Психотерапия в стоматологии. Ортопедическое лечение дефектов зубов и зубных рядов
Добавил пользователь Евгений Кузнецов Обновлено: 22.01.2026
1 ГБОУ ВПО «Саратовский государственный медицинский университет им. В.И. Разумовского Минздрава России»
Многолетняя врачебная практика показывает, что часто у стоматологических пациентов формируется стойкая психоэмоциональная установка на боль. Еще не войдя в кабинет и не видя инструментария, а лишь при одной мысли о предстоящем лечении пациент испытывает стойкое психоэмоциональное напряжение. Как правило, предпосылкой для такой реакции является негативный опыт предыдущих посещений стоматолога. Это тяжелое наследие породило целую эпоху «стоматофобии», которая усугубляла стоматологическую патологию у пациентов, так как несвоевременное лечение из-за боязни влекло за собой тяжелые осложнения. По данным литературы, до 84% пациентов испытывают чувство страха и опасения за неблагоприятный исход стоматологического лечения. Приходится признать, что в целом подход к началу стоматологического лечения проводится стандартно, без учета психоэмоционального состояния пациента и учета сопутствующей патологии. Таким образом, правильная психотерапевтическая тактика и индивидуальный подход к выбору премедикации нормализуют основные вегетативные функции организма, снижают психоэмоциональное напряжение, расслабляя и действуя успокаивающе.

1. Анисимова Н.Ю., Сирота Н.А., Рабинович С.А. Мотивационное интервьюирование в амбулаторной стоматологической практике // Медицинская психология в России : электрон. науч. журн. - 2013. - № 6 (23).
2. Бизяев А.А., Коннов В.В., Перунов А.Ю., Кречетов С.А., Бизяева Н.Д. Профилактика нарушений фонетической адаптации при изготовлении несъемных ортопедических конструкций // Саратовский научно-медицинский журнал. - 2011. - Т. 7, № 1 (приложение). - С. 274.
3. Бизяев А.Ф., Иванов С.Ю., Лепилин А.В., Рабинович С.А. Обезболивание в условиях стоматологической поликлиники. - М. : ГОУ ВУНМЦ МЗ РФ, 2002. - 144 с.
4. Бизяев А.Ф., Лепилин А.В., Иванов С.Ю. Премедикация в условиях стоматологического приема. - Саратов, 1992. - 135 с.
5. Бойко В.В. Физический дискомфорт пациента на стоматологическом приеме: формы, выявление, преодоление. - СПб. : Сударыня, 2003. - 80 с.
6. Коррекция стресса пациентов на амбулаторном стоматологическом приеме / А.Б. Бичун, М.С. Золотов, И.А. Родина [и др.] // Клиническая и медицинская психология: исследования, обучение, практика : электрон. науч. журн. - 2015. - № 2 (8).
7. Михальченко В.Ф. Системные механизмы формирования эмоционального напряжения человека в условиях стоматологического приема : дис. … докт. мед. наук. - Волгоград, 2002.
8. Новикова С.Г. Премедикация при амбулаторных стоматологических вмешательствах в зависимости от индивидуально-типологических особенностей пациентов : дис. … докт. мед. наук. - М., 2008.
9. Разаков Д.Х., Коннов В.В., Бизяев А.А. Ортопедическое лечение пациентов с деформациями зубных рядов и прикуса. - Саратов : Изд-во Сарат. мед. ун-та, 2013. - 100 с.
10. Севбитов А.В., Макеева И.М. Методы оценки и коррекции стоматофобии. - МЕДпресс-информ, 2009. - 28 с.
11. Тлустенко В.П., Головина Е.С., Тлустенко В.С. Функциональный анализ и ортопедическая подготовка пациентов к дентальной имплантации при трансверзальных смещениях челюсти // Известия Самарского научного центра Российской академии наук. - 2011. - Т. 13, № 4-4. - С. 1211-1214.
12. Трезубов В.Н., Незнамов Г.Г. Профилактика и терапия психогенных реакций в амбулаторной стоматологической практике : методические рекомендации. - М., 1989. - 40 с.
13. Bizyaev A.A., Konnov V.V., Lepilin A.V., Maslennikov D.N., Bizyaeva N.D. // Saratov Journal of Medical Scientific Research. - 2011. - 7 (2). - Р. 474-477.
В современных условиях для оказания комплексной стоматологической помощи пациентам необходимо учитывать не только характер основного заболевания, но и особенности психосоматического состояния пациента, и отношение его к стоматологическому лечению [14]. Основными предпосылками необходимости психологической подготовки являются постоянно возрастающие требования к качеству стоматологической помощи, в частности ортопедической, и немаловажный фактор увеличения распространенности пограничных психических расстройств среди современного населения. Учитывая важную роль профилактики и коррекции психоэмоциональных нарушений для повышения эффективности стоматологической помощи, уже на начальных этапах диагностики патологии зубочелюстной системы необходимо сочетать профилактику психоэмоционального напряжения с установлением индивидуальных особенностей отношения пациента к заболеванию и характерных для него эмоциональных реакций [1; 3; 6].
Основными диагностическими приемами в амбулаторной стоматологической практике являются: наблюдение за поведением пациента, его моторикой, эмоциональными и вегетативными реакциями; опрос, позволяющий выяснить особенности субъективных переживаний и отношения пациента к ним [2; 8; 9]. В качестве дополнительных методов исследования широко применяются различные опросники и психометрические шкалы. Однако основой диагностического процесса остается клиническое мышление врача, именно поэтому врачу-стоматологу необходимо не только знать основы медицинской психологии и психопрофилактики, но и применять их в своей ежедневной практике [13].
Успех протезирования во многом зависит от настроенности пациента на положительный исход лечения, желания сотрудничать с врачом в период лечения, создавая атмосферу доверия и партнерства, выстраивая систему положительных отношений «врач - пациент». Но, к сожалению, лечебный процесс порой проходит рутинно, без достаточного контакта врача с пациентом, зачастую носит формальный характер. Ко всему этому присоединяются ограничение времени амбулаторного приема, неидеальные условия лечебных кабинетов для психотерапевтического воздействия на пациентов.
К специфическим предпосылкам проведения психотерапевтических процедур на ортопедическом приеме, прежде всего, относится болезненность и травматичный характер процедур. Препарирование зубов, инъекции, ретракция, получение оттисков и т.д. - все это у пациентов вызывает страх, тревогу в ожидании боли, психоэмоциональное напряжение. Не менее значимыми факторами остаются: эстетические дефекты, нарушение речи, невозможность полноценного приема пищи, в дальнейшем сюда присоединяются психологические перестройки во время привыкания к протезам. И наконец, настроенные после нескольких недель лечения у терапевта и хирурга на односеансный метод лечения, пациенты бывают удручены большим количеством повторных посещений, характерных для ортопедического приема.
Цель исследования
Таким образом, целями психотерапевтической работы стоматолога-ортопеда являются купирование тревожности и психоэмоционального напряжения, коррекция нервного отношения пациентов к ортопедическому лечению и предотвращение невротических реакций.
Самая распространенная форма психотерапии - охранительный щадящий режим в отделении (поликлинике). Сюда входит уют и непохожесть интерьера поликлиники на обстановку лечебного учреждения. Это достигается за счет использования витражей, картин, слайдов, освещения, тихой музыки, аквариумов и т.д. Врачебный кабинет не должен быть загроможден, стоматологическое оборудование должно иметь нейтральные цвета на фоне более ярких оттенков мебели, стен, потолка.
Следующей составляющей щадящего режима является создание благоприятных условий для взаимоотношений пациента с медицинским персоналом и врачом. Для установки таких доверительных отношений большое значение имеет их первая беседа. В первые 5-10 минут пациенту задаются традиционные вопросы, чтобы он адаптировался к обстановке, при этом может использоваться мимика врача: одобрительный кивок, улыбка и т.д. Такая тактика называется «терапия молчания». При дальнейшем общении следует исключить из употребления такие слова, как «боль», «игла», «шприц», «мертвый зуб». При этом все режущие, колющие, вращающиеся инструменты не должны попадать в поле зрения пациента.
Психосоциальный фактор подготовки пациента к лечению предполагает способность врача быстро установить сопереживающий контакт с пациентом. Некоторые врачи способны делать это интуитивно, другие достигают этого интеллектуально и эмпирически, а третьим необходимо развить эти способности в себе или в крайнем случае выучить необходимую «роль» [11; 12].
В процессе первого и последующего визитов пациента необходимо развеять все его сомнения и внимательно отнестись ко всем его пожеланиям и высказываниям. При этом на начальных этапах лечения стоматологу-ортопеду полезно использовать демонстрационные модели, слайды, фотографии, рисунки, 3D-моделирование исходной ситуации и итога предполагаемого лечения. При заинтересованности пациента в этом обязательно должны обсуждаться вопросы о материалах, из которых будет изготовлен протез, и их подробная характеристика [15; 16]. Таким образом предупреждаются и корректируются психоэмоциональное напряжение и невротические реакции, возникающие при недостатке информации у пациента и как следствие неведения или ошибочных суждений. Такая информация должна предоставляться и о причинах, прогнозе, особенностях, характере заболевания, всех лечебно-восстановительных мероприятиях, правилах поведения пациента, направленного на преодоление болезни. При этом не следует давать пациенту больших гарантий, кроме вселения уверенности и успокоения. На протяжении всего периода лечения пациент должен ощущать внимание, заинтересованность и симпатию к нему.
Заметное психотерапевтическое действие носит непосредственное протезирование, которое исключает даже кратковременную нетрудоспособность или ущербность пациента при утрате одного или нескольких как передних, так и боковых зубов.
При этом наиболее распространенными ошибками врачей-ортопедов, приводящими к созданию негативного эмоционального фона на приеме, являются нарушение принципов законченности лечения и игнорирование анестезиологической защиты пациента на приеме (премедикация и обезболивание).
Таким образом, в структуре психотерапевтической деятельности врача ортопеда-стоматолога и качества психологической подготовки пациента можно выделить следующие компоненты:
- Профессиональный - клиническая зрелость, высокие мануальные навыки врача и эрудиция.
- Психосоциальный - создание доверительных отношений и сопереживающего контакта врача с пациентом.
- Этический - достигается повышением уровня культуры врачебного приема.
- Организационный - включает в себя четкость работы всех служб и подразделений в стоматологической поликлинике.
На стоматологическом приеме врачу прежде всего приходится сталкиваться не с пациентами, имеющими психические патологии, а с лицами, имеющими как отчетливое преобладание, так и ярко выраженные отдельные черты личности [10]. Чаще встречается преобладание астенических черт, затем возбудимых, тревожных, демонстративных и сензитивных. Такие индивидуально-типологические особенности стоматологических пациентов и степень их выраженности имеют важное значение для прогнозирования состояний повышенного психоэмоционального напряжения в процессе лечения.
Материалы и методы исследования
Для правильного выбора метода воздействия на пациента необходимо выяснить его отношение к своему заболеванию и уровень тревожности, определяющий психоэмоциональное напряжение. Учитывая специфику амбулаторного стоматологического приема врача ортопеда-стоматолога, и для количественной характеристики интенсивности тревожности нами использовалась шкала Спилбергера в адаптации Ханина [14].
Пациенту предлагалось внимательно прочитать каждое из указанных ниже предложений и зачеркнуть соответствующую цифру справа в зависимости от того, как он чувствует себя в данный момент.
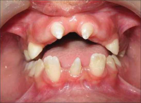
Дефекты зубных рядов
Дефекты зубных рядов - нарушения в строении зубной дуги, проявляющиеся отсутствием одного или сразу нескольких зубов, неправильным прикусом и расположением зубов. Сопровождаются нарушением жевательной функции, смещением зубов, постепенной атрофией или деформацией кости челюсти. Представляют собой заметный косметический недостаток, ведут к нарушению речи, повышают риск потери здоровых зубов. Адекватное протезирование и ортодонтическое лечение обеспечивают полное восстановление речевой и жевательной функций и сохранение здоровых зубов.

Общие сведения
Дефекты зубных рядов - это нарушение целостности зубной дуги вследствие потери одного или нескольких зубов. Потеря зубов может быть обусловлена травмой, осложнениями кариеса и пародонтита, а так же врожденной адентией или задержкой в прорезывании отдельных зубов.
Клинические проявления дефектов зубных рядов
Отмечается нарушение непрерывности зубного ряда, что ведет к перегрузке отдельных групп зубов, нарушению жевательной и речевой функций и к нарушениям функционирования височно-нижнечелюстного сустава. При отсутствии терапии дефектов зубных рядов формируется вторичная деформация прикуса и нарушения деятельности жевательных мышц. Кроме этого отсутствие передних зубов негативно сказывается на внешнем виде.
Со временем формируется две группы зубов: те, что сохранили свои функции и те, что их утратили. В результате того, что нагрузка распределяется неравномерно, присоединяются другие патологии зубов - происходит смещение зубного ряда и деформация окклюзионных поверхностей. Различают два типа дефектов зубных рядов - включенные и концевые. При включенных дефектах по обеим сторонам дефекта зубной ряд сохранен. При концевых - дефект ограничен только с передней стороны.
Лечение дефектов зубных рядов
Первым этапом ортопедического лечения является обследование пациента, после чего врач-ортопед предлагает пациенту оптимальный вариант зубопротезирования. После подборки индивидуальной конструкции протеза проводят санацию полости рта. На этом этапе производится удаление зубов и корней, не подлежащих лечению, удаление зубного камня и лечение кариеса. Подготовка опорных зубов заключается в препарации и обтачивании, после чего делается слепок челюсти. По слепку зубов в зуботехнической лаборатории изготавливают коронки на опорные зубы, их цвет подбирается индивидуально. После примерки изготавливают окончательный протез, который фиксируется на цементах.
Значительные дефекты зубных рядов и адентия требуют использования съемного протезирования зубов. Съемные протезы изготавливаются из акриловых пластмасс с помощью литьевой прессовки и последующей горячей или холодной полимеризации либо безмономерных материалов. Цвет, размер и форма будущих протезов подбирается индивидуально. Современные технологии позволяют пациентам после зубопротезирования полностью избавиться от проблем, связанных с дефектами зубных рядов. Протезы имеют высокую износостойкость и гарантийный срок, что позволяет реже производить их ремонт и замену.
Если отсутствует группа зубов, то применяют частично съемные протезы. Частично съемные протезы применяются в том случае, если необходимо восстановить основные жевательные зубы и при отсутствии зубов на большой протяженности. Этот метод используется и в том случае, если пациент отказывается от обточки соседних зубов и вследствие этого фиксация мостовидных протезов невозможна. Бюгельное протезирование применяется и в тех случаях, когда у пациентов наблюдается патологическая стираемость зубов или глубокий прикус.
Нейлоновые зубные протезы отличаются гибкостью, прочностью и способностью выдерживать значительные механические нагрузки. С помощью нейлоновых зубных протезов можно решить небольшие изъяны и значительные дефекты зубных рядов вплоть до адентии. Нейлоновые протезы не изменяют своей структуры и формы при воздействии агрессивных химических веществ и в условиях повышенной влажности. Такой тип протезирования подходит для людей с аллергией на другие компоненты протезов, так как нейлон гипоаллергенен и поэтому при наличии аллергии к металлу, винилу, акрилу и латексу, стоматологи советуют нейлоновые протезы. Они фиксируются дентаальвеолярными кламмерами и маскируются под цвет десен, поэтому абсолютно незаметны во время разговора. Их использование не причиняет вреда деснам и здоровым зубам. Отсутствует необходимость снимать их на ночь, что актуально для людей молодого возраста, у которых имеются дефекты зубных рядов. Нейлоновые протезы требуют съема в редких случаях для проведения чистки.
Зубные протезы из керамики легкие и эстетичные. Они широко применяются при реставрации передних зубов, потому как способны полностью имитировать форму цвет и полупрозрачность натуральной эмали. Керамические протезы скрывают дефекты разной степени тяжести и их применяют при разрушении зубов. Стоматологи рекомендуют керамику, так как она безвредна для организма и костей, не повреждает слизистую рта и десны, не вступает в реакцию с химическими веществами и не подвержена влиянию микроорганизмов.
Правильная эксплуатация и гигиенический уход за протезами существенно влияет на их внешний вид. Кроме того, они должны быть грамотно изготовлены и не вызывать чувство дискомфорта или ощущения инородного тела в полости рта.
Доступность зубопротезирования, благодаря различным технологиям, позволяет восстановить зубной ряд. Стоит учесть, что дефекты зубных рядов не только нарушают внешний вид и влияют на жевательную и речевую функции, но и ведут к вторичным деформациям зубов. Не забывайте, что выбор специалиста крайне важен, так как неправильное протезирование может привести к осложнениям вплоть до потери опорных зубов.
Аномалии зубных рядов
Аномалии зубных рядов - это врожденные или приобретенные нарушения формы и длины нижней и верхней зубных дуг, характеризующиеся неправильным расположением (скученностью, асимметрией, транспозицией, изменением количества и пр.) зубов. Сопровождаются неправильным прикусом, нарушениями смыкания зубов, неудовлетворительной эстетикой улыбки. Диагностируются аномалии зубных рядов на основании признаков, выявленных во время стоматологического осмотра, изучения диагностических моделей и рентгенологических данных. Лечение аномалий зубных рядов состоит в восстановлении их нормальной формы и длины при помощи ортодонтической терапии, методов хирургической и ортопедической стоматологии.
МКБ-10



Аномалии зубных рядов - обобщенное название ряда патологий формы и длины зубных дуг, оказывающих влияние на эстетику улыбки человека и функциональность зубочелюстной системы. Нормальная анатомическая форма зубного ряда верхней челюсти напоминает полуэллипс, а нижней - параболу. Аномалии зубных рядов могут характеризоваться удлинением либо укорочением, сужением или расширением зубных дуг на определенных участках челюсти. Аномалии зубных рядов проявляют себя скученным или неправильным расположением зубов (оральным или вестибулярным наклоном, поворотом по оси и т. д.), неполной адентией, тремами, диастемами, гиперодонтией и т. п. Нарушения формы и длины зубных рядов могут развиваться независимо друг от друга. В таких случаях часто наблюдается неправильная окклюзия пар зубов-антагонистов.

Причины
Основополагающими факторами, лежащими в основе формирования аномалий зубных рядов, считают недоразвитость и деформацию челюстей, обусловленные генетическими отклонениями, различными заболеваниями, перенесенными в детстве, а также вредные оральные привычки (сосание пустышек, пальцев и пр.). Аномалии зубных рядов бывают обусловлены недоразвитостью и деформациями челюстей, развившимися на фоне:
- различных болезней (например, рахита);
- парафункции мимической и жевательной мускулатуры, мышц языка;
- затрудненности носового дыхания;
- макродентии или микродентии;
- нарушений глотания (дисфагии);
- гиперодонтии или частичной адентии;
- короткой уздечки языка и т. д.
Классификация
Аномалии зубных рядов различаются по отношению к трансверзальной (горизонтальной), сагиттальной (передне-задней) и вертикальной плоскости.
1. Трансверзальными аномалиями называют сужение или расширение зубных дуг, характеризующееся уменьшенным или увеличенным расстоянием между медиальной плоскостью и латерально стоящими от нее зубами. Среди нарушений, относящихся к данному виду, встречаются следующие формы:
- V-образная (сужение в боковых сегментах, разворот центральных и боковых резцов вокруг своей оси, выдающийся вперед фронтальный участок);
- остроугольная (сужение в области клыков);
- общесуженная (все зубы располагаются очень тесно, ближе к медиальной плоскости);
- седловидная (сужение в области премоляров и первых моляров);
- трапециевидная (уплощение фронтального участка челюсти, сужение боковых отделов);
- асимметричная (различное расположение боковых зубов по отношению к медиальной плоскости с разных сторон челюсти);
- аномалии, характеризующиеся гиперодонтией.
2. Сагиттальные аномалии зубных рядов (удлинение или укорочение) возникают из-за вестибулярного или орального наклона зубов во фронтальной области.
3. Вертикальными аномалиями называются зубоальвеолярные укорочения и удлинения отдельных сегментов зубных рядов.

Симптомы
Одним их главных симптомов аномалий зубных рядов считается скученность зубов, которая выражается в очень тесном их расположении. При этом зубы обычно развернуты вокруг собственной оси и «находят» друг на друга. Довольно распространенными признаками аномалий зубных рядов являются диастемы и тремы - щели между отдельными зубами. К аномальным проявлениям относят также отклонения числа зубов. Это может быть как частичная адентия (врожденная или приобретенная), так и наличие сверхкомплектных зубов.
Кроме того, к симптомам аномалий зубных рядов причисляют наклоны зубов в различных направлениях. При вестибулярном наклоне зубы смещены наружу (в сторону щек), а при оральном - внутрь (в сторону языка). Встречается мезиодистальное отклонение зубов, при котором зубы в ряду относительно своего нормального положения наклонены вперед или назад. Разворот зубов (обычно - резцов) вокруг продольной оси также рассматривается как признак аномалии.
Диагностика
Диагностика аномалий зубных рядов осуществляется врачом-стоматологом и ортодонтом на основании обнаруженных во время осмотра клинических признаков, рентгенологического исследования (ортопантомографии) и антропометрического анализа гипсовых моделей челюстей пациента. Для объективной оценки всех параметров зубных рядов с челюстей пациента снимаются оттиски и изготавливаются диагностические модели, после чего с использованием циркуля и линейки проводится их изучение. Размеры зубов анализируют с использованием таблиц Ветцеля и В.Л. Устименко.
На моделях также измеряют протяженность зубных рядов. После определения мезиодистальных размеров зубов получают их сумму. Затем проводят измерение длины зубного ряда при помощи капроновой нитки или тонкой проволоки, которую располагают вдоль режущего края и жевательной поверхности зубов до линии дистальных поверхностей вторых молочных или первых постоянных моляров. Значение суммы поперечных размеров зубов при скученности или дефиците места оказывается меньше протяженности зубного ряда, а при наличии щелей между зубами - больше. В случае асимметрии зубных рядов ширина их правых и левых частей измеряется от срединной линии, образованной небным швом на верхней и уздечкой языка - на нижней челюсти.
Лечение аномалий зубных рядов
Коррекция аномалий зубных рядов предполагает применение методов ортодонтии, хирургической и ортопедической стоматологии, приводящих к расширению или сокращению зубных дуг и правильной постановке зубов. Рациональный способ лечения определяется с учетом совокупности нескольких факторов: смыкания боковых зубов, причин аномалии (недоразвитость базиса челюсти или др.), суженности зубной дуги, возраста пациента (завершен ли период активного роста челюстей). Также учитывается, возможно ли устранить аномалию только лишь методами ортодонтии, или необходимо и целесообразно подключать хирургические и ортопедические методы лечения и т. д.

Ортодонтическое лечение
В настоящее время существует значительное количество различных систем ортодонтических аппаратов, позволяющих с успехом устранять многие аномалии зубных рядов. У детей с молочным прикусом и во время прорезывания постоянных зубов отклонения устраняются с помощью пластиночных аппаратов с винтами. При равномерном сужении зубного ряда винт размещают в области премоляров в середине зубной дуги, а при глубоком небе используется пружина Коффина.
Если сужению зубного ряда сопутствует протрузия верхних фронтальных зубов, применяется пластиночный ортодонтический аппарат с винтом, дополненный вестибулярной дугой. При расположении сужения в переднем либо заднем сегменте зубного ряда винт устанавливается соответственно локализации аномалии. По показаниям используются ограничители. В случае одностороннего сужения или смещения нескольких зубов применяется асимметричное положение винта и распил пластинки. При трапециевидной форме зубного ряда (его уплощении на фронтальном участке) используется пластинка с секторальным распилом в области резцов, а при укорочении переднего участка верхней челюсти возможно применение капп Шварца и Бынина.
При постоянном прикусе воздействие на аномалии зубных рядов осуществляется с помощью несъемной аппаратуры (например, дуги Энгля) и брекет-систем, посредством которых возможно одновременно перемещать зубы вперед и придавать нормальное положение относительно их собственной оси. При укорочении боковых сегментов зубного ряда зачастую бывает недостаточно места для клыков и премоляров из-за того, что первые моляры смещены вперед. Для придания им нормального положения показано использование пластинки с секторальным распилом, винтом и кламмером на смещаемый зуб. В подобных случаях одних ортодонтических методов может оказаться недостаточно, поэтому приходится прибегать к удалению премоляра, отчего лечение лучше проводить сразу после прорезывания постоянных зубов.
В последнее время все большее распространение получают несъемные дуговые ортодонтические аппараты и лингвальные брекеты, которые фиксируются с небной стороны коронок зубов. Будучи весьма функциональными, они имеют значительные эстетические преимущества, поскольку не видны окружающим, что немаловажно для пациентов, особенно в пубертатном периоде.
Ортопедическое лечение
При расширении зубного ряда у пациента возникают щели и промежутки между зубами. Устранение трем и диастем с использованием ортодонтических аппаратов затруднено, поскольку возникновение таких аномалий обычно связано с увеличением тела челюсти или альвеолярного отростка. Проблему можно устранить протезированием. Но если промежутки не слишком значительны и не вызывают у пациента нареканий, ортопедическое и ортодонтическое воздействие является необязательным.
Хирургическое лечение
В случае макродентии и скученности зубов одно ортодонтическое лечение малоэффективно. Для расстановки зубов в правильное положение обычно требуется удаление 1-2 зубов, чаще премоляров, на место которых перемещают аномально расположенные резцы и клыки. Такое сочетание ортодонтической и хирургической стоматологии часто применяется у пациентов старшего возраста, но если диагноз макродентия поставлен в период смены зубов, возможно использование метода Хотца, при котором последовательно удаляемые молочные зубы позволяют правильно располагать прорезающиеся постоянные зубы. Своевременное применение этого метода зачастую дает возможность избежать ортодонтической помощи или сделать ее минимальной.
Прогноз и профилактика
Важную роль в исправлении аномалий зубных рядов играет ранняя диагностика: чем раньше будут начаты лечебные мероприятия, тем большего успеха, как правило, удается добиться. Самым благоприятным периодом для профилактики и лечения аномалий считается дошкольный возраст, который связан с формированием молочного прикуса, позднее терапия становится менее эффективной и требует больших затрат. В случае своевременного обнаружения и лечения аномалий зубных рядов прогноз в целом благоприятный. Современные стоматологические методы позволяют исправлять большинство отклонений.
Профилактика возникновения аномалий зубных рядов состоит в устранении их возможных причин в пренатальном периоде и в первые годы жизни ребенка. Профилактические мероприятия включают в себя заботу о здоровье матери и ребенка, лечение хронических и инфекционных заболеваний, избавление от вредных привычек (сосание пальцев, предметов) и т. п. Для раннего обнаружения развития аномалий зубов рекомендуется регулярно посещать стоматолога в рамках профосмотра.
3. Аномалии зубных рядов в структуре зубочелюстных аномалий у детей 7-18 лет/ Суслова О.В., Желизняк Н.А., Стеценко Д.В., Кордонец Е.Л., Анисимов М.В.// Вестник стоматологии. - 2019.
Психотерапия в стоматологии. Ортопедическое лечение дефектов зубов и зубных рядов

На постсоветском пространстве наблюдается негативная тенденция к росту количества дефектов зубных рядов у лиц молодого и среднего возраста.
Это поднимает вопросы по разработке более эффективных и экономичных методов лечения, в том числе адаптированных для пациентов с зубочелюстными деформациями.
Развитие стоматологии базируется на разработке новых материалов, методов лечения стоматологических заболеваний, усовершенствованных ортопедических конструкций и методов протезирования.
Вместе с тем сохраняется недостаточная обеспеченность населения стоматологической помощью и низкий уровень профилактики заболеваемости, что обусловливает значительную распространенность кариеса, заболеваний пародонта и, как следствие, высокую распространенность частичной и полной потери зубов.
Методы лечения дефектов зубных рядов
Малые дефекты зубного ряда, осложненные зубочелюстными деформациями, в том числе при потере первого или второго постоянного моляра, замещают следующими методами:
Ортопедическое лечение
Ортопедическое замещение малых дефектов осуществляется путем изготовления мостовидных протезов, препарируя соседние зубы и используя их как опору при фиксации протеза, а также путем изготовления адгезивных мостовых протезов или частично съемных протезов, в том числе из термопластичных материалов.
Хирургическое лечение
Обычно хирургическое лечение проводится путем удаления зубов, конвергирующих в область дефекта зубного ряда, с установкой дентального имплантата и последующим изготовлением искусственной коронки на него.
Ортодонтическое лечение
Метод предполагает использование несъемной конструкции (брекет-систем) путем дистализации смещенных или конвергирующих в область дефекта моляров.
Комплексное лечение
Комплексный подход предполагает более сложное лечение с перестройкой самой рефлекторной деятельности зубочелюстной системы пациента.
Дистализация моляров для создания ортодонтического пространства
Лечение зубочелюстных деформаций как осложнений частичной потери зубов у взрослых имеет свои особенности, поскольку проводится при сформированном лицевом скелете.
Костная ткань у взрослых пациентов менее податлива и хуже перестраивается, что связано с ослаблением обменных процессов, снижением пластичности и увеличением плотности.
Кроме того, у взрослых процесс адаптации к ортодонтическим аппаратам протекает медленно и сложно; не все виды зубочелюстных деформаций у взрослых могут быть ортодонтически излечимыми.
Решение этой проблемы ортодонтическими конструкциями (съемными и несъемными) в той или иной степени освещается ведущими отечественными и зарубежными специалистами.
Причем в центре внимания находятся методики дистального перемещения боковых зубов верхней и нижней челюстей.
При применении распространенных съемных пластиночных аппаратов происходит не только корпусное, но и перемещение с наклоном и вращением зуба вокруг своей оси, что становится причиной морфофункциональных нарушений в боковых отделах зубных рядов.
Кроме того, эффективность таких аппаратов недостаточно высокая.
Существующие схемы лечения с применением несъемной ортодонтической техники достаточно трудоемкие и не всегда дают адекватные эстетические результаты.
Из-за негативного отношения пациентов к ношению лицевой дуги и разцементирования опорных колец на молярах эффективность этих методов резко снижается, что значительно увеличивает сроки стоматологического лечения.
Дистализация моляров позволяет в дальнейшем создать благоприятные условия для замещения дефекта зубного ряда рациональными конструкциями зубных протезов, а коррекция положения моляров в зубной дуге обеспечивает более благоприятную трансформацию жевательного давления через ткани пародонта.
Дистализация моляров может применяться для устранения деформаций зубного ряда в связи с лечением конвергенции зубов в области дефекта зубного ряда.
Поэтому создание свободного пространства путем дистализации моляров для дальнейшего восстановления дефекта зубного ряда является очень актуальным вопросом, особенно у лиц молодого возраста. Дистализация моляров достигается использованием специально разработанных аппаратов.
Такая техника может потребоваться для создания пространства, установки дентального имплантата и рационального протезирования при малых дефектах зубных рядов третьего класса по Кеннеди (в частности, при потере первого и второго постоянного моляра).
Поскольку дистализация происходит под действием силы, создаваемой ортодонтическим аппаратом, первой проблемой ортодонтического лечения является проблема определения величины усилия, необходимого для его проведения.
При этом важно не только определение величины ортодонтического усилия, но и способа приложения его к перемещаемому зубу. Важным аспектом является учет плотности костной ткани, как в области перемещаемых зубов, так и в области предстоящей установки дентального имплантата.
Второй проблемой, которая возникает в процессе дистализации зубов, является определение опоры для ортодонтического аппарата, на которую действует сила со стороны этого аппарата.
Сила реакции аппарата по значению равна ортодонтическому усилию, но направлена в противоположном направлении. Опорные элементы, на которые опирается ортодонтическое устройство, должны быть такими, чтобы не перемещались в процессе лечения и не приводили к осложнениям дистализации зубов.
Упомянутые проблемы решаются с помощью механико-математического моделирования процессов передвижения зубов, которое находит все большее применение в стоматологии.
Новые материалы и конструкции зубных протезов
Одним из наиболее важных элементов планирования ортодонтического лечения является прогнозирование времени для замещения дефектов зубных рядов, основанное на знаниях механических свойств костной ткани.
Механические характеристики костной ткани конкретного пациента зависят от ее структурно-функционального состояния, в частности, наличия локальных и системных патологических процессов, а также от возраста и пола пациента.
Учет индивидуальных особенностей зубочелюстной системы является предпосылкой адекватного планирования лечебных мероприятий в сложных клинических случаях и обязательно требует индивидуального подхода.
В случае невозможности проведения ортодонтического лечения деформации зубного ряда применяется терапевтическая подготовка, которая проводится строго по показаниям.
Подготовка предусматривает эндодонтическое лечение (депульпирование) смещенных зубов с целью зашлифовывания коронок зубов, сместившихся к уровню протетической плоскости, лечение заболеваний пародонта и слизистой оболочки ротовой полости.
Показаниями к девитализации опорных зубов в случае последующего замещения дефекта мостовидным протезом считаются зубочелюстные деформации с выраженным вертикальным и горизонтальным смещением зубов в сторону дефекта, ортопедическое лечение которых требует препарирования значительного слоя твердых тканей зубов.
Для ортопедического замещения отсутствующего зуба может быть использован съемный или несъемный протез или коронка на имплантате, что предполагает восстановление функциональной окклюзии.
Проблему малых дефектов зубного ряда часто решали путем применения классических мостовидных протезов, изготовление которых предусматривает препарирование твердых тканей коронок опорных зубов, а в некоторых ситуациях их депульпирование, что является абсолютно нефизиологичным при наличии интактных опорных зубов.
Из-за ошибок на этапах протезирования с помощью покровных несъемных мостовидных протезов встречаются такие осложнения, как термический ожог пульпы зубов, гингивит и краевой пародонтит, травматические перегрузки пародонта опорных зубов, а также дискоординация функции жевательных мышц и заболевания ВНЧС.
Кроме того, возникают различного характера осложнения после проведенного эндодонтического лечения, часто неоправданного.
Особенно это актуально у пациентов молодого возраста, когда необходимо замещение единичного дефекта. Для замещения включенных дефектов зубного ряда чаще применяются различные несъемные мостовидные протезы: штамповано-пластинчатые, цельнолитые и комбинированные, керамические, пластмассовые.
По статистике, около 1/3 специалистов в своей практической деятельности рекомендуют своим пациентам устранение единичного включенного дефекта зубного ряда. Остальные 2/3 стоматологов рекомендуют замещение одиночного включенного дефекта зубного ряда ортопедической конструкцией, в зависимости от клинической ситуации.
Незначительный процент специалистов считают необязательными восстановление целостности зубного ряда при малом включенном дефекте.
Использование общеизвестных мостовидных протезов рекомендуется во фронтальном отделе зубного ряда в 36,5% (в том числе металлокерамических протезов 30%), штамповано-паяных протезов в жевательной отделе зубного ряда в 49%, что объясняется повышенной жевательной нагрузкой в боковом отделе зубного ряда.
Однако при наличии интактных опорных зубов общеизвестные мостовидные протезы врачи рекомендуют в два раза реже. Для передних зубов чаще применяются металлокерамические мостовидные протезы и операции имплантации отдельных зубов (32, 30 и 19% соответственно).
В боковом отделе зубного ряда картина меняется: 19%, 37,5% и 18% соответственно, что связано с повышенным жевательным нагрузкам в указанном отделе.
Недостатки ортопедических методов состоят в том, что при протезировании нарушается целостность твердой ткани зуба, то есть отсутствие одного зуба приводит к необходимости препарирования двух, зачастую полностью интактных зубов.
Приведенные недостатки несъемных мостовидных протезов, а также создание композиционных материалов и техники протравливания, изменение предпочтений пациентов стали толчком к разработке конструкций адгезивных мостовидных протезов, фиксируемых на опорных зубах с помощью клеевых композиций и композиционных материалов.
В 1980 году была предложена методика восстановления зубного ряда с потерей одного или двух зубов путем создания мостовидного протеза, промежуточной частью которого является искусственный зуб с двумя опорными накладками, охватывающих соседние опорные зубы.
К преимуществам адгезивных мостовидных протезов относят:
минимальное препарирование опорных зубов в пределах эмали, благодаря чему использование адгезивных мостовидных протезов можно считать консервативным методом протезирования;
возможность повторного наложения протеза;
отсутствие травмы дентина и раздражение пульпы;
исключение необходимости временных коронок;
отсутствие контакта с десной;
снижение стоимости протеза;
высокий эстетический эффект.
Недостатками применения адгезивных мостовидных протезов являются увеличение толщины опорных зубов с оральной поверхности и недостаточную прочность фиксации.
Один из современных методов одномоментного замещения единично отсутствующего зуба предполагает изготовление мостовидного протеза из композиционного материала светового отверждения. Для них создают полости на контактных поверхностях опорных зубов и наносят композицию и фотополимеризуют, формируя искусственный зуб.
Его промежуточной частью являются армирующие элементы, которые охватывают соседние опорные зубы. Армирующие элементы изготавливаются из ортодонтической проволоки.
Недостатком этой методики является меньшая адгезия большинства фотокомпозитов к металлу по сравнению с эмалью зуба и усадка фотокомпозиционного материала до 3-4%. Последнее свойство может приводить к существенному нарушению краевого прилегания к тканям зуба, образованию трещин и сколов конструкции.
Ряд авторов предлагает технологию изготовления адгезивного протеза с использованием шинирующих лент. Отсутствующий зуб может быть замещен стандартным пластиковым зубом или смоделирован из фотокомпозиционного материала.
Метод одномоментного замещения единичного отсутствующего зуба с помощью различных вариантов без армирующих конструкций с использованием фотокомпозиционных материалов является достаточно эффективным и щадящим, поскольку требует минимального препарирования опорных зубов.
Удачным решением считают применение для фиксации искусственного зуба экстракоронарных (внекоронковых) аттачменов.
Анализ литературных источников показал, что современные методы лечения дефектов зубных рядов меняются в сторону более простых и щадящих видов протезирования.
Использование новых материалов позволит внедрить технологии, которые улучшат качество протезов и минимизируют вмешательство по подготовке опорных зубов.
Применение современных композиционных материалов в сочетании с армирующими волокнами расширяет показания к применению терапевтических методов восстановления дефектов зубных рядов адгезивными протезами.
Современные аспекты дентальной имплантации
При потере уже одного зуба зубочелюстная система является по своему характеру патологической и требует протезирования.
Одним из современных направлений реабилитации больных с дефектами зубных рядов является дентальная имплантация — создание искусственных опор для несъемных или съемных зубных протезов.
Дентальная имплантация как метод ортопедической реабилитации стоматологических больных сегодня становится одним из ведущих при замещении дефектов зубных рядов.
Метод направлен не только на восстановление жевательной функции, но и на получение высокого прогнозируемого результата ортопедической реабилитации.
Развитие направления возможно благодаря достижениям в области материаловедения, биомеханики и новейших технологий, а также в результате изучения закономерностей биологического взаимодействия имплантатов с тканями.
Дентальная имплантация характеризуется высокой эффективностью и значительным спектром возможностей, как при замещении дефектов зубных рядов, так и в целостной реабилитации пациентов при полном отсутствии зубов.
Но ортопедическая реабилитация стоматологических больных с применением дентальных имплантатов часто бывает ограничена и сопровождается определенными трудностями.
Прежде всего, это близкое расположение важных анатомических структур, а именно гайморовой пазухи, носовой полости и сосудисто-нервного пучка нижней челюсти.
Такое анатомическое расположение, согласно статистическим данным, встречается в 30% случаев, поэтому применение дентальных имплантатов не всегда приводит к устойчивому гарантированному успеху. Вероятность неудовлетворительных результатов, по данным различных авторов, колеблется от 7 до 50%.
Длительное отсутствие зубов вызывает вторичные нарушения зубочелюстной системы:
атрофия альвеолярного отростка;
вторичные окклюзионные деформации;
патологические изменения височно-нижнечелюстных суставов.
На современном этапе дентальная имплантация направлена на минимизацию продолжительности остеинтеграции за счет новых систем имплантатов, которые имеют остекондуктивные свойства для создания благоприятных условий для остеинтеграции.
Оптимизация хирургического этапа дентальной имплантации, как этапа подготовки к протезированию, особенно при использовании дентальной имплантации, существенно повышает эффективность реабилитации и делает результат предсказуемым.
Биологические и биомеханические процессы в костной ткани находятся в тесной взаимосвязи друг с другом согласно биологическому принципу, называемому адаптивным костным моделированием и ремоделированием, известным также как «закон Вольфа».
Этот закон гласит, что костная ткань стремится приобрести структуру, лучше приспособленную к восприятию соответствующей нагрузки. Соответственно, если такой нагрузки не происходит, природа имеет тенденцию освобождаться от ненужного объема кости, которая не функционирует (принцип «use it or loose it»).
Таким образом, нагрузка в пределах допустимого стимулирует развитие костной ткани.
Нагрузка, превышающая физиологические пределы, вызывает ее резорбцию.
Исходя из сказанного, показаниями к немедленной функциональной нагрузке дентальных имплантатов могут быть клинические ситуации, в которых показано лечение дентальными имплантатами, при условии достаточной первичной стабильности и отсутствии функциональных перегрузок, то есть травмирующих нагрузок.
Раннее нагрузки предусматривает нагрузки после заживления сроком шесть недель.
Если первичная стабильность отсутствует или вызывает сомнение, некоторые авторы отстаивают необходимость пролонгированного периода заживления ради достижения стабильности имплантата.
Некоторыми авторами рекомендуется нагрузка имплантатов сразу после окончания срока остеоинтеграции в шесть месяцев, считая, что период ремоделирования (от 3 до 5 недель) является периодом риска для функциональной нагрузки.
Сроки нагрузки определяются индивидуально для каждого пациента, в зависимости от клинической ситуации. Но при этом необходимо помнить, что процесс полного созревания кости и минерализации вокруг установленного имплантата длится примерно 6-8 месяцев.
Безусловным правилом достижения полноценной функциональной реабилитации больных с дефектами зубных рядов, замещенных современными конструкциями зубных протезов, в том числе с опорой на дентальные имплантаты, является достижение оптимальной функциональной окклюзии.
Заключение
Одним из самых распространенных патологических состояний зубочелюстной системы является частичная потеря зубов, которая при несвоевременном замещении осложняется различными зубочелюстными дефектами.
Среди комплекса стоматологических мероприятий по реабилитации больных различают ортодонтическую, терапевтическую, хирургическую подготовку и ортопедическое лечение.
Адекватное протезирование с деформациями зубных рядов в некоторых случаях может быть проведено без предварительного ортодонтического лечения, но выбор методов комплексного лечения данной категории пациентов, сроков его проведения и показаний остаются противоречивыми и требуют дальнейшего изучения.

Удалить зуб - это последнее, что предложит врач стоматологического кабинета. В силу ряда причин субъективного и объективного характера, невозможно сохранить зубные ряды в идеальном состоянии до глубокой старости.
Дефекты зубных рядов - потеря одной или нескольких зубных единиц, влекущая к нарушению целостности зубного ряда, отклонению в развитии физиологического прикуса, аномальности расположения отдельных зубов.
Причины, способствующие развитию дефектов зубных рядов
Дефекты зубных рядов возникают вследствие:
- несвоевременного лечения кариеса;
- воспалительных процессов в ротовой полости;
- наличия неправильного прикуса;
- генетической обусловленности;
- заболеваний, влекущих изменения обменных процессов;
- повреждений челюстного аппарата;
- различных новообразований.
Классификация дефектов зубных рядов
Существует несколько видов классификации. В основном стоматологи пользуются тремя из них:
- Классификация по Кеннеди:
- 1 группа - двустороннее отсутствие жевательных зубов;
- 2 группа - одностороннее отсутствие моляра;
- 3 группа - одностороннее отсутствие боковых зубов с сохранением дистальной опоры;
- 4 группа - дефект переднего отдела челюсти.
- Классификация по Бельтману:
- 1 класс - дефект включает адентию жевательных зубов.
а) зубной ряд с односторонними концевыми дефектами;
б) зубной ряд с двухсторонними концевыми дефектами.
- 2 класс - имеется один или несколько включенных дефектов (при наличии концевых единиц может не быть зубов в других частях ряда).
а) количество отсутствующих единиц не превышает трех;
б) количество отсутствующих единиц составляет три и более.
- Классификация по системе Гаврилова:
- 1 группа - зубной ряд с концевыми одно- и двухсторонними дефектами;
- 2 группа - зубной ряд с передними и боковыми одно- и двухсторонними дефектами;
- 3 группа - комбинированные дефекты;
- 4 группа - одиночно сохраненные зубные единицы.
Симптомы и последствия дефектов зубных рядов
Дефекты зубных рядов проявляются:
- расстройством жевательной функции;
- неправильным прикусом;
- нарушением артикуляции;
- единичным смещением зубов;
- нарушением целостности зубного ряда;
- нарушением эстетичности улыбки.
Диагностика дефектов зубных рядов
Удаление одной или более зубных единиц предполагает консультацию стоматолога и врача-ортодонта, особенно, когда речь идет о переднем отделе зубного ряда. Несвоевременное исправление дефекта не лучшим образом отражается на состоянии рядом стоящих зубов.
Как правило, визуального осмотра вполне достаточно для определения метода исправления дефекта. В некоторых случаях может понадобиться рентгенография.
Способы устранения дефектов зубных рядов
Единственный способ устранения имеющегося дефекта состоит в протезировании.
Виды протезирования:
- микропротезирование (потерю одного зуба может устранить зубной протез-бабочка);
- несъемное зубное протезирование;
- съемное и частично-съемное зубное протезирование;
- имплантация.
Большим разнообразием методов и материалов отличается съемное и частично-съемное зубное протезирование.
Протезы бывают:
- бюгельными;
- акриловыми;
- нейлоновыми;
- пластмассовыми.
Несъемное протезирование представляется:
- установлением коронок (металлических, керамических, металлокерамических, фарфоровых);
- микропротезированием (когда наблюдается частичная потеря зуба);
- протезами мостовидными.
Врач-ортодонт предложит метод, исходя из размера, а также характера дефекта зубного ряда.
Профилактические меры помогут сохранить зубы в хорошем состоянии до почтенного возраста. Этому способствуют ежедневные гигиенические процедуры, профилактические осмотры у стоматолога, своевременное устранение образовавшихся дефектов.
2019 © Хорошая стоматология — сеть стоматологических клиник.
Стоматологические услуги около м. Верхние Лихоборы, м. Митино, м. Тушинская, м. Речной вокзал, м. Отрадное, м. Щелковская
Данная страница носит информационно-справочный характер и не является публичной офертой.
Читайте также:
- Привычный вывих плеча: атлас фотографий
- Влияние гипотермии на влечение к алкоголю. Физиология воздействия гипотермии на организм
- Центр образования микротрубочек (ЦОМТ)
- Передняя гистеротомия. Удаление рождающихся фибром матки.
- Атаксический детский церебральный паралич (ДЦП): непрогрессирующая мозжечковая атаксия
