Подслизистые расщелины неба и нарушения речи при них
Добавил пользователь Валентин П. Обновлено: 03.11.2025
Красноярский государственный медицинский университет, ГСП №8, Красноярск
Кафедра ЛОР-болезней с курсом последипломного образования
Чувашский государственный университет им. И.Н. Ульянова, Вторая городская больница, Чебоксары
Хирургия расщелин неба с устранением патологии ЛОР-органов
Журнал: Стоматология. 2014;93(2): 33‑36
Радкевич А.А., Вахрушев С.Г., Гантимуров А.А., Иванов В.А. Хирургия расщелин неба с устранением патологии ЛОР-органов. Стоматология. 2014;93(2):33‑36. 
Radkevich AA, Vakhrushev SG, Gantimurov AA, Ivanov VA. Cleft palate surgery with ENT-pathology correction. Stomatologiya. 2014;93(2):33‑36. (In Russ.).
Представлена технология устранения расщелин неба, включающая в себя одномоментное вмешательство на ЛОР-органах (шунтирование барабанных полостей, сегментарную или полную аденотомию и др.) с восстановлением анатомии сошника и реконструкцией твердого неба сверхэластичным тонкопрофильным имплантатом на основе никелида титана. Описаны преимущества разработанной методики в сравнении с ранее известными.
В целях устранения патологических изменений ЛОР-органов и предотвращения послеоперационных дефектов у больных с расщелинами неба разработана технология уранопластики с использованием материалов с памятью формы.
Техника операции. Освежают края расщелины; в области боковых отделов твердого неба рассекают слизистую оболочку (СО) и надкостницу по Лангенбеку и производят разрезы в переднем и среднем отделе твердого неба для образования слизисто-надкостничных лоскутов, пользуясь одной из известных методик 5 (у больных с двусторонними расщелинами выполняют разрезы с правой и левой сторон дефекта для формирования слизисто-надкостничных лоскутов с учетом перекрытия расщелины за счет СО и надкостницы межчелюстной кости, небных и альвеолярных отростков верхних челюстей - ВЧ). Слизисто-надкостничные лоскуты отслаивают от небных и альвеолярных отростков ВЧ и горизонтальных пластинок небных костей. Образуют и мобилизуют слизисто-надкостничные лоскуты в переднем и среднем отделе твердого неба. Выводят и мобилизуют сосудисто-нервные пучки из больших небных каналов после резекции их задних стенок, мобилизуют СО нижнего отдела полости носа, отделяют слизисто-надкостничные лоскуты от СО носа в области границы твердого и мягкого неба вперед, рассекают СО и подслизистый слой в ретромолярных зонах до язычной поверхности альвеолярного отростка нижней челюсти и обнажают крючки крыловидных отростков основной кости. Отделяют мягкие ткани от последних в слое межфасциального пространства и от внутренней поверхности внутренней пластинки основной кости до прикрепления m. pharingo-palatini, не изменяя места прикрепления m. tensor veli palatini. При недостаточной мобильности тканей пересекают верхние полюса сухожилий данных мышц. В области дефекта сошника отсепаровывают поднадкостнично СО вертикальной пластинки решетчатой кости с обеих сторон на 0,4-0,8 см и поднадкостнично в зону дефекта сошника и костей твердого неба с нижней поверхности устанавливают тканевый никелид-титановый имплантат, разработанный в НИИ медицинских материалов и имплантатов с памятью формы (Томск), изготовленный из никелид-титановой нити диаметром 50-60 мкм с размером ячеек
Во всех случаях выполняют парацентез барабанных перепонок с последующей эвакуацией слизистого или слизисто-гнойного содержимого из барабанных полостей и шунтированием последних. В случаях уменьшенного объема нижнего носового хода, обусловленного гипертрофией нижней носовой раковины, для предотвращения затрудненного носового дыхания на медиальной поверхности переднего конца нижней носовой раковины наконечником лазерного кварцевого световода диаметром 0,5 мм выполняют аппликацию излучением Nd-Yag-лазера с длиной волны 0,89 мкм мощностью 20 Вт в непрерывном режиме, с продвижением световода в подслизистом слое параллельно костному остову и СО на всю длину раковины со скоростью 2 см/с, затем в полость носа вводят кровеостанавливающий тампон. Искривление носовой перегородки устраняют путем резекции выступающего в сторону участка или рассечением у основания, в средней и верхней части четырехугольного хряща. Гипертрофические изменения глоточной миндалины иссекают полностью или только в проекции устьев слуховых труб (в целях сохранения функции небно-глоточного затвора).
С применением данной технологии осуществлено лечение 18 больных с одно- и двусторонними расщелинами твердого и мягкого неба.
Анализ отдаленных (3 года) анатомических результатов показал, что в области твердого неба в проекции срединного небного шва наблюдалось удовлетворительное состояние послеоперационного рубца. В участках вторичного заживления (небные отростки ВЧ и горизонтальные пластинки небных костей) выявлялась умеренно выраженная гипертрофическая рубцовая деформация СО твердого неба. Ригидность мягкого неба незначительна. При передней риноскопии гипертрофической рубцовой деформации нижнего носового хода в проекции расщелины не отмечалось, каких-либо анатомических и функциональных нарушений со стороны ЛОР-органов, твердого и мягкого неба, связанных с оперативным вмешательством, не наблюдалось.
В качестве иллюстрации приводим наблюдение.
Больной В., 3 лет, обратился в клинику по поводу врожденной левосторонней расщелины верхней губы, твердого и мягкого неба, состояния после хейлоринопластики с целью хирургического лечения (рис. 1). Рис. 1. Больной В. до оперативного лечения. Под эндотрахеальным наркозом выполнены шунтирование барабанных полостей (рис. 2) Рис. 2. Больной В., состояние после шунтирования барабанной полости. и сегментарная аденотомия (рис. 3). Рис. 3. Больной В., состояние после сегментарной аденотомии. Над гипертрофированными участками СО заднего конца нижней носовой раковины выполнена аппликационная коагуляция. В полость носа введены кровеостанавливающие тампоны. Освежены края расщелины, проведены разрезы Лангенбека-Эрнста, образованы и мобилизованы слизисто-надкостничные лоскуты, мобилизована СО нижнего отдела полости носа, в области дефекта сошника отсепарована поднадкостнично СО вертикальной пластинки решетчатой кости с обеих сторон на 0,5 см и поднадкостнично в зону дефекта сошника и костей твердого неба с нижней поверхности установлен тканевый никелид-титановый имплантат вышеописанной конструкции (рис. 4). Рис. 4. Больной В., состояние после установки тканевого никелид-титанового имплантата. Лоскуты мягкого неба ушиты между собой в 3 слоя, слизисто-надкостничные лоскуты твердого неба ушиты между собой (рис. 5) Рис. 5. Больной В., состояние после фиссурорафии. , раны в зоне крыловидно-нижнечелюстных пространств с учетом ретранспозиции неба ушиты узловыми швами наглухо, изъян переднего отдела твердого неба устранен при помощи лоскута по В.И. Заусаеву, проведена дополнительная фиксация слизисто-надкостничных лоскутов йодоформными полосками и съемной защитной пластинкой. Послеоперационное ведение больного соответствовало общепринятой методике, течение гладкое. Тампоны из полости носа удалены на 2-е сутки, швы сняты на 10-е сутки. Заживление раны со стороны полости рта первичное, со стороны полости носа вторичное. При осмотре через 3 года отмечены удовлетворительные анатомические и функциональные результаты (рис. 6) Рисунок 6. Рис. 6а. Больной В. через 3 года после оперативного лечения. Состояние ротовой полости. Рисунок 6. Рис. 6б. Больной В. через 3 года после оперативного лечения. Состояние твердого неба. Рисунок 6. Рис. 6в. Больной В. через 3 года после оперативного лечения. Состояние левого носового хода. .
Преимущество предлагаемой технологии перед ранее известными состоит в том, что ткань из никелида титана, установленная между слизисто-надкостничными лоскутами, костной частью твердого неба и дном полости носа, благодаря биохимической и биомеханической совместимости с тканями организма, способностью удерживать жидкость обеспечивает восстановление СО дна носового хода, надежно изолирует ротовую и носовую полости в случаях расхождения слизисто-надкостничных швов, некроза части лоскутов. В данных ситуациях соединительная ткань со стороны реципиентных областей прорастает сквозь ячеистую структуру имплантата с образованием в зоне бывшего изъяна единого соединительнотканного регенерата. Отсутствие необходимости накладывать выворотные швы на СО дна полости носа значительно сокращает время операции, предотвращает гипертрофическую рубцовую деформацию и сужение нижнего носового хода, а одномоментное устранение патологических состояний органов полости носа обеспечивает нормализацию носового дыхания и предупреждает развитие риносинуситов. Сегментарная аденотомия дает возможность нормализовать функциональное состояние слуховых труб, не приводя к функциональной недостаточности небно-глоточного затвора.
Подслизистые расщелины неба и нарушения речи при них
Российский государственный медицинский университет;
НИИ цереброваскулярной патологии и инсульта, Москва
ФГБУ «Центральный научно-исследовательский институт стоматологии и челюстно-лицевой хирургии» Минздрава России, Москва, Россия
Научно-исследовательский институт цереброваскулярной патологии и инсульта Российского государственного медицинского университета, Москва
ГОУ ДПО «Российская медицинская академия последипломного образования» Минздрава России, Москва, Россия;
ФГБНУ «Российский онкологический научный центр им. Н.Н. Блохина», Научно-исследовательский институт клинической и экспериментальной радиологии, Москва, Россия
Неврологические нарушения у детей с расщелиной губы и неба
Журнал: Журнал неврологии и психиатрии им. С.С. Корсакова. Спецвыпуски. 2016;116(4‑2): 76‑82
Цель исследования. Выявление и описание неврологических проявлений генетических синдромов, в структуру которых входят врожденные расщелины губы и неба (РГН). Материал и методы. Обследовали 21 пациента с РГН, средний возраст 12,0±4,7 года (основная группа) в сравнении со здоровыми (контрольная группа). Результаты и заключение. У пациентов основной группы достоверно чаще (p
Пороки развития лица являются одними из наиболее распространенных среди всех форм врожденной патологии. Среди пороков развития лица расщелина губы и неба (РГН), безусловно, занимает первое место по частоте — до 86,9%. РГН в мире составляет в среднем 1:800—1:600 новорожденных. В России этот показатель выше и составляет в среднем 1:500 новорожденных, достигая в группах риска показателя 1:150. Ежегодно в России рождается около 5000—6000 детей с данной патологией, при этом за последние 15 лет отмечается рост частоты рождаемости детей с РГН [1—3].
РГН имеют многофакторную этиологию и сложный, связанный с взаимодействием различных генетически и негенетических (средовые) факторов патогенез.
Около 30% РГН являются синдромными, т. е. входят в состав врожденных генетически обусловленных синдромов, которых насчитывается более 300. При этом различие между синдромными и несиндромными РГН нечеткое: в семьях с синдромными РГН у некоторых членов семьи выявляются только орофациальные расщелины из-за переменной клинической экспрессии генетически обусловленного синдрома; в то же время более чем у 20% пациентов с несиндромными РГН при тщательном обследовании можно выявить другие врожденные аномалии [1, 3—10].
Наличие у новорожденного с РГН морфологических дефектов губы, альвеолярного отростка и неба приводит к нарушению таких жизненно важных функций, как дыхание, сосание и глотание, что осложняет естественное вскармливание. Устранение этих нарушений и дальнейшая медицинская и социальная реабилитация пациентов с РГН требуют комплексного подхода с привлечением специалистов разного профиля: челюстно-лицевых хирургов, ортодонтов, стоматологов-терапевтов, ортопедов, логопедов и психологов. Пациенты с РГН обречены на 4—5 реконструктивных операций по устранению врожденных дефектов лица, первая из которых — хейлопластика — выполняется уже в первые дни жизни ребенка. Такие больные нуждаются в постоянном ортодонтическом лечении до 18—20-летнего возраста и в последующем сложном протезировании. Анатомические и функциональные дефекты создают постоянные трудности в речевой и психологической реабилитации пациентов с РГН и, следовательно, в их социальной адаптации [1, 3, 6, 8, 10—14].
У больных с РГН обнаруживается замещение значительной части мышцы языка соединительной тканью, его «распластанное» положение на дне ротовой полости (в отличие от нормального — параллельного небу), ограничение подвижности языка, особенно подъема его к верхним зубам. В ряде случаев подобные особенности строения мышцы языка и его расположения в ротовой полости можно выявить уже у плода с расщелиной неба (РН) [15—18].
Врожденные пороки лицевого скелета нередко сочетаются с множественными нарушениями развития других органов и систем организма, в том числе — с пороками развития ЦНС: врожденными аномалиями головного мозга, черепных нервов, органов чувств. Неврологические проявления сложных генетических синдромов, в структуру которых входят РГН/РН, подробно описаны. Однако исчерпывающих описаний неврологического статуса пациентов с несиндромными РГН/РН в доступной литературе обнаружить не удалось.
В подавляющем большинстве случаев дети с несиндромными РГН признаются педиатрами и детскими неврологами при диспансерных осмотрах практически здоровыми. Однако при этом не учитывается, что такие характерные для пациентов с РГН/РН сопутствующие заболевания, как рецидивирующие отиты, могут быть связаны с нарушениями глотания. Логопедические нарушения по типу дизартрии и так называемой общей задержки речевого развития принято связывать исключительно с наличием собственно расщелины и сопутствующей ортодонтической патологией. Специфическое положение языка в ротовой полости трактуется как адаптационная реакция, направленная на разобщение полости носа и полости рта. Психовегетативные нарушения принято расценивать как реакцию пациента на связанную с внешним дефектом социальную изоляцию [11, 13, 14, 19—22].
У пациентов с РГН может быть выявлена микроочаговая неврологическая симптоматика: признаки вегетативной неустойчивости, пирамидная недостаточность, оральная и артикуляторная апраксия, нарушение мелкой моторики, общая моторная неловкость, нарушение мимики, гиперактивность, тики, признаки «минимальной мозговой дисфункции». Однако грубая неврологическая симптоматика описывается редко [11, 12, 19].
Все эти особенности, хотя и не достигают уровня определенной неврологической нозологии, но, несомненно, формируют специфический «неврологический портрет» пациента с РГН.
Цель настоящей работы — выявление и описание неврологических нарушений у пациентов с РГН.
Материал и методы
Обследование больных проводилось совместно неврологом и врачом-ортодонтом. Исследование проводилось в 2 этапа: задачей первого этапа стало описание специфических неврологических нарушений у пациентов с РГН; задачей второго этапа стал сравнительный анализ частоты выявленных неврологических нарушений у больных с РГН и в группе контроля.
Основную группу составил 21 пациент с РГН (13 лиц женского и 8 лиц мужского пола, в возрасте от 6 до 24 лет; средний возраст 12,0±4,7 года). В контрольную группу вошли 11 молодых людей, 9 лиц женского и 2 — мужского пола, не имеющих РГН.
По результатам обследования неврологические симптомы были отражены в специально разработанной анкете.
При обследовании больных применялась также магнитно-резонансная томография (МРТ) головного мозга. Она осуществлялась на МРТ-системах Signa HD («General Electric», США) и Magnetom Espree («Siemens», ФРГ) с получением Т1- и Т2-взвешенных изображений (Т1ВИ и Т2ВИ соответственно) в ортогональных проекциях с использованием стандартных импульсных последовательностей быстрого спинового эхо (Turbo или Fast Spin Echo — TSE или FSE соответственно) и Т2ВИ на базе импульсной последовательности быстрой инверсии-восстановления с подавлением сигнала от свободной жидкости (Fluid Attenuated inversion Recovery — FLAIR).
Статистический анализ данных проводился по общепринятым правилам, для оценки межгрупповых различий использовался точный критерий Фишера. За достоверные принимались различия при p
Результаты
У пациентов с РГН наиболее часто выявлялись элементы бульбарного, несколько реже — псевдобульбарного синдрома, нередки были признаки стволовой дисфункции, часто выявлялись признаки дизрафического статуса, в том числе вертебральные аномалии (табл. 1).

Таблица 1. Особенности неврологического статуса у пациентов с РГН
Элементы бульбарного синдрома в различной степени выраженности были обнаружены у 100% пациентов с РГН и имели свои особенности. Прежде всего обращали на себя внимание нарушения иннервации языка (рис. 1): девиация языка выявлена у 13 (61,9%) пациентов; гипотрофия языка — у 18 (85,7%) пациентов (центральная — у 13 (61,9%) больных, краевая — у 2 (14,3%), общая — у 3 (9,5%) пациентов); фасцикуляции и двигательное беспокойство языка — у 5 (23,8%) и 4 (19,0%) обследованных с РГН соответственно.

Рис. 1. Язык ребенка с РГН.
Провисание мягкого неба и девиация язычка мягкого неба (uvula) отмечены у 7 (33,3%) больных основной группы. При этом глотание и глоточный рефлекс были сохранны практически у всех пациентов. Только в 1 (4,8%) случае имели место негрубые нарушения глотания.
У 17 (81,0%) пациентов основной группы отмечались речевые нарушения: изолированная дизартрия — 5 (23,8%), изолированная дис- и назофония — 3 (14,3%). Грубые речевые нарушения в виде полного синдрома бульбарной речи — выраженной дизартрии в сочетании с нарушениями звучности голоса (назо- и дисфония), а также с особенностями речевого потока (замедленная, реже — 3 (14,3%) случая — скандированная речь) были выявлены у 9 (42,9%) больных. Тяжелые речевые нарушения чаще отмечали у пациентов более молодого возраста — их средний возраст составил 9,9±2,0 года.
Несколько реже у пациентов с РГН выявлялась неврологическая симптоматика со стороны других черепных нервов (III, IV, V, VI, VII пар): мимической иннервации — периоральные фасцикуляции — 6 (28,6%), гипомимия — 5 (23,8%), «форсаж» мимики — 3 (14,3%), асимметрия лица — 2 (9,5%); слабость жевательной мускулатуры и/или девиация нижней челюсти выявлены у 2 (9,5%); признаки нарушения функции глазодвигательных нервов — косоглазие и нистагм — у 3 (14,3%) и 4 (19,0%) соответственно. У нескольких пациентов выявлены нарушения со стороны органов чувств: врожденная тугоухость — 2 (9,5%), врожденная прогрессирующая миопия — 1 (4,8%).
Нарушения мимической иннервации оказались на 2-м месте по частоте встречаемости у пациентов с РГН после элементов бульбарного синдрома: в целом по группе специфические особенности мимики в виде гипомимии, реже своеобразной «форсированной» подчеркнутой мимики выявлены у 7 (33,3%) пациентов с РГН.
Также очень часто у пациентов с РГН выявлялось нарушение статики (рис. 2), преимущественно со стороны шейно-грудного отдела позвоночника — 16 (61,9%) обследованных основной группы. У больных основной группы выявлялись различная высота плеч — 13 (50,0%) пациентов, асимметрия грудной клетки с односторонней гипотрофией мышц — 3 (14,3%), кифосколиоз — 12 (57,1%) пациентов, ограничение подвижности позвоночника — 3 (14,3%) пациента.

Рис. 2. Нарушение статики (вариант развития шейно-грудного отдела позвоночника) у ребенка с РГН.
Частыми были проявления лицевого дизрафизма: разностояние глаз — 11 (52,4%) пациентов, гипо- и гипертелоризм — 7 (33,3%) пациентов, асимметрия лица с недоразвитием одной его половины — 7 (33,3%) пациентов, разная высота расположения ушных раковин — 3 (14,3%) пациента.
Таким образом, можно составить своеобразный «неврологический портрет» пациента с РГН: специфические элементы бульбарного синдрома (преимущественно затрагивающие мышцу языка), особенности мимики, лицевой и спинальный (преимущественно со стороны шейно-грудного отдела) дизрафизм. С увеличением возраста обследуемых уменьшалась выраженность дизартрии и стволовой дисфункции (со стороны III—VII пар черепных нервов), но негрубые речевые нарушения (дисфония и/или назофония) сохранялись даже у взрослых пациентов. У пациентов более старшего возраста на первый план выступали вертебральные проблемы (боль в спине, рецидивирующие корешковые синдромы, ранние дегенеративные изменения позвоночника) и признаки вегетативной дисфункции. По этому поводу у невролога наблюдались 6 из 10 (60%) пациентов с РГН старше 12 лет.
Помимо особенностей черепной иннервации у 9 (42,9%) пациентов с РГН была обнаружена микроочаговая неврологическая симптоматика. Она была преимущественно представлена элементами мозжечкового синдрома (нистагм, мышечная гипотония, минимальные координаторные нарушения) — 4 (19,0%) пациента, вегетативно-сосудистыми нарушениями у более старших пациентов — 5 (23,8%) у пациентов в возрасте 15—17 лет. У 2 (9,5%) выявлены элементы акинетико-ригидного синдрома.
Важно отметить, что когнитивная недостаточность не была характерна для пациентов основной группы: признаки легкого когнитивного расстройства (не ограничивающего социальную адаптацию) были выявлены лишь у 2 (9,5%) обследованных пациентов с расщелинами.
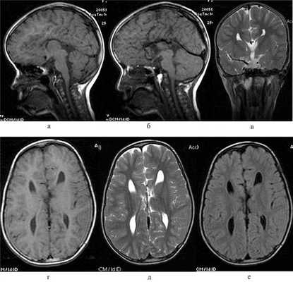
У нескольких пациентов с РГН по данным осмотра были выявлены признаки неврологического заболевания, что потребовало более углубленного дообследования (МРТ головного мозга и позвоночника, ультразвукового исследования брахиоцефальных артерий, консультации педиатра и генетика). По данным такого дообследования, проведенного 5 (23,8%) пациентам основной группы, были выявлены аномалии развития ствола головного мозга и задней черепной ямки, краниовертебрального перехода и нервной трубки, у 2 пациенток установлены генетически-детерминированные заболевания: неполная аномалия Денди—Уокера (недоразвитие мозжечка, расширение большой и нижней мозжечковых цистерн без признаков гидроцефалии) в структуре синдрома Стиклера — 1 пациентка; аплазия мозололистого тела (рис. 3) и аномалия ствола головного мозга в структуре синдрома Мебиуса — 1 пациентка; аномалия Киари I типа в сочетании с особенностями сосудов вертебрально-базилярной системы (кинкинг-синдром основной артерии) — 1 пациент; аномалия Киари II типа в сочетании с расщеплением тел позвонков (spina bifida) — 1 пациент; у 1 пациента выявлены признаки парагипокампального склероза с эпилептическим синдромом (табл. 2).
Таблица 2. Аномалии развития и заболевания нервной системы у пациентов с РГН

Рис. 3. МРТ-картина аплазии мозолистого тела у девочки Р., 12 лет, с РН. На сагиттальных FSE Т1ВИ (а, б) мозолистое тело не дифференцируется, обращает внимание расширенное отверстие Можанди (а) при относительно сохранном объеме мозжечка; миндалины его незначительно опущены (б) — до входа в большое затылочное отверстие. При этом отмечается незначительное расширение межполушарной щели и типичная «бабочка» боковых желудочков на FSE Т2ВИ в коронарной проекции (в). На аксиальных FSE Т1ВИ (г) и ТЕ2ВИ (д), FLAIR Т2ВИ (е) вместо мозолистого тела видна несколько расширенная межполушарная щель с характерным для аплазии мозолистого тела изменением конфигурации желудочков.
Признаки спинального дизрафизма (разная высота плеч, кифосколиоз) выявлены у 6 (54,5%) обследованных контрольной группы, лицевого (разная высота глазных щелей, асимметрия лица) — у 4 (36,3%), реже, чем в основной группе, но без статистически значимых различий с ней. Важно отметить, что на основании клинического осмотра фиксировались лишь так называемые малые аномалии развития, часто выявляемые у практически здоровых людей. При этом относительно грубых нарушений статики шейно-грудного отдела, выявляемых у пациентов с РГН (недоразвитие одной половины грудной клетки, кифосколиоз высоких градаций, фиксированная кривошея), в контрольной группе не обнаружено.
Таким образом, проведенное исследование показало, что правомерно говорить о специфических особенностях неврологического статуса пациентов с РГН. У таких больных достоверно чаще встречаются нарушения иннервации языка, мягкого неба и мимической мускулатуры. Элементы бульбарного синдрома в той или иной степени выраженности вообще настолько характерны для пациентов с расщелинами неба, что обнаруживаются у них в 100% случаев. Прежде всего это проявляется нарушениями функции и строения языка: гипотрофией и фасцикуляциями в языке, девиацией и нарушениями его подвижности. Также для пациентов с РГН характерны нарушение подвижности мягкого неба и иннервации мимической мускулатуры.
Выявленные неврологические особенности объясняют тот факт, что несмотря на проведенное хирургическое, ортодонтическое и логопедическое лечение, у пациентов с РГН сохраняются речевые дефекты разной степени выраженности. Сочетанное нарушение подвижности лица, неба и глотки, языка, обусловленное именно особенностями иннервации, а не только анатомическими дефектами, способствует персистированию дизартрии. Следует отметить, что нарушений глотания при этом практически не выявляется, по-видимому, эта жизненно важная функция обладает более широкими возможностями спонтанной или терапевтической компенсации, так и при бульбарных расстройствах другого генеза, например при прогрессирующем бульбарном параличе (вариант болезни двигательного нейрона), нарушения глотания развиваются позднее, чем дизартрия и при более глубоком поражении.
При этом прочие проявления дизрафизма — со стороны лица, позвоночного столба, другие неврологические стигмы — у пациентов с РГН встречались хоть и чаще, чем в группе контроля, но данные различия соответствовали лишь уровню тенденции. Следует отметить, что в данном случае речь идет о так называемых «малых пороках развития», регистрирующихся у большинства здоровых людей (с частотой от 0 до 4 признаков у одного человека) и не оказывающих какого-либо влияния на общее здоровье [1, 4].
В заключение следует отметить, что проведенное пилотное исследование позволило выявить у пациентов с РГН особенности неврологического статуса, свидетельствующие о поражении ствола головного мозга, мимической иннервации, черепных нервов бульбарной группы, дефектах развития нервной трубки. У пациентов с РГН часто (в 23,8% случаев) выявлялись неврологические заболевания, преимущественно в виде аномалий развития ствола головного мозга, задней черепной ямки и краниовертебрального перехода. Выявленные особенности, несомненно, влияют на реабилитацию пациентов с РГН и, вероятно, могут оказывать влияние на здоровье таких больных и во взрослом возрасте, переходя в симптомную стадию [8, 23, 24]. Большинство обследованных нами пациентов были детьми или подростками, лишь несколько больных были в периоде ранней юности. В доступной литературе не удалось найти сведений о частоте и динамике краниовертебральных аномалий у подобных больных. Поэтому для уточнения вопросов о неврологической патологии у пациентов с РН, ее влиянии на реабилитацию и дальнейшую жизнь больных, возможностях коррекции необходимы дальнейшие, более масштабные исследования — с привлечением большего числа участников, применением углубленного дообследования (визуализационные методики, генетические исследования, изучение катамнеза).
ФГБУ "Центральный научно-исследовательский институт стоматологии и челюстно-лицевой хирургии" Минздрава РФ, Москва;
Российская медицинская академия последипломного образования, Москва
Пренатальная диагностика расщелины неба по структурным особенностям и функции языка
Журнал: Стоматология. 2013;92(1): 70‑75
Старикова Н.В., Надточий А.Г., Агеева М.И. Пренатальная диагностика расщелины неба по структурным особенностям и функции языка. Стоматология. 2013;92(1):70‑75. 
Starikova NV, Nadtochiy AG, Ageeva MI. Prenatal cleft palate diagnostics by structural and functional peculiarities of the tongue. Stomatologiya. 2013;92(1):70‑75. (In Russ.).
Цель исследования - изучить особенности положения и функции языка у детей с расщелиной губы и неба (РГН) и оценить возможности пренатальной диагностики этого порока развития лица. Обследованы 258 пациентов с различными формами РГН. Ультразвуковое исследование (УЗИ) выполнено 2078 беременным женщинам (на 20-22-й неделе гестации). Ретроспективно проанализированы эхограммы 39 плодов, родившихся с РГН. Всем детям проводилось УЗИ языка, изучались результаты компьютерной томографии, оценивались особенности положения и функции языка. У пациентов с РГН отмечены нарушение конфигурации спинки языка, асимметрия его структур (в основном - массива собственных мышц языка); характерно низкое расположение верхушки языка и высокое положение его спинки. Используя полученные данные, сравнивали положение языка у плодов на 20-22-й неделе гестации. Выявлено 8 плодов с РГН, для плодов с РГН характерно низкое расположение верхушки языка и высокое положение его спинки.
Расщелина верхней губы и неба (РГН) — самый распространенный порок развития челюстно-лицевой области. По данным ВОЗ, распространенность РГН в мире в среднем 1 на 600 новорожденных. Отмечается тенденция к увеличению частоты рождения детей с данной патологией. В России она возросла за последние 15 лет, что особенно выражено в промышленно развитых районах. В среднем по России данный показатель составляет 1 на 500 новорожденных. Проблема лечения детей с РГН актуальна [1, 3, 4]. Предлагаемые способы ринохейлопластики и палатопластики позволяют устранить косметический дефект лица и отчасти восстановить функции дыхания, глотания и речи. Однако каким бы совершенным ни был метод хирургического лечения, с его помощью невозможно нивелировать анатомические и функциональные нарушения, вызванные пороком развития. Необходим сложный комплекс лечебных мероприятий с участием челюстно-лицевого хирурга, педиатра, ортодонта, логопеда, отоларинголога, медицинского генетика и других специалистов [6, 8].
Участие ортодонта актуально с первых дней рождения ребенка до окончания комплексной реабилитации [2, 3]. В задачи ортодонтического лечения входят нормализация положения фрагментов альвеолярного отростка верхней челюсти, нормализация положения зубов в зубных дугах, а также окклюзионных взаимоотношений. Ортодонтическое лечение проводится на этапах подготовки к хирургическому лечению и в послеоперационном периоде.
Для пациентов с РГН характерно наличие как первичной деформации, обусловленной пороком развития верхней челюсти, так и вторичных деформаций. Последние вызваны следующими факторами: давление рубцово-измененных тканей верхней губы препятствует росту верхней челюсти в сагиттальной плоскости; рубец на небе после палатопластики тормозит рост верхней челюсти в сагиттальной и трансверсальной плоскостях; отсутствие окклюзионных контактов усугубляет сагиттальную и вертикальную дизокклюзию.
В норме развитие верхней челюсти в сагиттальной и трансверсальной плоскостях обусловлено генетической «программой» развития организма, свободным носовым дыханием, сбалансированностью противодействия жевательных и мимических мышц (с одной стороны) и языка (с другой) на зубоальвеолярные дуги. При этом в норме верхушка языка контактирует со скатом неба и альвеолярным отростком в области верхних резцов, а боковые отделы спинки языка соприкасаются с альвеолярным отростком верхней челюсти на уровне премоляров и моляров [5, 7, 8].
Практическими врачами и исследователями отмечено прокладывание языка у новорожденных в расщелину неба, что трактовалось ими как компенсаторное состояние, направленное на разделение полостей носа и рта. Однако при этом не анализировали положение языка в целом и его воздействие на альвеолярный отросток верхней челюсти в условиях наличия РГН [1, 3, 9].
Цель исследования — изучить особенности положения, формы и функции языка у пациентов с РГН и плодов на 20—22-й неделе гестации.
Материал и методы
Обследованы 258 пациентов с разными формами РГН. Все пациенты проходили клиническое и ультразвуковое обследование. 174 (67,4%) пациента 1-е обследование проходили в возрасте от 1 до 18 мес (до палатопластики), повторное — через 1—6 лет после палатопластики; 84 (32,6%) пациентам повторное обследование проводилось через 6—15 лет после палатопластики. Проанализированы результаты мультиспиральной компьютерной томографии у 80 пациентов в возрасте 12—15 лет. Эхографически обследованы 2078 беременных женщин, находящихся на 20—22-й неделе гестации. Выявлено 8 плодов с РГН. Ретроспективно нами проанализированы эхограммы 39 плодов, родившихся с РГН.

При клиническом обследовании младенцев с РГН обращает на себя внимание низкое расположение верхушки языка, спинка его приподнята и внедрена в расщелину неба. У детей после палатопластики выявлены асимметрия контура языка в трансверсальной плоскости (рис. 1, а), Рисунок 1. Особенности формы и положения языка у пациентов с РГН. а — асимметрия языка; б — девиация языка. при высовывании из полости рта — девиация (см. рис. 1, б) и фибрилляция языка (регистрировалась с использованием видеосъемки).

Функциональную активность языка оценивали при помощи фонационных проб (рис. 4). Рисунок 4. УЗИ языка в режиме реального времени. Сравнивали результаты, полученные у здоровых детей и пациентов с РГН. Детям предлагали произнести «ля-ля-ля», оценивая при этом подвижность соответствующих частей языка, эхографически характеризующуюся двойным контуром. У здорового ребенка при выполнении фонационного теста вертикально перемещается верхушка языка, у пациента с РГН в движение приходили и верхушка, и корень языка, при этом его спинка оставалась неподвижной.
При произнесении звуков «А», «И» у здорового ребенка отмечается перемещение всего массива языка, у пациентов с РГН движения всех его отделов не синхронизированы, что эхографически подтверждается «прерывистым контуром», образованием ступеньки: при произнесении звука «А» — за верхушкой, звука «И» — перед корнем языка.
Таким образом, для пациентов с РГН характерны аномальные форма, положение и функция языка, причем эти нарушения выявляют независимо от возраста пациента, факта наличия палатопластики и давности ее проведения.
Когда же возникают эти нарушения, если они выявляются даже у новорожденных с РГН? Ретроспективно нами проанализированы эхограммы 39 плодов, родившихся с РГН, на которых нами отмечены особенности положения языка в сагиттальной плоскости, что побудило нас обратиться в центр пренатальной диагностики для продолжения исследования. В настоящее время диагностика расщелины губы не вызывает сложностей, о наличии расщелины неба судят по размеру диастаза фрагментов альвеолярного отростка (рис. 5). Рисунок 5. 3D-эхографическое изображение плода с расщелиной губы; стрелкой указан диастаз между фрагментами губы. Диагностика аномалий развития неба в практической работе не представляется возможной, поскольку рот плода обычно закрыт. Оценка неба относится к разряду казуистики и возможна лишь при зевательных движениях плода (рис. 6). Рисунок 6. 3D УЗИ зевательное движение плода 19 недель гестации. Стрелкой указана расщелина неба.

Эхографически обследованы 2078 беременных женщин, находящихся на 20—22-й неделе гестации. Выявлено 8 плодов с РГН (1:300 новорожденных!). Во время проведения эхографического исследования язык плода был объектом особого интереса. У здорового плода верхушка языка ориентирована к небу; у плода с выявленной расщелиной губы она визуализируется у основания альвеолярного отростка нижней челюсти. Отмечается эхогенная зона между поверхностью языка и небом (рис. 7). Рисунок 7. Результаты эхографического исследования плодов на 20-й неделе гестации. а — положение языка у здорового плода, б — положение языка у плода с РГН.

В 2 случаях у плодов с аномальным положением языка не было эхографических признаков расщелины губы, после родов у этих детей была диагностирована изолированная расщелина неба (рис. 8). Рисунок 8. Клиническое наблюдение. а — плод без эхографических признаков расщелины губы; б — новорожденный; в — расщелина неба.
Таким образом, аномальные форма, положение и функция языка являются специфической особенностью пациентов и плодов с РГН, совокупность этих признаков отражает наличие у пациентов с РГН миогенных и неврогенных нарушений языка, которые указывают на дизэмбриогенез языка, начинающий органно дифференцироваться на 5—6-й неделе эмбриогенеза. Нарушения формы, положения и функции языка выявляются независимо от возраста пациента, факта наличия палатопластики, давности ее проведения. Они имеют первичное (предшествующее формированию расщелины) или автономное (развивающееся параллельно с формированием расщелины) происхождение.
Комбинированное лечение врожденных полных расщелин неба при наличии аденоидных разрастаний в области носоглотки
В данной статье рассмотрены проблемы рождаемости детей с врожденными патологиями развития челюстно-лицевой области такие, как врожденная расщелина верхней губы и неба, а также возможность оказания им квалифицированной помощи. Помимо этого, показана эффективная методика одномоментной аденоидэктомии с последующей ураностафилопластикой. При этом у детей с данной патологией в послеоперационном периоде значительном улучшается дыхание и нормализуется голос, тем самым улучшается речеобразование.
Ключевые слова: врожденная расщелина неба, аденоиды
В современной медицине, особое место занимают врожденные патологии челюстно-лицевой области у новорожденных детей, и проблема их эффективного устранения является актуальной и сложной задачей, как в детской стоматологии, так и в челюстно-лицевой хирургии. Высокую значимость этой проблемы и Организация Объединенных Наций (ООН), приняв в 1989 году конвенцию о правах ребенка, которая в Кырзызской Республике ратифицирована 12 января 1994 году.
Частота рождаемости детей с врожденными расщелинами верхней губы и неба (ВРГН), по данным ВОЗ, в мире составляет 0,6-1,6 случаев на 1000 новорожденных. В нашей же республике ВРГН занимают первое место по частоте рождаемости детей с пороками развития лица и челюстей. К одним из важных причин возникновения ВРГН можно отнести негативное влияние тератогенных факторов на плод в эмбриональном периоде таких как, перенесенные инфекционные заболевания, прием лекарственных средств, ионизирующее излучение, наркозависимость и т. д. Помимо этого наличие различных гинекологических патологий у беременной женщины, могут спровоцировать появление гипоксии плода, что в последствие отразится на здоровье малыша, приводя не только к анатомо-функциональным нарушениям, но и к косметическому дискомфорту [2, 5, 6].
Организация помощи и лечения больных с патологиями развития челюстно-лицевой области требует особого подхода, связанных с высокой распространенностью данной патологии и тяжестью анатомических и функциональных нарушений которые они сопровождают. Так у этих детей с ВРГН с момента рождения имеется нарушение функций сосания, глотания, жевания и внешнего дыхания, а так же нарушена речевая артикуляция, которая проявляется через определенное время с момента рождения, когда ребенок начинает выговаривать слова. Одним из самых неприятных моментов при уходе за ребенком с данной патологией является попадание пищи из полости рта в полость носа и носоглотку, что является весьма серьезной проблемой, которая в последующем может привести к снижению слуха за счет развития хронического ринита, евстахиита и отита [1, 3, 4].
Вместе с этим расщелина твердого и мягкого неба у детей практически в 100 % случаев сопровождается нарушением речи, которая характеризуется звуками выдоха через нос и носовым тембром определенных звуков и, как правило, это связано с нарушением функций нёбных и глоточных мышц, как до, так и после операции. В некоторых случаях не удается полностью избавиться от дефекта речи, что в основном связано с не правильной хирургической коррекцией порока развития.
В отдельных случаях дефект речи вызывают наличие аденоидных разрастаний в области носоглотки. Аденоиды представляют собой разращения носоглоточных миндалин, обусловленные гиперплазией лимфоидной ткани в области поражения и, как правило, образуются вследствие перенесенных детских инфекционных заболеваний (корь, скарлатина, дифтерия), из-за частых вирусных и микробных заболеваний верхних дыхательных путей, однако не исключается и роль наследственного фактора. В практике челюстно-лицевой хирургии Ошской межобластной объединенной клинической больницы довольно часто встречается наличие врожденных аденоидных разрастаний у детей с врожденными расщелинами неба.
Аденоиды — избыточное разрастание носоглоточной миндалины, которое ведет к затруднённому носовому дыханию или к полной невозможности дышать носом. Тогда воздух поступает в полость глотки через рот неочищенным, и не согретым, а так же постоянное дыхание через рот приводит к целому ряду физиологических изменений в организме ребёнка. Так из-за непрерывных дыхательных актов через ротовую полость образуются различные аномалии развития лицевого скелета, в частности заметным изменениям подвергается верхняя челюсть. Так из-за постоянного дыхания через рот образуется сужение верхней челюсти и ее удлинение кпереди, тем самым, придавая ей клиновидную форму. А альвеолярный отросток верхней челюсти, вместе с зубами, выдаются вперед и выходят за дугу нижней челюсти, из-за чего зубы верхней челюсти накрывают вестибулярную поверхность зубов нижней челюсти, (так называемая верхняя прогнатия), что приводит к нарушению прикуса [4, 7].
При не своевременном лечении аденоидов у детей, неизбежны такие осложнения как, различные нарушения соматического и психического развития ребенка, нарушения органов чувств и внутренних органов. Наиболее часто возникают осложнения в виде часто обостряющегося аденоидита, острого воспаления небных миндалин, катара слуховой трубы, тубоотита, острого гнойного среднего отита, ларинготрахеита и пневмонии. Воспалительный процесс из носоглотки легко распространяется в область глотки, гортани и в бронхи, особенно при острых катарах и частых длительных воспалительных заболеваниях верхних дыхательных путей [1, 3].
Критерии успеха комплексного лечения детей с врожденными расщелинами губы и неба не должны сводиться только к восстановлению правильной анатомической формы верхней губы, неба, альвеолярного отростка или носа т. е. косметического вида, но и должны учитывать более отдаленные результаты проведенных операций, такие как нормализация функций дыхания, актов жевания и речи.
Целью исследования явилось создание одномоментной многопрофильной хирургической помощи детям с врожденными расщелинами неба.
Материалы иметоды исследования
Для проведения своих исследований и выявления сопутствующих заболеваний, таких как аденоиды, у детей с врожденными расщелинами неба, нами изучены архивные данные челюстно-лицевой хирургии Ошской межобластной объединенной клинической больницы за 3 года (2014-2016гг). Исследование включало в себя рассмотрение 252 историй болезни детей с врожденными расщелинами неба, которые пребывали в возрасте от 1,5 года до 3,5 лет, из них 149 (59,1 %) девочек и 103 (40,9 %) мальчиков.
Результаты исследования иих обсуждение
По результатам проведенного исследования было выяснено, что врожденные расщелины неба сравнительно часто сочетались с сопутствующими заболеваниями ЛОР органов. Так, из изученных 252 историй болезни детей с врожденными расщелинами неба, из них у 215 (85,3 %) детей обнаружены сопутствующие заболевания в виде аденоидных разрастаний в области носоглотки.
Как правило, у этих 215 детей диагностирована врожденная полная расщелина твердого и мягкого неба, которая часто обострялась острыми респираторными заболеваниями. У остальных 37 (14,7 %) детей имелась полная или частичная изолированная расщелина мягкого неба, но при таких случаях у детей сопутствующие заболевания в виде аденоидных разрастаний не было.
У 215 детей с врожденными полными расщелинами неба в лимфаденоидной ткани часто развиваются воспалительные процессы, которые характеризуются соматическими и психоинтеллектуальными нарушениями. В связи с этим, дети с данной патологией должны быть тщательно осмотрены другими узкими специалистами такими, как педиатр, детский психотерапевт, эндокринолог, сурдолог, фониатр и др. в соответствии с обнаруженными у них психосоматическими и функциональными нарушениями.
Лечение детей с аденоидными разрастаниями, как правило, хирургическое (аденотомия и аденоэктомия), а в особенности при аденоидах II и III степени. Поэтому нами разработана методика одномоментной аденоидэктомии с последующей ураностафилопластикой неба и подана заявка на изобретение, в кыргызпатент.
Таким образом, при полных расщелинах твердого и мягкого неба, аденоидные разрастания максимально визуализируются, что позволяет провести эффективную операцию по удалению аденоидов ЛОР врачами, с последующей ураностафилопластикой расщелины неба челюстно-лицевым хирургом. При этом у детей с данной патологией в послеоперационном периоде значительном улучшается дыхание и нормализуется голос, тем самым улучшается речеобразование.
Предложенной методикой в этом 2017 году уже проведены 23 операций и, как правило, операция была успешной, без осложнений, дети в послеоперационном периоде чувствовали себя хорошо, а ближайшие результаты проведенных операций были на высоком уровне.
Основные термины (генерируются автоматически): врожденная расщелина неба, ребенок, верхняя челюсть, мягкое небо, верхняя губа, заболевание, послеоперационный период, челюстно-лицевая область, челюстно-лицевая хирургия, Ошская межобластная объединенная клиническая больница.
Специалист приемной комиссии свяжется с Вами 
в ближайшее время в рабочие часы с Пн-Вс с 9:00-21:00 МСК
Перезвоните мне
Ваш персональный менеджер: Алёна 
Ответственная и отзывчивая! 😊
Ожидайте
Специалист свяжется с Вами сразу в рабочее время, ежедневно с 10:00 - 19:00 МСК
Среди врожденных деформаций периферического отдела речевого аппарата самую важную роль играют расщелины нёба.
Бесплатные занятия с логопедом
Бесплатный курс ИКТ для детей
Истерические парезы мышц возникают обычно приступообразно вследствие психической травмы, испуга, страха и т.п. В некоторых случаях они появляются после травм, например, после удаления нёбных миндалин, ожогов языка и т.п.
Парезы истерического характера чаще бывают односторонними, реже — двухсторонними, однако, даже одностороннее нарушение функции мышц замыкающего глоточного кольца является причиной возникновения нёбных дисглоссий. Характерным признаком такого рода расстройств является периодически возникающая гнусавость, которая в некоторых случаях может удерживаться в течение длительного времени, причём периоды обострения чередуются с периодами ремиссии. Паретические состояния могут возникать и в мышцах гортани, что является причиной афонии или же приступообразной хрипоты.
Наличие прочих, характерных для истерии симптомов, помогает установлению правильного диагноза.
Наряду с общим лечением истерии необходимым является и местное лечение. В результате фониатрического лечения может наступить улучшение состояния, однако, в ряде случаев лишь на очень короткое время, после чего симптомы заболевания появляются вновь и часто в более интенсивной, чем до лечения, форме.
Нарушение речи при проблемах со слухом. Признаки нарушения речи у глухих от рождения или же и тех больных, которые потеряли слух в первые годы жизни, зависят от того, в каких условиях развивался ребенок и находился ли ребенок с первых лет жизни под наблюдением врача-фониатра. Имеются убедительные доказательства, свидетельствующие о том, что в первые годы жизни у глухого ребенка функция замыкающего глоточного кольца является совершенно нормальной. В смыкании голосовых связок, их вибрации, а также дыхательных движениях не отмечаются никакие отклонения от нормы. Лепетание глухих детей почти ничем не отличается от лепетания нормально слышащих детей.
Недостаточное сжатие замыкающего глоточного кольца и гнусавость может иметь место не только у маленьких глухих детей, но также и у детей со здоровым слуховым аппаратом. Появляющиеся позднее нарушения голоса и артикуляции у глухих детей следует рассматривать, как результат функциональных расстройств гоголосового и артикуляционного аппаратов. Неполное сжатие замыкающего глоточного кольца является одним из целого ряда расстройств, которые будут подробно описаны ниже.
Нарушения речи при врожденных расщелинах неба. К врожденным порокам развития нёба относятся 1) врожденные расщелины нёба, 2) подслизистые расщелины, 3) врожденное недоразвитие нёба, 4) врожденная асимметрия и деформация нёба.
Дети могут рождаться только с расщелинами нёба или же одновременно с расщелиной и нёба и губы. Обычно при такого рода врожденных пороках развития имеют место деформации зубо-челюстной системы, на чём мы ещё остановимся ниже. При расщелинах губы оперативное вмешательство должно быть произведено как можно раньше, т.к. при этом пороке развития кормление ребенка связано с большими трудностями.
Среди врожденных деформаций периферического отдела речевого аппарата самую важную роль играют расщелины нёба. Несмотря на то, что вопрос-расщелин нёба был предметом многочисленных дискуссий и рассматривался с различных точек зрения, он и в настоящее время является основной темой целого ряда научных работ.
Было бы большой ошибкой, характеризуя клиническую картину расщелин нёба, ограничиться лишь описанием местных изменений в ротовой полости. При такого рода пороке развития имеются патологические изменения во многих органах, что даёт полное право относить врожденные расщелины нёба к многосистемным заболеваниям.
Читайте также:
