Поперечное плоскостопие: причины, симптомы и лечение
Добавил пользователь Владимир З. Обновлено: 13.12.2025
Плоскостопие - изменение формы сводов стопы, сопровождающееся потерей ее амортизирующих (рессорных) функций. В зависимости от того, какой именно свод стопы уплощен выделяют поперечное и продольное плоскостопие. Также различают врожденное и приобретенное плоскостопие. Различными формами плоскостопия страдает около 45% всех взрослых людей. Патология чаще выявляется у женщин. Плоскостопие является причиной болей в стопе, появляющихся во время ходьбы. Часто при плоскостопии на подошве образуются мозоли и натоптыши, деформация Hallux valgus. Кроме рентгенологического исследования, диагностика плоскостопия включает плантографию и подометрию. Лечение состоит в постоянном ношении супинаторов или ортопедической обуви, периодическом прохождении курсов массажа, ЛФК и физиопроцедур.
МКБ-10


Общие сведения
Плоскостопие - изменение формы сводов стопы, сопровождающееся потерей ее амортизирующих (рессорных) функций. Является причиной повышенной утомляемости стоп при нагрузках, провоцирует развитие артрозов мелких суставов ступни, оказывает негативное влияние на позвоночник. Различными формами плоскостопия страдает около 45% всех взрослых людей. Патология чаще выявляется у женщин.
Причины плоскостопия
Уплощение свода стопы может быть врожденным или приобретенным. Врожденное плоскостопие составляет 3% от всех случаев заболевания. Причиной наиболее распространенной приобретенной формы - статического плоскостопия (80% от общего числа случаев болезни) становится слабость костей, мышц и связочного аппарата ступни и голени. Существует наследственная предрасположенность к возникновению патологии, обуслосовленная передающейся по наследству слабостью связок.
Риск статического плоскостопия возрастает при увеличении массы тела, недостаточной физической нагрузке у людей сидячих профессий, «стоячей работе» (продавцы, парикмахеры, сборщики на конвейерах, ткачихи и т. д.), использования неудобной обуви, старении. Статическое плоскостопие может развиваться и вследствие постоянного ношения обуви на высоком каблуке (вследствие избыточной нагрузки на передние отделы стопы). Другими причинами приобретенной патологии являются:
- Травматические повреждения. Слабость связок и изменение анатомических соотношений между различными отделами стопы возникают после переломов пяточной кости, лодыжек и костей предплюсны.
- Полиомиелит. Следствием полиомиелита становится паралич мышц стопы и голени, который влечет за собой перераспределение нагрузки во время ходьбы, ослабление связок и нарушение соотношений между структурами ступни.
- Рахит. Из-за уменьшения количества кальция кости стопы ослабляются и не могут выдерживать нормальные физиологические нагрузки. В настоящее время рахитическое плоскостопие встречается редко.
Патанатомия
Стопа удерживает вес тела, не дает человеку упасть во время ходьбы, играет роль амортизатора и подъемного механизма. В выполнении всех этих функций большое значение имеют своды стопы - жесткие и одновременно упругие образования, в которые входят кости стопы, ее связки и мышцы. Выделяют два свода стопы: поперечный (дуга от I к V пястной кости, которая становится видна, если взять стопу рукой с боков и сжать ее в поперечном направлении) и продольный (дуга в области внутреннего края стопы). Предназначение сводов стопы - удержание равновесия и предохранение тела от сотрясений во время ходьбы.
При ослаблении мышечно-связочных структур мышцы и связки стопы перестают справляться с высокой нагрузкой, стопа уплощается, «оседает». При этом ее амортизирующая функция снижается. Сотрясения во время ходьбы передаются на вышележащие отделы (позвоночник и суставы нижних конечностей), в которых из-за постоянной перегрузки развиваются дегенеративные изменения (остеоартрозы, нарушения осанки, остеохондроз).
Классификация
С учетом времени возникновения различают врожденное и приобретенное плоскостопие. Врожденное плоскостопие - редкая патология, обусловленная нарушением развития стопы во внутриутробном периоде. У маленьких пациентов врожденная форма заболевания обычно диагностируется в возрасте 5-6 лет, поскольку в раннем возрасте своды ступни еще недостаточно развиты, и признаки плоской стопы выявляются в норме у всех детей. В зависимости от изменений того или иного свода стопы выделяют следующие формы плоскостопия:
- Поперечное. Диагностируется в 55-80% случаев. Обычно развивается у людей среднего возраста (35-50 лет). Женщины страдают в 20 раз чаще мужчин. Этот вид плоскостопия характеризуется уменьшением длины стопы, веерообразным расхождением костей плюсны, деформацией I пальца (Hallux valgus), которую в быту обычно называют «косточкой», и молоткообразными пальцами стопы.
- Продольное. Выявляется у 20-29% больных. Чаще формируется в молодом возрасте (16-25 лет). Сопровождается уплощением продольного свода стопы. Стопа удлиняется, распластывается и соприкасается с опорой практически всей подошвой.
- Комбинированное. Признаки продольного и поперечного плоскостопия сочетаются между собой. Патология обычно обнаруживается в среднем возрасте.
Симптомы плоскостопия
Поперечное плоскостопие

В норме поперечный свод стопы, образованный головками плюсневых костей, имеет форму арки. Основная опора при стоянии и ходьбе ложится на головки V и I плюсневых костей. При развитии плоскостопия ослабевают поддерживающие структуры свода стопы: подошвенный апоневроз, несущий основную нагрузку по удержанию свода, межкостная фасция и мышцы стопы.
Опора перераспределяется на головки всех плюсневых костей, при этом нагрузка на головку I плюсневой кости уменьшается, а нагрузка на головки II-IV плюсневых костей резко увеличивается. I палец отклоняется кнаружи, головка I плюсневой кости и I палец образуют угол. В I плюснефаланговом суставе возникает остеоартроз. Появляются боли, уменьшается объем движений в суставе.
Повышенное давление головок плюсневых костей вызывает истончение слоя подкожной жировой клетчатки на подошвенной поверхности стопы, вызывая дальнейшее снижение амортизационной функции стопы. На подошве в области головок плюсневых костей образуются натоптыши.
В зависимости от выраженности угла между I пальцем и I плюсневой костью выделяют следующие степени поперечного плоскостопия:
- I степень (слабо выраженное). Угол менее 20 градусов.
- II степень (умеренно выраженное). Угол от 20 до 35 градусов.
- III степень (резко выраженное). Угол более 35 градусов.
Как правило, больные обращаются к врачу по поводу косметического дефекта стопы, реже - по поводу болей во время ходьбы, натоптышей на подошве, грубых кожных разрастаний или воспаления в области I плюснефалангового сустава (Hallux valgus).
В ходе опроса обычно выясняется, что пациента в течение продолжительного времени беспокоят более или менее выраженные жгучие или ноющие боли в стопе во время ходьбы. При осмотре выявляется деформация стопы: уплощение ее поперечного свода, характерная деформация I плюснефалангового сустава, при выраженном плоскостопии - молоткообразные пальцы стопы.
Продольное плоскостопие

При уплощении продольного свода в процесс вовлекаются кости, мышцы и связки стопы и голени. Кости перемещаются таким образом, что пятка разворачивается кнутри, а передние отделы стопы отклоняются кнаружи. Натяжение сухожилий малоберцовых мышц увеличивается, а сухожилия передней большеберцовой мышцы - уменьшается. Средняя часть ступни расширяется. Походка больного становится неуклюжей, при ходьбе он сильно разводит носки в стороны.
Выделяют четыре стадии продольного плоскостопия:
- стадия предболезни (продромальная стадия);
- перемежающееся плоскостопие;
- плоская стопа;
- плосковальгусная стопа.
На стадии предболезни пациента беспокоит быстрая утомляемость при ходьбе, боли в верхней части свода стопы и мышцах голени после продолжительных статических нагрузок. В стадии перемежающегося плоскостопия боли появляются не только к концу рабочего дня, но и после длительного стояния или продолжительной ходьбы. Выявляется напряжение мышц голени, иногда развиваются их временные контрактуры. Продольный свод стопы имеет нормальную форму по утрам, однако к вечеру становится уплощенным.
В период развития плоской стопы боли появляются даже после небольших статических нагрузок. Стопа расширяется и уплощается, высота ее свода снижается. Постепенно начинает меняться походка.
Различают три степени плоской стопы:
- I степень. Стадия начала формирования. Высота свода стопы менее 35 мм;
- II степень. Высота свода 25-17 мм. В суставах стопы начинает развиваться остеоартроз;
- III степень. Высота свода менее 17 мм. Передние отделы стопы разворачиваются и распластываются. Выявляется отклонение I пальца кнаружи. При этом боли в стопе на временно уменьшаются.
При отсутствии лечения в дальнейшем формируется плосковальгусная стопа, при которой боли появляются при малейшей статической нагрузке. Выявляется вальгусная деформация (резкий разворот стопы подошвенной стороной кнутри) и выраженное уплощение свода стопы.
Диагностика
Диагностику осуществляют врачи-ортопеды. Для уточнения типа и выраженности плоскостопия применяются следующие методы:
- Опрос. Специалист выясняет наличие таких жалоб, как боли и тяжесть в ногах, отеки к концу дня, повышенная утомляемость при стоянии и ходьбе. Ортопед уточняет связь работы пациента со статическими перегрузками, увеличение веса и размера обуви за последние годы.
- Объективное обследование. Врач осматривает стопу в свободном состоянии и при нагрузке, оценивает внешний вид ступни, выраженность сводов, наличие деформаций и объем движений.
- Рентгенография стопы. Выполняется с нагрузкой (с функциональными пробами). Является основным методом диагностики. Позволяет точно определить выраженность продольного и поперечного свода, физиологические и патологические углы между костями стопы и пр.
- Другие методики. Для выявления и оценки тяжести плоскостопия назначают плантографию (неэффективна у младенцев и лиц с ожирением) и подометрию.
Лечение плоскостопия
Лечение поперечного плоскостопия
Консервативная терапия эффективна только на I стадии плоскостопия. Пациенту рекомендуют снизить вес тела, подбирать удобную обувь без каблуков, уменьшить статические нагрузки на стопу. Показано ношение специальных стелек и валиков.
При плоскостопии II и III степени проводится хирургическое лечение. Существует множество методик для коррекции деформации I пальца, однако, ни одна операция не устраняет причину поперечного плоскостопия - слабость связок и мышц стопы. Возможно изолированное хирургическое вмешательство (резекция Hallux valgus - выступающего участка кости) и оперативное лечение, включающее в себя резекцию участка кости в сочетании с пластикой капсулы суставов и пересадкой сухожилий. В послеоперационном периоде больному плоскостопием рекомендуют постоянное ношение супинаторов или обуви со специальными стельками.
Лечение продольного плоскостопия
В стадии предболезни пациенту рекомендуют выработать правильную походку (без разведения носков), ходить босиком по песку или неровной поверхности и регулярно разгружать мышцы свода стопы, во время стояния периодически перенося нагрузку на наружные поверхности стоп. Больному плоскостопием назначают ЛФК, массаж и физиолечение: магнитотерапия, СМТ, гидромассаж и др.
В стадии перемежающегося плоскостопия к перечисленным мероприятиям добавляется рекомендация изменить условия труда для уменьшения статической нагрузки на стопы. При плоской стопе к комплексу терапевтических мероприятий ортопеды рекомендуют ношение ортопедической обуви и специальных стелек. При дальнейшем прогрессировании плоскостопия показано оперативное лечение. В стадии плосковальгусной стопы консервативные методики малоэффективны. Проводятся различные пластические операции: резекция участков костей, пересадка сухожилий и т. д.
Прогноз
На ранних стадиях прогноз благоприятный. В младшем детском возрасте плоскостопие поддается коррекции. У взрослых людей полное устранение патологии невозможно, однако правильный подбор обуви, регулярные занятия специальной гимнастикой, оптимизация нагрузки на ноги и использование ортопедических изделий позволяют предотвратить прогессирование патологии, минимизировать или устранить неприятные симптомы. На поздних этапах даже после оперативных вмешательств могут сохраняться боли, ограничения движений и другие проявления, обусловленные вторичными изменениями стоп.
Профилактика
Профилактические мероприятия включают осмотры детей для выявления и раннего начала лечения врожденного плоскостопия. Врослым рекомендуется нормализовать массу тела, избегать статических перегрузок, носить удобную обувь, соблюдать режим достаточной физической активности, укреплять мышцы стоп и голеней.
4. Проблемы диагностики и лечения плоскостопия у детей в современных условиях/ Соломин В.Ю., Федотов В.К., Юшко А.В., Скрипченко М.А. // Сборник тезисов IX съезда травматологов-ортопедов - Саратов, 2010
Поперечное плоскостопие
Поперечное плоскостопие - это патология, при которой наблюдается поперечное распластывание стопы и отклонение I пальца кнаружи. Основной причиной является недостаточность связочного аппарата стопы. Наряду с внешней деформацией поперечное плоскостопие проявляется болями в стопах, болью и жжением в мышцах стоп и голеней после физической нагрузки. Диагноз выставляется на основании осмотра и данных рентгенографии. Проводится симптоматическая консервативная терапия, при выраженной деформации выполняются корригирующие операции.


Поперечное плоскостопие - патологическое состояние, при котором передние отделы стопы распластываются, а I палец отклоняется кнаружи. Патология широко распространена, женщины страдают примерно в 20 раз чаще мужчин. Обычно выявляется у женщин среднего и пожилого возраста, реже встречается у мужчин (как правило - пожилых), в отдельных случаях обнаруживается у детей и подростков. В травматологии и ортопедии нередко наблюдается сочетание поперечного и продольного плоскостопия - комбинированное плоскостопие.
Обычно сопровождается более или менее выраженным болевым синдромом, тяжестью в стопах и быстрой утомляемостью при ходьбе. Со временем возникает тугоподвижность плюснефаланговых суставов, прогрессирующие деформации в области I и II пальцев. Причиной обращения к врачу, наряду с болями, нередко становится выраженный косметический дефект и проблемы при подборе удобной обуви. Лечение поперечного плоскостопия осуществляют травматологи-ортопеды.

Причины
Поперечное плоскостопие - полиэтиологическое заболевание, возникающее под влиянием различных факторов, к числу которых относят неудобную узкую обувь, высокие каблуки, длительное пребывание на ногах, лишний вес, предшествующие травмы стопы и т. д. Однако основной причиной формирования поперечного плоскостопия является врожденная слабость связочного аппарата стоп. В настоящее время данную патологию рассматривают, как необратимую деформацию, которую невозможно скорректировать консервативными методами, поскольку не существует лекарственных препаратов или ортопедических приспособлений, способных повлиять на восстановление тонуса и прочности соединительнотканных образований стопы.
Патогенез
В норме плюсневые кости удерживаются в анатомически правильном положении, благодаря межкостной фасции и подошвенному апоневрозу. При слабости перечисленных соединительнотканных структур в 30% случаев все кости плюсны веерообразно расходятся. В 27% случаев наблюдается отклонение I плюсневой кости в медиальную сторону, а остальные плюсневые кости сохраняют нормальное положение. В 5-6% случаев поперечник стопы увеличивается за счет отклонения V и IV плюсневых костей. В остальных случаях наблюдаются комбинации перечисленных вариантов.
Отклонение плюсневых костей - не единственное патологическое изменение, возникающее при поперечном плоскостопии. I плюсневая кость нередко поворачивается вокруг своей оси и приподнимается. Происходит перераспределение нагрузки: I плюснефаланговый сустав становится малоопорным, а наружные отделы стопы постоянно страдают от перегрузки. Из-за изменения нормальных соотношений между элементами стопы и тяги мышц I палец стопы «уходит» кнаружи. I плюснефаланговый сустав деформируется.
На внутренней поверхности стопы образуется «косточка», которая может представлять собой как экзостоз (костно-хрящевой нарост), так и сочетание экзостоза с выпирающим искривленным I плюснефаланговым суставом. Из-за избыточного давления обуви на I плюсневую кость в области сустава возникает бурсит, сопровождающийся локальным отеком и покраснением кожи. Развивается артроз I плюснефалангового сустава, что обуславливает усиление болевого синдрома. Объем движений в суставе снижается.
Искривленный I палец «заходит» на II палец. Со временем нередко формируется молоткообразная деформация II, реже - II-III пальцев, на подошвенной поверхности образуются натоптыши. Плюснефаланговые суставы «уходят» в состояние подвывиха. Все перечисленное становится причиной интенсивных болей, создает выраженные неудобства при ношении обычной, а иногда - и ортопедической обуви, приводит к вынужденному ограничению подвижности и трудоспособности.
Симптомы поперечного плоскостопия
Больные предъявляют жалобы на ноющие, тянущие, колющие или жгучие боли в стопах, преимущественно - в области I-II плюснефаланговых суставов. Боли усиливаются после продолжительного пребывания на ногах, могут сопровождаться чувством тяжести в стопах и жжением в мышцах. К вечеру может возникать отечность стоп и области лодыжек. Пациентки отмечают выраженные трудности при ходьбе на высоких каблуках, а также проблемы при выборе обуви - стопа становится слишком широкой и не входит в стандартную обувь.
Визуально определяется вальгусная деформация I пальца (Hallux valgus). Передние отделы стопы расширены. В запущенных случаях выявляется молоткообразное искривление II-III пальцев. Кожа в области I плюснефалангового сустава утолщена, гиперемирована. На внутренней и подошвенной поверхности в передних отделах стопы видны натоптыши и омозолелости. Объем движений в плюснефаланговых суставах ограничен. При пальпации возможна болезненность.
Диагноз поперечное плоскостопие выставляется на основании данных внешнего осмотра и результатов рентгенографии стопы. Для получения полной картины заболевания обычно назначают рентгенографию I, II и III плюснефаланговых суставов. В процессе описания снимков рентгенолог оценивает выраженность вальгусной деформации I пальца с учетом угла между I пальцем и II плюсневой костью и угла между I и II плюсневыми костями. Выделяют три степени деформации:
- 1 степень - угол между I пальцем и II плюсневой костью не превышает 25 градусов, угол между I и II плюсневыми костями не превышает 12 градусов.
- 2 степень - угол между I пальцем и II плюсневой костью не превышает 35 градусов, угол между I и II плюсневыми костями не превышает 18 градусов.
- 3 степень - угол между I пальцем и II плюсневой костью превышает 35 градусов, угол между I и II плюсневыми костями превышает 18 градусов.
Кроме того, при изучении рентгенограмм обращают внимание на наличие артроза, о котором свидетельствует деформация суставной площадки, сужение суставной щели, остеосклероз субхондральной зоны и краевые разрастания. При необходимости для детального изучения плотных структур стопы пациента направляют на КТ кости, для оценки состояния мягких тканей - на МРТ.

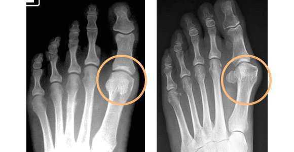
Рентгенография стопы. Поперечное плоскостопие. Угол между 1-й и 2-й плюсневой костью 11,1 град. (1-й ст.).
Лечение поперечного плоскостопия
Консервативное лечение
Тактика лечения определяется в зависимости от выраженности патологии, интенсивности болевого синдрома и косметических запросов больного. Стоит заметить, что современной медицине неизвестны безоперационные способы устранения деформации I плюснефалангового сустава, и все предложения «убрать косточку без операции» являются всего лишь рекламными трюками. Консервативная терапия поперечного плоскостопия направлена на уменьшение болей и замедление прогрессирования болезни.
На ранних стадиях пациентам рекомендуют носить межпальцевые валики и индивидуальные ортопедические стельки. При тяжелых деформациях изготавливают ортопедическую обувь по индивидуальным меркам в соответствии с рекомендациями врача-ортопеда. Кроме того, назначают массаж, ножные ванночки, специальный комплекс упражнений для укрепления мышц и связок стопы, а также физиотерапевтические процедуры: магнитотерапию, УВЧ, электрофорез с тримекаином или новокаином, фонофорез с гидрокортизоном, индуктотермию, парафин и озокерит. При болях и признаках воспаления рекомендуют НПВС местного и общего действия.
Хирургическое лечение
Операции осуществляются при грубых деформациях стопы и интенсивном болевом синдроме. Поводом для хирургического вмешательства у молодых женщин нередко становится косметический дефект при умеренно выраженной вальгусной деформации I пальца. В зависимости от особенностей патологии применяются оперативные вмешательства на мягких тканях, на костях, а также комбинированные вмешательства на мягких тканях и костях. Лечение проводится после необходимого обследования, в плановом порядке, в условиях ортопедического или травматологического отделения.
При операциях на мягких тканях выполняют отсечение или перемещение сухожилий для восстановления равномерности тяги мышц, отводящих и приводящих I палец. К числу паллиативных вмешательств, устраняющих внешнюю деформацию, но не влияющих на порочное положение I плюсневой кости относят иссечение подкожной сумки и экзостоза в области I плюснефалангового сустава. Такие операции позволяют уменьшить косметический дефект и облегчить пользование стандартной обувью, однако со временем их эффект часто исчезает из-за дальнейшего прогрессирования деформации.
Для того, чтобы устранить отклонение I плюсневой кости кнутри, в настоящее время обычно применяют Scarf остеотомию или шевронную остеотомию - операции, в ходе которых ортопед удаляет фрагмент кости и восстанавливает ее анатомически правильное положение. После хирургического вмешательства в течение 6 недель используют специальные ортезы. В последующем пациенту рекомендуют не перегружать стопу, носить удобную широкую обувь, делать самомассаж и выполнять специальные упражнения для укрепления мышц стопы.
2. Клинико-рентгенологические аспекты диагностики Hallux valgus и поперечного плоскостопия / Кондрашова И.А. Давлетова Н.А. Кондрашов А.Н. // Оригинальные исследования - 2013 - Т.14, №4
3. Наш опыт хирургического лечения больных с поперечным плоскостопием, Hallux valgus / Кузьмин В.И. Черкашов А.М. Шарамко Т.Г. Горохов М.А. // Российский медико-биологический вестник имени академика И.П. Павлова - 2016 - Т.24, №3
Плоскостопие у детей
Плоскостопие у детей - изменение конфигурации скелета стопы, связанное с уплощением ее сводов и приводящее к нарушению механики ходьбы. Плоскостопие у детей проявляется утомляемостью, болями в ногах при движении и статической нагрузке, отечностью и деформацией стопы, изменением походки, затруднением ходьбы. Диагноз плоскостопия у детей устанавливается на основании клинического осмотра, данных плантографии, подометрии и рентгенографии стоп. Для лечения плоскостопия у детей используются консервативные методы (массаж, лечебная гимнастика, физиотерапия, наложение гипсовых повязок и ортезов); оперативное вмешательство проводится в крайних случаях.

Плоскостопие у детей - самая распространенная ортопедическая патология в педиатрии, проявляющаяся снижением высоты сводов стопы. Плоскостопие может выявляться у ребенка с самого рождения (в 3% случаев); к 2 - 4 годам оно наблюдается у 24-32% детей, к 7 годам - у 40%, к 12 годам - у 50% подростков.
Активное формирование элементов свода стопы у детей происходит постепенно, с появлением и возрастанием нагрузки на ноги. Критическим моментом в развитии плоскостопия является возрастной период с 8 месяцев до 1,5 лет, когда ребенок начинает вставать и учиться ходить. В раннем возрасте у всех детей отмечается физиологическая плоская стопа, обусловленная возрастными анатомо-функциональными особенностями: хрящевой структурой костей, более эластичными и растяжимыми связками, слабыми мышцами. При правильном развитии с повышением силы и выносливости мышц это состояние у детей самостоятельно нормализуется к 5-6 годам. При определенных нарушениях у детей развивается плоскостопие, приводящее к резкому снижению амортизационного потенциала стопы, возрастанию нагрузки на другие элементы опорно-двигательного аппарата с повреждением коленных и бедренных суставов, деформацией позвоночника, нарушением работы внутренних органов.

Классификация плоскостопия у детей
Стопа имеет продольный и поперечный своды, поддерживающие мышцы и связки, обеспечивающие равновесие тела, распределение и смягчение ударной нагрузки во время ходьбы, бега и прыжков, а также повышающие выносливость к осевой нагрузке. По анатомическому признаку в ортопедии различают продольное, поперечное и комбинированное плоскостопие. У детей чаще встречается продольное плоскостопие с уплощением продольного свода и удлинением стопы, соприкасающейся с полом всей поверхностью подошвы. При поперечном плоскостопии у детей длина стопы уменьшается, ее передний отдел опирается на головки всех плюсневых костей.
Плоскостопие у детей может быть врожденным и приобретенным. Врожденная форма встречается достаточно редко и связана с пороками развития костных структур и мышечно-связочного аппарата стопы. Приобретенное плоскостопие у детей в зависимости от происхождения может быть статическим, травматическим, рахитическим, паралитическим. Самое распространенное статическое плоскостопие чаще встречается у детей школьного возраста при несоответствии между статической и динамической нагрузкой на стопу и тонусом мышц.
Причины плоскостопия у детей
Плоскостопие у детей может развиваться по различным причинам. Врожденное плоскостопие у детей наблюдается при внутриутробном недоразвитии костей, мышц, связок и сухожилий голени и стоп. Приобретенное плоскостопие у детей также развивается на фоне врожденной недостаточности соединительной ткани и может сочетаться с добавочной хордой в сердце, перегибом желчного пузыря, близорукостью и др. В формировании плоскостопия у детей большое значение имеет наследственный фактор - наличие этой патологии у близких родственников.
Плоскостопие у детей может быть вызвано слабостью мышечно-связочного аппарата стопы, не выдерживающего большие нагрузки; поражением костно-мышечной системы при рахите; неправильно сросшимися переломами лодыжек, плюсневых, пяточной и таранной костей; параличом или парезом мышц голени и стопы (в т.ч. после полиомиелита); неврологической патологией (энцефалопатией).
Возникновению статического плоскостопия у детей способствуют ношение неправильно подобранной обуви (тесной, разношенной, на толстой подошве), избыточный вес и ожирение, длительная непрерывная ходьба или стояние. Часто плоскостопие развивается у детей с плосковальгусной деформацией стоп.
Симптомы плоскостопия у детей
В большинстве случаев врожденного плоскостопия у детей поражается одна стопа, которая имеет вид качалки или «пресс-папье» с выпуклой подошвой и уплощенной, даже вогнутой тыльной стороной. Отмечается пяточная установка стопы, резкая пронация с отведением пальцев кнаружи. С появлением статической нагрузки врожденное плоскостопие усугубляется и закрепляется.
У детей 6-7 летнего возраста плоскостопие проявляется быстрой утомляемостью при ходьбе и стоянии, стаптыванием обуви по внутреннему краю подошвы и каблука. Клиническими симптомами приобретенного плоскостопия у детей являются ноющие боли в области стопы, усиливающиеся после длительного пребывания на ногах; отечность стоп к вечеру, утомляемость при ходьбе.
Выделяют три степени продольного плоскостопия у детей, определяющиеся по степени деформации стопы. При I степени высота свода стопы составляет 25-35 мм, видимая деформация стопы отсутствует. При II степени - высота свода от 25 до 17 мм, уплощение стопы видно невооруженным глазом; плоскостопие у детей проявляется нарастанием болей в стопе, голеностопном суставе и икроножных мышцах, затруднением ходьбы. Изменяется форма стопы - увеличивается ее длина, расширяется средняя часть, походка становиться тяжелой и неуклюжей; у детей отмечается быстрая общая утомляемость. Плоскостопие III степени характеризуется резко выраженной деформацией стопы, снижением высоты свода менее 17 мм, постоянными болями в ногах и пояснице, головными болями, невозможностью ходьбы в обычной обуви.
Плоскостопие служит причиной искривления пальцев стопы, появления мозолей, формирования у ребенка нарушений осанки (сколиоза) и болезней позвоночника (остеохондроза, грыжи межпозвонковых дисков), развития деформирующих артрозов, воспаления менисков и т. д.
Диагностика плоскостопия у детей
Установить плоскостопие у детей до 5-6 летнего возраста довольно проблематично. Диагноз выраженных случаев плоскостопия у детей может быть поставлен детским ортопедом при клиническом осмотре, позволяющем выявить изменения длины, ширины и объема движений стопы, нарушение состояния ее сводов, особенности износа обуви.
Объективными методами оценки плоскостопия у детей старшего возраста являются плантография - получение отпечатка следа ноги на бумаге и подометрия - измерение «подометрического индекса» свода стопы. Уточнить диагноз плоскостопия у детей помогаю результаты рентгенографии стоп с нагрузкой, выполненной в 2-х проекциях.
Лечение плоскостопия у детей
Плоскостопие у детей - прогрессирующее заболевание, и чем раньше начато его лечение, тем эффективнее результаты. Лечение врожденного плоскостопия начинают с первых недель жизни ребенка, что позволяет устранить все компоненты деформации стопы. При врожденном плоскостопии у детей проводится специальная лечебная гимнастика, массаж мышц стопы и голени; осуществляется удержание стопы в правильном положении с помощью бинтования, наложения этапных гипсовых повязок, ночных ортезов (с 6 месячного возраста). При усугублении проявлений плоскостопия у детей выполняют операцию подтаранного артроэреза.
Лечение статического плоскостопия у детей, направленное на укрепление мышечно-связочного аппарата стопы, включает массаж, физиотерапию и ЛФК. У детей младшего возраста исключаются мягкая обувь (валенки, резиновые сапоги, чешки); рекомендуется ношение ботинок с твердой подошвой и небольшим каблучком, хорошо фиксирующих голеностопные суставы. При плоскостопии у детей старшего возраста показано ношение ортопедической обуви со стелькой-супинатором, приподнимающим опущенный свод и возвращающим стопу в правильное положение.
Прогноз и профилактика плоскостопия у детей
Слабо и умеренно выраженная степень плоскостопия у детей при своевременной коррекции полностью излечима; запущенные случаи трудно поддаются коррекции. В отсутствии лечения плоскостопие у детей приводит к выраженной деформации стопы, суставов и позвоночника.
Профилактикой плоскостопия у детей являются ношение правильно подобранной обуви; занятия физкультурой, игровыми видами спорта (баскетбол, футбол) и плаванием; ходьба босиком по неровной земле, песку, гальке; нормализация кальциево-фосфорного обмена; контроль массы тела.
Поперечное плоскостопие - симптомы и лечение
Что такое поперечное плоскостопие? Причины возникновения, диагностику и методы лечения разберем в статье доктора Коршуновой Светланы Михайловны, детского ортопеда со стажем в 4 года.
Над статьей доктора Коршуновой Светланы Михайловны работали литературный редактор Юлия Липовская , научный редактор Евгений Коновалов и шеф-редактор Маргарита Тихонова

Определение болезни. Причины заболевания
Поперечное плоскостопие (transverse flatfoot) — это деформация стопы, при которой её поперечный свод опускается и не может выполнять свои функции: удерживать равновесие тела и обеспечивать плавность и пружинистость походки.

Поперечный свод стопы — это арка, которая состоит из 5 плюсневых костей. Вершиной этой арки является 2-я плюсневая кость. В норме стоя мы опираемся на три точки — пятку и головки 1-й и 5-й плюсневых костей. При плоскостопии головки 2-й и 4-й пальцев опускаются и становятся в один ряд с 1-й и 5-й костями.
Причины поперечного плоскостопия
- Малоподвижный образ жизни.
- Неудобная тяжёлая обувь.
- Ношение обуви дома, в том числе тапочек. .
- Недостаток витаминов и микроэлементов.
- Неврологические нарушения, например паралич подошвенных мышц стопы, последствие полиомиелита.
- Работа, при которой приходится долго стоять. Чаще плоскостопие возникает у продавцов, пекарей, столяров, учителей и др. .
- Травмы стопы: переломы костей стопы, травмы лодыжки, разрыв сухожилий и связок стопы.
Распространённость
Поперечное плоскостопие и вальгусная деформация большого пальца (hallux valgus) — наиболее частые нарушения опорно-двигательного аппарата. Среди всех ортопедических патологий они составляют около 10 % [1] .
По данным Всемирной организации здравоохранения (ВОЗ), у 75 % жителей планеты есть проблемы со стопами. Среди патологий переднего отдела стопы поперечное плоскостопие составляет 63,6 % случаев. У женщин оно встречается чаще: на каждые 20 женщин с поперечным плоскостопием приходится один мужчина. Это связано со слабостью связочного аппарата у женщин [3] [19] .
При обнаружении схожих симптомов проконсультируйтесь у врача. Не занимайтесь самолечением - это опасно для вашего здоровья!
- болезненность в переднем отделе стопы при длительной ходьбе;
- мозоли под головками плюсневых костей;
- мозоли на мизинце;
- мозоли на фалангах 1-го (большого) пальца; , образование «шишки» на стопе;
- болезненность при пальпации мышц между плюсневыми костями;
- боль в области пятки при ходьбе;
- боль при вставании на носочки;
- трудность в подборе обуви из-за узкого переднего отдела и мозолей в области большого пальца и мизинца.

Симптомы появляются не сразу. Около трёх лет болезнь может себя не проявлять. Затем пациент ощущает тяжесть в стопах, быструю утомляемость мышц голени и стоп [13] . Часто эти симптомы путают с началом варикозной болезни вен.
Позже возникает отёчность стоп и голеностопного сустава, появляются натоптыши на подошве стопы [14] . Также пациенты отмечают, что обувь стала мала, особенно к концу для, появляется боль в области пятки и между плюсневыми костями. С годами состояние прогрессирует.
Патогенез поперечного плоскостопия
Структурно стопа состоит из препдлюсны, плюсны и пальцев. Её форма зависит от состояния мышц, связок и положения костей [5] .

Стопу образуют 28 костей. Они соединены между собой суставами и укреплены связками. Связки придают стопе сложную форму, напоминающую спираль или лопасть пропеллера, и делают её подвижной в трёх плоскостях. Поверх связок лежат мышцы. Только они испытывают нагрузку, когда человек стоит, идёт или бежит. Кроме этого, мышцы стопы и голени формируют свод и поддерживают форму стопы [8] [15] .
Арка поперечного свода стопы поддерживается поперечными связками и четырьмя мышцами, сужающими стопу [6] . Если мышцы в стопе слабые, под весом тела они не могут удержать кости в нужном положении. Тогда кости разводятся в стороны, в итоге передний отдел выглядит распластанным, а головка 2-й плюсневой кости опускается и становится опорной. Межкостные мышцы при этом перерастягиваются и не могут больше сокращаться. Связки начинают испытывать нагрузку, которой в норме быть не должно. Из-за этого возникает боль в области головок плюсневых костей.
Наиболее уязвимы при поперечном плоскостопии фасция подошвы и мышцы, приводящие большой палец. Фасция подошвы (плантарная фасция, или подошвенный апоневроз) — тонкая неэластичная плёнка, которая одним концом прикреплена к пяточному бугру, а другим — к основаниям пальцев стопы [8] . При правильной анатомии стопы на неё не ложится вес и нагрузка. Если передний отдел растягивается, то мышцы не могут удержать кости в нормальном состоянии и на плантарную фасцию ложится большая нагрузка, она перерастягивается и травмируется в области прикрепления. Из-за этого возникает боль по всей поверхности стопы, преимущественно в области пятки.

Мышца, приводящая большой палец стопы, идёт от всех пальцев и прикрепляется к кости под головкой 1-й плюсневой кости (сесамовидной) [9] . Её задача — приводить большой палец к стопе и поддерживать стопу узкой. Эта мышца работает при ходьбе босиком. Чем чаще мы ходим в обуви, тем меньше на неё нагрузка. Без нагрузки она слабеет, растягивается и не может приводить большой палец, поэтому он отклоняется в сторону и стопа становится распластанной.

Классификация и стадии развития поперечного плоскостопия
Классификация плоскостопия:
- поперечное — опускается поперечный свод стопы;
- продольное — опускается продольный свод стопы;
- смешанное — опускается продольный и поперечный своды стопы [12] .

Степени тяжести поперечного плоскостопия:
- Лёгкая степень — передний отдел стопы расширяется. Могут опуститься головки 2-й и 3-й плюсневых костей. Появляется утомляемость и тяжесть в ногах к концу дня.
- Средняя тяжесть — опускаются головки 2-й и 3-й плюсневых костей, увеличивается расстояние между плюсневыми костями. Появляется болезненность при пальпации (прощупывании) межкостных мышц. При длительной ходьбе стопа начинает болеть.
- Тяжёлая степень — деформация переднего отдела стопы, стойкий болезненный синдром при нагрузке и в покое, появляются множественные натоптыши под головками плюсневых костей [10] .
Степень плоскостопия по результатам рентгена:
- I степень — угол между 1-й и 2-й плюсневыми костями составляет 10-12°, а угол отклонения большого пальца 15-20°;
- II степень — углы увеличиваются до 15 и 30°;
- III степень — углы увеличиваются до 20 и 40°;
- IV степень — углы превышают 20 и 40° [17] .
Осложнения поперечного плоскостопия
Без лечения и коррекции могут развиваться:
- ( hallux valgus ). Мышца, приводящая большой палец, атрофируется. Палец выходит из своего сустава. Внешне проявляется как шишка на пальце.
- Молоточкообразная деформация пальцев стопы. Сухожилия сгибателей пальцев натягивается. Пальцы находятся в стойкой деформации: согнуты в суставах фаланг, их невозможно разогнуть. От постоянного соприкосновения с обувью на суставах пальцев образуются множественные мозоли.
![Молоточкообразная деформация пальцев стопы [21]](https://probolezny.ru/media/bolezny/poperechnoe-ploskostopie/molotochkoobraznaya-deformaciya-palcev-stopy-21_s.jpg)
- Боли в крупных суставах ног. При нарушении биомеханики шага и постановки стопы нарушается вся работа ног. Из-за этого часто болят коленные суставы при ходьбе и беге, в тазобедренных суставах могут появиться щелчки.
Ранее считалось, что поперечное плоскостопие может привести к проблемам в позвоночнике (болям, сколиозу и остеохондрозу). Но общенациональное исследование показало, что проблемы стопы не являются фактором развития патологий позвоночника [7] . Вросший ноготь также не связан с плоскостопием.
Диагностика поперечного плоскостопия
Сбор анамнеза и осмотр
Врач собирает историю болезни и осматривает стопы. При осмотре обращает внимание на походку, положение стопы в покое, натоптыши на тыльной поверхности стопы, стирание каблука у обуви, болезненность при пальпации, проводит двигательные тесты: просит пациента встать на носочки, постоять на одной ноге, поднять и отвести большие пальцы стоп.
Также специалист задаёт уточняющие вопросы:
- когда появляется боль в стопе;
- как часто она возникает;
- как долго пациент ходит в течение дня;
- какую обувь выбирает;
- что помогает снизить боль.
По результатам осмотра можно установить диагноз. Если возникли сомнения, нужно провести инструментальные исследования.
Инструментальная диагностика
Рентгенография стоп с нагрузкой. Снимки делают в двух проекциях:
- Прямая — опираясь рукой на стул, пациент встаёт одной стопой на кассету с рентгеновской плёнкой размером 18 × 24 см, вторую ногу держит на весу, затем выполняется прямой снимок [17] .
- Боковая — снимок делается сбоку, при этом нужно захватить 4-5 см голеностопного сустава. Пациент также стоит на одной ноге.
Снимки в двух проекция выполняются поочерёдно для обоих ног. Степень поперечного плоскостопия определяют по углу отклонения 1-й плюсневой кости и большого пальца. На рентгенограммах проводят три прямые линии, соответствующие продольным осям 1-й и 2-й плюсневой кости и основной фаланге большого пальца [2] .
![Рентген стоп в прямой проекции. Определение степени плоскостопия [22]](https://probolezny.ru/media/bolezny/poperechnoe-ploskostopie/rentgen-stop-v-pryamoy-proekcii-opredelenie-stepeni-ploskostopiya-22_s_wzfaB23.jpg)
Раз в 1-2 года лучше сделать повторный снимок, чтобы оценить динамику лечения.
Осмотр на плантоскопе. Плантоскоп — это устройство, с помощью которого можно со стороны увидеть отпечатки ступней пациента в режиме статической нагрузки. Для этого пациент встаёт босиком на плантоскоп. Доктор оценивает величину кожного свода стопы, точки, на которые пациент больше всего опирается, отклонение большого пальца, соприкосновение пальцев стоп с поверхностью.

Лабораторная диагностика
Лабораторные исследования проводятся, чтобы исключить другие патологии, которые могут привести к болям в стопе: подагру, ревматоидный полиартрит, артрозы суставов стопы. Как правило, выполняются общий и биохимический анализы крови: оценивают уровень С-реактивного белка (СРБ), ревматоидного фактора, мочевой кислоты и мочевины.
Лечение поперечного плоскостопия консервативное. Цель лечения — уменьшить боли в стопе, улучшить кровоток в тканях и поддержать свод стопы [16] .
ЛФК при поперечном плоскостопии
Лечебная физкультура выполняется ежедневно по 10-15 минут два раза в день. Так как поперечное плоскостопие связано со слабостью мышц стопы, то при лечебной физкультуре упражнения направлены на тренировку этих мышц.
Базовые упражнения при плоскостопии:
- Попеременно стоять то на внутренней, то на наружной стороне стоп. Сначала сидя, затем стоя, повторять 10 раз.
- Вращать стопами по кругу, поставив их пятками на пол. Сначала сидя, затем стоя, держась за опору. Выполнять 10 раз.

- Встать, поставить ноги на ширину плеч и переносить вес с пяток на носки. Делать это упражнение в трёх вариантах: сначала стопы параллельны друг другу, затем развёрнуты друг к другу носками, затем пятками. Повторять по 10 раз в каждой позиции.
- Ходить по пять шагов на носках, на пятках, на внутренних, затем на внешних сторонах стоп.
- Ходить, перекатываясь с пятки на носок, делать так 40 шагов.
- Катать палку попеременно каждой ногой, сначала сидя, затем стоя, по 1-2 минуте на каждую ногу.
- В течение 5-10 минут прокатывать теннисный мяч каждой стопой от кончиков пальцев к пятке и обратно, сначала сидя, затем стоя. Можно использовать другой мяч, подходящий по размеру [11] .

Эти упражнения подходят и детям, и взрослым. Через боль заниматься нельзя. Противопоказания: отёк стопы, горячий 1-й плюснефаланговый сустав, раны на тыле стопы.
При регулярных занятиях боль в стопах обычно исчезает в течение 9 недель [19] . Но прекращать занятия не нужно, иначе боль может появиться снова.
Индивидуальные ортопедические стельки
Снять боль и напряжение с переднего отдела стопы помогают индивидуальные стельки с метатарзальной подушкой, которая устанавливается на уровне головок 2-й и 3-й плюсневых костей. Эти стельки делает врач. Готовые стельки не подойдут, так как длина пальцев стоп и ширина поперечного свода у каждого человека индивидуальны.
Массаж стоп
Нужно нанести на стопу крем или растительное масло и массировать её [18] . Массаж стоп помогает улучшить кровоток в мышцах, расслабляет межкостные и короткие мышцы стопы, снимает с них напряжение и уменьшает боль [18] .

Выбор обуви
При выборе обуви стоит отдавать предпочтение моделям с широким передним отделом. Подошва обуви должна гнуться под пальцами. Для этого можно встать на носочки при примерке обуви и немного походить. Если есть дискомфорт, лучше поменять обувь.
Дома стоит ходить только босиком. Тапки и шлёпанцы противопоказаны при поперечном плоскостопии. При ходьбе в них поднимаются пальцы и нарушается биомеханика шага. Если нет возможности ходить босиком, лучше выбрать тапки с фиксацией на пятке.
Прогноз. Профилактика
Как правило, после 4-9 недель консервативного лечения боль в стопах и мышцах голени проходит, уменьшается отёк. Если забросить ЛФК, боль может вернуться. ЛФК стоит выполнять ежедневно по 10 минут в день.
Вальгусная деформация стопы - симптомы и лечение
Что такое вальгусная деформация стопы? Причины возникновения, диагностику и методы лечения разберем в статье доктора Саковича Никиты Валерьевича, ортопеда со стажем в 9 лет.
Над статьей доктора Саковича Никиты Валерьевича работали литературный редактор Елена Бережная , научный редактор Сергей Федосов
Вальгусная деформация стопы — комплексное заболевание, которое проявляется поперечным и продольным плоскостопием, искривлением первого пальца, образованием костной «шишки» и нарушением собственного мышечно-связочного баланса. [2] [6] [13]

Заболевание сопровождается уплощением стоп и их «заваливанием» на внутреннюю часть.

Согласно статистическим данным, среди многочисленных ортопедических заболеваний стоп ведущее место занимает поперечно-распластанная деформация ее переднего отдела, сопровождающаяся вальгусным (наружным) отклонением І пальца. Впервые патология была описана более 200 лет назад и по сей день составляет около 80% всех вариантов деформаций стоп. В большей степени данная патология касается женщин — около 98%. [3] [8]
В повседневной жизни люди называют это заболевание по разному — галюкс, халюкс, шишка на пальце, искривление первого пальца и т. д. Как ни назови, а суть не меняется: первый палец отклоняется в сторону второго, и происходит деформация в плюснефаланговом суставе (та самая «шишка»). Помимо эстетической составляющей, заболевание причиняет человеку неприятные ощущения и неудобства при ходьбе.
Выделяют множество причин, приводящих к искривлению стопы, но они редко встречаются изолированно:
- плоскостопие: поперечное, продольное, комбинированное; врожденное и приобретенное;
- остеопороз: низкое содержание кальция в костях, что приводит к потере жесткости и изменению формы. Причиной могут быть гормональные сбои и наследственная предрасположенность; [10]
- лишний вес: у стопы есть предельный потенциал давления, который она может выдержать, не деформируясь. При снижении сопротивляемости или увеличении веса связки и мышцы не выдерживают и перерастягиваются;
- генетическая предрасположенность: гиперэластичность стопы может быть врожденной. [15] При этом мышечно-связочный аппарат слабый, и вероятность развития плоскостопия увеличивается;
- ходьба в неправильной обуви. Нежелательно постоянно носить узкую обувь и на высоких каблуках, так как нагрузка на стопу распределяется неправильно - почти весь вес приходится на передний отдел, а именно на плюснефаланговый сустав первого пальца; [13][17]
- эндокринные нарушения: резкие изменения гормонального фона во время беременности, при климаксе и даже просто ежемесячные его колебания, обусловленные менструальным циклом, могут стать причиной ослабления связок; [9]
- травмы стопы: удар или падение тяжелого предмета на ногу могут быть причиной перелома или ушиба, которые провоцируют начало деформации.
Симптомы вальгусной деформации стопы
На начальных стадиях появляется утомляемость во время ходьбы, «натоптыши» на стопе и «омозолелость» с внутренней стороны первого плюснефалангового сустава. [13] Появляется боль в суставах, большой палец отклоняется в сторону, появляется «шишка» с внутренней стороны. Вместе с первым пальцем деформируются и остальные, становятся молоткообразными.

Боль усиливается, прежняя обувь становится узкой, и подобрать удобные туфли практически невозможно. Мозоль и утолщенные мягкие ткани становятся болезненными и воспаляются. Формируется бурсит, который может стать хроническим.

Задний отдел стопы тоже искривляется, что выглядит, как необычная косолапость. [11] [15] Боль усиливается и начинает появляться в подтаранном и голеностопном суставе. При отсутствии лечения перегружаются колени, тазобедренные суставы и позвоночник. [2] [7] Иногда происходит врастание ногтя первого пальца, что создает дискомфорт при ходьбе.
Вначале больных обычно беспокоит лишь косметический дефект — отклонение первого пальца и костный нарост с внутренней стороны сустава. Это особенно заметно при ношении открытой обуви, посещении пляжа или бассейна. Именно это заставляет многих женщин прийти к травматологу-ортопеду.
Патогенез вальгусной деформации стопы
В результате ослабления мышечно-связочного аппарата стопы и неправильной нагрузки происходит изменение точек опоры и уплощение поперечного и продольного сводов.

Нагрузка и опора переходит на все плюснефаланговые суставы, что приводит к веерообразному расхождению костей переднего отдела стопы. [4] [15] Происходит дисбаланс мышечной силы, которая держит первый палец ровно, в результате он отклоняется, и искривление прогрессирует.

Значимым смещением костей первого пальца кнаружи считается смещение более чем на 10 градусов. Параллельно изменения происходят в капсульно-связочном аппарате — растяжение наружных отделов, смещение сесамовидного гамака. [6] [13]
Еще поперечное распластывание способствует развитию метатарзалгии — болей в области II-IV плюсневых костей из-за избыточной нагрузки, так как в норме в переднем отделе основная опора приходится на головки I и V. [5] [8]
Помимо метатарзалгии формируются молоткообразные второй, третий и даже четвертый пальцы из-за повышенного натяжения сухожилий сгибателей и разгибателей. Это приводит к вывихам и контрактурам в соответствующих суставах. [12]
Деформация (опускание) среднего отдела стопы происходит при ослаблении связочного аппарата Шопарова сустава. [10] Данная патология встречается нечасто и обычно является следствием травм.
Задний отдел также подвергается изменению: он искривляется в области пяточной кости — происходит ее пронация (внутреннее вращение), при увеличении которой диагностируется подвывих в подтаранном суставе.
Классификация и стадии развития вальгусной деформации стопы
В зависимости от отдела деформации стопы — переднего или заднего, выделяют разные стадии заболеваний. Для определения стадии необходима рентгенограмма в двух проекциях и осмотр травматолога-ортопеда.
В деформации первого пальца выделяют три стадии на основании углов отклонения:
При уплощении продольного свода стопа соприкасается с полом всей поверхностью подошвы. [16] Немного увеличивается длина ступни, так как свод исчезает. В этом процессе выделяют три стадии:
- При первой степени человек, как правило, не чувствует дискомфорта или болей. Однако ноги быстрее устают, длительные нагрузки переносятся уже не так легко. Рентгенографически угол свода 130-140 градусов, а высота 25 мм. [2][14]
- Вторая степень диагностируется увеличением угла до 141-155 градусов и опущением свода от 17 до 25 мм. Появляются боли, усиливающиеся при нагрузке. Прежняя обувь становится тесной.
- Третья степень — стопа совсем уплощается, ее угол свода возрастает более 155 градусов, а высота опускается ниже 17 мм. Постоянные боли в мышцах ног, суставах, спине. [7] Развиваются различные осложнения, привычную обувь невозможно носить, а передвигаться на дальние расстояния невозможно.
При уплощении поперечного свода распластывание характеризуется расхождением пальцев и увеличением ширины стопы. [13] Поэтому определение степени тяжести плоскостопия происходит путем измерения угла между 1 и 2 плюсневыми костями:
- первая стадия: расхождение не более 10-12 градусов;
- при второй степени этот угол увеличивается до 15 градусов;
- третья степень характеризуется расхождением до 19 градусов.
Осложнения вальгусной деформации стопы
Наиболее частым осложнением является воспаление синовиальных сумок (бурс). [12] Проявляется гиперемией, отечностью, болями, которые усиливаются при механическом воздействии.
Другим частым осложнением является формирование артроза первого плюснефалангового сустава — разрушение хряща, появление костных экзостозов (разрастаний), уменьшение подвижности и начало болей.

Если обобщить остальные нарушения, то это поражение суставов стопы, и в целом нарушение походки. При запущенных случаях страдают коленные, тазобедренные суставы и позвоночник, что проявляется артрозом и их деформацией. [9] [12]
Распространенным осложнением является «пяточная шпора», которая возникает из-за перерастяжения плантарной фасции. [10] Пациенты страдают при этом резкой болью при ходьбе в области пятки. Иногда возникает ахилобурсит - воспаление в области ахилового сухожилия. Итак, несвоевременное лечение приводит комплекс осложнений, которые требуют дополнительного лечения.
Диагностика вальгусной деформации стопы
Для назначения адекватного лечения и в целях предотвращения прогрессирования болезни необходимо проведение полного обследование пациента, чтобы выявить причины возникновения деформации и определить стадии процесса.
Основные методы диагностики:
- очная консультация ортопеда-травматолога;
- рентгенография стоп в 3-х проекциях — в целях определения стадии заболевания, а также выявления сопутствующих патологий, к которым относятся артроз, подвывих и вывих суставов. Исследование необходимо делать под нагрузкой, так как результат искривления углов может отличаться на 20%. По рентгеновскому снимку проводят все расчеты, необходимые для определения тактики лечения.

- плантография — для определения плоскостопия (отпечатки стоп);
- подоскопия — осмотр подошвенной части стопы в положении стоя;
- при необходимости исключения других заболеваний может быть назначено КТ или МРТ;
- УЗИ необходимо для исследования сосудов при подозрении на нарушение кровообращения.
После обследования необходима дифференциальная диагностика для исключения заболеваний с похожими симптомами (артрит, подагра, деформирующий остеоартроз). Для этого назначаются лабораторные исследования: факторы воспаления, специфические маркеры и общеклинические исследования. [13]
Лечение вальгусной деформации стопы
За последние сто лет хирургия стопы не только не утратила своей актуальности, но и делает постоянные шаги вперед, с появлением более совершенных инструментов и фиксаторов. На данный момент разработано более 400 видов операций и их модификаций с целью коррекции деформации различных отделов стопы. [5] [16]
При начальных изменениях можно обойтись малотравматичной операцией — МакБрайда, метод Сильвера, метод Р.Р. Вредена. [13] При этом кость не распиливается, а меняется место прикрепления сухожилия приводящей мышцы большого пальца. Период восстановления минимальный и составляет 2-3 недели.

Если диагностируется II и III степень, то выполняется более травматичная операция — остеотомия (перепиливание кости) с выставлением правильного угла и фиксацией винтами либо спицами. [12] [15] Существует множество методик коррекции первого пальца:
• Дистальные (применяются, если угол между 1 и 2 плюсневыми костями не более 14°): операция Шеде — удаление экзостоза («шишки»), подголовчатая клиновидная остеотомия по J. Reverdin, операция T.R. Allen, операция D.W. Austin (шевронная остеотомия);
• Диафизарные (применяется, если угол между 1 и 2 плюсневыми костями от 15° до 22°): Z-образная остеотомия M. Meyer (scarf), операция K. Ludloff, остеотомия C.L. Mitchell;
• Проксимальные (угол между I и II плюсневыми костями более 22°): двойная остеотомия по Logroscino, клиновидная остеотомия M. Loison, E. Juvara, остеотомия по G.W. Patton и J.E. Zelichowski;
Иногда при наличии деформации основной фаланги первого пальца требуется дополнительная остеотомия O.F. Akin (Моберга). [13]
Выбор делает травматолог-ортопед, учитывая локализацию основных изменений, конгруэнтность первого плюснефалангового сустава (сохранение суставных поверхностей) и тяжесть патологии.

Если первый плюснефаланговый или плюснеклиновидный сустав разрушен деформирующим артрозом либо другой патологией, то выполняется артродез (заклинивание, обездвиживание сустава) либо, в редких случаях, — эндопротезирование. [16]
После операции пациент ходит в течение 4 недель в специальной обуви (Барука), которая нужна для разгрузки переднего отдела стопы. После контрольных рентгеновских снимков врач разрешает ходить, нагружая всю стопу, но ограничивая тяжелые и спортивные нагрузки. Как правило, через 2 месяца пациент возвращается к обычному образу жизни. Фиксирующие винты не удаляются и не приносят никакого дискомфорта.
С целью коррекции «малых» лучей стопы (II-IV плюсневые) применяются методики Weil, субкапитальные шарнирные остеотомии, DMMO. [9] [15] Для коррекции деформации Тейлора (V плюсневая) — методики Willson, Bosh и DMMO.
Для коррекции плосковальгусных деформаций применяются следующие методики:
- транспозиция сухожилий;
- медиализирующая остеотомия пяточной кости; операция Коттона;
- удлинение латеральной колонны;
- артродез сустава Лисфранка;
- артроэрез;
- трехсуставной артродез. [1][6]
Основной задачей современных методик лечения является максимально возможное приближение всех анатомо-функциональных параметров к норме. Игнорирование индивидуальных особенностей стопы, выбор неправильной методики лечения ведут не только к рецидиву деформации, но и к ее усугублению. [18] Отказ от хорошо известных и зарекомендовавших себя операций и массовое увлечение новыми, равно как и слепое использование одних и тех же операций на протяжении десятилетий, без учета индивидуальных особенностей каждой стопы, категорически не приемлемы. [13]
Лечение вальгусной деформации большого пальца стопы почти всегда начинают с подбора удобной обуви, не вызывающей трения или нагрузки. Нестероидные противовоспалительные препараты и физиотерапия могут быть назначены, чтобы уменьшить воспалительный процесс и снять боли. [6] Кроме того, возможны инъекции кортикостероидов. [11]
Используются различные ортопедические изделия (супинаторы, корректоры пальцев стопы, межпальцевые валики). Применение ортопедических приспособлений незначительно помогает на ранних стадиях остановить дальнейшую деформацию. [10] При выраженной деформации применение ортопедических изделий может только несколько уменьшить болевые ощущения.
Ортопедические стельки являются неотъемлемой частью лечения деформации стоп. [17] В большинстве случаев стандартные стельки не эффективны, поэтому лучше использовать индивидуальные, изготовленные именно для вашей стопы. [12] Обязательное условие: если вы носили ортопедические стельки до операции, после их нужно менять на новые, так как исправленная стопа меняет свои характеристики.
При правильно выбранном лечении прогноз положительный. Боли прекращаются, достигается удовлетворительный косметический результат, и ходьба становится комфортной. Важным моментом является соблюдение всех рекомендаций врача, что обеспечит гладкий послеоперационный период и снизит риск рецидива. [13] И, конечно, чем раньше обратиться к травматологу-ортопеду, тем меньше будет объем оперативного вмешательства и короче сроки реабилитации.
Читайте также:
- Фиксированные лекарственные высыпания у ребенка
- Влияние факторов внешней среды на мускулатуру.
- Применение и побочные эффекты зидовудина. Ненуклеозидные ингибиторы обратной транскриптазы
- Эндоскопические ассистированные операции. История эндоскопической ассистенции.
- Клиника гистиоцитозов из клеток Лангерганса. Признаки гистиоцитоза органов
