Различия рака и туберкуломы. Диагностические особенности рака и туберкуломы.
Добавил пользователь Евгений Кузнецов Обновлено: 22.01.2026
В медицинской практике важно различить одно заболевания от другого. Для этого необходимо тщательно собрать анамнез жизни и заболевания, определить патогномоничные симптомы, провести лабораторные и инструментальные исследования. Всё это входит в понятие дифференциальной диагностики — разновидности медицинской диагностики, которая подразумевает исключение того или иного заболевания для грамотного и эффективного подбора терапии.
В конечном итоге при грамотном применении дифференциально-диагностических методик, которые предполагают сочетание клинического опыта врача-диагноста и всего спектра наиболее эффективных способов определения нозологии, останется единственный диагноз, что исключает возникновение врачебных ошибок и обеспечивает максимально эффективное поддержание уровня качества жизни больного.
Использование дифференциальной диагностики заболеваний на раннем этапе в конечном итоге даёт максимальный результат. Постановка дифференциального диагноза может проходить в 5 этапов:
- Выделение главного синдрома, который объединяет несколько похожих нозологий. Если таких синдромов больше одного, то из всей совокупности вычленяют наиболее информативный.
- Проведение детального анализа ведущего синдрома (его продолжительность, стадийность, степень проявления). Также нужно охватить полную картину заболевания и учитывать симптомы, которые возникали на всём протяжении болезни.
- Сама дифференциация нозологии. Здесь сравнивается настоящая патология со всем перечнем похожих заболеваний. Для начала рассматривается сходство возникших симптомов с характерными, классическими признаками предполагаемой патологии. Кроме того, анализируют другие симптомы, которые могут склонять выбор в сторону
других нозологий. Это — самый важный этап дифференциальной диагностики. - Анализ полученной информации. К этой фазе врачи подходят творчески и используют всё имеющееся клиническое мышление. Здесь применяются несколько принципов. Например, если у больного предполагается какой-либо синдром, а некоторые симптомы прямо противоположны патогномоничным признакам, значит этот синдром исключается.
- Постановка окончательного диагноза и определение соответствующей тактики лечения.
Способы диагностики в онкологии
Применение методик дифференциальной диагностики имеет особое значение в онкологической практике, так как различные виды рака предполагают уникальные лечебные и диагностические подходы. Для того чтобы определить или исключить наличие злокачественного новообразования, применяют следующие клинические методы:
- Ультразвуковое исследование.
- Рентгенологические методы.
- Компьютерная томография.
- Позитронно-эмиссионная томография.
- Магнитно-резонансная томография.
- Анализ крови на наличие онкомаркёров.
- Гистологическое исследование биоптата.
- Эндоскопические методы.
Эти процедуры позволяют с большой долей вероятности провести дифференциальную диагностику рака не только с другими, неонкологическими, заболеваниями, но и определить точную стадию злокачественного процесса. Особенно важна в этом плане ранняя диагностика опухолей, так как чем раньше начнётся лечение рака, тем более эффективным оно будет.

Диагностика в онкопульмонологии
Актуальной задачей остаётся проведение дифференциальной диагностики первичного рака и пульмонологических заболеваний. Однако нужно помнить, что почти в половине случаев рак лёгких сопровождается как острой, так и хронической пневмонией онкологического генеза, которая маскирует проявления возникшего опухолевого процесса. Одним из главных методов, используемых при дифференциации рака лёгких и других лёгочных заболеваний (и болезней органов грудной клетки вообще), является проведение лучевой диагностики. При данных состояниях широкое применение в медицинской практике нашли крупнокадровая флюорография, прицельная и стандартная рентгенография в двух проекциях. С успехом применяется и компьютерная томография, которая позволяет оценить объём поражения лёгких, структуру патологического очага, его точную локализацию. Методы бронхоскопии и бронхографии могут использоваться при диагностике инородных тел бронхов, папилломах гортани, помогают оценить степень обтурации и оттеснения бронхов опухолью лёгких.
Центральный и периферический рак
Рак лёгких по своему расположению делится на центральный и периферический. Дифференциальное разделение этих двух форм имеет принципиальное значение для выбора хирургического метода лечения. Оба вида рака относятся к злокачественным процессам, развивающимся из эпителия бронхов разного калибра (поэтому их ещё называют бронхогенным раком). Для возникновения центрального рака лёгких в большинстве случаев имеет значение вдыхание канцерогенных веществ, поэтому он чаще является первичным злокачественным новообразованием.
Периферический рак легкого чаще является вторичным, то есть формируется в результате метастазирования других имеющихся в организме опухолей. Для него более характерно наличие сразу нескольких очагов.
Центральный рак лёгких чаще всего развивается в крупных бронхах. Сама опухоль может расти как в сторону просвета бронхов (тогда он называется эндобронхиальным), или кнаружи от него (перибронхиальный). Вначале появляется мучительный сухой кашель, особенно усиливающийся по ночам. Затем постепенно нарастает образование слизистой и слизисто-гнойной мокроты, у половины пациентов уже в ранней стадии возникает кровохарканье. Типичны боли в области грудной клетки, причём они могут быть и на стороне, противоположной поражённой. На рентгенографии можно различить округлую тень узла с характерной «дорожкой» к корню, ателектаз и усиление легочного рисунка в области поражения.
Дифференциальная диагностика периферического рака лёгкого в большинстве случаев требует применения инструментальных исследований, так как симптоматика проявляется не сразу и достаточно размыта. Из рентгенологических признаков периферического рака наиболее информативны лучистость затемнения, его бугристость, неоднородная структура (кальцинаты) и наличие плеврального выпота.

Рак лёгкого и пневмония
Не столь часто, но всё же приходится проводить в клинической практике дифференциальную диагностику периферического рака лёгких и очаговой пневмонии. Для воспалительного процесса лёгочной ткани инфекционного генеза характерны следующие признаки:
- Пневмония чаще встречается у пациентов моложе 50 лет (хотя может возникнуть в любом возрасте).
- Нет особых различий по полу пациентов (при раке — больше мужчины-курильщики).
- Начало болезни в большинстве случаев острое, с фебрильной лихорадкой.
- Одышка может отсутствовать, но при обширных поражениях лёгочной ткани появляется почти всегда (при онкологии — в далеко запущенных случаях).
- Боли могут возникать при вовлечении плевры.
- Ярко выраженные изменения в результате применения физикальных методов диагностики. Особенно изменяется дыхание, сначала оно становится жёсткое, затем появляются сухие и влажные хрипы.
- При проведении общего анализа крови можно выявить характерные признаки воспаления (рак в данном случае может характеризоваться высоким СОЭ при нормальном содержании лейкоцитов).
- На рентгенологическом снимке видны очаги воспаления гомогенной плотности, чаще — в нижних долях, с расплывчатыми границами, с усилением легочного рисунка и увеличением корней лёгкого.
Рак лёгкого и туберкулёз
Если пневмония исключена, обычно необходимо выполнить дифференциальную диагностику между раком лёгких и туберкулёзом. Схожесть симптоматики характерна для инфильтративного туберкулёза и периферического рака.
При туберкулёзе нередко можно выявить прямой контакт пациента с подтверждённым носителем микобактерий. Температура тела бывает повышенной в вечерние и ночные часы, вплоть до субфебрильной и фебрильной (в отличие от рака, при котором чаще всего температура не поднимается выше субфебрилитета). При онкологическом процессе чаще отмечается локализованный сухой кашель.
Течение туберкулёза обычно полисимптомно, но признаки выражены слабо, а при онкологическом процессе, как правило, можно явно выявить 1-2 основных симптома. При анализе мокроты патогномоничным признаком будет обнаружение возбудителей туберкулёза, а при раке — атипичных клеток (в большинстве случаев). Также специфический результат дадут подкожные туберкулиновые пробы, которые при инфицировании микобактериями дают положительный результат, а при злокачественных опухолях лёгкого — отрицательный.
Рентгенологически при туберкулёзной инфильтрации можно увидеть полисегментарные затемнения округлой или облаковидной формы, участки бронхогенного обсеменения в удалённых областях лёгкого или в другом лёгком. При ателектазе (который часто встречается при центральной форме рака) выявляется культя бронха, на фоне затемнения не видно светлых полосок бронхиального дерева (в отличие от туберкулёза).
Если сравнивать кавернозную форму туберкулёза с полостными образованиями при раке, то поначалу рентгенологически их отличить тяжело — в обоих случаях каверна имеет толстые неровные стенки с перифокальным воспалением и инфильтрацией, с наличием внутри жидкости. После отторжения некротических масс, стенки туберкулёзной каверны становятся более тонкими и ровными, само затемнение — округлое (ближе к правильной форме), а инфильтрация вокруг образования уменьшается.
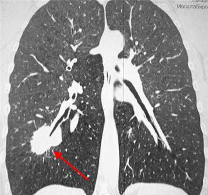
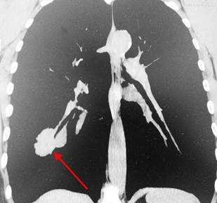
Сложности могут возникнуть при дифференциальной диагностике узловой формы периферического рака и туберкуломы. Последняя имеет более чёткие округлые контуры, а рак имеет специфическую лучистость. Для туберкуломы характерны участки обызвествления и кальцификаты.
В любом случае, для дифференциального диагноза рака лёгких и туберкулёза чаще всего решающее значение имеют результаты биопсии.
Рак лёгкого и инородное тело в бронхах
Во многих случаях аспирация инородного тела в бронх проходит для взрослых незаметно. В таких ситуациях больные могут долго и безуспешно лечиться по поводу рака бронхов или лёгких. После попадания инородного тела, в большинстве случаев возникает судорожный кашель, который может пройти. Фруктовые косточки, семечки, кусочки пластмасс при нахождении в бронхах покрываются грануляцией, которая вызывает хронический воспалительный процесс. Вялотекущее воспаление в данном случае сопровождается периодическим подъёмом температуры, кашлем, сопровождающимся выделением слизистой или слизисто-гнойной мокротой, небольшой одышкой и болью в груди без чёткой локализации.
На рентгенограмме довольно чётко определяется металлическое инородное тело. В противном случае можно лишь различить неясное затемнение поражённого бронха и участок воспаления вокруг него. Поможет дифференцировать инородное тело от рака компьютерная томография, особенно если обтурирован крупный сегмент бронха. В таком случае ставится диагноз обструктивного пневмонита и рассматриваются тактики извлечения инородного тела с минимизацией ущерба для слизистой оболочки бронха.
Можно легко спутать с центральным раком лёгкого эндогенный бронхолит, который представляет собой кальцинированную часть лимфатического узла, попавшего в просвет бронха в результате бронхожелезистой перфорации. При наличии бронхолита пациенты предъявляют примерно такие же жалобы, как и при центральном раке. Дифференцировать данные состояния поможет томография, выполненная в двух проекциях.
Диагностическую ценность имеет и проведение бронхоскопии. Если бронхолит крупный, находится в просвете бронхов или частично расположен в стенке, то можно визуализировать и удалить эндогенное инородное тело. Однако если бронхолит образовался много лет назад, и полностью скрыт грануляционой тканью, то его удаление возможно только при разрушении плотной фиброзной оболочки, покрывающей его. Это чревато сильным кровотечением, так как при хирургических манипуляциях есть вероятность повредить относительно крупные бронхиальные сосуды, проходящие прямо в соединительнотканной оболочке.
При случайном обнаружении затемнения и сомнениях в выборе диагноза между центральным раком и бронхолитом имеет смысл провести бронхоскопию с биопсией. Если онкологический диагноз не подтвердился, то при отсутствии жалоб со стороны пациента можно оставить бронхолит и по необходимости проводить противовоспалительную терапию.

Рак лёгкого и сифилис
Легочное сифилитическое поражение встречается в крайне редких случаях, причём период от манифестации заболевания и появления такого осложнения может составлять 8 лет и больше. При наличии солитарной крупной сифилитической гуммы в лёгочной ткани приходится дифференцировать её с раком лёгкого.
Симптоматика болезни часто не соответствует степени поражения лёгких при сифилисе — относительно нормальное общее самочувствие может сочетаться с резко выраженной одышкой. Течение болезни длительное, часто малосимптомное. При сифилисе лёгких будут отсутствовать малые признаки рака, которые часто бывают дополнительным критерием постановки онкологического диагноза. Также следует брать во внимание длительный сифилитический анамнез, особенно если за всё время лечение было нерегулярным и неадекватным.
Сифилитические гуммы небольшого размера (милиарные, от горошины до лесного ореха), локализуются большей частью в средней и нижней долях лёгкого. Образования могут быть негомогенной структуры, распадаться с образованием каверн. Решающее значение в дифференциальной диагностике будут иметь результаты серологических исследований на сифилис и эффект таргетированного лечения препаратами йода и висмута, а также бициллинотерапии.
Рак лёгкого и метастазы
Нередко приходится различать первичные злокачественные новообразования и метастатическое поражение. На рентгенограмме обычно кардинальных различий нет, поэтому приходится опираться на клинические проявления и результаты других видов исследований.
При метастатическом поражении результаты биопсии показывают наличие атипичных клеток внелегочного генеза (рак лёгких образуется из бронхиального эпителия). Для первичного рака лёгких характерны изменения лёгочной ткани (рубцы, дисплазия, carcinoma in situ), а метастазы возникают в первоначально неизменённой паренхиме.
Поражение близлежащих регионарных лимфоузлов может быть характерным признаком рака лёгких. Метастатические очаги обычно локализуются в паренхиме, так как заносятся они лимфогенным, гематогенным или контактным путём (в этом случае они отличаются от центральной формы рака, но схожи с периферической).
Метастазы в лёгких сопровождаются паранеопластическим синдромом, который характерен для наличия опухолей в других органах. То же самое касается и онкомаркёров — при первичном раке лёгких в крови можно обнаружить специфические СА-125, CYFRA 21-1, а метастазы проявляются наличием ПСА, тиреоглобулина, СА 15-3 и других онкомаркёров (в зависимости от локализации первичного очага). После удаления метастазов хирургическим методом, эффект обычно минимальный — процесс быстро генерализируется, а при первичной онкологии лёгких генерализация происходит реже и медленнее. Метастатическое поражение лёгких, в отличие от первично возникшего рака, редко вовлекает в болезненный процесс висцеральную плевру и бронхи крупного диаметра.
Рак лёгких и саркоидоз
Саркоидоз характеризуется появлением специфических гранулём во внутренних органах и лимфатических узлах. Очень часто саркоидоз локализуется во внутригрудных лимфатических узлах и паренхиме лёгких. Клинически заболевание сначала протекает почти бессимптомно и может быть обнаружено при случайном рентгенологическом обследовании. С прогрессированием болезни появляются похожие на рак симптомы: сухой кашель, нарастающая одышка, боль в груди, общие признаки в виде утомляемости, повышения температуры, слабости, снижения аппетита. При физикальном обследовании можно обнаружить жёсткое дыхание и сухие хрипы.
Рентгенологическую картину саркоидоза тоже можно спутать с признаками рака лёгких: очаговоподобные затемнения на лёгочной ткани, инфильтрация (часто диффузная), увеличение близлежащих лимфоузлов, усиление и искажение легочного рисунка.
Однако для саркоидоза существует несколько патогномоничных признаков, выделяемых из всех рентгенологических проявлений:
- Симптом «матового стекла» — неравномерное участки затемнения и просветления на всей поверхности легочной ткани.
- Кальцинация лимфатических узлов по типу «ореховой скорлупы».
- Симптом диссеминации: множество рассеянных мелкоочаговых теней размерами от милиарных до 0,7 см, локализованные большей частью в области примыкания лёгких к плевре и в аксиллярной зоне.
Кроме того, дифференциацию поможет провести биопсия узлов — при саркоидозе обнаруживаются гигантские клетки Пирогова-Лангханса, а при опухолевом процессе — признаки атипии.
Врачи «Евроонко» ежедневно сталкиваются с необходимостью проведения дифференциальной диагностики заболеваний легкого. Благодаря узкой специализации и большому опыту работы, нам в каждом случае удается поставить верный диагноз и определить адекватную лечебную тактику.
Туберкулома легкого лечение и диагностика
Сегодня в России туберкулома — не редкий диагноз. Попробуем разобраться, что это такое, и что нужно делать, если Вам поставили диагноз «туберкулома».
Свое название туберкулома получила оттого, что с виду она похожа на опухоль (большинство опухолей имеют суффикс «-ома») и представляет собой круглое образование в легком размерами от нескольких миллиметров до нескольких сантиметров. По своей структуре тебуркулома — это участок некротизированной (омертвевшей) легочной ткани, окруженный плотной капсулой. Туберкулома образуется на месте активного туберкулезного воспаления — туберкулезного инфильтрата. Превращение инфильтрата в туберкулому в легком говорит о том, что активное туберкулезное воспаление затихло, то есть организм поборол инфекцию (хотя бы временно) и локализовал ее в легком, окружив защитной фиброзной оболочкой.

Часто туберкулома не вызывает никаких сипмтомов, и поэтому обнаруживается случайно при флюорографии или рентгенографии легких. В таких случаях наличие туберкуломы говорит о том, что Вы когда-то переболели скрытой формой туберкулеза.
Заразен ли пациент с туберкуломой? Как правило, нет. Однако окончательный ответ на этот вопрос даст врач-фтизиатр.
Что делать, если вам поставили диагноз туберкулома?
Прежде всего нужно задать себе и своим врачам несколько вопросов:
- Действительно ли это туберкулома? Ведь часто туберкулома похожа на рак, кисту, доброкачественную опухоль или другие круглые образования в легких!
- Если это туберкулома, то насколько активен туберкулезный процесс? Ведь воспаление может быть как полностью затухшим, так и относительно активным, и тогда Вам необходимо пройти курс лечения против туберкулеза.
- Если Ваши врачи сомневаются, то к кому обратиться? У кого уточнить диагноз?
Диагностика туберкуломы — компьютерная томография
Прежде всего, запомните: все пациентам с подозрением на туберкулому нужно пройти компьютерную томографию (КТ) легких. КТ легких при туберкуломе — это обязательная диагностическая процедура. Отличить туберкулому от рака помогает КТ легких с контрастным усилением: в большинстве случаев можно выявить четкие КТ-признаки туберкуломы. При одном условии: снимки должен анализировать квалифицированный рентгенолог.
После того, как Вы прошли КТ легких, необходимо идти с результатами к врачу-фтизиатру. Для уточнения степени активности процесса тот назначат необходимые анализы, а затем поставит окончательный диагноз и назначит нужное лечение. Заниматься самолечением туберкуломы не нужно.
Увы, в нашей стране расшифровка снимков КТ легких при туберкулезе оставляет желать лучшего. Нередко врачи-рентегенологи пишут в своих заключениях «периферическое образование», оставляя задачу дифференциальной диагностики туберкуломы и рака другим специалистам. Это объясняется не очень хорошим знанием туберкулеза и его КТ-признаков, недостаточным опытом расшифровки снимков КТ. Если врач компьютерной томографии в своей практике нечасто сталкивается с туберкулезом (например, смотрит на КТ в основном головной мозг), велик риск ошибиться.

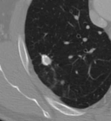
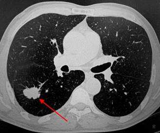
КТ-признаки туберкуломы легкого. Образование диаметром 2 см расположено в правом легком. Отличить туберкулому от рака помогает наличие глыбчатых кальцинатов (извести) в структуре образования, четкие контуры, окружающие фиброзные тяжи, а также мелкие очаги отсева вокруг.
КТ-диагностика рака легкого
Рак легкого — опухоль из эпителия бронхов — одно из самых распространенных онкологических заболеваний в мире. Ежегодно у более чем 10000 тысяч человек в России выявляются злокачественные новообразования органов дыхания, а в мире этот показатель еще выше. Бронхогенные злокачественные опухоли - одна из наиболее частых причин смерти от онкологических болезней и наиболее встречаемый вариант онкопатологии трахеобронхиального дерева.
К факторам риска рака легкого относятся:
1) Проживание в экологически неблагоприятных районах.
2) Работа на производствах, связанных с вдыханием частиц пыли, металлов, паров краски и активных химикатов даже со средствами защиты. Наиболее неблагоприятно вдыхание асбестовой пыли, затем - угольной пыли, а также паров тяжелых металлов, мышьяка, хлорметилового эфира, хрома, иприта.
3) Курение табака - основной предрасполагающий фактор новообразований трахеобронхиального дерева. У активных курильщиков риск развития онкопатологии до 10 раз выше, чем у некурящих, у пассивных - до 2 раз.
4) Специфические заболевания. Существует прямая связь между туберкулезом, асбестозом, силикозами, другими заболеваниями, проявляющимися диффузным либо локальным пневмосклерозом, и злокачественными новообразованиями бронхов.
ПРОЯВЛЕНИЯ РАКА ЛЕГКОГО — КОГДА МОЖНО ЗАПОДОЗРИТЬ БОЛЗЕНЬ?
Чтобы не пропустить первые признаки и симптомы рака легких, обязательно нужно обращать внимание на следующие изменения в самочувствии: появление кашля с мокротой с прожилками крови, резкое снижение веса без видимых на то причин, повышение температуры тела, особенно в виде «пиков», сопровождающихся ознобом, повышенным потоотделением.
Прямым показанием к проведению КТ служит обнаружение при флюорогрофическом исследовании или при рентгенографии четко очаговой тени на снимке. Конечно, рак легких на рентгене выглядит не очень специфично - ведь похожие изменения могут быть обусловлены также туберкулезом, другими доброкачественными опухолями, и даже пневмонией. Все эти состояния могут быть дифференцированы с помощью КТ.
Сделать МСКТ легких в Санкт-Петербурге
КАК ВЫЯВИТЬ РАК ЛЕГКИХ?

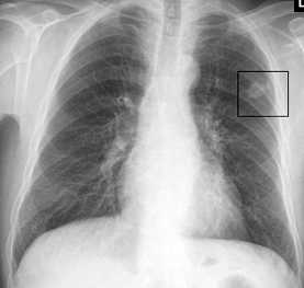
Рентгенография при раке легкого выявляет округлую тень слева. С целью дифференциальной диагностики (отличить рак легкого от туберкуломы, кисты или пневмонии) необходимо выполнять компьютерную томографию — КТ.
Самый эффективный способ диагностики при раке легкого - мультиспиральная компьютерная томография (МСКТ). В большинстве случаев, чтобы увидеть опухоль на компьютерных томограммах, не нужно вводить контраст. Контрастное усиление используется в основном в диагностике центральных опухолей с целью отличить небольшой мягкотканный узел в корне легкого от расположенных вблизи него легочных сосудов. КТ — незаменимый метод при определении размеров опухоли, степени поражения корня легкого, средостения и грудной клетки, оценки поражения лимфатических узлов. Все эти подробности в конечном счете определяют стадию онкологического процесса, поэтому точный анализ результатов компьютерной томографии крайне важен для прогноза.
Другой томографический метод исследования — магнитно-резонансная рентгенография (МРТ) почти не применяется для диагностики легочных новообразований, так как плохо выявляет изменения легочной ткани. Дело в том, что легочная ткань содержит большое количество воздуха, не дающего сигнала на МРТ.
С помощью ультразвукового исследования (УЗИ) также нельзя достоверно диагностировать изменения легочной ткани, однако этот метод может применяться для выявления изменений окружающей плевры.
Рентгенография и рентгеноскопия могут применяться для обнаружения легочных образований, однако изолированное применение этих методов не позволяет достоверно определиться с диагнозом. Бронхография как способ выявить рак легких также ушла в прошлое.
Из инструментальных методов диагностики центральных опухолей очень хороша фибробронхоскопия (ФБС) — эндоскопический метод, благодаря которому можно не только увидеть сужение просвета бронха глазами, но и взять часть объемного образования для гистологического исследования.
ГИСТОЛОГИЧЕСКАЯ КЛАССИФИКАЦИЯ РАКА ЛЕГКОГО И ПРОГНОЗЫ ВЫЖИВАЕМОСТИ
Согласно гистологической классификации бронхогенного рака последнего пересмотра (от 1999 г.) выделяют 6 видов опухолей трахеобронхиального дерева:
1) Аденокарцинома - выявляется приблизительно в 35% всех случаев. Чаще всего это периферическая опухоль, выглядящая как одиночный (солитарный) узел различных размеров с типичными признаками злокачественности, с наличием спикул - лучистых краев, которые образуются за счет прорастания рака по лиматическим сосудам; участков некроза, распада и кровоизлияний в строму опухоли. Аденокарцинома часто и рано метастазирует. Прогноз очень вариабелен, во многом он зависит от того, насколько рано было обнаружено образование.
2) Плоскоклеточный неороговевающий рак - часто встречающийся вариант - до 35% всех случаев образований легких. Характеризуется наилучшим прогнозом, редко метастазирует. Примерно в 65% развивается в одном из центральных бронхов и обуславливает картину ателектаза на КТ и рентгеновских снимках, в 35% развивается в периферических бронхах и выглядит как солидный единичный узел, часто с полостью распада в центре, похожий на абсцесс.


У пациента был выявлен раковый узел в 6 сегменте нижней доли слева. После резекции путем гистологического исследования верифицирован плоскоклеточный рак легкого. Томография в данном случае не дала типичную картину злокачественного новообразования.
3) Мелкоклеточный рак - самый агрессивный и наиболее опасный вид, уже на ранних стадиях может метастазировать в лимфоузлы корней легких и средостения. Продолжительность жизни пациентов с такими новообразованиями варьирует в зависимости от стадии (TNM) и возможности оперативного лечения. Частота встречаемости до 20%. Обычно возникает из эпителия крупных бронхов, обуславливает картину ателектаза. Тесно связан с курением.
4) Крупноклеточный недифференцированный рак - встречается редко, менее чем в 5% случаев. Представлен обычно одним солидным периферическим узлом большого размера. Практически всегда возникает у курильщиков. Рано метастазирует — гематогенно и лимфогенно, прогноз при нем неблагоприятен.
5) Крупноклеточный нейроэндокринный рак (карциноид) - чаще центральный, с характерным признаком - распадом в опухоли, встречается менее чем в 5% случаев, рано метастазирует в лимфоузлы, агрессивен, протекает неблагоприятно.
6) Бронхиоло-альвеолярный рак - до 2%. Является подтипом аденокарциномы. Практически всегда периферический. Проявляется диффузным снижением плотности легочной паренхимы по типу «матового стекла», что симулирует картину пневмонии. Проявляется также изменениями по типу консолидации - диффузным уплотнением легочной паренхимы, может выглядеть как узел. Прогноз при небольших размерах узла обычно благоприятный.
КАК ВЫГЛЯДИТ РАК ЛЕГКОГО ПРИ КОМПЬЮТЕРНОЙ ТОМОГРАФИИ
Существует несколько вариантов роста опухолевого узла (по Розенштрауху):
1) В просвет бронха с одной стороны, суживая его - эндофитный тип.
2) В просвет бронха, циркулярно суживая его - это также эндофитный тип.
3) В просвет бронха и кнаружи от него - смешанный тип роста.
4) По ходу стенки бронха, не суживая его просвет - перибронхиальный тип.
При прорастании опухоли в просвет бронха происходит его сужение, что влечет нарушение вентиляции определенного участка ткани легкого. При КТ при этом можно заметить непосредственно сам опухолевый узел в просвете бронха - он выглядит плотным (белым). Просвет бронха сужен по кругу, пристеночно, либо «обрывается» на границе с новообразованием. Можно увидеть также повышение плотности соответствующей доли (либо сегмента, сегментов), вентилируемого данным бронхом. Повышение плотности может быть обусловлено ателектазом - спадением участка легочной ткани в результате нарушения проходимости бронха, дистелектазом - частичным спадением, а также изменениями, обусловленными пневмонией, чаще всего застойного характера, с абсцедированием, а также пневмофиброзом.
Сделать КТ легких в Санкт-Петербурге
Существует также деление рака легкого на периферический и центральный - классификация последнего приведена выше. Центральный рак клинически протекает более тяжело в связи с тем, что чаще дает осложнения в виде ателектаза, массивных пневмоний, абсцедирования, дыхательной недостаточности.


КТ-признаки центрального рака легкого: при компьютерной томографии определяется объемное образование мягкотканной структуры, в котором «обрывается» просвет нижнедолевого бронха. Края образования бугристые, неровные, со спикулами, форма неправильная.


Центральный рак легкого на КТ. Обратите внимание на различия в ширине просвета центральных бронхов справа и слева. Просвет правого верхнедолевого бронха не виден. Виден ателектаз верхней доли. В круге - непосредственно само опухолевое образование, ставшее причиной ателектаза.
Периферический рак легких на КТ выглядит как очаг либо узел, расположенный на периферии органа вдалеке от корня. Обычно он имеет однородную структуру, в некоторых случаях с участками некроза, обызвествлениями и кровоизлияниями в паренхиму. Края типичной раковой опухоли неровные, с множественными «спикулами» за счет лимфангиита. При расположении вблизи плевры образование деформирует ее и подтягивает к себе. Размеры его различны - от очага (3-10 мм) до узла (10-50 мм и больше).


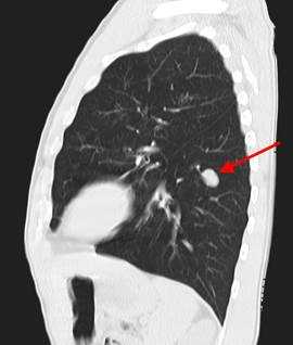
Типичный периферический рак легкого (аденокарцинома) на МСКТ. Справа в 6 сегменте легкого выявлен плотный мягкотканный узел со спикулами, деформирующий и подтягивающий к себе междолевую плевру.
Гораздо реже встречается первично множественный рак, который необходимо дифференцировать с метастазами и другими диффузными и диссеминированными очагами, в том числе туберкулезом. Существуют и диффузные формы опухолей - бронхиоло-альвеолярный рак (БАР), проявляющиеся на КТ в виде тотального либо субтотального снижения пневматизации по типу «матового стекла» - их нужно дифференцировать с пневмонией, отеком легких.
СТАДИИ РАКА ЛЕГВОГО ПО TNM И MOUNTAIN
Стадирование рака легкого необходимо для определения возможности удаления опухоли.
На стадиях T1 и T2 по Mountain операция возможна. T3a стадия означает, что опухоль, возможно, доступна резекции (чаще всего необходима пульмонэктомия), T3b и T4 стадии означают невозможность ее оперативного удаления.
При отсутствии метастазов в регионарные лимфоузлы или при наличии измененных лимфоузлов только на пораженной стороне (соответственно N0 и N1 по TNM) хирургическое лечение возможно и прогноз, скорее всего, благоприятен. На стадии N2 хирургическое лечение возможно после лучевой и (или) химиотерапии, прогноз сомнителен. При N3 хирургическое лечение не показано. Выявление метастазов в отдаленные органы также значительно ухудшает прогноз.
В таблице представлена классификация рака легкого по шкале TNM (UICC, 1999 г).
| Стадия (TNM) | Критерии |
| T1 | Опухолевый узел в паренхиме легкого до 3 см наибольшим размером без признаков прорастания в стенку центральных бронхов. |
| T2 | Внутрилегочная опухоль больше 3 см либо опухоль, инфильтрирующая стенку главного бронха как минимум на 2 см ниже зоны бифуркации либо опухоль, прорастающая висцеральную плевру. Ателектаз доли либо сегмента, но не тотальный. |
| T3 | Опухоль любого размера, инфильтрирующая главный или промежуточный бронх в менее чем 2 см от бифуркации или ограниченно прорастающая в средостенную плевру, средостение, грудную стенку. Может быть выявлен тотальный ателектаз либо пневмония обструкционного характера. |
| T4 | Опухоль любого размера с прорастанием в средостение, перикард, аорту, верхнюю полую вену, брахиоцефальную вену, в кости, грудную стенку. Выпот в грудную полость. Сателлитные очаги (внутрилегочные метстазы). |
| N0 | Нет поражения регионарных лимоузлов. |
| N1 | Поражение лимфоузлов корня, бронхопульмональных лимфоузлов на стороне опухоли. |
| N2 | Поражение бифуркационных, паратрахеальных, параэзофагеальных, парааортальных лимфатических узлов средостения на стороне опухоли. |
| N3 | Поражение лимфоузлов корня, средостения на противоположной опухоли стороне; поражение подмышечных, под- и надключичных, лестничных лимфоузлов. |
| M0 | Нет отдаленных метастазов. |
| M1 | Выявлены отдаленные метастазы (в т. ч. внутрилегочные очаги). |


Пример рака легких 4 стадии. Не показано оперативное лечение, только химиотерапия. Имеет место прорастание в ребра и позвоночник, а также в мягкие ткани грудной стенки. В строме опухоли видны множественные гиподенсные (темные) участки, содержащие газ - зоны распада.
ИЗЛЕЧИМ ЛИ РАК ЛЕГКИХ?
Излечим ли рак легких? Да, но только при своевременном выявлении на стадии T1 и T2. К сожалению, чем дальше от крупных бронхов располагается опухоль, тем более длительное время она может оставаться незамеченной, особенно если пациент «забывает» про своевременные флюорографические обследования.
КТ ПРИ РАКЕ ЛЕГКОГО И ВТОРОЕ МНЕНИЕ
Туберкулома легкого
Туберкулома легкого - это осумкованный казеозный очаг в легочной ткани диаметром более 1 см, образующийся в исходе различных форм туберкулеза. Туберкулома легкого чаще всего бессимптомна, поэтому в большинстве случаев обнаруживается случайно. При прогрессировании сопровождается признаками интоксикации, субфебрилитетом, кашлем, кровохарканьем. Основной способ выявления туберкуломы легкого - рентгенологический. Отмечается положительная туберкулиновая реакция; МБТ в мокроте обнаруживаются не всегда. В отношении туберкулом легких применяется консервативная тактика (специфическая химиотерапия), в некоторых случаях - хирургический подход (сегментэктомия, лобэктомия).
МКБ-10


Общие сведения
Туберкулома легкого - самостоятельная форма туберкулеза легких, представляющая собой фокус творожистого некроза, ограниченный от легочной ткани фиброзной капсулой. Туберкулома легкого выявляется у 4-6% пациентов с первично диагностированным туберкулезом органов дыхания. Преобладающий контингент - молодые люди в возрасте 25-40 лет.
Более чем в половине случаев туберкулома легкого обнаруживается во время профилактической флюорографии, поскольку не сопровождается явными клиническими проявлениями. Вместе с тем, распад туберкуломы вызывает обострение туберкулезного процесса и представляет опасность не только для пациента (в силу бронхогенной диссеминации), но и для окружающих людей (в силу заразности). Эти обстоятельства исключают возможность пассивного наблюдения за пациентами с бессимптомными туберкуломами легких, а требуют активной позиции со стороны фтизиатров-пульмонологов.

Причины
Большинство туберкулом легкого образуются в результате эволюции вторичных форм туберкулеза (инфильтративного, очагового, диссеминированного, кавернозного), реже формируются из первичного туберкулезного комплекса и туберкулеза ВГЛУ. При этом 80% туберкулом являются исходом неадекватного лечения легочного туберкулеза и только 20% возникают без предшествующей терапии. Известная роль в патогенез заболевания отводится гиперсенсибилизации организма. В число факторов, благоприятствующих формированию туберкуломы в легком, исследователи включают обменные нарушения: в частности, данная форма туберкулеза сравнительно часто развивается у пациентов с сахарным диабетом.
Патогенез
Организация туберкуломы легкого отражает реакцию организма на длительную персистенцию микобактерий туберкулеза в легочной ткани. Специфическая противотуберкулезная терапия может сравнительно быстро привести к рассасыванию перифокального воспаления и образованию инфильтрата с наличием большого количества казеозно-некротических масс. Со временем вокруг центральной зоны казеозного очага формируется слой грануляций, а по периферии - коллагеновые волокна, которые затем фиброзируются. Таким образом, на разрезе туберкулома легкого состоит из казеозного ядра, окруженного двухслойной капсулой: внутренний слой, образован туберкулезными грануляциями, а наружный - фиброзными волокнами. Обычно процесс формирования туберкуломы легкого занимает от 1 до 3-х лет.
Макроскопически туберкулома легкого представляет одиночный, реже множественный очаг округлой или овальной формы, величиной более 1-1,5 см в диаметре. Локализуются туберкуломы в периферических отделах легкого, с одинаковой частотой выявляются как в левом, так и в правом легком.
Классификация
В патоморфологическом отношении туберкуломы легкого делятся на инфильтративно-пневмонические, солитарные (гомогенные и слоистые) и конгломератные. Инфильтративно-пневмоническая форма возникает в результате неполной инволюции инфильтративного туберкулеза; характеризуется чередованием участков казеоза с эпителиоидно-клеточными гранулемами, наличием тонкой фиброзной капсулы. Солитарная (одиночная) туберкулома может иметь гомогенную или слоистую структуру. В первом случае она представлена казеозно-некротическим ядром, окруженным двухслойной капсулой; во втором - концентрически расположенными участками казеоза, разделенными фиброзными волокнами, что указывает на волнообразное течение процесса. Конгломератная туберкулома представляет собой несколько близко расположенных фокусов казеоза, заключенных в общую капсулу.
Истинную туберкулому легкого следует отличать от псевдотуберкуломы (казеомы), которая образуется в результате облитерации дренирующего бронха и заполнения каверны казеозом. По величине туберкуломы легкого делятся на мелкие (диаметром до 2 см), средние (диаметром до 4 см), крупные (диаметром до 6 см) и гигантские (диаметром более 6 см).
Клиническое течение туберкуломы легкого может быть:
- стабильным - при отсутствии прогрессирования клинико-рентгенологических признаков туберкуломы;
- прогрессирующим - при разрыхлении капсулы, расплавлении казеоза, его выделении через дренирующий бронх с образованием каверны и бронхогенным обсеменением окружающей легочной ткани;
- регрессирующим - в случае обызвествления казеоза и гиалинизации фиброзной капсулы.
Симптомы туберкуломы легкого
Опухоли свойственен бессимптомный или малосимптомный характер течения. В первом случае больные жалоб не предъявляют. Во втором случае вне обострения может отмечаться утомляемость, потливость, снижение аппетита, редкий кашель (сухой или со скудной мокротой), периодический субфебрилитет. Субплевральное расположение туберкуломы легкого обусловливает появление болей тянущего или ноющего характера на стороне поражения, связанных с дыханием.
В период распада туберкуломы интоксикация становится более выраженной, появляется стойкое повышение температуры, кашель с мокротой, у части пациентов возникает кровохарканье. Прогрессирующее течение туберкуломы легкого может способствовать развитию казеозной пневмонии, фиброзно-кавернозного или диссеминированного туберкулеза легких. При благоприятных условиях возможна регрессия очага.
Диагностика
Диагностика туберкуломы легкого связана с определенными трудностями, вызванными частым отсутствием туберкулезного анамнеза, слабовыраженными клиническими и физикальными данными. Туберкулинодиагностика может давать различные результаты: чаще всего выявляется повышенная или гиперергическая чувствительность к туберкулину, однако на фоне химиотерапии проба Манту может быть умеренной или слабоположительной.
Физикальное обследование может выявлять укорочение легочного звука, ослабление дыхания над очагом, изредка - сухие или влажные хрипы, шум трения плевры. Изменения в клинической и биохимической картине крови более значимы при прогрессирующей туберкуломе легкого: отмечается умеренно выраженный лейкоцитоз, лимфопения, моноцитоз, ускорение СОЭ, гипоальбуминемия. Обнаружить МБТ в мокроте и смывах с бронхов удается не всегда даже в фазе распада туберкуломы.

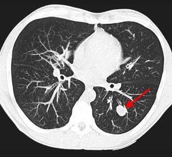
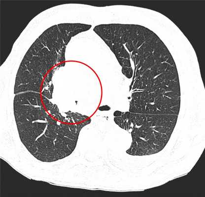
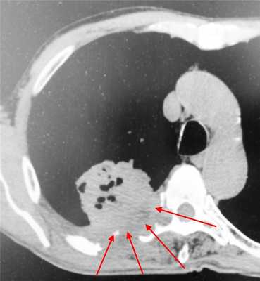
КТ органов грудной клетки. Очаговое объемное образование верхней доли (S3) левого легкого с включениями кальция (верифицированная туберкулома)
Основой для верификации диагноза остается рентгенография легких. Характерный рентгенологический признак - наличие ограниченного затемнения правильной округлой формы, с четкими контурами и преимущественно однородной структурой. В стадии обострения контуры туберкуломы легкого становятся размытыми за счет появления перифокальной инфильтрации.
Дифференциальную диагностику туберкулом проводят с гамартомой легкого, периферическим раком легкого, метастазами в легкие, аспергилломой, эхинококковой кистой. Исключить нетуберкулезный процесс помогает проведение бронхоскопии, КТ легких, торакоскопия, биопсия легкого. В последние годы с целью этиологической верификации инфекционного процесса используются тесты крови in vitro (квантифероновый, Т-СПОТ.ТБ), помогающие с высокой долей вероятности выявить тубинфицированность.
Лечение туберкуломы легкого
При определении лечебной тактики учитывают множество факторов: размеры туберкуломы легкого, фазу течения, длительность анамнеза и др. Консервативная тактика используется при фокусах менее 2-х см. Больным назначается III режим химиотерапии: в течение первых двух месяцев прием 4-х противотуберкулезных препаратов из основной группы (рифампицин, этамбутол, изониазид и пиразинамид), затем на протяжении четырех-шести месяцев - 2-х туберкулостатиков (рифампицин или этамбутол в сочетании с изониазидом). Для ускорения инволюции туберкуломы легкого во вторую фазу лечения проводится противовоспалительная терапия: туберкулинотерапия, введение вакцины БЦЖ, инъекции лидазы, ФТЛ (индуктотермия, ультразвук).
Согласно современным стандартам, принятым во фтизиопульмонологии, хирургическое лечение показано при диаметре туберкуломы легкого более 2-3 см, ее склонности к прогрессированию, резистентности к химиотерапии в течение 4-6 мес., наличии множественных очагов. Объем оперативного пособия может варьировать от клиновидной резекции и сегментэктомии до лобэктомии. После операции с противорецидивной целью назначается терапия туберкулостатиками на срок до 6 месяцев.
Прогноз и профилактика
Своевременно назначенное лечение и проведенное хирургическое вмешательство, позволяет надеяться на полное клиническое излечение в 95% случаев; рецидивы редки. Без соответствующего лечения спонтанное регрессирующее течение туберкуломы легкого отмечается редко; в большинстве случаев рано или поздно развивается одна из форм активного туберкулеза легких. Профилактическое направление общее для всех форм туберкулезной инфекции. Рекомендуется ежегодная профилактическая флюорография для своевременного выявления изменений в легких.
1. Туберкулома легкого - обращаться ли к хирургу?/ Калабуха И.А., Иващенко В.Е.//Здоровье Украины. - 2010.
2. Туберкулемы легких в условиях региона Крайнего Севера на примере Якутии (патогенез, морфология, клиника, лечение): Автореферат диссертации/ Винокуров И.И. - 2011.
3. Туберкулема легкого как форма туберкулезного процесса/ Холодок О.А, Григоренко А.А., Черемкин М.И.// Бюллетень физиологии и патологии дыхания. - 2014.
4. Морфологические аспекты активности туберкулом легкого/ Холодок О.А., Черемкин М.И.// Бюллетень физиологии и патологии дыхания. - 2013.
Туберкулез легких
Туберкулез легких - это инфекционная патология, вызываемая бациллой Коха, характеризующаяся различными в клинико-морфологическом отношении вариантами поражения легочной ткани. Многообразие форм туберкулеза легких обусловливает вариабельность симптоматики. Наиболее типичны для туберкулеза легких респираторные нарушения (кашель, кровохарканье, одышка) и симптомы интоксикации (длительный субфебрилитет, потливость, слабость). Для подтверждения диагноза используются лучевые, лабораторные исследования, туберкулинодиагностика. Химиотерапия туберкулеза легких проводится специальными туберкулостатическими препаратами; при деструктивных формах показано хирургическое лечение.


Туберкулез легких - заболевание инфекционной этиологии, протекающее с образованием в легких специфических воспалительных очагов и общеинтоксикационным синдромом. Заболеваемость туберкулезом легких имеет древнейшую историю: туберкулезная инфекция была известна еще представителям ранних цивилизаций. Прежнее название заболевания «рhtisis» в переводе с греческого обозначает «чахотка, истощение», а учение о туберкулезе получило название «фтизиатрии».
На сегодняшний день туберкулез легких представляет не только медико-биологическую, но и серьезную социально-экономическую проблему. По данным ВОЗ, туберкулезом инфицирован каждый третий житель планеты, смертность от инфекции превышает 3 млн. человек в год. Легочный туберкулез является самой частой формой туберкулезной инфекции. Удельный вес туберкулеза других локализаций (суставов, костей и позвоночника, гениталий, кишечника, серозных оболочек, ЦНС, глаз, кожи) в структуре заболеваемости значительно ниже.

Характеристика возбудителя
Отличительной чертой МБТ является их высокая устойчивость к внешним воздействиям (высоким и низким температурам, влажности, воздействию кислот, щелочей, дезинфектантов). Наименьшую стойкость возбудители туберкулеза легких демонстрируют к солнечному свету. Для человека опасность представляют туберкулезные бактерии человеческого и бычьего типа; случаи инфицирования птичьим типом микобактерий крайне редки.
Пути заражения
Основной путь заражения при первичном туберкулезе легких - аэрогенный: от больного открытой формой человека микобактерии распространяются с частичками слизи, выделяемыми в окружающую среду при разговоре, чихании, кашле; могут высыхать и разноситься с пылью на значительные расстояния. В дыхательные пути здорового человека инфекция чаще попадает воздушно-капельным или пылевым путем.
Меньшую роль в инфицировании играют алиментарный (при употреблении зараженных продуктов), контактный (при использовании общих предметов гигиены и посуды) и трансплацентарный (внутриутробный) пути. Причиной вторичного туберкулеза легких выступает повторная активация ранее перенесенной инфекции либо повторное заражение.
Факторы риска
Однако попадание МБТ в организм не всегда приводит к заболеванию. Факторами, на фоне которых туберкулез легких развивается особенно часто, считаются:
- неблагоприятные социально-бытовые условия
- курение и другие химические зависимости
- недостаточное питание
- иммуносупрессия (ВИЧ-инфекция, прием глюкокортикоидов, состояние после трансплантации органов)
- онкологические заболевания и др.
В группе риска по развитию туберкулеза легких находятся мигранты, заключенные, лица, страдающие наркотической и алкогольной зависимостью. Также имеет значение вирулентность инфекции и длительность контакта с больным человеком.
При снижении местных и общих факторов защиты микобактерии беспрепятственно проникают в бронхиолы, а затем в альвеолы, вызывая специфическое воспаление в виде отдельных или множественных туберкулезных бугорков или очагов творожистого некроза. В этот период появляется положительная реакция на туберкулин - вираж туберкулиновой пробы. Клинические проявления туберкулеза легких на этой стадии часто остаются нераспознанными. Небольшие очажки могут самостоятельно рассасываться, рубцеваться или обызвествляться, однако МБТ в них длительно сохраняются.
«Пробуждение» инфекции в старых туберкулезных очагах происходит при столкновении с экзогенной суперинфекцией либо под влиянием неблагоприятных эндо- и экзогенных факторов. Вторичный туберкулез легких может протекать в экссудативной или продуктивной форме. В первом случае вокруг первоначального очага развивается перифокальное воспаление; в дальнейшем инфильтраты могут подвергаться распаду, расплавлению с отторжением казеозных масс и формированию каверн. При продуктивных формах туберкулезного процесса в легких разрастается соединительная ткань, что приводит к легочному фиброзу, деформации бронхов, формированию бронхоэктазов.
Первичный туберкулез легких - это впервые развившаяся инфильтрация легочной ткани у лиц, не имеющих специфического иммунитета. Диагностируется преимущественно в детском и подростковом возрасте; реже возникает у лиц старшего и пожилого возраста, которые в прошлом перенесли первичную инфекцию, закончившуюся полным излечением. Первичный туберкулез легких может принимать форму:
- первичного туберкулезного комплекса (ПТК)
- туберкулеза внутригрудных лимфоузлов (ВГЛУ)
- хронически текущего туберкулеза.
Вторичный туберкулез легких развивается при повторном контакте с МБТ или в результате реактивации инфекции в первичном очаге. Основные вторичные клинические формы представлены:
Отдельно различают кониотуберкулез (туберкулез, развивающийся на фоне пневмокониозов), туберкулез верхних дыхательных путей, трахеи, бронхов; туберкулезный плеврит. При выделении больным МБТ в окружающую среду с мокротой говорят об открытой форме (ВК+) туберкулеза легких; при отсутствии бацилловыделения - о закрытой форме (ВК-). Также возможно периодическое бацилловыделение (ВК±).
Течение туберкулеза легких характеризуется последовательной сменной фаз развития:
- 1) инфильтративной
- 2) распада и обсеменения
- 3) рассасывания очага
- 4) уплотнения и обызвествления.
Симптомы туберкулеза легких
Первичный туберкулезный комплекс
Первичный туберкулезный комплекс сочетает в себе признаки специфического воспаления в легком и регионарный бронхоаденит. Может протекать бессимптомно или под маской простудных заболеваний, поэтому выявлению первичного туберкулеза легких способствуют массовые скрининги детей (проба Манту) и взрослых (профилактическая флюорография).
Чаще возникает подостро: больного беспокоит сухой кашель, субфебрилитет, утомляемость, потливость. При острой манифестации клиника напоминает неспецифическую пневмонию (высокая лихорадка, кашель, боль в груди, одышка). В результате лечения происходит рассасывание или обызвествление ПТК (очаг Гона). В неблагоприятных случаях может осложняться казеозной пневмонией, образованием каверн, туберкулезным плевритом, милиарным туберкулезом, диссеминацией микобактерий с поражением почек, костей, мозговых оболочек.
Туберкулез внутригрудных лимфоузлов
При туберкулезе ВГЛУ симптоматика обусловлена сдавлением крупных бронхов и органов средостения увеличенными лимфоузлами. Для данной формы характерны сухой кашель (коклюшеподобный, битональный), увеличение шейных и подмышечных узлов. У детей раннего возраста нередко возникает затрудненный выдох - экспираторный стридор. Температура субфебрильная, могут иметь место фебрильные «свечки».
Признаки туберкулезной интоксикации включают отсутствие аппетита, снижение массы тела, утомляемость, бледность кожи, темные круги под глазами. На венозный застой в грудной полости может указывать расширение венозной сети на коже грудной клетки. Данная форма нередко осложняется туберкулезом бронхов, сегментарными или долевыми ателектазами легких, хронической пневмонией, экссудативным плевритом. При прорыве казеозных масс из лимфоузлов через стенку бронхов могут формироваться легочные очаги туберкулеза.
Очаговый туберкулез легких
Клиническая картина очагового туберкулеза малосимптомна. Кашель отсутствует или возникает редко, иногда сопровождается выделением скудной мокроты, болями в боку. В редких случаях отмечается кровохарканье. Чаще больные обращают внимание на симптомы интоксикации: непостоянный субфебрилитет, недомогание, апатию, пониженную работоспособность. В зависимости от давности туберкулезного процесса различают свежий и хронический очаговый туберкулез легких.
Течение очагового туберкулеза легких относительно доброкачественное. У больных с нарушенной иммунной реактивностью заболевание может прогрессировать в деструктивные формы туберкулеза легких.
Инфильтративный туберкулез легких
Клиническая картина инфильтративного туберкулеза легких зависит от величины инфильтрата и может варьировать от нерезко выраженных симптомов до острого лихорадочного состояния, напоминающего грипп или пневмонию. В последнем случае отмечается выраженная высокая температура тела, ознобы, ночная потливость, общая слабость. Со стороны органов дыхания беспокоит кашель с мокротой и прожилками крови.
В воспалительный процесс при инфильтративной форме туберкулеза легких часто вовлекается плевра, что обусловливает появление болей в боку, плеврального выпота, отставание пораженной половины грудной клетки при дыхании. Осложнениями инфильтративного туберкулеза легких могут стать казеозная пневмония, ателектаз легкого, легочное кровотечение и др.
Диссеминированный туберкулез легких
Может манифестировать в острой (милиарной), подострой и хронической форме. Тифоидная форма милиарного туберкулеза легких отличается преобладанием интоксикационного синдрома над бронхолегочной симптоматикой. Начинается остро, с нарастания температуры до 39-40 °С, головной боли, диспепсических расстройств, резкой слабости, тахикардии. При усилении токсикоза может возникать нарушение сознания, бред.
При легочной форме милиарного туберкулеза легких с самого начала более выражены дыхательные нарушения, включающие сухой кашель, одышку, цианоз. В тяжелых случаях развивается острая сердечно-легочная недостаточность. Менингеальной форме соответствуют симптомы поражения мозговых оболочек.
Подострое течение диссеминированного туберкулеза легких сопровождается умеренной слабостью, понижением работоспособности, ухудшением аппетита, похуданием. Эпизодически возникают подъемы температуры. Кашель продуктивный, не сильно беспокоит больного. Иногда первым признаком заболевания становится легочное кровотечение.
Хронический диссеминированный туберкулез легких при отсутствии обострения бессимптомен. Во время вспышки процесса клиническая картина близка к подострой форме. Диссеминированный туберкулеза легких опасен развитием внелегочного туберкулеза, спонтанного пневмоторакса, тяжелых легочных кровотечений, амилоидоза внутренних органов.
Кавернозный и фиброзно-кавернозный туберкулез легких
Характер течения кавернозного туберкулезного процесса волнообразный. В фазу распада нарастают интоксикационные симптомы, гипертермия, усиливается кашель и увеличивается количество мокроты, возникает кровохарканье. Часто присоединяется туберкулез бронхов и неспецифический бронхит.
Фиброзно-кавернозный туберкулез легких отличается формированием каверн с выраженным фиброзным слоем и фиброзными изменениями легочной ткани вокруг каверны. Протекает длительно, с периодическими обострениями общеинфекционной симптоматики. При частых вспышках развивается дыхательная недостаточность II-III степени.
Осложнениями, связанными с деструкцией легочной ткани, являются профузное легочное кровотечение, бронхоплевральный свищ, гнойный плеврит. Прогрессирование кавернозного туберкулеза легких сопровождается эндокринными расстройствами, кахексией, амилоидозом почек, туберкулезным менингитом, сердечно-легочной недостаточностью - в этом случае прогноз становится неблагоприятным.
Цирротический туберкулез легких
Является исходом различных форм туберкулеза легких при неполной инволюции специфического процесса и развитии на его месте фиброзно-склеротических изменений. При пневмоциррозе бронхи деформированы, легкое резко уменьшено в размерах, плевра утолщена и нередко обызвествлена.
Изменения, происходящие при цирротическом туберкулезе легких, обусловливают ведущие симптомы: выраженную одышку, тянущую боль в груди, кашель с гнойной мокротой, кровохарканье. При обострении присоединятся признаки туберкулезной интоксикации и бацилловыделение. Характерным внешним признаком пневмоцирроза служит уплощение грудной клетки на стороне поражения, сужение и втянутость межреберных промежутков. При прогрессирующем течении постепенно развивается легочное сердце. Цирротические изменения в легких необратимы.
Туберкулома легкого
Представляет собой инкапсулированный казеозный очаг, сформировавшийся в исходе инфильтративного, очагового или диссеминированного процесса. При стабильном течении симптомы не возникают, образование выявляется при рентгенографии легких случайно. В случае прогрессирующей туберкуломы легкого нарастает интоксикация, появляется субфебрилитет, боль в груди, кашель с отделением мокроты, возможно кровохарканье. При распаде очага туберкулома может трансформироваться в кавернозный или фиброзно-кавернозный туберкулез легких. Реже отмечается регрессирующее течение туберкуломы.
Диагноз той или иной формы туберкулеза легких выставляется врачом-фтизиатром на основании совокупности клинических, лучевых, лабораторных и иммунологических данных. Для распознавания вторичного туберкулеза большое значение имеет подробный сбор анамнеза. Для подтверждения диагноза проводится:
- Лучевая диагностика.Рентгенография легких является обязательным диагностической процедурой, позволяющей выявить характер изменений в легочной ткани (инфильтративный, очаговый, кавернозный, диссеминированный и т. д.), определить локализацию и распространенность патологического процесса. Выявление кальцинированных очагов указывает на ранее перенесенный туберкулезный процесс и требует уточнения данных с помощью КТ или МРТ легких.
- Анализы. Обнаружение МБТ достигается неоднократным исследованием мокроты (в т. ч. с помощью ПЦР), промывных вод бронхов, плеврального экссудата. Но сам по себе факт отсутствия бацилловыделения не является основанием для исключения туберкулеза легких. Современные иммунологические тесты позволяют выявить туберкулезную инфекцию почти со 100%-ной вероятностью. К ним относятся QuantiFERON и Т-спот. ТБ.
- Туберкулинодиагностика. К методам туберкулинодиагностики относятся диаскин-тест, пробы Пирке и Манту, однако сами по себе данные методы могут давать ложные результаты. Иногда для подтверждения туберкулеза легких приходится прибегать к пробному лечению противотуберкулезными препаратами с оценкой динамики рентгенологической картины.
По результатам проведенной диагностики туберкулез легких дифференцируют с пневмонией, саркоидозом легких, периферическим раком легкого, доброкачественными и метастатическими опухолями, пневмомикозами, кистами легких, абсцессом, силикозом, аномалиями развития легких и сосудов. Дополнительные методы диагностического поиска могут включать бронхоскопию, плевральную пункцию, биопсию легкого.

Лечение туберкулеза легких
Во фтизиатрической практике сформировался комплексный подход к лечению туберкулеза легких, включающий медикаментозную терапию, при необходимости - хирургическое вмешательство и реабилитационные мероприятия. Лечение проводится поэтапно: сначала в тубстационаре, затем в санаториях и, наконец, амбулаторно. Режимные моменты требуют организации лечебного питания, физического и эмоционального покоя.
- Противотуберкулезная терапия. Ведущая роль отводится специфической химиотерапии с помощью препаратов с противотуберкулезной активностью. Для терапии различных форм туберкулеза легких разработаны и применяются 3-х, 4-х и 5-тикомпонентные схемы (в зависимости от количества используемых препаратов). К туберкулостатикам первой линии (обязательным) относятся изониазид и его производные, пиразинамид, стрептомицин, рифампицин, этамбутол; средствами второго ряда (дополнительными) служат аминогликозиды, фторхинолоны, циклосерин, этионамид и др. Способы введения препаратов различны: перорально, внутримышечно, внутривенно, эндобронхиально, внутриплеврально, ингаляторно. Курсы противотуберкулезной терапии проводят длительно (в среднем 1 год и дольше).
- Патогенетическая терапия. При туберкулезе легких включает прием противовоспалительных средств, витаминов, гепатопротекторов, инфузионную терапию и пр. В случае лекарственной резистентности, непереносимости противотуберкулезных средств, при легочных кровотечениях используется коллапсотерапия.
- Хирургическое лечение. При соответствующих показаниях (деструктивных формах туберкулеза легких, эмпиеме, циррозе и ряде др.) применяются различные оперативные вмешательства: кавернотомию, торакопластику, плеврэктомию, резекцию легких.
Профилактика
Профилактика туберкулеза легких является важнейшей социальной проблемой и приоритетной государственной задачей. Первым шагом на этом пути является обязательная вакцинация новорожденных, детей и подростков. При массовых обследованиях в дошкольных и школьных учреждениях используется постановка внутрикожных туберкулиновых проб Манту. Скрининг взрослого населения осуществляется путем проведения профилактической флюорографии.
Читайте также:
- Нормальный сон. Нормальная продолжительность сна и бессоница
- Формы экземы уха. Диагностика экземы ушной раковины
- Масса тела новорожденных при перенашивании. Масса переношенных плодов. Послед при переношенной беременности.
- Полиомиелитоподобные заболевания у детей. Неврит лицевого нерва
- Сцепленность генов тяжелых цепей антител. Гены тяжелых цепей IgA
