Синдром Муше (Mouchet) - синонимы, авторы, клиника
Добавил пользователь Евгений Кузнецов Обновлено: 01.01.2026
В докладе дается общее представление о синдроме Мюссе, получившем название по имени известного французского поэта ХIХ века. Приводятся сведения из истории его болезни и данные о клинических проявлениях симптома.
В настоящее время описано около 1500 синдромов, большинство из которых названо по имени врачей, впервые или наиболее полно их описавших. Особое место в справочниках занимают прецедентные имена, связанные с представителями творческих профессий, литературных и мифологических героев, географических мест и т.д. (Блейхер В.М. Эпонимические термины в психиатрии, психотерапии и медицинской психологии. Словарь. Киев, 1984).
Нас заинтересовал симптом, названный в честь известного французского поэта и прозаика позднего романтизма Альфреда де Мюссе. Впервые его заметил брат Поль в 1842 году. Сам Мюссе называл свое патологические состояние «чрезмерно живым биением сердца». Поэт с детства обнаруживал крайнюю нервность, доводившую до припадков. Жизнь его была очень напряжённой: возвращаясь домой далеко за полночь, он нередко садился за письменный стол и до утра лихорадочно работал. На следующий день он изнемогал и, чтобы вернуть утраченную бодрость и силу, пристрастился к возбуждающим средствам - сначала к вину, а затем и к водке.
Сущность симптома заключается в ритмическом толчкообразном подёргивании головы, синхронном с пульсом. На шее легко заметна пульсация сонных артерий, синхронная с ритмичными качаниями головы, а в терминальной стадии сонные артерии даже выступают над кожными покровами. Такую картину наблюдают при недостаточности клапана аорты, обусловленной резким изменением кровенаполнения артерий головы вследствие расширения корня аорты. Длительные и тяжёлые случаи заболевания проявляются высоким пульсом, выраженной пульсацией сонных артерий, качанием головой при каждой систоле, выраженной пульсацией подногтевых капилляров, признаком Хилла и шумами Дюрозье. Помимо этого больные жалуются на болевые ощущения в области сердца, сердцебиение и одышку. Ухудшение кровоснабжения мозга проявляется головокружениями и обмороками.
Исследователи считают, что аортальный порок развился у Мюссе в результате сифилистического аортита, приобретенного в годы довольно свободного образа жизни. «Разврат разрушает не только душу, - с горечью заключал сам поэт, - но и тело». Любовница поэта Жорж Санд самоотверженно ухаживала за ним, но постоянные конфликты между двумя талантливыми самодостаточными личностями сделали разрыв неизбежным. Писательница бросила поэта, увлекшись Фредериком Шопеном, по словам Сальваторе Манджони, «предпочитая таким образом туберкулёз лёгких сифилитическому аортиту» (Секреты клинической диагностики. М., 2006). Заболевание прогрессировало, и Альфред де Мюссе скончался 2 мая 1857 года. Ему было всего 47 лет.
МУШЕ СИНДРОМ
МУШЕ СИНДРОМ (описан французским хирургом A. Mouchet, 1869-1963) - поздняя невропатия локтевого нерва, развивающаяся через несколько лет после перелома медиального надмыщелка плечевой кости с сохраняющимся его смещением. Провоцируется резкими движениями в локтевом суставе. Проявления: невозможность согнуть кисть, отведение и неподвижность V пальца (симптом Вартенберга), атрофия гипотенара, нарушение чувствительности на локтевой стороне предплечья и кисти.
A. Mouchet. Paralysis tardives du nerf cubital a la suite des fractures du condyle externe de lhumerus. Journal de chirurgie, Paris, 1914; 437-456.
Энциклопедический словарь по психологии и педагогике . 2013 .
Смотреть что такое "МУШЕ СИНДРОМ" в других словарях:
Синдром локтевого нерва в кубитальном канале Муше — Компрессионная невропатия локтевого нерва в канале Муше на уровне локтевого сустава. Канал этот образован бороздкой локтевого нерва позади медиального надмыщелка плеча и фиброзной пластинкой, расположенной между этим надмыщелком и локтевым… … Энциклопедический словарь по психологии и педагогике
Синдром Муше
Поздняя невропатия локтевого нерва, возникающая через несколько лет (иногда через 20-30 лет) после перелома внутреннего мыщелка плечевой кости с сохраняющимся его смещением. Провоцируется резкими движениями в локтевом суставе и проявляется признаками расстройства функций локтевого нерва: невозможно согнуть кисть, V палец руки при этом отведен и неподвижен, со временем атрофируется гипотенар, нарушается чувствительность на локтевой стороне предплечья и кисти. Описал в 1914 г. французский хирург Mouchet.
описан французским хирургом A. Mouchet, 1869-1963) - поздняя невропатия локтевого нерва, развивающаяся через несколько лет после перелома медиального надмыщелка плечевой кости с сохраняющимся его смещением. Провоцируется резкими движениями в локтевом суставе. Проявления: невозможность согнуть кисть, отведение и неподвижность V пальца (симптом Вартенберга), атрофия гипотенара, нарушение чувствительности на локтевой стороне предплечья и кисти.
A. Mouchet. Paralysis tardives du nerf cubital a la suite des fractures du condyle externe de lhumerus. Journal de chirurgie, Paris, 1914; 437-456.
Синдром Мейгса ( Синдром Демона-Мейгса , Синдром Мейгса-Касса , Синдром Мейгса-Салмона )
Синдром Мейгса — это особый вариант полисерозита, который возникает у пациенток с опухолями овариальной ткани, матки и полностью проходит после удаления неоплазии. Проявляется увеличением объема живота, нарастанием одышки, тахикардией, слабостью, утомляемостью, бледностью, прибавкой веса при внешних признаках кахексии. Диагностируется при помощи гинекологического осмотра, УЗИ брюшной и плевральной полостей, перикарда, тазовых органов, цитологического исследования плеврального выпота и асцитической жидкости, лапароскопии. Лечение предполагает эвакуацию экссудата, коррекцию органных расстройств, хирургическую экстирпацию опухоли.
МКБ-10
Общие сведения
Синдром Мейгса (Демона-Мейгса, Мейгса-Салмона, Мейгса-Касса) — редкое паранеопластическое расстройство, наблюдаемое у 3% пациенток, страдающих объемными образованиями репродуктивных органов. Симптомокомплекс, проявляющийся асцитом и выпотом в полость плевры у женщин с солидными новообразованиями яичников, был детально описан Дж. Мейгсом в 1934-1935 годах. Несколько позже Р.У. Лайт расширил трактовку синдрома на все новообразования тазовых органов, в том числе злокачественные неоплазии без метастазов. Классическая комбинация овариальной опухоли, асцита и гидроторакса наблюдается в единичных случаях, чаще у пациенток определяется абдоминальный выпот. При наличии плевральной экссудации в 70% случаев процесс локализован справа, в 10% — слева, в 20% — является двусторонним. Расстройство чаще возникает у женщин после 45 лет.
Причины
Патологический симптомокомплекс развивается на фоне неопластического поражения яичниковой ткани и миометрия. Чаще всего полисерозит сочетается с фибромой яичников, овариальными кистами, лейомиомой матки. Плевральный, перитонеальный и перикардиальный выпот также может образовываться при карциноме яичников без признаков метастазирования, хотя в таком случае специалисты в сфере акушерства и гинекологии говорят о псевдосиндроме Мейгса. Описаны спорадические случаи возникновения полисерозита с соответствующей клинической картиной на фоне дегенеративного изменения овариальной ткани без опухолевой трансформации, обширного отека яичников, синдрома их гиперстимуляции гонадотропинами, гонадолиберинами при экстракорпоральном оплодотворении.
Патогенез
Патогенез синдрома Мейгса пока не изучен. Какие-либо специфические каналы, связывающие матку и яичники с полостями плевры и перикарда, не выявлены. Предложено несколько гипотез формирования экссудата при новообразованиях женских репродуктивных органов. Согласно одной из теорий, экссудативный выпот при синдроме Демона-Мейгса-Касса изначально скапливается в брюшной полости в результате возникновения «реакции тревоги» сосудов брюшины на растущую опухоль. Асцит способствует растяжению диафрагмы с формированием конгенитальных дефектов (плевроперитонеальных каналов), по которым экссудат просачивается в плевральную полость.
Ряд авторов не исключает патогенетическую роль лимфатических сосудов, перфорирующих диафрагмальную перегородку. Идея о нарушении венозного и лимфатического оттока в результате механического сдавливания тканей неоплазией не нашла подтверждения, поскольку у части пациенток характерный для синдрома массивный полисерозит развивается при опухолях, диаметр которых не превышает 5 см. Механизмы экссудации также могут запускаться пока неустановленными веществами, секретируемыми новообразованием.
Симптомы
Клиническая симптоматика расстройства нарастает постепенно, является неспецифической и, как правило, становится следствием давления скопившегося выпота на окружающие органы. Пациентка жалуется на периодически возникающую или постоянную незначительную, чаще одностороннюю боль внизу живота, обычно описываемую как дискомфорт. Часть женщин воспринимает болезненные ощущения как тупые, ноющие, распирающие.
В последующем живот увеличивается в размерах, нарастает чувство нехватки воздуха, общее недомогание, слабость, быстрая утомляемость, потливость, ухудшение аппетита, появляется бледность кожных покровов, отечность. Отмечается значительная прибавка в весе на фоне признаков кахектического синдрома (дряблости кожи, мышечной гипотрофии). Уменьшается количество мочи, возможны запоры. У пациенток репродуктивного возраста могут возникать дисфункциональные маточные кровотечения.
Осложнения
При прогрессировании процесса и накоплении значительных объемов экссудативного выпота синдром Мейгса осложняется сердечной и легочной недостаточностью, метаболической кардиомиопатией, анемией, нарастающей ишемией различных органов и тканей. В тяжелых случаях кислородное голодание мозга, вызванное недостаточной оксигенацией крови в легких, способствует возникновению когнитивных расстройств (ухудшения памяти, невнимательности), эмоциональной лабильности, раздражительности, снижению критичности к своему состоянию. На фоне необратимых кахектических изменений возникает полиорганная недостаточность, приводящая к летальному исходу.
Диагностика
Первоначально выпот в брюшной, плевральной, перикардиальной полостях выявляется в ходе физикального обследования (перкуссии и аускультации). О наличии жидкости свидетельствует притупление перкуторного звука над пораженной половиной грудной клетки, в правом и левом фланках живота, расширение границ сердца в обе стороны. Аускультативно везикулярное дыхание в зоне тупости отсутствует или резко ослаблено, сердечные тоны приглушены, учащены. Наличие экссудата подтверждается с помощью рентгенографии грудной клетки, УЗИ плевральной полости, перикарда, органов брюшной полости, эхокардиографии. Выявление перитонеального, плеврального, перикардиального выпота служит основанием для углубленного онкообследования с целью исключения опухолей матки или яичников. Наиболее информативными методами при подозрении на синдром Мейгса являются:
- Осмотр на кресле. При бимануальном гинекологическом исследовании определяется увеличение матки (при наличии миомы), овоидное или округлое объемное образование справа или слева в области придатков (при овариальной опухоли). Доброкачественные неоплазии обычно имеют гладкую поверхность, не спаяны с окружающими тканями. Фибромы отличаются высокой плотностью, кисты зачастую эластичны.
- Сонография тазовых органов. Ультразвуковое исследование ОМТ позволяет определить точную локализацию, размеры, структуру опухолевого образования. Для уточнения особенностей его кровоснабжения используют допплерографию с цветным картированием. При необходимости УЗИ дополняют МРТ или КТ женских половых органов, в ходе которых создается их послойное изображение.
- Анализ плеврального выпота. Данные цитологического исследования жидкости, полученной с помощью торакоцентеза, подтверждают экссудативный характер процесса. Определяется повышенное количество белка, положительная проба Ривальта, единичные лимфоциты. Атипичные клетки отсутствуют. Аналогичные изменения отмечаются при цитологии асцитической жидкости.
Для выявления опухолевого процесса может быть рекомендована диагностическая лапароскопия, определение онкомаркера СА-125. В общем анализе крови пациенток с синдромом Мейгса обычно несколько снижены количество эритроцитов и уровень гемоглобина, СОЭ увеличено до 25-30 мм/ч, отмечается незначительный лейкоцитоз с палочкоядерным сдвигом влево. На ЭКГ определяются признаки дистрофических изменений миокарда.
Дифференциальная диагностика проводится с экссудативным плевритом, циррозом печени, декомпенсированной сердечной недостаточностью, синдромом полисерозита при туберкулезе, ревматизме, системной красной волчанке, уремии, сепсисе, парапротеинемическом гемобластозе, семейной средиземноморской лихорадке (периодической болезни). По показаниям пациентку консультируют пульмонолог, кардиолог, фтизиатр, ревматолог, нефролог, гематолог, онколог.
Лечение синдрома Мейгса
Терапевтическая тактика направлена на быстрое устранение симптомов компрессии органов, коррекцию сопутствующих расстройств и последующее хирургическое удаление неоплазии. При декомпенсированной полиорганной недостаточности пациентку госпитализируют в отделение интенсивной терапии, в остальных случаях рекомендована плановая предоперационная подготовка в гинекологическом стационаре. Основными этапами лечения синдрома Мейгса являются:
- Удаление экссудата. Для быстрой разгрузки организма от скопившейся жидкости выполняют торакоцентез, лапароцентез. Эвакуация жидкости проводится через дренажную систему с помощью аппарата активной аспирации. Патогномоничным признаком синдрома Демона-Мейгса является «неисчерпаемость экссудата» — его быстрое накопление после эвакуации.
- Коррекция полиорганных расстройств. Для улучшения сердечной деятельности применяют мочегонные средства, сердечные гликозиды. При тахикардии показаны ингибиторы If-каналов синусового узла, при аритмии — противоаритмические препараты. Пациенткам с нарушениями электролитного баланса рекомендовано введение солевых и онкотических растворов.
- Оперативное лечение. Объем вмешательства зависит от выявленной гинекологической патологии, возраста пациентки, ее репродуктивных планов. Возможно проведение широкого спектра операций — от вылущивания овариальной опухоли, резекции части яичника, гистерорезектоскопии миомы до циторедукции при раке яичников и экстирпации матки с придатками.
Прогноз и профилактика
Полная резорбция экссудата с восстановлением общего самочувствия обычно происходит в течение 2-х недель после оперативной экстирпации опухоли. У некоторых пациенток остается небольшое количество спаек, плевральных и перикардиальных сращений. При псевдосиндроме Мейгса, осложняющем течение злокачественных новообразований, прогноз зависит от стадии и типа онкологического процесса. Профилактика предполагает плановые осмотры акушера-гинеколога и регулярный УЗИ-скрининг для своевременного выявления и адекватного лечения опухолевого поражения матки, овариальной ткани.
3. Синдром Мейгса в терапевтической практике/ Церах Т.М., Полянская А.В.// Медицинский журнал. - 2016 - №2 (56).
4. Трудности диагностики синдрома Мейгса в терапевтической практике/ Адильшин А.К., Адильшина Ш.К., Адильжан Г.Р., Ижанова А.К., Мадиева Р.Ч.// Вестник Казахского Национального медицинского университета. - 2013.
Синдром Маршалла (PFAPA синдром)
Что такое синдром Маршалла, клиническая картина, симптомы, лечение.

3.90 (Проголосовало: 20)
- Что это такое?
- Клиническая картина
- Диагностика
- Важными диагностическими критериями являются:
- Может ли ребенок посещать детский сад или школу?
- Можно ли водить ребенка в спортивную секцию?
- Можно ли ребенку делать прививки?
Что это такое?
Синдром Маршалла - синдром периодической лихорадки, афтозного стоматита, фарингита и шейного лимфаденита.
Заболевание проявляется в детском возрасте, чаще у мальчиков.
Характеризуется периодическими эпизодами лихорадки (38 - 41ºC) с регулярными интервалами от 2 до 8 недель и клиническими проявлениями афтозного стоматита, фарингита, шейного лимфаденита. Между эпизодами клинические проявления отсутствуют.
На сегодняшний день причина заболевания не известна, возможно, имеет генетический характер. Распространённость также не известна.
Клиническая картина
Периодическая лихорадка - главный признак, по которому можно заподозрить синдром Маршалла. На фоне полного здоровья у ребенка повышается температура до 38 - 41 ºC. И держится от 2 до 7 дней, иногда до 10 дней и исчезает самостоятельно. Как правило, ребенку назначают антибиотики и жаропонижающие препараты, на фоне которых нет эффекта.
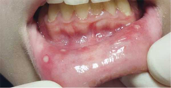
Афтозный стоматит - язвы располагаются на слизистой оболочки губ и щёк. Этот признак проявляется примерно у 40-80% пациентов.
![]()
Фарингит с экссудативным компонентом на миндалинах встречается у 65-100% пациентов.
Шейная лимфаденопатия (увеличение лимфоузлов) встречается 60-100% пациентов. Шейные лимфоузлы могут быть уплотнены, болезненны при пальпации.
К сожалению, на данный момент специфической диагностики нет. Диагноз ставится на основании жалоб и эпизодов лихорадки.
В общем анализе крови могут быть незначительные изменения - увеличение СОЭ, нейтропения (уменьшение количества нейтрофилов). Посевы на микрофлору из горла часто не дают никаких результатов при данном заболевании.
PFAPA синдром - это диагноз исключения. В первую очередь исключаются другие причины рецидивирующей лихорадки: инфекция, воспалительные заболевания кишечника, лихорадка при лимфоме Ходжкина, циклическая нейтропения и другие.
Важными диагностическими критериями являются:
- Более 3 эпизодов лихорадки продолжительностью до 5 дней и возникающих регулярно на фоне полного здоровья;
- Фарингит и лимфаденопатия или афтозные язвы;
- Хорошее здоровье между эпизодами и нормальный рост;
- Разрешение симптомов в течение нескольких часов после лечения преднизолоном в виде однократной дозы или двух доз с интервалом от 12 до 48 часов.
Лечение синдрома Маршалла
Для лечения в период обострения используют глюкокортикостероиды (преднизолон) с интервалом введения. Но фоне приема которых симптомы заболевания проходят после 1-2 инъекции.
Назначение жаропонижающих препаратов иногда приводит к снижению температуры.
Хирургическое лечение - тонзиллэктомия (удаление миндалин), назначается пациентам, которые не реагируют на терапию гормональными препаратами или у которых заболевание вызывает серьёзное ухудшение качества жизни. После тонзиллэктомии симптомы заболевания купируются, в том числе и лихорадка, кроме афтозного стоматита.
Прогноз благоприятный. С возрастом клиническая картина улучшается, периоды ремиссии становятся длиннее, а симптомы менее выраженными. У большинства пациентов проявления заболевания прекращаются к 10 годам.
Наиболее частые вопросы от родителей
Может ли ребенок посещать детский сад или школу?
- Да, может и должен, но не в момент обострения.
Можно ли водить ребенка в спортивную секцию?
- Единственное противопоказание - это период обострения.
Можно ли ребенку делать прививки?
- Да, ребенка можно и нужно вакцинировать. Врач-педиатр должен быть проинформирован о вашем заболевании. Доктор также может составить индивидуальный план прививок. Особое внимание нужно уделить, когда ребенку вводится живая или ослабленная вакцина.
Своевременное обращение к врачу поможет сохранить Ваше здоровье.
Не откладывайте лечение, звоните прямо сейчас. Мы работаем круглосуточно в Москве.Читайте также:
- Проникновение пыли в лимфатические пути легких. Пневмококки в лимфатических путях
- Анатомия: Корешки спинного мозга. Канатики, стволы, узлы, сегмент спинного мозга
- Удаление волос эпилятором без боли. Техника безболезненной эпиляции
- Характеры роста рака века. Классификация
- Дивертикулит кишечника: симптомы, лечение, причины

