Простая костная киста (травматическая) челюсти - лучевая диагностика
Добавил пользователь Евгений Кузнецов Обновлено: 01.01.2026
Кисты челюстные - полое образование с жидким содержимым в кости челюсти. Кисты могут длительное время существовать бессимптомно и выявляться при рентгенологическом исследовании. При воспалении и нагноении кисты появляется сильная боль во время пережевывания пищи, покраснение, отек, выбухание стенки десны. Нагноение может сопровождаться развитием периостита, остеомиелита, гайморита, патологического перелома челюсти, формированием свища. При челюстных кистах лечение оперативное. Операция цистэктомии при необходимости сочетается с резекцией верхушки корня, заполнением полости кисты биокомпозитным материалом.
Общие сведения
Челюстные кисты являются самым распространенным поражением челюстных костей. Так, истинной кистой называют полость, стенка которой состоит из фиброзной ткани, а ее внутренняя поверхность выстлана эпителием. В полости кисты содержится прозрачная, иногда опалесцирующая жидкость.
Виды челюстных кист
Примордиальная челюстная киста или кератокиста возникает в области угла нижней челюсти или третьего моляра, в некоторых случаях она появляется на месте, где должен был быть зуб. Эта киста имеет тонкие фиброзные стенки, ее внутренняя поверхность выстлана плоским эпителием. Из-за выраженного паракератоза ее содержимое напоминает холестеатому, в их стенках обнаруживают одонтогенный эпителий. Кератокисты бывают как однокамерными, так и многокамерными; множественные кисты чаще многокамерные. При этом они сочетаются с другими пороками развития и после удаления часто рецидивируют.
Фолликулярная челюстная киста или киста непрорезавшегося зуба развивается из эмалевых органов непрорезавшихся зубов. Локализуется киста в альвеолярном крае челюстей и чаще связана со вторым премоляром, третьим моляром, клыками верхней и нижней челюстей. Стенки таких челюстных кист тонкие, состоят из многослойного плоского эпителия, который выстилает полость изнутри. Клетки эпителия изменены и нередко уплощены. Иногда имеются клетки, продуцирующие слизь. В полости кисты находятся один или несколько зубов как сформировавшихся, так и в зачаточном состоянии.

Радикулярные челюстные кисты составляют 80% ото всех челюстных кист. Хронический периодонтит обычно предшествует околокорневой кисте, которая развивается из сложных гранулем в области любых зубов. Радикулярные кисты на верхней челюсти диагностируются в два раза чаще, чем на нижней. Обычно диаметр кист от 0.5 до 2 см, но встречаются кисты до 3-х и более сантиметров в диаметре. Многослойный эпителий, которым выстлана внутренняя поверхность кисты, не имеет признаков кератинизации, стенка кисты фиброзная, инфильтрированная лимфацитами и плазматическими клетками. В периоды обострений киста воспаляется, ее клетки гиперплазируются, что приводит к образованию сетевидных отростков, которые направлены в толщу стенки. Данный симптом характерен только для радикулярных кист.
Часто эти кисты воспаляются, а в инфильтрате появляются нейтрофильные лейкоциты, если эпителий полностью расплавляется, то вся внутренняя поверхность кисты состоит из грануляций, которые могут полностью заполнять полость кисты. Радикулярные кисты часто нагнаиваются и в ее стенках обнаруживаются кристаллы холестерина и ксантомных клеток. Если радикулярные кисты диагностируют у детей, то в наружных отделах стенки обнаруживаются участки остеогенеза. По месторасположению радикулярные челюстные кисты могут прилежать, оттеснять или проникать в гайморову пазуху, в последнем случае вероятность развития гайморита при обострении воспаления кисты довольно высока. Крупные кисты осложняются деструкциями кости и истончением кортикальной пластинки, в челюстных кистах дизонтогенетического характера вероятность развития опухолей гораздо выше, хотя малигнизация клеток встречается не часто.
Симптомы челюстных кист
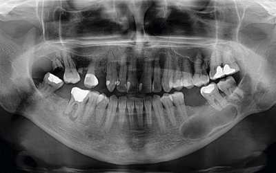
На первом этапе развития челюстных кист субъективная симптоматика отсутствует. По мере роста кисты можно заметить округлое безболезненное выпячивание и истончение костной стенки кисты. На ортопантомограмме хорошо заметна сферическая полость кисты, ее контуры резко очерчены. На рентгенограмме корневой кисты виден корень зуба с пораженным периодонтом, при фолликулярной кисте на снимке видны непрорезавшиеся зубы, которые погружены в дефект кости. Если же челюстные кисты осложняются нагноительными заболеваниями, то возникают симптомы, характерные для остеомиелита.
Лечение челюстных кист
Для лечения челюстных кист стоматологи прибегают к оперативному лечению. Проводя цистостомию и цистэктомию, иногда корневые кисты хорошо поддаются лечению без оперативных вмешательств. Но осложнения кист и их нагноения требуют обязательного вскрытия с последующим дренированием полости.
Основная задача хирургического лечения - сохранить зубы, которые находятся в зоне кисты, и восстановить их нарушенные функции. Цистэктомия помимо вскрытия полости кисты позволяет одномоментно произвести резекцию корня зуба. Эту процедуру проводят, если корень зуба погружен в полость кисты не более, чем на 1/3 всей его длины. Если же погружение более глубокое, то зубы становятся непригодными с точки зрения функциональности и довольно рано выпадают. Основной недостаток этого метода в том, что после резекции, снижается функциональность зубов, отмечаются случаи реинфекции со стороны срезанных микроканальцев, кроме этого операция довольно травматична. Костные полости, которые остаются после резекции снижают прочность челюстных костей. Современные технологии позволяют улучшить процедуру цистэктомии. Биокомпозитный материал, которым заполняют костную полость, предотвращает возникновение ранних осложнений. Это связано с отсутствием кровяного сгустка, что значительно снижает инфицирование полости. Биокомпозитные материалы, заполняя полость кисты, способствуют восстановлению формы и функций челюсти за счет ускорения регенерации.
Прогноз после оперативного лечения благоприятный, однако, крупные челюстные кисты могут осложняться патологическими переломами челюсти.
Киста околоносовой пазухи - симптомы и лечение
Что такое киста околоносовой пазухи? Причины возникновения, диагностику и методы лечения разберем в статье доктора Нагорной Оксаны Александровны, ЛОРа со стажем в 16 лет.
Над статьей доктора Нагорной Оксаны Александровны работали литературный редактор Вера Васина , научный редактор Ольга Медведева и шеф-редактор Маргарита Тихонова

Определение болезни. Причины заболевания
Киста околоносовой пазухи (paranasal sinus cysts) — это патологическое образование, которое состоит из оболочки и полости, содержащей жидкость.
Синонимы заболевания: мукоцеле околоносовой пазухи и ретенционная киста. Код по Международной классификации болезней (МКБ-10): J34.1 - киста или мукоцеле носовых синусов.
Кисты бывают от небольших размеров, еле различимых на компьютерной томографии, до огромных, занимающих всю полость пазухи [13] [15] .
Кисты могут формироваться в различных околоносовых пазухах:
- в верхнечелюстных — 80 % от всех случаев;
- в решётчатом лабиринте (в ячейках решётчатой кости, в верхней группе околоносовых пазух) — 15 %;
- в клиновидной и лобной пазухах — 5 % [1][3] .

Эпидемиология
Зачастую кисты развиваются без симптомов и выявляются случайно на рентгенограмме черепа, поэтому оценить их распространённость сложно. При случайных рентгенологических и МРТ-исследованиях, по разным данным, кисты встречаются у 10-30 % пациентов [3] [14] [15] .
Причины заболевания
- хронический ринит и синусит;
- травмы с повреждением стенок околоносовых пазух — переломы верхней челюсти и орбиты, огнестрельные лицевые ранения, грубые стоматологические вмешательства и др.;
- длительное воздействие аллергенов и фоновых аллергических заболеваний — при аллергии выделятся много слизи и увеличивается вязкость назального секрета, что блокирует протоки желёз;
- хронический полипозный риносинусит; ;
- апикальный периодонтит — воспаление в области верхушки корня зуба;
- анатомические особенности — наличие костных выступов (септ) в просвете синуса, дополнительное соустье пазухи, аномальное развитие крючковидного отростка и др. [12][13]
При обнаружении схожих симптомов проконсультируйтесь у врача. Не занимайтесь самолечением - это опасно для вашего здоровья!
Симптомы кисты околоносовой пазухи
Кисты околоносовых пазух часто протекают бессимптомно. Клинические признаки, как правило, появляются при большом размере кисты и связаны с её давлением на стенки пазухи. Симптомы становятся выраженными, когда киста полностью закрывает просвет придаточной пазухи носа [10] .
Самый частый симптом у пациентов с кистой верхнечелюстных пазух — это периодическая тупая головная боль на стороне кисты, возникающая из-за раздражения рецепторов тройничного нерва.

Со временем хронический болевой синдром приводит к изменениям со стороны психики: больные становятся раздражительными, развивается депрессия и нарушается сон.
Другие симптомы заболевания схожи с острым воспалением в пазухе (гайморитом):
- дискомфорт и чувство наполнения в области поражённой пазухи, которые усиливаются при наклонах головы вперёд;
- односторонняя заложенность носа;
- ощущение давления, тяжести и напряжённости около глазницы;
- боль в щеке, распространяющаяся на скулу и зубы;
- обильная вязкая слизь, стекающая по задней стенке глотки;
- нарушение обоняния;
- отёк щеки;
- дискомфорт в области челюсти и лба;
- признаки интоксикации (повышение температуры, общее недомогание, утомляемость, разбитость, снижение аппетита), которые появляются при нагноении кисты.
Если киста появилась давно и достигла больших размеров, то может сместиться глазное яблоко, из-за чего ухудшится зрение. Кисты ячеек решётчатого лабиринта вызывают изменения в слезовыводящих путях и приводят к хроническому слезотечению. Поэтому некоторые пациенты обращаются сперва не к отоларингологу, а к офтальмологу [11] .
В редких случаях может произойти самопроизвольный разрыв кисты и её опорожнение. При этом из одной половины носа вытекает прозрачная жёлтая жидкость. Когда отхождение жидкости прекращается, симптомы, связанные с давлением кисты на стенки пазухи, стихают.
В целом, клинические признаки болезни достаточно разнообразны и зависят от того, где расположена киста, её размера и продолжительности заболевания.
Патогенез кисты околоносовой пазухи
На слизистую оболочку носа и околоносовые пазухи постоянно воздействуют различные факторы: инфекционные агенты, химические вещества, температура и другие физические свойства воздушного потока.
Непрерывное выделение слизи и её циркуляция в полостях пазух и носа позволяют согревать и увлажнять вдыхаемый воздух, очищать его от взвешенных частиц, бактерий, вирусов и грибковых спор.
Cлизь состоит из двух слоёв:
- Наружного густого гелеобразного слоя толщиной 2 мкм. Его выделяют специальные бокаловидные клетки, расположенные в слизистой оболочке.
- Лежащего под ним более жидкого слоя (золя) толщиной 2-4 мкм. Золь выделяют подслизистые ацинозные железы. В нём содержатся ферменты, разрушающие плёнки болезнетворных микробов, и белки иммунной защиты: лизоцим и лактоферрин.
![Слизь и клетки эпителия [19]](/pimg3/prostaya-kostnaya-kista-77C9C8.jpg)
Киста формируется из-за изменений в слизистой оболочке околоносовых пазух: отёка, нарушения оттока слизи, гипоксии и ряда других причин, провоцирующих закупорку выводных протоков ацинозных желёз.
В дальнейшем продукты воспаления растягивают концевые отделы желёз. Их просвет постепенно заполняется густым содержимым, и формируется киста. Расширение протоков желёз ведёт к атрофии их перегородок, преобразованию малых желёз и кист в большие кисты. Киста растёт до тех пор, пока давление внутри неё не сравняется с давлением окружающих тканей [9] .
Кроме механической закупорки протоков желёз, к появлению кисты приводит повреждение ресничек мерцательного эпителия слизистой носа. В результате окончательно блокируется продвижение секрета из железистых протоков.
Также кисты могут развиваться как осложнение отёчной формы гайморита [10] . Воспалительный экссудат в просвете пазухи раздражает слизистую оболочку и усиливает выделения секрета в её полость. Если воспалительная жидкость не рассасывается, не выводится и длительно давит на слизистую оболочку, то это приводит к дистрофии и рубцовым изменениям желёз. При этом железы продолжают вырабатывать слизистый секрет. В результате формируются небольшие шаровидные ёмкости с тонкими фиброзными стенками, заполненные специфической жидкостью — будущие кисты [2] .
Классификация и стадии развития кисты околоносовой пазухи
По внутреннему содержимому кисты околоносовых пазух бывают:
- слизистыми;
- гнойными;
- серозными;
- заполненными воздухом [8] .
По месту образования различают кисты:
- верхнечелюстной пазухи;
- лобной пазухи;
- этмоидальные (в передних и задних ячейках решётчатого лабиринта);
- клиновидные (в самой задней пазухе, расположенной под основанием черепа).
По происхождению:
- Ретенционные кисты — истинные кисты, которые возникают из-за полной или частичной непроходимости выводных протоков желёз, вырабатывающих слизь. Истинные кисты выстланы эпителием слизистой оболочки [13][14] .
- Ложные кисты — это кистоподобные образования, происхождение которых до конца не изучено. Чаще возникают у мужчин. Возможные причины появления ложных кист: патология верхних зубов, воздействие аллергенов или инфекции. Ложные кисты образуются в толще слизистой оболочки и не имеют эпителиальной выстилки [13][14][15] .
- Одонтогенные кисты формируются вокруг воспалённого корня верхнего зуба и заполнены гноем. Они бывают радикулярными и фолликулярными. Первые образуются около воспалённого корня кариозного зуба и постепенно прорастают через атрофированную костную ткань челюсти в пазуху. Вторые возникают из фолликула воспалённого молочного зуба [1][8] .
Стадии заболевания
Различают три стадии развития кисты околоносовой пазухи:
- Бессимптомная — период, когда киста в пазухе не вызывает дискомфорта, обычно её размеры не превышают 1 см. У некоторых пациентов эта стадия может протекать длительно и не переходить в последующие. В таком случае кисту случайно обнаруживают при рентгенологическом или томографическом исследовании по другому поводу [3] . Как правило, лечение в этом случае не требуется, нужно лишь наблюдать, не будет ли киста расти.
- Стадия клинических проявлений — киста становится больше 1 см и появляются первые симптомы: головная боль и заложенность носа.
- Стадия развития осложнений — симптомы становятся выраженными: появляется гнойный насморк, сильно болит голова, возникают признаки интоксикации и отекают веки. Оболочка кисты может самопроизвольно прорваться, и патологическое содержимое истечёт из неё, в таком случае самочувствие временно улучшится.
Осложнения кисты околоносовой пазухи
Осложнения, связанные с нагноением кист:
- гнойный риносинусит;
- флегмона орбиты — разлитое гнойное воспаление глазничной клетчатки с её расплавлением и омертвением;

Осложнения, связанные с увеличением размеров кисты:
- Блок соустья пазухи и прилегающих внутриносовых структур — развивается из-за скопления циркулирующей слизи в околоносовых пазухах. Проявляется болезненностью в области переносицы, угла глаза или лба.
- Деформация лицевого скелета — редкое осложнение, при котором лобный отросток верхней челюсти выпячивается, переносица и слёзная борозда уплощаются и смещается глазное яблоко.
- Компрессия орбиты — сдавливаются структуры внутри глазницы, из-за чего нарушается зрение.
Диагностика кисты околоносовой пазухи
Диагностика включает: эндоскопию, рентгенографию придаточных пазух носа, мультиспиральную и конусно-лучевую компьютерную томографию, магнитно-резонансную томографию.
Эндоскопия
Врач осматривает полость носа жёстким или гибким эндоскопом. Метод позволяет оценить состояние выводного соустья, а также наличие или отсутствие отделяемого из синусов. Визуализировать кисту можно, если есть фонтанелла — добавочное соустье или дополнительное отверстие на стенке верхнечелюстной пазухи [9] .

Рентгенография придаточных пазух носа
Скрининговый метод, позволяющий заподозрить кисту. Снимок делается в прямой проекции. Недостатки метода: невозможно посмотреть в проекциях сверху и сбоку, нет визуализации клиновидной пазухи, часто кисту ошибочно принимают за синусит.
Мультиспиральная компьютерная томография (МСКТ)
МСКТ — это метод лучевой диагностики, основанный на сканировании организма рентгеновскими лучами. Позволяет получить качественное трёхмерное изображение околоносовых пазух, полноценно изучить форму, плотность, размеры кисты и оценить её распространение в прилежащие структуры черепа [5] .
Конусно-лучевая компьютерная томография (КЛКТ)
КЛКТ — это современный рентгеновский метод исследования, разновидность компьютерной томографии. Он высоко информативен и применяется при диагностике в стоматологии, оториноларингологии и челюстно-лицевой хирургии. Позволяет выполнять точные измерения и визуализировать мельчайшие детали как костей, так и мягких тканей [4] .
Другие достоинства КЛКТ: лучевая нагрузка ниже, чем при КТ, нет наложения анатомических структур и искажения их размеров [4] [5] .

Магнитно-резонансная томография (МРТ)
МРТ проводится в двух режимах:
- Т1 — кисты дают средний либо слабый сигнал. Сила сигнала зависит от концентрации в них белка.
- Т2 — кисты дают очень интенсивный сигнал. Размеры кисты на изображении могут быть больше, чем на самом деле.
Вариабельность сигнала при МРТ не позволяет поставить окончательный диагноз. Чтобы уточнить или подтвердить его, после МРТ, как правило, проводится КЛКТ [16] .
Лечение кисты околоносовой пазухи
Лечение зависит от типа кисты, её расположения и размера. Если она меньше 1 см и нет выделений, то врач предлагает консервативные методы: регулярное обследование, таблетки, спреи и капли. Если киста больших размеров или есть гнойное отделяемое, то потребуется операция.
Медикаментозное лечение кист
Метод позволяет устранить неприятные симптомы и причины образования кисты: отёк, воспаление и блок соустья пазухи. Медикаментозное лечение эффективно и может облегчить состояние пациента на ранних стадиях заболевания. Однако оно не поможет, когда фиброзная оболочка кисты стала слишком плотной.
Применяются препараты:
- сосудосуживающие капли — быстро уменьшают отёк в области соустья и нормализуют вентиляцию пазух полости носа; лекарства этой группы вызывают зависимость, безопасно использовать их можно не более 5 дней подряд;
- антигистаминные средства — помогут, если киста вызвана аллергией;
- муколитики — нормализуют отток слизи;
- антисептики — помогают бороться с воспалением и очищают поверхность слизистой оболочки полости носа;
- топические глюкокортикостероиды — наиболее эффективны при лечении аллергической риносинусопатии, затяжных синуситов, гиперплазии слизистой оболочки в области соустья и остиомеатального комплекса;
- обезболивающие — уменьшают боль, возникшую из-за давления кисты на окружающие ткани [6] ;
- пробиотики — нормализуют микрофлору полости носа и носоглотки, что важно при лечении хронического воспаления верхних дыхательных путей.
Хирургическое лечение
- киста более 8 мм;
- неэффективность консервативного лечения;
- признаки нагноения внутри кисты [7] .
Самый популярный метод лечения кист — это прокалывание, или пункция. Хирург прокалывает стенку кисты тонкой иглой и откачивает гнойное отделяемое [1] . Однако этот метод имеет только временный эффект. Прокалывание кисты, как и самопроизвольное вытекание её содержимого, на некоторое время избавляет от боли. Но постепенно киста снова срастается и начинает накапливать гнойную жидкость. Чтобы удалить её полностью, потребуется более серьёзное хирургическое вмешательство [8] .
Гайморотомия по Колдуэллу — Люку
Проводится через разрез под верхней губой в полости рта. Это классический метод удаления кисты пазухи, однако сейчас он практически не используется из-за высокой травматичности: после операции могут формироваться рубцы, спайки и нарушаться работа пазух.

Микрогайморотомия
Малоинвазивная хирургическая методика, которая проводится через переднюю стенку гайморовой пазухи. В кости формируется отверстие 4-8 мм, и киста удаляется специальными инструментами. Выполняется под общим обезболиванием. Недостатком является риск повреждения ветвей тройничного нерва и формирование стойкой лицевой невралгии.
Функциональная эндоскопическая ринохирургия (Functional Endoscopic Sinus Surgery, FESS-хирургия)
Этот метод считается самым щадящим и эффективным: при процедуре не делаются ненужные надрезы и проколы на лице пациента. Выполняется через полость носа под контролем эндоскопа. Позволяет достигнуть всех околоносовых синусов, включая клиновидную, лобную пазухи и клетки решётчатого лабиринта. Операцию проводят под местной и общей анестезией [17] .

- можно применять для лечения детей;
- уменьшают вероятность рецидива кисты;
- в стационаре нужно находиться не более двух дней;
- разрез быстро заживает;
- операция не оставляет шрамов;
- нет риска, что появятся спайки [18] .
Относительные недостатки: требуются подготовленные специалисты и специальное оборудование, из-за чего операция стоит дорого.
Прогноз. Профилактика
Кисты околоносовых пазух возникают при длительном отёке слизистой оболочки полости носа и пазух. Причина этого — воспалительные и аллергические заболевания, поэтому прогноз зависит от их течения. Важно не допускать обострения болезни, которая привела к образованию кисты.
Если нормализовать функции носа, поддерживать адекватную вентиляцию околоносовых пазух и корректно провести операцию по удалению кисты, то прогноз благоприятный и риск рецидива крайне мал.
Чтобы предотвратить появление кист пазух, необходимо:
- своевременно лечить насморк и синусит;
- регулярно посещать стоматолога и вовремя лечить зубы;
- своевременно устранять аллергию и избегать аллергенов;
- проходить профилактические осмотры у оториноларинголога и аллерголога, соблюдать их рекомендации [6][8] .
При появлении боли и других симптомов кисты пазухи нужно немедленно обратиться к врачу.
Костная киста
Костная киста - это полость в костной ткани, возникающая вследствие нарушений местного кровообращения и активации ферментов, разрушающих органическое вещество кости. На начальных стадиях протекает бессимптомно или сопровождается незначительными болями. Нередко первым признаком патологического процесса становится патологический перелом. Длительность заболевания составляет около 2 лет, в течение второго года киста уменьшается в размере и исчезает. Диагноз выставляется на основании рентгенографии. Лечение обычно консервативное: иммобилизация, пункции, введение лекарственных препаратов в полость кисты, ЛФК, физиотерапия. При неэффективности производится резекция с последующей аллопластикой.
МКБ-10

Костная киста - заболевание, при котором в костной ткани образуется полость. Причины возникновения неизвестны. Обычно болеют дети и подростки. Существует два вида кист: солитарные и аневризмальные, первые втрое чаще наблюдаются у мальчиков, вторые обычно выявляются у девочек. Сама по себе киста не представляет угрозы для жизни и здоровья больного, однако может вызывать патологические переломы и иногда становится причиной развития контрактуры близлежащего сустава. При аневризмальной кисте в позвонке возможно появление неврологической симптоматики. Лечение костных кист осуществляют ортопеды-травматологи.

Патогенез
Формирование костной кисты начинается с нарушения кровообращения на ограниченном участке кости. Из-за нехватки кислорода и питательных веществ участок начинает разрушаться, что приводит к активации лизосомных ферментов, расщепляющих коллаген, гликозаминогликаны и другие протеины. Образуется наполненная жидкостью полость с высоким гидростатическим и осмотическим давлением. Это, а также большое количество ферментов в жидкости внутри кисты, приводит к дальнейшему разрушению окружающей костной ткани. В последующем давление жидкости уменьшается, активность ферментов снижается, из активной киста превращается в пассивную и со временем исчезает, постепенно замещаясь новой костной тканью.
Виды костной кисты
Солитарная костная киста
Чаще страдают мальчики 10-15 лет. Вместе с тем, возможно и более раннее развитие - в литературе описан случай солитарной кисты у 2-месячного ребенка. У взрослых людей костные кисты выявляются чрезвычайно редко и обычно представляют собой остаточную полость после перенесенного в детстве не диагностированного заболевания. Как правило, полости возникают в длинных трубчатых костях, первое место по распространенности занимают костные кисты проксимального метафиза бедренной и плечевой кости.
Течение болезни на начальных этапах в большинстве случаев бессимптомное, иногда пациенты отмечают незначительную припухлость и незначительные нестойкие боли. У детей в возрасте младше 10 лет иногда наблюдается припухлость, могут развиваться контрактуры соседнего сустава. При больших кистах в области проксимального диафиза бедра возможна хромота, при поражении плечевой кости - дискомфорт и неприятные ощущения при резких движениях и поднимании руки.
Причиной обращения к врачу и первым симптомом солитарной костной кисты нередко становится патологический перелом, возникающий после незначительного травматического воздействия. Иногда травму и вовсе не удается выявить. При осмотре больного с начальными стадиями заболевания местные изменения не выражены. Отека нет (исключение - отек после патологического перелома), гиперемии нет, венозный рисунок на коже не выражен, местная и общая гипертермия отсутствует. Может выявляться незначительная атрофия мышц.
При пальпации пораженного участка в ряде случаев удается обнаружить безболезненное булавовидное утолщение с костной плотностью. Если киста достигает значительных размеров, при надавливании стенка кисты может прогибаться. При отсутствии перелома активные и пассивные движения в полном объеме, опора сохранена. При нарушении целостности кости клиническая картина соответствует перелому, однако симптомы выражены менее ярко, чем в случае обычного травматического повреждения.
Для уточнения диагноза выполняют рентгенологическое исследование пораженного сегмента: рентгенографию бедренной кости, рентгенографию плечевой кости и т. д. На основании рентгенологической картины определяют фазу патологического процесса. В фазе остеолиза на снимке обнаруживается бесструктурное разрежение метафиза, соприкасающееся с зоной роста. В фазе отграничения на рентгенограммах видна полость с ячеистым рисунком, окруженная плотной стенкой и отделенная от зоны роста участком нормальной кости. В фазе восстановления на снимках выявляется участок уплотнения костной ткани или небольшая остаточная полость.

Аневризмальная костная киста
Встречается реже солитарной. Обычно возникает у девочек 10-15 лет. Может поражать кости таза и позвонки, реже страдают метафизы длинных трубчатых костей. В отличие от солитарной костной кисты, как правило, возникает после травмы. Формирование полости сопровождается интенсивными болями и прогрессирующим отеком пораженной области. При осмотре выявляется местная гипертермия и расширение подкожных вен. При локализации в костях нижних конечностей отмечается нарушение опоры. Заболевание нередко сопровождается развитием контрактуры близлежащего сустава. При костных кистах в позвонках появляются неврологические нарушения, обусловленные сдавление спинномозговых корешков.
Различают две формы аневризмальных костных кист: центральную и эксцентрическую. В течении болезни выделяют такие же фазы, как и при солитарных кистах. Клинические проявления достигают максимума в фазе остеолиза, постепенно уменьшаются в фазе отграничения и исчезают в фазе восстановления. На рентгенограммах в фазе остеолиза выявляется бесструктурный очаг с внекостным и внутрикостным компонентом, при эксцентричных кистах внекостная часть по размеру превышает внутрикостную. Надкостница всегда сохранена. В фазе отграничения между внутрикостной зоной и здоровой костью образуется участок склероза, а внекостная зона уплотняется и уменьшается в размере. В фазе восстановления на рентгенограммах обнаруживается участок гиперостоза или остаточная полость.
Лечение костной кисты
Лечение осуществляют детские ортопеды, в небольших населенных пунктах - травматологи или детские хирурги. Даже если перелом отсутствует, рекомендуют разгрузить конечность, используя костыли (при поражении нижней конечности) или подвесив руку на косыночную повязку (при поражении верхней конечности). При патологическом переломе накладывают гипс сроком на 6 недель. Для того чтобы ускорить созревание опухолевидного образования, выполняют пункции.
Содержимое кисты удаляют, используя специальные иглы для внутрикостной анестезии. Затем осуществляют множественную перфорацию стенок для снижения давления внутри кисты. Полость промывают дистиллированной водой или физраствором для удаления продуктов расщепления и ферментов. Потом выполняют промывание 5% раствором е-аминокапроновой кислоты для нейтрализации фибринолиза. На заключительном этапе в полость вводят апротинин. При большой кисте у больных старше 12 лет возможно введение триамцинолона или гидрокортизона. При активных кистах процедуру повторяют 1 раз в 3 недели, при закрывающихся - 1 раз в 4-5 недель. Обычно требуется 6-10 пункций.
В ходе лечения регулярно осуществляют рентгенконтроль. При появлении признаков уменьшения полости пациента направляют на ЛФК. При неэффективности консервативной терапии, угрозе сдавления спинного мозга или риске значительного разрушения кости показано хирургическое лечение - краевая резекция пораженного участка и аллопластика образовавшегося дефекта. В активной фазе, когда киста соединена с зоной роста, операции проводят только в крайних случаях, поскольку возрастает риск повредить ростковую зону, что чревато отставанием роста конечности в отдаленном периоде. Кроме того, при контакте полости с ростковой зоной увеличивается риск развития рецидивов.
Прогноз и профилактика
Прогноз обычно благоприятный. После редуцирования полости наступает выздоровление, трудоспособность не ограничивается. Отдаленные последствия кист могут быть обусловлены образованием контрактур и массивным разрушением костной ткани с укорочением и деформацией конечности, однако при своевременном адекватном лечении и соблюдении рекомендаций врача такой исход наблюдается редко.
2. Солитарные костные кисты у детей/ Поздеев А.П., Белоусова Е.А.// Ортопедия, травматология и восстановительная хирургия детского возраста - 2017, Т.5, №2
4. Дистрофические кисты костей у детей ( морфология, клиника, диагностика, лечение): автореферат диссертации/ Выборнов Д .Ю. - 2004
Опухоли челюстей
Опухоли челюстей - новообразования челюстных костей, исходящие непосредственно из костной ткани или структур одонтогенного аппарата. Опухоли челюстей могут проявлять себя клинически болевым синдромом, деформацией кости, асимметрией лица, смещением и подвижностью зубов, нарушением функции ВНЧС и глотания, нередко - прорастанием в полость носа, верхнечелюстную пазуху, орбиту и т. д. Диагностика опухолей челюстей предполагает рентгенологическое обследование, КТ, сцинтиграфию; при необходимости консультации окулиста, отоларинголога, риноскопию. Лечение доброкачественных опухолей челюстей - только хирургическое (выскабливание, резекция фрагмента челюсти, удаление зубов); злокачественных - комбинированное (лучевая терапия и операция).


Опухоли челюстей - остеогенные и неостеогенные, доброкачественные и злокачественные новообразования челюстных костей. На долю опухолей челюстно-лицевой области приходится около 15% всех заболеваний в стоматологии. Опухоли челюстей могут возникать в любом возрасте, в т. ч. довольно часто они встречаются у детей. Опухоли челюстей разнообразны по своему гистогенезу и могут развиваться из костной и соединительной ткани, костного мозга, тканей зубного зачатка, околочелюстных мягких тканей.
По мере своего роста опухоли челюстей вызывают значительные функциональные нарушения и эстетические дефекты. Лечение опухолей челюстей представляет собой технически непростую задачу, требующую объединения усилий специалистов в области челюстно-лицевой хирургии, отоларингологии, офтальмологии, нейрохирургии.

Причины
Вопрос о причинности возникновения опухолей челюстей находится в процессе изучения. На сегодняшний день доказана связь опухолевого процесса со следующими состояниями:
- одномоментной или хронической травмой (ушибом челюсти, повреждением слизистой оболочки полости рта разрушенными кариесом зубами, зубным камнем, краями пломб, некорректно подогнанными коронками и протезами и пр.)
- длительно текущими воспалительными процессами (хроническим периодонтитом, остеомиелитом челюсти, актиномикозом, синуситами и т. д.)
- не исключается вероятность развития опухолей челюсти на фоне инородных тел верхнечелюстной пазухи: пломбировочного материала, корней зубов и пр.
- воздействием неблагоприятных физических и химических факторов (ионизирующего излучения, радиойодтерапии, курения и пр.).
Вторичные злокачественные опухоли челюстей могут являться метастазами рака молочной железы, предстательной железы, щитовидной железы, почки, результатом местного распространения рака языка и др. Рак челюсти может развиваться на фоне предраковых процессов - лейкоплакии полости рта, доброкачественных опухолей полости рта (папиллом), лейкокератоза и т. п.
Классификация
Среди опухолей челюстей различают одонтогенные (органоспецифические) новообразования, связанные с зубообразующими тканями, и неодонтогенные (органонеспецифические), связанные с костью. Одонтогенные опухоли челюстей, в свою очередь, могут быть доброкачественными и злокачественными; эпителиальными, мезенхимальными и смешанными (эпителиально-мезенхимальными).
- Доброкачественные одонтогенные опухоли челюстей представлены амелобластомой, обызвествленной (кальцифицирующейся) эпителиальной одонтогенной опухолью, дентиномой, аденоамелобластомой, амелобластической фибромой, одонтомой, одонтогенной фибромой, миксомой, цементомой, меланоамелобластомой и др.
- Злокачественные одонтогенные опухоли челюстей включают одонтогенный рак и одонтогенную саркому. К остеогенным опухолям челюстей относятся костеобразующие (остеомы, остеобластомы), хрящеобразующие (хондромы), соединительнотканные (фибромы), сосудистые (гемангиомы), костно-мозговые, гладкомышечные и др.
Симптомы опухолей челюстей
Доброкачественные одонтогенные опухоли челюстей
Амелобластома - наиболее частая одонтогенная опухоль челюстей, склонная к инвазивному, местно-деструирующему росту. Поражает преимущественно нижнюю челюсть в области ее тела, угла или ветви. Развивается внутрикостно, может прорастать в мягкие ткани дна полости рта и десны. Чаще проявляется в возрасте 20-40 лет.
В начальном периоде амелобластома протекает бессимптомно, однако по мере увеличения размеров опухоли возникает деформация челюсти, асимметрия лица. Зубы в области поражения часто становятся подвижными и смещаются, может отмечаться зубная боль. Опухоль верхней челюсти может прорастать в полость носа, гайморову пазуху, орбиту; деформировать твердое нёбо и альвеолярный отросток. Нередки случаи нагноения, рецидивирования и малигнизации амелобластомы. Клиническое течение таких опухолей челюсти, как амелобластическая фиброма и одонтоамелобластома, напоминает амелобластому.
Одонтома чаще возникает у детей в возрасте до 15 лет. Обычно опухоли имеют небольшие размеры, протекают бессимптомно, однако могут вызывать задержку прорезывания постоянных зубов, диастемы и тремы. Опухоли большой величины могут приводить к деформации челюсти, образованию свищей.
Одонтогенная фиброма развивается из соединительной ткани зубного зачатка; чаще возникает в детском возрасте. Рост опухоли медленный; локализация - на верхней или нижней челюсти. Одонтогенная фиброма обычно бессимптомна; в некоторых случаях могут отмечаться ноющие боли, ретенция зубов, воспалительные явления в области опухоли.
Цементома - доброкачественная опухоль челюсти, практически всегда спаянная с корнем зуба. Чаще развивается в области премоляров или моляров нижней челюсти. Протекает бессимптомно или с нерезко выраженной болезненностью при пальпации. Изредка встречается множественная гигантская цементома, которая может являться наследственным заболеванием.
Доброкачественные неодонтогенные опухоли челюстей
Остеома может иметь внутрикостный или поверхностный (экзофитный) рост. Опухоль может распространяться в верхнечелюстную пазуху, полость носа, глазницу; препятствовать припасовке зубных протезов. Остеомы нижнечелюстной локализации вызывают боль, асимметрию нижней части лица, нарушение подвижности челюсти; верхнечелюстной локализации - нарушения носового дыхания, экзофтальм, диплопию и другие нарушения.
Остеоид-остеома сопровождается интенсивным болевым синдромом, обостряющимся по ночам, во время приема пищи; асимметрией лица. При осмотре полости рта определяется выбухание кости (чаще в области премоляров и моляров нижней челюсти), гиперемия слизистой оболочки.
Остеобластокластома (гигантоклеточная опухоль челюсти) преимущественно встречается в молодом возрасте (до 20 лет). Развитие клинической картины характеризуется нарастанием боли в челюсти, асимметрии лица и подвижности зубов. Ткани над опухолью изъязвляются; образуются свищи; отмечается повышение температуры тела. Истончение кортикального слоя приводит к возникновению патологических переломов нижней челюсти.
Гемангиома челюсти сравнительно редко бывает изолированной и в большинстве случаев сочетается с гемангиомой мягких тканей лица и полости рта. Сосудистые опухоли челюстей проявляются повышенной кровоточивостью десен, кровотечениями из корневых каналов при лечении пульпита или периодонтита, из лунки при удалении зуба и пр. При осмотре может выявляться флюктуация, расшатанность зубов, синюшность слизистой оболочки.
Злокачественные опухоли челюстей
Злокачественные опухоли челюстей встречаются в 3-4 раза реже доброкачественных. При раке челюсти рано возникают боли, имеющие иррадиирующий характер, подвижность и выпадение зубов, возможны патологические переломы челюсти. Злокачественные опухоли челюстей разрушают костную ткань; прорастают околоушные и поднижнечелюстные железы, жевательные мышцы; метастазируют в шейные и поднижнечелюстные лимфоузлы.
Карцинома верхней челюсти может прорастать в глазницу, полость носа или решетчатый лабиринт. В этом случае отмечаются рецидивирующие носовые кровотечения, односторонний гнойный ринит, затруднение носового дыхания, головные боли, слезотечение, экзофтальм, диплопия, хемоз. При вовлечении ветвей тройничного нерва беспокоят оталгии.
Злокачественные опухоли нижней челюсти рано инфильтрируют мягкие ткани дна полости рта и щек, изъязвляются, кровоточат. Вследствие контрактур крыловидной и жевательной мышц затрудняется смыкание и размыкание зубов. Остеогенные саркомы отличаются стремительным ростом, быстро прогрессирующей инфильтрацией мягких тканей, асимметрией лица, нестерпимой болью, ранним метастазированием в легкие и другие органы.
Диагностика
В большинстве случаев опухоли челюстей диагностируются уже в поздних стадиях, что объясняется неспецифичностью симптоматики или бессимптомным течением, низкой онкологической настороженностью населения и специалистов (стоматологов, отоларингологов и др.). В выявлении опухолей челюстей могут помочь тщательный сбор анамнеза, визуальное и пальпаторное исследование мягких тканей лица и полости рта. Обязательным этапом диагностики является:
- Рентгенологическое обследование. Рентгенография и КТ челюстей, рентгенография и КТ придаточных пазух носа. Определенную диагностическую ценность может представлять сцинтиграфия, термография.
- Биопсия. При обнаружении увеличенных шейных или подчелюстных лимфоузлов выполняется пункционная биопсия лимфатического узла.
- Консультации смежных специалистов. При подозрении на злокачественную опухоль челюсти необходима консультация отоларинголога с проведением риноскопии и фарингоскопии; офтальмолога с комплексным офтальмологическим обследованием.
- Диагностические операции. В ряде случаев приходится прибегать к диагностической гайморотомии или диагностической пункции околоносовой пазухи с последующим цитологическим исследованием промывных вод. Окончательная гистологическая верификация осуществляется с помощью морфологического исследования биоптата.

Лечение опухолей челюстей
Лечение большей части доброкачественных опухолей челюстей - хирургическое. Наиболее оптимальным является удаление новообразования с резекцией челюстной кости в пределах здоровых границ; такой объем вмешательства позволяет предотвратить рецидивы и возможную малигнизацию опухоли. Зубы, прилегающие к опухоли, также часто подлежат экстракции. Возможно удаление некоторых доброкачественных опухолей челюстей, не склонных к рецидивированию, щадящим методом с помощью кюретажа.
При злокачественных опухолях челюстей используется комбинированный метод лечения: гамма-терапия с последующим хирургическим лечением (резекцией или экзартикуляцией челюсти, лимфаденэктомией, экзентерацией глазницы, операцией на околоносовых пазухах и пр.). В запущенных случаях назначается паллиативная лучевая терапия или химиотерапевтическое лечение.
В послеоперационном периоде, особенно после обширных резекций, больным может потребоваться ортопедическое лечение с помощью специальных шин, реконструктивные операции (костная пластика), длительная функциональная реабилитация для восстановления функций жевания, глотания, речи.
Прогноз
При своевременном и радикальном лечении доброкачественных одонтогенных и неодонтогенных опухолей челюстей прогноз для жизни хороший. В случае нерадикально выполненной операции или неправильной оценки характера опухоли есть вероятность рецидива или малигнизации. Течение злокачественных опухолей челюстей крайне неблагоприятное. При раке и саркоме челюсти пятилетняя выживаемость пациентов после комбинированного лечения составляет менее 20%.
Киста в челюсти

Киста челюсти представляет собой полое доброкачественное образование, локализующееся в челюстной кости. Внутри нее находится жидкое содержимое. Очень часто структура долгое время развивается незаметно для человека и ее случайно обнаруживают во время проведения рентген-диагностики по другому поводу.
Если киста в челюсти воспаляется, больной это сразу ощущает. Нагноение может спровоцировать возникновение периостита, гайморита, остеомиелита, свища.
К сожалению, чаще всего удалять образование приходится хирургическим путем. Врач производит резекцию верхушки зубного корня и параллельно заполняет очищенное от экссудата углубление специальным биологическим композитным составом.
Классификация патологии
Кисты, локализующиеся в тканях верхнего либо нижнего ряда зубов, очень распространены. При их развитии возникает полость, стеночки которой устланы фиброзной тканью, а внутренняя поверхность состоит из эпителиального слоя. Капсула удерживает прозрачную либо мутную жидкость.

Доктора выделяют такие виды патологии:
- Примордиальная. Это киста нижней челюсти. Она появляется в зоне третьего моляра. У нее совсем тонкие фиброзные стенки. Изнутри капсула выстлана плоским эпителием. По своему строению опухоль может содержать одну или несколько небольших камер.
- Фолликулярная. Образуется до прорезывания зуба. Может прорастать в области альвеолярного края. Включает в себя клетки, усиленно вырабатывающие вязкую слизь. Из-за этого внутреннее содержимое аномальной структуры является достаточно вязким. Формируется фолликулярное образование из эмалевых органов непрорезавшейся единицы. Внутри него обнаруживаются один или сразу несколько зубов. Это могут быть сформировавшиеся коронки или зубные зачатки.
- Радикулярная. Встречается чаще остальных — в восьмидесяти процентах случаев. Обычно вырастает над верхними зубами. Диаметр достигает от половины до двух сантиметров. Часто воспаляется. Тогда клетки начинают гиперплазироваться, образуются сетевидные отростки, идущие в толщу стенок. Жидкостное содержимое радикулярных структур богато нейтрофильными лейкоцитами. Нередко при данном виде патологии у больного развивается гайморит. Это связано с особенностями локализации воспалительного участка.
- Ретромолярная. Формируется из-за длительного воспалительного процесса, протекающего в толще мягких тканей. Является следствием осложненного прорезывания зубов.

- Носоальвеолярная. Возникает недалеко от носонебного канала (граница между верхним рядом и крылом носа).
- Аневризмальная. Очень редко встречается в стоматологической практике. Появляется только на нижней челюсти. Этот вид новообразования еще плохо изучен. Известно, что внутри него присутствует кровь или жидкость красно-розового цвета. Многие ученые сходятся во мнение, что симптомы аневризмальной полости являются следствием гормонального сбоя.
- Травматическая. Возникает из-за недавно полученной травмы лица.
- Резидуальная. Итог ошибок, допущенных врачом в ходе удаления зуба, или следствие игнорирования пациентом назначений хирурга.
Как лечить зубную кисту, доктор решает с учетом причины ее развития. Это очень важно — понять, почему возникала опухоль. Если не установить первопричину, будет сохраняться высокая вероятность рецидива.
Причины заболевания

Уже исходя из классификации становится понятно, что опухоли появляются в тканях ротовой полости по самым разным причинам. Среди основных провоцирующих факторов:
- Поражение твердых зубных тканей. Невылеченный кариес, пародонтит, пульпит — все это болезни, при которых болезнетворные агенты проникают в пародонт через незапломбированные корневые ходы.
- Воспаление зоны, примыкающей к области локализации кисты. Достаточно часто выясняется, что доброкачественная опухоль сформировалась после гайморита, воспаления десен. Это происходит потому, что с током крови инфекция проникает в костные ткани из гайморовых и носовых пазух.
- Травмы, ушибы, удары. Первое время после них человек может ничего не замечать. Но позже появляется ноющая боль, указывающая на наличие проблемы.
Очень редко врачам приходится проводить лечение врожденных кист. Не установлено, почему они возникают.
Симптомы заболевания

В первые дни развития патологии субъективная симптоматика отсутствует. Но, чем больше становится киста, тем сильнее и ярче она о себе заявляет. Тогда в районе десны может сформироваться подобие флюса. На первых порах выпячивание не болит во время пальпации и почти не беспокоит пациента.
На ортопантомограмме доктор наблюдает полость сферической формы с четко очерченными контурами. На рентген-снимке можно разглядеть корень пораженного зуба с воспаленным периодонтом.
В запущенных случаях, когда внутри полости скапливается большое количество гнойных масс, у пациента возникают такие же симптомы, как при остеомиелите. Тогда объем опухоли увеличивается. Десна отекает, становится очень болезненной. Периодически в ее стенке появляется небольшое отверстие, через которое выделяется гной.
Диагностические мероприятия
Предварительный диагноз стоматолог ставит сразу после проведения внешнего осмотра зубного ряда. Досконально изучить имеющуюся опухоль можно, используя метод рентгенографии. Тогда, глядя на снимок, доктор может понять, о каком виде опухоли идет речь, есть ли риски для пациента и что в себя должно включать предстоящее лечение.
Как лечат

В большинстве случаев при кисте не обойтись без хирургической операции. Только в незапущенных случаях удается избавиться от опухоли путем ее вскрытия и дренирования.
Операции, проводимые при заболевании, называются цистэктомия и цистотомия. Они обе заключаются в удалении образования. Но в первом случае его убирают полностью, а во втором - иссекают только переднюю стенку.
Главная цель стоматолога-хирурга, сохранить зуб, растущий в области нахождения новообразования. К сожалению, удается это не всегда. Так, если зубной корень погружен в полость кисты более чем на 60% своей длины, показано экстренное удаление. Такая единица уже не может быть функциональной. Вскоре после иссечения опухоли она все равно расшатается и выпадет.
Поэтому очень важно не запускать заболевание. Учитывая, что оно долгое время может никак себя не проявлять, важно ежегодно проходить профильный осмотр в стоматологическом кабинете. Это увеличит шансы на успешную раннюю диагностику.
Что будет, если не лечить

Несмотря на то, что острая симптоматика при описываемом диагнозе у большинства пациентов отсутствует, разрастание полости может приводить к очень неприятным и даже опасным для здоровья последствиям. Имеются в виду:
- сепсис;
- флегмона;
- преждевременное расшатывание и выпадение одного или нескольких зубов;
- воспалительное поражение тканей надкостницы;
- формирование злокачественного опухолевого новообразования по причине перерождения клеток;
- остеомиелит;
- частое появление свищей;
- высокий риск перелома.
Все эти последствия являются небезобидными, поэтому так важно обнаружить патологию в самом начале ее развития.
Что можно сделать, чтобы избежать болезни

Снизить вероятность развития заболевания можно, следуя несложным правилам:
- Чистить зубы дважды в день. Использовать во время проведения гигиенических процедур качественную щетку и пасту. Не забывать о роли стоматологических ополаскивателей и зубной нити.
- Раз в год удалять зубной камень в стоматологическом кабинете с помощью ультразвукового скалера. Профессиональная гигиена является лучшей профилактикой большинства стоматологических недугов.
- Сбалансированно и правильно питаться. Кушать меньше сладостей. Употреблять много свежих фруктов и овощей.
- Раз в год проверять здоровье зубов. Посещать врача нужно, даже если ничего не беспокоит.
- Всегда выполнять назначения врача-стоматолога.
- Избегать травматических поражений лица. В случае занятия потенциально опасными видам спорта, всегда надевать специальную защитную экипировку.
Киста челюсти — это опасная опухоль. Изначально она является доброкачественной, но при создании определенных условий может становиться злокачественной. Благо, происходит это крайне редко.
Если новообразование будет расти очень быстро, возможен даже перелом челюсти. Не стоит доводить до такого. Лечение обязательно должно быть своевременным и грамотным.
Читайте также:
