Послеоперационный уход после доступа для тотального эндопротезирования коленного сустава
Добавил пользователь Евгений Кузнецов Обновлено: 01.01.2026
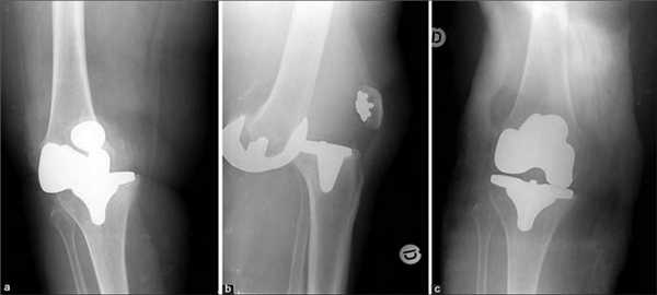
Ревизионное тотальное эндопротезирование коленного сустава - операция по замене эндопротеза коленного сустава в результате нестабильности различного генеза.
Ревизионное тотальное или однокомпонентное эндопротезирование коленного сустава проводится при нестабильности эндопротеза коленного сустава различной этиологии:
- септическая нестабильность коленного сустава;
- септическая нестабильность коленного сустава;
- опухолевые процессы в коленном суставе, требующие резекции патологического очага (проводится первичное эндопротезирование коленного сустава с применением ревизионных или онкологических систем).
I. ВВОДНАЯ ЧАСТЬ
Название протокола: Ревизионное эндопротезирование коленного сустава
Код протокола:
Код(ы) МКБ-10:
Т 84.0 Осложнение механического происхождения, связанное с внутренним суставным протезом
Т 84.5 Инфекция и воспалительная реакция, обусловленные эндопротезированием
С 40.2 Злокачественное новообразование длинных костей нижней конечности
Д 16.2 Доброкачественное новообразование длинных костей нижней конечности
Сокращения, используемые в протоколе:
РТЭКС - ревизионное тотальное эндопротезирование коленного сустава
Дата разработки протокола: 2013 год.
Категория пациентов: больные с нестабильностью эндопротеза коленного сустава различной этиологии.
Пользователи протокола: травматолог-ортопед поликлинического уровня; травматолог-ортопед стационара.

Автоматизация клиники: быстро и недорого!
- Подключено 300 клиник из 4 стран
- 800 RUB / 4500 KZT / 27 BYN - 1 рабочее место в месяц

Автоматизация клиники: быстро и недорого!
- Подключено 300 клиник из 4 стран
- 1 место - 800 RUB / 4500 KZT / 27 BYN в месяц
Мне интересно! Свяжитесь со мной
Классификация
Клиническая классификация
Нестабильность эндопротеза коленного сустава возникает вследствие многих факторов: присоединение инфекции, нарушение ортопедического режима пациентом, в результате образования дебридмента после многолетней эксплуатации эндопротеза и др.
Сложнейшей проблемой ревизионного эндопротезирования коленного сустава является восполнение дефектов бедренной и большеберцовой костей, возникающих в результате остеолиза, при асептическом расшатывании протеза или инфекционном процессе. Дефицит костной массы требует решения вопроса о способе замещения образовавшихся дефектов, восстановления баланса мягких тканей при ревизионной операции и тщательного выбора конструкции эндопротеза.
Используется AORI (Anderson Orthopaedic Research Institute, США) классификация дефектов кости при ревизионном эндопротезировании коленного сустава.
В соответствии с ней выделяют три типа повреждения бедренной или большеберцовой костей:
1 тип - интактная кость
2 тип - повреждённая кость
3 тип - дефицит кости
1 тип - интактная кость (F1 и Т1) - характеризуется относительно нормальной костной структурой и сохранностью губчатой и кортикальной кости метафиза, нормальным уровнем суставной линии. В ходе ревизионной операции при этом типе костных повреждений сохранившаяся губчатая кость может служить опорой как для первичных, так и ревизионных компонентов эндопротеза. Небольшие костные дефекты заполняем цементом или костной алло- и аутокрошкой. Решение о возможности имплантации стандартного эндопротеза или необходимости использования ревизионной модели принимается с учётом состояния коллатеральных связок коленного сустава.
2 тип - повреждённая кость - характеризуется потерей губчатой и кортикальной костной массы без восполнения которой не будет восстановлен требуемый уровень суставной щели. Угловая миграция компонентов эндопротеза обычно приводит к дефекту одного из мыщелков (F2A или Т2А), кость противоположного мыщелка или плато остаётся неизмененной. Симметричная потеря костной массы и вовлечение двух мыщелков или плато обозначаются как F2B и Т2В дефекты. В ходе ревизионной операции для восполнения дефектов бедренной и большеберцовой костей широко применяются ауто- и аллотрансплантаты, модульные блоки или клинья, феморальные и тибиальные метафизарные втулки.
3 тип - дефицит кости (F3 и Т3) - характеризуется выраженной потерей губчатой и кортикальной костной массы, которая приводит к невозможности использования стандартных моделей эндопротезов из-за отсутствия костной опоры. Ревизионная операция при третьем типе повреждения бедренной или большеберцовой костей возможна только при использовании шарнирных имплантатов и восполнении дефектов кости массивными структурными аллотрансплантатами или феморальными и тибиальными метафизарными втулками.
Тактика оперативного лечения подобных осложнений различна, в каждом конкретном случае подбирается индивидуально. В мировой практике ортопедов до конца еще не решен этот вопрос.
Диагностика
II. МЕТОДЫ, ПОДХОДЫ И ПРОЦЕДУРЫ ДИАГНОСТИКИ И ЛЕЧЕНИЯ
Основные диагностические мероприятия до/после оперативных вмешательств:
1. Рентгенологическое обследование коленного сустава в 2 проекциях.
2. КТ, МРТ коленного сустава.
3. Рентгенденситометрия, УЗИ-денситометрия.
4. УЗДГ вен нижних конечностей.
5. Общий анализ крови.
6. Общий анализ мочи.
7. Коагулограмма (ПТИ, фибриноген, МНО).
8. Биохимический анализ крови.
9. Электрокардиография.
10. Серологическое обследование на сифилис.
11. Анализ крови на ВИЧ.
12. HbsAg, Anti-HCV.
13. Определение сахара в крови.
14. Осмотр терапевта и других специалистов при сопутствующей патологии (с указанием лечения).
Дополнительные диагностические мероприятия до/после оперативных вмешательств:
1. Развернутая коагулограмма, Д-димер, гомоцистеин (по показаниям).
2. ЭхоКГ (по показаниям).
3. Тропонины, BNP (по показаниям).
4. Иммунограмма (по показаниям).
5. Цитокиновый профиль (интерлейкин-6,8, ФНО-α) (по показаниям).
6. Маркеры костного метаболизма (остеокальцин, дезоксипиридинолин) (по показаниям).
Лечение
Цель проведения вмешательства: восстановление опорной и двигательной функции оперированного сустава.
Требования к проведению оперативного вмешательства
Требования к оснащению:
- наличие отдельной операционной для эндопротезирования (желательно с ламинарным потоком);
- наличие полной линейки имплантатов;
- наличие специлизированного инструментария для устанавливаемой модели имплантата;
- наличие медицинского силового оборудования (сагиттальная пила, дрель);
- наличие аппаратуры для коагуляционного гемостаза.
Требования к дополнительному оснащению:
- компьютерная навигационная система;
- пульс-лаваж система;
- наличие пневматического жгута.
Требования к расходным материалам:
- одноразовое белье для операционного поля и хирургов (желательно применение «хирургических скафандров»);
- барьерная пленка;
- одноразовые скальпеля;
- шовный материал с атравматическими иглами.
Перечень обязательных медикаментов:
- антикоагулянты прямого и непрямого действия;
- антибактериальные препараты широкого спектра действия;
- нестероидные противоспалительные препараты;
- ненаркотические анальгетики;
- наркотические анальгетики;
- препараты для проведения инфузий.
Перечень дополнительных медикаментов:
- препараты крови;
- препараты транексановой кислоты;
- иммунокорректоры.
Требования к специалистам операторам
- специалист оператор должен иметь стаж работы не менее 10 лет в области травматологии и практический опыт не менее 5 лет в области имплантации крупных суставов;
- наличие операционной бригады выполняющей не менее 100 имплантаций эндопротезов крупных суставов в год;
- прохождение специализации по эндопротезированию не менее 1 раза в год.
Требования к подготовке пациента
Непосредственно перед операцией проводится:
- премедикация;
- профилактическая антибактериальная терапия;
- очистительная клизма;
- подготовка операционного поля в день операции.
Проведение оперативного вмешательства
1. Ревизионное эндопротезирование коленного сустава:
Проводится, как правило, у больных с нестабильностью эндопротеза коленного сустава с относительно нормальной костной структурой и сохранностью губчатой и кортикальной кости метафиза, нормальным уровнем суставной линии.
После подготовки операционного поля, производится доступ к коленному суставу по методике, принятой в клинике. После удаления эндопротеза, производится резекция мыщелков бедренной и большеберцовой костей согласно подобранным шаблонам.
Оценка двигательной функции сустава с применением примерочного имплантата, коррекция связочного аппарата.
После окончательного туалета послеоперационной раны обработки установка имлантата согласно технологии производителя. Послойное ушивание раны согласно методике принятой в клинике.
2. Ревизионное эндопротезирование коленного сустава:
Проводится, как правило, у больных с нестабильностью эндопротеза коленного сустава с потерей губчатой и кортикальной костной массы без восполнения которой не будет восстановлен требуемый уровень суставной щели. Угловая миграция компонентов эндопротеза обычно приводит к дефекту одного из мыщелков (F2A или Т2А), кость противоположного мыщелка или плато остаётся неизмененной. Симметричная потеря костной массы и вовлечение двух мыщелков или плато обозначаются как F2B и Т2В дефекты.
После подготовки операционного поля, производится доступ к коленному суставу по методике, принятой в клинике. После подготовки суставных концов бедренной и большеберцовой костей (удаление мениска, гетеротопических оссификатов, балансирования связок коленного сустава, и др.) производится резекция мыщелков бедренной и большеберцовой костей согласно подобранным шаблонам. Для восполнения дефектов бедренной и большеберцовой костей применяются ауто- и аллотрансплантаты, модульные блоки или клинья, феморальные и тибиальные метафизарные втулки.
Оценка двигательной функции сустава с применением примерочного имплантата, коррекция связочного аппарата.
После окончательного туалета послеоперационной раны обработки установка имлантата согласно технологии производителя. Послойное ушивание раны согласно методике принятой в клинике.
3. Ревизионное эндопротезирование коленного сустава
Проводится, как правило, у больных с нестабильностью эндопротеза коленного сустава с выраженной потерей губчатой и кортикальной костной массы, которая приводит к невозможности использования стандартных моделей эндопротезов из-за отсутствия костной опоры.
После подготовки операционного поля, производится доступ к коленному суставу по методике, принятой в клинике. После удаления эндопротеза производится резекция мыщелков бедренной и большеберцовой костей согласно предоперационному планированию.
Ревизионная операция при третьем типе повреждения бедренной или большеберцовой костей возможна только при использовании шарнирных имплантатов и восполнении дефектов кости массивными структурными аллотрансплантатами или феморальными и тибиальными метафизарными втулками.
Оценка двигательной функции сустава с применением примерочного имплантата.
После окончательного туалета послеоперационной раны обработки установка имплантата согласно технологии производителя. Послойное ушивание раны согласно методике принятой в клинике.
4. Ревизионное тотальное эндопротезирование коленного сустава при септической нестабильности
Проводится, как правило, у больных с нестабильностью эндопротеза коленного сустава, связанных с инфекцией или воспалительной реакцией.
Оперативное лечение проводится в 2 этапа. На 1 этапе производится удаление эндопротеза, санация области коленного сустава асептиками. Второй этап после лабораторно-клинически подтвержденной ремиссии инфекции (минимум через 3-6 месяцев) проводится в соответствии с пунктом 13.6.2 -13.6.3
1 этап:
После подготовки операционного поля, производится, как правило, доступ к коленному суставу по методике, принятой в клинике с применением принципов асептики и антисептики. Производится удаление эндопротеза коленного сустава, иссечение некротических тканей, удаление фиброзных пленок, обработка раны антисептиками (водорастворимый йод и др.), установка цементного спейсера с антибиотиками широкого спектра действия.
После окончательного туалета послеоперационной послойное ушивание раны согласно методике принятой в клинике.
Профилактические послеоперационные мероприятия:
- профилактика тромбоэмболических осложнений: вазокомпрессия нижних конечностей с применением эластичных бинтов или чулков.
Реабилитация в раннем послеоперационном периоде (с первых суток после операции)
ЛФК
Обе ноги бинтуют эластичными бинтами, что в сочетании с физическими упражнениями поможет предотвратить сосудистые нарушения.
1. Выполняют движения в голеностопных суставах. Необходимо тянуть стопы на себя до 5 секунд, затем расслабить ноги на 3 секунды. Отклонить стопы от себя и держать напряжение до 5 секунд. Расслабиться. Упражнение повторять 7-10 раз.
2. Дыхательные упражнения статического и динамического характера.
3. Упражнения для четырехглавой мышцы бедра. Прижать колено к постели и держать в таком положении 4-6 секунд. Расслабить ногу. Повторять это упражнение 5 раз в час.
4. Поднимать разогнутую в оперированном коленном суставе ногу вверх. Повторять 5-10 раз в час.
На второй день после операции ко всем выполняемым упражнениям добавляются следующие:
1. Сгибание в коленном суставе. Медленно согнуть ногу в коленном суставе до умеренной боли. Задержать колено в таком положении до 5 секунд. Медленно разогнуть ногу. Повторять до 10 раз в час.
2. Облегченные движения в коленном суставе на механоаппарате для пассивных движений «Артромот».
3. Можно сидеть, опустив обе ноги с постели. Под оперированную ногу необходима подставка для менее болезненного сгибания оперированного колена.
Впервые дни сидеть с опущенными ногами следует не более 40-45 минут в день, из-за возможного нарушения венозного оттока крови. На третьи сутки можно начинать ходить с помощью костылей. Из положения сидя надо встать, опираясь на здоровую ногу, край кровати и костыли. Оперированную ногу следует держать разогнутой в коленном суставе. Опираясь на здоровую ногу, выдвинуть два костыля вперед. Затем на уровень костылей перенести оперированную ногу, слегка сгибая во всех суставах. Опираясь на костыли и перенеся на них вес тела, продвинуть вперед здоровую ногу. Повторить все движения в том же порядке.
Комплекс специальных физических упражнений дополняют следующими упражнениями:
1. Лежа на животе с выпрямленными ногами, попеременно сгибать оперированную и здоровую ноги в коленных суставах. Сгибать колено необходимо медленно и также медленно опускать голень на место. Повторять упражнение 10-12 раз, стремясь каждый раз увеличивать величину сгибания колена.
2. Сесть на стул или край кровати так, чтобы оперированный сустав имел надежную опору. Медленно разгибать ногу в колене, а затем так же медленно опустить ее на пол или опору.
Пациента обучают ходьбе по лестнице.
Вверх по лестнице. Опираясь на костыли, перенесите не оперированную ногу на вышестоящую ступеньку. Оттолкнитесь костылями, перенесите вес тела на не оперированную ногу, стоящую на вышележащей ступеньке. Поднимите и приставьте на эту же ступень оперированную ногу.
Вниз по лестнице. Поставьте костыли и оперированную ногу на нижележащую ступеньку, Опираясь на костыли, согните в суставах не оперированную ногу и поддерживая равновесие приставьте ее рядом с оперированной ногой.
Массаж. Назначают массаж мышц симметричной здоровой конечности. Курс лечения составляет 7-10 процедур.
Физические методы лечения направлены на уменьшение боли и отека, купирование воспаления, улучшение трофики и метаболизма мягких тканей в зоне операции. Применяют:
- локальную криотерапию;
- ультрафиолетовое облучение;
- магнитотерапию.
Курс лечения составляет 5-10 процедур.
Перед выпиской из стационара пациент получает памятку.
Индикаторы эффективности лечения и безопасности методов диагностики и лечения, описанных в протоколе:
- восстановление двигательной функции оперированного коленного сустава;
- отсутствие или снижение болевого синдрома.
Рекомендации пациентам, перенесшим эндопротезирование коленного сустава
Если Ваш коленный сустав значительно поражен артритом или в результате травмы, это может ограничивать Вашу физическую активность, например во время прогулки или ходьбе по лестнице. Вы можете даже испытывать боль в покое.
Одно из наиболее значительных достижений в ортопедии XX века, тотальное эндопротезирование коленного сустава впервые было осуществлено в 1968 году. Совершенствование хирургических материалов и техники с тех пор значительно повысило эффективность этой операции. В США приблизительно 300000 таких операций выполняется ежегодно.
Что изменится после тотального эндопротезирования коленного сустава?
Важное значение при решении вопроса о проведении операции имеет осознание того, что Вас ожидает без операции и что Вам может дать хирургическое лечение.
Более 90 процентов людей из тех, кому выполнена эта операция, ожидает полное исчезновение болевого синдрома и значительное повышение подвижности для возможности нормальной, активной жизни. Однако тотальное эндопротезирование коленного сустава не может сделать более того, что Вы могли до развития артрита.
После операции Вы должны остерегаться определенных движений и видов спорта, включая бег и контактные виды спорта.
Даже при нормальном использовании эндопротеза, его компоненты, в особенности полимерная прокладка, будут изнашиваться. Если Вы испытываете повышенные нагрузки на сустав или страдаете повышенным весом, процесс изнашивания может ускориться и вызвать нестабильность протеза и возобновление болей. При адекватном использовании эндопротез коленного сустава может прослужить много лет.
Опасные виды активности после операции: бег, прыжки, контактные виды спорта, аэробика.
Активность, превышающая обычные рекомендации после операции: слишком длительные или утомительные прогулки, большой теннис, подъем тяжестей свыше 25 кг.
Разрешенная активность после операции: неутомительные прогулки, плавание, гольф, вождение автомобиля, «неэкстремальный» туризм, бальные танцы, подъемы по невысокой лестнице.
Рекомендации для дома
Далее приведены некоторые рекомендации, которые сделают Ваше возвращение домой проще в процессе реабилитации.
- Прочно фиксированные поручни в ванной комнате или в душе.
- Прочные поручни вдоль всех лестниц.
- Устойчивый стул с прочным, высоким сиденьем, крепкой спинкой, двумя подлокотниками, и подставкой для ног.
- Высокое сиденье в туалете.
- Устойчивая скамья в душе или стул в ванной комнате.
- Устранение непрочно прикрепленных ковров и электрических проводов с площади, где вы ходите.
Операция
Вы поступите в клинику за некоторое время перед операцией. Далее Вы будете осмотрены анестезиологом. Наиболее распространенные типы обезболивания при тотальном эндопротезировании - это эндотрахеальный наркоз (вы будете спать во время операции и аппарат искусственной вентиляции легких будет дышать за Вас), спинальная или эпидуральная анестезия (при которых Вы сможете дышать самостоятельно, но Ваши ноги ничего не будут чувствовать. Анестезиолог обсудит с Вами преимущества и недостатки этих методов и поможет выбрать наиболее подходящий тип анестезии.
Операция длится в среднем около двух часов. Хирург уберет поврежденный хрящ и часть кости и тогда установит новые металлические и полимерные суставные поверхности с тем, чтобы восстановить ось конечности и функцию коленного сустава.
Множество различных видов протезов в настоящее время применяется при тотальном эндопротезировании коленного сустава. Почти все из них состоят из трех компонентов: бедренный компонент (сделан из хорошо отполированного прочного металла), большеберцовый компонент (состоит из крепкого полимера, часто расположенного на металлической платформе), и надколенника (также полимерный).
После операции после полного пробуждения Вы будете переведены в Вашу палату.
Вы будете находиться в клинике в течение нескольких дней. После операции Вы почувствуете боль в оперированном суставе. Для облегчения боли Вы будете получать обезболивающие препараты.
Прогулки и легкие упражнения для оперированного сустава необходимы для выздоровления и должны начаться вскоре после операции.
Для профилактики легочных осложнений Вы должны дышать глубже и чаще откашливаться.
Хирург предпримет определенные меры для профилактики тромбозов и предотвращения отека такие, как эластичные бинты, чулки, а также применение антикоагулянтов.

Упражнения в стопе и голеностопном суставе также должны осуществляться непосредственно после операции и способствуют ускорению кровотока в конечностях, уменьшая отек и риск тромбообразования. Многие пациенты начинают упражнения в коленном суставе на следующий день после операции. Врач лечебной физкультуры обучит Вас специальным упражнениям, чтобы укрепить коленный сустав и восстановить движения необходимые для ходьбы и нормальной повседневной активности вскоре после операции.
Возможные осложнения после операции
Риск осложнений после этой операции невысок.
Серьезные осложнения, такие как инфекция оперированного сустава встречаются менее чем в двух процентах случаев. Такие грозные осложнения, как инфаркт миокарда или инсульт встречаются еще реже. Однако хронические заболевания могут повысить риск осложнений. Хотя они редки, эти осложнения могут пролонгировать период Вашей реабилитации.
Тромбоз вен бедра или таза - наиболее частое осложнения тотального эндопротезирования тазобедренного сустава. Ваш ортопед предпримет меры, чтобы предотвратить образование тромбов в венах ног и таза. Эти меры включают специальные эластические бинты или чулки, упражнения и антикоагулянты.
Несмотря на то, что биосовместимость имплантов и техника операции постоянно прогрессирует, с течением времени эндопротез может изнашиваться или ослабляться его фиксация в кости. В редких случаях могут быть повреждены во время операции важные сосуды или нервы в области коленного сустава.
Возвращение домой
Успех операции во многом зависит от того, как Вы следуете дома рекомендациям ортопеда в течение нескольких первых недель после операции.
Бережное отношение к послеоперационной ране. Вдоль Вашей раны по передней поверхности области коленного сустава будут наложены швы или специальные скобки или же она будет ушита подкожным швом. Скобки или швы будут сняты примерно через две недели после операции. Подкожный шов не требует удаления.
Необходимо остерегаться попадания на рану воды, пока она полностью на герметизируется. Вы можете надеть специальный бандаж на рану, чтобы предотвратить раздражение раны одеждой или эластическими чулками.
Диета. Небольшое снижение аппетита часто бывает в течение нескольких недель после операции. Сбалансированная диета с повышенным содержанием железа необходима для содействия в заживлении тканей и восстановлении силы мышц. Разумеется, необходимо потребление достаточного количества жидкости.
Активность. Упражнения - решающий компонент Вашей домашней реабилитации особенно в течение первых недель после операции. Вы должны вернуться к нормальной активности и повседневной жизни в пределах 3 - 6 недель после операции. В течение этого времени Вы будете испытывать небольшой дискомфорт при активных движениях и ночью.
Ваша программа активизации должна включать:
- Постепенно возрастающая продолжительность ходьбы сначала дома, а затем и на улице.
- Тренировка необходимых движений, таких как посадка, вставание со стула, ходьба по лестнице.
- Возвращение к необходимым домашним делам.
- Специальные упражнения несколько минут в день для разработки движений в коленном суставе.
- Специальные упражнения несколько минут в день для укрепления коленного сустава.
- Возможно проведение физиотерапевтических мероприятий на дому.
Управление автомобилем возможно, когда Вы разработаете движения в оперированном суставе, чтобы без затруднений садиться в автомобиль и когда мышцы смогут обеспечить адекватную реакцию при нажимании педалей. Наиболее часто это происходит через 4 - 6 недель после операции.
Профилактика осложнений после операции.
Профилактика тромбообразования. Бережно следуйте инструкциям врача, чтобы снизить потенциальный риск тромбообразования. Эти проблемы могут возникнуть особенно, в первые несколько недель после операции.
На образование тромбов указывают следующие признаки:
- Боли в ноге, в области икроножных мышц, не связанные с разрезом.
- Болезненность, припухлость, краснота по задней поверхности голени.
- Припухлость бедра, голени, лодыжки или ступни.
Указания на тромбоэмболию:
- Внезапное затруднение дыхания.
- Внезапные боли в грудной клетке, усиливающиеся при глубоком дыхании и кашле.
Немедленно свяжитесь с врачом при возникновении этих признаков!
Профилактика инфекции.
Наиболее частые пути попадания инфекции после эндопротезирования - это занос бактерий с кровотоком при стоматологических процедурах, инфекциях мочевого тракта, и кожных инфекциях. Эти бактерии могут инфицировать пространство вокруг протеза.
В течение двух лет после операции Вам может потребоваться профилактическое применение антибиотиков перед стоматологическими процедурами, включая чистку эмали или другими хирургическими процедурами, при которых бактерии могут проникнуть в кровоток.
Будьте внимательными к следующим признакам начинающейся инфекции:
- Продолжающаяся лихорадка (температура выше 37°).
- Жар или озноб
- Возрастающее покраснение, отечность, болезненность в области послеоперационной раны.
- Отделяемое из раны.
- Усиление болей при нагрузке и в покое.
Профилактика падений.
Падение в течение первых недель после операции может повредить эндопротез и привести к необходимости еще одной операции. Особенно осторожным надо быть при ходьбе по лестнице. Вы должны использовать трость, костыли, ходунки, поручни или другие вспомогательные приспособления пока сустав не окрепнет, восстановится подвижность или сила входящих в него мышц.
Ваш хирург или врач ЛФК посоветуют Вам, какие нужны вспомогательные приспособления после операции и когда Вы сможете безопасно прекратить пользоваться этими приспособлениями.
В чем особенность Вашего нового коленного сустава.
После операции Вы можете чувствовать онемение кожи вокруг рубца. Вы также можете чувствовать некоторое затруднение при сгибании в коленном суставе. Восстановление движений в суставе - одна из целей тотального эндопротезирования, но полное восстановление не всегда возможно.
На металлические компоненты сустава могут реагировать металлодетекторы в аэропортах и на других сооружениях. В таких случаях сообщайте сотрудникам охраны о том, что у Вас была операция с имплантацией металла. Вы можете попросить у хирурга справку о том, что Вам имплантирован эндопротез.
После операции обязательно делайте следующее:
- Принимайте участие в обучающих программах для поддержания стабильности и подвижности нового сустава
- Следуйте специальным рекомендациям для предупреждения падений и повреждений. Пациентам, перенесшим перелом после тотального эндопротезирования сустава может потребоваться новое хирургическое вмешательство.
- Поставьте в известность Вашего стоматолога, что Вы перенесли тотальное эндопротезирование. Требуется прием антибиотиков перед стоматологическими процедурами в течение двух лет после операции, возможно и более, в зависимости от течения послеоперационного периода. Рекомендации для применения антибиотиков для хирурга и стоматолога доступны на сайтах AAOS и ADA.
- Периодически показывайтесь хирургу для обследования и рентген контроля, даже если не испытываете никаких проблем с суставом.
Упражнения.
Для полного выздоровления и постепенного возвращения к обычной жизни необходимы регулярные упражнения, которые помогут восстановить нормальные движения в суставе и силу мышц. Ваш ортопед и врач ЛФК могут посоветовать заниматься по 20 -30 минут два - три раза в день, а также гулять по полчаса 2 -3 раза в день. Они могут предложить некоторые из нижеприведенных упражнений. Брошюра поможет Вам понять, как делать эти упражнения.
Упражнения в ранний послеоперационный период.
Начинайте следующие упражнения настолько скоро после операции, насколько это возможно. Вы можете начать их уже в послеоперационной палате. В первое время Вы можете испытывать дискомфорт, но они ускорят Вашу реабилитацию.
- Сокращение четырехглавой мышцы. Сокращайте четырехглавую мышцу. Старайтесь при этом разогнуть колено и поднять ногу, удерживая ее 5 - 10 секунд. Повторяйте это упражнение 10 раз в течение 2 - х. минутного периода, отдыхайте минуту, затем повторяйте. Продолжайте пока не почувствуете усталость в бедре.
- Вы также можете поднимать ногу, когда сидите. Старайтесь более выпрямлять колено. Продолжайте это упражнение пока не сможете выпрямить колено полностью.
- Сгибание - разгибание стопы. Медленно сгибайте и разгибайте стопу в голеностопном суставе. Делайте это упражнение несколько раз каждые 5 - 10 минут. Это упражнение Вы можете начинать сразу после операции и продолжать, пока полностью не выздоровеете.
- Упражнение для выпрямления колена. Положите небольшой валик под голеностопный сустав, так, чтобы стопа не касалась кровати. Сокращайте четырехглавую мышцу. Упражняйтесь, пока не выпрямите колено, затем положите ногу на кровать. Удерживайте колено полностью выпрямленным 5 - 10 секунд. Повторяйте, пока не устанете.
- Сгибание колена с опорой на кровать. Скользите пяткой в направлении ягодицы, сгибая колено насколько это возможно. Удерживайте колено в максимально согнутом состоянии 5 - 10 секунд, после выпрямляйте. Повторяйте, пока не устанете или не сможете полностью согнуть колено.
Ходьба в ранний послеоперационный период.
Вскоре после операции Вы начнете ходить на короткие расстояния в пределах палаты и начинать обслуживать себя. Ранняя активация усилит мышцы, восстановит объем движений в суставе и ускорит выздоровление.
Ходьба с ходунками / ходьба с полной нагрузкой на оперированную ногу. Встаньте прямо и распределите вес тела на костыли или ходунки. Двигайте костыли или ходунки вперед на небольшое расстояние. После этого сами двигайтесь вперед, поднимая оперированную ногу так, чтобы чувствовать пол, касаясь его. По мере движения колено и голеностопный сустав будут согнуты. Для отдыха опустите ногу на пол. Когда Вы сделаете шаг, допустимо оторвать ногу от пола. Снова передвигайте ходунки вперед и снова передвиньте ногу вперед для следующего шага. Помните, сначала нужно коснуться пяткой пола, потом выпрямить ногу, потом оторвать ногу от пола. Разрешено ходить столько, сколько сможете. Не спешите. По мере нарастания силы мышц и переносимости физических нагрузок Вы сможете ходить все больше и больше. Постепенно Вы будете увеличивать нагрузку весом на оперированную ногу.
Ходьба с палкой или костылями. Ходунки часто используются первые несколько недель, чтобы помочь удержать равновесие и предотвратить падение. Затем используется трость или костыли до полного восстановления силы и объема движений. Держите трость в руке, противоположной оперированному суставу. Вы будете готовы перейти на трость или костыли, когда сможете удерживать равновесие и стоять без ходунков, когда сможете полностью распределять вес на обе ноги и, когда ходунки станет неудобно держать в руках.
Подъем и спуск по лестнице. Возможность передвигаться по лестнице требует определенного объема движений и силы мышц. Во первых, Вам потребуются поручни для поддержания равновесия и дополнительной опоры и сначала Вы сможете переступать только одну ступеньку за шаг. Всегда поднимайтесь по лестнице со здоровой ноги и спускайтесь с оперированной ноги. Запомните «подъем со здоровой» и «спуск с больной». На первых порах Вам может потребоваться помощь. Подъем по лестнице - очень хорошее упражнение для тренировки мышц и разработки сустава. Не поднимайтесь по ступенькам, высота которых превышает 7 дюймов (18 см) и всегда пользуйтесь поручнями.
Следующие упражнения.
Полное восстановление займет много месяцев. Болезненность перед операцией и боли после ослабят Ваши мышцы. Следующие упражнения помогут восстановить силу мышц.
- Сгибание колена стоя. Стоя прямо с поддержкой ходунков или костылей поднимайте бедро и сгибайте колено насколько это возможно, удерживая в таком положении 5 - 10 секунд. Затем опустите ногу, стараясь почувствовать пол. Повторяйте несколько раз, пока не устанете.
- Сгибание колена с поддержкой. Лежа на спине, оберните пояс вокруг голени и, помогая себе руками, старайтесь максимально согнуть колено.
- Упражнения с нагрузкой. Вы можете расположить небольшой груз в области лодыжек и выполнять вышеописанные упражнения. Нагрузку можно давать через 4 - 6 недель после операции. На первых порах используйте груз в 500 - 1000 г, затем постепенно увеличивайте.
Велотренажер. Велотренажер - отличное упражнение для восстановления мышечной силы и полного объема движений. Отрегулируйте высоту сиденья так, чтобы так, чтобы при почти разогнутом колене Ваша ступня только касалась педали. Сначала педаль поворачивается назад. Движение вперед возможно, если комфортно осуществляется вращение педали назад. По мере нарастания силы мышц (в течение примерно 4 - 6 недель) усиливайте сопротивление тренажера. Занимайтесь 10 - 15 минут дважды в день, постепенно повышая до 20 - 30 минут три - четыре раза в неделю.
Боли и отек после упражнений. Вы можете испытывать боли и отечность в области оперированного колена после выполнения упражнений. Вы можете снизить их, удерживая ногу в возвышенном положении и прикладывая холод.
Ваш хирург - ортопед - врач обладающий обширными знаниями в диагностике, терапевтических и хирургических методах лечения травм и заболеваний костно-мышечной системы, включая кости, суставы, связки, сухожилия, мышцы и нервы.
Что запрещено после эндопротезирования коленного сустава: меры предосторожности и ограничения
После эндопротезирования коленного сустава следует период реабилитации, длительность которого составляет четыре-пять месяцев. Пока продолжается восстановление, человеку необходимо соблюдать ряд предосторожностей и рекомендаций врача. Из-за риска навредить прооперированной конечности в это время ему запрещено делать многие вещи.

Меры предосторожности в первые дни после операции
На следующий день после хирургического вмешательства пациенту разрешают лежать исключительно на спине. Прооперированная конечность при этом должна оставаться совершенно прямой. Сгибать больную ногу, а также подкладывать под колени подушку, категорически запрещено. Также нельзя делать резкие движения, переворачиваться на бок или на живот.

Если операция прошла без осложнений и состояние больного удовлетворительное, в первый день ему разрешают садиться на кровати и даже ходить. Естественно, делает он это только под контролем медперсонала. Подъем с кровати всегда начинают со здоровой конечности, а во время ходьбы используют высокие ходунки или костыли.

Прежде чем выписаться из стационара и уехать домой, пациент должен научиться правильно ходить по ровной поверхности и по лестнице. Этому его обучает медицинский персонал.

Оперированная нога всегда между двух костылей.
Предосторожности при ходьбе и нагрузке на прооперированную ногу
Начинать ходить лучше всего уже в первый день после операции. Необходимо с самого начала освоить нормальную ходьбу без хромоты. Если этого не сделать, то нагрузка на другие суставы распределится неправильно, что в итоге может привести к искажению походки и неправильному рисунку ходьбы.
Более того, недостаточная нагрузка на прооперированный сустав может замедлить его восстановление. Из-за этого реабилитация будет длиться дольше, а человек вернется к активному образу жизни гораздо позже.
После эндопротезирования коленного сустава нельзя:
- напрягать прооперированную ногу длительным хождением;
- допускать появления сильной боли в колене во время ходьбы;
- делать резкие движения;
- носить неудобную обувь, в которой легко оступиться или поскользнуться;
- раньше времени или без разрешения врача откладывать костыли.
Ходить с костылями требуется в течение 3-6 недель после хирургического вмешательства. Отказаться от вспомогательных приспособлений можно будет только после консультации с лечащим врачом, получив его разрешение.
Позы, запрещенные для сна и сидения
В первые 3-4 дня после операции больному можно спать только в одной позе - на спине. Затем, если послеоперационный период протекает без осложнений, ему позволяют ложиться на бок. Спать на животе разрешают как минимум через две недели после хирургического вмешательства.

Что касается поз для сидения, тут не стоит допускать чрезмерного сгибания прооперированной ноги в колене. Также не рекомендуется сидеть, закинув ногу на ногу. Отметим, что после эндопротезирования коленного сустава категорически запрещено становиться на колени.
Пренебрежение данными рекомендациями может привести к вывиху эндопротеза, перипротезному перелому и другим опасным осложнениям.
Предосторожности при уходе за послеоперационной раной
Из-за риска инфицирования первые две недели послеоперационную рану нельзя мочить проточной водой. Поэтому мыться следует с особой осторожностью, а ванны и душа лучше вовсе избегать. Во время мытья необходимо следить за тем, чтобы повязка не намокла. Если же это случилось, то ее следует заменить. В противном случае повысится риск нагноения послеоперационной раны.

Пока послеоперационный рубец не заживет, его нельзя тереть мочалкой. Ведь кожа там очень тонкая и нежная, а травмировать ее крайне легко. Ухаживать за швом после операции следует согласно рекомендациям специалиста.
Купание и водные процедуры
Принимать душ разрешается через 2-3 дня после снятия швов (их снимают на 10-14 день после операции). Купаться в ванной, посещать сауны-бани и бассейны можно по истечению еще одной-двух недель. Во время водных процедур нужно следить за тем, чтобы не поскользнуться, не упасть и не травмировать прооперированную ногу.
Практические советы для повседневной жизни
Избежать ряда осложнений после операции помогут несложные меры предосторожности:
- Возвращаясь домой из больницы, садитесь на переднее сидение, рядом с водителем. Обязательно проследите, чтобы его перед этим отодвинули как можно дальше назад.
- Если после операции обнаружилась разница в длине ног, носите возвышающие стельки, чтобы компенсировать ее. Так вы избежите хромоты и вызванных ею негативных последствий.
- Носите удобную обувь, которая плотно облегает ступни. Отдавайте предпочтение тапкам, кроссовкам или туфлям на нескользкой подошве. Когда врач разрешит носить обувь на платформе и невысоком каблуке, будьте с ней предельно осторожны.
- После операции не совершайте резких движений, прыжков, глубоких приседаний. Избегайте спотыканий и подскальзываний в душевой кабине, ванне, сауне, на льду и т.д.
- Передвигаясь по неровным и скользким поверхностям, используйте вспомогательные приспособления (трость, костыли или палку с шипом, предназначенную для ходьбы по льду).
- После эндопротезирования ни в коем случае не становитесь на колени и не поднимайте тяжести весом более 15 кг.
- Старайтесь не набирать избыточный вес после операции. Иначе каждый лишний килограмм будет ускорять изнашивание эндопротеза.

Изношенная платформа берцового компонента коленного эндопротеза.
Несоблюдение мер предосторожности после замены коленного сустава может привести к опасным осложнениям. У человека может случиться вывих эндопротеза или перипротезный перелом. Также возможно асептическое расшатывание имплантата и его преждевременное изнашивание.
Возвращение к привычным активностям
После операции можно заниматься:
- ходьбой (обычной и скандинавской, с палками);
- ездой на велосипеде;
- лыжными прогулками; ;
- спокойными танцами.
Поначалу больному разрешают плавать только некоторыми из спортивных стилей - кролем на спине и груди, дельфином. Плавать брассом допустимо не ранее, чем через 12 недель после хирургического вмешательства.

- В первые дни после эндопротезирования лежать можно только на спине. При этом нельзя сгибать прооперированную конечность и подкладывать под нее подушки.
- В течение трех-шести недель после операции ходить необходимо с костылями. Больную ногу нагружать следует полностью, не допуская хромоты.
- Чтобы не допустить падений, в послеоперационном периоде нельзя носить неудобную обувь, делать резкие движения, ходить без дополнительной опоры по скользким и неровным поверхностям.
- Первые дни после операции спать можно только на спине. Затем разрешают поворачиваться на бок, а через две-три недели - на живот.
- Пока не снимут швы, послеоперационную рану запрещают мочить проточной водой. И пока рубец не заживет, его нельзя тереть мочалкой.
- В первые два-три месяца после операции запрещено водить автомобиль, заниматься сексом и спортом. Возвращаться к этим активностям можно лишь после того, как разрешит лечащий врач.
- После замены коленного сустава нельзя становиться на колени и поднимать предметы весом более 15 кг. Чтобы не ускорять разрушение эндопротеза, после его установки не рекомендуется набирать лишний вес.
Инструкция по реабилитации после эндопротезирования коленного сустава: упражнения, гимнастика и советы
Костно-хрящевые структуры колена, приводящие в движение коленный сустав и отвечающие за опороспособность конечностей, - это самые уязвимые анатомические компоненты, которые поражаются артрозами. Эндопротезирование эффективный способом восстановления опорно-двигательного аппарата, которая подверглась серьезной дегенеративно-дистрофической агрессии на фоне хронического артроза.

Динамика разрушения хрящевой поверхности.
Однако реабилитация после эндопротезирования коленного сустава в России организована не на том уровне, чтобы пациент смог полноценно восстановиться.

Макет импланта коленного сустава.
Часто пациенты проходят реабилитацию после эндопротезирования коленного сустава дома, следуя полученным при выписке врачебным рекомендациям. Они вынуждены выискивать всю необходимую информацию в интернете. По установленным клиническим стандартам, после такого вмешательства, сопряженного рисками развития опасных осложнений, требуется грамотная помощь достаточно продолжительное время - в среднем 3 месяца.

При самостоятельном восстановлении хорошо использовать жгут или небольшие грузы
Планирование физических занятий и выполнение упражнений строго под наблюдением компетентного инструктора это основополагающие факторы полного восстановления биомеханики прооперированной конечности. От реабилитации коленного сустава после эндопротезирования, зависит успех операции, восстановление и полноценность двигательно-опорных способностей, качество будущей жизни.

Предоперационная подготовка к реабилитации
Реабилитация после операции проходит хорошо не всегда. Хирургия имеет свои риски осложнений, которым больше подвержены люди пожилого возраста, имеющие сопутствующие проблемы со здоровьем. Обо этом больного информирует доктор еще на этапе подготовки перед хирургической процедурой и принимает меры по недопущению их развития.

Упражнения на подвесах это отдельный и большой пласт послеоперационного восстановления.
Еще на предоперационном этапе начинают воздействовать на проблемные зоны мышц, которые на почве сложной болезни имеют гипотонус и низкие показатели кровоснабжения. Для чего это делают так рано? Представьте, какими трудностями будет сопровождаться реабилитация после операции на коленном суставе, когда и без того ослабшие мышцы ноги станут еще слабее. Риск развития контрактур, атрофии, тромбоза вен и тромбоэмболии тогда значительно возрастет.
Эндопротезом управляют мышечно-связочные структуры, и пока они не придут в норму, не обретут достаточную упругость и эластичность, имплантат не заработает в полном объеме.
Целесообразно начинать разработку мышц еще перед эндопротезированием коленных суставов, реабилитация после операции тогда пройдет гораздо легче и быстрее. Более того, ранний период будет намного проще восприниматься и переноситься, если пациента заранее обучили технике ходьбы на костылях, базовым упражнениям ЛФК начальной фазы и дыхательной гимнастике, навыкам повседневной активности.

Если Вы знаете что Вам предстоит операция, начинайте заниматься гимнастикой уже сейчас.
Активному восстановлению после эндопротезирования коленного сустава поспособствуют упражнения, которыми занимаются перед операцией, на повышение мышечного тонуса, упражнения на улучшение общего физического состояния. Использовать необходимо такой вид физкульт-тренировок, который не перегружает пораженный костно-хрящевой орган, и вместе с тем тренирует все мышечные группы, отвечающие за его работу. Этим требованиям соответствуют следующие виды тренировок:
- свободное плавание в бассейне;
- скандинавская ходьба с палками;
- занятия на велотренажере;
- упражнения на координацию и баланс движений;
- ходьба в воде и общеукрепляющая аквагимнастика.
Все перечисленные занятия останутся актуальными и после установки искусственного аналога. Но к ним можно будет вернуться на отдаленных сроках реабилитации: должно пройти 1,5-3 месяца, возможно, и больший отрезок времени.

Костыли можно будет полностью отложить примерно через 8 недель после операции.
Чтобы уверенно пользоваться дополнительными средствами поддержки при перемещении (ходунками и костылями), вам нужны сильные руки. Вернее сказать, крепкая мускулатура, расположенная с тыльной стороны рук, которая называется трицепсом. Укрепить трицепс помогает одна простая зарядка:
План на первые 2-3 недели после хирургии
Самый волнующий день пройден, вам заменили сустав механическим имплантатом. Теперь от вашей ответственности и того, как хорошо вы будете соблюдать реабилитационный устав, зависит итоговая оценка пройденного лечения. Поэтому настройтесь на упорную работу на несколько месяцев и, несмотря ни на какие преграды и не сдавайтесь.

Первые дни ноги туго бинтуют для профилактики тромбофлебита.
Общая программа на первый период
До выхода из наркоза пациент несколько часов проводит в отделении интенсивной терапии, затем его переводят в стационар. Сразу после поступления в стационарное отделение начинается реализация разработанной специалистами схемы восстановительно-профилактической терапии. Начальная реабилитация предусматривает раннюю активизацию больного в щадящем двигательном режиме. В профилактических целях против послеоперационных осложнений и для ускорения регенеративных процессов будут назначены:
- дыхательная диафрагмальная и грудная гимнастика;
- возвышенное прооперированной ноги;
- расположение между конечностями валика, чтобы не произошло непроизвольного перекрещивания со здоровой ногой;
- физиопроцедуры (УВЧ, магнитотерапия, электрофорез) и упражнения на стимуляцию лимфо- и кровообращения, на запуск механизмов заживления, снятие отеков и болезненных явлений;
- занятия и процедуры на совершенствование функционального состояния группы мышц прооперированной ноги и тонических (антигравитационных) мышц туловища;
- введение и прием антибиотиков, препаратов из спектра антикоагулянтов, противовоспалительных и обезболивающих средств, витаминно-минеральных комплексов;
- обработка антисептическими составами, перевязка, дренаж раны;
- прикладывание на область колена холодных мешочков со льдом для сокращения болезненных ощущений и снижения отечности.

Очень хорошо, когда весь процесс заживления контролирует именно тот специалист, который проводил операцию.
Когда разрешается ходить и сидеть? Обычно уже спустя 24-48 часов, иногда на 3 день, в зависимости от самочувствия. Ходьба показана с применением подлокотных костылей или ходунков. Полностью опираться и переносить вес на ногу пока под запретом, можно лишь слегка ею касаться пола. Допустимый процент перевеса массы тела на прооперированную сторону через неделю равен 10-15 % от физиологически возможной нагрузки, через 3 недели - 50 %.
Первые шаги, пробы занять положение «сидя» контролируются инструктором. Передвижение и сидение строго лимитируются по минутам на начальной фазе восстановления, временной предел увеличивают постепенно. К концу 2-3 недели вы сможете уже прогуливаться по 25-30 минут трижды в сутки, а сидеть, не меняя положения тела, не более 20 минут.
Лечебная физкультура раннего периода
Какие упражнения после эндопротезирования коленного сустава показано выполнять на данном промежутке времени.

Артромот используется с первого дня после операции, его задача в пассивной разработке коленного сустава.
По мере выздоровления упражнения будут разнообразнее и интенсивнее, а через 6 недель вы уже сможете тренироваться на велотренажере, посещать бассейн и т. д.
- Первоначальная реабилитация начинается с напряжения четырехглавой мышцы бедра с одновременной активизацией конечности. Для этого необходимо напрячь соответствующий сегмент, приподнять ногу вверх в ровном положении примерно на 30 см от поверхности, на которой вы лежите. Опускать конечность сразу не нужно, задержите ее на достигнутом уровне секунд на 5-8, осторожно верните в исходное положение. Делайте двухминутный интервал на отдых между повторами. Количество повторов - примерно 10 раз
Упражнение направлено на переднюю поверхность бедра. В конечной точке можно фиксировать положение на пару секунд.

Выполняйте очень аккуратно, без неприятных ощущений.

Данное упражнение можно выполнять без ограничений по количеству повторений.
Мысок стопы должен быть направлен строго вверх.
Начинайте с малой амплитуды и постепенно ее увеличивайте.

Руки должны быть вдоль тела.
На 5 день начинают осваивать ходьбу в брусьях, по ступенчатому тренажеру, беговой платформе в подвесе. Из стационара выписывают уже по истечении 14 суток, если позволяет самочувствие пациента. В некоторых случаях могут отпустить домой через 3 недели. Швы удаляются спустя 10-14 дней.
Особенности поздней стадии (после 3 недель)
Перечисленные упражнения после эндопротезирования коленного сустава дома продолжают выполняться по той же методике, что мы изложили в предыдущих параграфах. Но ими нельзя ограничиваться, когда со дня процедуры прошло уже столько времени. ЛФК после 3 недель усложняется и расширяется, так как разработать коленный сустав после операции в полной мере одними лишь занятиями пассивно-активного характера невозможно.
Боль и неприятные ощущения при правильном подходе перестают беспокоить через полмесяца после артропластики. Поэтому сейчас разумно добавить в комплекс упражнений после эндопротезирования коленного сустава ряд более сложных задач, которые не навредят искусственной конструкции, но плодотворно день за днем будут улучшать статико-динамические показатели.
Кроме того, проделывать пешие прогулки вам уже нужно чаще и продолжительнее, в среднем по 40-60 мин. 4 раза в сутки. Ступать на ногу, если реабилитация коленного сустава после операции по замене протекает отлично, можно с 50 % нагрузкой, и только по истечении 8 недель со 100 % опорой. Ближе к середине восстановительной программы выдается направление на ручной массаж конечностей и определенных отделов позвоночного столба, прописываются занятия на велотренажере умеренно-щадящего характера.
А сейчас остановимся на самом главном: как осуществляется разработка коленного сустава после эндопротезирования на отдаленных сроках, и какой комплекс упражнений ЛФК принесет наибольшую пользу.
ЛФК с 3 по 13 неделю
- Лежа на животе, сгибать колено с подтягиванием пятки к ягодице. На схожем принципе основывается еще одна методика, но выполняется она стоя: нужно взяться за поручни, как вариант, опереться руками о столешницу стола или взяться с обратной стороны стула за спинку и, стоя на здоровой конечности, проделать аналогичное действие.
Старайтесь достать пяткой ягодицы. Это маловероятно, но цель должна быть такой.

Имитация ходьбы по ступеньке, выполнять следует двумя ногами поочередно.

Растяжка ахиллова сухожилия.
При работе на баланс в движение включаются все мелкие мышечные волокна.
При полуприседе держитесь за опору.
Аналогично — имейте точку опоры для рук.

Можно выполнять как сидя, так и лежа на спине или животе.
Аквагимнастика, бальнео- и грязелечение
Пациенту на промежуточных и завершающих этапах реабилитации после операции на колене подбирают спецкомплекс кинезотерапии в водной среде, оказывающий невероятно благотворное воздействие на коррекцию опорно-двигательного аппарата. Плюс к этому, гидрокинезотерапия способствует:
- динамичному усовершенствованию связок и сократительных функций всех главных мышц, участвующих в биомеханике соответствующего отдела;
- регуляции кровотока, обменных процессов, питания тканей вокруг протеза, за счет чего достигается его прочная и надежная фиксация с костью, корректная механика;
- безопасному и продуктивному налаживанию диапазона движений, не отягощая ногу и защищая ее от перенагрузки.
Водные процедуры несоизмеримый вклад вносят и в гармонизацию деятельности ЦНС, производят прекрасный психотерапевтический эффект, заряжают оптимизмом и верой в полное выздоровление.

Когда шов полностью зажил, упражнения в бассейне отличный способ восстановления.
По истечении 2-3 месяцев со дня, как протезирование коленного сустава было совершено, рекомендуется пройти курс бальнеотерапии и/или грязелечения. Бальнеолечение и грязетерапия - это использование теплых радоновых и сероводородных ванн, лечебных грязей. Эти тактики физиотерапии широко практикуются в санаторно-курортных здравницах, размещенных на территориях, богатых редкими природными ресурсами, которые обладают нереальным спектром лечебных возможностей. Особенно популярны во всем мире чешские курорты.

Чехия — лидер в области ортопедии!
В Чехии реабилитация в санатории после эндопротезирования коленного сустава - это первоклассные лечебно-профилактические мероприятия при ортопедических нарушениях, включающие разнообразные тактики терапии натуральными природными источниками со сложными составами. Ну и, конечно, в таких лечебницах, кроме неповторимых в своем роде действенных сеансов физиатрии организована система восстановительной физкультуры.
Погружение в целебные минеральные источники и накладывание грязевых аппликаций оказывают мощное обезболивающее действие, положительно влияют на циркуляцию крови в структурах органов движения, улучшают метаболизм и трофику скелетно-мышечных тканей, выравнивают нервно-мышечную передачу, успокаивают и тонизируют нервную систему, повышают иммунитет. Таким образом, происходит заметный положительный прогресс в работе локомоторно-опорного аппарата.
Жизнь после восстановления
Комплексная реабилитация после эндопротезирования коленного сустава - упражнения ЛФК, разработка сочленения в воде, занятия на тренажерах, массаж, различные физиотерапевтические процедуры - залог вашего успешного восстановления. Вы уже знаете, что регулярные спортивные тренировки должны стать неотъемлемой частью вашего образа жизни, ведь именно они в ответе за слаженную, долгую, бесперебойную производительность нового сустава. Обычно при правильно распланированной физической активности эндопротезы колена служат в среднем 20-25 лет.

Рентген после операции. Протез стоит корректно.
Но вам также необходимо понимать, что устройство, замещающее естественный орган, представляет собой кинематическую конструкцию из металла или керамики с полимерными вставками. Как и любой механизм, такое протезное приспособление требует грамотного использования, чтобы его материалы преждевременно не износились, а подвижные элементы скоротечно не вышли из строя по причине нерациональных нагрузок. Поэтому пациенту нужно позаботиться о том, чтобы эндопротез прослужил исправно как можно дольше. Для этого нужно неукоснительно следовать следующим рекомендациям:
- не поднимать тяжести весом больше 15 кг, тем более, не переносить тяжелые предметы и не приседать с ними;
- не садиться на корточки и не становиться на колени, исключать скрещивание ног, следить за осанкой, двигаться неторопливо, плавно, равномерно;
- избегать ситуаций травматизма - падений, ударов, вывихов, ушибов и пр. (они могут спровоцировать сдвиг и нарушение целостности деталей сустава-аналога);
- во время любой болезни срочно идти к нужному врачу, так как, к примеру, инфекционный патогенез, даже поразивший ротовую полость, способен перенестись на околосуставные ткани и вызвать тяжелую парапротезную инфекцию;
- ходить в удобной обуви, которая имеет невысокую подошву с хорошими амортизационными свойствами;
- физическая активность должна быть разумной и без фанатизма, важно соблюдать умеренность и ничего не делать через силу, отдыхать при ощущении утомления;
- следить за собственной массой тела, избыточные килограммы сокращают срок эксплуатации имплантата;
- нельзя делать резких и ударно-силовых движений - рывков, махов, прыжков, ударов по мячу, интенсивных вращений коленями и т. п.;
- запрещено играть в футбол, волейбол, хоккей, баскетбол и во всевозможные командные игры, в том числе под запретом быстрый бег, прыжки, езда на лыжах, роликах, коньках;
- вам подойдут такие виды спорта, как теннис, гольф, гребля, езда на велосипеде, плавание, скандинавская ходьба, пеший туризм.

Чтобы избежать таких последствий нагрузку нужно увеличивать очень плавно, из месяца в месяц.
И, наконец, поступайте благоразумно: немедленно ставьте в известность доктора, если обнаружили локальные отеки, гематомы, боли, заметили снижение опороспособности, появление тугоподвижности.
Читайте также:
