Пример пищеводного свища. Течение пищеводного свища
Добавил пользователь Евгений Кузнецов Обновлено: 02.11.2025
В основном спектр пособий, предлагаемый различными авторами, - от симптоматических до паллиативных мер. Удовлетворительный паллиативный эффект удается достичь у ряда больных, используя рентгенологический и эндоскопический способы транстуморальной интубации, установки различных эндопротезов (нитиноловые, металлические с полиуретановым покрытием, поливинилхлоридные и т.д.). Однако при этом сохраняется угроза кровотечения из распадающейся опухоли. Возможна миграция протеза с обтурацией просвета пищевода, а также возникновение пролежня в стенке с формированием вторичного свища.
Сторонники активной хирургической тактики с целью повышения качества жизни пациентов рекомендуют различные варианты шунтирующих операций как альтернативу гастро- и еюностомии.
Крайне сложная проблема - радикальное лечение больных раком пищевода при наличии пищеводно-медиастинальных, пищеводно-легочных, пищеводно-бронхиальных и пищеводно-трахеальных свищей. Тяжесть состояния пациентов и травматичность этих операций объясняют высокую послеоперационную летальность - более 60% Опыт 6 удачных одномоментных эзофагэктомий и резекций легких в различном объеме по поводу злокачественных пищеводных свищей опубликовали китайские хирурги (Zhang D. et al, 1995). Японским коллегам в дополнение к комбинированной операции удалось 2 пациентам успешно провести послеоперационное химиолучевое лечение. Больные пережили 2 года без рецидива заболевания (Saitoh Y. et al, 1995).
Накопленный за многие годы позитивный опыт брюшной и грудной онкохирургии, высокий профессиональный уровень специалистов анестезиологов и реаниматологов позволили в клинике торакоабдоминальной онкологии ФГБУ «НМИЦ онкологии им. Н.Н. Блохина» Минздрава России в начале 90-х годов пересмотреть принципы лечения больных со злокачественной пищеводной фистулой в пользу активной хирургической тактики.
Одномоментная субтотальная резекция пищевода и пластика желудком с формированием пищеводно-желудочного анастомоза в куполе правого гемиторакса (операция типа Льюиса) была выполнена у 19 пациентов. Резекция проксимального отдела желудка и нижнегрудного отдела пищевода левосторонним абдоминоторакальным доступом (операция типа Гарлока) произведена 3 пациентам. В 10 случаях имело место обходное пищеводно-желудочное соустье из различных доступов. В связи с крайне низкими показателями функции дыхания и выраженной сердечной патологией у 3 пациентов была сформирована гастростома. Во всех 19 случаях операция типа Льюиса носила комбинированный характер: у 8 с - резекцией грудного лимфатического протока и магистральных вен на протяжении, у 6 - с клиновидной резекцией нижней доли правого легкого, перикарда и диафрагмы; еще у 2 - с нижней лобэктомией справа; у 1- с нижней билобэктомией; 1 пациенту по поводу пищеводно-бронхиального свища была выполнена резекция пищевода единым блоком с правым легким; у 1 больного резекция пищевода сопровождалась моноблочным удалением 6 полуколец трахеи с формированием внутригрудного циркулярного трахеального анастомоза.
У 10 пациентов операция типа Льюиса по характеру была условно радикальной, и в одном случае - паллиативной (вследствие опухолевой инфильтрации бифуркации трахеи). В одном случае операция типа Гарлока была выполнена в комбинированном варианте с удалением нижней доли левого легкого и в одном- с резекцией нижней доли правого легкого.
Анализ непосредственных результатов хирургического лечения выявил осложнения в 40% случаев (14 из 35) и 14,3% послеоперационной летальности (5 из 35). Летальность после резекций пищевода составила 14,2% (3 из 21).
Резекция пищевода в послеоперационном периоде в 5 случаях осложнилась абсцедирующей пневмонией (у одного из пациентов на третьи сутки после операции развился острый инфаркт миокарда) и в 3 - эмпиемой плевры и медиастинитом. Только у 1 пациента причиной эмпиемы и медиастинита явилась несостоятельность швов пищеводного анастомоза, у 2 других нарушения герметичности пищеварительной трубки отмечено не было.
Осложнения после операций пищеводного шунтирования и гастростомий включали двухстороннюю пневмонию (3 больных), кровотечения из распадающейся опухоли (1 больной), медиастинит (2 больных). Причиной смерти в одном случае было кровотечение из распадающейся опухоли и в другом - абсцедирующая пневмония.
Неблагоприятными факторами прогноза у больных со свищами при раке пищевода, как и при любом опухолевом процессе, являются глубина опухолевой инвазии стенки пищевода и лимфогенное метастазирование.
Все больные, которым были сформированы обходные пищеводные анастомозы, умерли в сроки от 9 до 14 месяцев. У 6 больных, прослеженных после условно радикальных резекций пищевода, в процессе динамического наблюдения были диагностированы метастазы в надключичных и паратрахеальных лимфоузлах. 5 пациентов (83,3%) не пережили 2-х летнего срока наблюдения (в среднем они жили 17 месяцев). Один больной после комбинированной операции Льюиса с нижней лобэктомией по поводу пищеводно-легочного свища прожил 31 мес.
Анализируя непосредственные результаты и выживаемость в этой группе больных, необходимо учитывать, что операция избавила часть из них от ближайших смертельных осложнений. Удалось существенно повысить качество жизни путем устранения дисфагии. Таким образом, хирургическое вмешательство можно рассматривать как первый этап специального противоопухолевого лечения, создающий условия для дальнейшего проведения лучевой и химиотерапии.
Пример пищеводного свища. Течение пищеводного свища

Свищ пищевода - это появление соединения между пищеводом и окружающими его органами и тканями. Наиболее часто свищи формируются между пищеводом и трахеей, бронхами (пищеводно-трахеальные и пищеводно-бронхиальные), либо с плеврой и средостением (пищеводно-плевральные и пищеводно-медиастинальные).
Приобретенные свищи пищевода являются тяжелым заболеванием и требуют в своем лечении комплексного и персонифицированного подхода.
Причины появления свищей
Частой причиной развития приобретенных свищей являются гнойно-воспалительные осложнения после операций на пищеводе, легких и средостении.
Другими причинами могут служить:
- прорастание злокачественной опухоли,
- перфорация дивертикула пищевода и пептической язвы пищевода,
- туберкулез,
- абсцесс легкого,
- актиномикоз,
- перфорация при эзофагоскопии и бужировании пищевода,
- открытые и закрытые повреждения шеи, груди и живота.
Известны свищи опухолевого происхождения, травматические, а также свищи, возникающие при специфическом и неспецифическом воспалении.
Наиболее часто образуются свищи при злокачественных опухолях. Как правило, они возникают при распаде раковой опухоли пищевода, прорастающей в трахею и бронхи.
Чем опасны свищи
При формирования свищей пищевода возникает контакт внутренней среды организма с внешней. Бактерии извне проникают внутрь, запуская инфекционный процесс в грудной клетке. Это может приводить к развитию пневмонии, эмпиемы плевры, медиастинита.
Свищи пищевода являются относительно редким заболеванием, и настороженность врачей в плане их выявления снижена, что приводит к поздней диагностике, неправильной тактике лечения, несвоевременной специализированной помощи и нередко - к летальному исходу.
Виды свищей
Свищ пищевода может возникать в любом его отделе. Различают наружные и внутренние свищи пищевода в зависимости от того, куда именно происходит «открытие» свища.
- Наружные свищи открываются непосредственно в окружающую среду, на кожу (например, наружный свищ в шейном отделе).
- Внутренние свищи сообщаются, соответственно, с внутренними органами.
В результате появления «соединения» или канала между пищеводом и внешней или внутренней средой происходит поступление содержимого пищевода (съеденной пищи и слюны) в соответствующий орган или полость.
Наиболее тяжело протекающими являются пищеводно-респираторные свищи, при которых происходит попадание содержимого пищевода в легкие через трахеобронхиальное дерево. Это приводит к развитию хронического аспирационного синдрома и, зачастую, к рецидивирующей аспирационной пневмонии.
Симптомы
Симптоматика свищей пищевода зависит от его локализации, длительности заболевания, характера свища, размера, степени вовлечения окружающих структур.
Клинические проявления свищей пищевода значительно варьируют и во многом зависят от основного заболевания/состояния, которое привело к формированию свища у данного пациента.
К пищеводным симптомам при свищах относятся:
- затруднение при проглатывании пищи (дисфагия),
- боли при проглатывании,
- срыгивание съеденной пищей.
При наружном свище на коже отмечается появление свищевого хода (отверстия), из которого поступает содержимое, обычно, гноевидного характера с развитием воспалительных изменений в области свища.
Более сложным является диагностика внутренних свищей.
У большинства пациентов развиваются гнойно-вопалительные осложнения со стороны респираторной системы:
- гнойный бронхит,
- пневмония,
- бронхообструктивный синдром,
- абсцесс и гангрена легких,
- сепсис.
При отсутствии связи с трахеобронхиальным деревом такой яркой клинической картины может не быть. Заподозрить развитие пищеводного свища возможно по неспецифическим симптомам. К ним относятся:
- повышение температуры тела (от субфебрильных цифр до лихорадки),
- немотивированная слабость,
- одышка,
- снижение массы тела,
- серый или цианотичный оттенок кожных покровов.
Диагностика
Диагностика свищей пищевода должна носить комплексный характер.
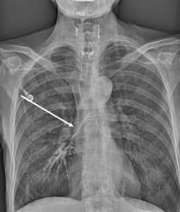
- Обязательным является проведение рентгенографии и рентгеноскопии пищевода с водорастворимым контрастным веществом (барий использовать не рекомендуется, рисунок 1, 2).

Пищеводно-респираторный свищ при рентгенографии/рентгеноскопии пищевода

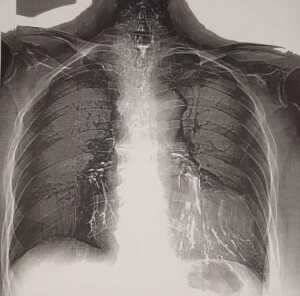
Остатки бария сульфата в бронхах у пациентки с пищеводно-бронхиальными свищами
- Эзофагогастродуоденоскопия для оценки состояния пищевода и верхних отделов желудочно-кишечного-тракта.
- Фибробронхоскопия для оценки состояния трахеобронхиального дерева и возможной верификации зоны свища.
- Сочетанная фибробронхоскопия и эзофагоскопия в том числе с применением красителей (метиленового синего).
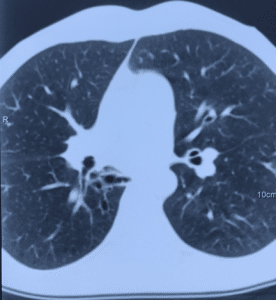
- Мультиспиральная компьютерная томография шеи, органов грудной клетки и/или брюшной полости для обнаружения зоны свища, скоплений жидкости, оценки степени поражения легочной паренхимы, плевральной полости и средостения (рисунок 3).

Вторичные бронхоэктазы и пневмофиброз нижней доли правого легкого у пациента с пищеводно-бронхиальным свищом и тотальной ожоговой стриктурой пищевода.
Лечение свища пищевода
Лечение может быть консервативным и хирургическим.
Первой задачей является исключение поступления пищи и жидкости в пищевод, что достигается за счет отказа от перорального питания (через рот). Для обеспечения питания пациента в этом случае может быть применено:
- парентеральное питание,
- назоинтестинальный зонд с установкой последнего за связку Трейтца,
- формирование гастростомы или энтеростомы.
С целью предотвращения рефлюкса содержимого желудка в пищевод в отдельных случаях может быть рекомендовано проведение фундопликации.
Обязательным является проведение нутритивной поддержки и антибактериальной терапии. В зависимости от тяжести состояния больного и вовлечения органов грудной клетки и брюшной полости в инфекционный процесс может быть проведено дренирование скоплений жидкости в области свища.
При бесперспективности консервативного лечения, прогрессировании признаков инфекционного процесса показано проведение радикального хирургического лечения.
Хирургический доступ зависит от локализации свища (на шее, в грудной клетке, в брюшной полости).
В зависимости от состояния болезни, операция может проводиться с сохранением или удалением пищевода.
При возможности выполнения органосохраняющей операции:
- Свищевой ход выделяют и иссекают.
- Дефекты стенки пищевода и другого органа поочередно ушивают.
- Линию швов дополнительно укрепляют местными тканями (плеврой, перикардом, мышцей, диафрагмой, сальником и т.п.).
В большинстве случаев при запущенных состояниях: хирургическое лечение может закончиться удалением пищевода с формированием эзофагостомы (для дренирования слюны) и гастро-энтеростомы для обеспечения энтерального питания.
После стабилизации состояния пациента, купирования инфекционного процесса, стабилизации массы тела пациенту будет предложено проведение реконструктивного вмешательства на пищеводе, которое включает проведение загрудинной пластики пищевода (рисунок 4).

Пациент с этапным лечение пищеводно-бронхиального свища на фоне тотальной ожоговой стриктуры пищевода и ожоговым стенозом желудка. 1-м этапом пациенту была выполнена эзофагогастрэктмоия с формиованием эзофагостомы м энтеростомы для питания, лобэктомия нижней доли правого легкого. Через 3 месяца пациент поступил для проведения реконструктивного вмешательства на пищеводе. Стрелкой указана эзофагостома на шее (согласие пациента на публикацию фото получено).
Лечение в отделении торакоабдоминальной хирургии и онкологии
Приобретенные свищи пищевода являются грозным потенциально жизне-угрожающим заболеванием!
При подозрении на возникновение свища необходимо консультация в специализированном хирургическом отделении, имеющем опыт лечения пациентов со свищами пищевода и реконструктивных вмешательств.
Целесообразным представляется проведение этапного лечения данного заболевания. Положительный результат лечения можно получить при своевременной диагностике этой патологии, правильном планировании лечения и выполнения хирургического вмешательства в высокоспециализированном хирургическом стационаре.
Наше отделение имеет большой опыт лечения пациентов с приобретенными свищами различной локализации, как с проведение консервативного лечения, так и различных вариантов хирургических вмешательств (органосохраняющих, эзофагэктомии с последующим реконструктивным вмешательством и т.д.).
Лечение в отделении проводится по программам ОМС, ДМС, ВМП, а также на коммерческой основе.
Читайте, как попасть на лечение в отделение торакоабдоминальной хирургии и онкологии РНЦХ.
Для записи на консультацию позвоните по телефонам:
Отправьте заявку на консультацию, заполнив форму на нашем сайте и прикрепив необходимые документы.
Желудочный свищ
Общие сведения
Желудочный свищ - достаточно редкая патология в абдоминальной хирургии, среди всех наружных (имеющих выход на кожу) свищей пищеварительного тракта встречаются не более чем в 0,5% случаев. Внутренние свищи ранее наблюдались гораздо чаще - в 10-30% случаев всех операций по поводу язвенной болезни желудка и ДПК, однако на фоне совершенствования методик противоязвенной терапии случаи данной патологии стали встречаться гораздо реже.
Несмотря на поиск более совершенной оперативной тактики, летальность при некоторых формах желудочных свищей остается весьма высокой - до 80%. Наиболее неблагоприятное течение имеют свищи, сформировавшиеся на фоне гнойных осложнений у пожилых и истощенных пациентов, при наличии сахарного диабета, проведении лучевой терапии и лечения цитостатиками.
Причины
Чаще всего формирование желудочных свищей связано с той или иной патологией пищеварительного тракта, требующей оперативного лечения. Основные причины образования свищей - гнойно-деструктивный процесс, возникший до или после операции на органах брюшной полости; несостоятельность швов на желудке и коже; частичная непроходимость наложенного анастомоза; инородное тело желудка; травма, ушиб либо гематома желудочной стенки; рак желудка; ишемия и некроз стенки органа.
К возникновению патологии может приводить воздействие радиации, а также ятрогенные причины - ошибки хирургической тактики и послеоперационного ухода за пациентом. Внутренние свищи в подавляющем большинстве наблюдений формируются при наличии пептической язвы желудочно-тонкокишечного анастомоза. В этом случае язва обычно располагается по задней стенке анастомоза, пенетрирует в поперечно-ободочную часть толстого кишечника, в результате чего формируется соустье между желудком и толстым кишечником. Чаще всего такое осложнение встречается после наложения гастроэнтероанастомоза или резекции желудка.
Распад раковой опухоли желудка может приводить к формированию желудочного свища, сообщающегося с окружающими органами - кишечником, желчными путями, поджелудочной железой и т. д. Иногда возможен и обратный механизм образования желудочного свища - при прорыве гнойника из окружающих органов в полость желудка. Причинами образования наружных свищей желудка в 85% случаев являются ятрогенные факторы - расхождение швов после наложения гастроэнтероанастомоза или гастростомы, а также узлов, расположенных в области малой кривизны желудка.
Предрасполагающими к формированию факторами являются присоединение инфекции, травма стенки желудка во время полостных операций, ошибочная хирургическая тактика. Существуют операции, сопряженные с повышенным риском образования свища: релапаротомия на фоне массивного спаечного процесса; операции по поводу травм внутренних органов; пластика грыж передней брюшной стенки; лапароскопия; наложение анастомозов при раке желудка и тонкой кишки, язвенной болезни желудка и ДПК; оперативные вмешательства на желчевыводящих путях.
Классификация
По морфологическому строению свищи могут быть губовидными либо трубчатыми. Губовидный свищ не имеет собственного канала, слизистая желудка спаяна непосредственно с кожей. Такие свищи крайне редко заживают самостоятельно, в большинстве случаев требуют оперативного лечения. Трубчатые свищи имеют хорошо выраженный канал, выстланный эпителием. При прекращении выделения пищевых масс и желудочного сока соустье может закрыться самостоятельно.
Симптомы желудочного свища
Проявления в большой мере зависят от фонового заболевания, обусловившего формирование патологии, а также того, с каким органом сообщается полость желудка. Наружный свищ проявляется мацерацией кожи вокруг свищевого хода, выделением из него пенистого содержимого, недавно съеденной пищи, желудочного сока, повышением температуры тела. В момент созревания свищевого хода клиническая картина может развиваться по типу «острого живота», напоминать клинику перфорации язвы желудка.
Заброс калового содержимого из кишечника по свищевому ходу в желудок вызывает развитие выраженного воспалительного процесса. Характерным для желудочно-кишечных свищей является профузный понос, стеаторея, обусловленные еюнитом и колитом. Кишечная аутоинтоксикация проявляется апатией, головной болью, депрессивными расстройствами. Состояние пациента может оставаться удовлетворительным при малых размерах свища, незначительном забросе калового содержимого в желудок. В этом случае заподозрить свищ бывает тяжело, однако насторожить должно наличие операции на желудке, пептической язвы анастомоза в анамнезе.
Осложнения
К осложнениям относят дерматит, абсцесс, флегмону, гнойные карманы и затеки; энтерит, колит; кровотечение из свищевого хода. Кроме того, свищ желудка может осложняться нарушениями водно-электролитного баланса крови, белкового обмена, недостаточностью функции почек, общим истощением.
Для постановки правильного диагноза абдоминальный хирург может использовать различные методики, но все они направлены на изучение свищевого хода, состояния слизистой желудка и кишечника, взаимоотношений желудка и окружающих его органов, пассажа по пищеварительному тракту. Начинают обследование пациента с клинических и биохимических анализов крови. Для несформированного свища характерны выраженные воспалительные изменения в общем анализе крови: лейкоцитоз, повышение СОЭ, сдвиг лейкоформулы влево.
Сформировавшиеся свищи вызывают биохимические сдвиги: нарушение водно-электролитного состояния и белкового обмена, метаболический алкалоз со значительным снижением уровней хлора и калия, гипопротромбинемию. Для оценки возможности закрытия хода определяется уровень альбумина - достаточным считается показатель альбумина выше 3,5 мг/дл; уровень ниже 2,5 мг/дл в 40% случаев ассоциируется с высокой летальностью.
Большое значение в диагностике придается рентгенологическим методикам. Для оценки состояния моторики ЖКТ, продвижения пищевых масс по тонкому кишечнику проводится рентгенография желудка с контрастированием, рентгенография пассажа бария. В этих же целях применяют динамическую сцинтиграфию пищевода и желудка, статическую сцинтиграфию кишечника.
Основным методом исследования свища является фистулография - введение контрастного вещества в свищевой ход для определения его направления, карманов и затеков. После фистулографии может понадобиться пальцевое исследование широкого свищевого хода. Введение контраста через рот может показать, как выводятся пищевые массы из желудка - преимущественно через желудочный свищ либо через кишечник.
Обязательной является консультация врача-эндоскописта: он должен оценить состояние слизистой оболочки желудка при эзофагогастродуоденоскопии. Во время обследования необходимо найти свищевой ход, определить его размеры, состояние слизистой. Также требуется обязательно осмотреть луковицу двенадцатиперстной кишки для выявления ее перегибов, деформаций, создающих затруднения для продвижения пищи и провоцирующих персистенцию свища. Для определения состояния окружающих желудок органов может потребоваться проведение мультисрезовой спиральной компьютерной томографии - МСКТ брюшной полости.
Дифференциальная диагностика наружных ходов обычно не представляет трудностей при наличии в анамнезе язвенной болезни, рака желудка, операций на органах брюшной полости. Трудности в диагностике могут возникнуть при наличии внутренних соустий. Дифференцировать внутренний желудочный свищ следует с острым холециститом, панкреатитом, перитонитом с наличием межкишечных абсцессов, пептической язвой анастомоза, флегмоной забрюшинной клетчатки, свищами кишечника и других отделов пищеварительного тракта.
Лечение желудочного свища
Лечение проводится в отделении хирургии. При наличии узких эпителизированных свищей возможна консервативная тактика лечения, во всех остальных случаях показана операция. Консультация гастроэнтеролога нужна при значительных потерях белка и жидкости через свищевой ход - специалист произведет расчет необходимых питательных веществ, определит тактику энтерального кормления (частота и объем приемов пищи).
Целью консервативной терапии является попытка закрытия свища или подготовка к оперативному лечению при неэффективности консервативного, перевод несформированного свища в сформированный. Необходимо провести коррекцию водно-электролитных и белковых нарушений, объема циркулирующей крови, антибактериальную терапию. Нужно снизить сброс содержимого желудка по свищевому ходу, произвести санацию слизистой свища, инактивировать желудочный сок и ферменты, попадающие в свищевой ход. Производится защита кожи от агрессивного воздействия желудочного сока.
Большое значение придается организации питания - при значительном сбросе пищи по желудочному свищу возможно даже наложение еюностомы с введением пищи в тонкий кишечник и прекращением кормления больного через рот. Выбор методики операции зависит от общего состояния пациента, длительности функционирования свища, наличия гнойных осложнений, объема выделений по свищевому ходу и его характеристик, эффективности консервативной терапии. Оптимальным сроком иссечения свища является 1,5-2 месяца после его появления, при условии купирования инфекционного процесса, стабилизации состояния пациента.
Прогноз и профилактика
Прогноз достаточно серьезный - смертность при этом заболевании может достигать 20-30%, в зависимости от исходного состояния пациента. Профилактика заключается в своевременном выявлении язвенной болезни и ее лечении. Для предупреждения образования ятрогенных свищей необходимо совершенствовать тактику оперативных вмешательств на желудке.
Трахеопищеводный свищ ( Трахеоэзофагеальная фистула )
Трахеопищеводный свищ - это патологическое соустье, соединяющее просвет дыхательного горла с пищеводом. Может являться аномалией развития или приобретенной патологией. Трахеопищеводный свищ проявляется приступами кашля во время приема пищи, которые сопровождаются удушьем, цианозом, выделением пенистой мокроты с кусочками пищи. Часто развивается аспирационная пневмония. Подтверждающая диагностика проводится с помощью эндоскопических методов (эзофагоскопии, трахеобронхоскопии), рентгенографии пищевода. Лечение исключительно оперативное - закрытие трахеопищеводного свища, нередко с одномоментной трахеопластикой, циркулярной резекцией трахеи, эзофагопластикой.
МКБ-10
Врожденный трахеопищеводный свищ образуется к 4-6-й неделе эмбриогенеза при неполном разделении первичной кишки и дыхательной трубки. При рождении дети с данной аномалией обычно имеют массу тела менее 2500 г.
Природа происхождения приобретенных трахеоэзофагеальных фистул может быть различной. Чаще всего с такой патологией приходится сталкиваться онкологам, а сами свищи возникают в результате далеко зашедшего рака пищевода или трахеи, лимфом, лимфогранулематоза. Второй по распространенности причиной служат травмы пищеварительной и дыхательной трубки (в том числе их ятрогенные повреждения), полученные при проведении эзофагоскопии, бужировании пищевода, перфорации пищевода или трахеи инородными телами, вследствие химических ожогов пищевода, при закрытых и проникающих ранениях шеи и груди. Возможно непреднамеренное повреждение трахеи и пищевода при операционных вмешательствах в этой области.
В анестезиолого-реанимационной практике отмечены случаи образования пролежней от трахеостомической или интубационной трубки, приводящие к формированию трахеопищеводного свища. К числу редких причин относят перфорацию дивертикула пищевода в трахею. Трахеопищеводный свищ может явиться осложнением неспецифической бактериальной инфекции (эмпиемы плевры, абсцесса легкого, гнойного медиастинита) или специфических воспалительных процессов (туберкулеза внутригрудных лимфатических узлов, сифилиса, актиномикоза).
По своему происхождению трахеопищеводные свищи могут быть врожденными или приобретенными в процессе жизни. Различают 5 типов врожденных трахеопищеводных свищей, обозначаемых римскими знаками:
По наличию/отсутствию клапанного механизма трахеопищеводные свищи подразделяются на клапанные и бесклапанные. При единственном дефекте говорят об изолированном свище, при сочетании с другими патологическими процессами трахеи или пищевода - о сочетанном. Клиническое течение трахеопищеводных свищей может быть неосложненным, гладким или осложненным различными состояниями (аспирационной пневмонией, нутритивной недостаточностью и кахексией, бактериальной деструкцией легких, пневмогенным сепсисом и т. д.).
Симптомы трахеопищеводного свища
Клиническая картина, ее выраженность и особенности зависят от времени возникновения, размеров, типа, направления хода свища. Большинство детей с данной аномалией рождаются недоношенными, а доношенные новорожденные имеют признаки внутриутробной гипотрофии. Во время гестации у беременных отмечается многоводие.
Признаки врожденного трахеопищеводного свища с атрезией пищевода появляются уже через несколько часов после рождения. Возникает кашель, приступы удушья, вздутие живота. Во время первого же кормления диагноз становится очевиден. Каждый глоток молока или воды сопровождается приступом кашля, выделением пенистой слизи из носа и рта ребенка. Дыхание затрудняется, развивается резкий цианоз и аритмия, в легких выслушиваются обильные крупнопузырчатые хрипы. Рано присоединяется аспирационная пневмония и ателектазы легких. Состояние ребенка прогрессивно ухудшается.
Наиболее выражены перечисленные признаки при широком и коротком трахеопищеводном свище. При наличии узкого и длинного свищевого хода аномалия долгое время нередко остается нераспознанной. Изредка при кормлении возникает поперхивание и несильный кашель, однако изменение позы кормления избавляет ребенка от приступов, поэтому родители не придает этому факту должного значения. Такие дети страдают частыми пневмониями.
У 40% новорожденных с трахеопищеводным свищом выявляются сопутствующие врожденные пороки сердца, аномалии развития кишечника и мочевыводящих путей. В литературе описан синдром VATER, включающий в себя аномалии развития позвоночника (клиновидные позвонки), атрезию заднего прохода, трахеопищеводный свищ, гипоплазию лучевой кости и дисплазию почек.
Приобретенный трахеопищеводный свищ манифестирует кашлем, удушьем, цианозом, связанными с приемом пищи. В откашливаемом секрете можно обнаружить кусочки еды. При клапанной трахеоэзофагеальной фистуле кашель может отсутствовать. Нередко у больных отмечаются боли в груди и эпигастрии, кровохарканье, рвота с примесью крови, одышка, нарушение фонации, снижение массы тела. Во всех случаях трахеопищеводный свищ сопровождается периодическими подъемами температуры, рецидивирующими легочными инфекциями.
При подозрении на трахеопищеводный свищ пациент нуждается в консультации торакального хирурга, гастроэнтеролога, детского хирурга, эндоскописта, рентгенолога. На первичном этапе используется зондирования пищевода с помощью резинового катетера: если продвижению катетера мешает сопротивление слепого конца пищевода, а при введении в катетер жидкости, окрашенной метиленовым синим, она при кашле выделяется через рот или нос, вероятность трахеопищеводного свища оценивается как очень высокая.
Лучевое исследование включает выполнение рентгеноскопии и рентгенографии легких, эзофагографии, МСКТ грудной клетки. Контрастное исследование пищевода проводят очень осторожно, используя водорастворимые или масляные вещества, которые вводятся через зонд (применение сульфата бария в этих случаях недопустимо). Трахеопищеводный свищ требует проведения тщательной дифференциальной диагностики с изолированной атрезией и стенозом пищевода, гастроэзофагеальным рефлюксом, ахалазией кардии, дисфагией различного генеза.
Эндоскопическая диагностика трахеопищеводного свища остается основной. Для лучшей визуализации патологического соустья и получения максимальной информации о его особенностях, выполняется эзофагоскопия и трахеобронхоскопия. При критическом стенозе трахеи диагностическая трахеоскопия может быть трансформирована в лечебную процедуру путем эндоскопического восстановления просвета трахеи или стентирования стенозированного участка.
Лечение трахеопищеводного свища
Лечение проводится хирургическим путем, консервативная терапия малоперспективна и используется только на этапе подготовки к оперативному вмешательству. С целью удаления скапливающегося секрета производится установка катетера в слепо заканчивающийся конец пищевода, выполняются санационные бронхоскопии. В рамках лечения аспирационной пневмонии назначается оксигенотерапия, антибактериальная и инфузионная терапия, УВЧ на грудную клетку. Для предотвращения попадания пищи в трахеобронхиальное дерево полностью прекращается кормление через рот, осуществляется гастростомия, нутритивная поддержка, витаминотерапия.
Варианты радикального хирургического устранения трахеопищеводного свища могут быть различны. Операция обычно производится из шейного доступа или заднебоковой торакотомии. Длинный свищевой ход выделяют и пересекают между двумя наложенными лигатурами. Дефекты в стенках пищевода и трахеи ушивают погружными швами. При коротком и широком свищевом ходе трахею отсекают от пищевода, после чего на оба дефекта накладывают непрерывный двухрядный шов. Для закрытия дефекта могут использоваться аутоткани (сальник или стенка желудка).
В тех случаях, когда трахеопищеводный свищ сочетается со стенозом трахеи либо атрезией пищевода, производится разобщение свища с одномоментной циркулярной резекцией или пластикой трахеи и/или одномоментной пластикой пищевода. Если имеется большой диастаз между проксимальным и дистальным сегментами пищевода, не позволяющий наложить анастомоз «конец-в конец», верхний отдел пищевода выводят на шею, свищ разобщают и на этом операцию заканчивают.
В межоперационный период питание больного осуществляют через гастростому. На втором этапе производят пластику пищевода желудочным или тонкокишечным трансплантатом. При трахеопищеводных свищах, обусловленных распадом раковой опухоли, ограничиваются паллиативной гастростомией. В послеоперационном периоде продолжается активная противопневмоническая терапия. В первые сутки осуществляется парентеральное питание, затем - кормление через зонд, который оставляют на 7-10 суток.
Прогноз
Из послеоперационных осложнений возможны стенозы в области пищеводных анастомозов, которые подлежат бужированию, и рецидивы свища, требующие повторной операции. Летальность при оперативном лечении трахеопищеводного свища составляет 10-15% и связана, главным образом, с исходно тяжелым состоянием пациента. В то же время при отказе от операции показатели летальности возрастают до 80-90%.
Свищ ( Фистула )
Свищ - это патологический канал, который соединяет между собой полые органы, естественные или патологические полости тела между собой (внутренний свищ) либо с окружающей средой (наружный свищ). Проявляется наличием свищевого хода, через который выделяется слизь, гной, содержимое органа или полости: кал, моча, слюна, ликвор, желчь. Диагностируется на основании клинической симптоматики, данных фистулографии, других инструментальных и лабораторных исследований. При внутренних свищах проводятся эндоскопические манипуляции. Лечение определяется видом патологии, может быть консервативным, оперативным, комбинированным.
Свищи (фистулы) - большая и весьма разнородная группа патологических состояний, встречающихся во многих сферах практической медицины. Они имеют врожденный или приобретенный характер, возникают в результате разрушения тканей различного генеза либо создаются искусственно. Нередко тяжело поддаются лечению, в ряде случаев представляют опасность для жизни из-за значительных потерь жидкости, питательных веществ. Наибольшее клиническое значение вследствие своей распространенности и возможных последствий имеют урогенитальные и желудочно-кишечные свищи.
Причины свищей
Непосредственной причиной образования фистул являются нарушения формирования либо разрушение органов и тканей. С учетом этиологии выделяют следующие группы свищей:
- Врожденные. Появляются в результате нарушений развития плода, которые могут быть обусловлены наследственными заболеваниями, воздействием неблагоприятных внешних и внутренних факторов.
- Приобретенные патологические. Формируются на фоне воспалительных процессов, ранений, повреждения стенок полых органов инородными телами, разрушения злокачественными опухолями, химикатами, лучевым воздействием. Иногда становятся осложнением хирургического лечения различных патологий.
- Приобретенные искусственные (стомы). Специально создаются оперативным путем для сохранения жизнедеятельности при нарушении пассажа содержимого полых органов (химуса), секрета (желчи) или экскрета (кала, мочи), для обеспечения поступления питательных веществ в организм.
Патогенез
Врожденные свищи становятся следствием недоразвития или неправильного развития органов и частей тела. Поскольку они образуются естественным путем, их стенки покрыты эпителием. Приобретенные фистулы появляются при прорыве содержимого, сопровождаются разрушением уже сформированных тканей. Стенки представлены грануляциями, снаружи в результате рубцевания со временем образуется прослойка из плотной соединительной ткани.
Особой группой являются губовидные свищи, у которых эпителий слизистой переходит в эпителий кожных покровов. Они относятся к эпителизированным, но создаются искусственно. Эпителизированные свищи самостоятельно не закрываются. Гранулирующие фистулы способны к заживлению при устранении процесса (обычно - воспалительного), поддерживающего отток содержимого по каналу.
В настоящее время исследователи, а также специалисты в области хирургии используют следующую систематизацию свищей:
- По происхождению: врожденные, приобретенные (патологические и искусственные).
- По строению: эпителизированные, грануляционные, губовидные.
- По отношению к окружающей среде: внешние (соединяют полость с внешней средой), внутренние (соединяют две полости).
- По локализации: желудочные, кишечные, ректальные, трахеопищеводные, бронхиальные, уровагинальные, ректовагинальные, околоушные.
- По типу отделяемого: слизистые, гнойные, каловые, мочевые, ликворные и пр.
Симптомы свища
Внутренние фистулы проявляются наличием нетипичного отделяемого из какого-либо естественного отверстия. Значительные потери жидкости и питательных веществ при некоторых типах свищей становятся причиной истощения, грубых нарушений всех видов обмена, которые могут привести к гибели пациента.
Свищи пищеварительной системы
Могут образовываться на всем протяжении ЖКТ, от пищевода до прямой кишки, быть наружными либо внутренними. Желудочные фистулы обычно имеют искусственное происхождение (гастростома), пищеводные провоцируются патологическим процессом, кишечные бывают искусственными (колостома, илеостома, цекостома) и патологическими. Первое место среди причин образования пищеводных свищей занимают опухоли, кишечных - несостоятельность анастомозов.
Формирование наружных свищей сопровождается появлением инфильтрата. При внутренних фистулах клиническая картина напоминает прободение полого органа. При трахеопищеводных соустьях из верхних дыхательных путей откашливаются кусочки пищи. Внутренний желудочно-кишечный свищ проявляется каловой рвотой, каловым запахом изо рта. При наружном сформированном свище на коже обнаруживается ход с пищеводным, желудочным или кишечным отделяемым, при несформированном - гнойная рана, на дне которой видна петля кишки, стенка желудка.
Типичны поносы, рвота, аутоинтоксикация. Скорость истощения и развития обменных нарушений зависит от диаметра свища - чем он шире, тем быстрее усугубляется симптоматика. Возможны обезвоживание, истощение, безбелковые отеки, анемия. Интоксикация, расстройства обмена приводят к изменениям со стороны печени и почек. В тяжелом случае развиваются почечная и печеночная недостаточность.
Свищи желчного пузыря
Желчные свищи обычно становятся осложнением желчнокаменной болезни, бывают наружными или внутренними, могут соединять желчевыводящие пути с желудком, кишкой, плевральной полостью, бронхом. Наружные свищи сопровождаются образованием отверстия с желчным либо гнойным отделяемым, внутренние - симптомами холангита, поносами, потерей веса, интоксикацией.
Ректальные свищи
Включают различные формы парапроктита и ректовагинальные фистулы. Парапроктит возникает при гнойном воспалении стенки кишки и параректальной клетчатки, проявляется болями, ощущением инородного тела, общими симптомами интоксикации. Из заднего прохода выделяется гной либо на коже перианальной зоны обнаруживается отверстие с гнойным отделяемым. При ректовагинальных свищах из влагалища выделяются газы, кал. Нередки боли в промежности, воспалительные заболевания половых органов, мочевыводящих путей.
Урогенитальные свищи
Образуются между половыми органами и уретрой, мочеточниками или мочевым пузырем. Развиваются после тяжелых и осложненных родов, операций, лучевой терапии. Наиболее распространенные - уретро-влагалищные и пузырно-влагалищные фистулы. Реже встречаются пузырно-маточные, мочеточниково-влагалищные и другие варианты.
Сопровождаются подтеканием мочи из половых органов, появлением крови в моче во время менструаций. Обычно безболезненны. Не представляют угрозы для жизни, но существенно снижают ее качество, становятся причиной социальной дезадаптации. Имеют большое клиническое значение из-за высокой распространенности (0,6-2%).
Бронхиальные свищи
Лигатурные свищи
Лигатурный свищ - частое осложнение (до 5%) хирургических вмешательств, особенно - при операциях на органах брюшной полости, малого таза. Развивается из-за отторжения нерассасывающихся нитей, которые находятся в глубине тканей. В период формирования отмечаются боли, интоксикация, после образования свищевого хода состояние нормализуется. Фистулы склонны к хроническому рецидивирующему течению до момента удаления или самостоятельного отхождения нити.
Наиболее распространенными осложнениями любых свищей являются гнойные и негнойные воспалительные процессы, в том числе - образование абсцессов и затеков с поражением соседних анатомических структур, хронические воспаления различных органов (циститы, вагиниты, проктиты). В тяжелых случаях возможен сепсис.
Свищи значительно ухудшают качество жизни, часто становятся причиной потери трудоспособности, негативно влияют на социализацию. При наружных фистулах нередко развиваются дерматиты, формируется косметический дефект. При полных свищах внутренних органов наблюдается кахексия, полиорганная недостаточность.
С учетом локализации свища диагноз устанавливают врачи различных специальностей - хирурги, гинекологи, урологи и пр. В процессе диагностики и определения плана лечения учитывают историю болезни, клиническую симптоматику, данные дополнительных исследований. План обследования включает:
- Сбор анамнеза. В анамнезе часто выявляются операции или хронические заболевания. Формированию наружных фистул предшествует появление болей, инфильтрата, который вскрывается с выделением гноя, а затем содержимого того или иного органа. Образование внутренних свищей сопровождается болями, интоксикацией, другими симптомами, зависящими от расположения фистулы.
- Внешний осмотр. При наличии отверстия на коже по характеру отделяемого определяют вовлеченный орган, по количеству отделяемого - размеры фистулы. Оценивают общее состояние пациента, выявляют признаки истощения, нарушения функций различных органов.
- Пробы с красителями. Иногда для уточнения локализации свища, определения количества ходов, обнаружения затеков используют метиленовый синий и другие растворы, которые дают перорально либо вводят в естественное отверстие.
- Лабораторные анализы. При изучении отделяемого могут выявляться билирубин, амилаза, мочевина и другие соединения, что в сомнительных случаях дает возможность подтвердить повреждение определенного органа.
- Фистулография. Является наиболее распространенным визуализационным методом диагностики наружных свищей. Контраст вводят в отверстие, по данным снимков определяют пораженный орган, точную локализацию фистулы, направление хода, наличие затеков.
- Рентгенография с контрастированием. При внутренних поражениях проводят ирригографию, рентгенографию желудка или пищевода с барием. Контраст выходит через стенку органа на кожу, в соседние органы или полости, что позволяет уточнить особенности свища.
- Эндоскопические исследования. Для выявления фистул, определения их расположения и диаметра отверстий выполняют гастроскопию, колоноскопию, бронхоскопию, цистоскопию и пр.
Некоторые внутренние свищи представляют существенные диагностические затруднения, обнаруживаются только при проведении оперативных вмешательств. Дифференциальную диагностику проводят между различными видами фистул, с воспалительными заболеваниями, другими патологическими процессами.
Лечение свища
Тактика лечения определяется видом фистулы. Гранулирующие свищи могут закрываться на фоне консервативной терапии, при эпителизированных выздоровление возможно только после осуществления оперативного вмешательства. Наряду с устранением основной патологии важную роль играет коррекция обменных нарушений, грамотный уход за отверстием.
Консервативная терапия
Обязательным условием закрытия свища является устранение причины его появления. При невозможности воздействия на этиологический фактор целью терапии становится подготовка больного к операции. Лечение предусматривает проведение общих и местных мероприятий. Показано в случае всех видов свищей - как эпителизированных, так и гранулирующих. Включает:
- Уход за свищом. Необходимо регулярно осуществлять туалет кожи вокруг отверстия, смазывать кожные покровы защитными пастами. При искусственных свищах требуется обучение больного использованию моче- и калоприемников.
- Ограничение выделения содержимого. При некоторых локализациях фистул, например, их ректовагинальном расположении, закрытия свищевого хода в отдельных случаях удается добиться путем разгрузки кишечника на фоне клизм, специальной диеты.
- Другие местные воздействия. Могут быть эффективны промывания химическими растворами, применение ферментативных препаратов, проведение локальной аутогемотерапии. Регенерацию тканей стимулируют путем инъекций коллагенового геля с фибробластами.
- Коррекция общих нарушений. При значительных потерях белка, воды и электролитов показано составление индивидуальной диеты, инфузионная терапия с введением альбумина, солевых растворов, других соединений.
- Противовоспалительная терапия. При вторичном инфицировании назначаются антибактериальные препараты, иммунокорректоры, дезинтоксикационные средства.
Хирургическое лечение
Хирургические вмешательства проводятся при эпителизированных, сформированных гранулирующих, губчатых свищах. С учетом особенностей расположения фистулы и состояния окружающих тканей выполняются следующие операции:
- Иссечение свищевого хода. Производится после окрашивания метиленовым синим или другим раствором, позволяющего точно установить особенности хода, выявить затеки. Ход удаляют вместе с окружающими измененными тканями, рану ушивают, дренируют.
- Иссечение с замещением дефекта. Иногда после удаления измененного участка возникает недостаток тканей либо при сшивании тканей наблюдается их излишнее натяжение. В подобных случаях свищ закрывают путем транспозиции кожно-мышечного или мышечного лоскута, жировой ткани на сосудистой ножке.
- Резекция органа. При некоторых свищах полых органов, например, при кишечных оптимальным вариантом является частичное иссечение органа. Операция может осуществляться в один или два этапа. Во втором случае предварительно накладывают обходной анастомоз для разгрузки путем прекращения пассажа содержимого.
Удаление измененных тканей нередко дополняют действиями, направленными на предотвращение повторного образования свища. Для этого между разобщенными полостями помещают участки фасции, сетчатые имплантаты. В послеоперационном периоде проводят стандартные лечебные мероприятия - перевязки, антибиотикотерапию, обезболивающую терапию.
Прогноз определяется локализацией, видом и временем существования свища, распространенностью изменений окружающих тканей, характером основной патологии, степенью нарушения гомеостаза организма больного, наличием сопутствующих заболеваний. Фистулы, даже гранулирующие, редко поддаются консервативному лечению. После иссечения достаточно часто наблюдается выздоровление. При некоторых видах свищей, сопровождающихся тяжелыми обменными нарушениями, особенно - при высоких желудочно-кишечных, возможен летальный исход.
Профилактика
Профилактические мероприятия включают своевременное лечение заболеваний, которые могут приводить к образованию свищей. Необходимо предупреждать возникновение инфекций в зоне раневых каналов, соблюдать технику наложения анастомозов, обеспечивать разгрузку оперируемых органов на этапе подготовки к вмешательству и послеоперационного восстановления.
3. Хирургическое лечение больных с тонкокишечными свищами/ Кригер А.Г., Кубышкин В.А., Берелавичос С.В. и др.// Хирургия - 2015 - №12.
Читайте также:
