Причины и механизмы развития гистиоцитозов из клеток Лангерганса. Этиология, патогенез
Добавил пользователь Владимир З. Обновлено: 11.12.2025
Описание гистиоцитоза из клеток Лангерганса как заболевания, его эпидемиология и классификация, этиология и патогенез. Клиническое течение болезни. Симптомы и основные методы его диагностики. Особенности и основные препараты для лечения патологии.
Подобные документы
Бруцеллез у человека. Эпидемиология, этиология заболевания. Его переносчики, пути заражения. Восприимчивость, постинфекционный иммунитет. Патогенез и клиническое течение. Лабораторная диагностика. Особенности лечения. Специфическая профилактика.
презентация, добавлен 03.12.2015
Общее понятие и классификация артериальной гипотонии. Этиология и патогенез, причины и симптомы гипотонической болезни. Сердечный и мозговой вариант заболевания. Критерии тяжести артериальной гипотонии, основные методы диагностики и лечения болезни.
презентация, добавлен 20.10.2014
Возбудитель. Исторический аспект. Эпидемиология. Патогенез. Симптомы и течение. Диагноз и дифференциальный диагноз. Клиническое течение. Лечение. Профилактика. Неотложная помощь. Диспансеризация. Предупреждение болезни.
реферат, добавлен 01.11.2003
Этиология, эпидемиология, патогенез, симптомы и течение клещевого сыпного тифа. Постановка диагноза и основные методы лечения болезни. Индивидуальная защита человека от укусов клещей: дезинсекция, использование защитной одежды и отпугивающих средств.
презентация, добавлен 12.06.2014
Понятие и главные причины Hellp-синдрома как редкой и опасной патологии в акушерстве, его эпидемиология, клиническая картина и симптомы. Классификация и типы данного синдрома, этиология и патогенез. Принципы диагностики и лечения, методы профилактики.
презентация, добавлен 12.11.2014
Основные симптомы Болезни Рейтера. Доля заражений ВИЧ по различным путям передачи. Основные формы мягкого шанкра. Трепонемные методы диагностики сифилиса. Особенности лечения уреаплазмы. Эпидемиология и общая патология венерической гранулемы (донованоза).
научная работа, добавлен 28.11.2012
Определение и эпидемиология новообразований мочевого пузыря, в большинстве своем представленных переходноклеточным раком. Классификация, этиология и патогенез заболевания. Симптоматика опухоли, диагностика, а также основные методы лечения болезни.
реферат, добавлен 11.04.2015
Историческая справка о болезни. Уровень заболеваемости и ареал распространения. Этиология, патогенез и эпидемиология заболевания. Общая клиническая картина. Симптоматика. Особенности диагностики бешенства. Вакцинация как основная профилактика болезни.
лекция, добавлен 23.02.2009
Изучение биологических закономерностей функционирования организма с патологическими нарушениями. Этиология и диагностика гранулематозных заболеваний: саркодиоза, гранулематоза Вегенера, болезни Крона, гистиоцитоза Х, озлобленной волчанки и малакоплакии.
реферат, добавлен 01.11.2011
Определение, этиология гриппа, основной источник вируса. Патогенез заболевания, основные характерные симптомы, возможные осложнения. Виды диагностики и методы лечения гриппа. Сестринский процесс при гриппе. Основные меры по профилактике заболевания.
Причины и механизмы развития гистиоцитозов из клеток Лангерганса. Этиология, патогенез
ФГБОУ ВО СЗГМУ им. И.И. Мечникова Минздрава России, Санкт-Петербург; СПб ГБУЗ «ДГМКЦ ВМТ им. К.А. Раухфуса», Санкт-Петербург
ФГБОУ ВО СЗГМУ им. И.И. Мечникова Минздрава России, Санкт-Петербург ; СПб ГБУЗ «ДГМКЦ ВМТ им. К.А. Раухфуса», Санкт-Петербург
Гистиоцитозы представляют собой группу заболеваний, которые объединяет пролиферативный процесс в моноцитарно-макрофагальной системе с накоплением в очагах поражения патологических гистиоцитов и формированием специфических гранулем.
Возможна иммунопатологическая и опухолевая природа заболевания. В пользу иммунопатологической природы гистиоцитоза свидетельствуют высокая частота спонтанных ремиссий, низкая летальность и отсутствие хромосомных аномалий в клетках из очагов поражения, в пользу опухолевой природы — клональный характер пролиферации клеток Лангерганса в очагах поражения.
Клинические проявления гистиоцитоза весьма разнообразны, что определяет трудность диагностики. В патологический процесс могут вовлекаться различные органы и ткани: кожа, лимфатические узлы, наружное и среднее ухо, плоские кости, костный мозг, печень, селезенка, легкие, эндокринные железы, желудочно-кишечный тракт, головной мозг.
В статье представлен клинический случай гистиоцитоза, диагностированный у ребенка 1 мес. 3 нед., клинические проявления которого маскировались под симптомы наружного диффузного отита.
Описание данного клинического случая преследует цель обратить внимание на особенности течения рецидивирующих наружных и средних отитов у грудных детей, т. к. за маской данных заболеваний может скрываться гистиоцитоз.
Ключевые слова: наружный и средний диффузный отит, дети грудного возраста, гистиоцитоз, компьютерная томография.
Clinical observation of histiocytosis, proceeding under the mask of an acute otitis externa, in a child of 1 month 3 weeks
M.V. Molchanova 1,2 , S.I. Alexeenko 1,2 , S.A. Artyushkin 1
1 Mechnikov Northwestern State Medical University, Saint Petersburg
2 Raukhfus Children City Multi-Profile Clinical Center of High Medical Technologies, Saint Petersburg
A histiocytosis is a group of diseases that combine the proliferative process in the monocyte-macrophage system with the accumulation of pathological histiocytes in the lesions and a formation of specific granulomas.
There is a possibility of an immunopathological and tumor nature of the disease. A high incidence of spontaneous remission, low mortality and an absence of chromosomal abnormalities in cells from lesions are in favor of the immunopathological nature of histiocytosis. In favor of the tumor nature — the clonal nature of the Langerhans cells proliferation in the lesions.
Clinical manifestations of histiocytosis are very diverse, which determines the difficulty of diagnosis. Various organs and tissues can be involved in the pathological process: skin, lymph nodes, external and middle ear, flat bones, bone marrow, liver, spleen, lungs, endocrine glands, gastrointestinal tract, brain.
The article presents a clinical case of histiocytosis diagnosed in a child of 1 month 3 weeks, the clinical manifestations of which were masked under the symptoms of an acute otitis externa.
The description of this clinical case is intended to draw attention to the peculiarities of the course of recurrent otitis externa and otitis media in infants, as the “mask” of these diseases may be histiocytosis.
Key words: acute otitis externa and otitis media, infants, histiocytosis, computerized tomography.
For citation: Molchanova M.V., Alexeenko S.I., Artyushkin S.A. Clinical observation of histiocytosis, proceeding under the mask of an acute otitis externa, in a child of 1 month 3 weeks // RMJ. 2018. № 10(II). P. 102-104.
Для цитирования: Клиническое наблюдение гистиоцитоза у ребенка 1 месяца 3 недель, протекавшего под маской наружного диффузного отита. РМЖ. 2018;10(II):102-104.
В статье представлен клинический случай гистиоцитоза, диагностированный у ребенка 1 мес. 3 нед., клинические проявления которого маскировались под симптомы наружного диффузного отита.
Введение
Гистиоцитозы представляют собой группу заболеваний, разнообразных по клиническим проявлениям и прогнозу, которые объединяет пролиферативный процесс в моноцитарно-макрофагальной системе с накоплением в очагах поражения патологических гистиоцитов и формированием специфических гранулем 4. Современная классификация гистиоцитозов включает 3 нозологические формы: гистиоцитоз из клеток Лангерганса, злокачественный гистиоцитоз и вирус-ассоциированный гемофагоцитарный синдром [2, 5].
Гистиоцитоз из клеток Лангерганса — крайне редкое заболевание: в детском возрасте встречаются 3-4 случая на 1 млн населения, у взрослых — 1 случай на 560 000 населения 7.
Этиология и патогенез гистиоцитоза до конца не изучены [2, 6, 9]. Возможна иммунопатологическая и опухолевая природа заболевания. В пользу иммунопатологической природы гистиоцитоза свидетельствуют высокая частота спонтанных ремиссий, низкая летальность (у детей — 15%, у взрослых — 3%) и отсутствие хромосомных аномалий в клетках из очагов поражения. В пользу опухолевой природы говорит клональный характер пролиферации клеток Лангерганса в очагах поражения [10].
Клинические проявления гистиоцитоза весьма разнообразны, что определяет трудность диагностики. В патологический процесс могут вовлекаться различные органы и ткани: кожа, лимфатические узлы, наружное и среднее ухо, плоские кости, костный мозг, печень, селезенка, легкие, эндокринные железы, желудочно-кишечный тракт, головной мозг [2, 6, 11].
Среди ЛОР-органов наиболее часто поражаются наружное и среднее ухо с кровянисто-гнойными выделениями из наружного слухового прохода, имитируя таким образом наружный и средний гнойный отит.
Верификация диагноза проводится на основании биопсии пораженных очагов с последующим гистологическим и иммуногистохимическим исследованиями материала [2].
Клинический случай гистиоцитоза
Вашему вниманию предлагается случай своевременно диагностированного гистиоцитоза у ребенка грудного возраста.
Девочка Г., 1 мес. 3 нед., поступила в ЛОР-отделение СПб ГБУЗ «ДГМКЦ ВМТ им. К.А. Раухфуса» в экстренном порядке с жалобами на геморрагические выделения из правого уха.
Из анамнеза заболевания известно, что за 2 нед. до поступления на фоне полного здоровья родители заметили геморрагические выделения из правого уха у девочки в небольшом количестве. Факт травмы родители отрицали. К ЛОР-врачу амбулаторно не обращались. Появившиеся выделения из правого уха повторно побудили родителей обратиться в дежурный ЛОР-стационар.
Из анамнеза жизни известно, что девочка от первой беременности, первых срочных родов. Беременность протекала без особенностей. При рождении: масса тела — 3650 г, рост — 53 см, закричала сразу, оценка по шкале Апгар — 8/8 баллов. Девочка находилась на грудном вскармливании, отмечались достаточные весовые прибавки. Проходила регулярные плановые осмотры в декретированные сроки у педиатра и специалистов в поликлинике по месту жительства. Девочка наблюдается у хирурга, онколога по месту жительства по поводу образования боковой поверхности грудной клетки слева (лимфангиома?).
При поступлении: ребенок в сознании, активен, сон не нарушен, аппетит не снижен. Температура тела 36,5 °С. Общий соматический статус без отклонений от возрастной нормы.
Проведена оценка ЛОР-статуса. Риноскопия: носовое дыхание удовлетворительное. Слизистая носа розовая, носовые раковины обычные, отделяемого нет. Фарингоскопия: слизистая глотки розовая, налетов не обнаружено.

Выполнена отоскопия. AD: заушная область не изменена. Кожа наружного слухового прохода незначительно гиперемирована, инфильтрирована. В наружном слуховом проходе отмечается гнойно-геморрагическое отделяемое. На задневерхней стенке наружного слухового прохода на границе с барабанной перепонкой визуализируется образование розового цвета, однородное, с четкими контурами, размер 7×5,5 мм, при дотрагивании кровоточит. Барабанная перепонка обозрима не полностью, серая. AS: заушная область не изменена. Наружный слуховой проход широкий, свободный. Барабанная перепонка серая, контуры четкие.
Ребенок госпитализирован в ЛОР-отделение, проведено дообследование: клинический анализ крови, общий анализ мочи, копрограмма, бактериологическое исследование патологического отделяемого из правого уха, УЗИ органов брюшной полости, желудка, биохимический анализ крови, ЭКГ, консультация педиатра.
После угасания острого воспалительного процесса наружного слухового прохода справа выполнена компьютерная томография височных костей с внутривенным введением контрастного вещества.
В клиническом анализе крови отмечались признаки анемии легкой степени тяжести (эритроциты 3,09×10 12 , гемоглобин 100 г/л).
В общем анализе мочи, копрограмме, УЗИ органов брюшной полости, желудка патологии не выявлено.
В результате бактериологического исследования отделяемого из наружного слухового прохода справа выделен Staphylococcus aureus, чувствительный к амоксициллину в комбинации с клавулановой кислотой, цефотаксиму, цефтриаксону.
ЭКГ: синусовый ритм с ЧСС 138 уд./мин, нормальное положение электрической оси сердца. Поворот против часовой стрелки (R1, V1-V6); неполная блокада правой ножки пучка Гиса.
Девочка консультирована педиатром. Диагноз: Образование боковой поверхности грудной клетки слева (лимфангиома?). Анемия легкой степени тяжести.
Проведена консервативная терапия: системная антибактериальная терапия (цефтриаксон по 400 мг 1 р./сут в/м 10 дней); антигистаминная терапия (диметинден (капли) по 3 капли 3 р./сут внутрь); интраназально вводился вазоконстриктор (оксиметазолин 0,01% по 1 капле 2 р./сут); местный антибактериальный препарат (в правое ухо: рифамицин по 3 капли 3 р./сут 10 дней).
На фоне проводимой терапии воспалительные явления стихли, однако при отоскопии сохранялось образование на задневерхней стенке наружного слухового прохода справа.
С целью уточнения распространенности процесса назначена компьютерная томография височных костей с внутривенным введением контрастного вещества.
По данным компьютерной томографии височных костей, выполненной по стандартной программе до и после внутривенного введения контрастного вещества, на задней стенке наружного слухового прохода справа определяется мягкотканное образование однородной структуры, овальной формы с четкими контурами, размером 7×5,5 мм. Образование прилежит к барабанной перепонке, несколько смещает ее внутрь, умеренно накапливает контрастный препарат. Просвет наружного слухового прохода в данной области сужен до 1 мм. Костных деструктивных изменений не выявлено. Антрум и барабанные полости с обеих сторон пневматизированы. Слуховые косточки прослеживаются четко. Улитки без особенностей (рис. 1).
В условиях операционной под внутривенным наркозом при отомикроскопическом контроле удалено образование наружного слухового прохода справа. Материал направлен на гистологическое исследование.
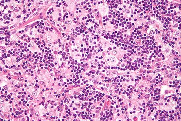
По результатам патоморфологического исследования: гистологическая картина лангергансоклеточного гистиоцитоза.
Девочка консультирована детским онкологом. Рекомендован пересмотр блоков и стекол с выполнением иммуногистохимического исследования материала в НМИЦ ДГОИ им. Д. Рогачева.
Катамнез: по результатам гистологического и иммуногистохимического исследования в НМИЦ ДГОИ им. Д. Рогачева диагноз подтвержден. После выписки из ЛОР-отделения ДГМКЦ ВМТ им. К.А. Раухфуса девочка прошла обследование у онколога, другие очаги не выявлены. Системная терапия онкологом не назначалась. В течение года 1 раз в 3 мес. консультируется онкологом, оториноларингологом, ребенку проводится отомикроскопия — отмечается стойкая ремиссия.
Заключение
Описание данного клинического случая преследует цель обратить внимание на особенности течения рецидивирующих наружных и средних отитов у грудных детей, т. к. за маской данных заболеваний может скрываться гистиоцитоз.
Список литературы Свернуть Развернуть
Контент доступен под лицензией Creative Commons «Attribution» («Атрибуция») 4.0 Всемирная.
Гистиоцитоз Х

Лангерганс-клеточный гистиоцитоз лёгких (гистиоцитоз легких) относится к редким формам заболеваний, характеризующихся пролиферацией в органах и тканях клеток Лангерганса. В зависимости от преимущественной локализации (кожа, костная ткань, легкие, печень, гипофиз, лимфатические узлы) изменений выделяют несколько вариантов гранулематоза из клеток Лангерганса (Летерера-Сиве; Хенда-Шюллера-Крисчена; локальная эозинофильная гранулема).
Представления о гистиоцитозе X как самостоятельной нозологической форме начали формироваться в 1921 г., когда A. Hand обобщил свои наблюдения и наблюдения A. Schuller и Н.А. Christian больных с гепатоспленомегалией, лимфаденопатией, очаговыми поражениями костей с полиурией и экзофтальмом. Локализованный вариант гистиоцитоза, характеризующийся образованием гранулём из клеток Лангерганса в костях, был впервые описан в 1913 г. Н.И. Таратыновым. Заболевание часто протекает бессимптомно. Разрушение костной ткани может приводить к часто рецидивирующим переломам. В 1953 г. L. Lichtenstein объединил все наблюдавшиеся варианты в одно заболевание, предложив термин «гистиоцитоз X».
Эпидемиология и этиология
Гистиоцитоз чаще встречается у лиц молодого и среднего возраста. Распространённость у мужчин составляет 0,27 на 100 000 населения; у женщин это заболевание встречается в 4 раза реже. В основе патогенеза лежат разнообразные изменения клеток иммунной системы. Подавляющее большинство больных гистиоцитозом X — злостные курильщики. Среди пациентов, страдающих изолированным Лангерганс-клеточным гистиоцитозом лёгких, курящие составляют 96,5%. Большее значение имеет не стаж курения, а количество сигарет, выкуриваемых за сутки.
Клиническая картина
Начало заболевания обычно отмечается в возрасте 20-40 лет. Ведущими признаками являются сочетание респираторных (легочных) симптомов с лихорадкой и потерей веса, спонтанными пневмотораксами, диффузными инфильтративными изменениями на рентгенограммах. Симптомы заболевания могут быть представлены в различной степени. В 15% случаев заболевание протекает стёрто. У большинства (до 70%) больных наблюдается непродуктивный кашель, одышка (в 40%). Кроме того характерны боли в грудной клетке, в том числе вследствие поражения плевры (в 20%). Треть пациентов предъявляет жалобы на выраженную слабость, потерю массы тела, лихорадку. Поражение лёгких сочетается с изменениями в других органах, включая гипоталамус и гипофиз, что приводит к развитию несахарного диабета; наблюдаются поражения опорно-двигательного аппарата в виде участков деструкции костной ткани; изменений на коже; отмечаются шейная лимфаденопатия; увеличение щитовидной железы; гепатоспленомегалия.
Осложнения
Наиболее высок риск пневмоторакса. Спонтанный пневмоторакс считается типичным проявлением гистиоцитоза и регистрируется у 15-25% больных, у 10-15% он наблюдается уже в начале болезни, а у 20-25% спонтанный пневмоторакс и плевральные боли рецидивируют на всём протяжении болезни. Кровохарканье встречается у 13% больных. Лёгочная гипертензия также является одним из наиболее частых осложнений.
Инструментальная диагностика
КТ (МСКТ) и биопсия лёгкого являются обязательной частью обследования больных с подозрением на гистиоцитоз.
- Рентгенографические изменения в лёгких неспецифичны.
- КТ (МСКТ) позволяет с большей вероятностью подтвердить диагноз и даже выделить признаки, имеющие дифференциально диагностическое значение.
- Для выявления внелёгочных костных поражений используется рентгенография и сцинтиграфия костей. МРТ позволяет подтвердить вовлечение костей и внутренних органов более чем у половины больных, тогда как сцинтиграфия — у 38%, а рентгенологическое исследование — у 25% . Развитие несахарного диабета, проявляющегося выраженными полиурией и полидипсией (сильнейшая жажда), связано с недостаточной секрецией аргинин-вазопрессина вследствие инфильтрации клетками Лангерганса гипоталамических и/или гипофизарных структур. Диагноз подтверждают с помощью МРТ.
- Морфологическое подтверждение диагноза включает выявление клеток Лангерганса в смыве бронхиально-альвеолярного лаважа, а также в участках лёгочной ткани, полученной при биопсии.
- При исследовании функции внешнего дыхания у большинства больных отмечаются рестриктивные изменения со снижением общей ёмкости лёгких и показателей эластичности. Уменьшение диффузионной способности лёгких отмечается у большинства больных и усиливается в условиях нагрузки.
Прогноз и профилактика
Средняя продолжительность болезни достигает 10-12 лет. Причинами смерти становятся дыхательная недостаточность, лёгочная гипертензия, опухоли (гемобластозы, рак лёгкого). Лёгочная гипертензия считается ведущим фактором риска неблагоприятного прогноза. Вовлечение плевры, несахарный диабет также рассматривают как маркёр неблагоприятного прогноза. Своевременный отказ от курения позволяет смягчить течение болезни и является первоочередной задачей.
Гистиоцитоз Лангерганса
| Рубрика | Медицина |
| Вид | презентация |
| Язык | русский |
| Дата добавления | 07.01.2015 |
| Размер файла | 188,9 K |
Студенты, аспиранты, молодые ученые, использующие базу знаний в своей учебе и работе, будут вам очень благодарны.
HTML-версии работы пока нет.
Cкачать архив работы можно перейдя по ссылке, которая находятся ниже.
Этиология и патогенез атеросклероза, его клиническое протекание, особенности лечения. Основные признаки ишемической болезни сердца. Классификация разновидностей болезни. Стенокардия как самая легкая форма ИБС. Симптомы заболевания, препараты и лечение.
презентация [728,6 K], добавлен 01.04.2011
презентация [1,9 M], добавлен 03.12.2015
презентация [42,8 K], добавлен 20.10.2014
реферат [19,5 K], добавлен 01.11.2003
презентация [285,6 K], добавлен 12.06.2014
презентация [133,6 K], добавлен 12.11.2014
Легочный лангергансоклеточный гистиоцитоз
(эозинофильная гранулема, легочный гранулематоз X, легочный лангергансоклеточный гранулематоз, гистиоцитоз X)
, MD, MAS, University of Colorado School of Medicine
Легочный лангергансоклеточный гранулематоз (ЛЛКГ) представляет собой пролиферацию моноклональных клеток Ларгенганса в интерстиции и воздушных пространствах легкого. Этиология заболевания неизвестна, курение имеет первостепенное значение. Проявлениями являются одышка, кашель, усталость и плевритическая боль. Диагноз основывается на данных анамнеза и лучевых исследований, в некоторых случаях выполняется бронхоальвеолярный лаваж и биопсия. Лечение предполагает прекращение курения. Во многих случаях назначают кортикостероиды, но их эффективность неизвестна. Трансплантация легкого, как правило, эффективна, если сочетается с отказом от курения. Пятилетняя выживаемость составляет около 74%. Пациенты имеют повышенный риск развития рака.
Лангергансоклеточный гистиоцитоз - это заболевание, при котором моноклональные CD1а-позитивные клетки Лангерганса (разновидность гистиоцитов) инфильтрируют бронхиолы и интерстиций альвеол, где обнаруживаются в сочетании с лимфоцитами, плазматическими клетками, нейтрофилами и эозинофилами. ЛЛКГ - одно из проявлений гистиоцитоза из клеток Лангерганса Лангергансоклеточный гистиоцитоз Лангергансоклеточный гистиоцитоз (ЛКГ) представляет собой распространение дендритных одноядерных клеток с инфильтрацией в органы, локально или диффузно. Чаще всего наблюдается у детей. Манифестация. Прочитайте дополнительные сведенияЭтиология ЛЛКГ неизвестна, но заболевание встречается почти исключительно у курящих представителей европеоидной расы в возрасте 20-40 лет. Мужчины и женщины заболевают в равной степени. У женщин заболевание развивается позже, но различия по полу для параметру возраста возникновения может отображать различияв курительном поведении. Патофизиологические механизмы включают увеличение и пролиферацию клеток Лангерганса под действием цитокинов и факторов роста, выделяемых альвеолярными макрофагами в ответ на сигаретный дым.
Клинические проявления
Типичными клиническими проявлениями лангергансоклеточного гистиоцитоза являются одышка, непродуктивный кашель, утомляемость, потеря веса и плевритическая боль. У 10 - 25% пациентов развивается внезапный, спонтанный пневмоторакс Пневмоторакс Пневмоторакс - это скопление воздуха в плевральной полости, что приводит к частичному или полному коллапсу легкого. Пневмоторакс может развиваться спонтанно, в результате травм или медицинских. Прочитайте дополнительные сведенияУ приблизительно 15% пациентов заболевание протекает бессимптомно и диагностируется случайно при рентгенографии грудной клетки, назначенной по другой причине.
Читайте также:
- Однорядная реконструкция вращательной манжеты плечевого сустава (методика SpeedFix) при полном разрыве
- Препараты для химиотерапии рака молочной железы и их эффективность
- Показания и методика хирургии по Mohs при раке кожи
- Изменения кожи при заболеваниях щитовидной железы (тиреотоксикозе)
- Потенциал действия сердечной мышцы. Скорость проведения импульса в сердечной мышце
