Показания для тотального эндопротезирования голеностопного сустава из наружного доступа (протез Zimmer)
Добавил пользователь Евгений Кузнецов Обновлено: 21.11.2025
Голеностопный сустав подвергается сильной нагрузке при ходьбе. С возрастом хрящевая ткань в нем видоизменяется, истирается и больше не восстанавливается. Ситуация ухудшается после травм. Вылечить запущенную форму артроза консервативно невозможно. В таких случаях рекомендуют эндопротезирование. Что это за операция, как она проходит и каковы прогнозы?
Эндопротезирование голеностопного сустава делают при запущенных стадиях артроза
В каких случаях показано эндопротезирование
Артрозу подвержен верхний голеностопный сустав, образованный из непосредственно голеностопного сустава, большеберцовой и малоберцовой костей. На поздних стадиях пациенты страдают от хронических болей и не могут нормально передвигаться. Если консервативная терапия бессильна, им рекомендуют замену верхнего голеностопного сустава. После операции:
- боли затихают;
- нормализуется походка, хоть и полностью восстановить подвижность невозможно;
- пациент снова может выполнять ежедневные задачи.
Около 90 % пациентов остаются довольны результатами эндопротезирования голеностопа
Виды артроза голеностопа
Артроз голеностопа возникает не только из-за возрастных изменений в суставах. Его могут спровоцировать травма хряща, растяжение связок, вальгусное плоскостопие, ревматизм. К остеоартрозу приводят также искривленное положение оси ног, нарушение обмена веществ, ревматизм и другие патологии.
Различают несколько разновидностей артроза голеностопного сустава. В зависимости от его вида пациенту подбирают подходящий метод хирургического вмешательства.
- При концентрическом артрозе таранная кость находится по центру.
- При эксцентрическом - она смещена.
- Бывает также заднее и переднее центрирование.
- Вальгусный и варусный артроз.
Если заболевание сопровождается некрозом кости и зашло в запущенную стадию, эндопротезирование бессмысленно. По результатам диагностики врач принимает решение, оценивает состояние связок, положение заднего отдела и свода стопы: операция показана далеко не всегда и помогает далеко не всем.
К операции по замене голеностопного сустава нужно серьезно подготовиться
Какие есть варианты лечения
При артрозе голеностопа практикуют такие виды эндопротезирования сустава:
- Установка протеза из титана с подвижной сердцевиной из полиэтилена. Вариант подходит, даже если хрящ полностью истерся. Технология эндопротезирования голеностопа сильно усовершенствовалась за последние 10 лет и постепенно начала вытеснять «золотой стандарт» (артродез).
- Артродез - терапевтическое обездвижение для того, чтобы снять болезненность при нагрузке на сустав. После операции походка нарушается, увеличивается нагрузка на тазобедренный и соседние голеностопные суставы. Период реабилитации - не менее 4 месяцев. Артродез приходит на помощь, если эндопротезирование противопоказано.
- Остеотомия - изменение таранной и пяточной костей так, чтобы переместить здоровые хрящи в область главной нагрузки и сохранить сустав.
Что лучше - эндопротезирование голеностопного сустава или артродез? Рассуждения эксперта - в видео:
Особенности современного подхода к эндопротезированию голеностопа
При эндопротезировании удаляют малую часть таранной кости, а губчатая костная ткань срастается с поверхностью эндопротеза. Чем плотнее кость, тем более стабильным будет протез.
В последние годы возможности эндопротезирования расширились, операционные методы лечения остеоартроза стали более прогрессивными. Хирурги-ортопеды прибегают к сопроводительным мерам для улучшенной фиксации протеза. В их числе - коррекция опоры, пластика большеберцовой коллатеральной и наружной связок, рефиксация и подтяжка связок, другие операции, улучшающие стабильность в положении стоя, при максимальной нагрузке на протез. Подобные мероприятия проводят за несколько месяцев до эндопротезирования.
Чтобы протез прослужил максимально долго, на подготовительном этапе хирурги устраняют деформации, полученные вследствие аварий и травм. Чем больше отклонений оси от нормы, тем быстрее наступит износ протеза. Поэтому врачи стремятся правильно выставить задний отдел стопы и избавиться от деформаций.
Эндопротезирование проходит успешно при таких условиях:
- щадящий режим голеностопного сустава;
- средний уровень активности;
- достаточный объем костных тканей в суставе;
- удовлетворительное состояние сосудов ног (при плохом кровоснабжении возникнут сложности с заживлением раны);
- высокая степень подвижности верхней области голеностопа;
- достаточная стабилизация сустава связками.
Относительные противопоказания к эндопротезированию такие:
Курение - мощный неблагоприятный фактор при эндопротезировании голеностопа
Как устроены современные эндопротезы голеностопа
Ранее пациентам устанавливали металлические протезы, которые плохо держались на цементе и не давали нужного результата. Сегодня хирурги-ортопеды используют только протезы третьего поколения, которые полностью срастаются с костью и надежно фиксируются, обеспечивая суставу естественную биомеханику.
- На таранную кость надевают специальную металлическую крышку.
- Поверхность большеберцовой кости накрывают металлической пластиной.
- Третий компонент протеза - это свободно двигающийся полиэтиленовый сердечник.
Водить автомобиль вы сможете не ранее чем через 2 месяца после операции
Как проходит операция
Эндопротезирование проводят под общим или местным наркозом. Пациент лежит на спине. Ногу перетягивают манжетой, чтобы предотвратить поступление крови (если операция будет затяжной). Для получения моментального изображения хирург использует мобильный рентгеновский аппарат под стерильным покрытием, что позволяет контролировать ход операции и локализацию протеза.
- Хирург делает надрез вдоль передней части сустава и ведет его вниз до тыльной части стопы.
- Сухожилия над суставом сдвигают в сторону.
- Открывают суставную капсулу, убирают часть костной ткани, чтобы получить хороший обзор.
- С помощью рентген-аппарата и специальных инструментов определяют ось и положение заднего отдела стопы для имплантации.
- Таранную кость покрывают металлическим колпачком (внутри него есть металлические штифты, позволяющие совершать движения).
- Поверхность сустава большеберцовой кости покрывают защитной металлической пластинкой, оба компонента также покрывают специальным слоем для надежного сращивания костной ткани.
- Устанавливают подвижное скользящее ядро.
После эндопротезирования пациент проводит в больнице 5-7 дней
Можно ли заниматься спортом с протезом голеностопа
После эндопротезирования пациенту выдают ряд ограничительных рекомендаций. Самое главное - отказаться от подъема тяжестей более 20 кг. Желательно носить специальную обувь, которая обеспечит стабильность при ходьбе, - особенно в первое время. В период восстановления могут назначить физиотерапевтические процедуры и лимфодренаж.
По окончании восстановительного периода, как правило, разрешают:
- ходить на лыжах;
- плавать;
- ездить на велосипеде;
- бегать трусцой;
- заниматься треккингом;
- играть в гольф.
После эндопротезирования про футбол, теннис или скоростной слалом придется забыть
Каковы прогнозы?
Несмотря на новейшие технологии оперирования, прогнозы не очень утешительны. В 90 % случаев протез служит не более 8 лет. Повторные операции проводят нечасто - всего в 6-8 % случаев. Значит, по истечении этого времени пациент снова испытает боль и вспомнит об ограниченной подвижности.
После эндопротезирования бывают и осложнения. Рана над новым протезом заживает не быстро, голень отекает, не редкость и нагноение, образование сгустков крови и тромбозов. Иногда протез самопроизвольно теряет фиксацию, проседает и неожиданно быстро изнашивается. Поэтому опытные врачи рекомендуют пациентам хорошо подумать, прежде чем решиться на операцию. Во многих случаях избавиться от боли и вернуть подвижность суставу можно с помощью протеза синовиальной жидкости, без хирургического вмешательства.
Что такое эндопротезирование тазобедренного сустава от: как проводится операция
Это высокотехнологичное оперативное удаление родного нежизнеспособного сустава с последующей имплантацией искусственного ТБС (эндопротеза). Во всем мире ежегодно выполняют до 500 тыс. подобных вмешательств людям с патологиями тазобедренного сустава, отзывы о лечении достаточно хорошие. Процент развития серьезных послеоперационных осложнений ничтожно мал - 1-2 %, что внушает большие надежды на успех.
Видео разрушения ТБС:
Ревизионная хирургия назначается в связи необходимостью замены изношенного протеза по окончании срока эксплуатации или вышедшего из строя устройства по причине возникших осложнений (инфекции, травм и пр.).

Показания
Если консервативное лечение уже не в силах улучшить качество жизни, хирургия является единственным способом возобновления нормальной амплитуды движений и ликвидации боли. Основные показания следующие:
- деформирующий артроз, или коксартроз (одна из самых частых причин дегенеративно-дистрофической природы); и любого другого системного генеза дегенеративно-дистрофические патологии с дислокацией в ТБ отделе; (вторая по распространенности проблема, нуждающаяся зачастую в срочной установке эндопротеза);
- врожденная или приобретенная дисплазия (вывих) ТБС (преимущественно встречается первый тип аномалии); , то есть омертвение хряща вследствие локального нарушения кровообращения.

Один из видов перелома шейки бедра.
При переломах шейки перспективы на восстановление самые что ни на есть отличные, поскольку до травмы хромоты еще не было.

Пожилым людям такое лечение может существенно продлить жизнь за счет сохранения движения.
Еще недавно после переломов ТБС пациент был приковыван к постели, где он доживал максимум свой последний год. В травматологии, попросту не было еще способа установки искусственного сустава. Сегодня если своевременно поменять шейку сустава вместе с головкой бедра на долговечный имплантат, человек продолжает жить как и до травмы. Особенно актуальным такая хирургия является для пожилых людей, у которых срастание костей проблематично.

Поверхность головки ТБС на последней стадии артроза.
Процедура учитывает возрастное бессилие организма - агрессивным методам наркоза (общей анестезии) пожилого человека не подвергают, обезболивание может проводиться при помощи высокоэффективной и безопасной местной анестезии. После операции разрешается ранняя активизация пациента, при этом реабилитация проходит относительно легко и быстро.

Двухсторонний коксартроз, обратите внимание на симметричное отсутствие суставной щели обоих суставов.
Отметим, жидкое протезирование не лечит суставы. Если кто-то все еще надеется на чудодейственное исцеление необратимых изменений посредством внутрисуставных инъекций, раскроем секрет, он попросту теряет деньги и время. Хрящ уже не восстановится, если имеется коксартроз 3 степени, и уколы здесь делать бессмысленно.
Противопоказания
Их не много, что дает возможность довольно широко применять методику, дарить пациентам свободу и легкость движений, причем даже людям преклонных лет:
- сердечный порок с критическим сбоем ритма сердца;
- тяжелой формы дыхательная и сердечно-сосудистая недостаточность;
- хронические заболевания в декомпенсированной фазе;
- сложно поддающийся контролю сахарный диабет;
- местные инфекционные и воспалительные процессы;
- общие инфекционно-воспалительные патологии в обострении;
- серьезные психические нарушения;
- ярко выраженный остеопороз костных тканей; ; (условное противопоказание);
- непереносимость материалов эндопротеза и используемых медикаментов.
Лучшие клиники эндопротезирования тазобедренного сустава, например, в Чехии, Германии, Израиле, принимают людей, которым было отказано в лечении в медучреждениях на территории своего государства.
Виды операций
В зависимости от характера поражений ТБС подбирается хирургическая техника. Если необходима полная замена, будет применен тотальный эндопротез; если обновление поверхности головки, тогда берется поверхностного вида имплантат; и т.д.
Разные виды, от частичного, до онкологического.
Хирургический подход может быть:
Малоинвазивный способ
В таком медицинском направлении, существует две хирургические техники выполнения артропластики:
Оперировать технически намного проще, если операционная рана будет большой. Поэтому ортопеды-травматологи утверждают, что классическая процедура на крупных суставах, все же, в неоспоримом приоритете.
Во многих клиниках практикуют малоинвазивный подход, используя почти в 2 раза меньший разрез, чем при традиционном вмешательстве. Однако и передовые хирурги с достаточным опытом все больше сходятся во мнении, что лучше лишний раз не рисковать, а использовать проверенную, традиционно устоявшуюся тактику, стандарт протезирования - создавать аккуратный разрез с прямого бокового доступа, длиной приблизительно в 13 см.
Согласно минимально инвазивному приему разрез равен примерно 7 см. Наиболее часто применяемые доступы, обеспечивающие менее травматичный с точки зрения физиологии подход, задне- и переднебоковые. Достоинствами миниинвазивного вида являются сохранность отводящих мышц, компактность операционной раны, ускоренный темп реабилитационного восстановления. Клинические исследования показывают, что интраоперационные кровопотери при щадящем вмешательстве незначительные, болевой синдром в постоперационную фазу менее выражен по сравнению со стандартной процедурой.

Наглядное сравнение размеров разрезов при классической(справа) и малоинвазивной(слева) методике.
Госпитализация
Всю необходимую информацию относительно подготовительных предоперационных мероприятий предоставляет лечащий доктор. Также на этой стадии хирург определяется с выбором эндопротеза и планирует каждый шаг, а анестезиолог подбирает подходящий вид анестезии на основании показателей здоровья пациента.
В клинике поступившего больного тщательно обследуют различные специалисты:
- осмотр у основного специалиста (ортопеда-травматолога);
- рентген, МРТ, УЗИ т/б сустава, при необходимости эндоскопическое обследование проблемного отдела;
- консультация узкопрофильных врачей (терапевт, кардиолог, иммунолог, анестезиолог, стоматолог, гастроэнтеролог и пр.);
- общий и биохимический анализ крови;
- коагулограмма (определяет работу системы гемостаза, в частности механизм и время свертываемости крови);
- тест на группу и резус-фактор крови;
- клинический анализ мочи;
- флюорография;
- электрокардиограмма.
Анестезия
Теперь осветим главные моменты, касающиеся наркоза, который применяется при замене двух тазобедренных суставов. По правилам допускается использование общей (полной эндотрахеальной), спинальной, эпидуральной анестезии или комбинацию двух последних видов.
К первому методу обращаются в крайне редких случаях, почти 90% операций выполняется либо под спинальным, либо под эпидуральным обезболиванием, оба подхода относятся к местному (регионарному) типу наркоза и не сопровождаются отключением сознания.
- Если вам будет показана спинальная анальгезия, тогда в субарахноидальное пространство позвоночника будет внедрена ультратонкая игла, через которую анестезиолог в спинномозговую жидкость произведет введение оптимальной дозы раствора-анестетика, за счет чего произойдет блокада передачи нервных импульсов.

Сам укол практически безболезненный.
- Если эпидурально, тогда наркоз будет подаваться через тонкий катетер в перидуральное пространство позвоночного столба. Такой прием приводит к полной потери болевой чувствительности в активной зоне оперирования.

Частичный наркоз лучше как для врача, так и для пациента.
Ход операции
Хирург самостоятельно определяет, по какой технологии производить замену, какой применить доступ и какую модель импланта устанавливать, исходя из конкретной клинической ситуации. А сейчас проведем краткое описание этапов хирургии.
- После действия анестезии и широкой антисептической обработки кожных покровов, коагулятором или скальпелем выполняется разрез по межвертельной линии до открытия сустава.
- Далее выполняется под правильным углом и уровнем пересечение бедренной кости в зоне шейки. Разверткой врач создает канал в подвергнувшемся остеотомии трубчатом элементе.
- Затем в созданный выпор вставляют клиновидную ножку, которая идеально должна совпадать с его параметрами, поэтому обработка данной кости должна пройти на безупречном уровне. На конусообразную верхушку ножки насаживается шаровидное тело имплантата.
- Сзади или спереди, в зависимости от примененного доступа, бедро смещают в сторону и приступают к подготовке вертлужной впадины. Используя долото и фрезы, специалист всецело удаляет гиалиновый хрящ с ее днища. Имплантат (чашу) вставляют в очищенное ложе. В него помещают полиэтиленовый вкладыш.
- Осуществляется вправление компонента бедра в чашку. После в рану ставится дренаж, рассеченные ткани ушиваются, на конечность накладывается повязка.
Принцип хирургии при всех видах оперативных вмешательств, о которых мы упомянули ранее, почти одинаков.

Интересный случай, двухсторонняя замена ТБС, но по разным технологиям. Слева тотальное протезирование, справа поверхностное.
Одновременное двустороннее эндопротезирование ТБС, рекомендуется в исключительно редких ситуациях, операционная травма будет больше, а, следовательно, и риск осложнений возрастет.
Виды фиксации сустава
В ортопедии и травматологии разработаны 3 способа фиксации, это:
- цементный;
- бесцементный;
- комбинированный.
При цементном креплении ваш новый сустав «посадят» на медицинский цемент на основе акрилатов. Замешанный раствор застывает очень быстро, за 10 минут, образуя плотный монолит, отличающийся мегапрочностью. Цементный раствор вводят в канал трубчатого элемента и углубление повздошной кости, а затем на него осуществляют «посадку» структурных единиц, входящих в комплект эндопротеза. Этот прием как нельзя лучше подходит для пожилых людей и пациентов, у которых обнаружен остепороз. Фиксируемые поверхности у таких имплантов глянцевые.

Вертлужные компоненты импланта ТБС, розовая поверхность из керамики, белая из полиэтилена.
Бесцементная фиксация - это самый распространенный прием. Его принцип заключается в заколачивании деталей, у которых поверхность шероховатая, в подготовленные кости. Сразу, естественно, прочной связи с костями не свершится, имплантат должен хорошо обрасти соединительнотканными структурами, на что уйдет до 3 месяцев.

Комбинированное протезирование - это сочетание двух рассмотренных технологий единовременно в ходе одной операции. Подобной версии технология предназначена для тех, у кого обнаружена различная плотность кости бедра и таза. Когда какая-то из костей имеет хорошие показатели минеральной плотности, в то время как другая находится в неудовлетворительном состоянии.

Остеопороз как видите делает кость рыхлее.

Именно состояние кости определяет какой тип фиксации будет использован.
Виды эндопротезов
Эндопротезная продукция, представлена следующими производителями:

Керамика может треснуть, и если этому суждено случиться, то это в равной степени может произойти независимо от производителя импланта, потому что керамика всегда используется одной торговой марки.
Нельзя выделить из числа перечисленных брендов лучшего. Технологический подход, сборка, материалы, разнообразие типоразмеров, видовой ассортимент у всех одни и те же. Любой имплантат располагает самыми отменными техническими характеристиками. Поэтому отдавать свой приоритет какой-то определенной фирме попросту не имеет смысла. Высококачественные составляющие из диоксида циркония для всех моделей из керамики производит крупный концерн Ceramtech (США).

Линейка керамических компонентов.
Пара трения
Пара трения может быть разной: полностью металлической, керамической или в сочетании с полиэтиленом. Подбор узла трения определяется многими критериями: возрастом, весом, полом, физическим статусом, предполагаемым уровнем активности, заболеваниями в анамнезе и характером и тяжестью основной патологии. Больному может быть рекомендована любая из сочетающихся вариаций, фигурирующая в этом списке:
- металл-металл;
- металл-полиэтилен; ;
- керамика-полиэтилен.

Примеры полностью керамической пары трения.
В данном случае изображена комбинированная пара трения с полиэтиленом в качестве вертлужного компонента.
Объективно лучший вариант керамика-перекрестносвязанный полиэтилен. Это - современная комбинация, которая обеспечивает превосходную амортизацию и скольжение, отлично имитируя работу здорового сустава и гарантируя полную амплитуду движений.
Срок службы протеза
При корректно проведенной операции, грамотной реабилитации и строгом соблюдении правильного образа жизни, искусственный аналог тазобедренного сустава прослужит 20-30 лет. По возвращении домой необходимо не забывать об особенном режиме:
- чаще ходить, не допуская переутомления; сказал специалист, который наблюдает вас;
- продолжать заниматься лечебной гимнастикой, освоенной вами еще в медучреждении;
- следить за общим самочувствием и обращаться в больницу при любых недомоганиях, даже если они не связаны с протезированной ногой;
- следить за осанкой в момент сидения и в вертикальном положении;
- не перекрещивать ноги, кроме того, вы должны сидеть после эндопротезирования так, чтобы колени не находились на одном уровне с бедрами и, тем более, не превышали его;
- избегать интенсивных видов спорта, требующих совершения прыжков, поднятия тяжести, резких рывков телом и махов ногами.
Такое лечение позволяет жить активно без боли, но перегибать палку не стоит, потому что может произойти такой износ импланта как на фото.

У слишком активных пациентов со временем может истончиться полиэтиленовый вкладыш, как это изображено на данном снимке.
Эндопротезирование суставов
К протезированию прибегают тогда, когда поврежденные части тела не могут быть восстановлены другими способами. Имплантами замещают клапаны сердца, участки сосудов, части внутренних органов, связки, сухожилия, кости, суставы. Под термином «эндопротезирование» чаще всего подразумевают операцию по замене элементов опорно-двигательного аппарата, установление функциональных искусственных суставов пациентам с прогрессирующим разрушением хрящевой ткани. Операция позволяет избежать инвалидизации. Грамотно проведенное вмешательство и послеоперационное восстановление возвращает больных к полноценной активной жизни.

Показания к эндопротезированию
Замена сустава назначается, если у пациента присутствует стойкий болевой синдром с выраженным нарушением функции сустава. При клинических проявлениях артроза 3-4 степени, которые как правило, не купируются приемом лекарственных средств, внутрисуставными уколами и физиотерапевтическими методиками. Когда щадящие хирургические вмешательства не приводят к желаемому результату.
Ниже представлены основные патологии, при которых может требоваться эндопротезирование суставов:
- дегенеративно-дистрофические заболевания;
- системные патологии с вовлечением хрящевой ткани;
- постинфекционные осложнения в области суставов;
- посттравматический артроз;
- псориатический, энтеропатический или подагрический артрит;
- гемартроз при патологиях свертываемости крови;
- доброкачественные и злокачественные новообразования;
- асептический некроз фрагментов кости;
- врожденные аномалии опорно-двигательного аппарата.
Показания к эндопротезированию каждого отдельного сустава имеют и эпидемиологические особенности. Например, среди причин, которые чаще всего приводят к операции на тазобедренном суставе, выделяют диспластический коксартроз у женщин, асептический некроз головки бедра и посттравматический артроз - у мужчин.[1] Среди показаний к замене локтевого сустава лидируют последствия перенесенных травм данной области и ревматоидный артрит.[2]
При эндопротезировании возможна замена как костей, так и их фрагментов:
- головки лучевой кости;
- ключицы;
- надколенника;
- шейки бедра;
- большеберцовой кости.

Список противопоказаний
Состояния, при которых протезирование не приведет к желаемому результату или же связано с высоким риском жизнеугрожающих осложнений, относят к абсолютным противопоказаниям. Их можно разделить на следующие категории:
- острые инфекционные и неинфекционные заболевания;
- полиорганная недостаточность;
- хронические патологии в стадии декомпенсации;
- юный возраст ввиду незрелости скелета, выраженный остеопороз;
- невозможность самостоятельно передвигаться, не связанная с патологией костей и суставов;
- местные воспалительные процессы в области предполагаемого оперативного вмешательства;
- наличие несанированных очагов хронической инфекции;
- врожденный или приобретенный иммунодефицит, полиаллергия;
- парез или паралич конечности, на которой планируется оперативное вмешательство.
Иногда эндопротезирование не может быть проведено по техническим причинам.
Наличие относительных противопоказаний ухудшает прогноз операции, но разработка индивидуальной тактики хирургического лечения и восстановления с учетом данных особенностей минимизирует риски.
Виды протезов
Эндопротезы классифицируются в зависимости от ряда отличительных признаков:
- По количеству компонентов:
- однокомпонентные;
- двухкомпонентные;
- трехкомпонентные.
- В зависимости от принципа конструкции:
- однополюсные;
- двухполюсные.
- По способу фиксации:
- бесцементная;
- цементная;
- гибридная.
- Импланты суставов изготавливают из следующих материалов:
- металлов и их сплавов;
- полиэтилена;
- керамики;
- углерода;
- оксиниума.

Для крепления протеза к кости цементым способом используют полиметилметакрилат (костный цемент). Отдельные импланты могут иметь специфическую классификацию. Так, эндопротезы коленного сустава бывают одномыщелковыми и используются при возможности замены лишь поврежденной части хрящевой ткани.

Если проводится полная замена сустава, врач, основываясь на состоянии связочного аппарата колена, выбирает между следующими видами протезов:
- связанный;
- полусвязанный;
- несвязанный.
Последний вариант наиболее физиологичен. Он предполагает сохранение задней крестообразной связки, и сохранение стабильности за счет собственных мышц и связочного аппарата пациента.
Подготовка к операции
Грамотное предоперационное планирование снижает риск осложнений и улучшает результаты эндопротезирования.[3]
Ниже приведены основные рекомендации по подготовке к операции по замене сустава:
- при наличии хронических заболеваний пациенту следует посетить профильных специалистов;
- рекомендуется соблюдение правил здорового образа жизни с целью укрепления иммунной системы и снижения массы тела;
- необходима тщательная санация очагов хронической инфекции;
- прохождение предоперационной физической реабилитации улучшает кровообращение, укрепляет мышцы и связки;
- в рамках специальной подготовки следует ознакомиться с принципами послеоперационной реабилитации, в том числе овладеть техникой использования костылей, ходунков, трости;
- возможно прохождение курсов физиотерапии и массажа.
Начинать подготовку рекомендуется за несколько месяцев до вмешательства.
За неделю до операции следует отказаться от употребления алкоголя. За 4 дня - от приема медикаментов, разжижающих кровь. Важно избегать потенциальных источников инфекции. Если накануне пациент почувствует недомогание, операцию придется отложить на 2-4 недели. Даже неосложненная вирусная инфекция может привести к неудаче эндопротезирования.
Важный момент в планировании - подготовка домашней обстановки. Кресла, диван, унитаз, кровать, стулья должны быть достаточной высоты. В ванной и уборной рекомендуется установить дополнительные поручни. У больного должна быть удобная обувь с нескользкой подошвой. Вещи повседневного использования важно расположить в легкодоступных местах - резкие движения с вовлечением оперированного сустава вызывают дискомфорт, первое время после операции могут быть опасны потягивания, приседания.
Основные этапы вмешательства
Для получения доступа к суставу хирургу необходимо повредить ряд тканных образований, поэтому операция оказывается довольно травматичной. Ранее в перечне высокотехнологичных видов медицинской помощи она была отнесена к VI категории сложности, при этом самая высокая категория в данной классификации - седьмая.[4] Благодаря изобретению новых малоинвазивных методик, повреждение мышц, сосудистых сетей, связок сведено к минимуму.
Основные этапы эндопротезирования представлены ниже:
- После того как начинает действовать анестезия производится тщательная антисептическая обработка области вмешательства.
- Хирург разрезает мягкие ткани, получая непосредственный доступ к суставу.
- Разъединяются суставные концы костей.
- Костные поверхности опиливаются - им придается необходимая форма для идеального сопоставления кости с протезом.
- Производится установка компонентов импланта и их прочная фиксация.
- Финальный этап операции - ушивание мягких тканей.

Техника вмешательства определяется в зависимости от оперируемого сустава, плотности костей, общего состояния больного.
Период реабилитации после эндопротезирования
В Международной классификации функционирования (МКФ, 2003) [5] указаны следующие цели реабилитации после эндопротезирования:
- восстановление функции оперированного сустава;
- получение возможности полноценного самообслуживания;
- возвращение к профессиональной и социальной активности.
Восстановление должно начинаться в первые 12-24 часа после вмешательства. Ранние реабилитационные мероприятия направлены на профилактику осложнений и способствуют скорейшему заживлению послеоперационной раны. В позднем периоде усилия реабилитолога и пациента направлены на максимальное восстановление двигательной активности. Как правило, для достижения нужных результатов требуется около 3-6 месяцев активного восстановительного лечения.
Особенности эндопротезирования отдельных суставов
Протезы изготавливаются с учетом уникальной анатомии и биомеханики конкретного сустава. В таблице представлены некоторые особенности эндопротезирования различных областей.
Замена крупных суставов: особенности протезов и сроки реабилитации
Контроль реабилитации (осмотр лечащего врача)

Отдельно следует упомянуть о ситуации, когда появляется необходимость изготовления индивидуальных протезов. Она, как правило, связана с выраженными дефектами костей - это могут быть врожденные или посттравматические изменения, последствия онкологических процессов и ревизионные операции по поводу перипротезного инфицирования.[6] При создании таких компонентов импланта используются технологии 3D-моделирования.[7]
Где проводят эндопротезирование суставов?
В развитых странах эндопротезирование крупных суставов поставлено на поток. Современный подход предлагает думать о хирургическом вмешательстве уже при артрозе 2 степени.[8] В России замена тазобедренного и коленного сустава проводится в большинстве крупных городов. Эндопротезирование других областей также доступно, но только в специализированных медицинских центрах.
Цена на эндопротезирование в Москве
Затраты на эндопротез и цена операции по замене разных суставов сильно разнится. Так, в институте травматологии и ортопедии имени Н.Н. Приорова протезирование сустава пальца будет стоить 77 940 р., в свою очередь, замена крупного сустава обойдется в 105 180 р. Цена указана без учета стоимости самого эндопротеза.

Протезирование суставов за рубежом
Несмотря на то, что в России направление эндопротезирования уже получило достаточное развитие, некоторые категории пациентов решают менять сустав за границей. Такое явление получило название «медицинский туризм». Выбор в пользу зарубежных клиник актуален, когда речь идет о повторных операциях, связанных с нефункциональностью установленного ранее импланта. Также в городах с развитым медицинским туризмом налажена система реабилитации, которая является неотъемлемой частью оперативного лечения.
Ниже представлен список стран, в которых оказывают высокоуровневые услуги по эндопротезированию суставов:
- Германия;
- Израиль;
- Чехия;
- Италия;
- Венгрия;
- Финляндия;
- Южная Корея.
Информация о том, сколько стоит эндопротезирование одного и того же сустава в разных зарубежных клиниках может сильно разниться. Традиционно самое дорогое медицинское обслуживание в Германии и Израиле. Протезирование в Чехии, Италии и Южной Корее - более бюджетный вариант но сопоставимо по результатам. Следует понимать, что при замене суставов цена не всегда является определяющим фактором. Выбор медицинского учреждения для проведения эндопротезирования должен осуществляться на основании индивидуального анализа клинической ситуации каждого конкретного пациента.
Замена суставов в Москве по квоте
В список выскотехнологичной помощи населению Москвы, осуществляемой за счет бюджетных средств, входит эндопротезирование всех крупных суставов. Но для того, чтобы претендовать на получение квоты, клиническая картина болезни пациента должна точно соответствовать перечню показаний, указанных в соответствующем юридическом документе. Решение о том, что больному может быть оказана высокотехнологичная помощь за счет средств ОМС на первом этапе принимается лечащим врачом, но окончательное слово остается за Врачебной комиссией органа управления здравоохранением.
[1] Кирпичев И.В. СТУКТУРА КОКСАРТРОЗА В РАЗЛИЧНЫХ ВОЗРАСТНЫХ ГРУППАХ У БОЛЬНЫХ, НУЖДАЮЩИХСЯ В ПЕРВИЧНОМ ЭНДОПРОТЕЗИРОВАНИИ ТАЗОБЕДРЕННОГО СУСТАВА // Современные проблемы науки и образования. - 2015. - № 3.;
[2] Алиев А.Г., Коваленко А.Н., Амбросенков А.В., Миронов А.Р., Османов А.М., Устазов К.А., Асламханов С.Р. Показания и результаты первичного и ревизионного эндопротезирования локтевого сустава (обзор литературы) // Гений Ортопедии. - 2019. - № 4.
[3] Чирков Н.Н., Николаев Н.С., Каминский А.В. Способы профилактики неудовлетворительных результатов и осложнений при эндопротезировании плечевого сустава // Гений Ортопедии. - 2019. - № 3. - с. 14-20.
[4] Приложение 2 к Перечню высокотехнологичных видов медицинской, подлежащих финансированию из Республиканского бюджета Российской Федерации в 1998 году
[5] Буйлова Т.В., Цыкунов М.Б., Карева О.В., Кочетова Н.В. ФЕДЕРАЛЬНЫЕ КЛИНИЧЕСКИЕ РЕКОМЕНДАЦИИ. РЕАБИЛИТАЦИЯ ПРИ ЭНДОПРОТЕЗИРОВАНИИ ТАЗОБЕДРЕННОГО СУСТАВА В СПЕЦИАЛИЗИРОВАННОМ ОТДЕЛЕНИИ СТАЦИОНАРА // Вестник восстановительной медицины. - 2016. - № 5.
[6] Горбатов Р.О., Клеменова И.А., Новиков А.В., Зиновьев С.В., Казаков А.А. РЕВИЗИОННОЕ ЭНДОПРОТЕЗИРОВАНИЕ КРУПНЫХ СУСТАВОВ С ИСПОЛЬЗОВАНИЕМ ИНДИВИДУАЛЬНЫХ ГИБРИДНЫХ ЭНДОПРОТЕЗОВ // Современные проблемы науки и образования. - 2019. - № 4.
[7] Николаев Н.С., Малюченко Л.И., Преображенская Е.В., Карпухин А.С., Яковлев В.В., Максимов А.Л. Применение индивидуальных вертлужных компонентов в эндопротезировании тазобедренного сустава при посттравматическом коксартрозе // Гений Ортопедии. - 2019. - № 2. - с. 207-213.
[8] Павлов Д.В. ОПЫТ ЭНДОПРОТЕЗИРОВАНИЯ ГОЛЕНОСТОПНОГО СУСТАВА ПРИ ПОСТТРАВМАТИЧЕСКИХ АРТРОЗАХ // Современные проблемы науки и образования. - 2013. - № 3.
Эндопротезирование голеностопного сустава
Эндопротезирование голеностопного сустава: показания, подготовка, прогноз
Травма, генетические дефекты и системные патологии - основные факторы развития артроза голеностопа. Если раньше прогрессирование этого заболевания неуклонно вело к инвалидизации, то теперь ортопедическая хирургия предлагает альтернативу - эндопротезирование голеностопного сустава. Замещение нефункциональных суставных поверхностей имплантатами высокого качества позволяет пациенту на годы сохранить активность и избавиться от мучительных болей.

Голеностоп во время ходьбы выдерживает нагрузку, в несколько раз превышающую основной вес тела человека. У легкоатлетов сила, действующая на сустав, может достигать величины в 60 раз больше собственного веса спортсмена. Анатомия и кинематика столь мощной системы весьма сложна - именно поэтому протезирование голеностопного сустава получило активное развитие лишь после создания третьего поколения имплантов, способных срастаться с натуральной костной тканью.
Кому показано протезирование голеностопного сустава
- артроза, развившегося после травмы;
- деформирующего артроза;
- артрита различной этиологии (ревматоидного, подагрического, псориатического и т. д.);
- врожденных аномалий.

Эндопротезирование голеностопа показано при наличии контрактуры или анкилоза. Проведение операции может быть рассмотрено при наличии асептического некроза таранной кости - с предварительным восстановлением ее кровоснабжения, артродезом таранно-пяточного сустава или заменой кости индивидуально изготовленным протезом.
Противопоказания к протезированию голеностопа
- воспалительный процесс в суставе давностью менее 3 месяцев;
- дефекты костей стопы, препятствующие правильному установлению протеза;
- тяжелый остеопороз костей голени;
- развитие псевдоартроза после проведения артродезирования;
- грубые дефекты мягких тканей в области сустава;
- вальгусная и варусная деформация с отклонением от оси более чем на 10°;
- серьезные повреждения связочного аппарата;
- юный возраст - ввиду того, что скелет еще не сформирован.
Последствия отказа от операции сустава
Больные, которым показано проведение протезирования голеностопного сустава, находятся в постоянном стрессе от болевых ощущений, хромоты, необходимости использования трости или костылей. Иногда в страхе перед скальпелем, спинальной анестезией, наркозом больные не дают согласие на оперативное вмешательство при наличии объективных показаний. Оттягивая решение о замене еще частично функционального суставного механизма на имплант, пациент может упустить время. Деформация и разрушение костей приведет к тому, что единственным вариантом сохранить опорную функцию ноги будет запирание сустава - проведение артродеза.

Подготовка к хирургическому вмешательству
Главные цели подготовки к операции - это укрепление иммунитета, т.е. санация всех очагов инфекции, и уменьшение потенциальной нагрузки на установленный протез. Действенные рекомендации для достижения поставленных задач заключаются в следующем:
- борьба с лишним весом;
- обучение правильному обращению с костылями - для комфортного прохождения раннего реабилитационного периода;
- включение в рацион достаточного количества витаминов и микроэлементов для поддержания защитных сил организма - в ряде случаев возможен прием иммуностимуляторов;
- достижение стойкой ремиссии хронических заболеваний;
- исследование основных параметров крови и коррекция основных показателей при наличии отклонений от нормы, особенно важно пополнить депо организма железом на случай чрезмерной кровопотери во время хирургического вмешательства.
Перед операцией пациент проходит спектр обследований для подбора эндопротеза нужного вида и размера, выявления возможных аллергических реакций на анестетики, оценки состояния сердечно-сосудистой системы, легких, свертывающей системы крови. С целью стабилизации эмоционального состояния может быть назначена психотерапия, для подготовки мышц и связок - индивидуально подобранный комплекс физических упражнений. Непосредственно перед эндопротезированием назначается специальная диета, за 12 часов до операции - сухое голодание.
Выбор импланта: характеристики, виды, производители
Сегодня в клинической практике может быть использован протез голеностопа второго и третьего поколения, цена последнего несколько выше - но достоверно лучшие результаты оправдывают стоимость. Усовершенствованную модель STAR (Waldemar Link) [1] , новую разработку Infinity (Wright) [2] , а также системы Cadence (Integra, USA) и Vantage Total Ankle (Exactech, USA) [3] в свежих научных исследованиях преподносят в качестве имплантов четвертого поколения. При этом ученые продолжают разрабатывать все более совершенные материалы и варианты конструкций. Согласно утверждению профессора M.J. Penner, посвятившего более 15 лет проблемам хирургии голеностопного сустава, он достиг той точки своей практики, когда для пациентов, соответствующих возрасту и показаниям, протезирование голеностопного сустава теперь новый «золотой стандарт». [4]
Как устроен эндопротез голеностопного сустава
Современный эндопротез голеностопного сустава обладает следующими характеристиками:
- Включает три компонента: два из них крепятся к большеберцовой и таранной кости, третий - это вкладыш из полиэтилена для улучшения амортизации, располагающийся между фиксированными частями.
- Все три компонента не связаны между собой, они удерживаются за счет крепления к костям и связочного аппарат.
- Фиксируется бесцементным (естественным) способом - протез частично вколачивается в костный канал. Спустя время кость начинает прорастать в микроотверстия импланта, тем самым образуя с ним единую структуру.

Эти свойства удлиняют срок службы и позволяют совершать суставом все основные движения, хоть и с ограничениями, описанными ниже.
Надежные бренды и лидеры рынка
- Agility, Mobility (DePuy Synthes, США);
- Inbone, Infinity (Wright Medical Group Inc., США);
- STAR (Waldemar Link, Германия);
- Hintegra (New Deal SA, Франция);
- Salto (Tornier S.A.S, Франция).
Инновационные подходы
H.Kofoed, участвовавший в создании немецкой модели импланта S.T.A.R., указал, что устранение недостатков несовершенных протезов возможно при достаточном внимании к анатомии, особенностям биомеханики и принципам стабильности голеностопа. [5] К имплантам нового поколения относят трехкомпонентные мобильные протезы с прочной фиксацией, состоящие из надежных сплавов с напылением и сверхвысокомолекулярного полиэтилена. Они должны быть представлены в разных размерах, чтобы соответствовать особенностям анатомии каждого пациента. Начато внедрение технологии 3D-печати для изготовления идеально подходящих протезов в индивидуальном порядке.Реабилитация после эндопротезирование голеностопа
Увеличение возможностей движения и ослабление болевого синдрома пациенты отмечают уже в первые 3 месяца после проведения операции. После недельного постельного режима, больной начинает расхаживаться на костылях, а через месяц - заниматься по специальной подобранной реабилитационной программе с применением массажа и физиотерапевтических методик. При грамотном проведении восстановительного периода ожидается полное исчезновение болей и увеличение возможностей в физической активности. Следует понимать, что протез не сможет выполнять весь объем движений здорового сустава. Несмотря на то, что теоретически возможно в первые годы после операции заниматься активным спортом, это категорически не рекомендуется. Чем меньше нагрузки будет получаться имплант, тем дольше окажется срок его службы.
Когда возникают осложнения
Выраженная деформация суставных поверхностей костей, активные физические нагрузки и молодой возраст пациента повышают риск развития осложнений. Прогнозы на ближайшие несколько лет после качественно проведенной операции при использовании современных протезов довольно благоприятные даже при наличии факторов риска. При неблагоприятном течении часто развивается нестабильность и последующая протрузия компонентов эндопротеза.
Эндопротезирование голеностопа в Москве и России
В России существуют возможности установить протез голеностопного сустава, цена операции при этом зависит от стоимости используемой модели, сложности клинического случая и места проведения вмешательства. В Москве подобные операции делают в следующих крупных центрах и клиниках:
- ЦКБ Российской академии наук;
- НМХЦ им. Н.И. Пирогова;
- Клинический госпиталь на Яузе;
- Городская клиническая больница им. С.С.Юдина.
Операцию также проводят в СПб, Новосибирске, Ставрополе, Кургане, Ярославле, Барнауле, Смоленске. С каждым годом все больше медицинских центров вводят в клиническую практику этот метод помощи пациентам.
Особенности получения квоты
Протезирование голеностопного сустава доступно как в качестве платной услуги, так и в рамках квоты - цена в России на эту операцию в среднем составляет 350-500 тыс. руб., включая стоимость импланта. Устанавливать протезы голеностопа можно в рамках оказания высокотехнологичной медицинской помощи за счет средств федерального бюджета. Для этого должны быть сформулированы точные показания и собран надлежащий пакет документов для оформления специализированного талона. О том все ли аспекты, которые требует эндопротезирование голеностопного сустава, покроет государство, или цена за ряд манипуляций останется в зоне ответственности пациента, можно будет посмотреть в статье эндопротезирование голеностопного сустава по квоте в России.
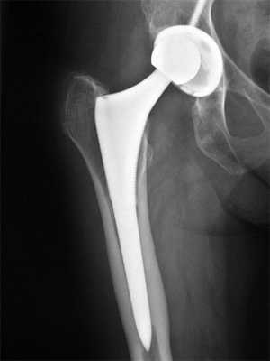
Тотальное эндопротезирование тазобедренного сустава
Патологии крупных суставов, связанные с выраженным повреждением хрящевой ткани, успешно поддаются коррекции с помощью высокотехнологичного хирургического вмешательства. Согласно отечественному регистру, на тотальное эндопротезирование в структуре операций по первичной замене тазобедренного сустава приходится 99,8% [1].

Показания к операции
Полная (тотальная) замена тазобедренного сустава чаще всего проводится по поводу идиопатического остеоартроза. Показаниями к операции также могут служить другие патологии:
- перелом шейки бедренной кости;
- образование ложных суставов;
- коксартроз вследствие дисплазии;
- асептический некроз головки бедренной кости;
- аутоиммунные заболевания;
- артропатии различной этиологии;
- переломы вертлужной впадины и проксимального конца бедренной кости;
- посттравматические артрозы;
- опухоли, нарушающие работу сустава.
Операция проводится в ситуации, когда консервативные методы лечения, органосохраняющие операции и более простые методики эндопротезирования (частичное, поверхностное, ресурфейсинг) оказываются неэффективны. Полная замена тазобедренного сустава показана при наличии стойкого болевого синдрома, выраженного нарушения функции сустава и трудностей в самообслуживании.
Протез должен максимально точно повторять анатомию и биомеханику сустава. Импланты могут быть изготовлены из следующих материалов:
- металлических сплавов;
- полиэтилена;
- керамики;
- инновационных составов - таких как Oxinium.

Эндопротезы могут крепиться с использованием костного цемента и бесцементным способом с помощью «плотной посадки» (press-fit). В последнем случае используется способность костной ткани врастать в микротекстурированную (пористую) поверхность. Для усиления подобного эффекта может наноситься покрытие из гидроксиапатита.
Протез для тотального эндопротезирования как правого, так и левого тазобедренного сустава является двухполюсным и состоит из следующих компонентов:
- чашка - устанавливается в предварительно обработанную вертлужную впадину;
- полиэтиленовый вкладыш - располагается между чашкой и головкой, необходим для обеспечения амортизации;
- головка - крепится на верхнем конусе ножки;
- ножка - имплантируется в костномозговой канал бедренной кости, который предварительно обрабатываются специальными фрезами (сверлами) и рашпилями.
В зависимости от материала и способа крепления составные части эндопротеза могут различаться по внешнему виду и текстуре. Компоненты, предназначенные для цементной фиксации, как правило, отполированы до зеркального блеска, а материал, устанавливающийся бесцементным способом, имеет пористое покрытие. Также существуют гибридные протезы, где бедренный компонент фиксируется по методу press-fit, а вертлужный - с помощью цемента.
Лучшее обезболивание при замене тазобедренного сустава - спинальная анестезия. Она обеспечивает надежную анальгезию во время вмешательства и после него - в области позвоночника у пациента остается игла, через которую по определенному графику поступает доза обезболивающего. Подобный метод позволяет избежать использования наркотических анальгетиков. Возможно применение и других методов анестезии, в том числе наркоза.
Для тотального эндопротезирования правого и левого тазобедренного сустава часто используется прямой передний доступ. Согласно данным ряда исследований, он увеличивает скорость восстановления функции сустава, уменьшает объем кровопотери во время операции и риск последующих осложнений[2]. В клинической практике также активно применяются боковые доступы и их модификации. Длина разреза при традиционном протезировании может достигать 20 см. Классический подход в той или иной мере предполагает повреждение сосудистых сетей и мышечных волокон.

- переднебоковой;
- заднебоковой из одного разреза;
- минимально инвазивный доступ из двух разрезов.
Чаще всего используется заднебоковой вариант. Малоинвазивный способ позволяет ускорить и облегчить реабилитационный период, сокращает кровопотерю и общее время проведения операции. Но в долгосрочной перспективе при одинаковых исходных данных результаты после проведения вмешательства с помощью классического и миниинвазивного способа в целом сопоставимы.
Возможные осложнения после эндопротезирования
После заметны тазобедренного сустава осложнения различного характера наблюдаются в 4,3% случаев. Минимизированить риски позволяет обеспечение стабильности протеза, соблюдение правил асептики и антисептики, а также раннее прогнозирование и предупреждение общих послеоперационных осложнений. К последним относятся следующие состояния:
- тромбоз глубоких вен ног;
- тромбофлебит поверхностных вен ног;
- пролежни;
- эмболия - сопровождается высоким риском летального исхода;
- пневмонии, бронхиты, плевриты.
К местным осложнениям со стороны послеоперационной раны относят:
- нагноение;
- образование воспалительного инфильтрата, гематомы;
- кровотечение;
- расхождение краев раны (несостоятельность швов).
При вмешательстве по поводу замены тазобедренного сустава часто развиваются гнойно-воспалительные (1,5-6,0 % случаев) и тромбоэмболические осложнения (9,3 — 20,7 %)[3]. Могут также наблюдаться асептическая нестабильность компонентов импланта, вывихи головки эндопротеза, перипротезные переломы и послеоперационные невриты.
Если тотальное протезирование тазобедренного сустава проводится после предшествующих операций в данной области, риск осложнений повышается в разы. Вероятность их развития также возрастает с увеличением возраста пациента, при наличии ожирения[4], сопутствующих тяжелых заболеваний.
Этапы реабилитации после операции
Реабилитация - это необходимое продолжение лечения после хирургического вмешательства. В среднем восстановление длится 3 месяца и состоит из нескольких последовательных этапов.
Ранний послеоперационный период
Сразу после операции конечность с эндопротезом укладывается в отведенном положении. Для обеспечения умеренного разведения между ног пациента помещается специальная подушка, которая в дальнейшем будет препятствовать вывиху импланта при поворотах в постели. Уже в первые сутки после успешно проведенной операции больной должен выполнять несложные упражнения, получая практические рекомендации и информационную поддержку от врача-реабилитолога. Первым делом вводится комплекс дыхательной гимнастики. Здесь важно разрабатывать мышцы, задействованные и в грудном, и в брюшном дыхании - также практиковать их сочетанное участие в акте дыхания. Первые две недели спать следует исключительно на спине, на четвертые сутки разрешается ненадолго поворачиваться на неоперированный бок.
Ранняя активизация здоровой конечности играет важную роль в профилактике послеоперационных осложнений. Для оперированной ноги в первые сутки будет достаточным выполнение изометрических сокращений четырехглавой мышцы бедра.
В этот период также важно грамотное соблюдение гигиенических норм, проведение мероприятий по профилактике пролежней. Дренаж из раны удаляется, как правило, уже на вторые сутки. Пациента обучают правильно ухаживать за послеоперационным швом. В это же время он начинает садиться, при этом подколенная ямка должна располагаться на краю кровати. Вставая, следует опираться на неоперированную ногу. Все поверхности, на которые пациент садится, должны быть выше коленного сустава.
Существуют специальные вспомогательные аппараты для разработки суставов с помощью пассивного воздействия. Для эндопротеза тазобедренного сустава используют тренажер Artromot K3,K4.
Как работает тренажер для разработки сустава
Вставая на костыли на вторые-третьи сутки, в последующие дни больной начинает передвигаться с их помощью по палате и отделению. Нагрузка на эндопротез должна нарастать постепенно - в первое время она не должна превышать 25% массы пациента. Для облегчения послеоперационного период разработаны специальные медицинские приспособления, например для надевания носков.

После выписки
Лучшим вариантом после выписки из хирургического стационара будет перевод пациента в реабилитационное отделение для прохождения полноценного непрерывного восстановления. Но, к сожалению, такой вариант возможен не всегда. Часто больные продолжают лечиться в амбулаторных условиях, а посещение специализированных санаториев происходит далеко не сразу после выписки.
Для разработки оперированной конечности выполняют маховые движения, сгибания и разгибания в суставе с преодолением сопротивления резиновой ленты. Возможно назначение физиотерапевтических процедур, хороший результат показывает проведение:
- миостимуляции мышц бедра;
- водолечение;
- лимфодренажный массаж.
Больному нельзя садиться нога на ногу, поднимать колено выше тазобедренного сустава - угол сгибания не должен быть менее 90°. Следует избегать тепловых процедур - бани, сауны, горячего душа.
Через полтора месяца пациенту рекомендуются упражнения в воде и лечебное плаванье. В это время он переходит с костылей на трость, которую необходимо держать в руке с противоположной стороны от оперированной конечности, чтобы опираться на нее при шаге.
Как получить квоту на операцию по замене тазобедренного сустава
Процедура получения квоты на тотальное эндопротезирование тазобедренного сустава с каждым годом несколько видоизменяется. Это может касаться нюансов кодирования диагноза, показаний, оптимизации непосредственного одобрения заявки, расчета выделяемого бюджета. Однако общая концепция остается неизменной. Государство оплачивает расходы на пребывание в клинике, операцию и стоимость стандартных эндопротезов. Возможен вариант, когда пациент выбирает другой более дорогостоящий имплант и покрывает его стоимость из собственных средств. На данный момент существует возможность оформить квоту онлайн, а также заменить тазобедренный сустав за счет полиса ОМС.
[1] Шубняков И.И., Тихилов Р.М., Николаев Н.С., Григоричева Л.Г., Овсянкин А.В. Эпидемиология первичного эндопротезирования тазобедренного сустава на основании данных регистра артропластики РНИИТО им. Р.Р. Вредена//Клинические исследования. - 2017. - № 2. - с. 81-101.
[2] Герасименко М.А. Прямой передний доступ в тотальном эндопротезировании тазобедренного сустава//Медицинский журнал. - 2018. - № 2. - с. 4-6.
[3] Слободской А.Б., Осинцев Е.Ю., Лежнев А.Г. Осложнения эндопротезирования тазобедренного сустава//Вестник травматологии и ортопедии. - 2011. - №3.
[4] Ардашев С.А., Ахтямов И.Ф., Гильмутдинов И.Ш., Аль-лами М.А.Д. Тотальное эндопротезирование тазобедренного сустава у пациентов сповышенным индексом массы тела и ожирением//Вестник травматологии и ортопедии им. Н.Н. Приорова. - 2018. - №2.
Автор: доктор Матиенко Инна Васильевна,
Кандидат Медицинских Наук
Читайте также:
