Примеры изменения прилегающих структур при гемангиоме хориоидеи
Добавил пользователь Валентин П. Обновлено: 01.01.2026
ГБОУ ДПО «Российская медицинская академия последипломного образования» Минздрава России, Москва
ФГБУ "Научно-исследовательский институт глазных болезней" РАМН, Москва
ФГБУ "НИИ глазных болезней" РАМН, Москва
ГОУ ДПО РМАПО Минздрава России, ул. Баррикадная, 2/1, Москва, Российская Федерация, 125993
Гемангиома хориоидеи и возможности ее уточненной диагностики
Журнал: Вестник офтальмологии. 2016;132(4): 10‑19
Цель - выявить возможности оптической когерентной томографии (ОКТ) в уточненной диагностике гемангиомы хориоидеи (ГХ). Материал и методы. Обследованы 27 больных (22 женщины, 5 мужчин) с монолатеральной ГХ. Возраст на момент постановки диагноза составлял 30-76 лет (в среднем 53,7±5,29 года). Толщина опухолевого узла варьировала в пределах 0,9-5,3 мм (2,17±0,41 мм; медиана 1,9 мм), диаметр основания - 2,64-13,86 мм (медиана 7,7 мм). Результаты. Оценивая ОКТ-симптоматику ГХ, можно сказать, что нарушение архитектоники сетчатки, в том числе ее кистозная дистрофия, возникают при проминенции опухоли более 1,8 мм, а отек сетчатки - чаще при ее бо́льшей толщине. Следует отметить, что появившиеся морфофункциональные изменения в сетчатке при ГХ прогрессируют крайне медленно. При исследовании аутофлюоресценции опухоль была представлена участком обширной гипоаутофлюоресценции различной интенсивности. Локальный фиброз, гиперплазия и атрофия ретинального пигментного эпителия (PПЭ) также представлены зонами гипоаутофлюоресценции. Участки гипераутофлюоресценции соответствовали зонам скопления липофусцина. Вокруг самого узла опухоли в двух случаях наблюдали обширные зоны умеренной гипераутофлюоресценции за счет наличия свежей субретинальной жидкости с повреждением фоторецепторного слоя; точечные участки гипоаутофлюоресценции в этих зонах, по данным ОКТ, соответствовали участкам атрофии РПЭ. Заключение. Офтальмоскопическая картина ГХ представляет определенные трудности в уточненной диагностике. Наряду с получившей широкое распространение флюоресцентной ангиографией, современные методы диагностики, такие как спектральная ОКТ (в том числе в режиме углубленного сканирования с выявлением хориоидальных признаков), а также исследование аутофлюоресценции в режиме MultiColor позволяют уточнить диагноз гемангиомы.
Гемангиома хориоидеи (ГХ) - представитель группы гамартом, чаще представлена в виде отграниченного новообразования, реже - в виде диффузной формы, которая, как правило, сочетается с синдромом Стюрж-Вебера. Опухоль характеризуется торпидным течением, первые симптомы роста отграниченной ГХ возникают на 4-5-м десятилетии жизни. Клиническая картина ее многократно описана в литературе 2. Главная отличительная особенность - оранжево-красный или оранжево-желтый цвет опухоли. В то же время J. Gass в 1974 г. описал ГХ аспидно-серого цвета и объяснил это гиперплазией надлежащего ретинального пигментного эпителия (РПЭ). Такие случаи и делают трудной дифференциальную диагностику ГХ с другими опухолями и в первую очередь с меланомой хориоидеи.
Жалобы на зрительные расстройства при ГХ длительное время отсутствуют. Появление их связано с развивающимися изменениями в надлежащей сетчатке 5.
С целью уточнения диагноза ГХ достаточно широко используют флюоресцентную ангиографию (ФАГ), особенно с индоцианином зеленым [6], а также метод аутофлюоресценции (АФ) [7, 8].
Приводимые в литературе сведения о диагностической возможности визуализирующих методов исследования порой противоречивы, основное внимание уделено состоянию надлежащей сетчатки. Появление современных спектральных томографов, в том числе с функцией получения изображения в глубине тканей (EDI-OCT), позволило проводить более глубокое сканирование с оценкой хориоидального слоя [12]. При использовании EDI-OCT отграниченные гемангиомы выглядят как гипо- или среднерефлективные полосы с гомогенным сигналом и внутренними полостями. Они могут отличаться от нормальной окружающей хориоидеи, но их наружная граница может быть визуализирована только при толщине опухоли до 0,9 мм [6, 9].
Цель исследования - выявить возможности ОКТ в уточненной диагностике ГХ.
Материал и методы
Обследованы 27 больных (22 женщины, 5 мужчин) с монолатеральной Г.Х. Возраст на момент постановки диагноза составлял 30-76 лет (в среднем 53,7±5,29 года). У 10 пациентов исследование проводили в течение первого года после появления жалоб, у 4 человек - через 1,5-3 года, у 4 пациентов - через 3-8 лет, у 8 больных - через 9 лет и более (максимальный срок 16 лет). В одном случае ГХ была выявлена на амблиопичном глазу. В правом глазу ГХ диагностирована у 14 пациентов, в левом - у 13. Локализация во всех наблюдениях была ограничена задним полюсом глаза, в том числе макулярной (6 глаз) и парамакулярной (6 глаз) зоной. Толщина опухолевого узла варьировала в пределах 0,9-5,3 мм (2,17±0,41 мм, медиана 1,9 мм), диаметр основания - 2,64-13,86 мм (медиана 7,7 мм).
Всем пациентам проведены биомикроофтальмоскопия, цифровая фоторегистрация глазного дна, ультразвуковое исследование (УЗИ), ФАГ, ОКТ. Фоторегистрация глазного дна в режиме MultiColor (МС) выполнена у 7 больных, АФ - у 6. Повторно в процессе динамического наблюдения ОКТ проведена у 10 больных, из них у 3 - трехкратно (табл. 1).

Таблица 1. Временные параметры повторных исследований Примечание. * - амблиопия, скорее всего, обусловлена макулярной локализацией ГХ.
С целью выявления влияния толщины ГХ на состояние надлежащей сетчатки все опухоли были подразделены на группы с учетом ее толщины (табл. 2).
Таблица 2. Распределение глаз с учетом проминенции ГХ
ОКТ в стандартном режиме и в режиме получения изображения в глубине тканей (EDI-OCT), исследование АФ в режиме BluePeak и исследование в режиме MultiColor выполняли на приборе OCT Spectralis («Heydelberg Engineering», Германия), ФАГ - на фундус-камере FF 450 plus («Carl Zeiss», Германия). Фоторегистрацию глазного дна проводили во время ангиографии, а также с помощью фундус-камеры TRC-NW300 («Topcon», Япония). Ультразвуковые исследования выполнены на приборе UD 600 («Tomey», Япония).
Статистическую обработку результатов проводили с помощью Microsoft Excel 2007.
Результаты и обсуждение
Анализ томограмм начинали с оценки хориоидеи. Во всех случаях профиль хориоидеи проминировал в сторону надлежащей сетчатки, его величина не всегда совпадала с толщиной ГХ, уточненной по данным ультразвуковой биометрии хориоидальной зоны. Подобное несовпадение мы наблюдали при исследовании 6 глаз. В 4 случаях ГХ выявлена случайно, и, по данным УЗИ, высота ее варьировала от 1 до 2,33 мм, в то время как высота хориоидального профиля в зоне интереса по данным ОКТ оказалась в 2 раза меньше. Как свидетельствуют данные ОКТ, разница показателей обусловлена отслойкой нейроэпителия (ОНЭ) и интраретинальным отеком. Необходимо отметить, что при толщине ГХ более 2 мм (по данным ультразвуковой биометрии хориоидальной зоны) достоверно измерить толщину опухоли по ОКТ не представляется возможным.
При морфобиометрии хориоидального комплекса (зона интереса) следует помнить, что возможны отклонения от истинных границ ГХ, так как оптически плотные образования (рубцы, кровоизлияния, экссудат, сосуды) препятствуют прохождению световых лучей и визуализации глубжележащих структур [13].
В 8 наблюдениях (толщина ГХ 1-3,15 мм) в зоне интереса визуализировали ампулообразное утолщение хориоидеи с «выстоянием» в сторону склеры (рис. 1). Полосу склеры в проекции максимальной толщины ГХ удалось зафиксировать в 3 случаях (толщина опухоли 1; 1,25 и 1,3 мм) (см. рис. 1). При анализе томограмм в режиме оттенков серого в зоне патологического очага у 25 пациентов, независимо от высоты ГХ, практически сразу выявили очертания относительно крупных сосудов под мембраной Бруха, диаметр их просвета варьировал от 65 до 559 мкм, (рис. 2). Следует отметить, что в зоне максимальной проминенции ГХ имели место сосуды меньшего диаметра, а по периферии опухоли - сосуды большего диаметра.

Рис. 1. ОКТ-горизонтальный срез через ГХ в зоне ее максимальной проминенции. Ампулообразное расширение хориоидеи (полоса склеры указана стрелками).

Рис. 2. ОКТ-горизонтальный срез. Крупный сосуд в толще ГХ (указан стрелкой).
Между мембраной Бруха и патологическим очагом в 9 случаях была видна гипорефлективная линия, разделяющая базальную мембрану и Г.Х. Эту полосу «самоотграничения» зафиксировали преимущественно при высоте опухоли до 1,9 мм (6 глаз) (рис. 3). В 3 случаях проминенция составляла 2,3; 3 и 4 мм. Не исключено, что она соответствует пространству между мембраной Бруха и псевдокапсулой гемангиомы, которую практически всегда находят при гемангиомах орбиты.

Рис. 3. ОКТ-горизонтальный срез. Зона «самоотграничения» ГХ (указана стрелками).

Рис. 4. ОКТ-горизонтальный срез. Уплощенная неровная поверхность ГХ, гиперрефлективная зона - фиброваскулярный рубец (отмечена звездочкой).
В 23 случаях поверхность РПЭ была неровной за счет его неравномерной гиперплазии, у 2 пациентов РПЭ имел вид «облысевшего» в результате его атрофии (длительность наблюдений 3 и 10 лет). У 7 пациентов при минимальной толщине ГХ 1 мм и максимальной 3,45 мм наряду с гиперрефлективностью РПЭ выявлены друзы, что проявляется на ОКТ неравномерной рефлективностью и отложением депозитов по РПЭ.
В 15 глазах были выявлены гиперрефлективные зоны (см. рис. 4), которые могут быть расценены как организовавшиеся субретинальные кровоизлияния или фиброваскулярные рубцы. Размер этих зон увеличивался по мере удлинения сроков заболевания. Таким образом, изменения РПЭ, расположенного на мембране Бруха, носили вторичный характер. Отслойка РПЭ зафиксирована у 8 пациентов (при толщине ГХ от 1 до 3,15 мм). При исследовании больных в динамике в сроки от 3 до 11 мес существенных изменений в РПЭ не выявлено.
ОНЭ с отеком и дезорганизацией дисков наружных фоторецепторов в макулярной зоне выявлена у 12 больных с ГХ со снижением зрения до 0,02-0,8, проминенцией опухоли 1-4,05 мм и анамнезом заболевания от 1 мес до 15 лет. Наиболее выраженное снижение зрения (до сотых) отмечали в случаях пара- и макулярного расположения ГХ и длительности анамнеза более 10 лет (рис. 5, а), минимальное снижение остроты зрения (до 0,6-0,8) - при длительности анамнеза до 1 года (см. рис. 5, б).

Рис. 5. ОКТ-горизонтальный срез через макулярную зону. а - пациентки Е., Vis OS =0,02, длительность анамнеза 11 лет (ОНЭ, кистозные изменения в макулярной зоне с разрушением фоторецепторов); б - пациентки С., Vis OS =0,7-0,8, длительность анамнеза 6 мес (отечность наружных сегментов фоторецепторов).
В 8 случаях выявили распространенную зону ОНЭ с дезорганизацией фоторецепторного слоя «на протяжении» от очага (рис. 6, а). В 2 случаях при анамнезе более 15 лет были выявлены зоны разрушения слоя фоторецепторов и наружных слоев сетчатки, соответствующие зонам ранее существовавшей ОНЭ (см. рис. 6, б).

Рис. 6. ОКТ-горизонтальный срез «на протяжении» от ГХ. а - пациентки Х., длительность анамнеза 3,5 года (красными стрелками указана зона ОНЭ); б - пациентки К., длительность анамнеза 15 лет (желтыми стрелками указана зона разрушения слоя фоторецепторов и наружных слоев сетчатки на месте ранее существовавшей ОНЭ, атрофия РПЭ).
Следует отметить, что появившиеся морфофункциональные изменения в сетчатке при ГХ прогрессируют крайне медленно, что мы имели возможность подтвердить у 8 больных при повторных ОКТ с интервалами от 3 до 25 мес. Этот факт важен при планировании лечения больных с достаточно хорошим зрительным прогнозом. Ранние изменения в сенсорной части сетчатки (при анамнезе 3 мес) находили и другие авторы [10].
Оценивая ОКТ-симптоматику ГХ, можно сказать, что нарушение архитектоники сетчатки, в том числе ее кистозная дистрофия, возникают при проминенции опухоли более 1,8 мм, а отек сетчатки - чаще при ее бо́льшей толщине [15]. В то же время имеются сведения, что куполообразная элевация хориоидеи с фокальной гиперплазией надлежащего РПЭ может сочетаться с серозной отслойкой сетчатки над опухолью и сохранной архитектоникой сетчатки, нормальным слоем фоторецепторов и отсутствием интраретинального отека [9, 16], что расценивают как отражение остроты процесса [6].
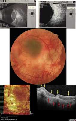
Как показывают наши наблюдения, ГХ может быть подвержена саморегрессии. Мы имели возможность наблюдать больную 66 лет, у которой в 2005 г. была выявлена ГХ проминенцией 5,5 мм (рис. 7, а). Больная отказалась от лечения и находилась под наблюдением. При контрольном исследовании спустя 9 лет по данным ОКТ и УЗИ отмечено уменьшение толщины ГХ до 1,2 мм (см. рис. 7, б-г). Очаг, по данным ОКТ, «выстоял» в сторону склеры, куполообразная проминенция в сторону сетчатки отсутствовала. Аналогичный случай описан M. Munteanu и соавт. в 2013 г. [17].

Рис. 7. Офтальмоскопическая картина глазного дна при саморегрессии ГХ (в) и соответствующие данные УЗИ в динамике (а - на момент выявления ГХ; б - при контрольном обследовании через 9 лет) и результат ОКТ (г) (красными стрелками отмечена область изменений в хориоидее, желтыми - в сетчатке).
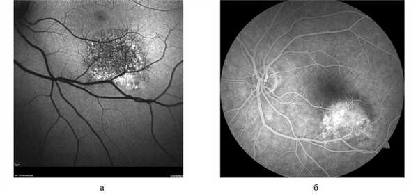
Аутофлюоресценция исследована у 6 пациентов с ГХ, опухоль была представлена участком обширной гипоаутофлюоресценции различной интенсивности (рис. 8, а), в то время как по ФАГ ей соответствовали зоны гиперфлюоресценции собственных сосудов опухоли и сосудистых лакун (см. рис. 8, б). Локальный фиброз, гиперплазия и атрофия пигментного эпителия также представлены зонами гипоаутофлюоресценции. Участки гипераутофлюоресценции соответствовали зонам скопления липофусцина в виде пятен оранжевого пигмента, описанного J. Gass в 1974 г. Вокруг самого узла опухоли в 2 случаях наблюдали обширные зоны умеренной гипераутофлюоресценции за счет наличия свежей субретинальной жидкости с повреждением фоторецепторного слоя и/или альтерацией РПЭ, выявленными по данным ОКТ, точечные участки гипоаутофлюоресценции в этих зонах, по данным ОКТ, соответствовали участкам атрофии РПЭ (рис. 9).

Рис. 8. Картина А.Ф. (а) и ФАГ (б) глазного дна при гемангиоме хориоидеи (объяснения в тексте).

Рис. 9. Картина А.Ф. при гемангиоме хориоидеи и соответствующие данные ОКТ. Вертикальный срез через зону умеренной гипераутофлюоресценции, разрыв слоя фоторецепторов (указан желтыми стрелками, точечный блок АФ в зоне точечной атрофии пигментного эпителия указан красными стрелками).
Исследование глазного дна в режиме MC проведено в 7 случаях. Проанализированы как цветные, так и отдельные изображения, полученные при сканировании каждым из трех лазеров.
В исследованных случаях при получении цветного изображения гемангиомы выглядели в виде проминирующего участка зеленого цвета с четкими границами (рис. 10, б). При этом границы ГХ были представлены четче, чем на цветной фотографии глазного дна (см. рис. 10, а). Следует отметить, что в 5 случаях имели место беспигментные и слабопигментированные гемангиомы. Поля оранжевого пигмента определены во всех случаях. Следует отметить, что на МС липофусцин выглядел именно оранжевым (см. рис. 10, б), в то время как при офтальмоскопии на поверхности беспигментных опухолей он имел коричневую окраску и чаще совсем не выявлялся.

Рис. 10. Офтальмоскопическая картина глазного дна при гемангиоме хориоидеи (а) и соответствующие изображения глазного дна в режиме MultiColor (б), в инфракрасном свете (в), зеленом (г) и синем (д) отраженном свете (объяснения в тексте).
Анализ изображений, полученных отдельно от каждого лазера, показал, что зоны скопления липофусцина выявляются только на инфракрасном изображении, скопления твердого экссудата на поверхности сетчатки - на всех трех изображениях, но наиболее четко - на изображении в зеленом отраженном свете. Также на изображениях в зеленом и синем отраженном свете лучше всего видны участки эпиретинального фиброза (см. рис. 10, в-д).
Заключение
Офтальмоскопическая картина ГХ представляет определенные трудности в уточненной диагностике. Наряду с получившей широкое распространение флюоресцентной ангиографией, современные методы диагностики, такие как спектральная ОКТ (в том числе в режиме углубленного сканирования с выявлением хориоидальных признаков), а также исследование аутофлюоресценции и в режиме MultiColor позволяют уточнить диагноз гемангиомы.
Примеры изменения прилегающих структур при гемангиоме хориоидеи
Peculiarities of blood supply of localized choroidal
hemangiomas
A.F. Brovkina, A.G. Amiryan, V.G. Leluck
Moscow Scientific Research Institute of Gelmgoltsa MH of RF,
State Scientific Center- Institute of Biophysics of MH RF.
Hemangioma is a rare congenital tumour, which refers to malformations (haemarthromas) and consists of 0.76% from removed intraocular tumours.
Recently the diagnosis of localized choroidal hemangioma has been considered as fatal for the eye because of total retinal detachment. Taking into consideration the opportunity of early local hemangioma destruction, it’s early detection bacame actual.
Purpose: To study peculiarities of haemodynamics of localized choroidal hemangiomas with the help of duplex scanning.
Materials and methods
9 patients (9 eyes) with localized choroidal hemangioma were examined. Age of patients- 18-67 years old. (average - 44.7).
Results and discussion
Being in central zaone, hemangioma affects macular and paramacular zones in 2/3 of cases. There is juxtapapillary location of hemangioma in 1/3 of patients. While examinating in regime of CDK, in all cases, not depending on sizes of localized hemangioma, an even distribution of neovascular vessels at all it’s thickness and square was registered. By sight, blood supply of hemangioma is perfomed by choroidal vessels; retinal vessels don’t participate in it’s supply.
Only in juxtapapillary localization (3 cases) the tumour aquired double supply- from choroidal vessels and central retinal artery.
When the choroidal hemangioma takes place, increase of blood flow in posterior ciliar vessels is observed in 16.6% in average , in central retinal artery in 44.4% in average and in central retinal vein by 18.9%.
Change of blood flow in neovascular vessels is accompanied by increase of maximum systolic speed in intratumourous vessels.
Conclusion
Localized choroidal hemangioma may be differentiated clearly enough, using duplex scanning. Registered haemodynamic changing allows to confirm the double tumorous blood supply (from central retinal artery and posterior ciliar arteries). Exactly by this unsatisfying results of lasercoagulation could be explained. It affects supply from net of retinal vessels, but vessels from reservoir of posterior ciliar vessels, which are obliterated after the brachitherapy, remain intact.
Гемангиома - редкая врожденная опухоль - относится к порокам развития (гамартомам) и составляет 0,76% от удаленных внутриглазных опухолей [6]. Мужчины и женщины заболевают одинаково часто. Их возраст колеблется от 10 до 60 лет, средний составляет 35,2 года [1, 2].
Опухоль развивается очень медленно, длительно протекает бессимптомно [1, 2, 4, 5]. При локализации в заднем полюсе глаза снижение зрения является первой причиной обращения пациентов к офтальмологу.
По своему характеру роста гемангиома хориоидеи может быть представлена одиночным узлом (отграниченная гемангиома), но может иметь и диффузное распространение. Последняя, как правило, сопровождает синдром Стюрж-Вебера [1, 2, 4, 16, 19].
Ранее диагноз отграниченной гемангиомы хориоидеи считался для глаза фатальным в результате появления тотальной отслойки сетчатки. В исходе возникала вторичная глаукома. В 70-80 гг. была попытка использовать лазеркоагуляцию для локализации «роста» гемангиомы и ее разрушения [3]. Однако полной регрессии опухоли достичь не удалось: в большинстве случаев продолжалась прогрессия отслойки сетчатки. В последние годы, как свидетельствуют данные литературы, эффективными оказались брахитерапия и наружное облучение глаза (при диффузной гемангиоме). Облучение приводит к резорбции субретинальной жидкости, уменьшению и локализации экссудата.
В связи с возможностью локального разрушения гемангиомы стало актуальным раннее ее выявление. Офтальмоскопически диагностика гемангиомы сложна, ее часто приходится дифференцировать с увеальной меланомой и метастатическими поражениями хориоидеи, в то же время от точного диагноза зависит выбор тактики лечения больного и оценки прогноза для жизни [1, 2, 3, 10, 16, 18]. Клинико-инструментальные методы исследования не всегда доказательны. Наиболее информативна ангиография - флюоресцентная и с индоцианин зеленым [1, 7, 8, 9, 11, 14, 15, 17, 18].
При ультразвуковом сканировании, которое широко применяется для диагностики внутриглазных опухолей, выделены эхографические признаки гемангиомы хориоидеи. К ним можно отнести проминирующий очаг повышенной эхогенности и отсутствие «экскавации» хориоидеи, столь характерной для увеальной меланомы [1]. Однако они относительны. Характерные для гемангиомы кровеносные сосуды при УЗ-сканировании не выявляются. Определенные надежды возлагали на дуплексное сканирование, сочетающее в себе элементы УЗ-сканирования (В-метод), цветового допплеровского кодирования (ЦДК) и спектрального допплеровского анализа, позволяющее получить информацию о кровотоке в сосудах глаза и в новообразованных сосудах опухоли в режиме реального времени. Тем не менее, данные литературы о диагностических возможностях дуплексного сканирования при отграниченной гемангиоме хориоидеи не многочисленны и противоречивы. В основном они принадлежат зарубежным авторам [11, 13, 16, 20, 21]. В отечественной литературе имеется публикация, в которой представлена только описательная картина ЦДК гемангиомы [4]. Располагая наблюдениями над 9 больными с гемангиомой хориоидеи, мы поставили перед собой задачу изучить особенности гемодинамики отграниченных гемангиом хориоидеи методом дуплексного сканирования.
Материалы и методы
Нами обследовано 9 пациентов (9 глаз) с отграниченной гемангиомой хориоидеи. Возраст больных - от 18 до 67 лет (средний - 44,7), женщин - 5, мужчин- 4. В 5 случаях диагноз отграниченной гемангиомы хориоидеи подтвержден флюоресцентной ангиографией (ФАГ), в 1 случае ФАГ не проведена из-за недостаточной прозрачности оптических сред, а в остальных случаях - из-за индивидуальной чувствительности к флюоресцеину. В этих случаях диагноз ставился на основании клинической картины, УЗ - сканирования и длительно существующего анамнеза.
Дуплексное сканирование с цветовым доплеровским кодированием и спектральным допплеровским анализом проводили на многофункциональном ультразвуковом сканере Acuson-Sequoia-512 линейным датчиком 15L8 с частотой сканирования 14-8 МГц, работающим в режиме реального времени (рис. 1). Сканирование проводили транспальпебрально в положении больного лежа с использованием обычного геля для УЗ-исследований.
На первом этапе проводили сканирование в режиме серой шкалы, оценивая при этом локализацию опухоли, топометрию, характер контура опухоли, эхогенность, наличие или отсутствие сопутствующей отслойки сетчатки.
В режиме ЦДК с помощью цветовых картограмм потоков визуализировали собственные сосуды опухоли, изучали их ангиоархитектонику. С помощью спектрального допплеровского анализа регистрировали показатели кровотока в собственных сосудах образования, центральной артерии и вене сетчатки (ЦАС, ЦВС), задних циллиарных артериях (ЗЦА). Контролем являлись гемодинамические параметры в ЦАС, ЦВС и ЗЦА здоровой стороны.
Результаты и их обсуждение
Располагаясь в центральной зоне, гемангиома почти в 2/3 случаях поражает макулярную и парамакулярную области. Юкстапапиллярное расположение гемангиомы, по нашим данным, встречается у 1/3 больных (рис. 2).
С учетом локализации опухоли ранним признаком ее, заставившей больных обратиться к офтальмологу, практически во всех случаях явилось снижение зрения. К моменту обследования гемангиома имела толщину, равную в среднем 3±0,7 мм (от 1,6 до 3,9 мм), а основание ее достигало в среднем 8,9±3,2 мм (от 3,8 до 13,5). Во всех случаях имелась вторичная отслойка сетчатки (в 6 случаях плоская, в 3-х - высокая).
При УЗ-сканировании у всех больных определялся проминирующий гиперэхогенный очаг без «экскавации» хориоидеи с ровной поверхностью.
При исследовании в режиме ЦДК во всех случаях, независимо от размеров отграниченной гемангиомы, выявлено равномерное распределение новообразованных сосудов по всей ее толщине и площади. Визуально кровоснабжение гемангиомы осуществляется за счет сосудов хориоидеи: сосуды сетчатки не участвуют в ее питании (рис. 3, 4) Только при юкстапапиллярной локализации (3 случая) опухоль получала двойное кровоснабжение - за счет сосудов хориоидеи и ЦАС (рис. 5).
Скоростные показатели кровотока представлены в таблице 1.
С учетом того, что хориоидея наполняется из бассейна задних цилиарных артерий, представляет интерес, как меняется кровоток в них при хориоидальной опухоли и, в частности, при гемангиоме. Оказалось, что скорость кровотока в задних цилиарных артериях здоровой и больной сторон отличаются и составляют 14,3±4,16 см/с и 16,68±5,8 см/с соответственно. Таким образом, в задних цилиарных артериях при гемангиоме хориоидеи отмечается усиление кровотока в среднем на 16,6%, что можно объяснить необходимостью усиленного притока к опухоли.
При гемангиоме хориоидеи отмечается также увеличение кровотока в ЦАС и ЦВС. По сравнению со «здоровой» стороной кровоток в ЦАС увеличен в среднем на 44,4%, что касается кровотока в ЦВС - он увеличен лишь на 18,9%. Хотя исследуемые нами группы не многочисленны, тем не менее удалось выявить зависимость кровотока в ЦАС в зависимости от локализации опухоли. Так, систолическая скорость кровотока в ЦАС при гемангиоме юкстапапиллярной локализации в среднем составила 15,13 см/с, а при макулярной и парамакулярной локализациях - 10,8 см/с. То есть именно при юкстапапиллярной гемангиоме кровоток в ЦАС усилен по сравнению с гемангиомой макулярной и парамакулярной локализации на 40,1%. Вероятно, увеличением общего притока крови к глазу при гемангиоме хориоидеи можно объяснить такие клинические признаки, как выраженная экссудативная реакция, сопровождающая вторичную отслойку сетчатки даже при небольшой ее проминенции, которые особенно выражены при юкстапапиллярной гемангиоме.
Анализ гемодинамики в новообразованных сосудах опухоли свидетельствует, что пиковая систолическая скорость и конечная диастолическая скорость в них достаточно высоки и превышают таковые в ЗЦА в 1,2 и 1,1 раза соответственно. Именно этим и можно объяснить быстрое «вымывание» флюоресцеина при флюоресцентной ангиографии, на что имеются указания в литературе [7, 13].
Зависимости между степенью выраженности кровотока и размерами опухоли в анализируемой группе не выявлен (табл. 2).
Возможно, это связано с торпидным характером роста, свойственным доброкачественным образованиям. В процессе роста таких новообразований происходит медленное постепенное увеличение новообразованных сосудов и сосудистых полостей.
Изменение кровотока в новообразованных сосудах гемангиомы с учетом локализации патологического очага сопровождается увеличением максимальной систолической скорости кровотока во внутриопухолевых сосудах, что более демонстративно при юкстапапиллярной локализации гемангиомы. В среднем она оказалась выше, чем при макулярной и парамакулярной локализациях, и составила 24,6 см/с и 18,7 см/с соответственно. Т.о., при юкстапапиллярной локализации гемангиомы отмечается усиление скорости кровотока в среднем в 1,3 раза. Обнаруженные изменения можно рассматривать, как документальное подтверждение двойного кровоснабжения опухоли.
Резюмируя изложенное, позволим себе сделать следующее заключение.
Отграниченная гемангиома хориоидеи может быть достаточно четко дифференцирована с помощью дуплексного сканирования. Выявляемые при этом гемодинамические сдвиги позволяют утвердиться в мнении о двойном кровоснабжении опухоли (из системы ЦАС и ЗЦА). Именно этим можно объяснить неудовлетворительные результаты лазеркоагуляции. При последней нарушается питание от сети ретинальных сосудов, но остаются сохранными питающие сосуды из бассейна задних цилиарных артерий, которые облитерируются после брахитерапии.
Литература
1. Бровкина А. Ф., Офтальмоонкология. - М., Медицина, 2002. - С. 255-259.
2. Бровкина А.Ф., в Сб.: Современные технологии в диагностике и лечении сосудистой патологии органа зрения. - Краснодар, 2002. - С. 52-53.
3. Бровкина А. Ф., Макарская Н. В. Гемангиомы хориоидеи. // Офтальмол. Журнал. - 1985. - №7. - С. 407 - 411.
4. Катькова Е. А. Диагностический ультразвук в офлальмологии. - М., «Фирма СТРОМ», 2002. - С. 55 - 79.
5. Терентьева Л. С. Внутриглазные опухоли. //Опухоли глаза, его придатков и орбиты. - Киев.: Здоров я, 1978. - С. 109 - 135.
6. Шепкалова В. М., Хорасанян -Тадэ А. А., Дислер О. Н. Внутриглазные опухоли. Атлас. - М.: Медицина, 1965. - С. 6 - 86.
7. Юровская Н. Н. Флюоресцентная ангиография при внутриглазных опухолях. //Офтальмоонкология. - М., Медицина, 2002. - С 16 - 35.
8. Anand R., Augsburger J., Shilds J. Circumscribed choroidal hemangiomas. //Arch ophthal. - 1989. - Vol. 107. - №9. - P. 1338 - 1342.
9. Arevalo J. F., Shields C. L., Shields J.A., et al. Circumscribed choroidal hemangioma: characteristic features with indocyanine green videoangiography. // Ophthalmology . - 2000. - Vol. 107. - P. 344 - 50.
10. Gass GMD. Stereoscopic Atlas of macular diseases. Diagnosis and treatment, 4th ed. St. Louis: Mosby, 1997; 208 - 13.
11. Guthoff R., Berger R., Helmke K. et al. Doppler sonographic findings in intraocular tumors. // Fortschr. Ophthalmol. - 1989. - Vol. 83. - №3. - P. 239.
12. Leys A., Bonnet S. Case repot: associated retinal neovascularization and choroidal hemangioma. // Retina. - 1993. - Vol. 13. - №3. - P. 528 - 532.
13. Lieb W. E., Shields J.A., Cohen S. M., Merton D. A., Mitchell D. G., Shields C. L. et al. Color Doppler imaging in the management of intraocular tumors. // Ophthalmology. - 1990. - Vol. 97. - P. 1660 - 1664.
14. Piccolino F., Borgia L, Zincola E. Indocyanin green angiography of circumscribed choroidal hemangiomas. // Retina. - 1996. - Vol. 16. - №1 - P. 19 - 28.
15. Ruby A., Jampol L., Goldberg M et al. Coroidal neovascularizaions assotiated with choroidal hemangiomas. // Arch. Ophthal. - 1992. - Vol. 110. - №3. - P. 658 - 661.
16. Shields C. L., Honovar S. G., Shields J.A., et al. Circumscribed choroidal hemangioma. // Ophthalmology. - 2001. - Vol. 108. - №12. - P. 2237 - 48.
17. Shields C. L., Shields J.A., De Potter P. Patterns of indocyanine green videoangiography of choroidal tumours. // Br. J. Ophthalmol. - 1995. - Vol. 79. - P. 237 - 45.
18. Shields J.A., Shields C. L. Atlas of intraocular tumors. Philadelphia: Lippincott. Williams & Wilkins, 1999; 170 - 9.
19. Shields J.A., Stephens R. F., Eagle R.C., Shields C.L. Progressive enlargement of a circumscribed choroidal hemangioma. // Arch. Ophthalmol. - 1992. - Vol. 110. - P. 1276 - 78.
20. Yang W., Hu S., Wang L. Color Doppler imaging diagnosis of ocular tumor. // Chin. Med. J. Engl. - 1997. - Vol. 110. - №9. - P. 664 - 6.
21. Yang W., Hu S., Wang L. Color Doppler imaging diagnosis of ocular tumor. //Chang. Hua. Yen. Ko. Tsa. Chin. - 1997. - Vol. 33. - №4. - P. 272 - 6.
предоставляем актуальную медицинскую информацию от ведущих специалистов, помогая врачам в ежедневной работе
Литература
1. Бровкина А. Ф., Офтальмоонкология. - М., Медицина, 2002. - С. 255-259.
2. Бровкина А.Ф., в Сб.: Современные технологии в диагностике и лечении сосудистой патологии органа зрения. - Краснодар, 2002. - С. 52-53.
3. Бровкина А. Ф., Макарская Н. В. Гемангиомы хориоидеи. // Офтальмол. Журнал. - 1985. - №7. - С. 407 - 411.
4. Катькова Е. А. Диагностический ультразвук в офлальмологии. - М., «Фирма СТРОМ», 2002. - С. 55 - 79.
5. Терентьева Л. С. Внутриглазные опухоли. //Опухоли глаза, его придатков и орбиты. - Киев.: Здоров я, 1978. - С. 109 - 135.
6. Шепкалова В. М., Хорасанян -Тадэ А. А., Дислер О. Н. Внутриглазные опухоли. Атлас. - М.: Медицина, 1965. - С. 6 - 86.
7. Юровская Н. Н. Флюоресцентная ангиография при внутриглазных опухолях. //Офтальмоонкология. - М., Медицина, 2002. - С 16 - 35.
8. Anand R., Augsburger J., Shilds J. Circumscribed choroidal hemangiomas. //Arch ophthal. - 1989. - Vol. 107. - №9. - P. 1338 - 1342.
9. Arevalo J. F., Shields C. L., Shields J.A., et al. Circumscribed choroidal hemangioma: characteristic features with indocyanine green videoangiography. // Ophthalmology . - 2000. - Vol. 107. - P. 344 - 50.
10. Gass GMD. Stereoscopic Atlas of macular diseases. Diagnosis and treatment, 4th ed. St. Louis: Mosby, 1997; 208 - 13.
11. Guthoff R., Berger R., Helmke K. et al. Doppler sonographic findings in intraocular tumors. // Fortschr. Ophthalmol. - 1989. - Vol. 83. - №3. - P. 239.
12. Leys A., Bonnet S. Case repot: associated retinal neovascularization and choroidal hemangioma. // Retina. - 1993. - Vol. 13. - №3. - P. 528 - 532.
13. Lieb W. E., Shields J.A., Cohen S. M., Merton D. A., Mitchell D. G., Shields C. L. et al. Color Doppler imaging in the management of intraocular tumors. // Ophthalmology. - 1990. - Vol. 97. - P. 1660 - 1664.
14. Piccolino F., Borgia L, Zincola E. Indocyanin green angiography of circumscribed choroidal hemangiomas. // Retina. - 1996. - Vol. 16. - №1 - P. 19 - 28.
15. Ruby A., Jampol L., Goldberg M et al. Coroidal neovascularizaions assotiated with choroidal hemangiomas. // Arch. Ophthal. - 1992. - Vol. 110. - №3. - P. 658 - 661.
16. Shields C. L., Honovar S. G., Shields J.A., et al. Circumscribed choroidal hemangioma. // Ophthalmology. - 2001. - Vol. 108. - №12. - P. 2237 - 48.
17. Shields C. L., Shields J.A., De Potter P. Patterns of indocyanine green videoangiography of choroidal tumours. // Br. J. Ophthalmol. - 1995. - Vol. 79. - P. 237 - 45.
18. Shields J.A., Shields C. L. Atlas of intraocular tumors. Philadelphia: Lippincott. Williams & Wilkins, 1999; 170 - 9.
19. Shields J.A., Stephens R. F., Eagle R.C., Shields C.L. Progressive enlargement of a circumscribed choroidal hemangioma. // Arch. Ophthalmol. - 1992. - Vol. 110. - P. 1276 - 78.
20. Yang W., Hu S., Wang L. Color Doppler imaging diagnosis of ocular tumor. // Chin. Med. J. Engl. - 1997. - Vol. 110. - №9. - P. 664 - 6.
21. Yang W., Hu S., Wang L. Color Doppler imaging diagnosis of ocular tumor. //Chang. Hua. Yen. Ko. Tsa. Chin. - 1997. - Vol. 33. - №4. - P. 272 - 6.
ФГБУ "НИИ глазных болезней" РАМН, Москва;
ГБОУ ВПО "Первый Московский государственный медицинский университет им. И.М. Сеченова" Минздрава РФ
Диффузная гемангиома хориоидеи как проявление синдрома Sturge—Weber (клинический случай)
Журнал: Вестник офтальмологии. 2019;135(6): 108‑116
Энцефалотригеминальный ангиоматоз, или синдром Sturge—Weber — врожденное, спорадически возникающее заболевание, характеризующееся ангиоматозом сосудов мозговых оболочек, капилляров лица и глаз. В статье описан клинический случай, демонстрирующий сочетание односторонней кожной ангиомы с ангиоматозом конъюнктивы и диффузной гемангиомой хориоидеи на ипсилатеральной стороне без признаков нарушения офтальмотонуса. Интерес данного клинического случая обусловлен тем, что имеет место разновременное появление клинических признаков синдрома Sturge—Weber. Кожная ангиома у пациентки была с рождения, ангиома конъюнктивы появилась в возрасте 45 лет, тогда же у нее появился гиперметропический сдвиг рефракции, что может быть первым проявлением диффузной гемангиомы хориоидеи.
Энцефалотригеминальный ангиоматоз, или синдром Sturge—Weber — врожденное, спорадически возникающее заболевание, характеризующееся ангиоматозом сосудов мозговых оболочек, капилляров лица и глаз. Синдром Sturge—Weber, относится к группе наследственно дегенеративных заболеваний — факоматозам, или нейрокожным синдромам.
Факоматозы — группа наследственных заболеваний, при которых наблюдается сочетание поражений нервной системы, кожных покровов, глаз и внутренних органов. К наиболее распространенным факоматозам с поражением нервной системы относятся: нейрофиброматоз (тип 1: NF 1; тип 2: NF 2); туберозный склероз (болезнь Pringle—Bourneville); цереброретино-висцеральный ангиоматоз (болезнь Hippel—Lindau); энцефалотригеминальный ангиоматоз (синдром Sturge—Weber) [1].
Заболеваемость синдромом Sturge—Weber составляет 1 на 50 000, одинаково часто у мужчин и женщин. В отличие от большинства факоматозов, синдром Sturge—Weber является спорадическим без определенного наследственного маркера, который было бы возможно идентифицировать [2]. Ассоциированный ген мутации был выявлен в нуклеотидном переходе GNAQ хромосомы 9q21 [3]. Данный синдром обычно сочетает в себе кожный ангиоматоз на лице (чаще располагающийся на одной половине лица вдоль первой и второй ветвей тройничного нерва), ипсилатеральный лептоменингеальный ангиоматоз и поражение глаза [4—6]. Кожный ангиоматоз может быть врожденным или развиваться в раннем детстве. Окраска очагов в грудном возрасте розовая, затем становится синюшно-красной. Поражение, как правило, одностороннее, реже встречается двусторонний характер. Ангиомы формируются из остатков сосудистого сплетения, которое остается в области головной части нервной трубки, что обусловлено нарушением нормального эмбрионального развития на 6—9-й неделе. Триада симптомов (ангиомы кожи лица, органа зрения, головного мозга) выявляется в 1/5 случаев синдрома Sturge—Weber. В остальных случаях характерно моносимптомное проявление. Также в литературе описано сочетание односторонней гемангиомы кожи с двусторонней диффузной гемангиомой хориоидеи [7]. Реже синдром Sturge—Weber сочетается с окулодермальным меланозом (преимущественно у азиатов) [4].
Согласно классификации, предложенной А. Roach [4], выделяют 3 типа данного заболевания: тип 1 — гемангиома лица в сочетании с лептоменингеальной гемангиомой в сочетании с глаукомой или без нее; тип 2 — гемангиома лица в сочетании с глаукомой или без нее; тип 3 — лептоменингеальная гемангиома в сочетании с глаукомой или без нее.
Ангиоматоз лица может также захватывать веки и конъюнктиву. В 53% случаев на ипсилатеральной стороне выявляют диффузную гемангиому хориоидеи (дГХ), которая в 50—70% случаев сочетается с глаукомой [4, 8, 9]. Частыми симптомами дГХ являются отслойка сетчатки и вторичная глаукома [10, 11]. Риск развития вторичной глаукомы выше при вовлечении в патологический процесс кожи верхнего века [9]. Вторичная глаукома может развиться как на фоне повышения давления в эписклеральных венах [12], так и на фоне нарушения строения угла передней камеры (УПК) [10, 12]. С развитием вторичной глаукомы ассоциируют такие изменения переднего отрезка, как периферические передние синехии, гетерохромия радужки, расширение сосудов радужки [10].
При осмотре дГХ в первую очередь проявляется ярко-красным свечением зрачка в отличие от здорового глаза. При офтальмоскопии видно диффузное красно-оранжевое окрашивание хориоидеи на большом протяжении в постэкваториальной зоне, по сравнению с парной стороной [4, 12, 13]. Данное состояние чаще протекает бессимптомно, однако осложнения — субретинальное кровоизлияние и тотальная отслойка сетчатки — могут привести к потере зрения [5, 6, 13]. В некоторых случаях первым проявлением дГХ может быть гиперметропический сдвиг рефракции [14].
Гистологически дГХ обычно представлена смешанной формой — состоит из резко расширенных мелких сосудов, стенки которых выстланы одним слоем эндотелия. Границы у дГХ отсутствуют — она плавно переходит в нормальную хориоидею [11].
При проведении оптической когерентной томографии (ОКТ) за счет выраженного утолщения хориоидеи не всегда удается визуализировать склеро-хориоидальное сочленение [4, 5, 8]. Выявляют истончение наружных слоев сетчатки, локальные участки повреждения РПЭ-фоторецепторного слоя (включая РПЭ, промежуточную, элипсоидную и миоидную зоны) [5]. В ходе ОКТ-ангиографии могут быть выявлены хориоидальные сосуды, расположенные в форме мелких нитей [15].
Клинический случай
Пациентка К. 47 лет обратилась в ФГБНУ «НИИГБ» с жалобами на снижение зрения и покраснение левого глаза в течение двух лет.
Из анамнеза известно, что у пациентки с рождения имелось пятно ярко-розового цвета в области век, лба и ската носа слева. В детстве был поставлен диагноз: «диффузная гемангиома кожи левой верхней половины лица», лечение не проводили. В течение жизни пятно незначительно побледнело, потемнело и приобрело синюшный оттенок. Восемь лет назад пациентке было проведено несколько курсов лазерного лечения, на фоне которого отмечена выраженная положительная динамика в виде побледнения пятна и некоторого сокращения его площади. Два года назад пациентка заметила покраснение левого глаза, которое не зависело от каких-либо внешних факторов и не менялось в течение всего этого времени. Тогда же пациентка заметила снижение зрения левого глаза.
Объективно: Vis OD=1,0; Vis OS=0,6 sph+2,5 cyl-1,5 ax 86=1,0.
ВГД OD=15,3 мм рт.ст.; OS=12,7 мм рт.ст.
Периметрия обоих глаз — без патологических изменений.
При осмотре отмечается слабо заметное бледно-розовое окрашивание кожи в области век, ската носа и вокруг брови слева (пациентка не дала согласие на публикацию фотографий лица). При ближайшем рассмотрении визуализируются расширенные мелкие поверхностные сосуды в области изменения цвета кожи.

При биомикроскопии во всех отделах бульбарной конъюнктивы выявлены сосудистые изменения по типу диффузно расположенных расширенных капилляров ярко-красного цвета (рис. 1). Рис. 1. Фотография конъюнктивы левого глаза. а — при взгляде вверх; б — при взгляде вправо. Четко видны сосудистые изменения во всех отделах. Патологических изменений радужки и хрусталика не обнаружено.
При гониоскопии обоих глаз — угол передней камеры (УПК) открыт во всех отделах, патологических структур не выявлено.

При офтальмоскопии: очаговой патологии на глазном дне обоих глаз выявлено не было, однако отмечено темно-красное окрашивание глазного дна левого глаза по сравнению с правым (рис. 2). Рис. 2. Фотография глазного дна правого (а) и левого (б) глаза.

По данным ультразвукового исследования левого глаза выявлено диффузное (преимущественно в верхненаружной половине) утолщение хориоидеи до 2,2 мм по сравнению с правым (рис. 3), Рис. 3. Результаты ультразвукового исследования левого глаза. что обусловливало укорочение переднезадней оси (ПЗО) левого глаза, и, с нашей точки зрения, явилось причиной гиперметропического сдвига рефракции.
Пациентке была проведена ОКТ, в том числе в режиме EDI, и ОКТ-ангиография (OCT Spectralis, Heidelberg Engineering, Германия).

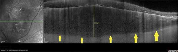
Визуализация склеро-хориоидального сочленения на левом глазу была возможна только в режиме исследования в глубине тканей (EDI). Было выявлено расширение хориоидеи до 815 мкм субфовеолярно и 872 мкм парафовеолярно снаружи в первую очередь за счет расширения наружных слоев хориоидеи. Данные изменения в большей степени были выражены кверху от фовеа (рис. 4, а, Рис. 4. Результат ОКТ. Срезы через фовеа: левого глаза — горизонтальный (а), вертикальный (б); правого глаза — горизонтальный (в). б).
Толщина хориоидеи на правом глазу также превышала нормальные значения для данной возрастной группы, однако ее структура изменена не была (см. рис. 4, в).
В режиме ОКТ-ангио выявлено изменение структуры хориоидеи выше фовеа — отмечено уменьшение плотности хориокапилляров и крупных сосудов хориоидеи (рис. 5). Рис. 5. Результат ОКТ-ангиографии. Срез на уровне хориокапилляров через фовеа правого (а) и левого (б) глаза. Зона обеднения сосудистого рисунка указана стрелками.

Аналогичная картина отмечена и в парафовеолярной зоне — в верхней половине выявлено обеднение хориоидального сосудистого рисунка на уровне хориокапилляров, что, с нашей точки зрения, может свидетельствовать о замедлении кровотока в расширенных сосудах хориоидеи (рис. 6). Рис. 6. Результат ОКТ-ангиографии левого глаза. Срез на уровне хориокапилляров парафовеолярно сверху. Зона обеднения сосудистого рисунка указана стрелками.

При проведении ОКТ диска зрительного нерва (ДЗН) изменения толщины перипапиллярного слоя нервных волокон сетчатки выявлено не было (рис. 7). Рис. 7. Результат ОКТ-исследования перипапиллярного слоя нервных волокон сетчатки.
Представленный клинический случай демонстрирует сочетание односторонней кожной ангиомы с ангиоматозом конъюнктивы и диффузной гемангиомой хориоидеи на ипсилатеральной стороне без признаков нарушения офтальмотонуса. Интерес данного клинического случая обусловлен тем, что имеет место разновременное появление клинических признаков синдрома Sturge—Weber.
Кожная ангиома была у пациентки с рождения, ангиома конъюнктивы появилась в возрасте 45 лет, тогда же у нее появился гиперметропический сдвиг рефракции, что, с нашей точки зрения, могло стать первым проявлением диффузной гемангиомы хориоидеи.
На момент обследования признаков повышения офтальмотонуса выявлено не было, однако, учитывая разновременное появление клинических симптомов, пациентка нуждается в дальнейшем динамическом наблюдении.
Авторы заявляют об отсутствии конфликта интересов.
The authors declare no conflicts of interest.
Сведения об авторах
Читайте также:
- Сердечная недостаточность, острая и хроническая формы
- Альвеолярные отростки при отсутствии зубов и длительном ношении протезов
- Болезнь Вильсона у детей. Болезнь Галлервордена-Шпатца
- Синдром Жерлье (Gerlier)
- Уход после операции гемиартропластики плечевого сустава с биологическим протезированием суставной поверхности лопатки
