Примеры рентгенограмм голеностопного сустава и стопы
Добавил пользователь Владимир З. Обновлено: 28.01.2026
Старение опорно-двигательного аппарата - процесс необратимый. С возрастом у каждого из нас возрастает риск дегенеративно-деструктивных изменений, особенно если неправильно дозировать физические нагрузки и оставлять без внимания микротравмы.
Деформирующий артроз голеностопного сустава относится к заболеваниям, которые успешно лечатся на начальной стадии, при появлении первых признаков. В запущенных случаях недуг может серьезно осложнить жизнь и даже привести к потере работоспособности.
В лечении артроза голеностопа многое зависит от пациента
Почему он развивается
Только представьте: голеностопный сустав выдерживает нагрузку, которая в 6-7 раз превышает массу тела человека. Причина тому - сложное анатомическое строение, а также характерное сплетение связок, мышц и фасций. Неудивительно, что на этом участке опорно-двигательной системы чаще остальных возникают микротравмы.
В группе риска по развитию артроза голеностопа люди:
- с избыточным весом;
- с нарушениями метаболизма;
- после травмы или воспалений хрящевой ткани.
Лишний вес - это дополнительная нагрузка на голеностоп: риск развития артроза увеличивается
Что представляет собой деформирующий артроз голеностопа и в чем причины его развития? Какие традиционные и народные методы лечения сегодня используют?
Когда стоит забить тревогу?
На начальной стадии артроз голеностопа, как правило, не дает о себе знать, и все же есть косвенные признаки, которые нельзя игнорировать:
- усталость в ногах, которой не было раньше;
- непривычная утомляемость;
- незначительные боли, особенно после интенсивной физической нагрузки.
В среде спортсменов, которые составляют главную группу риска по заболеванию артрозом, часто не обращают внимания на несильный болевой синдром и незначительное ограничение движения. А между тем именно эти симптомы указывают на начало дегенеративно-дистрофических изменений в суставах голеностопа. На этом этапе для лечения деформирующего артроза голеностопного сустава достаточно препаратов, улучшающих метаболизм. Если момент упущен, терапия будет гораздо более серьезной.
Врачу-ортопеду не представляет сложности диагностировать артроз даже на начальной стадии
Основы консервативного лечения
В первую очередь, важно устранить провоцирующие факторы, иначе лечение не будет эффективным. Для кого-то это лишний вес, для другого - высокие каблуки или длительное стояние на ногах. Никогда не будет лишним перейти с мучного, соленого и копченого на клетчатку, свежие фрукты и кисломолочную продукцию, чтобы стабилизировать обмен веществ.
После таких рекомендаций пациенту назначают по показаниям медикаментозное лечение:
- нестероидные противовоспалительные средства и обезболивающие препараты (таблетки, мази, инъекции);
- хондропротекторы, содержащие глюкозамин сульфат и хондроитин сульфат для придания хрящевой прослойке плотности и эластичности (принимаются длительное время - более полугода).
Комплексное лечение может включать:
- физиотерапию (регулярные процедуры приостанавливают деструкцию в суставах);
- лечебный массаж - для укрепления мышц стопы и голени, а также улучшения кровообращения;
- ношение ортопедической обуви, снижающей нагрузку на сустав;
- пешие прогулки и плавание;
- санаторно-курортное лечение в профильных здравницах.
Лучшее восстановление подвижности голеностопа - плавание и пешие прогулки
Есть ли альтернатива хирургии
В сложных случаях, когда консервативное лечение артроза стопы не помогло и подвижность отсутствует, показана операция. Как и любое хирургическое вмешательство, эндопротезирование (замена сустава на имплантат) имеет противопоказания и несет определенные риски. Сегодня, к счастью, это не единственный способ восстановить здоровье сустава - сделать это можно и на второй или третьей стадии заболевания, с помощью эндопротеза синовиальной жидкости.
К примеру, биополимер с ионами серебра «Нолтрекс» предназначен для внутрисуставного введения в условиях стерильной перевязочной. Его задача - восстановление вязкости синовиальной жидкости в пораженном голеностопном суставе. Препарат снижает трение в суставе, благодаря чему купируется болевой синдром и улучшается подвижность. При этом Нолтрекс не влияет на метаболизм хряща. Особенность эндопротеза Noltrex - очень медленная биодеструкция, чем и объясняется его длительное действие (не менее полугода).
Эндопротез синовиальной жидкости вводится под местной анестезией в условиях перевязочной или операционной. Вот как это происходит в случае с голеностопным суставом:
После введения импланта синовиальной жидкости не лишней будет и профилактика осложнений. Врачи-ортопеды рекомендуют грамотно дозировать физические нагрузки, следить за питанием и массой тела, а спортсменам - вовремя реагировать на травмы и микротравмы. Движение - это жизнь, а здоровье голеностопа - залог активного образа жизни!
Снимок в данной укладке применяют для диагностики различных заболеваний костей голени и при травмах.
Укладка больного для выполнения снимка. Больной лежит на спине. Ноги вытянуты. Используют кассету размером 24 х 30 см или 30 х 40 см, перекрывая ее вдоль листом просвинцованной резины. Кассету располагают в продольном положении под задней поверхностью голени с таким расчетом, чтобы на снимке получили отображение или оба (при использовании кассеты размером 30 х 40 см), или хотя бы один из метаэпифизов костей голени. Пучок рентгеновского излучения направляют на переднюю поверхность голени в центр кассеты (рис. 429).
Информативность снимка. На рентгенограмме видны обе берцовые кости, их диафизы и метаэпифизы. В области диафизов костей хорошо различаются мозговая полость и корковое вещество. На снимках проксимальных двух третей голени, выполненных на пленке размером 24 х 30 см, отображены головка малоберцовой кости, частично или полностью метаэпифиз большеберцовой кости, а также иногда рентгеновская суставная щель коленного сустава (рис. 430, а). На снимках дистальных двух третей голени выявляются дистальные метаэпифизы большеберцовой и малоберцовой костей, иногда медиальная и латеральная лодыжки и рентгеновская суставная щель голеностопного сустава (рис. 430, б).
СНИМОК ГОЛЕНИ В БОКОВОЙ ПРОЕКЦИИ
Укладка больного для выполнения снимка. Больной лежит на боку. Голень исследуемой конечности латеральной стороной помещают на кассету. При укладке больного нужно учитывать то, что толщина мягких тканей по передней и по задней поверхности голени неодинакова: в области икроножной мышцы она намного больше. Поэтому кости голени проецируются значительно ближе к передней поверхности, чем к задней. Пучок рентгеновского излучения направляют отвесно, в центр кассеты (рис. 431).

В случаях использования кассеты размером 30 х 40 см надо так рассчитать ее ориентацию на снимочном столе, чтобы после производства снимка в прямой проекции при укладке для выполнения снимка в боковой проекции голень передней поверхностью была бы обращена в сторону уже экспонированной части пленки. При этом мягкие ткани задней поверхности частично срезаются краем пленки. Такой вариант укладки удобнее при травмах, так как не требует приподнимать голень для выполнения второго снимка.
Рентгенография голени может быть выполнена в щадящем режиме горизонтально направленным пучком излучения (рис. 432).
Информативность снимка. На снимке голени в боковой проекции в зависимости от размера используемой пленки должны быть отображены либо оба метаэпифиза берцовых костей, либо только проксимальный или дистальный метаэпифизы.
На снимке проксимальных двух третей голени (на пленке размером 24 х 30 см) раздельно определяются диафизы берцовых костей, а проксимальные метаэпифизы наслаиваются друг на друга. Видна бугристость большеберцовой кости (рис, 433, а).
На снимке дистальных двух третей голени также диафизы костей видны раздельно, а изображение метаэпифиза малоберцовой кости полностью суммируется с изображением метаэпифиза большеберцовой кости и таранной костью. Видна рентгеновская суставная щель голеностопного сустава


УКЛАДКИ ДЛЯ РЕНТГЕНОГРАФИИ ГОЛЕНОСТОПНОГО СУСТАВА
СНИМКИ ГОЛЕНОСТОПНОГО СУСТАВА В ПРЯМОЙ ЗАДНЕЙ ПРОЕКЦИЙ
Назначение снимка. Снимок применяют во всех случаях заболеваний сустава и при травмах.
Укладка больного для выполнения снимка. Существуют два варианта укладки для выполнения снимка голеностопного сустава:
1. Снимок голеностопного сустава в прямой задней проекции без ротации стопы. Больной лежит на спине. Ноги вытянуты.
Сагиттальная плоскость стопы исследуемой конечности расположена перпендикулярно к плоскости стола, не отклонена ни кнутри, ни кнаружи. Кассету размером 18x24 см помещают под область голеностопного сустава с таким расчетом, чтобы проекция суставной щели, расположенной на 1 — 2 см выше нижнего полюса медиальной лодыжки, соответствовала бы средней линии кассеты. Пучок рентгеновского излучения направляют отвесно на центр проекции суставной щели голеностопного сустава (рис. 436, а).
2. Снимок голеностопного сустава в прямой задней проекции с ротацией стопы. Укладка отличается от предыдущей положением стопы, которую вместе с голенью ротируют на 15 — 20° кнутри. Положение больного, кассеты и центрация пучка рентгеновского излучения такие же, как и при укладке для снимка голеностопного сустава без ротации стопы
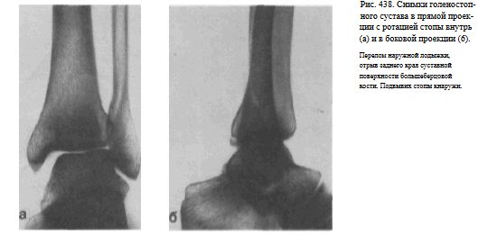
Информативность снимков. На снимках голеностопного сустава в прямой задней проекции выявляются дистальные отделы берцовых костей, медиальная и латеральная лодыжки, блок таранной кости и рентгеновская щель голеностопного сустава латерального отдела голеностопного сустава. Рентгеновская суставная щель на снимке голеностопного сустава с ротацией стопы выглядит в виде буквы «П», при этом ширина ее на всем протяжении одинаковая. Расширение латерального или медиального отдела суставной щели при наличии перелома лодыжек свидетельствует о подвывихе в суставе (рис. 438).


СНИМОК ГОЛЕНОСТОПНОГО СУСТАВА В БОКОВОЙ ПРОЕКЦИИ
Назначение снимка то же, что и снимка в прямой проекции.
Укладке больного для выполнения снимка. Больной лежит на боку.
Область голеностопного сустава латеральной поверхностью расположена на кассете. Стопу укладывают так, чтобы пятка плотно прилегала к кассете, что обеспечивает поворот стопы внутрь на 15 — 20°. Проекция суставной щели голеностопного сустава соответствует средней линии кассеты. Противоположная конечность согнута в коленном и тазобедренном суставах, перекинута вперед; бедро слегка приведено к животу. Пучок рентгеновского излучения направляют отвесно в центр кассеты через внутреннюю лодыжку (рис. 439).
Информативность снимка. На снимке выявляются дметальные отделы берцовых костей, проекционно накладывающиеся друг на друга, задний край суставной поверхности большеберцовой кости (так называемая «задняя лодыжка»; отрыв которой нередко имеет место при травмах), а также блок таранной кости, пяточная кость. При плотном прилегании наружной поверхности пятки к кассете сагиттальная плоскость стопы устанавливается под углом 15 — 20° к кассете, и на снимке достигается совпадение блоков таранной кости. В таких случаях рентгеновская суставная щель голеностопного сустава имеет форму правильной дуги равномерной ширины на всем протяжении (рис. 440).

Теги: берцовая кость
234567 Начало активности (дата): 29.12.2019 20:01:00
234567 Кем создан (ID): 989
234567 Ключевые слова: Берцовая кость, прямая проекция, боковая проекция, голеностоп
12354567899
Рентген голеностопного сустава
Весь контент iLive проверяется медицинскими экспертами, чтобы обеспечить максимально возможную точность и соответствие фактам.
У нас есть строгие правила по выбору источников информации и мы ссылаемся только на авторитетные сайты, академические исследовательские институты и, по возможности, доказанные медицинские исследования. Обратите внимание, что цифры в скобках ([1], [2] и т. д.) являются интерактивными ссылками на такие исследования.
Если вы считаете, что какой-либо из наших материалов является неточным, устаревшим или иным образом сомнительным, выберите его и нажмите Ctrl + Enter.
Наиболее широко применяемым неинвазивным диагностическим методом для обнаружения врожденных и приобретенных патологических изменений в костной и суставной ткани является визуализация их анатомии с помощью рентгеновских лучей. Дефекты, появившиеся в структуре скелета стопы и/или лодыжки, позволяет выявить рентген голеностопного сустава, поскольку деструктурированные и здоровые ткани по-разному поглощают проходящие через них рентгеновские лучи, что отражается на проекционном изображении данного участка тела.
Показания
Назначается в рамках диагностического исследования пациентам с травмами голеностопного сустава при подозрении на переломы и вывихи, а также - с жалобами на боли и другие дискомфортные ощущения данной локализации, которые могут свидетельствовать о воспалительных, дистрофических и онкологических патологиях.
Больным с установленными поражениями суставной и/или костной ткани голеностопа рентгенография проводится для контроля эффективности лечения.
Подготовка
Специальная подготовка к проведению рентгенологического исследования голеностопного сустава отсутствует.
К кому обратиться?
Техника проведения рентгена голеностопного сустава
Немного анатомии: сустав, соединяющий кости голени и стопы, имеет достаточно сложное строение - система хрящей и мышц соединяет три кости: большую и малую кости голени и надпяточную (таранную) кость стопы.
Клинические признаки повреждений голеностопа очень напоминают симптомы, которые возникают при деструктивных изменениях таранно-пяточного и таранно-ладьевидного сустава, а также - надпяточной и пяточной кости. Поэтому рентгенограммы выполняют в двух или трех проекциях, чтобы можно было хорошо рассмотреть данные анатомические структуры.
Прямая тыльная проекция обеспечивает хороший обзор узла надпяточной кости и части берцовых; тыльная - с разворотом стопы вовнутрь позволяет рассмотреть межберцовый синдесмоз (сочленение); боковая - тыльные стороны берцовых костей, большой и малой.
Для реализации исследования в боковой проекции пациента размещают на столе в положении лежа на боку со стороны пораженной конечности, ее пр и эжтом слегка сгибают в тазобедренном и коленном суставе. Здоровую конечность максимально подтягивают к груди, чтобы не мешала обзору.
Для реализации рентгенографии в прямой тыльной проекции пациента укладывают на спину, сгибая не поврежденную ногу в коленном суставе и подтягивая ее к телу. Стопу больной ноги располагают пяткой над кассетой под прямым углом к столу, выходное отверстие рентгеновского аппарата направляют на голеностопный сустав.
Для контроля состояния межберцового сочленения в том же положении больного поворачивают стопу вовнутрь, угол поворота примерно 30 градусов. Чтобы стопа не заваливалась вниз, под нее подкладывают подушечку.
Нормальные показатели
Данный диагностический метод помогает выявить разнообразные повреждения суставной и костной ткани голеностопа:
- травмы - закрытые и открытые переломы костей данной локализации, в том числе трещины, полные и неполные смещения кости в суставе (вывихи, подвывихи);
- воспалительные процессы - артрит, остеомиелит, синовит, бурсит;
- дегенеративные изменения, деформации костной и суставной ткани, вызванные нарушением метаболических процессов - подагра, артроз, артропатии;
- другие врожденные и приобретенные конституциональные нарушения суставных элементов.
Описание рентгена голеностопного сустава
Врач-рентгенолог описывает видимые структурные изменения строения соединения костей голени и стопы, делая диагностическое заключение. Как эталон используется норма голеностопного сустава на рентгене.
Для правильных пропорций структурных элементов голеностопа характерны равномерная высота суставной щели - прямая, которую можно провести через центр отделенного закругления большой берцовой кости, как правило, должен пересекать центр узла надпяточной кости (между ее возвышенностями). Подвывих голеностопа на рентгене обычно выглядит как клиновидная форма суставной щели. Правда, такая анатомическая особенность в редких случаях также бывает вариантом нормы, тогда аналогичное строение данного элемента должно быть на обеих конечностях.
Критерием правильного расположения ноги больного в прямой тыльной проекции являются отдаленные участки берцовых костей, надпяточная кость и рентгеновская суставная щель, внешний вид которой напоминает букву «Г».
На прямой тыльной проекции надпяточная кость отображается не полностью. Четко виден ее узел, который должен выглядеть как неправильный четырехугольник с хорошо просматривающимися верхней и боковыми сторонами. Верхняя сторона надпяточной кости горизонтально расположенная, слегка прогибающаяся посередине, видны медиальная и латеральная возвышенность, а также разделяющая их бороздка. Пластина, смыкающая поверхности суставов данного соединения, должна быть четкая и тонкая.
В этой проекции хорошо виден латеральный отросток. Абрис пластинки должен равномерно переходить в его контур, покрытый суставной хрящевой тканью, увеличивающей площадь лодыжечной поверхности блока. Структура его губчатая. Все это приводит к тому, что переломы заднего (латерального) отростка - интрасуставные.
Для более тщательного изучения латерального отдела суставной щели голеностопа рассматривается снимок с поворотом стопы вовнутрь. На нем щель просматривается по всей ее длине как выгнутое лентообразное просветление, форма которого напоминает букву «П».
На этом же изображении четче можно рассмотреть межберцовый синдесмоз, его ширина в норме должна составлять от четырех до пяти миллиметров. Максимально допустимые колебания этого показателя от двух до девяти миллиметров. Ширина мягких тканей, распределенных по латеральной и медиальной поверхностям должна быть равномерной, а их объем невелик.
Тыльный отдел дальнего закругленного окончания (эпифиза) большой берцовой кости, который в хирургии часто называют третьей (задней) лодыжкой, одно из наиболее вероятных локализаций перелома, часто сочетающегося с нарушениями целостности медиальной и/или латеральной лодыжек.
В пяти-шести миллиметрах вверх над верхушкой контурной линии медиальной лодыжки на фоне губчатого образования видна горизонтальная линия - очертание выемки ее тыльного отдела. Медиальный участок дистального мета- и диафиза малой берцовой кости наслаивается в данном виде на латеральный участок дальнего мета- и эпифиза большой берцовой. Это область повышенной нагрузочной интенсивности, на котором достаточно часто встречаются переломы - нарушения целостности кости, которые нетрудно разглядеть на снимке даже неспециалисту. Свежие травмы в виде трещин и вдавлений костей обычно плохо визуализируются, они лучше визуализируются спустя несколько суток после получения травмы.
Специфичным признаком вывихов является смещение костей, а увеличение расстояния между поверхностями костей - для растяжения и травм связок.
Остеопороз, развивающийся по причине дефицита кальция, заметен по увеличивающейся разреженности (прозрачности) кости в центре и уплотнению костных границ.
Остеомиелит голеностопного сустава на рентгене можно выявить уже примерно через неделю от начала заболевания. На начальных стадиях уже визуально не разграничиваются перегородки между мышцами и фасциями, хорошо заметные на снимке здорового человека. Также не заметна граница, разделяющая мышечную структуру и подкожную клетчатку, возрастает насыщенность и объем мягких тканей. Ключевыми признаками заболевания являются остеонекроз - гибель клеточной ткани кости, секвестры - отторжение некротизировавших участков.
Артроз голеностопного сустава на рентгене выглядит как модификация толщины хрящевого слоя и промежутка между костными строениями, а также - по изменениям конфигурации замыкательных пластинок. Суставная щель оказывается неравномерно суженой и деформированной. Заметны разрастания костной ткани по краю суставов - остеофиты, уплотнения костной ткани на границе с хрящевой. Также на рентгенограммах хорошо виден кальциноз связок.
Артрит на рентгенограмме характеризуется расширением суставной щели - последствия воспалительного выпота в полость сустава.
Опухоли костной, суставной и мягких тканей визуализируются как формирования без четкого контура, выходящие за пределы нормальной структуры. Характерны деструктивные изменения, окружающие новообразование.
Осложнения после процедуры
Процедура неинвазивная и абсолютно не травматичная, проходит без последствий, если соблюдать определенные правила, в частности, не делать рентгенографию чаще одного раза в полгода. Допустимая лучевая нагрузка на организм не должна превышать 5мЗв. Зв - это зиверт, количество энергии, поглощенное организмом при облучении. При разных видах рентгенографии оно разное. Более современное оборудование наносит меньший ущерб организму пациента.
Главное осложнение после процедуры - превышение допустимого порога облучения.
Постоянные противопоказания к обследованию - это тяжелые психические заболевания, становящиеся помехой для выполнения правил безопасности и наличие металлических протезов в обследуемой области.
Временными являются беременность (рентген будущим мамам делают только в случае крайней необходимости, накрывая живот свинцовым фартуком) и тяжелое состояние пациента, которому необходимы реанимационные меры.
Больному для дополнительной диагностики могут быть назначены другие ее виды (УЗИ, МРТ, КТ), позволяющие дополнительно уточнить диагноз.
Рентген сустава: все, что вы должны знать
На первой же консультации ортопеда при жалобах на боль в колене или локте, плече или голеностопе пациенту назначают рентгенографию. Долгое время это исследование считалось золотым стандартом диагностики болезней суставов. После появления и введения в широкую практику МРТ оно несколько сдало свои позиции, но не потеряло актуальности, особенно на начальной стадии обследования.
Рентген - эффективный способ установить болезнь и следить за ходом лечения
В каких случаях назначают рентген суставов
Чаще всего рентген назначают при подозрении на вывих, растяжение, перелом, разрыв сухожилий и другие травмы. Однако это исследование позволяет также увидеть изменения в структуре тканей, обнаружить опухоли, кисты, деформации, артроз и артрит. Поэтому диагностический метод эффективен при любых жалобах в отношении опорно-двигательного аппарата.
Что такое рентген-диагностика
Рентген-диагностика базируется на специальных рентгеновских лучах, которые излучает аппарат. Мягкие ткани пропускают их, а твердые - поглощают, поэтому на снимке первые окрашены в темный цвет, а вторые - в светлый. Наиболее ярко на снимках видны костные ткани, поэтому метод используют для обследования состояния костей и суставов. Результаты предоставляются на бумажном или цифровом носителе, сохраняются на жестком диске компьютера.
Получить рентгеновский снимок сегодня можно и на цифровом носителе
Как проводится
Рентгенография проводится без подготовки. Пациент располагается на специальном столе. Паховая область закрывается от облучения свинцовым фартуком. Детям накладывают защиту на область глаз и щитовидной железы, а у младенцев открытой оставляют только исследуемую область, например конечность.
Врач делает снимок в одной или нескольких проекциях. Чтобы они получились четкими, необходимо оставаться в неподвижном состоянии. Специалист самостоятельно определяет оптимальную проекцию в зависимости от исследуемого сегмента: прямая, боковая или комбинированный вариант.
Если у пациента лишний вес, снимок может быть нечетким
Опасно ли это
Рентген часто назначают не только на этапе диагностики, но и в ходе лечения артроза колена, тазобедренного или другого сустава. Многие опасаются, что излучения навредят организму и запустят в нем необратимые процессы, например перерождение клеток в злокачественные, ослабят и без того слабый у пожилого человека иммунитет. Можно ли часто делать рентгенографию?
Вред от излучения на современных аппаратах минимален, если соблюдены все правила безопасности. Доза излучения сопоставима с той, которую мы ежедневно получаем от телевизора или во время перелета на самолете. Поэтому не стоит отказываться от обследования, если врач настаивает. Главное - соблюсти меры предосторожности.
Насколько опасен рентген и кому категорически противопоказано проходить это обследование? Ответы - в видео ниже:
Ограничения
Рентген не проводят детям до трех месяцев, которым при острой необходимости назначают УЗИ. Врачи также не рекомендуют чрезмерно облучать грудных детей в области таза, поскольку это может привести в будущем к бесплодию, заболеванию крови, опухолевому процессу. Детям обследование проводят строго по показаниям и нормировано, не чаще, чем раз в полгода.
Рентгенографию не проводят беременным, чтобы избежать негативного влияния на плод. Также она противопоказана людям с металлическими протезами или имплантами в исследуемой области и лицам с шизофренией (и другими психическими расстройствами), не способным пребывать в неподвижном состоянии. Остальным людям, в том числе старшего возраста, обследование делать можно.
Что показывает рентген голеностопного сустава
Голеностоп страдает очень часто, поскольку стопы принимают на себя максимальную нагрузку при прямохождении. Рентген этот сустава делают обычно в трех проекциях, с нагрузкой или без нее: боковой, косой снимок и рентген пяточной кости. Иногда для уточнения диагноза и оценки состояния мягких тканей дополнительно назначают КТ или МРТ.
Рентген позволяет диагностировать:
- травмы; ;
- артрит, синовит, подагру;
- врожденные анатомические нарушения;
- остеофиты - пяточные шпоры;
- плоскостопие;
- нарушения обмена веществ и др.
Рентген-снимок хорошо показывает состояние костей стопы
Насколько информативен рентген коленного сустава
В случае с коленом это обследование назначают при любых повреждениях и травмах, болезненности в покое и движении. Среди других показаний - припухлость, изменение цвета кожи, деформации и ограничение подвижности, симптомы, которые часто сопровождают артроз.
Самую большую диагностическую ценность рентген колена имеет при травмах - трещинах костей, переломах, вывихах и подвывихах суставов. Он диагностирует переломы мыщелков, травмы менисков и надколенника, кровоизлияния в коленный сустав. Метод позволяет обследовать сустав и прилегающие области - малоберцовую, бедренную и большеберцовую кости. С его помощью можно выявить артроз, артрит и остеопороз, а затем продолжить обследование другими методами.
Для диагностики коленного сустава наряду с рентгеном часто используют МРТ
В каких случаях назначают рентген тазобедренного сустава
Тазобедренные суставы - одни из самых сложно устроенных в организме. Пациента отправляют на рентген, если он испытывает дискомфорт при движении и ограничен в подвижности. Если сустав болит или деформирован, а также после любой травмы.
С помощью рентгенографии можно выявить такие болезни и патологии:
- вывих и дисплазия тазобедренного сустава врожденного характера;
- приобретенные вывихи и переломы (актуально для пожилых людей, страдающих от коксартроза);
- первичные опухоли, метастазы рака другой локализации;
- остеопороз, некроз головки тазобедренной кости;
- воспаления в суставе;
- артроз и другие патологические изменения.
В отличие от остальных участков, перед рентгеном тазобедренного сустава пациенту могут порекомендовать сделать очищающую клизму или накануне принять слабительное. Это делается для того, чтобы на снимке не было затемнений из-за переполненного кишечника.
Рентген тазобедренного сустава позволяет диагностировать коксартроз
Особенности рентгена верхних конечностей
Рентген локтя назначают также после травм - сильного ушиба, вывиха, перелома - или при подозрении на различные патологии. Он позволяет получить информацию о суставной щели и ее сужении, о состоянии окончаний кости плечевого отдела и предплечья. Специалист также получает данные об областях, смежных с локтевым суставом, что облегчает диагностику. Ведь далеко не всегда причина боли - артроз локтя, артрит или бурсит: часто она имеет распространяющийся характер и совершенно другой источник.
Боль в плече часто возникает на фоне неврологических и сосудистых заболеваний, однако причиной может быть и артроз плеча, а также системные заболевания плечевого сустава воспалительного характера. Рентген в основном назначают при подозрении на вывих или перелом. На снимке видны и соседние образования - ключицы и лопатки. Он информативен также при артрозе и артрите, некрозе плечевых головок, тендините и других заболеваниях.
Артроз верхних конечностей на рентген-снимке часто обнаруживается случайно
Рентгенография - простой, быстрый, безболезненный способ диагностики, который дает информацию о состоянии костей и суставов. При обнаружении артроза часто назначают дополнительные инструментальные методы, позволяющие рассмотреть глубинные структуры мягких тканей, изучить состояние хрящей. Однако МРТ и КТ - исследования дорогостоящие и не всегда необходимые. Поэтому, если ортопед настаивает на рентгене, отказываться не стоит.
Рентген лодыжки
В настоящее время в травматологии все чаще приходится сталкиваться с различными травмами. Одним из наиболее слабых органов, которые чаще всего подвергаются травмированию, является стопа. Повредить ее достаточно просто. Для этого не нужно тяжелых падений, ударов, смещений. Достаточно легкого толчка, и стопа будет повреждена. Также иногда стоит только подвернуть немного ногу - и стопа также будет травмирована. Особенно актуально это для женщин, поскольку они часто ходят на каблуках. Также часто с подобными травмами сталкиваются профессиональные спортсмены, например при выполнении физических упражнений без предварительной разминки, или в режиме повышенной нагрузки, переутомления. В связи с этим, одним из самых востребованных методов диагностики в настоящее время является рентген лодыжки.
Рентген лодыжки может быть назначен в первую очередь с диагностической целью, для того чтобы установить вид и характер травмы, которой подверглась лодыжка. Применяется для диагностики переломов, смещения суставов, вывихов, трещин, растяжений, разрывов и надрывов связок. Также применяется с целью исследования стопы для установления причин развития отеков, гематом, повреждений, внутренних дефектов и кровотечений.
Потребность в проведении данного вида рентгена возникает также в связи с изменением нормальной подвижности, формы, структуры, внешнего вида стопы, а также при интенсивных болевых ощущениях в области голеностопа. При помощи рентгена можно подтвердить такие диагнозы, как артрит, артроз, диагностировать различные виды воспалительных процессов, отеков. Процедура позволяет также выявить новообразования, деформации.
Процедура не требует длительных подготовительных мероприятий (в плане соблюдения специфического режима питания, отдыха, труда физической активности). Подготовка может сводиться исключительно к психологической и моральной подготовке к предстоящему исследованию.
Врач должен объяснить пациенту кто, каким образом, и с какой целью будет проводить исследование, а также рассказать о предполагаемых ожиданиях от процедуры. Пациент должен примерно представлять себе ход процедуры, понимать ее сущность и значимость. Он должен также иметь представление о том, с какой целью она проводится, какие риски возникают в связи с процедурой.
При проведении исследования пострадавший должен занять необходимую позицию на кушетке. При этом лаборант или врач, проводящий исследование, должен рассказать или показать пациенту позу, которую он должен занять. Ноги нужно согнуть в коленях, а стопы поставить на ровную поверхность. Если необходимо выявить голеностопную травму, рентген проводят в боковой проекции. Для этого пациента необходимо усадить. Поврежденная конечность должна располагаться на подставке.
Для того, чтобы определить степень поперечного или продольного плоскостопия, необходимо обеспечить повышенную нагрузку на голеностопный сустав. При исследовании свода стоп пациент должен стать на одну ногу, а вторую поджать.
Также в процессе подготовки необходимо собрать предварительный анамнез. К примеру, если 6 месяцев назад была уже проведена рентгенологическая процедура, то рентген повторно проводить нельзя, поскольку это ассоциировано с высоким уровнем лучевой нагрузки на организм. Также важно сообщить врачу о беременности, кормлении грудью, поскольку это является противопоказанием для проведения процедуры. Исключение составляют случаи тяжелых травм. В таком случае требуется специальный свинцовый фартук, который способен обеспечить защиту от излучения.
Укладка голеностопного сустава
Для проведения исследования необходимо правильно уложить голеностопный сустав. Для начала проводится визуальная оценка повреждения, а затем выполняется рентгенологическое исследование. Процедура в целом занимает не более 10 минут.
Чаще всего применяется прямая задняя проекция. Преимущество этой проекции состоит в том, что она исключает ротацию стопы. Для проведения исследования в этом положении, пациент должен занять положение лежа, ноги должны быть вытянуты вдоль поверхности стола, горизонтально. Саггитальная плоскость стопы должна образовывать угол в 90 градусов с поверхностью стола.
Также исследование может быть проведено в прямой задней проекции с ротацией стопы. Для этого необходимо уложить ногу аналогично тому, как она укладывается при проведении исследования в задней прямой проекции (лежа, ноги вдоль стола). Отличие состоит в том, что стопа должна быть развернута внутрь, при этом образуется угол в 15-20 градусов.
При исследовании голеностопного сустава в боковой проекции, пациент располагается в положении лежа на боку. Конечность, которая не подвергается исследованию, должна быть прижата к животу, а стопа другой поверхности должна соприкасаться с латеральной поверхностью. При этом пятку следует плотно прижать к кассете, стопу развернуть внутрь примерно на 15-20 градусов.
Читайте также:
- От чего зимой слезятся глаза? Лечение слезотечения глаз
- Гипертензия как фактор риска ишемической болезни сердца. Распространенность артериальной гипертензии
- Ушиб головного мозга (контузия): причины, симптомы и лечение
- Стенки гипотимпанума. Гипотимпанальный карман.
- КТ признаки эндокринной офтальмопатии, сосудистой патологии глаза
