Причины, частота, диагностика и лечение глиомы носа
Добавил пользователь Владимир З. Обновлено: 01.11.2025
Опухоли в носу могут иметь доброкачественную и злокачественную природу. Некоторые виды опухолей поражают только детей и подростков, другие виды чаще встречаются во взрослом возрасте. Опухоли носа могут быстро развиваться, прорастать в соседние ткани, а могут расти медленно, в течение нескольких лет.
Гемангиома носа и другие доброкачественные опухоли носа
Доброкачественные опухоли носа образуются из различных тканей, присутствующих в носу и околоносовых пазухах. Гемангиома - это доброкачественная опухоль, которая чаще всего развивается в первые дни жизни ребенка, активно растет в первые полгода его жизни. После исполнения ребенку одного года опухоль начинает инволюционировать, большая часть гемангиом исчезает к семи годам жизни ребенка, остальные к двенадцати годам. Чаще гемангиомы образуются у девочек. Причиной заболевания служит нарушение в развитии кровеносных сосудов в эмбриональном периоде. Гемангиома носа может разрастаться в глубину кожного покрова, тканей органа и в стороны, разрушать ткани, провоцировать кровотечения, нарушать функции органа.
Фиброма носа - это доброкачественное образование, которое способно распространиться на глазницу. Фиброма носа встречается редко, характеризуется активным ростом и быстро прорастает в глазницу и придаточные пазухи носа. Опухоль вызывает носовые кровотечения, заложенность носа. Проросшая в глазницу и носовые пазухи фиброма вызывает различные осложнения: постоянное слезотечение, снижение остроты зрения, экзофтальм, может вызвать деформацию костей черепа. Фиброма редко развивается в придаточных пазухах, чаще всего развивается в верхнечелюстной пазухе.
Аденомы в носу могут быть истинными аденомами, папилломообразной опухолью, злокачественной деструктивной аденомой. Аденомы не продуцируют секрета, несмотря на то, что в состав опухоли входит железистый эпителий. Аденомы в носу встречаются редко, характеризуются носовыми кровотечениями, заложенностью носа, могут приводить к развитию экзофтальма, гнойному дакриоциститу и другим осложнениям.
Доброкачественные новообразования носа - это остеома, хондрома, ангиома, папиллома, хордома, липома, миксома, кровоточащий полип, ганглионеврома, дермоидная киста и другие новообразования. Опухоли закладываются во время внутриутробного развития плода при негативном воздействии на организм женщины во время беременности. Они могут появиться при хронических заболеваниях носоглотки, влияет на появление опухолей плохая экологическая обстановка, травмы, инфекции.
Рак носа и околоносовых пазух: симптомы
Новообразование в носу развивается в гайморовой пазухе (рак гайморовой пазухи), также рак поражает полости носа. Рак носа, симптомы и признаки которого становятся выраженными на поздней стадии, составляет 1,5 % от всех онкологических заболеваний, чаще болеют мужчины. Причины развития заболевания до конца не известны, наиболее часто рак носа развивается у работников предприятий по производству никеля, деревообрабатывающих и кожевенных производств, у курящих людей и часто болеющих инфекциями носа. Симптомы и признаки рака носа и околоносовых пазух разнообразные. На начальной стадии развития симптомы похожи на симптомы различных заболеваний - ринита, синусита и другие нарушения.
Затем больного начинает беспокоить головная боль, неприятные ощущения, боль в области носовых пазух, изменение обоняния. Нос постоянно заложен, беспокоят слизистые выделения из носа. Боль может отдавать в верхнюю челюсть, висок, постоянно беспокоит сильная головная боль - такие симптомы развиваются при раке гайморовых пазух.
Рак задненаружного отдела верхнечелюстного синуса проявляется затруднением во время еды, затруднением при открытии рта - рак прорастает в жевательные мышцы. Рак передненижнего отдела гайморовой пазухи часто поражает твердое небо и верхнюю челюсть, приводит к выпадению зубов, появлению ран на деснах. Рак носа и околоносовых пазух может привести к смещению и потере глаза, деформации лица.

Плоскоклеточный рак - это наиболее распространенный вид рака, реже встречается рак аденоид-кистозный, аденокарцинома, низкодифференцированный переходно-клеточный рак, обонятельная эстезионейробластома и меланома. Карцинома на носу не так опасна, как рак околоносовых пазух, который имеет менее благоприятный прогноз. Если обнаружен рак на носу начальная стадия, то пятилетняя выживаемость больных составляет более 50%, при раке околоносовых пазух не более 25%. Агрессивным течением отличается синозанальная низкодифференцированная карцинома - опухоль поражает околоносовые пазухи и нос, характеризуется появлением язв и склонностью к некрозу.
Рак носа и околоносовых пазух имеет клинические проявления в зависимости от места локализации опухоли. Нередко опухоль в толще альвеолярного отростка принимают за воспалительный процесс. Она проявляется ростом после удаления зуба. Очень сложно дифференцируются опухоли из верхневнутреннего отдела пазухи носа. Опухоль верхненаружного отдела верхнечелюстной пазухи может долгое время оставаться нераспознанной и проявляться клиническими симптомами в виде боли. Проросшая в область глазницы опухоль проявляется отеком нижнего века. Опухоль, поразившая подвисочную ямку, крылонебную ямку приводит к отеку века, развитию хемоза с экзофтальмом.
Рак носоглотки
При опухоли носоглотки симптомы заболевания могут быть распространенными и мало распространенными. Ранние проявления рака носоглотки - это заложенность носа, чувство жжения в горле, припухание лимфатических узлов, заложенность уха. Симптомы схожи с симптомами простуды. Опухоль начинает быстро прогрессировать и проявляется следующими симптомами: носовые кровотечения, снижение слуха, боль в горле, заложенность носа, частые головные боли, увеличение шейных лимфатических узлов, косоглазие с одной стороны, чувство онемения лица, появляется затруднение с открытием рта, в носоглотке беспокоят незаживающие ранки.
Рак носоглотки опасен бессимптомным протеканием заболевания на ранних стадиях развития. Очень часто симптомы рака напоминают симптомы простудных заболеваний. Когда обнаруживается онкология носоглотки, симптомы чаще всего говорят о поздней стадии рака - изо рта появляется неприятный гнилостный запах, больной чувствует неприятный запах, который исходит из носовых пазух, мучают головные боли, припухают голосовые связки, изменяется голос, у больного появляются сложности с глотанием, открытием рта.
Постоянно беспокоят носовые кровотечения, периодически поднимается температура тела, беспокоит тахикардия, речь становится бессвязной, может развиться косоглазие, паралич лицевых нервов. Рак носоглотки 4 степени характеризуется общей слабостью, яркой выраженностью симптомов, появлением сильных болей в области носоглотки, шеи, головных болей.
Лечение в Москве
Эффективность лечения рака носа зависит от своевременности принятых мер. Любые подозрительные случаи должны стать причиной для направления больного на обследование по поводу рака. В онкологическом отделении Юсуповской больницы принимают опытные врачи-онкологи, в клинике можно пройти полное обследование - МРТ, КТ, УЗИ, лабораторные исследования.
Глиома полости носа
Пациент Я., 1 год и 4 мес., поступил в ЛОР-отделение МОНИКИ 11 октября 2010 года с жалобами (со слов мамы) на затруднение дыхания через правую половину носа и храп. Стало также известно, что эти проблемы у ребенка наблюдаются с самого рождения.
При осмотре выяснилось, что форма наружного носа не изменена, слизистая оболочка носа имела обычную окраску. Также было обнаружено, что справа находится опухолевидное образование розового цвета, с гладкой поверхностью, плотно-эластической консистенции на широком основании, исходящее из верхне-латеральных отделов, которое полностью обтурирует носовой проход. При инструментальном исследовании оно не кровоточит. Перегородка носа была смещена образованием влево, слева носовые раковины не изменены. Носовые ходы прослеживаются, но дыхание через правую половину носа не проводится, через левую - затруднено.
После клинико-лабораторного обследования была выполнена КТ головы, на основании чего вынесено заключение: опухоль правой половины носа с обтурацией просвета полости носа. КТ-картина наружной гидроцефалии на уровне височно-лобных областей. Данных, подтверждающих объемный процесс и очаговое поражение вещества головного мозга, не получено.
Пункционная биопсия и цитологическое исследование показали, что среди элементов крови обнаружены скопления клеток округлой и веретеновидной формы, вероятно, мягкотканной природы. Убедительных данных, указывающих на злокачественную опухоль, обнаружено не было. Генетик, консультировавший ребенка, сделал заключение: данных, указывающих на наследственную патологию, не выявлено.
14 октября 2010 года под общей анестезией под контролем эндоскопа было выполнено удаление новообразования правой половины носа.
При операции было обнаружено, что в правой половине носа визуализируется образование серо-розового цвета большого размера, исходящее из латеральной стенки полости носа и смещающее перегородку носа. Новообразование удалено инструментально под контролем эндоскопа. Материал отправлен на гистологическое исследование.
Послеоперационный период протекал без особенностей. Носовое дыхание улучшилось. В правой половине носа визуализировалась послеоперационная полость. Перегородка носа смещена влево. Pезультат гистологического исследования: глиома полости носа.
ГЛИОМА (glioma) - опухоль, состоящая из элементов промежуточной ткани нервной системы, нейроглии.
Глиомы являются самыми частыми опухолями мозга. Обычно бывают единичными, наблюдаются главным образом в сером и белом веществе головного или спинного мозга, нередко вблизи центрального канала и в стенке желудочков. Реже встречаются глиомы периферических нервов, сетчатки. Описаны отдельные случаи глиомы носа, языка, задней доли гипофиза, легкого.
Глиома носа является достаточно редким врожденным поражением, впервые описана Reid в 1952 году. Это доброкачественная смешанная опухоль, как правило, содержащая большие агрегаты астроцитов и волокнистой соединительной ткани вокруг кровеносных сосудов. Чаще всего локализуется в области верхней части средней носовой раковины или носовой перегородки.
Глиомы носа обычно не связаны с субарахноидальным пространством, желудочками мозга и спинномозговой жидкостью. Только в 15% случаев (при наличии глиомы на ножке) они могут контактировать с внутричерепными структурами, в основном, через дефект в решетчатой пластинке.
Носовые глиомы могут возникать спорадически без какой-либо наследственной или половой предрасположенности. Как правило, это единичная аномалия без других врожденных пороков развития. В мировой литературе описано лишь около 250 случаев данной патологии. Носовая глиома обычно возникает у детей в возрасте до 3 лет. При этом соотношение мужчин и женщин составляет 3:2.
Клинически проявляется такими признаками и симптомами, как заложенность носа, затруднение носового дыхания; при глиоме большой массы значительная обтурация носового хода и носослезного канала может привести к дыхательной недостаточности и слезотечению на стороне поражения.
Глиома носа может вызвать значительное локальное повреждение и косметическую деформацию путем сжатия и разрушения носовых хрящей.
Глиома головного мозга
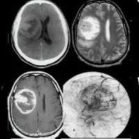
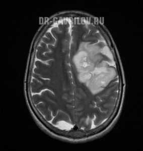
Глиома головного мозга — наиболее распространенная опухоль головного мозга, берущая свое начало из различных клеток глии. Клинические проявления глиомы зависят от ее расположения и могут включать головную боль, тошноту, вестибулярную атаксию, расстройство зрения, парезы и параличи, дизартрию, нарушения чувствительности, судорожные приступы и пр. Глиома головного мозга диагностируется по результатам МРТ головного мозга и морфологического исследования опухолевых тканей. Вспомогательное значение имеет проведение Эхо-ЭГ, ЭЭГ, ангиографии сосудов головного мозга, ЭЭГ, офтальмоскопии, исследования цереброспинальной жидкости, ПЭТ и сцинтиграфии. Общепринятыми способами лечения в отношении глиомы головного мозга являются хирургическое удаление, лучевая терапия, стереотаксическая радиохирургия и химиотерапия.
МКБ-10

Общие сведения
Глиома головного мозга встречается в 60% случаев опухолей головного мозга. Название «глиома» связано с тем, что опухоль развивается из глиальной ткани, окружающей нейроны головного мозга и обеспечивающей их нормальное функционирование. Глиома головного мозга представляет собой в основном первичную внутримозговую опухоль полушарий мозга. Она имеет вид розоватого, серовато-белого, реже темно-красного узла с нечеткими очертаниями. Глиома головного мозга может локализоваться в стенке желудочка мозга или в области хиазмы (глиома хиазмы). В более редких случаях глиома располагается в нервных стволах (например, глиома зрительного нерва). Прорастание глиомы головного мозга в мозговые оболочки или кости черепа наблюдается лишь в исключительных случаях.
Глиома головного мозга часто имеет округлую или веретенообразную форму, ее размер колеблется от 2-3 мм в диаметре до величины крупного яблока. В подавляющем большинстве случаев глиома головного мозга отличается медленным ростом и отсутствием метастазирования. Однако при этом она характеризуется настолько выраженным инфильтративным ростом, что границу опухоли и здоровых тканей не всегда удается найти даже при помощи микроскопа. Как правило, глиома головного мозга сопровождается дегенерацией окружающих ее нервных тканей, что зачастую приводит к несоответствию выраженности неврологического дефицита размерам опухоли.
Классификация
В соответствии с классификацией ВОЗ выделяют 4 степени злокачественности глиом головного мозга.
- К I степени относится доброкачественная медленно растущая глиома (ювенильная астроцитома, плеоморфная ксантоастроцитома, гигантоклеточная астроцитома).
- Глиома II степени злокачественности считается «пограничной». Она отличаются медленным ростом и имеет только 1 признак злокачественности, в основном клеточную атипию. Однако такая глиома может трансформироваться в глиому III и IV степени злокачественности.
- При III степени злокачественности глиома головного мозга имеет 2 из трех признаков: фигуры митозов, ядерную атипию или микропролиферацию эндотелия.
- Глиома IV степени злокачественности отличается наличием области некроза (мультиформная глиобластома).
По месту расположения глиомы классифицируются на супратенториальные и субтенториальные, т. е. находящиеся выше и ниже намета мозжечка.
Симптомы глиомы головного мозга
Подобно другим объемным образованиям глиома головного мозга может иметь разнообразные клинические проявления, зависящие от ее расположения. Чаще всего у пациентов наблюдается общемозговая симптоматика: некупируемые обычными средствами головные боли, сопровождающиеся ощущением тяжести в глазных яблоках, тошнотой и рвотой, иногда судорожными приступами. Наибольшей выраженности эти проявления достигают, если глиома головного мозга прорастает в желудочки и ликворные пути. При этом она нарушает циркуляцию цереброспинальной жидкости и ее отток, приводя к развитию гидроцефалии с повышением внутричерепного давления.
Среди очаговых симптомов глиомы головного мозга могут наблюдаться нарушения зрения, вестибулярная атаксия (системное головокружение, шаткость при ходьбе), расстройство речи, понижение мышечной силы с развитием парезов и параличей, снижение глубоких и поверхностных видов чувствительности, психические отклонения (нарушения поведения, расстройство мышления и различных видов памяти).
Диагностика
Процесс диагностики начинается с опроса пациента по поводу его жалоб и последовательности их возникновения. Неврологический осмотр при глиоме головного мозга позволяет выявить существующие нарушения чувствительности и расстройства координации, оценить мышечную силу и тонус, проверить состояние рефлексов и т. п. Отдельное внимание уделяют анализу состояния мнестической и психической сферы пациента.
Провести оценку состояния нервно-мышечного аппарата неврологу помогают такие инструментальные методы исследования как электронейрография и электромиография. Для выявления гидроцефалии и смещения серединных мозговых структур может применяться эхоэнцефалография. Если глиома головного мозга сопровождается зрительными нарушениями, то показана консультация офтальмолога и комплексное офтальмологическое обследование, включающее визиометрию, периметрию, офтальмоскопию и исследование конвергенции. При наличии судорожного синдрома проводится ЭЭГ.
Наиболее приемлемым способом диагностики глиомы головного мозга на сегодняшний день является МРТ головного мозга. При невозможности ее проведения может применяться МСКТ или КТ головного мозга, контрастная ангиография мозговых сосудов, сцинтиграфия. ПЭТ головного мозга дает сведения о метаболических процессах, по которым можно судить о скорости роста и агрессивности опухоли. Кроме того, с диагностической целью возможно проведение люмбальной пункции. При глиоме головного мозга анализ полученной цереброспинальной жидкости выявляет наличие атипичных (опухолевых) клеток.
Вышеперечисленные неинвазивные методы исследования позволяют диагностировать опухоль, однако точный диагноз глиомы головного мозга с определением ее вида и степени злокачественности можно поставить только по результатам микроскопического исследования тканей опухолевого узла, полученных при проведении оперативного вмешательства или стереотаксической биопсии.
Лечение глиомы головного мозга
Полное удаление глиомы головного мозга представляет собой практически невыполнимую задачу для нейрохирурга и возможно только в случае ее доброкачественности (I степени злокачественности по классификации ВОЗ). Это связано со свойством глиомы головного мозга значительно инфильтрировать и прорастать окружающие ее ткани. Разработка и применение в ходе нейрохирургических операций новых технологий (микрохирургии, интраоперационного картирования головного мозга, МРТ-сканирования) немного улучшило ситуацию. Однако до сих пор хирургическое лечение глиомы в большинстве случаев по сути является операцией по резекции опухоли.
Противопоказаниями к осуществлению хирургического метода лечения является нестабильное состояние здоровья пациента, наличие других злокачественных новообразований, распространение глиомы головного мозга в оба полушария или ее неоперабельная локализация.
Глиома головного мозга относится к радио- и химиочувствительным опухолям. Поэтому химио- и радиотерапия активно применяются как в случае неоперабельности глиомы, так и в качестве пред- и постоперационной терапии. Предоперационная лучевая и химиотерапия может быть проведена только после подтверждения диагноза результатами биопсии. Наряду с традиционными методами радиотерапии возможно применение стереотаксической радиохирургии, позволяющей воздействовать на опухоль при минимальном облучении окружающих тканей. Следует отметить, что лучевая и химиотерапия не могут служить заменой хирургического лечения, поскольку в центральной части глиомы головного мозга зачастую располагается участок, плохо поддающийся воздействию облучения и химиопрепаратов.
Прогноз
Глиомы головного мозга имеют преимущественно неблагоприятный прогноз. Неполное удаление опухоли приводит к ее быстрому рецидивированию и лишь продлевает жизнь пациента. Если глиома головного мозга имеет высокую степень злокачественности, то в половине случаев больные погибают в течение 1 года и только четверть из них живет дольше 2 лет. Более благоприятный прогноз имеет глиома головного мозга I степени злокачественности. В случаях, когда удается произвести ее полное удаление с минимальным послеоперационным неврологическим дефицитом, более 80% прооперированных живут дольше 5 лет.
Рак полости носа и околоносовых пазух
Рак полости носа и околоносовых пазух - злокачественные опухоли, поражающие носовую полость, верхнечелюстные, лобные, решетчатую или клиновидную придаточные пазухи. Проявляется ощущением давления, затруднением носового дыхания, выделениями из носа и носовыми кровотечениями. В ряде случаев отмечаются онемение и ощущение мурашек на коже лица, экзофтальм, лицевые деформации и выпадение зубов. Диагноз рака околоносовых пазух и носовой полости устанавливается с учетом анамнеза, данных внешнего осмотра, риноскопии, рентгенографии, КТ, МРТ и результатов биопсии. Лечение оперативное в сочетании с предоперационной радиотерапией и химиотерапией.

Рак полости носа и околоносовых пазух - новообразования эпителиального происхождения, локализующиеся в носовой полости и придаточных синусах. Составляют 1,5% от общего количества онкологических заболеваний. Обычно поражают людей старше 40 лет. Мужчины болеют чаще женщин. Рак околоносовых пазух в 75% случаев возникает в зоне верхнечелюстного синуса, в 10-15% - в носовой полости и основной (решетчатой) пазухе, в 1-2% - в зоне клиновидного и лобного синусов. Рак полости носа и придаточных синусов распространяется на близлежащие ткани, включая костные структуры, метастазирует в регионарные лимфоузлы, но очень редко дает отдаленные метастазы. Лечение осуществляют специалисты в сфере онкологии, отоларингологии и челюстно-лицевой хирургии.
Причины
Причина рака полости носа пока не выяснена, но установлены три группы факторов, способствующих развитию данной патологии: профессиональные вредности, хронические воспалительные процессы и вредные привычки. Риск развития рака околоносовых пазух и носовой полости повышается при постоянном контакте с вредными веществами, вдыхаемыми в процессе выполнения профессиональных обязанностей. Наибольшая вероятность возникновения онкологических поражений наблюдается у пациентов, занимающихся деревообработкой, обработкой кожи и производством никеля. Особенно значим контакт с химическими соединениями, используемыми при производстве мебели. По статистике, у краснодеревщиков рак полости носа и придаточных пазух становится причиной гибели в 6,6 раз чаще, чем в среднем по популяции.
Большую роль в развитии рака околоносовых пазух и полости носа играет курение. Некоторые специалисты в числе факторов риска указывают употребление алкоголя. Вероятность развития этой группы заболеваний увеличивается при хроническом рините, риносинусите, гайморите (воспалении надчелюстных пазух), фронтите (воспалении лобных пазух), сфеноидите (воспалении клиновидной пазухи) и этмоидите (воспалении решетчатого лабиринта). Имеет значение национальность пациентов - рак околоносовых пазух и носовой полости чаще выявляется у жителей Китая и Средней Азии.
В связи с особенностями локализации выделяют пять видов данной патологии: рак полости носа и четыре типа рака околоносовых пазух: верхнечелюстной, фронтальной, основной и решетчатой. С учетом особенностей гистологического строения различают семь разновидностей опухоли: плоскоклеточный, переходноклеточный, мукоэпидермоидный, аденокистозный и недифференцированный рак, аденокарцинома и прочие виды рака.
При определении прогноза и тактики лечения используют сложную классификацию TNM, в которой отражены особенности каждой стадии рака околоносовых пазух (прорастание тканей, уровень поражения тех или иных близлежащих органов) с учетом локализации. В клинической практике нередко пользуются упрощенной классификацией:
- 1 стадия - рак полости носа и околоносовых пазух не распространяется на костные структуры, регионарные лимфоузлы не задействованы.
- 2 стадия - новообразование распространяется на костные стенки, но не выходит за пределы пазухи, лимфоузлы интактны.
- 3 стадия - рак околоносовых пазух и носовой полости разрушает кость и прорастает в соседние полости, есть метастазы в регионарных лимфоузлах.
- 4 стадия - опухоль прорастает скуловые кости, нижнюю челюсть и кожу лица. Регионарные лимфоузлы теряют подвижность, спаиваются с окружающими тканями с образованием инфильтратов или распадом.
Из-за редкого отдаленного метастазирования в этой классификации не отражен вариант рака околоносовых пазух с гематогенными метастазами.
Симптомы рака полости носа
Симптомы этой группы болезней отличаются большим разнообразием. Картина заболевания определяется локализацией, размером и видом новообразования. На начальных стадиях обычно наблюдается бессимптомное течение или скудные проявления, напоминающие хронический ринит либо синусит. Пациенты с раком околоносовых пазух предъявляют жалобы на боль в зоне придаточных пазух, головную боль, заложенность носа и носовые выделения. Некоторые больные отмечают снижение обоняния. Иногда первым признаком болезни становится увеличение регионарных лимфоузлов.
Остальные проявления обусловлены локализацией рака полости носа и околоносовых пазух и повреждением близлежащих анатомических структур. При опухолях внутренних отделов гайморовой пазухи наблюдаются боль в верхней челюсти, отдающая в ухо либо висок, сильная головная боль, выделения и кровотечения из соответствующей половины носа. При новообразованиях в задненаружном отделе верхнечелюстного синуса возможны затруднения при приеме пищи, вызванные прорастанием рака околоносовой пазухи в жевательные мышцы.
Опухоли передненижнего отдела гайморовой пазухи могут распространяться на верхнюю челюсть и твердое небо, вызывая интенсивную зубную боль, потерю зубов и образование язв на деснах. При прорастании таких новообразований в жевательные мышцы и височно-нижнечелюстной сустав выявляются затруднения при попытке открыть рот. При поражении мягких тканей лица отмечаются лицевые деформации. Отек век, слезотечение, сужение глаза или экзофтальм характерны для рака околоносовой пазухи, локализующегося в верхней части задневнутренней зоны верхнечелюстного синуса. Рак лобных пазух проявляется резко выраженными болями в области лба, отеком век, смещением глаза и деформацией лица.
Диагноз рака околоносовых пазух и полости носа основывается на жалобах, данных анамнеза, результатах осмотра и дополнительных исследований. При сборе анамнеза отоларинголог выясняет наличие вредных привычек, профессиональных вредностей и хронических воспалительных заболеваний. При внешнем осмотре врач обращает внимание на деформации лица, состояние век, наличие одностороннего экзофтальма, возможность свободных движений нижней челюстью и т. д.
Рак полости носа обнаруживаются при проведении риноскопии. Фарингоскопия позволяет выявлять вторичные изменения, обусловленные прорастанием рака околоносовых пазух в ротовую полость и полость носоглотки. Наряду с фарингоскопией осуществляют фиброскопию, в процессе которой специалист изучает поверхность носоглотки и берет с измененного участка образец ткани для гистологического исследования. При расположении опухоли в придаточном синусе врач выполняет пункцию с забором материала.
Всех пациентов с подозрением на рак полости носа и придаточных пазух направляют на обзорную рентгенографию соответствующей области. При возможности проводят рентгенографию с использованием контрастного вещества, КТ и МРТ. При подозрении на прорастание рака околоносовых пазух в полость черепа назначают рентгенографию черепа. В некоторых случаях осуществляют диагностическую гайморотомию. Для выявления гематогенных метастазов выполняют рентгенографию грудной клетки и УЗИ брюшной полости.
Лечение
Лечебная тактика при раке околоносовых пазух и носовой полости определяется индивидуально с учетом локализации, размера, гистологического типа и распространенности новообразования. Как правило, используют комбинированную терапию, включающую в себя хирургическое вмешательство, химиотерапию и радиотерапию. В предоперационном периоде пациентам с раком полости носа и околоносовых синусов назначают дистанционную телегамматерапию и химиотерапию. Операцию проводят через 3 недели после окончания химио- и радиотерапии.
Объем хирургического вмешательства зависит от вовлечения различных органов и анатомических структур. В ряде случаев при раке околоносовых пазух приходится выполнять экзентерацию глазницы, удаление верхней челюсти и другие травматичные операции. При прорастании новообразования в полость черепа к участию в оперативном лечении привлекают нейрохирурга. В послеоперационном периоде назначают антибиотики и сосудосуживающие средства, проводят радио- и химиотерапию. При серьезных косметических дефектах осуществляют пластические операции в отдаленном периоде. При распространенном и рецидивирующем раке полости носа и синусов лечение консервативное.
Прогноз при раке околоносовых пазух и носовой полости в первую очередь зависит от стадии заболевания. На 1-2 стадии средняя пятилетняя выживаемость после хирургического удаления новообразования составляет 75%. Применение комбинированной терапии позволяет повысить этот показатель до 83-84%. На 3-4 стадиях выживаемость резко снижается. При метастазах в регионарных лимфатических узлах до 5 лет с момента постановки диагноза удается дожить всего 37% пациентов, получавших комбинированную терапию. При использовании только лучевой терапии или только оперативного вмешательства пятилетняя выживаемость на этой стадии по различным данным колеблется от 18 до 35%. Трехлетняя выживаемость на 4 стадии составляет чуть более 30%.
Глиома - опухоль головного мозга, которая берет начало из клеток нейроглии. Новообразования являются наиболее распространенным видом патогенеза злокачественного характера различной степени агрессивности. Симптомы глиомы у взрослых и детей будут зависеть от места ее образования. Основными методами диагностики являются КТ и МРТ, самый точный результат получают при проведении цитогистологического анализа отобранного материала (биопсия). Основной метод лечения глиомы головного мозга - хирургическое удаление патологического новообразования. Лечение всегда носит комплексный характер, кроме операции назначается химио- и радиотерапия. Восстановление и продолжительность жизни после удаления опухоли зависит от многих факторов: адекватности лечения, степени злокачественности новообразования головного мозга, стадии заболевания, общего состояния больного и многих других факторов. Наилучший прогноз имеют доброкачественные глиомы, наихудший - глиомы 3 и 4 степени злокачественности. Например, при глиобластоме продолжительность жизни, как правило, не более двух лет.
Происхождение глиом головного мозга и характеристика

До сих пор нет единого мнения насчет того, какие именно клетки дают начало глиальным опухолям. Классическое мнение основано на том, что глиомы развиваются из зрелых клеток глии (олигодендроцитов и астроцитов). В последнее время больше склоняются к тому, что они образуются в так называемых «промежутках злокачественности». Это значит, что опухоли головного мозга данного типа формируются из незрелых медленно пролиферирующих клеток, которые постепенно малигнизируются (перерождаются в рак). Как именно будет развиваться новообразование зависит от трансформаций в геноме, например, астроцитомы (разновидность глиомы) формируются при мутациях в гене TP53,
Доля глиом в общей популяции опухолей головного мозга составляют около 60%. Чаще всего новообразования формируются в головном мозге, имеют первичный характер. Глиома ствола головного мозга диагностируется сравнительно редко. Цвет неоплазий от темно-красного до нежного розового, форма в большинстве случаев напоминает круг или веретено, но может иметь и неправильные очертания. Величина зависит от стадии болезни: от нескольких миллиметров до 10-14 см.
Наиболее частым местом локации опухоли является зона хиазм или мозговых желудочков. Доброкачественная глиома, как правило, не распространяется на костные структуры черепа и не прорастает в оболочки головного мозга, однако, этого нельзя исключать. Злокачественная глиома растет сначала медленно, но по мере прогрессирования канцерогенеза, ее рост ускоряется. Характерен инфильтративный рост, т. е. способность врастать в соседние ткани, что при диагностике не позволяет определить четкие границы патогенного очага.
Обратите внимание. Для глиом головного мозга не характерно метастазирование, однако, они приводят к вырождению соседних тканей.
Причины возникновения и факторы риска
Рак и доброкачественные дисплазии могут формироваться в головном мозге в любом возрасте, однако вероятность развития патологии увеличивается по мере взросления. Общий пик заболеваемости приходится на седьмой десяток лет. Опухолевый процесс чаще развивается у мужчин, нежели у женщин.
Основные причины возникновения глиомы головного мозга, следующие:
- воздействие ионизирующего облучения (радиация - основной фактор риска);
- генетические предпосылки, обусловленные наследственностью;
- поражение онкогенными вирусами;
- травмы головы и шейного отдела головного мозга;
- вредные привычки.
Важно. Специфической профилактики против рака головного мозга нет. Уменьшает вероятность развития опухолевого процесса минимизация факторов риска, здоровый образ жизни, качественное питание, регулярные занятия спортом и спокойный эмоциональный фон.

Зависимо от вида клеток головного мозга, которые переродились и дали начало патогенезу, различают следующие виды опухолей:
- - самый часто встречаемый вид, их доля в общей популяции составляет около 50%;
- олигодендроглиомы - доля в общей популяции опухолей этого типа составляет до 10%; - самые редкие формы (встречаемость менее 7%).
По классификации ВОЗ (которая является общепринятой) неоплазии ранжируют зависимо от степени злокачественности.
Доброкачественные глиомы
Это опухоли первой степени злокачественности, например, астроцитомы: гигантоклеточная, пилоцитарная, ювенильная субэпендимальная. Они являются доброкачественными, потому что медленно растут, не имеют признаков рака, легко поддаются лечению. Прогноз жизни при доброкачественной глиоме благоприятный. После удаления новообразования пациенты живут 10 лет и дольше.
Глиома низкой степени злокачественности
Вторая степень злокачественности. Ее также относят к доброкачественным новообразованиям, но уже с пограничной степенью злокачественности. Рост патологической ткани медленный (low-grade), они хорошо дифференцированы, как правило, есть только один признак рака (атипия клеток). Опухоли данного вида могут перерождаться в рак и легко переходить на третью и четвертую степень злокачественности. К ним относятся диффузная и фибриллярная астроцитомы. Лечение комплексное: операция по удалению атипичных тканей, дополнительно радио- и химиотерапия.
Злокачественные глиомы
Сюда относят глиомы 3 и 4 степени злокачественности:
- Третья степень злокачественности. Есть все признаки злокачественности, кроме некроза тканей. Ткани теряют четкую дифференциацию, рост опухоли ускоряется (high-grade), границы нечеткие, характерно прорастание в ближайшие ткани. Наиболее яркий пример - анапластическая астроцитома, которая чаще развивается у лиц среднего и старшего возраста. Лечение затрудняется отсутствием четких границ опухоли, продолжительность жизни зависит от того, сколько будет удалено атипичной ткани, а также стадии канцерогенеза в начале лечения.
- Самая опасная - четвертая степень злокачественности (глиобластома). Она развивается в возрасте от 40 до 70 лет. В этом случае присутствуют все признаки злокачественности, в том числе и некрозы. Опухоль растет быстро, проникает в другие ткани и не имеет четких границ. Это существенно осложняет терапию. Прогноз неблагоприятный.
Неоплазии делят на два вида, зависимо от особенностей роста:
- Опухоли узлового роста. Как правило, это доброкачественные новообразования с четкими контурами. Для них характерно образование в любом месте головного мозга и наличие кист. Примеры: плеоморфная ксантоастроцитома и пилоидная астроцитома.
- Образования диффузного типа. Нет явных границ, величина может достигать значительных размеров, неоплазия прорастает в соседние ткани головного мозга, что осложняет удаление дисплазии. Часто это злокачественные опухоли, например, глиобластома или анапластическая астроцитома, или те, которые способны быстро перерождаться.
Симптоматика
Клинические проявления подразделяют на общие и очаговые. Последние проявляются зависимо от того, в каком отделе мозга формируется патологическое образование.
Общие симптомы
Общие признаки рака головного мозга (или доброкачественной опухоли) возникают по причине увеличения давления внутри черепа, сдавливания телом опухоли соседних тканей и негативного влияния ее метаболитов. К общим симптомам относят:
- головокружение, головную боль, дискомфорт в голове;
- диспепсические проявления, не связанные с приемом пищи или отравлением;
- потеря аппетита, похудение;
- ухудшение зрения;
- изменение привычного для человека психоэмоционального поведения;
- проблемы с памятью, ослабевание умственной деятельности;
- признаки эпилепсии.
Важно понимать. Что общие симптомы не являются специфичными. Если они беспокоят регулярно, нужно срочно посетить врача.
Патологический процесс на ранних стадиях, как правило, протекает латентно или признаки его слабы. Часто новообразования находят случайно, при обследовании пациента на предмет другой болезни или в профилактических целях.
Очаговые симптомы
Это специфические признаки, возникающие в результате поражения церебральных структур ЦНС. Клиническая картина зависит от места локации патологического очага:
- Глиома зрительного нерва формируется из клеток его ствола. Рост тканей медленный, сопровождается инфильтрацией, но не прорастает в твердую мозговую оболочку. Новообразование считается доброкачественным, оно может формироваться по всей длине нерва, но чаще располагается в орбитальной части. Симптомы глиомы зрительного нерва: сначала снижается острота зрения (по мере поражения нерва и элементов глаза), затем развивается пучеглазие.
- Диффузная глиома ствола головного мозга является высокозлокачественной. Поскольку диффузная дисплазия формируется в области расположения нервов, отвечающих за работу конечностей, то при их поражении нарушается координация рук и ног, вплоть до парезов и паралича. Клинические признаки диффузной глиомы моста существенны даже при небольших размерах дисплазии. Через мост проходит много нервных тяжей, поэтому клиника может быть разнообразнее.
- Глиома лобной доли головного мозга проявляется апатией, изменением психики, человек становится нервным, вспыльчивым, характерны резкие перемены настроения. Для поздних стадий болезни свойственно наступление паралича.
- Глиома височной области вызывает нарушение координации движений, ухудшается память, страдает дикция. Кроме этого, глиома височной доли негативным образом влияет на обоняние.
- Глиома мозжечка и червя мозжечка приводит к аномалиям движения. Нарушается походка, кажется, что человек пьян. Все потому, что больному становится трудно держать равновесие, руки и ноги не слушаются, поддержание тела в пространстве становится проблематичным.
- Глиома теменной доли сопровождается нарушениями мелкой моторики, поэтому у человека изменяется почерк, со временем писать становится трудно. Притупляются тактильные ощущения.
- Глиома четверохолмия или четверохолмной пластинки вызывает зрительные нарушения, появляются аномалии движения глаз, нарушается слух.
- Глиома мозолистого тела сопровождается зрительными галлюцинациями (такие же возникают при наличии опухоли в затылочной доле), нарушениями логики, а также многими другими признаками: изменение чувствительности, слабость мускулатуры и так далее.
- Глиома варолиева моста (диффузная или обычная) приводит к нарушению проводниковых функций, поскольку в этой зоне локализованы ядра черепных нервов. Поэтому клиническая картина будет довольно широкой. Фиксируется нарушение сенсорики, движений и так далее.
- Глиома желудочка головного мозга приводит к увеличению внутричерепного давления за счет нарушения оттока ликвора. Возможно развитие гидроцефалии.
После устной беседы и физикального осмотра (изучается координация, состояние психики, работа анализаторов и другие внешние признаки) больной обследуется при помощи:
- томографии (КТ, МРТ, ПЭТ);
- ультразвуковых методов диагностики (эхоэнцефалография);
- ЭЭГ (электроэнцефалограмма);
- ангиография сосудов головного мозга;
- офтальмологическое обследование;
- сцинтиграфия и прочие.
Наиболее достоверный метод - биопсия (забор ткани выполняется при удалении рака или стереотаксической биопсии). Гистологический анализ образцов ткани дает полное представление о виде новообразования и всех его особенностях.

Хирургическое удаление глиомы головного мозга - является основным методом выбора. Лечение всегда носит комплексный характер. Результаты операции подкрепляются назначением радио и химиотерапии (до и после операции). Как правило, операция по удалению глиом дает хороший результат только в случае неоплазий доброкачественного характера, находящихся на первой стадии патогенеза. В это время удается произвести полное удаление аномальных тканей.
В других случаях это сделать трудно или невозможно. Патологические ткани прорастают в соседние, их границы четко неразличимы, поэтому контур опухоли не поддаётся идентификации, например, при диффузных типах рака. Вне зависимости от метода выполнения операции: радикального (трепанация или резекция черепа) или малоинвазивного (стереотаксические методики и другие), их смысл остается неизменным - важно постараться удалить всю патологическую ткань (тотальное удаление) или ее большую часть (субтотальное).
Чаще данные опухоли обнаруживаются на прогрессирующем этапе развития, что не дает возможности выполнить тотальное удаление. В таком случае основным методом лечения становится радиотерапия, например, так осуществляется лечение диффузной глиомы ствола мозга. Противопоказаниями к проведению операции может быть наличие других видов рака, слабое здоровье пациента или его преклонный возраст, близость рака к жизненно важным структурам, прорастание неоплазии в оба полушария, локация с трудным доступом.
Период восстановления и прогноз жизни
Период восстановления после удаления глиомы головного мозга будет зависеть от многих факторов. Самые главные из них: качество новообразования, стадийность, успех оперативного лечения и общее состояние больного. Если говорить в целом, то прогноз жизни при глиоме неблагоприятный. При субтотальном удалении опухоли существуют высокие риски рецидива, поэтому продолжительность жизни после операции на глиоме головного мозга при частичном ее удалении невысока. Полное удаление возможно на первой стадии доброкачественной опухоли. Около 80% больных проживают дольше пяти лет при условии тотального иссечения опухоли первой степени злокачественности. При рецидиве глиомы 3 или 4 степени злокачественности прогноз не превышает двух лет.
Читайте также:
