Причины гипопитуитаризма: синдром пустого турецкого седла, апоплексия гипофиза и синдром Шегрена
Добавил пользователь Владимир З. Обновлено: 21.01.2026
Гипопитуитаризм - довольно редко встречаемое заболевание, проявляющееся недостаточностью одного или нескольких гормонов гипофиза. Развивается оно в связи со снижением функционирования передней доли гипофиза.
Различают первичный и вторичный гипопитуитаризм. Первичный тип возникает из-за поражения гипофиза, а вторичный - гипоталамуса, что нарушает выработку гормонов, регулирующих функцию гипофиза. Недостаточность передней доли гипофиза проявляется нарушением секреции одного или нескольких гормонов гипофиза.
При нарушении секреции лишь одного гормона мы имеем дело с изолированной недостаточностью, которая развивается из-за поражения гипоталамуса и нарушения секреции им релизинг-гормонов. Обычно изолированная недостаточность свойственна для нарушения секреции СТГ и гонадотропинов.
Часто при данной патологии выявляют компенсированное, либо субкомпенсированное снижение секреции и других гормонов передней доли гипофиза, что проявляется симптомами их недостаточной секреции.
ПРИЧИНЫ ГИПОПИТУИТАРИЗМА
Развитию гипопитуитаризма способствуют такие заболевания, как: аденома гипофиза, кровоизлияния в гипофизарную аденому, опухоли, заболевание Крисчена-Хенда-Шюллера, туберкулез, сифилис, сахарный диабет, хроническая почечная недостаточность, нервная анорексия. Причинами развития гипопитуитаризма также могут быть: послеродовые кровотечения, кровоизлияния в гипофиз, тромбоз кавернозного синуса, воспалительные заболевания (базальный менингит, энцефалит), травмы черепа, синдром «пустого» турецкого седла, врождённая аплазия и гипоплазия, гипофизэктомия.
Гипоплазия гипофиза обычно протекает с недостаточностью или полным отсутствием секреции АКТГ и ТТГ. Для аплазии передней доли гипофиза характерны небольшие размеры надпочечников, атрофия щитовидной железы и недоразвитие гениталий. Наряду с этим наблюдается задержка роста, которая вызывает значительные трудности в лечении. Помимо этого наблюдаются признаки поражения других структур мозга, включая зрительный нерв.
СИМПТОМЫ И ДИАГНОСТИКА
Наиболее ранними симптомами гипопитуитаризма являются: головная боль, снижение остроты зрения и обоняния, битемпоральная гемианопсия, Брадикардия, тошнота, рвота, гипотония, изменение менструального цикла или полное прекращение менструальных выделений у женщин, снижение полового влечения, выпадение волос в подмышечных впадинах и на лобке, снижение работоспособности, усталость, понижение тургора кожи и её восковидность, плохая лактация в послеродовом периоде, сонливость, снижение температуры тела, гипогликемия, нарушение аппетита, мышечная слабость, анемия, задержка роста и полового развития у детей.
Первый этап диагностики - это тщательный сбор анамнеза и клинических жалоб у пациента, затем анализ крови на гормоны гипофиза, щитовидной железы и надпочечников. Немаловажную роль в диагностике имеет определение уровня половых гормонов и гонадотропинов в сыворотке крови, а также их экскреции с мочой.
Специальные исследования: проверка зрения, осмотр глазного дна, рентген грудной клетки, костей рук, черепа, ангиография, пневмоэнцефалография, МРТ и КТ головного мозга.
ЛЕЧЕНИЕ
После проведения диагностики назначается лечение. Если выявлена опухоль показано хирургическое вмешательство, либо рентгено-, гамма-терапия, также на протяжении всей жизни назначается заместительная терапия. Проводится это для того, чтобы восстановить необходимый уровень гормонов в организме. Гормональная заместительная терапия назначается индивидуально для каждого больного.
Причина гипофизарной недостаточности обычно устанавливается до начала терапии. В качестве заместительной терапии назначается гидрокортизон, тиреоидные гормоны. Для восстановления менструального цикла назначают эстроген-прогестерон, а для восстановления потенции у мужчин - тестостерон. На протяжении всего лечения врачами нашей клиники ведется динамическое наблюдение, а повторная оценка состояния здоровья больного после гормональной терапии проводится через три и двенадцать месяцев.
Своевременный и правильный диагноз минимизирует ущерб вашему здоровью. Будем рады Вам помочь.
Синдром пустого турецкого седла
Синдром пустого турецкого седла - это патология строения мозговой структуры, обусловленная выпячиванием внутренней мозговой оболочки и подпаутинного пространства внутрь углубления турецкого седла, приводящая к деформации гипофиза. Симптоматика многообразна, включает боли в голове, головокружения, повышенную утомляемость, слабость, тахикардию, артериальную гипертензию, одышку, ретробульбарные боли, расстройства зрения в форме диплопии, фотопсий, выпадения полей зрения. Диагноз устанавливается по итогам магнитно-резонансной томографии головного мозга. Лечение предполагает гормональную терапию, медикаментозное устранение симптомов, при осложнениях - хирургическую операцию.
МКБ-10

Общие сведения
Название синдрома введено в медицину патологоанатомом из Германии В. Бушем в 1951 году. Исследователь изучил материал аутопсий более 700 трупов, у 40 из них выявил изменения диафрагмы турецкого седла и деформацию гипофиза в виде его распластывания по дну гипофизарной ямки. Визуально углубление было пустым. В современной эндокринологии словосочетанием «синдром пустого турецкого седла» (СПТС) обозначают группу нозологий, при которых обнаруживается выпячивание паутинного пространства в область расположения гипофиза. Распространенность аномалии в общей популяции составляет 10%. Зачастую симптоматика отсутствует, эпидемиологические данные получены при случайных и целенаправленных обследованиях. Синдрому более подвержены лица среднего возраста, у женщин патология диагностируется до пяти раз чаще, чем у мужчин.
Причины СПТС
По происхождению СПТС бывает первичным и вторичным. Первичный синдром возникает как результат врожденной и приобретенной дефицитарности функций диафрагмы, а также при увеличении размеров гипофиза. Вторичный вариант патологии провоцируется операциями по удалению гипофиза, лучевой терапией на интрасселярную область. К причинам первичного СПТС относят:
- Поражение гипофиза. Уменьшение железы возможно при интенсивном росте опухолей гипофиза, кровоизлияниях в опухолевую ткань. Синдром развивается вследствие нарушения соотношения объемов гипофиза и седла.
- Патологии головного мозга. Изменение свойств диафрагмы происходит во время мозговых кровоизлияний, черепно-мозговых травм, формирования новообразований. Функциональность и структура гипофиза изменяются не только в связи с травматическими и опухолевыми процессами, но из-за нарушений гипоталамо-гипофизарного взаимодействия.
- Инфекции. Нейроинфекции и тяжелые общие инфекции поражают ткани ЦНС, способствуют повышению давления ликвора. Гипертензивный синдром рассматривается как один из признаков СПТС.
- Эндокринные сдвиги. Гормональный дисбаланс сопровождается увеличением размеров гипофиза, является фактором риска СПТС. Пустое турецкое седло чаще обнаруживается в период пубертата, беременности, постменопаузы, у пациентов с эндокринными заболеваниями, на фоне приема гормональных лекарств (контрацептивов, глюкокортикоидов).
Патогенез
Турецким седлом называется структура, расположенная в клиновидной кости черепа. Она имеет специальное углубление - гипофизарную ямку. В норме эта структура разделена с подпаутинным пространством твердой оболочкой мозга - диафрагмой. Свойства и характер прикрепления диафрагмы анатомически вариативны, но позволяют сохранять правильную форму гипофиза, поддерживают его взаимодействие с гипоталамусом. При патологическом изменении свойств и качеств диафрагмы мозговые оболочки вдавливаются в полость турецкого седла. В итоге гипофиз истончается, нарушается его функционирование. Сквозь диафрагмальное отверстие в гипофизарное углубление поступает ликвор, «провисают» зрительные нервы и их перекрест. Нарушается контроль активности гипофиза гипоталамусом, что проявляется эндокринной симптоматикой. Патогенетической основой офтальмологических расстройств становится изменение положения некоторых мозговых структур относительно зрительного перекреста и недостаток снабжения кровью хиазмы.
Симптомы СПТС
Клинические признаки СПТС динамичны и многообразны, симптомы возникают и исчезают внезапно, быстро сменяют друг друга, спонтанно развиваются ремиссии и рецидивы. Синдром проявляется расстройствами со стороны органов зрения, нервной и эндокринной системы. Типичны неврологические проявления, они встречаются у 80-90% больных, становятся более выраженными при переживании стресса. Пациенты испытывают головную боль различной интенсивности, не имеющую четкой локализации, - от легкой, возникающей нерегулярно, до постоянной и нестерпимой. Дисфункция вегетативного отдела ЦНС проявляется артериальной гипертензией, чувством зябкости, учащенным и затрудненным дыханием, загрудинными и абдоминальными болями. Кризовые состояния сопровождаются чувством недостатка воздуха, переживанием страха, паникой, обмороками. Формируется ипохондричность, настороженность, повышается тревожность.
Эндокринная симптоматика обусловлена дефицитом либо избытком гормонов гипофиза. Разбалансированность гормонального синтеза объясняется нарушением гипоталамического контроля - затруднением транспорта гормонов гипоталамуса. Наиболее характерны гипотиреоз, гиперпролактинемия, снижение полового влечения и потенции, олигоменорея, аменорея. СПТС также способен спровоцировать развитие болезни Кушинга, гипопитуитаризм, акромегалию, несахарный диабет. При поражении хиазмы формируется офтальмологическая симптоматика. Зрительные нарушения диагностируются у 50-80% больных. Наиболее распространенным симптомом являются боли в окологлазничной области. Часто наблюдается слезотечение, диплопия, ощущение «тумана», «пелены» перед взором, фотопсии, отек конъюнктивы, снижение остроты зрения. При значительном поражении хиазмы определяется ограничение и выпадение зрительных полей.
Осложнения
В подавляющем большинстве случаев СПТС не приводит к каким-либо последствиям. При наличии симптомов пациенты нуждаются наблюдении врача, мониторинге состояния здоровья. Трансформация гипофиза, изменение его секреторной функции способны провоцировать вторичные патологии щитовидной железы, недостаточность коры надпочечников, перепады внутричерепного давления и микроинсульты. Из-за близкого расположения зрительных нервных волокон при синдроме ПТС существует риск тяжелых расстройств зрения, в том числе - полной необратимой слепоты. В редких случаях возможно истечение через носовые ходы цереброспинальной жидкости, просачивающейся сквозь истонченное дно турецкого седла.
Диагностика
Обследование пациентов проводят врачи-эндокринологи, неврологи, онкологи. Процесс диагностики основывается на инструментальных методах, позволяющих визуализировать область турецкого седла. Ранее активно использовалась рентгенография черепа, рентгенография головного мозга после контрастирования подпаутинных цистерн газом, компьютерная томография, однако данные процедуры были недостаточно информативными и безопасными. Сейчас диагноз пустого турецкого седла подтверждается на основании результатов магнитно-резонансного сканирования. МРТ головного мозга обладает высокой чувствительностью и предоставляет полную информацию о состоянии хиазмально-селлярной области. При СПТС выявляются три характерных признака:
- Ликвор в гипофизарной ямке. Определяется заполнение спинномозговой жидкостью полости седла. Режим Т1 отображает зону однородного сигнала низкой интенсивности, режим Т2 - зону сигнала высокой интенсивности.
- Деформация гипофиза. Структура железы изменена. По форме гипофиз схож с полулунием, серпом, толщина которого составляет 2-4 мм. Яркость ткани совпадает с яркостью белого мозгового вещества.
- Выпячивание супраселлярной цистерны. Расширенное подпаутинное пространство, окружающее воронку гипофиза, ассиметрично выпячивается в углубление седла. Воронка центрирована, истончена и удлинена.
Дифференциальная диагностика требует различения СПТС и кистозных образований интраселлярной области: арахноидальной кисты, кисты кармана Ратке, краниофарингиомы, кистозной микроаденомы гипофиза, эпидермоида. По данным МРТ обнаруживаются специфические признаки кист: несоответствие ликвору по плотности или сигнальным свойствам, смещение воронки гипофиза, визуализация стенок новообразования, солидных включений, кальцификатов.
Лечение СПТС
Пациентам с первичной формой синдрома и бессимптомным течением терапия не требуется. При вторичном СПТС лечение нацелено на устранение нейроэндокринных, неврологических и офтальмологических нарушений. Как правило, достаточно проведения медикаментозной коррекции, при развитии осложнений показано хирургическое вмешательство. Полный комплекс лечебных мероприятий включает:
- Гормонозаместительную терапию. Гипофиз контролирует активность большинства эндокринных желез, поэтому при его дисфункции развиваются различные формы гормонального дефицита. При гипотиреозе назначаются препараты тироксина, при надпочечниковой недостаточности - глюко- и минералокортикоиды, при несахарном диабете - синтетический аналог АДГ (десмопрессин).
- Симптоматическую терапию. Для устранения вегетативных расстройств, болевых ощущений используются симптоматические средства. В зависимости от клинической картины может быть показан прием седативных, гипотензивных, обезболивающих препаратов.
- Хирургические операции. При провисании зрительных нервов, их сдавливании в отверстии диафрагмы возрастает риск необратимой потери зрения. В подобных случаях выполняется процедура транссфеноидальной фиксации хиазмы. Другим показанием к операции является истечение ликвора через полость носа. Производится тампонада турецкого седла мышцей.
Прогноз и профилактика
Первичный вариант синдрома не имеет симптомов, крайне редко потенцирует развитие осложнений. Клинически проявленные случаи вторичного синдрома хорошо поддаются медикаментозной терапии, требуют продолжительного приема лекарственных средств, но при правильном лечении не ухудшают качество жизни больных. Профилактические мероприятия не разработаны. Некоторое снижение риска возникновения вторичной формы патологии обеспечивается взвешенным подходом при определении показаний к хирургическому иссечению гипофиза, облучению интраселлярной зоны.
2. «Пустое» турецкое седло: этиология, патогенез, нейроэндокринные и зрительные нарушения/ Самсонова Л.Н., Свирин А.В.// Клиническая офтальмология. - 2003 - №4.
3. Клинико-гормональные аспекты синдрома «пустого» турецкого седла: Автореферат диссертации/ Бабарина М.Б. - 1999.
4. Синдром пустого турецкого седла/ Вологина Н.И., Каленич Л.А.// Международный журнал экспериментального образования. - 2015. - № 5.
Гипопитуитаризм
Гипопитуитаризм — это патологическое состояние, которое обусловлено снижением выработки нескольких или всех гормонов гипофиза. Сидром возникает при прямом поражении гипофиза некрозом, опухолью или воспалительным процессом, кроме того, он может стать следствием нарушений гипоталамо-гипофизарной регуляции. Гипопитуитаризм проявляется симптомами гипокортицизма, гипогонадизма, гипотиреоза, расстройствами обмена веществ. Диагностика заболевания включает анализы на гипофизарные гормоны, методы нейровизуализации, исследование периферических желез внутренней секреции. Основу лечения составляет заместительная терапия гормональными препаратами.
Гипопитуитаризм представляет собой разнообразный по этиопатогенезу и клиническим признакам синдром, который встречается у пациентов разного профиля, протекает под «маской» других заболеваний. Истинная частота гипопитуитаризма не установлена, информация о распространенности существует только для отдельных форм. Гипопитуитаризм относится к одному из наиболее сложных в диагностике состояний, его выявление и правильное лечение требует от эндокринолога высокой профессиональной подготовки.
Этиологическая структура гипопитуитаризма разнообразна, поскольку она отражает не только конкретные органические процессы в гипофизе, но и разнообразные соматические заболевания, провоцирующее его развитие. В клинической эндокринологии все возможные причины появления гипопитуитаризма объединяются в следующие группы:
- Некроз гипофиза. Отмирание ткани гипофиза происходит вследствие ишемии органа при воспалении височных артерий, атеросклерозе, серповидноклеточной анемии. Гипопитуитаризм изредка встречается у беременных женщин при тяжелой эклампсии, при массивных кровотечениях после родов (синдроме Шихана).
- Опухоли гипофиза. К первичным новообразованиям центрального эндокринного органа относят хромофобную аденому, краниофарингиому. Также наблюдаются параселлярные опухоли: менингиома, глиома зрительного нерва.
- Сосудистые заболевания. Причиной гипопитуитаризма может быть внутричерепная аневризма сонной артерии, тромбоз кавернозного синуса, кровоизлияние в гипофиз.
- Нейроинфекции. Вовлечение гипофиза в воспалительный процесс наблюдается при бактериальных патологиях: туберкулезе, менингококковом менингите, сифилисе. Дефицитное состояние может диагностироваться при системных микозах.
- Метаболические нарушения. Нередко гипопитуитаризм становится результатом системных нарушений здоровья и накопления токсинов, что возможно при почечной и печеночной недостаточности.
- Ятрогенные факторы. Дефицит гормонов часто выявляется у больных, которые прошли курс облучения носоглотки или турецкого седла, при случайном хирургическом разрушении органа.
Все вышеперечисленные факторы являются причинами первичной формы гипопитуитаризма. Вторичная недостаточность в основном отмечается при поражении гипоталамуса вследствие воспалительных, травматических или токсических воздействий. Также возможно появление опухолей гипоталамуса: первичных нейроэндокринных новообразований, метастатических лимфом. В редких случаях вторичный гипопитуитаризм развивается на фоне вынужденного голодания, нервной анорексии.
Гипофиз — центральная железа внутренней секреции, которая состоит из передней доли (аденогипофиза), занимающей 70-80% массы органа, задней доли (нейрогипофиза), промежуточной доли, которая по происхождению принадлежит к аденогипофизу. В аденогипофизе вырабатываются регуляторные гормоны: тиреотропный (ТТГ), адренокортикотропный (АКТГ) фолликулостимулирующий (ФСГ), лютеинизирующий (ЛГ), соматотропный (СТГ) и лютеотропный.
Гипопитуитаризм имеет множество механизмов развития, которые обусловлены конкретной причиной болезни. Возможно как прямое разрушение клеток либо инфекционно-токсическое их повреждение, так и опосредованное влияние патологий гипоталамуса на активность аденогипофиза. При снижении выработки регуляторных гормонов нарушается работа соответствующих периферических желез, что проявляется характерными симптомами.
Классификация
Учитывая механизм развития, гипопитуитаризм подразделяется на первичный с прямым поражением секретирующих клеток, и вторичный, когда недостаточный синтез гормонов связан с отсутствием стимулирующих влияний от высших нейроэндокринных центров. В практической эндокринологии повсеместно используется разделение гипопитуитаризма на клинические формы по степени нарушения секреции гормонов:
- Тотальный гипопитуитаризм— наиболее тяжелый вариант патологии, когда снижается или полностью прекращается выработка всех гипофизарных гормонов. Сюда относят гипофизарную кахексию (болезнь Симонса), послеродовой гипопитуитаризм (синдром Шихана), гипоталамо-гипофизарную недостаточность.
- Парциальный гипопитуитаризм — частичное поражение гипофиза, при котором нарушается синтез одного или нескольких гормонов. Парциальная форма имеет следующие подвиды:
- гипофизарный гипогонадизм — недоразвитие наружных половых признаков и нарушение репродуктивной функции, возникающее из-за дефицита ЛГ и ФСГ;
- гипофизарная карликовость (нанизм) — низкорослость вследствие недостаточного синтеза соматотропина в детском возрасте;
- гипофизарный гипокортицизм — гипофункция коры надпочечников, которая вызвана отсутствием стимулирующего влияния АКТГ;
- адипозогенитальная дистрофия — прогрессирующее ожирение и недоразвитие половых органов;
- гипофизарный гипотиреоз — снижение выработки тиреоидных гормонов на фоне нарушений синтеза ТТГ в передней доле гипофиза.
Симптомы гипопитуитаризма
Учитывая разнообразие клинических форм заболевания, невозможно выделить типичные симптомы гипопитуитаризма. Проявления болезни будут зависеть от выраженности нарушения работы гипофиза, причины поражения эндокринного органа, наличия у больного сопутствующих патологий. При гипопитуитарных синдромах в большинстве случаев сочетаются три группы признаков: полигормональная недостаточность, нейросоматические нарушения, психические расстройства.
Тотальный гипопитуитаризм
При гипофизарной кахексии на первый план выходит резкое снижение веса и атрофия мышц и отсутствием аппетита. Состояние чаще возникает у женщин 30-40 лет. Больные жалуются на постоянную сонливость, упадок сил, у них уменьшается половое влечение. Подобную клиническую картину имеет синдром Шихана, однако его патогномоничным признаком является развитие симптоматики у женщин в послеродовом периоде.
Больные с гипоталамо-гипофизарной недостаточностью имеют симптомы гипокортицизма, гипотиреоза, гипогонадизма. Вследствие дефицита антидиуретического гормона клиническая картина дополняется признаками несахарного диабета. Объем выделяемой мочи достигает 10-15 л в сутки, на фоне чего беспокоит постоянная мучительная жажда.
Парциальный гипопитуитаризм
При недостатке СТГ у детей возникает карликовость при правильных пропорциях тела. У взрослых дефицит соматотропина влияет на основной обмен: угнетает метаболические реакции, повышает уровень холестерина в крови, способствует расщеплению белков мышечной ткани. В результате снижения плотности костей нередки переломы. Кожа выглядит сухой, уменьшается потоотделение. Человек испытывает постоянную усталость, апатию, снижение работоспособности.
Дефицит гонадотропных гормонов (ФСГ, ЛГ) у женщин репродуктивного возраста вызывает нарушения цикла вплоть до отсутствия менструаций, снижение либидо, сухость влагалища. Нередко возникают расстройства мочеиспускания, дискомфорт во время полового акта. Мужчины испытывают эректильную дисфункцию, снижение полового влечения, неспособность к семяизвержению. Зачастую уменьшается волосяной покров в гормонозависимых зонах (подмышечные впадины, промежность).
Для гипотиреоза типично появление сонливости, вялости, снижения умственной и физической работоспособности. Кожа становится бледной, сухой, прохладной на ощупь. Поражение ЖКТ характеризуется запорами. На фоне отеков и нарушения метаболизма пациенты набирают вес даже при соблюдении стандартной калорийности рациона. При гипокортицизме, наоборот, наблюдается снижение массы тела в сочетании с расстройствами ЖКТ.
Основным негативным последствием гипопитуитаризма является гипофизарный криз, который является крайне тяжелой степенью гормональной недостаточности. Его началу способствует перенесенный острый стресс, физическая травма, отсутствие или резкое прекращение заместительной гормональной терапии. Нередко кризы наступают при осложнении гипопитуитаризма инфекционно-воспалительными процессами.
Патология развивается постепенно в течение нескольких дней, но при кровоизлиянии в гипофиз симптомы появляются в считанные часы. Гипофизарный криз проявляется адинамией, снижением температуры тела, угнетением сухожильных и брюшных рефлексов. У пациентов снижается артериальное давление, замедляется пульс, нарушаются все обменные процессы. Без своевременной помощью состояние приводит к полиорганной недостаточности, коме, смерти пациента.
Первичное обследование больного происходит в кабинете врача-эндокринолога. Учитывая многоликость гипопитуитарного синдрома, требуется провести полное физикальное обследование, выяснить все жалобы и детально собрать анамнез заболевания, чтобы заподозрить гипопитуитаризм. Подтвердить наличие гипопитуитаризма помогают следующие диагностические методы:
- Нейровизуализация. Чтобы обнаружить органические поражения гипоталамо-гипофизарной зоны, проводится рентгенография турецкого седла, МРТ или КТ головного мозга. При необходимости обследование дополняется церебральной ангиографией, электроэнцефалографией.
- УЗИ эндокринных органов. Для оценки состояния органов-мишеней, работа которых определяется уровнем тропных гормонов, информативной является ультразвуковая диагностика. Для детализации данных возможно выполнение КТ щитовидной железы, надпочечников, органов малого таза.
- Биохимические анализы. Оценка общего состояния здоровья производится на основе протеинограммы, липидограммы, острофазовых показателей. Важное значение имеют уровни основных электролитов крови. При подозрении на несахарный диабет назначается анализ мочи.
- Гормональные исследования. Базовым методом диагностики является измерение уровней гормонов в крови. Как правило, для уточнения причины и формы гипопитуитаризма делаются пробы с введением ГнРГ, клофелина, тиролиберина.
- Консультации профильных специалистов. Чтобы уточнить первопричину гипопитуитаризма, больным рекомендуется пройти комплексное обследование у невролога, кардиолога, офтальмолога, инфекциониста, других врачей.
Лечение гипопитуитаризма
Плановая терапия
При гипопитуитаризме показано дифференцированное лечение, которое проводится, учитывая этиологический фактор заболевания, степень тяжести, клиническую симптоматику, наличия осложнений. Большинство гипопитуитарных синдромов успешно купируются с помощью медикаментозной терапии, для которой разработана следующая терапевтическая схема:
- Заместительные гормональные препараты. Для коррекции работы эндокринной системы эффективны аналоги кортикотропного, тиреотропного, соматотропного гормонов. Женщинам для устранения гипогонадизма рекомендованы комбинированные оральные контрацептивы, а мужчинам подбираются лекарства с андрогенным эффектом.
- Глюкокортикостероиды. Медикаменты применяются при некрозе гипофиза для предупреждения церебральных осложнений такого состояния, купирования отека мозга. Также лекарства используются при активном иммунном воспалении, повреждающем органы гипоталамо-гипофизарной системы.
- Противомикробные препараты. Лекарства необходимы при доказанной инфекционной этиологии гипопитуитаризма, чтобы быстро устранить провоцирующих фактор, ликвидировать воспаление в головном мозге.
- Цитостатики. Средства для химиотерапии назначаются при первичных злокачественных новообразованиях гипофиза либо при метастатических опухолях. Цитостатики комбинируют с другими методами лечения в нейроонкологии.
Неотложная помощь
Купирование гипофизарного криза проводится в отделении реанимации. Лечение начинается с введения высоких доз кортикостероидов, при стойкой артериальной гипотензии дополнительно вводится раствор ДОКСА. Спустя 12-24 часа терапию дополняют тиреоидными препаратами. Чтобы улучшить водно-солевой обмен, нормализовать показатели гликемии, вводятся инфузионные растворы: физиологический раствор, раствор глюкозы, гипертонические растворы с натрием.
Для улучшения метаболизма показано введение коферментных препаратов тиамина, активной формы витамина В6, цитохрома С, аденозинмонофосфата. Чтобы устранить является сердечной недостаточности, необходимо использовать кардиотропные лекарства из группы бета-адреномиметиков, аналептиков, сердечных гликозидов. Респираторная поддержка включает ингаляции увлажненного кислорода, искусственную вентиляцию легких.
Хирургическое лечение
При аденомах гипофиза, опухолях кармана Ратке и других новообразованиях области турецкого седла рассматривается вопрос о возможности нейрохирургического удаления патологической ткани. Для комплексного лечения опухолевых процессов оперативное вмешательство нередко дополняется лучевой терапией. В первые дни после геморрагического инсульта тоже возможно проведение операции, если консервативное лечение не дает ожидаемого эффекта.
Прогноз оценивается с учетом причины, тяжести состояния, в значительной мере зависит от своевременности диагностики проблемы, соблюдения пациентом врачебных рекомендаций. При постоянном приеме заместительной терапии удается сохранить высокое качество жизни и нормализовать функции периферических эндокринных желез. Сомнительный прогноз для пациентов с тотальным гипопитуитаризмом, который нередко завершается комой. Меры профилактики не разработаны.
4. Гипопитуитаризм: причины и эпидемиология/ А.В. Древаль// Алгоритмы диагностики и лечения гипофизарной недостаточности. — 2014. — №5-6.
Синдром «пустого турецкого седла» — что это за болезнь и чем опасна?

Термин «пустое турецкое седло» предложил патологоанатом В. Буш в 1951 году, из-за внешней формы клиновидной кости, которая напоминает реквизит для верховой езды. Это заболевание означает нарушение в области головного мозга, а конкретней, где располагается гипофиз, мешая ему функционировать. В последнее время диагноз стал очень распространенным, ввиду приобретения большой популярности магнитно-резонансной томографии. И многие люди, услышав диагноз, пребывают в полном недоумении: что это такое турецкое седло и чем оно опасно?
Что это такое?
При нормальном функционировании гипофиз заполняет все пространство седла. А если произошли какие-либо сбои, то оболочка головного мозга, опускаясь, начинает давить на содержимое полости. Например, если по каким-то причинам диафрагма недоразвита или истончена, или имеет слишком широкий диаметр отверстия для ножки, тогда спинномозговая жидкость и мягкая мозговая оболочка беспрепятственно попадают в полость турецкого седла, и осуществляют давление непосредственно на гипофиз. В результате он как бы распластан по дну седла, таким образом, формируется пустое турецкое седло.
Иногда в медицинской практике встречается, что диафрагма турецкого седла недоразвита, а синдрома турецкого седла нет. Поэтому ученые пришли к выводу, что для возникновения синдрома необходима внутричерепная гипертензия. В этом случае, ликвор заполняет не только все пространство седла, оказывая давление на гипофиз, но и на его ножку. Все это вызывает сбои регуляции гипоталамуса и вызывает проблемы с эндокринной системой.
Виды патологии
По статистическим данным синдром пустого турецкого седла диагностируется у каждого десятого. Чаще всего этим недугом страдают женщины после 35 лет с лишним весом. Это связано с более активным функционированием гипофиза в некоторых периодах их жизни (беременность, климакс).
Синдром пустого турецкого седла классифицируют по двум видам:
- Первичный синдром. Начинается в условиях врожденной недостаточности диафрагмы. Протекает аномалия бессимптомно, и выявляется при МРТ гипофиза, исследуя другое заболевание, случайно.
- Вторичный синдром. Проявляется после непосредственного влияния на гипофиз: после облучения, оперативного вмешательства, инфекционного заболевания.
Предрасположенность к данному заболеванию может быть как наследственная, так и по ряду других причин.
Записаться на МРТ
Запишитесь на приём и получите качественное обследование головы в нашем центре
Причины пустого турецкого седла

Медики особо выделяют несколько главных причин, которые значительно увеличивают риск появления синдрома турецкого седла:
- Генетическая предрасположенность.
- В организме происходят болезненные процессы. Среди них можно выделить:
- Гормональные сбои: климакс, беременность, аборты, половое созревание, прием гормональных контрацептивов, операции по удалению яичников.
- Сердечно-сосудистые проблемы: сердечная недостаточность, гипертония, опухоль головного мозга, нарушения кровообращения, кровоизлияние в мозг.
- Воспалительные процессы в организме.
- Длительное лечение вирусных или инфекционных заболеваний антибиотиками.
- Избыточный вес.
- Внешние факторы. К ним можно отнести: сотрясение мозга, пройденные курсы химиотерапии, хирургические операции в области гипофиза.
Симптомы пустого турецкого седла
Синдром пустого турецкого седла проявляется сбоями в эндокринной и нервной системе, нарушениями в функционировании органов зрения.
Во время стрессовых ситуаций повсеместно проявляются неврологические симптомы:
- нарастающая головная боль - наиболее частый симптом синдрома. Боль не имеет конкретной локализации, не зависит от положения тела, возникает в разное время суток;
- скачок артериального давления вместе с отдышкой и ознобом. Может сопровождаться болями в области сердца, диареей, обмороками;
- панический страх, острая нехватка воздуха, эмоциональная угнетенность или наоборот озлобленность на всех окружающих;
- могут возникнуть боли в животе и судороги в ногах;
- иногда повышение температуры до субфебрильных показателей.
Пустое турецкое седло головного мозга способно проявлять себя нарушениями в эндокринной системе, а именно:
- ослабление половой функции, увеличение молочных желез у мужчин;
- лишний вес - более 70% с синдромом страдают от ожирения;
- появление несахарного диабета;
- уменьшение щитовидной железы: отечность лица, сонливость, запоры, вялость, отеки конечностей, сухость кожи;
- увеличение щитовидной железы: потливость, учащенное сердцебиением, дрожание рук и век, эмоциональной возбудимостью;
- сбои в менструальном цикле или даже бесплодие у представительниц слабого пола;
- синдром Иценко-Кушинга - ухудшение функции надпочечников. Сопровождается пигментацией кожи, психическим расстройствами, избыточным ростом на теле волос.

Турецкое седло находится вблизи зрительных нервов. При наличии синдрома они сдавливаются, тем самым нарушается их кровообращение. Поэтому зрительные симптомы встречаются почти абсолютно во всех случаях заболевания. Симптомы в этой ситуации:
- ухудшение остроты зрения;
- сильная слезоточивость;
- раздвоение предметов;
- появление черных точек;
- потемнение в глазах.
В большинстве случаев вышеперечисленные симптомы имеют много других заболеваний. Выявить турецкое седло в головном мозге можно только после консультации со специалистом и после обследования.
Получить бесплатную консультацию
Консультация по услуге ни к чему Вас не обязывает
Диагностика синдрома
Процедура постановки диагноза проходит в три этапа:
- Консультация врача.
На основании жалоб пациента, данных анамнеза, врач может заподозрить синдром пустого турецкого седла. Однако подтвердить подозрения может только всестороннее обследование. - Лабораторная диагностика.
Проверяется анализ крови на выявление гормонального фона. - Инструментальная диагностика.
Можно выделить несколько методов визуализации. Наиболее результативным для обнаружения синдрома считается МРТ головного мозга. На снимках будет видно, что гипофиз деформирован, имеет неправильную форму, сдвинут по отношению к седлу. Также можно воспользоваться КТ (компьютерная томография), она точно позволит обозначить размеры гипофиза либо возможные отклонения от нормы. Из более доступных способов - рентгенография области седла. Хотя на снимках будет виден уменьшенный в размерах гипофиз, тем не менее, данный метод не позволяет абсолютно достоверно утверждать о присутствии синдрома турецкого седла.
Очень часто пустое турецкое седло обнаруживают совершенно случайно, в целях выявления синуситов или форм черепно-мозговых повреждений.
К какому врачу идти?
Если наблюдаются продолжительные головные боли, набор лишнего веса, гипертония следует обратиться к неврологу.
Если заметили ухудшение зрения, нужна консультация офтальмолога, чтобы он исключил или подтвердил поражение зрительных нервов.
И обязательна консультация эндокринолога, и в дальнейшем исследование гормонального фона.

Как такового метода лечения синдрома пустого турецкого седла не существует. Медикаментозная терапия направлена на устранение симптомов синдрома. Поэтому, если патология обнаружена совершенно случайно, и никак не тревожит пациента, то и лечения не требует. Он становится на учет к специалисту, периодически проходит обследование, по возможности должен вести здоровый стиль жизни.
Для тех, кого тревожат боли и плохое самочувствие назначают лечение, которое снижает симптоматические последствия:
- скачки артериального давления;
- мигрени;
- снижение иммунитета и т.д.
Хирургическое лечение требуется редко. И тогда не обойтись без нейрохирурга. Показания к оперативному вмешательству:
- необходимость удаления опухоли;
- просачивание спинномозговой жидкости;
- провисание зрительных нервов (может спровоцировать полную потерю зрения).
Лечение народными средствами крайне неэффективно. Зачастую необходимо просто устранить некоторые факторы риска: ожирение, прием гормональных контрацептивов. Самая лучшая профилактика заболевания — здоровый образ жизни.
Прогноз
Спрогнозировать течение болезни невозможно. Все зависит от течения СПТС, сопутствующих заболеваний и самого состояния железы. Постоянный контроль уровня гормонов, чтобы вовремя исключить осложнения. Заниматься укреплением здоровья, чтобы помочь организму бороться с болезнями.
Синдром пустого турецкого седла - патология с непредсказуемым течением. Она может на протяжении всей жизни никак себя не проявить, а может стать причиной множества серьезных эндокринных расстройств. Подбор терапии также может быть абсолютно разный: либо принцип невмешательства с обычным наблюдением, либо хирургическое вмешательство с непредвиденными последствиями.
Причины гипопитуитаризма: синдром пустого турецкого седла, апоплексия гипофиза и синдром Шегрена
ФГБУ «Национальный медицинский исследовательский центр им. В.А. Алмазова» Минздрава России, Санкт-Петербург, Россия
ФГБУ «Северо-Западный федеральный медицинский исследовательский центр им. В.А. Алмазова», Санкт-Петербург, Россия
Северо-Западный федеральный медицинский исследовательский центр им. В.А. Алмазова, Санкт-Петербург, Россия
Первичный и вторичный гипофизит. Клинико-морфологическое исследование
Представлено 6 наблюдений редкого заболевания — первичного и вторичного гипофизита, выявленного при морфологическом исследовании материала эндоскопической транссфеноидальной резекции новообразований гипофиза. Проведены клинико-морфологическое сопоставление, анализ литературных данных.
Гипофизит (аутоиммунный лимфоцитарный гипофизит — АЛГ) — редкое хроническое воспалительное заболевание гипофиза, характеризующееся нарушением его функции и развитием эндокринопатии [1]. По данным ряда авторов, в основе патогенеза лежат аутоиммунные механизмы, которые сопровождаются наличием в воспалительном инфильтрате лимфоцитов (преимущественно CD4 + -T-хелперов и В-лимфоцитов), плазматических клеток, макрофагов, а также экспрессией главных комплексов иммуногистосовместимости I и II типов [2, 3]. В 30% случаев гипофизиты могут быть ассоциированы и с другими эндокринными аутоиммунными заболеваниями, такими как тиреоидит Хашимото, болезнь Грейвса, сахарный диабет, болезнь Аддисона [4]. Описывают также сочетание АЛГ с болезнью Шегрена и системной красной волчанкой [5]. Частота встречаемости АЛГ больше у женщин, чем у мужчин (8:1) [6]. Некоторые авторы в 57% случаев отмечают развитие АЛГ во время беременности или в послеродовом периоде, нередко приводящего к несахарному диабету с тяжелой полиурией [7].
Клиническая картина АЛГ характеризуется разнообразными проявлениями, ведущим из которых является хиазмально-селлярный синдром, связанный с увеличением размера гипофиза. При данном синдроме основными жалобами выступают головные боли, нарушение зрения и/или сужение полей зрения [8]. Повреждение клеток гипофиза воспалительным инфильтратом с дальнейшим уменьшением их количества приводит к развитию гипопитуитаризма. При этом в большинстве случаев возникает патогномоничный для данного заболевания феномен гиперпролактинемии, развитие которого, по мнению некоторых авторов, может быть связано с рядом причин: сдавление ножки гипофиза («синдром ножки»), антителоопосредованная стимуляция пролактинэкспрессирующих клеток, снижение ингибиторного эффекта допамина и повреждение допаминовых рецепторов [9, 10].
Лучевая диагностика воспалительных заболеваний гипофиза сопряжена с рядом трудностей, которые в большинстве случаев обусловлены схожестью признаков с опухолевыми заболеваниями гипофиза, такими как микро- и макроаденомы, ганглиоцитомы, зернисто-клеточные опухоли и др. По данным большинства авторов, наиболее значимыми МРТ-признаками АЛГ являются: симметричность поражения, утолщение воронки гипофиза без ее отклонения, характерное накопление контраста менингеальными структурами («dural tail») на сагиттальном срезе [11].
Ведущим в диагностике АЛГ является комплексное морфологическое исследование с оценкой остаточного количества клеток гипофиза; характера, распределения и степени выраженности воспалительного инфильтрата. Именно по данным морфологических исследований сформированы основные современные принципы классификации АЛГ (табл. 1) [12, 13].

Таблица 1. Морфологическая классификация основных форм гипофизитов (по данным P. Caturegli и соавт., 2005, H. Fukuoka, 2015)
Воспалительные заболевания гипофиза принято разделять на первичные и вторичные формы. Первичные гипофизиты в зависимости от анатомической локализации воспалительного инфильтрата подразделяются на лимфоцитарный аденогипофизит, лимфоцитарный инфундибулонейрогипофизит и лимфоцитарный пангипофизит. По характеру воспаления первичные гипофизиты разделяют на две наиболее часто встречаемые формы — лимфоцитарный (ЛГ) и гранулематозный гипофизит (ГГ). Реже встречаются ксантоматозный, IgG4-ассоциированный и некротизирующий гипофизиты [14, 15]. ЛГ гистологически характеризуется выраженным Т- и B-лимфоцитарным воспалительным инфильтратом с формированием лимфоидных фолликулов и выраженным фиброзом [16]. ГГ отличаются большим количеством гигантских многоядерных клеток в сочетании с лимфоцитами и плазматическими клетками. ГГ необходимо дифференцировать с туберкулезом, сифилисом, саркоидозом. По мнению некоторых авторов, ГГ не имеет особенностей клинической картины, может сочетаться с ЛГ и быть ассоциирован с другими аутоиммунными заболеваниями [17]. Отдельные авторы отмечают высокую частоту встречаемости несахарного диабета именно при ГГ [18].
Термином «вторичный гипофизит» обозначают воспалительное заболевание гипофиза при локальных и системных процессах [19]. В основе развития вторичных форм гипофизитов выступают заболевания селлярной области (местные поражения), такие как киста кармана Ратке, герминома, краниофарингиома, аденома гипофиза. Отдельного внимания требуют кисты кармана Ратке, при которых вследствие нарушения целостности стенки могут возникать воспалительные изменения, схожие с первичным некротизирующим ксантоматозным гипофизитом [20]. При этом убедительных морфологических работ, позволяющих верифицировать вторичную местную воспалительную реакцию вокруг инородных масс полости кисты, в настоящее время не представлено.
В качестве системных заболеваний, приводящих к вторичному поражению гипофиза, выступают гранулематоз Вегенера, гистиоцитоз из клеток Лангерганса, гигантоклеточная гранулема, саркоидоз, болезнь Такаясу и др. [21].
Кортикостероиды считаются терапией первой линии [22]. При отсутствии эффекта гипофизиты лечат цитостатиками, например азатиоприном [23].
Случаи аутоиммунного лимфоцитарного гипофизита
У 4 пациентов (2 мужчины, 2 женщины) с жалобами на головную боль, головокружение, ухудшение зрения, увеличение массы тела по данным МРТ головного мозга выявлено образование хиазмально-селлярной области (табл. 2). При определении гормонального спектра в крови отмечено повышение уровня пролактина. Уровень остальных гормонов гипофиза снижен. Всем 4 больным поставлен диагноз гормонально-активной аденомы гипофиза пролактиномы; в плановом порядке произведено трансназальное эндоскопическое удаление образования.
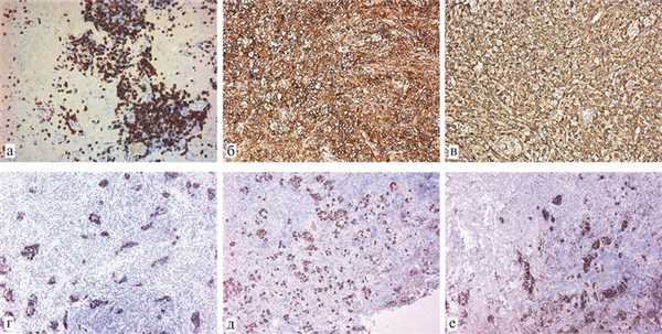
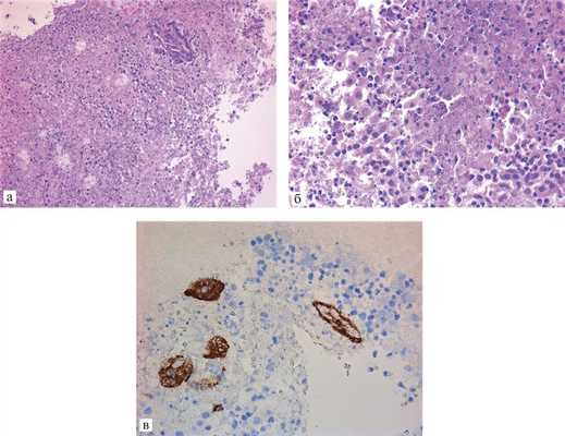
При гистологическом исследовании во всех 4 случаях структура аденогипофиза была нарушена за счет фиброза и гиалиноза (рис. 1). В фиброзированных участках визуализировались отдельные «замурованные» нейроэндокринные клетки и единичные ацинарные структуры, которые экспрессировали цитокератин клона АЕ1/АЕ3, синаптофизин и хромогранин А, СТГ, АКТГ, ТТГ, пролактин, ЛГ и ФСГ (рис. 2). Отмечалась хроническая воспалительная инфильтрация, представленная лимфоцитами, плазматическими клетками, макрофагами. В отдельных полях зрения встречались эозинофильные и нейтрофильные лейкоциты. При иммуногистохимическом исследовании в воспалительном инфильтрате преобладали CD3 + -Т-лимфоциты и CD38 + -плазмоциты (рис. 3), CD8 + -Т-киллеров и CD68 + -макрофагов было значительно меньше. На эндотелии сосудов и в клетках инфильтрата отмечалась экспрессия HLA-DR+++, MHC1++++.

Рис. 2. Больная № 4. Аутоиммунный лимфоцитарный гипофизит. а — СD3+-Т-лимфоциты, ×100; б — экспрессия MHC-1, ×200; в — экспрессия IgG, ×200; г — экспрессия синаптофизина в оставшихся нейроэндокринных клетках аденогипофиза, ×100; д — экспрессия СТГ в оставшихся нейроэндокринных клетках аденогипофиза, ×100; е — экспрессия пролактина в оставшихся нейроэндокринных клетках, ×100.

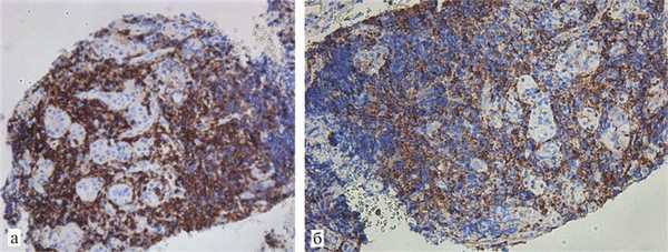
Рис. 3. Больная № 6. а — островки оставшихся нейроэндокринных клеток, окруженных CD3+-Т-лимфоцитами, ×200; б — диффузная экспрессия HLA-DR, ×200.
Таким образом, у 4 больных со схожей клинической картиной и морфологическими изменениями выявлен АЛГ. При этом данных, подтверждающих аденому гипофиза, получено не было. Интересно отметить, что в одном случае клиника гипофизита появилась после курса лучевой терапии по поводу рака носоглотки и в одном случае — через 6 мес после родов с развитием несахарного диабета.
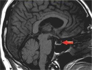
При ретроспективном анализе МРТ головного мозга пациента № 1 с контрастным усилением выявлено увеличение поперечного и вертикального размера гипофиза, утолщение воронки, потеря дифференцировки между адено- и нейрогипофизом и отсутствие характерного гиперинтенсивного сигнала Т1-взвешенного изображения (ВИ) от нейрогипофиза. Верхний полюс увеличенного гипофиза компримировал хиазмальную цистерну и хиазму. Измененный гипофиз имел среднеинтенсивный сигнал на Т2-ВИ и Т1-ВИ. В правой половине выявлялась локальная зона отека. После введения контраста отмечалось интенсивное гомогенное усиление от всего гипофиза и накопление утолщенными менингеальными оболочками контраста в виде «усиков» по скату основной кости (рис. 4).

Рис. 4. Больной № 1. Т2-ВИ гипофиза в аксиальной (а) и фронтальной (б) плоскости. Железа увеличена в размерах в параселлярном и супраселлярном направлениях, Утолщена воронка (обозначена кружком). На фоне среднеинтенсивного сигнала выявляется локальная зона отека (обозначена стрелкой). Сифоны внутренней сонной артерии интактны. Т1-ВИ гипофиза во фронтальной плоскости до (в) и после (г) внутривенного контрастного усиления. Сигнал от пораженной железы достаточно гомогенный, среднеинтенсивный. Отмечается интенсивное гомогенное контрастирование ткани гипофиза. Сифоны внутренней сонной артерии интактны. Т1-ВИ в сагиттальной плоскости до (д) и после (е) внутривенного контрастирования. До контрастирования визуализируются выраженный супраселлярный тип роста железы, отсутствие типичного высокоинтенсивного сигнала от нейрогипофиза (указано стрелкой). На постконтрастном изображении отмечается равномерное контрастное усиление железой и наличие контрастного усиления по утолщенной менингеальной оболочке вдоль ската основной кости (указаны желтыми стрелками), а также контрастированные менингеальные «усики» (указаны красными стрелками) или феномен «dural tail».
Саркоидоз гипофиза
Мужчина 25 лет жаловался на редкие умеренные головные боли, общую слабость, снижение массы тела (на 14 кг в течение 3 мес), уменьшение объема эякулята, замедление роста волос на лице и конечностях. Нарушение зрения отрицал. Пациент получал заместительную гормональную терапию по поводу аутоиммунного тиреоидита субкомпенсированного клинического течения. На момент поступления состояние пациента было удовлетворительное, телосложение нормостеническое, индекс массы тела 44,42 (ожирение III степени). По данным МРТ головного мозга выявлено объемное образование гипофиза, расцененное как макроаденома. Анализ гормонов показал снижение уровня кортизола (84 нмоль/л), АКТГ (22 пг/мл), ТТГ (1,48 мМЕ/л), ЛГ (0,5 мМЕ/л), ФСГ (2,8 мМЕ/л), повышение уровня пролактина. Показатели клинического анализа крови и биохимического исследования в пределах нормы. Полученные клинические данные не позволяли исключить гормонально-неактивную макроаденому гипофиза и супраселлярную краниофарингиому с проявлениями пангипопитуитаризма. Абсолютных противопоказаний к транссфеноидальной эндоскопической операции не было. Интраоперационно отмечалась инкапсулированная опухоль в проекции турецкого седла с ретрогипофизарным расположением. При рассечении капсулы образования выделялись серые плотноэластичные массы с фрагментами холестерина.
При макроскопическом морфологическом исследовании выявлены множественные мелкие фрагменты серой эластичной ткани по 0,2 см объемом 1 мл. Гистологическое исследование: фрагменты аденогипофиза с диффузно-очаговой лимфоцитарной инфильтрацией, формированием мономорфных «штампованных» гранулем без некрозов со множеством гигантских многоядерных клеток и фиброзом. Окраска на микобактерии по Цилю—Нильсену отрицательная. При иммуногистохимическом исследовании штампованные гранулемы с CD68 + -клетками в центре гранулем и CD3 + -Т-лимфоцитами, с небольшим количеством CD38 + -плазмоцитов по периферии; HLA-DR++++ на клетках инфильтрата и эндотелии сосудов (рис. 5). Среди гранулем трабекулы клеток с экспрессией синаптофизина и хромогранина. Заключение: гистологическая картина вторичного ГГ — саркоидоза гипофиза.

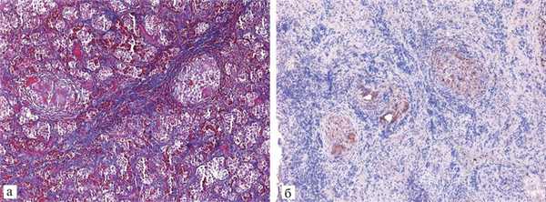
Рис. 5. Больной № 2. Изолированный саркоидоз гипофиза. а — «штампованные» гранулемы одинаковых размеров и строения, окруженные фиброзной тканью; окраска трихромом Массона, ×100; б — в центре гранулем CD68+-макрофаги, ×100.
Таким образом, у пациента выявлен вторичный гипофизит: саркоидоз гипофиза, что клинически проявлялось гипопитуитаризмом с повышением уровня пролактина.
Ксантоматозный некротизирующий гипофизит
Мужчина 48 лет с жалобами на снижение остроты зрения на оба глаза, выпадение полей зрения, головокружение, слабость. Из анамнеза известно, что 11 лет назад перенес инсульт в левом каротидном бассейне с развитием правостороннего гемипареза. При проведении МРТ головного мозга выявлено объемное образование хиазмально-селлярной области размерами 24×19×19 мм с интра-, супра-, ретроселлярным ростом. По результатам анализа уровня гормонов в крови отмечалось снижение уровня пролактина (2,9 нг/мл), ЛГ (0,1 мМЕ/мл), показатели остальных гормонов в пределах нормы. Клинические данные говорили о гормонально-неактивной макроаденоме гипофиза. Выполнено тотальное трансназальное эндоскопическое удаление образования.
При макроскопическом исследовании выявлены мелкие фрагменты мягкоэластичной желтой ткани объемом 1 мл. При гистологическом исследовании — большая часть материала представлена белковыми некротизированными массами с единичными фрагментами эпителиальной выстилки из цилиндрического мерцательного эпителия и единичными кристаллами холестерина. По краю некротизированных масс полиморфно-клеточный вал из гистиоцитов с пенистой цитоплазмой, нейтрофилов, эозинофилов, лимфоцитов, плазмоцитов, а также единичные некротизированные нейроэндокринные клетки (рис. 6). При иммуногистохимическом исследовании в инфильтрате преобладали CD68 + — и CD45 + -клетки, меньшее количество CD3 + -Т-лимфоцитов и CD38 + -плазмоцитов. HLA-DR++++ на клетках инфильтрата и эндотелии сосудов. Единичные клетки экспрессировали хромогранин, синаптофизин и цитокератин клона АЕ1/АЕ3. Заключение: разрыв кисты кармана Ратке с нагноением, вторичный ксантоматозный некротизирующий гипофизит.

Рис. 6. Больной № 3. Разрыв кисты кармана Ратке. Ксантоматозный некротизирующий гипофизит. а — некротизированные массы с фрагментом эпителиальной выстилки кисты кармана Ратке; окраска гематоксилином и эозином, ×200; б — полиморфно-клеточный инфильтрат; окраска гематоксилином и эозином, ×400; в — CD68+-ксантомные клетки, ×400.
Таким образом, у больного выявлена киста кармана Ратке с нарушением целостности и развитием вторичного ксантоматозного некротизирующего гипофизита.
Таким образом, мы наблюдали 6 случаев гипофизитов, которые составили в нашем операционном материале при трансназальной эндоскопической операции по поводу новообразований гипофиза 0,9%, что соответствует частоте встречаемости заболевания в других стационарах подобного профиля [24]. Причем первичный ЛГ был выявлен в половине случаев.
По клиническим данным и МРТ диагноз гипофизита не был поставлен ни одному пациенту, что говорит о редкости данного заболевания и неготовности клиницистов его диагностировать.
Все МРТ-исследования головного мозга проводились вне ФГБУ «СЗФМИЦ им В.А. Алмазова». При ретроспективном пересмотре МРТ-снимков у больного № 1 выявлены признаки гипофизита: 1) симметричное увеличение с супраселлярной экспансией; 2) утолщение воронки без смещения; 3) гомогенное интенсивное контрастирование; 4) появление «дурального хвоста» на сагиттальном срезе; 5) снижение яркости «пятна» гипофиза, т. е. правильный диагноз мог быть поставлен.
Возраст наших больных соответствует данным литературы, от 25 до 45 лет [25]. У всех пациентов в той или иной мере наблюдался хиазмально-селлярный синдром, у 4 — проявления гипопитуитаризма, у 4 — гипогонадизм/аменорея, ожирение, у 3 — гиперпролактиемия — самые частые симптомы гипофизита [26]. Ряд авторов считают, что в основе повышенной экспрессии пролактина лежат как явления гиперплазии лактотрофов, так и массивное повреждение клеток [27]. Явная гиперплазия лактофоров выявлена только у 1 из 3 больных с данным симптомом. В нашем исследовании преобладали мужчины, и только у одной женщины гипофизит развился после родов и сопровождался несахарным диабетом с полиурией, как описывают многие авторы [28]. Сопутствующее аутоиммунное заболевание (аутоиммунный тиреоидит) выявлено только у одного больного. У одного больного гипофизит развился после 2 курсов лучевой терапии по поводу опухоли носоглотки. По-видимому, его следует считать вторичным, постлучевым [29]. Ко вторичным гипофизитам следует отнести также ксантоматозный некротизирующий гипофизит, возникший после разрыва кисты кармана Ратке и изолированный саркоидоз гипофиза. Последний чаще сопровождается гипопитуитаризмом с пролактинемией [30], что и было выявлено у нашего больного. В 13—20% случаев описывают гиперкальциемию [31]. Только у 5% пациентов с саркоидозом в процесс вовлечена нервная система [32]. Саркоидоз гипофиза/гипоталамуса встречается у 10% пациентов с нейросаркоидозом [33]. Изолированный саркоидоз гипофиза, как у нашего пациента, встречается экстремально редко [34]. Гистологический диагноз ставится по обнаружению «штампованных», т. е. одного размера и одного строения, гранулем без казеозного некроза в центре. Дифференциальный диагноз проводится прежде всего с туберкулезом [35].
Заключение
Гипофизит становится все более распространенным диагнозом, который может быть поставлен с помощью МРТ и клинических признаков. Биопсия помогает сформулировать окончательный диагноз и служит руководством для лечения.
Читайте также:
