УЗИ при расширении лоханки почки
Добавил пользователь Владимир З. Обновлено: 21.11.2025
Гидронефроз - заболевание почек, прогрессирующее расширение почечных лоханок и чашечек из-за сдавления мочеточников и приводящее к гибели почек. В данной статье я рассказываю о проблемах, вызываемых этой болезнью и современном методе лечения: лапароскопической операции гидронефроза.
Диагноз: гидронефроз
Особенность: гидронефроз - из той серии заболеваний, которые принято называть «молчаливая убийца». Казалось бы, ну что такого в расширении чашечно-лоханочной системы почки? Ведь в большинстве случаев пораженные этим заболеванием почки особо и не болят. Они сначала увеличиваются в размерах, а потом теряют функцию и гибнут. Присоединение инфекции приводит к ускорению гибели органа. Причиной гидронефроза служит, как правило, небольшое сужение мочеточника, например, из-за сдавливающего сосуда, однако, к несчастью, иногда обнаруживаются худшие сдавливающие факторы: опухоли забрюшинного пространства, кишки или матки, блокирующие мочеточники.
Гидронефроз: операция
-Лапароскопическая операция гидронефроза - «золотой стандарт» лечения гидронефроза. Это высокоэффективная методика без разрезов, без боли и уродующих шрамов.
-Стентирование мочеточника и пункционная нефростомия - это минимально травматичные методы, которые мы применяем с целью восстановления оттока мочи в двух случаях. Первый случай - когда имеется последняя стадия гидронефроза: эти методы иногда позволяют спасти почку. Другой случай - когда мочеточник сдавлен опухолью - стентирование или пункционная нефростомия позволяют не допустить почечной недостаточности.
Обычные симптомы гидронефроза
«Периодически тянет в боку, пошел в клинику, сделали УЗИ, сказали гидронефроз почки»; «Практически ничего не беспокоило, с работы отправили на диспансеризацию, выявили расширение почки»; «Как-то прихватило в боку, скорую вызывал. Сказали - почечная колика, но камней не было. Обследовали - расширение лоханки почки». Таковы жалобы подавляющей части пациентов с гидронефрозом. Симптомы ярко не проявляются, среди полного здоровья, как гром среди ясного неба - на тебе, больные почки. Хуже, если болезнь выявлена уже в 3-й стадии и врач поликлиники пишет направление на удаление органа.

Поразительное, странное заболевание. Болей нет, пациент, как правило, недоверчиво смотрит на врача, когда тот хмуро разглядывает экран УЗИ аппарата и говорит, что требуется целый комплекс обследований. Врач начинает произносить какие-то малопонятные слова: экскреторная урография, нефросцинтиграфия, 3D компьютерная томография с контрастированием, и еще - целый ряд анализов. Среди полного благополучия, без каких-либо предпосылок, совершенно здоровый человек вдруг становится пациентом с диагнозом «Гидронефроз левой почки». Возникает банальное непонимание: зачем мне операция, если у меня ничего не болит? Что вообще означает это непонятное слово - гидронефроз?
«Странные у вас в медицине термины, Диланян.Вот, например гидронефроз. То ли почкование воды, то ли оводянение почки…»
Из разговора с лингвистом.
Гидронефроз - это прогрессирующее расширение почки (ее лоханки и чашечек) вследствие сдавления мочеточника и нарушения оттока мочи. Исходом болезни без лечения является гибель органа.
Гидронефроз: почки, лоханки, мочеточники
По сути, почка делится на две части: паренхиму и чашечно-лоханочную систему. Паренхима (или мясистая часть почки) вырабатывает мочу, которая скапливается в лоханке и выводится в мочеточник и мочевой пузырь А вот если в месте перехода лоханки в мочеточник возникает сужение - то есть препятствие для прохождения мочи - то лоханка почки расширяется, или, иначе говоря, возникает гидронефроз.





«Если вам сложно объяснить пациенту сущность его болезни, значит, вы сами эту сущность еще не постигли! Грош вам цена».
Высказывание, приписываемое проф. Вишневскому.
Гидронефроз почек: что это такое и каков исход заболевания?
Казалось бы, ну расширилась почка, ну и что? Ведь не болит же ничего, самочувствие прекрасное, ну нелогично это - запретить женщине беременеть и рожать до операции по поводу гидронефроза. Или не допустить летчика до полета - ну заболело разок, ну и что?
Крайне важно понимать, что возникновение болезни - процесс медленный, лоханка расширяется не сразу, поэтому и нет болевых ощущений. Однако повышение давления в лоханке приводит к функциональным нарушениям - организм оказывается не в состоянии вырабатывать мочу. Зачем вырабатывать, если уже выработанное не выходит?
Давление изнутри просто губит почку, за счет сжатия мелких сосудов нарушает ее кровоснабжение и, в конечном итоге, приводит к ее гибели, к превращению ее в мешок, наполненный мочой. Попадание инфекции в этот мешок, куда не проникают антибиотики, где не действует иммунитет, приводит к гнойному воспалению, что может потребовать экстренной операции.
Вот почему расширение лоханки требует срочной диагностики и своевременного вмешательства. Для любого врача необходимость удалить почку - это его поражение, ведь не удалось спасти орган. Что чувствует пациент, когда ему сообщают, что вместо здорового органа остался пустой мешок, который необходимо удалить - сложно себе представить…
Гидронефроз - это риск пиелонефрита, артериальной гипертонии и гибели почки
Гидронефроз правой и левой почки при беременности
-Доктор, у меня нашли гидронефроз правой почки. Направили к вам удалять почку! Не разрешают беременеть! Я всегда здоровая была, спортом занималась, не пила, не курила…
Передо мной, не сдерживая слезы, сидит молодая девушка. Недавно вышла замуж, собирались завести ребенка, прошла УЗИ почек в женской консультации, во время которого ее и огорошили диагнозом - гидронефроз правой почки.
-Погодите, пожалуйста, не плачьте, - Я протягиваю ей стакан воды, улыбаюсь, - Вас направили на консультацию, и, возможно, вовсе не для удаления. Компьютерную томографию делали? Диск есть?
-Ага.
Загружаю диск в рабочую станцию. Странно, но правая почка выглядит совершенно нормально. Вот левая почка - да. Расширение лоханки слева, 3-й степени. Говорю об этом пациентке.
-Ой, да, точно, -Смущается она, - гидронефроз левой почки, не правой.
Выполняю трехмерную реконструкцию снимков. Совершенно отчетливо виден добавочный сосуд почки, блокирующий лоханочно-мочеточниковый сегмент.
Почка практически не функционирует, это видно на нефросцинтиграфии, - врач, сказавший, что почку нужно удалять, на первый взгляд, был прав…
-Неужели нет никакого выхода? - Обреченно спрашивает пациентка, - Неужели только удалять почку? Вы же что-то делаете, когда обнаруживается двухсторонний гидронефроз? Не удалять же обе почки?
-Вопрос, в сущности, правильный. Видите ли, если есть блок выхода мочи из почки, хоть из одной, хоть из обеих, то все наши, даже самые мощные, диагностические возможности, не позволяют нам судить об оставшихся резервах почки. Почка не работает и все, формально ее надо удалить.
-Формально?
-Ну да. Давайте поступим следующим образом. Мы установим Вам нефростому - тонкую трубку в почку. Таким образом мы уберем блок оттока мочи и дадим организму проявить свои резервные возможности. Если за месяц почка придет в себя и начнет вырабатывать мочу - тогда сделаем лапароскопическую операцию - пластику лоханочно-мочеточникового сегмента. Удалять не придется.
Лечение гидронефроза левой и правой почки
Лечение гидронефроза - это, в первую очередь, тщательная диагностика - выявление причины возникновения гидронефроза.
Что это: добавочный сосуд, прижимающийся к сегменту, рубцовый процесс изнутри, возникший из-за прохождения камня, опухоль, давящий на мочеточник снаружи?
Наиболее частая причина гидронефроза - это наличие добавочного, аномального сосуда почки, который прижимается к месту выхода мочеточника из лоханки и с течение времени создает стриктуру - сужение лоханочно-мочеточникового сегмента.
Обследования при подозрении на гидронефроз
Функционирует ли еще почка, есть ли смысл попытаться ее спасти, или необходимо ее удаление? На все эти вопросы позволяют ответить ряд исследований: УЗИ, компьютерная томография, динамическая нефросцинтиграфия.
Если не функционирует, если она стала источником постоянной инфекции и артериальной гипертонии, то, к сожалению, выбор невелик: необходима нефрэктомия - удаление почки.
Однако если есть минимальная возможность спасения почки, то показано хирургическое лечение гидронефроза, смысл которого заключается в ликвидации сужения лоханочно-мочеточникового сегмента.
отвечает на вопрос, есть ли инфекция. Также по нему можно судить о плотности мочи, т.е. опосредованно - о функции почек.
. а точнее - анализ на креатинин и мочевину, оценивает функцию почки и компенсаторные возможности другой почки.
Позволяет обнаружить заболевание и оценить размеры лоханки и наличие камней.
наиболее ценное исследование. Позволяет найти причину расширения чашечно-лоханочной системы.
дает точные данные о нарушениях функции почки. Зачастую оберегает пациента от необоснованного удаления почки.
в сомнительных случаях позволяет ответить на вопрос о наличии сужений и камней во всем мочеточнике и о наличии опухолей.
Еще одним подводным камнем этой болезни является… Артериальная гипертония. Нарушение кровоснабжения почки заставляет ее вырабатывать вещества, повышающие артериальное давление. Подытоживая, можно сказать, что гидронефроз - это риск инфекции, риск артериальной гипертонии и риск гибели почки.
Расширение лоханки почки, пиелоэктазия
Врачи урологи считают, что это расширение возникает при наличии препятствия для оттока мочи из почки.
Иногда пиелоэктозия может быть транзиторной (временной) из-за закупорки мочеточника сгустком слизи или гноя и может пройти после рассасывания сгустка. Но всё же чаще обнаруженная пиелоэктозия оказывается постоянной. Такая пиелоэктозия со временем нарушает работу почек, в результате чего развивается заболевание - гидронефроз. Гидронефроз - это более расширенное понятие, чем просто пиелоэктозия, так как включает функциональные и анатомические изменения уже во всей почке, а не только в почечной лоханке.
Чтобы понять, что происходит в почке при пиелоэктозии и гидронефрозе, надо иметь представление об анатомии и особенностях работы почек.
Почки - парный орган. Длина почки у взрослого человека - 12-13см, вес в среднем 150-200г. По поверхности почка прикрыта плотной капсулой, а под ней находится особая ткань - паренхима почки. Эта паренхима содержит множество специфических образований - клубочков и канальцев. Именно в них происходит фильтрация крови и формирование мочи. Образующаяся в клубочках и канальцах моча попадает сначала в так называемые почечные чашечки, а уже оттуда - в почечную лоханку. Почечная лоханка - это тонкостенная полость. Стенка её состоит из трех слоев: наружного из соединительной ткани, среднего-из мышечной ткани, и внутреннего - из эпителия.
Лоханка обычно имеет конусовидную форму, её емкость в норме составляет в среднем 5мл. Сужаясь, лоханка переходит мочеточник. За счет сокращений почечной лоханки моча в мочеточник, затем оттуда собирается в мочевом пузыре и выделяется по мочеиспускательному каналу из организма.
Если имеется какое-либо препятствие для эвакуации мочи из почки, возникает задержка и накопление мочи в лоханке. Лоханка расширяется. Такое расширение и называется пиелоэктозией.
Препятствия для оттока мочи могут возникать при переходе из лоханки в мочеточник, в самом мочеточнике, в мочевом пузыре.
Расширенная лоханка начинает нарушать работу всей почки. Из-за накопления мочи и давления расширенной лоханки происходит атрофия паренхимы, разрушение клубочков и канальцев. Нарушается не только выделение мочи, но и ее образование. В таких случаях уже говорят о таком заболевании, как гидронефроз. Разрушения паренхимы почки являются необратимым процессом и в итоге могут привести к почечной недостаточности.
Причины, нарушающие выделение мочи из лоханки могут быть врожденными (первичный гидронефроз) и приобретенными (вторичный гидронефроз). Врожденные причины, как правило, связаны с аномалиями развития в области почки и мочеточника. Это могут быть какие-то клапаны, «язычки» из соединительной ткани или эпителия в лоханке и мочеточнике. Иногда имеются дополнительные кровеносные сосуды, проходящие около мочеточника и сдавливающие его. С врожденным гидронефрозом детские урологи сталкиваются не так уж редко. Иногда врожденный гидронефроз обнаруживается даже у плода во время ультразвукового обследования беременной.
Приобретенные причины обычно связаны с мочекаменной болезнью, опухолями, рубцово-спаечными процессами на любом участке мочевыделительной системы. Камни закупоривают просвет мочеточника, а опухоли, спайки могут сдавить мочеточник снаружи. И в том, и в другом случае моча остается в лоханке, что и приводит к ее расширению.
Гидронефроз, особенно в начальной стадии, может протекать бессимптомно и обнаруживается случайно, на УЗИ. Но чаще пациенты жалуются на тупые, ноющие боли в области соответствующей почки. Иногда наблюдаются почечные колики, то есть приступы обострения болей. При присоединении инфекции наблюдается повышение температуры тела.
При прогрессировании процесса болей уже не бывает. Наблюдаются изменения анализа мочи.
При одностороннем гидронефрозе пациент вообще может не предъявлять жалоб и чувствовать себя вполне удовлетворительно за счет того, то работа пораженной почки компенсируется второй, здоровой почкой. При двустороннем гидронефрозе процесс идет более тяжело и может привести к хронической почечной недостаточности.
Опасность гидронефроза состоит еще и в том, что из-за застоя мочи часто присоединяется инфекция, что приводит к пиелонефриту, и даже к гнойным
процессам - пионефрозу.
Диагноз гидронефроза только по жалобам пациента - поставить практически невозможно, так как эти жалобы неспецифичны и могут сопровождать и другие заболевания почек.
Поэтому для уточнения диагноза, помимо анализов мочи, необходимо дополнительное обследование, УЗИ, экскреторная урография или компьютерная томография.
Что же делать при выявлении гидронефроза?
Надо знать, что консервативных методов лечения (таблетки, инъекции) гидронефроза не существует. Лечение- оперативное. Это могут быть операции по восстановлению оттока мочи из лоханки, - например, удаление камня из мочеточника, удаление спаек, дополнительных кровеносных сосудов, либо пластика мочеточника. В далеко зашедших случаях особенно при гнойном процессе в почке, проводится удаление почки - нефрэктомия. При выборе оперативного лечения врачи учитывают множество факторов: возраст пациента, сопутствующие заболевания, односторонний это процесс или двусторонний, наличие гноя.
Например, если молодая женщина планирует беременность, а у нее одна почка из-за гидронефроза перестала функционировать, но вторая почка здоровая, то ей рекомендуют нефрэктомию до беременности. У возрастных пациентов (60-70 лет) с множеством сопутствующих заболеваний при частично функционирующей почке, отсутствие острых болей, нагноение, к оперативному лечению подходят очень осторожно.
Врачи считают, что чем раньше выявлен гидронефроз и восстановлен отток мочи из почки, тем лучше прогноз для пациента. При одностороннем гидронефрозе и здоровой второй почке прогноз лучше, чем , например, при двустороннем гидронефрозе. Двусторонний гидронефроз достаточно рано приводит к хронической почечной недостаточности и угрозе для жизни пациента.
При врожденном гидронефрозе врачи считают, что прогноз лучше, чем при приобретенном гидронефрозе.
Таким образом, можно сделать следующие выводы:
Пиелоэктазия
Пиелоэктазия - это расширение почечных лоханок за счет скопления мочи. Рассматривается как самостоятельное (физиологическое) или сопутствующее состояние при ряде урологических заболеваний с нарушением уродинамики. Жалобы чаще отсутствуют, но могут быть представлены симптомами основной патологии. Диагностика базируется на данных УЗИ почек, экскреторной урографии и цистографии, пиелографии, МРТ или КТ с контрастированием. Лечение требуется при прогрессировании расширения, операцию для восстановления адекватного пассажа мочи выполняют в 25-45% случаев, что позволяет предотвратить терминальную стадию гидронефроза и хроническую почечную недостаточность.
МКБ-10

Общие сведения
Термин «пиелоэктазия» произошел от греческих слов «pyelos» - «лоханка» и «ektasis» - «расширение». Изменения иногда выявляют при антенатальном ультразвуковом сканировании плода во втором триместре, у мальчиков - в 3-4 раза чаще, чем у девочек. Пиелоэктазию часто диагностируют у женщин 30-35 лет во время беременности, состояние считается физиологическим при отсутствии изменений в моче, проходит самостоятельно через 4-8 недель после родов. У мужчин старшего возраста расширение лоханок связывают с аденомой простаты, которая вызывает обструкцию нижних мочевыводящих путей. Урологи часто считают пиелоэктазию начальным проявлением гидронефроза.
Причины пиелоэктазии
Выделяют две основные причины данного состояния: препятствие оттоку урины (обструкция) и ее обратный заброс (рефлюкс). Почечная лоханка может увеличиться из-за чрезмерного одномоментного потребления жидкости, что не рассматривают как патологию, ситуация разрешается спонтанно. Существует большое количество состояний, сопровождающихся пиелоэктазией. Различают следующие причины, приводящие к нарушению оттока мочи:
- Обструкция. Камень, кровяной или солевой сгусток, опухолевый процесс мочевого пузыря, простаты может вызвать пиелоэктазию. Сужение чашечно-лоханочного сегмента, стриктуры мочеточника и уретры, аденому простаты также рассматривают как обструктивную уропатию, при этих патологиях часто формируются пузырно-мочеточниково-лоханочные рефлюксы с расширением полостных систем почек.
- Компрессия. Любой отдел мочеточника может сдавливаться внешними опухолями, локализованными в матке, яичниках, толстом кишечнике. При запущенных формах рака органов малого таза просвет мочеточника сужен из-за метастатического поражения. Компрессионное действие могут оказывать воспалительные процессы в забрюшинном пространстве, например, болезнь Ормонда, тазовый липоматоз.
- Аномалии развития. Подковообразная почка, тазовая дистопия, нефроптоз — урологические аномалии, которые в легких случаях проявляются пиелоэктазией, а в запущенных — гидронефротической трансформацией. Аналогичные изменения отмечаются при эктопии, перекруте, высоком отхождении мочеточника, добавочном сосуде и перегибе через него уретера. Задние клапаны уретры — наиболее частая причина пиелоэктазии у новорожденных мальчиков.
- Нейрогенные расстройства. Нейрогенный мочевой пузырь обусловлен нарушением иннервации и постоянным застоем мочи в пузыре после мочеиспускания. Длительно существующее состояние приводит к формированию пузырно-мочеточникового рефлюкса, что часто сопровождается рецидивирующими инфекциями мочевыводящих путей и пиелоэктазией.
К предрасполагающим факторам относят эндокринные расстройства, связанные с усиленной выработкой урины, выполненные ранее урологические операции, проведение лучевой терапии. Для развития внутриутробной пиелоэктазии значимы тератогенные воздействия: радиация, прием некоторых препаратов, перенесенные вирусные заболевания в критические для органогенеза сроки. Определенная роль принадлежит наследственной предрасположенности к урологической или нефрологической патологии.
Патогенез
При застое мочи инициируются компенсаторно-приспособительные реакции, которые приводят к атрофии почечных структур. При присоединении вторичной микробной флоры возникает воспалительный процесс, что усугубляет морфологические изменения. Их выраженность коррелирует со степенью окклюзии мочеточника, стадией заболевания, возрастом пациента, вовлеченностью в процесс контралатерального органа, компенсаторными возможностями организма.
У детей пиелоэктазия иногда разрешается спонтанно за счет изменения положения органов относительно друг друга, дозревания структур мочевыводящего тракта по мере роста и перераспределения давления в системе мочевыделения. Аномалии и пороки развития (стриктуры, клапаны, сосудистые мальформации, оказывающие компрессионное воздействие на мочеточник) значительно утяжеляют прогноз и без лечения ведут к гидронефротической трансформации почек.
Симптомы пиелоэктазии
Клинические проявления патологии нередко отсутствуют, некоторые пациенты отмечают тупые тянущие боли в поясничной области, усиливающие в утренние часы или после употребления большого количества жидкости. Повышение температуры, слабость, дизурические расстройства свидетельствуют о развитии сопутствующего воспаления в почке.
Часто симптомы обусловлены не собственно пиелоэктазией, а основным патологическим процессом. Так, при заболеваниях, сопровождающихся обструкцией нижних мочевых путей, больного беспокоит невозможность мочевыделения без натуживания, слабая струя, частые позывы (ДГПЖ, опухоль, сужение уретры), периодические почечные колики с выделением камней или песка (нефролитиаз), подтекание урины из влагалища (эктопия уретера) и пр.
Осложнения
Так как расширение лоханок длительное время существует бессимптомно, а почки работают со значительной нагрузкой, происходит прогрессирование пиелоэктазии в пиелокаликоэктазию и гидронефроз, при котором нормальная функционирующая ткань замещается соединительной с утратой функций органов.
Застойная моча при пиелоэктазии является благоприятной средой для персистирования патогенной микрофлоры, что приводит к рецидивирующим инфекциям мочевыводящих путей. Еще одно осложнение - развитие нефрогенной гипертензии, устойчивой к действию лекарственных препаратов. Повышенное кровяное давление и гидронефротическую трансформацию почек нефрологи рассматривают как предвестники ХПН.
Диагностика
Пациента ведет уролог или нефролог. При подозреваемом новообразовании матки или яичников обоснована консультация гинеколога, онколога. У взрослых разовое выявление пиелоэктазии не расценивается как патология, в подобных случаях обязательно проведение динамического ультразвукового сканирования. Обследование при пиелоэктазии направлено на исключение органических или функциональных причин, кроме УЗИ может включать:
- Лабораторные анализы. При компенсированной форме изменений в анализах мочи нет, лейкоцитурия, протеинурия, бактериурия характерны для воспалительного процесса. Выпадение в осадок солей типично для дисметаболической нефропатии или мочекаменной болезни. Анализ крови на креатинин и мочевину обоснован при двустороннем поражении, повышение их уровня говорит о почечной недостаточности. При обнаружении бактерий в моче назначают исследование биоматериала на флору.
- Инструментальную диагностику. При неоднозначности данных УЗИ выполняют экскреторную урографию с цистографией, КТ или МРТ почек с контрастом, нефросцинтиграфию, ангиографию. При подозрении на рак мочевого пузыря проводят цистоскопию, ТРБ для подтверждения рака простаты. У плода пиелоэктазию определяют при ультразвуковом скрининге во время 2 триместра беременности (25%), после рождения по показаниям выбирают тот или иной способ дополнительной диагностики.
Дифференциацию проводят между физиологической и патологической формой пиелоэктазии. При впервые выявленном расширении лоханок в отсутствие прочих изменений невозможно предположить, будет ли прогрессировать состояние, поэтому за пациентом наблюдают в динамике. Основной задачей клинициста является установление первопричины пиелоэктазии.
Лечение пиелоэктазии
Если расширение лоханок почек не прогрессирует, активные терапевтические мероприятия не требуются. С профилактической целью назначают отвары мочегонных трав, растительные уросептики. Пациенту не рекомендуют одномоментно употреблять много жидкости. Чтобы уменьшить нагрузку на почки, необходимо мочиться в ночные часы.
Медикаментозное лечение и питание
Сопутствующий подтвержденный пиелит, пиелонефрит или цистит подразумевает назначение препаратов для купирования инфекционно-воспалительного процесса. Применяются:
- антибиотики;
- уросептики;
- иммуномодуляторы;
- средства, улучшающие кровообращение;
- .поливитаминные комплексы;
- литолитические лекарства, действие которых препятствует образованию и выпадению в осадок кристаллов (при мочекаменной болезни).
Одновременно рекомендуют соблюдение диеты, где учитывают состав солей. При лечении пиелоэктазий из рациона исключают насыщенные мясные, куриные, грибные, рыбные бульоны, шоколад, крепкий чай и кофе, все алкогольные напитки, копчености и маринады.
Оперативное лечение
Показано при прогрессировании пиелоэктазии. Объем операции зависит от причины, приведшей к расширению внутриполостных структур почки. Вмешательство может быть лапароскопическим, открытым или эндоурологическим, направлено на восстановление нормальной уродинамики. Используются следующие методики:
- Пластика лоханочно-мочеточникового сегмента с иссечением растянутой оболочки лоханки и вшиванием мочеточника в почку, бужирование, баллонная дилатация, эндотомия с помощью лазерного скальпеля или электрического тока.
- Удаление конкремента одним из способов (контактная или дистанционная литотрипсия, эндоскопическая нефролитолапаксия, открытая хирургия).
- Паллиативные операции и манипуляции для нормализации мочеоттока при остром воспалении: наложение эпицистостомы, нефростомы, катетеризация мочевого пузыря, установление стент-катетера через мочеточник в лоханку и пр.
- Удаление опухолей, негативно влияющих на уродинамику.
- Нефрэктомия при утрате функции почки и разрушении ее паренхимы для устранения источника инфекции в организме. У детей, если сохранилось хотя бы 10% нормальной ткани, органоуносящую операцию не выполняют из-за высоких регенеративных возможностей.
Прогноз и профилактика
Прогноз при пиелоэктазии благоприятный при условии адекватного наблюдения, недопустимости прогрессирования и своевременном лечении основной патологии. Профилактика подразумевает регулярное посещение уролога или нефролога с выполнением УЗИ, исследованием ОАМ. С пациентом проводят беседу о важности разумного питания, приверженности здоровому образу жизни, исключения переохлаждений. По показаниям обоснован прием уросептиков, растительных диуретиков в осенне-весенний период.
1. Прецизионная хирургия гидронефроза/ Аляев Ю.Г., Григорян В.А., Адамян Р.Т., Еникеев М.Э., Чиненов Д.В.// Анналы пластической, реконструктивной и эстетической хирургии - 2008 - №1.
2. Клиническое значение ультразвуковых исследований в наблюдении за детьми с пиелоэктазией. Автореферат диссертации/ Мавричева И.С. - 2002
3. Сравнительная оценка современных методов исследования при гидронефрозе. Автореферат диссертации/ Каситериди И.Г. - 2005.
4. Новые эндоурологические технологии в диагностике и лечении заболеваний почек и верхних мочевыводящих путей/ Мартов А.Г., Ергаков Д.В.// Малоинвазивные технологии при лечении урологических заболеваний. Тематический сборник. - 2006.
Степени гидронефроза
В зависимости от выраженности повреждения (атрофии) почечной паренхимы выделяют несколько степеней гидронефроза:

Рисунок. Нормальное строение почки. Чашечки и лоханка вместе составляют чашечно-лоханочную систему, из которой моча оттекает в мочеточник.
Степень 0:
- Расширения чашечно-лоханочной системы отсутствует.
Степень 1 (легкая степень гидронефроза):
- Расширение лоханки, без расширения чашечек.
- Паренхима почек сохранена.
Степень 2 (легкая степень гидронефроза):
- Расширение лоханки и чашечек почки.
- Эвакуаторная функция лоханки нарушена.
- Размер почки увеличен на 10-15%.
- Паренхима почки сохранена.
Степень 3 (умеренный гидронефроз):
- Выраженное расширение чашечно-лоханочной системы.
- Умеренное уменьшение паренхимы почки (умеренная атрофия кортикального слоя).
- Размер почки увеличен в 1,5-2 раза.
- Функция почки снижается на 30-40%.
Степень 4 (тяжелый гидронефроз):
- Значительное расширение чашечно-лоханочной системы, которая выглядит как многокамерная полость.
- Разница между чашечками и лоханкой не определима.
- Выраженная атрофия кортикального слоя почки.
- Работа почки снижается до 50%-80%, вплоть до полного отсутствия функции.

Рисунок. Степени гидронефроза.
Как определить степень гидронефроза?
Ранняя диагностика гидронефроза очень важна. Ранние степени заболевания могут быть обратимы, в то время как на поздних стадиях повреждение почек может быть уже не обратимым. В настоящее время существует несколько возможностей, которые позволяют не только определить степень расширения чашечно-лоханочной системы и выраженность атрофии почечной паренхимы, но и установить причину возникновения заболевания и оценить функциональную активность почки.
Ультразвуковая диагностика
Благодаря ультразвуковой диагностике удается установить степень расширения чашечно-лоханочной системы, размер почки и объем ее паренхимы. Нередко удается установить причину гидронефроза и уровень, на котором существует препятствие для оттока мочи, например, сдавление мочеточника забрюшинной опухолью или увеличение предстательной железы.
Ультразвуковая диагностика характеризуется высокой чувствительностью (90%) и специфичностью (98%) в определении степени гидронефроза и уровня, на котором нарушен отток мочи. Ультразвуковое исследование является не инвазивным, не требует использования контрастных веществ и не использует энергию рентгеновских лучей, т.е. не несет радиологической нагрузки.
Рентгеноконтрастные исследования мочевыделительной системы
Рентгенологические методы с использованием контрастных веществ основаны на использовании рентгенологических лучей и специальных веществ, способных к поглощению их поглощению. Контрастное вещество вводится в организм, и когда оно попадает в мочевыделительную систему, выполняется серия рентгенологических снимков, позволяющих оценить анатомическое строение почек, мочеточников, мочевого пузыря, определить степень гидронефроза и уровень нарушения оттока мочи. Наиболее широко применяются методы микционной цистоуретрографии и экскреторной или внутривенной урографии. Они являются достаточно информативными. Недостатком является необходимость использования контрастных веществ для визуализации мочевыделительной системы почки, что может быть ассоциировано с развитием аллергических реакций и нарушением работы почек.

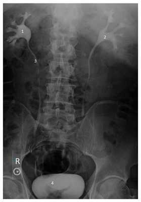
Рисунок. Экскреторная урография. 1 и 2 - чашечно-лоханочная система правой и левой почки, 3 - мочеточник, 4 - мочевой пузырь.
Компьютерная томография
Компьютерная томография является наиболее информативным методом диагностики гидронефроза. Компьютерная томография эффективна, если после проведения ультразвукового исследования и экскреторной урографии не удается установить причину, если визуализация почек затруднена или результаты обследований неоднозначны. Например, путем ультразвуковом исследования и экскреторной урографии возможно определить степень гидронефроза и уровень закупорки, но не увидеть ретроперитонеальную опухоль, являющуюся причиной обструкции. В этом случае большое значение имеет томография. Наиболее информативно это исследование также с использованием контрастного вещества.
Радионуклидная стинциграфия
Радионуклидная диагностика наиболее полезна для оценки кровотока и определения степени функциональной активности почки.
Более подробную информацию вы найдете в статье “Диагностика гидронефроза 1,2,3 или 4 степени”.
Гидронефроз у плода, новорожденных и детей
Гидронефроз - это расширение чашечно-лоханочной системы почки. Вы можете встретить такие названия как водянка почки или расширение лоханки почки.

Рисунок. Степени расширения лоханки почки у плода, новорожденных и детей.
Как обнаруживается гидронефроз у плода, новорожденных и детей?
Гидронефроз нередко встречается у детей и может обнаруживаться не только после рождения, но и в период беременности при плановых ультразвуковых обследованиях. Заболевание носит название гидронефроз у плода, или пренатальный гидронефроз. Пренатальная ультразвуковая диагностика позволяет выявить расширение лоханки почки у плода уже на 14-16 неделе беременности. Частота встречаемости гидронефроза у плода достигает 1 случая на 100 беременностей. В одном из исследований было установлено, что у двух процентов всех детей, в основном мальчиков, обнаруживается дородовой гидронефроз. К счастью, большинство из этих детей в дальнейшем никогда не имеют никаких симптомов (транзиторный гидронефроз).
Если гидронефроз у плода не был обнаружен, после рождения заболевание может протекать абсолютно бессимптомно, нередко до 3-4 лет, и обнаруживаться при проведении ультразвуковой диагностики по какому-либо другому поводу, например, инфекции мочевыделительной системы или недержания мочи.
Гидронефроз плода - что делать?
Первоначальный подход в случае обнаружения гидронефроза у плода является выполнение регулярных ультразвуковых исследований и контроль роста и функции почек ребенка. Во время родов не требуется какой-либо особой акушерской помощи. Иногда могут назначаться антибиотики для профилактики инфекции.
В течение нескольких дней после рождения почки новорожденного оцениваются с помощью ультразвукового исследования. Дальнейшая тактика диагностики и лечения определяется исходя из причин гидронефроза.
Причины гидронефроза у плода, новорожденного и детей
Наиболее распространены следующие причины гидронефроза у новорожденных и детей:
Обструкция лоханочно-мочеточникового сегмента
Обструкция лоханочно-мочеточникового сегмента - врожденная аномалия развития, характеризующаяся сужением места, где лоханка почки переходит в мочеточник. В результате нарушается отток мочи из почки и расширение чашечно-лоханочного аппарата.

Рисунок. Обструкция лоханочно-мочеточникового сегмента.
Обструкция пузырно-мочеточникового сегмента
Обструкция пузырно-мочеточникового сегмента - врожденная аномалия развития, характеризующаяся сужением места, где мочеточник впадает в мочевой пузырь. Нарушается отток мочи из почки и мочеточника, происходит расширение как чашечно-лоханочной системы (гидронефроз), так и мочеточника (мегалоуретер или гидроуретер).

Пузырно-мочеточниковый рефлюкс (ПМР)
Пузырно-мочеточниковый рефлюкс (ПМР) - патологическое состояние, при котором происходит обратный заброс мочи из мочевого пузыря в мочеточники. Может быть различной степени выраженности. Развитие заболевание связано с недоразвитием или полным отсутствием клапанов между мочевым пузырем и мочеточниками, которые в норме препятствуют обратному току мочи.
Необструктивный гидронефроз
Необструктивный гидронефроз - это атипичная форма заболевания, при которой нарушается эвакуаторная функция лоханки почки, т.е. не происходит адекватного оттока мочи из лоханки в мочеточник, при этом отсутствует какое-либо механическое препятствие.
Другие причины водянки почки у новорожденных и детей:
- Уретероцеле;
- Клапан задней уретры;
- Нейрогенный мочевой пузырь;
- Эктопия мочеточника и др.

Рисунок. Степени пузырно-мочеточникового рефлюкса у детей.
Причины гидронефроза у плода:
Транзиторный (временный) - 48%;
Обструкция лоханочно-мочеточникового сегмента - 11%;
Пузырно-мочеточниковый рефлюкс - 9%;
Поликистозная дисплазия почек - 2%;
Клапаны задней уретры - 1%.
Не всегда гидронефроз у детей является врожденным, он может развиваться в результате травмы или опухоли.
Какие исследования могут понадобиться?
Если у новорожденного или ребенка обнаружен гидронефроз, для уточнения причин и степени заболевания требуются дополнительные исследования. Ранняя диагностика и лечение помогают предотвратить развитие инфекций мочевых путей и повреждение почек.
Ультразвуковое обследование обладает высокой диагностической ценностью в определении степени гидронефроза и степени сохранности паренхимы почки. Обследование проводится перед мочеиспусканием и после опорожнения мочевого пузыря.

Микционная цистоуретрография. Важное обследование, позволяющее получить информацию о форме и размере мочевого пузыря, мочеточников и мочеиспускательного канала. Аномалии развития этих органов мочеиспускательной системы могут быть причинами гидронефроза у новорожденных и детей. Также благодаря микционной цистографии удается определить рефлюкс - заброс мочи обратно из мочевого пузыря в мочеточники.
Радионуклидная ренография - исследование мочевыделительной системы с использованием радиоизотопов. Возможно проведение двух видов исследования, в зависимости от предположительного диагноза.
Лазикс-ренограмма. Суть исследования заключается в получении изображения почек до и после введения мочегонных препаратов. Направлено на определения причин нарушения оттока мочи.
DMSA-сканирование почек позволяет с высокой точностью определить размер и форму, расположение и функциональную активность почек.
Более подробную информацию вы сможете найти в статье “Диагностика …”
Чем опасен гидронефроз у плода, новорожденного и детей?
У детей, которые страдают легкой или умеренной степени выраженности гидронефрозом, почечная функция, как правило, невредима. Раннее выявление и лечение обеспечивают хорошие перспективы в будущем.
Расширение лоханки тяжелой степени ассоциировано с риском частого повторения инфекций почки и развитием почечной недостаточности.
Как лечится гидронефроз плода, новорожденного и детей?
В течение первых нескольких дней после рождения почки новорожденного оценивается с помощью ультразвукового исследования. Если после рождения гидронефроз сохраняется, проводятся другие тесты. Микционная цистоуретрография используется, чтобы исключить пузырно-мочеточниковый рефлюкс, который нередко является ответственным за 25-30 процентов дородовых случаев гидронефроза. Если рефлюкс подтвержден в качестве причины, его можно лечить путем профилактики возникновения инфекций мочевыделительной системы и регулярного мониторинга (ультразвуковые обследования, микционная цистография). Большинство детей перерастают рефлюкс, но в некоторых случаях требуется хирургическое вмешательство.
Читайте также:
- Перелом медиального мыщелка плечевой кости. Диагностика и лечение
- Двигательная деятельность слепых. Особенности моторики слепого
- Значение предстательной железы. Простатэктомия
- Рак in situ шейки матки со стромальной инвазией. Инвазивный рак шейки матки.
- Анатомия: Свод, fornix. Столбы свода. Прозрачная перегородка.
