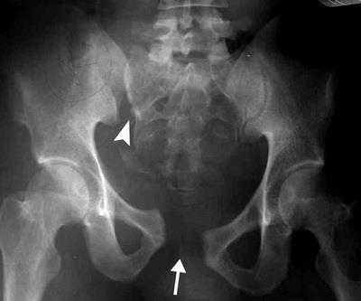
Рентгенограмма нестабильного повреждения таза с разрывом лонного симфиза (стрелка) и крестцово-подвздошного сочленения (треугольная стрелка).
Компьютерная томография (КТ). Ввиду достаточно сложного анатомического строения таза наиболее часто для диагностики и оценки характера переломов этой локализации применяется компьютерная томография. Она обеспечивает врача более детализированными разноплоскостными срезами костей таза и используется для оценки характера перелома, диагностики других, сочетанных, повреждений и предоперационного планирования.
Магнитно-резонансная томография (МРТ). МРТ назначается в редких случаях, когда линия перелома не видна ни на рентгенограммах, ни на КТ.
Лечение переломов костей таза
При выборе тактики лечения мы исходим из следующих факторов:
- - характер перелома;
- - степень смещения костных фрагментов;
- - состояние здоровья пациента в целом.
Консервативное лечение
Консервативное лечение может быть рекомендовано при стабильных переломах без смещения либо с минимальным смещением костных фрагментов.
Консервативное лечение включает:
- - Использование вспомогательных средств опоры. Для исключения нагрузки на поврежденную конечность врач может рекомендовать использовать костыли или ходунки на срок до 3 месяцев или до того момента, пока не наступит сращение перелома. Если у пациента имеются повреждения обеих нижних конечностей, для передвижения до тех пор, пока не будет разрешена нагрузка хотя бы на одну конечность, используется инвалидное кресло.
- - Медикаментозная терапия. Врач может рекомендовать такие препараты, как обезболивающие и антикоагулянты. Последние назначаются с целью профилактики тромбозов вен нижних конечностей.
Хирургическое лечение
Пациенты с нестабильными переломами костей таза могут нуждаться в одном или более хирургических вмешательств.
Наружная фиксация. Наружная фиксация применяется для стабилизации тазового кольца. Операция заключается во введении через небольшие кожные разрезы и мышцы в кости таза металлических стержней или винтов. Концы этих стержней и винтов остаются над поверхностью кожи по обе стороны таза и фиксируются к карбоновым соединительным балкам. Наружный фиксатор выполняет роль стабилизирующей рамки, удерживающей кости таза в правильном положении.
В некоторых случаях наружный фиксатор применяется для стабилизации вплоть до наступления сращения перелома. У пациентов, которые на данный момент по состоянию здоровья не могут перенести более продолжительное и сложное хирургическое вмешательство, которое им показано, наружный фиксатор может использоваться в качестве временной меры, используемой до момента стабилизации состояния пациента и выполнения окончательной фиксации перелома.

В данном случае для стабилизации костей таза использован наружный фиксатор.
Скелетное вытяжение. Скелетное вытяжение представляет собой систему блоков, грузов и противовесов, которые используются для репозиции костных фрагментов. Скелетное вытяжение нередко накладывается в ближайшее время после травмы и снимается после операции. Иногда некоторые переломы вертлужной впадины лечат с использованием одного только скелетного вытяжения. Однако применяется данный метод достаточно редко, и, если в этом возникнет необходимость, решение об этом будет приниматься непосредственно вами вместе с вашим лечащим врачом.
При наложении скелетного вытяжения через бедренную или большеберцовую кость проводится металлическая спица. К спице фиксируется груз, который за счет тяги способствует удержанию фрагментов в максимально близком к анатомическому положении. У многих пациентов скелетное вытяжение также позволяет в той или иной мере снизить выраженность болевых ощущений.
Открытая репозиция и внутренняя фиксация. В ходе операции костные фрагменты в первую очередь возвращаются в нормальное анатомическое положение (репонируются). Для удержания фрагментов в этом положении до наступления сращения используются металлические пластины и винты.

В данном случае для стабилизации перелома костей таза использованы пластины и винты. Осложнения
Риски осложнений сопутствуют любой операции независимо от ее сложности. Перед операцией лечащий врач обсудит с вами каждый из этих рисков и примет все необходимые меры, чтобы их избежать.
Возможные осложнения включают:
- - проблемы с заживлением раны, в т. ч. вследствие развития инфекции;
- - повреждение нервов или кровеносных сосудов;
- - тромбозы вен;
- - тромбоэмболию легочной артерии - попадание тромбов с током крови в сосуды легких.
Реабилитация
Обезболивание
После операции вы будете испытывать в той или иной мере выраженные болевые ощущения. Это неотъемлемая часть процесса заживления. Врач и медицинские сёстры сделают всё необходимое, чтобы уменьшить выраженность болевого синдрома и тем самым ускорить процесс вашего восстановления.
С целью обезболивания в послеоперационный период применяются различные типы препаратов: опиоиды, нестероидные противовоспалительные препараты и местные анестетики. Чтобы оптимизировать их эффект и снизить потребность в опиоидных анальгетиках, препараты могут назначаться в различных комбинациях друг с другом.
Помните, что, хотя опиоиды и позволяют эффективно купировать послеоперационный болевой синдром, они являются наркотиками и к ним возможно развитие привыкания. Наркотическая зависимость и передозировка наркотиков давно уже стали социально значимыми проблемами в большинстве развитых стран. Применение опиоидов возможно только по назначению врача. Как только болевой синдром становится менее выраженным, от них лучше отказаться. Если этого не происходит в течение нескольких дней после операции, проблему следует обсудить с лечащим врачом.
Ранние движения
В большинстве случаев врач порекомендует вам как можно раньше начинать движения в суставах. Большинство пациентов вскоре после операции начинают ходить, хотя и с определенными ограничениями по нагрузке, и как можно раньше после операции начинают заниматься упражнениями, связанными с сокращением мышц голеней и стоп.
Физиотерапия
Физиотерапия включает специальные комплексы упражнений, направленные на восстановление подвижности и объема движений в тазобедренных суставах. Другие упражнения помогут вам восстановить силу и выносливость, необходимые вам для всего, с чем вы сталкиваетесь в повседневной жизни.
Профилактика тромбозов
Несмотря на то, что вам будет разрешено двигаться, ваша мобильность в послеоперационный период всё же будет ограничена. По этой причине для профилактики тромбозов глубоких вен нижних конечностей и таза врач может назначить вам антикоагулянты - препараты, снижающие свертываемость крови.
Нагрузка
Большинство пациентов в течение некоторого периода времени после операции должны пользоваться костылями или ходунками. Полная нагрузка допускается через 3 месяца после операции или тогда, когда наступит полное сращение перелома. После этого еще в течение некоторого периода времени вы также вынуждены будете пользоваться тростью или другими вспомогательными средствами опоры.
Исходы лечения переломов костей таза
Стабильные переломы таза обычно достаточно хорошо срастаются. Нестабильные повреждения таза, возникшие вследствие высокоэнергетической травмы, могут стать причиной развития достаточно серьезных осложнений, в т. ч. массивного кровотечения, повреждений внутренних органов и инфекции. При эффективном лечении этих осложнений переломы обычно также хорошо срастаются.
Если в результате травмы оказались поврежденными также мышцы в области таза, то в течение нескольких месяцев после нее у вас может сохраняться хромота. Восстановление функции и силы поврежденных мышц может продолжаться до года.
Результатом сочетанных с переломами таза повреждений нервов и органов таза могут стать такие проблемы, как длительно сохраняющийся болевой синдром, нарушение походки и сексуальная дисфункция.
Клиника травматологии и ортопедии расположена недалеко от центра Москвы и по праву считается одной из лучших в России. Мы специализируемся на предоставлении высококвалифицированной медицинской помощи пациентам с травмами и заболеваниями опорно-двигательного аппарата. Клиника предоставляет широкий спектр как диагностических исследований, так и лечебных процедур. Вы можете быть уверены, что находитесь в надежных руках. Здоровье пациента - наш приоритет. Мы можем предложить Вам самые передовые и эффективные методы как консервативного, так и оперативного лечения. Команда наших врачей состоит из опытных и авторитетных хирургов травматологов-ортопедов, а также реабилитологов и физиотерапевтов. Все они стремятся к одному: безопасно достичь хороших и отличных результатов Вашего лечения. И мы не останавливаемся на достигнутом: все сотрудники клиники периодически повышают свой уровень квалификации, участвуют в международных конференциях и мастер-классах.
Характер повреждений костей таза и его органов при переезде и ударе частями автомобиля

библиографическое описание:
Характер повреждений костей таза и его органов при переезде и ударе частями автомобиля / Юрасов Г.И. // Судебно-медицинская экспертиза. — М., 1965. — №4. — С. 23-25.
код для вставки на форум:
При автомобильной травме довольно часто встречаются переломы таза, механизм которых в литературе освещен недостаточно и противоречиво.
А.И. Багбанзаде (1958) пришел к выводу, что по характеру переломов таза нельзя судить о механизме автомобильной травмы. В.К. Стешиц (1955), В.Ф. Чарыков (1955), И.Ф. Огарков (1958), П.П. Щеголев (1959) и А.А. Матышев (1961) различают переломы таза от удара частями автомобиля и при переезде. По данным И.Ф. Огаркова, при сдавлении таза в момент переезда могут образоваться односторонние изолированные переломы лобковых и подвздошных костей в сочетании с разрывами подвздошно-крестцовых сочленений. А.А. Матышев утверждает, что при переезде через таз в 60% случаев возникают двойные двусторонние вертикальные переломы, а разрывы сочленений всегда сочетаются с переломами костей. По его данным, при ударе частями движущегося автомобиля встречаются изолированные переломы костей, односторонние вертикальные переломы таза и изолированные разрывы сочленений. П.П. Щеголев отмечает, что характер переломов таза в результате переезда зависит от положения потерпевшего в момент травмы.
Мы изучили характер повреждений костей таза и его органов при автомобильной травме на секционном материале за ряд лет. Данные исследования трупов сопоставляли с обстоятельствами травмы, которые анализировали по материалам автомобильной инспекции, а также следственных и уголовных дел. Всего изучено 169 случаев. Потерпевшие были в возрасте от 4 до 83 лет, из них 121 мужского пола и 48 женского.
Встретившиеся виды переломов таза при переезде и ударе частями автомобиля отражены в таблице.
Как видно из таблицы, при переезде всегда возникали переломы таза с нарушением его непрерывности, которые у подавляющего большинства потерпевших располагались в переднем полукольце. У 77,7% потерпевших переломы таза были двусторонними, причем переломы без разрывов сочленений таза всегда были с обеих сторон. Переломы костей в 85, 7% случаев сопровождались повреждением сочленений таза. В 23,1% случаев встретились изолированные разрывы синхондрозов, чаще (15 из 19) были повреждены три сочленения таза.
Переломы таза при основных видах автомобильной травмы
Перелом таза без нарушения его непрерывности
Переломы таза с нарушением его непрерывности:
1) переднего полукольца:
3) переднего (односторонние) и заднего полуколец
4) переднего (двусторонние) и заднего полуколец
5) вертлужной впадины
7) односторонние переломы переднего полукольца с разрывом:
а) одного сочленения
б) двух сочленений
8) двусторонниие переломы переднего полукольца с разрывом:
9) односторонние переломы заднего полукольца с разрывом одного сочленения
10) двусторонние переломы заднего полукольца с разрывом одного сочленения
11) переломы переднего (односторонние) и заднего полуколец с разрывом:
а) одного сочленения
б) трех сочленений
12) переломы переднего (двусторонние) и заднего полуколец с разрывом:
13) переломы вертлужной впадины с разрывом трех сочленений
При этом виде автомобильной травмы мы не встретили изолированных повреждений одного сочленения и переломов заднего полукольца таза, а также односторонних переломов переднего отдела без разрыва синхондрозов.
В 79 случаях переезд был совершен грузовыми автомобилями и в 3 — легковыми. У 69 потерпевших зафиксирован переезд поперек тела, у 13 — вдоль тела; 70 пострадавших в момент переезда находились в положении на спине и 12 — на животе.
Повреждения таза при переезде поперек тела возникают вследствие удара и сдавления. При переезде вдоль тела со стороны головы или ног повреждения таза возникают только в результате сдавления, удар же колесом приходится либо на голову или грудную клетку, либо на нижние конечности. Мы не выявили каких-либо особенностей переломов таза, характерных для переезда поперек или вдоль при различном положении потерпевших в момент травмы. Следовательно, удар колесом как травмирующая сила при переезде имеет второстепенное значение.
Из таблицы следует, что при ударе частями движущегося автомобиля в 27,5% случаев образовались переломы костей таза без нарушения его непрерывности. Переломы, нарушившие непрерывность тазового кольца, в 79,2% случаев были односторонними, и располагались как в переднем, так и заднем отделах, несколько чаще — в переднем полукольце таза. У 58,4% потерпевших переломы костей таза сочетались с разрывами сочленений, причем у 89,6% из них было повреждено только одно сочленение.
Переломы костей таза у 8 пострадавших были причинены крылом автомобиля, у 36 — передней частью, у 11 — кузовом и у 32 — неизвестной частью. Повреждения таза у 74 потерпевших нанесены частями грузовых автомобилей, у 12 — легковых и у 1 — неизвестного назначения.
Мы обратили внимание на некоторые особенности повреждений органов таза при различных механизмах автомобильной травмы. При переезде органы таза были повреждены в 59,7% случаев, причем чаще они травмировались при положении потерпевшего в момент переезда на спине. Наружные половые органы были повреждены в 36,5% случаев. Необходимо отметить, что все повреждения наружных половых органов, за исключением одного случая, произошли при положении пострадавших в момент травмы на спине. В результате удара частями автомобиля органы таза были повреждены в 39% случаев, из них наружные половые органы — только в 9,1%.
Выводы
- По локализации и виду переломов таза в подавляющем большинстве случаев можно определить основные механизмы автомобильной травмы.
- Двусторонние переломы таза, особенно в сочетании с разрывом двух или трех сочленений, указывают на переезд.
- Для удара частями движущегося автомобиля характерны переломы таза без нарушения его непрерывности. Из переломов, нарушающих целость тазового кольца, при этом виде автомобильный травмы встречаются односторонние переломы таза, которые в половине случаев могут сочетаться с разрывом одного сочленения.
похожие статьи
Судебно-медицинские аспекты дорожно-транспортных происшествий со смертельным исходом / Осипов А.А., Морозов Ю.Е., Стороженко Е.В. // Избранные вопросы судебно-медицинской экспертизы. — Хабаровск, 2021. — №20. — С. 116-117.
Три варианта локальных переломов таза при ударе сбоку в область большого вертела бедренной кости / Лысенко О.В. // Матер. IV Всеросс. съезда судебных медиков: тезисы докладов. — Владимир, 1996. — №1. — С. 125-126.
Переломы костей при автотравме
Перелом бедренной кости при переезде колёсами автомобиля

код для вставки на форум
Многооскольчатый перелом нижней трети бедренной кости в результате переезда колёсами грузового автомобиля. Видны следы сложной деформации изгиба с элементами кручения.
Повреждения черепа при переезде колёсами автомобиля

Повреждения костей черепа при переезде колёсами автотранспортного средства (компрессия в косом направлении).
Повреждения переднего полукольца таза при переезде колесом автомобиля

Повреждения переднего полукольца таза при передне-задней компрессии вследствии переезда колесом автотранспортного средства при положении на спине.
Пролеченная травма таза после переезда колесом легкового автомобиля

Повреждения остистых отростков при переезде колесом автомобиля

Повреждения остистых отростков при переезде колесом автотранспортного средства в положении на животе.
Прямой разгибательный перелом ребра

Вид сверху на прямой разгибательный перелом ребра по средней подмышечной линии. Практически полностью сформированный клиновидный отломок, обращённый основанием к наружной поверхности ребра. Это, по сути, описанный на длинных трубчатых костях классический клиновидный осколок Мессерера. Основание осколка обычно указывает на место приложения силы.
Множественные переломы ребер при переезде

Массивная расслойка рёбер по передней подмышечной линии в результате передне-задней компрессии при перекатывании колеса грузового автомобиля через область грудной клетки.
Переезд крестца колёсами автомобиля

Каталоги галереи
- Стабильные (переломы костей таза, не сопровождающиеся нарушением целостности тазового кольца). В эту группу входят изолированные и краевые переломы костей таза.
- Нестабильные (переломы костей таза, сопровождающиеся нарушением целостности тазового кольца). В зависимости от механизма травмы возможно возникновение вертикально нестабильных и вращательно нестабильных переломов. При вертикально нестабильных переломах костей таза целостность тазового кольца, как правило, нарушается в двух местах: в заднем и переднем отделе. Отломки смещаются в вертикальной плоскости. При вращательно (ротационно) нестабильных переломах со смещением смещение отломков происходит в горизонтальной плоскости.
- Переломы дна или краев вертлужной впадины. Иногда сопровождаются вывихом бедра.
- Переломовывихи костей таза. При этом виде повреждений перелом костей таза сочетается с вывихом в лонном или крестцово-подвздошном сочленении.
- Краевые повреждения костей, не участвующих в образовании тазового кольца.
- Повреждения костей, образующих тазовое кольцо, без потери его непрерывности.
- Повреждения костей, образующих тазовое кольцо, с потерей его непрерывности.
- Переломы вертлужной впадины.
- Специализированная медицинская помощь при ожоге. Дезинтоксикационная терапия при ожоговой токсемии.
- Признаки повреждения локтевого сустава по типу вальгусной нагрузки
- Синдром Земана-Кинга (Zeman-King)
- Иммунное реагирование при инфекциях. Иммунный ответ при вирусных инфекциях. Гуморальные иммунные реакции при вирусемии ( вирусных инфекциях ).
- Диффузное аксональное повреждение на КТ
- (Aklim)
- (Konst&INN) (vulture) (vulture) (Edwin) (Boroda) (vulture) (Aklim) (Boroda)
- (Edwin) (Edwin) (Edwin)
- (Alexey) (myt) (Edwin) (Edwin) (Edwin)
- (Aklim) (Aklim) (Aklim) (Aklim)
- (Edwin) (Silence) (Silence) (АНТ) (Edwin) (Edwin) (Edwin) (Konst&INN) (FILIN) (0-AHS-0) (myt) (Konst&INN) (Edwin)
- (myt) (Aklim) (myt)
- (Boroda) (Edwin) (FILIN) (Boroda) (Boroda) (Edwin) (АНТ) (Boroda) (vulture) (Edwin) (Boroda) (Edwin) (vulture) (Edwin) (Edwin)
- (Alex) (Edwin) (Alexey)
- (Boroda) (vulture)
- (FILIN) (myt)
- (SLeonov) (Silence) (Silence) (Silence) (myt) (Alexey) (myt) (qwer) (myt) (vulture) (Alexey) (Yablok_By) (Alex) (FILIN) (Alex) (Expert) (vulture) (Expert) (Aklim)
- (Edwin) (RSA) (Boroda) (FILIN) (Edwin) (Edwin) (myt) (Edwin) (Boroda) (nikitayev) (Boroda) (nikitayev) (Edwin) (Boroda) (Boroda) (Boroda)
- (myt) (myt) (ТМВ) (Konst&INN) (nikitayev) (ТМВ) (Konst&INN) (Sergey107) (FILIN) (Konst&INN) (FILIN) (Konst&INN) (Forens)
- (Valerich) (Alex-Kiev) (Alex-Kiev) (ТМВ) (ramzes) (Vil) (vulture) (for-for) (Alex-Kiev)
- (Konst&INN) (FILIN) (Edwin)
- (Konst&INN) (molchun) (Alexey) (Alexey) (Alexey) (Alexey) (for-for) (Konst&INN) (myt) (Dr_Bob) (Alexey) (vulture) (АНТ) (Alex-Kiev)
- (АНТ) (Vil) (Valerich) (Valerich) (Кузьмич) (FILIN) (SLeonov) (Alexey) (АНТ) (Konst&INN) (s.lana)
- (Boroda) (АНТ) (Aklim) (0-AHS-0) (Aklim) (Edwin)
- (Edwin)
- (Edwin) (Edwin)
- (Edwin) (Aklim)
- (Edwin) (Edwin) (vulture) (Forens) (Alexey) (vulture) (vulture) (Edwin) (Edwin) (dospan) (Alexey) (Мила82) (Edwin) (Edwin) (Edwin) (Edwin) (Edwin) (Aklim) (Edwin) (АНТ) (Edwin) (Edwin) (myt) (Edwin) (vulture) (myt) (Edwin) (vulture) (vulture) (АНТ) (vulture) (vulture) (vulture) (Andrey) (FILIN) (Edwin) (АНТ) (Boroda) (Forens) (vulture) (vulture) (nikitayev)
- (Aklim) (Silence) (Edwin) (АНТ) (Alexey) (Andrey)
- (Edwin) (myt) (Boroda)
- (Edwin) (Aklim) (myt) (Edwin) (Edwin) (qwer) (Andrey) (Vil) (Дудок) (Vil) (Edwin)
- (Edwin) (ramzes) (Alexey) (Edwin) (Andrey)
- (Дудок)
- (Дудок) (Aklim) (ramzes) (Expert) (dospan) (АНТ) (АНТ) (ramzes) (vulture) (vulture) (dospan) (myt) (Bella) (Kvaker) (dospan) (Печкуренко) (Forens) (Дудок) (myt)
- (АНТ) (myt) (Edwin) (Aklim) (Edwin) (Aklim) (Aklim) (for-for) (Kvaker) (vulture) (vulture) (nikitayev) (Deni) (Vil) (myt) (Edwin) (Aklim) (Andrey)
- (myt) (Edwin) (myt)
- (Andrey) (Andrey) (Andrey) (Andrey) (Andrey) (Andrey) (Edward) (myt) (Andrey) (Andrey) (Andrey)
- (SParilov)
- (myt)
- (myt) (vulture) (myt) (Forens) (myt)
- (myt) (myt)
- (Кузьмич) (Deni) (myt)
Перелом костей таза
Перелом костей таза - это нарушение целостности одной или нескольких тазовых костей. Местные симптомы включают боль в месте перелома, деформацию таза, видимое укорочение нижней конечности, нарушение движений ногами. Тяжесть травмы связана с большой потерей крови, истекающей из отломков костей таза и мягких тканей, а также развитием травматического шока, обусловленного болевым синдромом и кровопотерей. Диагноз устанавливается по результатам рентгенографии. Для исключения повреждения органов таза могут быть назначены уретрография, цистография, УЗИ мочевого пузыря. Лечение - иммобилизация, иногда с применением скелетного вытяжения. В отдельных случаях показана оперативная фиксация отломков.
МКБ-10


Общие сведения
Переломы костей таза - тяжелое повреждение скелета. Тяжесть травмы обусловлена большой потерей крови, истекающей из отломков костей таза и мягких тканей, а также развитием шока, обусловленного болевым синдромом и кровопотерей. Переломы костей таза, по данным современной травматологии, составляют 4-7% от общего числа переломов. Могут сопровождаться повреждениями внутренних органов, утяжеляющими состояние больного и представляющими непосредственную опасность для его жизни.
Причины
Возможен различный механизм травмы, но, чаще всего переломы костей таза возникают в результате падения с высоты, сдавления при автомобильных авариях, обвалах зданий, несчастных случаях на производстве (например, в шахте) и наездах на пешеходов. Вид перелома костей таза зависит от многих факторов, в том числе - от направления (боковое, переднезаднее) и степени сдавления.
Патанатомия
Таз - система соединенных между собой костей, которые располагаются в основании позвоночника. Таз является опорой для скелета, защищает расположенные в нижней части живота внутренние органы и служит связующим звеном между костями нижних конечностей и туловища. Тазовое кольцо образовано тремя парными тазовыми костями (лобковой, подвздошной и седалищной) и расположенным сзади крестцом. Три тазовые кости с каждой стороны разделены между собой тонкими костными швами и неподвижны относительно друг друга. Спереди лобковые кости сочленяются, образуя лобковый симфиз. Сзади подвздошные кости крепятся к крестцу посредством крестцово-подвздошных сочленений. В наружно-боковой области все три тазовые кости участвуют в образовании вертлужной впадины (части тазобедренного сустава).
Классификация
Выделяют четыре группы переломов костей таза:
Симптомы перелома таза
Местные симптомы
К местным симптомам относится деформация тазовой области, резкая боль, гематома или отек мягких тканей в области перелома. При подвижности костных отломков определяется костная крепитация. При отрыве передневерхней ости наблюдается визуальное укорочение конечности, обусловленное смещением отломка кнаружи и книзу и симптом заднего хода Лозинского (при движении ногой назад пациент испытывает меньшую боль, поэтому ходит спиной вперед).
Переломы подвздошной кости и верхних отделов вертлужной впадины сопровождаются уменьшением объема движений в тазобедренном суставе. Пациента беспокоит боль в области крыла подвздошной кости. Для переломов копчика и крестца характерны боли, усиливающиеся при давлении на нижнюю часть крестца. Акт дефекации затруднен. При повреждении крестцовых нервов нарушается чувствительность области ягодиц, возможно недержание мочи.
При переломах тазового кольца без нарушения его целостности появляется боль в промежности (перелом седалищных костей) или в лобковой области (перелом лобковых костей). Боли усиливаются при движениях ногой, пальпации и сдавлении таза в боковом направлении. Для переломов с нарушением целостности переднего тазового полукольца характерны боли в области промежности и таза, усиливающиеся при боковом и переднезаднем сдавлении и движении ног. При переломах седалищной и верхней ветви лобковой кости пациент находится в позе лягушки (на спине, с полусогнутыми и разведенными в стороны ногами). При переломах вблизи симфиза и его разрывах больной слегка сгибает ноги и сводит их вместе. Попытка разведения ног резко болезненна.
При переломах заднего полукольца пациент лежит на здоровом боку, движения ноги на стороне поражения болезненны, ограничены. Переломы Мальгеня (с одновременным нарушением целостности заднего и переднего полуколец) сопровождаются асимметрией таза, патологической подвижностью при боковом сдавлении, кровоподтеками в промежности и области мошонки. Для переломов вертлужной впадины характерны нарушение функций тазобедренного сустава, болевой синдром, усиливающиеся при поколачивании по бедру и осевой нагрузке. При сочетанном вывихе бедра определяется нарушение положения большого вертела, вынужденное положение конечности.

Общие симптомы
В случае изолированных переломов костей таза травматический шок развивается у 30% пострадавших, при сочетанных и множественных травмах - у 100% пациентов. Шок обусловлен массивной кровопотерей в сочетании со сдавлением или повреждением чувствительных нервных элементов тазовой области. При шоке кожа пострадавшего бледная, покрыта липким холодным потом. Артериальное давление снижено, пульс учащен. Возможна потеря сознания.
Иногда переломы костей таза сопровождаются признаками повреждения внутренних органов (клиникой «острого живота»), которые могут быть обусловлены как травмой внутренних органов, так и забрюшинной гематомой при переломе костей таза в задних отделах или гематомой в передней брюшной стенке при переломе лобковых костей. При повреждении уретры развивается характерная триада симптомов: задержка мочи, кровотечение из мочеиспускательного канала, кровоподтек в области промежности. При разрывах мочевого пузыря возникают нарушения мочеиспускания, развивается гематурия.
Переломы костей таза всегда сопровождаются потерей крови. При краевых и изолированных переломах кровопотеря относительно небольшая (200-500 мл). При нестабильных вертикальных переломах пациенты иногда теряют 3 и более литра крови. Тяжелые переломы костей таза могут сопровождаться повреждением уретры и мочевого пузыря, реже - прямой кишки и влагалища. При этом содержимое внутренних органов попадает в полость малого таза и вызывает развитие инфекционных осложнений. Кровотечение и повреждение внутренних органов серьезно утяжеляет состояние пациента и увеличивает риск для его жизни. При некоторых переломах костей таза возможно сдавление или повреждение корешков и нервных стволов поясничного сплетения, сопровождающееся неврологическими расстройствами.
Диагностика
Диагноз перелома костей таза выставляется врачом-травматологом на основании симптомов и данных рентгенографии. При подозрении на «острый живот» и удовлетворительном состоянии пациента проводится наблюдение в динамике. При тяжелом состоянии больного с подозрением на повреждение внутренних органов выжидательная тактика недопустима. Проводится лапароскопия, лапароцентез, иногда - диагностическая лапаротомия. Невозможность самостоятельного мочеиспускания, даже при отсутствии других признаков травмы мочевых путей, является показанием к УЗИ мочевого пузыря и обследованию мочеиспускательного канала. В сомнительных случаях проводят уретрографию.

Лечение перелома костей таза
Комплекс противошоковых мероприятий включает в себя адекватное обезболивание, возмещение кровопотери и иммобилизацию перелома. Выполняется анестезия места перелома, внутрикостная или внутритазовая анестезия. Новокаин оказывает гипотензивное действие, поэтому при шоке большие количества препарата нужно вводить после возмещения кровопотери. При переломах Мальгеня пациенту дают лечебный наркоз. Пациентам с изолированными переломами костей таза проводят дробное переливание крови в течение 2-3 суток после травмы. При тяжелых повреждениях таза, сочетанной травме и тяжелом шоке для возмещения кровопотери показано переливание больших объемов крови в течение первых часов после травмы.
Вид и продолжительность иммобилизации зависят от локализации повреждения, наличия или отсутствием нарушения целостности тазового кольца. При изолированных и краевых переломах выполняется фиксация на щите или в гамаке, иногда - с использованием шин Белера или валиков в подколенной области. Нарушение целостности тазового кольца является показанием к наложению скелетного вытяжения. Проведение оперативного лечения переломов костей таза показано в случае повреждения тазовых органов, значительном расхождении лонных костей при разрыве симфиза, неэффективности консервативного восстановления положения отломков при их значительном смещении.
3. Травма таза. Клиника, диагностика и лечение / Бабоша В.А., Климовицкий В.Г., Пастернак В.Н. - 2001
Переломы костей таза у детей
Переломы костей таза у детей выявляются достаточно редко и относятся к категории тяжелых травм. Чаще такие повреждения развиваются в результате серьезных происшествий (падений с высоты, транспортных катастроф, обвалов и пр.), поэтому наряду с переломами таза могут наблюдаться повреждения других костей и травмы внутренних органов, что усугубляет тяжесть состояния больного. Симптоматика различается в зависимости от вида травмы. При краевых переломах преобладают местные признаки: боль и гематома в проекции перелома. Повреждения тазового кольца сопровождаются резкой болезненностью, вынужденным положением тела и резким снижением двигательной активности. Возможна деформация таза, в тяжелых случаях развивается шок. Диагноз выставляют на основании симптомов и результатов рентгенографии. Лечение консервативное, осуществляется стационарно.

Переломы костей таза у детей нередко сопровождаются повреждением мочевыводящей системы и органов брюшной полости. Возможно также сочетание с повреждением грудной клетки, ЧМТ, а также переломами других костей.

Классификация переломов таза у детей
С учетом локализации все переломы подразделяются на группы:
Краевые переломы костей таза
Такие переломы - наиболее легкие, сочетание с повреждениями других органов наблюдается редко. Иногда подобные травмы являются следствием прямого удара. Однако чаще наблюдается отрыв части кости при форсированной физической нагрузке (например, при занятиях спортом: попытки сесть на шпагат, прыжков в длину и т.д.). Краевые переломы характерны для подростков и возникают, поскольку костная система иногда «не успевает взрослеть» за быстро развивающимися мышцами.
По клиническим проявлениям краевые переломы могут напоминать ушиб. Общее состояние практически не страдает, ребенка беспокоит локальная боль. Спустя несколько часов в области повреждения образуется заметная гематома. При переломе передневерхней ости подвздошной кости отмечается усиление боли при попытках сделать шаг, сгибании и отведении бедра; в ряде случаев выявляется уменьшение относительной длины конечности. При переломе передненижней ости подвздошной кости отмечается усиление боли при разгибании голени. Об отрыве седалищного бугра свидетельствует усиление болевого синдрома при сгибании коленного сустава.
Рентгенография таза помогает уточнить диагноз, однако в ряде случаев снимков не достаточно для достоверного подтверждения перелома таза, поскольку линию перелома бывает трудно отличить от зоны роста. При возникновении затруднений пациента направляют на МРТ или КТ костей таза. Консультации других специалистов, как правило, не нужны.
Лечение обычно консервативное. Пациентов с переломами остей подвздошных костей укладывают на щит, ногу с больной стороны фиксируют на шине в положении отведения. Срок фиксации - 16-18 дней. Больным с отрывами седалищного бугра накладывают гипс от поясницы до стопы на 3 недели. При значительном смещении седалищного бугра требуется операция - открытая репозиция и подшивание отломка.
Переломы тазового кольца без нарушения его непрерывности
Такие переломы наблюдаются при повреждении седалищной и лобковой костей и обычно не сопровождаются значительным смещением. При отсутствии других травм шок, как правило, не развивается, состояние ребенка остается удовлетворительным. Возникает резкая боль. Пациент лежит в вынужденной позе: с полусогнутыми и разведенными ногами. При повреждении лонной кости выявляется симптом «прилипшей пятки» - ребенок не может самостоятельно приподнять ногу над кроватью и подтянуть ее к животу.
Переломы тазового кольца с нарушением его непрерывности
Такие повреждения - наиболее тяжелые, они часто сочетаются с другими травмами, повреждениями внутренних органов, а также могут сопровождаться шоком. Причиной обычно становится ДТП или падение с высоты. Возможны множественные и диагональные переломы, переломы Мальгеня, разрывы лоно-седалищного синхондроза и лонного сочленения.
Состояние пациента обычно тяжелое. Характерны сильные боли в проекции тазовых костей. Возможны боли в животе. Положение ребенка вынужденное. Даже при незначительном изменении позы возникает резкая болезненность. При разрыве лонного сочленения ноги согнуты и приведены к туловищу. При переломах Мальгеня и повреждении передних отделов пациент принимает позу лягушки - с разведенными и согнутыми ногами. При выраженном смещении выявляется деформация таза (сужение, смещение пострадавшей половины кверху или ее разворот кнаружи).
Шок при таких травмах развивается по двум причинам: вследствие массивного кровотечения из губчатого вещества тазовых костей и из-за повреждения нервов крестцового сплетения. В отдельных случаях кровотечение может быть настолько интенсивным, что симулирует внутриполостное (вследствие разрыва внутренних органов). Симптоматика зависит от стадии и тяжести шока. Возбуждение сменяется затемнением сознания. Кожа влажная, бледная. Отмечается снижение давления, нарастающая тахикардия и уменьшение количества мочи. Возможны нарушения дыхания.
Обследование больных с такими переломами таза проводят максимально бережно. Пальпацию осуществляют осторожно, без проверки симптомов Маррея и Вернейля (давления на крылья подвздошных костей). При пальпации выявляется отек и боль. После осмотра выполняют рентгенографию. Перекладывать больного на специальный стол не рекомендуется, поэтому исследование выполняют прямо на каталке. Данные рентгенографии обычно достаточно информативны, МРТ и КТ таза не требуются. При подозрении на сочетанную травму назначают консультации хирурга, уролога, проктолога и других специалистов.
Восстановление нормального количества эритроцитов после кровопотери занимает 1-1,5 мес. Во время нахождения ребенка в травматологическом отделении для ускорения этого процесса проводят переливания крови. На время восстановительного периода пациенту назначают витаминотерапию и препараты железа.
Переломы вертлужной впадины
Такие повреждения обычно сочетаются с переломами других костей таза. Возникает боль в тазобедренном суставе, нога приведена и развернута кнаружи, удержание конечности на весу невозможно, движения резко ограничены. Диагноз подтверждают, проводя рентгенографию тазобедренного сустава. Лечение осуществляют консервативно, в стационаре. Накладывают скелетное вытяжение на 4-5 недель. После показана ходьба на костылях в течение 3-6 месяцев. Детей с такими травмами берут на диспансерное наблюдение в связи с повышенной вероятностью развития артроза тазобедренного сустава.
Программа лечения любых переломов костей таза у детей обязательно включает в себя специально разработанные комплексы лечебной физкультуры.
Читайте также:
