Пробная торакотомия при раке легкого. Диференциальный диагноз рака легкого
Добавил пользователь Евгений Кузнецов Обновлено: 11.12.2025
В медицинской практике важно различить одно заболевания от другого. Для этого необходимо тщательно собрать анамнез жизни и заболевания, определить патогномоничные симптомы, провести лабораторные и инструментальные исследования. Всё это входит в понятие дифференциальной диагностики — разновидности медицинской диагностики, которая подразумевает исключение того или иного заболевания для грамотного и эффективного подбора терапии.
В конечном итоге при грамотном применении дифференциально-диагностических методик, которые предполагают сочетание клинического опыта врача-диагноста и всего спектра наиболее эффективных способов определения нозологии, останется единственный диагноз, что исключает возникновение врачебных ошибок и обеспечивает максимально эффективное поддержание уровня качества жизни больного.
Использование дифференциальной диагностики заболеваний на раннем этапе в конечном итоге даёт максимальный результат. Постановка дифференциального диагноза может проходить в 5 этапов:
- Выделение главного синдрома, который объединяет несколько похожих нозологий. Если таких синдромов больше одного, то из всей совокупности вычленяют наиболее информативный.
- Проведение детального анализа ведущего синдрома (его продолжительность, стадийность, степень проявления). Также нужно охватить полную картину заболевания и учитывать симптомы, которые возникали на всём протяжении болезни.
- Сама дифференциация нозологии. Здесь сравнивается настоящая патология со всем перечнем похожих заболеваний. Для начала рассматривается сходство возникших симптомов с характерными, классическими признаками предполагаемой патологии. Кроме того, анализируют другие симптомы, которые могут склонять выбор в сторону
других нозологий. Это — самый важный этап дифференциальной диагностики. - Анализ полученной информации. К этой фазе врачи подходят творчески и используют всё имеющееся клиническое мышление. Здесь применяются несколько принципов. Например, если у больного предполагается какой-либо синдром, а некоторые симптомы прямо противоположны патогномоничным признакам, значит этот синдром исключается.
- Постановка окончательного диагноза и определение соответствующей тактики лечения.
Способы диагностики в онкологии
Применение методик дифференциальной диагностики имеет особое значение в онкологической практике, так как различные виды рака предполагают уникальные лечебные и диагностические подходы. Для того чтобы определить или исключить наличие злокачественного новообразования, применяют следующие клинические методы:
- Ультразвуковое исследование.
- Рентгенологические методы.
- Компьютерная томография.
- Позитронно-эмиссионная томография.
- Магнитно-резонансная томография.
- Анализ крови на наличие онкомаркёров.
- Гистологическое исследование биоптата.
- Эндоскопические методы.
Эти процедуры позволяют с большой долей вероятности провести дифференциальную диагностику рака не только с другими, неонкологическими, заболеваниями, но и определить точную стадию злокачественного процесса. Особенно важна в этом плане ранняя диагностика опухолей, так как чем раньше начнётся лечение рака, тем более эффективным оно будет.

Диагностика в онкопульмонологии
Актуальной задачей остаётся проведение дифференциальной диагностики первичного рака и пульмонологических заболеваний. Однако нужно помнить, что почти в половине случаев рак лёгких сопровождается как острой, так и хронической пневмонией онкологического генеза, которая маскирует проявления возникшего опухолевого процесса. Одним из главных методов, используемых при дифференциации рака лёгких и других лёгочных заболеваний (и болезней органов грудной клетки вообще), является проведение лучевой диагностики. При данных состояниях широкое применение в медицинской практике нашли крупнокадровая флюорография, прицельная и стандартная рентгенография в двух проекциях. С успехом применяется и компьютерная томография, которая позволяет оценить объём поражения лёгких, структуру патологического очага, его точную локализацию. Методы бронхоскопии и бронхографии могут использоваться при диагностике инородных тел бронхов, папилломах гортани, помогают оценить степень обтурации и оттеснения бронхов опухолью лёгких.
Центральный и периферический рак
Рак лёгких по своему расположению делится на центральный и периферический. Дифференциальное разделение этих двух форм имеет принципиальное значение для выбора хирургического метода лечения. Оба вида рака относятся к злокачественным процессам, развивающимся из эпителия бронхов разного калибра (поэтому их ещё называют бронхогенным раком). Для возникновения центрального рака лёгких в большинстве случаев имеет значение вдыхание канцерогенных веществ, поэтому он чаще является первичным злокачественным новообразованием.
Периферический рак легкого чаще является вторичным, то есть формируется в результате метастазирования других имеющихся в организме опухолей. Для него более характерно наличие сразу нескольких очагов.
Центральный рак лёгких чаще всего развивается в крупных бронхах. Сама опухоль может расти как в сторону просвета бронхов (тогда он называется эндобронхиальным), или кнаружи от него (перибронхиальный). Вначале появляется мучительный сухой кашель, особенно усиливающийся по ночам. Затем постепенно нарастает образование слизистой и слизисто-гнойной мокроты, у половины пациентов уже в ранней стадии возникает кровохарканье. Типичны боли в области грудной клетки, причём они могут быть и на стороне, противоположной поражённой. На рентгенографии можно различить округлую тень узла с характерной «дорожкой» к корню, ателектаз и усиление легочного рисунка в области поражения.
Дифференциальная диагностика периферического рака лёгкого в большинстве случаев требует применения инструментальных исследований, так как симптоматика проявляется не сразу и достаточно размыта. Из рентгенологических признаков периферического рака наиболее информативны лучистость затемнения, его бугристость, неоднородная структура (кальцинаты) и наличие плеврального выпота.

Рак лёгкого и пневмония
Не столь часто, но всё же приходится проводить в клинической практике дифференциальную диагностику периферического рака лёгких и очаговой пневмонии. Для воспалительного процесса лёгочной ткани инфекционного генеза характерны следующие признаки:
- Пневмония чаще встречается у пациентов моложе 50 лет (хотя может возникнуть в любом возрасте).
- Нет особых различий по полу пациентов (при раке — больше мужчины-курильщики).
- Начало болезни в большинстве случаев острое, с фебрильной лихорадкой.
- Одышка может отсутствовать, но при обширных поражениях лёгочной ткани появляется почти всегда (при онкологии — в далеко запущенных случаях).
- Боли могут возникать при вовлечении плевры.
- Ярко выраженные изменения в результате применения физикальных методов диагностики. Особенно изменяется дыхание, сначала оно становится жёсткое, затем появляются сухие и влажные хрипы.
- При проведении общего анализа крови можно выявить характерные признаки воспаления (рак в данном случае может характеризоваться высоким СОЭ при нормальном содержании лейкоцитов).
- На рентгенологическом снимке видны очаги воспаления гомогенной плотности, чаще — в нижних долях, с расплывчатыми границами, с усилением легочного рисунка и увеличением корней лёгкого.
Рак лёгкого и туберкулёз
Если пневмония исключена, обычно необходимо выполнить дифференциальную диагностику между раком лёгких и туберкулёзом. Схожесть симптоматики характерна для инфильтративного туберкулёза и периферического рака.
При туберкулёзе нередко можно выявить прямой контакт пациента с подтверждённым носителем микобактерий. Температура тела бывает повышенной в вечерние и ночные часы, вплоть до субфебрильной и фебрильной (в отличие от рака, при котором чаще всего температура не поднимается выше субфебрилитета). При онкологическом процессе чаще отмечается локализованный сухой кашель.
Течение туберкулёза обычно полисимптомно, но признаки выражены слабо, а при онкологическом процессе, как правило, можно явно выявить 1-2 основных симптома. При анализе мокроты патогномоничным признаком будет обнаружение возбудителей туберкулёза, а при раке — атипичных клеток (в большинстве случаев). Также специфический результат дадут подкожные туберкулиновые пробы, которые при инфицировании микобактериями дают положительный результат, а при злокачественных опухолях лёгкого — отрицательный.
Рентгенологически при туберкулёзной инфильтрации можно увидеть полисегментарные затемнения округлой или облаковидной формы, участки бронхогенного обсеменения в удалённых областях лёгкого или в другом лёгком. При ателектазе (который часто встречается при центральной форме рака) выявляется культя бронха, на фоне затемнения не видно светлых полосок бронхиального дерева (в отличие от туберкулёза).
Если сравнивать кавернозную форму туберкулёза с полостными образованиями при раке, то поначалу рентгенологически их отличить тяжело — в обоих случаях каверна имеет толстые неровные стенки с перифокальным воспалением и инфильтрацией, с наличием внутри жидкости. После отторжения некротических масс, стенки туберкулёзной каверны становятся более тонкими и ровными, само затемнение — округлое (ближе к правильной форме), а инфильтрация вокруг образования уменьшается.
Сложности могут возникнуть при дифференциальной диагностике узловой формы периферического рака и туберкуломы. Последняя имеет более чёткие округлые контуры, а рак имеет специфическую лучистость. Для туберкуломы характерны участки обызвествления и кальцификаты.
В любом случае, для дифференциального диагноза рака лёгких и туберкулёза чаще всего решающее значение имеют результаты биопсии.
Рак лёгкого и инородное тело в бронхах
Во многих случаях аспирация инородного тела в бронх проходит для взрослых незаметно. В таких ситуациях больные могут долго и безуспешно лечиться по поводу рака бронхов или лёгких. После попадания инородного тела, в большинстве случаев возникает судорожный кашель, который может пройти. Фруктовые косточки, семечки, кусочки пластмасс при нахождении в бронхах покрываются грануляцией, которая вызывает хронический воспалительный процесс. Вялотекущее воспаление в данном случае сопровождается периодическим подъёмом температуры, кашлем, сопровождающимся выделением слизистой или слизисто-гнойной мокротой, небольшой одышкой и болью в груди без чёткой локализации.
На рентгенограмме довольно чётко определяется металлическое инородное тело. В противном случае можно лишь различить неясное затемнение поражённого бронха и участок воспаления вокруг него. Поможет дифференцировать инородное тело от рака компьютерная томография, особенно если обтурирован крупный сегмент бронха. В таком случае ставится диагноз обструктивного пневмонита и рассматриваются тактики извлечения инородного тела с минимизацией ущерба для слизистой оболочки бронха.
Можно легко спутать с центральным раком лёгкого эндогенный бронхолит, который представляет собой кальцинированную часть лимфатического узла, попавшего в просвет бронха в результате бронхожелезистой перфорации. При наличии бронхолита пациенты предъявляют примерно такие же жалобы, как и при центральном раке. Дифференцировать данные состояния поможет томография, выполненная в двух проекциях.
Диагностическую ценность имеет и проведение бронхоскопии. Если бронхолит крупный, находится в просвете бронхов или частично расположен в стенке, то можно визуализировать и удалить эндогенное инородное тело. Однако если бронхолит образовался много лет назад, и полностью скрыт грануляционой тканью, то его удаление возможно только при разрушении плотной фиброзной оболочки, покрывающей его. Это чревато сильным кровотечением, так как при хирургических манипуляциях есть вероятность повредить относительно крупные бронхиальные сосуды, проходящие прямо в соединительнотканной оболочке.
При случайном обнаружении затемнения и сомнениях в выборе диагноза между центральным раком и бронхолитом имеет смысл провести бронхоскопию с биопсией. Если онкологический диагноз не подтвердился, то при отсутствии жалоб со стороны пациента можно оставить бронхолит и по необходимости проводить противовоспалительную терапию.

Рак лёгкого и сифилис
Легочное сифилитическое поражение встречается в крайне редких случаях, причём период от манифестации заболевания и появления такого осложнения может составлять 8 лет и больше. При наличии солитарной крупной сифилитической гуммы в лёгочной ткани приходится дифференцировать её с раком лёгкого.
Симптоматика болезни часто не соответствует степени поражения лёгких при сифилисе — относительно нормальное общее самочувствие может сочетаться с резко выраженной одышкой. Течение болезни длительное, часто малосимптомное. При сифилисе лёгких будут отсутствовать малые признаки рака, которые часто бывают дополнительным критерием постановки онкологического диагноза. Также следует брать во внимание длительный сифилитический анамнез, особенно если за всё время лечение было нерегулярным и неадекватным.
Сифилитические гуммы небольшого размера (милиарные, от горошины до лесного ореха), локализуются большей частью в средней и нижней долях лёгкого. Образования могут быть негомогенной структуры, распадаться с образованием каверн. Решающее значение в дифференциальной диагностике будут иметь результаты серологических исследований на сифилис и эффект таргетированного лечения препаратами йода и висмута, а также бициллинотерапии.
Рак лёгкого и метастазы
Нередко приходится различать первичные злокачественные новообразования и метастатическое поражение. На рентгенограмме обычно кардинальных различий нет, поэтому приходится опираться на клинические проявления и результаты других видов исследований.
При метастатическом поражении результаты биопсии показывают наличие атипичных клеток внелегочного генеза (рак лёгких образуется из бронхиального эпителия). Для первичного рака лёгких характерны изменения лёгочной ткани (рубцы, дисплазия, carcinoma in situ), а метастазы возникают в первоначально неизменённой паренхиме.
Поражение близлежащих регионарных лимфоузлов может быть характерным признаком рака лёгких. Метастатические очаги обычно локализуются в паренхиме, так как заносятся они лимфогенным, гематогенным или контактным путём (в этом случае они отличаются от центральной формы рака, но схожи с периферической).
Метастазы в лёгких сопровождаются паранеопластическим синдромом, который характерен для наличия опухолей в других органах. То же самое касается и онкомаркёров — при первичном раке лёгких в крови можно обнаружить специфические СА-125, CYFRA 21-1, а метастазы проявляются наличием ПСА, тиреоглобулина, СА 15-3 и других онкомаркёров (в зависимости от локализации первичного очага). После удаления метастазов хирургическим методом, эффект обычно минимальный — процесс быстро генерализируется, а при первичной онкологии лёгких генерализация происходит реже и медленнее. Метастатическое поражение лёгких, в отличие от первично возникшего рака, редко вовлекает в болезненный процесс висцеральную плевру и бронхи крупного диаметра.
Рак лёгких и саркоидоз
Саркоидоз характеризуется появлением специфических гранулём во внутренних органах и лимфатических узлах. Очень часто саркоидоз локализуется во внутригрудных лимфатических узлах и паренхиме лёгких. Клинически заболевание сначала протекает почти бессимптомно и может быть обнаружено при случайном рентгенологическом обследовании. С прогрессированием болезни появляются похожие на рак симптомы: сухой кашель, нарастающая одышка, боль в груди, общие признаки в виде утомляемости, повышения температуры, слабости, снижения аппетита. При физикальном обследовании можно обнаружить жёсткое дыхание и сухие хрипы.
Рентгенологическую картину саркоидоза тоже можно спутать с признаками рака лёгких: очаговоподобные затемнения на лёгочной ткани, инфильтрация (часто диффузная), увеличение близлежащих лимфоузлов, усиление и искажение легочного рисунка.
Однако для саркоидоза существует несколько патогномоничных признаков, выделяемых из всех рентгенологических проявлений:
- Симптом «матового стекла» — неравномерное участки затемнения и просветления на всей поверхности легочной ткани.
- Кальцинация лимфатических узлов по типу «ореховой скорлупы».
- Симптом диссеминации: множество рассеянных мелкоочаговых теней размерами от милиарных до 0,7 см, локализованные большей частью в области примыкания лёгких к плевре и в аксиллярной зоне.
Кроме того, дифференциацию поможет провести биопсия узлов — при саркоидозе обнаруживаются гигантские клетки Пирогова-Лангханса, а при опухолевом процессе — признаки атипии.
Врачи «Евроонко» ежедневно сталкиваются с необходимостью проведения дифференциальной диагностики заболеваний легкого. Благодаря узкой специализации и большому опыту работы, нам в каждом случае удается поставить верный диагноз и определить адекватную лечебную тактику.
Плоскоклеточный рак легкого
Плоскоклеточная форма рака легкого является самой распространенной. На ее долю приходится около 60% от всех злокачественных новообразований данного органа. Опухоль развивается в результате метаплазии (замещения) клеток мерцательного эпителия клетками плоского эпителия. Последние могут иметь различное строение, в зависимости от которого выделяют несколько разновидностей плоскоклеточного рака легкого.
Причины и группы риска
Основной причиной возникновения рака легкого является воздействие канцерогенных факторов на клетки плоского эпителия. Этими факторами могут выступать токсические химические вещества, которые содержатся в воздухе, ионизирующее излучение и др. Абсолютное большинство пациентов, у которых подтвердился диагноз плоскоклеточного рака, страдают от никотиновой зависимости. Вредные и канцерогенные вещества, содержащиеся в табачном дыме, оказывают выраженное негативное влияние на клетки бронхов и существенно увеличивают вероятность трансформации клеток.
Специалисты отмечают определенные группы людей, у которых риск обнаружить плоскоклеточный рак легкого будет выше. К ним относятся:
- Мужчины, чей возраст превышает 50 лет.
- Курильщики с большим стажем.
- Пациенты, у которых имеются хронические заболевания легкого.
- Лица с наследственной предрасположенностью.
- Работники, которые трудятся во вредных условиях.
Данные категории людей должны уделять максимум внимания своему здоровью и регулярно проходить профосмотр, который поможет выявить плоскоклеточный рак легкого на начальной стадии.
Классификация плоскоклеточного рака легких
В зависимости от клеточного строения, выделяют следующие виды заболевания:
- Железисто-плоскоклеточный рак. Является разновидностью плоскоклеточного рака, который имеет гистологические признаки аденокарциномы. Данная форма характеризуется быстрым течением, активным метастазированием и образованием больших опухолевых очагов.
- Ороговевающая форма рака легкого относится к высокодифференцированным опухолям. Для этого вида свойственно раннее метастазирование и образование первичного очага в корне легкого.
- Неороговевающий рак легкого является умеренно дифференцированным. Он проявляется общими симптомами, часто сочетается со злокачественным поражением пищевода.
- Низкодифференцированный рак. По сравнению с другими видами плоскоклеточного рака, эту форму сложнее всего диагностировать и лечить. Кроме того, у пациентов часто выявляются метастазы в других органах — мозг, печень, почки даже при небольших размерах первичного очага.
С анатомической точки зрения выделяют центральную и периферическую формы плоскоклеточного рака. Возможно выявление атипичных вариантов, которые встречаются достаточно редко.
Стадии заболевания
В течении плоскоклеточного рака легкого выделяют 4 стадии, которые последовательно сменяют друг друга.
- Первая стадия характеризуется небольшими размерами опухоли (до 3 см), отсутствием метастазов.
- На второй стадии рака легкого опухоль может достигать больших размеров (до 6 см) и давать метастазы в рядом расположенные лимфоузлы.
- На третьей стадии первичный очаг рака легкого достигает размеров до 8 см, отмечаются метастазы в отдаленные группы лимфоузлов.
- Четвертая стадия характеризуется активным распространением плоскоклеточного рака по всему организму, нарушаются функции многих органов и систем, состояние пациента становится крайне тяжелым.
Стадии заболевания сказываются не только на методах лечения, но и на прогнозе выживаемости. Чем раньше выявлена болезнь, тем больше шансов достигнуть длительной ремиссии.

Клинические проявления плоскоклеточного рака легкого
Гистологическое строение опухоли практически никак не влияет на проявления рака. Решающее значение имеет размер первичного очага, его локализация и стадия. При этом специфических симптомов, которые помогли бы отличить плоскоклеточный от других форм рака легкого не отмечается.
Начальные стадии заболевания часто протекают бессимптомно, поэтому выявить рак легкого удается случайно во время профилактической флюорографии. По мере роста опухоли, могут проявляться следующие симптомы:
- Длительный беспричинный кашель.
- Кровохарканье.
- Одышка.
- Боль в области груди.
При прогрессировании плоскоклеточного рака клиническая картина дополняется вторичными симптомами, которые зависят от локализации новообразования, наличия метастазов, реакции организма на опухоль. Частыми вторичными симптомами являются осиплость голоса, боли в шее, дисфагия, аритмия, снижение массы тела и др. Данные проявления позволяют врачу заподозрить рак легкого, но для того, чтобы поставить точный диагноз, потребуется пройти обследование и получить гистологическую верификацию.
Диагностика плоскоклеточного рака
Первичное обследование пациентов, у которых есть подозрение на плоскоклеточный рак легкого включает в себя сбор анамнеза, анализ симптомов и жалоб, общий осмотр пациента и рентгенологические методы диагностики. На снимках часто удается обнаружить первичный очаг рака легкого, определить его примерный размер и локализацию, оценить состояние регионарных лимфоузлов. Для получения более точных данных, а также с целью выявления метастазов плоскоклеточного рака в другие органы могут быть назначены:
- Компьютерная томография.
- Магнитно-резонансная томография.
- Позитронно-эмиссионная томография.
Кроме того, в план комплексного обследования включаются лабораторные анализы (общий и биохимический анализ крови, онкомаркеры и др.), бронхоскопия, УЗИ внутренних органов, при наличии показаний, и другие методы.
Важное значение в выявлении рака имеет биопсия с последующим гистологическим исследованием. Образец ткани, которая содержит клетки рака легкого получают при помощи бронхоскопии, трансторакальной пункции или торакоскопии. Дополнительно врач может отбирать образцы мокроты или промывные воды бронхов для цитологического исследования. Гистологическое исследование позволяет определить точный вид рака, что определяет чувствительность опухоли к лечению.

Методы диагностики применяются не только для выявления точного диагноза. Комплексное обследование может проводиться с целью отслеживания динамики, определения эффективности лечения и выявления осложнений.
Как лечат плоскоклеточный рак легкого
В настоящее время существует несколько видов лечения плоскоклеточного рака.
- Химиотерапия. Данный метод лечения рака является наиболее универсальным и распространенным. Его можно применять в комбинации с другими методиками — хирургическим лечением, лучевой терапией и т.д. В качестве самостоятельного метода лечения рака химиотерапия применяется редко. Выбор препарата и продолжительность курса зависят от стадии, чувствительности рака легкого к лечению и других факторов. Хорошо себя зарекомендовала полихимиотерапия, в ходе которой применяются комбинации из нескольких препаратов.
- Иммунотерапия. Данный метод лечения является одним из самых современных и продолжает активно развиваться. При иммунотерапии плоскоклеточного рака назначаются специфические препараты из группы моноклональных антител, ингибиторов контрольных точек и специальных вакцин. Они обладают разным механизмом действия, но приводят к одному и тому же результату —иммунная система начинает активно атаковать клетки рака легкого.
- Радиотерапия (лучевая терапия). В основе метода лежит воздействие ионизирующего излучения на клетки рака легкого. Облучение опухоли может выполняться перед операцией, непосредственно во время или после ее завершения. В зависимости от локализации очага может назначаться фракционирование, эндобронхиальная и конформная лучевая терапия.
- Хирургическое лечение. Удаление новообразования оперативным путем является ведущим методом лечения при выявлении опухоли на ранней стадии. Объем операции может варьировать от лобэктомии (удаление одной доли легкого) до пневмонэктомии (удаление всего легкого целиком). Неплохих результатов лечения плоскоклеточного рака иногда удается достичь, если комбинировать хирургический метод с химиотерапией, лучевой терапией или иммунотерапией.
Вместе со специальными методами лечения назначается симптоматическая терапия. Она направлена на восстановление основных показателей организма и улучшение состояния пациента. С этой целью могут назначаться антибактериальные, противовоспалительные, обезболивающие и другие препараты, которые устраняют симптомы болезни.
Прогноз и продолжительность жизни при плоскоклеточном раке легкого
Как и при любых других видах рака, решающее значение на продолжительность жизни оказывает стадия опухолевого процесса и чувствительность к лечению. Наиболее неблагоприятным в этих отношениях являются низкодифференцированные опухоли. Они плохо отвечают на лечение и склонны к быстрому прогрессированию. Средняя продолжительность жизни в таких случаях ограничивается 8 месяцами. Если опухоль была обнаружена на первой стадии и пациент хорошо ответил на лечение, то показатели пятилетней выживаемости могут достигать 80%. Если мелкоклеточный рак легких был диагностирован на второй стадии, то этот показатель уменьшается вдвое — до 40%. Пятилетняя выживаемость на 3 и 4 стадиях составляет около 20% и 8% соответственно.
Случай успешного радикального хирургического лечения ложно местно-распространённого рака лёгкого

Несмотря на достижения современных медицинских технологий в торакальной онкологии, рак лёгкого остаётся одной из основных причин смертности населения. Алгоритм и тактика лечения пациентов со злокачественными опухолями лёгких определяются на основании клинической стадии заболевания. Стадия устанавливается по результатами диагностических исследований: компьютерной (КТ) и позитронно-эмиссионной томографии (ПЭТ-КТ), радиоизотопных исследований и бронхоскопии.
Достаточно часто (13-30 %) течение рака лёгкого осложняется вторичным параканкрозным (расположенным вокруг опухоли ) воспалением, которое затрудняет своевременную диагностику и адекватное стадирование рака лёгкого. Нередко это приводит к гипердиагностике, то есть ошибочному медицинскому заключению о наличии у пациента осложнений, которые на самом деле отсутствуют. Применимо к раку лёгких, гипердиагностика возможна по характеристикам первичной опухоли и поражению лимфатических узлов (категории "T" и "N" в классификации TNM), что отодвигает хирургические методы лечения на второй план или вовсе исключает их из возможных опций лечения рака лёгкого.
Приводим клиническое наблюдение пациента с ложно местно-распространённой злокачественной опухолью лёгкого. Учёт характера новообразования в этом случае позволил провести пациенту успешное хирургическое лечение первым этапом.
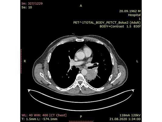
31.07.2020 мужчина 57 лет обратился в Клиническую больницу № 2 АО ГК МЕДСИ с данными компьютерной томографии, где выявлено центральное новообразование в корне нижней доли левого лёгкого.
Жалобы
Пациент предъявлял жалобы на боль в груди (в проекции грудины и нижне-грудного отдела позвоночника), эпизоды повышения температуры тела до субфебрильных значений (до 38 °C) и постоянный кашель с выделением небольшого количества светлой мокроты.
Сначала болезненные ощущения трактовались как проявления гастроэзофагеальной рефлюксной болезни (ГЭРБ). Пациент получал лекарственную терапию, но без существенного эффекта.
Анамнез
У пациента длительный анамнез курения — 40 пачколет (т. е., 1 пачка в день в течение 40 лет или 2 пачки в день в течение 20 лет и т .д.). Считает себя больным с апреля 2020 года, когда появилась боль в груди и кашель. С этими симптомами больной обратился к терапевту в поликлинику по месту жительства. Жалобы были расценены как проявления гастро-эзофагеальной рефлюксной болезни (ГЭРБ). По результатам гастроскопии диагностированы признаки хронического гастрита и косвенные признаки ГЭРБ. Назначенное лечение не дало эффекта.
При дальнейшем дообследовании, по данным рентгенографии и компьютерной томографии органов грудной клетки выявлено новообразование в нижней доле левого лёгкого. После этого пациент был направлен на консультацию к торакальному онкологу.
- (терапия метформином и гликлазидом);
- мультифокальный атеросклероз с преимущественным поражением сосудов головного мозга. 27.12.2019 зафиксирована транзиторная ишемическая атака (острое кратковременное нарушение кровообращения головного мозга).
Обследование
При осмотре и физикальном обследовании обращало на себя внимание наличие экспираторных (при выдохе) свистящих хрипов по всем лёгочным полям (больше слева) и ослабление дыхания в нижних отделах слева.
Периферические лимфатические узлы шеи, подмышечных, над- и подключичных областей не увеличены в размерах или не пальпируются (не прощупываются).
Первым этапом пациенту была проведена фибробронхоскопия, по данным которой выявлено, что устье нижнедолевого бронха слева сужено за счёт подслизистого и перибронхиального распространения опухоли.
Выполнена многократная биопсия из устья нижнедолевого бронха слева. По данным гистологического исследования материала эндоскопической биопсии верифицирован диагноз немелкоклеточного рака лёгкого.
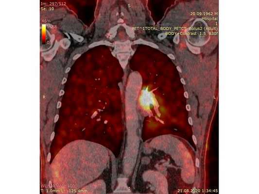
Чтобы провести первичное стадирование опухоли, пациенту проведена позитронно-эмиссионная томография в сочетании с компьютерной томографией (ПЭТ-КТ). По данным исследования, выявлена метаболически активная опухоль в корне левого лёгкого с бугристыми контурами размерами 41 х 43 мм. В толще опухоли проходят нижнедолевой бронх и бронх 6-го сегмента левого лёгкого, просветы бронхов значительно сужены. Нижняя доля левого лёгкого уменьшена в размерах за счёт того, что сегменты 6, 9 и 10 субтотально (частично) инфильтрированы и безвоздушны. Лимфатические узлы корня лёгкого и средостения не увеличены в размерах и не накапливают радиофармпрепарат (РФП), который был введён пациенту перед обследованием внутривенно. Других очаговых образований и очагов гиперметаболизма в организме не обнаружено.
При этом отмечено, что опухоль распространяется в средостение по нижней стенке левого главного бронха и широко прилежит к нижнегрудному отделу аорты (по заключению специалиста ПЭТ-КТ — имеется инвазия опухоли в ткани средостения и возможное врастание в стенку аорты). При самостоятельном пересмотре изображений отмечено, что "опухолевая" ткань, которая распространяется по нижней стенке левого главного бронха в средостение, не накапливает РФП (т. е. не является злокачественной), а стенка аорты в области "инвазии" опухоли имеет ровный чёткий контур и адвентициальную границу, что также свидетельствует об отсутствии онкологического процесса в этой области.
- эхокардиография;
- ультразвуковая допплерография (УЗДГ) артерий и вен нижних конечностей и брахиоцефальных артерий;
- спирометрия (измерение объёмных и скоростных показателей дыхания с целью диагностики и оценки функционального состояния лёгких).
По результатам исследований не выявлено существенных патологий, которые могли бы ограничить возможности хирургического вмешательства на лёгких.
На период обследования пациенту была рекомендована противовоспалительная (НПВС) и ингаляционная терапия, на фоне чего пациент отметил уменьшение болевого синдрома и выраженности кашля.
Диагноз
Основное заболевание: Центральный немелкоклеточный рак нижней доли левого лёгкого, сT2bN0M0, IIА стадия. (T2b — опухоль более 5 см, но менее 7 см в наибольшем измерении; N0 — нет метастазов в региональных лимфатических узлах; M0 — нет отдалённых метастазов).
- Сахарный диабет 2 типа, субкомпенсированный (среднетяжёлое течение болезни).
- Мультифокальный атеросклероз с преимущественным поражением сосудов головного мозга (транзиторная ишемическая атака от 27.12.2019). Код МКБ-10 — E11.9.







Интраоперационное фото: клипированные межрёберные артерии; аорта на тесёмочных держалках по краям зоны резекции адвентиции; культя главного бронха с провизорными швами при ушивании по Оверхольту


Лечение
Проведён онкологический консилиум (Клиническая больница № 2 АО ГК МЕДСИ). Решением консилиума рекомендовано первым этапом провести хирургическое лечение в объёме нижней лобэктомии (удаления доли органа) с циркулярной резекцией левого главного бронха (удалением сегмента бронха с восстановлением целостности бронхиального дерева) или пневмонэктомии слева (полного удаления лёгкого) после интраоперационной ревизии с систематической медиастинальной лимфодиссекцией (иссечением лимфатических узлов).
- боковая торакотомия (вскрытие грудной клетки) слева;
- пневмонэктомия с резекцией адвентиции (наружной оболочки) аорты, париетальной и медиастинальной плевры и мышечной стенки пищевода;
- медиастинальная лимфаденэктомия.
1. В положении на правом боку с раздельной вентиляцией лёгких выполнена боковая торакотомия слева. При ревизии:
- в плевральной полости выпота (скопления жидкости) нет;
- имеются единичные сращения в области верхней доли и 6 сегмента — разделены при помощи электрокоагуляции;
- очагового поражения париетальной и висцеральной плевры нет.
- в нижней доле имеется плотная большая опухоль, подрастающая к грудной аорте и врастающая в медиастинальную плевру и средостение;
- сосуды корня лёгкого в опухолевый процесс не вовлечены;
- определяются множественные неувеличенные в размерах лимфатические узлы.
Учитывая данные интраоперационной ревизии, диагноз скорректирован: центральный местно-распространённый немелкоклеточный рак нижней доли левого лёгкого с врастанием в адвентицию аорты и ткани средостения — cT4NxM0. Принято решение о выполнении пневмонэктомии (полного удаления лёгкого).
2. Выделены и взяты на держалки верхняя и нижняя лёгочные вены, выделен ствол лёгочной артерии, который также взят на держалку. Выполнено пробное пережатие лёгочной артерии — нарушений гемодинамики (движения крови по сосудам) и гемоксигенации (насыщения крови кислородом) нет.
3. Последовательно прошиты сшивающими аппаратами и пересечены нижняя и верхняя лёгочные вены и ствол лёгочной артерии. Выявлено, что опухоль подрастает к мышечной стенке пищевода, выполнена краевая резекция мышечной стенки пищевода на протяжении 2 см.
4. Острым путём отсечён левый главный бронх, при этом обнаружено, что опухоль распространяется перибронхиально. Культя левого главного бронха реампутирована (ампутирована повторно) в пределах визуально здоровой ткани стенки бронха, до 1,5-2 см от карины трахеи (гребня хряща между разделением двух главных бронхов). Центральная часть культи левого главного бронха ушита по Оверхольту.
5. Отступив по грудной стенке от края врастания опухоли в аорты на 2 см, рассечена и отсепарована (отделена хирургически) париетальная плевра и адвентиция аорты. Аорта мобилизована по типу "ручки чемодана" и взята на тесёмочные держалки выше и ниже места врастания опухоли.
6. Скелетизируя грудную стенку и аорту, с перевязкой левых межрёберных артерий, на участке рёбер 4, 5, 6 и 7 выполнена полуциркулярная резекция адвентиции аорты, мягких тканей грудной стенки с париетальной плеврой и тканей средостения.
7. Пневмонэктомия. Проверка аэростаза (герметичности) под уровнем жидкости — просачивания воздуха в области культи бронха нет.
8. Выполнена лимфодиссекция из области лёгочной связки, области бифуркации трахеи (места её разделения на главные бронхи), аортального окна, левого трахеобронхаильного угла и нижних паратрахеальных лимфатических узлов слева. Проверка гемостаза — сухо.
10. В плевральную полость заведён толстый силиконовый дренаж. Послойное ушивание раны, рёбра сведены тремя перикостальными швами. Наложена асептическая повязка.
- дренаж из плевральной полости удалён на первый послеоперационный день;
- из отделения реанимации и интенсивной терапии (ОРИТ) пациент переведён в госпитальное отделение с целью активизации.
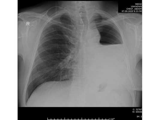
Проведена профилактическая стандартная антибактериальная терапия в течение пяти суток. По данным контрольной рентгенографии, отмечено смещение средостения в оперированную сторону.
- умеренно-дифференцированная аденокарцинома лёгкого (G2) с очаговой периневральной и лимфо-васкулярной инвазией (Pn1, LV1), выраженной фибропластической реакцией стромы, умеренной воспалительной инфильтрацией, фокусами некрозов.
- Размер опухоли — 6,0 х 4,5 х 3,5 см — pT2b.
- В 40 исследованных лимфатических узлах (4 группа — 5 шт., 5 группа — 4 шт., 7 группа — 10 шт., 9 группа — 1 шт., 10 группа — 2 шт., 11 группа и внутрилегочные — 18 шт.) метастазов опухоли не обнаружено — pN0.
- Края резекции без опухоли — R0.
- Область "подрастания" опухоли к адвентиции аорты и врастания опухоли в средостения была представлена фиброзной тканью с воспалительной инфильтрацией стромы.
Еженедельный амбулаторный контроль состояния пациента в течение трёх недель констатировал неосложнённый поздний послеоперационный период.
Проведён повторный онкологический консилиум Клинической больницы № 2 АО ГК МЕДСИ по результату первого этапа лечения: учитывая размеры опухоли, периневральную и лимфо-васкулярную инфильтрацию, степень дифференцировки опухоли и возраст пациента, рекомендовано проведение химиотерапии в адъювантном режиме по схеме Пеметрексед + Карбоплатин (4 курса). Первый курс химиотерапии проведён в штатном режиме на 28 послеоперационный день.
Заключение
Таким образом, принимая во внимание данные предоперационного обследования и заключение специалистов лучевой диагностики, можно было ложно определить "нехирургическую" стадию рака лёгкого и констатировать полную невозможность радикального хирургического лечения (инвазия в стенку аорты). Однако прицельный пересмотр данных ПЭТ-КТ и учёт клинической картины воспалительного синдрома ( температура тела до 38 °С ; кашель, купированный на фоне ингаляционной терапии; болевой синдром, купированный приёмом НПВС) позволили принять решение о возможности хирургического лечения. Интраоперационная ревизия на мгновение пошатнула уверенность в правильности стадирования онкологического процесса, однако патологоанатомическое исследование полностью подтвердило предоперационную трактовку клинической ситуации.
Данное клиническое наблюдение свидетельствует о важности учёта параканкрозного воспаления при раке лёгких, которое может вносить существенный вклад в ложную трактовку стадии заболевания. Каждый пациент с злокачественной опухолью лёгкого требует индивидуального подхода и оценки рисков и возможностей радикального хирургического лечения.
Рак легких
Рак легких - злокачественная опухоль, берущая начало из тканей бронхов или легочной паренхимы. Симптомами рака легких могут служить субфебрилитет, кашель с мокротой или прожилками крови, одышка, боли в грудной клетке, похудание. Возможно развитие плеврита, перикардита, синдрома верхней полой вены, легочного кровотечения. Точная постановка диагноза требует проведения рентгенографии и КТ легких, бронхоскопии, исследования мокроты и плеврального экссудата, биопсии опухоли или лимфоузлов. К радикальным методам лечения рака легкого относятся резекционные вмешательства в объеме, продиктованном распространенностью опухоли, в сочетании с химиотерапией и лучевой терапией.
МКБ-10


Общие сведения
Рак легкого - злокачественное новообразование эпителиального происхождения, развивающееся из слизистых оболочек бронхиального дерева, бронхиальных желез (бронхогенный рак) или альвеолярной ткани (легочный или пневмогенный рак). Рак легкого лидирует в структуре смертности населения от злокачественных опухолей. Летальность при раке легких составляет 85% от общего числа заболевших, несмотря на успехи современной медицины.
Развитие рака легкого неодинаково при опухолях разной гистологической структуры. Для дифференцированного плоскоклеточного рака характерно медленное течение, недифференцированный рак развивается быстро и дает обширные метастазы. Самым злокачественным течением обладает мелкоклеточный рак легкого: развивается скрытно и быстро, рано метастазирует, имеет плохой прогноз. Чаще опухоль возникает в правом легком - в 52%, в левом легком - в 48% случаев.

Причины
Факторы возникновения и механизмы развития рака легкого не отличаются от этиологии и патогенеза других злокачественных опухолей легкого. В развитии рака легких главная роль отводится экзогенным факторам:
- курению
- загрязнению воздушного бассейна веществами-канцерогенами
- воздействию радиации (особенно радона).
Патогенез
Раковая опухоль преимущественно локализуется в верхней доле легкого (60%), реже в нижней или средней (30% и 10% соответственно). Это объясняется более мощным воздухообменом в верхних долях, а также особенностями анатомического строения бронхиального дерева, в котором главный бронх правого легкого прямо продолжает трахею, а левый в зоне бифуркации образует с трахеей острый угол. Поэтому канцерогенные вещества, инородные тела, частицы дыма, устремляясь в хорошо аэрируемые зоны и длительно задерживаясь в них, вызывают рост опухолей.
Метастазирование рака легких возможно по трем путям: лимфогенному, гематогенному и имплантационному. Наиболее частым является лимфогенное метастазирование рака легких в бронхопульмональные, пульмональные, паратрахеальные, трахеобронхиальные, бифуркационные, околопищеводные лимфоузлы. Первыми при лимфогенном метастазировании поражаются пульмональные лимфоузлы в зоне разделения долевого бронха на сегментарные ветви. Затем в метастатический процесс вовлекаются бронхопульмональные лимфатические узлы вдоль долевого бронха.
В дальнейшем возникают метастазы в лимфоузлах корня легкого и непарной вены, трахеобронхиальных лимфоузлах. Следующими вовлекаются в процесс перикардиальные, паратрахеальные и околопищеводные лимфатические узлы. Отдаленные метастазы возникают в лимфоузлах печени, средостения, надключичной области. Метастазирование рака легкого гематогенным путем происходит при врастании опухоли в кровеносные сосуды, при этом наиболее часто поражаются другое легкое, почки, печень, надпочечники, мозг, позвоночник. Имплантационное метастазирование рака легких возможно по плевре в случае прорастания в нее опухоли.
Классификация
По гистологической структуре выделяют 4 типа рака легкого: плоскоклеточный, крупноклеточный, мелкоклеточный и железистый (аденокарцинома). Знание гистологической формы рака легкого важно в плане выбора лечения и прогноза заболевания. Известно, что плоскоклеточный рак легкого развивается относительно медленно и обычно не дает ранних метастазов. Аденокарцинома также характеризуется сравнительно медленным развитием, но ей свойственна ранняя гематогенная диссеминация. Мелкоклеточный и другие недифференцированные формы рака легкого скоротечны, с ранним обширным лимфогенным и гематогенным метастазированием. Замечено, что чем ниже степень дифференцировки опухоли, тем злокачественнее ее течение.
По локализации относительно бронхов рак легких может быть:
- центральным, возникающим в крупных бронхах (главном, долевом, сегментарном)
- периферическим, исходящим из субсегментарных бронхов и их ветвей, а также из альвеолярной ткани.
Центральный рак легкого встречается чаще (в 70%), периферический - гораздо реже (в 30%). Форма центрального рака легкого бывает эндобронхиальной, перибронхиальной узловой и перибронхиальной разветвленной. Периферическая раковая опухоль может развиваться в форме «шаровидного» рака (круглой опухоли), пневмониеподобного рака, рака верхушки легкого (Панкоста). Классификация рака легкого по системе TNM и стадиям процесса подробно дана в статье «злокачественные опухоли легких».
Симптомы
Клиника рака легкого схожа с проявлениями других злокачественных опухолей легких. Типичными симптомами служат постоянный кашель с мокротой слизисто-гнойного характера, одышка, субфебрильная температура тела, боли в грудной клетке, кровохарканье. Некоторые различия в клинике рака легких обусловлены анатомической локализацией опухоли.
Центральный рак легкого
Раковая опухоль, локализующаяся в крупном бронхе, дает ранние клинические симптомы за счет раздражения слизистой оболочки бронха, нарушения его проходимости и вентиляции соответствующего сегмента, доли или целого легкого.
Заинтересованность плевры и нервных стволов вызывает появление болевого синдрома, ракового плеврита и нарушений в зонах иннервации соответствующих нервов (диафрагмального, блуждающего или возвратного). Метастазирование рака легкого в отдаленные органы обусловливает вторичную симптоматику со стороны пораженных органов.
Прорастание опухолью бронха вызывает появление кашля с мокротой и нередко с примесью крови. При возникновении гиповентиляции, а затем ателектаза сегмента или доли легкого присоединяется раковая пневмония, проявляющаяся повышенной температурой тела, появлением гнойной мокроты и одышки. Раковая пневмония хорошо поддается противовоспалительной терапии, но рецидивирует вновь. Раковая пневмония часто сопровождается геморрагическим плевритом.
Прорастание или сдавление опухолью блуждающего нерва вызывает паралич голосовых мышц и проявляется осиплостью голоса. Поражение диафрагмального нерва приводит к параличу диафрагмы. Прорастание раковой опухоли в перикард вызывает появление болей в сердце, перикардита. Заинтересованность верхней полой вены приводит к нарушению венозного и лимфатического оттока от верхней половины туловища. Так называемый, синдром верхней полой вены проявляется одутловатостью и отечностью лица, гиперемией с цианотичным оттенком, набуханием вен на руках, шее, грудной клетке, одышкой, в тяжелых случаях - головной болью, зрительными расстройствами и нарушением сознания.
Периферический рак лёгкого
Периферический рак легкого на ранних этапах своего развития бессимптомен, т. к. болевые рецепторы в легочной ткани отсутствуют. По мере увеличения опухолевого узла происходит вовлечение в процесс бронхов, плевры, соседних органов. К местным симптомам периферического рака легких относятся кашель с мокротой и прожилками крови, синдром сдавления верхней полой вены, осиплость голоса. Прорастание опухоли в плевру сопровождается раковым плевритом и сдавлением легкого плевральным выпотом.
Развитие рака легких сопровождается нарастанием общей симптоматики: интоксикации, одышки, слабости, потери веса, повышения температуры тела. В запущенных формах рака легкого присоединяются осложнения со стороны пораженных метастазами органов, распад первичной опухоли, явления бронхиальной обструкции, ателектазы, профузные легочные кровотечения. Причинами смерти при раке легких чаще всего служат обширные метастазы, раковые пневмонии и плевриты, кахексия (тяжелое истощение организма).
Диагностика
Диагностика при подозрении на рак легкого включает в себя:
- общеклинические анализы крови и мочи;
- биохимическое исследование крови;
- цитологические исследования мокроты, смыва с бронхов, плеврального экссудата;
- оценку физикальных данных;
- рентгенографию легких в 2-х проекциях, линейную томографию, КТ легких;
- бронхоскопию (фибробронхоскопию);
- плевральную пункцию (при наличии выпота);
- диагностическую торакотомию;
- прескаленную биопсию лимфоузлов.

КТ ОГК. Солидная мягкотканная опухоль в верхней доле левого легкого с морфологическими признаками злокачественности.
Лечение рака легкого
Ведущими в лечении рака легких являются хирургический метод в сочетании с лучевой терапией и химиотерапией. При наличии противопоказаний или неэффективности данных методов проводится паллиативное лечение, направленное на облегчение состояния неизлечимо больного пациента. К паллиативным методам лечения относятся обезболивание, кислородотерапия, детоксикация, паллиативные операции: наложение трахеостомы, гастростомы, энтеростомы, нефростомы и т. д.). При раковых пневмониях проводится противовоспалительное лечение, при раковых плевритах - плевроцентез, при легочных кровотечениях - гемостатическая терапия.
Прогноз
Наихудший прогноз статистически отмечается при нелеченном раке легких: почти 90% пациентов погибают через 1-2 года после постановки диагноза. При некомбинированном хирургическом лечении рака легкого пятилетняя выживаемость составляет около 30%. Лечение рака легких на I cтадии дает показатель пятилетней выживаемости в 80%, на II - 45%, на III - 20%.
Самостоятельная лучевая или химиотерапия дает 10%-ную пятилетнюю выживаемость пациентов с раком легких; при комбинированном лечении (хирургическом + химиотерапии + лучевой терапии) процент выживаемости за это же период равен 40%. Прогностически неблагоприятно метастазирование рака легких в лимфоузлы и отдаленные органы.
Профилактика
Вопросы профилактики рака легких актуальны в связи с высокими показателями смертности населения от данного заболевания. Важнейшими элементами профилактики рака легких являются активная санпросветработа, предупреждение развития воспалительных и деструктивных заболеваний легких, выявление и лечение доброкачественных опухолей легких, отказ от курения, устранение профессиональных вредностей и повседневного воздействия канцерогенных факторов. Прохождение флюорографии не реже одного раза в 2 года позволяет обнаружить рак легкого на ранних стадиях и не допустить развития осложнений, связанных с запущенными формами опухолевого процесса.
2. Рак легкого: учебно-методическое пособие для студентов/ Иванов С. А. , Нагла Ю. В., Коннов Д.Ю. - 2011.
Центральный рак легкого
Центральный рак легкого - это злокачественная опухоль, поражающая крупные бронхи, вплоть до субсегментарных ветвей. Ранние симптомы центрального рака легкого включают кашель, кровохарканье, одышку; поздние симптомы связаны с осложнениями: обтурационной пневмонией, синдромом ВПВ, метастазами. Верификация диагноза осуществляется путем проведения рентгенографии и КТ легких, бронхоскопии с прицельной биопсией, спирометрии. В операбельных случаях лечение центрального рака легкого хирургическое, радикальное (объем резекции от лобэктомии до расширенной или комбинированной пневмонэктомии), дополненное послеоперационной лучевой терапией, химиотерапией.


Центральный рак легкого - бронхогенный рак с внутри- или перибронхиапьным ростом, исходящий из проксимальных отделов бронхиального дерева - главных, долевых или сегментарных бронхов. Это самая частая клинико-рентгенологическая форма заболевания, составляющая до 70% рака легкого (на долю периферического рака легкого приходится порядка 30%). Однако если периферический рак чаще при выявляется при профилактической флюорографии, еще до возникновения симптомов, то центральный - преимущественно в связи с появлением жалоб. Это приводит к тому, что каждый третий пациент с центральным раком легкого, самостоятельно обратившейся к врачу, оказывается уже неоперабельным.
У мужчин рак легкого развивается в 8 раз чаще, чем у женщин. На момент выявления опухоли возраст больных обычно составляет от 50 до 75 лет. Рак легкого является актуальнейшей проблемой клинической пульмонологии и онкологии, что связано как с его высоким удельным весом в структуре онкозаболеваемости, так и с устойчивым ростом случаев патологии.

Все факторы, влияющие на частоту развития центрального рака легкого, подразделяются на генетические и модифицирующие. Критериями генетической предрасположенности служат 3 и более случая рака легкого в семье, наличие у пациента синдрома полинеоплазии - первично-множественных опухолей злокачественного характера.
Модифицирующие факторы могут быть экзогенными и эндогенными; большинство из них потенциально предотвратимы. Значимыми экзогенными факторами служат:
- курение: ежедневное выкуривание одной пачки сигарет увеличивает риск возникновения центрального рака легкого в 25 раз и смертность в 10 раз.
- воздействие на эпителий бронхов канцерогенов окружающей среды (полиароматических углеводородов, газов, смол и пр.), производственных поллютантов (удобрений, паров кислот и щелочей, мышьяка, кадмия, хрома).
- ионизирующая радиация обладает системным воздействием на организм, увеличивающая риск развития злокачественных новообразований.
Неустранимыми факторами риска считаются мужской пол и возраст старше 45 лет. К важнейшим эндогенными причинам относятся:
- ХНЗЛ (хроническая пневмония, хронический бронхит, пневмофиброз и др.);
- туберкулез легких.
Обычно центральный рак легкого развивается на фоне дисплазии слизистой бронхов, поэтому неудивительно, что среди заболевших свыше 80% являются заядлыми курильщиками, а 50% страдают хроническим бронхитом.
Согласно клинико-анатомической классификации, центральный рак легкого подразделяется на эндобронхиальный (эндофитный и экзофитный), перибронхиальный узловой и перибронхиальный разветвленный. По гистоморфологическим особенностям строения различают плоскоклеточный (эпидермальный), мелкоклеточный, крупноклеточный рак, аденокарциному легкого и другие редко встречающиеся формы. В 80% случаев центральный рак легкого верифицируется как плоскоклеточный. В отечественной классификации центрального рака легкого выделяют 4 стадии онкопроцесса:
- 1 стадия - диаметр опухоли до 3 см, локализация на уровне сегментарного бронха; признаков метастазирования нет.
- 2 стадия - диаметр опухоли до 6 см, локализация на уровне долевого бронха; есть единичные метастазы в бронхопульмональных лимфоузлах.
- 3 стадия - диаметр опухоли больше 6 см, отмечается переход на главный или другой долевой бронх; есть метастазы в трахеобронхиальных, бифуркационных, паратрахеальных лимфоузлах.
- 4 стадия - распространение опухоли за пределы легкого с переходом на трахею, перикард, пищевод, диафрагму, крупные сосуды, позвонки, грудную стенку. Определяется раковый плеврит, множественное регионарное и отдаленное метастазирование.
Симптомы центрального рака
Клинику заболевания характеризуют три группы симптомов: первичные (местные), вторичные и общие. Первичные симптомы принадлежат к числу наиболее ранних; они обусловлены инфильтрацией опухолью стенки бронха и частичным нарушением его проходимости. Обычно вначале появляется надсадный сухой кашель, интенсивность которого более выражена по ночам.
По мере нарастания обтурации бронха появляется слизистая или слизисто-гнойная мокрота. У половины пациентов возникает кровохарканье в виде прожилок алой крови; реже центральный рак легкого манифестирует легочным кровотечением. Выраженность одышки зависит от калибра пораженного бронха. Типичны боли в груди как на пораженной, так и противоположной стороне.
Вторичная симптоматика отражает осложнения, сопутствующие центральному раку легкого. Такими осложнениями могут являться обтурационная пневмония, сдавление или прорастание соседних органов, регионарное и отдаленное метастазирование. При полной обтурации просвета бронха опухолью развивается пневмония, которая нередко носит абсцедирующий характер. При этом кашель становится влажным, мокрота - обильной и гнойной. Повышается температура тела, возникают ознобы, усиливаются признаки интоксикации. Усугубляется одышка, может развиться реактивный плеврит.
Общие симптомы при центральном раке легкого связаны с раковой интоксикацией и сопутствующими воспалительными изменениями. Они включают недомогание, утомляемость, снижение аппетита, похудание, субфебрилитет и др. Обычно они присоединяются уже в распространенных стадиях. У 2-4% пациентов выявляются паранеопластические синдромы: коагулопатии, артралгии, гипертрофическая остеоартропатия, мигрирующий тромбофлебит и др.
Осложнения
В случае прорастания внутригрудных структур нарастают боли в грудной клетки, могут развиваться синдромы медиастинальной компрессии и синдром верхней полой вены. На распространенный характер центрального рака легкого может указывать осиплость голоса, дисфагия, отечность лица и шеи, набухание шейных вен, головокружение. При наличии отдаленных метастазов в костной ткани появляются боли в костях и позвоночнике, патологические переломы. Метастазирование в головной мозг сопровождается интенсивными головными болями, моторными и психическими расстройствами.
Центральный рак легкого часто протекает под маской рецидивирующих пневмоний, поэтому во всех подозрительных случаях требуется углубленно обследование пациента у пульмонолога с проведением комплекса рентгенологических, бронхологических, цитоморфологических исследований. При общем осмотре уделяется внимание состоянию периферических лимфоузлов, перкуторным и аускультативным признакам нарушения вентиляции. В алгоритм обследования входит:
- Лучевая диагностика. В обязательном порядке всем больным проводится двухпроекционная рентгенография легких. Рентгенпризнаки центрального рака легкого представлены наличием шаровидного узла в корне легкого и расширением его тени, ателектазом, обтурационной эмфиземой, усилением легочного рисунка в зоне корня. Линейная томография корня легкого помогает уточнить размер и локализацию опухоли. КТ легких информативно для оценки взаимоотношения опухоли с сосудами легких и структурами средостения.
- Эндоскопия бронхов. С целью визуального обнаружения опухоли, уточнения ее границ и забора опухолевой ткани производится бронхоскопия с биопсией. В 70-80% случаях информативным оказывается анализ мокроты на атипичные клетки, цитологическое исследование смыва с бронхов.
- ФВД. На основании данных спирометрии представляется возможным судить о степени бронхообструкции и дыхательных резервах.

КТ органов грудной клетки. Центральный рак правого легкого с полной обструкцией просвета правого верхнедолевого бронха
При центральной форме рака легкого дифференциальная диагностика осуществляется с инфильтративным и фиброзно-кавернозным туберкулезом, пневмонией, абсцессом легкого, БЭБ, инородными телами бронхов, аденомами бронхов, кистами средостения и др.
Лечение центрального рака легкого
Выбор способа лечения зависит от его стадии, гистологической формы, сопутствующих заболеваний. С этой целью в онкологии используют хирургический, лучевой и химиотерапевтический методы, а также их комбинации.
Хирургические методы
Противопоказаниями к проведению операции может служить значительная распространенность онкопроцесса (неоперабельность), низкие функциональные показатели деятельности сердечно-сосудистой и дыхательной систем, декомпенсация сопутствующей патологии. Радикальными операциями при центральном раке легкого являются:
- Резекции легких в объеме не менее одной доли (лобэктомия, билобэктомия). В хирургии центрального рака легкого широко используются клиновидные или циркулярные резекции бронхов, дополняющие лобэктомию.
- Расширенная пневмонэктомия. Прорастание опухолью перикарда, диафрагмы, пищевода, полой вены, аорты, реберной стенки служит основанием для комбинированной пенвмонэктомии.
Консервативное лечение
В постоперационном периоде пациентам обычно назначается химиотерапия; возможна комбинация операции с последующей лучевой терапией. Известно, что такое сочетание повышает 5-летнюю выживаемость прооперированных пациентов на 10%. При неоперабельных формах центрального рака легкого проводится лучевое или лекарственное лечение, симптоматическая терапия (анальгетики, противокашлевые, кровоостанавливающие средства, эндоскопическая реканализация просвета бронха).
Прогноз выживаемости зависит от стадии рака и радикальности проведенного лечения. Среди пациентов, прооперированных на 1 стадии, 5-летний послеоперационный рубеж преодолевают 70%, на 2 стадии - 45%, 3 стадии - 20%. Однако ситуация осложняется тем, что число операбельных больных среди самостоятельно обратившихся составляет не более 30%. Из них 40% пациентам требуется выполнение различных модификаций пневмонэктомии и 60% - лоб- и билобэктомии. Послеоперационная летальность колеблется в диапазоне 3-7%. Без операции больные погибают в течение ближайших 2-х лет после установления диагноза.
Важнейшими направлениями профилактики рака легкого служат массовое профилактическое обследование населения, предупреждение развития фоновых заболеваний, формирование здоровых привычек, исключение контакта с канцерогенами. Эти вопросы являются приоритетными и поддерживаются на государственном уровне.
Читайте также:
- Роль факторов роста в патогенезе аденомы (доброкачественной гиперплазии) простаты
- Влияние кальцитонина на концентрацию кальция в плазме. Регуляция концентрации кальция в крови
- Тест на осмотическую резистентность эритроцитов
- Обеспыливание воздуха носом. Всасывание веществ в полости носа
- Оценка состояния связочного аппарата коленного сустава
