Рабдомиосаркома глазницы: признаки, гистология, лечение, прогноз
Добавил пользователь Валентин П. Обновлено: 21.11.2025
Уведомляем Вас о том, что на данном сайте содержится информация, предназначенная для медицинских специалистов (дипломированных медицинских работников, студентов медицинского образовательного учреждения или представителей компании, работающей в сфере здравоохранения)
Если Вы не являетесь специалистом здравоохранения, администрация не несет ответственности за возможные отрицательные последствия, возникшие в результате самостоятельного использования Вами информации с сайта без предварительной консультации с врачом.
Вы являетесь сотрудником сферы здравоохранения?
Рабдомиосаркома
Саркомы являются злокачественными опухолями, развивающимися из соединительных тканей организма, в частности, из мышц, жировой ткани, оболочек, выстилающих суставы и кровеносные сосуды.
Рабдомиосаркомы развиваются из рабдомиобластов - клеток, которые при созревании образуют скелетные мышцы.
Около 85% рабдомиосарком диагностируется у младенцев, детей и подростков. Чаще всего эти опухоли возникают в области головы и шеи (40%), в мочеполовых органах (27%), на верхних и нижних конечностях (18%) и туловище (7%).
РАБДОМИОСАРКОМЫ ПОДРАЗДЕЛЯЮТСЯ НА ТРИ ОСНОВНЫЕ ТИПА:
Эмбриональная рабдомиосаркома выявляется наиболее часто и располагается обычно в области головы и шеи, мочевом пузыре, влагалище, предстательной железе и яичках. Этот тип рабдомиосаркомы, как правило, диагностируется у младенцев и маленьких детей.
Альвеолярная рабдомиосаркома встречается в области крупных мышц туловища и конечностей и обычно поражает детей более старшего возраста и подростков.
Плеоморфная рабдомиосаркома возникает преимущественно у взрослых и крайне редко у детей.
Как часто диагностируется рабдомиосаркома?
Рабдомиосаркома составляет приблизительно 4% от общего числа опухолей у детей. Более 90% рабдомиосарком выявляется у лиц до 25 лет и 60-70% - в возрасте до 10 лет.
Отмечается два основных пика заболеваемости - ранний (в возрасте около 2 лет) и поздний - (от15 до19 лет). Лица мужского пола заболевают чаще, чем женского в соотношении 1,4-1,7:1.
В США ежегодно регистрируется около 350 новых случаев рабдомиосаркомы.
Факторы риска развития рабдомиосаркомы
В отличие от большинства других злокачественных опухолей взрослых при рабдомиосаркоме не выявлено никаких неблагоприятных факторов окружающей среды, влияющих на повышение риска возникновения этого заболевания, включая токсические вещества, загрязнение воздуха и воды, использование препаратов и рентгеновских лучей во время беременности, травму.
Наследственные заболевания могут влиять на риск развития опухолей головного мозга, молочной железы и др., включая рабдомиосаркому.
Так, у членов семьи, страдающих синдромом Ли-Фраумени, чаще возникают различные саркомы, включая рабдомиосаркому, рак молочной железы, лейкозы и другие опухоли.
Дети с синдромом Beckwith-Wiedemann имеют повышенный риск развития опухоли Вилмса (нефробластомы) и рабдомиосаркомы.
Нейрофиброматоз (болезнь Реклингаузена) может сопровождаться возникновением множественных опухолевых узлов из нервной ткани, а также повышенным риском развития рабдомиосаркомы.
В настоящее время предотвратить развитие рабдомиосаромы нельзя, так как неизвестны причины, вызывающие этот вид опухоли. При этом, однако, следует иметь в виду, что большинство больных с рабдомиосаркомой удается полностью излечить.
Ранняя диагностика рабдомиосаркомы
У одной трети больных рабдомиосаркому обнаруживают на ранних стадиях, когда возможно полное удаление опухоли. Однако при этом в 80% случаев при детальном обследовании обнаруживаются мелкие метастазы, для лечения которых необходимо назначение химиотерапии.
К счастью, многие случаи рабдомиосаркомы возникают в областях, где их можно легко обнаружить, например, за глазным яблоком или в полости носа. Выпячивание глазного яблока или выделения из носа заставляют обратиться к врачу, что помогает рано заподозрить опухоль и провести обследование. Если рабдомиосаркома возникает на поверхности тела, то ее можно легко обнаружить без специального обследования.
Рабдомиосаркомы в области яичка обычно развиваются у маленьких детей и выявляются родителями во время мытья ребенка. Опухоли мочеполового тракта приводят к затрудненному мочеиспусканию или кровянистым выделениям, поэтому эти симптомы нельзя игнорировать.
Труднее обнаружить рабдомиосаркому на конечностях и туловище у детей более старшего возраста, так они вызывают симптомы (боль, припухлость), встречающиеся во время игры.
В настоящее время не существует методов скрининга (досимптомного выявления) рабдомиосаркомы.
Семьи с многочисленными случаями злокачественных опухолей, особенно у детей, должны находиться под особым врачебным наблюдением.
Методы диагностики рабдомиосаркомы
Первым признаком рабдомиосаркомы обычно бывает появление местного уплотнения или припухлости, которые не вызывают боли или другие проблемы. Это относится, в частности, к рабдомиосаркомам туловища и конечностей.
При расположении опухоли в брюшной полости или области таза может возникать рвота, боль в животе или запоры.
В редких случаях рабдомиосаркома развивается в желчных протоках и приводит к желтухе.
При подозрении на опухоль выполняется один из видов биопсии (взятие кусочка ткани для микроскопического исследования), при котором уточняется вариант рабдомиосаркомы.
Определение стадии рабдомиосаркомы
В результате всестороннего обследования уточняется степень распространения опухолевого процесса и планируется лечение.
В зависимости от распространения опухоли и радикальности операции больные с рабдомиосаркомой подразделяются на 4 группы:
- 1 группа (16%) - Больные (дети или взрослые) с локализованным процессом (без видимых метастазов) с полностью удалимой опухолью
- 2 группа (20%) - Пациенты с локализованной, но микроскопически не полностью удалимой опухолью, наличием регионарных лимфатических узлов и отсутствием отдаленных метастазов
- 3 группа (48%) - Больные с не полностью удалимой опухолью, видимой на глаз, и отсутствием отдаленных метастазов
- 4 группа (16%) - Дети и взрослые с отдаленными метастазами в момент установления диагноза.
Для определения стадии рабдомиосаркомы можно пользоваться системой TNM, которая учитывает распространенность процесса, но не принимает во внимание результаты оперативного вмешательства.
При этом символ Т означает размер опухоли, N - поражение регионарных лимфатических узлов и М - наличие отдаленных метастазов.
Лечение рабдомиосаркомы
ОПЕРАТИВНОЕ ЛЕЧЕНИЕ
Первым этапом лечения рабдомиосаркомы по возможности должно быть полное хирургическое удаление опухоли, которое осуществляется под общим обезболиванием (наркозом).
Если по какой-либо причине удалить всю опухоль не удается, то иссекается большая ее часть. Кроме того, по возможности опухоль удаляется в пределах здоровых тканей, что уточняется при исследовании под микроскопом.
Во время операции удаляются также близлежащие (регионарные) лимфатические узлы. В случае расположения рабдомиосаркомы в области головы и шеи полное удаление опухоли нередко бывает невозможным без нарушения жизненно важных функций или серьезного косметического дефекта. Поэтому операция может быть отсрочена до получения выраженного эффекта в результате химиотерапии или облучения.
ХИМИОТЕРАПИЯ
Всем больные с рабдомиосаркомой, как правило, получают химиотерапию. Если по какой-либо причине химиотерапия не назначается, то вероятность рецидива (возврата) заболевания значительно увеличивается, даже после полного удаления опухоли.
В случае наличия остаточной (резидуальной) рабдомиосаркомы рекомендуется применение лучевой терапии наряду с химиотерапией. При достижении выраженного эффекта предпринимается повторная попытка полного удаления опухоли.
Основными препаратами при лечении рабдомиосаркомы являются винкристин, дактиномицин, циклофосфамид. У больных с метастатической опухолью химиотерапия указанными препаратами не столь эффективна и потому ведутся поиски новых противоопухолевых препаратов и их комбинаций.
Химиотерапия приводит к гибели не только опухолевых, но и нормальных клеток организма, что вызывает различные побочные эффекты в виде тошноты, рвоты, потери волос, ухудшения аппетита, малокровия (анемии), повышенной восприимчивости к инфекциям и пр. Применение высоких доз препаратов может сопровождаться поражением печени, особенно у маленьких детей.
Большинство побочных явлений бесследно проходит, но некоторые могут оставаться в течение длительного времени, например, повреждение почек и мочевого пузыря после применения циклофосфамида или его аналогов.
ЛУЧЕВАЯ ТЕРАПИЯ
Лучевая терапия является эффективным методом воздействия на опухолевые клетки, оставшиеся после хирургического удаления рабдомиосаркомы.
Обычно лучевая терапия назначается через 6-9 недель после завершения химиотерапии на область оставшейся опухоли. В случае локализации рабдомиосаркомы в зоне оболочек или мозгового вещества головного и спинного мозга лучевая терапия может быть назначена немедленно до применения химиотерапии.
Лучевая терапия может привести к появлению повышенной утомляемости, увеличению частоты инфекций, тошноте, рвоте, поносу, а при облучении области головы и шеи - к язвам во рту и потере аппетита.
ТРАНСПЛАНТАЦИЯ КОСТНОГО МОЗГА
Трансплантация (пересадка) костного мозга позволяет использовать высокие дозы химиопрепаратов. Противоопухолевые препараты не обладают избирательным действиям и уничтожают и повреждают не только опухолевые, но и быстрорастущие нормальные клетки организма.
Это приводит к малокровию (анемии) в результате снижения количества эритроцитов, повышенной восприимчивости к инфекциям за счет низкого числа лейкоцитов и кровотечениям из-за малого количества тромбоцитов после высокодозной химиотерапии.
Трансплантация костного мозга, взятого у больного до химиотерапии, позволяет решить эти проблемы. После завершения химиотерапии собранный заранее костный мозг вновь переливается больному, что дает возможность быстро восстановить его функцию. Вместо трансплантации костного мозга можно использовать забор и последующее переливание периферических стволовых клеток, что приводит к аналогичному эффекту.
ОТДАЛЕННЫЕ ЭФФЕКТЫ ПРОТИВООПУХОЛЕВОГО ЛЕЧЕНИЯ
Химиотерапия может привести к стойкому повреждению яичников и яичек, что затруднит или даже сделает невозможным иметь детей.
Отдаленные эффекты применения лучевой терапии могут быть очень значительными, особенно у маленьких детей.
В частности, отмечается замедление роста облученных костей и мягких тканей. Это может вызвать искривление позвоночника, укорочение верхний и нижних конечностей, ограничение функции суставов, уплотнение окружающих мягких тканей, недоразвитие лицевых костей, помутнение хрусталика (катаракта), ухудшение зрения и другие изменения. Облучение легочной ткани приводит к рубцеванию ткани и одышке.
В редких случаях (приблизительно у 2% излеченных больных) могут возникать вторые злокачественные опухоли, вызванные химиотерапией, облучением или комбинацией этих методов.
ПРОГНОЗ (ИСХОД)
В целом удается излечить более 70% с рабдомиосаркомой. На выживаемость больных оказывают влияние многие факторы, такие как распространенность опухоли на момент диагностики, локализация, радикальность операции и гистологический вариант.
Выживаемость больных колеблется от 30% в 4 группе до 90% в 1 группе.
При локализации рабдомиосаркомы в области головы и шеи, во влагалище и яичках прогноз заболевания благоприятный.
У больных с альвеолярной рабдомиосаркомой прогноз заболевания хуже, чем с эмбриональной.
Наилучшие результаты имеются у больных, получающих лечение в специализированных отделениях.
Что происходит после завершения лечения
После завершения всей программы лечения больных с рабдомиосаркомой рекомендуется наблюдение у врача и периодическое обследование с целью выявления и лечения побочных эффектов и осложнений, а также своевременного обнаружения возможного рецидива (возврата) болезни.
Мероприятия 2022 года
Архив мероприятий
Противораковое общество РОССИИ создано по инициативе ученых-онкологов и главных врачей онкологических диспансеров, представляющих более 50 регионов России, с целью претворения в жизнь программы профилактики рака в России
Рубрики
Контакты
Рабдомиосаркома — один из вариантов злокачественных новообразований мягких тканей (сарком). Она диагностируется у людей любого возраста, но чаще выявляется у детей дошкольного и раннего школьного возраста. Чаще всего единственным симптомом заболевания является наличие безболезненной опухоли, которая ошибочно расценивается как доброкачественное новообразование. Без своевременного лечения прогноз крайне неблагоприятный — рабдомиосаркомы быстро прогрессируют и дают метастазы.
Общая информация
Саркомы мягких тканей — редкие заболевания в онкологии. Под мягкими понимают все ткани организма, которые развиваются из зародышевой мезенхимы и нейроэктодермы: гладкую и поперечно-полосатую мускулатуру, сосуды, связки и сухожильный аппарат, хрящевую и жировую ткани, а также периферические нервы. Саркомы объединяют в себе около 30 различных морфологических вариантов опухолей и составляют всего лишь 1% от всех злокачественных новообразований.
Рабдомиосаркома — злокачественное новообразование, развивающееся из клеток-предшественниц поперечно-полосатой (скелетной) мускулатуры. В детской онкологии она рассматривается как одно из самых злокачественных новообразований с неблагоприятным прогнозом. Рабдомиосаркома составляет около 4% от всех опухолей у детей, при этом 60-70% клинических случаев приходится на возраст до 10 лет. Значительно реже встречается заболевание у подростков и взрослых лиц.
Причины и механизм развития
Точные причины появления рабдомиосаркомы остаются неизвестными. По мнению ряда авторов, ведущий фактор в развитии заболевания — наследственная предрасположенность. К второстепенным причинам появления злокачественного новообразования относят:
- влияние радиационного излучения;
- воздействие химических, пищевых и промышленных канцерогенов;
- врожденные и приобретенные иммунодефицитные состояния;
- травмы мягких тканей;
- наличие вредных привычек, пассивное курение.
Под влиянием одного или нескольких перечисленных факторов происходят клеточные мутации, которые не поддаются контролю иммунной системы организма. На начальных стадиях рабдомиосаркома представляет собой микроскопический узел, состоящий из атипичных (видоизмененных) клеток. В дальнейшем происходит их бесконтрольное деление, что и приводит к увеличению злокачественного новообразования.
Большая часть гистологически подтвержденных рабдомиосарком имеет крайне быстрый рост и агрессивное течение с инвазией в окружающие здоровые ткани. С морфологической точки зрения проблема злокачественных новообразований заключается в отсутствии у них капсулы, отграничивающей опухоль. Хоть рабдомиосаркома и имеет четкие контуры, но прогрессирование заболевания и разрастание опухоли всегда сопровождается инвазией и инфильтрацией окружающих здоровых тканей. Рост опухолевого узла происходит несколькими путями: в толщу поперечно-полосатой мускулатуры, по межмышечным пространствам, а также вдоль фасций (мышечные футляры), нервов или сосудов.
В клинической практике выделяют три типа рабдомиосарком: эмбриональная, альвеолярная и плеоморфная. Эмбриональный тип опухоли встречается чаще остальных и, как правило, диагностируется у младенцев и детей до 3-5 лет. Типичная локализация такой рабдомиосаркомы — область головы и шеи, мочевой пузырь, влагалище, предстательная железа и яички.
Альвеолярная опухоль встречается у подростков и взрослых. Обычно она располагается в области крупных мышц туловища и конечностей (чаще на бедре или голени). Плеоморфная рабдомиосаркома может расти на любой части тела, но чаще всего появляется на нижних конечностях. Диагностируется этот тип злокачественного новообразования преимущественно у взрослых.
Классификации
Существует несколько классификаций рабдомиосарком. Наиболее полную информацию о характере и распространенности процесса имеет международная ТNM-классификация:
Т — описание первичной опухоли
- Тх — недостаточно данных для оценки злокачественного новообразования
- Т1 — опухоль не более 5 см в любом из измерений; Т1а — расположена поверхностно, Т1b — находится глубоко в толще здоровых тканей;
- Т2 — рабдомиосаркома более 5 см в наибольшем измерении; подгруппы Т2а и Т2b имеют схожие критерии;
N — регионарные (расположенные вблизи от опухоли) лимфоузлы
- Nx — недостаточно лабораторно-инструментальных данных для оценки поражения лимфатических узлов;
- N0 — нет метастазов в регионарных лимфоузлах;
- N1 — есть признаки метастазирования в один или более лимфатический узел;
M — отдаленные метастазы в другие системы органов
- Mx — нет данных об отдаленном метастазировании;
- M0 — отдаленный метастатический процесс отсутствует;
- M1 — выявлены отдаленные метастазы.
Еще одна классификация рабдомиосарком — клиническая. Она учитывает степень распространенности злокачественного новообразования и возможность хирургического лечения. Клиническая классификация подразделяет всех пациентов с рабдомиосаркомами на 4 группы:
- 1 группа — злокачественный процесс полностью локализован, регионарные или отдаленные метастазы отсутствуют, опухоль поддается хирургическому иссечению;
- 2 группа — рабдомиосаркома имеет локализованный рост, но не подлежит полному удалению по результатам гистологического исследования (по краю иссечения опухоли имеются атипичные клетки), имеются метастазы в регионарных лимфатических узлах;
- 3 группа — полное удаление опухоли невозможно, что определяется невооруженным глазом (например, врастание в крупные сосуды и нервы), признаки отдаленного метастазирования отсутствуют;
- 4 группа — хирургическое лечение невозможно или не принесет положительного результата, имеются отдаленные метастазы.
В зависимости от степени дифференцировки и зрелости клеток, составляющих опухоль, выделяют два типа рабдомиосарком: высоко- и низкодифференцированные. Первый тип опухолей, как правило, имеет более благоприятный прогноз. В то же время, рабдомиосаркомы с низкой степенью дифференцировки отличаются крайне агрессивным течением и быстро дают метастазы в регионарные лимфатические узлы и другие органы.
Оценка злокачественности проводится врачом-патоморфологом во время гистологического исследования по специальной классификации Grade. Она отражает степень визуальной схожести опухоли с нормальной поперечно-полосатой мускулатурой. Чем меньше клетки злокачественного новообразования похожи на мышечные, тем ниже дифференцировка и выше злокачественность рабдомиосаркомы. Высокодифференцированными считаются опухоли Grade 1, все остальные относятся к саркомам средней или низкой степени зрелости.
Важное клиническое значение имеет разделение рабдомиосарком области головы и шеи на две группы: параменингеальные и непараменингеальные. К первому типу относятся злокачественные опухоли, локализованные в полости носа, уха или носоглотки, а также в крылонебной или подвисочной ямке, ко второму типу — все остальные.

Симптомы
Клинические проявления рабдомиосаркомы зависят от нескольких факторов:
- локализация опухоли;
- размеры и степень распространенности процессов;
- возраст пациента.
На ранних стадиях заболевание не имеет каких-либо признаков. Характерные клинические симптомы появляются при росте рабдомиосаркомы, когда ее можно обнаружить невооруженным глазом или она начинает сдавливать окружающие здоровые ткани.
Наиболее частой причиной обращения за медицинской помощью становится появление одиночной безболезненной опухоли на теле. Типичная локализация рабдомиосаркомы — лицо и шея, передняя и задняя поверхность бедра, область икроножных мышц, верхняя и средняя треть руки. Примерно у 2/3 пациентов факт наличия прощупываемой опухоли является первым и единственным симптомом заболевания.
При внимательном ощупывании можно определить следующие признаки злокачественного новообразования:
- округлая или овальная форма;
- упруго- или плотноэластическая консистенция;
- ровная поверхность;
- четкие контуры;
- несмещаемость;
- безболезненность при пальпации (прощупывании).
При поверхностной локализации рабдомиосаркомы в мышцах конечности возможно небольшое ее смещение под пальцами в поперечном направлении в обе стороны. При сокращении мускулатуры опухоль становится полностью неподвижной. В случае межмышечного расположения злокачественного новообразования ощупывание возможно только при полном расслаблении конечности, при сокращении мышц рабдомиосаркома теряет свои очертания.
На начальных стадиях кожа над пораженной областью не изменена. В дальнейшем появляется местное повышение температуры, незначительное покраснение и отечность. С ростом рабдомиосаркомы кожа над ней истончается, приобретает восковой блеск и имеет выраженный сосудистый рисунок. На поздних стадиях она может приобретать багрово-синюшный оттенок. При прорастании злокачественного новообразования в подкожно-жировую клетчатку и кожу или распаде опухоли может наблюдаться изъязвление кожных покровов, кровоточивость, незаживляемость ран.
При прогрессировании заболевания у части пациентов также появляются жалобы на боль или нарушение функции пораженной части тела. Это связано со сдавлением или врастанием в сосудисто-нервные пучки, прорастанием в капсулу сустава или надкостницу.
В случае локализации опухоли в области ЛОР-органов могут появиться неспецифические симптомы в виде заложенности в ушах, затруднения носового дыхания, необильных носовых кровотечений и других. Часто поражение ЛОР-органов расценивается как инфекционное или аллергическое заболевание, что приводит к позднему выявлению злокачественного процесса.
На поздних стадиях рабдомиосаркомы появляются симптомы раковой интоксикации. Они обусловлены ростом опухоли, метастазированием в органы и попаданием продуктов ее распада в кровь. Среди клинических проявлений раковой интоксикации — снижение веса вплоть до истощения, слабость, потеря аппетита, расстройство работы желудочно-кишечного тракта, анемия.
Диагностика
Первый этап обследования — сбор жалоб, анамнеза и физикальный осмотр пациента. Важное клиническое значение имеют данные о давности обнаружения опухоли пациентом и темпе ее роста. Если скорость роста рабдомиосаркомы увеличилась, обязательно уточняют предрасполагающие факторы (травма, пункция или биопсия новообразования). После опроса врач ощупывает новообразование и мягкие ткани вокруг него, а также регионарные лимфатические узлы.
Для визуализации опухоли используются следующие методы инструментальной диагностики:
- рентгенография — прицельные «мягкие» рентгенограммы позволяют определить тень опухоли, гомогенность (однородность) и характер контуров новообразования;
- УЗ-исследование мягких тканей — простой и доступный метод выявления как первичного очага и его характера, так и метастатического поражения лимфатических узлов;
- рентгеновская компьютерная томография — метод дает возможность получить четкое изображение не только злокачественного новообразования, но и оценить его взаимоотношение с окружающими тканями;
- магнитно-резонансная томография — исследование помогает получить наиболее четкую картину мягких тканей и сосудисто-нервных пучков в зоне поражения.
Обязательным является гистологическое подтверждение диагноза. Для этого могут использоваться различные методы забора материала: пункция опухоли для цитологического исследования, прицельная трепанбиопсия под УЗИ-контролем, ножевая биопсия. Наименьшей информативностью среди них обладает простая пункция, т.к. цитологический метод не во всех случаях позволяет определить злокачественную природу и степень дифференцировки опухолевого образования.
Для выявления отдаленных метастазов используются методы УЗИ-диагностики (органы брюшной полости и забрюшинного пространства, лимфоузлы), рентгенографии (органы грудной клетки, кости скелета) и томографии (органы грудной и брюшной полости, костная система).

Лечение
Выбор терапевтической тактики подбирают индивидуально. Врачом учитывается множество факторов, в первую очередь, возраст пациента, гистологический тип, локализация и размеры злокачественного новообразования, а также стадия онкологического процесса.
Для лечения рабдомиосарком используются следующие методы:
- хирургический — иссечение злокачественного новообразования;
- химиотерапия — курсы препаратов, обладающих цитостатическим действием;
- лучевая терапия — облучение как самой опухоли, так и очагов метастатического поражения;
- комбинированный — использование нескольких методов терапии.
Несмотря на постоянное совершенствование методик лучевой и химиотерапии, хирургическое вмешательство занимает ведущую роль в тактике лечения. Единственная причина отказа в операции — выявление рабдомиосаркомы в запущенной стадии, когда имеются отдалённые метастазы. Однако даже в этом случае могут проводиться паллиативные (вспомогательные) операции, например, при больших размерах опухоли, значительно нарушающей повседневную активность пациента.
Хирургические вмешательства также не применяются при рабдомиосаркомах параменингеальной локализации из-за высокого риска повреждения жизненно-важных анатомических структур. Во всех остальных случаях операция является основным способом лечения.
Цель хирургического вмешательства заключается в широком иссечении злокачественного новообразования или «блочной» резекции. Обязательным условием является соблюдение принципа футлярности — опухоль, растущая в пределах мышечно-фасциального ложа, должна быть удалена вместе с мышцей и фасцией, ее покрывающей. Там, где из-за анатомических особенностей нельзя соблюсти этот принцип, оптимальным считается отступление не менее, чем на 5 см от края опухоли. Это связано с тем, что на небольшом удалении от основного очага в условно «здоровых тканях» могут находиться микроскопические узелки злокачественных клеток. Если их не удалить, то риск рецидива существенно увеличится.
Химиотерапия может выступать как самостоятельный метод лечения, так и входить в состав комплексной терапии. В комбинации с лучевой терапией она применяется у детей и взрослых с рабдомиосаркомами параменингеальной локализации.
Неоадъювантная (предоперационная) химиотерапия назначается пациентам с большими рабдомиосаркомами для уменьшения их размеров и снижения риска послеоперационного рецидивирования.
Адъювантная (послеоперационная) химиотерапия не является обязательной и не проводится пациентам с местно-распространенным процессом и неблагоприятным прогнозом после хирургического вмешательства. Она используется для стабилизации онкологического процесса и уменьшения размеров опухоли, не поддающейся полному иссечению. Возможность проведения адъювантной химиотерапии обычно рассматривается у пациентов молодого возраста с поверхностно или глубоко расположенными опухолями больших размеров, которые по данным гистологического исследования имеют высокую степень злокачественности.
Осложнения и прогноз
Прогноз заболевания во многом зависит от типа и размеров рабдомиосаркомы, своевременности обращения за медицинской помощью и объема лечения. Злокачественное новообразование характеризуется агрессивным деструктивным ростом, а также быстрым регионарным и отдаленным метастазированием по лимфатическим или кровеносным сосудам.
При раннем выявлении заболевания и комплексном лечении прогноз благоприятный — у 75-80% пациентов удается добиться полного излечения или пятилетней ремиссии. При больших размерах рабдомиосаркомы нередко приходится прибегать к тяжелым инвалидизирующим операциям. Однако, даже после комплексного лечения риск рецидива заболевания остается высоким.
При обнаружении отдаленных метастазов прогноз неблагоприятный. В таких случаях проводится симптоматическое лечение, направленное на улучшение качества жизни.
В «Евроонко» лечением такого тяжелого заболевания, как рабдомиосаркома занимаются опытные специалисты. Благодаря мощной материально-технической базе клиники и наличию квалифицированного персонала, нам удается достигать хороших результатов даже в самых тяжелых случаях.
Рабдомиосаркома - редкое злокачественное новообразование из незрелой поперечно-полосатой мышечной ткани. Обычно локализуется в скелетных мышцах, но может располагаться и в других мягких тканях: в забрюшинной клетчатке, клетчатке средостения, в носоглотке, на лице, в области желчевыводящих или мочевыводящих путей и т. д. Проявляется деформацией пораженной области и симптомами сдавления близлежащих органов. При отдаленном метастазировании выявляются признаки нарушения функций соответствующих органов. Диагноз выставляется на основании клинических данных, результатов инструментальных и лабораторных исследований. Лечение комплексное: операции, радиотерапия, химиотерапия.
Общие сведения
Рабдомиосаркома - злокачественная опухоль мягких тканей, поражающая преимущественно детей и подростков. Происходит из недифференцированной мезенхимальной ткани-предшественницы поперечно-полосатых мышц. Рабдомиосаркома может локализоваться в скелетных мышцах, клетчатке и гладкомышечной ткани внутренних органов. Расположение в области лица и шеи обусловлено нарушениями внутриутробного развития дериватов жаберных дуг. По различным данным составляет 19-50% от общего количества сарком детского возраста. Средний возраст пациентов - 9,9 лет. Пики заболеваемости рабдомиосаркомой приходятся на возраст 1-7 лет и 15-20 лет. Мальчики страдают чаще девочек. Лечение осуществляют специалисты в области онкологии, травматологии-ортопедии, дерматологии, отоларингологии, гинекологии, гастроэнтерологии, урологии и т. д. (в зависимости от локализации новообразования).
Причины рабдомиосаркомы
Этиология рабдомиосаркомы окончательно не выяснена. Случаи врожденных новообразований, высокая вероятность возникновения у ближайших родственников, сочетание данного заболевания с изолированными пороками развития и различными врожденными синдромами указывают на наследственную предрасположенность. У 30% пациентов рабдомиосаркома сочетается с аномалиями развития центральной нервной системы, половых органов, мочевыводящей системы, пищеварительной системы или сердечно-сосудистой системы.
Описаны случаи сочетания рабдомиосаркомы с семейным диффузным полипозом, врожденной ретинобластомой, эпидермальным невусом, врожденным меланоцитным невусом, альбинизмом и синдромом множественного лентиго. Рабдомиосаркома может возникать при синдроме Ли-Фраумени, характеризующемся склонностью к развитию злокачественных опухолей, а также при синдроме Реклингхаузена (нейрофиброматозе I типа, нейрофиброматозе с феохромоцитомой) и синдроме Рубинштейна-Тейби, при котором выявляются олигофрения, нарушения прикуса, клювовидный нос, асимметрия лица, астигматизм, карликовость, различные скелетные аномалии и пороки развития внутренних органов.
Классификация рабдомиосаркомы
С учетом особенностей гистологического строения выделяют следующие разновидности рабдомиосаркомы: альвеолярная, эмбриональная, плеоморфная, ботриоидная.
- Альвеолярная. Составляет 9% от общего числа рабдомиосарком и 60% от общего количества кожных поражений. Представлена овальными или круглыми недифференцированными клетками с почковидным либо дольчатым ядром, напоминающими клетки поперечно-полосатых мышц 10-20 недельного плода. Образуют скопления, разделенные фиброзными перегородками, что придает рабдомиосаркоме сходство с альвеолярной тканью. Опухоль чаще возникает в области туловища или конечностей. Обычно страдают больные в возрасте от 5 до 20 лет.
- Эмбриональная. Составляет 57% от общего числа рабдомиосарком и 30% от общего количества кожных поражений. Представлена клетками различной формы: вытянутыми, круглыми, звездчатыми и т. д., расположенными в миксоматозном веществе. Напоминает поперечно-полосатые мышцы 7-10 недельного плода. Чаще локализуется в области орбиты, шеи, головы и мочеполового тракта. Обычно диагностируется у детей 3-12 лет. К этому типу также относят веретеноклеточный вариант рабдомиосаркомы, сходный по прогнозу и клиническому течению.
- Плеоморфная. Составляет около 1% от общего количества рабдомиосарком. Представлена вытянутыми клетками паукообразной, ракеткообразной и полосовидной формы. Не похожа на поперечно-полосатую мышечную ткань человека (в том числе - плода). Обычно возникает в области туловища или конечностей.
- Ботриоидная. Составляет 6% от общего числа рабдомиосарком. В кожном варианте не встречается. Представляет собой скопления клеток, расположенных под эпителием слизистых оболочек. В остальном напоминает эмбриональную рабдомиосаркому. Чаще локализуется в области носоглотки, влагалища, мочевого пузыря и других органов, покрытых слизистой оболочкой. Обычно диагностируется у детей до 8 лет.
Различают также четыре клинических группы рабдомиосаркомы, при этом 1 и 2 группы разделяются на несколько подгрупп:
- 1А - новообразование не выходит за пределы пораженной мышцы или органа.
- 1Б - выявляется поражение близлежащих органов и тканей, данные послеоперационного гистологического исследования материала подтверждают радикальность удаления рабдомиосаркомы.
- 2А - окружающие ткани поражены, лимфатические узлы не задействованы, макроскопически опухоль удалена полностью, при послеоперационном исследовании материала выявляются элементы рабдомиосаркомы по линии удаления.
- 2Б - определяется метастазирование в регионарные лимфоузлы, послеоперационное гистологическое исследование подтверждает полное удаление рабдомиосаркомы.
- 2В - обнаруживается поражение регионарных лимфатических узлов, при послеоперационном исследовании материала по линии удаления видны клетки рабдомиосаркомы.
- 3 группа - опухоль удалена не полностью.
- 4 группа - выявляются метастазы.
Симптомы рабдомиосаркомы
Клинические проявления рабдомиосаркомы определяются ее локализацией, степенью вовлеченности близлежащих органов и наличием или отсутствием отдаленных метастазов. При поверхностном расположении в области скелетных мышц туловища и конечностей, а также на лице и шее определяется плотное, безболезненное опухолевидное образование. Рабдомиосаркомы на руках и ногах могут вызывать нарушение функции конечности. Опухоли в клетчатке забрюшинного пространства в процессе роста могут провоцировать сдавление органов брюшной полости, становясь причиной болей и нарушений деятельности ЖКТ.
При локализации рабдомиосаркомы в клетчатке средостения возможно развитие дыхательной недостаточности, обусловленное уменьшением объема легких. При поражении ЛОР-органов могут возникать дисфагия, синуситы, кровотечения и односторонние выделения из носовых ходов, односторонние отиты и периферический паралич лицевого нерва. При рабдомиосаркомах орбиты возможны косоглазие, птоз и ухудшение зрения. При расположении новообразования в малом тазу возникают запоры и нарушения мочеиспускания.
При опухолях простаты и мочевыводящих путей могут наблюдаться макрогематурия и задержка мочи. Рабдомиосаркомы женских половых органов провоцируют маточные и влагалищные кровотечения. Рабдомиосаркома может давать метастазы в регионарные лимфатические узлы и отдаленные органы. Обычно поражаются кости и легкие. Редко выявляется метастазирование в почки, печень, поджелудочную железу, мозг, мозговые оболочки и сердце.
Диагностика рабдомиосаркомы
Диагноз устанавливается с учетом анамнеза, клинических проявлений, данных лабораторных и инструментальных исследований. При рабдомиосаркомах в области скелетных мышц выполняют МРТ пораженной области. При опухолях ЛОР-органов осуществляют риноскопию, фарингоскопию или отоскопию, при поражении орбиты - осмотр структур глаза. Больных с рабдомиосаркомами ретроперитонеальной локализации направляют на УЗИ брюшной полости и забрюшинного пространства, пациентов с новообразованиями в области малого таза - на УЗИ малого таза.
При рабдомиосаркомах средостения назначают рентгенографию грудной клетки, при опухолях мочевыводящей системы - нефросцинтиграфию, УЗИ почек и УЗИ мочевого пузыря. При подозрении на метастазы в регионарные лимфоузлы проводят УЗИ лимфатических узлов, при подозрении на отдаленное метастазирование в кости и легкие - сцинтиграфию костей скелета, прицельную рентгенографию подозрительного сегмента конечности и рентгенографию грудной клетки.
Лечение и прогноз рабдомиосаркомы
Лечение комплексное, включает в себя лучевую терапию, химиотерапию и радикальное хирургическое вмешательство. При рабдомиосаркомах конечностей осуществляют органосохраняющие операции, при вовлечении кости показана ампутация. При локальных опухолях мочевого пузыря выполняют резекцию, при тотальном поражении органа проводят экстирпацию с последующим формированием пути оттока мочи. При рабдомиосаркомах матки осуществляют гистерэктомию, при новообразованиях во влагалище - удаление влагалища.
Радикальное иссечение рабдомиосарком носоглотки может вызывать существенные затруднения. При невозможности полного удаления операция не показана, больным назначают химиолучевую терапию. Одиночные метастазы в легких при отсутствии вторичных очагов других локализаций удаляют хирургическим путем. При метастазах в кости оперативное вмешательство не проводят из-за неблагоприятного прогноза. При рабдомиосаркомах 4 группы осуществляют интенсивную химиотерапию с последующей пересадкой костного мозга.
Прогноз при рабдомиосаркоме определяется типом, локализацией, размером и распространенностью новообразования, а также возрастом пациента. Самое благоприятное течение характерно для эмбриональных рабдомиосарком. Пятилетняя выживаемость при таких поражениях на 10-20% выше, чем при других типах опухоли. Благоприятными локализациями считаются женские половые органы, поверхностные слои тканей головы и шеи. К числу неблагоприятных локализаций рабдомиосаркомы относят глубокие слои тканей головы и шеи, туловище, конечности, мочевыводящие пути, грудную и брюшную полость. У детей до 7 лет прогноз лучше, чем у пациентов старшего возраста. Средняя пятилетняя выживаемость при опухолях первой клинической группы составляет 80%, второй - 65%, третьей - 40%. Большинство больных рабдомиосаркомой четвертой клинической группы не доживают до пятилетнего срока с момента постановки диагноза.
Злокачественные опухоли глазницы
Весь контент iLive проверяется медицинскими экспертами, чтобы обеспечить максимально возможную точность и соответствие фактам.
У нас есть строгие правила по выбору источников информации и мы ссылаемся только на авторитетные сайты, академические исследовательские институты и, по возможности, доказанные медицинские исследования. Обратите внимание, что цифры в скобках ([1], [2] и т. д.) являются интерактивными ссылками на такие исследования.
Если вы считаете, что какой-либо из наших материалов является неточным, устаревшим или иным образом сомнительным, выберите его и нажмите Ctrl + Enter.
Опухоли глазницы составляют 23-25 % от всех новообразований органа зрения. В ней развиваются практически все опухоли, наблюдающиеся у человека. Частота первичных опухолей - 94,5 %, вторичных и метастатических - 5,5 %.
Первичные злокачественные опухоли орбиты составляют не более 0,1 % всех злокачественных опухолей человека, в то же время в группе всех первичных опухолей - 20-28 %. Они практически с одинаковой частотой развиваются во всех возрастных группах. Мужчины и женщины заболевают одинаково часто. Злокачественные опухоли орбиты, как и доброкачественные, полиморфны по гистогенезу, степень их злокачественности вариабельна. Более часто встречаются саркомы и рак. Общие клинические симптомы злокачественных опухолей орбиты - рано возникающая диплопия и отек век, первоначально транзиторный, появляющийся по утрам, а затем переходящий в стационарный. Для этих опухолей характерен постоянный болевой синдром, экзофтальм возникает рано и нарастает достаточно быстро (в течение нескольких недель или месяцев). Вследствие сдавления сосудисто-нервного пучка растущей опухолью, деформации глаза и большого экзофтальма нарушается защитная функция век: у этих больных быстро нарастают дистрофические изменения в роговице, заканчивающиеся ее полным расплавлением.
Рак в орбите в подавляющем большинстве случаев развивается в слезной железе, реже он представлен гетеротопическим раком или эмбриональной инфантильной карциномой.
Первичный рак орбиты
Первичный рак орбиты встречается редко. Мужчины болеют чаще. Первичный рак орбиты принято рассматривать как результат опухолевой трансформации дистопированных эпителиальных клеток в мягкие ткани орбиты. Опухоль растет медленно, без капсулы. Клиническая картина зависит от ее первоначальной локализации. При локализации опухоли в переднем отделе орбиты первым симптомом является смещение глаза в сторону, противоположную локализации опухоли, резко ограничивается его подвижность, медленно нарастает экзофтальм, который никогда не достигает больших степеней, но репозиция глаза оказывается невозможной. Плотная инфильтративно растущая опухоль сдавливает венозные пути орбиты, в результате чего возникает застой в эписклеральных венах, повышается офтальмотонус. Глаз как бы замуровывается опухолью в орбите, костные края ее "сглаживаются" окружающей опухолью и становятся не доступными для пальпации. Зрительные функции сохраняются в течение длительного периода времени, несмотря на вторичную внутриглазную гипертензию.
Первоначальный рост опухоли у вершины орбиты проявляется рано возникающими болями в ней с иррадиацией в соответствующую половину головы и диплопией. По мере роста опухоли возникает полная офтальмоплегия. Характерна первичная атрофия диска зрительного нерва с быстрым снижением зрительных функций. Экзофтальм замечают поздно, обычно он не достигает высоких степеней.
Особенности клинической картины и результаты ультразвукового сканирования позволяют определить инфильтративное распространение патологического процесса, не раскрывая его характер. Компьютерная томография демонстрирует плотную инфильтративно растущую опухоль, ее взаимосвязь с окружающими мягкотканными и костными структурами орбиты. Результаты радионуклидной сцинтиграфии и термографии свидетельствуют о злокачественном характере роста опухоли. Тонкоигольная аспирационная биопсия с цитологическим исследованием полученного материала возможна при локализации опухоли в переднем отделе орбиты. В случае расположения ее у вершины орбиты проведение аспирации сопряжено с опасностью повреждения глаза.
Хирургическое лечение (поднадкостничная экзентерация орбиты) показано при передней локализации процесса. Лечение более глубоко расположенных опухолей затруднено, так как они рано прорастают в полость черепа. Лучевая терапия малоэффективна, поскольку первичный гетеротопический рак рефрактерен к облучению. Прогноз плохой. При переднем расположении опухоль метастазирует в регионарные лимфатические узлы. Случаи гематогенного метастазирования неизвестны, но при раннем прорастании опухоли в подлежащие кости и полость черепа процесс становится почти неуправляемым.
Саркомы - наиболее частая причина первичного злокачественного роста в орбите. Они составляют 11-26 % всех злокачественных опухолей орбиты. Источником развития саркомы в орбите может быть практически любая ткань, но частота возникновения ее отдельных видов различна. Возраст больных от 3-4 нед до 75 лет.
Рабдомиосаркома орбиты
Рабдомиосаркома орбиты - чрезвычайно агрессивная опухоль орбиты, является наиболее частой причиной злокачественного роста в орбите у детей. Мальчики болеют почти в 2 раза чаще. Источником роста рабдомиосаркомы являются клетки скелетных мышц. Выделены три типа опухоли: эмбриональный, альвеолярный и плеоморфный, или дифференцированный. Последний тип встречается редко. У детей до 5 лет чаще развивается эмбриональный тип опухоли, после 5 лет - альвеолярный. Как правило, рабдомиосаркома состоит из элементов нескольких типов (смешанный вариант). Точный диагноз можно установить только на основании результатов электронной микроскопии.
В последние годы изучены иммуногистохимические признаки рабдомиосаркомы. Выявление миоглобин-антител к мышечным протеинам, десмин-мышечно-специфичного и виметин-мезенхимального интермедиарных филаментов облегчает диагностику и позволяет уточнить прогноз заболевания. Показано, что миоглобинсодержащая рабдомиосаркома более чувствительна к химиотерапии, чем десминсодержащая.
Излюбленная локализация опухоли - верхневнутренний квадрант орбиты, поэтому в процесс рано вовлекаются мышца, поднимающая верхнее веко, и верхняя прямая мышца. Птоз, ограничение движений глаза, смещение его книзу и книзу кнутри - это первые признаки, на которые обращают внимание как сами больные, так и окружающие лица. У детей экзофтальм или смещение глаза при локализации опухоли в переднем отделе орбиты развивается в течение нескольких недель. У взрослых опухоль растет медленнее, в течение нескольких месяцев. Быстрое увеличение экзофтальма сопровождается появлением застойных изменений в эписклеральных венах, глазная щель полностью не смыкается, отмечаются инфильтраты на роговице и ее изъязвление. На глазном дне - застойный диск зрительного нерва. Первично развиваясь вблизи верхневнутренней стенки орбиты, опухоль быстро разрушает прилежащую тонкую костную стенку, прорастает в полость носа, вызывая носовые кровотечения. Ультразвуковое сканирование, компьютерная томофафия, термофафия и тонкоигольная аспирационная биопсия - это оптимальный диагностический комплекс инструментальных методов исследования при рабдомиосаркоме. Лечение комбинированное. Протокол лечения предусматривает предварительное проведение полихимиотерапии в течение 2 нед, после чего проводят наружное облучение орбиты. После комбинированного лечения более 3 лет живут 71 % больных.
Злокачественная лимфома орбиты
Злокачественная лимфома (неходжкинская) по частоте в последние годы выходит на одно из первых мест среди первичных злокачественных опухолей орбиты. В орбите опухоль чаще развивается на фоне аутоиммунных заболеваний или иммунодефицитных состояний. Мужчины болеют в 2,5 раза чаще. Средний возраст заболевших 55 лет. В настоящее время злокачественную неходжкинскую лимфому рассматривают как новообразование иммунной системы. В процесс вовлекаются преимущественно лимфоидные элементы Т- и В-клеточной принадлежности, а также элементы нулевых популяций. При морфологическом исследовании в орбите чаще диагностируют В-клеточную лимфому низкой степени злокачественности, в которой содержатся достаточно зрелые опухолевые и плазматические клетки. Как правило, поражается одна орбита. Характерны внезапное появление безболезненного экзофтальма, чаще со смещением глаза в сторону, и отек периорбитальных тканей. Экзофтальм может сочетаться с птозом. Процесс местно неуклонно прогрессирует, развивается красный хемоз, становится невозможной репозиция глаза, возникают изменения на глазном дне, чаще застойный диск зрительного нерва. Резко снижается зрение. В этот период могут появиться боли в пораженной орбите.
Диагноз злокачественной лимфомы орбиты труден. Из инструментальных методов исследования более информативны ультразвуковое сканирование, компьютерная томография и тонкоигольная аспирационная биопсия с цитологическим исследованием. Необходимо обследование у гематолога для исключения системного поражения.
Наружное облучение орбиты - практически безальтернативный высокоэффективный метод лечения злокачественной лимфомы орбиты. Полихимиотерапию подключают при системном поражении. Эффект лечения проявляется в регрессии симптомов патологического процеса в орбите и восстановлении утраченного зрения. Прогноз при первичной злокачественной лимфоме для жизни и зрения благоприятный (83 % больных переживают 5-летний период).
Прогноз для жизни резко ухудшается при диссеминированных формах, но частота поражения орбиты при последних составляет чуть более 5 %.

Рабдомиосаркома является злокачественной опухолью, имеющей происхождение из скелетных мышц, то есть поперечно-полосатой мускулатуры. Они обладают высокой степенью злокачественности и плохо поддаются лечению. Наиболее часто диагностируется патология на органах головы, шеи, малого таза в возрасте 2-6 лет и составляет до 4% от общего числа опухолей у детей.
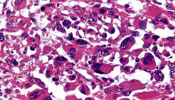
Рабдомиосаркомы встречаются крайне редко у взрослых и представляют собой скопление слабо дифференцированных продолговатых или округлых клеток, страной формы и имеющих большие ярко окрашенные ядра. В середине опухоли могут находиться сероватые участки некроза и кровоизлияния. В патогенез может быть вовлечена не только мышечная ткань, но и подкожно-жировая клетчатка, и кожа, и слизистые.

Микроскопический препарат рабдомисаркомы
В зависимости от типа и особенностей происхождения рабдомиосаркомы разделяются на эмбриональные, возникающие в младенческом, чаще всего в детском возрасте - в 60-70% случаев и иногда в молодом возрасте. Пик заболеваемости может быть ранний в возрасте младше 2 лет и поздний - у больных достигших 15-19 лет.
Плеоморфные (pleomorphic) — встречающиеся у людей достаточно зрелого возраста опухоли на мышцах конечностей и туловища считаются наиболее злокачественными и составляют не более 1%.
Патогенез
Рабдомиосаркома обычно происходит из рабдомиобластов - предшественников скелетных мышц и поражает глубокие слои мягких тканей или поверхности слизистой оболочки, кожных покровов, представляя собой объемное образование в определенной области тела, где есть поперечно-полосатая мускулатура либо её мезенхимальные предшественники. При этом разрастание происходит полиморфно и клетки утрачивают сходство с поперечно-полосатой мускулатурой, хотя и могут иметь некую поперечную исчерченность.
В основе механизма развития лежат хромосомные аномалии и утрата гетерозиготности локуса (11р15), что влечет потерю материнской генетической информации клетками, дупликации отцовского генетического материала или транслокации.
Для опухолевых образований характерен быстрый рост на фоне отсутствия изъязвлений. Метастазирование происходит гематогенным и лимфогенным путем. Новообразование способно рецидивировать, давая множественные гематогенные метастазы в печени, легких, костях, лимфоузлах - примерно в 80% случаев.
Интересно! Наиболее известный случай эмбриональной рабдомиосаркомы был у больного в возрасте 34 лет. У него была обнаружены грибовидная опухоль, отличающаяся серо-розовым окрашиванием и гладкостью поверхности в верхней части трахеи. Имеющаяся ножка перфорировала стенку и напоминала песочные часы. Благодаря ларингэктомии и резекцией трахеи удалось избежать рецидивов и метастазирования.
Классификация
В зависимости от локализации, времени образования и особенностей рабдомиосаркомы бывают эмбриональные, плеоморфные, анапластические, смешанные и недифференцированные.
Эмбриональная рабдомиосаркома
Такие опухоли называются эмбриональными, так как гистологически их строение напоминает скелетную мускулатуру 7-10 недельного плода.
Данного типа опухоли бывают:
- кистевидные (полипоидные гроздевидные) или так называемые ботриоидные (botryoid), которые могут развиваться в тканях влагалища, предстательной железы, яичек и других частей половых органов имеющих слизистые оболочки, а также мочевого пузыря и мочевых путей (в 27% случаев), среднего уха и т. д.;
- собственно эмбриональные (embryonal), возникающие преимущественно на шее и голове (приблизительно у 40% пациентов), а также вблизи глазниц и окологлоточного пространства;
- альвеолярные (alveolar) - могут манифестировать в любом возрасте и локализуются в области крупных мышц туловища, у основания большого пальца и других частях конечностей (частота встречаемости не превышает 18%).

Рабдомиосаркома влагалища у новорожденной
Эмбриональная рабдомиосаркома может развиться как у младенцев, детей, так и молодых людей и составляет 85% от всех диагностированных рабдомиосарком. У детей она встречается примерно в 2-5 случаев на 1 млн особ и составляет до 6% всех злокачественных образований, чаще всего страдают мальчики в соотношении 3:2.
Альвеолярная рабдомиосаркома
Альвеолярная опухоль гистологически напоминает скелетную мускулатуру 10-21 недельного плода. Чаще всего диагностируется у пациентов в возрасте от 5 до 21 года и локализуется на конечностях, туловище, а у подростков - в промежности.
Рабдомиосаркома мочевого пузыря
Опухоли мочевого пузыря имеют ботриоидный вид. В мочеполовой системе образуются онкообразования в 25% случаев при диагностировании сарком мягких тканей. Они могут располагаться в мочевом пузыре, предстательной железе и влагалище, чаще всего у младенцев и детей младше 7 лет.
Подозрением на рабдомиосаркому мочевого пузыря могут быть боли в животе, трудности при мочеиспускании, гематурия и обнаружение новообразований в брюшной полости при пальпации.
Причины
Причиной развития рабдомиосаркомы могут быть нарушения развития тканей на фоне различных пороков развития и болезней детского возраста, например, туберозного склероза. Кроме того, способствуют развитию онкопроцесса такие наследственные заболевания, как нейрофиброматоз первого типа, синдром Ли-Фраумени, Нунана, Костелло и пр.
Если опухоль имеет поверхностное выпячивающее расположение, то оно может вызывать боль, местное уплотнение и припухлость.
Наиболее часто опухоли на голове образуются в подвисочной ямке, на миндалинах, мягком нёбе, в полости носа, околоносовых пазухах и носоглотке, а также в среднем ухе. В зависимости от локализации могут встречаться различные симптомы:
- выпячивание глазного яблока;
- слезотечение;
- головные боли различной локализации;
- заложенность и выделения из носа.
Патология мочеполовой системы обычно сопровождается затруднением мочеиспускания, кровянистыми выделениями, а при развитии опухоли в брюшной полости — рвотой, болью в животе и запорами.
Общими симптомами может быть вялость, слабость, лимфаденопатия, сниженный аппетит и потеря веса.
Анализы и диагностика
Не существует эффективных методов скрининга для выявления досимптомных рабдомиосарком. Заподозрить на ранних этапах развитие опухоли возможно благодаря её объемной выпячивающейся структуре на поверхности тела. Более сложными являются онкообразования мочеполовой системы, окологлоточного пространства и пр., поэтому не обойтись без КТ и МРТ.
Для определения варианта рабдомиосаркомы проводят биопсию, верификация опухоли происходит при помощи иммуногистохимического исследования с использования специфической сыворотки. Тяжесть состояния определяется возможностью полного удаления опухоли, наличием регионарных лимфатических узлов и отдаленных метастазов.
Важно! В семьях, где были выявлены многочисленные случаи злокачественных онкообразований дети должны проходить регулярный медосмотр и консультацию у онколога.
Не смотря на трудности лечения рабдомиосарком при обнаружении кистевидных опухолей проводят комбинированное лечение с использованием лучевой терапии, хирургического удаления и специальных лекарственных средств.
Эмбрионального типа рабдомиосаркомы важно начинать лечить на ранних стадиях, тогда максимальный терапевтический эффект обычно будет иметь лучевая терапия и использование таких препаратов комплексного использования как Винкристин, Циклофосфамид и Актиномицин D. Если химиотерапия проведена не в полной мере, то вероятность рецидива значительно повышается.
Доктора
Афанасьев Тимур Феликсович

Самоходский Евгений Викторович

Волкодав Александр Евгеньевич
Лекарства
Схему лечения и дозировки препаратов должен подбирать исключительно лечащий врач с учетом всех особенностей и характеристик злокачественного образования. Обычно назначаются следующие препараты:
- — действенный противоопухолевый препарат. В основе механизма действия способность активного вещества вызывать блокаду тубулина и останавливать клеточное деление в метафазе. — противоопухолевое средство, обладающее алкилирующим, цитостатическим и иммунодепрессивным действием, реализующимся непосредственно в структурах опухоли.
- Актиномицин D - противоопухолевый антибиотик, ингибирующий синтез ДНК, РНК и белков.
- Топотекан - более новый противоопухолевый препарат, показавший лучшую эффективность по отношению к рабдомиосаркомам. В основе его действия — ингибирование топоизомеразы I. - алкалоид с противоопухолевым действием, реализующимся также за счет ингибирования клеточного фермента топоизомеразы I.
Процедуры и операции
Главная и основная задача начального этапа лечения — хирургическое удаление прилегающих регионарных лимфоузлов и опухоли, желательно целиком, с захватом здоровых тканей, но если это невозможно, то иссекают её большую часть. Операция обычно проводится под общим наркозом. Если операция по удалению онкообразования нарушает функции прилегающих органов или может вызвать значительный косметический дефект, например, на голове, то её могут отложить до получения данных об эффективности применения химиотерапии и облучения.
Облучение оставшихся клеток рабдомиосаркомы или остаточной резидуальной ее части может быть проведено спустя 6-9 недель после химиотерапии или немедленно, если новообразование локализовано в оболочечном или мозговом веществе головного либо спинного мозга. После этого может быть рекомендовано повторное удаление оставшихся опухолевых структур.
Кроме того больным может быть назначена аутологичная трансплантация костного мозга или переливание периферических стволовых клеток, заранее взятых у пациентов перед проведением химиотерапии и облучения.
Рабдомиосаркома у детей
Рабдомиосаркомы составляют всего 3-4% от всех онкологических заболеваний детей. Более сложными считаются диагностированные саркомы у детей младше 1 года и старше 10 лет, поэтому очень важно выявить опухоль на ранних этапах.
Поводом для тревоги могут быть различные симптомы, например трудности при мочеиспукании и кровь в моче может вызвать рабдомиосаркома мочевого пузыря у детей, болезненные припухлости на туловище, конечностях, голове и шеи не должны оставаться без внимания, особенно если они стремительно растут и не проходят в течение 2 недель, ведь в некоторых случаях они могут быть ложно спутаны с обычным ушибом.
Диета при рабдомиосаркоме
Диета при онкологических заболеваниях
- Эффективность: нет данных
- Сроки: до выздоровления или пожизненно
- Стоимость продуктов: 2500 - 4800 в неделю
Так как онкологический процесс в организме вызывает ряд изменений - слабость и усталость, проблемы с ЖКТ, эндокринной и мочеполовой системой, а также постановка диагноза - чаще всего становится тяжелым психологическим потрясением, то питание должно быть правильным сбалансированным и максимально соответствовать предпочтениям больного. Кроме того, необходимо придерживаться следующих рекомендаций:
- подавать пищу теплой;
- перейти на измельченные, жидкие блюда - супы, каши, овощные крем-пюре;
- не использовать много пряностей, перца и соли;
- ограничить потребление кислых фруктов;
- рацион делать дробным, можно раздельным и порции делать маленькими.
Прогноз
Прогноз при адекватном лечении рабдомиосаркомы может отличаться в зависимости от установленных особенностей опухоли по классификации TNM, учитывающей размер опухоли, вовлеченность лимфатических узлов и наличие метастазов в организме. Также важны возраст и пол пациента, операбельность и локализация новообразования. Установлено, что наиболее поддающимися лечению являются рабдомиосаркомы глазницы, тогда как опухоли параменингеальной области имеют наименее благоприятный прогноз.

TNM классификация сарком
Исследования Kraus в соавторстве установили, что добиться общей пятилетней выживаемости удается в 74%.
Список источников
- Кузьмин И.В. Опухоли трахеи. Москва, 1999. - С. 146.
- Серов В.В., Пальцев М.А., Ганзен Т.Н. Руководство по практическим занятиям по патологической анатомии. — М.: Медицина, 1998. - 344 с.
- Лосев А.А. Учебное пособие по детской хирургии. Одесса - 2009. - С. 226-229.
Автор-составитель: Дарья Слободянюк - биолог, медицинский журналист Специальность: Эмбриология, Цитология, Гистология подробнее
Образование: Окончила Николаевский национальный университет им. В. А. Сухомлинского, получила диплом специалиста с отличием по специальности «Эмбриолог, цитолог, гистолог». Также, окончила магистратуру по специальности «Физиология человека и животных, преподаватель биологии». С отличием пройден курс по дисциплине «Фармакология».
Опыт работы: Работала старшим лаборантом кафедры Физиологии и биохимии Николаевского национального университета им. В. А. Сухомлинского в 2010 — 2011 гг.
Читайте также:
