Причины стеноза позвоночного канала
Добавил пользователь Евгений Кузнецов Обновлено: 31.10.2025
Спинальный стеноз - сужение свободного пространства в позвоночном канале, которое приводит к давлению на корешки спинного мозга или спинной мозг. Это нарушение обычно вовлекает сужение одной или более из областей позвоночного столба: канал проходящий через центральные отверстия в позвонках (спинномозговой канал) через который проходит спинной мозг и корешки и межпозвонковые отверстия, через которые корешки выходят из позвоночника и иннервируют части тела. Сужение может вовлекать как небольшую часть позвоночника, так и быть на большом протяжении. Давление на нижнюю часть спинного мозга или нервных корешков может привести к появлению болей и нарушений чувствительности в нижних конечностях. При давлении на более высокие отделы спинного мозга (в области шеи) симптоматика может быть как в нижних конечностях, так и в верхних.
Наиболее часто спинальный стеноз встречается в возрасте старше 50 лет, одинаково часто у мужчин и женщин. Однако стеноз может развиться и в более молодом возрасте при наличии врожденной узости спинномозгового канала или наличием травм позвоночника.
Структуры, участвующие в формировании стеноза.
Позвоночник состоит из 26 костей и простирается от черепа до таза.»24 из них называются позвонками. 7 позвонков в шейном отделе, 12 в грудном отделе, 5 поясничных позвонков, крестец состоит из пяти сращенных позвонков и самый нижний отдел копчик состоит и3-5 недоразвитых позвонков. Позвоночник - колонна из 26 костей, которые простираются в линии от основания черепа до таза. Между позвонками располагаются межпозвонковые диски, которые выполняют как связующую, так и амортизационную функцию. Позвоночник является основной опорой для верхней части тела, позволяя человеку стоять, поворачиваться, нагибаться, кроме того позвоночник надежно защищает спинной мозг от повреждений. Наиболее часто при стенозе затрагиваются следующие структуры:
- Межпозвоночные диски — хрящевая ткань с содержанием гелеобразного вещества, располагающиеся межу позвонками и выполняющими амортизационные функции.
- Фасеточные суставы — соединяют дужки позвонков друг с другом (дужки расположены в конце тела позвонка). Эти суставы помогают лучше фиксировать позвонки между собой и позволяют отклоняться туловищу назад.
- Межпозвоночные отверстия - пространство между позвонками, через которые выходят нервные корешки и иннервируют определенные части тела.
- Дуга позвонка — часть позвонка в задней части позвонка, которая участвует в формировании задней стенки спинномозгового канала.
- Связки — эластичные соединительнотканные образования фиксирующие позвонки и не позволяющие позвонкам соскальзывать. Довольно часто в формировании стеноза участвует большая желтая связка, которая протягивается по всему позвоночнику.
- Ножки - часть позвонка формирующие стенки спинномозгового канала.
- Спинной мозг и корешки это продолжение центральной нервной системы, который простирается от головного мозга вниз в поясничный отдел по спинномозговому каналу, который как кожух защищает его. Спинной мозг состоит из нервных клеток, их скоплений. Спинной мозг соединяется со всеми частями тела с помощью 31 пары корешков, которые отходят из спинного мозга и выходят из позвоночника.
- Синовиальные оболочки — тонкие мембраны, которые производит жидкость (синовиальную) необходимую для смазки внутри сустава.
- Позвоночная арка — окружность, состоящая из костной ткани, формирующая канал, через который проходит спинной мозг круг кости вокруг канала, через который проходит спинной мозг.
- Конский хвост (Cauda equina) — пучок корешков, который берет начало в поясничном отделе позвоночника, где заканчивается спинной мозг, и эти корешки обеспечивает иннервацию нижней части туловища.
Причины стеноза

Нормальный позвоночный канал обеспечивает достаточное пространство для спинного мозга и cauda equina. Сужение канала, который происходит при спинальном стенозе, может быть врожденным или приобретенным. У некоторых людей с рождения узкий спинномозговой канал или есть искривление позвоночника, приводящее к давлению на нервы мягкие ткани или связки. При наличии такого заболевания как ахондроплазия происходит неправильное формирование костных тканей позвонков, происходит утолщение, и укорочение ножек позвонков, что приводит к сужению спинномозгового канала.
Из приобретенных причин бывают следующие причины.
Дегенеративные заболевания

Спинальный стеноз чаще всего возникает из-за дегенеративных изменений, происходящих вследствие старения организма. Но дегенеративные изменения могут быть вследствие морфологических изменений или воспалительного процесса. По мере старения организма происходит утолщение связок и их кальцификация (образование депо солей кальция внутри связок). Происходит также разрастания в области позвонков и суставов - эти разрастания называются остеофитами. Когда страдает одна часть позвоночника, то происходит увеличение нагрузки на интактную часть позвоночника. К примеру, при грыже диска происходит компрессия корешка или спинного мозга. Когда появляется гипермобильность сегмента позвоночника капсулы фасеточных суставов утолщаются вследствие усилий по стабилизации сегмента, что также может приводить к образованию остеофитов. Эти остеофиты уменьшают пространство межпозвонковых отверстий и оказывают компрессию на нервные корешки.
Спондилолистез это состояние когда происходит сползание одного позвонка по отношению к другому. Спондилолистез возникает вследствие дегенеративных изменений или травм или крайне редко бывает врожденным. Нарушенная биомеханика позвоночника вследствии листеза может привести к давлению сползшего позвонка и вместе с ним и диска, к давлению на спинной мозг или корешки.

Возрастные дегенеративные изменения в позвоночнике являются наиболее частыми причинами развития спинального стеноза. Нередко причиной стеноза являются две формы артрита (остеоартрит и ревматическим артрит).
Остеоартрит - наиболее распространенная форма артрита и, как правило, встречается у лиц среднего и пожилого возраста. Это - хронический, дегенеративный процесс, в который могут быть вовлечены многие суставы тела. При этом заболевании происходит изнашивание и истончение поверхностного слоя хрящевой ткани суставов и часто происходит избыточные костные разрастания остеофиты и уменьшение функциональности суставов. При вовлечении в процесс фасеточных суставов и дисков возникает состояние, которое называют спондилезом.Спондилез может сопровождаться дегенерацией диска костными разрастаниями, что может приводить как с сужению спинномозгового канала, так и межпозвонковых отверстий.
Ревматоидный артрит — обычно поражает людей в более раннем возрасте, чем остеоартрит и связан с воспалением и утолщением мягких тканей (синовиальных оболочек ) суставов. И хотя ревматоидный артрит не так часто служит причиной появление спинального стеноза, но повреждение связок костей суставов может быть достаточно серьезным и начинается с синовитов. Сегменты с избыточной мобильностью (например, шейный отдел позвоночника) поражаются при ревматоидном артрите, прежде всего.
Другими состояниями не связанными с дегенеративными изменениями в организме являются следующие состояния:
Опухоли позвоночника - избыточный рост тканей, которые могут оказывать непосредственное давление на спинной мозг или сужать спинномозговой канал. Кроме того рост опухолевой ткани может привести к резорбции костной ткани или фрагментации костей.
Травмы, переломы позвонков могут вызвать как сужение канала, кроме того при осложненных переломах может быть воздействие фрагментов кости на спинной мозг или корешки.
Болезнь Пэджета хроническое заболевание костной ткани, проявляющееся неправильным ростом костной ткани, которая становится толстой и хрупкой (что увеличивает риск переломов). В результате возникают боли в суставах артриты. Болезнь может развиваться в любой части туловища, но чаще всего в позвоночнике. Структурные изменения в костной ткани позвоночника могут приводить к сужению спинномозгового канала и вызвать выраженную неврологическую симптоматику.
Флюороз - это чрезмерный уровень содержания фторида в организме. Может возникать вследствии вдыхания индустриальных газов и пыли, приема пищи с большим содержанием фтора или случайным приемом пищи с большим содержанием фтористых инсектицидов. Избыток фтора может привести к уплотнению связок и или размягчению костей и к дегенеративным изменениям, приводящим к спинальному стенозу.
Оссификация задней продольной связки возникает при накоплении кальцинатов в связке, которая тянется вдоль всего позвоночника. Эти кальциевые депозиты фактически превращают ткань связочную в костную. И эти кальциевые депозиты могут оказывать давление на нервы в спинномозговом канале.
Симптомы
Пространство внутри спинномозгового канала может быть сужено и это может протекать бессимптомно. Однако если сужение оказывает давление на спинной мозг, конский хвост cauda equina, или нервные корешки то появляется симптоматика, которая медленно прогрессирует. Шея или поясница могут болеть или не болеть. Чаще, пациенты испытывают онемение, слабость, судороги, или разлитую боль в руках или ногах. Если суженое место оказывает давление на нервный корешок, то пациенты могут испытывать боль иррадиирующую в ногу (пояснично-крестцовый радикулит). Приседание или сгибание позвоночника могут уменьшить болевые проявления (при сгибании происходит увеличение между позвонками в позвоночнике. Поэтому и рекомендуются упражнения на сгибание позвоночника, наравне с упражнениями с отягощением.
У пациентов с более серьезным стенозом могут возникнуть проблемы с кишечником, мочевым пузырем или с функцией нижних конечностей. Например, синдром конского хвоста достаточно редкий, но очень серьезный вид спинального стеноза. Синдром конского хвоста возникает вследствие компрессии на структуры конского хвоста, и симптомы могут включать нарушение контроля над функцией кишечника, мочевого пузыря, эректильные дисфункции или боль, слабость и нарушение чувствительности в нижних конечностях. Синдром конского хвоста - это состояние, требующее экстренной медицинской помощи.
Диагностика
Врач может использовать разные подходы для диагностики спинального стеноза и исключения других заболеваний:
История заболевания — пациент подробно описывает симптомы, наличие в анамнезе травм, имеющихся заболеваний, которые могут быть причиной появления спинального стеноза.
Физическая экспертиза — врач обследует пациента, определяет наличие ограничение движений в конечностях проверяет наличие болей при гиперэкстензии позвоночника, неврологических показателей, таких как чувствительность, мышечная сила в конечностях рефлекторная активность.
Рентгенография рентгеновские лучи позволяют, получит двухмерное изображение позвоночника. Рентгенография может быть назначена как первый метод исследования, особенно помогая диагностировать травмы или опухоли. Рентгенография позволяет визуализировать структуру позвонков конфигурацию суставных поверхностей обнаружить кальцинаты.
МРТ использует мощное магнитное поле, которое, проходя через тело, попадает на сканнер и проходит компьютерную обработку. МРТ позволяет сканнировать срезы тканей, которые потом преобразуются в двух или трехмерное изображение. МРТ особенно актуально для получения информации о состоянии мягких тканей, таких как межпозвонковые диски или связки. Кроме того визуализируются спинной мозг, нервные корешки и окружающие ткани таким образом позволяя диагностировать увеличение тканей дегенерацию или опухоли.
Компьютерная томография (КТ) — рентгеновский луч проходит через ткани под различными углами попадает на сканнер и анализируется компьютером. Также как и МРТ позволяет получить двух-трехмерные изображение тканей послойно. КТ лучше визуализирует костные структуры, но позволяет видеть также и мягкие ткани. КТ позволяет визуализировать спинномозговой канал и структуры окружающие его.
Миелография представляет собой разновидность рентгенографии, но только при миелографии в спинномозговой канал вводится контрастное вещество. Это позволяет визуализировать наличие стеноза опухолей, остеофиты или признаки давления на спинной мозг грыж дисков.
Радиоизотопное сканирование (сцинтиграфия) Введенный в кровь радиоизотоп распределяется избирательно в тканях с повышенным обменом веществ. Этот метод позволяет диагностировать переломы, опухоли, инфекции. Радиоизотопное сканирование проводится для подтверждения диагноза но само в чистом виде не позволяет дифференцировать заболевания.
Лечение стеноза
Консервативные методы лечения
Медикаментозное лечение
НПВС(нестероидные противовоспалительные средства) такие как аспирин, напроксен, ибупрофен, индометацин помогают снизить воспаление и уменьшить отек и боль.
Инъекции кортикостероида в оболочки, покрывающие спинной мозг позволяют уменьшить воспаление и боль в ногах.
Инъекции с анестетиками называемы блокадами позволяют на некоторое время снять боль.
Ограничение двигательной активности в зависимости от заинтересованных нервов.
ЛФК. Физические упражнения подобранные врачом ЛФК помогают увеличить объем движений в позвоночнике, усилить мышцы брюшного пресса и спины, что позволяет стабилизировать позвоночник. В некоторых случаях можно рекомендовать аэробные нагрузки (такие как плавание или езда на велосипеде), но с постепенным увеличением нагрузок.
Корсеты. Возможно, использование корсета на небольшой промежуток времени для фиксации позвоночника и уменьшения болевого синдрома. Как правило, корсеты актуальны у пациентов пожилого возраста со слабыми мышцами брюшного пресса и с дегенеративными изменениями в нескольких отделах позвоночника.
Мануальная терапия этот метод лечения основан на принципе того, что уменьшение объема движений в сегментах позвоночника приводит к ухудшению функций и вызывать боль. Задача манипуляций мануального терапевта восстановить объем движений в позвоночники, снять мышечные блоки. Мануальная терапия также использует тракционные методики (вытяжение позвоночника) для уменьшения компрессии на нервные структуры спинного мозга. Исследование показало, что мануальная терапия также эффективны как и другие консервативные методы лечения при спинальном стенозе.
Иглоукалывание — Этот метод лечения представляет собой стимуляцию определенных участков тела различными методами, чаще всего введением тонких игл, проникающих через кожу. Исследования показали, что помощью иглотерапии удается добиться хороших результатов, особенно при болях в пояснице.
Хирургическое лечение. Во многих случаях состояния, которые привели к стенозу не могут быть устранены консервативными методами лечения, хотя и удается снять болевой синдром с помощью консервативных методов лечения на некоторое время. Поэтому в первую очередь всегда назначается консервативное лечение. Но если есть такие симптомы, как слабость в ногах с нарушением процесса ходьбы, нарушение функции мочевого пузыря и кишечника, то возникает необходимость в экстренном оперативном вмешательстве. Кроме того для выбора в пользу оперативного лечения имеет значение отсутствие эффекта от консервативного лечения. Задачей оперативного лечения является устранение компрессии на спинной мозг и корешки, и удаление избыточных тканей, вызывающих сдавление нервных структур. Наиболее частой операцией является декомпрессионная ламинэктомия, которая проводится как с фиксацией, так и без фиксации позвонков.
Риск и прогноз оперативного лечения
Любое хирургическое вмешательство связано с риском при проведении общего наркоза и риск высокий у пациентов пожилого возраста. Риском самого оперативного вмешательства при спинальном стенозе является возможное повреждение дуральных оболочек, инфекционные осложнения, тромбообразование. Наличие сопутствующей соматической патологии является фактором влияющим на возможность проведения оперативного лечения. Как правило, результатом оперативного лечения является быстрый регресс симптоматики, ввиду того, что устраняются причины давления на нервные структуры. Но в некоторых случаях симптоматика может сохраняться длительное время и после операции. Это обычно бывает в тех случаях, когда в дооперационном периоде была длительная компрессия на нервы или спинной мозг и произошло повреждение самой структуры нервов. Отдаленные результаты оперативного лечения зависят от степени дегенеративных изменений в позвоночнике и полноценности реабилитации.
Использование материалов допускается при указании активной гиперссылки на постоянную страницу статьи.
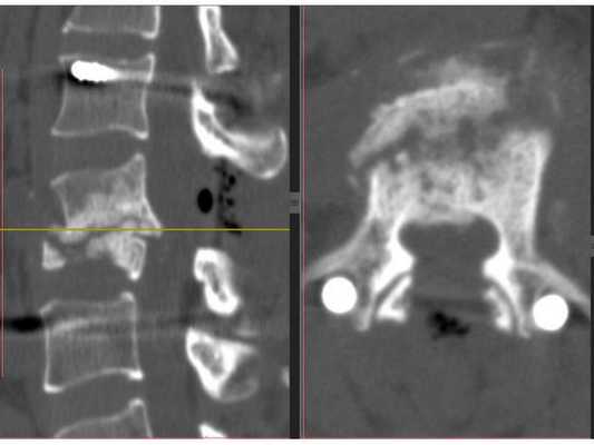
Случай хирургического лечения абсолютного дегенеративного стеноза позвоночного канала в сегменте L4-L5
В феврале 2019 года в нейрохирургическое отделение Дорожной клинической больницы на станции Нижний Новгород поступил пациент с симптомами радикулопатии L5 позвонка справа после продолжительной консервативной терапии для проведения оперативного лечения.
Жалобы
Жаловался на выраженные боли в пояснично-крестцовом отделе позвоночника с иррадиацией по передненаружной поверхности правого бедра и голени, а также на снижение чувствительности тыльной поверхности правой стопы и слабость в правой стопе и большом пальце при тыльном подъёме.
Боль в правой ноге снижается после приёма анальгетиков, усиливается в вертикальном положении, при ходьбе и наклонах вперёд.
Анамнез
Вертеброгенные нарушения беспокоят длительное время. В связи с последним обострением — прострелом и болью в правой ноге — с 19.11.2018 года до момента поступления проходил лечение в поликлинике и в стационаре по месту жительства, но без существенной динамики: болевой синдром уменьшился, отмечаются чувствительные нарушения, снижение силы в правой стопе, вертебральный синдром и нарушение походки из-за болей. По данным МРТ пояснично-крестцового отдела позвоночника (ПКОП) от 23.11.2018 года, наблюдается МР-картина дегенеративно-дистрофических изменений сегментов ПКОП, медиальная грыжа L4-L5 и L5-S1 позвонков, относительный спинальный стеноз позвоночного канала на уровне сегмента L4-L5. Направлен на хирургическое лечение в указанную Дорожную клиническую больницу для оперативного лечения.
Обследование
Соматически здоров. Сознание ясное. Ориентирован в месте, времени и собственной личности. Речь правильная. Зрачки d=s, округлой формы, d = 3 мм, фотореакция средней живости. Ширина глазных щелей в пределах нормы. Движения глазных яблок в полном объёме. Чувствительность в зонах иннервации ветвей тройничного нерва и функция мимических мышц не нарушены. Фонация и глотание в норме. Язык по средней линии. Походка щадящая из-за болей. Сухожильные рефлексы d=s, средней живости. Гипестезия (сниженная чувствительность) в зоне иннерваций L5 корешка справа. Наблюдается корешковый болевой синдром по передненаружной поверхности правого бедра и голени. Симптом Ласега справа при подъёме ноги до угла 45 градусов и выше положителен. Координаторные пробы выполняет удовлетворительно. В позе Ромберга устойчив. Менингеальные симптомы отсутствуют. Отмечается дефанс (напряжение) паравертебральных мышц поясничного отдела.
Функциональная спондилография поясничного отдела от 12.02.2019: остеохондроз II степени; спондилоартроз; нестабильность сегментов на уровне L4-L5 и L5-S1; ретролистез — смещение L5 позвонка назад — I степени. Электронейромиография (ЭНМГ) от 12.02.2019: малоберцовые нервы в норме с обеих сторон; признаки заинтересованности корешков L4-S1 справа. Мультиспиральная компьютерная томография (МСКТ) ПКОП от 13.02.2019: КТ-картина дегенеративно-дистрофических изменений поясничного отдела позвоночника; большая задняя срединная грыжа межпозвонкового диска на уровне L4-L5 позвонков с абсолютным стенозом спинального канала; задние диффузные протрузии дисков L5-S1 и умеренная протрузия уровня L2-L3. МРТ ПКОП от 14.02.2019: МР-картина дегенеративно-дистрофических изменений сегментов ПКОП; задняя медианная экструзия (выбухание) диска L4-L5 с признаками компрессии корешков конского хвоста и вторичного дурального стеноза на уровне L4-L5 на 2/3; протрузии дисков L2-L3 и L5-S1; ретролистез L5 I степени.
Диагноз
Остеохондроз пояснично-крестцового отдела позвоночника. Дискогенная радикулопатия L5 справа, обусловленная секвестрированной парамедианной транслигаментарной грыжей диска L4-L5 с компрессией L5 корешка и абсолютным стенозом позвоночного канала. Выраженный стойкий болевой и миотонический синдром.
Случай оперативной коррекции стеноза позвоночного канала после перенесённого спондилодисцита
При опросе выяснилось, что четыре месяца назад больную срочно прооперировали из-за перфорированной язвы желудка с разлитым гнойным перитонитом. Восстановление после операции осложнилось развитием гнойного пиелонефрита. В таком состоянии пациентку не выписали, ей было назначено длительное антибактериальное лечение. В общей сложности женщина провела в больнице более двух месяцев. По словам пациентки, во время пребывания в стационаре она придерживалась постельного режима и травм не получала, но это утверждение вызывает сомнения. После выписки женщина обратила внимание на слабость в нижних конечностях, но в больницу обратилась, только когда "ноги отказали", в связи с этим и была госпитализирована.
В целом плановые осмотры в поликлинике пациентка не проходит, за медицинской помощью обращается только при острых состояниях.
В неврологическом статусе выявлен умеренный нижний парапарез — непроходимость нервных сигналов и ослабление мышечной активности обеих конечностей. Контроль над тазовыми функциями не утрачен.
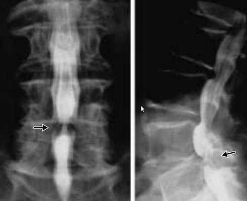
КТ пояснично-крестцового отдела позвоночника показала состояние после перенесённого спондилодисцита L2-L3 (воспалительного заболевания инфекционного характера) с разрушением тела L3 позвонка и кифотической деформацией (искривлением позвоночника) на данном уровне.
Состояние после перенесённого спондилодисцита L2, L3 позвонков с формированием абсолютного стеноза (критического сужения просвета в позвоночном столбе) на уровне L2-L3 и развитием нижнего парапареза





Лечение
Пациентке проведена операция: транспедикулярная фиксация позвоночника L1-L4 и ламинэктомия L2 (удаление дужки позвонка с целью декомпрессии). Ход операции: • При положении пациентки лёжа на животе в проекции остистых отростков L1-L4 произведён прямой вертикальный разрез мягких тканей размером 10 см. • Надкостницы поперечных отростков и дугоотросчатых суставов отделены от костей. Кровотечение остановлено при помощи электрокоагуляции по ходу доступа. • Под контролем рентгена выявлены ножки L1 и L4 позвонков и сформированы каналы в тела самих позвонков, через которые в их ножки введены моноаксиальные педикулярные винты. • Проведена ламинэктомия позвонка L2. При ревизии твёрдой мозговой оболочки, окружающей спинно-мозговые корешки, на уровне L2-L3 позвонков обнаружены выраженные изменения рубцово-спаечного характера. • Рана промыта при помощи физраствора и раствора перекиси водорода. Поверх твёрдой мозговой оболочки уложена гемостатическая губка. Установлены две продольные штанги, закручены стопорные гайки. • В конце на рану наложен послойный шов нитью Викрил и асептическая повязка.
После операции в неврологическом статусе наблюдается положительная динамика: умеренный парапарез в нижних конечностях почти полностью регрессировал, жалобы на "онемения в ногах" также исчезли. На контрольной КТ видно состояние после успешной декомпрессии на уровне L2-L3 и установки транспедикулярной фиксирующей системы на уровне L1-L4.
Помимо проведённого лечения пациентке потребуется выполнение переднего спондилодеза L1-L4 (операции на позвоночнике для фиксирования позвонков путём их сращивания). В связи с этим дана рекомендация заранее обратиться в больницу, чтобы операция была плановой.
Заключение
Учитывая анамнез и результаты КТ пояснично-крестцового отдела позвоночника, можно предположить, что во время стационарного лечения у пациентки на уровне L2-L3 позвонков развился спондилодисцит. Характерным признаком этого заболевания в острой фазе является уменьшение рентгеновской плотности тел позвонков. Но во время проведения компьютерной томографии плотность тел L2 и L3 позвонков была высокой, что свидетельствовало о завершении воспалительного процесса и склерозировании тел позвонков. Вероятнее всего, антибактериальное лечение погасило воспаление не только в брюшной полости и почках, но и в позвоночнике. Однако после выписки из больницы, при переходе из лежачего положения в вертикальное, у пациентки стала увеличиваться кифотическая деформация. Патология привела к образованию стеноза позвоночного канала на уровне L2-L3, что и спровоцировало возникновение нижнего парапареза. С помощью транспедикулярной фиксации L1-L4 и декомпрессии на уровне L2 удалось устранить неврологические симптомы и стабилизировать позвоночный сегмент, то есть "экстренная" помощь была оказана успешно.
Стеноз позвоночного канала (спинальный стеноз) - симптомы и лечение
Что такое стеноз позвоночного канала (спинальный стеноз)? Причины возникновения, диагностику и методы лечения разберем в статье доктора Мажейко Людмилы Ивановны, невролога со стажем в 42 года.
Над статьей доктора Мажейко Людмилы Ивановны работали литературный редактор Елена Бережная , научный редактор Сергей Федосов
Определение болезни. Причины заболевания
Стеноз позвоночного канала — это состояние, когда размеры позвоночного канала на поперечном срезе уменьшаются, либо уменьшаются размеры межпозвонковых отверстий, в результате чего сдавливается содержимое канала (спинной мозг, корешки) . Как правило, стеноз позвоночного канала выявляется на уровне нижних поясничных позвонков, реже — в шейном и грудном отделах позвоночника.

Позвоночный (спинномозговой) канал — это пространство внутри позвоночного столба, которое спереди образуют тела позвонков и межпозвонковые диски, с боков и сзади — дуги позвонков, соединенные желтой связкой. На поперечном срезе он треугольной или овальной формы. [1]
Позвоночный канал составляют: спинной мозг с корешками, окруженными оболочками мозга, а также жировая и рыхлая соединительная ткань с артериями, венами и нервами. От спинного мозга отходят парные нервные корешки, окруженные твердой мозговой оболочкой, каждый из которых выходит за пределы спинномозгового канала через свое отверстие. Спинной мозг продолжается от большого затылочного отверстия до второго поясничного позвонка. Ниже второго поясничного позвонка в позвоночном канале расположен "конский хвост" — пучок из корешков четырех нижних поясничных, пяти крестцовых и копчиковых корешков спинного мозга.

Функции спинного мозга:
- проводниковая — проведение нервного импульса от центра к периферии и обратно;
- рефлекторная — формирование ответной реакции нервной системы на раздражение.
Стеноз бывает врожденным и приобретенным. Врожденный (первичный) формируется на 3-6 неделе внутриутробного развития зародыша человека. Причинами этого нарушения могут быть генетический фактор, а также инфекционные и токсические факторы, влияющие на формирование позвоночника.
Причины врожденного стеноза:
- Врожденная хондродистрофия (ахондроплазия) — внутриутробное нарушение роста костей, при котором позвоночный канал сужается из-за сращения позвонков, укорочения и утолщения дуг позвонков.
- Диастематомиелия — разделение позвоночного канала внутренней перегородкой, которая состоит из хрящевой или костной ткани, раздвоение спинного мозга.
Причины приобретенного (вторичного) стеноза:
- травматическое смещение позвонков и их отломков, внутриканальные гематомы;
- дегенеративно-дистрофические изменения межпозвонковых суставов в виде костных разрастаний, направленных внутрь позвоночного канала (фасеточная артропатия);
- выпадение межпозвонковой грыжи, ее окостенение или секвестрирование вследствие дископатии;
- переднее смещение позвонка (спондилолистез) вследствие анатомического дефекта дуги позвонка;
- утолщение и обызвествление желтых связок позвоночника вследствие их воспаления или дистрофии;
- утолщение капсулы межпозвонковых суставов вследствие их воспаления при болезни Бехтерева и других воспалительных процессах;
- огрубение передней продольной связки (болезнь Форестье);
- застойное полнокровие вен внутри позвоночного канала;
- рубцовые изменения и внедрение стальных конструкций внутри позвоночного канала вследствие операций на позвоночнике;
- опухоли и кисты внутри позвоночного канала и др.
Зачастую на формирование стеноза позвоночного канала оказывают влияние как врожденные, так и приобретенные факторы. Страдают стенозом преимущественно пожилые люди, так как у них имеют место возрастные дегенеративные заболевания позвоночника. Частота заболевания резко возрастает у людей старше 50 лет и в данной возрастной группе составляет от 1.8 до 8%. [2] Наиболее часто встречающийся приобретённый стеноз позвоночного канала — это последняя стадия остеохондроза позвоночника, когда разрастается костная ткань тел позвонков и остеофитов.
У многих людей без врожденных нарушений развития позвоночника встречается конституционально анатомически более узкий позвоночный канал, чем в среднем. Нормальная глубина позвоночного канала в поясничном отделе составляет 13-25 мм, в шейном — 15-20 мм.
В шейном отделе позвоночника данную особенность костной структуры канала можно обнаружить на боковых рентгенограммах путем расчета и оценки индекса М.Н.Чайковского. Индекс Чайковского — это отношение сагиттального размера позвоночного канала к сагиттальному размеру тела позвонка на уровне данного конкретного позвонка без учета краевых костных разрастаний. На рентгенограмме измеряется сагиттальный диаметр позвоночного канала (а) и сагиттальный размер тела позвонка (б), первое число делится на второе (а:б).
Измерение сагиттального размера позвоночного канала и тела позвонка

- 0,9 до 1,1 — позвоночный канал обычной глубины;
- меньше 0,85 (согласно некоторым авторам — 0,75) — конституционально узкий позвоночный канал.
При обнаружении схожих симптомов проконсультируйтесь у врача. Не занимайтесь самолечением - это опасно для вашего здоровья!
Симптомы стеноза позвоночного канала
Развитие позвоночного стеноза происходит медленно и может занимать долгие годы. Симптомы стеноза позвоночного канала в поясничном и грудном отделах — постепенно нарастающая боль в спине, в ногах, возникающие поначалу иключительно при ходьбе. Болезненные ощущения без четкой локализации часто обозначаются больным человеком как неприятное ощущение. При ходьбе происходит нарастание слабости в ногах (нейрогенная перемежающая хромота), которая вынуждает человека остановиться, сесть или даже лечь. Облегчает ходьбу легкое сгибание в коленях и тазобедренных суставах, а также если одновременно наклонить корпус вперед. Этим можно объяснить и то обстоятельство, что человек с позвоночным стенозом не жалуется на недомогание, если длительно находится за рулем. [3]
Характерны чувствительные расстройства — онемение, ощущение мурашек и снижение чувствительности в нижних конечностях.
Симптомы проявляются с одной либо с двух сторон. Часто нарушается функция тазовых органов (задержка или внезапные позывы на мочеиспускание, дефекацию, снижение потенции). Если длительно сдавливаются нервные корешки на поясничном уровне, постепенно худеют нижние конечности.

Если стеноз развился на грудном уровне, то в ногах нарастают спастические явления.
Стеноз позвоночного канала на шейном уровне протекает чаще всего незаметно, симптомы болезни появляются уже в запущенной стадии заболевания. Это сильные боли в шее, как односторонние, так и двусторонние, отдающие в лопатки, плечи, руки, затылок. Боли могут проявляться во всем теле в виде болезненных спазмов. Боли усиливаются при определенных движениях шеей, при этом появляется слабость и онемение в руках, ощущение мурашек. В ногах может возникать ощущение «ватности», человек часто спотыкается. Характерны запоры и задержки мочеиспускания. Прогрессирующее сдавление спинного мозга на нижне-шейном уровне приводит к развитию вялости в руках и спастического состояния мышц в ногах. Если сдавление на уровне 3-4 шейного позвонка, то может наблюдаться нарушение функции дыхания и спастические явления в руках и ногах. [4]
Патогенез стеноза позвоночного канала
Вокруг спинного мозга и корешков в норме должно оставаться свободное (резервное) пространство, в котором важен каждый миллиметр. В резервном пространстве располагаются сосуды. Если в позвоночный канал внедряются костные, хрящевые или мягкотканные структуры, резервное пространство уменьшается или исчезает. Если просвет позвоночного канала патологически сужается, происходит нарушение кровообращения спинного мозга и корешков, нарушается циркуляция спинномозговой жидкости. [5] Сдавлению подвергаются сосуды и нервные элементы — спинной мозг или корешки. Внутри позвоночного канала повышается давление, так как сосудистое русло испытывает хронический застой. Нервные элементы постоянно испытывают недостаток кровоснабжения и кислородный дефицит, в результате серьезно нарушается их функция. Длительное нарушения питания нервных элементов сопровождается разрастанием рубцовой ткани, образованием спаек (рубцово-спаечный эпидурит) , [6] что еще более сдавливает содержимое позвоночного канала.
Вследствие этого развиваются двигательные, чувствительные, вегетативные и трофические нарушения. Сдавление корешков зачастую становится причиной выраженного болевого синдрома.
Классификация и стадии развития стеноза позвоночного канала
В зависимости от локализации выделяют центральный и латеральный стеноз позвоночного канала.
Центральный стеноз — уменьшение переднезаднего размера позвоночного канала.
- относительный стеноз — переднезадний размер составляет менее 12 мм.
- абсолютный — менее 10 мм.
Латеральный стеноз — уменьшение размеров межпозвонкового отверстия до 4 мм и менее.
Если уменьшаются все размеры позвоночного канала, это комбинированный стеноз.
Осложнения стеноза позвоночного канала
Осложнения при стенозе позвоночного канала отмечаются в результате дополнительной травмы позвоночника — падение с высоты, автодорожная, спортивная травма и др. Происходит усиление сдавления спинного мозга гематомой, рубцами, смещенным позвонком или его отломком. Осложнения при неустановленном диагнозе «позвоночный стеноз» могут давать сеансы мануальной терапии, которые часто применяются при болях в позвоночнике.
Но гораздо чаще встречаются осложнения оперативного лечения стеноза. Наиболее тяжелыми из них являются следующие:
- медленно прогрессирующий спаечный процесс в позвоночном канале, дополнительно сдавливающий спинной мозг и корешки;
- парезы, параличи конечностей;
- тазовые расстройства вследствие повреждения корешков спинного мозга хирургическим инструментом.
Воспалительные процессы в позвонках, оболочках и спинном мозге встречаются редко, так как после операции широко применяются антибиотики. Часто осложнения операций дают более тяжелые последствия, чем само заболевание. [7]
Диагностика стеноза позвоночного канала
Если появляются характерные жалобы, необходимы дополнительные методы обследования, которые позволят не только измерить размеры позвоночного канала, но и выявить причины, вызывающие компрессию нервных элементов внутри позвоночного канала.
- рентгенография пояснично-крестцового отдела позвоночника;
- компьютерная томография (КТ);
- магнитно-резонансная томография (МРТ).

Для оценки состояния спинного мозга и нервной проводимости используются:
- электронейромиография;
- миелография;
- сцинтиграфия. [8][9]

Позвоночный стеноз диагностируют по совокупности выявленных признаков сужения позвоночного канала при наличии характерных клинических данных.
Лечение стеноза позвоночного канала
Консервативное лечение применяют на ранней стадии заболевания (незначительный позвоночный стеноз), когда беспокоят только боли в пояснице и ногах, а выраженные неврологические нарушения отсутствуют.
Медикаментозная терапия:
- нестероидные противовоспалительные препараты (таблетки, капсулы, инъекции, гели, пластыри) помогают снять воспаление и купировать боль;
- миорелаксанты — препараты, снимающие мышечное напряжение;
- витамины группы В;
- сосудистые и мочегонные средства;
- для снятия болевого синдрома и отека эффективны медикаментозные блокады с местными анестетиками и гормонами.

Физиотерапевтические процедуры:
- электрофорез;
- амплипульс;
- магнитотерапия;
- водо- и грязелечение.
Показана дозированная лечебная физкультура и легкий массаж.
При стенозе позвоночного канала в любой стадии противопоказана мануальная терапия!
Если консервативное лечение оказывается неэффективным, боли и парезы нарастают, нарушаются функции тазовых органов, это является показанием для оперативного лечения (открытые и эндоскопические операции), цель которого — снять компрессию спинного мозга и нервных корешков.
Оперативные методы:
- декомпрессионная ламинэктомия — удаление части дуги позвонка, остистого отростка, части желтой связки, межпозвонковых суставов, которое дополняется стабилизирующей операцией с использованием металлических пластин, укрепляющих позвоночный столб;
- микрохирургическая декомпрессия и установка систем межостистой динамической фиксации, позволяющей сохранить возможность сгибания и разгибания позвоночника;
- дискэктомия, эндоскопическая микродискэктомия, лазерная вапоризация пораженного диска и другие операции по удалению грыжи, иногда они дополняют ламинэктомию. [11]

Как правило, оперативное лечение приводит к выздоровлению. После операции пациенты нуждаются в длительном восстановительном лечении в условиях реабилитационного отделения и санатория. Часть пациентов после операции имеют осложнения — усиление рубцовых изменений в позвоночном канале, приводящие к вторичному стенозу. Встречаются осложнения в виде воспаления, повреждения корешков и нервов с клиникой парезов рук и ног, нарушения функции тазовых органов. [12]
Прогноз. Профилактика
Прогноз течения данного заболевания зависит от причины, особенностей течения и давности заболевания. Прогноз благоприятный при своевременной диагностике заболевания, в зависимости от его причины, на ранних стадиях всегда можно подобрать пациенту адекватное консервативное или оперативное лечение. В этом заключается профилактика выраженных болей и тяжелых неврологических осложнений. Несвоевременная диагностика, грубые мануальные вмешательства, осложнения операций делают прогноз неблагоприятным, приводя больного к стойкой инвалидности.
Стеноз позвоночного канала у взрослых: симптомы, причины, лечение

Состояние, при котором размеры позвоночного канала или межпозвонковых отверстий уменьшаются, - стеноз межпозвоночного канала. В результате этого процесса сильно сдавливаются корешки канала и спинной мозг. Наиболее часто диагностируется это заболевание в локации нижних поясничных позвонков. Но не исключением являются случаи, когда стеноз межпозвоночного канала дает о себе знать в грудном и шейном отделах позвоночника.
Позвоночный канал имеет и второе название - спинномозговой канал. Представляет он собой определенное пространство, которое находится внутри позвоночного столба. Он образует:
- спереди - тела позвонков;
- межпозвонковые диски;
- сзади и с двух боков - дуги позвонков (они соединяются между собой специальной биологической желтой связкой).
Рассматривая его на поперечном срезе, можно заметить, что он может быть как круглой, так и овальной формы.
Позвоночный канал включает в себя:
- спиной мозг с парными нервными корешками, которые от него отходят и выходят за пределы этого канала через свои определенные отверстия (они окружены твердой мозговой оболочкой);
- рыхлую и жировую соединительную ткань, которая состоит из нервов, артерий и вен.
Спиной мозг, в свою очередь выполняет две основные функции:
- проводниковую (посылает и передает нервный импульс от центра своей локации к периферии, а затем возвращает этот сигнал обратно);
- рефлекторную (формирует ответную реакцию на всевозможные раздражения со стороны нервной системы).
Стеноз позвоночного канала поясничного отдела, а также грудного и шейного может быть как врожденным, так и приобретенным.
Симптомы и признаки стеноза позвоночного канала
Развивается стеноз позвоночного канала на уровне поясничного, грудного или шейного отдела довольно медленно. Этот процесс может занимать несколько лет жизни человека. Основными симптомами являются постепенно нарастающие боли в определенной локации. Причем дискомфорт и неприятные ощущения дают о себе знать не только в спине, но и в ногах. Сначала проявляется заболевание только при ходьбе, а затем боль присутствует и в состоянии покоя.
Болевые ощущения не имеют четкой локализации. При ходьбе нарастает слабость в ногах. Человек хочет сесть или даже лечь. Облегчить симптомы могут легкие сгибания ног или незначительный наклон туловища вперед. Характерными чувствительными расстройствами при стенозе позвоночного канала поясничного отдела является онемение, снижение чувствительности в ногах, ощущение «мурашек».
Нередко может быть нарушена и функция тазовых органов. Это проявляется в снижении потенции у мужчин, дефекации, задержке или наоборот - внезапном позыве на мочеиспускание. При длительном сдавливании нервных корешков спинного мозга можно заметить, что нижние конечности начали постепенно худеть. Симптомы стеноза позвоночного канала шейного отдела или грудного проявляются еще и в нарастающем спастическом явлении в ногах.
Часто это заболевание протекает незаметно. Диагностируется обычно на более поздних стадиях развития. Особенно в том случае, если речь идет о поражении шейного отдела. Боль постепенно может появиться в шее. Она может быть как односторонней, так и двухсторонней. Неприятные и болевые ощущения появляются в лопатках, плечах, затылке и руках. При определенных движениях шеи эти боли начинают усиливаться. В ногах возникает чувство «ватности». Характеризуется стеноз позвоночного канала шейного отдела запорами и задержкой мочеиспускания.
Если сдавливание происходит на уровне 3-4 позвонков, то заметны нарушения функций дыхания. Проявляются спастические явления как в ногах, так и в руках.
Это основные симптомы стеноза позвоночного канала.
Патогенез
Механизм зарождения и дальнейшего развития заболевания наблюдается в определенной локации. Следует понимать, что свободное (резервное) пространство вокруг спинного мозга и нервных корешков должно оставаться в норме, так как здесь располагаются сосуды. Если же оно уменьшается или полностью исчезает, то происходит нарушения кровообращения как в спинном мозге, так и в нервных корешках. Циркуляция спинномозговой жидкости также нарушается. Патологическое сужение резервного пространства обуславливается внедрением мягкотканых, хрящевых и костных структур.
Сосудистое русло начинает испытывать хронический застой из-за сдавливания сосудов и нервных элементов. Спинной мозг и корешки испытывают «голодание», то есть кислородные дефицит и недостаток кровоснабжения. В результате этого процесса серьезно нарушается функция нервных элементов.
Если происходит длительное нарушение питания спинного мозга и нервных корешков, то начинает образовываться и разрастаться рубцовая ткань, заметно образование спаек. Стеноз позвоночного канала шейного, грудного, поясничного отделов часто становится причиной ярко выраженного болевого синдрома. У человека развиваются вегетативные, двигательные, чувствительные и трофические нарушения.
Причины возникновения и развития
Прежде чем начать лечение стеноза позвоночного канала поясничного или шейного отдела, следует выяснить, какие причины служат зарождению и развитию болезни.
Формируется врожденный или первичный тип стеноза во время внутриутробного развития зародыша человека. Происходит это в период с 3 по 6 неделю развития. Здесь играет свою роль генетический фактор. Но может развиться абсолютный стеноз позвоночного канала и из-за инфекционных, токсических факторов, повлиявших на плод.
Также причиной врожденного стеноза является:
- хондродистрофия или ахондроплазия (хроническая). Проявляется это во внутриутробном нарушении роста костей. В этом случае позвоночный канал сужается из-за укорочения или утолщения дуг позвонков, сращения самих позвонков;
- диастематомиелия. Характеризуется раздвоением спинного мозга, разделением позвоночного канала перегородкой (она состоит либо из костной, либо из хрящевой ткани).
Вторичный стеноз позвоночного канала появляется и развивается в детском возрасте или уже во взрослой жизни.
Этому могут способствовать следующие причины:
- травматическое смещение позвонков или внутриканальные гематомы;
- изменения межпозвонковых суставов, которые проявляются в разрастании костных тканей внутрь позвоночного канала. Эти изменения имеют дегенеративно-дистрофический характер;
- анатомический дефект дуги позвоночника;
- межпозвоночная грыжа;
- воспаления при болезни Бехтерева (в этом случае утолщаются капсулы межпозвонковых суставов);
- болезнь Форестье;
- кисты и опухоли, которые появляются внутри позвоночного канала.
Независимо от причины, лечение стеноза позвоночного канала следует начать при обнаружении болезни.
Факторы риска
Чаще всего встречается приобретенный стеноз позвоночного канала на уровне l5 s1 и l4 l5 последней стадии остеохондроза позвоночника, то есть тогда, когда активно разрастается костная ткань тел позвонков и остеофитов.
Осложнения
Если не начать своевременное лечение стеноза позвоночного канала поясничного отдела, шейного или грудного, то возможны патологические проявления этого заболевания. Осложнения отмечаются и в том случае, если были иные травмы позвоночника (спортивная травма, падение с высоты и проч.). В этом случае происходит усиление сдавливания спинного мозга. Давить же на него могут образовавшиеся гематомы, рубцы, отломки позвоночника, смещенные позвонки.
Самыми тяжелыми осложнениями являются:
- парезы;
- параличи конечностей;
- тазовые расстройства, которые проявляют себя из-за повреждения нервных корешков спинного мозга хирургическим инструментом;
- медленно и постепенно прогрессирующий спаечный процесс, который дополнительно сдавливает корешки и сам спинной мозг.
Наиболее редко встречаются воспалительные процессы в нервных элементах, оболочках и позвонках. Это обуславливается тем, что после операции стеноза позвоночного канала поясничного отдела применяются сильные антибиотики. Но все же не редкостью является и то, что последствия после операции стеноза позвоночного канала поясничного, шейного и грудного отдела дают более тяжелые последствия, чем само заболевание.
Любые признаки стеноза позвоночного канала требуют срочной диагностики заболевания. Это позволяет либо выявить болезнь, либо опровергнуть ее наличие. Но при обнаружении имеется возможность начать лечение, чтобы предотвратить активное развитие и прогрессирующий процесс распространения относительного стеноза позвоночного канала на любом уровне.
В АО «Медицина» (клиника академика Ройтберга), которая располагается в центральном округе Москвы (недалеко от станций метро Маяковская, Белорусская, Новослободская, Тверская, Чеховская) можно осуществить полную диагностику позвоночника. Врачи назначат необходимо лечение и при необходимости дадут рекомендации по профилактике заболевания. Наш многопрофильный медицинский центр располагается по адресу: 2-й Тверской-Ямской переулок 10.
Обнаружить стеноз позвоночного канала с5 с6 и иных уровней различных локаций можно при помощи боковых рентгенограмм путем расчета и оценки индекса М.Н. Чайковского (это определенное отношение сагиттального размера канала к сагиттальному показателю тела позвонка).
Если имеются определенные симптомы стеноза позвоночного канала поясничного отдела, осуществляются дополнительные методы обследования, позволяющие измерить размеры позвоночного канала, выявить основные причины, которые вызывают компрессию всех включенных в систему нервных элементов. Это позволяет понять, как лечить стеноз позвоночного канала.
Диагностика может быть осуществлена при помощи:
- рентгенографии;
- компьютерной томографии (КТ);
- магнитно-резонансной томографии (МРТ).
Чтобы оценить состояние нервной проводимости и спинного мозга, используются методы:
- электронейромиографии;
- миелографии;
- сцинтиграфии.
Диагностируют стеноз позвоночного канала l5 s1 и иных уровней по совокупности выявленных признаков патологического сужения. Специалистами может быть выявлен как относительный стеноз позвоночного канала, так и дегенеративный стеноз позвоночного канала.
Классификация и стадии развития
Диагностироваться может латеральный и центральный стеноз позвоночного канала. Это зависит от локализации. Первый вид представляет собой уменьшение размеров отверстия между позвонками до 4 и менее миллиметров. А вот центральный спондилоартроз стеноз позвоночного канала может быть как относительным (менее 12 мм), так и абсолютным (менее 10 мм).
При изменении всех размеров позвоночного канала диагностируют комбинированный стеноз, то есть стеноз позвоночного канала на уровне l4, а также на других уровнях развития. Выделяют также сагиттальный стеноз позвоночного канала.
Когда следует обратиться к врачу
При первых симптомах стеноза позвоночного канала поясничного, шейного или грудного отдела необходимо обратиться к специалисту. АО «Медицина» (клиника академика Ройтберга), расположенная в центре Москвы (недалеко от ст. м. Маяковская, ст. м. Белорусская, ст. м. Новослободская, ст. м. Тверская, ст. м. Чеховская), предлагает возможность пройти профессиональную диагностику и эффективное лечение. В штате работают высококвалифицированные врачи. Лечением стеноза позвоночного канала l4 l5 и иных уровней занимаются:
Специалисты назначают оптимальный метод лечения, учитывая степень развития заболевания и индивидуальные особенности пациента.
Некоторые случаи позволяют прибегнуть к лечению без операции стеноза позвоночного канала. На ранних стадиях заболевания доступны консервативные способы. Но это возможно лишь тогда, когда отсутствуют выраженные неврологические нарушения, а пациента беспокоят только боли в пояснице и ногах.
Применяется медикаментозное лечение стеноза позвоночного канала l4 s1 и иных уровней:
- нестероидные противовоспалительные средства. Они способствуют снятию воспалений и купированию болей;
- миорелаксанты. Избавляют от мышечного напряжения;
- витамины группы В;
- сосудистые и мочегонные средства;
- медикаментозные блокады с местными анестетиками и гормонами. Убирают болевой синдром и отеки.
Также при стенозе позвоночного канала на уровне l4 l5 назначаются физиотерапевтические процедуры. Сюда входит:
- электрофорез;
- амплипульс;
- лечебная физкультура (ЛФК);
- магнитотерапия;
- легкий массаж;
- водо- и грязелечение.
Помогают при стенозе позвоночного канала упражнения, которые не дают большой нагрузки на спину, но при этом прекрасно разрабатывают позвонки.
Как записаться к вертебрологу, неврологу
Если вы сомневаетесь в своем диагнозе, то для начала можете посетить терапевта, который после осмотра даст направление к соответствующему специалисту клиники в ЦАО: вертебрологу, неврологу.
Читайте также:
- Случай успешного органосохраняющего лечения послеродовой атонии матки, осложненной массивной жизнеугрожающей кровопотерей
- Причины, частота, диагностика и лечение юношеской ангиофибромы носоглотки
- Слюнные железы. Виды слюных желез.
- Врожденная эритропоэтическая порфирия (порфирия Гюнтера): причины, диагностика, лечение
- Гиперфункция гипофиза. Избыток гормона роста
