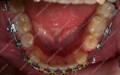
Пример операции при аномалиях прикуса. Лечение мезиального прикуса
Добавил пользователь Владимир З. Обновлено: 11.12.2025
Миогимнастика - это один из профилактических и лечебных методов при нарушениях развития зубочелюстной системы. По словам специалистов, метод получил в ортодонтии широкое распространение не только в качестве самостоятельного процесса, но и в сочетании с прочими методами лечения и профилактики аномальных случаев развития зубочелюстной системы. Миогимнастика используется для коррекции дефектного прикуса в детской стоматологии.
Что называют миогимнастикой
Миогимнастика в области ортодонтии - это результативный метод коррекции и профилактики аномалий развития зубочелюстной системы при помощи лечебной физической культуры. Специалистами был разработан комплекс особых упражнений для восстановления функций мышц в ротовой полости, которыми окружен каждый из зубных рядов.
Перед началом лечебных манипуляций необходимо провести оценку функционального состояния челюстей и зубов пациента, например, при помощи жевательной пробы по И. С. Рубинову.
Лечебный принцип миогимнастики состоит в тренировке мышц, способствующей их правильному функционированию. Существуют следующие области применения лечебной гимнастики:
- До начала ортодонтического лечения
- В сочетании с ортодонтическим лечением аномалий прикуса
- В качестве самостоятельного лечения
- После окончания лечения для предупреждения повторного появления недуга и закрепления результата
Помните, что использовать упражнения миогимнастики без консультации специалиста не рекомендуется, так как при разных причинах развития зубочелюстных аномалий необходимо применять различные комплексы упражнений. Только доктор может назначать подходящий комплекс миогимнастики с целью устранения каждого конкретного дефекта.
Тренировка и разминка круговой мышцы рта особенно важна при наличии межгубного зияния и ротового дыхания.

Эффективность миогимнастики
Эффективность лечебной гимнастики зависит от регулярности и качества выполнения пациентом комплекса упражнений, а также от степени выраженности зубочелюстной аномалии. При помощи упражнений можно добиться прекрасных результатов у детей в возрасте 4-7 лет с молочным прикусом, так как им достаточно легко объяснить, какое именно действие от них требуется.
В качестве самостоятельного лечебного метода миогимнастика позволяет добиться положительных результатов при наличии аномальных изменений верхних резцов.
Правила проведения миогимнастики
К выполнению упражнений специалисты предъявляют следующие правила и требования:
- Необходимость следить за интенсивностью мышечных сокращений - она должна находиться в физиологических пределах
- Достижение максимальной амплитуды мышечных сокращений
- Постепенность наращивания длительности и скорости мышечных сокращений
- Необходимость повторов мышечных сокращений при выполнении упражнений до возникновения чувства несильной усталости
- Необходимость небольших пауз между последовательными мышечными сокращениями
Упражнения миогимнастики могут выполняться с применением специальных аппаратов.
Комплекс упражнений миогимнастики
Специалисты создали немало упражнений и методик для устранения зубочелюстных дефектов.
Миогимнастика при глубоком прикусе
- Упражнение выполняется в положении стоя. Следует поднять подбородок вверх и завести руки по направлению назад. В данном положении необходимо максимально выдвигать вперед нижнюю челюсть, после чего вернуться в изначальное положение. Повтор упражнения - трижды в день по 10-15 раз
- Вышеуказанное упражнение через месяц необходимо усложнить. При выдвигании нижней челюсти следует передние нижние зубы выталкивать перед передними верхними зубами
- Упражнение по И. С. Рубинову, сводящееся к дозированному проведению гимнастики, например, открывание-закрывание рта, нижнюю челюсть выдвигать при этом не нужно. Подобные упражнения должны длиться от 3 до 5 минут, повтор подходов - 5 раз в день
Миогимнастика при открытом прикусе
Здесь применяются приемы для тренировки поднимающих нижнюю челюсть мышц:
- Выполняется сжимание-разжимание челюстей. Контролировать силу сжатия зубов и мышечных сокращений можно при помощи пальцев, которые необходимо прижимать около коренных зубов к щекам, надавливая на жевательные мышцы. Данное упражнение выполняется до появления ощущения утомления жевательных мышц
- Вышеуказанное упражнение необходимо усложнить, дополнив сопротивлением. Это достигается таким образом: нужно блокировать возможность поднятия нижней челюсти при помощи среднего и указательного пальца на правой руке, которые следует расположить на передних нижних зубах;
- Следует надеть резиновую трубку на карандаш и прикусывать его нижней челюстью
Миогимнастика при недоразвитии круговой мышцы рта
Тренировка и разминка круговой мышцы рта особенно важна при наличии межгубного зияния и ротового дыхания. Лечебные упражнения способствуют правильному развитию контуров рта и удлинению верхней губы. Успешные занятия миогимнастикой для мышечной тренировки, по словам специалистов, устраняют вероятность развития наклона резцов верхней челюсти.
Упражнения для коррекции губного смыкания и восстановления работы круговой мышцы рта
- Губы необходимо вытянуть вперед, как при задувании свечи, затем следует растянуть их, как при широкой улыбке. Далее губы следует снова вытянуть вперед, пытаясь одновременно что-либо говорить. Удерживаем губы в данном положении до полуминуты
- Нужно сильно сжать губы, набрать носом воздух, затем максимально раздуть щеки. Следует давить на них при помощи кулаков для выхода воздуха, не разжимая губ
- Губы сжать, набрать воздух под нижнюю губу, далее - и под верхнюю губу
- Взять полосу из плотного картона и положить между губами. Плотно сжимая ее, удерживать ее от 30 до 50 минут. Для новичков лучше начинать с одной минуты удерживания картона губами, постепенно наращивая длительность упражнения
- В уголках рта расположить мизинцы и слегка растягивать рот, после чего сомкнуть губы
- Валики из ваты средних размеров расположить за верхней и нижней губой с боков от уздечки, сомкнуть губы. В таком положении необходимо произносить звуки м, б и п
- Необходимо дуть на предметы, перемещающиеся в пространстве, например, на мыльный пузырь, перо или ватный кусочек. Эффективно для тренировки круговой мышцы рта
Миогимнастика при наличии мезиального прикуса
- Запрокинув голову назад, необходимо закрывать и открывать рот. При закрытии рта необходимо дотрагиваться до задней части твердого неба с помощью кончика языка
- Совершать подтягивание нижней губы под передние зубы верхней челюсти
- С помощью кончика языка выполнять надавливания на небные поверхности передних верхних зубов до появления ощущения утомления, в течение 3-5 минут
Миогимнастика при косом прикусе
В случае, когда косой прикус вызван смещением нижней челюсти в сторону, специалисты используют следующее упражнение: следует максимально открыть рот и переместить нижнюю челюсть в сторону неправильного зубного смыкания. Далее без смены положения необходимо поднять нижнюю челюсть до смыкания с верхней челюстью. Удерживать данное положение около 5 секунд, после чего опустить челюсть.
Миогимнастика для мышц языка
Специалисты перечисляют следующие упражнения для проведения коррекции смыкания губ:
- «Накажем непослушный язычок»: вытянутый язык следует разместить на нижней губе, а верхней губой нужно словно шлепнуть по нему в попытке быстрого смыкания губ
- «Часики»: плотно сжать губы и выполнять круговые движения языком под нижней и верхней губой по очереди
- «Отбойный молоток»: расположить язык около неба, рот широко раскрыт. Необходимо стараться сомкнуть губы, в момент смыкания издавать звук, напоминающий молоток
- «Красим потолок»: представить, что язык является кистью для покраски, а небо - это потолок. Выполняем «покраску» неба тщательно, не пропуская никаких его зон
Миогимнастика после подрезания уздечки языка
- Необходимо облизывать губы языком, двигаясь в направлении от уголков рта и пытаясь дотянуться языком сначала до подбородка, а после - до кончика носа
- «Пересчет» зубов при помощи языка с внутренней и наружной стороны
- «Всадник»: выполнять прищелкивания языком с широко открытым ртом
- Упираться в каждую из щек по отдельности кончиком языка
- Данный комплекс упражнений специалисты рекомендуют выполнять около 10 раз в день
Миогимнастика для мышц передней части языка
Подобный комплекс упражнений применяется специалистами при инфантильном глотании:
- Удерживать язык столбиком
- Нарезать резинку от пипетки тонкими кольцами, которые следует накладывать на кончик языка. Далее язык поднимать к альвеолам. Прижимая колечко из резины к ним. Сглотнуть без размыкания губ и закрытия рта. Следите за тем, чтобы избежать соскальзывания кольца. После каждого глотательного движения необходимо проверять наличие во рту колечка. Повтор глотаний за раз - до 12, в первый день глотаем 5-6 раз, во второй - 2 раза
- При сжатых зубах прижать язык с кольцом из резины к альвеолам и удерживать его до 5 минут. Постепенно время удерживания увеличивается до 15 минут
Помните, что использовать упражнения миогимнастики без консультации специалиста не рекомендуется, так как при разных причинах развития зубочелюстных аномалий необходимо применять различные комплексы упражнений.
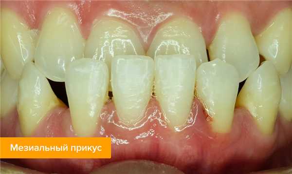
Мезиальный прикус — лечение и исправление
Мезиальный прикус или по-другому мезиальная окклюзия - одна из наиболее распространенных зубочелюстных аномалий.
Признаки мезиальной окклюзии
1. Признаки на уровне зубов:
- нижние передние зубы выступают кпереди , относительно верхних передних зубов (или имеют тенденцию таким образом выступать).
Нижние передние зубы выступают кпереди.
Такое соотношение зубных рядов может варьироваться от так называемого прямого смыкания (прямого прикуса), когда передние верхние и нижние зубы смыкаются буквально «стык в стык», до обратной дизокклюзии, когда нижние зубы довольно сильно «выпирают» по отношению к верхним, с образованием сагиттальной щели.
- Нижний зубной ряд удлинен из-за:
- крупных нижних зубов (нижняя макродентия)
- лишнего (сверхкомплектного) нижнего зуба нижних зубов (например, из-за неправильной позиции языка)
- Верхний зубной ряд укорочен из-за:
- его деформации (скученности зубов)
- мелких верхних зубов (нижняя микродентия)
- адентии (недостаточного количества) верхних зубов
- смыкание верхних и нижних боковых зубов по третьему классу:

- соотношение челюстей по третьему классу
- деформация нижнего зубного ряда - мезиальное смещение (смещение вперёд) нижних боковых зубов
2. Признаки на уровне челюстей:
- cоотношение челюстей на ТРГ (боковой телерентгенограмме) по третьему классу (нижняя челюсть определяется в более передней позиции по отношению к верхней).
- Большая (длинная) нижняя челюсть
- Нижняя челюсть спозиционирована кпереди (например, в результате ротации височных костей). Или же, как адаптация к осанке («балансир» при переднем постуральном типе осанки).
Часто такая передняя позиция нижней челюсти является вынужденной. Деформированные зубные ряды или особое взаиморасположение челюстей не позволяют верхним и нижним зубам нормально смыкаться. Становится просто неудобно (и потому невозможно) правильно их сомкнуть. Поэтому пациент вынужденно выдвигает нижнюю челюсть вперед. Особенно часто такое бывает у детей, когда нижние молочные клыки блокируют верхнюю челюсть. Тем самым, с одной стороны, блокируют её рост, а с другой стороны, клыки создают неудобства (условия) для вынужденного переднего положения нижней челюсти.
Соотношение челюстей по III классу на телерентгенограмме.
Нижние молочные клыки блокируют рост верхней челюсти.
3. На уровне лица (лицевые признаки):

Характерный профиль при мезиальном прикусе.
- - увеличение высоты нижней трети лица.
- - выступающая вперёд нижняя челюсть.
- - снижение высоты средней зоны лица.
- - «впуклая» (запавшая) верхняя губа
4. На уровне осанки:
- передний постуральный тип осанки

Характерная осанка при мезиальном прикусе.
Расположенная кпереди нижняя челюсть является
неким «балансиром» в контексте общего построения осанки.
- Общескелетные особенности (нарушения), нарушения осанки
Диагностика мезиальной окклюзии
Как видно из сказанного выше, у мезиальной окклюзии есть признаки. А есть причины. И эти понятия не стоит путать. Т.е. не стоит лечить признаки («третий класс смыкания» или «выступающую нижнюю челюсть»). Лечить нужно причину. До того, разумеется, её определив диагностически.
Кроме того, причины мезиального прикуса, как видно из текста выше, можно условно разделить на зубные и скелетные. А скелетные причины можно разделить на челюстные и постуральные (связанные с оcанкой). И все эти причины могут меж собой различным образом сочетаться.
В общем, для того, чтобы четко понимать, причину мезиального прикуса, в каждом конкретном случае, нужна диагностика. Только после анализа диагностических данных станет понятно, как и чем лечить мезиальную окклюзию у данного конкретного пациента.
Основными видами диагностических исследований при мезиальном прикусе являются:
- анализ боковой ТРГ (телерентгенограммы) . Он позволяет выявить челюстные факторы (размер и позиция челюстей) мезиальной окклюзии
- анализ моделей челюстей (зубных рядов) . Он позволяет выявить «зубные» причины мезиального прикуса
Анализ боковой ТРГ.
Анализ моделей челюстей.
Лечение мезиальной окклюзии
Главное в лечении мезиального прикуса - это соответствие причины возникновения мезиальной окклюзии и проводимой терапии. А причина определяется диагностически, ни в коем случае не «на глазок», не визуально. Поскольку внешние проявления (лицевые признаки) во всех случаях мезиального прикуса практически выглядят одинаково, но при этом причины могут быть разные (см.выше). А значит и лечение в разных случаях должно различаться.
Если в излишне выпирающем вперед подбородке виновата верхняя челюсть, то не стоит удалять нижние зубы. Или не стоит делать операцию на челюсти нижней, её уменьшая. Необходимо, адекватно причине, развить верхнюю челюсть (если она недоразвита).
Несъемный аппарат для развития верхней челюсти с винтом (1) и «ушками» для крепления тяги к лицевой маске (2). До активации.
Несъемный аппарат для развития верхней челюсти с винтом (1) и «ушками» для крепления тяги к лицевой маске (2). После активации.
Зубной ряд до развития.
Результат развития верхней челюсти (в данном случае промежуткт между зубами возникли из-за мелких зубов).

И (или) выдвинуть верхнюю челюсть вперёд (если она находится в задней позиции) с помощью лицевой маски.
Бывает, что причиной мезиального прикуса является укороченный верхний зубной ряд. К примеру, в нём не хватает одного или нескольких зубов (адентия), или же просто имеется скученность верхних зубов (что является следствием укорочения верхнего зубного ряда). Тогда необходимо развить верхний зубной ряд. Получив при этом место для отсутствующих зубов или исправление той самой скученности зубов.
Укороченный верхний зубной ряд (в результате укорочения не хватило места правому клыку). Вид снизу.
Динамика развития (удлинения) верхней челюсти с помощью несъемного аппарата.
Укороченный верхний зубной ряд (в результате укорочения не хватило места правому клыку). Вид сбоку.
Динамика развития (удлинения) верхней челюсти и нормализации сагиттальных соотношений зубных рядов. Вид сбоку.
А при нормализации длины верхнего зубного ряда нормализуется и смыкание фронтальных зубов (оно из обратного или прямого превращается в нормальное, устраняется сагиттальная щель).
Если в укорочении длины верхнего зубного ряда виноват размер верхних зубов (он более мелкий, чем нужен для нормального смыкания с нижними зубами), то исправление мезиального прикуса в данном случае осуществляется при помощи стоматологического протезирования (увеличения размера верхних зубов). При этом верхний зубной ряд, так же, предварительно должен быть развит до нормального (индивидуально высчитанного) размера. А, образовавшиеся при этом, межзубные промежутки (из-за мелких по размеру зубов), должны быть закрыты ортопедическими конструкциями (коронками, винирами и пр.).

Пример лечения с удалением нижних премоляров.
Если причиной смыкания зубных рядов по третьему классу является нижний зубной ряд (он удлинён) - напрашивается адекватный ответ - уменьшить его длину.
Сократить длину нижнего зубного ряда можно следующими способами:
- Переместить назад нижние зубы. Для того, чтобы было куда перемещать - обычно удаляют нижние зубы мудрости.
- Сделать сепарацию нижних зубов.
- Удалить нижние зубы (премоляры к примеру) и сократить длину нижнего зубного ряда за счёт закрытия промежутков от них.
Ведь удаление нижних премоляров не приведёт к таким осложнениям, как при удалении премоляров верхних (см. «О лечении с удалением»). При условии формирования нормальных межзубных контактов в конце лечения, разумеется.
Если в удлинении нижнего зубного ряда виновен лишний (сверхкомплектный) зуб - его удаляют, а промежуток от него закрывают при помощи брекетов (нижний зубной ряд укорачивается на один зуб).
Когда в мезиальной окклюзии виновата, находящаяся в передней позиции, нижняя челюсть, действовать надо очень вдумчиво и аккуратно: не «задвигать» нижнюю челюсть кзади и не лечить мезиальную окклюзию, уповая лишь на «волшебство» брекетов и эластиков.
Нижнюю челюсть задвигают кзади.
Рекламный ролик. Лечение мезиальной окклюзии лишь с помощью брекетов и эластиков.
«Орто-Артель» предупреждает! Будьте осторожны! Не путайте рекламу и реалии! Это опасно для здоровья!
Такое незамысловатое, и очень упрощённое, лечение может привести к компрессии элементов височно-нижнечелюстного сустава (ВНЧС). Со всеми вытекающими осложнениями (см. «Дисфункции ВНЧС»). Поэтому, опять надо искать причину (причину почему нижняя челюсть сдвинулась вперёд).
Если причиной передней позиции нижней челюсти является блок на фронтальных зубах, то перво-наперво надо этот блок убрать.
Если переднюю позицию нижней челюсти определяет внутренняя ротация височных костей (а именно в ямку височной кости «вставлена» суставная головка нижней челюсти), то здесь уже надо дать поработать остеопату. Поработать именно с черепом, приведя в порядок позицию височных костей.
В процессе непосредственного осмотра специалистом вы сможете узнать свой точный диагноз, а также получить направление на диагностику или план лечения.
Хирургическое лечение мезиального прикуса
Единственным показанием для лечения мезиальной окклюзии оперативным путём является нижняя макрогнатия. Т.е. когда в соотношении челюстей по третьему классу диагностически доказана вина большой по размеру нижней челюсти. И здесь, действительно, можно задуматься об операции. И то - только задуматься. Поскольку, наверняка в третьем классе межчелюстных взаимоотношений виновата не только нижняя челюсть. Наверняка, (и как правило) большой нижней челюсти сопутствует маленькая (недоразвитая) и (или) кзади расположенная челюсть верхняя. Тогда можно путём развития или переднего смещения верхней челюсти попытаться сократить «расхождение» челюстей по сагиттали. Идеально возможно и не получится, но как альтернатива операции, частенько получается хороший компромиссный результат лечения. Компромисс, устаивающий и пациента, и доктора. И потому, с хирургией торопиться не стоит.
Хирургическая коррекция мезиального прикуса.
Только если исчерпаны все средства и методы консервативного лечения (развитие и тракция верхней челюсти, нормализация позиции нижней челюсти), а расхождение по челюстям остается довольно внушительным и портит эстетику лица - тогда следует идти на операцию (уменьшить длину нижней челюсти).
Но здесь крайне важно, чтобы подобный поворот событий был просчитан и согласован с пациентом еще на этапе диагностики.
Ошибки в лечении мезиальной окклюзии
Все ошибки совершаются из-за неправильного планирования лечения.
Чаще всего это выражается в несоответствии уровня проведения лечения уровню причины мезиального прикуса. Например, виновата верхняя челюсть - оперируют нижнюю. Или виноваты челюсти (проблема скелетная), а решить проблему пытаются «на зубах» (только брекетами). Неправильное определение уровня проблемы случается при недостаточной по объему диагностике или неверной трактовке диагностических данных. Т.е. когда мезиальный прикус пытаются лечить лишь на основании внешних признаков (по сути «на глазок»). Не учитывая истинную причину.
Попытка сдержать рост нижней челюсти с помощью пращи.
Очень распространённой ошибкой в лечении мезиальной окклюзии у детей является попытка сдержать рост нижней челюсти с помощью специальной пращи.
Многие пробуют, но ни у кого пока не получилось что-то «сдержать». Потому как, против природы не попрешь. Она (природа) всё равно своё возьмет. Сколько заложено генетически - столько и вырастет. А вот получить осложнения при применении такой пращи можно запросто.
Клиника "Орто-Артель" предлагает рассрочку на весь процесс лечения любых заболеваний.
Персональные условия рассматриваются в индивидуальном порядке.
Мезиальный прикус. Лечение брекетами
Брекет-система очень эффективный аппарат для расстановки зубов на челюсти. В этом деле никакой другой аппарат не может сравниться с брекетами. Но! Как видим из перечисленных выше причин мезиального прикуса, большинство из них имеет отнюдь не зубную природу. А скелетную (челюсти, осанка). И потому, лечить мезиальный прикус брекетами (только одними брекетами под ключ), в абсолютном большинстве случаев, малоэффективно.
Как лечат мезиальный прикус в клинике «Орто-Артель»
В нашей клинике все случаи мезиальной окклюзии лечатся продуманно и комплексно:
- мы никогда не пренебрегаем диагностикой . В результате:
- мы всегда знаем, что является причиной мезиальной окклюзии у каждого конкретного пациента .
- зная причину (что лечить), мы всегда знаем, как это лечится и чем .
- у нас огромный арсенал аппаратуры и множество методов лечения мезиального прикуса для взрослых . И каждому пациенту индивидуально подбирается, именно для него эффективные, аппарат и технология.
- мы никогда не начинаем с брекетов (с уровня зубов) . Поскольку, чаще всего, мезиальный прикус имеет скелетную причину. Мы всегда прежде приводим в порядок осанку. А так же размеры и позиции челюстей. А зубами (с помощью тех же брекетов) мы, на завершающей стадии лечения, «закупориваем» полученный ортопедический эффект. В результате:
- наши пациенты, в абсолютном большинстве случаев, лечатся (а точнее вылечиваются) без операций и удалений зубов. И не потому что мы очень добрые. Просто продуманность лечебных действий и комплексный подход в деле исправления любой аномалии прикуса позволяют нам, в большинстве случаев, найти разумный выход. Без деструктивных, а главное, непродуманных решений.
- наши пациенты не имеют осложнений и рецидивов.
Если у Вас и Вашего ребёнка есть признаки мезиального прикуса (см.выше) - не стоит ждать чуда. Лучше обратиться к специалистам. А в деле лечения мезиальной окклюзии у взрослых специалистам-ортодонтам клиники «Орто-Артель» нет равных. Будем рады помочь!
Мезиальный прикус
Мезиальный прикус - аномалия окклюзии, характеризующаяся выдвижением вперед нижнего зубного ряда по отношению к верхнему при сомкнутом положении челюстей. Внешними проявлениями мезиального прикуса служат массивный, выступающий подбородок, вогнутый профиль лица, западающая верхняя губа; ротовые признаки включают мезиальную окклюзию моляров и клыков, прямую или обратную резцовую окклюзию; функциональные изменения - нарушения жевания и речи. Диагностике мезиального прикуса помогают данные антропометрических измерений, телерентгенографии, ортопантомографии, анализа диагностических моделей, рентгенографии ВНЧС. Коррекция мезиального прикуса включает миофункциональную гимнастику, массаж альвеолярного отростка, ортодонтическое лечение.
Общие сведения
Мезиальный прикус - разновидность неправильного прикуса, обусловленная сдвигом нижней челюсти вперед по отношению к верхней. Наряду с дистальным прикусом (прогнатией), мезиальная окклюзия зубных рядов относится к аномалиям прикуса в сагиттальном направлении. Распространенность мезиального прикуса в популяции колеблется от 1 до 12%. В числе прочих зубочелюстных аномалий удельный вес мезиального прикуса составляет 2-6%. В стоматологии мезиальный прикус также обозначается понятиями «III класс смыкания по Энглю», «прогения», «прогенический прикус», «нижняя прогнатия», «антериальный прикус» и др. Мезиальный прикус может сочетаться с открытым и перекрестным прикусом.
Причины мезиального прикуса
Мезиальный прикус формируется под влиянием генетических, врожденных и приобретенных факторов. Генетические формы мезиального прикуса связаны с наследственными особенностями строения лицевого черепа и регистрируются в 20-40% случаев аномалии. В период антенатального онтогенеза к мезиальному прикусу могут привести заболевания беременной, родовые травмы новорожденного, гипоплазия межчелюстной кости и др. В числе факторов, способствующих формированию мезиального прикуса, большую роль играют сопутствующие аномалии зубов и полости рта: сверхкомплектные зубы на нижней челюсти, частичная и множественная адентия в области верхней челюсти, микродентия верхних зубов или микродентия нижних зубов, короткая уздечка языка, макроглоссия.
Среди причинно значимых постнатальных факторов следует отметить искусственное вскармливание ребенка, заболевания раннего возраста (рахит), ротовое дыхание вследствие ЛОР-патологии (искривления носовой перегородки, гипертрофии небных миндалин) и др. Отдельную группу причин составляют различные поведенческие факторы, способствующие возникновению мезиального прикуса: сосание верхней губы, пальцев и различных предметов; сон с опущенной на грудь головой; привычка подкладывать кулак или кисть руки под подбородок в положении сидя. К развитию мезиального прикуса могут приводить нарушения в сроках и последовательности прорезывания зубов, а именно - ретенция верхних зубов и раннее прорезывание зубов нижней челюсти.
Недоразвитию верхней челюсти и формированию мезиального прикуса в отдельных случаях может способствовать остеомиелит челюстей, последствия коррекции нёбной расщелины, опухоли челюстей, акромегалия.
Классификация мезиального прикуса
С учетом размеров и положения челюстей выделяют следующие виды мезиального прикуса:
1. Мезиальный прикус, обусловленный нижней макрогнатией:
- при нормальных размерах верхней челюсти
- при недоразвитии или дистальном положении верхней челюсти
2. Мезиальный прикус, обусловленный нижней прогнатией:
- при увеличении базального отдела нижней челюсти
- при увеличении подбородочного отдела нижней челюсти
3. Мезиальный прикус, обусловленный верхней микрогнатией.
4. Мезиальный прикус, обусловленный верхней ретрогнатией.
5. Мезиальный прикус, обусловленный сочетанием:
- верхней микрогнатии и нижней макрогнатии;
- верхней ретрогнатии и нижней прогнатии;
- верхней микрогнатии и нижней прогнатии;
- верхней ретрогнатии и нижней макрогнатии.
Первый и второй варианты мезиального прикуса в ортодонтии расцениваются как истинная прогения; третий и четвертый вариант - как ложная прогения, при которых нижняя челюсть имеет нормальные размеры, а мезиальный прикус обусловлен недоразвитием верхней челюсти или ее ретропозицией.
С учетом нарушения окклюзии в сагиттальном направлении и величины и нижнечелюстного угла выделяют три степени мезиального прикуса:
- I степень - сагиттальная щель между передними зубами до 2 мм; нарушение соотношения между первыми молярами в сагиттальном направлении до 5 мм; нижнечелюстной угол до 131°.
- II степень - сагиттальная щель между передними зубами до 10 мм; нарушение соотношения между первыми молярами в сагиттальном направлении до 10 мм; нижнечелюстной угол до 133°.
- III степень - сагиттальная щель между передними зубами больше 10 мм; нарушение соотношения между первыми молярами в сагиттальном направлении 11-18 мм; нижнечелюстной угол до 145°.
Также различают зубоальвеолярную и гнатическую форму мезиального прикуса: в первом случае возможно произвольное смещение нижней челюсти назад до достижения правильной окклюзии боковых зубов; при второй форме смещение невыполнимо.
Симптомы мезиального прикуса
При мезиальном прикусе может отмечаться сочетание тех или иных лицевых и внутриротовых признаков, а также обусловленных ими различных функциональных нарушений. Внешне мезиальный прикус проявляется выдвижением подбородка и нижней губы вперед, западением верхней губы, нередко - зиянием ротовой щели. При этом средняя треть лица в профиль выглядит запавшей, вогнутой. В целом выражение лица пациента с мезиальным прикусом характеризуется как «сердитое».
Внутриротовые признаки мезиального прикуса характеризуются обратным резцовым перекрытием или прямой окклюзией зубов в переднем отделе; наличием мезиальной ступеньки при смыкании жевательных зубов. Возможен оральный наклон зубов на нижней челюсти, образование диастем и трем, наличие дистопированных зубов. Скученное положение зубов на нижней челюсти может обусловливать отложение зубного камня, развитие гингивита и пришеечного кариеса.
Функциональные нарушения при мезиальном прикусе могут включать дефекты речи (межзубный сигматизм - разновидность механической дислалии), затруднения откусывания и пережевывания пищи, дисфункцию ВНЧС. Неправильное распределение жевательной нагрузки в области передних зубов сопровождается перегрузкой тканей пародонта, развитием пародонтоза и ранней потерей зубов. Мезиальный прикус может препятствовать проведению протезирования и дентальной имплантации.
Диагностика
Для распознавания мезиального прикуса, правильной оценки его вида и степени необходима консультация ортодонта. Обследование пациента начинается с осмотра лица в фас и профиль, снятия антропометрических показателей, визуальной оценки окклюзии в полости рта, проведения функциональной пробы, позволяющей отличить истинную прогению от ложной.
Степень выраженности мезиального прикуса оценивается по результатам определения прикуса с помощью прикусных валиков, изучения диагностических моделей, ортопантомографиии, телерентгенографии в боковой проекции, рентгенографии и томографии ВНЧС. Для выявления функциональных нарушений производится электромиография жевательных и височных мышц; консультация логопеда и отоларинголога.
Лечение мезиального прикуса
В дошкольном возрасте, когда челюсти ребенка находятся в процессе роста, для коррекции мезиального прикуса назначается миофункциональная гимнастика и массаж альвеолярного отростка верхней челюсти; при необходимости проводится пластика уздечки языка. Для отучения ребенка от вредных оральных привычек рекомендуется использование вестибулярных пластинок. Ортодонтическое лечение на данном этапе по показаниям может проводиться с помощью аппарата Брюкля, каппы Бынина. Существует мнение, что наилучшие результаты лечения мезиального прикуса в период молочного и раннего сменного прикуса достигаются в случае использования лицевой маски.
В период сменного прикуса лечение мезиальной окклюзии проводится с использованием активаторов Андрезена-Гойпля, Кламмта, Френкеля, аппаратов Вундерера или Персина. С установлением постоянного прикуса для коррекции аномальной окклюзии применяется несъемная ортодонтическая техника - брекет-системы. Одновременно с ортодонтическим этапом проводятся логопедические занятия по коррекции дислалии.
Протетическое лечение мезиального прикуса может включать избирательное пришлифовывание зубов, съемное или несъемное протезирование для нормализации окклюзионных контактов. Иногда при чрезмерном развитии нижней челюсти возникает необходимость предварительного хирургического лечения - удаления зубов, остеотомии ветви нижней челюсти.
Прогноз и профилактика
Наилучшие результаты коррекции мезиального прикуса достигаются при начале лечения в период молочного или сменного прикуса. Несмотря на все сложности, коррекция эстетических и функциональных нарушений возможна даже во взрослом возрасте. Однако в этом случае увеличиваются сроки лечения, нередко требуется поэтапное лечение с участием стоматологов-хирургов, ортодонтов, ортопедов.
Важную роль с точки зрения профилактики мезиального прикуса играет нормальное течение беременности и родов, грудное вскармливание, отучение ребенка от вредных привычек, правильное положение во время сна. Необходимо своевременное лечение заболеваний, замедляющих или нарушающих рост челюстных костей, коррекция аномалий отдельных зубов.
Исправление мезиального прикуса
Мезиальный прикус признается исследователями и практикующими ортодонтами одной из самых редких и сложных в лечении зубных патологий.
Мезиальная окклюзия или прогения — это вид неправильного прикуса, при котором нижняя челюсть выступает вперед относительно верхней. Нижние резцы перекрывают верхние или образуют обратную саггитальную щель — промежуток между передними и нижними передними зубами.
Обратное резцовое перекрытие
Обратное резцовое перекрытие на КЛКТ-снимке
Как определить мезиальный прикус?
- По лицу. Мезиальный прикус можно определить по строению лица даже без взгляда на улыбку. Профиль вогнутый — средняя треть лица немного западает назад, особенно относительно нижней трети. Подбородок выдается вперед и выглядит массивно и непропорционально лицу и верхней челюсти. При этом, нижняя губа выглядит толще, а верхняя западает. Выражение лица кажется сердитым.
- По осанке. Височно-нижнечелюстной сустав напрямую связан с позвоночником, поэтому его неправильное положение (в результате аномалий прикуса) влияет на положение и баланс всего тела. Для обладателей сложных форм мезиального прикуса характерно небольшое отклонение тела назад. Если провести прямую через все тело в профиль, то голова будет отклонена немного назад, а тазовые кости выдвинуты вперед.

Вогнутый профиль при мезиальном прикусе

Нарушение осанки при мезиальном прикусе


Виды мезиального прикуса
По форме:
- Зубоальвеолярная форма. Прикус как результат неправильного положения зубов.
- Гнатическая или скелетная форма — неправильный прикус, образованный патологией развития челюстей. Более сложная форма прикуса, иногда требующая хирургического вмешательства.
Часто клинические случаи мезиального прикуса сочетают в себе обе формы — и неправильно стоящие зубы, и аномальные размеры челюстей.
По причинам возникновения:
- Врожденные аномальные размеры челюстей: макрогнатия нижней челюсти — большая или вытянутая в длину нижняя челюсть; микрогнатия верхней челюсти — недоразвитая, маленькая верхняя челюсть.
- Прогнатия нижней челюсти — вынужденное положение, когда отдельные зубы мешают нормальному смыканию челюстей и росту челюстей. Такой прикус образуется у детей на молочных зубах из-за клыков, которые цепляются за нижние зубы и не дают нижней челюсти занять нормальное положение.
- Ретрогратия верхней челюсти — заднее положение верхней челюсти относительно пропорций лица. В отличие от микрогнатии, в данном случае челюсть имеет нормальный размер, но неправильное положение.
- Аномальные размеры зубов: макродентия — крупные зубы на нижней челюсти, микродентия — маленькие зубы на верхней челюсти.
Причины появления мезиального прикуса
На ранних этапах развития:
- Наследственность — врожденное неправильное строение черепа и лицевых костей. Передается генетически, иногда зависит от этнической принадлежности. Вероятность мезиального прикуса у монголоидной расы выше, чем у европеоидов.
- Болезни матери во время беременности, неблагоприятная внешняя среда, недостаток питательных веществ во время внутриутробного развития.
- Неправильное грудное вскармливание.
- Макроглоссия — увеличенный размер языка.
- Детские заболевания (рахит, нарушения работы эндокринной железы)
- Вредные привычки: сосание верхней губы, пальца.
- Короткая уздечка языка.
В период молочных и постоянных зубов:
- Нарушение стираемости молочных зубов, в результате чего зубы (чаще клыки) мешают нормальному смыканию верхних и нижних челюстей. Нижняя челюсть при смыкании соскальзывает и занимает вынужденное положение впереди.
- Позднее прорезывание или ранее выпадение зубов на верхней челюсти.
- Сверхкомплектные зубы на нижней челюсти.
- Неправильное положение тела: опускание головы на грудь во время сна, подпирание подбородка рукой в сидячем положении.
Последствия мезиального прикуса
В первую очередь, мезиальная окклюзия нарушает внешнюю эстетику. Непропорциональное лицо выдает неправильный прикус даже, если человек не улыбается. Выражение лица кажется суровым и сердитым.
Неправильное резцовое перекрытие и щель между передними зубами сильно затрудняет процесс жевания. Передние зубы стираются друг о друга, а вся жевательная нагрузка перераспределяется между несколькими зубами, которые быстрее разрушаются и больше подвержены кариесу из-за постоянной работы. При потере зубов в результате неправильного прикуса осложняется имплантация и протезирование — для адекватного восстановления зубов может не хватить места.
Если верхние резцы в результаты обратного перекрытия достают до слизистой нижней челюсти, то на месте контактов возникает хроническая травма. Она ведет к размножению бактерий, пародонтиту, рецессиям и повышению риска онкологии.
Неправильные зубные контакты или строение челюстей напрямую влияют на височно-нижнечелюстной сустав. Результатом неправильного положение сустава становятся щелчки, боли при открытии рта или пережевывании пищи, головные боли, дистрофия и заклинивание (застывание в одном положении) сустава.
Для составления полной клинической картины и плана лечения нужны качественные диагностические данные нескольких видов:
- Визуальный осмотр зубов и лица врачом ортодонтом. Обычно происходит на первой консультации. Врач оценивает положение, размеры и состояние зубов. При необходимости направляет к дополнительным специалистам.
- Оценка положения и размера челюстей по КЛКТ. Только 3D-снимок всего черепа даст врачу точное представление о том, как располагаются челюсти относительно друг друга, в каком состоянии находится височно-нижнечелюстной сустав. На основании этих данных составляется план перемещения зубов, оценивается необходимость хирургического вмешательства или дополнительного лечения дисфункции сустава.
- Оценка положения, соотношения и смыкания зубов с помощью слепков.
- Подробный фотопротокол для составления плана лечения и дальнейшего отслеживания динамики лечения.
Лечение
Методики лечения мезиального прикуса зависят от возраста пациента и формы прикуса (скелетной или альвеолярной). Ранее лечение, как правило, проходит быстрее и эффективнее, потому что челюсти, зубы и костная ткань альвеолярного отростка находятся в фазе роста.
Лечение в молочной и сменном прикусе
При диагностике мезиального прикуса у ребенка на молочном или сменном прикусе, в первую очередь, необходимо исключить факторы, которые усугубляют патологию:
- вредные привычки. Облегчить отучение от вредной привычки и адаптацию к правильному положению челюстей помогут специальные челюстные аппараты.
- неправильное глотание или ротовое дыхание. Для устранения проблем с дыханием потребуется консультация врача-ЛОР.
- вынужденное положение челюсти из-за мешающих бугорков или режущих краев отдельных зубов. В этом случае, зубы пришлифовываются в безопасном объеме для нормального смыкания.
Если нижняя челюсть смещена вперед незначительно, то для коррекции показан массаж альвеолярного отростка (места, откуда растут зубы) со стороны неба в переднем участке верхнего зубного ряда. Общее положение челюсти корректируется съемными аппаратами.
При глубоком резцовом перекрытии на сменном прикусе применяется аппарат Брюкля. Он перемещает верхние зубы вперед, а надкусочная пластина способствует разобщению прикуса на фронтальных зубах.
Развитию челюсти может дополнительно мешать давление губ, языка и щек на альвеолярные отростки и зубы. Регулятор функции Френкеля 3-го типа нормализует положение и соотношение зубов, языка и щек.


Аппарат Френкеля 3-го типа
Как показывают исследования, сдержать рост нижней челюсти невозможно, поэтому в молочном и сменном прикусе ортодонтическое лечение сосредоточено на стимуляции роста верхней челюсти. Для этого устанавливается частичная брекет-система «4+2» на постоянные резцы и первые моляры. Действие брекетов способствует расширению и удлинению верхней челюсти.
Частичная брекет-система при мезиальном прикусе"
Лечение в постоянном прикусе зубоальвеолярной формы
При зубоальвеолярной форме мезиальный прикус образуется за счет неправильного положения зубов. Для его исправления достаточно установки брекет-системы. Лечение проходит с обязательным использованием межчелюстных тяг — эластиков, которые помогают вытянуть нижний зубной ряд назад. При сильной аномалии удаляются нижние восьмые зубы (зубы мудрости), а к вытягиванию зубного ряда подключаются мини-винты. Мини-винты или микроимпланты —небольшие винтики, которые становятся абсолютной опорой.
Лечение в постоянном прикусе гнатической формы
Скелетная форма прикуса, то есть, закрепление прикуса на уровне костей черепа, требует дополнительного хирургического вмешательства. Ортогнатический хирург корректирует размеры и положения челюстей уже после установки брекетов и корректировки положения зубов. После операции врач-ортодонт детализирует положение зубов для идеальной улыбки.
Лечение мезиального прикуса в клинике «Конфиденция»
В клинике «Конфиденция» лечения прикуса начинается с детальной диагностики. Мы уделяем этому этапу большой значение, так как от грамотная диагностика дает четкие представления о причинах формирования мезиального прикуса, помогает спланировать правильное лечение.
Для создания 3D-снимков мы используем один из самых современных томографов — он позволяет создать снимки отличного качества при максимальной безопасности для здоровья пациента.
На диагностике и при каждом посещению мы ведет тщательный фотопротокол для отслеживания результатов и корректировки процессов лечения.
Наши ортодонты работают с самыми продвинутыми брекет-системами, в том числе, индивидуальными и лингвальными брекетами.

Лечение мезиального прикуса на брекетах с использованием межчелюстных тяг

Лечение мезиального прикуса: лингвальные брекеты на верхней челюсти, использование межчелюстных тяг

Содержание статьи
Что представляет собой мезиальный прикус?
Мезиальный прикус — это обобщающее понятие для нескольких схожих аномалий, основной отличительной особенностью которых является заметно выступающая нижняя челюсть. Данный вид искривления также очень часто называют прогенией, и разделяют ее на истинную и ложную. В результате истинной прогении неправильное смыкание зубов возникает из-за излишне развитой нижней челюсти или ее части. Ложная же аномалия, наоборот, появляется в ходе недоразвития верхней челюсти или из-за постоянного выдвижение нижней. Передние зубы при мезиальном прикусе практически не соприкасаются друг с другом, а задние смыкаются неправильно.

Устранить прогению без хирургического вмешательства можно только в период формирование скелета, то есть в детском и подростковом возрасте, и чем раньше начнется лечение, тем легче оно будет проходить.
Причины развития мезиального прикуса
На образование прогении чаще всего влияет наследственность. Даже если искривление наблюдалось только у одного родителя, риск его развития у ребенка сильно возрастает.
Часто мезиальный прикус — это врожденная аномалия, формирующаяся на одном из этапов беременности.
Выдвижению нижней челюсти способствуют увеличенные миндалины и аденоиды, а также ротовое дыхание.
Частое покусывание верхней губы, излишнее давление на подбородок, слишком сильное и неравномерное истирание молочных и коренных зубов или потеря передних также способствуют появлению мезиального прикуса.
На размеры верхней челюсти также влияет отсутствие или несвоевременное выпадение зубов.
Короткая уздечка языка и небная расщелина.
Мезиальный прикус может образовываться из-за опухолей на челюстях, остеомиелита, рахита и травм.

Мезиальный прикус у ребенка
- Кончиком языка оказывать давление на верхние передние зубы с внутренней стороны до появления усталости в мышцах (около 3-5 минут).
- Удерживать нижнюю губу, зажав ее верхними зубами, затем отпустить.
- Открывать, затем медленно закрывать рот со смещением нижней челюсти назад и установлением передних зубов в краевом смыкании. Время удержания — от 4 до 8 секунд.
Если же искривление связано с неравномерным истиранием молочных зубов, их следует выровнять, «подточив» остальные или восстановив обточенные коронками. Что касается короткой уздечки языка, то ее можно «удлинить» хирургическим путем еще в роддоме.

Более серьезные искривления в период молочного и сменного прикуса устраняют с помощью комбинированного лечения. Изменить положение зубных рядов, а также минимизировать оказываемое на них давление со стороны щек и губ помогают вестибулярные пластинки, формирователи прикуса, аппараты Брюкля, активаторы Френкля и Кламмта и другие схожие с ними устройства. Однако для нормализации размеров и положения челюстей нужны дополнительные конструкции.
Для устранения дефектов нижней челюстной кости используют лицевые дуги и подбородочный пращ с резиновой тягой. С их помощью на нижнюю челюсть оказывается определенное давление, благодаря которому она деформируется и принимает правильное положение. При недоразвитии верхней челюсти применяют небный расширитель, однако его воздействие направлено только на зубные ряды и, соответственно, на альвеолярные отростки, из которых растут зубы. А вот изменить размер всей челюсти он, к сожалению, не может — для этого потребуется хирургическое вмешательство.
Исправление мезиального прикуса у взрослых
Подготовка к операции включает обследование пациента для выявления сопутствующих патологий, а также компьютерное моделирование правильной формы лица.
При прогении операцию чаще всего проводят на нижней челюсти, меняя ее размер и положение путем иссечения или, наоборот, увеличения некоторых частей кости. Во время остеотомии (искусственный перелом костей) фрагменты костей соединяются пластинами из титана, пока не вырастет костная ткань. Одновременно происходит смещение мягких тканей лица и дна полости рта. Послеоперационные мероприятия включают: наложение шины на щеки и подбородок, курс антибактериальной терапии для снижения риска возможных осложнений и инфицирования. Процедура проходит под наркозом, а по ее окончании пациент какое-то время остается в стационаре.
После хирургического исправления могут быть такие явления, как:
- онемение в местах вмешательства;
- заложенность носа;
- тошнота, иногда рвота;
- отеки и синяки в районе губ и щек;
- боль при движениях челюсти;
- невнятная речь.
Реабилитационный период после хирургического вмешательства занимает от одного до нескольких месяцев, но это не значит, что нельзя будет ходить работу — просто придется поберечься и какое-то время соблюдать назначенный врачом режим. А именно, обязательно придерживаться диеты (только пюреобразная и мягкая пища) и ежедневно обрабатывать ротовую полость антисептиками. Швы и шины снимают через 2 недели, а пластины —спустя 4 месяца.


Иногда специалисты для достижения правильной окклюзии в дополнение к ортодонтическому лечению прибегают еще и к удалению зубов, в основном — четвёрок или восьмёрок. Наибольший эффект от данной манипуляции можно получить в период формирования скелета, так как отсутствие некоторых зубов не только позволяет выровнять зубные ряды, но и уменьшить зубоальвеолярную часть челюсти. Однако при сильных зубочелюстных искривлениях даже удаление не поможет избежать ортогнатической операции.
Сроки лечения
Как уже было сказано, исправлять мезиальный прикус у детей проще, чем у взрослых. Однако лечение прикуса, так или иначе, будет долгим. Даже в совсем юном возрасте на коррекцию положения и размеров челюстей может уйти около четырех лет, а в подростковом — и все пять. У взрослых исправление мезиального прикуса также отнимает достаточно много времени, хотя хирургическое вмешательство, как ни странно, может ускорить процесс.
Ретенционный период
Как и любое ортодонтическое лечение, исправление мезиального прикуса требует ретенции, то есть закрепления результата. Для того чтобы зубы не разъехались, на их заднюю часть устанавливают несъемный ретейнер, который представляет собой тонкую и почти незаметную проволоку. Зафиксировать челюсти в правильном положении помогают съемные капы или формирователи прикуса, которые можно надевать на ночь или носить в течение дня. После создания правильного смыкания также необходимо наладить работу мышц — для этого пациентам назначают курс гимнастических упражнений.
Если не лечить мезиальный прикус
Узнав о том, как проходит лечение мезиального прикуса у детей и взрослых, многие начинает задаваться другим вопросом — а можно ли оставить все как есть? По большому счету — нельзя. Неправильный прикус — это не только некрасиво, но еще и опасно. Даже начальная форма искривления, если ее вовремя не устранить, может развиться в самую тяжелую, до неузнаваемости изменить внешность человека, а также нарушить работу височно-нижнечелюстного сустава и, как следствие, функцию жевания.
Помимо асимметричного "сердитого" лица и заднего "постурального" типа осанки люди не могут даже нормально питаться. Ведь из-за патологии зубов у человека возникают проблемы с откусыванием и пережевыванием пищи, в результате этого плохо пережеванная пища раздражает слизистую пищевода и желудка. Отсюда нарушения работы желудочно-кишечного тракта (эзофагиты, гастриты, язвы, плохое усваивание витаминов и других полезных веществ). Также сильно страдает височно-нижнечелюстной сустав, который не справляется с увеличенной нагрузкой. Как следствие, возникают травмы, вывихи, ограничение подвижности в боковых направлениях, появляется хруст и беспокоят боли в нижней челюсти, ушах и шее. Одно из распространенных и неприятных последствий мезиального прикуса —дефекты речи.
Все вышеперечисленные процессы приведут к истиранию зубов и их потере, нарушению работы внутренних органов, головным и суставным болям и даже к депрессии. При данной патологии зубочелюстной системы особенно часто отмечаются такие негативные явления, как низкая самооценка, неуверенность, замкнутость, коммуникативные проблемы, повышенная тревожность и т.д. Помимо всего прочего, если пациент решится на протезирование из-за потери зубов, то и здесь будут проблемы: деформация челюсти и неправильное расположение зубов осложняют протезирование и дентальную имплантацию, а порой и делают их проведение невозможным.
Читайте также:
