Показания и противопоказания к катетеризации сердца. Подготовка к катетеризации полостей сердца
Добавил пользователь Евгений Кузнецов Обновлено: 22.01.2026
Катетеризация сердца (греч. katheter зонд) — введение в полости сердца через периферические вены и артерии специальных катетеров с диагностической и лечебной целью. Некоторые авторы Катетеризации сердца именуют зондированием сердца, что является необоснованным.
Впервые Катетеризация сердца у человека была выполнена в 1929 г. В. Форссманном. Широкому внедрению Катетеризации сердца в клиническую практику способствовали работы А. Курнана, а в нашей стране — E. Н. Мешалкина, H. Н. Малиновского, В. С. Савельева и др.
Содержание
Показания
Катетеризацию сердца применяют для диагностики сложных пороков сердца, уточнения показаний и противопоказаний к хирургическому лечению ряда заболеваний сердца, сосудов и легких, для выявления и оценки миокардиальной, коронарной и легочной недостаточности.
Противопоказания
Противопоказания: инфекционные заболевания, выраженная сердечная, легочная, печеночная и почечная недостаточность. Противопоказанием для введения через катетер в кровеносное русло контрастных веществ (см. Ангиокардиография) служит повышенная чувствительность больного к йодистым препаратам.
Какой-либо специальной подготовки к проведению К. с. не требуется. Обычно исследование проводят утром натощак. Больным предварительно вводят 1—2 мл 1% р-ра промедола с атропином (0,5 мл 0,1% р-ра). Детям дозировку соответственно уменьшают. Область обнажения или пункции периферического сосуда инфильтрируют 1/2—1/4 % р-ром новокаина. Впечатлительным больным и детям до 6 лет проводят общее обезболивание.
К. с. проводят в рентгенооперационной со специальным оснащением (см. Операционная). К. с. выполняют специально подготовленные врачи.
Методика
Методика Катетеризации сердца характеризуется большим разнообразием приемов и зависит от целей и объема исследований. Различают артериальную и венозную К. с.
Артериальную К. с. выполняют при исследовании аорты, ее ветвей и левых отделов сердца. Для ее осуществления используют набор Сельдингера, состоящий из троакара, эластичных проводников и полиэтиленовых трубок. Вместо этих трубок часто применяют рентгеноконтрастные катетеры Леманна и Эдмана (красные, зеленые, желтые, в зависимости от диаметра). Эти катетеры вводят в левые отделы сердца ретроградно через аорту путем чрескожной пункции правой бедренной артерии. Иногда их проводят через правую плечевую артерию.

Рентгенограмма сердца с введенными в его полости катетерами (одновременная катетеризация правых и левых отделов сердца): 1 — катетер через бедренную и нижнюю полую вены проведен в правый желудочек; 2 — катетер через бедренную артерию и аорту проведен в левый желудочек; 3 — фонографический датчик (прикреплен снаружи к грудной стенке).
Венозную К. с. выполняют при исследовании правых отделов сердца и легочного ствола. Ее осуществляют с помощью инструментов для веносекции или специальным троакаром с набором канюль. Катетеры проводят через основную вену плеча, правую бедренную вену, а иногда используют подключичные вены. В некоторых случаях катетеризируют одновременно левые и правые отделы сердца (рис.).
Одной из разновидностей методики К. с. является транссептальная пункция, при к-рой в левое предсердие вводят катетер из правого предсердия после предварительной пункции межпредсердной перегородки специальной иглой Росса.
Осложнения
Осложнения: возможны фибрилляция желудочков сердца с переходом в асистолию, нарушения ритма сердца (экстрасистолы, блокада, пароксизмальная тахикардия), спазм артерий и вен, образование петель и узлов на катетере.
После К. с. больные нуждаются в течение первых суток в постельном режиме.
Катетеризация сердца позволяет изучить строение и функцию всех отделов сердечнососудистой системы и служит основой для проведения целого ряда исследований центральной гемодинамики и легочного кровообращения.
С помощью катетера можно определить точное расположение и размеры отдельных полостей сердца и крупных сосудов, выявить дефекты в перегородках сердца и межсосудистые соустья (открытый артериальный проток, аортолегочные свищи и др.), а также обнаружить аномальное впадение и отхождение магистральных сосудов (легочных вен, аорты и легочного ствола). Через катетер можно регистрировать кривые давления и объемного кровотока, ЭКГ и ФКГ, а также получать пробы крови для изучения газового состава и других ее показателей во всех полостях сердца и магистральных сосудах. По катетеру удается вводить прицельно в любые отделы кровеносного русла контрастные вещества и индикаторы (красители, изотопы и другие) для определения минутного объема сердца, вычисления величины внутрисердечных сбросов крови.
В лечебных целях К. с. используют для введения лекарственных средств при сердечной недостаточности, тромболитиков — при тромбозе легочной или коронарных артерий, химио-препаратов — при злокачественных новообразованиях легких. Кроме того, используя специальные катетеры, можно добиться окклюзии открытого артериального протока, расширить дефекты межпредсердной перегородки при атрезии правого венозного устья и устранить клапанные стенозы. Возможно, что по мере совершенствования бескровных методов исследования (ультразвук, голография и др.) К. с. в целях диагностики будет применяться реже, а с лечебной целью, наоборот, чаще.
Библиография: Алексеев Г. И. Внутрисердечные исследования в кардиохирургии раннего детского возраста, М., 1973, библиогр.; Волынский Ю. Д. Изменения внутрисердечной гемодинамики при заболеваниях сердца, Л., 1969, библиогр.; Зарецкий В. В. и Hовоселец С. А. Метод катетеризации правых отделов сердца, Грудн. хир., № 2, с. 110, 1971; Малиновский H. Н. Опыт применения ангиокардиографии и зондирования в диагностике врожденных пороков сердца, М., 1959; Металкин E. Н. Зондирование и контрастное исследование сердца и магистральных сосудов, М., 1954, библиогр.; Петросян Ю. С. Катетеризация сердца^ при ревматических пороках, М., 1969, библиогр.;
Руководство по ангиографии, под ред. И. X. Рабкина, М., 1977; Углов Ф. Г., Некласов Ю. Ф. и Герасин В. А. Катетеризация сердца и селективная ангиокардиография, Л., 1974, библиогр.; Cournand А. Cardiac catheterization, Uppsala, 1975; Cournand A. a. Ranges H. A. Catheterization of the right auricle in man, Proc. Soc. exp. Biol. (N.Y.), v. 46, p. 462, 1941; De Vilieneuve V. H., SchwandtO. R. a. Stevens P. F. The Philips automated heart catheterization system (ACS), Med. mundi, v. 21, p. 71, 1976, bibliogr.; Forssmann W. Die Sondierung des rechten Herzens, Klin. Wschr., S. 2085, 1929, Bibliogr.; Mendel D. A practice of cardiac catheterization, Oxford, 1974; Nygftrds M. E. a. o. On-line computer processing of pressure data from cardiac catheterizations, Com-put. Progr. Biomed., v. 5, p. 272, 1976.
Зондирование полостей сердца
Зондирование (или «катетеризация») сердца представляет собой инвазивную методику, которая практикуется в кардиохирургии и направлена на введение катетера в правые или левые отделы органа с диагностическими целями. В процессе хирург создаёт прокол в плечевой или бедренной артерии (для диагностики левых полостей) или локтевой или бедренной вены (для диагностики правых полостей). Через него под контролем рентген-аппарата и ЭКГ вводится катетер. Процедура позволяет оценить состояние перегородок и клапанов сердца, взять образцы крови и провести исследования камер со введением контрастного препарата.
Пройти зондирование полостей сердца в Москве приглашает отделение сердечно-сосудистой хирургии ЦЭЛТ. Оно начало свою работу почти три десятилетия тому назад и сегодня предлагает широкий спектр услуг по диагностике и лечению сердечно-сосудистых заболеваний. В нём ведут приём ведущие отечественные специалисты, кандидаты и доктора наук с опытом научной и практической деятельности, который исчисляется десятилетиями. В их арсенале имеется современное оборудование, позволяющее точно ставить диагноз и проводить лечение в соответствии с международными стандартами.
Зондирование полостей сердца: показания и противопоказания
На сегодняшний день катетеризация полостей сердца является одной из чаще всего проводимых манипуляций в кардиохирургии. Только в европейских странах каждый год её проводят почти миллиону пациентов! Использование современного оборудования и высокая квалификация наших специалистов позволяют свести к минимуму риск развития осложнений после неё. В зависимости от ситуации она может быть не только диагностической, но и лечебной.
- Оценка работы левого желудочка и определение степени ишемической болезни;
- Диагностика врождённых и приобретённых пороков сердца;
- Определение сужения или недостаточности аорты перед хирургическим вмешательством;
- Подтверждение/исключение диагноза «ишемия» у пациентов, которые страдают от болей в груди невыясненной этиологии;
- Сбор данных в процессе диагностики, которые подтверждают и дополняют результаты других исследований;
- Диагностика лёгочной гипертонии, определение её типа и тяжести;
- Оценка возможности проведения операции по трансплантации сердца или лёгкого.
Абсолютных противопоказаний к проведению данной процедуры не существует. Все они относительны и зависят от индивидуальных показаний пациента. Проводить её или нет - решает сам врач, оценивая и соотнося риски. Он может от неё и вовсе отказаться, если:
- Уровень электролитов в крови пациента не соответствует норме;
- Имеется диагноз острая почечная недостаточность;
- Пациент перенёс острый инсульт;
- Выявлено желудочно-кишечное кровотечение;
- У пациента имеется индивидуальная непереносимость контрастных препаратов;
- Уровень сердечных гликозидов в его крови превышает норму.
Типы катетеризации камер сердца
Их существует два: катетеризация правых и левых отделов сердца.
Позволяет определить анатомические особенности строения коронарной артерии и выявить ИБС. Благодаря ей можно определить и оценить следующие параметры:
- Функция аортального и митрального клапанов;
- Давление крови в аорте;
- Общее периферическое сосудистое сопротивление;
- Давление и функцию левого желудочка.
Позволяет оценить следующие параметры:
- Давление наполнения сердца;
- Сопротивление сосудов лёгких;
- Работа клапана лёгочной артерии.
Процедура применяется при трансплантации или механической поддержке сердца. Благодаря ей можно оценить давление в:
- Правом предсердии;
- Правом желудочке;
- Окклюзии лёгочной артерии.
Подготовка к зондированию полостей сердца
Она необходима для того, чтобы данная процедура не повлекла за собой никаких осложнений. В её рамках специалисты ЦЭЛТ назначают пациенту прохождение целого ряда диагностических исследований:
- Общий и биохимический анализы крови;
- Рентгенография грудной клетки;
- Электро- и эхокардиография; сердца.
Вышеперечисленное позволяет определить уровни тромбоцитов и гемоглобина в крови, а также правильность работы почек, печени, сердца, лёгких, аорты. Пациенту нужно обязательно сообщить лечащему врачу о своей индивидуальной непереносимости морепродуктов, контрастных веществ, йодсодержащих и любых других фармакологических препаратов. Вдобавок его следует поставить в известность о приёме средств от эректильной дисфункции или о беременности.
Дополнительная подготовка к зондированию полостей сердца требуется в возрасте до одного года или старше семидесяти лет, а также пациентам, которые страдают от:
- Сахарного диабета первого типа;
- Заболеваний кровеносных сосудов головного мозга;
- Тяжёлой лёгочной или почечной недостаточности.
Техника зондирования полостей сердца
Пациент принимает положение лёжа на спине, медицинский персонал фиксирует на нём электроды для электрокардиографии, устанавливает систему внутривенного вливания и запускает введение пятипроцентного раствора глюкозы или раствор натрия хлорида. Следующие этапы:
- После обезболивания области введения катетера хирург делает небольшой надрез кожного покрова и вводит его в кровеносный сосуд, аккуратно продвигая к сердцу и сверяя свои действия через рентгеновский аппарат;
- После того, как катетер достиг нужного места, он вводит контрастный препарат, который позволяет хорошо визуализировать сердечные структуры и артерии;
- Во время проведения процедуры каждые пятнадцать минут проводится мониторинг основных физиологических показателей (частоты сердечного ритма и сокращений, артериального давления и частоты дыхания);
- По завершении диагностики врач удаляет катетер и накладывает на полчаса тугую повязку.
Если во время процедуры пациента начинает тошнить, его просят покашлять, чтобы снизить эффект. Иногда после введения контраста может развиться аритмия, устранить которую помогает глубокое дыхание. Оно же даёт возможность легко установить катетер в лёгочную артерию и делает визуализацию сердца чётче.
Катетеризация мочевого пузыря

Катетеризация мочевого пузыря - манипуляция, одна из целей которой - обеспечение оттока мочи из мочевого пузыря (МП) посредством введения катетера. Последний является специальным медицинским приспособлением, изготовленным в виде трубки и предназначенным для создания канала между внутренними органами и внешней средой. Помимо обеспечения оттока урины катетеризация мочевого пузыря пациента позволяет проводить лечебные манипуляции (например: вводить жидкие лекарства для промывания органа).
Катетеризация мочевого пузыря мягким катетером входит в перечень услуг отделения урологии ЦЭЛТ. Работая на столичном рынке платных медицинских услуг уже почти три десятилетия, мы располагаем всем необходимым для комплексной диагностики и проведения лечения в соответствии с международными стандартами. Катетеризация - не исключение: у нас её проводят ведущие отечественные урологи с применением современного оборудования, что позволяет сделать её максимально комфортной для пациента и свести к минимуму все связанные риски.
Цели катетеризации мочевого пузыря
В зависимости от клиники заболевания и показаний больного катетеризация бывает временной или постоянной. Подбор катетера также осуществляется в индивидуальном порядке и требует учёта целей, преследуемых данной манипуляцией. Последние же могут быть разными, и исходя из них выделяют различные виды катетеризации:
- Взятие образца урины напрямую из мочевого пузыря для диагностики;
- Применение диагностических методик, позволяющих определить объём пузыря пациента;
- Введение контраста в орган перед проведением цистографии и применением рентгенконтрастных методик диагностики почек и МП;
- Подозрения на порывы мочеиспускательного канала после серьёзных травм тазовой области пациента.
- Обеспечение оттока мочи при острой задержке;
- Реабилитационный период после хирургических вмешательств на мочевыводящей системе.
Катетеризация МП: показания и противопоказания
- Сбои функции мочеиспускания при опухолях простаты различной этиологии, паралитических состояниях МП, ряде других патологических состояний;
- Диагностические исследования, предусматривающие использование стерильной мочи, взятой непосредственно из МП больного;
- Болезни, требующие введения медикаментозных растворов непосредственно в полость МП и мочеиспускательного канала.
- Разрывы МП и уретры вследствие полученных травм тазовой области;
- Заболевания, характеризующиеся воспалением структур мочевого пузыря и мочеиспускательного канала;
- Диагностирование у пациента анурии - патологии, характеризующейся отсутствием поступления урины в пузырь;
- Спазматические сокращения уретры;
- Повреждения уретры непосредственно во время катетеризации.
Катетеризации мочевого пузыря у женщин, мужчин и детей: особенности
Катетеризация мочевого пузыря у мужчин - сложная процедура, требующая от уролога соответствующих знаний, навыков и опыта, что обусловлено большой длиной мужского мочеиспускательного канала и изменениями его диаметра по всей протяжённости. Её назначают исключительно при абсолютных показаниях, когда вероятность осложнений не сопоставима с угрозой здоровью. Техника катетеризации мочевого пузыря у мужчин предусматривает следующее:
- Фиксация пениса;
- Раскрытие хода в мочеиспускательный канал;
- Введение предварительно смазанного катетера.
Если при катетеризации уролог обнаружил, что не может продвигать катетер дальше, он останавливает процедуру. Запрещается прикладывать усилия для того, чтобы продвинуть дренаж дальше, поскольку это может привести к перфорации уретры.
Катетеризация мочевого пузыря у женщин отличается сравнительной простотой, поскольку женская уретра короче и шире мужской. Техника катетеризации мочевого пузыря у женщин предусматривает следующее:
- Обработка отверстия уретры дезинфицирующим раствором;
- Аккуратное введение в него предварительно смазанного глицерином катетера;
- Продвижение его вглубь до появления урины.
Невозможность катетеризации в данном случае может быть обусловлена сужениями канала или наличием объёмных опухолей матки, давящих на мочевыводящий канал, за счёт чего перекрывается его просвет и проведение процедуры становится невозможным.
Наши врачи



Отзывы о врачах оказывающих услугу - Катетеризация мочевого пузыря
Перепечай Дмитрий Леонидович, спасибо, что Вы есть. 21 год знаю выдающегося Врача Уролога - Перепечая Дмитрия Леонидовича. У меня были проблемы, теперь у меня их нет, лишь езжу периодически на плановую проверку и пожать руку Дмитрию Леонидовичу.
Спасибо доктору! Перепечай Дмитрий Леонидович - очень помог. Это знающий, опытный, доброжелательный, широкого профиля врач. Низкий ему поклон. Благодарна также сотрудникам кабинета компьютерной томографии (Червоненко Светлана Владимировна и др.) и всем сотрудникам

Осложнения при катетеризации мочевого пузыря
Поскольку катетеризация сопряжена с высоким риском развития осложнений, доверять её проведение нужно опытным урологам, которые хорошо знакомы с её алгоритмом. Во время проведения процедуры они должны быть максимально внимательны и аккуратны и своевременно прекратить действия, если пациент почувствовал боль. Таким образом можно исключить:
- Повреждение и прободение мочеиспускательного канала;
- Формирование фистул уретры;
- Развитие кровотечения.
Не менее опасным является проникновение в кровеносную систему инфекции. Это случается в том случае, если во время катетеризации не были соблюдены санитарно-гигиенические нормы или уролог был недостаточно аккуратен и повредил уретру. Последствия инфицирования могут быть очень серьёзными:
- Цистит - воспалительные процессы мочевого пузыря;
- Уретрит - воспалительные процессы мочеиспускательного канала;
- Пиелонефрит - воспаление почечной лоханки, чашечек и паренхимы почки.
Ещё одно осложнение, развивающееся у женщин, - расширение мочеиспускательного канала. Его способны спровоцировать непрофессиональные действия специалиста, который неправильно подобрал диаметр катетера для проведения процедуры. Если катетеризация постоянна, пациент обязан в точности выполнять рекомендации лечащего врача для того, чтобы исключить развитие осложнений. Они же заключаются в следующем:
- Систематическое проведение гигиенических процедур;/li>
- Отказ от самостоятельного удаления катетера, обращение за ним к врачу;
- Обращение к урологу при появлении крови в урине.
Эндоваскулярное закрытие дефекта межпредсердной перегородки

Сердце - это сложный орган, состоящий из нескольких отделов. В норме левые и правые отделы должны быть надежно разделены. В ходе развития и роста организма может появиться такой дефект как врожденный порок сердца или дефект междпредсердной перегородки (ДМПП) - так в медицине называют неполное закрытие перегородки между отделами. Если появляется отверстие между двумя предсердиями, это сказывается на работе сердца и общем состоянии организма. Правильная циркуляция достигается разницей давлений, поддерживать которую помогает перегородка. В ее отсутствии кровь циркулирует из левого предсердия в правое, затем идет дальше по соответствующему кругу кровообращения. Перегрузка сердечной мышцы может привести к серьезным проблемам со здоровьем, поэтому дефект стараются устранить сразу после выявления.
Эндоваскулярное закрытие дефекта межпредсердной перегородки (без стоимости устройства для закрытия) - от 90 000
манипуляция, обезболивание, пребывание в стационаре, медикаменты и питание (стоимость окклюдера оплачивается отдельно).
Чем опасна патология?

На первый взгляд может показаться, что закрытие дефекта межпредсердной перегородки - это не срочная процедура. На самом деле отделы правой стороны сердца несут повышенную нагрузку, со временем они увеличиваются в размерах. Результат - сердечная недостаточность и аритмия, одышка, постоянная усталость, отеки и дискомфорт в области груди. Они могут привести к развитию хронических заболеваний.
От избыточной нагрузки страдает и легочная артерия, с которой начинается малый круг кровообращения. Это приводит к бронхо-легочным болезням. В особо сложных случаях может развиться склероз сосудов легких - необратимое изменение, которое уже не поддается лечению и является противопоказанием для закрытия дефекта. Поэтому важно вовремя начинать диагностику и лечение, не дожидаясь осложнений со стороны сердца и дыхательной системы.
У здоровых людей также существует отверстие в перегородке, которое называется овальным окном - и представляет собой небольшую щель между предсердиями. Она формируется еще в период эмбрионального развития и у некоторых остается во взрослой жизни. Если не наблюдается неприятных симптомов, то окно, сохранившееся во взрослом возрасте, не требует лечения и не считается заболеванием. Но в редких случаях оно может вызывать сосудистые патологии - в таком случае предусмотрено хирургическое лечение.
Эндоваскулярное лечение порока сердца - это наиболее современная операция, которая позволяет закрыть дефект перегородки. Если нет осложнений, то рекомендуется проводить операцию в возрасте до 7 лет. Если дефект выявлен позже, то рекомендуется лечение вне зависимости от возраста. При нарастании симптоматики операцию можно проводить даже совсем маленьким детям.
- наличие дефекта межпредсердной перегородки;
- симптомы перегрузки сердца,
- увеличение отделов сердца.
- высокая вероятность тромбоэмболии;
- нарушение свертываемости крови;
- индивидуальные реакции непереносимости антикоагулянтов;
- сочетание ДМПП с другими пороками сердца, требующими более сложного вмешательства;
- наличие отверстий в перегородке больше одного;
- диаметр отверстия слишком большой для заплатки-окклюдера;
- острое инфекционное или воспалительное.
Преимущества эндоваскулярной методики
Эндоваскулярный способ закрытия дефекта выгодно отличается от операции по ушиванию ДМПП. Последняя требует искусственного поддержания кровообращения во время операции, имеет больше противопоказаний и значительный период реабилитации. Несмотря на то, что хирургическое лечение прочно вошло в практику и применялось долгое время, сейчас оно уступает место эндоваскулярному методу.
Главное преимущество в том, что эндоваскулярная операция - это малоинвазивная хирургия. После нее не остается шрамов, процедура не требует разрезов или открытого доступа. У эндоваскулярного метода чрезвычайно низкий процент послеоперационных осложнений. Пациентам не требуется длительная госпитализация и реабилитация.
На данный момент эндоваскулярная операция - это общепризнанный мировой стандарт, отвечающий всем требованиями безопасности и эффективности.
Принцип работы окклюдера
Впервые операция с помощью окклюдера была произведена в конце 80-х годов прошлого века - это был эксперимент на животных. Окклюдер - это специальное устройство, которое устанавливают через сосудистый доступ, а после установки оно выполняет функцию заплатки. Со временем техника выполнения таких операций совершенствовалась, и сейчас успешно применяется для лечения тысяч пациентов. Уже в 21 веке появилось множество модификаций и разновидностей окклюдеров для разных случаев.
Принцип работы устройства следующий: конструкция, раскрывающаяся подобно зонтику, заводится в нужное место через сосуд. После установки заплатки никаких других манипуляций не требуется. Окклюдер производят из сплавов металлов, давно применяемых в медицине - из никеля и титана, покрытых сверху специальным биосовместимым волокном. Материалы протестированы множество раз, они не вызывают аллергии. Устройство сконструировано таким образом, что центровка в отверстии перегородки происходит самостоятельно - задача врача довести окклюдер по сосудам до нужного места. Модель устройства подбирается в зависимости от конкретного дефекта - существуют разные модификации для лечения разных пороков сердца.
Доставка к сердцу производится с помощью катетера, который заводят в крупный сосуд - артерию или вену бедра. Размер окклюдера не больше 2,5 мм в диаметре, поэтому он спокойно проходит по сосудистому руслу. Устройство раскрывается только после установки в соответствующее положение рядом с дефектом перегородки.
Операция выполняется квалифицированными врачами, прошедшими специальное обучение. Процедура проводится в операционной. Пациент во время операции лежит. Врач может контролировать все свои действия с помощью специального оборудования, передающего изображение на мониторы. В ходе операции проводится мониторинг жизненных показателей.
Катетеризация сердца: показания, методика исследования

Процедура катетеризации сердца (или зондирования) заключается во введении катетеров (тонких гибких трубочек из пластика) в полости сердца или просвет магистральных сосудов через периферические сосуды. Такая методика может применяться для осуществления ряда диагностических исследований - ангиографии, эндомиокардиальной биопсии, внутрисосудистого УЗИ, измерения сердечного выброса, оценки миокардиального метаболизма или изучения состояния шунтов. Кроме этого, катетеризация сердца может проводиться и в лечебных целях.
За разработку такого метода диагностики в 1956 году Вернеру Форссману, Дикинсону Ричардсу и Андре Фредерику Курнану была присуждена Нобелевская премия. С тех пор, благодаря научно-техническому прогрессу, технология выполнения катетеризации сердца значительно усовершенствовалась и стала еще более безопасной и высокоинформативной.
В последние годы значение этой диагностической процедуры несколько снизилось, благодаря появлению ряда неинвазивных исследований (это МРТ и КТ сердца, радиоизотопная кардиография, Эхо-допплеркардиография). Однако в некоторых случаях диагностика патологий этого жизненно важного органа не может быть полной без выполнения такого инвазивного метода обследования.
В этой статье мы ознакомим вас с показаниями, способами подготовки и выполнения, возможными противопоказаниями и осложнениями катетеризации сердца. Полученная информация поможет вам понять суть этого исследования, и вы сможете задать возникшие вопросы своему лечащему кардиологу.
Разновидности катетеризации сердца

Механизм проведения катетеризации сердца (схематическое изображение).
Существует два вида этой процедуры:
- большая катетеризация (или катетеризация левых отделов сердца) - выполняется чаще, катетер продвигают через аорту в левый желудочек до коронарных сосудов;
- малая катетеризация (или катетеризация правых отделов сердца) - катетер в правые отделы сердца и легочные артерии может внедряться через вены паховой области или локтевого сгиба, иногда применяются «плавающие» катетеры, попадающие в сердце вместе с током венозной крови.
Кроме этого, может выполняться синхронная (или симультанная) катетеризация, во время которой в сердце через артерию и вену вводятся два катетера. Во время процедуры их могут располагать напротив друг друга таким образом, чтобы их разделял только сердечный клапан (например, аортальный или митральный). Такая методика позволяет рассчитывать градиент давления, создаваемый отверстиями сердечных клапанов.
Катетеризация сердца в диагностических целях назначается в тех случаях, когда врачу необходимо получить максимально детальную информацию о коронарных сосудах и сердце больного, а другие методики обследования не могут предоставить исчерпывающие данные о степени, причинах нарушения гемодинамики и ее особенностях. После получения результатов специалист может составить правильный план лечения (например, назначить проведение хирургической операции).
Диагностическая катетеризация сердца может назначаться в следующих клинических случаях:
Процедура позволяет установить характер поражений коронарных сосудов, тканей миокарда или сердечных клапанов, который не может определяться при выполнении других исследований (т. е. если они показывают сомнительные результаты). Кроме этого, катетеризация сердца дает возможность оценивать тяжесть таких повреждений и исследовать патофизиологические механизмы изменений функций миокарда. Как правило, такой метод диагностики назначается перед выполнением кардиохирургических вмешательств.
Катетеризация сердца в лечебных целях может назначаться в следующих случаях:
- лечение некоторых пороков сердца;
- необходимость раскрытия суженных (стенозированных) каналов;
- интракоронарный тромболизис;
- выполнение стентирования или ангиопластики нездоровых артерий.
Катетеризация сердца может выполняться больным любого возраста при отсутствии противопоказаний к проведению такого метода диагностики или лечения.
В некоторых случаях выполнение катетеризации сердца не может выполняться при наличии следующих относительных противопоказаний:
- острые инфекционные заболевания;
- лихорадка;
- системная инфекция;
- не устраненная дигиталисная интоксикация или гипокалиемия; ;
- тяжелый периферический атеросклероз;
- неконтролируемая гипертензия или аритмия;
- декомпенсированное течение сердечной недостаточности;
- тяжелая анемия;
- выраженная коагулопатия;
- аллергическая реакция на применяемый контрастный препарат;
- желудочно-кишечное кровотечение;
- тяжелые формы почечной недостаточности;
- беременность и кормление грудью.
Необходимость выполнения катетеризации в таких случаях устанавливается для каждого больного индивидуально и всецело зависит от клинического случая. Обычно процедура может проводиться после устранения противопоказания или после специальной подготовки больного.
Иногда специалистам приходится обходиться без назначения такой диагностической процедуры по причине отказа пациента от ее выполнения.
Особенные рекомендации

Некоторые заболевания пациента, в частности, сахарный диабет I типа, тяжелая почечная и сердечная недостаточность, требуют особенной подготовки к процедуре катетеризации. Необходимо обязательно уведомить о них лечащего врача.
При назначении катетеризации сердца больной обязательно должен сообщить врачу о таких состояниях:
- возможная беременность;
- прием лекарственных препаратов или БАДов;
- прием сахароснижающих препаратов;
- наличие аллергической реакции в прошлом на йод, рентгеноконтрастные средства или морепродукты, латекс или резину;
- прием Виагры или других препаратов для устранения эректильной дисфункции.
Особенно тщательная подготовка больного к исследованию рекомендуется в следующих клинических случаях:
- наличие тяжелых сопутствующих патологий (инсулинзависимый диабет, тяжелая легочная недостаточность, почечная недостаточность, тяжелые поражения периферических или мозговых сосудов);
- принадлежность к IV функциональному классу сердечной недостаточности (по классификации NYHA);
- выраженная дисфункция левого желудочка;
- возраст пациента до 1 года или старше 70 лет.
В вышеописанных случаях катетеризация сердца выполняется с особой осторожностью, т. к. при наличии этих состояний риск наступления возможного летального исхода возрастает.
Подготовка пациента
После назначения процедуры врач обязательно знакомит пациента с принципами техники выполнения исследования и возможными рисками и противопоказаниями. После этого больной подписывает документы о согласии на проведение катетеризации, и специалист дает ему детальные рекомендации о подготовке к предстоящему обследованию:
Техника проведения
Больному следует помнить о том, что катетеризация сердца является безболезненной процедурой. Во время исследования он будет находиться в сознании, сможет общаться с врачом и выполнять те действия, которые ему будут рекомендованы специалистом.
Иногда во время процедуры может ощущаться сердцебиение, легкое жжение в месте введения катетера или чувство жара. Эти несколько дискомфортные ощущения не должны пугать больного, т. к. они не указывают на какие-либо осложнения и быстро устраняются самостоятельно после завершения исследования.
Как выполняется катетеризация?
- За час до процедуры больному вводят седативное средство.
- После транспортировки в специально оборудованный кабинет ему предлагают переодеться в одноразовую одежду и укладывают на стол.
- Медицинская сестра пунктирует вену больного для вливания необходимых препаратов. При необходимости вводится катетер в мочевой пузырь.
- Врач обеззараживает место введения сердечного катетера (локтевой сгиб, запястье или паховую зону) и выполняет местную анестезию. После достижения обезболивающего эффекта специалист делает небольшой надрез для введения катетера или пунктирует сосуд толстой иглой.
- Врач начинает вводить катетер в выбранный кровеносный сосуд и под рентгеноскопическим контролем продвигает его к желудочкам сердца или коронарным сосудам.
- После достижения левого или правого желудочка к катетеру присоединяют манометр и измеряют давление. При необходимости выполняются другие необходимые процедуры (биопсия, аортограмма и пр.).
- Для выполнения ангиографии в катетер вводится рентгеноконтрастное средство, делающее видимыми желудочки и коронарные сосуды. Специалист изучает их состояние, выполняет снимки и делает необходимые заключения. При выполнении снимков врач может попросить пациента задержать дыхание, глубоко вдохнуть или покашлять.
- При введении контраста для исследования желудочков у больного на несколько секунд может появляться ощущение жара или тепла. Если же препарат вводится только для изучения состояния коронарных артерий, то такое ощущение не появляется, т. к. для этого используется меньшая доза йодсодержащего препарата. Если после введения контраста больной ощущает зуд, тошноту, комок в горле или стеснение в грудной клетке, то он должен незамедлительно сообщить о них врачу.
- При необходимости во время исследования могут рекомендоваться дозированные физические нагрузки или физиологические пробы. Для этого используется такое приспособление как эргометр.
- После завершения исследования врач удаляет сердечный катетер, при необходимости накладывает швы на место небольшого разреза или коллагеновый герметик. После этого выполняется давящая повязка, препятствующая кровотечению и образованию подкожных гематом.
- Медсестра удаляет иглу, вводящуюся для выполнения внутривенной инфузии, и катетер из мочевого пузыря (если он вводился).
После завершения катетеризации сердца больной может отправляться домой после полной стабилизации общего состояния (обычно это происходит через несколько часов) или остается под медицинским наблюдением до следующего утра.
Как долго длится процедура?
Непосредственная подготовка больного к исследованию занимает от 1 до 2 часов, сама катетеризация сердца длится около 30-60 минут. При необходимости выполнения дополнительных диагностических или лечебных манипуляций процедура может продолжаться более 1 часа.
Какие специальные исследования могут выполняться во время катетеризации сердца?

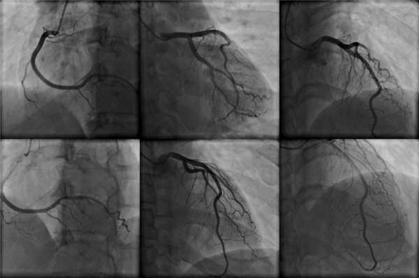
Нередко катетеризацию сердца проводят с целью проведения коронарографии.
Во время катетеризации сердца могут проводиться такие методики обследования:
- ангиография - для визуализации камер сердца, коронарных сосудов, легочных артерий и аорты;
- исследование внутрисердечного шунтирования крови - для определения уровня содержания кислорода в разных отделах сердца и магистральных сосудах;
- внутрисосудистое УЗИ - выполняется при помощи миниатюрного УЗ-датчика, прикрепленного к концу сердечного катетера для изучения просвета сосуда, стенки венечной артерии и нелинейных потоков крови;
- эндомиокардиальная биопсия - выполняется при помощи специального катетера для биопсии, проводится для выявления состояний, спровоцированных инфильтративными и инфекционными заболеваниями, или реакции отторжения трансплантата;
- измерение сердечного кровотока или выброса - методика проводится при помощи способа термодилюции, индикаторной дилюции или метода Фика;
- измерение кровотока в коронарных артериях - выполняется при помощи специальных катетеров с допплеровскими датчиками потока или встроенными датчиками давления, которые оценивают степень стеноза сосудов.
После процедуры
После завершения катетеризации сердца пациенту рекомендуется:
Возможные осложнения
При правильной подготовке пациента, выявлении всех возможных противопоказаний и высокой квалификации врача, выполняющего исследование, осложнения после катетеризации сердца развиваются редко. Возможные последствия процедуры во многом зависят от того, какие отделы сердца обследуются.
При выполнении катетеризации правого желудочка существует небольшой риск развития аритмии и отека легкого, а наиболее часто возникают желудочковые или предсердные аритмии. В крайне редких случаях может развиваться инфаркт легкого, перфорация правого желудочка или легочной артерии. При проведении исследования левых отделов сердца возможно скопление воздуха или крови в плевральной полости и поражение перикарда.
Иногда во время или после катетеризации сердца могут возникать и некоторые другие осложнения:
- резкое снижение артериального давления;
- инфаркт миокарда;
- инсульт;
- повреждение коронарного сосуда; ;
- инфицирование места введения катетера;
- кровотечение в области введения катетера;
- аллергическая реакция на используемый контрастный препарат;
- поражение почек из-за применения контраста (обычно происходит при сахарном диабете или патологиях почек);
- летальный исход.
Следует отметить, что инсульт и инфаркт миокарда при катетеризации сердца могут наступать только в 0,1 % случаев, а летальный исход - у 0,1-0,2 % пациентов. Частота развития инсульта возрастает у пациентов, которым уже исполнилось 80 лет.
Катетеризация сердца является инвазивной, но высокоинформативной диагностической процедурой. В некоторых клинических случаях она не может заменяться другими, неинвазивными современными методиками обследования. При правильной подготовке к исследованию, соблюдении рекомендаций специалиста, высокой квалификации врача и выявлении всех возможных противопоказаний риск осложнений такой процедуры остается невысоким. В некоторых случаях катетеризация сердца проводится с лечебными целями.
Читайте также:
- Рост опухоли глаза в придаточные пазухи носа. Прорастание опухоли глазницы в полость черепа
- Рак толстой кишки: симптомы на ранних стадиях опухоли кишки
- Техника транспедикулярного доступа к шейно-грудному переходу позвоночника
- Современная молекулярная диагностика в стоматологии. Ценность молекулярной диагностики
- Современная дифференциальная диагностика вариантов острого лейкоза
