Признаки лекарственного поражения легких на рентгене, КТ
Добавил пользователь Евгений Кузнецов Обновлено: 01.11.2025
Легочная ткань обладает белковыми рецепторами ACE2, к которым прикрепляется вирион, благодаря прочным белковым шипам, по аналогии с пневмовирусом SARS-CoV-1, впервые обнаруженным у летучих мышей.
Помимо удушья и острого респираторного дистресс-синдрома (ОРДС), высокий риск смертности от COVID-19 сопряжен и с другими, нелегочными осложнениями: миокардитом, тромбозом внутренних органов, ДВС-синдромом. Однако по данным Уханьского технологического университета, у 92 из 100 китайских пациентов, госпитализированных по поводу коронавируса, компьютерная томография выявляет повреждение легких. Большую опасность для жизни и здоровья представляет острый респираторный дистресс-синдром (ОРДС) — это обширный двусторонний воспалительный процесс с полисегментарный очагами инфильтрации, который приводит к отеку легких и острой дыхательной недостаточности.
Коронавирус проникает в организм человека через носовую полость, слизистую глаз или рот и, когда достигает легких, провоцирует у большинства больных обширный воспалительный процесс — альвеолы (воздушные пузырьки легочной ткани) заполняются жидким экссудатом или соединительной тканью. Эти пораженные участки легких, более не участвующие в дыхательном процессе, врачи видят на посрезовой КТ легких в виде «матовых стекол», симптома «булыжной мостовой». Также коронавирус часто сопровождается плевральным выпотом.
По результатам томографии также оценивают тяжесть заболевания, то есть степень поражения легких: КТ-0, КТ-1, КТ-2, КТ-3, КТ-4. Подробнее о «рисунке» коронавирусной пневмонии и диагностических возможностях компьютерной томографии — в этой статье.
Когда необходимо сделать КТ легких при коронавирусе?
Обычно при подозрении на вирусную пневмонию КТ легких назначается лечащим врачом — терапевтом или инфекционистом. Больным пациентам нет необходимости ждать результатов ПЦР до 14 дней — томография покажет даже минимальное поражение легких (до 5%), при этом паттерн пневмонии, вызванной коронавирусом, виден довольно ясно. КТ легких рекомендовано делать на 5-7 день проявления симптомов острого респираторного заболевания.
Ключевое отличие компьютерной томографии от рентгена состоит в том, что КТ показывает первую степень поражения легких (до 25%), а по результатам обследования возможна дифференциальная постановка диагноза, то есть по специфическому клиническому рисунку на КТ можно отличить коронавирусную пневмонию от бактериальной и какой-либо другой без лабораторной диагностики. Однако не у всех пациентов, зараженных коронавирусом, развивается поражение легких с характерной симптоматикой.
КТ легких рекомендуется делать при наличии следующих симптомов:
- Высокая температура (более 37,5°);
- Затрудненное дыхание, одышка;
- Кашель;
- Ощущение сдавливания в грудной клетке;
- Низкий уровень сатурации крови кислородом (менее 95%) по результатам пульсоксиметрии;
- Повышенная утомляемость, слабость.
Пациентам с выраженными симптомами и подозрением на коронавирус нет необходимости ждать результатов ПЦР-диагностики. Компьютерная томография покажет очаги воспаления и инфильтрации легких, фиброз, степень их распространенности. Таким образом пациент сможет не теряя времени приступить к лечению под контролем лечащего врача. Поражение легких более 50% по результатам КТ может быть показанием к госпитализации.
Важно! При наличии вышеуказанных симптомов нет необходимости ждать результатов теста на коронавирус, чтобы проверить легкие на КТ. Преимущество компьютерной томографии легких перед рентгеном и флюорографий заключается в том, что диагностика покажет воспалительные процессы даже когда они только начались (на 5-7 день с момента проявления симптомов ОРЗ).
Поражение легких при коронавирусе
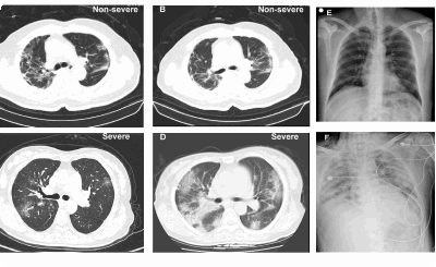
В 2020 году была разработана эмпирическая шкала визуальной оценки легких, в которой КТ-0, КТ-1, КТ-2, КТ-3 и КТ-4 соответствуют стадии заболевания и, соответственно, степени поражения легких.
Врач изучает каждую долю легкого (всего 5) на посрезовых сканах в поперечной и фронтальных плоскостях и оценивает объем поражения каждой по пятибалльной шкале. Если признаки воспаления отсутствуют, рентгенолог присваивает значение 0 и так далее. Если воспалительные очаги и инфильтраты присутствуют в нескольких сегментах, такую пневмонию называют полисегментарной. При коронавирусе пациентам чаще всего диагностируют двустороннюю полисегментарную пневмонию. При своевременном обращении за медицинской помощью распространение инфекции в легких можно остановить.
Степени поражения легких при коронавирусе на КТ
В заключении КТ легких пациенты видят аббревиатуры: КТ-0, КТ-1, КТ-2, КТ-3 и КТ-4 Что они обозначают?
- КТ-0 —очаги воспаления и инфильтраты не выявлены, легкие «чистые»;
- КТ-1 —поражение легких до 25%;
- КТ-2 —поражение легких 25-50%;
- КТ-3 —поражение легких 50-75%;
- КТ-4 —поражение легких > 75%.
По данным исследования «Time Course of Lung Changes at Chest CT during Recovery from Coronavirus Disease 2019 (COVID-19)», опубликованного в июле 2020 года в международном журнале Radiology, максимальное поражение легких (пик пневмонии) у большинства пациентов наблюдается на 10 день заболевания. В выборку не вошли пациенты со специфическими осложнениями, такими как ОРДС, кардиогенный отек легкого, тромбоз, тяжелые последствия которых носят непредсказуемый характер.
Как коронавирус выглядит на КТ?
При коронавирусе на КТ отчетливо и ясно визуализируются инфильтраты в легких — участки, заполненные экссудатом (жидкостью, кровью, гноем), вследствие чего дыхание затруднено.
Особенно наглядно они представлены на 3D-реконструкции дыхательных путей. Такое изображение получается после компьютерной обработки сканов. Эти данные тоже записываются на диск, и пациент может посмотреть визуализацию его собственных легких.
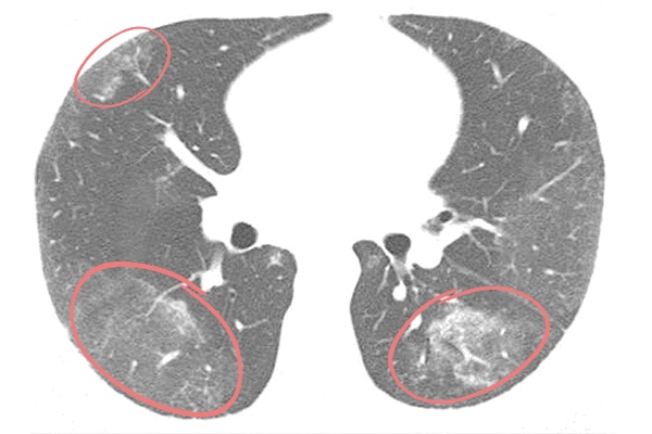
По данным актуальных исследований, публикуемых в журнале Radiology, вирусная пневмония, вызванная COVID-19, чаще всего проявляется на КТ изображениях в виде двухсторонних затемнений по типу «матового стекла» и уплотнений легочной ткани, например, утолщения альвеолярных перегородок. На томограммах это, напротив, более светлые участки, поскольку они свидетельствуют о повышенной плотности легочной ткани, а она хуже пропускает рентгеновские лучи.
Наличие одиночного очага поражения по типу «матового стекла» в правой нижней доле легкого может быть интерпретировано как начальное, самое первое проявление вирусной пневмонии.
Отметим, что «матовые стекла» не являются специфическим признаком пневмонии при коронавирусе. Этот признак характерен для опухолей, кровоизлияний и других инфекций. По результатам КТ легких возможна лишь первичная дифференциальная диагностика пневмоний (бактериальной, вызванной пневмококком, грибками и др.). «Рисунок» этих заболеваний может лишь незначительно различаться. Чтобы врачи могли правильно поставить диагноз, пациенту следует пройти дополнительное обследование, например, сделать ПЦР. Лабораторная диагностика поможет выявить специфического возбудителя воспаления легких.
Когда заболевание переходит в более позднюю стадию, рисунок становится более специфическим. Коронавирусную пневмонию на КТ легких определяют по следующим признакам.
Матовое стекло при коронавирусе
«Матовые стекла» считаются основным признаком поражения легких при пневмонии. Так называют участки легочной ткани, в которых альвеолы заполнены жидкостью — это инфильтраты. Название отсылает непосредственно к визуализации этого признака при лучевой диагностике. Уплотнения по типу «матового стекла» напоминают беловатый налет, легочная ткань — светлая.

«Матовые стекла» при коронавирусе обычно локализуются с обеих сторон (двусторонняя пневмония) в нижних и боковых отделах, ближе к плевре либо сконцентрированы вокруг бронхов. При этом сохраняется видимость сосудов, бронхов и их стенок. По количеству и размерам инфильтратов определяют степень поражения легких.
Консолидация матовых стекол
Признак, который чаще всего наблюдается при среднетяжелом поражении легких. Матовых стекол уже достаточно много, и на некоторых участках можно наблюдать их объединение. Видимость воздушных просветов бронхов сохраняется, но сосуды и стенки бронхов в зоне уплотнения не видны.
Симптом булыжной мостовой
Симптом «булыжной мостовой» также называют «лоскутным одеялом». Легочная ткань на томограммах визуализируется в виде ячеек и приобретает сходство с брусчаткой. Такой рисунок наблюдается при утолщении межальвеолярных перегородок. Обширное воспаление затрагивает интерстиций, вследствие чего он уплотняется, нарушаются обменные процессы в тканях: в альвеолах накапливаются белки и липиды, сокращается воздушное пространство.
Симптом «булыжной мостовой» в сочетании с «матовыми стеклами» указывает на тяжелую, пиковую стадию пневмонии. Наблюдается на 10-12 день заболевания. При благоприятном разрешении проходит на 14-30 день.
Симптом воздушной бронхограммы
Воздушная бронхограмма — рентгенологический термин, который означает, что на фоне плотной и безвоздушной ткани легких с инфильтратами («матовых стекол» с консолидацией), сохраняется воздушное пространство в просвете бронхов. Этот отдел дыхательных путей полностью или частично визуализируются на КТ.
С одной стороны, воздушная бронхограмма говорит о проходимости проксимальных дыхательных путей, с другой — указывает на масштабную обструкцию легких, при которой практически отсутствует альвеолярный воздух.
Фиброз легких
Фиброз — это патологическое разрастание соединительной ткани, которое приводит к уменьшению размера альвеолярных пузырьков, то есть воздушного пространства. У некоторых пациентов организм таким образом реагирует на инфекционное воспаление или механическую травму. Фиброз легких напоминает рубцы и требует самостоятельного лечения. Последствия такого осложнения пневмонии могут быть необратимыми.
Симптом обратного гало
Симптом «обратного ободка» или «гало» представляет собой уплотнение легочной ткани вокруг очага воспаления. Свидетельствует о прогрессирующей пневмонии. На томограммах визуализируется светлым кольцом или ободком, опоясывающим «матовое стекло» в форме практически правильного круга или эллипса.
Симптом плеврального выпота
Плевральный выпот — это скопление жидкого экссудата в плевральной полости. Плевра представляет собой серозную оболочку, которая покрывает поверхность легких и внутреннюю часть грудной клетки. Патологическая жидкость скапливается в пространстве между легкими и грудной клеткой. В норме здесь содержится немного жидкости, около 3-5 мл, — она необходима для амортизации и уменьшения трения дыхательного органа о ребра. Дополнительная жидкость затрудняет дыхание и вызывает сдавление легких.
Важно! Интерпретировать результаты КТ легких может только врач-рентгенолог. Компьютерная томография показывает поражение легких при вирусной пневмонии. Чтобы достоверно определить тип инфекционного возбудителя воспаления легких, пациенту следует сделать ПЦР.
Галина: Здравствуйте! Сегодня восьмой день, как заболела мама и сегодня мы сделали КТ. Вот наше заключение. Пожалуйста,разъясните, мне, что мы имеем.Заключение:изменения лёгких обусловлены воспалительным процессом вирусной этиологии с вовлечением до 28%обьема лёгочной паренхимы-КТ2. Спасибо огромное, очень вам благодарна. еще.
Здравствуйте, Галина, благодарим за вопрос! Период с 7 по 10 день болезни новой коронавирусной инфекцией обычно самые сложные. Важно вызвать терапевта на дом или прийти на амбулаторный прием в специализированное медицинское учреждение в Вашем населенном пункте, где ведется прием пациентов с COVID-19. Если врач-рентгенолог указал в заключении, что воспаление легких вызвано вирусной инфекцией, то скорее всего это коронавирус.
Не тревожьтесь, 28% воспаления не опасны, маловероятно, что при условии правильного лечения уже будет значительно больше. Но мы бы рекомендовали на всякий случай также дома измерять сатурацию (норма 95 и выше, если нет хронических заболеваний дыхательных путей в анамнезе) и артериальное давление. При отклонениях от нормы следует звонить в скорую.
Также мы бы рекомендовали контрольное КТ через месяц, чтобы исключить фиброзные изменения и иные патологии легких после болезни. Особенно в том случае, если будут какие-либо жалобы (одышка, сокращение глубины вдоха и др).
Желаем Вам и вашим близким крепкого здоровья!
Здравствуйте! Сегодня восьмой день, как заболела мама и сегодня мы сделали КТ. Вот наше заключение. Пожалуйста,разъясните, мне, что мы имеем.Заключение:изменения лёгких обусловлены воспалительным процессом вирусной этиологии с вовлечением до 28%обьема лёгочной паренхимы-КТ2. Спасибо огромное, очень вам благодарна.
КТ или рентген легких: что лучше?
В чем разница между этими методами обследования? Когда лучше делать КТ легких, а когда рентгенографию? Подробнее рассмотрим в этой статье.
Чем отличается КТ от рентгена легких?
Компьютерная томография — это современный метод лучевой диагностки различных заболеваний, в основе которого лежит рентгенография. . Метод был разработан и предложен учеными, лауреатами Нобелевской премии Г. Хаунсфилдом и А. Кормаком в 1972 году. Классическая рентгенография была изобретена в 1896 году, чаще всего она применялась в стоматологии и для исследования легких, поскольку на рубеже XIX-XX вв. смертность от пневмонии, туберкулеза и астмы была крайне велика.
Ключевое отличие цифрового рентгена от компьютерной томографии легких — траектория прохождения рентгеновских лучей и техника визуализации. В процессе обычной рентгенографии Х-лучи проходят через исследуемый участок тела перпендикулярно всего один раз, поэтому рентгенограмма представляет собой двухмерное однослойное изображение. Рентген легких — наиболее доступное по цене исследование, которое часто назначается в первую очередь, если у пациента есть признаки пневмонии, туберкулеза, обструктивной болезни легких, опухолей. Проблема данного вида диагностики заключается в том, что, например, при пневмонии на рентгене достоверно можно определить только поражение легких III и IV степени, а тени от крупных органов могут затенять другие ткани.
Сканы КТ отличаются более высокой четкостью изображений и информативностью. В ходе компьютерной томографии рентгеновская трубка вместе с чувствительными датчиками совершает несколько оборотов по спиральной траектории, сканируя исследуемую область. Аппарат КТ делает множество сканов толщиной до 1 мм, на основании которых воссоздается трехмерная модель легких, сосудов, органов и костей грудной клетки в высоком разрешении. Таким образом после компьютерной обработки изображений ткани и органы можно исследовать в трех проекциях, эффект наложения теней от органов в случае с компьютерной томографией отсутствует.
Высокая четкость изображения при компьютерной томографии связана с техникой проведения диагностики и физическими свойствами излучения. Рентген обладает 20% коэффициентом ослабления, в то время как томография - коэффициентом 0,5%, а следовательно и более высокой разрешающей способностью.
И рентгенографию, и компьютерную томографию можно делать с контрастированием. Рентгенография или КТ легких с контрастом поможет визуализировать сосуды и опухоли. Однако первичная дифференциация новообразований на доброкачественные и онкогенные возможна только в рамках КТ, что также связано с качеством изображений.
Поскольку рентгенограмма грудной клетки в сущности представляет 1 снимок, а томограмм делают множество, то и излучение при КТ легких выше из-за многократной экспозиции. В среднем, за одну процедуру рентгена легких пациент получает 0,1 мЗв облучения, во время КТ легких - 2,5 мЗв. Однако эта доза ионизирующего излучения безопасна для пациента. В год допустимо делать КТ-сканирование 5 зон. Направляя на тот или иной рентгенографический метод обследования, врачи всегда руководствуются критерием целесообразности и безопасности пациента.
В специализированном центре КТ «Ами» процедура проходит на аппарате нового поколения Siemens Somatom go.Now со сниженной лучевой нагрузкой.
Что лучше: КТ или рентген легких?
КТ легких и рентгенография назначаются при воспалении легких, туберкулезе, бронхиальной астме. Оба исследования показывают состояние легких, бронхов, трахеи, средостения. И на КТ, и на рентгене выявляют опухоли, инородные предметы в полости легких и дыхательных путях. Как и компьютерная томография, рентген показывает скопления жидкости в альвеолах или фиброз (поражение легких при пневмонии), наличие эмфиземы (хронический бронхит курильщика), отек и саркоидоз легких (гранулемы и узловые новообразования легких).
Однако большинство медиков склоняются к мнению, что если есть возможность сделать КТ легких вместо рентгена, то лучше исследовать органы грудной клетки именно так. Во-первых, врач точно не пропустит заболевание или опухоль в начальной стадии. Во-вторых, после КТ легких уже нет необходимости в дополнительном уточняющем обследовании (кроме лабораторной диагностики, поскольку инфекционные, вирусные и бактериальные агенты-возбудители определяют с помощью анализа биологического материала). В-третьих, небольшие кальцификаты, деструкции и опухоли видны только на сканах КТ.
Согласно докладам Всемирной организации здравоохранения, рак легких по-прежнему представляет угрозу для жизни и здоровья миллионов людей. Поэтому пациентам старше 40 лет, особенно попадающим в группу риска, рекомендован ежегодный профилактический скрининг. Флюорография и рентген считаются традиционным методом профилактики, однако лучше всего для этой цели подойдет низкодозная компьютерная томография легких.
Плюсы рентгена легких
- Низкая цена обследования.
- Облучение около 0,1 мЗв.
- Аппаратами для рентгена оснащены многие медицинские учреждения.
Минусы рентгена легких
- Малая информативность.
- Низкая специфичность.
- Двухмерные снимки, подозрительные участки могут быть закрыты тенями органов.
- Не показывает пневмонии, опухоли и другие патологии легких на ранних стадиях. Также для обследования лимфатических узлов более информативна КТ.
- Невозможно дать первичную оценку новообразованиям, дифференцировать их на доброкачественные и онкогенные.
- Есть вероятность получения неполной картины.
Плюсы КТ легких
- Трехмерное (пространственное) изображение легких, исчерпывающая информативность.
- Показывает заболевания и патологии легких на ранних стадиях.
- Ранняя диагностика рака легких.
- Врач может первично дифференцировать новообразования.
- Назначается при атипичном течении заболеваний, в качестве уточняющего метода обследования после рентгена.
Минусы КТ легких
- Более высокая цена.
- Более высокая доза ионизирующего излучения.
- Сравнительно невысокая распространенность медицинских центров, оснащенных томографами.
Что информативнее: КТ легких или рентген?
Компьютерная томография - наиболее современный и информативный рентгенологический метод обследования. На сканах в трех проекциях визуализируются мягкие ткани, внутренние органы, кости и сосуды. Двухмерная рентгенография дает более общее представление о состоянии легких, однако иногда этого достаточно для последующего успешного лечения пациента.
Не опасно ли делать КТ легких после рентгена?
Ионизирующее (рентгеновское) излучение не полезно для человека, а в избыточном количестве вызывает радиационный синдром и может стать «спусковым механизмом» для развития онкологических заболеваний у пациентов, предрасположенных к ним. Согласно действующим «Нормам радиационной безопасности» в год допустимо до 30-50 мВз излучения, но не следует забывать и о естественном радиационном фоне. КТ легких (около 2,5 мЗв) после рентгена (около 0,1 мЗв) безопасно, и такая прецизионная диагностика может спасти пациенту жизнь.
Однако, чтобы избежать дополнительной лучевой нагрузки, наиболее целесообразно сразу сделать КТ легких, не прибегая к рентгену.
Что лучше делать при воспалении легких: КТ или рентген?
Назначить КТ или рентген легких при пневмонии сможет только врач после изучения симптомов, лабораторных анализов, индивидуальной клинической картины пациента. Наличие жидкости или гноя в альвеолах, а также фиброз визуализируется и на рентгенограмме и на сканах КТ. Однако традиционного рентгена при пневмонии I-II степени может быть недостаточно, в то время как на КТ она видна более определенно как «матовые стекла». При атипичной пневмонии и при коронавирусе рекомендуется сделать КТ легких.
Можно ли сделать КТ легких вместо рентгена?
Да, КТ легких может заменить рентген. Однако врач, назначающий то или иное исследование, всегда учитывает индивидуальные особенности пациента, например, сколько рентгенологических исследований уже было проведено в течение года, нет ли противопоказаний к КТ. Также ионизирующее излучение вредно для беременных женщин и плода, поэтому в этом случае при пневмонии предпочтительнее МРТ легких.
Что покажет КТ лёгких?

Известно, что компьютерная томография лёгких - один из наиболее информативных диагностических методов исследования. Как делается КТ? Что видит врач? Что требуется от пациента, чтобы пройти процедуру? На эти и другие вопросы отвечает врач-рентгенолог «Клиника Эксперт» Иркутск Никита Валентинович Монаков.
— Никита Валентинович, что такое компьютерная томография (КТ)?
— Это особый вид рентгенологического исследования, суть которого заключается в послойном сканировании тканей посредством просвечивания их рентгеновскими лучами. На основе серии таких снимков из множества срезов врач получает прицельные трёхмерные (3D) изображения исследуемого участка и патологического очага.
КТ - это один из самых информативных и высокоточных методов. Он позволяет определить локализацию, размеры патологического очага, оценить результаты лечения. Срезы можно сделать очень тонкими, менее миллиметра, поэтому информацию о патологии врач имеет весьма подробную.
КТ используется и как метод первичной диагностики, и как уточняющая методика в дополнение к другим диагностическим способам - скажем, к тому же рентгену или УЗИ.
— КТ лёгких назначают для оценки объёма предстоящего хирургического вмешательства, при оценке эффективности лучевой или химиотерапии, а также в случаях, когда другие методы не позволяют выявить патологический очаг.
— Что показывает КТ лёгких?
— С помощью компьютерной томографии можно увидеть лёгочную ткань, бронхиальное дерево, лимфатические узлы, кровеносные сосуды (в том числе, аорту, лёгочные вены). КТ позволяет выявить очаговые и диффузные процессы, определить их характер, распространённость, локализацию, степень выраженности изменений. Кроме того, в ходе исследования лёгких оценивается и состояние пищевода, сердца, костного каркаса грудной клетки. Метод позволяет замерить плотность как самой лёгочной ткани, так и конкретно патологического очага, расположенного в ней. Чувствительность КТ при определении кист, объёмных образований, метастазов в лёгких составляет 98 процентов.
«Рентгенография и компьютерная томография грудной клетки, бронхоскопия будут полезны для обнаружения эхинококкоза лёгких». Цитата из материала « Внимание, эхинококкоз! »
— Как делают КТ лёгких?
— Как и любые другие виды томографии, эта процедура не инвазивна и совершенно безболезненна. Пациент просто ложится на специальную кушетку, которая медленно продвигается через рамку детектора томографического аппарата. Единственное условие: лежать нужно неподвижно. Вся процедура длится от 5 до 20 минут.
— Как готовиться к КТ лёгких?
— Пациент заполняет анкету на возможные противопоказания, после чего он должен раздеться до пояса и снять все металлические предметы и украшения. Перед исследованием необходимо показать направление, результаты предыдущих исследований (УЗИ, КТ, МРТ, рентгенография; плёнки, диски, описания - если всё это имеется), медицинскую документацию (заключения специалистов, выписки из истории болезни, амбулаторные карты и т. д.).
— В основе компьютерной томографии лежит рентгеновское излучение. В связи с этим может появиться вопрос: опасна ли КТ лёгких?
— Доза облучения, получаемая пациентом при прохождении КТ, зависит от комплекции человека: она тем выше, чем крупнее пациент. На новых аппаратах - скажем, таких, как у нас в клинике - дозировка облучения рассчитывается и контролируется автоматически. По детским протоколам эта нагрузка ниже. Опасности для здоровья человека КТ не представляет.
— С учётом того, что компьютерная томография - лучевой метод исследования, возникает вопрос: как часто можно делать КТ лёгких без вреда для здоровья?
— Этот вид исследования назначает врач, и только он принимает решение, есть в нём необходимость или нет. Если доктору нужно оценить динамику какого-то патологического процесса - той же пневмонии, то стандарт предусматривает делать вторую КТ через две недели после первой.
— А существуют ли противопоказания к КТ лёгких?
— Абсолютных противопоказаний нет. Нельзя проводить КТ беременным и кормящим женщинам, маленьким детям. Но в каждой конкретной ситуации решение о необходимости проведения томографии принимает врач, взвесив все риски.
— Если КТ - лучевой метод исследования, то почему бы не сделать МРТ лёгких? Ведь магнитно-резонансная томография - это тоже современный вид диагностики, и при этом нет лучевой нагрузки.
— КТ - это «золотой стандарт». МРТ является альтернативным, третьим методом выявления заболеваний лёгких. МРТ может быть рекомендована при отдельных заболеваниях, таких как кистозный фиброз, ТЭЛА, также может считаться альтернативным методом при опухолях и пневмониях у детей, как дополнение к другим методам (рентгенография, КТ). Также МРТ может быть рекомендована при неоднозначных результатах КТ при подозрении на прорастание опухоли в средостение или плевру.
Современная МРТ позволяет визуализировать бронхоэктазы, утолщение стенок бронхов, наличие уровня жидкости, консолидации и деструкцию.
— Никита Валентинович, а что представляет собой КТ лёгких с контрастом?
— Отличий от обычного КТ практически нет. Пациенту внутривенно вводится контрастное вещество, которое при исследовании позволяет врачу получить ещё более полную картину. Перед контрастированием пациент в обязательном порядке сдаёт анализ на сывороточный креатинин, и, в зависимости от результата, принимается решение - можно ему делать КТ с контрастом или нет.
Существуют относительные противопоказания для введения контрастного вещества. Это реакция на ранее вводимое контрастное вещество, поливалентная аллергия с тяжёлыми реакциями, астма, требующая лечения, и сахарный диабет.
Противопоказанием к КТ с контрастным усилением является гипертиреоз, тиреотоксикоз, лечение радиоактивным йодом.
КТ с контрастным усилением можно проводить, если у пациента сезонная аллергия, лёгкие и умеренные реакции на различные аллергены (в т.ч. йод, морепродукты), астма вне обострения.
Беседовал Игорь Чичинов
Для справки
Монаков Никита Валентинович
В 2012 г. окончил Иркутский государственный медицинский университет, педиатрический факультет.
В 2013-2014 г. - интернатура по рентгенологии ГБОУ ВПО ИГМУ.
2016 г. - профессиональная переподготовка по ультразвуковой диагностике ГБОУ ДПО ИГМАПО г. Иркутск.
2018 г. - повышение квалификации по рентгенологии с курсом компьютерной томографии ФБГУ НМИЦ им. В. А. Алмазова, г. Санкт-Петербург.

Заболевание, при котором происходит замещение легочной ткани соединительной, носит название фиброз легких. Этот недуг вызывает серьезные сбои дыхательной функции. При этом у больного происходит растяжение легочных тканей, из-за чего снижается их эластичность. Заболевание вызывает необратимые патологические изменения, которые сильно влияют на качество жизни человека. Полностью избавиться от проблемы невозможно, так как соединительная фиброзная ткань не регенерируется в обычную. Однако можно приостановить развитие заболевания, что выполняется с помощью современных методик вполне успешно.
Фиброз делят по степени распространенности патологических изменений на несколько стадий:
- Пневмофиброз. При этой форме заболевания соединительная ткань в умеренной степени чередуется с неизмененной легочной.
- Пневмосклероз. При этой форме патологическим изменениям подвергается большая часть легочной ткани.
- Цирроз легких. Об этой стадии говорят, когда происходит полное замещение тканей. При этом также повреждаются сосуды легкого.
Заболевание может быть как одно-, так и двусторонним. Недуг нельзя оставлять без внимания, ведь в запущенной стадии он может спровоцировать серьезные осложнения.

Информацию из данного раздела нельзя использовать для самодиагностики и самолечения. В случае боли или иного обострения заболевания диагностические исследования должен назначать только лечащий врач. Для постановки диагноза и правильного назначения лечения следует обратиться к профильному специалисту.

Причины фиброза легких
Заболевание делят на два основных типа: интерстициальный и идиопатический. Вызывают их различные причины. Идиопатический фиброз легких считается самой загадочной формой болезни. Ученые до сих пор не могут выяснить, что его провоцирует. Есть предположение, что он вызывается недостатком полноценного здорового сна. Интерстициальная же форма недуга возникает из-за следующих основных причин:
- хронические воспалительные заболевания;
- аллергии, не подающиеся лечению;
- длительное вдыхание пыли и загрязненного воздуха;
- облучение организма;
- гранулематозные болезни легких;
- туберкулез;
- пневмония.
Какой врач лечит фиброз легких?

- Когда появились первые симптомы?
- Были ли у него воспалительные заболевания легких?
- Есть ли аллергия на лекарственные препараты?
- Чем болел человек последний раз?
Лечение фиброза легких
Терапию выбирают в зависимости от стадии развития заболевания и его сложности. Как правило, на первых этапах развития фиброза легких его лечение может быть ограничено немедикаментозными методами. Главным из них считают кислородную терапию. Ингаляции проводятся с помощью специальных аппаратов. Метод помогает:
Медикаментозная терапия включает в себя прием глюкокортикостероидов, антифиброзных препаратов и цитостатиков. Лечение лекарственными средствами достаточно длительное. Оно может занимать как 12 недель, так и 6 месяцев. Однако такой продолжительный прием препаратов способен не лучшим образом сказаться на здоровье человека. Например, после полного курса глюкокортикостероидов у человека могут возникнуть проблемы с давлением, обменом кальция или обострение язвенной болезни желудка.
В более сложных случаях остановить развитие заболевания можно только хирургическим путем. Оперативное лечение выполняется при тотальном фиброзе, когда изменениям подвергается вся легочная ткань. Удаление пораженного легкого или трансплантация органа назначается при:
- тяжелой дыхательной недостаточности;
- снижения объема легких;
- развитии гипоксии;
- снижении более чем в 2 раза диффузной способности легких.
Каждые 3 месяца должен проходить осмотр у пульмонолога пациент с таким диагнозом. При фиброзе легких лечение сегодня проходит достаточно успешно, однако больному придется строго следовать всем указаниям специалиста.
Что если не лечить фиброз легких?
Заболевание может протекать как в острой, так и в хронической форме. Многие интересуются: что если не лечить фиброз легких? Стоит отметить, что заболевание достаточно серьезное, оно может привести даже к летальному исходу. Поэтому лечить его нужно как можно раньше. Фиброз может стать причиной развития таких серьезных осложнений как:
- экссудативный плеврит;
- гипоксемическая кома;
- пневмоторакс;
- тяжелая дыхательная недостаточность.
Самой опасной считается острая форма фиброза. Заболевание развивается очень стремительно, и уже через 2 месяца человек может умереть. Лечение в домашних условиях неприемлемо.
Продолжительность жизни при фиброзе легких
Согласно статистическим исследованиям, страдают от этого недуга преимущественно мужчины. Лишь у 2 из 10 больных диагностируют острую форму фиброза легких, при которой продолжительность жизни составляет только 1 год. При этом состояние человека резко ухудшается. У него появляется сильная одышка, он резко теряет вес (до 15 кг за 5 месяцев), а также испытывает тяжелую дыхательную недостаточность.
Персистирующий фиброз, как правило, развивается не столь стремительно. Симптомы его также выражены менее ярко. При таком диагнозе человек может прожить около 5 лет. Наиболее благоприятной формой считается медленно прогрессирующий фиброз легких, при котором продолжительность жизни человека составляет до 10 лет.
КТ легких при коронавирусе
В связи с частыми ложноотрицательными результатами первичного ПЦР-исследования и отсутствием классических признаков при атипичной пневмонии компьютерная томография становится самым информативным способом диагностики COVID-19. В чем же перспективность этой технологии и что показывает КТ легких при коронавирусе?
Запишитесь на “кт легких” в ЦМРТ.
Компьютерная томография легких

КТ-диагностика коронавируса
В свете последних событий, связанных с распространением коронавирусной инфекции и развитием осложнений, возникающих на фоне уже имеющихся болезней, подход к постановке диагноза претерпел существенные изменения. Нередко первичный ПЦР-анализ, позволяющий выявлять наличие вируса, не срабатывает. Это может быть связано с неправильным забором биоматериала или «опусканием» возбудителя из носоглотки в нижележащие отделы респираторного тракта. Кроме того, немаловажными факторами, влияющими на задержку диагностики, является высокая загруженность лабораторий и достаточно длительное ожидание результата. Именно поэтому в качестве скринингового метода обследования бессимптомных носителей и пациентов с признаками заболевания рекомендована компьютерная томография грудной клетки.
Дата публикации: 01 Декабря 2020 года
Дата проверки: 30 Ноября 2021 года
Что это за метод
КТ - это высокочувствительный метод лучевой визуализации различных анатомических структур. Послойная диагностика, основанная на рентгеновском излучении, позволяет получать контрастное трехмерное изображение исследуемой области. Она дает оценку состоянию костных и мягких тканей, обнаруживает изменения контуров, размеров и структуры органов, наличие свободного газа или жидкости. Неинвазивное, абсолютно безболезненное обследование занимает несколько секунд, обладает высокой чувствительностью и специфичностью. Сканирование на современных томографах с программой контроля облучения проводится при сниженной лучевой нагрузке.

Когда следует делать КТ
Пневмония на КТ легких обнаруживается на 3-5 день от начала заболевания. Более раннее обследование может не выявить рентгенологических изменений в пораженном дыхательном органе. Именно поэтому при первых признаках острой респираторно-вирусной инфекции специалисты рекомендуют пройти ПЦР тестирование. Если ОРВИ протекает в легкой форме, многослойное рентгеновское сканирование делать не стоит.
Кому рекомендуется КТ в первую очередь
Компьютерная томография не проводится в целях профилактики. Исследование считается необходимым в следующих ситуациях:
- был контакт с пациентом с подтвержденной коронавирусной инфекцией
- присутствуют выраженные симптомы и клинические признаки респираторного заболевания (при решении вопроса о помещении в стационар)
- есть необходимость плановой госпитализации для лечения заболевания, не связанного с COVID-19
Направление врача не является необходимым условием для проведения КТ, однако оно помогает получить более полную картину заболевания.
Чем КТ-диагностика отличается от тестов
Лабораторное тестирование и компьютерная томография преследуют разные цели. В первом случае определяется наличие возбудителя инфекции, а во втором - факт самой болезни. Согласно статистическим данным, у половины людей с положительным ПЦР-тестом на коронавирус симптомы заболевания отсутствуют. Другими словами, у инфицированного нет восприимчивости к возбудителю и в течение некоторого времени он может быть носителем инфекции, не болея. В этом случае КТ легких после коронавируса проводить бессмысленно.
Однако если у пациента налицо признаки ОРВИ, то имеется вероятность развития вирусной пневмонии. И самым эффективным методом её ранней диагностики является компьютерная томография. Именно она позволяет выиграть время, начав лечение до усугубления состояния.

Противопоказания
Абсолютным противопоказанием к КТ является беременность (первые 2 триместра). Исследование не проводится пациентам, чья масса тела превышает величину, допустимую для томографа. В соответствии с последними данными международных конференций в период грудного вскармливания проведение томографии разрешается. Однако после процедуры необходимо обязательно сцедить первую порцию молока. Противопоказанием к использованию внутривенного контрастирования является тяжелая почечная, печеночная недостаточность и непереносимость контрастного препарата, в основе которого есть йод.
Чем можно заменить КТ
Альтернативой компьютерной томографии при исследовании состояния легких является бронхоскопия. Эта диагностическая методика предполагает использование эндоскопа. Оснащенное камерой устройство, предназначенное для забора биологического материала и введения лекарственного препарата, вводится непосредственно в дыхательные пути. Процедура выполняется под наркозом и постоянно контролируется специалистом. Она хорошо переносится пациентами, находящимися на ИВЛ. В критических случаях лежачим больным может быть назначена портативная рентгенография.
Помогает ли КТ грудной клетки поставить диагноз при COVID-19
На сегодняшний день компьютерная томография считается самой достоверной методикой, позволяющей выявить легочные проявления коронавирусной инфекции. Именно по томографическим снимкам можно определить вирусный или бактериальный характер воспаления.
Вопрос «является ли КТ подтверждением коронавируса?» следует назвать некорректным. Антитела к COVID-19, признанные маркером перенесенного инфицирования, выявляются при проведении ПЦР. Что же касается компьютерной томографии, то она не обнаруживает сам возбудитель, а позволяет подтвердить или опровергнуть наличие вирусной пневмонии.

Как выглядят легкие при коронавирусе на КТ
У пациентов с воспалением, вызванным коронавирусной инфекцией, на томографических снимках обнаруживаются характерные радиологические признаки:
- эффект «матового стекла» (многоочаговые тени или помутнения, связанные с повышением плотности паренхимы легких)
- рисунок «булыжной мостовой» (утолщения междольковых перегородок приводят к усилению и сетчатой деформации легочного рисунка)
- единичные или множественные узелковые поражения
- диффузное (разлитое) уплотнение - пиковая стадия заболевания, названная «белое легкое»
Повышение плотности легочной ткани - это то, что смотрят на КТ при коронавирусе. Такие изменения служат показателем для назначения интенсивного лечения. При отсутствии его эффективности через 2-3 дня может быть назначено повторное сканирование.
Как выглядит COVID-19 на томограмме
Компьютерная томография обнаруживает не вирус, а вызванные им патологические изменения. При подозрении на COVID-19-пневмонию в результатах обследования указывают дату появления симптомов болезни, метод сканирования и все «находки» в легочной ткани, соответствующие стандартному протоколу КТ грудной клетки.
Подготовка к КТ
КТ без контраста не требует подготовки. При необходимости контрастного усиления после последнего приема пищи должно пройти не менее 6 часов. Если планируется КТ с контрастом, необходимо сдать анализ на уровень креатинина.
Почему не стоит бояться проходить
КТ в период карантина
В условиях пандемии каждому человеку, нуждающемуся в обследовании, выдается одноразовая маска. По окончанию процедуры проводится полная санобработка и кварцевание. Поэтому на вопрос «можно ли заразиться коронавирусом на КТ?» ответ будет однозначно отрицательным.
Другие статьи на тему:

Фиброз после коронавируса
У четверти пациентов с COVID-19 развивается отягощенное пневмонией течение болезни. Многоочаговое поражение лёгких влечет вероятность появления тяжелых осложнении, таких как фиброз после коронавируса. Последствия воспалительного процесса, в ходе которых происходит замещение легочной ткани соединительной. Простыми словами, фиброз — это возникновение рубцов и шрамов. Если поражения малого размера, то рубцевание не влияет на легочную функцию. Если обширные, то снижается газообмен, возникают необратимые изменения легочной функции и дыхательная недостаточность.

Процент поражения легких при коронавирусе
В большинстве клинических случаев новая коронавирусная инфекция вызывает осложнения функционирования бронхо-легочной системы — пневмонию, острый респираторный дистресс-синдром. Поврежденные воспалением альвеолы склеиваются и не способны вмещать воздух. Уменьшается объем потребляемого кислорода, появляется сильная одышка, наступает кислородное голодание органов, которое грозит серьезными последствиями. В таких случаях пациентам назначают компьютерную томографию легких, рентгенологи высчитывают площадь патологически измененных тканей по специальной формуле. Как определить отклонения от нормы и какое поражение легких при коронавирусе считается опасным, рассмотрим в статье.

Учитывая сложность эпидемиологической ситуации, размах и скорость распространения респираторной инфекции, возникает вполне резонный вопрос: какие последствия у выздоровевших после коронавируса, и как не пропустить осложнения?
Чем отличается КТ от МРТ?
Современные технологии лучевой диагностики имеют первостепенное значение для всех областей практической медицины. Среди них наибольшей чувствительностью и информативностью обладают магнитно-резонансная и компьютерная томографии. В чем же отличия КТ от МРТ, что лучше и можно ли предпочесть один метод другому?
МРТ легких и бронхов
Надежным методом визуализации, позволяющим проводить дифференциальную диагностику вирусной пневмонии и других имитирующих ее состояний, является МРТ легких. Без ионизирующего излучения, исследование выявляет изменения в органах дыхательной системы, схожие с показателями КТ. Поэтому в условиях коронавирусной пандемии магнитно-резонансная томография стала разумной альтернативой.
Читайте также:
- Профилактика контузии. Методы защиты от контузий ЛОР органов
- Трихомониаз: что это такое, симптомы и лечение заболевания
- Вибрационная болезнь рук или вегетативные невриты
- Укрепление сердечно-сосудистой системы у легочных больных. Подготовка сердечно-сосудистой системы к операции
- Активная терапия контузий уха. Ушная травматическая инвалидность
