Рак почки: симптомы, признаки, прогноз, стадии, выживаемость,
Добавил пользователь Евгений Кузнецов Обновлено: 22.11.2025
Нормальные клетки организма теряют способность к дифференцировке, становятся атипичными. Происходит нарушение структуры тканей, злокачественные клетки усиленно делятся, опухоль начинает прорастать в окружающие ткани. Попадая в лимфатические или кровеносные сосуды, злокачественные клетки разносятся по организму.
Останавливаясь под действием каких-либо факторов в органе или сосудах, атипичная клетка начинает делиться, превращается в опухоль, со временем прорастает окружающие ткани - так происходит метастазирование первичной опухоли и развитие вторичных очагов рака.
Онкологическое отделение Юсуповской больницы применяет инновационные методики лечения рака, специалисты клиники профессионально зарекомендовали себя при лечении новообразований кожи, рака молочной железы, яичников, рака кишечника, органов пищеварительной системы. Специалисты клиники участвуют в различных исследованиях и разработках по лечению рака, онкологических заболеваний, имеют международные сертификаты. Юсуповская больница аккредитована для клинических исследований, что позволяет использовать препараты, которые не могут использовать другие медицинские учреждения России. Использование уникальных препаратов помогут пациентам Юсуповской больницы увеличить продолжительность жизни и ее качество
Стадии рака
Злокачественное образование классифицируется по стадиям, по клиническим признакам, по гистологии, по морфологическим характеристикам. Создана система обозначений злокачественных опухолей, которая включает полное описание состояния новообразования: стадию его развития, реакцию регионарных лимфатических узлов, наличие метастазов:
- 0 степень рака - неинвазивная форма опухоли. Рак находится в пределах первоначальных границ образования. Рак 0 степени полностью излечим.
- 1 степень рака - злокачественная опухоль начинает разрастаться, но не поражает лимфатические узлы и отдаленные органы. Исключением является рак желудка, который на первой стадии развития поражает регионарные лимфатические узлы.
- 2 степень рака - большую роль в эффективности лечения второй стадии злокачественного новообразования играет своевременное обнаружение опухоли. Опухоль может начать метастазировать в расположенные рядом с пораженным органом лимфатические узлы (регионарные), усиливается рост клеток в первичной опухоли. Хороший прогноз зависит от многих факторов - раннего обнаружения, вида опухоли, локализации образования.
- 3 степень рака - идет прогрессирование опухоли, метастазы обнаруживаются в регионарных лимфатических узлах, если отсутствуют метастазы в отдаленных лимфатических узлах и органах - прогноз более благоприятный. Прогноз выживаемости для каждого типа опухоли 3 стадии рака свой. Большое значение имеет не только тип опухоли, а также состояние здоровья больного, место локализация опухоли - чем сложнее она расположена, тем меньше шансов на исцеление.
- 4 степень рака - последняя стадия рака. Прогноз в большинстве случаев негативный.
Четвертая стадия рака
Рак четвертой степени - это терминальная стадия рака. В большинстве случаев первые стадии рака проходят бессимптомно, а когда появляются симптомы злокачественной опухоли, она чаще всего находится на поздней стадии развития. Очень часто за короткий период происходит быстрое развитие новообразования - определенные факторы влияют на скорость развития рака. На скорость развития рака может повлиять беременность, стресс, травма, возраст, форма рака. Четвертая стадия рака уже не может быть вылечена с помощью хирургического вмешательства из-за распространения опухолевого процесса. Запущенность процесса не позволяет вылечить больного, но современная медицина позволяет продлить жизнь больного на несколько месяцев или лет.

Признаки
Признаки рака 4 стадии достаточно выраженные; в зависимости от типа опухоли и место локализации проявляются определенной симптоматикой. При раке кишечника 4 стадии может развиться кишечная непроходимость, запоры, беспокоить сильные боли в области живота, желудка. 4 стадия рака молочной железы характеризуется деформацией органа, втянутостью соска, появлением выделений из соска, признаками распада опухоли.
Рак 4-ой степени включает определенные критерии:
быстрый рост опухоли
фатальные типы рака: рак поджелудочной железы, рак легких, рак печени, мозга, меланома и другие типы рака
прогрессирующее злокачественное заболевание с метастазами в органы: печень, мозг, поджелудочную железу, легкие, с поражением костной системы
Можно ли победить рак 4 степени
Лечение рака 4 стадии практически невозможно, опухоль уже проросла в окружающие ткани, метастазировала в отдаленные лимфатические узлы и органы. Лечение 4 стадии рака очень сложное и тяжелое для пациента, здоровье которого уже и так ослаблено. Тем не менее, известны случаи, когда тяжелобольные люди побеждали рак, ведь каждый человек уникален и иммунитет у всех разный.
Симптомы перед смертью
Симптомы зависят от стадий, которые проходят больные. Стадия предагония - это состояние, вызванное тяжелыми нарушениями в работе ЦНС, кожа бледнеет, появляется синюшность кожного покрова. Больной угнетен физически и эмоционально. Падает артериальное давление.
Стадия агония - это последняя стадия перед смертью у больных. Больной испытывает сильное кислородное голодание, которое приводит к прекращению кровообращения и остановке дыхания. Агония может длиться до 3 часов.
Стадия клинической смерти - организм перестает функционировать, в клетках организма идут последние обменные процессы. Стадия длится несколько минут, заканчивается биологической смертью больного.
Остались вопросы? Мы вам перезвоним
Мы с радостью проконсультируем вас и ответим на все интересующие вопросы.
Рак почки
Рак почки - это злокачественная опухоль, развивающаяся из почек. Почки - это парные органы, размерами примерно с кулак, располагающиеся на задней брюшной стенке справа и слева от позвоночника. Над каждой из почек находятся надпочечники.
Основная функция почек - фильтрация крови: удаление воды, солей и вредных веществ, попадающих в организм. Каждая из почек важна, однако, как правило, даже одной почки достаточно для нормального функционирования организма, и множество людей живут полноценной жизнью с одной почкой.
Почечноклеточный рак
Почечноклеточный рак (ПКР) является самым распространенным типом опухоли почки. Около 9 из 10 опухолей почки это ПКР.
Как правило, ПКР представлен одной опухолью почки, однако в некоторых случаях встречаются одновременно поражения обеих почек, или 2 или более опухоли в одном органе.
Существует несколько типов почечноклеточного рака, однако в основном отличить их друг от друга можно лишь под микроскопом. Несмотря на это, знание типа опухоли необходимо для помощи врачу выбрать тактику Вашего лечения.
Среди злокачественных опухолей почек, помимо почечноклеточного рака, существуют еще переходноклеточный рак, опухоль Вильмса и саркома почки.
Переходноклеточный рак
Из каждых 100 раков почки, около 5-10 будут представлять собой переходноклеточный (уротелиальный) рак. Эти опухоли представляют собой опухоли не собственно почки, а собирательной системы — чашек и лоханки. Этот тип рака, так же как и рак мочевого пузыря, очень часто связан с курением и воздействием токсических веществ (например, на производстве). Уротелиальный рак может проявлять себя, подобно почечноклеточному: болью в спине и, иногда, примесью крови в моче.
Переходноклеточный рак обычно лечится хирургически, операция предполагает удаление всей почки и мочеточника вместе с частью стенки мочевого пузыря, куда впадает мочеточник. Химиотерапия бывает необходима до или после операции, в зависимости от степени распространения опухоли.
Около 9 из 10 уротелиальных раков удается обнаружить на ранней стадии. Шансы на излечение снижаются в случае, если опухоль прорастает стенку мочеточника и врастает в почку, либо она выглядит агрессивнее при микроскопическом исследовании.
После лечения уротелиального рака необходимо наблюдаться у врача-онколога и выполнять следующие процедуры:
- цистоскопия — осмотр мочевого пузыря через специальный инструмент
- компьютерная томография
- магнитно-резонансная томографмя
Данная опухоль может появиться в мочевом пузыре и даже в других органах.
Опухоль Вильмса
Данная опухоль почти всегда поражает детей, и крайне редко возникает у взрослых.
Саркома почки
Саркома почки — это редкий тип опухоли, возникающий из стенок кровеносных сосудов или соеденительной ткани почки. Он составляет менее 1%от всех злокачественных опухолей почек

Какие факторы риска являются значимыми для рака почки?
Фактор риска - это что-то, что повышает шанс развития онкозаболевания. Различные опухоли могут иметь разные факторы риска. Некоторые факторы риска, такие как курение, можно предотвратить. Другие же, такие как возраст или наследственность, не могут быть предотвращены.
В случае рака почки, точная причина возникновения опухоли до сих пор не известна. Однако есть несколько путей снизить риск возникновения болезни:
- Курение сигарет ассоциировано с большим количеством случаев рака почки, и отказ от курения может снизить риск.
- Ожирение и высокое артериальное давление также являются факторами риска для рака почки. Контроль артериального давления и меры по снижению веса уменьшают шансы заболеть.
- И, наконец, необходима смена места работы в случае, если приходится контактировать с опасными веществами, такими как кадмий и органические растворители.
Симптомы и признаки рака почки
Опухоль почки на ранних стадиях, как правило, не вызывает никаких симптомов, однако чем больше стадия, тем больше риск появления различных симптомов, таких как:
- Примесь крови в моче (гематурия)
- Боль в пояснице с одной стороне
- Общая слабость
- Потеря аппетита
- Потеря веса, не связанная с диетой
- Повышение температуры на фоне отсутствия инфекционных заболеваний
- Анемия (снижение гемоглобина)
Эти признаки и симптомы могут быть вызваны раком почки, однако наиболее часто они вызываются другими, доброкачественными заболеваниями. Например, одной из основных причин появления крови в моче является мочекаменная болезнь. Таким образом, если появился один или несколько из вышеперечисленных симптомов, лучше посетить врача.
Диагностика
При подозрении на злокачественное образование в почках назначают ряд уточняющих обследований. С их помощью врач получает информацию о размере, границах, месте расположения опухоли в почке и оценивает общее состояние здоровья пациента.

Комплекс исследований может включать в себя:
- Анализ мочи.
- Общий анализ крови.
- Биохимическое исследование крови.
- Компьютерная томография
- МРТ
- Ультразвуковое исследование
- Позитронно-эмиссионная томография (ПЭТ)
Некоторые другие исследования, такие как рентгенография или остеосцинтиграфия, будут полезны для определения распространения опухоли, т.е. метастазирования, в другие органы.
Стадирование рака почки
Лечение и прогноз заболевания определяются в зависимости от стадии опухоли почки. Наиболее широко для стадирования рака почки применяется система AJCC (Американского комитета по злокачественным заболеваниям), также известная как система TNM.
Стадия злокачественного образования зависит от его распространения: прорастания опухоли в близко расположенные ткани и органы, окружающие его лимфатические узлы, а также от наличия метастазов в отдаленных органах.
Стадирование основывается на результатах врачебного осмотра, биопсии и диагностических исследований.
Для злокачественной опухоли почки может быть 2 типа стадирования:
- Клиническая стадия, которая отражает клиническое представление врача о болезни
- Патологическая стадия, которая основана на тех же принципах, что и клиническая, плюс учитываются данные операции и исследования удаленного органа. Патологическая стадия считается более точной, чем клиническая.
Стадия может измениться после операции, например, если будет обнаружено распространение рака шире, чем предполагалось.
Стадия и прогноз
Выживаемость - это часто используемый показатель для оценки прогноза у пациента.
5-летняя выживаемость показывает на процент пациентов, кто прожил более чем 5 лет после установления диагноза. Разумеется, много людей живут намного дольше, чем 5 лет, и многие излечены от заболевания. Также, причиной смерти некоторых людей может быть не онкологическое заболевание.
Выживаемость пациентов с раком почки в зависимости от стадии заболевания
| Стадия | 5-летняя выживаемость |
| I | 81% |
| II | 74% |
| III | 53% |
| IV | 8% |
Эти цифры получены из национальной базы данных по злокачественным заболеваниям США, и могут отличаться для пациентов в РФ. Эти показатели включают в себя людей с установленным диагнозом рака почки, которые позже могли умереть от других причин, например, болезни сердца.
Лечение рака почки
Одним из самых важных факторов, имеющих значение для выбора плана лечения, является стадия заболевания. Также влияют такие факторы, как: общее состояние, возможные побочные эффекты от лечения, возможность полного исцеления, продления жизни или облегчения симптомов.
Варианты лечения рака почки могут включать в себя:
- Хирургию
- Абляцию
- Активное наблюдение
- Лучевую терапию
- Таргетную терапию
- Иммунотерапию
- Химиотерапию

Хирургическое лечение рака почки
Хирургия - это основное лечение рака почки. Шансы избавиться от заболевания без проведения операции очень малы. Даже пациенты с распространением рака на другие органы получают пользу от удаления опухоли почки. Удаление почки с опухолью может помочь некоторым пациентам продлить жизнь, а также убрать такие симптомы как боль и кровотечение.
В зависимости от стадии и расположения опухоли, хирургическим методом может быть удалена только опухоль с окружающей частью почки — так называемая резекция почки, либо целая почка с опухолью — нефрэктомия. Надпочечниковая железа и жировая ткань вокруг почки также может быть удалена вместе с почкой, если возникнет необходимость.
Нефрэктомия
Нефрэктомия - удаление почки, иногда вместе с надпочечником и окружающей жировой клетчаткой. Большинство людей с одной почкой живут обычной жизнью.
В условиях отделения онкоурологии и общей онкологии НИИ онкологии им. Н.Н. Петрова наиболее часто выполняется лапароскопический вариант данной операции. При этом вместо большого разреза используется несколько небольших разрезов 10-15 мм длиной, через которые устанавливаются специальные тонкие инструменты и лапароскоп с видеокамерой на конце. При помощи лапароскопии хирург видит происходящее на экране. После удаления почки для того, чтобы убрать ее из брюшной полости, производится разрез внизу живота, соответсвующий по размерам удаленному органу.
В случае, если опухоль распространяется в просвет почечной вены и/или в нижнюю полую вену, лапароскопический вариант операции возможен, однако он чаще, чем обычно, требует перехода на большой разрез при технических сложностях.
Резекция почки
В ходе данной процедуры, хирург удаляет только ту часть почки, которая содержит опухоль, оставляя оставшуюся ткань почки неповрежденной. В настоящий момент это предпочтительный метод лечения для пациентов с ранней стадией рака почки. Часто резекции вполне достаточно для удаления одиночных небольших опухолей до 4 см в диаметре.
Также этот метод может применяться у пациентов с бОльшими образованиями, до 7 см. Специалистами НИИ онкологии им. Н.Н. Петрова успешно выполнялись вмешательства на опухолях размерами 10 и более см, однако такие операции возможны только в отдельных случаях, с учетом анатомии опухоли.

Современные исследования показали, что отдаленные результаты у пациентов, перенесших резекцию почки, почти такие же, как у пациентов, у которых почка была удалена. Однако несомненным плюсом остается сохранение большей части почечной функции.
По сравнению с открытой операцией после лапароскопии менее выражен болевой синдром и уже в первые сутки после операции больные более активны.
После резекции почки, для определения функционального состояния пациента в НИИ онкологии проводится перфузия почки.

Регионарная лимфаденэктомия (лимфодиссекция)
Эта операция предполагает под собой удаление ближайших к почке лимфатических узлов в случае, если имеется подозрение на их поражение. В настоящий момент не существует единого мнения, необходимо ли во всех случаях рака почки удалять лимфатические узлы. В основном считается, что необходимость удаления лимфоузлов возникает, если они выглядят увеличенными по данным КТ или МРТ, либо в ходе операции.
Удаление надпочечника (адреналэктомия)
Адреналэктомия является стандартной частью нефрэктомии, однако если опухоль расположена в нижнем сегменте почки, относительно далеко от надпочечника, и визуализационные методы не показывают поражения надпочечника, он может быть сохранен. Так же, как и удаление лимфоузлов, удаление надпочечника рассматривается индивидуально в каждом случае.
Удаление метастазов (метастазэктомия)
У около 25% больных раком почки на момент диагностики имеется распространение (метастазы) заболевания на другие органы. Наиболее часто к ним относятся легкие, кости, печень и головной мозг. В некоторых случаях при такой ситуации может помочь оперативное лечение. Наиболее часто оно может применяться в случаях, если имеется единичный метастаз, который может быть хирургически удален, либо в случаях, когда удаление метастаза может облегчить симптомы болезни, такие как боль.

Риск и побочные явления после операции
Оперативное вмешательство всегда предполагает риск возможных осложнений. К ранним осложнениям относятся: реакция на анестезию (наркоз), кровотечение, которое может потребовать переливание крови, формирование гематом и возникновение инфекции. У большинства пациентов после операции возникает боль, которая может быть снята применением обезболивающих препаратов.
Другие риски включают в себя:
- Повреждение в ходе операции других органов и кровеносных сосудов, таких как : селезенка, печень, поджелудочная железа, аорта, нижняя полая вена, кишечник.
- Пневмоторакс (появление воздуха в грудной полости)
- Послеоперационная грыжа в месте проведения разреза
- Истечение мочи в брюшную полость или в забрюшинную жировую ткань после выполнения резекции почки
- Почечную недостаточность (нарушение функции оставшейся почки или части резецированной почки)


Авторская публикация:
Джалилов Имран Бейрутович
врач хирург-онколог отделения онкоурологии
НИИ онкологии им Н.Н. Петрова
Что вам необходимо сделать
Если вы хотите узнать побольше о бесплатных возможностях ФБГУ НМИЦ онкологии им. Н.Н. Петрова Минздрава России, получить очную или заочную консультацию по диагностике и лечению, записаться на приём, ознакомьтесь с информацией на официальном сайте.
Если вы хотите общаться с нами через социальные сети, обратите внимание на аккаунты в ВКонтакте и Одноклассники.
Сколько живут с раком 4 стадии?
UPD 10.02.2021
Вопрос о том, сколько живут с раком 4 стадии с метастазами или еще более конкретный: «Маме (тете, бабушке…) поставили IV стадию, сколько ей осталось?», регулярно задают врачам-онкологам родственники пациентов. Не услышав однозначного ответа, вопрошающие, как правило, начинают сетовать на врачей.
Почему на вопрос о том сколько живут больные раком IV стадии нет и не может быть четкого ответа? От чего зависит продолжительность жизни пациента с этой самой поздней стадией онкологического заболевания? Этот вопрос мы задали врачу высшей категории, заведующей научным отделом инновационных методов терапевтической онкологии и реабилитации НИИ онкологии им. Н.Н. Петрова, доктору медицинских наук Семиглазовой Татьяне Юрьевне.
На сегодняшний день словосочетание «IV стадия рака» не несет под собой ровным счетом никакой информации, за исключением понимания степени распространенности процесса (наличие отдаленных метастазов).
Клетки рака - это собственные клетки человека над ростом и размножением которых организм потерял контроль.
Эволюция рака насчитывает 4 этапа - 4 стадии, каждую из которых принято обозначать римскими цифрами от I до IV. Обнаружение опухоли на этапе, когда уже появились метастазы в отдаленные лимфоузлы и/или ткани и органы, автоматически определяет стадию процесса как четвертую.
Что влияет на продолжительность жизни пациента с 4 стадией рака?
Прогноз жизни больных злокачественной опухолью IV стадии определяется скоростью распространения опухоли в окружающие ткани и отдаленные органы.
Период удвоения опухоли может занимать от 30 дней до нескольких лет и десятилетий. Есть опухоли, о существовании которых в своем организме человек может никогда и не узнать. Они характеризуются очень медленным ростом и длительно себя клинически никак не проявляют. Это так называемые, латентные, вялотекущие или «добрые» опухоли.
Пример из практики . В 1997 году под руководством профессора Михаила Лазаревича Гершановича мы лечили больную неходжкинской лимфомой IV стадии. Муж больной спрашивал нас о том, сколько осталось жить его молодой жене? После проведенной полихимиотерапии и лучевой терапии на оставшиеся очаги, больная вот уже 20 лет приходит ко мне на прием в полном здравии, а ее сын успешно поступил в Университет.
Есть «злые опухоли», для которых характерен агрессивный потенциал метастазирования. При, казалось бы, маленьких размерах первичного очага отмечается бурная диссеминация процесса — быстрое появление и рост отдаленных метастазов в различных органах, чаще всего в печени, легких, костях, головном мозге… Однако, в большинстве случаев, с помощью современного и своевременного противоопухолевого лечения все же удается взять под контроль симптомы заболевания и замедлить, а то и приостановить, «бег» самой болезни.
В ряде случаев резко усугубляют прогноз жизни больного сопутствующие заболевания (тяжелая форма сахарного диабета, хроническая декомпенсированная сердечная недостаточность, дыхательная или почечная недостаточность, цереброваскулярные и тромбоэмболические заболевания, хронические инфекции и т.д.), которые не дают провести лечение в полном объеме.
Парадоксы возраста
Существует мнение, что пожилым людям сложнее бороться с недугом под названием рак. Ведь большое количество сопутствующих заболеваний ограничивает применение тех или иных видов лечения, в связи с риском развития различных осложнений. С другой стороны — у пожилых людей обменные процессы замедлены, и течение самого заболевания не активное, вялотекущее. При этом важно помнить, что на сегодняшний день пожилой и старческий возраст не является сам по себе противопоказанием к назначению противоопухолевой лекарственной терапии. Большее значение имеет биологический возраст больного, а не тот, что указан в паспорте.
У молодых пациентов напротив — количество сопутствующих заболеваний в разы меньше, а серьезных и вовсе может не быть. Но активные обменные процессы могут отчасти способствовать агрессивному течению опухоли. Так что возраст становится и союзником, и врагом.
Большое значение имеет длительность анамнеза (истории) болезни, а также резервы противоопухолевого лечения.

Все зависит зависят от ряда важных факторов, главным из которых является паспорт опухоли, который определяется результатами гистологического, иммуногистохимического + молекулярно-генетического заключения.
Противоопухолевое лечение при IV стадии рака на сегодняшний день может включать:
- виды лекарственной противоопухолевой терапии:
- (например, антрациклиновые антибиотики - доксорубицин, или антиметаболиты - фторурацил, метотрексат);
- гормонотерапию (например, тамоксифен из группы антиэстрогенов);
- таргетную терапию (это когда противоопухолевый препарат действует на определенную опухолевую мишень как «ключ к замку», например, анти-HER2 препарат трастузумаб);
- иммунотерапию (моноклональные антитела к CTLA-4, PD-1, PD-L1 целенаправленно воздействуют на опухоль через иммунную систему, например, ипилимумаб, пембролизумаб, ниволумаб, пролголимаб, атезолизумаб и дурвалумаб);
- иммуноконъюгаты (химиотерапевтический препарат связан с таргетным препаратом посредством мостика, например, трастузумаб эмтанзин);

Химиотерапия
Показания к назначению химиотерапии больному IV стадией рака определяются чувствительностью опухоли к цитостатикам.
Поэтому по чувствительности к химиотерапии опухоли подразделяются на 3 основные группы:
- Высоко чувствительные к химиотерапии, которые с ее помощью могут излечиваться (герминогенные опухоли, пузырный занос, лимфома Ходжкина и т.д.).
- Опухоли, которые отвечают на химиотерапию, но с ее помощью до конца не излечиваются (неходжкинские лимфомы, рак молочной железы, мелкоклеточный рак легкого, рак яичников и т.д.).
- Опухоли, которые плохо поддаются химиотерапевтическому лечению, такие как рак желудка, рак печени, рак поджелудочной железы, меланома и т.д..
Иммунотерапия
За последние 20 лет возможности лекарственного противоопухолевого лечения больных IV стадией рака радикально изменились.
Важно помнить, что иммунотерапия - это не панацея от всех болезней. На данный вид терапии отвечает только 20-30% больных иммунокомпетентными опухолями. Вероятность ответа к иммунотерапии при соблюдении определенных показаний в соответствии с регистрационным удостоверением иммуноонкологических препаратов присутствует у больных следующими метастатическими опухолями:
- метастатические опухоли с высоким уровнем микросателлитной нестабильности (MSI-H);
- неоперабельная или метастатическая меланома;
- предлеченная неоперабельная или метастатическая карцинома Меркеля;
- рецидивирующий или метастатический плоскоклеточный рак головы и шеи;
- метастатический немелкоклеточный рак легкого (НМРЛ);
- метастатический мелкоклеточный рак легкого (МРЛ);
- предлеченный местнораспространенный или метастатический рак желудка или пищеводно-желудочного перехода;
- рефрактерная или рецидивирующая метастатическая лимфома Ходжкина;
- предлеченный метастатический рак эндометрия;
- предлеченный метастатический рак шейки матки;
- метастатический почечно-клеточный рак;
- неоперабельная или метастатическая гепатоцеллюлярная карцинома;
- местнораспространенный или метастатический уротелиальный рак;
- метастатический трижды негативный рак молочной железы с PD-L1 экспрессий в первой линии.
Реакция организма пациента на иммунотерапию особая. Поэтому для всех препаратов, относящихся к новому классу ингибиторов точек иммунного ответа, лечение следует начинать под контролем опытных и квалифицированных онкологов.

Лаборатория молекулярной онкологии
Участие в клинических исследованиях
Для онкологических больных IV стадией участие в клинических исследованиях крайне важно. Лечение инновационными лекарственными препаратами в рамках клинических испытаний позволяет в ряде случаев эффективно контролировать болезнь долгие годы. По российскому законодательству регистрация любого нового противоопухолевого препарата в России возможна после проведения исследований с участием российских пациентов. На включение нового препарата в действующие клинические рекомендации уходят годы, поскольку важно подтвердить безопасность и эффективность лекарственного средства. Пациент, желающий принять участие в клиническом исследовании после беседы с лечащим врачом-онкологом подписывает информированное согласие в нескольких экземплярах. В рамках клинического испытания больного информируют обо всех диагностических исследованиях и лечебных процедурах, включая введение исследовательского препарата, а также о том, что исследуемый препарат может оказаться неэффективным для пациента, как, впрочем, и препарат, назначенный в соответствии с клиническими рекомендациями. При этом участники клинического исследования обязаны четко соблюдать условия протокола, неукоснительно следуя графику процедур и визитов в исследовательский Центр. Контроль за соблюдением прав пациента осуществляется Министерством Здравоохранения России и этическим комитетом.
Почему опухоль сразу не отвечает на лечение или возобновляется рост метастазов после длительной ремиссии?
Ответ на этот вопрос кроется в биологии самой опухолевой клетки, которая, как все живое на планете, старается как можно быстрее адаптироваться к агрессивной окружающей среде. Например, многократный прием пенициллиновых антибиотиков способствует возникновению резистентности (потере чувствительности) у бактерий, поэтому требуется смена антибиотиков при очередном обострении воспалительного процесса.
Опухолевые клетки - это те же клетки организма, над которыми сам организм по ряду причин потерял контроль. Вместо запрограммированной гибели клетки опухоли приобрели способность бесконтрольного деления, роста и метастазирования. Поэтому после длительного и стойкого регресса (уменьшения) опухоли возобновляется рост опухоли или возникают новые метастазы. Опухоль со временем «умнеет»: с каждой линией нового лечения период до обострения болезни будет все короче и короче. Больные часто не понимают этого и просят вернуться к лечению, которое когда-то было столь эффективно.
Важно относиться с пониманием, когда врачи просят выполнить биопсию новых метастазов, например, в печени или легких. Поскольку новые опухолевые очаги могут отличаться по рецепторному и мутационному статусу, а может возникнуть и новая опухоль. Поэтому больному потребуется назначение нового лечения в зависимости от биологического подтипа или вновь обнаруженных мутаций.
Важно, чтобы проведение, по сути, токсичного лечения было возможно с учетом исчерпанных в ряде случаев резервов организма пациента или сопутствующей патологии. Например, при возникновении вирусных инфекций, в том числе гриппа или новой инфекции COVID-19, противоопухолевое лечение, как правило, приостанавливается, и все силы врачей, и все силы организма будут направлены на борьбу с заболеванием. Сроки возобновления противоопухолевого лечения обсуждаются с лечащим терапевтом и врачом-онкологом индивидуально.
Среди пациентов с 4 стадией онкологического заболевания нужно особо выделить паллиативных пациентов.
Паллиативные пациенты — это те онкологические больные, которые исчерпали все возможности лечения, их организм не может больше бороться с болезнью. Физическое состояние таких пациентов, обусловлено в ряде случаев полиорганной недостаточностью. Исчерпанные возможности противоопухолевого лечения не позволяют продолжать лечение. По картине клинического анализа крови можно увидеть, что резко угнетено кроветворение (к примеру, низкие показатели гемоглобина, тромбоцитов, лейкоцитов). В биохимическом анализе крови, наоборот, могут «зашкаливать», например, показатели креатинина, билирубина и/или трансаминаз и т.д.
Этап, когда паллиативный пациент испытывает сильную слабость, не встает с постели и самостоятельно не передвигается, не ест, у него наблюдается спутанность сознания — называют терминальным. Все возможные виды лечения уже испробованы и перестали работать, возможна лишь симптоматическая помощь (например, купирование болевого синдрома). Причиной гибели онкологических пациентов зачастую является полиорганная недостаточность. Опухоль угнетает функции важных органов и систем организма, опухолевая масса растет и становится несовместимой с жизнью. Тем не менее, пациенты с 4 стадией рака, получающие грамотную паллиативную медицинскую помощь, которая в настоящее время оказывается в полном объеме квалифицированным и специально подготовленным персоналом ХОСПИСов, могут жить достаточно долго и с хорошим качеством жизни. У каждого больного всегда есть шанс дождаться новых видов лечения, к которым рак будет чувствителен. Наука двигается вперед семимильными шагами!
Нельзя забывать также о психологической, социальной и духовной составляющих. Найти свои «духовные якоря» онкологическим пациентам часто помогают медицинские психологи.

Что дает онкологическому больному психологическая помощь?
- Улучшается эмоциональное состояние больных и родственников;
- преодолеваются тревоги, страхи, возникшие сложности в семейных взаимоотношениях;
- укрепляется мотивация к прохождению лечения;
- повышается качество жизни больных и членов их семей;
- приобретаются навыки эффективного общения с медицинским персоналом, коллегами, друзьями и близкими людьми.
Важно помнить, что IV стадия злокачественного процесса сегодня - это хорошо управляемый процесс, который с помощью противоопухолевого лечения успешно переводится в хронический и вялотекущий процесс. Это в свою очередь дает возможность больным доживать до нового и более эффективного лечения. Двадцатилетний опыт работы химиотерапевтом в НИИ онкологии им. Н.Н. Петрова на вопрос: «Cколько живут больные раком 4 стадии?» позволяет ответить: «Долго», но при условии своевременного и современного лечения.


Авторская публикация:
Татьяна Юрьевна Семиглазова
врач высшей категории
доктор медицинских наук
заведующая научным отделом инновационных методов терапевтической онкологии и реабилитации НИИ онкологии им. Н.Н. Петрова
Нефробластома
UPD 13.04.2021
Нефробластома, или опухоль Вилмса - опухоль почки, составляет 6% от всех злокачественных опухолей детского возраста. Опухоль названа по фамилии немецкого хирурга Макса Вильмса, впервые описавшего это заболевание в конце XVIII века.
Стандартом в лечении нефробластомы является комплексный подход: химиотерапия, туморнефроуретерэктомия и лучевая терапия. Прогноз заболевания при современных подходах к терапии благоприятный: выживаемость достигает 80%.
Распространенность нефробластом у детей
- Нефробластома - врожденная эмбриональная злокачественная опухоль почки.
- Заболеваемость составляет 1:100000 детей в возрасте до 14 лет.
- Опухоль выявляется преимущественно в возрасте 1-6 лет.
- Нет различий заболеваемости по полу.
- В 5% случаев наблюдаются двусторонние нефробластомы.

Точные причины возникновения опухоли Вильмса не установлены. Предполагается связь развития заболевания с мутацией в гене 1 опухоли Вильмса (WT 1), расположенного на 11 хромосоме. Этот ген важен для нормального развития почек и любые поломки в нем могут приводить к возникновению опухоли либо других аномалий развития почек. В 12-15% случаев опухоль Вильмса развивается у детей с врожденными аномалиями развития. Чаще всего имеют место аниридия (отсутствие радужной оболочки), синдром Беквита-Видемана (висцеропатия, макроглоссия, пупочная грыжа, грыжа белой линии живота, олигофрения, микроцефалия, гипогликемия, постнатальный гигантизм), урогенитальные аномалии, синдром WAIR (опухоль Вильмса, аниридия, мочеполовые аномалии, олигофрения), синдром Дениса-Драша (Опухоль Вильмса, нефропатия, аномалия гениталий, задержка роста, аномалии ушной раковины).
Если у кого-либо в семье уже была опухоль Вильмса, то у ребенка из этой семьи повышается вероятность заболеть нефробластомой. Частота «семейных» случаев, однако, не превышает 1%, при этом, как правило, опухолью поражаются обе почки.
Классификация опухолей почек у детей
Существует гистологическое и клиническое стадирование опухоли Вильмса:
I) Гистологическое стадирование по Smidt/Harms проводится после удаления новообразования и предусматривает выделение 3х степеней злокачественности, влияющих на прогноз заболевания (низкой, средней и высокой) в зависимости от строения опухоли.
II) Клиническое стадирование
В настоящее время используют единую систему стадирования нефробластомы, которая является определяющей для лечения:
I стадия - опухоль локализуется в пределах почки, возможно полное удаление
II стадия - опухоль распространяется за пределы почки, возможно полное удаление, в т.ч.:
- прорастание капсулы почки, с распространением в околопочечную клетчатку и/или в ворота почки,
- поражение регионарных лимфатических узлов (стадия II N+),
- поражение внепочечных сосудов,
- поражение мочеточника
III стадия — опухоль распространяется за пределы почки, возможно неполное удаление, в т.ч.:
- в случае инцизионной или аспирационной биопсии,
- пред- или интраоперационный разрыв,
- метастазы по брюшине,
- поражение внутрибрюшных лимфоузлов, за исключением регионарных,
- опухолевый выпот в брюшную полость,
- нерадикальное удаление
IV стадия - наличие отдалённых метастазов
V стадия - двусторонняя нефробластома
Классификация нефробластомы по системе TNM в настоящее время сохраняет, в основном, историческое значение и в клинической практике не используется.



3D-реконструкции опухоли Вильмса пациентов детского отделения НМИЦ онкологии им. Н.Н. Петрова
Клинические симптомы опухоли почки у детей
Нефробластома может длительное время протекать бессимптомно. Первым признаком заболевания, который замечают родители, является увеличение размеров живота. Иногда ребенок жалуется на боли в животе. При микроскопическом исследовании мочи можно выявить микрогематурию.

Диагностика нефробластомы
Диагностические мероприятия при подозрении на опухоль Вильмса направлены, в первую очередь, на морфологическую верификацию диагноза и определение степени распространенности процесса в организме.
Основными инструментальными методами в диагностике опухоли почек у детей и подростков являются:
- и забрюшинного пространства.
- Компьютерная томография органов брюшной полости и забрюшинного пространства с оральным и внутривенным контрастированием.
- Магнитно-резонансная томография брюшной полости и забрюшинного пространства без и с контрастным усилением (даёт дополнительную информацию о распространённости и связи опухоли с окружающими органами).
- Радиоизотопное исследование почек - реносцинтиграфия позволяет оценить как суммарную функцию почек, так и отдельно функцию каждой из них.
- Для исключения метастатического поражения легких проводятся рентгенография и компьютерная томография органов грудной клетки.
Лабораторные исследования являются рутинными и включают в себя: клинический анализ крови, общий анализ мочи, биохимический анализ крови.
Непременным условием для постановки диагноза является выполнение тонкоигольной аспирационной биопсии опухоли под УЗИ-навигацией с проведением цитологического исследования полученного материала.


Опухоль Вильмса. Компьютерная томография
После удаления опухоли проводится ее морфологическое исследование. В зависимости от гистологического строения (мезобластическая нефрома, фетальная рабдомиоматозная нефробластома, кистозная частично дифференцированная нефробластома, классический» вариант без анаплазии, нефробластома с фокальной анаплазией, нефробластома с диффузной анаплазией) больные стратифицируются на группы риска.
Общие принципы лечения опухолей почки у детей и подростков
Лечение нефробластомы у детей проводится по стандартным методикам, принятым в европейских странах, и включает проведение неоадьювантного курса полихимиотерапии, операции - туморнефроуретерэктомии, послеоперационной химиотерапии и, по показаниям, лучевой терапии.
Предоперационный курс химиотерапии длится от 4 до 6 (при IV стадии) недель. Задача терапии - максимальное уменьшение размеров опухоли с целью предотвращения ее интраоперационного разрыва, т.е. во время операции и достижения максимальной резектабельности - возможности удалить больной орган. Базовыми препаратами, используемыми в данном курсе, являются винкристин и дактиномицин.
Оперативный этап лечения опухоли почки заключается в радикальном одномоментном удалении всей ткани опухоли. Туморнефроуретерэктомию проводят из срединного доступа. Обязательной является ревизия печени, контралатеральной почки и регионарных лимфатических узлов.
За последние десятилетия накоплен значительный опыт резекций почек при односторонней опухоли Вильмса, показавший сравнимые с классической нефрэктомией отдаленные результаты.
Лапароскопическая нефрэктомия при опухоли Вильмса впервые была выполнена в 2004 г. в университете Сан Пауло (Бразилия) у детей, получавших неоадъювантную терапию по протоколу SIOP-2001. К настоящему времени уже накоплен большой опыт ее применения, в том числе и в нашем Центре, позволяющий использовать минимально инвазивную хирургию не менее чем у 20% пациентов.
Метод лапароскопической ассистированной резекции почки возможен у пациентов с односторонней опухолью Вильмса только после неоадъювантной ПХТ и при соблюдении условий, оговоренных протоколом SIOP-RTSG 2016 «UMBRELLA»:
- объем первичной опухоли менее 300 мл;
- периферическая локализация и унифокальность;
- отсутствие инвазии в лоханку по данным предоперационной визуализации;
- отсутствие опухолевых тромбов и инвазии в соседние органы и ткани;
- отсутствие признаков разрыва капсулы, возможность радикального удаления опухоли при сохранении более 66% здоровой почечной ткани.
Послеоперационная химиотерапия проводится после разделения больных на группы риска в соответствии с гистологической структурой опухоли и стадии заболевания.
Лучевая терапия проводится параллельно послеоперационной полихимиотерапии, начинается на 2-3 неделе после удаления опухоли. Длительность лучевой терапии составляет 7-10 дней. Объем облучения зависит от результатов операции.
Диспансерное наблюдение при нефробластомах
Наблюдение за излеченными пациентами осуществляется для выявления рецидива и отдаленных последствий лечения.

В течение первых двух лет после окончания терапии пациенты обследуются каждые три месяца. Далее, до достижения пятилетнего срока наблюдения - каждые 6 месяцев. В алгоритм обследования включаются: УЗИ органов брюшной полости, рентгенография органов грудной клетки при каждом визите. При необходимости дополнительно рекомендуются проведение исследования функции почки (анализ мочи, биохимическое исследование крови, ренография), углубленное исследование сердечно-сосудистой деятельности (ЭКГ, ЭХО-КГ), исследование слуха методом аудиометрии.
После пяти лет наблюдения пациенты обследуются не чаще одного раза в год.
Все дети, закончившие программное лечение, могут продолжить посещение организованных детских коллективов (школа, детский сад).
Рак почки - это различные в гистологическом плане варианты злокачественной неопластической трансформации почечной ткани. Клиническими признаками служат ренальные симптомы (боль, гематурия, опухолевидное образование) и экстраренальные (общие) проявления. Диагностика требует тщательного общеклинического, лабораторного, ультразвукового, рентгенологического, томографического, радиоизотопного исследования мочевыводящей системы. Показана радикальная или расширенная нефрэктомия; иммунотерапия, химиотерапия, таргетная терапия.

Общие сведения
Рак почки составляет 2-3% от всех онкологических заболеваний, а во взрослой клинической онкоурологии занимает 3-е место после рака простаты и рака мочевого пузыря. Преимущественно выявляется у пациентов 40-60 лет, при этом у мужчин статистически в 2-3 раза чаще, чем у женщин. Согласно современным воззрениям, является полиэтиологическим заболеванием; развитие опухоли может быть вызвано самыми различными факторами и воздействиями: генетическими, гормональными, химическими, иммунологическими, лучевыми.
Причины
По современным данным, на заболеваемость раком почки влияет целый ряд факторов. При почечно-клеточном раке у больных выявлен определенный тип мутаций - транслокация 3-ей и 11-ой хромосом, а также доказана возможность наследования предрасположенности к возникновению опухолевого процесса (болезнь Гиппеля-Линдау). Причиной роста всех злокачественных опухолей, в том числе и поражающих почку, является недостаточность противоопухолевой иммунной защиты (включая ферменты репарации ДНК, антионкогены, естественные киллерные клетки).
Табакокурение, злоупотребление жирной пищей, неконтролируемый прием анальгетиков, диуретических и гормональных препаратов значительно повышают риск заболеваемости раком почек. К возникновению неоплазии могут приводить хроническая почечная недостаточность и регулярное проведение гемодиализа, поликистоз почек, нефросклероз, развивающийся на фоне сахарного диабета, артериальной гипертензии, нефролитиаза, хронического пиелонефрита.
Новообразование может быть спровоцировано химическим воздействием на организм (при контакте с канцерогенами - нитрозаминами, циклическими углеводородами, асбестом и др.), а также радиационным излучением. Возможно развитие рака после ранее перенесенной травмы органа.
Классификация
Морфологические варианты неоплазии крайне вариабельны, что объясняет наличие нескольких гистологических классификаций. Согласно гистологической классификации, принятой ВОЗ, к основным видам злокачественных опухолей почки относят:
- Почечноклеточные опухоли (светлоклеточную карциному, тубулярную карциному, медуллярную карциному, папиллярную карциному, зернисто-клеточную карциному и др.)
- Нефробластические опухоли (нефробластому или опухоль Вильмса)
- Мезенхимальные опухоли (лейомиосаркому, ангиосаркому, рабдомиосаркому, фиброзную гистиоцитому)
- Нейроэндокринные опухоли (карциноид, нейробластому)
- Герминогенные опухоли (хориокарциному)
Международная TNM-классификация 1997 г. является общей для различных видов рака почки (T - размер первичной опухоли; N - распространенность на лимфатические узлы; M - метастазы в органы-мишени).
- T1 - опухолевый узел менее 7 см, локализация ограничена почкой
- Т1a - размер опухолевого узла до 4 см
- Т1b - размер опухолевого узла от 4 до 7 см
- T2 - опухолевый узел более 7 см, локализация ограничена почкой
- Т3 - опухолевый узел прорастает в околопочечную клетчатку, надпочечник, вены, однако инвазия ограничена фасцией Герота
- Т3а - инвазия паранефральной клетчатки или надпочечника в границах фасции Герота
- Т3b - прорастание почечной или нижней полой вены ниже диафрагмы
- T3c - прорастание нижней полой вены выше диафрагмы
- Т4 - распространение опухоли за пределы почечной капсулы с поражением прилегающих структур и органов-мишеней.
По наличию/отсутствию метастатических узлов принято различать стадии: N0 (признаки поражения лимфоузлов отсутствуют), N1 (выявляется метастаз в единичном регионарном лимфоузле), N2 (выявляются метастазы в нескольких регионарных лимфоузлах). По наличию/отсутствию отдаленных метастазов различают следующие стадии: М0 (отдаленные метастазы в органах мишенях не выявляются), М1 (обнаруживаются отдаленные метастазы, как правило, в легких, печени или костях).
Симптомы рака почки
При небольших размерах опухоль может протекать бессимптомно. Возникающие у пациентов проявления отличаются разнообразием, среди них выделяют ренальные и экстраренальные симптомы. К ренальным признакам относится триада: наличие крови в моче (гематурия), боль в области поясницы и пальпаторно определяемое образование на стороне поражения. Одновременное появление всех симптомов характерно для больших опухолей при запущенном процессе; на более ранних стадиях выявляются один или реже два признака.
Ренальные симптомы
Гематурия является патогномоничным признаком рака почки, может появляться однократно или периодически уже на ранних этапах заболевания. Может начинаться неожиданно, безболезненно при удовлетворительном общем самочувствии, может быть незначительной (микрогематурия) и тотальной (макрогематурия). Макрогематурия возникает в результате повреждения кровеносных сосудов при прорастании опухоли в почечную паренхиму, сдавлении ею внутрипочечных вен. Выделение с мочой червеобразных кровяных сгустков сопровождается почечными коликами.
Боли являются поздним признаком неоплазии. Они носят тупой, ноющий характер и обусловлены сдавлением нервных окончаний при внутренней инвазии опухоли и растяжении почечной капсулы. Рак пальпируется в основном на третьей или четвертой стадиях как плотное, бугристое образование. Повышение температуры тела длительное, значения чаще субфебрильные, но иногда - высокие фебрильные, могут колебаться от нормальных величин до повышенных. На ранних стадиях гипертермия обусловлена иммунной реакцией организма на опухолевые антигены, на поздних - процессами некроза и воспаления.
Экстраренальные симптомы
К экстраренальным симптомам рака почки относят паранеопластический синдром (слабость, потерю аппетита и веса, потливость, повышение температуры, артериальную гипертензию), синдром сдавления нижней полой вены (симптоматическое варикоцеле, отеки ног, расширение подкожных вен брюшной стенки, тромбоз глубоких вен нижних конечностей), синдром Штауффера (дисфункцию печени). Рак почек у детей (болезнь Вильмса) проявляется увеличением размера органа, повышенной утомляемостью, худобой, а также болями разнообразного характера.
Осложнения
Выраженная гематурия может привести к анемии, обтурации мочеточника, тампонаде мочевого пузыря кровяными сгустками и острой задержке мочи. Многообразные клинические симптомы могут быть проявлением метастазов опухоли. Признаками метастазирования являются кашель, кровохарканье (при поражении легких), болевой синдром, патологические переломы (при костных метастазах), сильная головная боль, усиление неврологической симптоматики, постоянные невралгии и радикулиты, желтуха (при метастазах в печени).
В диагностике рака почки применяются общеклинические, лабораторные, ультразвуковые, рентгенологические и радиоизотопные исследования. Обследование у врача-онкоуролога включает сбор анамнеза, общий осмотр, пальпацию и перкуссию (симптом Пастернацкого). По результатам общеклинического обследования назначается лабораторная диагностика крови и мочи (общий и биохимический анализы, цитологическое исследование).
Выявляются изменения лабораторных показателей крови и мочи: анемия, повышение СОЭ, вторичный эритроцитоз, протеинурия и лейкоцитурия, гиперкальциемия, ферментативные сдвиги (повышение секреции щелочной фосфатазы, лактатдегидрогеназы). Наблюдается повышенная секреция опухолью различных биологически активных веществ (простагландинов, тромбоксанов, активной формы витамина D), гормонов (ренина, паратгормона, инсулина, ХГЧ). Обязательно проводится обследование грудной клетки и костей для выявления метастазирования в легкие и кости таза. Выполняется инструментальное исследование:
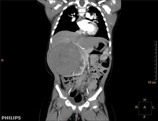
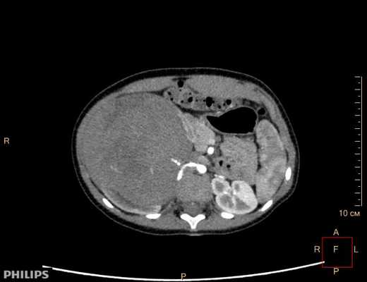
- УЗИ почек. Первостепенное значение на начальном этапе диагностикии имеет УЗИ, которое при наличии опухоли выявляет деформацию контуров органа, неоднородность эхосигнала из-за присутствия зон некроза и кровоизлияний, резкое поглощение ультразвука самим опухолевым образованием. Под контролем УЗИ производят закрытую чрескожную пункционную биопсию почки для забора материала для морфологического исследования.
- Рентгеновское исследование. Экскреторная урография и ренальная ангиография проводятся на заключительном этапе диагностики. Признаками ракового поражения почечной паренхимы при урографии является увеличение размеров почки, деформация контуров, дефект наполнения чашечно-лоханочной системы, отклонение верхнего уретерального отдела; по данным ангиограммы почек - увеличение диаметра и смещение магистральной почечной артерии, беспорядочная избыточная васкуляризация опухолевой ткани, неоднородность тени опухоли при ее некрозе. Почечная ангиография помогает дифференцировать истинное новообразование от кисты, выявить небольшую опухоль в корковом слое, наличие метастазов в соседних органах и второй почке, опухолевого тромба в почечной вене.
- Радионуклидное сканирование. Нефросцинтиграфия позволяет обнаружить очаговые изменения, характерные для рака почки. Из-за различного поглощения гамма-частиц нормальной почечной паренхимой и тканью опухоли создается частичный дефект изображения почечной ткани или его полное отсутствие при тотальном поражении.
- Томографическое исследование. КТ почки контрастным усилением позволяет обнаружить рак почки любого размера, установить его структуру и локализацию, глубину прорастания паренхимы, инфильтрацию паранефральной клетчатки, опухолевый тромбоз почечной и нижней полой вен. При наличии соответствующих симптомов проводится КТ органов брюшной полости, забрюшинного пространства, костей, легких и головного мозга с целью выявления метастазов.
Рак почки дифференцируют с солитарной кистой почки, мочекаменной болезнью, гидронефрозом, нефролитиазом, абсцессом и туберкулезом почки, с опухолями надпочечника и внеорганными забрюшинными опухолями.
Хирургическое лечение
Оперативное лечение является основным и самым эффективным методом в большинстве случаев заболевания, применяется даже при регионарных и отдаленных метастазах и позволяет увеличить срок выживаемости и качество жизни больных. Выполняются удаление почки (радикальная и расширенная нефрэктомия) и резекция почки. Выбор лечебного подхода определяется вариантом неоплазии, размером и локализацией опухоли, прогнозируемой выживаемостью больного.
- Резекция почки. Проводится с целью сохранения органа у пациентов с локальной формой рака, когда опухоль не проникает глубоко в паренхиму, расположена на полюсах, а также в случаях единственной почки, билатерального опухолевого процесса, нарушения функции второй почки. Во время резекции почки выполняют интраоперационное гистологическое исследование ткани с краев операционной раны на предмет глубины опухолевой инвазии. После резекции существует более высокий риск местного рецидива рака почки.
- Радикальная нефрэктомия. Является методом выбора на всех стадиях рака почки. Предполагает хирургическое иссечение одним блоком почки и всех ближайших образований: околопочечной жировой клетчатки, почечной фасции, регионарных лимфатических узлов. Удаление надпочечника проводится при обнаружении в нем метастатических очагов.
- Расширенная нефрэктомия. При расширенной нефрэктомии иссекаются ткани опухоли, распространившейся на окружающие органы. При врастании опухоли в просвет почечной или нижней полой вен выполняется тромбэктомия; при поражении опухолью сосудистой стенки проводится краевая резекция участка нижней полой вены. В случае распространенного рака почки, кроме нефрэктомии, обязательна хирургическая резекция метастазов в других органах. Лимфаденэктомия с гистологическим исследованием удаленных узлов помогает установить стадию рака и определить его прогноз. При отсутствии метастазов в лимфатических узлах (по данным УЗИ, КТ) лимфаденэктомия может не проводиться. Выполнение радикальной нефрэктомии при раке единственной почки требует проведения гемодиализа и последующей трансплантации почки.
В настоящее время в хирургии рака почки наметилась тенденция постепенного отказа от открытых вмешательств в пользу лапароскопических и робот-ассистированных операций.
Консервативное лечение
- Артериальная химиоэмболизация опухоли. может проводиться в качестве предоперационной подготовки для уменьшения кровопотери при нефрэктомии, как паллиативный метод лечения у неоперабельных больных или для остановки кровотечения при массивной гематурии.
- Иммунотерапия. Назначается для стимуляции противоопухолевого иммунитета при распространенном и рецидивном раке. Обычно применяют монотерапию интерлейкином-2 или альфа-интерфероном, а также комбинированную иммунотерапию этими препаратами, что позволяет добиться частичной регрессии опухоли (примерно в 20% случаев), длительной полной ремиссии (в 6 % случаев). Результативность иммунотерапии зависит от гистотипа неоплазии: она выше при светлоклеточном и смешанном раке и чрезвычайно низка при саркоматоидных опухолях. Иммунотерапия неэффективна при наличии метастазов в головной мозг.
- Таргетная терапия препаратами сорафениб, сунитиниб, сутент, авастин, нексавар позволяет блокировать фактор роста эндотелия сосудов опухоли (VEGF), что приводит к нарушению ангиогенеза, кровоснабжения и роста опухолевой ткани. Иммунотерапия и таргетная терапия при распространенном раке могут назначаться до или после нефрэктомии и резекции метастазов в зависимости от трудноудалимости опухоли и общего состояния здоровья пациента.
- Химиотерапия(препаратами винбластин, 5-фторурацил) при метастатическом и рецидивном раке почки дает минимальный результат из-за перекрестной лекарственной резистентности, проводится обычно в сочетании с иммунотерапией.
- Лучевая терапия. Не дает необходимого эффекта, применяется только при метастазах в другие органы. При распространенном новообразовании с прорастанием окружающих структур, обширными метастазами в лимфоузлы забрюшинного пространства, отдаленными метастазами в легкие и кости возможно проведение только паллиативного или симптоматического лечения.
Прогноз и профилактика
После проведенного лечения показано регулярное наблюдение и обследование у врача-онкоуролога. Прогноз рака почки определяется в основном стадией опухолевого процесса. При раннем выявлении опухоли и метастазов можно надеяться на благоприятный результат лечения: 5-летняя выживаемость больных с Т1 стадией после нефрэктомии составляет 80-90% , при Т2 стадии 40-50%, при Т3-Т4 стадии прогноз крайне неблагоприятный - 5-20%. Профилактика заключается в соблюдении здорового образа жизни, отказе от вредных привычек, своевременном лечение урологических и других заболеваний.
Читайте также:
- Ушиб мозга тяжелой степени тяжести. Сдавление головного мозга. Внутречерепная гематома. Сдавление мозга гематомой. Светлый промежуток.
- Коронарный синдром без подъема интервала ST. Стенокардия покоя. Стенокардия напряжения.
- Рентгенограмма, КТ, МРТ при нижнем вывихе плеча (luxatio erecta)
- Методика ольфактометрии и набор пахучих веществ для нее
- Старческие изменения общего анализа крови у пожилых
