Причины износа протезов. Износостойкие стоматологические материалы
Добавил пользователь Евгений Кузнецов Обновлено: 21.11.2025
Все пациенты, посещающие стоматологического ортопеда для зубопротезирования, ожидают восстановления жевательной и эстетической функциональности на долгий период. Однако, после 10-15-летней эксплуатации, искусственные зубы часто выходят из строя и требуют замены. При этом части пациентов протезные конструкции служат до 25 лет.
Общие сведения
Все зубные протезы подразделяются на два основных типа:
- Съемные, извлекаемые самостоятельно из ротовой полости. Их устанавливают, как при частичной адентии (отсутствие элементов в зубном ряду), так и при полной. Подобные конструкции не требуют пристального внимания, поскольку для гигиенических процедур их вынимают.
К недостаткам съемных протезов относятся следующие:
- перегрузка десенных тканей;
- выпадение из полости рта. Причина может заключаться в неверно снятых оттисках, неправильном изготовлении, деформации костей челюсти с течением времени.
- Несъемные, устанавливаемые в полости рта статично. К ним относятся следующие изделия:
Перечисленные конструкции не извлекаются для чистки, поскольку их фиксируют на стоматологический клей. Опорой для несъемных протезов служат природные зубы или имплантаты (искусственные корни для установки коронок).
Данный вид протезирования считается надежным и долговечным, и отличается от съемного более высокой стоимостью.

Признаки износа съемных конструкций
Чаще ломаются съемные конструкции, срок службы которых сокращает небрежная эксплуатация и хрупкий материал изготовления. В процессе ношения пациенты роняют протезы, либо при неправильной установке деформируют базис. Поэтому подобные изделия служат от 3 до 7 лет. Скорее остальных элементов изнашиваются мягкие элементы:
- они принимают основную жевательную нагрузку;
- на мягкий акриловый базис негативно воздействуют элементы пищи, ротовые жидкости, никотиновые смолы.
О необходимости замены съемного протеза свидетельствуют следующие признаки:
- Поверхность покрылась трещинами, возникли сколы. Даже если дефекты не мешают пациенту во время разговоры или еды, то конструкция устройства претерпела негативные изменения, отражающиеся на ее функциональности.
- Коронки, базис деформировались. При прогибе нёбного основания, расшатывании и смещении искусственных элементов зубного ряда, протез требует замены.
- Искусственные зубы уменьшились в размерах. Спустя 2-3 года активной эксплуатации коронки начинают истираться. Это приводит к изменению окклюзионной поверхности, деформации прикуса, дисфункции ВНЧС (височно-нижнечелюстного сустава).
Наиболее долговечными считают конструкции с коронками из диоксида циркония. Срок их эксплуатации достигает 15 лет.
Скорее остальных материалов выходят из строя металлопластмассовые изделия, которые в редких случаях носят свыше 3-х лет.
Чаще остальных ломаются акриловые съемные устройства. Несмотря на то, что средний срок их эксплуатации - 3-5 лет, ремонтируют их часто.
Износ несъемных протезов
Профессионально выполненные коронки, мосты, вкладки, виниры из разных материалов прочно крепятся в зубном ряду, не травмируют слизистые полости рта. Средний срок их службы - 20 лет, по истечении которых врачи рекомендуют проводить замену протезов.
На необходимость перепротезирования указывают следующие факторы:
- Конструкция приобрела подвижность. Пациент при разговоре и жевании ощущает шаткость протеза.
- Протезные конструкции, установленные на передних зубах, во фронтальной зоне улыбки, утратили эстетичность, покрылись пятнами, трещинами, на них появились сколы.
- У металлокерамических коронок истерлась окклюзионная поверхность, обнажился металлический каркас.
Помимо перечисленных признаков, поводом для замены несъемного протеза служит убыль десенных тканей в месте установки. В образующемся зазоре скапливаются частицы пищи, создавая благоприятную среду для жизнедеятельности болезнетворных бактерий.
Экстренная замена
Срочная замена протезной конструкции назначается лечащим стоматологом после диагностики следующих патологий:
- появление под коронкой, в области корневой верхушки, новообразования - кисты, гранулемы. В этом случае, вместе с опухолями, удаляют пораженные ткани (корни);
- гальванизм, вызванный ношением металлосодержащих конструкций;
- разрушение твердых и мягких зубных тканей (в т.ч. вследствие кариеса), закрытых коронкой;
- подвижность искусственной коронки, нарушение целостности цементирующего состава;
- появление аллергических реакций, воспалительных процессов в десне.
При поломке протеза не следует его чинить самостоятельно - необходимо обратиться в зуботехническую лабораторию.
Зубные протезы. Съемные, несъемные, материалы цены и отзывы

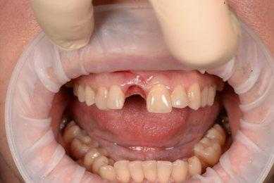
Отсутствие одного или нескольких зубов причиняет дискомфорт человеку. При жевании могут возникать болезненные ощущения, а при серьезных масштабах проблемы из рациона и вовсе приходится исключать некоторые продукты, так как их сложно или невозможно пережевать. Подобное явление влечет за собой развитие болезней желудочно-кишечного тракта и других систем. Не стоит забывать и об эстетической стороне. Отсутствие зубов, особенно спереди, способствует появлению комплексов. Человек стесняется себя, перестает улыбаться, а порой даже ограничивает круг общения с людьми. Современная стоматология использует различные методики протезирования зубов, поэтому восстановление зубного ряда не является серьезной проблемой.
Для восстановления функциональности зубочелюстного аппарата применяются разные методики протезирования. Протезы классифицируются на несколько категорий:
- съемные;
- частично съемные;
- несъемные.
Каждый вид имеет свои особенности, показания для использования, преимущества и недостатки.

Съемные зубные протезы
Главная особенность съемных зубных протезов - возможность самостоятельного извлечения. Показаниями для их использования является полная адентия. Обычно применяются для пожилых людей. Могут отличаться конструктивными особенностями.
Для изготовления обычно применяется нейлон или акрил (пластик). Съемный протез состоит из нескольких основных элементов:
- основы, изготавливаемой из гибкого и пластичного материала;
- искусственных зубов из прочного пластика или фарфора.


Главный плюс съемных протезов в том, что они позволяют вернуть функциональность зубочелюстного аппарата и красивую улыбку при отсутствии зубного ряда, если имплантация недоступна из-за противопоказаний или недостатка финансовых средств (процедура стоит в разы дороже).
Основной недостаток - особый уход. Съемные протезы нужно снимать каждый вечер, чистить и дезинфицировать при помощи специальных растворов. Обладают они и другими недостатками:
- Плохо фиксируются во рту. Могут выпасть в самый неподходящий момент. Это вызывает некий психологический дискомфорт у пациента.
- Период адаптации длительный и сложный. Искусственные зубные конструкции могут натирать, раздражать слизистую или вызывать дискомфорт.
- При длительном ношении могут вызвать атрофию костной ткани. При жевании вся нагрузка передается на десны, поэтому кости начинают проседать.
- Изготавливаются из гибких материалов, быстро изнашиваются. Обычно служат не более 5-7 лет. В редких случаях срок службы составляет 10 лет.

Частично съемные зубные протезы
Частично съемные зубные протезы во многом схожи со съемными конструкциями, но используются при частичной адентии. Если имеется хотя бы несколько здоровых зубов, изготавливают частично съемные протезы. Главное их отличие - наличие специальных замков или кламмеров. Обычно изготавливают их из металлической проволоки, реже - из пластика. Замки обхватывают оставшиеся зубы и тем самым удерживают протез в ротовой полости. Существует несколько вариантов конструктивного исполнения.
Как и съемные протезы, частично съемные конструкции являются альтернативой имплантации. Главный плюс - доступная цена. Минусы следующие:
- дискомфорт при ношении;
- изменение дикции;
- изменение вкусовых качеств;
- необходимость проведения дезинфекции и др.

Как ухаживать за съемными и частично съемными протезами?
Чтобы протезы служили долго и не теряли привлекательный вид, нужно придерживаться нескольких правил ухода за ними:
- После каждого приема пищи нужно снимать конструкцию и промывать чистой водой. Если используется специальный крем, тогда достаточно промывать один раз в сутки.
- Чистить искусственные зубы нужно щеткой с мягкой щетиной и специальными гелями, которые не содержат абразива. Применение жестких щеток и обычных зубных паст под запретом. От них протез может потемнеть и потерять привлекательный вид.
- Периодически нужно делать дезинфекцию при помощи специальных таблеток или ультразвуковой ванночки.
- Хранить протез следует в воде или специальном растворе, который можно купить в аптеке.


Несъемные зубные протезы
Самостоятельно снять несъемные зубные протезы невозможно. Сделать это может только врач при помощи профессионального инструмента. Протез надежно фиксируются при помощи специальной цементной смеси.
Применяются несъемные протезы в следующих случаях:
- при отсутствии 1-2 зубов;
- при наличии скола, трещины или другого дефекта;
- при сильном повреждении зуба кариесом;
- при необходимости корректировки формы или цвета зубов;
- при повышенном истирании эмали.


Существуют различные виды несъемных зубных конструкций:
- импланты;
- коронки;
- виниры;
- вкладки;
- мосты;
- микропротезы;
- люминиры.
В зависимости от состояния зубного ряда и желаемого результата врач подбирает подходящую конструкцию. Установке предшествует подготовка. Она включает удаление зубного камня, лечение кариеса, воспалений десен, устранение очагов инфекции и других заболеваний ротовой полости. Такой подход позволяет исключить риск возникновения воспаления во время проведения процедуры.

Несъемные ортопедические конструкции обладают многими преимуществами:
- имеют привлекательный внешний вид, обычно не отличаются от родных зубов (если процедуру выполнял опытный врач);
- способны выдерживать большие жевательные нагрузки;
- имеют длительный срок службы - от 7 до 20 лет в зависимости от используемого материала;
- минимальный реабилитационный период или полное его отсутствие;
- позволяют приобрести красивую улыбку при наличии видимых дефектов;
- не вызывают атрофию костной ткани;
- не нуждаются в специальном уходе, достаточно соблюдать привычные правила гигиены за ротовой полостью.


Не лишены они и недостатков:
- при установке могут повредиться мягкие ткани десен;
- иногда требуется обточка здоровых зубов, что может вызвать повышенную чувствительность к горячему, холодному или кислому;
- довольно высокая цена по сравнению со съемными конструкциями.
Иногда металл, который применяется для каркаса или основания, вызывает аллергические реакции.
Технологическая классификация видов зубных протезов
В современной стоматологии применяются различные виды протезов в зависимости от технологической классификации, которые между собой существенно отличаются конструктивными особенностями. Применяемые технологии позволяют решить проблему отсутствия зубов вне зависимости от масштабности проблемы. При выборе следует руководствоваться несколькими критериями, в частности отсутствием противопоказаний, финансовыми возможностями, личными предпочтения. Важно прислушиваться и к рекомендациям врача, который подберете конструкцию в зависимости от индивидуальных особенностей проблемы и других нюансов.
Протезирование зубов по площади покрытия
В зависимости от площади покрытия протезы можно разделить на несколько видов:
- Полный протез челюсти. Вставные челюсти обычно используются при полном отсутствии зубного ряда. Фиксируются такие конструкции на десны и часть неба или подъязычную область в зависимости от расположения протеза (сверху или снизу).
- Частичный протез. Применяется при удачном сохранении хотя бы нескольких собственных зубов. Они служат опорой при установке ортопедической конструкции. Применение протеза позволяет равномерно распределить нагрузку при жевании и тем самым обеспечить комфорт во время употребления пищи и сохранение здоровых зубов.
- Одиночные протезы. Используются для замены утраченного зуба. Некоторые конструкции этого типа применяются для создания красивой улыбки и устранения различных дефектов.
- Микропротезы (виниры, вкладыши). Используются при частичном повреждении зуба (при сильном кариесе или других заболеваниях).


Какие материалы применяются в зубном протезировании?
Для изготовления ортопедических конструкций используются безопасные материалы, которые не вызывают аллергических реакций. Для съемных протезов обычно применяются следующие материалы:
- Акрил. Не имеет противопоказаний. Акриловые конструкции недорого стоят, поэтому пользуются большим спросом. Они легкие и удобные в ношении.
- Акри-фри. Полупрозрачный материал, в состав которого входят акриловые смолы, используется для изготовления съемных протезов нового поколения. Не вызывает аллергических реакций, отличается гибкостью и редко провоцирует появление раздражений. Материал обладает высокой прочностью, при этом изготовленные из него протезы эстетичны.
- Нейлон. К преимуществам этого материала стоит отнести высокую прочность и гибкость. Протезы из него служат дольше акриловых, хотя стоят дороже.


Для коронок и мостовидных конструкций используются следующие материалы:
- Металлокерамика. Комбинация из двух материалов - металла и керамики. Металл применяется для изготовления основания. Керамика используется для облицовки. Популярный вариант в зубопротезировании, так как имеет приемлемую цену и эстетичный внешний вид, отличается прочностью и длительным сроком службы.
- Керамика. Отличается от предыдущего варианта отсутствием металлического каркаса. Вся конструкция изготавливается только из керамики. Может применяться фарфор или диоксид циркония. Используется этот прочный материал для накладок и виниров.
- Металл. Сейчас редко металл в чистом виде используется в зубопротезировании, несмотря на высокую прочность. Главный недостаток - заметность. Чаще всего применяется золото, так как оно не вызывает аллергических реакций.
- Металлопластмасса. Имеет металлический каркас и облицовку из пластика. Материал имеет неплохие эстетические характеристики, но из-за недостаточной прочности быстро теряет привлекательный вид и функциональность из-за нагрузок. Чаще применяется при установке временных протезов. Важный плюс - низкая цена.


При выборе материала стоит учитывать финансовые возможности, наличие противопоказаний и рекомендации врача.
Стоматология «Имплант эксперт» предоставляет широкий спектр услуг по зубопротезированию. Вы можете записаться на консультацию к доктору, чтобы узнать о стоимости услуги, сроках изготовления протезах и других важных нюансах.
Пластиночный зубной протез
Это одна из самых простых и распространенных технологий изготовления съемных протезов. Конструкция представляет собой основу, которая крепится к десне при помощи специальных присосок. Они и удерживают вставную челюсть на месте. Для искусственных зубов могут использоваться различные материалы, но чаще всего это пластик или фарфор.
Может устанавливаться в день обращения к стоматологу. Изготавливается по слепку. Обычно применяется при полной адентии. Если осталось несколько здоровых зубов, тогда под них делают в конструкции отверстия.
Пластиночные протезы стоят недорого, но при этом имеют много недостатков. При ношении они вызывают дискомфорт. Могут возникать проблемы с дикцией, да и вкусовое восприятие сильно меняется. Могут выпадать из-за ненадежной фиксации. Для решения этой проблемы применяются специальные кремы, например, Корега. Их применение довольно простое:
Можно ли починить зубные протезы, если они сломаются?

Зубные протезы часто ломаются. Износ - обычная причина, особенно для полных съемных протезов. Простой процесс ежедневного жевания может привести к поломке. Выскальзывание из рук во время чистки является самой частой причиной обращения к зубному технику в первый год использования протеза. Когда это происходит, первое, что хотят знать владельцы, - можно ли их починить. Если нет, нужно ли делать новый протез из того же материала или выбрать другой, проходить ли процедуру снятия слепков еще раз?
Хорошей новостью является то, что в большинстве случаев стоматологи могут починить зубные протезы. Только в крайних случаях пациенту нужно обращаться для изготовления нового изделия.
Что чаще ломается в зубных протезах?
Помимо обычного износа, есть и другие причины, по которым съемные протезы нельзя продолжать использовать. Воздействие экстремально высоких температур, от горячей пищи до холодных напитков, может ослабить протез. То же самое можно сказать и о некоторых кислых продуктах. Любой элемент конструкции может сломаться во время жевания, если будет избыточное давление или попадется твердая частичка на зубы. Стоит помнить, что каждый отдельный материал по разному реагирует на некоторые вещества. Поэтому нужно тщательно подбирать продукты и средства гигиены.
Потеря костной массы в области альвеолярного гребня становится причиной перелома базиса. Так как процесс убыли объема кости происходит неравномерно, образуются области ее проседания. В этих местах у протеза нет поддержки, что приводит к поломке. Челюстная дуга со временем меняет форму, часто становясь меньше, что может привести к неправильной посадке. Это приводит к проблемам с потерей стабильности, которые могут выступать в качестве катализатора переломов.

При падении у протеза может треснуть корпус или отколоться часть базиса или искусственных зубов. Для частичных протезов характерно изнашивание и повреждение креплений. Нередко протезы состоят из нескольких элементов, изготовленных из разных материалов. Ослабление их соединения приводит к поломке.
Ремонт зубных протезов и его особенности
Зубные протезы позволяют восстановить привлекательность улыбки и функциональность зубного ряда. Однако на конструкции пожизненной гарантии не существует, так как они подвержены различным поломкам, которые могут вызывать серьезные осложнений, испортить внешний вид. Разрушению наиболее часто подвергаются съемные аппараты, реже несъемные. Поэтому в процессе эксплуатации часто необходим ремонт зубных протезов. Производятся такие работы в условиях зуботехнической лаборатории.

- Причины неисправностей
- Как понять, что нужен ремонт?
- Что делать при поломке?
- Как производится ремонт?
- Гарантии
- Самостоятельная реконструкция?
Причины неисправностей
Основной первопричиной выхода из строя протеза является падение. Удар о твердую плоскость съемного аппарата, например, во время чистки или падение самого человека, во время которого наибольшее воздействие приходится на челюстной отдел.
Материал
Растрескивание материалов в процессе носки - вторая источник поломки протезов, изготовленных из пластмасс горячего или холодного отвердевания. Их особенностью является хорошая переносимость, способность сохранять первоначальные качества, пищевая нейтральность.
Использование сырья низкого качества приводит к образованию дефектов, которые необходимо скрыть в процессе изготовления. Это в дальнейшем становится причиной скорой поломки и ремонта.

Ошибки врача
Стоматолог-ортодонт в своей работе может допустить ошибку, что в будущем становится основанием ремонта. Распространенными оплошностями становится:
- проникновение слюнного секрета при оттиске челюсти, которая влияет на будущее качество изделия;
- обрывочное комплектование отпечатка из формовочного сырья;
- некачественная обработка материалов, их соединений друг с другом;
- погрешность при креплении;
- тотальное или неполное несовпадение протеза с десневым гребнем в дальнейшем приводит к повышению давления, быстрому разрушению.
- нарушение сборки, фиксации.
Ошибки при изготовлении
Ортопедические устройства создаются зубным техником, поэтому большую роль играет человеческий фактор - возможны ошибки на любой стадии - от создания формы до шлифовки.
Ремонт потребуется в результате ошибок на стадии:
- формования пластической массы, ее доводки;
- конструирования при недостаточном или неравномерном прилегании матрицы к зубному ряду;
- изготовления при несоблюдении температурного баланса.
Как понять, что нужен ремонт?
Отсутствие ремонта может привести к следующим последствиям:
- повреждение слизистых оболочек ротовой полости;
- удушье при проглатывании отломленных осколков;
- дурной аромат изо рта при скапливании еды, бактерий в трещинах.

Ремонт понадобится в случаях:
- образования трещины, которая при отсутствии ремонта приводит к полному разрушению конструкции и необходимости ее замены;
- сколов, разлома, отсоединения всего или части протеза, которые царапают слизистые, а небольшие осколки могут закупорить дыхательные пути;
- неисправности крепления, что приводит к выпадению протеза;
- образования зазоров между протезом и десневым валом, что требует перебазировки для восстановления плотного прилегания, так как нарушает артикуляцию, жевательную функцию, деформирует окклюзию.
Также обратиться к ортодонту следует при возникновении дискомфорта, боли в ротовой полости, изменении оттенка протеза.
Что делать при поломке?
Как производится ремонт?

Метод ремонта зависит от уровня разрушений и производится путем:
- адгезии и доводки;
- ликвидации конструктивных неисправностей;
- сложных работ с реставрацией испорченных звеньев.
Бюгельный протез
Данный вид подвержен деструктивным трансформациям в силу их характеристик и непродолжительного срока носки. Ремонт производится следующими способами:
- разлом каркаса путем его переделки;
- деструкция базиса реабилитируется при помощи перебазировки;
- разрушение кламмера можно устранить только заменой плеча;
- порча дуги не подлежит ремонту;
- трещины, выпавшие зубы, повреждения защелки или втулки восстанавливаются в один визит при пациенте.

Основной причиной разрушения протеза становится пренебрежение уходовыми процедурами или перебазировкой, большая нагрузка во время жевания, которая вызывает напряжение в материале и разрушает составляющие.
Нейлоновые конструкции
Пластичность конструкций позволяет предупредить порчу во время использования. За ремонтом пациенты обращаются редко. Из доли обратившихся чаще проводится коррекция царапин, которые связаны с недостаточным уходом. Реже обращаются за реконструкцией отдельных деталей и зубов, перебазировкой.
Коронки
Современные искусственные коронки отличаются прочностью, длительным сроком носки. Однако есть множество случаев откола части при раскусывании сверхпрочных предметов или падении на твердую плоскость. В этих случаях ремонт производится путем приклеивания отпавшей части или наращивания композитами недостающего фрагмента.
При растрескивании ремонт проводится путем послойной интерференции композитных материалов или крепления виниров, люминиров.
При разрешении основания, фиксирующего цемента или глубоких трещин производится замена испорченной коронки на новую, так как ремонт невозможен.

Мосты
У мостовидных протезов ломаются замки, которыми крепится адгезивная конструкция. Заменить их просто - доктор делает это в течение нескольких минут. При разрушении коронки назначается ремонт путем наращивания недостающего элемента или заменой зуба.
При ухудшении состояния опорных единиц конфигурация подлежит замене, что связано с восстановлением костяка или выбором нового способа протезирования.
Ремонт зубных протезов: что делать в случае поломки?

Зубные протезы - довольно прочные конструкции, но рано или поздно ежедневные жевательные нагрузки или отсутствие должного ухода приводят к потемнению, образованию трещин, сколов или перебазировке протезов с образованием щелей между зубами или деснами. Как быть в таких случаях? Куда и к кому обращаться для устранения подобных неполадок? И стоит ли чинить протез своими руками? Ответы на все эти вопросы вы найдете в нашей статье.
Содержание статьи
- В чем заключается ремонт зубных протезов?
- Основные причины поломки протезов
- Когда требуется ремонт протезов?
- Виды и длительность ремонта стоматологических протезов
- Особенности ремонта съемных протезов
- Как ремонтируют несъемные зубные протезы?
- Особенности ремонта зубных протезов из различных материалов
- Возможен ли ремонт зубных протезов в домашних условиях?
- Временное решение проблемы
- Сколько стоит ремонт съемных зубных протезов?
В чем заключается ремонт зубных протезов?
Ремонт зубных протезов - это техническая процедура восстановления внешнего вида, целостности и функциональности протезов, которую проводят в стоматологических клиниках или зуботехнических лабораториях. Даже наиболее качественные и дорогостоящие изделия могут выйти из строя по ряду причин. Разумеется, в таких случаях необходима максимально быстрая их починка, так как не все пациенты держат запасной протез на случай поломки основного. К счастью, сегодня многие клиники предоставляют услугу срочного ремонта зубных протезов.
По данным статистики, современные протезы в 10% случаев ломаются в первый же год использования. Между тем в мире каждый второй человек старше 35 лет носит зубные протезы, поскольку в период с 35 до 45 лет 68% людей теряют как минимум один зуб.
Основные причины поломки протезов
Часто зубные протезы внезапно ломаются. Причин поломки может быть множество, вот список самых распространенных из них.
- Наличие изначального дефекта конструкции, допущенного при изготовлении.
- Нарушения технологии установки протеза.
- Некачественный уход за протезом.
- Чрезмерная жевательная нагрузка на протез.
- Травма пациента.
- Падение протеза на твердую поверхность.
- Некачественный материал, из которого изготовлен протез.
- Структурные изменения в опорных зубах (расшатывание, разрушение).
Когда требуется ремонт протезов?
Трещины
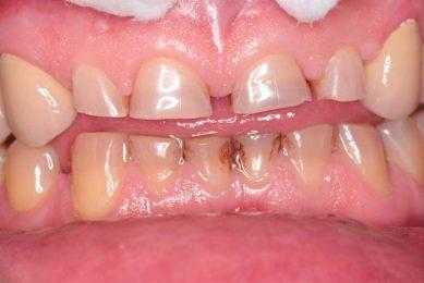
Наиболее частые обращения за срочным ремонтом протеза связаны с трещинами в конструкции. Поэтому есть смысл безотлагательно обратиться к врачу, чтобы избежать наихудшего варианта дальнейшего развития событий, когда изделие раскалывается на несколько частей. Это нередко происходит, например, со съемными пластмассовыми протезами.
Сколы и разломы
За ремонтом протеза в стоматологию нередко обращаются пациенты со сколами на искусственных коронках. И это абсолютно правильно! Острые края сломанных коронок могут травмировать ротовую полость, поэтому испорченный протез точно нуждается в срочном ремонте. Также следует обратиться в клинику, если от металлокерамической коронки откололся фрагмент внешнего слоя. Подобный ремонт не займет много времени, и врач, скорее всего, отреставрирует поврежденную коронку с помощью композитных материалов. Однако в ряде случаев искусственная коронка может и вовсе выпасть из основы.
Повреждения креплений
Также поломкам подвержены крепления различных видов протезов: кламмеры, замки или элементы телескопической фиксации.
Необходимость в перебазировке
Перебазировку протеза проводят в случаях, когда между основой протеза и деснами или зубами пациента образуется небольшие зазоры или щели, мешающие плотному прилеганию. Эта проблема может стать причиной изменения дикции, нарушения прикуса и травмирования мягких тканей, поэтому ремонт зубного протеза в стоматологии нужно провести как можно раньше.

Виды и длительность ремонта стоматологических протезов
Срочный ремонт съемных зубных протезов иногда не требует серьезных вмешательств и его проводят непосредственно в присутствии пациента. Обычно это касается ремонта акриловых зубных протезов или изделий Акри Фри, восстанавливать которые проще всего. Если же конструкция имеет металлические элементы, то на процедуру понадобится гораздо больше времени. Например, на ремонт металлокерамических зубных протезов может уйти более суток.
Традиционно стоматологии, зуботехнические лаборатории и мастерские по ремонту зубных протезов предоставляют следующий спектр услуг, направленных на устранение поломки ортопедических конструкций.
| Вид ремонта | Длительность |
| Ремонт трещин в зубных протезах | 1 - 2 часа |
| Починка перелома изделия | 1- 2 часа |
| Перебазировка протеза | 1 - 2 часа |
| Приварка искусственных коронок к основе | 1 - 5 часов |
| Приварка кламмера к съемному протезу | 1 - 5 часов |
| Ремонт нейлоновых зубных протезов | до суток |
| Ремонт зубных протезов из металлокерамики | 1 - 2 часа |
Для качественной починки и точности восстановления протеза перед ремонтом обязательно нужно посетить стоматолога-ортопеда.
Особенности ремонта съемных протезов
Съемные протезы состоят из основы, выполненной из силикона, нейлона, или акриловой пластмассы, и непосредственно искусственных коронок (пластмассовых, металлокерамических или керамических). Таким образом, особенностью ремонта съемных зубных протезов является то, что их основа представляет собой монолитную конструкцию и починить ее достаточно сложно. Что касается самих искусственных коронок, то они крепятся путем впаивания и поэтому их можно заменить достаточно легко и быстро. При отслоении или сколе искусственной эмали, как правило, ее восстанавливают композитными материалами.
Наиболее сложным среди съемных конструкций считается ремонт бюгельных зубных протезов, так как в них достаточно много литых металлических элементов. Например, если отломилось литое плечо кламмера, то его придется заменить аналогичным гнутым элементом. Однако важно отметить, что при переломе дуги конструкции ремонт бюгельного протеза невозможен.

Как ремонтируют несъемные зубные протезы?
К несъемным протезам относят следующие ортопедические конструкции:
- виниры, вкладки, коронки;
- мостовидные протезы;
- адгезивные мостовидные протезы;
- несъемные протезы на имплантатах.
Для коронок, вкладок и виниров характерны повреждения только в виде трещин, сколов, которые ликвидируют послойным наложением композитного материала. Также возможны изменения оттенка, корректируемые в ходе профессиональной чистки в условиях лаборатории.
У мостовидных протезов добавляются проблемы, характерные и для съемных изделий: потеря одной коронки в ряду, повреждение креплений, разрушение опорных зубов. Треснувшие, деформированные основы мостовидных протезов из кобальт-хрома сваривают специальным оборудованием. Если срочный ремонт съемных протезов может занимать 1 - 2 часа, то в случае с несъемными изделиями из-за их технической сложности он нередко затягивается на 1 - 2 дня.
Особенности ремонта зубных протезов из различных материалов
| Вид ремонта | Особенности |
| Ремонт акриловых протезов | Акрил отличается хрупкостью, так что данные изделия ломаются часто. При поломках основу склеивают самотвердеющими стоматологическими смолами. |
| Ремонт нейлоновых протезов | Нейлон чрезвычайно гибок и эластичен, поэтому повреждения основы редки. Чаще всего возникают сколы и трещины коронок, которые ремонтируют специальными клеями и смолами. |
| Ремонт металлокерамических протезов | В целом — это наиболее надежные протезы. У них возможны сколы керамического покрытия, обнажающие неэстетичный металл. В таких ситуациях поврежденное место обрабатывают веществом с повышенной адгезией, а затем в несколько слоев наносят керамический композитный материал. |
| Ремонт пластмассовых зубных протезов | Наряду с акрилом пластмасса достаточно хрупкая и недолговечная. Поэтому данные протезы подвержены всем видам поломок. |
| Ремонт протезов «Акри Фри» | Материал этих протезов прочнее акрила и нейлона, поэтому основа редко подвергается поломкам, а реставрация, чистка и полировка коронок проходят очень быстро. |
Возможен ли ремонт зубных протезов в домашних условиях?
Многие пациенты считают, что можно осуществить ремонт зубных протезов своими руками, так как ничего сложного в этом, на первый взгляд, нет. Однако на самом деле, устраняя поломку протеза самостоятельно при помощи подручных средств, вы рискуете здоровьем. Почему?
- Во-первых, в клиниках, мастерских и лабораториях применяют гипоаллергенные вещества, смолы и клей для ремонта зубных протезов. Их специально разработали для безопасного использования в ротовой полости, и они не вызывают раздражения тканей. А вот абсолютное большинство бытовых клеев — токсичны.
- Во-вторых, непрофессиональное вмешательство может привести к изменению формы конструкции протеза, после чего его будет некомфортно носить. Причем даже ремонт трещины в зубном протезе дома может привести к проблемам с прикусом, дикцией, натиранию десен или расшатыванию опорных зубов.
- В-третьих, ряд ремонтных работ может проводиться лишь квалифицированным зубным техником. Если от ортопедической конструкции отломилась коронка или откололась ее часть, то точно восстановить ее положение в конструкции протеза самостоятельно и надежно закрепить очень сложно. То же касается и сломавшихся креплений — кламмеров и бюгелей.
Из всего вышесказанного можно сделать вывод, что ремонтировать зубные протезы дома нецелесообразно и даже опасно! Если сломался протез, обращайтесь за помощью только в стоматологию. Ремонт зубного протеза дома может обойтись слишком дорого.

Временное решение проблемы
- Очистите выпавшую коронку от старого цемента или клея, промойте и высушите.
- Нанесите небольшое количество клея на контактную часть коронки.
- Постарайтесь максимально точно установить коронку на ее место.
- Крепко прижмите ее к основе протеза и подержите так 1 - 2 минуты.
- Через 45 - 60 минут проверьте надежность фиксации.
Сколько стоит ремонт съемных зубных протезов?
В московских стоматологиях, зуботехнических лабораториях и мастерских, занимающихся изготовлением и ремонтом зубных протезов, цены ремонта протезов разнообразны. Стоимость услуг по устранению трещин составляет 1 900 - 2 200 рублей. Приваривание выпавшей и сохранившейся коронки — 2 000 - 2 400 рублей. Если же коронка утеряна, то стоимость будет зависеть от ее материала. Наиболее дорогие - керамические и циркониевые. Реставрация первой обойдется в сумму около 5 000 - 6 000 рублей. Цена ремонта съемного протеза из акрила (перелом, припаивание 1 - 2 зубов) - 2 800 - 3 500 рублей. Перебазировка акрилового изделия стоит в среднем 3 500 - 3 700 рублей. Дополнительно за 1 000 рублей вам предложат чистку протеза от зубного камня и полировку.
Читайте также:
- Тошнота. Причины возникновения тошноты. Механизм тошноты. Рвота. Акт рвоты. Причины рвоты. Механизм рвоты.
- Секреторная функция желудка. Желудочный сок. Состав желудочного сока.
- Шилоподъязычный синдром
- Абсцесы легких. Причины абсцесса легких
- Потеря сознания при нарушениях функции сердца. Приступ Адамс—Стокса.
