Переломы (травмы) голеностопного сустава. Классификация, диагностика и лечение
Добавил пользователь Евгений Кузнецов Обновлено: 22.01.2026
Переломы костей голени - это одновременное нарушение целостности большеберцовой и малоберцовой костей. Проявляются болью, нарушением конфигурации и патологической подвижностью голени, невозможностью опоры на ногу. Диагностика осуществляется путем рентгенографического исследования. Внутрисуставные переломы требуют дополнительного проведения КТ или МРТ сустава. Лечение переломов голени состоит в репозиции отломков, наложении гипсовой повязки или скелетного вытяжения. Для фиксации отломков может потребоваться операция с применением металлических пластин или винтов, установка аппарата Илизарова.
МКБ-10

Общие сведения
Переломы костей голени составляют 10% от общего числа переломов. Течение, методы и сроки лечения зависят от уровня и объема повреждения и отличаются при переломах костей голени различной локализации.
Патанатомия
Голень - часть скелета между бедром и стопой, состоящая из двух трубчатых костей (большеберцовой и малоберцовой). Основную нагрузку несет на себе более крупная большеберцовая кость. Мыщелки (выступы в верхней части большеберцовой кости) соединяются с бедренной костью, образуя нижнюю суставную поверхность коленного сустава. Своей нижней частью большеберцовая кость сочленяется с таранной костью, образуя голеностопный сустав.
Малоберцовая кость располагается с наружной стороны, увеличивает стабильность и прочность голени. Обе кости голени соединяются между собой (вверху - при помощи общего сочленения, в средней части - посредством межкостной мембраны, внизу - при помощи связок). На нижних концах обеих костей голени имеются выступы (лодыжки), которые с двух сторон охватывают голеностопный сустав и придают ему поперечную стабильность.
Классификация
В зависимости от локализации в травматологии и ортопедии различают:
- переломы костей голени в ее верхней части (переломы шейки и головки малоберцовой кости, переломы бугристости и мыщелков большеберцовой кости);
- переломы костей голени в ее средней части (изолированные диафизарные переломы большеберцовой и малоберцовой кости, переломы диафизов обеих костей голени);
- переломы костей голени в ее нижней части (переломы лодыжек).
Переломы костей голени в верхних и нижних отделах относятся к группе внутри- или околосуставных переломов.
Виды переломов голени
Переломы мыщелков
Обычно возникают при падении с высоты. У молодых пациентов чаще бывают расщепленными, у пожилых - вдавленными. Выделяют переломы внутреннего и наружного мыщелков.
Пациент предъявляет жалобы на боли и отек в области повреждения. Коленный сустав увеличен в объеме в результате гемартроза (скопления крови). Перелом наружного мыщелка сопровождается поворотом голени кнаружи, перелом внутреннего мыщелка - отклонением голени кнутри. Движения в суставе резко болезненны, ограничены. Опора на ногу невозможна или затруднена. Для подтверждения выполняется рентгенография, МРТ коленного сустава.
Лечение:
Перелом большеберцовой кости обезболивают, при необходимости проводят пункцию сустава. При переломе мыщелков без смещения накладывают гипсовую повязку на 1 месяц. По окончании иммобилизации назначают физиолечение и лечебную физкультуру. Полную нагрузку разрешают через 2 месяца с момента травмы.
При переломах мыщелков со смещением выполняют репозицию и накладывают гипсовую лонгету на 6-7 недель. При невозможности удовлетворительного сопоставления отломков проводят скелетное вытяжение сроком до 2 месяцев. Полную нагрузку разрешают через 3 месяца с момента травмы. Возможно оперативное лечение с использованием винтов, пластин и аппарата Илизарова.
Диафизарные переломы
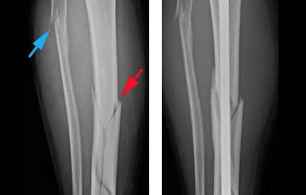
Перелом диафиза большеберцовой кости является результатом прямой или непрямой травмы. Если межкостная мембрана остается неповрежденной, смещения отломков по длине не возникает. Возможно угловое смещение и смещение по ширине.
Пациента беспокоит боль и отек в области повреждения. Голень деформирована. Опора на ногу невозможна. Для подтверждения делают рентгенографию в двух проекциях.
Выполняют обезболивание места перелома. При смещении отломков проводят репозицию с последующим наложением гипсовой лонгеты сроком на 2 месяца. При интерпозиции мягких тканей (вклинивании тканей между отломками) необходима операция.
Перелом диафиза малоберцовой кости развивается вследствие прямого удара по голени снаружи. Травма сопровождается болью в месте перелома и незначительным отеком. Пациент сохраняет возможность опираться на ногу. В отличие от ушиба голени, при переломе малоберцовой кости появляется болезненность при боковом сжатии голени вдали от места повреждения. Для подтверждения выполняют рентгенографию. Больному накладывают гипсовую лонгету на 3-4 недели.
Диафизарный перелом обеих костей голени возникает при ударе по голени («бамперный перелом» при дорожном происшествии) или непрямой травме (скручивание, сгибание). Прямая травма обычно становится причиной многооскольчатых переломов костей голени. При сгибании образуется треугольный осколок на внутренней стороне искривления, а при скручивании возникают винтообразные переломы костей голени.
Пациент жалуется на резкую боль в области повреждения. Голень отечна, синюшна, деформирована. Наблюдается отклонение стопы кнаружи. Определяется крепитация и патологическая подвижность отломков. Опора на поврежденную ногу невозможна. Для подтверждения выполняют рентгенографию в двух проекциях.
При переломах костей голени без смещения, возможности отрепонировать отломки и удержать их в правильном положении проводят скелетное вытяжение в течение 4 недель. Затем накладывают гипсовую лонгету сроком на 3-4 месяца. При невозможности сопоставить и удержать отломки, интерпозиции мягких тканей, а также для сокращения сроков лечения и ранней активизации больного врачи-травматологи применяют оперативное лечение. Используются винты, блокируемые стержни, винты и аппараты наружной фиксации.
КТ коленного сустава и голени. Оскольчатый перелом большеберцовой кости в верхней трети диафиза (красная стрелка), перелом головки малоберцовой кости (синяя стрелка), перелом латерального мыщелка большеберцовой кости (зеленая стрелка).
Переломы лодыжек
Составляют примерно 60% от общего числа переломов костей голени. Появляются в результате прямой (удар по лодыжке) и непрямой (форсированный поворот, подворачивание стопы кнутри или кнаружи) травмы. Возможны:
- изолированные переломы внутренней и наружной лодыжки;
- двухлодыжечные переломы (переломы обеих лодыжек);
- двухлодыжечные переломы в сочетании с переломом переднего или заднего края большеберцовой кости (переломы Потта-Десто, другое название - «трехлодыжечные переломы»).
Любые переломы лодыжек могут сопровождаться разрывом связок, смещением отломков и подвывихом стопы (переломовывихи), однако, чаще такие повреждения наблюдаются при двух- и трехлодыжечных переломах. Для перелома наружной лодыжки характерен подвывих стопы кнутри, для перелома внутренней лодыжки - подвывих стопы кнаружи.
Голеностопный сустав отечен, резко болезненен. Опора на ногу затруднена, при переломовывихах невозможна. При переломовывихах наблюдается отклонение стопы в соответствующую сторону, при переломах Потта-Десто - сгибание стопы в подошвенную сторону. Для подтверждения диагноза выполняют рентгенографию в двух, иногда - в трех проекциях.
Лечение
Анестезия перелома, репозиция, наложение гипсовой лонгеты. При переломе одной лодыжки без смещения срок иммобилизации составляет 4 недели, при двухлодыжечных переломах (в том числе - с подвывихом стопы) - 8 недель, при переломах Потта-Десто и разрывах межберцового синдесмоза - 12 недель. Операция показана при невозможности сопоставления костных фрагментов и интерпозиции мягких тканей.
Повреждение связок голеностопного сустава
Повреждения связок голеностопного сустава - частичный или полный разрыв связок, расположенных в области данного анатомического образования. Чаще всего травма происходит в зимнее время при подворачивании стопы на льду, обледенелых ступенях и площадках. Клиника зависит от тяжести повреждения (растяжение, надрыв, полный разрыв), включает локальную отечность, боль, различное по объему ограничение движений в суставе и нарушение ходьбы. Диагностика осуществляется на основании жалоб и клинических симптомов, для исключения перелома назначается рентгенография. В лечении могут использоваться физиотерапевтические методы, наложение гипсовой лонгеты, лечебные пункции, теплые ванны и массаж.

Повреждения связок голеностопного сустава - достаточно частая травма. Растяжения, надрывы и разрывы связок составляют 10-12% от общего количества повреждений голеностопа. Надрывы, растяжения и разрывы связок этой анатомической зоны - одна из самых распространенных спортивных травм (около 19% всех повреждений у спортсменов). В ряде случаев нарушение целостности связочного аппарата может сочетаться с подвывихом или вывихом голеностопного сустава.
Причины
Чаще всего повреждение связок голеностопного сустава происходит в зимнее время при подворачивании стопы на льду, обледенелых ступенях и площадках. Кроме того, повреждение связок может наступить в результате прыжка с высоты (зачастую - небольшой) или ходьбы по неровной поверхности.
Существует три группы связок, принимающих участие в фиксации голеностопного сустава. По наружной поверхности сустава расположены пяточно-малоберцовая, передняя и задняя таранно-малоберцовая связки, которые проходят вдоль наружной лодыжки и удерживают таранную кость от бокового смещения.
По внутренней поверхности сустава проходит дельтовидная (внутренняя коллатеральная) связка, состоящая из глубокого и поверхностного слоев. Поверхностный слой крепится к таранной и ладьевидной костям, глубокий - к внутренней части таранной кости. Третья группа связок, представленная межберцовым синдесмозом, задней поперечной, задними и передними межберцовыми связками, соединяет берцовые кости между собой. Чаще всего встречается повреждение наружной группы связок, обычно страдает передняя таранно-малоберцовая связка.

Выделяют три типа повреждений связочного аппарата голеностопного сустава:
- Разрыв отдельных волокон. В быту такое повреждение обычно называют растяжением связок голеностопного сустава, однако, это название не соответствует действительному положению вещей, поскольку связки совершенно неэластичны и не могут растягиваться.
- Надрыв связок голеностопного сустава. Разрывается значительная часть волокон, но связки при этом продолжают выполнять свою поддерживающую функцию.
- Полный разрыв связок голеностопного сустава или их отрыв от места прикрепления.
Симптомы повреждения связок
Все три вида повреждений связочного аппарата голеностопного сустава сопровождаются одинаковыми клиническими признаками, однако, выраженность этих признаков напрямую зависит от тяжести повреждения. Пациент жалуется на боли при ходьбе. Визуально выявляется припухлость и кровоподтек в области повреждения. Пальпация травмированных связок болезненна. Возможен гемартроз.
При растяжении связок голеностопного сустава отек локальный, пострадавший испытывает боли, но сохраняет способность ходить. При надрыве связок голеностопного сустава отек распространяется на наружную и переднюю поверхность стопы. Ходьба затруднена из-за боли. Полный разрыв связок голеностопного сустава сопровождается гемартрозом, выраженным отеком, кровоподтеками, распространяющимися на тыльную и подошвенную поверхность стопы. Ходьба резко затруднена, иногда - невозможна из-за боли.
Диагностика
Диагноз устанавливается на основании жалоб, анамнеза и данных объективного осмотра. Несостоятельность связок подтверждается положительным симптомом «выдвижного ящика», для проверки которого врач одной рукой держит голень пациента, а другой - смещает стопу. При разрыве передней порции боковых связок стопа смещается кпереди. При разрыве боковых связок отмечается увеличение боковой подвижности стопы. Исследование проводится травматологом-ортопедом в сравнении со здоровым суставом. Для исключения перелома осуществляют рентгенографию.
Лечение повреждения связок
Лечение первой и второй степени повреждения проводится амбулаторно. Пациенту с растяжением связок голеностопного сустава рекомендуют накладывать на сустав тугую восьмиобразную повязку. В первые двое суток с момента травмы к месту повреждения прикладывают холод, а затем - тепло. Со 2-3 дня назначают физиолечение (массаж, аппликации озокерита и парафина, переменное магнитное поле). Больному разрешают ходить.
Тугая повязка будет максимально эффективной только, если соблюдать технику ее наложения. При повреждении наружной группы связок стопу выводят в положение пронации (подошвенной стороной кнаружи), при травме внутренней группы связок - в положение супинации (подошвенной стороной кнутри), при надрывах и разрывах межберцовых связок - в положение сгибания. Таким образом обеспечивается минимальное натяжение поврежденных связок. Бинт накладывают так, чтобы каждый тур повязки сближал концы травмированных связок.
При растяжениях связок голеностопного сустава трудоспособность восстанавливается в срок от 7 до 14 дней. При надрывах связок голеностопного сустава на голень больного накладывают гипсовую лонгету сроком на 10 дней. Физиолечение назначают со 2-3 дня с момента травмы. На время лечения гипс снимают. Трудоспособность восстанавливается примерно через 3 недели.
Больных с полным разрывом связок голеностопного сустава госпитализируют в отделение травматологии и ортопедии. При выраженном болевом синдроме вводят 1-2% новокаин в область повреждения. При гемартрозе выполняют пункцию для удаления крови и введения в сустав 10-15 мл новокаина. На ногу накладывают гипсовую лонгету сроком на 2-3 недели. Назначают УВЧ на область травмы.
Для улучшения питания поврежденной области пациенту с первых дней рекомендуют двигать пальцами стопы, напрягать мышцы голени, сгибать и разгибать коленный сустав. После снятия повязки назначают ЛФК, массаж и теплые лечебные ванны. В течение двух месяцев с момента повреждения показано ношение тугой повязки для полного восстановления связки и предупреждения ее повторных разрывов в месте заживления.
Перелом голеностопного сустава
Среди повреждений нижних конечностей, чаще всего случается перелом в области голеностопного сустава. Травмы - непростые в диагностике, и нередко приводящие к стойкому снижению качества жизни пострадавшего.
Врачи ортопедического отделения нашей клиники готовы оказать квалифицированную помощь всем пациентам.
Уникальный опыт и современное оборудование позволяют эффективно помочь даже при непростых переломах.
Анатомические особенности
По строению, голеностопный сустав относится к блоковидным сочленениям: между своеобразной «вилкой» из двух лодыжек (щиколоток), заведен блок суставной поверхности таранной кости. Стабильность обеспечивают многочисленные связки: они расположены в несколько слоев, мощные и прочные.

Рис.1. Строение голеностопа
Свобода движений несколько ограничивается: сустав позволяет стопе сгибаться и разгибаться с хорошей амплитудой только в одной плоскости.
Возможность смещения ступни вправо и влево небольшая, но зато опорная способность - позволяет справляться с нагрузками, достигающими десятикратной массы тела. Правда, иногда даже такого запаса прочности не хватает.
Механизм травмирования
Переломы голеностопных суставов возникают под действием разносторонне направленных сил:
- Осевое усилие, перпендикулярное подошве (приводит к вклиниванию таранной кости между лодыжками).
- Чрезмерные сгибание (флексия) и разгибание (экстензия).
- Подворачивание внутрь (супинация) и выворачивание наружу (пронация).
- Ротация стопы вовнутрь (инверсия) и наружу (эверсия).
Если в любом из этих направлений подействует достаточно большая энергия, то конструкция сустава может не выдержать и сломаться.
Разновидности и типы
Классификация переломов голеностопного сустава достаточно сложна. Отдельно классифицируются:
- Переломы малоберцовой кости (наружной лодыжки).
- Большеберцовой (внутренней лодыжки).
- Повреждения межберцового синдесмоза.
- Таранной кости.
Каждая из этих категорий имеет подпункты. При травмах, они сочетаются и редко встречаются изолированно. Знание всех нюансов каждого типа перелома и понимание механизма травмы, позволяет максимально полностью и эффективно устранять повреждения.
Обычно, отламываются лодыжки: внешняя (латеральная, - отросток малоберцовой кости) или внутренняя (медиальная - часть большеберцовой). Могут ломаться и сразу обе.
Рис. 2. а. перелом обеих лодыжек со смещением; б. перелом лодыжек и заднего края большеберцовой кости.
Особенность таких переломов в том, что иногда щиколотки как бы отрываются от костей голени: при подворачивании ноги, прочные связки могут не разорваться, а тянут за собой щиколотку, отрывая или ее полностью, или вызывая отлом и смещение небольшого фрагмента кости.
Грубые высокоэнергетические травмы способны не ограничиться щиколотками и сопровождаются разламыванием суставной поверхности большеберцовой кости.
Таранная кость ломается заметно реже. Но при ее повреждениях могут возникать внутрисуставные отломки. Выраженную симптоматику они дают не всегда и часто заканчиваются развитием ложных суставов.
Приходится сталкиваться с переломовывихами: при отламывании одной или обеих щиколоток ноги, они теряют способность фиксировать блок, таранная кость вывихивается и смещается, усложняя лечение.
Рис3. а. перелом наружной лодыжки, разрыв синдесмоза и делтовидной связки, подвывих стопы кнаружи. б. перелом таранной кости.
Подобные травмы опасны нарушением кровоснабжения костной ткани, что становится причиной асептического некроза (таранной кости) и сильно усложняет работу врачей.
Частым осложнением является разрыв наружных и глубоких связок и смещение костных отломков.
Симптоматика
Отдельные моменты внешних проявлений, зависят от вида и объема травмы. Внимание нужно обращать на такие симптомы:
- Боль в травмированном сочленении.
- Отек в области одной щиколотки или обеих.
- Нетипичная ориентация стопы.
- Деформация сустава.
Коварство заключается в риске малосимптомных вариантов. Можно встретить отрыв небольшого фрагмента кости, что не приводит к грубым внешним проявлениям, а значит - запаздывает обращение к медикам после перелома и, соответственно, лечение.
Диагностические мероприятия
Опрос и осмотр не могут дать нужной информации. Ключевая роль отводится рентгенологическим методам. Как правило, требуется рентгенограмма травмированной конечности в двух проекциях.
Причем для лучшей визуализации отдельных участков сустава, используются разные приемы (смещение, поворот, наклон стопы). Когда нужно, для сравнения делают снимок и здоровой ноги. Может возникнуть потребность в КТ, МРТ.
Переломы таранной кости требуют более тщательного выбора диагностической методики, так как сложнее в плане лечения.


Рис4. а. на КТ перелом таранной и большеберцовой костей, б. на МРТ перелом таранной кости
Терапевтические мероприятия
Несложные переломы голеностопа без существенного смещения, допускают консервативное лечение. Проводится ручная закрытая репозиция, детали которой зависят от типа травмы.
Основные принципы такие:
- Проведение максимально точной репозиции до наложения гипсовой иммобилизационной повязки.
- Реабилитация после снятия гипса, восстановление движений и функции сустава.
После этого, накладывается повязка из ткани на основе гипса: иммобилизация необходима, срок ее зависит от степени дефекта и составляет от 4 недель.
Мы поможем Вам восстанавливать целостность костей, функцию сустава и вернутся к привычному активному образу жизни. У нас индивидуальный подход к каждому пациенту.
Хирургические мероприятия
Если очевидно, что закрытая репозиция не окажется эффективной, гипс не используют: прибегают к открытой операции остеосинтеза и установке металлоконструкций непосредственно на костные ткани.
Нарушения целостности таранной кости, предпочтительнее лечить именно хирургическим методом из-за риска асептического некроза. Вправление и репозицию ее переломовывихов необходимо проводить, повторяя в обратном направлении механизм травмы.
Рис.5 а. остеосинтез таранной и пяточной костей винтами, б. перелом обеих лодыжек; остеосинтез пластиной и винтами.
Последствия
Если вовремя не обратиться к врачам, то даже простой перелом голеностопа может осложнить дальнейшую жизнь.
Распространенное последствие запоздалого обращения - ложные суставы щиколоток, сращение в неправильном положении, посттравматический артроз.
Недостаточно продуманное лечение приводит к нарушению стабильности голеностопа, его деформации. В застарелых случаях, устранять такие последствия непросто.
Грубые дефекты намного более опасны:
- Стойкие нарушения опорной функции стопы.
- Из-за расстройств кровоснабжения, происходит асептический некроз костей.
- Инфекционные осложнения в пострадавшем месте.
Утрата физиологичной походки сказывается на всем скелете человека, в первую очередь - на позвоночнике. В ряде случаев может потребоваться эндопротезирование голеностопа.
Восстановление
Характер мероприятий во время реабилитации, зависит от типа травмы и вида помощи (консервативная или хирургическая).
После легких повреждений, дозированные нагрузки на ногу разрешаются уже спустя 10-14 дней от момента репозиции. В тяжелых случаях, период покоя затягивается на несколько месяцев.
Реабилитация включает в себя массаж, физиотерапию и упражнения.
Сбалансированное и грамотное сочетание эффективных методик, позволяет пациентам. возвращаться к привычной физической активности без осложнений и за короткий срок.
Перелом лодыжек
Перелом лодыжек - это нарушение целостности лодыжек в результате травматического воздействия. Обычно возникает при подворачивании стопы кнаружи или кнутри. Проявляется болью, отеком, кровоподтеками, ограничением опоры и движений. В ряде случаев наблюдается крепитация, деформация и патологическая подвижность. Для уточнения диагноза назначают рентгенографию голеностопного сустава. Лечение чаще консервативное: по показаниям осуществляется репозиция, на лодыжки накладывается гипсовая повязка. При неэффективности закрытой репозиции требуется операция.


Перелом лодыжек - одна из самых распространенных скелетных травм. Может возникать у пациентов любого возраста и пола, однако чаще страдают люди среднего и пожилого возраста, что обусловлено ухудшением координации движений и общей физической формы. Частота переломов лодыжек резко увеличивается зимой, особенно в период гололедицы. Повреждение может сопровождаться или не сопровождаться разрывом связок, подвывихом и смещением отломков. Бывает одно-, двух- или трехлодыжечным. Прогноз, а также тактика и сроки лечения зависят от особенностей перелома.
Патология может сочетаться с переломами других костей конечностей, повреждением грудной клетки, ЧМТ, переломом таза, тупой травмой живота, повреждением почки и т. д. Изолированные переломы лодыжек, как правило, закрытые. При сочетанной травме нередко наблюдаются открытые повреждения и размозжения. Лечение осуществляют врачи-травматологи.

Обычно перелом лодыжек является изолированным повреждением, возникает в результате подкорачивания ноги. Реже патология обнаруживается в составе сочетанной травмы. В последнем случае перелом может быть обусловлен ударом, падением тяжелого предмета или сдавлением области голеностопного сустава при автодорожной либо производственной аварии.
В зависимости от механизма повреждения в травматологии и ортопедии различают следующие виды переломов лодыжек:
- Пронационно-абдукционные. Возникают при чрезмерном насильственном поворачивании стопы кнаружи. Характерны отрывы внутренней лодыжки у основания в сочетании с переломом наружной лодыжки на уровне сустава или на 5-7 см выше него, в самой тонкой части малоберцовой кости. Возможен разрыв передней межберцовой связки с незначительным (1-2 мм) расхождением берцовых костей. В тяжелых случаях наблюдается разрыв обеих межберцовых связок с образованием выраженного подвывиха кнаружи.
- Супинационно-аддукционные. Возникают при насильственном чрезмерном повороте стопы кнутри. Характерен перелом наружной лодыжки на уровне сустава либо отрыв верхушки наружной лодыжки. Линия излома внутренней лодыжки располагается выше, чем при пронационно-абдукционных переломах, и нередко захватывает нижневнутреннюю часть большеберцовой кости. Возможен подвывих стопы кнутри.
- Ротационные переломы. Образуются при чрезмерном выворачивании стопы (как правило, кнаружи, реже - кнутри). Обычно наблюдается перелом обеих лодыжек на уровне сустава, при форсированном воздействии возможен также отрыв заднего края большеберцовой кости с образованием треугольного отломка.
- Изолированные сгибательные переломы заднего края большеберцовой кости. Образуются при насильственном подошвенном сгибании стопы, выявляются очень редко. Сопровождаются образованием треугольного отломка. Смещение, как правило, отсутствует.
- Изолированные разгибательные переломы переднего края большеберцовой кости. Образуются при насильственном тыльном сгибании стопы или при прямом ударе по передней поверхности голеностопного сустава. При такой травме треугольный отломок образуется не по задней, а по передней поверхности большеберцовой кости, обычно наблюдается смещение фрагмента кпереди и кверху.
- Комбинированные (сочетанные). Возникают при одновременном действии нескольких перечисленных выше механизмов.
В клинической практике переломы одной лодыжки называют однолодыжечными, переломы обеих лодыжек (внутренней и наружной) - двухлодыжечными, переломы обеих лодыжек и переднего или заднего края большеберцовой кости - трехлодыжечными. Одно- и двухлодыжечные повреждения в 50-70% случаев не сопровождаются смещением фрагментов. Трехлодыжечные переломы относятся к категории тяжелых повреждений, при них, как правило, наблюдается выраженное смещение, расхождение вилки голеностопного сустава, подвывих и разрыв связок.
Симптомы перелома лодыжек
Пациент жалуется на боль в голеностопе или области травмированной лодыжки. Выраженность симптомов напрямую зависит от степени повреждения связочного аппарата, а также от смещения лодыжек, стопы и периферического конца большеберцовой кости. При повреждениях без смещения (особенно однолодыжечных) клиническая картина может напоминать ушиб или надрыв связок. Отек локальный, кровоизлияния в области сустава выражены незначительно или отсутствуют. Опора и движения умеренно затруднены. Осевая нагрузка по оси голени болезненна, но возможна. При пальпации боль локализуется выше верхушки лодыжек. Выявляется положительный «симптом иррадиации» - боль в области лодыжек при сжатии костей голени в средней трети.
При переломах со смещением сустав сильно отечен, деформирован. Кожа с синюшным или багровым оттенком, имеются выраженные кровоподтеки, иногда распространяющиеся на тыл стопы и подошву. Лодыжки не контурируются из-за отека. Между голенью и стопой образуется угол, открытый кнаружи или кнутри (в зависимости от вида подвывиха). Отмечается патологическая подвижность, в некоторых случаях определяется крепитация. Движения и опора невозможны из-за боли.
Переломы лодыжек следует дифференцировать с повреждением связок голеностопного сустава. При переломах боль, как правило, локализуется выше, максимальная болезненность определяется при пальпации костей, а не мягкотканных образований. Для постановки окончательного диагноза назначается рентгенография голеностопного сустава в двух стандартных проекциях (боковой и переднезадней). На снимках определяются линии изломов, направление и степень смещения отломков, вид подвывиха и степень расхождения берцовых костей. В сомнительных случаях назначают КТ голеностопного сустава, при необходимости оценить состояние мягкотканных структур - МРТ голеностопного сустава.

Лечение перелома лодыжек
Репозиция и гипсовая иммобилизация
Основной задачей при лечении повреждений лодыжек является точное восстановление нарушенных анатомических соотношений между различными элементами голеностопного сустава, поскольку без такого восстановления нормальное функционирование сустава невозможно. При переломах без смещения соотношение между элементами сустава не нарушено, поэтому достаточно наложить гипсовую повязку сроком на 4-8 недель. При переломах со смещением проводится одномоментная закрытая репозиция.
Репозиция осуществляется под местной анестезией в условиях стационара. При подвывихе сустава кнаружи травматолог одной рукой надавливает на наружную поверхность сустава, а другой - на внутреннюю поверхность голени выше лодыжки. После вправления подвывиха он сдавливает вилку голеностопного сустава, устраняя расхождение берцовых костей. При подвывихе сустава кнутри проводятся аналогичные манипуляции, но руки травматолога располагаются наоборот: одна - на внутренней поверхности сустава, вторая - на наружной поверхности голени выше лодыжки.
При повреждении заднего края большеберцовой кости стопу выводят вперед, производя тыльное сгибание, при повреждении переднего края - назад, производя подошвенное сгибание. Затем на ногу накладывают гипсовый сапожок в положении гиперкоррекции и выполняют контрольные снимки. Пациенту назначают обезболивающие и УВЧ. После спадания отека гипс циркулируют. Срок иммобилизации зависит от характера повреждения и составляет 4 недели при однолодыжечных переломах, 8 недель - при двухлодыжечных переломах и 12 недель - при трехлодыжечных переломах.
Хирургическое лечение
Показанием к хирургическому вмешательству является неустранимое смещение лодыжек, подвывих стопы и расхождение вилки сустава, а также невозможность удержания фрагментов в правильном положении. Кроме того, операции проводят при несросшихся переломах, интенсивных болях, выраженных нарушениях функции и статики. При свежих повреждениях хирургическое вмешательство обычно осуществляется на 2-5 день после травмы, при застарелых - в плановом порядке.
Внутреннюю лодыжку фиксируют двухлопастным гвоздем или винтами. При разрывах межберцового синдесмоза производят сближение берцовых костей, используя длинный винт или специальный болт. Для фиксации наружной лодыжки применяют гвоздь или спицу. При переломах заднего и переднего края производят остеосинтез лодыжек винтом или гвоздем. Затем рану послойно ушивают и дренируют, на ногу накладывают гипс. В послеоперационном периоде проводят антибиотикотерапию, назначают анальгетики, УВЧ и лечебную физкультуру. После снятия гипса осуществляют мероприятия по разработке сустава.
Прогноз и профилактика
Переломы лодыжек без смещения, как правило, хорошо срастаются и в дальнейшем не доставляют неудобства пациентам. Иногда отмечаются нерезкие боли, связанные с изменением погоды или со значительной нагрузкой на сустав. При правильно отрепонированных переломах со смещением изредка развивается посттравматический дистрофический болевой синдром - выраженные боли в стопе и голеностопном суставе, делающие невозможной опору на ногу. Причиной развития такого синдрома являются сосудистые и нейротрофические нарушения. Лечение консервативное - электрофорез с новокаином, парафин, новокаиновые блокады, ЛФК и витаминотерапия. Обычно выздоровление наступает в течение года.
Исходом нерепонированных переломов лодыжек со смещением становятся постоянные боли, деформация и отек сустава, ограничение движений, неустойчивость и неуверенность при ходьбе, хромота. Быстро развивается деформирующий артроз, который еще больше затрудняет опору и движения в голеностопном суставе. В подобных случаях требуются восстановительные операции, которые могут предусматривать иссечение рубцовых тканей, остеосинтез с применением различных металлоконструкций, использование костных трансплантатов и пластику связок. Профилактика заключается в проведении мероприятий по снижению уровня травматизма.
Перелом голени - симптомы и лечение
Что такое перелом голени? Причины возникновения, диагностику и методы лечения разберем в статье доктора Вахитова-Ковалевича Руслана Маратовича, ортопеда со стажем в 8 лет.
Над статьей доктора Вахитова-Ковалевича Руслана Маратовича работали литературный редактор Вера Васина , научный редактор Никита Геращенко и шеф-редактор Маргарита Тихонова

Определение болезни. Причины заболевания
Перелом голени (Fracture of lower leg) — это нарушение целостности большеберцовой или малоберцовой кости. При переломе человек не может опереться на ногу, возникает острая боль, меняется длина и конфигурация голени [1] .

Распространённость
В России травмы крупных костей скелета (плечевой, бедренной и большеберцовой кости) — это основная причина смерти пациентов младше 40 лет [3] . Переломы костей голени занимают первое место среди повреждений длинных трубчатых костей: на них приходится от 20 до 37,3 % случаев [11] .
Причины переломов голени
Повреждения голени чаще всего происходят при автодорожных авариях, падении с высоты, занятиях спортом, катании на коньках и на лыжах.
При переломе голени нередко повреждается несколько костей, например:
- при автодорожной аварии перелом центральной части большеберцовой кости часто сочетается с травмой верхнего конца малоберцовой кости;
- падение с большой высоты может привести к перелому нижнего конца большеберцовой кости и наружной лодыжки.
Чем быстрее оказана медицинская помощь и при необходимости проведена операция, тем реже развиваются осложнения.
При обнаружении схожих симптомов проконсультируйтесь у врача. Не занимайтесь самолечением - это опасно для вашего здоровья!
Симптомы перелома голени
Один из первых признаков перелома — это острая боль, которая возникает из-за повреждения мягких тканей. Чаще всего она не проходит, даже если нога зафиксирована и не двигается, и стихает только после медицинской помощи.
Боль локализуется в зоне перелома и усиливается при прикосновении или надавливании. При движениях она может распространяться выше по ноге, но, как правило, человек этого не замечает, потому что боль слишком сильная.
Нарастающий отёк мягких тканей — второй характерный симптом, который развивается в первые часы после травмы. При отёке часто возникает местная ишемия, т. е. ухудшается кровообращение из-за сужения или полной закупорки просвета артерии. Кроме того, из-за отёка в области перелома развивается дополнительное раздражение, повреждаются мягкие ткани и усиливается боль.
Гематома образуется в месте перелома вслед за отёком из-за повреждения мелких сосудов окружающих и костных тканей. Гематома усиливает отёк и боль, поэтому пока не остановится внутреннее кровотечение, отёк будет нарастать — так замыкается круг симптомов. Чтобы его прервать, ногу нужно зафиксировать.

Деформация ноги и невозможность опереться всегда сопровождают переломы голени. Заметить их можно сразу после травмы.
Характерное потрескивание отломков (крепитация), щелчки и выраженный хруст в области травмы — это достоверные признаки перелома голени. Патологическая подвижность голени, нетипичные движения в ноге, которые вызывают острую боль, также свидетельствуют о переломе. Обычно из-за сильной боли пациенты максимально щадят ногу, стараются не шевелить ею и не дают к ней прикоснуться.
Перечисленные симптомы всегда оцениваются в совокупности: чем больше признаков выявлено, тем вероятнее перелом [1] .
Патогенез перелома голени
Выделяют два вида проявлений перелома голени: местные, возникшие в травмированной ноге, и системные, затрагивающие весь организм.
Основное местное проявление перелома голени — это острая боль, которая напрочь лишает желания двигать ногой [4] .
Мышцы голени в момент травмы рефлекторно сокращаются, что усугубляет перелом: острые костные отломки смещаются и повреждают мышечную ткань. Чем толще кость и сильнее развит мышечный каркас, тем вероятнее, что костные отломки сместятся.
При непроизвольном сокращении мышц из повреждённых мелких сосудов начинается кровотечение. В зоне перелома появляется гематома, развивается отёк мягких тканей и боль усиливается.
Вне зависимости от типа перелома, примерно с 10-го дня гематома становится основой для костной мозоли. Костная мозоль — это будущая соединительная ткань, которая при заживлении преобразуется в кость. Период образования мозоли длится до двух недель, в это время могут возникать системные проявления перелома: обостряются хронические заболевания, повышается температура и систолическое (верхнее) давление.
В дальнейшем, благодаря активному кровоснабжению и доставке минеральных элементов, формируется вторичная костная мозоль и перелом срастается.
Важную роль в сращении перелома играет кровоснабжение кости, наличие костных отломков, расстояние между ними и тип фиксации. Переломы без осколков срастаются лучше, чем оскольчатые. Осколки, как правило, лишены кровоснабжения и отдалены друг от друга, поэтому такие переломы считаются сложными и плохо заживают.
После сращения перелома костная мозоль выглядит как нарост, но в дальнейшем перестраивается [5] . В среднем через 3-3,5 месяца человек может вернуться к бытовым нагрузкам, через полгода линия перелома становится незаметной.
При множественных переломах костей голени, обширной кровопотере, длительном травмирующем воздействии и интенсивной боли может развиться травматический шок, при котором нарушаются функции нервной системы, ухудшается кровообращение и дыхание, что усугубляет патогенез перелома.
Классификация и стадии развития перелома голени
В Международной классификации болезней 10-го пересмотра (МКБ-10) перелом голени кодируется как S82.1 .
- открытый перелом — кость сообщается с окружающей средой, в открытой ране видны костные отломки;
- закрытый перелом — кожа не повреждена, открытых ран нет.
По повреждению кортикального слоя (самой прочной части костной ткани):
- полный перелом — нарушена целостность кости;
- неполный перелом — костная стенка разрушена не полностью.
Чаще всего при неполном переломе появляется боль и выраженный отёк. Нога подвижна и не деформирована, хруста отломков нет. В народе такой перелом называют «трещиной».

По локализации перелома:
- повреждение диафиза — перелом средней трети голени, тела трубчатой кости;
- эпифиза — перелом конца трубчатой кости эпифизарной зоны;
- метафиза — перелом верхней или нижней трети голени (как правило, в отдельную группу такие переломы не выделяют).

По смещению костных отломков переломы бывают:
- Без смещения — простые переломы, при которых не нужно совмещать костные отломки.
- Со смещением — осложнённые переломы, требующие совмещения костных отломков. При таких переломах голень сильно деформирована, отекает и болит, есть крепитация отломков.
По прохождению линии перелома по кости (заметно только на рентгенограмме):
- поперечные;
- косые;
- винтообразные;
- вколоченные;
- фрагментарные;
- отрывные.
Чтобы упростить постановку диагноза, оценить тяжесть и прогноз травмы, Ассоциацией остеосинтеза была создана универсальная классификация переломов длинных трубчатых костей (AO ASIF Trauma).
Основной принцип данной классификации — это разделение переломов в зависимости от повреждённой кости, её сегмента и типа перелома. Фрагмент из классификации приведён на рисунке ниже [12] .

Осложнения перелома голени
Все осложнения перелома голени могут быть разделены на две группы:
- По времени возникновения:
- ранние — возникают в первые часы после травмы;
- поздние — развиваются в процессе лечения и реабилитации.
- По месту проявления: локальные и системные [7] .
Местные, или локальные осложнения
- повреждение мягких тканей (разрыв мышц, сухожилий и фасций);
- повреждение сосудисто-нервного пучка, онемение ноги и нарушение кровотока;
- местная ишемия тканей;
- контрактуры и атрофия мышц, которые проявляются скованностью движений;
- ложный сустав — несросшийся перелом, нарушение непрерывности трубчатой кости.
Ложный сустав можно распознать по рентгенограмме: видна линия перелома, костные края становятся округлыми, ось кости нарушена. Главная опасность заключается в утрате опорной функции голени, из-за чего пациент не может полноценно ходить.
Общие, или системные осложнения
Такие осложнения могут быть опасны для жизни. К ним относятся:
- Травматико-геморрагический шок, который возникает из-за боли при травме или потери крови. Пациент может потерять сознание, у него сильно понижаются давление и частота дыхания.
- Жировая эмболия — закупорка сосудов каплями жира, которые попали в кровь из участка перелома. Сопровождается помутнением сознания, эйфорией и неадекватным поведением: человек плохо осознаёт свои действия, отказывается от помощи, пытается встать и уйти.
- Тромбоэмболия — закупорка сосудов тромбами, из-за чего возникает ишемия или некроз тканей. В тяжёлых случаях, например при тромбоэмболии лёгочной артерии, пациент может погибнуть. Закупорка мелких сосудов приводит к ишемии тканей, в результате чего они разрушаются и организм отравляется продуктами распада. При закупорке крупных сосудов пациент может потерять сознание, у него резко падает давление и возникает терминальное состояние, близкое к клинической смерти.
Осложнения множественных травм носят комплексный характер: повреждается несколько костей или органов, например перелом ноги может сочетаться с черепно-мозговой травмой.
Диагностика перелома голени
Сбор анамнеза и осмотр
Диагностика всех видов травм начинается со сбора анамнеза — врач спрашивает, какие действия привели к перелому и что делал пациент после травмы.
Затем проводится физикальный осмотр и уточняются симптомы. Выделяют два вида признаков перелома:
- достоверные, к которым относится деформация, патологическая подвижность, укорочение или удлинение ноги и костный хруст (крепитация);
- недостоверные — боль, отёк и невозможность опираться на ногу.
Чем больше выявлено достоверных симптомов, тем вероятнее перелом костей голени.
Инструментальные методы диагностики
Объективно подтвердить диагноз позволяет рентгенологическое исследование голени в двух стандартных проекциях: прямой и боковой [8] . Чтобы избежать ошибок, рентген следует выполнять строго по стандартным укладкам.

Шок, вынужденное неестественное положение ноги из-за боли, наличие шин и фиксаторов затрудняют диагностику перелома. Если металлические шины или фиксаторы мешают сделать качественный снимок, то их придётся снять. Когда положение ноги не позволяет сделать снимок, её вправляют под местной анестезией.
В некоторых случаях, если требуется детальная диагностика нескольких сегментов голени или пациент находится в тяжёлом состоянии, показана компьютерная томография с 3d-реконструкцией кости. Исследование можно проводить и при вынужденном положении конечности, но такой томограф есть не во всех клиниках. Поэтому в некоторых случаях, если информации недостаточно, делаются уточняющие прицельные рентгеновские снимки отдельных сегментов кости.

К дополнительным методам диагностики относятся:
- рентгеновские снимки под углом;
- рентгеноскопия (просвечивание) — процедура, при которой изображение выводится на светящемся экране;
- томография с введением контрастных веществ — метод, позволяющий выявить метастазы, которые могли стать причиной перелома;
- денситометрия — исследование плотности костной ткани.
Перечисленные диагностические методы применяются в тех случаях, когда причинно-следственная связь между переломом и предшествующими событиями недостаточно ясна. К примеру, если из-за резкого подъёма с кровати возник оскольчатый перелом обеих костей голени.
Лабораторная диагностика
Лабораторные методы при диагностике травм голени вторичны, они позволяют оценить общее состояние пациента и решить, нужно ли ему ложиться в больницу.
- при критически низком уровне эритроцитов и гемоглобина (свидетельствует о сильной кровопотере);
- при высоком уровне лейкоцитов (возникает при нарушениях в работе внутренних органов).
Лечение перелома голени
При поступлении в стационар проводят следующие процедуры:
- Чтобы уменьшить боль, внутримышечно вводят анальгетики центрального действия. Также показано местное обезболивание раствором Новокаина.
- Выполняется закрытая репозиция конечности, т. е. восстанавливают ось ноги, выводят её в правильное положение.
- В зависимости от типа перелома накладывают скелетное вытяжение или гипсовую повязку. Выбирают тот метод, который позволяет оптимально зафиксировать ногу [9] .
Далее лечение сводится к основным принципам травматологии:
- если общее самочувствие пациента стабильно, костные отломки не смещены или смещены незначительно, то показано консервативное лечение;
- при грубом смещении, угловой деформации и укорочении конечности потребуется операция [10] .
Консервативное лечение
При консервативном лечении пациенту накладывают гипсовую повязку. Повязки могут быть как классическими, так и из полимерных материалов. Тип повязки на сращение перелома не влияет, важно качество наложения и адекватная фиксация. От материала зависит только удобство ношения повязки. Фиксаторы в остром периоде практически не используются.
Общие рекомендации по ношению гипса:
- не мочить повязку, иначе кожа под ней будет преть;
- не пытаться самостоятельно ослабить повязку, не обрезать края и не стараться сделать её удобнее;
- не подсовывать под повязку линейку, расчёску и прочие предметы, чтобы почесать кожу;
- следить за тем, чтобы повязка не пережимала ногу слишком сильно;
- если отёк нарастает, то рекомендуется обратиться к доктору и переложить повязку.
Гипс можно снимать только после того, как кости срослись (это видно на рентгенограмме). В среднем это происходит через 3-3,5 месяца.
Хирургическое лечение состоит в открытой репозиции костных фрагментов и остеосинтезе — операции, при которой восстанавливают правильную ось ноги и придают отломкам нужное положение. Процедура проводится под общей анестезией. Подходящую технику остеосинтеза врач подбирает в зависимости от участка перелома.

При использовании металлоконструкций кости голени сращиваются в среднем через 3-3,5 месяца после операции. Удалять конструкции по медицинским показаниям можно не ранее, чем через полгода. К таким показаниям относятся риск перфорации кожи и травмы мягких тканей. Также конструкцию нужно убрать, если она мешает разработке сустава, сдвинулась или поломалась.
Если конструкция мешает пациенту, её можно удалить, но не раньше, чем через год.
Аппараты внешней фиксации, например стержневые фиксаторы или аппарат Илизарова, применяют только временно, пока состояние пациента нестабильно и нельзя провести операцию.
Прогноз. Профилактика
Прогноз зависит от вида перелома, возраста пациента, сопутствующих заболеваний и осложнений. Также важно, как быстро человек обратился за помощью, соблюдал ли рекомендации врача и какая тактика лечения была выбрана [1] .
При переломе большеберцовой кости отломки чаще всего смещаются и кость долго сращивается. Большинство переломов диафиза голени, как правило, хорошо фиксируются как при консервативном лечении, так и при оперативном. Хуже заживает перелом нижней трети и опорной площадки голени. Непредсказуемы исходы множественных переломов костей голени и переломы обеих ног.
В целом, если выбрана правильная тактика лечения и своевременно проведена операция, то большинство переломов сращиваются за 3-3,5 месяца.
Читайте также:
