Рентгенограмма, КТ, МРТ при нижнем вывихе плеча (luxatio erecta)
Добавил пользователь Владимир З. Обновлено: 02.11.2025
МРТ и КТ плечевого сустава являются двумя основными высокоинформативными способами диагностировать патологии в области плеча. У многих пациентов возникает вопрос, в чем же отличия между МРТ и КТ (МСКТ) плеча
МРТ и КТ плечевого сустава являются двумя основными высокоинформативными способами диагностировать патологии в области плеча. У многих пациентов возникает вопрос, в чем же отличия между МРТ и КТ (МСКТ) плеча, и что лучше: сделать МРТ плечевого сустава или КТ. Давайте разбираться вместе.
Методы диагностики плечевого сустава
Для диагностики повреждений плечевого сустава используют различные методы визуализации, включая:
- рентгенологические исследование;
- компьютерную томографию (МСКТ);
- ультразвуковое исследование (УЗИ);
- магнитно-резонансную томографию (МРТ).
У каждого способа обследования имеются свои преимущества и недостатки. На сегодняшний день ведущую роль в визуализации вне- и внутрисуставных структур плечевого сустава играет МРТ, которая позволяет выявлять мягкотканные и костные повреждения в суставах. Она может осуществляться по двум базовым протоколам - бесконтрастная томография и МРТ плечевого сустава с применением парамагнитных контрастных веществ (она же МР артрография). Лидирующую роль в оценке состояния костей плеча играет спиральная компьютерная томография.

Сведение об исследовании
- Продолжительность: 30-40 минут
- Требование к подготовке: Нет
- Назначение врача: Не требуется
- Применение контраста: По назначению врача
- Противопоказания и ограничения: Есть
- Рекомендуемая мощность аппарата: Любая
- Время выдачи результатов: 30-40 минут
- Что входит в стоимость: Заключение + запись снимков

- Продолжительность: 3-7 минут
- Требование к подготовке: Нет
- Назначение врача: Не требуется
- Применение контраста: По назначению врача
- Противопоказания и ограничения: Есть
- Минимальная мощность аппарата: Любая
- Время выдачи результатов: 30-40 минут
- Что входит в стоимость: Заключение + запись снимков
КТ и МРТ плечевого сустава - в чем разница
В принципе действия компьютерной и магнитной томографии существует серьезная разница. При проведении КТ (МСКТ) плечевого сустав рентгеновские лучи воздействуют на исследуемую область человеческого организма. В ходе магнитно-резонансной томографии никакой дозы облучения нет. Изображения получаются от эффекта ядерного магнитно резонанса - то есть, колебания атомов водорода в клетках ткани при воздействии на них сильным магнитным полем и радиочастотными импульсами.
Когда МРТ плечевого сустава лучше, чем КТ плеча
В медицинских центрах СПб обследование плечевого сустава с помощью магнитного резонанса является профилирующим диагностическим исследованием патологий суставных тканей. Именно МРТ плечевого сустава дает возможность получить данные о состоянии суставов, мягких тканей и хрящей. Томография плеча хорошо покажет:
- причины непонятной боли в плече, хруста в плече;
- последствия травмы в области плечевого сустава, перелома;
- место разрыва связок, периодических вывихов;
- причины припухлости в области плеча;
- ущемление нервов, сухожилий.
МРТ также позволяет отличить здоровые ткани от поврежденных при предположении на опухоль или раковые метастазы, помогает оценить картину травм и их месторасположение.
В отличие от КТ плеча, МРТ может многократно применяться при исследовании состояния здоровья детей и беременных женщин. По времени для проведения МРТ плечевого сустава может понадобиться от десяти до двадцати минут нахождения пациента в неподвижном состоянии в условиях замкнутого пространства камеры МРТ. КТ плечевого сустава занимает всего до десяти секунд, что по времени проведения исследования предпочтительно для людей, страдающих клаустрофобией или боязнью замкнутых пространств.
Магнитно-резонансное исследование имеет ряд абсолютных противопоказаний, к которым в настоящее время относятся: наличие у человека кардиостимулятора, электронных или ферромагнитных имплантатов среднего уха, больших металлических имплантатов и ферромагнитные осколков, а также наличие больших кровоостанавливающих клипс сосудов головного мозга.
Когда КТ плечевого сустава лучше, чем МРТ плеча
Компьютерное рентгеновское исследование плеча больше рекомендовано при проведении диагностики костной составляющей человеческого организма, а именно: травматических повреждений костей плеча человека; неправильно сросшиеся кости, наличие костных шпор; поражений костей опухолевой природы как первичных, так и вторичных; атеросклеротических изменений сосудов.
Противопоказаниями для проведения МСКТ могут являться беременность и кормление ребенка грудью. Также метод компьютерной томографии не рекомендован маленьким детям без серьезных медицинских показаний из-за лучевой нагрузки.
Что показывает КТ плечевого сустава, КТ или МРТ - что лучше?
КТ плечевого сустава обосновано сделать, если выполненные ультразвуковое исследование и рентгенография не смогли уточнить причину появления жалоб или есть веские подозрения на патологию костно-суставного аппарата данной области. Данное исследование полезно при наличии противопоказаний к магнитно-резонансной томографии (МРТ). Во время КТ-сканирования создаются изображения поперечного сечения плеча с помощью рентгеновских камер и специальных программ. Компьютерная томография плеча может быть выполнена нативно или с контрастированием.
Что показывает КТ плечевого сустава
Фото компьютерной томографии плечевого сустава
Плечевой сустав самый подвижный в организме человека. Огромный диапазон перемещений приводит к его нестабильности, поэтому вывихи и травмы регистрируются часто. Дислокация суставной головки из своего ложа увеличивает вероятность повреждения, что часто приводит к дегенеративному процессу, при котором окружающие сустав ткани постепенно разрушаются и перестают нормально функционировать. Что можно обнаружить на томограммах? КТ плечевой кости демонстрирует сложность перелома, смещение отломков и угол, образуемый их положением. Способность визуализировать изображения в осевой, сагиттальной и корональной плоскостях, а также в трехмерном формате, помогает в интерпретации картины повреждения и предоперационном планировании.
КТ плеча позволяет диагностировать следующие патологические процессы:
инфекционное поражение суставного аппарата;
тромбообразование в сосудах плечевого сустава;
системные заболевания соединительной ткани с вовлечением плечевого сочленения;
разрывы сухожилий, мышц, связочного аппарата;
посттравматические повреждения (вывих, подвывих, перелом, растяжение, ушиб) и осложнения (остеонекроз, рубцовые деформации и пр.);
дистрофические изменения рассматриваемой области;
опухолевый процесс (включая метастатические поражения) в суставе.
Окончательно диагноз верифицируют с учетом совокупности результатов всех исследований. Эффективность терапии выше после прохождения полной диагностики, а схема лечения напрямую связана с патогенетическим фактором. КТ плечевого сустава позволяет врачу дать оценку костям, мягким тканям, костно-суставным сочленениям и обнаружить отклонения.
Как делают КТ плечевых суставов
Положение пациента во время исследования
Сделать КТ плечевой кости в Санкт-Петербурге можно в одном из диагностических центров, в отделении радиологии больницы или клиники, где есть компьютерный томограф. Предварительно нужно записаться, связавшись с оператором через форму сайта или по телефону. Возможно прохождение обследования в экстренном порядке в день обращения.
Как проходит процедура КТ плечевой кости
Техник попросит Вас принять определенную позу; для дополнительной фиксации конечности могут быть использованы подушки или ремни - это поможет сохранить правильное положение и получить качественные изображения. Вам также может потребоваться задержать на несколько секунд дыхание во время коротких отдельных сканирований, чтобы предотвратить размытость на снимках. Из соседней комнаты техник с помощью пульта дистанционного управления переместит Вас вглубь томографа, и начнется сама процедура, во время которой специальные датчики будут вращаться вокруг тела. Для экстренных ситуаций в ходе сканирования под рукой есть кнопка для связи с персоналом. После завершения необходимо подождать некоторое время, чтобы техник убедился в качестве полученных томограмм: они должны быть четкие, чтобы в дальнейшем врач мог их правильно прочитать. Типичная КТ занимает 5-10 минут, что актуально в диагностике острых травматических повреждений.
Подготовка к исследованию плеча
Нативная компьютерная томография плечевой кости - один из неинвазивных тестов визуализации, и ее прохождение не требует особой подготовки. Достаточно выбрать свободную удобную одежду без замков и металлических застежек, убрать украшения: заколки, цепочки, часы и пр. Косточки бюстгальтера также могут привести к появлению артефактов на изображениях, поэтому об этом лучше позаботиться заранее. С собой нужно взять результаты предыдущих обследований и выписки из стационара, если таковые есть. После диагностики можно заниматься привычными делами.
Контрастирование

Введение в вену контраста через катетер
Контрастирование значительно улучшает четкость томограмм и позволяет рассмотреть мельчайшие детали, которые не показывает простое (нативное) компьютерное сканирование, рентгенография и УЗИ плечевого сустава. В большинстве случаев внутривенного усиления не требуется, а его использование зарезервировано для патологических процессов, подозрительных на опухоль или абсцесс кости. Если процедура подразумевает введение контрастного вещества, есть определенные нюансы, которые необходимо знать:
Внутривенная инъекция радиофармпрепарата на голодный желудок повышает вероятность развития вегетативной симптоматики: головокружения, тошноты, слюнотечения. Поэтому перед обследованием, за 30-45 мин., нужно неплотно перекусить.
Если ранее отмечалась аллергическая реакция на контраст, сообщите об этом врачу. Ощущение горячих приливов, учащенное сердцебиение, легкие диспепсические расстройства, которые исчезли через несколько минут самостоятельно, рассматриваются как вариант нормы и не являются противопоказаниями к контрасту.
От приема Метформина при сахарном диабете необходимо отказаться за 36 часов до КТ с усилением, отмену лекарства следует обязательно обсудить с эндокринологом.
Перед обследованием с контрастированием, даже если никогда не было заболеваний почек, необходим анализ крови на креатинин. Результаты действительны в течение 10 дней.
Показания и противопоказания
Компьютерная томография имеет свои показания и противопоказания
Если альтернативные методы визуализации не дают исчерпывающей информации или есть противопоказания к МРТ, КТ является хорошей альтернативой для установления диагноза. Компьютерное сканирование плеча обычно используют для оценки состояния сустава после протезирования, переломов, вывихов. Врач может назначить это исследование, если пациента беспокоят боли в плече, характерные пощелкивания, ограничение объема движения, припухлость и покраснение кожных покровов над суставом.
Как и при любом рентгеновском исследовании, во время прохождения компьютерной томографии присутствует некоторое облучение. Его уровень абсолютно безопасен для взрослых, если диагностика проводится на современном качественном томографе. Во время беременности, лактации и в детском возрасте до 14 лет радиационное воздействие может оказать неблагоприятное влияние на организм, поэтому предпочтительнее сделать МРТ или УЗИ плечевого сустава. Компьютерное сканирование для этой категории лиц может быть выполнено по жизненным показаниям. Женщине, не исключающей желанную беременность на ранних сроках, необходимо воздержаться от любых рентгенологических обследований.
Существуют ограничения и по весу пациента: КТ невозможно по техническим причинам, если масса тела превышает 150 кг.
Противопоказания для контрастной КТ
Современные радиофармпрепараты имеют минимальный риск развития побочных эффектов, но некоторой категории пациентов КТ с усилением не назначают. Абсолютными противопоказаниями к введению контраста служат:
реакции гиперчувствительности (поливалентная аллергия, крапивница, отек Квинке, анафилактический шок) на радиофармпрепарат.
хроническая почечная недостаточность в стадии суб- и декомпенсации.
состояние после трансплантации почки, нефрэктомии.
В этих случаях вопрос о возможности выполнения компьютерной томографии с введением контраста решается в индивидуальном порядке.
В диагностическом центре “Магнит” (Санкт-Петербург) можно сделать КТ и МРТ плеча в удобное для Вас время. Действует гибкая система скидок, мы работаем в режиме 24/7. В ночные часы цены обследования ниже. Современный томограф, высокое качество снимков, опытные специалисты, индивидуальных подход к каждому пациенту - все, что необходимо для определения причины болезни.
Фото томографии плечевого сустава
КТ при нестабильности плеча
А - дисплазия гленоида;
В - повреждение Хилл-Сакса (субхондральный перелом), дефект головки плечевой кости после вывиха плеча;
С - повреждение Банкарта (отрыв ободка от костной впадины с вывихом плеча вперед, разрушение краев лопаточной впадины - места прикрепления хряща);
D - повреждение Хилл - Сакса в переднем отделе суставной губы;
Е - 3D-реконструкция переднего вывиха плеча;
F- задний перелом с вывихом плеча.
Наиболее часто КТ плечевого сустава выполняют по поводу травматических повреждений. Они различаются по механизму альтерации: падение на вытянутую руку, прямой удар и пр. Врач-рентгенолог после анализа томограмм выявляет причину, а ортопед определяет оптимальную тактику ведения. Иногда повреждение может быть настолько серьезным, что пациенту необходимо эндопротезирование плечевого сустава.
Рентгенограмма и компьютерная томограмма у пациента с тяжелым переломом и вывихом правого плечевого сустава до операции
При соблюдении всех рекомендаций (ношение ортеза, дальнейшая разработка, динамическое наблюдение с контрольной КТ плеча и пр.) качество жизни не страдает.
Диагностика вывиха на снимках МРТ и КТ плечевого сустава
Причины: обычно травматический, менее часто привычный (при слабости капсулы плечевого сустава).
Типы вывиха
Передний вывих (97%): обычно связан с непрямым приложением силы; сочетание разгибания, супинация и отведения.
Задний вывих (2-3%): обычно связан с непрямым приложением силы; сгибание, пронация и приведение, например при повреждении электрическим током или эпилептическом припадке.
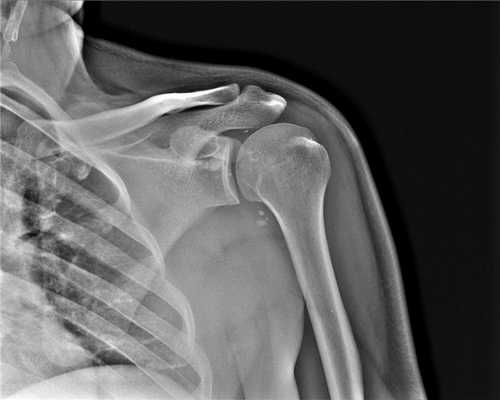
Редкие типы: вывих с расхождением крыши плечевого сустава; нижний вывих (выпрямленный вывих).
Какой метод диагностики вывиха плеча выбрать: МРТ, КТ, рентген
Метод выбора
Что покажут рентгеновские снимки при вывихе плеча
- Рентгенологическое исследование в двух проекциях: прямая тангенциальная (касательная) проекция суставной полости и чрезлопаточная проекция.
Передний вывих: головка плечевой кости расположена кпереди и книзу, обычно ниже клювовидного отростка; в редких случаях она может находиться на нижней границе суставной полости.
Задний вывих: головка плечевой кости перекрывает границу суставной полости; суставная щель не визуализируется.
Частые сопутствующие повреждения
- Отрыв большого бугорка
- Повреждение Хилла-Сакса: передний вывих с дефектом кости на заднелатеральной поверхности головки плечевой кости; соответствует месту, где головка плечевой кости находит на нижнюю границу суставной полости; возможно изображение в прямой проекции с пронацией плеча.
- Реверсный дефект Хилла - Сакса: возникает при заднем вывихе плечевого сустава; рядом с поврежденным бугорком плечевой кости.
- Повреждение Банкарта: дефект хрящевой ткани и/или кости на нижней границе
суставной полости/суставной губы.


a,b Передний вывих плечевого сустава у женщины 46 лет после падения на вытянутую руку. (а) Рентгенологическое исследование праовго плечевого сустава в прямой проекции с ротацией противоположной стороны туловища на 40° кпереди и на (b) Y-проекция. Суставная впадина пуста. Передненижнее смещение головки плечевой кости ниже клювовидного отростка.
а, b Задний вывих плечевого сустава у женщины 45 лет после падения с велосипеда, (а) Рентгенологическое исследование правого плечевого сустава. Суставная щель в прямой проекции не визуализируется, плечо ротировано медиально.(b) Y-проекция четко демонстрирует задний вывих.
Травма плечевого сустава

МРТ плечевого сустава. Т2-взвешенная корональная МРТ. Разрыв вращательной манжеты. Цветовая обработка изображения.
Краткие сведения по анатомии плечевого сустава
Движение в плечевом поясе обеспечивается плечевым суставом, акромиально-ключичным суставом и грудинно-ключичным суставом. Кроме того, между грудной клеткой и лопаточной костью есть ложный сустав - лопаточно-грудной.
Плечевой сустав относится к синовиальным шарнирным суставам. Он состоит из полусферической головки плечевой кости и неглубокой суставной (гленоидальной) впадины в лопаточной кости. Поскольку впадина в 4 раза меньше головки возможен большой объём движений в разных направлениях.
Сверху сустав защищён аркой, образованной клювовидным отростком, акромиальным отростком лопаточной кости и клювовидно-акромиальной связкой. Хрящ, покрывающий головку плечевой кости толще в центре, чем по периферии. Хрящ суставной впадины, наоборот, толще по периферии, чем в центре. Сустав поддерживается мягкоткаными структурами: суставной капсулой, клювовидно-плечевой связкой, тремя гленоплечевыми связками, а также пучками сухожилий грудных мышц спереди, поперечной связкой плеча и суставной губой.
Суставная капсула, полностью окружает сустав. Капсула прикрепляется наверху к окружности суставной впадины позади суставной губы, снизу к анатомической шейке плечевой кости, причём большой и малый бугорки плечевой кости остаются вне полости сустава, а капсула перекидывается в виде мостика над верхней частью межбугорковой борозды. Капсула свободная и тонкая, чтобы не уменьшать объём движений. Дополнительно, она усилена связками вращательной манжеты. Вращательная манжета плеча образована сухожилиями 4 мышц. Суставная губа располагается по краю суставной впадины. Она выполняет стабилизирующую и амортизирующую функции.

Схема костных структур, образующих плечевой сустав.

Костные структуры плечевого сустава.

Анатомия плечевого сустава. Т1-зависимая МРТ в корональной плоскости. Обозначения: 1 -суставная (гленоидная) впадина, 2 - ключица, 3 -головка плечевой кости, 4 - подлопаточная мышца, 5 - дельтовидная мышца, 6 - длинная головка сухожилия двуглавой мышцы плеча, 7 - надостная мышца, 8 - трапецевидная мышца, 9 - сухожилие надостной мышцы, 10 - верхняя губа.
Типичные повреждения плечевого сустава
Повреждения плечевого сустава встречаются относительно часто. Причинами служат чрезмерный объём движений в суставе или падение на вытянутую руку. Встречается также нетравматическая этиология нестабильности при заболеваниях соединительной ткани. МРТ плечевого сустава наряду с его рентгенографией являются главными методами выявления травмы.
Наиболее типичным (около 85% передних смещений травматической этиологии) является повреждение Банкарта - отрыв фиброзного или фибрознохрящевого фрагмента от края суставной впадины в месте прикрепления связки к суставной впадине с повреждением суставной губы. Кроме того, травма может приводить и к костным повреждениям - перелому гленоидного кольца спереди, костному повреждению Банкарта (то есть повреждению Банкарта в сочетании с переломом) и перелому большой бугристости.

МРТ плечевого сустава. Корональные Т1-взвешенные МРТ. Переломы Хилла-Сакса и Банкарта.
Разрыв вращательной манжеты - также характерное повреждение области плеча - может быть связан как с травмой, так и дегенеративными процессами. Разрывы вращательной манжеты бывают полные и неполные. Кроме того, по МРТ плечевого сустава выделяют 3 градации, в основе которых лежит не только изменение сигнала на Т2-зависимых томограммах, но и морфологические изменения сухожилия.

МРТ. Корональная Т2-зависимая томограмма с подавлением сигнала от жира. Полный разрыв сухожилия надостной мышцы.
Травма легко приводит к вывихам. Термин “нестабильность сустава” отражает состояние сустава, когда в нём имеются постоянные нарушения, предрасполагающие к вывиху. Хроническая нестабильность приводит к частым повторным вывихам и подвывихам в плечевом суставе, что осложняется его дегенерацией, развитием плечелопаточного периартрита, деформирующего артроза. Нестабильность проявляется болями в суставе, дискомфортом, щёлканьем в суставе и смещением плеча. Пациент «скован» в плече, старается избежать активных и резких движений.
Также в плечевом суставе может развиваться импинджмент-синдром, описанный нами в разделе “Какие причины вызывают боли в суставах и их диагностика“.
Вместе с вращательной манжетой плеча могут повреждаться соседние структуры, МРТ акромиально-ключичного сочленения выполняется вместе с МРТ плечевого сустава.
Диагностика повреждений плечевого сустава
Роль лучевой диагностики в выявлении и стадировании патологий плечевого сустава трудно переоценить. В большинстве случаев правильное применение методов лучевой диагностики даёт полноценную для травматолога информацию и позволяет избежать артроскопии.
Рентгенография, хотя и не позволяет выявлять разрывы связок и суставной губы, остаётся обязательным диагностическим методом при травме плечевого сустава. Она позволяет обнаруживать переломы и костные дефекты, смещения, свободные фрагменты.
На КТ хорошо видны костные дефекты и дефекты гиалинового хряща суставной впадины. Гиалиновый хрящ, покрывающий головку плечевой кости виден гораздо хуже.

КТ плечевого сустава, Переломы Банкарта и Хилла-Сакса.

МРТ плечевого сустава с подавлением сигнала от жира. Т2-взвешенная корональная МРТ. Перелом большого бугорка (стрелка).
Подозрение на разрыв вращательной манжеты плеча или проксимальной части длинной головки двуглавой мышцы плеча
Травма, при которой имеется подозрение на разрыв суставной губы
Травматические изменения плечевого сустава, приведшие к его нестабильности и типичным переломам головки плечевой кости или импинджмент синдрому
При МРТ плечевого сустава косвенным признаком разрыва вращательной манжеты служит высокий сигнал на Т2-взвешенных от поверхности сустава до субакромиальной (субдельтовидной) сумки. Частичные разрывы чаще всего по передней поверхности сухожилия м.supraspinatus, реже примыкая к большой бугристости или сухожилия м. infraspinatus.
МРТ плечевого сустава. Т2-взвешенная корональная МРТ. Субакромиальное скопление жидкости - косвенный признак разрыва вращательной манжеты.

МРТ плечевого сустава. Т1-взвешенная корональная МРТ. Частичный разрыв вращательной манжеты.
МРТ плечевого сустава. Т2-взвешенная корональная МРТ. Передний разрыв вращательной манжеты
МРТ СПб позволяет выбирать место МРТ. МРТ в СПб плечевого сустава профессор Холин А.В. проводит, главным образом, на аппарате открытого типа в клинике ЦМРТ. Это обеспечивает высокий комфорт для пациента, разумные цены и возможность консультации травматолога.
МРТ плечевого сустава что показывает
Магнитно-резонансная томография продолжает занимать лидирующие позиции в перечне методов диагностики, используемых для выявления различных заболеваний суставов. Этот метод отличается безопасностью, достоверностью и информативностью. Процедура обследования абсолютно безопасна, безболезненна и не предусматривает вмешательства в работу организма.

Дегтярева Федора Нарзановна
врач-рентгенолог, доктор медицинских наук, профессор, врач-рентгенолог высшей категории.
Для диагностики различных заболеваний и последствий травматического повреждения плечевого сустава магнитно-резонансная томография является золотым стандартом. С помощью этого метода можно выявить даже минимальные патологические изменения в самом сочленении и окружающих его тканях. Перед тем как назначить корректное лечение, врачу необходимо оценить, что показывает МРТ плечевого сустава, и каков характер патологических изменений.

Показания к МРТ плечевого сустава
Несмотря на безопасность, использовать МРТ необходимо в соответствии с показаниями. К основным показаниям для МРТ плечевого сустава, можно отнести:
- Подозрение на дегенеративно-дистрофические процессы в плечевом суставе (артроз, остеоартроз).
- Травматическое повреждение структур плечевого сочленения (растяжение или разрыв связок, перелом костных тканей сустава, повреждение хрящевой части сочленения, ушибы, нарушение целостности суставной сумки, вывихи).
- Признаки инфекционно-воспалительного процесса в области сустава (артрит).
- Хронический, прогрессирующий болевой синдром в области плеча, который распространяется на область предплечья, лопатку, кисть.
- Ограниченность двигательной активности в области плечевого сочленения, дискомфорт и боль при отведении, приведении плеча, а также при вращательных движениях.
Кроме того, магнитно-резонансную томографию плечевого сустава необходимо периодически выполнять людям после перенесенного оперативного вмешательства в данной области, а также после травм плеча для динамического контроля за процессом восстановления поврежденной области.
Магнитно-резонансная томография показывает патологии в плечевом суставе, которые возникают при микротравмах или на ранней стадии развития хронических заболеваний. Большинство патологий плечевой зоны, диагностированных на начальной стадии, обычно поддаются успешному лечению.
Виды заболеваний плеча
Ежедневно плечевой сустав испытывает повышенную физическую нагрузку, поэтому данная область подвержена риску развития различных заболеваний и травм. На МРТ анатомия плечевого сустава видна в полной мере. При патологических изменениях в плечевом суставе, человек сталкивается с частичной утратой работоспособности, что негативно сказывается на качестве его жизни и общем состоянии в целом. В группу риска по возникновению заболеваний и травм плечевой области попадают люди, профессионально занимающиеся спортом, а также лица, чья трудовая деятельность связана с повышенным риском травматизации и неравномерной физической нагрузкой.
Вывих
Вывих плечевого сустава, является распространенной патологией, на которую приходится не менее 50% из общего количества травматических повреждений данной области. Такая распространенность обусловлена анатомическими особенностями плечевого сочленения и высокой амплитудой движений в области плеча. Происходит вывих плечевого сустава чаще при непрямой травме, которая была вызвана падением на поднятую или отведенную руку. В момент травмы нередко случается разрыв суставной сумки и связок, а головка плечевой кости перемещается в направлении разрыва.
Еще одной причиной вывиха плеча является сильный удар сзади или спереди. В клинической практике выделяют также привычный и патологический вывих плеча. Привычный вывих развивается при неполном восстановлении вращательной манжеты плеча после перенесенной травмы. Патологический вывих развивается в результате структурного поражения тканей плечевого сустава при туберкулезе, остеомиелите, остеодистрофии, остеохондропатии. Нередко данное состояние протекает в комбинации с переломом головки плечевой кости, хирургической или анатомической шейки плеча.

При развитии вывиха правого или левого сустава плеча и разрыве связок человек сталкивается с набором таких клинических симптомов:
- Рука на стороне поражения находится в вынужденном положении, она согнута, развёрнута кнаружи и отведена.
- Если в процессе вывиха были повреждены сосуды и нервы, то наблюдается паралич или онемение кожи в той области, которую иннервирует поврежденный нерв.
- Ограниченная подвижность в области правого или левого сочленения. При развитии вывиха, человек не может осуществлять целенаправленные активные движения в суставе.
- Выраженный болевой синдром. Непосредственно после вывиха человек ощущает резкую боль в области плеча. Этот симптом напрямую связан с натяжением и разрывом суставной сумки, которая содержит большое количество нервных окончаний.
- Видимая деформация плечевой области. При развитии вывиха визуально определяется несимметричность плечевой области. На стороне поражения наблюдается уплощение сустава, а также формируется выступ, который представлен акромионом лопатки и ключицей.
- Отёчность. Вывих, как и любая травма, сопровождается воспалительной реакцией, одним из проявлений которой является отёк. Уже через несколько минут после травмы наблюдается припухлость в области плечевого сустава. В тяжёлых случаях отечность распространяется на всю верхнюю конечность на стороне поражения.
При возникновении характерных симптомов не должен возникать вопрос о том, делать ли МРТ плечевого сустава, так как эта процедура является золотым стандартом диагностики заболеваний плеча. Сканирование позволяет достоверно оценить общую конфигурацию сустава, выявить повреждение синовиальной капсулы, сухожильно-связочного аппарата, мышц, хрящевых и костных структур.
Перелом
На втором месте после вывиха, среди всех травм плечевой области, находится перелом. В зависимости от места локализации этот вид травматического повреждения классифицируется на перелом нижних и верхних отделов плечевой кости. Встречаются также переломы средней части плечевой кости. К основным жалобам, которые характерны для перелома плечевой кости, можно отнести:
- интенсивную боль в области плеча;
- отёчность разной степени интенсивности;
- усиление боли при активных движениях;
- видимую деформация плечевой области;
- укорочение верхней конечности;
- ограниченную подвижность в суставе.
При повреждении сосудов и нервов, наблюдается частичная или полная утрата кожной чувствительности на стороне поражения.
Перелом в области плеча опасен тем, что существует риск повреждения плечевой артерии. Это тяжёлая травма чревата кровотечением и возможным развитием гангрены верхней конечности. Основным признаком повреждения плечевой артерии, является отсутствие пульса в области предплечья.
С помощью магнитно-резонансной томографии удаётся выявить любой вариант изменения анатомии плечевой кости, независимо от его локализации и степени тяжести. Этот метод диагностики, также позволяет обнаружить патологические изменения в мягких тканях, окружающих плечевой сустав.

Артрозоартрит плечевого сустава
Артрозоартрит правого или левого плечевого сустава представляет собой дегенеративный локальный процесс с воспалительным компонентом, который поражает область соприкосновения суставной впадины лопатки и головки плечевой кости. Это состояние протекает в хронической форме, стремительно прогрессирует с эпизодами обострения. Данное заболевание, как и артроз, чаще развивается у людей среднего и пожилого возраста, независимо от пола. Артрит может протекать локально или являться одним из проявлений системного патологического процесса.
К основным причинам развития данного заболевания, относятся травмы области плеча (вывихи, трещины, переломы), системные метаболические заболевания, наследственная предрасположенность, попадание инфекции во время травм или проведения лечебно-диагностических манипуляций, туберкулёз, инфекционные заболевания, передающиеся половым путём, переохлаждение, чрезмерная физическая нагрузка на плечевой сустав. Характер и выраженность клинических симптомов при артрозоартрите плечевого сустава, напрямую зависят от стадии заболевания. В клинической практике, выделяют такие стадии:
- На начальной стадии развития патологических изменений, болевой синдром не ярко выражен или может полностью отсутствовать. Как правило, усиление суставной боли наблюдается при нагрузке на сочленение. Для артрита характерно усиление боли преимущественно в ночное время суток. По мере прогрессирования, человек отмечает появление хруста в области плеча при движении, а также затруднения, возникающие при попытках поднятия верхней конечности.
- Для второй стадии характерен болевой синдром, который проявляется как при физической активности, так и в состоянии покоя. На второй стадии артрозоартрита плечевого сустава, человек с трудом может поднять руку вверх. О прогрессировании заболевания говорит покраснение кожных покровов, находящихся в области плечевого сочленения.
- Это стадия запущенного течения патологического процесса сопровождается интенсивной болью при физической активности и в состоянии покоя. Наблюдается потеря двигательной способности в суставе и и изменение его анатомии. Прогрессирующей дегенеративно-дистрофический процесс со временем может привести к инвалидности.
При выполнении послойных снимков, визуально будут определяться очаги дегенеративно-дистрофических изменений, последствия воспалительной реакции и деформирующие изменения в суставе.
Синовит
Синовит или воспаление синовиальной капсулы плечевого сустава, может протекать в хронической и острой форме, с присоединением инфекции или в асептических условиях. Спровоцировать развитие данного заболевания могут эндокринные расстройства, аллергические реакции, травмы, наследственная предрасположенность, аутоиммунные реакции и дегенеративно-дистрофические изменения. В результате повреждения внутренней оболочки плечевого сустава и сухожилий, происходит накопление жидкости внутри сустава, с последующим нарушением его функций. Острое течение характерно для инфекционного синовита, при этом жидкость внутри сустава содержит гной. Асептический синовит, который не вызван попаданием инфекции, в 90% случаев развивается после травмы плечевого сустава. Распознать воспаление синовиальной оболочки плечевого сустава, можно по таким характерным признакам:
- дискомфорт и слабовыраженная боль в области плеча;
- умеренная отечность мягких тканей, окружающих плечевой сустав;
- может наблюдаться покраснение кожи в области плеча;
- подвижность сустава сохранена, но незначительно ограничена.
При остром течении патологического процесса, пациенты предъявляют жалобы на интенсивную боль, которая усиливается при минимальных движениях в суставе. Область вокруг сочленения при этом отечна, контуры плеча сглажены, наблюдается покраснение кожных покровов в области плечевой зоны и локальное повышение температуры тела.
При выполнении магнитно-резонансной томографии, во время сканирования на снимках будет выявлено локальное накопление гнойного, кровянистого или серозного содержимого внутри сустава, деформирующие изменения в костных структурах сочленения, признаки травматического повреждения или дегенеративные изменения хрящей плеча. При подтвержденном диагнозе, необходимо показать МРТ плечевого сустава лечащему врачу.
Воспаление мышц плеча
Воспалительное поражение мышц плеча или миозит может охватывать как одну, так и несколько мышц одновременно. Послужить причиной развития данного состояния может переохлаждение, повышенная физическая нагрузка, длительное нахождение в пассивном положении, инфекционные заболевания и травмы. Это состояние может развиться у любого человека, независимо от возраста и пола. При отсутствии своевременного лечения, миозит протекает длительно, с эпизодами обострения.
К менее распространенным причинам развития данного состояния относят системные заболевания соеденительной ткани (ревматоидный артрит, ревматизм, системная красная волчанка). В группу риска по развитию миозита в области плеча попадают люди, профессионально занимающиеся спортом, лица, чья трудовая деятельность связана с повышенной физической нагрузкой или длительным пребыванием в пассивном положении. При воспалении мышц в плечевой области, возникают такие симптомы:
- Локальная или разлитая боль в области плеча, которая может отдавать в предплечье и кисть, лопатку или шею. Боль склонна усиливаться при движениях в области плеча, при его приведении или отведении. В отдельных случаях, боль может распространяться на область шеи и затылок. Для того чтобы не провоцировать очередной приступ боли, пациенты с миозитом стараются избегать лишних движений в плечевом суставе и могут принимать вынужденное положение тела.
- Отёчность в зоне расположения воспалительного процесса. При визуальном осмотре плечевой области, можно обнаружить локальный отёк разной степени интенсивности.
- Покраснение кожи над зоной воспаления. В отдельных случаях, кроме покраснения, может наблюдаться локальное повышение температуры тела в области расположения воспалённой мышцы или группы мышц.

Достоинства и недостатки МРТ плеча
К основным преимуществам магнитно-резонансной томографии в диагностике заболеваний плечевого сустава, можно отнести:
- Безопасность. МР-сканирование не создаёт лучевую нагрузку на организм и является полностью безопасным для человека независимо от возраста и состояния здоровья.
- Информативность и достоверность. Правдивость готовых результатов сканирования с контрастом и без составляет не менее 99% , при этом разрешающая способность современных аппаратов для МРТ может показать даже минимальные патологические изменения в плечевом суставе.
- Минимальные временные затраты. В среднем, для получения послойных срезов плечевого сустава, требуется не более 30 минут, при этом пациент находится в спокойном состоянии и от него не требуются дополнительные усилия.
К недостаткам этого метода диагностики, можно отнести:
- Стоимость. Магнитно-резонансная томография не является бюджетным вариантом диагностики, но этот метод обследования не имеет конкурентов по уровню информативности.
- Невозможность получения срезов при наличии у пациента кардиостимулятора или металлических имплантов. Кроме того, МРТ не выполняется пациентам с морбидным ожирением большой степени, с тяжелыми психическими расстройствами и клаустрофобией.
Расшифровка фотоснимков
Расшифровкой МРТ плечевого сустава занимается врач рентгенолог со специализацией в магнитно-резонансной томографии. Процесс интерпретации результатов исследования может длиться от 30 минут до 1 часа. На завершающем этапе пациенту выдают снимки и печатную расшифровку результатов обследования. Результаты сканирования также выдаются на одном из цифровых носителей.
Рентген или МРТ плечевого сустава — что лучше?
По уровню информативности и безопасности рентгенологическое обследование не может составить конкуренцию магнитно-резонансной томографии. МР-сканирование позволяет детально оценить состояние всех структур плечевой зоны. Кроме того, рентгенологическое обследование предусматривает лучевую нагрузку на организм пациента, что является весомым недостатком.
Читайте также:
