Повреждения менисков коленного сустава: атлас фотографий
Добавил пользователь Евгений Кузнецов Обновлено: 13.12.2025
Что такое артроз коленных суставов (гонартроз)? Причины возникновения, диагностику и методы лечения разберем в статье доктора Саковича Никиты Валерьевича, ортопеда со стажем в 9 лет.
Над статьей доктора Саковича Никиты Валерьевича работали литературный редактор Елена Бережная , научный редактор Сергей Федосов
Определение болезни. Причины заболевания
Артроз коленного сустава (гонартроз) — это прогрессирующее хроническое заболевание коленных суставов с повреждением, истончением и разрушением его хрящевой части (суставные поверхности бедренной и большеберцовой костей), а также поражением субхондральной кости. [2] [5] [16] Доказано исследованиями (артроскопия и МРТ), что помимо поражения суставного хряща в процесс вовлекаются мениски и синовиальная оболочка. Гонартроз — одна из самых распространенных ортопедических патологий. [4] [6] [9] [22] Существуют его синонимы — остеоартроз (ОА), деформирующий артроз. Заболевание является важной социально-экономической проблемой, так как широко распространено и значительно ухудшает качество жизни больных из-за постоянного болевого синдрома и, кроме того, становится причиной высокой инвалидизации. [15] [27]

До середины восьмидесятых годов прошлого века не было унифицированного определения заболевания. Только к 1995 году комитетом по остеоартрозу Американского колледжа ревматологии заболевание было охарактеризовано как результат действия механического и биологического факторов, приводящих к дисбалансу между процессами деградации и синтеза внеклеточного матрикса суставного хряща. [11] [19] В итоге происходит его разволокнение и дегенерация, образуются трещины, остеосклероз и уплотнение кортикального слоя субхондральной кости, растут остеофиты и формируются субхондральные кисты. [12] [29]
Почему возникает артроз коленного сустава
К факторам риска артроза относятся:
- хроническая травматизация (нарушение режима физических нагрузок, лишний вес);
- эндокринные, воспалительные, метаболические и ишемические заболевания;
- наличие врождённых или приобретённых нарушений соотношений, формы или структурной организации суставных концов. [22]
При обнаружении схожих симптомов проконсультируйтесь у врача. Не занимайтесь самолечением - это опасно для вашего здоровья!
Симптомы артроза коленных суставов
Артроз коленного сустава характеризуется:
- постепенным началом;
- неинтенсивными болями в суставе при движении, особенно — при спуске и подъеме по лестнице; [5][21]
- «стягиванием», скованностью и «стартовой болью», возникающей во время первых шагов и уменьшающейся или исчезающей, если пациент «расходится», после значительной физической нагрузки она возобновляется. [6]
- внешний вид колена остается прежним. Иногда отмечается небольшая отечность, или в суставе происходит скопление жидкости. При этом колено увеличивается в объеме, раздувается, становится сглаженным, чувствуется ограничение движений и тяжесть.
Болевые ощущения
При прогрессировании болезни болевые ощущения приобретают более интенсивный характер, появляясь уже при незначительных нагрузках и длительной ходьбе. Локализуются по передне-внутренней поверхности сустава. [22] Продолжительный отдых обычно способствует исчезновению боли.
Ограничение подвижности коленного сустава и характерный хруст
При артрозе может уменьшаться объём суставных движений, появляться хруст, и при максимальном сгибании ноги появляется резкая боль.
Деформация коленного сустава
Конфигурация сустава изменяется, он как будто расширяется.
Синовит
Синовит коленного сустава — это воспаление оболочки внутренней полости сустава. Заболевание проявляется в виде отёка колена, покраснения кожного покрова, ограниченной подвижности сустава. С развитием артроза синовиты беспокоят чаще, более длительно протекают и с большим количеством жидкости.
Последняя стадия гонартроза отличается тем, что боли приобретают практически постоянный характер, вызывая беспокойство уже не только во время ходьбы, но и в покое, и даже ночью, [10] [18] когда больным приходится искать удобное положение для сна. Движения более ограничены: трудно сгибать и разгибать ногу до конца. Сустав деформируется и увеличивается в объеме. Нередко наблюдается возникновение вальгусной (Х-образная) или варусной (О-образная) деформации ног. [8] [24] Походка становится неустойчивой, переваливающейся. В тяжелых случаях необходима трость или костыли.

По данным исследователей, у 76% пожилых людей, предъявляющих жалобы на боль в коленях, на рентгенограммах обнаруживается гонартроз. [2] [7] [17] По статистике, чаще заболеванием страдают женщины, что связано с гормональной перестройкой после 45 лет. [12] [19]
Патогенез артроза коленных суставов
Выделяют первичный и вторичный остеоартроз. [8] [15] [20]
Первичный артроз коленного сустава
- суставной хрящ постоянно разрушается и обновляется, в норме эти процессы уравновешены. С возрастом обновление хряща замедляется и начинает преобладать разрушение, которое называют процессом деградации или дегенерации. [12] Важную роль играет вес человека, так как с массой 70 кг за 20 шагов мы переносим на каждой ноге по 700 кг (70 кг х 10 шагов), а при массе 120 кг на ногу приходится уже 1200 кг. Поэтому, слабый хрящ изнашивается в разы быстрее;
- необходимо помнить: сустав получает питательные вещества и восстанавливается, пока двигается; Малоподвижный образ жизни снижает обменные процессы, и до хряща не доходят необходимые элементы; [18]
- имеются спорные данные о наследственной роли в возникновении заболевания. Если у родителей был артроз, то вероятность его возникновения у детей повышается;
- возникает вследствие аутоиммунного синовиального воспаления.
Вторичный артроз коленного сустава
- травмы (переломы, разрыв менисков и передней крестообразной связки). [15][19] К сожалению, у любого человека, независимо от возраста, данные повреждения приводят к излишней нагрузке на хрящ. Перелом любых участков костей, покрытых хрящом, сопровождается образованием неровности — «ступеньки». [26] В этой зоне при движении происходит истирание, и формируется артроз;
- ревматоидный артрит, болезнь Кёнига (рассекающий остеохондрит), последствия гнойного воспаления в суставе (гонит) и т. д.;
- регионарные сосудистые нарушения;
- хронические экссудативно-пролиферативные и рубцово-спаечные процессы в суставе.

При артрозе (остеоартрозе) кроме прогрессивного разрушения хряща, потери его эластичности и амортизирующих свойств, в процесс постепенно вовлекаются кости. [7] [29] Под нагрузкой возникают заострения по краям (экзостозы), которые по ошибке считают "отложениями солей" — при классическом артрозе никакого отложения солей не происходит. Прогрессируя, артроз продолжает «съедать» хрящ. Затем деформируется кость, там происходит образование кист, поражаются все структуры сустава, и нога искривляется. [11] [17]
Помимо внутреннего или наружного отдела колена артроз может поражать и поверхности между надколенником и межмыщелковой бороздой бедренной кости. Такой вариант называется пателло-феморальный артроз. [16]
Его причиной, как правило, становится подвывих, перелом или латерализация надколенника.

Классификация и стадии развития артроза коленных суставов
Независимо от причины возникновения выделяют три стадии заболевания гонартроза, или деформирующего артроза коленного сустава.
Гонартроз, I стадия
Первая стадия заболевания характеризуется первичными изменениями в гиалиновом хряще. [12] [18] Костные структуры не затрагиваются. Во внутрикостных сосудах и капиллярах нарушается кровоснабжение. Становится сухой поверхность хряща, и он утрачивает свою гладкость. Если заболевание сопровождается постоянным напряженным синовитом, то развивается киста Бейкера (грыжевое выпячивание капсулы сустава подколенной области). [15] После значительной нагрузки на сустав возникают тупые боли. Возможна небольшая отечность, которая проходит после отдыха. Деформации нет.
Гонартроз, II стадия
На второй стадии хрящевая прослойка резко истончается, а местами и вовсе отсутствует. [22] Появляются остеофиты по краям суставных поверхностей. Изменяются качественные и количественные характеристики синовиальной жидкости сустава — она становится гуще, более вязкой, что приводит к ухудшению питающих и смазывающих свойств. [14] [16] Боли более продолжительные и интенсивные, часто при движении появляется хруст. Отмечается незначительное или умеренное ограничение движений и небольшая деформация сустава. Прием анальгетиков помогает снять болевой синдром.
Гонартроз, III стадия
Отсутствие хряща на большинстве поражённых участков, выраженный склероз (уплотнение) кости, множество остеофитов и резкое сужение или отсутствие суставной щели. [8] [15] Боли практически постоянные, походка нарушена. Подвижность резко ограничена, заметна деформация сустава. Препараты НПВС, физиопроцедуры и другие стандартные методы лечения артроза коленного сустава неэффективны. [11]
Виды гонартроза
В зависимости от количества поражённых суставов выделяют односторонний и двусторонний гонартроз.
Осложнения артроза коленных суставов
Наиболее частым осложнением II и III стадии является тендовагинит приводящей группы мышц бедра. [22] [24] Это проявляется болью по внутренней поверхности сустава, которая усиливается при движении. Причиной является мышечный дисбаланс и деформация. При длительном снижении объема движений развивается контрактура. [11] [14] Кроме того, нередко возникает синовит.
Последствия запущенного гонартроза
Гонартроз затрагивает весь опорно-двигательный аппарат, нарушая биомеханику позвоночного столба и других крупных суставов нижних конечностей. Это может привести к грыже межпозвоночных дисков и артритам прочих суставов. [16] Перегружается второй коленный сустав (если заболевание одностороннее), так как пациент щадит больную ногу, перенося вес на другую, здоровую.
Диагностика артроза коленных суставов
Инструментальная диагностика артроза коленного сустава
В подавляющем большинстве случаев достаточно осмотра и рентгенограммы коленного сустава в двух проекциях (прямой и боковой). [2] [19] Клинические данные и снимки позволяют определить стадию заболевания.

На ранних стадиях заболевания, при незначительных изменениях в костной ткани, рентгенологическое обследование не настолько ценно. [5] [8] На этом этапе гонартроз возможно диагностировать благодаря артроскопии. [5] [8] Точность метода очень высока, останавливать может только его инвазивный характер и цена.
УЗИ не позволяет произвести четкую визуализацию изменений суставного хряща и внутрисуставных структур. [15] С помощью МРТ можно с 85% точностью выявить изменения костных, хрящевых и мягкотканых структур сустава, а также субхондральной кости. [15] С помощью сцинтиграфии можно оценить метаболическую активность периартикулярной костной ткани.
Лабораторная диагностика артроза коленного сустава
Повышенное содержание фосфора и кальция в дегидратированной синовиальной жидкости является свидетельством деструкции костно-хрящевой ткани сустава и накопления продуктов деградации. Также исследуют кровь — общий анализ и скорость оседания эритроцитов (СОЭ); определяют уровень фибриногена, мочевины и других биохимических показателей крови и мочи. [16]
Можно ли полностью вылечить деформирующий артроз коленного сустава
Гонартроз вылечить полностью можно только на самой ранней стадии заболевания.
Какой врач лечит деформирующий артроз коленного сустава
Устанавливает диагноз и назначает лечение травматолог-ортопед или ревматолог.
Лечение артроза коленных суставов
Консервативное — противовоспалительные препараты, обезболивающие, миорелаксанты, сосудистые, хондропротекторы, компрессы, кинезотейпирование, лечебная физкультура, физиолечение, ортезы.
Малоинвазивное — параартикулярные блокады (новокаин + лекарственный препарат снимают боль и воспаление), введение искусственной смазки в сам сустав, плазмолифтинг.
Хирургическое — артроскопия (малотравматичный метод лечения внутрисуставных патологий и удаления поврежденных структур), эндопротезирование.
Медикаментозное лечение (препараты для лечения артроза коленного сустава)
Консервативные методы наиболее эффективны на начальной стадии заболевания. [9] [16] Они способствуют уменьшению болей и временному замедлению разрушения хряща. При II стадии необходимы более действенные методы. [8] [23] Введение в полость сустава препаратов гиалуроновой кислоты используется для уменьшения трения и травматизации хряща. Однозначных данных за восстановление хряща нет, но для смазывания поверхностей подходит хорошо. “PRP-терапия” (плазмолифтинг) — введение в коленный сустав обогащенной тромбоцитами плазмы, которую получают из собственной крови пациента путем центрифугирования. [4] [13] [18] Она питает хрящ и способствует его восстановлению, так как в тромбоцитах аутоплазмы содержатся многочисленные факторы роста и цитокины, которые способствуют регенерации поврежденных тканей.
Хирургическое лечение и эндопротезирование
Эндопротезирование — распространённый и эффективный хирургический метод лечения тяжелого гонартроза, [16] [24] [25] который позволяет сохранить подвижность конечности и возможность ведения полноценной жизни впоследствии. Это высокотехнологичная операция длительностью примерно полтора часа. В послеоперационном периоде необходима длительная реабилитация и разработка сустава. [16] [18] Через 25-30 лет, когда искусственный сустав изнашивается, нужно снова производить его замену.

Физиотерапия и кинезитерапия
Методы физиотерапии и кинезитерапии для лечения артроза коленного сустава малоэффективны.
Диетотерапия
Диета нужна только для поддержания нормального веса, ограничений на употребление определённых продуктов при гонартрозе нет.
Помогает ли блокада при гонартрозе
При артрозе коленного сустава применяется параартикулярная блокада — инъекция препарата в мягкие ткани вокруг сустава. При проведении процедуры определяется область воспаления и болевые точки возле сустава, кожа обрабатывается спиртом и в эту область вводится гидрокортизон с анестетиком.
Лечебная гимнастика при артрозе
Лечебная гимнастика полезна и для пациентов, страдающих гонартрозом, и для профилактики этого заболевания. Эффективные упражнения:
- полное сгибание и разгибание ноги, лёжа на спине;
- поднятие прямой ноги вверх, лёжа на спине.
Прогноз. Профилактика
Нужно понимать, что если артроз начал развиваться, то его нужно сразу начинать лечить. [6] [18] [22] Если вы относитесь к группе риска данного заболевания, можно отсрочить начало, для этого рекомендуется:
- снизить нагрузки на коленный сустав;
- плавать — вода снимает нагрузку;
- самостоятельно делать массаж мышц голени и бедра;
- избегать переохлаждения и переутомления;
- поддерживать нормальный вес;
- отказаться от курения и алкоголя;
- женщинам носить удобную обувь на низком каблуке;
- заниматься лечебной физкультурой
Перед началом лечебной гимнастики обязательно нужно проконсультироваться с врачом. Упражнения выполняются в медленном темпе. При возникновении боли или дискомфорта во время гимнастики занятия нужно прекратить.
Необходимо использовать только эффективные препараты. Малоэффективны растирки, компрессы и другие народные методы, которые не действуют на причину заболевания, а лишь помогают отвлечься от боли. Избегать травм и перегрузок — прыгать, носить тяжести, подолгу стоять или сидеть в неудобной позе. [2] [20] [21] Это ускоряет прогрессирование болезни.
Также необходимо вовремя диагностировать и лечить ревматоидный артрит, подагру и системные заболевания.
Какие факторы влияют на долгосрочный прогноз артроза коленного сустава
Прогноз зависит от стадии, в которой пациент обратился к врачу, и правильно проводимой терапии. [23] Чем раньше начать грамотное лечение, тем выше шансы избежать операции.
Классификации разрывов мениска
Разрывы менисков являются одной из наиболее распространенных причин возникновения болевого синдрома и нарушения функции коленного сустава.
Кровоснабжение менисков осуществляется от артерий капсулы сустава. По степени кровоснабжения выделяют 3 зоны. Наиболее хорошо кровоснабжается область мениска расположенная ближе к капсуле сустава (красная зона). Кровоснабжение менисков обеспечивается ветвями аа. medial et lateral genicularis и капсулярными сосудами. Хорошо известно разделение менисков в зависимости от качества кровоснабжения на три зоны: красную (с достаточным кровоснабжением для регенерации зоны периферического повреждения), красно-белую (переходную) и белую (аваскулярную) зону. Внутренние части менисков собственного кровоснабжения не имеют (белая зона), питание этой части осуществляется за счет циркуляции внутрисуставной жидкости. Поэтому повреждения менисков рядом с капсулой сустава (паракапсулярные разрывы) имеют больше шансов на сращение, а разрывы внутренней части мениска, как правило, не срастаются.
В зависимости от соотношения линии разрыва мениска с поперечной плоскостью на МР-томограммах в сагиттальной проекции различают:
- вертикальные разрывы.
- горизонтальные разрывы.
В зависимости от соотношения с окружностью или поверхностью мениска различают:
- поперечные или радиальные разрывы.
- косые разрывы.
- продольные разрывы.

Вертикальные разрывы мениска проходят перпендикулярно коронарной плоскости мениска и соотносятся с осью мениска как радиальные или продольные.
Вертикальные радиальные (поперечные) разрывы являются одним из наиболее частых видов разрыва мениска. Линия разрыва при этом проходит перпендикулярно основной оси мениска. Наиболее частой локализацией радиального разрыва является средняя треть латерального мениска. Эти разрывы могут выявляться только в одной проекции - коронарной или сагиттальной, часто только на одном или двух срезах. Разрывы тела мениска отделяют передний и задний фрагменты мениска и лучше визуализируются в сагиттальной проекции. Разрывы переднего или заднего рога отделяют внутренний и наружный фрагменты мениска и лучше визуализируются в коронарной проекции.
Вертикальный косой разрыв мениска (по типу «клюва попугая») является разновидностью вертикального радиального (поперечного) разрыва. Линия разрыва начинается радиально от внутреннего края и переходит в продольную плоскость, как при продольных разрывах. На МР-томограммах в сагиттальной проекции линия разрыва выявляется на одном или двух крайних срезах, потому что срезы мениска в сагиттальной плоскости проходят перпендикулярно к изображению такого разрыва.
Вертикальные продольные разрывы проходят параллельно наружному контуру мениска, перпендикулярно суставной поверхности эпифиза и разделяют мениск на внутренний и внешний фрагменты. Эти разрывы чаще локализуются в средней или наружной трети мениска и не затрагивают его внутренний свободный край. Короткие разрывы визуализируются только в сагиттальной проекции, длинные разрывы выявляются в обеих плоскостях. Частичные разрывы доходят только до одной суставной поверхности, а полные разрывы затрагивают верхнюю и нижнюю поверхность и могут отделять внутренний и наружный фрагменты мениска.
Одним из наиболее характерных ви- дов вертикальных разрывов являются продольные разрывы со смещением оторванной части — разрывы по типу «ручки лейки» или «ручки ковша». Эти разрывы характеризуются отделением центрального фрагмента мениска и смещением его медиально в межмыщелковую ямку или кпереди над передним рогом мениска. Отделенный центральный фрагмент имеет визуальное сходство с ручкой лейки или ковша. Эти разрывы составляют около 10 % всех разрывов менисков и чаще наблюдаются в медиальном мениске.
Комплексные разрывы сочетают в себе признаки вертикальных и горизонтальных разрывов, продольных и радиальных разрывов. Комплексные разрывы чаще начинаются от свободного края мениска и проходят в косом направлении до тела мениска. На МР-томограммах эти разрывы могут иметь черты как вертикальных, так и горизонтальных разрывов.
Мениски — анатомия

Артикулирующие поверхности на большеберцовой кости не соответствуют таковой на бедренной кости. Равномерному распределению давления на единицу площади в соответствующих пределах и способствуют, очевидно, такие анатомические образования, как мениски.
Мениски — две подвижные хрящевые прокладки серповидной формы, расположенные между суставными поверхностями периферических отделов бедренной и большеберцовой костей. Мениски обеспечивают конгруэнтность сочленяющихся суставных поверхностей КС, выполняют важную буферную роль, принимая на себя значительную часть нагрузки, передающейся через сустав, являются важным стабилизирующим его элементом, участвуют в обеспечении питания и смазки сустава.
Утолщенный периферический край мениска (васкуляризированная зона) крепится к суставной капсуле, которая в задних отделах образует глубокие карманы, а на уровне задненаружного угла наружного мениска прерывается входом в канал сухожилия подколенной мышцы. Тонкий свободный край мениска (аваскулярная часть) обращен в полость сустава и при дискоидном строении наружного мениска достигает межмыщелковой области. Оба мениска прочно соединены со связками в области передних и задних рогов, а внутренние — также с боковой связкой на уровне тела. Меньшая подвижность внутреннего мениска по сравнению с наружным обусловливает большую частоту его повреждения (в 8 — 9 раз).

Скошенная поверхность формы менисков не только препятствует смещению болышеберцовой кости в виде барьера, но и способствует распределению вертикальной нагрузки по касательному вектору на болышеберцовую кость, что значительно уменьшает стрессовое силовое воздействие на нее при
Мениски более плотно прикреплены к большеберцовой кости, чем к бедренной. При флексии они смещаются кзади, а контактная точка на большеберцовой кости направлена кпереди. Мобильность менисков позволяет им двигаться в переднезаднем направлении независимо друг от друга с наличием внутренней и наружной ротации большеберцовой кости. Медиальный мениск имеет более плотное прикрепление к капсуле, чем латеральный, в связи с этим многие авторы отмечают более высокую частоту разрыва внутреннего мениска.
Наиболее жестко медиальный мениск крепится у места отхождения задней косой связки. Мениски главным образом аваскулярны (васкулярность отмечается в периферической их части). Несосудистые отделы менисков получают питание путем чередования компрессии и декомпрессии хряща мениска при циклическом движении. Это оставляет центральную часть менисков аваскулярной, а также свободной от артикулирующей поверхности, где осуществляется питание. Именно этот участок в большей степени предрасположен к дегенеративным изменениям. Таким образом, основная функция менисков заключается в обеспечении стабильности сустава, а также перераспределении нагрузки на артикулирующей поверхности.
50% компрессионной нагрузки КС переносится через мениски при разгибании и 85% — соответственно при 90° флексии в суставе. После удаления мениска площадь контакта суставной кости уменьшается на 50%. Даже парциальная менискэктомия ведет к значительному увеличению давления на единицу площади.
Связки Wrisberg и Humphrey, или так называемые менискофеморальные связки соединяют задний рог латерального мениска с медиальным мыщелком бедренной кости. Связка Humphrey проходит впереди ЗКС, и при артроскопии создается впечатление, что она является частью её на медиальном мыщелке
бедренной кости. Связка Wrisberg располагается обычно позади ЗКС. Данные связки могут не присутствовать в каждом КС, и это является косвенным доказательством того, что при их отсутствии можно найти дополнительные структуры стабилизации, либо возможно усиление имеющихся структур, так как эти связки крайне важны в стабилизации сустава.
Что такое артроскопия коленного сустава?
Артроскопия - это операция, заключающаяся в получении изображения изнутри сустава при помощи специальной камеры, называющейся артроскопом. Артроскоп позволяет получить качественное увеличенное изображения изнутри сустава через небольшой разрез кожи длиной всего 7-8 мм, что позволяет избежать открытой хирургии. Под контролем артроскопа производятся другие доступы к коленному суставу, через которые вводятся специальные инструменты, при помощи которых есть возможность решить многие проблемы внутри сустава.
Несмотря на то, что используются маленькие разрезы, объём операций при артроскопии может быть очень большим, и часто те операции которые выполняются артроскопически невозможно адекватно выполнить открыто.

Артроскопические вмешательства не требуют длительной госпитализации, в абсолютно большинстве случаев достаточно 1-2 дней нахождения в стационаре.

Показания к артроскопическим операциям на коленном суставе.
Основными показаниями для операций на коленном суставе являются следующие заболевания и симптомы:
Повреждения суставного хряща
Разрыв передней крестообразной связки
Разрыв задней крестообразной связки
Свободные внутрисуставные хондромные тела
Боль в области надколенника
Хруст и заклинивание коленного сустава
Пересадка суставного хряща
Артроз коленного сустава
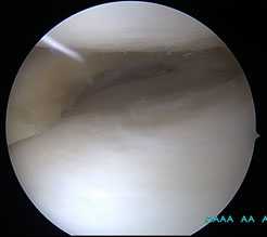
Разрыв мениска - наиболее частая причина для артроскопической операции на коленном суставе. Мениски являются прокладками сделанными их хрящеобразной ткани которые помогают колену лучше амортизировать нагрузку при ходьбе, беге, прыжках и других видах активности. В случае разрыва мениска его фрагменты могут травмировать суставной хрящ и вызывать эпизоды заклинивания сустава. Травматизация суставного хряща со временем приводит к возникновению артроза коленного сустава. В 95 % случаев требуется частичная резекция повреждённого фрагмента мениска. В 5 % у молодых активных пациентов с определенным типом разрывов возможно выполнение шва мениска. Восстановление после операции на мениске варьирует в зависимости от размера разрыва и может составлять от 2-3 недель до 5-6 месяцев.

Разрыв внутреннего мениска по типу «ручки лейки» с блоком коленного сустава (невозможность полностью разогнуть коленный сустав). На фотографии хорошо виден крупный фрагмент мениска плотно зажатый между суставными поверхностями бедренной и большеберцовой кости.

Дегенеративный комбинированный разрыв тела и заднего рога внутреннего мениска коленного сустава.

Продольный разрыв заднего рога наружного мениска, сопровождающийся его гипермобильностью. При таком разрыве мениск может значительно смещаться внутрь сустава создавая ощущение механического блока, инородного тела, нестабильности в суставе, заклинивания, щелчков.

Удалённый фрагмент внутреннего мениска при разрыве по типу ручки лейки с блоком коленного сустава.

Мениск после обработки по поводу паракапсулярного субтотального разрыва по типу ручки лейки.
Изменения суставного хряща коленного сустава.
Суставной хрящ - гладкая, упругая и прочная соединительная ткань покрывающая кости образующие сустав. Это позволяет костям свободно скользить друг относительно друга в суставном соединении. В случае травм, повышенного износа, некоторых метаболических расстройств хрящ может изнашиваться, вызывая боль и ограничение объёма движений. Артроскопия не лечит артрит или артроз, но может снизить болевой синдром и позволить частично восстановить хрящевое покрытие костей в суставе за счёт таких вмешательств как хондропластика, дебридмент и микрофрактуринг и ряд других.

Продольные трещины на хряще большеберцовой кости после эпизода подкашивания после разрыва передней крестообразной связки коленного сустава.

Дегенеративные изменения суставного хряща коленного сустава появляющиеся на фоне повреждения разорванным мениском.
Свободное внутрисуставное тело коленного сустава.
Свобоные внутрисуставные тела чаще всего образуются в результате отслойки хряща или костно-хрящевых фрагментов, крупных фрагментов менисков. Свободно перемещаясь внутри сустава они могут вызывать заклинивание сустава, боли, щелчки, ощущение инородного тела в суставе, эпизоды нестабильности. Кроме того суставные тела при заклинивании травмируют суставной хрящ и могут приводить к развитию артроза. Артроскопически не составляет особого труда быстро и эффективно убрать свободное суставное тело, одновременно разобравшись с причиной его образования.

Свободное внутрисуставное тело коленного сустава, состоящее из отслоенного участка хряща внутреннего мыщелка бедра на фоне его постоянной травматизации фрагментов разорванногомениска.

Свободное внутрисуставное тело коленного сустава после удаления, состоящее из отслоенного участка хряща внутреннего мыщелка бедра и причина отслойки - дегенеративно изменённый задний рог внутреннего мениска.
Повреждения хряща коленного сустава.
Надколенник (или коленная чашечка) может давать сильно выраженный болевой синдром, трудно поддающийся консервативному лечению. Чаще всего он возникает на фоне функциональной перегрузки при занятиях спортом или как следствие ригидности четырёхглавой мышцы. Другими причинами болей данной локализации может быть смещение надколенника кнаружи в результате врождённых особенностей формирования коленного сустава или как следствие травматического его вывиха. Артроскопия позволяет обработать дефекты хряща на внутренней поврехности надколенника, ослабить степень натяжения его связочного аппарата, произвести фиксацию надколенника в смещённом кнутри положении.
Артроскопическое восстановление связочного аппарата коленного сустава.
После травмы может возникнуть нестабильность коленного сустава как следствие разрыва одной или нескольких связок. Наиболее часто оперативное вмешательство выполняется по поводу разрыва передней крестообразной связки. Но в ряде случаев происходит разрыв задней крестообразной связки, наружной и внутренней коллатеральной связки, связочного аппарата задне-латерального отдела коленного сустава, связочного аппарата поддерживающего надколенник и ряд других повреждений. Восстановление связок производится при помощи собственного аллотрансплантатов (например, собственных полусухожильной и нежной мышц), а также трупных связок и синтетических аналогов. Сами операции технически довольно сложные вмешательства, по этой причине они будут рассмортены в отдельных статьях.

Подготовка аутотрансплантата для пластики передней крестообразной связки по поводу её разрыва.
Артроскопическая трансплантация хряща.
В случае изолированных полнослойных дефектов хряща возможно выполнение его артроскопической трансплантации из зон менее нагружаемых при физической нагрузке в зону дефекта. Данное вмешательство возможно выполнить как артроскопически так и открыто, однако артроскопическая техника имеет ряд преимуществ, в виде снижения болевого синдрома и укорочения сроков реабилитации.
Описание процедуры артроскопии коленного сустава.
Артроскопия коленного сустава - это собирательный термин, используемый по отношению ко всем операциям на коленном суставе, выполняющимся через маленькие разрезы (6-7мм) при помощи специального интрументария, включая камеру и оптоволоконный проводник. Наиболее частыми артроскопическими операциями на коленном суставе являются артроскопическая менискэктомия, артроскопическая пластика передней крестообразной связки, удаление свободных внутрисуставных хондромных тел, дебридмент и микрофрактурирование остеохондральных дефектов, артроскопическая медиализация надколенника а также операции известные под названием «шурум - бурум», «голубой дунай», «чик-чирик и трали-вали» сводящиеся главным образом к артроскопической санации в том случае, если ничего интересного в суставе обнаружить не удалось.
Продолжительность артроскопических операций крайне сильно варьирует от 10 минут при простой менискэктомии до 4 часов и более в случае одномоментного восстановения ЗКС и элементов постеролатерального угла. Среднестатистическими значениями можно назвать 20-30 минут для менискэтомии и 50-70 минут для аутопластики ПКС в случае если операцию выполняют опытные хирурги, например такие, как в клинике К+31.
Анестезия при выполнении артроскопической операции на коленном суставе.
Артроскопические вмешательства на коленном суставе можно выполнять как под спинномозговой анестезией, так и под наркозом. Для хирурга это не имеет принципиального значения, главное чтобы пациент своими комментариями не сильно мешал ходу операции, в этом отношении спящий пациент значительно удобнее бодрствующего.
Разрезы при выполнении артроскопической операции на коленном суставе.
Для стандартной менискэктомии чаще всего используется 2 небольших разреза 7-8 мм с обеих сторон от связки расположенной под коленной чашечкой. Для плстики передней крестообразной связки и других не менее увлекательных вмешательств может потребоваться большее количество отверстий. Через эти доступы в коленный сустав устанавливается металлическая трубка, которая выступает в качестве шахты для камеры и проводника для воды.
Первым делается доступ снаружи от связки надколенника, через который вводится камера в верхний заворот коленного сустава. Под контролем камеры выполняется доступ с внутренней стороны от связки надколенника. Сустав тщательно осматривается последовательно из обоих доступов на предмет повреждения наружного и внутреннего менисков, крестообразных связок, суставного хряща и прочее.
Восстановление после артроскопии коленного сустава.
Восстановление после артроскопических операций на коленном суставе опять же крайне сильно варьирует в зависимости от того какое именно вмешательство выполнялось, от того «пошло ли всё так как надо» или «всё пошло не так», от возраста, сопутствующей патологии, качественности реабилитации. Так после частичной резекции мениска у бегуна по поводу небольшого радиального разрыва мениска, пациент на следующий день может пойти бегать (конечно же противореча рекомендациям хирурга), а после пластики ПКС с одновременной резекцией наружного и внутреннего менисков по поводу блокированных разрывов по типу ручки лейки восстановление займет минимум 6-12 месяцев и может полностью не произойти.
Швы после артроскопии коленного сустава
Зависит от предпочтений хирурга. Некоторые готовы заморачиваться с внутрикожными швами или накладывать стерильные стрипы, другие нет. Но в любом случае самой надёжной фиксацией краёв раны будет полноценный шов. Зачем подвергать себя риску расхождения краёв раны ради сомнительного косметического эффекта и отсутствия необходимости один раз приехать к доктору на снятие швов.
Нужен ли ортез после артроскопии коленного сустава?
Как и в случае с восстановлением после операции это сугубо индивидуально и зависит от множества факторов. После «маленькой» операции по резекции мениска бандаж в принципе можно вообще не использовать, после стандартной пластики передней крестообразной связки используется тутор или ортез до 6 недель. Но в случае склонности к рискованным затеям и отсутствия какого бы то ни было чувства самосохранения у пациента, можно рекомендовать ношение индивидуальной карбоновой брони в стиле бэтмена и на протяжении всей оставшейся его жизни.
Когда можно мыться после артроскопии коленного сустава?
Наши пациенты всегда крайне озабочены вопросами гигиены. Теоретически можно помыться в душе через 48 часов после операции при условии абсолютно сухих ран и отсутствии признаков их воспаления. Но лучше потерпеть, хотя бы 14 дней, чтобы раны полностью зажили, а до этого момента обматывать прооперированную часть своего тела полиэтиленовой плёнкой на время омовений. Лежание в ванной и натирание ран мочалкой строго противопоказано.
Как долго потребуется принимать обезболивающие после артроскопии коленного сустава?
Боль - субъективное переживание пациента. Каждый человек обладает своей собственной индивидуальной школой от «ой совсем не больно» 1 балл до « ай п…ц не могу. » 10 баллов. Поэтому некоторые пациенты вообще особо не нуждаются в обезболивающих препаратах, другие едят их горстями и требуют добавки даже когда всё уже должно было перестать болеть. Хирурги считают что в большинстве случаев артроскопические операции не сопровождаются выраженными болями и нахождение в стационаре более 1-2 суток не требуется, после чего пациенты предоставляются самим себе и вынуждены справляться с болями средствами из своей домашней аптечки.
Понадобится ли мне лечебная физкультура и физиотерапия после артроскопии коленного сустава?
У некоторых пациентов процесс восстановления настолько быстрый как у росомахи из Х-менов, другие требуют более вдумчивого подхода, занятий с инструктором ЛФК, работы на тренажёрах. В большинстве случаев после менискэктомии не требуется больше 2-3 занятий, в то же время реабилитация после пластики передней крестообразной связки довольно трудная и занимает обычно 4-6 месяцев.
Какие упражнения нужно делать после артроскопии коленного сустава?
Как и во всех предыдущих пунктах, вопрос недостаточно конкретный чтобы чётко на него ответить. Всё зависит от того, какая именно операция выполнялась.
Результаты артроскопии коленного сустава.
Результат артроскопии коленного сустава зависит от того по какому поводу выполнялась операция и от того что именно было сделано во время неё. В случае разрыва мениска, при отсутсвии каких либо иных повреждений в коленном суставе результат операции может быть прекрасным, с полным восстановлением всей функции коленного сустава уже через 2-3 недели после вмешательства. Пациенты, у которых обнаруживаются повреждения суставного хряща покрывающего кости, образующие коленный сустав, чаще продолжают испытывать боль и другие симптомы и после оперативного вмешательства. Резекция мениска, удаление свободных суставных тел и обработка повреждённого хряща могут помочь снизить болевой синдром и на какое-то время отсрочить необходимость в эндопротезировании коленного сустава.
Упражнения после артроскопии коленного сустава.
Очень важно начать закачку четырёхглавой мышцы бедра ещё до операции, эти упражнения важны для того чтобы восстановить мышечную силу после операции. Также необходимо начать упражнения по восстановлению силы квадрицепса в максимально ранние сроки после оперативного вмешательства.
Приём медикаментов, на что обратить внимание перед артроскопией коленного сустава.
Перед принятием решения об артроскопии коленного сустава врач расспросит вас обо всех ваших заболеваниях и принимаемых вами препаратах. Также врачу важно знать о предыдущих операциях, аллергии на лекарственные препараты, переливаниях крови и ваших религиозных убеждениях. Очень важно говорить врачу всю правду о своих заболеваниях и принимаемых препаратах в противном случае это может привести к печальным последствиям. Антиагреганты, такие как аспирин, клопидогрель, плавикс; а также нестероидные противовоспалительные препараты такие как ибупрофен, найз, нимесил, вольтарен и многие другие желательно отменить за 5 дней до планируемой операции. Антикоагулянты, такие как гепарин, эноксапарин, фраксипарин, вводятся последний раз за 12 часов до операции. Пероральные антикоагулянты такие как ксарелто и прадакса отменяют за 48 часов, варфарин за 72 часа с контролем МНО.
Что взять на приём к хирургу, если у вас планируется артроскопия коленного сустава.
Возьмите все свои рентгенограммы, МРТ, КТ, и прочие исследования которые имеются у вас на руках. Также запишите на лист все препараты которые вы принимаете.
Как ускорить восстановление после артроскопии коленного сустава.
Для ускорения реабилитации после артроскопии коленного сустава необходимо: снизить уровень послеоперационной боли, уменьшить отёк, тренировать мышцы для восстановления функции опоры и ходьбы. Боль после оперативного вмешательства может быть следствием избыточной повышенной активности, длительной ходьбы, сильного отёка. Степень активности необходимо восстанавливать постепенно, первые несколько дней нужно избегать длительных прогулок, не сгибать коленный сустав более 90 градусов, не становится на колени. Возможно вам потребуется разгрузить коленный сустав при помощи ортеза и костылей по рекомендации лечащего врача.Для уменьшения отёка и болей необходимо использовать лёд по30 минут 4-5 раз в день на протяжении первых 5-10 дней после операции. Приём НПВС таких как ибупрофен, аркоксия, найз, позволить уменьшить боль, но желательно принимать только в случае крайней необходимости, например перед сном. Врач ЛФК начнёт с вами заниматься непосредственно после операции. Дальнейшие реабилитационные мероприятия проводятся в амбулаторном порядке. Также желательно заранее озаботиться тем как вы доберётесь домой после операции, так как вы не сможете сами сесть за руль.
Осложнения после артроскопии коленного сустава.
Любое хирургическое вмешательство имеет свои риски. Для любой ортопедической операции возможны инфекционные осложнения в 1 % случаев. Для снижения инфекционных рисков предпринимаются все возможные меры, такие как многократная обработка операционного поля растворами антисептиков, использование одноразового инструментария, белья, хирургические стерильные плёнки которые приклеиваются на кожу непосредственно перед разрезом, профилактическое введение антибиотиков до разреза. Несмотря на это изредка происходит нагноение послеоперационных ран. Специфическими осложнениями являются скопление крови в суставе - гемартроз, который обычно требует пункции коленного сустава. После пластики передней крестообразной связки возможно развитие тугоподвижности сустава, расшатывание имплатнов, разрыв трансплантата. Длятого чтобы получить более подробную информацию о возможных рисках вам необходимо проконсультироваться с лечащим врачом.
Заключение.
Артроскопия коленного сустава является безопасной и эффективной операцией. Каждый коленный сустав уникален и поэтому результаты операции в каждом конкретном случае будут отличаться. Осложнения крайне редки, однако они иногда случаются. Если у вас остались какие бы то ни было вопросы, задайте их хирургу перед операцией.
Разрыв заднего рога мениска
Мениск является важным структурным элементом коленного сустава. Своим видом он напоминает полумесяц с немного подающимися вперед краями.
- тело,
- концевые зоны,
- задний и передний рог.
Коленный сустав отличается сложной структурой, в нем расположены сразу два мениска - латеральный (наружный) и медиальный. Они крепятся к большой берцовой кости при помощи своих вытянутых концов. Наружный мениск считается более подвижным, нежели медиальный, и находится во внешней части колена. Разрыв первого происходит довольно редко.

Медиальный мениск находится во внутренней области колена и соединяется с внутренней боковой связкой. Паракапсулярная часть мениска (или красная зона) содержит в себе множество мелких капилляров, через которые он снабжается кровью. Промежуточная часть хряща имеет меньше капилляров, потому не так сильно снабжается кровью. К внутренней части хряща (мениска) и вовсе не поступает кровь, так как она не имеет кровеносных сосудов.

Мениски выполняют множество разных функций: служат в качестве амортизаторов при движении, уменьшают и равномерно распределяют нагрузку на суставы, участвуют в стабилизации положения коленного сустава, тем самым ограничивая амплитуду движений, что уберегает человека от получения травмы.
Распространенные травмы мениска
В основном пациенты обращаются в больницу с комбинированным разрывом мениска, который включает в себя отрыв или разрыв заднего, переднего рога или тела мениска.
- разрыв хряща — это травма, которая характеризуется надрывом более тонких его частей, или в результате сильной травмы происходит разрыв переднего, заднего рога изолированно либо в сочетании с телом;
- отрыв части мениска или его появление в капсуле коленного сустава происходит в результате повреждения или стирания. Этот случай встречается часто в травматологии.

Признаки разрыва заднего и переднего рога мениска
Существует целый ряд признаков, по которым можно определить разрыв рога мениска:
- травматический разрыв. Этот вид повреждения характеризуется резким появлением болевых ощущений в коленном суставе после полученной травмы, а также отеком. Результатом травмы мениска может стать, отрыв одной его части, что будет доставлять сильный дискомфорт человеку во время хождения. При несложных разрывах медиального мениска присутствуют щелчки в колене во время передвижения, пациент теряет способность полноценно ходить, ограничивается повседневная активность.
Большие разрывы становятся причиной заклинивания коленного сустава (его блокады), так как оторванная часть хряща мешает сгибать и разгибать колено. При подобных повреждениях боль может оказаться нестерпимой, в особых случаях пациент не в состоянии даже ступить на ногу. Иногда сильная боль может проявляться только в результате выполнения определенных действий, к примеру, спуске или подъеме по лестнице.

Дегенеративный разрыв заднего рога мениска
Этот вид повреждения мениска часто встречается у пациентов после 40 лет. Для него не характерна острая боль и припухлость, поскольку оба эти симптома развиваются постепенно. Повреждение перетекло в хроническую стадию, чтобы его обнаружить, необходимо пройти диагностику. Разрыв заднего рога медиального мениска - коварный недуг, часто возникающий после привычного всем вставания с дивана или кресла, глубокого приседания.
Нередко при хронических разрывах сустав блокируется, но в основном для этого вида травм характерен болевой синдром, иногда припухлость. При разрыве заднего рога мениска зачастую повреждается и хрящ суставных поверхностей, находящийся по соседству. По аналогии с острыми разрывами, дегенеративные также проявляются по-разному. В одном случае болевые ощущения появляются при выполнении определенных действий, в другом - боль постоянная, не дающая ступить на ногу.
Причины и механизмы разрывов
Медицине известен ряд причин, которые приводят к травме мениска:
- сильные физические нагрузки, скручивание голени (особенно во время игры в теннис или футбол);
- активная ходьба или бег по неровной местности;
- долгое сидение в «полуприседе»;
- возрастные изменения тканей;
- прыжки на одной ноге или вращения;
- врожденная слабость связок и суставов;
- слишком резкое сгибание или разгибание ноги;
- прямая травма колена (сильный ушиб или падение).
Что происходит с поврежденным мениском?
![]() | ![]() |
| а. разрыв мениска по типу «ручки лейки» | б. разрыв тела и заднего рога мениска с образованием двух лоскутов |
|---|
Продольный разрыв мениска бывает частичным или полным. Последняя форма считается более опасной, потому что отделившаяся часть заднего рога или тела мениска попадает в область между суставными поверхностями, что приводит к блокированию движения всего сустава. Продольный разрыв чреват полным обездвиживанием сустава.
Косые разрывы возникают между задним рогом мениска и серединой тела хряща. Такую травму считают частичным разрывом (лоскутный), однако край хряща может попасть между суставами, что повлечет за собой «кочующую боль» с одной части колена в другую, при движении коленом слышится треск. Горизонтальный разрыв возникает во внутренней части сустава (мениска). Для этого вида травм характерна отечность в области суставной щели и острый болевой синдром.

Часто подобного рода травмы объединяют в себе одновременно несколько видов повреждений (комбинированный разрыв).
Диагностика повреждений менисков
Острый болевой синдром и другие выше описанные симптомы четко указывают на то, что необходимо в кратчайшие сроки обратиться за помощью к травматологу. Врач для постановки точного диагноза должен провести ряд исследований, среди которых:
- рентген-диагностика. Может применяться при явных признаках разрыва мениска. Метод считается неэффективным, потому используется для определения наличия или отсутствия переломов;
- УЗИ-диагностика. Считается малоэффективным, потому что правильность и точность полученных результатов диагностики во многом зависит от опыта и квалификации доктора;

- МРТ - более надежный метод выявления повреждений хряща. МРТ показывает, в каком состоянии находится мениск, сложность травмы (надрыв или полный разрыв).

Достоверность полученных данных важна для дальнейшего выбора метода лечения (операция, прием медикаментов).
Последствия травмы
Разрыв медиального и латерального мениска - сложнейшая травма, после которой трудно восстановить двигательные функции коленного сустава. Однако успех этого мероприятия зависит от нескольких факторов, среди которых локализация разрыва и давность травмы. Вероятность скорейшего выздоровления уменьшается у определенной группы пациентов, к которой относятся люди старше 50 лет.
С каждым годом связочный аппарат становится слабее, что влияет на длительность периода восстановления после болезни. Еще один важный момент - скорость обращения за помощью к травматологу. Чем больше пациент оттягивает момент встречи с врачом, тем дольше будет длиться период лечения и реабилитации.
Что делать при повреждении мениска?
Экстренная помощь при травмах внутреннего или наружного мениска заключается в ограничение ходьбы и нагрузки на ногу, в некоторых случаях обездвиживании поврежденной ноги. Колено необходимо фиксировать ортезом, эластичным бинтом, приложить холод, при необходимости ходить с костылями.
Чтобы избавить пострадавшего от непереносимой боли, нужно дать ему обезболивающее средство в виде таблетки или инъекции. Необходимо как можно скорее обратиться за помощью к травматологу, чтобы уменьшить страдания больного.
Методы лечения повреждения мениска
Существуют два способа восстановления функций наружного и медиального мениска - оперативный и консервативный. Выбор того или иного способа лечения зависит от сложности травмы и точности поставленного диагноза.
Медикаментозное лечение
Консервативный путь лечения повреждений заднего рога латерального и внутреннего мениска применяется в случаях, когда нет отрыва или большого разрыва, имеющих легкую степень тяжести. Во избежание осложнений травматолог прибегает к следующим мероприятиям:
- по прибытии пациента в больницу сразу после травмы врач накладывает холодный компресс на травмированный участок, вводит внутримышечно обезболивающий препарат и фиксирует сустав эластичным бинтом либо ортезом при необходимости;
- выполняется пункция сустава, эвакуация жидкости (если требуется);
- при наличии блокады сустава врач устраняет блокаду;
- применяются инструментальные методы диагностики для уточнения диагноза;
- прием пациентом специальных препаратов, ускоряющих заживление и восстановление мениска;
- назначаются физиотерапия и лечебная гимнастика.
Хирургический способ лечения
Хирургическое вмешательство показано в случаях, когда ткани хряща полностью разрушены, при сильных разрывах или отрывах части мениска.
Виды оперативного лечения:
- удаление мениска, если отсутствует возможность восстановить его (бывает полным или частичным);
- зашивание места повреждения (артроскопия, шов мениска);
- удаление поврежденного участка мениска и реконструкция оставшейся части (парциальная менискэктомия + шов);
- пересадка мениска (пациенту вживляется имплантат или донорский хрящ);
Период полного выздоровления и восстановления мениска зависит от характера повреждения и вида хирургического вмешательства. После оперативного лечения пациент проходит курс реабилитации, который включает физиотерапию, массаж, лечебную физкультуру, прием хондропротекторов. В течение 3 месяцев пациенту следует избегать тяжелых физических нагрузок на коленный сустав. Во избежание повреждений мениска, необходимо уделять внимание спортивным тренировкам, избегать падений, ударов, а также вовремя лечить заболевания суставов.
![]() | ![]() |
| а. разрыв медиального мениска | б. внешний вид после операции: парциальной резекции мениска |
|---|
Не теряйте время и деньги! Не рискуйте своим здоровьем!
Обращайтесь к квалифицированному ортопеду при первых же симптомах заболевания. В нашей клинике мы поможем Вам быстро избавиться от вашего недуга.
Читайте также:




