Профессиональный деформирующий остеоартроз рук: диагностика, профилактика
Добавил пользователь Евгений Кузнецов Обновлено: 19.12.2025
Артроз кистей и пальцев рук - это хроническое дегенеративное заболевание мелких суставов, сопровождающееся постепенным разрушением хряща, изменениями окружающих тканей и ограничением функции. Характерными симптомами являются боли, усиливающиеся после физической нагрузки, скованность после периода покоя, деформации суставов. Патология диагностируется на основании жалоб, анамнеза, данных физикального осмотра, результатов рентгенографии. Дополнительно могут назначаться УЗИ, МРТ, КТ, лабораторные анализы. Лечение - ЛФК, ортезы, лекарственная терапия. В отдельных случаях выполняются операции.
МКБ-10

Общие сведения
Артроз кистей и пальцев рук - часто встречающаяся патология, поражающая преимущественно лиц пожилого и старческого возраста. Составляет 38% от общего количества остеоартрозов всех локализаций. Рентгенологические изменения, характерные для данной болезни, выявляются у 80% людей старшей возрастной группы. Клинически значимые симптомы заболевания обнаруживаются у 2-6% взрослых и у 5-20% пожилых пациентов. Наиболее распространенными являются поражения дистальных суставов пальцев. Реже вовлекаются проксимальные межфаланговые суставы, суставы запястья.

Причины
Остеоартроз мелких суставов кисти является полиэтиологическим заболеванием. На его возникновение и скорость прогрессирования влияет множество факторов, в число которых входят:
- Возраст. По мере старения нарастают инволютивные изменения хрящевой ткани, поражение хряща влечет за собой патологические изменения подлежащих костных и мягкотканных структур - капсулы и связок сустава.
- Наследственность. Особенности строения и старения хряща в определенной степени передаются по наследству, поэтому артрозные поражения мелких суставов нередко выявляются у кровных родственников.
- Работа и образ жизни. Значимую роль в развитии артроза играют постоянные высокие профессиональные и бытовые нагрузки, а также повторяющиеся микротравмы суставов кисти.
- Заболевания и травмы. Артрозы формируются в отдаленном периоде после вывихов, внутрисуставных переломов. Патология чаще выявляется у людей, ранее страдавших от артритов различного генеза.
- Женский пол. Гормональный фон влияет на состояние суставов, поэтому остеоартрозы нередко манифестируют в период климактерия.
Считается, что артрозам мелких суставов больше подвержены люди с ожирением. Некоторые авторы указывают, что провоцирующим обстоятельством является гипермобильность суставов, однако статистические данные достаточно противоречивы.
Патогенез
Суставной хрящ неравномерно истончается, на его поверхности появляются трещины. Со временем образуются зоны, в которых хрящ отсутствует. Поражение хряща провоцирует изменения подлежащей кости. Субхондральные отделы кости склерозируются, в костной ткани выявляются кисты, участки некроза. Суставная щель сужается, становится неравномерной. Формируются остеофиты, вызывающие болевой синдром при движениях. При дальнейшем прогрессировании процесса обнаруживаются типичные разрастания - узелки Гебердена и Бушара.
Классификация
Выделяют два типа артроза - симптоматический и идиопатический. Первый вариант возникает после травм или на фоне других заболеваний. Второй развивается без видимых причин. Существует особая форма патологии, отличающаяся тяжелым течением - эрозивный остеоартроз, предположительно связанный с наследственной предрасположенностью и вызывающий серьезные функциональные нарушения. В клинической ревматологии используют классификацию с учетом степени тяжести по Косинской:
- 1 стадия. Снижение устойчивости к нагрузкам, незначительные ограничения движений, изменения состава синовиальной жидкости, мелкие краевые костные разрастания на рентгенограммах.
- 2 стадия. Значимые ограничения движений, боли и хруст при движениях, умеренно выраженные остеофиты и уменьшение просвета суставной щели на рентгеновских снимках.
- 3 стадия. Грубые нарушения функции, контрактуры, патологическая подвижность, изменение оси пальца, мышечная атрофия. Рентгенологически - явные изменения конфигурации сустава, подвывихи, ярко выраженные краевые разрастания.
Симптомы
В 90% случаев страдают дистальные межфаланговые суставы. Второе место по распространенности занимают артрозы проксимальных межфаланговых суставов и 1 пястно-фалангового сустава. Еще реже в процесс вовлекаются другие суставы кисти, образованные с участием костей запястья (полулунной или ладьевидной). Поражение обычно симметричное за исключением случаев посттравматического остеоартроза. Реже встречается вариант, при котором патологические изменения обнаруживаются в трех суставах одного пальца.
На начальных стадиях пациенты жалуются на боли в суставах, которые усиливаются при нагрузке, исчезают в покое. При дальнейшем развитии заболевания болевой синдром становится более длительным, болевые ощущения беспокоят во второй половине дня, первой половине ночи. Возникает хруст. По утрам и после периодов покоя отмечается скованность, которая исчезает через некоторое время после начала движений.
Суставы увеличиваются в объеме, деформируются. В зоне дистальных суставов обнаруживаются узелки Гебердена, в области проксимальных - узелки Бушара. При ранней манифестации артроза на фоне травм или перегрузок в суставных полостях нередко скапливается выпот. Для старческого артроза выпот нехарактерен, в подобных случаях определяется более выраженная атрофия мышц. Функции кисти нарушены.
Осложнения
Основным осложнением артроза являются нарушения движений разной степени выраженности. Уменьшение объема движений уже на 2 стадии заболевания становится причиной ограничения трудоспособности, иногда - вынужденной смены профессии. Контрактуры и патологическая подвижность на 3 стадии болезни приводят к утрате трудоспособности, затруднениям при самообслуживании. При эрозивной форме артроза могут формироваться анкилозы.
Диагностика
Обследование осуществляется врачами-ревматологами или ортопедами. Диагноз выставляется на основании анамнеза, клинических данных и результатов дополнительных исследований. Проводятся следующие диагностические процедуры:
- Опрос. Специалист выясняет, когда и при каких обстоятельствах появились симптомы артроза, как развивалось заболевание, уточняет время появления болевого синдрома, взаимосвязь между болями и физической активностью.
- Физикальное обследование. Врач оценивает внешний вид кистей, выявляет деформации, узелки Бушара и Гебердена, оценивает объем движений, наличие или отсутствие воспаления (последний признак имеет высокую значимость при проведении дифференциальной диагностики).
- Рентгенография кистей рук. Является основным инструментальным исследованием при артрозе. На снимках определяется уменьшение высоты суставной щели, остеосклероз субкортикальной кости, кистозные просветления, участки некроза, костные разрастания.
- Другие визуализационные методики.УЗИ, КТ и МРТ кистей рук играют вспомогательную роль, назначаются при необходимости дифференцировки артроза от иных заболеваний со схожей симптоматикой, позволяют детализировать изменения костей, хрящей, мягких тканей.
- Лабораторные анализы. Выполняются для исключения артритов. При артрозе специфические маркеры ревматических заболеваний (С-реактивный белок, ревматоидный фактор, АЦЦП и пр.) отсутствуют.
Обязательными клиническими критериями артроза являются боли в конце дня, а также боли, возникающие после нагрузки и уменьшающиеся в покое. Перечень обязательных рентгенологических критериев включает остеосклероз и сужение суставной щели. В качестве дополнительного признака рассматриваются костные разрастания, определяемые визуально и с помощью рентгенологического исследования. Количество припухших (воспаленных) суставов должно быть менее 3.
Лечение
Лечение артрозов кистей и пальцев рук длительное, в подавляющем большинстве случаев консервативное, осуществляется в амбулаторных условиях. Пациентов информируют об особенностях течения заболевания, медикаментозных и немедикаментозных методах терапии, способах уменьшить влияние факторов, которые утяжеляют течение и ускоряют прогрессирование патологии. Проводятся следующие лечебные мероприятия:
- Охранительный режим. Больным рекомендуют ограничить нагрузки на кисти рук, делать регулярные перерывы во время деятельности. При специальностях, связанных с постоянной перегрузкой мелких суставов, может потребоваться смена места работы.
- Ортезы. Существует большое количество ортопедических приспособлений, позволяющих разгрузить пораженные суставы. В зависимости от модификации ортезы могут использоваться в течение всего дня, только во время работы или в ночной период.
- Лечебная физкультура. Пациентов обучают комплексу упражнений, который позволяет повысить силу мышц предплечий, увеличить объем движений в суставах пальцев рук, в том числе - улучшить сжатие и функцию пинцетного хвата при противопоставлении 1 пальца остальным.
- Лекарственная терапия. Рекомендованным средством при умеренном болевом синдроме является парацетамол. Препарат принимают в точном соответствии с указаниями врача, чтобы избежать негативного влияния на печень и желудок. При сильных болях назначают НПВС.
Показаниями к хирургическому вмешательству являются интенсивный болевой синдром, наличие контрактуры, анкилоза, патологической подвижности. При артрозах пальцев и пястно-фаланговых суставов выполняют артродез или эндопротезирование. При поражении запястья пораженную кость удаляют, осуществляют замещение ауто- или аллотрансплантатом.
Прогноз
Артроз кистей и пальцев рук является хроническим прогрессирующим заболеванием. Полное излечение невозможно. При неэрозивных формах прогноз относительно благоприятный - в большинстве случаев пациентам удается длительное время сохранять трудоспособность, соблюдение рекомендаций врача позволяет уменьшить или устранить болевой синдром, замедлить усугубление нарушений функций кисти. При эрозивном остеоартрозе быстро возникают функциональные расстройства, формируются анкилозы, требующие оперативных вмешательств.
Профилактика
Полностью исключить развитие артроза невозможно, поскольку он в значительной мере обусловлен инволютивными процессами в организме. Снизить вероятность его появления можно путем предупреждения травм и исключения перегрузок кисти и пальцев.
2. Остеоартроз суставов кистей. Дифференциальная диагностика с воспалительными заболеваниями суставов и тактика лечения/ Олюнин Ю.А.// Современная ревматология - 2015 - №4.
3. Клиническое обследование заболеваний суставов (методическое пособие)/ под ред. Адамчика А.С. - 2003.
Артроз плечевого сустава ( Деформирующий артроз плечевого сустава , Деформирующий остеоартроз плечевого сустава , Остеоартроз плечевого сустава )
Артроз плечевого сустава - это хроническое заболевание, при котором разрушается и истончается ткань суставного хряща, возникают патологические изменения мягких тканей, образуются костные разрастания в области сустава. Проявляется болями и хрустом в зоне поражения. На поздних стадиях уменьшается объем движений. Патология протекает хронически и постепенно прогрессирует. Диагноз выставляется с учетом клинической картины и рентгенологических признаков. Лечение обычно консервативное: физиотерапия, противовоспалительные препараты, хондропротекторы, ЛФК. При разрушении сустава выполняется эндопротезирование.

Артроз плечевого сустава - хроническое заболевание, при котором в результате дегенеративно-дистрофических процессов постепенно разрушается хрящ и другие ткани сустава. Обычно артрозом страдают люди 45 лет и старше, однако в ряде случаев (после травмы, воспаления) возможно развитие болезни в более молодом возрасте. Патология одинаково часто возникает у женщин и у мужчин, чаще наблюдается у спортсменов и у людей, занимающихся тяжелым физическим трудом.
Пусковым моментом изменений при артрозе плечевого сустава может стать как нормальный процесс старения тканей, так и повреждение или нарушение структуры хряща в результате механических воздействий и различных патологических процессов. Первичный артроз обычно выявляется у пожилых людей, вторичный (развившийся на фоне других заболеваний) может возникнуть в любом возрасте. Основными причинами считаются:
- Пороки развития. Патология может обнаруживаться при недоразвитии головки плечевой кости или суставной впадины, капомелии плеча и других аномалиях верхней конечности.
- Травматические повреждения. Артрозы травматической этиологии наиболее часто возникают после внутрисуставных переломов. Возможной причиной заболевания может стать вывих плеча, особенно - привычный. Реже в качестве провоцирующей травмы выступают тяжелые ушибы.
- Воспалительные процессы. Болезнь может диагностироваться при длительно текущем плечелопаточном периартрите, ранее перенесенном неспецифическом гнойном артрите и специфических артритах сустава (при туберкулезе, сифилисе и некоторых других заболеваниях).
Факторы риска
Артроз является полиэтиологическим заболеванием. Существует обширная группа факторов, увеличивающих вероятность возникновения данной патологии:
- Наследственная предрасположенность. У многих пациентов есть близкие родственники, также страдающие артрозами, в том числе и других локализаций (гонартрозом, коксартрозом, артрозом голеностопного сустава).
- Перенапряжение сустава. Может возникать у волейболистов, теннисистов, баскетболистов, метателей спортивных снарядов, а также у людей, чья профессия подразумевает постоянную высокую нагрузку на руки (молотобойцы, грузчики).
- Другие патологии. Артрозы чаще выявляются у пациентов, страдающих аутоимунными (ревматоидным артритом), некоторыми эндокринными болезнями и нарушениями обмена веществ, системной недостаточностью соединительной ткани и избыточной подвижностью суставов.
Вероятность развития заболевания резко увеличивается с возрастом. Определенное негативное влияние оказывают частые переохлаждения и неблагоприятная экологическая обстановка.
Основной причиной развития артроза плечевого сустава является изменение структуры суставного хряща. Хрящ утрачивает гладкость и эластичность, скольжение суставных поверхностей при движениях затрудняется. Возникают микротравмы, которые ведут к дальнейшему ухудшению состояния хрящевой ткани. Небольшие кусочки хряща «отрываются» от поверхности, образуя свободно лежащие суставные тела, которые также травмируют внутреннюю поверхность сустава.
Со временем капсула и синовиальная оболочка утолщаются, в них появляются участки фиброзного перерождения. Из-за истончения и снижения эластичности хрящ перестает обеспечивать необходимую амортизацию, поэтому возрастает нагрузка на подлежащую кость. Кость деформируется и разрастается по краям. Нарушается нормальная конфигурация сустава, возникают ограничения движений.
В травматологии и ортопедии обычно используют трехстадийную систематизацию, отражающую выраженность патологических изменений и симптомов артроза плечевого сустава. Подобный подход позволяет подобрать оптимальную врачебную тактику с учетом тяжести процесса. Различают следующие стадии:
- Первая - грубые изменения хрящевой ткани отсутствуют. Состав синовиальной жидкости изменен, питание хряща нарушено. Хрящ плохо переносит нагрузки, поэтому время от времени возникает боль в суставе (артралгия).
- Вторая - хрящевая ткань начинает истончаться, его структура меняется, поверхность утрачивает гладкость, в глубине хряща появляются кисты и участки обызвествления. Подлежащая кость незначительно деформируется, по краям суставной площадки возникают костные разрастания. Боли приобретают постоянный характер.
- Третья - отмечается выраженное истончение и нарушение структуры хряща с обширными участками разрушения. Суставная площадка деформирована. Выявляется ограничение объема движений, слабость связочного аппарата и атрофия околосуставных мышц.
На ранних стадиях пациентов с артрозом беспокоит дискомфорт или незначительная боль в плечевом суставе при нагрузке и определенных положениях тела. Во время движений может возникать хруст. Сустав внешне не изменен, отека нет. Затем интенсивность болей увеличивается, артралгии становятся привычными, постоянными, появляются не только в нагрузке, но и в покое, в том числе и в ночное время. Отличительные особенности болевого синдрома:
- Многие пациенты отмечают зависимость болевого синдрома от погодных условий.
- Наряду с ноющей болью со временем появляется резкая болезненность при физических нагрузках.
- Боль может возникать только в области плечевого сустава, иррадиировать в локтевой сустав или распространяться по всей руке. Возможны боли в спине и шее на стороне поражения.
Через некоторое время пациенты начинают замечать заметную утреннюю скованность в суставе. Объем движений уменьшается. После нагрузки или переохлаждения возможен незначительный отек мягких тканей. При прогрессировании артроза движения все больше ограничиваются, развиваются контрактуры, серьезно нарушается функция конечности.
Диагноз выставляется врачом-ортопедом с учетом характерных клинических и рентгенологических признаков артроза плечевого сустава. При подозрении на вторичный артроз назначают консультации хирурга, эндокринолога. Сустав вначале не изменен, в последующем иногда деформирован или увеличен в объеме. При пальпации определяется болезненность. Может выявляться ограничение движений. Для подтверждения артроза рекомендованы:
- Рентгенография плечевого сустава. Обнаруживаются дистрофические изменения и краевые костные разрастания (остеофиты), на поздних стадиях определяется сужение суставной щели, деформация и изменение структуры подлежащей кости. Суставная щель может приобретать клиновидную форму, в кости просматриваются остеосклеротические изменения и кистовидные образования.
- Томографические исследования. В сомнительных случаях, особенно на начальных стадиях болезни, для получения дополнительных данных о состоянии кости и хряща выполняют КТ плечевого сустава. При необходимости оценить состояние мягких тканей осуществляют магнитно-резонансную томографию.
Дифференциальная диагностика
Дифференциальный диагноз артроза проводится с подагрическим, псориатическим, ревматоидным и реактивным артритом, а также с пирофосфатной артропатией. При артритах в анализе крови выявляются признаки воспаления; изменения на рентгенограммах мало выражены, остеофиты отсутствуют, признаков деформации суставных поверхностей нет.
При псориатическом артрите наряду с суставными проявлениями часто обнаруживаются высыпания на коже. При ревматоидном артрите определяется положительный ревматоидный фактор. При пирофосфатной артропатии и подагрическом артрите в биохимическом анализе крови выявляются соответствующие изменения (повышение уровня солей мочевой кислоты и пр.).

Рентгенография плечевых суставов. Выраженное сужение суставной щели (зеленые стрелки), уплотнение замыкательных суставных поверхностей, умеренно выраженный остеофитоз (красные стрелки) с обеих сторон Дегенеративные изменения акромиально-ключичного сустава
Лечение артроза плечевого сустава
Пациенты находятся под наблюдением врача-ортопеда. Необходимо ограничить нагрузку на руку, исключив резкие движения, поднятие и длительное ношение тяжестей. Вместе с тем, следует учитывать, что бездействие тоже негативно влияет на больной сустав. Для поддержания мышц в нормальном состоянии, а также для восстановления плечевого сочленения нужно регулярно выполнять рекомендованный врачом комплекс ЛФК.
Консервативное лечение
Одной из наиболее актуальных задач при артрозе является борьба с болевым синдромом. Для устранения болей и уменьшения воспаления назначают:
- Препараты общего действия. НПВП назначаются в таблетках в период обострения. При бесконтрольном применении могут раздражать стенку желудка, оказывать негативное влияние на состояние печени и обмен веществ в хрящевой ткани, поэтому принимаются только по назначению врача.
- Средства местного действия. Обычно используются НПВП в форме гелей и мазей. Возможно самостоятельное применение при возникновении или усилении симптоматики. Реже показаны гормонсодержащие препараты местного действия, которые следует наносить в соответствии с рекомендациями врача.
- Гормоны для внутрисуставного введения. При выраженном болевом синдроме, который не устраняется другими способами, выполняют внутрисуставное введение препаратов (триамцинолона, гидрокортизона и т. д.). Блокады проводят не чаще 4 раз в год.
Для восстановления и укрепления хряща на 1 и 2 стадиях артроза применяют средства из группы хондропротекторов - препараты, содержащие гиалуроновую кислоту, хондроитина сульфат и глюкозамин. Курсы лечения длительные (от 6 месяцев до года и более), эффект становится заметен через 3 и более месяцев.
Физиотерапевтическое лечение
При артрозе плечевого сустава активно используют массаж, лечебную физкультуру и физиотерапевтические методики. В период ремиссии больных направляют на санаторно-курортное лечение. Применяют:
- грязелечение и парафин;
- лечебные ванны;
- магнитотерапию и инфракрасную лазеротерапию;
- ультразвук.
Хирургическое лечение
На 3 стадии заболевания, при значительном разрушении хряща, ограничении подвижности и потере трудоспособности выполняют эндопротезирование сустава. Направление на операцию выдают с учетом возраста больного, уровня его активности, наличия тяжелых хронических заболеваний. Использование современных керамических, пластиковых и металлических эндопротезов позволяет полностью восстановить функцию сустава. Срок службы протезов составляет 15 и более лет.
Артроз - длительное, постепенно прогрессирующее заболевание. Его невозможно полностью излечить, однако можно существенно замедлить развитие патологических изменений в суставе, сохранить трудоспособность и высокое качество жизни. Для достижения максимального эффекта, необходимо серьезное отношение пациента к своей болезни и его готовность соблюдать рекомендации врача даже в период ремиссий.
Превентивные меры предусматривают снижение бытового травматизма, соблюдение техники безопасности на производстве, исключение избыточных нагрузок на плечевой сустав при выполнении профессиональных обязанностей и занятиях спортом. Необходимо своевременно диагностировать и лечить патологии, способные спровоцировать развитие артрозных изменений.
Деформирующий остеоартроз
Деформирующий остеоартроз - прогрессирующее дистрофическое изменение костных суставов с первичным повреждением хрящевых тканей и последующей дегенерацией всего комплекса костно-суставного аппарата. Деформирующий остеоартроз характеризуется артралгией, функциональной недостаточностью суставов и выраженными изменениями их формы. Фармакотерапия деформирующего остеоартроза направлена на замедление прогрессирования дегенеративных процессов, уменьшение боли и улучшение функционирования суставов; в некоторых случаях показано эндопротезирование суставов. Течение деформирующего остеоартроза медленно прогрессирующее с развитием анкилоза или патологической нестабильности сустава.
Деформирующий остеоартроз - частая патология суставов, при которой нарушение регенерации соединительнотканных структур приводит к преждевременному старению суставного хряща - его истончению, шероховатости, растрескиванию, потере прочности и эластичности. Субхондральная кость обнажается и уплотняется, в ней происходят остеосклеротические изменения, образуются кисты и краевые разрастания - остеофиты.
Деформирующий остеоартроз по первичному типу развивается в изначально здоровом хряще при врожденном снижении его функциональной выносливости. Случаи вторичного деформирующего остеоартроза возникают на фоне имеющихся дефектов суставного хряща, вызванных травматизацией, воспалением костно-суставных тканей, асептическим некрозом костей, гормональными или обменными нарушениями.
В соответствии с клинико-рентгенологической картиной в развитии деформирующего остеоартроза выделяют 3 стадии:
- I - характеризуется незначительным уменьшением подвижности сустава, небольшим нечетким сужением суставной щели, начальными остеофитами на краях суставных плоскостей;
- II - протекает со снижением подвижности и хрустом в суставе при движении, умеренной мышечной атрофией, заметным сужением суставной щели, формированием значительных остеофитов и субхондрального остеосклероза в костной ткани;
- III - отличается деформацией сустава и резким ограничением его подвижности, отсутствием суставной щели, выраженной костной деформацией, наличием обширных остеофитов, субхондральных кист, суставных «мышей».
Авторы Kellgren и Lawrence выделяют 0 стадию деформирующего остеоартроза с отсутствием рентгенологических проявлений.
Симптомы деформирующего остеоартроза
Для всех разновидностей деформирующего остеоартроза характерны болевые ощущения в суставах (артралгии). Механический тип боли возникает во время нагрузок на сустав (вследствие микропереломов трабекулярной костной ткани, венозного застоя и внутрисуставной гипертензии, раздражающего действия остеофитов на окружающие ткани, спазма околосуставных мышц) и стихает в состоянии покоя или ночью. «Стартовая» боль длится кратковременно, появляется с началом движения в результате развития отека сустава и реактивного синовита. «Блокадная» боль в суставе носит периодический характер, возникает при движении и «заклинивает» сустав при ущемлении части разрушенного хряща («суставной «мыши») между двумя суставными поверхностями.
К проявлениям деформирующего остеоартроза относятся крепитация (хруст) в суставах при движении; ограниченность подвижности суставов, связанная с уменьшением суставной щели, разрастанием остеофитов и спазмом периартикулярных мышц; необратимая деформация суставов, вызванная дегенерацией субхондральных костей.
В первую очередь деформирующий остеоартроз затрагивает опорные коленные и тазобедренные суставы, суставы позвоночника, а также мелкие фаланговые суставы пальцев ног и рук. Наиболее тяжело протекает деформирующий остеоартроз с вовлечением тазобедренных суставов - коксартроз. Пациента беспокоят боли в области паха, иррадиирующие в колено, «заклинивание» сустава. Развитие гипотрофии мышц бедра и ягодицы, сгибательно-приводящей контрактуры ведет к функциональному укорочению нижней конечности, хромоте, вплоть до неподвижности.
Деформирующий остеоартроз с заинтересованностью коленных суставов (гонартроз) проявляется болью при длительной ходьбе, подъеме в лестницу, хрустом и затруднением при выполнении сгибательных и разгибательных движений. При артрозе мелких суставов кистей рук появляются плотные узелки по краям межфаланговых проксимальных и дистальных суставов (узелки Гебердена и Бушара), сопровождающиеся болезненностью и скованностью.
При генерализованной форме деформирующего остеоартроза (болезни Келлгрена, полиостеоартрозе) отмечаются множественные изменения периферических и межпозвонковых суставов. Полиостеоартроз обычно сочетается с остеохондрозом межпозвоночных дисков, спондилёзом в шейном и поясничном отделах позвоночника; периартритами и тендовагинитами.
Длительное прогрессирование деформирующего остеоартроза может осложняться развитием вторичного реактивного синовита, спонтанного гемартроза, анкилоза, остеонекроза мыщелка бедра, наружного подвывиха надколенника.
В ходе диагностики деформирующего остеоартроза пациент проходит консультацию ревматолога и исследования, позволяющие определить состояние и степень функциональной полноценности сустава по характерным клиническим критериям. Основными являются данные рентгенодиагностики, показывающие сужение суставных щелей, разрастание остеофитов, деформацию суставных участков кости: наличие кист, субхондрального остеосклероза. Для более детальной оценки изменений хряща при деформирующем остеоартрозе дополнительно проводят УЗИ, КТ позвоночника и МРТ больного сустава.
По показаниям выполняют пункцию сустава. В сложных случаях выполняют артроскопию с прицельным забором материала и морфологическим изучением биоптатов синовиальной оболочки, суставной жидкости, хрящевой ткани, выявляющим дистрофические и дегенеративные изменения сустава.
Лечение деформирующего остеоартроза
Терапия деформирующего остеоартроза включает комплексный подход с учетом этиологических обстоятельств, систематичность и длительность лечения. В первую очередь требуется разгрузить больной сустав (особенно опорный), снизить двигательную активность, избегать длительной ходьбы, фиксированных поз и ношения тяжестей, при ходьбе пользоваться тростью.
Уменьшение воспаления и боли в суставах при деформирующем остеоартрозе достигается назначением НПВС: диклофенака, нимесулида, индометацина. Сильный болевой синдром снимают внутрисуставными блокадами с введением гормональных препаратов. При риске развития язвенной болезни показаны препараты мелоксикам, лорноксикам, местно - противовоспалительные мази, гели. При медленном рассасывании внутрисуставного выпота выполняют его пункционную эвакуацию.
В начальной стадии деформирующего остеоартроза эффективны хондропротекторы (гидрохлорид глюкозамина и хондроитинсульфат), помогающие приостановить дальнейшее разрушение хряща и восстановить его структуру. При деформирующем остеоартрозе назначают локальную физиотерапию - аппликации парафина и озокеритолечение, высокочастотную электротерапию, электрофорез с новокаином и анальгином, магнитотерапию и лазеротерапию. Для укрепления мышечно-связочных структур и улучшения двигательной функции суставов показана лечебная гимнастика, кинезотерапия, регулярное санаторное лечение и бальнеотерапия.
При тяжелом инвалидизирующем поражении тазобедренного или коленного суставов выполняют эндопротезирование, в случае развития деформирующего остеоартроза голеностопных суставов эффективна операция полного обездвиживания сустава (артродез). Инновационным в лечении деформирующего остеоартроза является применение стволовых клеток, замещающих собой поврежденные клетки хрящевой ткани и активизирующих регенеративные процессы.
Прогноз и профилактика
Скорость и степень прогрессирования деформирующего остеоартроза определяется его формой, локализацией, а также возрастом и общим фоном здоровья пациента. Коксартроз может серьезно нарушить функции конечности, стать причиной нетрудоспособности и даже инвалидности. При многих формах деформирующего остеоартроза достигается устранение болевой реакции, улучшение функционирования сустава, однако полного восстановления хряща у взрослого пациента достичь невозможно.
Профилактика деформирующего остеоартроза состоит в ограничении перегрузок суставов, своевременном лечении травм (растяжений связок, ушибов), заболеваний костного аппарата (дисплазии, плоскостопия, сколиоза), регулярных занятиях гимнастикой, поддержании оптимальной массы тела.
Профессиональный деформирующий остеоартроз рук: диагностика, профилактика
Деформирующий остеоартроз кистей и пальцев верхних конечностей - это дистрофическое заболевание мелких суставов рук, которое сопровождается дисфункцией и деформацией. При этом в процесс вовлекаются околосуставные мышцы, сухожилия и связки, а также синовиальная мембрана. Болезнь ограничивает подвижность части тела, причиняет неудобства в быту и на работе, лишает самостоятельности.

Узловатые, скованные, неподвижные, «старушечьи» кисти и пальцы выдают возраст так же сильно, как и морщины. Есть ли способ победить диагноз ДОА в кистях рук?
Причин развития остеоартроза кистей рук множество. Он может возникнуть самостоятельно (первичный) или быть результатом других внутренних нарушений и заболеваний (вторичный):
- врожденных патологий развития скелета;
- травм кисти;
- нарушений обмена веществ (отложения солей кальция);
- заболеваний системы кровообращения;
- болезней эндокринной системы (гипотиреоз, сахарный диабет) и др.
Самый уязвимый для деформирующего артроза кистей возраст - 60 лет и старше, из-за чего она, в большинстве случаев, встречается у пожилых людей. Однако, за последние годы она сильно «помолодела». Статистика показывает, что женщины болеют ДОА кисти чаще: на одного больного мужчину приходится четыре женщины
Появившись однажды, заболевание в 90% случаев оно будет повторяться чаще и в других суставах, а деструктивные изменения - усиливаться. Однако меры профилактики, своевременное лечение и тщательный уход помогут остановить его развитие.
Как распознать болезнь и определить стадии развития? Болезнь развивается в 3 этапа:
1-я степень ДОА кистей рук характеризуют ноющие, но терпимые боли в пораженном суставе, которые проявляются вечером и ночью. Движения при этом обычно не скованы. Частичное ограничение подвижности происходит только в процессе неприятных ощущений. Эта стадия может длиться до 10-15 лет, после которых процессы разрушения ускоряются.
2-я степень побуждает больного обратиться к врачу из-за усиления болевого синдрома, частичного ограничения движений и появления хруста в суставе. Параллельно возникает начальная атрофия прилегающих мышц, а сам сустав начинает деформироваться, увеличиваться и опухать, особенно при дистрофии лучезапястных, пястно-фаланговых и межфаланговых суставов. Эти изменения можно заметить без специального медицинского оборудования. На данном этапе важно получить медицинскую помощь и приложить все усилия для остановки болезни.

3-я степень поражения кистей деформирующим артрозом имеет ярко выраженный характер в сочетании со значительной или полной потерей подвижности мелких суставов. Сохраняются только качательные движения кистью. Эта фаза почти не встречается во врачебной практике - из-за важности для людей сохранения подвижности рук и связанного с этим лечения на 2 стадии. Однако последний этап деформации почти всегда приводит к инвалидности.
Самостоятельно распознать степень деформирующего остеоартроза в кистях рук невозможно. Врач ставит диагноз, основываясь на итогах осмотра пациента, лабораторных анализах, а также - результатах рентгеноскопии.
- На 1 стадии на рентгеновском снимке наблюдается минимальное сужение суставных щелей с незначительным заострением краевых поверхностей костей.
- На 2 стадии сужение суставных щелей носит уже выраженный характер, заметно возникновение остеофитов, мелкие трещины костей, часто - кисты.
- На 3-й стадии рентгенография демонстрирует полное смыкание суставных щелей, уплотнение костных поверхностей с выраженной деформацией, крупные кисты, фрагменты тканей в суставе (суставные мыши).
На начальном этапе лечебного процесса доктор проводит медикаментозную терапию:
Отобранные лечебные препараты действуют в нескольких направлениях. Они имеют положительные отзывы больных после использования, их легко купить в аптеке - и отражены в приведенной ниже таблице.
инолтра, эльбона, глюкозамин, синокром, гиалган, хондролон
Для улучшения местного кровотока и усиления метаболизма назначаются дополнительные методы - физиотерапия, ЛФК, диета, грязевое лечение, народные рецепты согревающего действия, массаж.
Физиотерапевтические процедуры оказывают сильный эффект именно на пациентов ДОА кистей рук (в Международной Классификации Болезней этой форме присвоен код МКБ 10 M15-M19), и применявшие их положительно отзываются о результатах.
Против деформирующего артроза применяется самый широкий спектр процедур:
- ударно-волновая терапия (УВТ);
- лазерная и звуковая терапия;
- криотерапия;
- магнитотерапия;
- бальнеотерапия (водные процедуры, ванны, грязелечение).
Физиотерапевтическое воздействие восстанавливает обмен веществ и кровообращение, укрепляет суставы, тонизирует мышечные ткани и питает хрящевые структуры.
Несбалансированное питание часто влияет на развитие артроза. Для ДОА мелких суставов кистей рук, разработана специальная диета, соблюдая которую можно стабилизировать заболевание и предотвратить возникновение обострений:
- Включение в рацион блюд из красной рыбы (лососевых).
- Достаточное количество орехов.
- Не менее 10-15 г растительного масла в сутки.
- Витамины группы В и фолиевая кислота: в хлебе из муки грубого помола, кисломолочных продуктах, бобовых, капусте, бананах.
- Ограничение жирных мясных, соленых, острых и копченых блюд.
Снимают воспаление и уменьшают боль следующие домашние народные рецепты:
Медово-спиртовая растирка
Смешиваются в пропорции 1:1:1:1 мед, медицинский спирт, глицерин, йод. Состав настаивается сутки, а затем применяется для растирания суставов кисти, утром и вечером. Он снимет воспаление, согреет и снимет боль.
Теплый компресс из медовой овсянки
Вечером варится каша из 1/2 стакана овсяных хлопьев густой консистенции, без добавок и специй. После остывания в нее кладется мед, 1 столовая ложка. Каша наносится на пораженный сустав, обматывается тканью, сверху надеваются рукавицы. Накладывается на всю ночь. Утром смывается. При ежедневном использовании снимает воспаление за 5-7 дней.
Гимнастика для кисти руки при артрозе повышает двигательную способность дистальных фаланг, «пробудит» закостеневшие суставы, нормализует кровоток и питание хрящей. Особенно хороший эффект она дает в сочетании с массажем и самомассажем.
Лучше сегодня предупредить, чем завтра лечить!
- массировать и разминать кисть и пальцы;
- заниматься работой, требующей мелкой моторики рук;
- делать физические упражнения;
- избегать травм;
- после 40 лет поддерживать уровень эстрогенов при помощи диеты, йоги, ароматерапии или синтетических эстрогенов.
Простые способы лечения остеоартроза суставов кистей рук помогут отсрочить естественного старения суставов и хрящей.
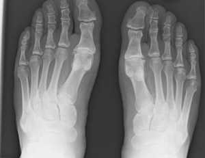
Деформирующий остеоартроз стопы - это хроническая дегенерация суставов стопы по причине дистрофии суставных хрящей, которая вызывает изменения поверхностей костей и их деформацию, разрастание костных образований и развитие синовита (воспаление внутренней оболочки хряща).

Движение - это жизнь. Из-за гиподинамии или больших нагрузок на опорно-двигательную систему, травм, лишнего веса и старения, хрящевые структуры изнашиваться, провоцируя разные формы артроза. Деформирующий остеоартроз (ДОА) стопы считается одним из самых неприятных проявлений этого процесса.
В процессе биологического старения суставного хряща нарушается метаболизм, снижается хрящевая эластичность. Сам он теряет волокнистость структуры, покрывается трещинами, становится шероховатым тем самым обнажает подлежащую кость. На краях костей нарастают остеофиты, сковывая движения. Процесс усугубляется воспалением суставной полости из-за попадания туда микроскопических хрящевых отломков.
Такая картина характерна при развитии артрита, остеоартрита и остеоартроза. При наличии заболевания на крупных суставах (колене, бедре) часто возникает ДОА ступни, фаланговой, межфаланговой и плюснефаланговой зон. Заболеванию присвоен код М 19 по международной классификации болезней - МКБ 10
Причины появления ДОА стоп:
- травмы;
- врожденное и приобретенное плоскостопие;
- деятельность, связанная с усиленными нагрузками на ступни;
- несбалансированное питание;
- генетическая предрасположенность.
Другие особенности остеоартроза стопы:
- Относится к возрастным заболеваниям, чаще - женским.
- Большинство страдающих ДОА ступни женщин имеют избыточный вес, из-за которого болезнь развивается.
- Более всего ДОМА подвержены голеностопные суставы и плюснефаланговые суставы больших пальцев.
- Это хроническое заболевание. Оно тяжело поддается лечению.
Симптоматика проявляется постепенно. Это объясняется этапностью процесса разрушения суставов и хрящей. Обратить внимание на патологию на ранней стадии почти невозможно. Узнать остеоартроз стопы можно на 2 или 3 степени по следующим признакам:
- Боли при нагрузке на стопу или сразу после нее, чаще - во второй половине дня.
- «Заклинивание» суставов, сопровождающееся резкой болью при каждом незначительном движении.
- Механическая боль в области ступни через время после ее перелома.
- Ночная ноющая боль в результате спазмирования околосуставных мышц или венозного стаза субхондрального отдела. При движении ногой боль уменьшается или прекращается.
- Заметная деформация суставов и структуры костей на поздней стадии.
В зависимости от сложности протекания болезни, ухудшения состояния суставов и хрящей, различают 3 степени ДОА ступни:
- Периодические, нечасто возникающие боли.
- После физических нагрузок на стопу - боль, неприятные ощущения, общее переутомление.
- Дискомфортные ощущения сконцентрированы в передней части ступни.
- Отечности сустава почти полностью отсутствует.
- Сильная боль днем, которая возникает при нагрузках и в состоянии покоя, может быть постоянной - с отдачей в другие части ноги.
- Заметные артрозные утолщения и уплотнения в зоне 1-й плюсневой кости.
- Эпизодические ночные ноющие боли.
- Начало развития hallux valgus - «косточки» большого пальца ноги.
- Нестерпимый характер боли.
- Болеутоляющие и миорелаксанты малоэффективны.
- Движение затрудняется, иногда блокируется полностью.
- Деформация пораженного сустава становится заметна невооруженным глазом.
- Опущение большого пальца вниз при явном увеличении, смещении и hallux valgus.
- Стопа теряет опорную функцию, дает осложнения на позвоночник.
- При крайних состояниях человек не может перемещаться самостоятельно.
Деформирующий остеоартроз поражает плюснефаланговый сустав большого, 1-го пальца. Также распространен ДОА 1 степени межфаланговых суставов стопы у женщин, но плюснефаланговая форма встречается у сильного пола в 4 раза чаще. Возможно, причиной тому является выраженная вальгусная деформация из-за высоких физических нагрузок у мужчин. Этим видом остеоартроза страдают многие профессиональные футболисты. У женщин область плюснефаланговых суставов может деформировать узкая модельная обувь на высоком каблуке.
Прежде чем лечить артроз суставов пальцев стопы, в том числе и 1 плюснефалангового, врач проведет полное обследование, включающее:
- рентгенографию;
- МРТ-диагностику;
- анализ крови.
На основании анализов устанавливается диагноз и составляется эффективный план лечения ДОА плюснефалангового сустава, в результате которого пациент должен восстановить двигательную активность, не испытывая при этом боли и переутомления. При 1-2 стадии назначается консервативное лечение, при 3 - оперативное.
Консервативные методы
Противовоспалительные нестероидные препараты, хондропротекторы и общеукрепляющие средства, витаминные препараты.
Объем индивидуального суточного нанесения рассчитывает врач.
Стероидные гормоны, чаще - в виде инъекций в начавший деформироваться сустав: гидрокортизон, дипроспан, кеналог и др. В аптеках они выдаются по рецепту.
В число традиционных показаний также входят методы, которые можно выполнять дома:
- УВЧ.
- Магнитотерапия.
- Фонофорез и электрофорез с действующими лекарственными препаратами.
- Лазеротерапия.
- Ванны с сероводородом, скипидаром, радоном.
- Грязелечение.
ЛФК и массаж. На начальном этапе требуются минимальные нагрузки, состоящие в плавном отведении носка и пятки, имитации ходьбы в положении сидя, легкие движения и вращения пальцами. В дальнейшем список упражнений можно увеличить и немного усложнить.
Народные средства согревающего, противовоспалительного действия (ванночки чабреца и можжевельника, спиртовые настойки эвкалипта, медовые и прополисные компрессы, мази из пчелиного яда и подмора).
Ортопедические прокладки и вставки в обувь. Смена обуви на свободные модели с толстой подошвой, невысоким устойчивым каблуком.
На 3 стадии предлагается лечить остеоартроз плюснефалангового сустава оперативно - искусственно обездвижить больной сустав.
Оперативные методы:
- Операция Брандеса (резекция экзостозов) - часть фаланги большого пальца удаляется, на стопу накладывается шина. Через 2-3 недели будет совершено постепенное вытяжение фаланги и восстановление при помощи ЛФК.
- Артропластика - сращение фаланги 1 пальца с плюсневой костью до полной неподвижности. Через разрез часть сустава с хрящом и костью удаляется, остальные фрагменты сращиваются при помощи фиксатора. После полного сращения (3-4 месяцев) боль полностью пройдет.
- Замена деформированного сустава на имплант. Достоинство метода- возможность подобрать для пациента идеальный размер. Минус - такой протез может быстро изнашиваться.

- Противовоспалительные - снимают воспаление:
- Диклофенак - эмульгель, вольтарен, диклоберл.
- Индометацин.
- Кетопрофен - фастум, кетонал, быструм.
- Диметилсульфоксид - долобене.
- Нимесулид - нимулид, найз.
- Ибупрофен - релиф, долгит.
- Согревающие - на основе раздражающих веществ, увеличивают проницаемость капиллярной системы.
На ядах - апизатрон, апиривен, вирапин, вольтарен, випробел.
На перце - эспол.
Другие согревающие мази - меновазин, гевкамен, никофлекс.
Уральская мазь; мазь с хмелем, донником и зверобоем; медовые пасты
При обнаружении первых симптомов ДОА стопы положительные результаты дают элементарные меры профилактики. Хождение босиком по природному ландшафту, укрепление мышц физическими упражнениями, улучшение кровообращение самомассажем и другими активными воздействиями на стопы и пальцы позволят не допустить развитие болезни и сохранят ступни здоровыми.
Читайте также:
