Показания для реконструкции латеральных связок голеностопного сустава с использованием аутосухожилия подошвенной мышцы
Добавил пользователь Владимир З. Обновлено: 11.12.2025

Внешние связки соединяют малоберцовую кость (Fibula) с пяточной и таранной костями. Межберцовый синдесмоз проходит между большеберцовой и малоберцовой костями. © Gelenk-Klinik
Реконструкция связок голеностопного сустава является операцией по лечению хронической нестабильности. Эта нестабильность приводит при малейших нагрузках к вывихам лодыжки. При этом наблюдается повышенная подвижность самого голеностопа, что является большей нагрузкой на суставный хрящ, что обычно, и приводит к его разрушению.
Как возникают травмы голеностопного сустава?
Причинами разрыва связок лодыжки зачастую являются падения либо травмы во время занятий спортом. Связки теряют свою стабилизирующую функцию, и пациенты больше не могут двигаться как раньше. Чаще всего повреждениям подвержены внешние связки. Передняя таранно-малоберцовая связка травмируется почти при всех повреждениях латеральных связок.
Такие факторы риска как лишний вес, неправильная обувь, а также плохая физическая подготовка могут спровоцировать разрыв либо растяжение.
Симптомы разрыва связок

Травмы внешних латеральных связок проявляются сильными болями и образованием гематом. © Leo, Fotolia
Если человек подворачивает ногу, то впоследствии возникшая боль в голеностопном суставе и отёчность являются типичными симптомами, которые принимают за простое растяжение и не обращаются к врачу. Также могут появиться гематомы по причине разрыва подкожных вен. Другими симптомами является боль в лодыжке и неспособность опираться на ногу. Как правило, травма приводит к снижению способности выдержать нагрузку, которое может сохраняться в течение нескольких дней, а иногда и недель.
Если пострадавший и вовсе не может стать на ногу то скорее всего произошел полный разрыв.
Как проводится диагностика?
Помимо специально подготовленных вопросов и обследования, рентген помогает специалисту Геленк Клиники исключить наличие костных повреждений. В данном случае необходимо учитывать не только переломы, но и разрывы с костными фрагментами либо травмы межберцового синдесмоза (костное сращение из соединительной ткани). Так как рентгенологическое исследование показывает состояние костных структур, но не отображает связки, мы рекомендуем сделать так называемый удерживаемый снимок, где врач обследует расслоение суставной щели по сравнению с противоположной стороной. Таким образом можно отличить простое растяжение от разрыва. Подобные записи изготавливаются при помощи специального опорного аппарата и стандартного осуществления давления. В отдельных случаях проводится дополнительное обследование. Пациента направляют на МРТ либо УЗИ. Эти методики могут также выявить и травмы мягких тканей.
Осложнения после травмы
Своевременная диагностика "свежих" травм и последовательное лечение обычно имеют хорошие прогнозы. Для заживления таких повреждений требуется как правило от четырёх до шести недель.
Однако проблемы вызывают, прежде всего, нестабильность связок в голеностопе, от которой конечность слабеет. Это означает, что человек может быстро подвернуть ногу. Примерно у 10% всех пациентов, страдающих травмами внешних связок, наблюдается хроническая нестабильность.
Повторяющиеся травмы способствуют деформациям суставного хряща. Так как суставный хрящ недолго способен выдерживать срезывающие нагрузки Вам стоит обратиться к врачам Геленк Клиники в Германии пока не образовался артроз.
Лечение голеностопного сустава после разрыва связок
Лечение зависит от степени повреждения. Если планируется эндопротезирование, то предварительно проводится осмотр лодыжки артроскопическим путем. Во время этой операции проверяется состояние хряща и удаляются остатки разорванной связки.
При разрыве связок применяются различные оперативные методы. Целью всех операций по восстановлению лодыжки является достижение его стабильности.
Как правило положительный результат достигается спустя примерно 6 недель. В течение этого времени пациенту нужно носить специальные ортезы для иммобилизации конечностей.
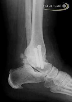
В Геленк Клинике применяются различные пластические методики. При пластике внешней связки её пытаются восстановить с помощью импланта из собственной ткани. Для этого используются остаточные элементы, части надкостницы латеральной лодыжки и ткани суставной капсулы. Если этих тканей недостаточно, то используются имплантаты сухожилий. Для этого изымаются части, проходящие в непосредственной близости от внешней связки, и затем пересаживаются в сустав.
Хирурги Геленк Клиники проводят восстановление голеностопного сустава при хронической нестабильности по методу Brostöm. При этом оставшиеся элементы служат для анатомического восстановления. Во время операции они собираются, а затем растягиваются, чтобы достичь первоначальной длины связок. Для обеспечения стабильности, части разгибательных сухожилий перемещаются в сторону латеральной лодыжки и сшиваются.
Возможные осложнения после реконструкции связок (анатомический метод):
- Снижение чувствительности внешней стороны стопы (макс. 2%), часто временно
- Инфекция (лечение с помощью антибиотиков, иногда хирургическое вмешательство) составляет менее 1%
- Снижение подвижности (около 2%)
- Возобновление нестабильности (часто после недавней травмы)
Как долго длится лечение в Геленк Клинике?
После операции для пациента изготавливается специальный ботинок. До заживления ран в течение 12 дней Вы должны ходить, опираясь на костыли. В течение последующих 3 недель Вы уже сможете передвигаться без костылей, но в специальном ботинке. Через 4 недели ботинок расслабляют так, что Вы сможете сгибать и разгибать ногу. После шести недель лечения возможно передвижение без ботинка. В это время необходимо пройти интенсивное лечение для восстановления мышц и подвижности ноги.
Сотрудники Геленк Клиники с удовольствием проконсультируют Вас по всем необходимым вопросам касательно стоимости операции и послеоперационного лечения.
Артродез голеностопного сустава

Артродез (обездвиживание) голеностопного сустава при развитом артрозе — это золотой стандарт лечения в Германии. При нормальной скорости походка не изменяется. Нехватка подвижности компенсируется элементами кости предплюсны. Спортивная активность не запрещается. © Viewmedica
Артроз голеностопного сустава приводит к боли в стопе и ограниченной подвижности ноги. Пациенты, страдающие артрозом, не могут преодолевать большие расстояния, не чувствуя боли. Нарушаются моторика и вращательные движения стопы.
Обездвиживание кости в голеностопе после артроза может обеспечить безболезненность. Артродез верхнего голеностопного сустава помогает восстановить нагружаемость между таранной костью (Talus) и большеберцовой костью (Tibia) в повседневной жизни. Уже многие годы данная хирургическая методика является золотым стандартом в лечении артроза. Подвижность верхнего голеностопа устраняется при помощи терапевтического срастания костных структур. Таким образом, кости стопы срастаются так же, как и после переломов.
После терапевтического укрепления пациент сможет оказывать прежние нагрузки на стопу, держа её в нормальном положении. Во время ходьбы с нормальной скоростью вращательная способность почти не нарушена. Лишь при быстрой ходьбе либо беге, что требует повышенной подвижности лодыжки, наблюдается изменение походки. При нормальной ходьбе утраченная подвижность компенсируется суставами предплюсны.
Когда проводится операция?
Консервативное лечение артроза:
- Обезболивающие (нестероидные противоревматические препараты)
- Инъекции гиалуроновой кислоты
- Стероидные инъекции (кортизон)
- Ортопедические стельки
- Ортезы и бандажирование
- Физиотерапия, упражнения для стабилизации голеностопного сустава
Артродез специалисты Геленк Клиники в Германии рекомендуют только в том случае, если пациент не может передвигаться без боли. Пониженный радиус движений в рамках нормальной повседневной жизни является индикатором артроза в голеностопе. Консервативные методы лечения больше не помогают. Невозможными становятся также занятия спортом и привычная организация свободного времени. Кроме того, артрозные боли негативно влияют на работоспособность пациента. В некоторых случаях наши специалисты рекомендуют ряд других хирургических мероприятий: помимо суставосохраняющего лечения, пациентам, страдающим прогрессирующей формой артроза, может понадобиться эндопротезирование.
Альтернативы артродеза голеностопного сустава:
- Остеосинтез
- Репозиция пяточной кости и её заживление в новом положении
- Пластика внешних связок
- Трансплантация связок
Кому подходит лечение при помощи артродеза?
Артродез голеностопного сустава имеет большое значение в лечение артроза. Болезненные ощущения в верхней части голеностопа, часто связанные с деформациями и повреждениями, хирурги Геленк Клиники устраняют при помощи данного хирургического вмешательства. Даже в эпоху эндопротезирования суставов, артродез всё ещё остается наиболее эффективным оперативным методом лечения. Все другие методики лечения должны оцениваться на основании результатов операции по обездвиживанию.
Артродез голеностопного сустава редко приводит к жалобам. Результаты более чем удовлетворительны, независимо от возраста пациента. Операция в Геленк Клинике в Германии обеспечит Вам более 25 лет безболезненной жизни. Кроме того, артродез поможет пациентам с сильным разрушением голеностопа, а также людям, страдающим лишним весом, добиться улучшения качества жизни.
Артродез при артрозе и после переломов голеностопного сустава
Хирургическое обездвиживание верхнего голеностопа при артрозе является наиболее распространённым вмешательством. Применение альтернативных методов лечения зависит от индивидуальных показателей.
Артроз голеностопного сустава является наиболее часто встречающимся показателем к артродезу.

Артродез после перелома голеностопного сустава
Данная методика используется в Геленк Клинике и для лечения переломов, возникших вследствие несчастных случаев. Однако сначала наши хирурги-ортопеды предложат Вам суставосохраняющее лечение. После перелома специалисты Геленк Клиники избавят пациента от боли в стопе и восстановят подвижность лодыжки. Сложность для восстановления структур голеностопа может представить перелом с повреждением суставных поверхностей. При необходимости в данном случае проводят эндопротезирование.
Если показания к эндопротезированию отсутствуют, напр. после полной потери функций внешних связок либо после инфекционных заболеваний, мы выберем надёжный и проверенный метод обездвиживания.
Артродез при серьёзных деформациях голеностопного сустава

Долговечность эндопротезов значительно улучшилась. Иногда эндопротезы могут прослужить и более 10-ти лет. Вероятность повреждения выше, чем в колене и бедре. При сильных травмах голеностопа или заднего отдела стопы такой эндопротез прослужит не долго. В таких случаях артродез является оптимальным решением. © Gelenk-Klinik
Пациенты, страдающие артрозом, на протяжении нескольких лет испытывали многие ограничения. Качество жизни снижалось, а страдания только прибавлялись. Именно поэтому к нам обращаются пациенты, которые многие годы жили с эквиусной деформацией, в результате которой повредились и соседние суставы.
Своевременно проведённый артродез, а также послеоперационное лечение с использованием специальных протезов в определённом положении, может предотвратить необратимые последствия.
Поэтому мы рекомендуем обратиться в Геленк Клинику за консультацией. Наши специалисты по лечению заболеваний стопы ответят на все, интересующие Вас вопросы.
Как проходит операция в Геленк Клинике?

Артродез помогает восстановить безболезненность и потерянную подвижность. Данное вмешательство требует использования специальных винтов и интрамедуллярных гвоздей. Они фиксируют сустав до полной оссификации. © Gelenk-Klinik
Обездвиживание голеностопного сустава проводится под общим наркозом. Иногда используется и местная анестезия. Перед началом остеосинтеза, голеностоп освобождают от суставного хряща, то есть удаляют скользящий слой между суставными элементами голеностопа. Лишь после этой процедуры образуется прямой контакт между большеберцовой и таранной костями.
Прочное важное для остеосинтеза костное соединение, закрепляется при помощи винтов либо пластин. Артроскопические вмешательства подразумевают лишь микроскопические разрезы на коже. Сохранение мягких тканей является является важным элементов в таком лечении: только при низком рубцевании, в будущем возможно эндопротезирование.

Артродез голеностопного сустава проводится и при использовании интрамедуллярных гвоздей, которые соединяют большеберцовую кость с таранной и пяточной. Артроз нижнего голеностопа и тяжелые травмы пяточной кости требуют проведения данной методики. Применение интрамедуллярных гвоздей для обездвиживания голеностопа приводит ещё и обездвиживанию сустава между пяточной и таранной костью. © Gelenk-Klinik
Послеоперационное лечение
После артроскопической операции в течение 8 недель пациентам необходимо носить специальный ортез. В это время разрешается нагружать стопу лишь половиной собственной массы тела. При открытой операции всё зависит от формы артродеза. При использовании кости, в течение 12-ти недель стопу можно нагружать лишь 20 кг. От езды на лыжах и любых других видов спорта (искл. ходьба и езда на велосипеде) следует воздержаться как минимум один год.
Если у Вас возникнут какие-либо вопросы, сотрудники Геленк Клиники в Германии ответят на все Ваши вопросы и помогут с организацией приезда.
Сухожилия четырехглавой мышцы бедра (прямой мышцы бедра)
Четырехглавая мышца бедра (квадрицепс) относится к передней мышечной группе бедра, мышца-разгибатель, которая отвечает за разгибание ноги в коленном суставе. Квадрицепс включает в себя четыре мышечных пучка (головки): прямая мышца бедра, латеральная (внешняя) широкая мышца бедра, медиальная (внутренняя) широкая мышца бедра и промежуточная широкая мышца бедра. Наиболее длинной является прямая мышца бедра, она берет свое начало на тазовой кости. Вместе эти мышечные головки образуют единое сухожилие, которое прикрепляется к надколеннику. Сухожилие представляет собой достаточно прочное и эластичное образование. Более уязвимыми к повреждениям являются области перехода сухожилия в мышцу или места прикрепления сухожилия к кости.

Виды травм и повреждений.
К наиболее распространённым повреждениям сухожилий можно отнести:
- Тендинит - это заболевание, при котором происходит воспаление и дистрофия ткани сухожилия. Заболеванию подвержены чаще всего те сухожилия, которые регулярно и с частым повторениемиспытывают постоянную физическую нагрузку.
- Растяжения - наиболее распространенная травма, при которой происходит повреждение сухожилий и мышечных волокон вследствие физического воздействия, но при этом целостность их не нарушается
- Частичный разрыв сухожилия, целостность мягких тканей сохраняется частично
- Полный разрыв сухожилия
Основные причины травматизации.
- Часто повторяющиеся физические нагрузки на одну и ту же группу мышц
- Возраст старше 40-45 лет
- Бытовые травмы, падения
- Слабость сухожилий, которой способствуют ряд факторов: тендинит, хронические заболевания (ревматоидный артрит, подагра, сахарный диабет, инфекции и пр.), длительная обездвиженность, прием стероидных гормонов и др.
Симптомы травматизации.
Характерный и первостепенный симптом для всех видов повреждений сухожилий это появление внезапной сильной боли. К нему добавляются следующие признаки:
- покраснение и отечность в области повреждения
- обостренная чувствительность в месте травмы
- мышечные судороги
- кровоизлияние
- характерный хруст в момент травмы
- ограниченность в движениях повреждённой конечности
- для полных разрывов характерно появление провалов при ходьбе
Диагностика.
Диагностика данных видов травм включает:
- первоначальный осмотр и сбор жалоб врачом-травматологом
- назначение рентгенологического обследования (рентгенограмма в боковой и прямой проекциях)
- ультразвуковое исследование (для выявления частичных или полных разрывов)
- КТ и МРТ

Записаться на консультацию и обследование в Москве Вы можете обратиться к следующим специалистам ЦКБ РАН:
Лечение и восстановление.
В зависимости от степени повреждения сухожилия лечащий врач назначает лечение: консервативное (возможно при частичных разрывах и на начальных стадиях тендинита) или хирургическое (при полных разрывах).
Консервативное лечение включает:
- Соблюдение покоя и обездвиживание для травмированной конечности
- Противовоспалительную медикаментозную терапию
- Иммобилизацию (наложение шины или гипсовой повязки на ногу)
- Физиотерапевтические процедуры (лазеролечение, ультразвук, магнитотерапия, электрофорез и пр.)
- Лечебную восстановительную гимнастику
- Массаж
В травматологическом отделении проводится операция по сшиванию разорванных сухожилий. Дальнейшее восстановление аналогично тому, которое проводится при консервативном способе лечения.
Срок восстановления трудоспособности зависит от тяжести полученной травмы и в среднем составляет 4-6 месяцев.
За квалифицированной врачебной помощью в Москве Вы можете обратиться в ЦКБ РАН.
Пластика связок голеностопного сустава
Ситуации, когда у человека разрываются связки голеностопного сустава, могут возникнуть в быту, в спорте, вследствие профессиональной травмы или несчастного случая. Эта патология составляет 15% всех случаев повреждения голеностопа. Если связки разорваны, первое, что назначается пациенту - это восстановительная физиотерапия. Однако это помогает, только если надрыв связок свежий. Суть восстановления заключается в том, чтобы заставить другие участки мускулатуры взять на себя функции поврежденной надрывом связки.
Оценить эффективность лечения можно спустя 2-3 месяца. Если нестабильность сустава не прошла, а перешла в хроническую форму, стоит задуматься об операции. Эффективным хирургическим методом в данном случае будет пластика связок голеностопного сустава, направленная на замену связки. Для этого используются собственные ткани пациента, поэтому операция отличается безопасностью и доступной стоимостью.
Причины разрыва связок голеностопа
Учитывая особенности функций голеностопа, повреждение связок может возникнуть в различных ситуациях. Как правило, к нему приводит падение, подворачивание стопы, резкий поворот. В этот момент сустав растягивается, и ткань связок надрывается. Частые причины растяжения сустава и порыва связок:
- Занятия спортом.
- Подворачивание стопы, например, на ступенях или скользкой дороге;
- Удар в голеностопную область.
Стопы подвержены нагрузкам каждый день, однако связки рвутся не ежедневно. Стоит выделить ряд провоцирующих факторов, при которых риск неприятности существенно повышается:
- Для женщин - высокие каблуки, на ступеньках, на скользкой тротуарной плитке - шансы вывихнуть ногу и поклонниц шпилек достаточно высоки.
- Ожирение - избыточный вес не причина для падения или травмы, но подвернув ногу, тучный человек с гораздо большей вероятностью заработает разрыв связок, из-за значительной нагрузки.
- Эндокринные нарушения, снижающие эластичность связок.
- Врожденные патологии строения стопы и голеностопа.
- Наличие старых травм и болезней сустава.
- Занятия спортом - прыжки в длину, в высоту, парашютный спорт.
Симптомы разрыва связок голеностопа
Поняв, что связки разорваны, нужно как можно скорее попасть в больницу, при этом снизив до минимума нагрузку на травмированную ногу. Как понять, что вы не просто неудачно упали, а порвали связки? В первую очередь нужно понимать, что порвать связки можно по-разному. В зависимости от того, насколько серьезной является проблема со связками, ортопеды выделяют следующие степени разрыва связок голеностопа:
- I степень - связки надорваны с некоторых местах, основная масса волокон в целости. Диагностика такой патологии основывается на визуальном осмотре и пальпации. Может быть незначительная отечность лодыжки. Пациент жалуется на умеренную боль, которая усиливается при движении или пальпации стопы. Двигательная активность сохраняется, но сопровождается дискомфортом.
- II степень - связка разорвана частично, но это не влияет на функциональность голеностопного сустава. Пальпация очень болезненна. Отечность распространяется с лодыжки на стопу и усиливается. Двигательная активность сопровождается болью и хромотой пациента.
- III степень - участок ноги в области голеностопного сустава сильно отекает, ощущается сильная боль, нога на сгибе покрывается сплошной гематомой. Могут быть видны кровоподтеки. Температура тела повышается. Стать на ногу и сделать шаг - невозможно. Двигательная активность - блокирована.
Диагностика разрыва связок голеностопа
Чтобы назначить правильно лечение или принять решение о необходимости пластики связок голеностопа, врач должен убедиться, что речь идет именно о разрыве тканей. В первую очередь проводится осмотр больного. Ортопед берет одной рукой голень травмированной ноги, а другой пробует сдвинуть в сторону стопу. Если разорваны латеральные связки, очевидной будет чрезмерная подвижность стопы.
Далее пациент отправляется на рентгенографическое обследование. Снимок нужно делать в двух проекциях. Диагностировать разрыв связок на рентгене можно только, если речь идет о третьей степени патологии. Если картина нечеткая, ортопед может назначить рентген под нагрузкой или артрографию для понимания состояния суставной капсулы.
Особенности пластики голеностопа
Цель операции - обеспечить суставу стабильность. Ведь растянутые связки - это не только дискомфорт, но и постоянный риск серьезной травматизации нестабильного голеностопного сустава.
Пластика голеностопных связок предполагает замену наружных связок тканями, взятыми с других участков. Операция проходит под общим наркозом. В зависимости от сложности разрыва может длиться 1-3 часа.
Связка восстанавливается хирургическим путем с использованием тканей поврежденной связки, надкостницы, тканей суставной капсулы, тканей соседних неповрежденных сухожилий. Некоторые ткани могут быть репозиционированы, для обеспечения суставу максимальной стабильности.
Реабилитационный период

На реабилитацию после операции потребуется определенное время. Первые три недели двигательная активность возможна только с костылями, нагрузка на оперированную ногу - исключена. Далее еще три недели пациент ходит самостоятельно, но его голеностоп зафиксирован в специальном жестком ботинке. Проверяя состояние прооперированных связок, врач определяет время, когда жесткую фиксацию можно убрать, оставить эластичный брейс и позволить пациенту сгибать и разгибать ногу в стопе.
Другой вариант реабилитации - более скор и технологичен. Он не предполагает использование костылей. В этом случае операционная техника предполагает установку специальных микрофиксаторов брейсов подкожно.
В реабилитационный период крайне важна правильная восстановительная терапия, лечебная физкультура, физиотерапевтические процедуры.
Где сделать пластику связок голеностопа в Москве?
Главная больница Москвы - ЦКБ РАН - приглашает пациентов, которые травмировали голеностоп и нуждаются в немедленной помощи и точной диагностике состояния. Также мы работаем с застарелыми травмами, когда физиотерапевтическое лечение не помогло, и наблюдается нестабильность сустава - приходите на консультацию ортопеда, чтобы узнать больше о хирургических методах решения проблемы. Пластика связок защитит сустав, обеспечит ему стабильность, вернет полную нормальную двигательную активность - без боли и ограничений!
Повреждения связочного аппарата голеностопного сустава (нестабильность голеностопного сустава)
Повреждения связок голеностопного сустава возникают в результате травмы - подворота стопы, часто - при занятиях спортом или в зимнее время, при гололеде. Болевых ощущений сразу может не возникнуть. Через короткое время или сразу после травмы появляется отек голеностопного сустава, его контуры сглаживаются, появляются подкожные гематомы (синяки). Иногда пациенты отмечают «щелчок» в момент травмы. Движение в голеностопном суставе вызывает острую боль, опереться на ногу практически невозможно.
Необходимо приложить холод и зафиксировать поврежденный сустав, затем обратится в лечебное учреждения, где вам выполнят рентгенографию голеностопного сустава. Часто этого бывает недостаточно и может потребоваться ряд дополнительных обследований, таких как ультразвуковое исследование сустава, магнитно-резонансная томография (МРТ) для оценки состояния мягкотканых структур (связок, сухожилий) голеностопного сустава.
Консервативное лечение повреждений связочного аппарата голеностопного сустава
Если связки пострадали частично, то речь, как правило, идет о консервативном лечении - ношении гипсовой либо полимерной повязки, специальных бандажей, ортезов. Назначаются курсы физиотерапевтического лечения и лечебной физкультуры.
Неэффективное и некорректное лечение данной патологии может привести к серьезным осложнениям, таким как артроз, хроническая нестабильность голеностопного сустава, хромота и другим
Оперативное лечение повреждений связочного аппарата голеностопного сустава
При неэффективности всех этих мер - сохранении боли, отека, чувства нестабильности в суставе, повторяющихся травмах, а также при полном повреждении наружного или внутреннего комплекса связочного аппарата голеностопного сустава показано оперативное лечение - восстановление связок (пластика связок) для профилактики вышеизложенных осложнений.
В зависимости от степени повреждения используют один из методов оперативного вмешательства:
- сшивание связок (если они на месте, но деформированы)
- периостальный клапан (если связки разорваны или не визуализируются)
- пересадка сухожилий и связок, использование подошвенного материала, или сухожилий для замены от 2-3 связок, при выполнении этих вмешательств, для фиксации используются абсорбирующиеся (рассасывающиеся) материалы
Операция выполняется под артроскопическим контролем (при помощи введенной в сустав видеокамеры осматривается его полость). Благодаря этому можно диагностировать и устранить проблемы не только с поврежденными связками, но и внутри сустава в ходе одного оперативного вмешательства.
Сразу после операции сустав фиксируют гипсовой повязкой, чтобы не подвергать его лишней нагрузке. Это приведет к скорейшему выздоровлению. Швы снимают на 12-14 сутки. После снятия швов возможно начало восстановительного лечения. Через 4 недели гипсовая повязка может быть заменена на полужесткий U-образный ортез для голеностопного сустава. Ходьба без костылей с полной нагрузкой на сустав возможна через несколько недель.
Восстановительное лечение после травм связочного аппарата голеностопного сустава
Продумать курс восстановительного лечения при подобных травмах очень важно для того, чтобы функция голеностопного сустава восстановилась в максимальном объеме. При выписке из стационара пациент получает подробный план восстановительных мероприятий.
Восстановительное лечение включает в себя курс физиотерапевтического лечения, ударно-волновую терапию, комплекс активных и пассивных упражнений, направленных на укрепление и растягивание мышц с частичной нагрузкой на сустав, и упражнений для разработки движений в суставе.
Кроме того, в ЦКБ РАН на базе отделения восстановительного лечения создана лаборатория биомеханики, в которой проходят реабилитацию пациенты после различных травм опорно-двигательного аппарата, в т.ч. профессиональные спортсмены. На ее базе исследуются различные параметры ходьбы, вырабатывается оптимальный план реабилитации в соответствии с полученными данными.
Читайте также:
- Причины и диагностика холестеатомы наружного слухового прохода
- Саркома Капоши. Причины и механизмы развития саркомы капоши.
- Диастолическая ригидность (жесткость) левого желудочка. Оценка диастолической ригидности миокарда
- Чем отбелить кожу лица? Отбеливающие маски для лица
- Формирование плевральных полостей эмбриона. Развитие диафрагмы плода
