Причины утолщения воротникового пространства. Воротниковое пространство при пороках сердца
Добавил пользователь Владимир З. Обновлено: 28.01.2026
Это показатель, который измеряют при проведении УЗИ на 11-13 неделе беременности, чтобы исключить хромосомные аномалии плода.
Воротниковое пространство — это скопление подкожной жидкости на задней поверхности шеи плода. Небольшое количество жидкости должно присутствовать у каждого плода, однако при хромосомных нарушениях данный показатель значительно превышает норму.
Каковы нормы ТВП на различных неделях беременности?
Нормой на 11 неделе беременности можно считать толщину воротникового пространства в 1-2 мм, на 13 неделе — 2,8 мм. После 13 недели показатель ТВП считается не информативным.
О чём говорит увеличение ТВП у плода?
Как правило, увеличение толщины воротникового пространство может говорить о повышенной вероятности синдрома Дауна, а также синдромов Патау, Эдвардса, Тернера. Эти хромосомные аномалии вызывают у плода нарушение сердечной деятельности, оттока лимфы и некоторые аномалии скелета, что и приводит к повышению ТВП.
Однако в некоторых случаях ТВП может быть повышен и по совершенно другим причинам, не имеющим отношения к хромосомным аномалиям: анемия, внутриутробная инфекция или какие-то иные генетические заболевания, не связанные с изменением числа хромосом. Иногда ТВП увеличен из-за таких особенностей развития плода, которые не приведут ни к каким аномалиям развития после рождения.
Что делать, если ТВП увеличена?
УЗИ-скрининг на хромосомные патологии обязательно должен быть дополнен биохимическим скринингом. Общий риск рассчитывается только по итогам применения обоих методов.
Если показатели демонстрируют высокие риски, гинеколог может порекомендовать провести инвазивную диагностику: амниоцентез (исследование околоплодных вод), кордоцентез (анализ крови из пуповины) и биопсия хориона. Это более точные методы, позволяющие диагностировать или исключить патологию с точностью выше 99%.
Также существуют более сложные и дорогие неинвазивные тесты (по анализу крови), которые также позволяют уточнить, есть ли аномалии в развитии плода.
Если дополнительные тесты с показали тяжелую аномалию развития плода, женщина может принять решение сделать аборт по медицинским показаниям (до 22 недель беременности), прерывание беременности с помощью искусственных родов (после 22 недель) либо сохранение плода.
Сделать осознанный выбор семья сможет после того, как беременная женщина будет полностью проинформирована обо всех рисках и последствиях того или иного решения в каждом конкретном случае.
Расширение воротникового пространства у плода: причины последствия

Во время беременности женщине назначают плановые УЗИ, которые помогают не только увидеться с малышом, но и проверить состояние его здоровья. Бывает, что при ультразвуковом исследовании у ребенка выявляют заболевания или пороки, поэтому осмотр очень важно проводить вовремя. Такая патология, как расширение воротникового пространства, входит в состав группы риска, которая выявляется только с помощью скрининга. Так что это за аномалия?
Как определить ТВП
Аббревиатура ТВП расшифровывается как «толщина воротникового пространства». На задней стороне шеи плода, между кожей и мышцами, скапливается жидкость, что является нормой. Но, например, при синдроме Дауна на ультразвуковом исследовании можно заметить, что количество жидкости превышает норму.
ТВП определяют во время скрининга плода в конце 1 триместра - на 12 неделе. Очень важно попасть на УЗИ в период с 11 до 14 недели беременности, только в этом промежутке можно точно выявить хромосомные патологии и заболевания ребенка. После 14 недели жидкость начнет всасываться лимфатической системой плода, поэтому исследование не даст верных результатов. Очень редко бывает, что жидкость не всасывается, а превращается в отек шеи. В случае, когда женщина не может точно рассчитать срок беременности, то врач определяет ее по КТР (копчико-теменной размер) плода.
Нормативный показатель ТВП на 12 неделе беременности составляет 0,7-2,5 мм. При этом плод должен принять правильное положение (его голова не прижата к груди или разогнута). Если наблюдается утолщение воротникового пространства до 3 мм, то это свидетельствует о хромосомном нарушении. Также врач обращает внимание на размер носовой кости и верхней челюсти.
Трансабдоминального УЗИ (поверхностное исследование датчиком) порой недостаточно для измерения воротникового пространства плода. Для более точного результата наличия хромосомных заболеваний используют трансвагинальное сканирование (влагалищный датчик), а также исследуют кровь беременной женщины (биохимический анализ, биопсия хориона и др.)
Стоит помнить о том, что если на УЗИ врач заметил увеличение воротникового пространства, то не стоит впадать в панику. Этот диагноз не является приговором, он лишь свидетельствует об определенном риске. Необходимо пройти полное обследование для точного результата. Бывали случаи, когда на УЗИ было показано расширение, но дети, тем не менее, рождались здоровыми.

Причины расширения воротникового пространства
Беременные женщины, у чьих детей обнаруживают данный диагноз, задаются вопросом: почему у плода началось расширение воротникового пространства? Скоплению большого количества жидкости в области шеи сопутствуют несколько причин:
- Если будущая мама старше 35 лет, а возраст отца выше 45 лет.
- В случае получения матерью радиационного облучения в течение длительного времени.
- Наличие у беременной недоношенных или мертворожденных детей в прошлом.
- Если в семье бывали случаи рождения детей с хромосомными отклонениями.
- Наличие каких-либо инфекций у будущей матери, нарушающие нормальное развитие плода.
- Анемия (снижение уровня гемоглобина, недостаток железа в организме) беременной женщины или ребенка.
- Неправильное развитие соединительных тканей у плода.
- Нарушение кровотока у ребенка, скопление крови в верхних отделах туловища.
- Аномалии лимфатической системы плода.
- Неправильное развитие скелета.
- Гипопротеинемия (пониженный уровень белка) у будущей матери.
- Кистозная гигрома шеи ребенка - доброкачественная опухоль, скопление серозной жидкости и слизи.
Бывают случаи, когда во время УЗИ результаты измерения ТВП оказываются неверными. На это влияют:
- Неопытность врача.
- Неверно установленный масштаб на приборе.
- Плохое качество изображения аппаратуры.
- Неправильное положение головы и тела ребенка.
- Несоблюдение сроков беременности.
- Неверно выбрана область шеи для замера.
В любом случае беременная должна повторно пройти исследование, чтобы удостовериться в правильности установленного диагноза.

Последствия расширения воротникового пространства у плода
К сожалению, в большинстве случаев диагноз подтверждается, и ребенок рождается с каким-либо заболеванием. Существует немало неприятных последствий увеличенного ВП, к которым будущие родители должны быть готовы.

Рекомендации будущим мамам
Прежде всего, женщина, собирающаяся стать мамой, должна помнить, что ей необходимо вести здоровый образ жизни, правильно питаться, отказаться от алкоголя и сигарет и поменьше нервничать. Это увеличит шансы родить здорового ребенка. Но если даже во время УЗИ обнаружили расширения ВП у плода, то не стоит отчаиваться. Во многих случаях при повторном исследовании или после сдачи анализов диагноз не подтверждается, либо рождается ребенок без каких-либо патологий.
Прогностическое значение толщины воротникового пространства в пренатальной диагностике врожденной патологии плода
Проблема наследственной и врожденной патологии, прежде всего врожденных пороков развития (ВПР), хромосомных и моногенных заболеваний за последнее десятилетие приобрела серьезную социально-медицинскую значимость. Частота врожденной и наследственной патологии в популяции составляет в среднем 5% от числа новорожденных детей. В структуре перинатальной заболеваемости и смертности врожденная и наследственная патология занимает 2-3 место. Широкое внедрение в клиническую практику скринингового ультразвукового исследования в 11-14 недель беременности позволяет провести раннюю пренатальную диагностику ВПР и хромосомных аномалий (ХА) [4]. Среди многочисленных эхографических маркеров ХА наиболее ценным считается толщина воротникового пространства [5]. Использование этого маркера позволяет выявлять до 66,7-92% хромосомных дефектов уже в ранние сроки беременности [6, 7]. Поэтому представляет научный интерес дальшейшее изучение увеличения толщины воротникового пространства (ТВП) плода как пренатального эхографического маркера врожденной и наследственной патологии.
Целью исследования явилась оценка величины толщины воротникового пространства плода в качестве маркера хромосомных аномалий и врожденных пороков развития плода.
Материал и методы. Тип исследования: когортное с проспективной когортой (2008 - 2010 г.).
Метод выборки: сплошной по мере обращения.
1. Беременность в сроке гестации 11-14 недель.
2. Известная дата последней менструации при 26-30 дневном цикле.
3. Согласие женщины на участие в исследовании.
1. Нарушения менструального цикла.
2. Указание на прием гормональных контрацептивов за два месяца до цикла зачатия.
3. Стимулированная беременность.
4. Многоплодная беременность.
В соответствии с критериями включения/исключения за указанный период было отобрано 1310 беременных в сроки гестации от 11 до 14 недель, состоявших на диспансерном учете в женских консультациях г. Челябинска.
После проведения ультразвукового скрининга беременные были распределены на две группы, с учетом размеров толщины воротникового пространства (ТВП) плода: основная группа - 175 женщин с увеличением размеров толщины воротникового пространства у плода (группа 1), группа сравнения - 1135 пациенток с нормальными размерами толщины воротникового пространства у плода, беременность которых завершилась своевременными родами и рождением нормальных здоровых детей (группа 2). В качестве пороговых (разделительных) значений принимался 95‰ ТВП от показателей, разработанных в результате наших исследований, согласно рекомендациям Н.А. Алтынник и М.В. Медведева и К. Николаидеса и соавт. [1,7]. Группы были сопоставимы по возрасту, паритету и сроку гестации.
Эхографические исследования проведены на ультразвуковых сканерах фирмы TOSHIBA (Япония) высокого (XARIO XG) и экспертного (APLIO XG) классов. Для измерения размеров ТВП использовали трансабдоминальный доступ сканирования. В случаях регистрации у плода эхографических маркеров хромосомных дефектов или врожденных пороков развития, исследование завершали трансвагинальным доступом для детального изучения анатомии и проведения расширенной эхокардиографии плода. В ходе пренатального консультирования пациентке сообщали о наличии риска хромосомной патологии и объясняли целесообразность пренатального кариотипирования. В сроке 11-13 недель гестации осуществляли трансабдоминальную аспирацию ворсин хориона. При отказе от пренатального кариотипирования в ранние сроки и выявлении других эхографических маркеров хромосомной патологии или врожденных пороков развития плода во втором триместре беременности, рекомендовалась оценка кариотипа плода методом кордоцентеза в 21-24 недели.
Статистический анализ данных проводился при помощи пакета статистических программ STATISTICA 6.0 (StatSoft, 2001) и программы MedCalc (9.1.0.1) for Windows. При распределении признака в выборке, близком к нормальному, количественные значения представлялись в виде средней арифметической и ее среднеквадратичного отклонения (M±σ).
Для оценки различий между двумя группами в количественных признаках с учетом характера распределения, близкому к нормальному, применяли t-критерий Стьюдента. Оценка межгрупповых различий по качественным признакам проводилась с использованием критерия χ 2 , а при ожидаемых частотах менее 10 - применялась поправка Йетса.
С целью оценки прогностической значимости показателей проводился ROC-анализ с вычислением чувствительности, специфичности, отношения положительного и отрицательного правдоподобия. Для всех видов анализа статистически достоверными считались значения p
Результаты исследования. Возраст беременных варьировал от 16 до 45 лет. Средний возраст пациенток в группах оказался сопоставимым: в группе 1- 28,7±5,43 лет, в группе 2 - 29,0±6,10 лет (р>0,05).
Согласно полученных нами данным толщина воротникового пространства плода в группе 2 (со своевременными родами и рождением здорового ребенка) постепенно увеличивается на сроках от 11 до 14 недель, составляя в среднем 1,3±0,3 мм в 11-12 недель, 1,4±0,4 мм в 12-13 недель и 1,5±0,3 мм в 13-14 недель, при отсутствии различий между величинами ТВП в эти сроки беременности (р>0,05).
В табл. 1 представлены значения толщины воротникового пространства плода в 11-14 недель беременности в группах сравнения.
Таблица 1. Показатели толщины воротникового пространства плода в 11-14 недель беременности в группах сравнения
Примечание: * - значимость различий (р<0,05) при сравнении групп 1 и 2
В основной группе численные значения расширенного воротникового пространства плода варьировали от 2,5 до 11,0 мм и превышали соответствующие показатели (5-й, 50-й, 95-й центиль) в группе сравнения в 11-12, 12-13 и 13-14 недель беременности (рис. 1).

Рис. 1. Увеличение толщины воротникового пространства
Из 175 плодов, у которых в сроке 11-14 недель беременности было выявлено расширение воротникового пространства, пренатальное или постнатальное кариотипирование для исключения хромосомных аномалий было осуществлено в 160 случаях. Из них хромосомные дефекты были обнаружены в 46/160 (28,8%) наблюдениях. У 114/160 женщин (71,2%) кариотип был нормальным. В 15 случаях хромосомный набор плода/новорожденного остался за пределами наших знаний из-за отказа пациентки от инвазивной диагностической процедуры или из-за отсутствия достаточного количества метафаз в биоптате хориона.
Структура хромосомных аномалий представлена на рис. 2.
Рис. 2. Структура хромосомных аномалий у плодов
Частота хромосомных аномалий варьировала в зависимости от величины толщины воротникового пространства, представлена на рис. 3.
Рис. 3. Частота хромосомных аномалий варьировала в зависимости от величины толщины воротникового пространства
Таким образом, при увеличении численных значений ТВП возрастала частота хромосомных заболеваний.
Помимо этого, при регистрации расширения воротникового пространства практически в каждом втором случае (43,2%, n=76) обнаруживались врожденные пороки: их частота оказалась выше при аномального кариотипе, по сравнению с нормальным - 69,7% (n=53) и 30,3% (n=23) соответственно, р
При выявлении хромосомных аномалий в группе с расширением ТВП чаще диагностировались множественные пороки развития и врожденные пороки сердца, несколько реже встречались пороки ЖКТ, МПС, ЦНС, КМС и КГ шеи, по сравнению с таковыми у плодов/новорожденных с нормальным набором хромосом. Различий по частоте других пороков развития плода не выявлено.
Таблица 2. Структура врожденных пороков развития в группе с расширением ТВП в зависимости от кариотипа плода
Примечание: NS - р>0,05
Таким образом, в соответствии с полученными данными, необходимо выделять пациенток с расширением ТВП у плода в группу высокого риска по врожденным порокам развития даже при отсутствии хромосомной патологии. Особое внимание следует уделять детальному изучению анатомии плода и эхокардиографическому исследованию, так как множественные врожденные пороки развития и пороки сердца регистрируются наиболее часто.
С целью оценки прогностического значения величины ТВП в отношении развития хромосомных аномалий плода в группах сравнения нами использовался ROC-анализ (рис. 4).

Рис. 4. ROC-кривая прогностического значения толщины воротникового пространства в отношении хромосомных аномалий плода
Проведенный анализ показал, что толщина воротникового пространства выше 2,6 мм ассоциирована с высоким риском развития хромосомных аномалий, причем указанный уровень имеет высокую чувствительность (100%) и специфичность (89,7%), а также отношение правдоподобия положительного результата (9,65), р
В последние годы многими авторами были опубликованы сведения о том, что увеличение ТВП может отмечаться не только при хромосомной патологии у плода, но и при различных ВПР [2, 3]. Большинство из этих пороков, потенциально, могут быть диагностированы только в более поздние сроки беременности или даже после родов. С целью оценки прогностического значения величины ТВП в отношении врожденных пороков развития плода нами также использовался ROC-анализ (рис. 5). Оценка ассоциации ТВП с различными ВПР плода представлена в табл. 3.

Рис. 5. ROC-кривая прогностического значения толщины воротникового пространства в отношении врожденных пороков развития плода
Согласно полученным данным, величина ТПВ выше 2,6-2,8 мм ассоциирована практически со всеми врожденными пороками развития, обладает высокой чувствительностью (100%) и специфичностью (87% и выше), что целесообразно использовать в клинической практике.
Выводы
1. В группе беременных с увеличением толщины воротникового пространства плода чаще встречаются хромосомные аномалии и врожденные пороки развития.
2. Толщина воротникового пространства выше 2,6 мм ассоциирована с высоким риском развития хромосомных аномалий (чувствительность - 100%, специфичность - 89,7%, отношение правдоподобия положительного результата - 9,65, р<0,001).
3. Толщина воротникового пространства выше 2,6-2,8 мм ассоциирована практически со всеми врожденными пороками плода (множественные врожденные пороки, врожденные пороки сердца, пороки желудочно-кишечного тракта и др.), обладая высокой чувствительностью (100%) и специфичностью (87% и выше).
4. Пороговые значения толщины воротникового пространства выше 2,6 мм целесообразно использовать в пренатальной диагностике врожденной патологии плода.
Таблица 3. Ассоциация толщины воротникового пространства с различными врожденными пороками развития по результатам ROC-анализа

Примечания: * - + LR - положительное отношение правдоподобия; - LR - отрицательное отношение правдоподобия; AUC - площадь под ROC-кривой
Список использованных источников:
1. Нормативные значения копчико-теменного размера и толщины воротникового пространства плода в ранние сроки беременности/ Н.А. Алтынник, М.В. Медведев// Ультразвуковая диагностика. Акуш. Гин. Педиат. - 2001. - Т. 9, №1. - С. 38-40.
2. Диагностическая ценность расширенного воротникового пространства в сочетании с допплеровским исследованием плодово-плацентарного кровотока в I триместре беременности при врожденной и наследственной патологии/ С.Г. Ионова, И.П. Цымбалова, А.В. Сидорова// Пренатальная диагностика. - 2004. - Т. 3, №3. - С. 233.
3. Копытова Е.И. Расширенное воротниковое пространство плода как пренатальный эхографический маркер врожденных и наследственных заболеваний: Автореф. дис. … канд. мед. наук. - М., 2007. - 22 с.
4. Медведев М.В. Основы ультразвукового исследования в акушерстве. - М.: Реал Тайм, 2006. - 96 с.
5. Основы ультразвукового скрининга в 11-14 недель беременности/ М.В. Медведев, Н.А. Алтынник. - М.: Реал Тайм, 2008. - 88 с.
6. Новый подход к расчету риска при проведении скринингового ультразвукового исследования в первом триместре беременности/ Е.С. Некрасова, А.Л. Коротеев, Т.В. Кузнецова, В.С. Баранов// Пренатальная диагностика. - 2005. - Т. 4, №1. - С. 22-28.
7. Multicenter study of first-trimester screening for trisomy 21 in 75 821 pregnancies: results and estimation of the potential impact of individual risk-orientated two-stage first-trimester screening/ K.H. Nicolaides, K. Spencer, K. Avgidou et al.// Ultrasound Obstet. Gynecol. - 2005. - Vol. 25. - P. 221-226.
Подписано в печать: 14.01.2012
Причины утолщения воротникового пространства. Воротниковое пространство при пороках сердца
Самые часто встречающиеся ультразвуковые маркеры хромосомной аномалии:
1. Увеличение ТВП.
Оценка этого параметра проводится в первое скрининговое УЗИ (11-14 недель)

ТВП (толщина воротникового пространства) может оказаться больше нормы по нескольким причинам.
Почему у плода может выявляться увеличение ТВП?
Родители бывают крайне взволнованы и хотят сразу же получить ответы на все, возникающие у них вопросы - с чем связано, что делать и многие другие. Вопросы, на которые невозможно ответить сразу. Ведь причин увеличения ТВП множество. Данная находка может встречаться у абсолютно здоровых плодов, это не порок развития, это лишь сигнал к более глубокому обследованию, потому что такая особенность может иметь место у плодов с хромосомной патологией, аномалиями сердца либо другими врожденными или наследственными заболеваниями. При увеличении максимального порога ТВП ВАЖНО, чтобы врач оценил все остальные ультразвуковые маркеры (признаки), а также провел детальную оценку анатомии плода. Возможно, причина увеличения ТВП кроется в нарушении развития плода (например, аномалии строения сердца).
Что делать при выявлении увеличения ТВП у плода?
Если у вашего плода обнаружили расширение ТВП, Вас обязательно направят на консультацию к врачу генетику, который собрав анамнез, оценив все риски, даст рекомендации по дополнительным методам исследования (инвазивная диагностика). Далее потребуется экспертное УЗИ плода на сроке 20 недель для детальной оценки анатомии. Если по всем этим исследованиям отклонений не выявлено, то шансы родить здорового ребенка велики даже при значительной величине ТВП.
2. Гипоплазия\аплазия костей носа.

Гипоплазия костей носа - уменьшение размеров косточки носа в зависимости от КТР вашего малыша.
Аплазия костей носа - отсутствие визуализации косточки носа у вашего малыша.
Отсутствие видимости костной части спинки носа у плода или ее недоразвитие (недостаточно яркая) на первом скрининге связана с задержкой отложения кальция. Такая ситуация несколько чаще может встречаться у плодов с синдромом Дауна, однако важно, что:
- само по себе отсутствие костей носа на УЗИ не является аномалией развития; может встречаться у абсолютно здоровых плодов (в 3% случаев);
- для оценки степени индивидуального риска необходима оценка остальных ультразвуковых маркеров (толщина воротникового пространства плода, показатели кровотока на сердечном клапане, показатели кровотока в венозном протоке, ЧСС плода) и биохимического анализа материнской сыворотки (РАРР-А, ХГЧ);
- Если результат комбинированного скрининга (оценка в специальной программе данных УЗИ и анализа крови) показывает НИЗКИЙ риск хромосомной патологии - беспокоиться не стоит. Обязательно пройдите контрольное УЗИ в 19-20 недель беременности, где будет проведена тщательная оценка анатомии плода и исследованы определенные ультразвуковые маркеры второго триместра беременности.
- Что делать если результат комбинированного скрининга оказался ВЫСОКИМ? - Переживать не стоит. Вас обязательно направят на консультацию к врачу генетику, который собрав анамнез, оценив все риски, даст рекомендации по дополнительным методам исследования (инвазивная диагностика).
3. Гиперэхогенный кишечник.
Это термин, говорящий о повышенной эхогенности (яркости) кишечника на ультразвуковом изображении. Выявление гиперэхогенного кишечника НЕ является пороком развития кишечника, а просто отражает характер его ультразвукового изображения. Необходимо помнить, что эхогенность нормального кишечника выше, чем эхогенность соседних с ним органов (печени, почек, легких), но такой кишечник не считается гиперэхогенным. Гиперэхогенным называется только такой кишечник, эхогенность которого сравнима с эхогенностью костей плода.
Почему кишечник у плода может быть гиперэхогенным?
Иногда гиперэхогенный кишечник выявляется у абсолютно нормальных плодов, и при УЗИ в динамике этот признак может исчезать. Повышенная эхогенность кишечника может быть проявлением хромосомных болезней плода, в частности, синдрома Дауна. В связи с этим при обнаружении гиперэхогенного кишечника проводится тщательная оценка анатомии плода. Однако при выявлении гиперэхогенного кишечника можно говорить лишь о повышенном риске синдрома Дауна, так как подобные изменения могут встречаться и у совершенно здоровых плодов. Иногда гиперэхогенный кишечник может быть признаком внутриутробной инфекции плода. Гиперэхогенный кишечник часто обнаруживается у плодов с задержкой внутриутробного развития. Однако при этом будут обязательно выявляться отставание размеров плода от срока беременности, маловодие и нарушение кровотока в сосудах плода и матки. Если ничего из вышеперечисленного не выявлено, то диагноз задержки развития плода исключен.
Что делать при выявлении гиперэхогенного кишечника у плода?
Вам следует обратиться к специалисту генетику, который еще раз оценит результаты биохимического скрининга и даст необходимые рекомендации по дальнейшему ведению беременности.
4. Гиперэхогенный фокус в желудочке сердца.

Это термин, говорящий о повышенной эхогенности (яркости) небольшого участка сердечной мышцы на ультразвуковом изображении. Выявление гиперэхогенного фокуса в сердце НЕ является пороком развития сердца, а просто отражает характер его ультразвукового изображения. Гиперэхогенный фокус возникает в месте повышенного отложения солей кальция на одной из мышц сердца, что не мешает нормальной работе сердца плода и не требует никакого лечения.
Почему у плода может выявляться гиперэхогенный фокус в сердце?
Иногда гиперэхогенный фокус в сердце выявляется у абсолютно нормальных плодов, и при УЗИ в динамике этот признак может исчезать. Наличие гиперэхогенного фокуса в сердце плода может быть проявлением хромосомных болезней плода, в частности, синдрома Дауна. В связи с этим при обнаружении гиперэхогенного фокуса проводится тщательная оценка анатомии плода. Однако этот маркер относится к «малым» маркерам синдрома Дауна, поэтому выявление только гиперэхогенного фокуса в сердце не повышает риск наличия синдрома Дауна и не является показанием к проведению других диагностических процедур.
Что делать при выявлении гиперэхогенного фокуса в сердце плода?
Если у плода выявлен ТОЛЬКО гиперэхогенный фокус в сердце, то никаких дополнительных обследований не требуется; риск болезни Дауна не увеличивается. На плановом УЗИ в 32-34 недели еще раз будет осмотрено сердце плода. В большинстве случаев гиперэхогенный фокус в сердце исчезает к этому сроку беременности, но даже если он продолжает оставаться в сердце, это никак не влияет на здоровье плода и тактику ведения беременности.
5. Единственная артерия пуповины.

Нормальная пуповина состоит из трех сосудов - две артерии и одна вена. Иногда вместо двух артерий в пуповине формируется только одна артерия и одна вена, таким образом, в пуповине определяется всего два сосуда. Данное состояние считается пороком развития пуповины, однако этот порок не оказывает никакого влияния на послеродовое состояние ребенка и его дальнейшее развитие.
Почему у плода может определяться единственная артерия пуповины?
Иногда единственная артерия пуповины выявляется у абсолютно нормальных плодов; после рождения ребенка данный факт не оказывает никакого влияния на его дальнейшее развитие. Иногда единственная артерия пуповины сочетается с пороками сердечно-сосудистой системы плода, поэтому при выявлении единственной артерии пуповины проводится детальный осмотр анатомии плода и, в частности, сердечно-сосудистой системы. При отсутствии других пороков развития единственная артерия пуповины в состоянии обеспечить адекватный кровоток плода. Несколько чаще единственная артерия пуповины выявляется у плодов с синдромом Дауна и другими хромосомными болезнями. Однако этот маркер относится к «малым» маркерам синдрома Дауна, поэтому выявление только единственной артерии пуповины не повышает риск наличия синдрома Дауна и не является показанием к проведению других диагностических процедур. Единственная артерия пуповины иногда приводит к возникновению задержки внутриутробного развития плода. В связи с этим при обнаружении единственной артерии пуповины рекомендуется дополнительное УЗИ в 26-28 недель беременности, и плановое в 32-34 недели. Если отставание размеров плода от срока беременности или нарушение кровотока в сосудах плода и матки не выявлено, то диагноз задержки развития плода исключен.
Что делать при выявлении единственной артерии пуповины у плода?
Выявление только единственной артерии пуповины не повышает риск наличия синдрома Дауна и не является показанием к консультации генетика и проведению других диагностических процедур. Необходимо контрольное УЗИ в 26-28 и 32 недели беременности для оценки темпов роста плода и оценки его функционального состояния.
6. Кисты сосудистых сплетений (КСС).

Часто ли встречаются кисты сосудистых сплетений?
7. Расширение почечных лоханок (пиелоэктазия).
Почечные лоханки это полости, где собирается моча из почек. Из лоханок моча перемещается в мочеточники, по которым она поступает в мочевой пузырь.
Пиелоэктазия представляет собой расширение почечных лоханок. Пиелоэктазия в 3-5 раз чаще встречается у мальчиков, чем у девочек. Встречается как односторонняя, так и двухсторонняя пиелоэктазия. Легкие формы пиелоэктазии проходят чаще самостоятельно, а тяжелые иногда требуют хирургического лечения.
Причина расширения почечных лоханок у плода.
Опасна ли пиелоэктазия?
Умеренное расширение почечных лоханок, как правило, не влияет на здоровье будущего ребенка. В большинстве случаев при беременности наблюдается самопроизвольное исчезновение умеренной пиелоэктазии. Выраженная пиелоэктазия (более 10 мм) свидетельствует о значительном затруднении оттока мочи из почки. Затруднение оттока мочи из почки может нарастать, вызывая сдавление, атрофию почечной ткани и снижение функции почки.
Кроме того, нарушение оттока мочи нередко сопровождается присоединением пиелонефрита - воспаления почки, ухудшающего ее состояние. Несколько чаще расширение лоханок почек выявляется у плодов с синдромом Дауна. Однако этот маркер относится к «малым» маркерам синдрома Дауна, поэтому выявление только расширения почечных лоханок не повышает риск наличия синдрома Дауна и не является показанием к проведению других диагностических процедур. Единственное, что нужно сделать до родов - пройти контрольное УЗИ в 32 недели и еще раз оценить размеры почечных лоханок.
Нужно ли обследовать ребенка после родов?
У многих детей умеренная пиелоэктазия исчезает самопроизвольно в результате дозревания органов мочевыделительной системы после рождения ребенка. При умеренной пиелоэктазии бывает достаточно проводить регулярные ультразвуковые исследования каждые три месяца после рождения ребенка. При присоединении мочевой инфекции может понадобиться применение антибиотиков. При увеличении степени пиелоэктазии необходимо более детальное урологическое обследование.
В случаях выраженной пиелоэктазии, если расширение лоханок прогрессирует, и происходит снижение функции почки, бывает показано хирургическое лечение. Хирургические операции позволяют устранить препятствие оттоку мочи. Часть оперативных вмешательств может с успехом выполняться эндоскопическими методами - без открытой операции, при помощи миниатюрных инструментов, вводимых через мочеиспускательный канал. В любом случае вопрос об оперативном лечении решается после рождения ребенка и полного его обследования.
Что делать при выявлении ультразвуковых маркеров хромосомной патологии у плода?
Вам следует обратиться к специалисту генетику, который еще раз оценит результаты ультразвукового исследования и биохимического скрининга, рассчитает риск индивидуально для вашего случая и даст необходимые рекомендации по дальнейшему ведению беременности.
© 2022 краевое государственное бюджетное учреждение здравоохранения "Красноярский краевой медико-генетический центр" (КГБУЗ "ККМГЦ")
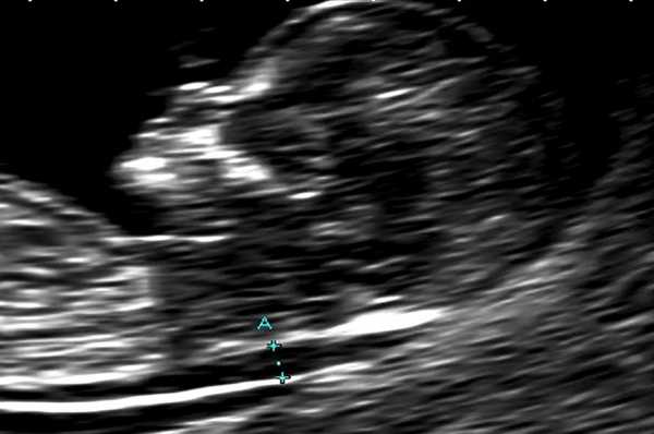
Толщина воротникового пространства (ТВП)
Воротниковое пространство - это скопление жидкости в области шеи плода. В нашей стране воротниковое пространство у плода исследуют в первом триместре беременности при скрининговом ультразвуковом обследовании в 10-14 недель беременности. Толщина воротникового пространства (ТВП) это область между внутренней поверхностью кожи плода и наружной поверхностью мягких тканей, покрывающих шейный отдел позвоночника.
Толщина воротникового пространства (ТВП)
Изображение воротникового пространства можно оценивать как с помощью трансабдоминального, так и трансвагинального сканирования. Оценка ТВП у плода проводится при значениях копчико-теменного размера (КТР плода) от 45 до 84 мм и позволяет заподозрить хромосомные аномалии, особенно трисомию 21-й хромосомы (синдром Дауна) и сформировать среди беременных группу риска по рождению детей с врожденной и наследственной патологией.
Толщина воротникового пространства (ТВП) на УЗИ
Толщина воротникового пространства. Норма
Толщина воротникового пространства в норме составляет от 0,7 до 2,7 мм в зависимости от срока беременности. Риск рождения ребенка с хромосомными аномалиями заметно увеличивается с утолщением воротникового пространства и возрастом матери. Поэтому всегда, когда толщина воротникового пространства составляет 3 мм или более, врач назначает проведение инвазивного кариотипирования (исследования, которое позволяет на клеточном уровне выявить возможность рождения малыша с генетическим синдромом, таким как синдром Дауна, Эдвардса, Патау и др), с использованием биопсии ворсин хориона (на анализ берется кусочек ткани плаценты) или раннего амниоцентеза (с целью получения образца амниотической жидкости).
Молодым женщинам (до 35 лет), не имеющим факторов повышенного риска хромосомных аномалий, может быть рекомендовано неинвазивное скрининговое УЗИ и сдача крови на биохимические маркеры (PPAP-А, ХГЧ, АФП).
Одновременный учет возраста матери, ТВП эмбриона и результатов определения в сыворотке крови матери свободного β-ХГЧ и РАРР-А позволяет более точно подтвердить или опровергнуть возможность рождения ребенка с хромосомными аномалиями, а также сократить количество инвазивных вмешательств.
Несмотря на наличие прямой зависимости между частотой хромосомных дефектов, врожденных пороков развития и расширением воротникового пространства у плода в ранние сроки беременности, ТВП нельзя полностью отождествлять с необходимостью прерывания беременности, так как более чем в 80% случаев рождаются здоровые дети. Расширенное воротниковое пространство является только показанием к более детальному и расширенному обследованию, в частности для своевременной диагностики врожденных пороков развития, которые могут проявиться позже обнаружения и исчезновения ТВП.
Читайте также:
- Синдром Брандта (Brandt)
- Лучевая болезнь периферической нервной системы. Облучение чувствительных нейронов
- Гистология (патологическая анатомия) меланомы заднего отдела сосудистой оболочки глаза
- Лучевая терапия и химиотерапия рака молочной железы у беременной
- Механизм регулирования ядерного транспорта
