Примеры глаукомы при лимфоме сосудистой оболочки глаза
Добавил пользователь Владимир З. Обновлено: 01.11.2025
Внутриглазные лимфомы, злокачественные опухоли лимфоидной ткани, развивающиеся из разных структур глаза, представляют собой экстранодальную форму неходжкинских лимфом. Они составляют около 1% от всех лимфом органа зрения и являются крайне редкой патологией. Внутриглазные лимфомы — большая гетерогенная группа лимфоидных опухолей. В зависимости от источника развития внутриглазные лимфомы имеют клинические, морфологические, иммунофенотипические, генетические особенности, разный ответ на терапию и разный прогноз. Лимфома сосудистой оболочки глаза чаще бывает вторичной, метастатической. Преобладает поражение хориоидеи. Возможность метастатического поражения хориоидеи определяется особенностью ее строения: обилием сосудистых анастомозов и наличием крупных пор в слое хориокапилляров — фенестров. Клиническая картина, морфологический вариант, иммунофенотип такой опухоли определяются исходным вариантом первичной неходжкинской лимфомы периферических лимфоузлов, селезенки или различных органов. Среди первичных внутриглазных лимфом наиболее часто встречается ретинальная лимфома, которая часто сочетается с первичной злокачественной лимфомой ЦНС и, по современным представлениям, является одной из клинических форм первичных лимфом ЦНС. Частое сочетание лимфомы ЦНС и ретинальной лимфомы объясняют поражением сходных по строению тканей.
Цель — изучение особенности течения первичных ретинальных лимфом.
Материал и методы. В настоящее исследование включены 8 пациентов с первичной лимфомой сетчатки и головного мозга. Возраст больных колебался от 41 года до 59 лет. Мужчины и женщины были представлены поровну. У 7 из 8 больных к моменту диагностики ретинальной лимфомы имелась верифицированная лимфома головного мозга, по поводу которой больные получили химиотерапию в виде внутриартериального введения Метотрексата. Исследование выполнено совместно с сотрудниками НИИ нейрохирургии им. Н.Н. Бурденко. У всех больных ретинальная лимфома выглядела как взвесь мелких клеток в стекловидном теле, что симулировало увеит. Диагноз ретинальной лимфомы был установлен на основании ПЦР исследования биоптата стекловидного тела. Больные получили 20 интравитреальных инъекций Метотрексата по методике, предложенной Iacob Pe’er. Наряду с данными биомикроскопии и биомикроофтальмоскопии, контроль за состоянием стекловидного тела осуществлялся с помощью ультразвукового исследования.
Результаты и обсуждение. У всех больных на 10 интравитреальной инъекции Метотрексата отмечалось улучшение состояния стекловидного тела, острота зрения повысилась на 1-2 строчки, а субъективно больные отмечали уменьшение «мути перед глазами». Однако при появлении новых очагов поражения головного мозга у 6 больных возобновился «выпот» в стекловидное тело. У одного больного лечение было прервано из-за участившихся эпиприпадков (как проявление лимфомы ЦНС), трое больных умерли в течение 1 года после окончания лечения ретинальной лимфомы.
Первичная ретинальная лимфома относится к редкой, но серьезной патологии. Первичная лимфома центральной нервной системы, как и первичная ретинальная лимфома, представлены крайне злокачественной диффузной крупноклеточной В-клеточной лимфомой, характеризуются агрессивным течением и неблагоприятным прогнозом для жизни и зрения. Индекс пролиферативной активности составляет 80% и более. Клинические проявления первичной ретинальной лимфомы отличаются большим многообразием. Она нередко протекает под видом других заболеваний глаза, в частности увеита (так называемый маскарадный синдром). Имбибиция стекловидного тела лимфоидными клетками не сопровождается светобоязнью и цилиарной болезненностью. Такой вялотекущий «увеит» не отвечает на традиционную противовоспалительную терапию глюкокортикоидами. В тех случаях, когда состояние оптических преломляющих сред глаза позволяет провести офтальмоскопию, на глазном дне можно заметить желтовато-беловатую рыхлую ткань различных размеров и локализации, расположенную под сосудами сетчатки. Ретинальная лимфома расположена в субретинальном пространстве или в слоях сетчатки. В связи с ростом опухоли возможно развитие отслойки пигментного эпителия сетчатки.
Постепенно поликлональная лимфоидная пролиферация переходит в моноклональную, т.е. развивается лимфома. Пусковым механизмом может быть вирус Эпштейн-Барра. Однако в анамнезе жизни больных первичной лимфомой ЦНС или первичной ретинальной лимфомой редко имеется упоминание о воспалительном заболевании головного мозга или сетчатки.
Вторая и третья гипотезы подразумевают, что клетки опухоли появляются где-то в лимфоидных фолликулах за пределами головного мозга и глаза. Согласно второй гипотезе, клетки лимфомы постоянно циркулируют в крови, испытывают воздействие различных факторов иммунной системы и погибают. Однако они не могут быть уничтожены в таких забарьерных органах, как мозг или глаз. Но в таком случае лимфоидная опухоль должна была бы развиться и в других забарьерных органах, например в яичках. Однако сочетания первичной лимфомы ЦНС, ретинальной лимфомы и первичной лимфомы яичка никогда не наблюдается.
Третья гипотеза основана на «хоминг-эффекте». Хоминг — расселение клеток в определенных тканях или органах. Опухолевая трансформация лимфоцитов происходит где-то в организме, а опухолевые лимфоидные клетки расселяются через кровеносное русло в нервной ткани. Механизм хоминга определяется взаимодействием опухолевого В-лимфоцита и клетки эндотелия. Процесс хоминга специфичный на уровне лиганд-рецепторных связей. Механизм хоминга приводит к селективному заселению опухолевыми В-лимфоцитами микроокружения. Хоминг-белок лимфоидных клеток относится к семейству С-лектинов или LECCam, которые вовлекаются в лимфоидно-эндотелиальные взаимодействия. Эндотелий содержит распознавающий лектин, а клетка лимфомы несет распознаваемую углеводную частицу. Эндотелий играет роль структуры, извлекающей из кроветворного русла клетку опухоли.
Наиболее эффективной диагностической процедурой при установлении диагноза ретинальной лимфомы является ПЦР-исследование биоптата стекловидного тела, полученного при витрэктомии в зоне очагов поражения сетчатки.
Традиционная химиотерапия первичных лимфом ЦНС и ретинальных лимфом оказывается малоэффективной и должна обязательно дополняться местным введением цитостатиков как можно ближе к патологическому очагу. В лечении ретинальной лимфомы применяется интравитреальное введение Метотрексата.
Выводы. Диагностика и лечение первичной ретинальной лимфомы как варианта первичной лимфомы ЦНС требует усилий многих специалистов: офтальмологов, морфологов, генетиков, нейрохирургов, онкогематологов и химиотерапевтов.
Задачей офтальмолога является своевременная диагностика поражения органа зрения, взятие материала для генетического исследования, интравитреальное введение цитостатиков, мониторинг в процессе лечения, оценка местного эффекта лечения, динамическое наблюдение за больным с целью предупреждения рецидива заболевания.
Примеры глаукомы при лимфоме сосудистой оболочки глаза
НИИ нейрохирургии им. Н.Н. Бурденко РАМН, Москва
ФГБУ "НИИ нейрохирургии им. акад. Н.Н. Бурденко" РАМН, Москва
ФГБНУ «НИИ глазных болезней»
Фомин А.В. Редкий клинический случай витреоретинальной лимфомы
Журнал: Вестник офтальмологии. 2014;130(4): 63‑67
Тропинская О.Ф., Серова Н.К., Голанов А.В., Ветлова Е.Р., Фомин А.В. Фомин А.В. Редкий клинический случай витреоретинальной лимфомы. Вестник офтальмологии. 2014;130(4):63‑67.
Tropinskaia OF, Serova NK, Golanov AV, Vetlova ER, Fomin AV. Rare case of vitreoretinal lymphoma. Vestnik Oftalmologii. 2014;130(4):63‑67. (In Russ.).
Первичная B-клеточная неходжкинская интраокулярная лимфома (ИОЛ) чаще встречается как заболевание, сопровождающее первичную лимфому головного мозга, реже - в качестве самостоятельной нозологии.
Впервые E. Cooper и J. Ricker [1] описали ИОЛ в 1951 г. как «ретикулоклеточную саркому глаза», обладающую высокой степенью злокачественности. По данным Ch. Chan и D. Wallace [2], среди пациентов с лимфомой центральной нервной системы (ЦНС) внутриглазная лимфома встречается в 15-25% наблюдений. Анализируя в 2008 г. данные 79 больных с первичной лимфомой головного мозга, мы выявили, что ИОЛ развилась у 9 пациентов, что составило 11,4% и было несколько реже, чем представлено в публикации зарубежных авторов [3]. Первичная ИОЛ может поражать сетчатку, хориоидею, стекловидное тело, интраокулярную часть зрительного нерва [2, 4].
В нашей клинической практике в НИИ нейрохирургии им. акад. Н.Н. Бурденко РАМН за период с 2004 по 2013 г. были выявлены 34 пациента с поражением B-клеточной лимфомой головного мозга и одного/обоих глаз. Чаще лимфома ЦНС манифестировала поражением глаза, а спустя несколько месяцев/лет присоединялись клинические симптомы лимфомы головного мозга, соответствующие топической локализации одного или нескольких очагов. Практически у всех пациентов ИОЛ на ранних стадиях проявляла себя деструкцией и инфильтрацией стекловидного тела лимфомными клетками, образующими на фоне задней отслойки стекловидного тела «лимфомное тело», патологии сетчатки не было. В дальнейшем могли присоединиться крупные сальные белесые преципитаты на эндотелии роговицы, представляющие скопления лимфомных клеток. Если скопление В-лимфобластов блокировало пути оттока из передней камеры глаза, развивалась офтальмогипертензия. У шести пациентов ИОЛ достигла терминальной стадии, которая характеризовалась возникновением тракционной отслойки сетчатки, субатрофией глазного яблока и функциональной гибелью глаза. Наряду с вышеперечисленными признаками у одного пациента мы выявили лимфоматозную инфильтрацию диска зрительного нерва в терминальной стадии заболевания. Среди наших 34 пациентов лишь у одной больной мы обнаружили витреоретинальную форму лимфомы. Это редкое клиническое наблюдение мы хотели бы представить.
Наблюдение
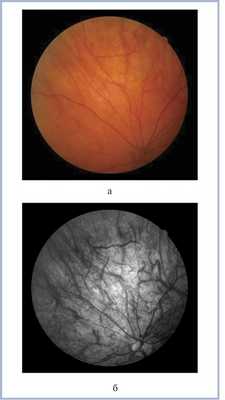
Пациентка Ч., 68 лет, в сентябре 2011 г. заметила зрительные расстройства левого глаза в виде нарушения цветоощущения. Через полгода этот глаз ослеп вследствие развития тотальной тракционной отслойки сетчатки. На ухудшение зрения правого глаза больная активно жалоб не предъявляла, но на глазном дне были выявлены диссеминированные хориоретинальные очаги (рис. 1). Рисунок 1. Рис. 1. Глазное дно правого глаза. Неоднократно больная была консультирована в различных ведущих офтальмологических учреждениях Москвы с диагнозами: «генерализованный хориоретинит правого глаза неясной этиологии», «тотальная отслойка сетчатки, исход гемофтальма левого глаза». В июле 2012 г. появились шаткость походки, головные боли, ухудшение памяти. МРТ головного мозга с контрастным усилением в Т1-взвешенном режиме выявила первично-множественные очаги поражения (рис. 2). Рисунок 2. Рис. 2. МРТ головного мозга в режиме Т1, аксиальная проекция: очаги В-клеточной лимфомы, расположенные перивентрикулярно (а) и в стволе головного мозга (б) (указаны стрелками). Была проведена стереотаксическая биопсия патологического очага, расположенного в области валика мозолистого тела. Последующий иммуногистохимический анализ выявил положительную экспрессию антигенов CD20 и СD45. Индекс мечения Ki-67=80%. Патоморфологический диагноз: «первичная лимфома ЦНС». Пациентка получила 6 сеансов интраартериальной химиотерапии метотрексатом. Курс лечения был прерван в связи с развитием тромбоза глубоких вен правой ноги.
При первом поступлении в НИИ нейрохирургии им. акад. Н.Н. Бурденко РАМН пациентка была осмотрена офтальмологом. Правый глаз: vis=1,0. Поле зрения - границы в норме (кинетическая периметрия), для выявления скрытых дефектов проведена автоматическая статическая периметрия (рис. 3). Рисунок 3. Рис. 3. Схема автоматической статической периметрии правого глаза. ВГД=16 мм рт.ст. (пневмотонометрия). Глазное яблоко спокойное, передний отрезок глаза не изменен. Начальное помутнение под задней капсулой хрусталика. Выраженная деструкция стекловидного тела с включением клеточных элементов. Глазное дно: (за легким флером) диск зрительного нерва светло-розовый, границы четкие, артерии сужены, вены умеренно полнокровны. В центральной зоне сетчатки, на ее ближней и дальней периферии, множественные округлые светло-желтые очаги с четкими краями, местами образующие гроздья, некоторые из них слабо пигментированы. Сетчатка прилежит на всем протяжении (см. рис. 1). При исследовании на спектральном оптическом когерентном томографе RTVue 100 («OPTOVUE», США) обнаружены участки истончения пигментного эпителия сетчатки и повреждения фоторецепторов (рис. 4). Рисунок 4. Рис. 4. Oптическая когерантная томограмма правого глаза. а - истончение пигментного эпителия сетчатки (стрелка); б - участки повреждения фоторецепторов (указаны стрелками).
Левый глаз: vis-ноль. ВГД=5 мм рт.ст. (пневмотонометрия). Глаз спокоен, субатрофия глазного яблока. Роговица прозрачна, преципитатов нет. Осложненная катаракта, из-за которой стекловидное тело не визуализируется, рефлекс с глазного дна отсутствует.

Ультразвуковое исследование глазных яблок в режиме «general» и «vitreous»: OD - в стекловидном теле участок повышения эхо-сигнала, сетчатка прилежит. OS - тотальная отслойка сетчатки с утолщением оболочек глаза. Инфильтрация стекловидного тела отсутствует (рис. 5). Рисунок 5. Рис. 5. В-сканы глазных яблок в витреальном режиме: небольшой участок повышения эхо-сигнала в стекловидном теле правого глаза (а); субатрофия глазного яблока, отслойка сетчатки, утолщение оболочек левого глаза (б).
Таким образом, у пациентки была клиническая картина, соответствующая интраокулярной лимфоме обоих глаз, OD - витреоретинальная форма, OS - исход в тракционную отслойку сетчатки и субатрофию глазного яблока.

В качестве метода выбора лечения ИОЛ правого глаза больной была выполнена стереотаксическая радиотерапия (СРТ) на медицинском линейном ускорителе Novalis с микромультилепестковым коллематором. Дозиметрическое планирование осуществлялось с защитой хрусталика и зрительного нерва (рис. 6). Рисунок 6. Рис. 6. Карта дозиметрического планирования СРТ лимфомы правого глаза (а); схема защиты хрусталика и зрительного нерва (б). Объем мишени GTV=CTV=8,711 ссm, включен в 80% изодозную кривую. Энергия излучения 6 MэB. Облучение проводилось с трех динамических арок с одним изоцентром. Получена 21 фракция по 1,8 Гр, до суммарной дозы облучения СОД ср =37,8 Гр. Лечение больная перенесла хорошо, осложнений не наблюдалось. В связи с тем что запланированный курс лечения интраартериальной химиотерапией был прерван, спустя 1 мес после СРТ лимфомы правого глаза, было проведено облучение всего головного мозга на приборе Primus, СОД=14,4 Гр. Одновременно с этим на приборе Novalis проведена СРТ левого слепого глаза, СОД=40 Гр.
В процессе лечения отмечался лишь преходящий постлучевой эпидермит кожи век слева. Через 8 мес после СРТ острота зрения OD сохранилась на прежнем уровне. Небольшая инфильтрация стекловидного тела осталась без динамики. Новых очагов на глазном дне не выявлено. Таким образом, была достигнута стабилизация лимфоматозного процесса в правом глазу. Состояние левого глаза без динамики.
Результаты и обсуждение
Интраокулярная лимфома - «великий мистификатор», поэтому в литературе широкое распространение получил термин «маскарадный синдром» 2. В случаях преимущественного поражения стекловидного тела наиболее часто ИОЛ ошибочно принимают за увеит, гемофтальм, реже - витреит неясной этиологии. Следует отметить, что при лимфомном процессе отсутствуют признаки воспаления, такие как опалесценция жидкости передней камеры, распыление пигмента на передней капсуле хрусталика, задние синехии, гипопион. S. Coupland и соавт. [4] полагают, что длительное и безуспешное лечение таких больных глюкокортикоидной и антибиотикотерапией служит поводом для проведения диагностической пункции стекловидного тела. От гемофтальма ИОЛ отличается отсутствием скопления эритроцитов, которые вследствие наличия гемосидерина имеют характерное бурое окрашивание. Если ИОЛ поражает преимущественно сетчатку и возникают очаговые изменения, может фигурировать диагноз «хориоретинит неясной этиологии», как в нашем клиническом наблюдении. Очаги носят инфильтративный характер, имеют четкие границы и желтовато-кремовое окрашивание. По мнению S. Coupland и соавт. [4], в этом случае для верификации патологического процесса необходимо проведение трансвитреальной тонкоигольной биопсии такого новообразования. Мы воздержались от этой инвазивной процедуры, так как правый глаз у пациентки Ч. был единственно зрячим. Также имелось иммуногистохимическое подтверждение диагноза лимфомы головного мозга, что позволяло рассматривать процесс как единый, а именно как В-клеточную лимфому ЦНС. Оптическая когерентная томография также выявляла характерную картину, представляющую участки повреждения фоторецепторов и истончения слоя пигментного эпителия сетчатки, наглядно представленную в литературе [7].
По мнению разных авторов, наиболее частым осложнением и СРТ, и химиотерапии является развитие/прогрессирование катаракты. Так, R. Mikami и соавт. [11], анализируя группу из 22 пациентов с ИОЛ, которые получили радиотерапию с СОД=30-40 Гр, выявили развитие катаракты у 5 больных, что составило 45%. J. Smith и cоавт. [10] приводят сведения о более частом возникновении катаракты после интравитреальной химиотерапии ИОЛ с использованием метотрексата. В их группе из 16 пациентов токсическая катаракта развилась в 73% наблюдений. У нашей пациентки за период наблюдения после СРТ в течение 8 мес сохранилась высокая острота зрения, не было отмечено прогрессирования начальной катаракты. В то же время была достигнута редукция/стабилизация ретинальных очагов и инфильтрации стекловидного тела, что свидетельствует об адекватно подобранной дозе облучения.
Заключение
ИОЛ имеет разнообразные клинические проявления и имитирует другие глазные заболевания, поэтому она может вызывать диагностические трудности у офтальмологов. Особенно часто это происходит в тех случаях, когда ИОЛ протекает самостоятельно или возникает задолго до поражения В-клеточной лимфомой головного мозга. СРТ является современным и эффективным методом лечения ИОЛ, позволяющим достичь ремиссии заболевания. Отсутствие своевременного лечения ведет к тотальной тракционной отслойке сетчатки и функциональной гибели глаза.
предоставляем актуальную медицинскую информацию от ведущих специалистов, помогая врачам в ежедневной работе
Для цитирования: Лимфомы органа зрения: особенности течения и прогноз. Клиническая офтальмология. 2013;14(1):4.
Резюме В настоящее время все существующие прогностические шкалы не характеризуют в полной мере прогноз первичных неходжкинских лимфом (НХЛ) глаза и его придаточного аппарата. При ретроспективном и проспективном изучении особенностей течения заболевания у 94 больных первичными НХЛ органа зрения выявлены некоторые факторы, влияющие на прогноз данного заболевания.
В настоящее время все существующие прогностические шкалы не характеризуют в полной мере прогноз первичных неходжкинских лимфом (НХЛ) глаза и его придаточного аппарата. При ретроспективном и проспективном изучении особенностей течения заболевания у 94 больных первичными НХЛ органа зрения выявлены некоторые факторы, влияющие на прогноз данного заболевания.
Ключевые слова: прогноз, неходжкинские лимфомы, глаз, орбита, конъюнктива, веки.
Abstract
Eye lymphoma - peculiarities of clinical course
and prognosis
E.E. Grishina, E.S. Guzenko
Ophthalmologic clinical hospital
Russian Medical Academy of postdiploma education
All existing prognostic scales don't fully characterize a prognosis for primary non-Hodgkin's lymphoma eye and adnexa.
In retrospective and prospective study of clinical course peculiarities in 94 patients with primary non-Hodgkin's lymphoma of eye and adnexa some factors influencing a prognosis of primary non-Hodgkin's lymphoma of eye and adnexa are revealed.
Key words: prognosis, non-Hodgkins lymphoma, eye, adnexa, orbit, conjunctiva, eyelids.
Литература
1. Аруин Л.И., Капуллер Л.Л., Исаков В. А. Морфологическая диагностика болезней желудка и кишечника. М., 1998. С. 232-245.
2. Бабичева Л. Г. Значение прогностических факторов при лечении больных фиброзной крупноклеточной В-клеточной лимфомой антрациклинсодержащими режимами химиотерапии: Дисс. . канд. мед. М., 2004.
3. Бровкина А.Ф. Болезни орбиты. Руководство для врачей. М.: Медицинское информационное агентство, 2008. С. 66-70, 159-186, 190-191, 192-198 // Болезни орбиты. М.: Медицина, 1993. С. 60-66.
4. Бровкина А.Ф., Гришина Е.Е. Внутриглазные неходжкинские лимфомы // Русский медицинский журнал. 2000. № 1, 3. С. 82-83.
5. Бровкина А.Ф., Сорокина М.Н., Каплина А.В. Внутриглазные злокачественные лимфомы // Вестн. офтальмологии. 1990. № 6. С. 48-53.
6. Москаленко О.А., Османов Д.Ш., Пробатова Н.А. и соавт. Первичные MALT-лимфомы желудка у больных пожилого возраста // Современная онкология. 2000. № 4. С. 146-151.
7. Поддубная И.В. Обоснование лечебной тактики при неходжкинских лимфомах / Онкогематология. Современные аспекты. М., 2005. С. 25-26.
8. Поддубная И.В., Дёмина Е.А. Диагностика и определение распространенности (стадирование) неходжкинских лимфом // Практическая онкология. 2004. Т. 5. № 3. С. 176-184.
9. Поддубная И.В., Балакирева Ю.Н. Клинико-морфологические особенности и факторы прогноза при первичных экстранодальных неходжкинских лимфомах: Материалы VIII Российского онкологического конгресса. М., 2004. С. 88-95.
10. Bairey O., Kremer I., Rakowsky E. et al. Orbital and adnexal involvement in systemic non-Hodgkin’s lymphoma // Cancer. 1994. Vol. 73 (9). P. 2395-2423.
11. Cahill M., Barnes C., Moriarty P. et al. Ocular adnexal lymphoma- comparison of I MALT lymphoma with other histological types // Br . J.Ophthalmol. 1999. Vol. 83. P. 742-747.
12. Canellos G.P., Lister T.A., Sklar J.L. General aspects of extranodal lymphoma In The Lymphomas. W.B. Saunders Company, 1997. P. 450-478.
13. Cher L. Primary CNS Lymphoma. Cancer Forum. 1998. Vol. 22 (2). P. 138-140.
14. Connor J.M. Problem in Lymphoma Management: Special Sites of Presentation // Oncology. 1998. Vol. 12 (2). P. 185-195.
15. Coupland S., Krause L., Delecluse H. et al. Lymphoproliferative disorders of the ocular adnexa. Analysis of 112 cases // Ophthalmology. 1998. Vol. 105. N 8. P. 1430—1441.
16. Coupland S.E., White V.A., Rootman J., Damato B., Finger P.T. A TNM-based clinical staging system of ocular adnexal lymphomas. ISOO MEETING 2009. Р. 338.
17. Filipec M., Karel I., Michalickova M. Malignant intraocular lymphoma. // Cesk. Ophthalmol. 1993. Vol. 49 (2). P. 72-75.
18. Jaffe E.S. The 2008 WHO classification of lymphomas: implications for clinical practice and translational research. Hematology Am Soc Hematol Educ Program. 2009. Р. 523-531.
19. Jensen O.A., Johansen S., Kiss K. Intraocular T-cell lymphoma mimicking a ring melanoma. First manifestation of systemic disease. Report of a case and survey of the literature. // Graefes. Arch. Clin. Exp. Ophthalmol. 1994. Vol. 232 (3). P. 148-152.
20. Khalil H.A., de Keiser R.J., Kluin P.M. et al. Clinical course and pathologic features of conjunctival non-Hodgkin’s lymphoma. A report of six cases // Graefes . Arch. Clin. Exp. Ophthalmol. 1990. Vol. 228 (3). P. 246-251.
21. Knowles D.M., Jacobiec F.A., McNally L., Burke J. Lymphoid hyperplasia and malignant lymphoma occurring in the ocular adnexa (orbit, conjinctiva and eyelids): a prospective multiparametric analysis of 108 cases during 1977 to 1987 // 7 Hum-Pathol. 1990. Vol. 21 (9). P. 959-973.
22. Margo C.E., Mulla Z.D. Malignant tumors of the orbit. Analysis of the Florida Cancer Registry // Ophthalmology. 1998 Jan. Vol. 105 (1). Р. 185-90.
23. McKelvie P.A. Ocular adnexal lymphomas: a review // Adv Anat Pathol. 2010 Jul. Vol. 17 (4). Р. 251-261.
24. McLean I.W., Burnier M.N., Zimmerman L.E., Jarobiec F.A. Tumor of orbit. In: Rosai J., Sobin L.H. (eds). Atlas of tumor pathology: tumors of the eye and adnexa, ser 3, fasc 12 Washington: Armed Forces Institute of Pathology, 1993. P. 233-298.
25. Medeiros L.J., Harmon D.C., Linggood R.M., Harris N.L. Immunohistologic featurs predict clinical behavior of orbital and conjunctival lymphoid infiltrates // Blood. 1989. Vol. 74. P. 2121-2129.
26. Meunier J., Lumbroso-Le Rouich, Dendale R. et al. Conjunctival low-grade non-Hodgkin’s lymphoma. // Leuc Lymphoma. 2006 Jul. Vol. 47 (7). Р. 1295-1305. Pub Med.
27. Nakata M., Matsuno Y., Katsumata N. et al. Histology according to the Revised European-American Lymphoma classification significantly predicts the prognosis of ocular adnexal lymphoma // Leuk-Lymphoma. 1999. Vol. 32 (5-6). P. 533-543.
28. Roos D.E., O'Brich P.C., Crompton J.L. Ocular involvement in primary central nervous system lymphoma: an ancreasing clinical problem? // Australas. Radiol. 1993. Vol. 37 (4). P. 372-374.
29. Roos D.E., O'Brich P.C., Crompton J.L. Ocular involvement in primary central nervous system lymphoma: an ancreasing clinical problem? // Australas. Radiol. 1993. Vol. 37 (4). P. 372-374.
30. Shikishima K., Kawai K., Kitahara K. Pathological evaluation of orbital tumours in Japan: analysis of a large case series and 1379 cases reported in the Japanese literature // Clin. Experiment. Ophthalmol. 2006 Apr. Vol. 34 (3). Р. 239-244.
31. Sutcliffe S.B., Gospodarowicz M.K. Haematological Oncology. Cambrige, Cambrige University Press, 1992. P. 189-222.
ФГБУ «Московский НИИ глазных болезней им. Гельмгольца» Минздрава России, Москва
ФГБУ "Московский НИИ глазных болезней им. Гельмгольца" Минздрава России
ФГБУ «Московский НИИ глазных болезней им. Гельмгольца» Минздрава России, ул. Садовая-Черногрязская, 14/19, Москва, Российская Федерация, 105062
Неходжкинская лимфома (случай сочетанного поражения глаз и орбиты)
Журнал: Вестник офтальмологии. 2015;131(3): 82‑89
В статье представлен полный клинический, инструментальный и морфологический анализ крайне редкого патологического состояния — сочетанного поражения глаз и орбиты лимфопролиферативным процессом.
Злокачественные лимфомы органа зрения представляют собой гетерогенную группу опухолей, характеризующихся злокачественной трансформацией лимфоидной ткани, и являются вариантом экстранодального поражения лимфоидной ткани (неходжкинские лимфомы — НХЛ).
В последние годы в мировой практике отмечается значительное увеличение числа экстранодальных лимфом. По данным И.В. Поддубной и Ю.Н. Балакиревой [1, 2], экстранодальные формы НХЛ составляют 24—48% всех НХЛ, а НХЛ органа зрения — 4,1—8% от всех экстранодальных лимфом.
Наиболее часто НХЛ органа зрения поражает орбиту и придаточный аппарат глаз и обычно развивается из железистых структур слезной железы, век и конъюнктивы. В последние годы отмечается значительное увеличение общего числа больных с периокулярными лимфомами. Например, частота лимфом среди всех злокачественных опухолей орбиты составляет 37,3—55% [3—5].
Сочетанное поражение интраокулярной и периокулярной лимфомой — крайне редкое явление, и в современной литературе имеются описания лишь единичных клинических наблюдений [20, 21].
Материал и методы
Мужчина 52 лет обратился в нашу клинику с жалобами на выстояние левого глаза и двоение в течение 2 мес. Проведен анализ клинической симптоматики. Инструментальные методы исследования включали флюоресцентную ангиографию (ФАГ) (Digital retinal Camera CX-1, «Canon», Япония), высокоразрешающее ультразвуковое дуплексное сканирование (УЗДС) (Voluson 730 Pro, «General Electric Healthcare», Австрия), компьютерную томографию (КТ). Диагноз верифицирован с помощью цитологического и гистологического (отделение патогистологии института, руководитель — проф. И.П. Хорошилова-Маслова) методов исследования.
При осмотре пациента отмечены легкий отек век и периорбитальных тканей слева, стационарный экзофтальм слева (асимметрия между двумя глазами 3 мм), ограничение подвижности левого глаза по горизонтали, в крайних отведениях (рис. 1). Внутриглазное давление обоих глаз в пределах нормы. Зрение обоих глаз 1,0 со слабой миопической коррекцией. Передний отрезок глаз — без изменений, стекловидное тело прозрачное. Периметрия позволила выявить единичные относительные скотомы в центральной зоне левого глаза, поля зрения правого глаза были в пределах нормы.

Рис. 1. Внешний вид больного. Легкий стационарный экзофтальм слева со смещением глаза книзу.
При офтальмоскопии слева отмечен желтоватый фон глазного дна. Артерии сетчатки сужены и извиты, вены сужены, выпрямлены. Легкий прозрачный отек сетчатки по ходу основных крупных сосудистых пучков сетчатки и у диска зрительного нерва. Визуализируются крупные, неправильного хода, резко извитые новообразованные сосуды. В субретинальном пространстве определялось образование желтоватого цвета, диффузно распространяющееся кверху и книзу от диска зрительного нерва без вовлечения в процесс макулярной зоны (рис. 2, а). В артериальную фазу ФАГ определялась крупнопятнистая гиперфлюоресценция центрального отдела глазного дна до средней периферии с наиболее выраженными изменениями в перипапиллярной зоне (см. рис. 2, б).

Рис. 2. Офтальмоскопическая картина (а) и флюоресцентная ангиограмма (б) глазного дна левого глаза.
При осмотре глазного дна правого глаза также определялся желтый оттенок глазного дна (менее выраженный, чем слева), отмечались нарушение хориоидального рисунка, прозрачный, диффузный легкий отек сетчатки, которые более отчетливо визуализировались на ФАГ (рис. 3, а, б).

Рис. 3. Офтальмоскопическая картина (а) и флюоресцентная ангиограмма (б) глазного дна правого глаза.
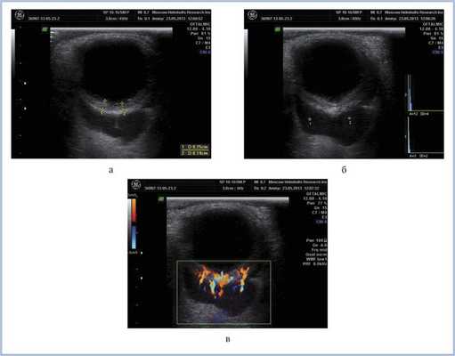
КТ позволила выявить ретробульбарную ткань с достаточно четкими границами, локализующуюся вокруг зрительного нерва, а также утолщение хориоидеи слева (рис. 4). Патологических изменений справа по данным КТ выявлено не было. С помощью УЗДС слева в В-режиме непосредственно за задним полюсом глаза (вокруг зрительного нерва) определяли гипоэхогенную, практически однородную опухолевую ткань с четкими неровными контурами. Одновременно выявили диффузное утолщение хориоидального слоя в области заднего полюса глаза — до 2,5 мм (рис. 5, а). Ультразвуковой денситометрический анализ, проведенный на основе двумерных серошкальных гистограмм, продемонстрировал крайне низкие значения акустической плотности ткани (А=3—12 усл. ед.) (см. рис. 5, б). В режиме цветового допплеровского картирования (ЦДК) отмечена гиперваскуляризация ретробульбарного и интраокулярных очагов с высокими линейными характеристиками кровотока. Следует отметить, что два указанных процесса — внутриглазной и орбитальный имели единую васкуляризацию (см. рис. 5, в). Патологических изменений в правом глазу по данным ультразвукового исследования выявлено не было.

Рис. 4. Компьютерная томограмма орбит в аксиальной (а) и сагиттальной (б) проекциях.

Рис. 5. Результаты дуплексного сканирования. а — утолщение хориоидеи; б — денситометрические показатели акустической плотности опухоли в В-режиме; в — множественные собственные сосуды опухоли, единая васкуляризация внутриглазного и орбитального очагов в режиме ЦДК.
Данные клинического и комплексного инструментального обследования позволили предположить лимфому с одномоментным вовлечением глаза и орбиты слева и начальный процесс с правой стороны.
Для подтверждения диагноза и определения дальнейшей тактики ведения больного первым этапом лечения была эксплораторная орбитотомия с биопсией образования. Во время операции непосредственно за глазным яблоком выявлена диффузно распространяющаяся опухолевая ткань светло-розового цвета с выраженной собственной сосудистой сетью, инфильтрирующая мягкие ткани орбиты, интимно контактирующая с задним полюсом глаза и оболочками зрительного нерва. Цитологически, иммуноцитохимически и гистологически была верифицирована В-клеточная лимфома (рис. 6), в связи с чем больной был направлен на консультацию к онкогематологам и нейрохирургам. Полное обследование у этих специалистов (включающее в том числе стернальную пункцию и магнитно-резонансную томографию головного мозга) не выявило патологии в других системах органов, в связи с чем процесс был расценен как первичная лимфома органа зрения с вовлечением обоих глаз и левой орбиты. Больному был назначен курс полихимиотерапии (ПХТ).

Рис. 6. Морфологическая картина. а — результат цитологического исследования. Обилие пролимфоцитов. Окраска по Паппенгейму. Ув. 1000; б — результат иммуноцитохимического исследования. Выраженная положительная реакция на CD20 (коричневое окрашивание); в — гистологический препарат. Окраска гематоксилином и эозином. Ув. 100 и 400. Разрастание лимфоидных клеток средних размеров (в 1,5 раза крупнее малых лимфоцитов) с ядрами округлой и неправильной формы, дифференцируются немногочисленные клетки более крупных размеров.
В настоящее время, спустя 6 мес после постановки диагноза и проведения 4 курсов ПХТ, состояние больного удовлетворительное. Патологических изменений со стороны ЦНС и других систем органов на данный момент не выявлено. Зрение обоих глаз с миопической коррекцией 1,0. Клинически отмечается положительная динамика в виде уплощения и уменьшения площади поражения (рис. 7, 8). Аналогичные результаты демонстрируют и инструментальные методы исследования (рис. 9). Однако в связи с наличием остаточного опухолевого процесса больной был направлен к гематологам для продолжения курса лечения (ПХТ).

Рис. 7. Офтальмоскопическая картина (а) и флюоресцентная ангиограмма (б) глазного дна левого глаза через 6 мес после ПХТ. Отмечается уплощение очага и уменьшение ретинального отека.

Рис. 8. Офтальмоскопическая картина (а) и флюоресцентная ангиограмма (б) глазного дна правого глаза через 6 мес после ПХТ.

Рис. 9. Дуплексное сканирование левого глаза и орбиты через 6 мес после ПХТ. Определяется уменьшение размеров опухолевой ткани в В-режиме (а), сохранность собственной васкуляризации в режиме ЦДК (б).
Сочетанное поражение глаза и орбиты НХЛ — крайне редкое явление. Как правило, диагностика орбитальной лимфомы не вызывает серьезных трудностей. В большинстве случаев клинико-инструментальная диагностика позволяет заподозрить лимфопролиферативный процесс. Диагностические ошибки могут иметь место при небольших периневрально расположенных образованиях, симулирующих опухоль зрительного нерва [22, 23], а также при перибульбарных лимфомах, которые нередко могут расцениваться как задний склерит [24].
Значительные сложности возникают в диагностике внутриглазного процесса. Офтальмоскопическая картина не однозначна и может симулировать ряд воспалительных процессов (так называемый «маскарадный синдром») [13]. Описаны случаи первичной внутриглазной лимфомы, симулирующей гранулематозный пантувеит, витриит и диффузный васкулит сетчатки [14]. Нередко внутриглазная лимфома симулирует метастатические опухоли хориоидеи, хориоидальную эффузию при заднем склерите [11, 14—16].
Следует обратить внимание, что в нашем случае внутриглазные очаги локализовались в хориоидее (менее типичная локализация для первичной лимфомы), в то время как сетчатка и стекловидное тело (наиболее частая локализация внутриглазной лимфомы) оставались интактными.
Из инструментальных методов исследования следует признать высокую информативность УЗДС, демонстрирующего типичные признаки лимфопролиферативного процесса: практически однородный гипоэхогенный очаг с выраженной «густой» собственной сосудистой сетью, с высокими линейными скоростными характеристиками кровотока в них. ФАГ оказалась наиболее чувствительным и единственным инструментальным методом, позволившим выявить начальный туморозный процесс в правом глазу.
Патогенез сочетанного поражения лимфомой глаза и орбиты, как впрочем и изолированной внутриглазной НХЛ, окончательно не изучен и может носить лишь предположительный характер [11]. Известно, что ретинальная лимфома (с/без вовлечения стекловидного тела) нередко бывает первичной, хотя чаще всего сочетается с ПЛЦНС [9, 11]. Отсутствие поражения других органов у данного пациента позволяет предположить первичный процесс в органе зрения. С другой стороны, бинокулярный характер поражения и имеющиеся сведения о возможном метахронном поражении органа зрения и головного мозга не исключают вероятности системного характера процесса с первичной манифестацией в органе зрения [14]. Например, описаны случаи развития лимфомы ЦНС через 2,5 года после выявления внутриглазного очага [14].
В литературе представлены некоторые гипотезы механизмов одновременного поражения глаз и орбиты НХЛ, среди которых рассматривается локальная инвазия лимфоидных клеток через зрительный нерв [18] или через послеоперационную рану [25]. Имеются данные о возможной злокачественной трансформации лимфоидных клеток при локальном воспалительном процессе, что было отмечено у больных с иммунодефицитными состояниями [26]. P. Panda и соавт. [27] представили случай лимфомы орбиты в сочетании с пантувеитом, определяя, что поражение оболочек глаза является вторичным и носит не опухолевый, а воспалительный характер.
Анализируя наш клинический случай, можно предположить следующие возможные механизмы развития сочетанного поражения глаза и орбиты. Во-первых, скорее всего имеет место системный характер поражения с первичной манифестацией в органе зрения. Во-вторых, на наш взгляд, у больного имело место первичное поражение сосудистых оболочек глаза с вторичной инфильтрацией (через естественные отверстия в глазу и оболочки зрительного нерва) в орбиту. Кстати, в пользу данного механизма косвенно может свидетельствовать инфильтрация опухолевой тканью заднего полюса глаза и зрительного нерва, что было выявлено во время диагностической орбитотомии, а также юкстапапиллярная локализация очага. В-третьих, что маловероятно, одновременное сочетанное поражение НХЛ различных структур органа зрения может рассматриваться как казуистика.
Таким образом, сочетанное поражение глаза и орбиты лимфопролиферативным процессом является крайне редкой онкопатологией с вовлечением в процесс органа зрения, механизм возникновения которой остается окончательно не ясным.
Наличие орбитального процесса требует тщательного исследования глазного дна обоих глаз с использованием комплекса современный инструментальных методов исследования с целью исключения вовлечения в опухолевый процесс оболочек глаза. Глазная симптоматика может быть первичным звеном в системном процессе, что требует постоянного динамического контроля со стороны гематологов и нейрохирургов для своевременного выявления генерализации процесса, в частности лимфомы ЦНС. Несмотря на то что данная категория больных получает лечение у онкогематологов, роль офтальмолога высоко значима как в постановке правильного диагноза, взятии биопсийного материала, тесной кооперации с гистологами и онкогематологами, участии в планировании лечения, так и в динамическом наблюдении для определения эффективности проводимой терапии.
Злокачественная лимфома (ЗЛ) как первичная внутриглазная опухоль встречается достаточно редко. По мнению Connor J. [7] среди всех лимфом на внутриглазную локализацию приходится менее 1%. Чаще она сочетается с поражением ЦНС [10, 17, 19, 20] или возникает на фоне системного поражения, включая висцеральные органы [3,12]. Возможно возникновение внутриглазной ЗЛ на фоне аутоиммунных состояний [2, 6, 9,18]. Известны случаи внутриглазной ЗЛ, находившейся ранее в стадии ремиссии и проявляющейся клинически у больных в период реактивации болезни [11]. Большинство внутриглазных неходжкинских злокачественных лимфом характеризуются пролиферацией моноклональных В-лимфоцитов [13]. Т-клеточные лимфомы составляют менее 20% и протекают более агрессивно [5]. При системном поражении (висцеральные органы, лимфатические узлы, ЦНС) внутри глаза ЗЛ возникает вторично спустя несколько месяцев и даже лет после установления диагноза; почти у 80% больных обнаруживают билатеральное поражение [5,11]. Локальное поражение при отсутствии страдания внутренних органов и систем на протяжении нескольких лет позволяет рассматривать некоторые внутриглазные ЗЛ, как первичные опухоли экстранодального происхождения [1,13]. Для них более характерно монолатеральное поражение.
Материал и методы
Основой для написания данной статьи явились собственные наблюдения над 8 больными (10 глаз) с внутриглазной ЗЛ. Мужчин-6, женщин-2. Возраст больных от 46 до 68 лет. В двух случаях имел место билатеральный процесс. Длительность анамнеза с момента появления первых симптомов до постановки диагноза составляла от 2 до 6 лет. В 5 случаях процесс носил односторонний локальный внутриглазной характер, у одного больного опухоль радужки развилась на фоне возникших ранее множественных кожных узлов и диагноз ЗЛ установлен после биопсии кожного узла. У двух мужчин билатеральный процесс развился на фоне системного поражения, причем у одного из них системное поражение выявлено после постановки диагноза внутриглазной ЗЛ, у другого -спустя 3 года после констатации генерализованной формы ЗЛ. При обследовании больных использован комплекс инструментальных методов исследования, в том числе ультразвуковое сканирование, компьютерная томография и/или ЯМР-исследование. Во всех случаях первым симптомом поражения глаз было снижение остроты зрения. В 3 глазах клинически был поставлен диагноз увеита, течение которого не изменялось на фоне противовоспалительной терапии, в том числе и кортикостероидной. В 7 глазах на основании инструментальных методов исследования диагностирована внутриглазная опухоль, локализующаяся в иридоцилиарной (3 глаза) и в постэкваториальной зонах (4 глаза, из них в 2 глазах опухоль выходила за пределы склеры с формированием эписклеральных узлов). Диагноз внутриглазной ЗЛ установлен гистологически в 7 глазах, а в 3 случаях наряду с гистологическим исследованием проведено гистоиммунохимическое исследование в лаборатории клинической иммунологии РОНЦ РАМН, позволившее выявить мелкоклеточную В-лимфому. У двух больных (3 глаза) диагноз базировался на основании данных биопсии кожного узла (1 случай) и опухоли желудка
(1 случай). Хирургическое лечение проведено у 6 больных: иридоциклосклерэктомия (1 глаз), энуклеация
(3 глаза), экзентерация орбиты (2 больных ). Во всех случаях после установления диагноза больным проведена комбинированная химиотерапия по назначению онкологов, в 6 случаях после установки диагноза ЗЛ наряду с химиотерапией больные получали наружное облучение глаза.
Результаты и их обсуждение
Как показывают наши наблюдения, клиническая картина внутриглазной ЗЛ полиморфна. Одним из первых симптомов ее следует признать снижение остроты зрения, появляющееся за несколько месяцев до обращения к врачу. При вялотекущем увеите можно выделить несколько стадий развития процесса: вначале появляются симптомы вялотекущего увеита (слабо выраженная перикорнеальная инъекция, на задней поверхности роговицы-преципитаты неправильной формы с нечеткими границами, неоваскуляризация радужки, мидриаз, задние синехии), но боли и светобоязнь при этом отсутствуют. Наличие глубокого склерита как преэкваториальной, так и постэкваториальной локализации также следует отнести к симптомам, присущим ЗЛ. Описаны случаи ЗЛ, протекающей с клинической картиной аутоиммунного ретинального васкулита с некрозом сетчатки [4,14]. Постепенно угол передней камеры закрывается псевдопреципитатами и экссудатом. Повышается внутриглазное давление. При поражении заднего отдела глаза наблюдается опалесценция стекловидного тела в результате имбибиции его опухолевыми клетками. На глазном дне -диск зрительного нерва бледен, субретинальная инфильтрация, хориоидея утолщена, что особенно заметно при ультразвуковом сканировании. Corriven C. образно назвал подобное проявление внутриглазной ЗЛ "маскарадным синдромом"[8]. Как показывают наши наблюдения, при такой клинической картине увеит или хориоретинит не поддаются купированию медикаментозными средствами, в том числе и кортикостероидами, при ухудшающимся общем состоянии больных. Создается впечатление, что ЗЛ по типу увеита наблюдается, в основном при системном поражении с билатеральной локализацией ЗЛ. Подобного мнения придерживается и Kornmann B. [12]. Процесс развивается торпидно, на протяжении многих лет.
Почти в 1,5 раза чаще ЗЛ развивается по типу внутриглазной опухоли с присущими ее симптомами. Иридоцилиарная локализация расценивается как метастатический процесс при генерализованной форме ЗЛ [9]. Это подтвердили и два наших наблюдения.
В экваториальной и постэкваториальной зонах опухоль, увеличиваясь в размерах, отслаивает пигментный эпителий сетчатки, проминенция ее приводит к вторичным изменениям в сетчатке [4, 15,16]. Офтальмоскопическая картина типична для увеальной беспигментной меланомы или метастаза. Эхографически определяется проминенция опухолевого узла до 3-4 мм. С учетом новой классификации REAL (1994) представляют несомненный интерес три случая ЗЛ, где уточненный диагноз В-мелкоклеточной злокачественной лимфомы оказался возможным благодаря иммуногистохимическим исследованиям (рис.1). В одном случае опухоли в радужке и цилиарном теле появилась на фоне системного поражения, а в двух глазах была выявлена экстранодальная ЗЛ в виде проминирующих хориоидальных очагов в зоне экватора (1 глаз) и юкстапапиллярно (1глаз) с офтальмоскопической и эхографической картиной меланомы и метастаза (рис.2). Для этих случаев так же оказалось характерным торпидное течение. В одном случае после проведенного комбинированного лечения больная прожила 11 лет, вторая наблюдается на протяжении 2 лет. Состояние больной хорошее, признаки системного распространения отсутствуют. Сами по себе три случая не позволяют делать какие-либо обобщения, но все же сопоставляя клиническую картину собственных наблюдений, позволим себе подтвердить возможность существования экстранодальных внутриглазных ЗЛ, которые, как правило, протекают по типу внутриглазной опухоли, имеют скорее всего принадлежность к В -клеточным лимфомам, которым присуще более доброкачественно течение процесса. Это диктует необходимость обязательного участия офтальмоонколога или офтальмолога в планировании лечения с целью сохранения зрительных функций пораженного глаза и улучшения комфортности жизни больных с этим тяжелым хроническим заболеванием.
Читайте также:
- Молочная железа. Топография молочной железы. Строение молочной железы. Структура молочной железы.
- Течение и ведение беременности при анатомически узком тазе.
- Вирусная пневмония: причины, симптомы и лечение
- Борьба с отравлениями и травматизмом рабочих в мартеновских цехах
- Оценка метаболизма. Экскреция азота и дыхательный коэффициент
