Правая околоободочная борозда ( канал ). Левая околоободочная борозда ( канал ). Топография околоободочных борозд ( каналов ).
Добавил пользователь Владимир З. Обновлено: 03.11.2025
Лекция №9. Топографическая анатомия поясничной области и забрюшинного пространства. Операции на почках и мочеточниках
Топографическая анатомия поясничной области
1. сверху - нижний край XII ребра;
2. снизу - подвздошный гребень;
3. латерально - задняя подмышечная линия.
4. медиально - линия, проведенная по остистым отросткам позвонков.
1. Кожа толстая, малоподвижная.
2. Подкожная клетчатка в нижнелатеральных отделах образует пояснично-ягодичный жировой слой.
3. Поверхностная фасция хорошо выражена и отдает глубокий отросток, отделяющий подкожную клетчатку от пояснично- ягодичного жирового слоя.
4. Грудопоясничная фасция образует футляры для мышц.
* Первый мышечный слой поясничной области представлен широчайшей мышцей спины и наружной косой мышцей живота. Внизу свободные края этих мышц расходятся и образуют треугольной формы пространство - поясничный треугольник (треугольник Пти), основанием которого является подвздошный гребень, а дном - внутренняя косая мышца живота.
* Второй мышечный слой поясничной области в медиальном отделе образован мышцей, выпрямляющей позвоночник, которая заключена между глубоким и поверхностным листками грудо-поясничной фасции и в латеральном отделе - внутренней косой мышцей живота и нижней задней зубчатой мышцей. Обе мышцы образуют промежуток, ограниченный сверху задней нижней зубчатой мышцей, латерально и снизу - внутренней косой мышцей живота, медиально - мышцей, выпрямляющей позвоночник, и латерально и сверху - XII ребром. Это пространство называется поясничным четырехугольником, или ромбом Лесгафта-Грюнфельда, через который проходит подреберный сосудисто-нервный пучок. Дном ромба является апоневроз поперечной мышцы живота.
Поясничные треугольник и четырехугольник являются слабыми местами заднебоковой стенки живота, где возможно выхождение поясничных грыж и гнойников из забрюшинного пространства.
* Третий мышечный слой поясничной области в медиальном отделе представлен квадратной мышцей поясницы и большой поясничной мышцей, влагалища которых образованы внутри- брюшной фасцией, а в латеральном отделе - поперечной мышцей живота.
5. Внутрибрюшная фасция - отделы приобретают названия соответственно мышцам, которые покрывает фасция.
Топографическая анатомия забрюшинного пространства
Забрюшинное пространство - находится между париетальной брюшиной и внутрибрюшной фасцией, выстилающей изнутри заднюю стенку живота.
1. вверху - место перехода заднего листка париетальной брюшины на диафрагму,
2. внизу - мыс крестца и пограничная линия таза.
Слои забрюшинного пространства
1. Забрюшинное клетчаточное пространство - внизу сообщается с клетчаткой малого таза, в основном с позадипрямокишечным клетчаточным пространством; вверху - с клетчаткой заднего средостения через щели между ножками диафрагмы; кпереди переходит в подсерозную основу переднебоковой стенки живота. В забрюшинном клетчаточном пространстве расположены аорта с брюшным аортальным сплетением, нижняя полая вена, поясничные лимфатические узлы, грудной проток.
2. Започечная фасция - является задним листком забрюшинной фасции, которая начинается от брюшины на месте перехода её с боковой на заднюю стенку живота. У наружного края почки забрюшинная фасция делится на задний и передний листки. Започечная фасция отделяет забрюшинное клетчаточное пространство от околопочечной клетчатки, книзу спускается позади мочеточника и называется замочеточниковой фасцией. Медиально прикрепляется к фасциальному футляру аорты и нижней полой вены. Жировая капсула почки (околопочечная клетчатка) покрывает почку со всех сторон равномерным слоем, книзу продолжается в околомочеточниковую клетчатку. Над жировой капсулой почки сверху расположен фасциально-клетчаточный футляр надпочечника, изолированный от жировой капсулы почки и образованный расщеплением предпочечной фасции.
3. Почка - покрыта плотной фиброзной капсулой.
4. Жировая капсула почки.
5. Предпочечная фасция является передним листком почечной фасции, вверху и с боков сливается с започечной фасцией, внизу переходит в предмочеточниковую фасцию, которая истончается книзу и теряется в боковом клетчаточном пространстве таза. Предпочечная и започечная фасции формируют фасциальную сумку для почки и её жировой капсулы, у нижнего конца почки эти фасции связаны между собой перемычками, препятствующими опусканию почки.
6. Околоободочная клетчатка сосредоточена позади восходящей и нисходящей ободочной кишок. Вверху достигает корня брыжейки поперечной ободочной кишки; внизу - уровня слепой кишки справа и корня брыжейки сигмовидной кишки слева; снаружи ограничена прикреплением почечной фасции к брюшине; медиально доходит до корня брыжейки тонкой кишки; сзади ограничена предпочечной и предмочеточниковой фасциями; спереди - брюшиной боковых каналов и заободочной фасцией.
7. Позадиободочная фасция (фасция Тольда) - образуется внутриутробно в результате срастания листка первичной брыжейки ободочной кишки с пристеночным листком первичной брюшины при повороте и фиксации ободочной кишки. В виде тонкой пластинки лежит между околоободочной клетчаткой и восходящей или нисходящей ободочной кишкой, разделяя эти образования.
8. Ободочная кишка: в правой поясничной области - восходящая ободочная кишка, в левой - нисходящая.
9. Висцеральная брюшина.
Почка имеет форму боба, покрыта фиброзной, жировой и фасциальной капсулами. Различают верхний и нижний полюс почки, латеральный (выпуклый) и медиальный (вогнутый) края, переднюю и заднюю поверхности. Примерно на середине вогнутого края находятся ворота почки.
Голотопия - подреберные области, собственно надчревная область.
Скелетотопия - ThXII - LII. Верхний конец левой почки достигает XI ребра, правой - проецируется в XI межреберье, т. е. левая почка расположена выше правой. Продольные оси почек в норме образуют угол, открытый книзу.
Проекции ворот почек: спереди - на месте пересечения края прямой мышцы живота с реберной дугой; сзади - на месте пересечения наружного края мышцы, выпрямляющей позвоночник с XII ребром.
Синтопия - сзади почка прилежит к поясничной части диафрагмы, квадратной мышце поясницы и большой поясничной мышце, которые образуют почечное ложе; со стороны брюшной полости - к правой доле печени, восходящей ободочной кишке и нисходящей части двенадцатиперстной кишки - правая почка; передняя поверхность левой почки прикрыта желудком, хвостом поджелудочной железы, селезеночной кривизной ободочной кишки, петлями тонкого кишечника; к верхним полюсам обеих почек прилегают надпочечники.
В воротах почек расположены почечные ножки (лоханка, переходящая в мочеточник, почечные артерия и вена, ветви почечного нервного сплетения, лимфатические узлы), окруженные клетчаткой. Расположение элементов ножки в воротах почки: кзади - лоханка и мочеточник, выше и кпереди - почечная артерия, ниже и наиболее кпереди - почечная вена.
Фиксирующий аппарат почки составляют мышечное ложе, жировая и фасциальная капсулы, внутрибрюшное давление и почечная ножка. Помимо этого почку в нормальном положении помогают фиксировать связки, образованные париетальной брюшиной при переходе с почек на соседние органы (печеночно-почечная, двенадцатиперстно-почечная, селезеночно-почечная).
Кровоснабжение осуществляется почечной артерией. Не доходя до ворот почки, почечная артерия отдает нижнюю надпочечниковую артерию. В 30 % случаев встречаются добавочные почечные артерии к одному или обоим полюсам почки. Вблизи ворот почки артерия делится на переднюю и заднюю ветви. Делясь внутри органа, они анастомозируют между собой у латерального края почки, образуя малососудистую зону (Цондека), проекция которой находится на 0,5-1 см кзади от выпуклого края почки. На основании интраорганной топографии артерий в почке выделяют 5 сегментов кровоснабжения, что надо учитывать при выполнении органосохраняющих операций.
Венозный отток осуществляется по почечным венам в нижнюю полую вену. В левую почечную вену впадают левые яичковая (яичниковая) и надпочечниковая вены.
Иннервация почек осуществляется из почечного нервного сплетения, оплетающего сосуды почечной ножки, располагаясь кпереди от них.
Лимфоотток осуществляется посредством поверхностной и глубокой сетей лимфатических сосудов, соединяющихся в области ворот почек. Дальше лимфа идет в почечные лимфоузлы, расположенные на протяжении почечной ножки, и по отводящим сосудам - в лимфоузлы, окружающие аорту и нижнюю полую вену, далее - в грудной проток.
III. Топография голени
Подколенная ямка, fossa poplitea, ограничена (см. рис 5.32):
- сверху и латерально: m.biceps femoris;
- сверху и медиально: m. semimembranosus;
- снизу и латерально: caput laterale m. gastrohemii;
- снизу и медиально: caput mediale m.gastrohemii;
Голено-подколенный канал (Грубера канал), canalis cruropopliteus, имеет две стенки и три отверстия:
1. Верхнее отверстие ограничено:
- спереди: m. popliteus;
- сзади: arcus tendineus m. solei.
2. Стенки образуют:
- переднюю: m. tibialis posterior et m. flexor hallucis longus;
- заднюю: lamina profunda f. cruris propria;
- содержимое канала: a. tibialis posterior из a. poplitea; vv. tibiales posteriores - корни v. poplitea; n. tibialis из n. ischiadicus из pl. sacralis.
3. Переднее отверстие находятся в верхней части membrana interossea cruris:
- содержимое отверстия: a. et vv. tibiales anteriores.
4. Нижнее отверстие находится медиально от tendo calcanei:
- содержимое отверстия: a. tibialis posterior - продолжение a. poplitea; vv. tibiales posteriores - корни v. poplitea; n. tibialis из n. ischiadicus из pl. sacralis.
Нижний мышечно-малоберцовый канал, canalis musculoperoneus inferior, является ответвлением от предыдущего; он ограничен:
- спереди: задней поверхностью fibula;
- сзади: m. flexor hallucis longus et m. tibialis posterior;
- содержимое канала: a. peronea из a. tibialis posterior; vv. peroneae -притоки vv. tibiales posteriores;
Верхний мышечно-малоберцовый канал, canalis musculoperoneus superior, ограничен:
- латерально: m. peroneus longus;
- содержимое канала: в канал входит n. peroneus communis из n. ischiadicus; проходит: n. peroneus superficialis из n. peroneus communis.
IV. Топография стопы
Медиальная подошвенная борозда, sulcus plantaris medialis, ограничена m. flexor digitorum brevis et m. abductor hallucis;
- содержимое борозды: a. plantaris medialis - ветвь a. tibialis posterior; соименные вены; n. plantaris medialis - ветвь n. tibialis.
Латеральная подошвенная борозда, sulcus plantaris lateralis, ограничена m. flexor digitorum brevis et m. abductor digiti minimi;
- содержимое борозды: a. plantaris lateralis - ветвь a. tibialis posterior; соименные вены; n. plantaris lateralis - ветвь n. tibialis.
ВАРИАНТЫ И АНОМАЛИИ РАЗВИТИЯ СКЕЛЕТНЫХ МЫШЦ
Мышечная система человека характеризуется выраженными индивидуальными особенностями строения. Эти особенности связаны с размерами, формой и внутренним строением мышц. К анатомическим вариантам строения мышц следует отнести добавочные головки, добавочные пучки, которые выступают в качестве отдельных мышц. Такие варианты нередко встречаются у двуглавой, трехглавой мышц плеча, жевательной, дельтовидной и большой грудной мышц. Реже встречаются слияния соседних мышц друг с другом или головок одной и той же мышцы. Например, срастание малой и большой грудной мышц, слияние между собой ромбовидных мышц и т.д.
Аномалии развития мышц наблюдаются реже. Обычно они связаны с врожденным отсутствием определенных мышц (недоразвитие миотомов - агенезия). Отсутствие мышц сказывается на выполнении ряда функций. Так, при агенезии грудино-ключично-сосцевидной мышцы возникает кривошея. Дефекты развития диафрагмы приводят к образованию диафрагмальных грыж, при которых органы брюшной полости выпячиваются в грудную полость. При отсутствии широких мышц груди нарушаются движения в плечевом суставе. Если мышцы выполняют вспомогательную роль, их врожденное отсутствие оказывается незаметным. Например, практически не отражается на функции отсутствие длинной ладонной, подошвенной, малой или пирамидальной мышц. Некоторые мышцы у человека слабо выражены (например, мышцы копчика, мышцы ушной раковины), а нередко встречаются новые, более совершенные формы мышц (различные добавочные пучки мимических мышц, особенно в окружности ротового отверстия).
Правая околоободочная борозда ( канал ). Левая околоободочная борозда ( канал ). Топография околоободочных борозд ( каналов ).
Задняя черепная ямка (ЗЧЯ) - самый глубокий отдел внутреннего основания черепа. В задней черепной ямке находится мозжечок, отвечающий за координацию движений и регуляцию равновесия. Рельеф поверхности ЗЧЯ при опухолях мозжечка заметно изменяется, что следует учитывать при диагностике патологических процессов. К поверхности ЗЧЯ прилежит твердая мозговая оболочка. Через отверстия в ЗЧЯ проходят VII-XII пары черепных нервов, важность знания размеров отверстий объясняется возможностью врожденного ущемления черепного нерва в результате порока развития ЗЧЯ, а так же риском чрезмерного расширения отверстий вследствие воспалительного или опухолевого процесса.
Таким образом, исследование особенностей строения отверстий и рельефа ЗЧЯ имеет важное практическое значение. Материалы по анатомии ЗЧЯ встречаются у авторов, изучавших отдельные образования [Бурдей Г.Д., 1951, Задворнов Ю.Н., 1972, Синеоков Н.П. 1965], а так же в работах о черепе в целом [Сперанский В.С., 1988; Сперанский В.С., Зайченко А.И., 1980], работ по анатомии ЗЧЯ взрослого человека недостаточно.
Цель данной работы - изучение строения задней черепной ямки, признаков важнейших ее образований, установление корреляций между признаками и размерами черепа (продольными, поперечными, черепным указателем), сопоставление полученных результатов с данными литературы.
Материалы и методы. Для исследования были взяты 10 естественных черепов взрослых людей. С помощью штангенциркуля измерены продольный (между точками глабелла - инион) и поперечный (между точками эурион разных сторон) размеры черепов, на основании которых вычислялся черепной указатель. Размеры отдельных образований измерялись с помощью обычного циркуля и измерительной ленты. С помощью циркуля определялись длина и ширина ЗЧЯ, длина верхнего края пирамид височной кости, размеры большого затылочного отверстия, обращалось внимание на его форму и величину. Полученные результаты обрабатывались вариационно-статистическим методом, анализировались. Определялись размеры ЗЧЯ - продольный размер (расстояние от основания спинки турецкого седла до внутреннего затылочного выступа), поперечный размер (расстояние между основаниями пирамид височных костей), вычислялся указатель ЗЧЯ, представляющий собой отношение ее поперечного размера к продольному, корреляция с размерами мозгового черепа, углы схождения пирамид и сопоставление их параметров с размерами черепа, длина борозд верхнего и нижнего каменистых синусов и сопоставление их с размерами черепа, размеры и форма большого затылочного отверстия, характеристики борозды сигмовидного синуса (глубина, длина, ширина в начальном, среднем и конечном отделах, сопоставление полученных характеристик слева и справа на одном и том же препарате), характеристики яремного отверстия (длина отверстия, размеры переднемедиальной, заднелатеральной частей, сопоставление полученных характеристик слева и справа на одном и том же препарате), длина канала подъязычного нерва и ширина его входного и выходного отверстий, форма ската и его длина, размеры внутреннего слухового прохода, частота встречаемости поддуговой ямки и ее размеры, расстояние между поддуговой ямкой и латеральным краем внутреннего слухового отверстия, ширина наружной апертуры водопровода преддверия, расстояние от нее до внутреннего слухового прохода, борозды верхнего каменистого синуса, борозды сигмовидного синуса, длина и ширина борозды поперечного синуса и сопоставление их с размерами черепа, длина внутреннего затылочного гребня и сопоставление ее с размерами черепа.
Результаты исследования. Продольные размеры черепов колеблются в пределах от 145 до 181 мм, в среднем этот параметр составляет 158,2 мм. Поперечные размеры черепов варьируют от 109 до 137 мм, в среднем их значение составляет 113,5 мм. Черепной индекс составлял от 71 до 86. Среди исследованных препаратов было определено 2 долихокранных черепа с индексами 71, 72, два мезокранных черепа с индексами 76, 79 и 6 брахикранных черепов с индексами в пределах от 80 до 86. Продольный размер ЗЧЯ варьирует в пределах от 69 до 80 мм, в среднем составляет 75 мм, в черепах с долихокранной формой составляет 69-78мм, в черепах в мезокранной формой - 75 мм, в черепах с брахикранной формой - 73-80 мм. Таким образом, зависимости между длиной ЗЧЯ и черепным указателем не обнаружено. Поперечный размер ЗЧЯ составляет у долихокранов 91-107 мм, у мезокранов 104 мм, у брахикранов 100-116 мм. В результате, отмечается зависимость ширины ЗЧЯ и черепным указателем (r=0,6). Во всех случаях наблюдается прямая зависимость между шириной ЗЧЯ и поперечным размером черепа (r=0,9). Указатель ЗЧЯ составил у долихокранов - 132-137, у мезокранов - 139, у брахикранов - 137-145. Отмечается прямая зависимость между указателем ЗЧЯ и черепным указателем(r=0,54).
Ширина борозды сигмовидного синуса неодинаковая в 4 случаях, в большинстве случаев преобладают размеры с правой стороны. Наибольшей ширины борозда достигает в среднем своем отделе, наименьшей ширины она в конечном отделе, около перехода в яремное отверстие. В среднем ширина её 11,1 мм в начальном отделе ; 11, 2мм - в среднем , 8,7мм- в конечном отделе. Глубина борозды также в 4 наблюдениях неодинаковая, в большинстве случаев сильнее выражена справа. Достаточно заметной корреляции между глубиной борозд и размерами черепа не отмечено. Глубина в среднем 3,4 мм справа и 3,1 мм слева. Длина борозд существенно не зависит от формы черепа, примерно в половине случаев она неодинакова с разных сторон, немного преобладает длина слева: 51,4 мм справа, 52 мм слева.
Форма ската, как правило, вогнутая или слабовогнутая, плоская форма ската наблюдается только в 1 случае. Длина ската составляет 17-34 см, в среднем 26,6 мм. Большое затылочное отверстие в 9 случаях имеет овальную форму, в 1 случае была отмечена так же округлая форма отверстия. Его продольные размеры преобладают над поперечными, продольный размер колеблется в пределах 30-39 мм, в среднем составляет 35,6 мм, отмечена корреляция между длиной большого отверстия и продольным размером черепа (r=0,41). Поперечный размер большого затылочного отверстия составляет 22-34 мм, в среднем 26,4 мм.
Канал подъязычного нерва проходит через латеральную часть затылочной кости косо. В двух случаях канал состоял из двух частей, в одном случае их них был разделен костной перегородкой на два неравных по размерам отверстия (4 мм+3 мм справа и 4 мм+1 мм слева). На 3 препаратах наблюдается асимметрия входных отверстий, ширина их варьирует от 4 до 7 мм. Ширина выходного отверстия канала колеблется в пределах 5-7 мм, в половине случаев наблюдается незначительное преобладание размеров справа (на 1-2 мм).
Размеры яремных отверстий в 7 наблюдениях неодинаковы. В большинстве случаев дисимметрии преобладают размеры правого яремного отверстия. Длина отверстий варьирует в пределах 9-16 мм справа (в среднем 13 мм), слева этот размер равен 9-14 мм (в среднем 12 мм). Наблюдается корреляция между длиной яремного отверстия и глубиной борозды сигмовидного синуса (r=0,85). Отверстие разделено на чаще более узкую и короткую переднемедиальную часть, и более длинную и широкую заднелатеральную часть, разделенные внутрияремными отростками височной и затылочной костей, в 2 случаях наблюдается наличие костного мостика, разделяющего отверстие. Длина перемедиальной части яремного отверстия справа равна 3-8 мм (в среднем 6,25 мм), слева 3-6 мм (в среднем 5,25 мм), ширина ее лежит в пределах от 2 до 5 мм справа ( в среднем 3,1 мм), от 1 до 5 мм слева (в среднем 3 мм). Таким образом, размеры правой переднемедиальной части яремного отверстия преобладают над левыми. Длина заднелатеральной части яремного отверстия справа 5-8 мм (в среднем 6,25 мм), слева так же 5-8мм (в среднем 6,2 мм), ширина ее 3-9 мм справа (в среднем 5,2 мм), 4-7 мм слева.
Яремные ямки на исследованных черепах были обнаружены средней и большой глубины, соотношение их по количеству было одинаково. В 4 случаях встречалось различие глубины ямок с правой и левой сторон. Глубина ямок равна 7-20 мм справа, 9-13 мм слева. Наиболее глубокие ямки имеют округлую или овальную форму, наименее глубокие - узкие, щелевидные. Отмечена зависимость между размерами ямки и длиной яремного отверстия (r=0,49), так же при дисимметрии яремных отверстий наблюдается дисимметрия и яремных ямок.
Вертикальные размеры внутреннего слухового отверстия колеблются от 3 до 5 мм, на 3 препаратах встречается небольшая диссиметрия, горизонтальный размер 5-10 мм (5-10 мм справа, 5-9 мм слева). Глубина внутреннего слухового прохода равна 5-11 мм, в среднем 7,7 мм.
Поддуговая ямка обнаружена на исследуемых черепах в 5 случаях. Размеры ее в высоту - 1-3 мм(в среднем 2 мм), продольный размер - 1-3 мм (в среднем 1,8 мм), расстояние между ямкой и латеральным краем внутреннего слухового прохода равно 4-6 мм(в среднем 5 мм).
Длина борозды поперечного синуса у различных форм черепа отмечена в пределах 47-67 мм, ширина - 5-10 мм, зависимости между длиной и шириной борозды не выявлено. Длина борозды поперечного синуса у долихокранов равна 53-55 мм, у мезокранов - 56 мм, у брахикранов - 47-67 мм. Наблюдается небольшое преобладание длины борозды у брахикранов. Внутренний затылочный гребень выражен на всех препаратах, в одном случае наблюдалось раздвоение гребня в его нижних двух третях. Длина внутреннего затылочного гребня равна 30-44 мм (в среднем 33 мм). Отмечена прямая зависимость между длиной внутреннего затылочного гребня и продольным размером ЗЧЯ(r=0,98).
Указатель ЗЧЯ долихокранов и мезокранов имеет близкие значения, а указатель ЗЧЯ брахикранов заметно больше, близкие значения к полученным в исследовании данным имеют работы В.С. Сперанского, А.И. Зайченко (1980). В результатах исследования отмечена прямая зависимость между шириной ЗЧЯ и черепным указателем, что так же находит подтверждение в литературе [Сперанский В.С., 1988].
В данном исследовании отмечена зависимость угла схождения пирамид височных костей от черепного указателя, преобладание размеров угла схождения пирамид у брахикранов и наименьшие размеры угла схождения пирамид у долихокранов, что совпадает с результатами работ Н.П. Синеокова (1965), данными В.С. Сперанского (1988).
Наблюдается близость полученных результатов исследования борозды сигмовидного синуса с работами Г.Д . Бурдей (1951). Аналогично результатам работ данного автора отмечена наибольшая ширина борозды сигмовидного синуса в среднем отделе, обнаружена корреляция между глубиной сигмовидного синуса и длиной яремного отверстия. Полученные данные длины борозды сигмовидного синуса (52 мм слева, 51,4 справа) немного меньше значений результатов данного автора (слева 5,5 мм, справа 5,4 мм), однако наблюдается аналогичное небольшое преобладание размеров слева.
Отмеченная при исследованиях овальная и округлая форма большого затылочного отверстия отмечена в литературе как наиболее часто встречаемая. Ю.Н. Задворнов (1972) указывает частоту встречаемости овальной формы отверстия в 73 % случаев, круглой формы в 18 % случаев, выделяет так же неправильную форму отверстия, встречающуюся в 9 % случаев. В ходе исследования выявлено 9 черепов, имеющих овальную форму отверстия, 1 череп с круглым отверстием, неправильной формы большого затылочного отверстия выявлено не было. По данным, приводимым Сперанским В.С. [1988] скат имеет вогнутую форму у 77 % людей, плоскую форму у 9 % людей и выпуклую форму у 14 % людей. В ходе исследования в 11 случае наблюдается плоская форма ската, в остальных случаях наблюдается вогнутая форма, скатов выпуклой формы не обнаружено.
Данные, полученные при определении размеров канала подъязычного нерва, размеров яремного отверстия и сопоставления полученных характеристик слева и справа на одном и том же препарате, внутреннего слухового отверстия, частоты встречаемости поддуговой ямки, расстоянии между ней и внутренним слуховым проходом, шириной и положением относительно соседних образований наружной апертуры водопровода преддверия сопоставимы и близки к данным, приводимым В.С Сперанским (1988). Имеют различия с показателями признаков, указанных данным автором: результаты размеров поддуговой ямки (определены меньшие размеры (1-3 поперечный, 1-3 продольный размеры) по сравнению с данными указанного автора (2,44 поперечный размер, 5,36 продольный размер), более часто встречающаяся глубокая яремная ямка, обнаруженная на 6 черепах хотя бы с одной стороны.
По данным, указанным Ю.Н. Задворновым (1972) отмечается отсутствие внутреннего затылочного гребня в 24,3 % случаев, в ходе исследования внутренний затылочный гребень был обнаружен на всех препаратах.
Указаний точных размеров борозд верхнего и нижнего каменистых синусов, борозды поперечного синуса в литературе не встречалось, так же не было отмечено точных размеров длины внутреннего затылочного гребня, зависимости между его длиной и продольными размерами ЗЧЯ.
1. Размеры ЗЧЯ находятся в прямой зависимости от размеров мозгового черепа, ширина ЗЧЯ зависит от поперечного размера черепа, черепного указателя, указатель ЗЧЯ также зависит от черепного указателя.
2. Угол схождения пирамид височных костей напрямую зависит от формы черепа, величина угла схождения пирамид преобладают у брахикранов, наименьшее значение этот показатель имеет у долихокранов.
3. В строении ЗЧЯ наблюдается дисимметрия образований, в меньшей степени она выражена у канала подъязычного нерва, внутреннего слухового прохода, поддуговой ямки, верхнего края пирамид, наружной апертуры водопровода преддверия, в большей степени дисимметрия выражена у размеров яремного отверстия, борозды сигмовидного синуса. При дисимметрии чаще преобладают размеры образований с правой стороны.
4. Заметно варьируют форма отверстий ЗЧЯ, возможно разделение их костными перегородками на отдельные части (яремное отверстие, канал подъязычного нерва). Более всего варьируют по размерам и форме, имеют различные характеристики справа и слева на одних и тех же препаратах яремные отверстия.
5. Наиболее частой формой ската является вогнутая форма, наиболее частой формой большого затылочного отверстия является овальная форма, продольный размер большого затылочного отверстия коррелирует с продольным размером черепа, также выявлена зависимость между продольным размеров черепа и длиной внутреннего затылочного гребня.
6. Наиболее широким отделом борозды сигмовидного синуса является ее средний отдел, задний отдел является наиболее узким, глубина борозды сигмовидного синуса коррелирует с длиной яремного отверстия, длина борозды сигмовидного синуса не зависит от размеров черепа.
7. Существует зависимость между глубиной яремных ямок и длиной яремного отверстия, при дисимметрии яремных отверстий также наблюдается дисимметрия яремных ямок.
Локализация патологических очагов в головном мозге по МРТ изображениям
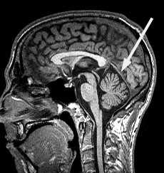
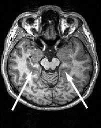
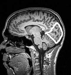
Локализация патологического очага при МРТ головного мозга начинается определения расположения очага по отношению к намёту мозжечка. Поэтому образования выше намёта относятся к супратенториальным, а все что ниже - к инфратенториальным.

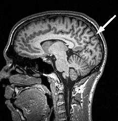
МРТ головного мозга. Срединный сагиттальный срез. Намёт мозжечка (стрелка).
Выше намёта расположены полушария мозга. Каждое полушария мозга состоят из четырёх долей - лобной, теменной, затылочной и височной. Если патология расположена в полушарии, то надо решить к какой доле оно относится. Для этого сперва надо найти борозды, служащие границами долей. 
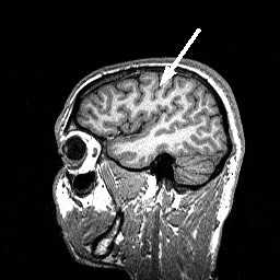
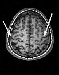
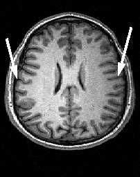
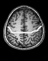
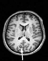
Центральная борозда (sulc.centralis) лучше видна в сагиттальной плоскости. Она расположена по середине между параллельными ей прецентральной и постцентральной бороздами. Существует много вариантов строения и хода борозды. Обычно она имеет значительную протяжённость и идёт в передне-нижнем направлении от межполушарной щели к Сильвиевой щели, которой достигает не всегда. Нижний конец борозды, либо продолжается в основном её направлении, либо загибается назад. Центральная борозда может прерывается по ходу. В поперечной плоскости на верхних срезах борозда имеет наибольшую протяжённость, доходя почти до межполушарной щели. Чем ниже срез, тем короче на нём центральная борозда. На уровне боковых желудочков она едва прослеживается . Центральная борозда разграничивает лобную и теменную доли .

МРТ головного мозга. Латеральный сагиттальный срез. Центральная борозда (стрелка).

МРТ головного мозга. Аксиальный срез. Центральная борозда (стрелки).

МРТ головного мозга. Аксиальный срез на уровне крыши боковых желудочков. Центральная борозда (стрелки).

МРТ головного мозга. Границы лобной и теменной долей в аксиальной плоскости.
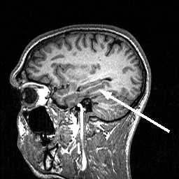
Другой важной бороздой является Сильвиева щель (fissura cerebri lateralis). На сагиттальных срезах она идёт снизу вверх в передне-заднем направлении (рис.32). В аксиальной плоскости сама Сильвиева щель также отклоняется назад, в то время как её ветви направлены перпендикулярно в сторону межполушарной щели. Сильвиева щель отделяет лобную и теменную доли от височной .

МРТ головного мозга. Латеральный сагиттальный срез. Сильвиева щель (стрелки).

МРТ головного мозга. Аксиальной срез на уровне III желудочка. Сильвиева щель (стрелки).

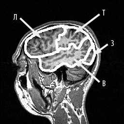
МРТ головного мозга. Границы лобной, теменной, височной и затылочной долей на сагиттальном срезе.
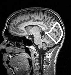
Для разграничения теменной доли надо ещё найти теменно-затылочную борозду (sulc. parietooccipitalis). Эта борозда в сагиттальной плоскости прослеживается на срединном и медиальных срезах. Она идёт от поверхности мозга вниз, имеет значительную протяжённость и нередко бывает сегментированной. В поперечной плоскости теменно-затылочная борозда отходит почти перпендикулярно межполушарной щели (рис.36) и даёт много мелких ветвей. Таким образом, границами теменной доли служат с лобной долей - центральная борозда, с затылочной - теменно-затылочная борозда, с височной - Сильвиева щель и верхняя височная борозда (угловая извилина).

МРТ головного мозга. Медиальный сагиттальный срез. Теменно-затылочная борозда (стрелка).

МРТ головного мозга. Аксиальный срез. Теменно-затылочная борозда (стрелка).

МРТ головного мозга. Границы теменной доли на медиальном сагиттальном срезе.
Следующая важная разграничительная борозда - коллатеральная (sulc.collateralis). На сагиттальных срезах она видна как нижне-латеральная граница парагиппокампальной извилины, в области полюса височной доли (рис.38). Легче она прослеживается в аксиальной плоскости на срезах на уровне среднего мозга (рис.39). При наклонах аксиальной плоскости срезов назад она видна одновременно с височно-затылочной бороздой. Височно-затылочная борозда (sulc. temporooccipitalis) на латеральных сагиттальных срезах идёт извилисто назад вдоль границы мозга с височной костью и затем загибается наверх (рис.40). На аксиальных срезах на уровне Варолиева моста она расположена в передне-заднем направлении. Таким образом, границей височной доли (рис.41) с лобной и теменной долями служит Сильвиева щель, с затылочной долей - височно-затылочная борозда и коллатеральная борозда.

МРТ головного мозга. Сагиттальный срез. Коллатеральная борозда (стрелка).

МРТ головного мозга. Аксиальный срез. Коллатеральная борозда (стрелки).

МРТ головного мозга. Аксиальный срез на уровне Варолиева моста. Височно-затылочная борозда (стрелки).

МРТ головного мозга. Аксиальный срез на уровне ножек мозга. Границы височной доли.
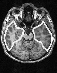
Для определения границ затылочной доли все ориентиры у нас уже имеются. Границей с теменной долей служит расположенная медиально теменно-затылочная борозда, с височной долей границей служит расположенная латерально височно-затылочная борозда.
МРТ головного мозга. Корональный срез. Пограничные борозды (SPO - теменно-затылочная борозда, STO - височно-затылочная борозда, SCol - коллатеральная борозда).
МРТ головного мозга. Границы затылочной доли на медиальном сагиттальном срезе.
Обычно локализации по долям бывает достаточно для описания полушарных патологий. В отдельных случаях, когда требуется привязка к извилинам или функциональным зонам, мы рекомендуем воспользоваться соответствующими атласами (Холин А.В., 2005). 
При центрально (аксиально) расположенных объёмных образованиях могут вовлекаться желудочки мозга и расположенные вокруг них подкорковые (базальные) ядра . Зрительный бугор (thalamus), подбугорье (hypothalamus), подбугорная область (subthalamus) и надбугорье (epithalamus) относятся к промежуточному мозгу (diencephalon), составной части ствола мозга.

МРТ головного мозга. Аксиальный срез. Боковые желудочки и подкорковые ядра (NC- хвостатое ядро, NL - чечевицеобразное ядро, Th - зрительный бугор). Инфратенториально расположены части ствола мозга (нижняя часть среднего мозга, мост и продолговатый мозг) и мозжечок.
Средний мозг только частично занимает супратенториальное пространство, значительная его часть проходит сквозь отверстие в намете в заднюю черепну. ямку. Всегда хорошо видны парные ножки мозга и крыши (tectum) сзади. Крыша среднего мозга лежит кзади от водопровода и состоит из пластины четверохолмия.

МРТ головного мозга. Срединный сагиттальный срез. Ствол мозга (V3 - третий желудочек, V4 - четвёртый желудочек, Q - пластина четверохолмия, Mes - средний мозг, P -Варолиев мост, C - мозжечок, M - продолговатый мозг).
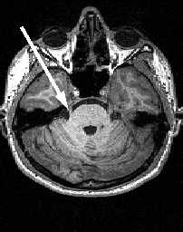
Границей между средним мозгом и мостом служит верхняя борозда, а с продолговатым мозгом - нижняя борозда моста. Мост имеет характерную выступающую вперед переднюю часть. Задняя поверхность моста является продолжением продолговатого мозга. У верхней границы моста между его брюшком и средней ножкой мозжечка, начинаются тройничные нервы (n. trigeminus, V пара). Они хорошо видны на поперечных МР срезах , так как идут горизонтально вперед и имеют толщину около 5 мм. Тройничный нерв делится на 3 ветки - зрительную (1), верхнечелюстную (2) и нижнечелюстную (3). Все они идут вперёд в Мекелеву полость к тройничному ганглию. Отсюда 3 ветка уходит вниз через овальное отверстие, а 1 и 2 ветки идут через кавернозный синус, вдоль его латеральной стенки. Затем, 1 ветка входит в орбиту через верхнее отверстие, а 2 ветка выходит из полости черепа через круглое отверстие. 
III, IV и VI пары черепных нервов, обеспечивающие движения глазного яблока, обычно на МР-томограммах не визуализируются.

МРТ головного мозга. Аксиальный срез. Тройничные нервы (стрелка).
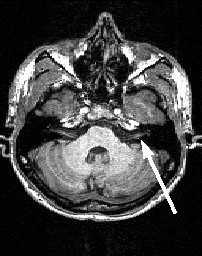
Лицевой нерв (n. facialis , VII пара) и преддверно-улитковый нерв (n. vestibulocochlearis, VIII пара) выходят их ствола вместе, лицевой нерв чуть медиальнее, и идут одним пучком , пересекая мосто-мозжечковую цистерну, и уходят во внутреннее слуховое отверстие височной кости. Во внутреннем слуховом проходе вестибулярная ветка идёт в заднее-верхнем и нижнем квадрантах, кохлеарная - в нижнем, а лицевой нерв - в передне-верхнем. VII нерв входит в лабиринт (лабиринтный сегмент), идёт внутри височной кости к коленчатому телу, поворачивает назад и проходит под латеральным полукружным каналом (тимпанический сегмент) и выходит из височной кости через шилососцевидное отверстие (foramen stylomastoideum). Далее нерв идёт к слюнной железе, где разделяется на конечные ветки. На МР-томограммах в срезах, толщиной 3-5 мм, VII и VIII нервы не разделяются и обозначаются как слуховой нерв. Более тонкими срезами можно отдельно визуализировать ход каждого из нервов.

МРТ головного мозга. Аксиальный срез. Слуховой нерв.
От нижней границы моста начинается продолговатый мозг. На уровне большого затылочного отверстия он переходит в спинной мозг. От него отходят с IX по XII пары черепных нервов, из которых на поперечных МРТ иногда видна начальная часть подъязычного нерва (n. hypoglossus, XII пара) и, в виде единого комплекса, IX, X, XI пары. 
От водопровода сверху до отверстия Маженди внизу идет IV желудочек. Он расположен между стволом мозга спереди и парусом и ножками мозжечка сзади . 
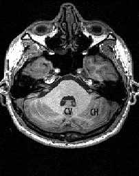
Кзади от моста и продолговатого мозга расположен мозжечок . Со стволом мозга он соединен верхней, средней и нижней ножками мозжечка. Состоит мозжечок из срединно расположенного червя и парных полушарий.

МРТ головного мозга. Аксиальный срез. Мозжечок (CV- червь мозжечка, CH - полушарие мозжечка).
МРТ в СПБ, проводимое нами, всегда четко указывает локализацию очага в заключении, что необходимо для сопоставления с клиникой и решения вопроса о возможности и объеме операции.
Лобная доля и ее поражение
Несмотря на то, что лобновая доля - наибольшая доля головного мозга, ее часто не оценивают при. обычных неврологических исследованиях. Отчасти это связано с вниманием к деталям и строгими требованиями к тестированию, необходимыми для исследования функций лобной доли. Поскольку решение любой когнитивной задачи, связано с функцией лобной доли,но требует вовлечения в когнитивный процесс нескольких областей мозга как внутри лобной доли, так и за ее пределами, некоторые авторы предпочитают говорить о системном поражении лобной доли. В любом случае дисфункция лобной доли может приводить к относительно специфическим клиническим синдромам.
Традиционные системы классификации делят лобные доли на предцентральную кору (область, непосредственно перед центральной или сильвиевой бороздой ) и префронтальную кору, простирающаяся от лобных полюсов до предцентральной коры, включая лобную оперкулярную часть. Префронтальная кора в разделяется на:
- орбитофронтальную кору (включая орбитобазальные или вентромедиальные и нижние медиальные области);
- вентролатеральную префронтальную кору;
- дорсолатеральную префронтальную кору,
- медиальную префронтальную кору (содержащая переднюю дентальную извилину, предлимбическую и инфралимбическую кору):
- каудальную префронтальную кору (которая включает в себя лобные глазные поля ).
Каждая из этих областей имеет широкую связь как с другими регионами лобной доли, так и с другими структурами мозга.
Дорсолатеральная лобная кора отвечает за планирование, формирование стратегии и исполнительное функционирование. Пациенты с дорсолатеральными лобными поражениями имеют тенденцию к апатии, изменениям личности, абулии и отсутствию способности планировать или последовательно выполнять действия или решения задачи. Эти пациенты имеют плохую рабочую память на вербальную информацию (если в основном затронуто левое полушарие ) или пространственной информации (если поражено правое полушарие).
Фронтальная оперкулярная часть содержит центр экспрессии речи. Пациенты с левосторонним фронтальным оперкулярным поражением демонстрируют афазию Брока ( Broca) и трудность нахождения слов, тогда как пациенты с эксклюзивным правосторонним оперкулярным поражением имеют тенденцию к развитию экспрессивной апросодии ( aprosodia).
Орбитофронтальная кора имеет дело с ингибированием ( торможением ) реакции. Пациенты с орбитофронтальными поражениями, как правило, демонстрируюи расторможенность, эмоциональную лабильность и нарушения памяти. Пациенты с такой приобретенной социопатией или психопатоподобным расстройством, как говорят, имеют "орбитальную личность". Личностные изменения вследствие орбитального повреждения включают импульсивность, пуэрилизм, грубый юмор, сексуальную расторженность и полное пренебрежение к другим людям.
Пациенты с поражениями цингулярного кортекса , обычно демонстрируют акинетический мутизм.
Пациенты с поражениями нижних медиальных отделов лобной доли (базальный передний мозг) демонстрируют тенденцию к антероградной и ретроградной амнезии и конфабуляциям.
Афазия Брока , развившаяся вследствие поражения полей 44 и 45 в левом полушарии приводит к отсутствию беглости речи, аграматизму, парафазии, аномии и сложностью повторениям слов. Повреждения переднего, верхнего и глубокой (но не поверхностной ) части зоны Брока приводят к неправильному синтаксису и грамматики, но при этом сохраняется способность к повторению слов и автоматической речи. Это расстройство известно как "транскортикальная моторная афазия" (называемая и комиссуральной дисфазией), также характеризуется рассторможенной эхолалией. Нарушения памяти развиваются здесь только с расширением поражения на ядро перегородки базального переднего мозга. Понимание вербального юмора нарушается при правосторонней лобной полярной патологии.
Один из кажущихся парадоксов дисфункции лобной доли заключается в том, что врачи и психологи могут жаловаться на «неспособность пациента сделать что-либо», но, по крайней мере, при поверхностном тестировании психического статуса, пациент кажется нормальным или только имеющим легкие нарушения. Эта диссоциация может быть ключом к тому, что дисфункция лобной доли имеет место у больного.
Читайте также:
