Разрыв шейки матки - причины, симптомы, диагностика и лечение
Добавил пользователь Валентин П. Обновлено: 28.01.2026
Что такое эрозия шейки матки? Причины возникновения, диагностику и методы лечения разберем в статье доктора Лубнина Дмитрия Михайловича, гинеколога со стажем в 22 года.
Над статьей доктора Лубнина Дмитрия Михайловича работали литературный редактор Елена Бережная , научный редактор Сергей Федосов
Определение болезни. Причины заболевания
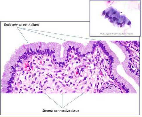
Эрозия шейки матки не является заболеванием. Это физиологическое явление, при котором цилиндрический эпителий, выстилающий канал шейки матки, выходит за пределы канала и располагается снаружи шейки. Шейка матки является неотъемлемой частью матки — входом в ее полость, по форме она напоминает узкое горлышко у фляжки. Часть шейки расположена во влагалище, ее покрывает многослойный плоский неороговевающий эпителий, по сути, кожа, только без плотного наружного слоя. На стыке канала шейки он встречается с сочным цилиндрическим эпителием, имеющим железы для производства слизи. Это зона трансформации. Когда эта зона смещается наружу, цилиндрический эпителий виден на поверхности шейки матки в виде ярко-красного пятна, окружающего вход в шейку. Подобный вид придает эрозии кислая среда влагалища, оказывающая раздражающее действие на нежный цилиндрический эпителий.

Что такое эктопия и эктропион
Термин "эктопия" заменил устаревший термин "эрозия", однако последний иногда ещё используется врачами.
Эктропион — это осложнённая форма эктопии шейки матки, выворот внутренней части шейки матки в полость влагалища
Как возникает эрозия шейки матки
Причины появления эрозии шейки матки неизвестны. На Западе она считается нормальным физиологическим явлением, не требующим вмешательства, в то время как в Китае эрозия шейки матки признана разновидностью хронического цервицита и часто подлежит лечению. [1] Считается, что раннее начало половой жизни (до 16-17 лет) также провоцирует ее появление, так как шейка матки еще незрелая в этом возрасте, и зона трансформации в норме может выступать за пределы канала шейки матки, что приводит к ее травматизации во время полового акта.
Эрозия шейки матки выявляется у 80 % сексуально активных молодых женщин, а ее распространенность снижается между 30-40 годами. Поскольку причины эрозии шейки матки до сих пор не совсем понятны, существует предположение о том, что она может быть связана с гормональными колебаниями. В пользу этой версии свидетельствует тот факт, что эрозия наиболее часто встречается у девочек-подростков и беременных женщин. [2]
Ранее считалось, что эрозия значительно более распространена у женщин, принимающих оральные контрацептивы, чем у тех, кто использует барьерные методы контрацепции. [3] Ряд современных исследователей связывают возникновение эрозии шейки матки с использованием не только оральных контрацептивов, но и внутриматочных, так как считается, что те склонны к травматизации шейки матки. Не исключается и инфекционная природа эрозии шейки матки, в частности, виновниками ее возникновения в ряде случаев называются Chlamydia trachomatis [4] , Neisseria gonorrhea [5] и вирус простого герпеса [6]
Чем опасна эрозия шейки матки
Эрозия (эктопия) шейки матки никакой опасности для организма женщины не несёт. Истинная эрозия шейки матки встречается редко, чаще всего это следствие травмы или воспаления на шейке, но может быть и следствием дисплазии шейки матки. Если истинная эрозия является следствием воспаления или травмы — она проходит в процессе лечения этих заболеваний самостоятельно. Если эрозия является проявлением дисплазии (чаще всего в довольно запущенных случаях), она иссекается при эксцизии или конизации шейки.
При обнаружении схожих симптомов проконсультируйтесь у врача. Не занимайтесь самолечением - это опасно для вашего здоровья!
Симптомы эрозии шейки матки
Эрозия шейки матки проявляется в основном обильными слизистыми выделениями из половых путей, а также контактными кровянистыми выделениями, возникающими после полового акта.
Причиной появления выделений является избыточное образование слизи цилиндрическим эпителием. Контактные кровотечения возникают из-за травматизации поверхностных тонкостенных сосудов, которые могут располагаться на эрозированной поверхности шейки матки. Примерно у четверти женщин, которые отмечают жалобы на посткоитальное кровотечение, была диагностирована эрозия шейки матки. [7]
Что может чувствовать женщина
В подавляющем большинстве случаев эрозия шейки матки протекает безболезненно и бессимптомно.
Патогенез эрозии шейки матки
Эрозия шейки матки — чаще всего врожденное состояние. Во время созревания репродуктивной системы цилиндрический эпителий изначально расположен снаружи шейки и по мере созревания уходит в канал шейки матки. Вероятно, не всегда этот процесс завершается до начала половой жизни, которая может влиять на скорость его завершения. Наличие эрозии также связывают с приемом контрацептивов, с периодом беременности. Предполагается, что это связано с воздействием эстрогенов на шейку матки. Наличие воспалительного процесса в канале шейки матки также может поддерживать наличие эрозии, препятствуя ее исчезновению.

Классификация и стадии развития эрозии шейки матки
Виды эрозии:
- врожденная (эктопия, псевдоэрозия);
- истинная, возникающая как проявление заболевания шейки матки, являющаяся изолированным дефектом на шейке матки и имеющая отношение к более серьезным заболеваниям.
Эрозия шейки матки по данным кольпоскопии

Осложнения эрозии шейки матки
Цилиндрический эпителий за счет особенностей своего строения легче восприимчив к развитию в нем воспаления, которое вызывают условно патогенные микроорганизмы и инфекции, передающиеся половым путем. При этом развивается такое состояние как цервицит — воспаление канала шейки матки. Цервицит может быть причиной длительного существования эрозии.
Эрозия шейки матки сама по себе не имеет никакого значения в развитии дисплазии шейки матки и рака шейки матки. Эти опасные заболевания развиваются на шейке матки независимо от наличия эрозии.
В процессе самостоятельного заживления эрозии или после проведения ее деструкции многослойный плоский эпителий нарастает на цилиндрический, в результате перекрывается часть выводных протоков желез. В результате формируются кисты на шейке матки, которые еще называются “наботовы кисты”. Они бывают различного размера и совершенно не опасны, лечить их не надо.

Эрозия шейки матки при беременности
Эрозия шейки матки часто встречается у беременных женщин и является одной из основных причин появления кровянистых выделений во время беременности. Такое кровотечение возникает из небольших поверхностных сосудов эрозии и совершенно неопасно.
Диагностика эрозии шейки матки
Эрозия шейки матки легко выявляется при ее осмотре на кресле с использованием зеркала, она выглядит как ярко-красное пятно различного размера вокруг входа в канал шейки матки. На следующем этапе проводится кольпоскопия — исследование шейки матки под микроскопом с применением окрасок.
Осмотр
В этом исследовании есть три этапа:
- просто осмотр шейки под микроскопом;
- осмотр после окраски уксусной кислотой;
- осмотр после окраски люголем.

Кольпоскопия
Это исследование совершенно безболезненное. Кольпоскопия позволяет выявить на шейке признаки, характерные для различных заболеваний, которые не видны при обычном осмотре.

Необходимые лабораторные исследования
Третьим обязательным методом обследования является цитологический мазок с шейки матки, желательно выполнять так называемую “жидкостную цитологию”, такой вариант анализа является более информативным и точным. Цитологическое исследование позволяет не только подтвердить диагноз эрозия, но и исключить или выявить наличие атипических клеток, характерных для дисплазии шейки матки.
При отсутствии в результатах кольпоскопии и цитологического мазка патологических элементов, присущих дисплазии шейки матки, показаний для проведения биопсии шейки матки нет.

Лечение эрозии шейки матки
Нужно ли лечить эрозию
В подавляющем большинстве случаев показаний для лечения эрозии шейки матки нет, она сама исчезает со временем. Процесс ее заживления еще называют словом “эпителизация”, то есть при этом процессе на цилиндрический эпителий нарастает многослойный плоский, и граница между этими эпителиями отодвигается ко входу в канал шейки матки.
Лечение эрозии до беременности
Большая часть исследователей сходится во мнении, что эрозия в лечении не нуждается, если протекает бессимптомно и не доставляет женщине неудобств. [9] Хотя большинство современных методов лечения в значительной степени способствуют регрессии эрозии шейки матки, некоторые симптомы могут так и не исчезнуть после лечения. [10]
Последствия эрозии шейки матки. Почему нельзя запускать патологию
Поскольку наличие эрозии шейки матки может значительно повысить восприимчивость шеечного эпителия к инфекциям, среди которых хламидии, папиломавирус, цитомегаловирус и даже ВИЧ, понимание этиологических факторов, которые способствуют возникновению эрозии шейки матки, является важным направлением для исследований. [11]
В пользу необходимости лечения эрозии шейки матки говорит тот факт, что при наличии эрозии увеличивается секреция шеечной слизи, что может доставлять женщине значительные неудобства. Кроме того, в очень редких случаях некоторые связывают с эрозией шейки матки, помимо посткоительных кровотечений, болезненные ощущения в области малого таза. [8]
Радиоволновое лечение и лазерная вапоризация
Лечение эрозии шейки матки предполагает деструкцию цилиндрического эпителия на той части шейки матки, где он располагаться не должен. Оптимально выполнить прижигание эрозии шейки матки радиоволновым прибором (Фотек, Сургитрон) или лазером.

Описание метода прижигания эрозии шейки матки
Существует только два показания для лечения эрозии шейки матки: наличие большого количества обильных слизистых выделений из половых путей, а также появление контактных кровянистых выделений (после полового акта или в результате физической активности).
Прижигание эрозии радиоволновым прибором или лазером — это быстрая безболезненная амбулаторная процедура, которая занимает 10-15 минут. Если возникла необходимость прижечь эрозию, то бояться этого не нужно. Современные методы лечения не оказывают никакого отрицательного воздействия на шейку с точки зрения перспективы беременности и родов.
Химическая коагуляция
Химические методы (например, с помощью "Солковагина") трудоёмки и требуют нескольких посещений врача, в то время как радиоволна или лазер справляются с задачей за одну процедуру.
Диатермокоагуляция и криокоагуляция
Методы устарели и для лечения эрозии шейки матки больше не применяются.
Медикаментозное лечение
Медикаментозное лечение при эрозии шейки матки не проводят. Исключение — ситуация, когда причиной истинной эрозии является воспаление. В таком случае принимают препараты, необходимые для устранения основного заболевания, а эрозия в процессе лечения проходит самостоятельно.
В чем опасность несвоевременного прижигания эрозии
Никакой опасности для организма существование эктопии не создаёт. Наоборот, прижигание эктопии без показаний приводит к переводу переходной зоны шейки матки в канал, что не позволяет следить за изменениями эпителия в этой зоне.
Рекомендации после проведённого прижигания
После прижигания эктопии шейки матки рекомендуется воздержаться от половой жизни, активного спорта и посещения бани на 40 дней.
А возможна ли беременность после прижигания
Репродуктивная функция после прижигания эрозии не нарушается.
Лечение эрозии народными средствами
Народные методы лечения не проверяют в ходе клинических исследований, поэтому их безопасность и эффективность не доказаны.
Прогноз. Профилактика
Прогноз у эрозии шейки матки всегда благоприятный. Так как она чаще всего выявляется у женщин, рано начавших половую жизнь, профилактикой этого явления может быть только рекомендация воздержаться от столь раннего дебюта (речь идет о возрасте до 15-17 лет).
Разрыв матки
Разрыв матки - это патологическое состояние, которое характеризуется нарушением целостности стенок матки во время родовой деятельности. К основным клиническим проявлениям относятся резко болезненные усиленные схватки, нарушение мочеиспускания, признаки кровопотери и эректильной или торпидной фазы шока. Диагностика разрывов матки основывается на предварительном сборе анамнеза и выявлении характерных симптомов, при необходимости - данных УЗИ. Терапевтическая тактика заключается в родоразрешении путем кесарева сечения, срединной лапаротомии или плодоразрушающих операций с остановкой кровотечения, сшиванием разрыва или экстирпацией матки в дальнейшем.
Общие сведения
Причины разрыва матки
На данный момент выделяют несколько вариантов этиопатогенеза разрывов матки при родах: механическая преграда для плода, гистологические изменения тканей матки и насильственное воздействие. К первой группе относятся все анатомо-физиологические особенности матери и/или плода, которые осложняют или делают невозможным прохождение ребенка через женские родовые пути. Спровоцировать разрыв матки могут разгибательное или поперечное положение, асинкилитическое вставление головки, водянка головного мозга, большой плод, аномалии развития костей таза, наличие новообразований половых путей.
Гистологические изменения на данный момент являются наиболее распространенной причиной разрывов матки - свыше 90% всех случаев. В эту группу включают наличие рубцов или участков трофических изменений миометрия после более чем 3 родов, в т. ч. с осложнениями, множественных выскабливаний, кесаревых сечений или других операций на матке, частых эндометритов. Механизм развития основывается на потере эластичности тканей или их слабости и, как следствие - невозможности выдержать нагрузку. Насильственный разрыв матки, вызванный использованием акушерских пособий или операциями, встречается редко. Причиной разрыва в таких случаях становится оказание чрезмерного давления на матку руками врача или медицинским инструментарием. Разрыв матки может быть вызван несоблюдением техники проводимой операции, использованием приема Кристеллера, длительной стимуляцией окситоцином, поворотом плода при запущенном поперечном предлежании.
Классификация разрыва матки
В зависимости от патогенеза разрывы матки разделяют на:
- Самопроизвольные. Это разрывы, возникающие самостоятельно, на фоне анатомо-физиологических особенностей матери и/или ребенка (механическая преграда, гистологические изменения).
- Насильственные. Такие разрывы матки являются результатом медицинских действий (использования вакуум-экстрактора, щипцов, слишком быстрого рождения ребенка), травмы живота и таза.
По степени повреждения стенки разрывы матки можно разделить на две группы:
- Полные разрывы матки, при которых повреждаются эндо-, мио-, и периметрий. При этом формируется отверстие между маточной и брюшной полостью, через которое может выходить плод.
- Неполные разрывы матки ограничиваются только эндометрием и/или миометрием. Основное проявление - образование гематомы под висцеральной брюшиной или между листками широкой связки.
Симптомы разрыва матки
Разрыв матки может находиться на одной из 3 стадий: угрожающий, начавшийся или совершившийся. Такое деление обусловлено последовательностью нарушения целостности стенок матки и возникающими на фоне этого клиническими проявлениями. При угрожающем разрыве матки клиника обусловлена чрезмерным растяжением тканей, однако их целостность еще сохранена. Ведущие симптомы данной стадии: выраженные боли в гипогастрии, усиление интенсивности и сокращение пауз между схватками, повышение ЧСС и ЧД, субфебрилитет, задержка мочеиспускания, отек наружных половых органов. В средней трети живота или немного выше пальпаторно можно выявить контракционное кольцо. При угрожающем разрыве матки ухудшается фетоплацентарный кровоток, возникает гипоксия плода, которая приводит к повреждению в ЦНС или даже смерти ребенка.
Начавшейся разрыв матки характеризуется нарушением целостности эндометрия и миометрия, повреждением артерий или вен и формированием гематомы. Клинические проявления этой стадии включают в себя судорожные схватки с ярко выраженным болевым синдромом, выделения из влагалища кровянистого или сукровичного характера и примеси крови в моче. Данное состояние часто приводит к развитию шока. Его начальная (эректильная) стадия сопровождается общим возбуждением, сильным страхом, криком и мидриазом. Зачастую начавшейся разрыв матки завершается смертью ребенка вследствие длительной гипоксии.
Совершившейся разрыв матки проявляется полным разрывом стенки. При этом резко исчезает давление плода на половые пути. Клинически это характеризуется усилением боли на высоте одной из схваток, после которой полностью останавливается родовая деятельность. Ранее возникший шок переходит из эректильной фазы в торпидную, проявляются признаки массивной кровопотери: резкая бледность кожи, поверхностное дыхание и нитевидный пульс, «обвал» АД, западение глазных яблок, рвота, помутнение и потеря сознания. На фоне полного разрыва матки ребенок может переходить в брюшную полость. В таких случаях части плода четко пальпируются под брюшной стенкой, а сам плод смещается выше входа в малый таз.
Диагностика разрыва матки
Диагностика разрыва матки основывается на данных анамнеза и физикальном обследовании роженицы, при необходимости - результатах УЗИ. В большинстве случаев время на постановку диагноза очень ограничено, т. к. разрыв матки - это ургентное состояние, требующее немедленного врачебного вмешательства. В случае неправильной трактовки выявленных симптомов, неверного или позднего определения характера патологии существенно возрастает риск смерти как ребенка, так и матери.
При опросе женщины обращают внимание на характер болевых ощущений, наличие выделений из половых путей, ранее перенесенные гинекологические заболевания и операции, особенности предыдущих родов. Как правило, риск развития разрыва матки оценивается еще до начала родов, в т. ч. по результатам ультразвукового сканирования. О результатах обязательно информируется принимающий роды акушер-гинеколог. При физикальном обследовании женщины с подозрением на разрыв матки оценивается АД, ЧД и ЧСС, проводится пальпация живота. Далее выполняется внешний акушерский осмотр с целью оценки размеров и тонуса матки, положения в ней плода. При сомнительном результате физикального обследования может осуществляться контрольное ультразвуковое сканирование. УЗИ дает возможность оценить толщину стенок матки и выявить нарушение их целостности, определить стадию, на которой находится разрыв матки. С целью оценки жизнедеятельности плода может проводиться кардиотокография.
Лечение разрыва матки
Терапевтическая тактика при разрыве матки сводится к максимально быстрому родоразрешению и остановке кровотечения. Во всех случаях данное состояние является прямым показанием к немедленному оперативному вмешательству. Вне зависимости от стадии проводится восполнение ОЦК путем внутривенной инфузии препаратов крови или кровезаменителей и профилактика бактериальных осложнений при помощи антибактериальных средств.
При состоянии угрожающего разрыва матки осуществляется немедленное прекращение родовой активности матки. Это обеспечивается медикаментозной миорелаксацией на фоне общего обезболивания. Далее в зависимости от наличия признаков жизнедеятельности плода выполняется кесарево сечение или краниотомия. При начавшемся и совершившемся разрыве матки показана срединная лапаротомия с целью полноценной ревизии брюшной и маточной полостей. Также такой доступ позволяет провести иссечение краев и сшивание небольших разрывов или экстирпацию при массивных повреждениях, инфицировании или множественном размозжении тканей. При неполных разрывах матки проводится опорожнение гематомы и выполнение гемостаза.
Прогноз и профилактика разрыва матки
Прогноз для женщины при разрыве матки напрямую зависит тяжести повреждений, объема кровопотери и современности оказания помощи. Прогноз для ребенка при полном разрыве матки, как правило, остается неблагоприятным, что обусловлено отслойкой плаценты. Превентивные меры по отношению к разрывам матки подразумевают предварительное исключение всех обстоятельств, при которых оказывается чрезмерное воздействие на стенки органа. Для этого беременной необходимо регулярно посещать женскую консультацию и проходить полноценное обследование. При наличии факторов, которые потенциально могут вызвать разрыв матки, способ родоразрешения подбирается индивидуально лечащим акушером-гинекологом.
Повреждения матки
Повреждения матки - нарушения анатомической целостности тканей шейки или тела матки, обусловленные воздействием механических, химических, термических, лучевых и других факторов. Повреждения матки обычно сопровождаются кровотечениями, болями внизу живота; возможно образование свищей. В дальнейшем такие травмы могут привести к невынашиванию беременности или бесплодию. Повреждения матки обнаруживаются с помощью гинекологического осмотра, цервикоскопии, гистероскопии, УЗИ, диагностической лапароскопии. Тактика лечения (консервативная или оперативная) зависит от вида повреждающего фактора и характера травмы.
Повреждения матки - различного рода травмы, приводящие к образованию анатомических дефектов и нарушению функции органа. Чаще случаются во время медицинских вмешательств и родов, но могут возникать и вне этих событий. К повреждениям матки в гинекологии относят ушибы, разрывы, перфорацию, свищи, лучевые, химические и термические травмы. Повреждения матки нередко требуют оказания экстренной помощи, поскольку сопровождаются кровотечением, болевым шоком, инфицированием и в дальнейшем могут привести к серьезным нарушениям репродуктивной функции. Родовые травмы подробно рассматриваются нами отдельно, поскольку имеют свои причины и особенности. Что касается травм внутренних гениталий, связанных с ушибами, внутриматочными манипуляциями, операциями или половым сношением, они составляют примерно 0,5% от всех причин госпитализации в гинекологические стационары.
Причины повреждений матки
Такие повреждения, как разрывы шейки или тела матки, чаще возникают в процессе родов, однако также могут происходить и во время искусственного аборта или диагностического выскабливания. Родовые травмы обычно связаны с рождением крупного плода, стремительными родами, рубцовой деформацией или ригидностью шейки матки, использованием акушерских пособий в родах (наложением акушерских щипцов, проведением вакуум-экстракции плода и плодоразрушающих операций и др.). Причиной разрыва матки, как правило, становится несостоятельность рубца, оставшегося после кесарева сечения, миомэктомии, ушивания матки. В этих случаях возможен разрыв матки по рубцу во время следующей беременности и родовой деятельности.
Повреждения матки по типу разрывов иногда наблюдаются при введении во влагалище инородных предметов с острым концом. Травматический некроз шейки матки развивается в результате сдавления шейки между стенками таза роженицы и головкой плода. Подобная ситуация может возникнуть при узком тазе, слабой родовой деятельности, рубцовой деформации шейки матки. Перфорация матки связана с ятрогенными причинами - ошибочными или грубыми действиями медперсонала во время проведения аборта, зондирования полости матки, РДВ, гистероскопии, введения внутриматочного контрацептива и других внутриматочных процедур. Способствовать прободению стенки матки также могут различные патологические состояния: послеоперационные рубцы, рак эндометрия, эндометриты и пр.
Ушибы матки чаще встречаются у беременных; они могут быть вызваны падением, ударом по животу тупым предметом, автомобильной аварией. Брюшно-маточные, пузырно-маточные, мочеточниково-маточные свищи могут возникать по причине родовых травм, оперативных вмешательств с вторичным заживлением раны, ятрогенного повреждения мочевого пузыря или мочеточников при гинекологических операциях, распада злокачественных опухолей, лучевых воздействий и т. д.
Термические и химические повреждения матки встречаются нечасто. Термические травмы обычно возникают в связи со спринцеванием слишком горячими растворами. Химические повреждения матки могут быть обусловлены использованием веществ прижигающего действия (нитрата серебра, уксусной или азотной кислоты), а также умышленным введением в полость матки химических веществ с целью криминального аборта.
Виды повреждений матки
Ушиб матки
Риск подобных повреждений матки повышается у беременных пропорционально увеличению гестационного срока. Изолированные ушибы матки могут провоцировать самопроизвольное прерывание беременности на любом сроке, преждевременную отслойку плаценты или преждевременные роды. На эти осложнения обычно указывают кровянистые выделения из половых путей, боль в животе, повышение тонуса матки. В случае повреждения ворсин хориона может развиться фето-материнская трансфузия, при которой кровь плода попадает в кровоток беременной. Данное состояние опасно развитием анемизации плода, гипоксии плода, а также внутриутробной гибели. При тяжелой тупой травме живота также возможно возникновение разрывов печени, селезенки, матки, в связи с чем развивается массивное внутрибрюшное кровотечение.
Для определения тяжести полученной травмы, состояния беременной и плода, кроме традиционных физикальных и лабораторных исследований, проводится гинекологический осмотр, УЗИ матки и плода, КТГ. С целью выявления крови в полости таза выполняется кульдоцентез или перитонеальный лаваж.
Лечение повреждений матки и их последствий проводится с учетом тяжести травмы и срока гестации. При нетяжелых ушибах и ранних сроках гестации может осуществляться динамическое наблюдение с УЗИ-контролем и КТГ-мониторированием. При сроках беременности, близких к доношенной, ставится вопрос о досрочном родоразрешении. В случае обнаружения крови в брюшной полости производится экстренная лапаротомия, остановка кровотечения и ушивание поврежденных органов. При фето-материнской трансфузии может потребоваться внутриутробное переливание крови.
Разрывы матки
Незначительные разрывы шейки матки могут протекать бессимптомно. При обширных и глубоких дефектах появляются кровянистые выделения ярко-красного цвета: кровь может вытекать струйкой или выделяться со сгустками. Разрывы шейки матки обычно распознаются по клинике или при осмотре шейки в зеркалах. При таких повреждениях на шейку матки накладываются кетгутовые швы. Если подобные повреждения матки не были своевременно обнаружены или правильно ушиты, в дальнейшем они могут осложниться формированием гематомы в параметрии, цервицитом, послеродовым эндометритом, эктропионом и эрозией шейки матки.
Разрыв матки сопровождается острой режущей болью в животе, бледностью кожных покровов и слизистых, падением АД, холодным потом. Если разрыв произошел в активной фазе родов, то родовая деятельность прекращается. Появляются признаки внутрибрюшного кровотечения и кровотечения из половых путей. Части плода определяются непосредственно под передней брюшной стенкой. Общее состояние пациентки крайне тяжелое. Повреждение матки по типу разрыва диагностируется на основании общего объективного и наружного акушерского исследования, УЗИ, кардиотокографии. В этом случае показано немедленное родоразрешение с помощью кесарева сечения, проведение ревизии матки и брюшной полости. Возможные варианты хирургического лечения - ушивание разрыва, надвлагалищная ампутация или радикальное удаление матки.
Перфорация матки
При прободении стенки матки хирургическим инструментом развивается внутрибрюшное или смешанное кровотечение. Пациентки при этом ощущают резкую боль в нижних отделах живота, жалуются на кровянистые выделения, головокружение и слабость. При массивном внутреннем кровотечении отмечается артериальная гипотония, тахикардия, бледность кожи. Наряду с повреждением матки, может происходить травмирование мочевого пузыря или кишечника. Наиболее частым осложнением перфорации матки служит перитонит.
Прободение маточной стенки может распознаваться еще в ходе внутриматочной манипуляции по характерным признакам (ощущению «провала» инструмента, визуализации петель кишечника и др.). Диагноз в этом случае подтверждается данными гистероскопии, трансвагинального УЗИ органов малого таза. Основной метод лечения сквозных повреждений матки - хирургический (ушивание разрыва, субтотальная или тотальная гистерэктомия).
Свищи матки
Брюшно-маточные свищи связывают полость матки с передней брюшной стенкой и относятся к наружным. Выводное отверстие свищевого хода часто открывается в области шва или послеоперационного рубца. Наличие свища поддерживается воспалительной инфильтрацией свищевого хода. Проявляется периодическим выделением крови и гноя через кожное отверстие свища. Свищи обнаруживаются при осмотре и проведении гистероскопии. Лечение - иссечение свищевого хода и ушивание матки.
Основными признаками пузырно-маточного свища служат циклическая меноурия (симптом Юссифа), выделение мочи из влагалища, симптом «закладывания» струи мочи при образовании в мочевом пузыре кровяных сгустков, вторичная аменорея. Мочеточниково-маточные свищи проявляются подтеканием мочи из влагалища, болями в пояснице, лихорадкой, обусловленной гидроуретеронефрозом. Мочеполовые фистулы выявляются в процессе осмотра влагалища в зеркалах, цистоскопии, гистерографии. Лечение - оперативное закрытие свищей (фистулопластика), пластика мочеточника.
Маточно-кишечные свищи могут являться следствием перфорации матки с повреждением кишки, прорыва в кишечник абсцесса, развившегося после консервативной миомэктомии или кесарева сечения. Течение кишечно-маточных свищей воспалительного генеза рецидивирующее. Перед прорывом гнойника в толстую кишку нарастают боли внизу живота, гипертермия, озноб, тенезмы. В кале появляются слизь и гной. После опорожнения абсцесса состояние больной улучшается. Однако ввиду того, что свищевое отверстие быстро подвергается облитерации, в полости абсцесса вскоре вновь скапливается гной, что вызывает новое обострение заболевания.
Для диагностики применяются осмотр влагалища с помощью зеркал, комбинированное гинекологическое УЗИ, ректовагинальное исследование, ректороманоскопия, фистулография, КТ и МРТ малого таза. Тактика при патологии такого рода только хирургическая; включает в себя «кишечный» и «гинекологический» этапы. Детали вмешательства определяются оперирующим гинекологом и проктологом. Иссечение некротических тканей и восстановление целостности кишки обычно сочетается с надвлагалищной ампутацией или экстирпацией матки.
Химические и термические повреждения матки
В остром периоде после повреждений матки такого рода развивается клиника эндомиометрита. Беспокоит повышение температуры тела, болевые ощущения внизу живота, иногда - кровянистые выделения, вызванные отторжением некротически измененной слизистой матки. Подобные травмы могут осложниться перитонитом и сепсисом. После заживления термических и химических повреждений могут формироваться рубцовые изменения шейки матки, атрезия цервикального канала, внутриматочные синехии. В отдаленном периоде вероятно развитие гипоменструального синдрома или аменореи, бесплодия.
Диагностика основана на уточнении анамнеза (выявлении факта введения во влагалище горячих растворов или химических веществ), данных осмотра шейки матки в зеркалах, гинекологического УЗИ. Лечение - дезинтоксикационная и антибактериальная терапия. При развитии перитонита осуществляется лапаротомия, санация и дренирование брюшной полости; при обширных некротических повреждениях матки - экстирпация органа. В дальнейшем для восстановления проходимости цервикального канала производится его бужирование. При синдроме Ашермана показано гистероскопическое разделение синехий.
Разрыв шейки матки
Разрыв шейки матки — это нарушение целостности шейки матки из-за повреждения в процессе родов. Прохождение головки или реже тазового конца плода во время родов может привести к нарушению целостности шейки матки, поскольку ко времени прохождения плода края маточного зева (внешнее отверстие канала шейки матки) значительно истончаются и легко подвергаются разрывам. Разрывы шейки матки могут явиться причиной кровотечения в последовом и раннем послеродовом периодах.
Симптомы разрыва шейка матки
- Небольшие разрывы шейки матки (менее 1 см) протекают бессимптомно.
- Кровянистые выделения из половых путей ярко-алого цвета, иногда с большим количеством сгустков крови. Возникают сразу после рождения ребенка, объем и интенсивность кровотечения зависит от длины и глубины разрыва шейки матки.
- Бледность кожных покровов и слизистых матери, холодный пот.
Формы
- Самопроизвольные разрывы связаны с:
- ригидностью шейки матки (шейка матки плотная, плохо подвергается растяжению). Часто встречается у первородящих женщин старше 30 лет;
- чрезмерным растяжением шейки матки:
- крупным плодом (масса плода более 4000 граммов)
- разгибательными положениями плода (ребенок продвигается по родовым путям с разогнутым шейным отделом позвоночника (в норме - с согнутым));
- быстрыми родами (у первородящих — менее 6 часов, у повторнородящих - менее 4 часов);
- длительным сдавлением шейки матки (ведет к нарушению питания тканей шейки матки и уменьшению их прочности). Возникает при узком тазе у матери.
- 1 степень - разрыв с одной или двух сторон не более 2 см;
- 2 степень- разрыв более 2 см, но не доходящий до сводов влагалища (углубления влагалища вокруг влагалищной части шейки матки), более 1 см;
- 3 степень- разрыв, доходящий до сводов влагалища и переходящий на него.
- Осложненные разрывы шейки матки:
- разрыв доходит до сводов влагалища;
- разрыв переходит на своды влагалища;
- разрыв поднимается по цервикальному каналу (каналу шейки матки) и доходит до внутреннего маточного зева (внутреннее отверстие шейки матки);
- разрыв захватывает брюшину (внутреннюю выстилку брюшной полости и полости таза) или параметрий (жировую прослойку вокруг матки).
- Неосложненные разрывы шейки матки - разрывы 1 и 2 степеней.
Причины
- изменения шейки матки. Воспалительные и дистрофические (нарушающие строение) заболевания шейки матки:
- цервицит (воспалительное заболевание шейки матки);
- истинная эрозия шейки матки (дефект слизистой оболочки шейки матки, последствие механической, химической травмы);
- рубцы шейки матки (последствие травм шейки матки во время прошлых родов);
- последствия лечения истинной эрозии или дисплазии шейки матки (прижигание измененных участков жидким азотом, лазером, с помощью электрического тока или высокой температуры);
- последствие конизации шейки матки (удаление измененной части шейки матки при дисплазии);
- крупный плодом (масса плода более 4000 граммов);
- разгибательными положениями плода (ребенок продвигается по родовым путям с разогнутым шейным отделом позвоночника (в норме - с согнутым));
- гидроцефалией плода (увеличение размеров головки плода из-за накопления жидкости в полости черепа).
- длительные роды (более 20 часов у первородящих, более 15 часов у повторнородящих);
- быстрые роды (менее 6 часов у первородящих, менее 4 часов у повторнородящих);
- преждевременное излитие околоплодных вод;
- ригидность шейки матки (шейка матки плотная, плохо подвергается растяжению);
- родоразрешающие влагалищные операции (операции, ускоряющие роды: наложение акушерских щипцов, вакуум-экстракция плода, извлечение плода за тазовый конец);
- наличие родоразрешающих влагалищных операций в анамнезе;
- крупный плод (масса плода более 4000 граммов).
LookMedBook напоминает: что данный материал размещен исключительно в ознакомительных целях и не заменяет консультацию врача!
Врач акушер-гинеколог поможет при лечении заболевания
Диагностика
- Анализ анамнеза заболевания и жалоб — когда (как давно) появились кровянистые выделения, с каким периодом родов или врачебными вмешательствами они связаны.
- Анализ акушерско-гинекологического анамнеза — перенесенные гинекологические заболевания, оперативные вмешательства, беременности, роды, их особенности, исходы, особенности течения данной беременности.
- Объективное исследование - осмотр беременной, измерение ее артериального давления и пульса, пальпация (ощупывание) живота и матки.
- Наружное акушерское исследование. Врач руками определяет форму матки, ее размер, мышечное напряжение (для исключения диагноза маточного кровотечения).
- Осмотр шейки матки в широких зеркалах. Врач вводит во влагалище женщины специальные инструменты, помогающие осмотру шейки матки на предмет наличия разрывов.
- Ручное обследование стенок полости матки (при разрывах шейки 3 степени) - врач рукой исследует полость матки, исключает переход разрыва шейки на стенки матки.
Лечение разрыва шейка матки
- Ушивание дефектов шейки матки применяется во всех случаях, кроме поверхностных, не кровоточащих трещин шейки матки.
- Чревосечение (хирургическая операция со вскрытием брюшной полости) необходимо при осложненном разрыве шейки матки с переходом на параметрий (жировую ткань вокруг матки) и образование там гематомы (скопления крови) для ушивания дефекта в самой матке.
Осложнения и последствия
- Инфекционные осложнения разрывов шейки матки: цервицит (воспаление шейки матки), послеродовой эндометрит (воспаление слизистого слоя матки).
- Разрывы матки (нарушение целостности стенки матки).
- Образование гематомы в параметрии (скопления крови в жировой ткани, окружающей матку).
- Геморрагический шок (прогрессивное нарушения жизненно важных функций нервной системы, системы кровообращения и дыхания на фоне потери значительного количества крови).
Профилактика разрыва шейка матки
- Планирование беременности и подготовка к ней (выявление и лечение хронических заболеваний женщины до беременности, исключение нежелательной беременности). Рекомендуется планировать беременность не ранее, чем через 2 года после операций на матке.
- Своевременная постановка беременной на учет в женской консультации (до 12 недель беременности).
- Регулярное посещение акушера-гинеколога (1 раз в месяц в 1 триместре, 1 раз в 2-3 недели во 2 триместре, 1 раз в 7-10 дней в 3 триместре).
- Рациональное и сбалансированное питание беременной (употребление продуктов с высоким содержанием клетчатки (овощи, фрукты, зелень), отказ от жареной, консервированной, слишком горячей и острой пищи).
- Полноценный сон.
- Прием витаминов и успокаивающих средств (при необходимости).
- Отказ от курения, употребления алкоголя и наркотиков.
- Исключение чрезмерных физических и психоэмоциональных нагрузок.
- Рациональное ведение родов:
- оценка показаний и противопоказаний к родам через естественные родовые пути или с помощью операции кесарева сечения;
- достаточное обезболивание при родах;
- адекватное применение утеротоников (препаратов, стимулирующих маточные сокращения);
- своевременная диагностика ущемления шейки матки (длительное сдавливание шейки матки между головкой плода и тазовыми костями матери);
- выполнение родоразрешающих влагалищных операций (операции, ускоряющие роды: наложение акушерских щипцов, вакуум-экстракция плода, извлечение плода за тазовый конец) бережно и строго по показаниям.
Дополнительно
Шейка матки — это нижняя, самая узкая часть матки. Во время первого периода родов шейка матки претерпевает ряд изменений: сначала она размягчается (делается более податливой к растяжению) и укорачивается, затем сглаживается, а потом раскрывается (канал шейки матки увеличивается в диаметре).
ИНФОРМАЦИЯ ДЛЯ ОЗНАКОМЛЕНИЯ
Необходима консультация с врачом
Певцова Анастасия Владимировна, врач-методист, акушер-гинеколог, медицинский редактор.
Что делать при разрыве шейки матки?
- Выбрать подходящего врача акушер-гинеколог
- Сдать анализы
- Получить от врача схему лечения
- Выполнить все рекомендации
Повреждения шейки матки
Повреждение шейки матки представляет собой нарушение ее целостности в ходе проведения родов. Наиболее часто встречаются радиальные боковые разрывы шейки матки.
Повреждение шейки матки: симптомы
- разрывы матки размерами до 1 см протекают, как правило, бессимптомно;
- кровянистые выделения ярко-алого цвета, в некоторых случаях со сгустками крови, из половых путей женщины. Проявляются сразу после рождения малыша, объем и длительность таких кровотечений зависят от глубины и длины разрыва;
- бледность кожных покровов;
- холодный пот.
Повреждение шейки матки: формы
Повреждение шейки матки (разрыв) возникает как самопроизвольно, так и по причине хирургического вмешательства (насильственное).
Самопроизвольные разрывы могут быть вызваны:
- чрезмерным растяжением шейки матки;
- ригидностью шейки матки, то есть потерей ее эластичности. Часто наблюдается у первородящих женщин в возрасте старше 30 лет;
- крупным плодом, когда его вес превышает 4 кг;
- продвижением плода с разогнутым шейным отделом позвоночника по родовым путям;
- узким тазом женщины, последствием чего является продолжительное сдавливание шейки матки и дальнейшее нарушение питания ее тканей с уменьшением их прочности;
Насильственные разрывы возникают в ходе проведения операций, ускоряющих роды, а именно:
- вакуум-экстракции плода;
- наложения акушерских щипцов;
- извлечения плода за тазовый конец.
Выделяют три степени разрывов шейки матки:
- 1 степень: разрывы не более 2 см с одной или обеих сторон;
- 2 степень: разрывы, размером более 2 см, не доходящие до сводов влагалища;
- 3 степень: разрывы, доходящие и переходящие на своды влагалища.
Также выделяют осложненные и неосложненные разрывы шейки матки.
К неосложненным относят разрывы 1-2 степени.
К осложненным относят:
- разрывы, доходящие и переходящие на своды влагалища;
- разрывы, поднимающиеся по каналу шейки матки и доходящие до маточного внутреннего зева;
- разрывы, захватывающие параметрий или брюшину.
Повреждение шейки матки: причины
Выделяют ряд причин, приводящих к разрывам шейки матки:
1. Дистрофические и воспалительные заболевания шейки матки:
- цервицит;
- истинная эрозия шейки матки;
- рубцы шейки матки;
- последствия лечения дисплазии и истинной эрозии шейки матки: прижигание лазером, жидким азотом, воздействие электрическим током или высокими температурами;
- последствия конизации шейки матки.
2. Продолжительное сдавливание шейки матки между тазовым костным кольцом женщины и головкой плода;
3. Сильное растяжение краев маточного зева при:
- гидроцефалии плода;
- разгибательном положении плода;
- крупном плоде (масса свыше 4 кг);
Осложненные формы повреждений шейки матки возникают в случаях:
- быстрых родов: у первородящих длительность их составляет до 6 часов, у повторнородящих - до 4-х часов;
- длительные роды: у первородящих - более 20 часов, у повторнородящих - более 15 часов;
- ригидность шейки матки;
- родоразрешающие влагалищные операции в анамнезе;
- операции, ускоряющие роды;
- преждевременное излитие околоплодных вод;
- крупный плод, массой более 4-х кг.
Повреждение шейки матки: лечение
Основным методом лечения повреждений шейки матки является хирургическое вмешательство. Проводится ушивание разрывов шейки матки во всех случаях, кроме поверхностных, не сопровождающихся кровоточащими трещинами. В случае сильного кровотечения выполняют выжимание последа и переходят к наложению швов. Зашивание разрывов выполняют при соблюдении строгой асептики. Врач обнажает шейку матки, используя влагалищные зеркала, затем захватывает ее специальными щипцами за переднюю и заднюю губу, низводит наружу и оттягивает в сторону, противоположную расположению имеющихся разрывов. Врач выполняет наложение первого шва на верхний угол раны, при этом в шов захватывается вся толща ткани влагалищной части шейки матки, исключая слизистую цервикального канала. Когда невозможно наложение первого шва на верхний угол раны, проводят наложение одного или двух швов ближе к верхнему углу в области разрыва, затем подтягивают нити и приступают к зашиванию самого верхнего угла повреждения. Шов на каждой стороне выполняется на расстоянии 0,5-1 см от края во избежание прорезания шва во время его затягивания.
Зашивание разрыва влечет за собой остановку кровотечения, а также препятствует возникновению параметрита. Незашитые разрывы могут привести к развитию эрозий, эндоцервицита и эктропионов шейки матки.
При осложненном разрыве, переходящем на параметрий и сопровождающимся образованием гематом, применяют чревосечение для возможности остановки кровотечения, удаления гематомы и ушивания разрыва.
Повреждение шейки матки: осложнения
1. Инфекционные осложнения:
- воспаления слизистой оболочки матки - послеродовой эндометрит;
- воспаление шейки матки - цервицит;
2. Гематомы в параметрии;
3. Нарушения целостности стенок матки;
4. Геморрагический шок.
Повреждение шейки матки: профилактика
К методам профилактики повреждений шейки матки можно отнести:
1. Подготовку и планирование беременности: исключение возможности нежелательной беременности, диагностика и адекватное полное лечение хронических заболеваний до беременности. Не рекомендуется планировать зачатие ребенка до истечения двух лет после проведения операции на матке.
2. Своевременная (на сроке беременности до 12 недель) постановка на учет женщины в женской консультации.
3. Регулярное посещение врача: на первом триместре - один раз в месяц, на втором - один раз каждые две-три недели, на третьем - один раз каждые семь-десять дней.
4. Прием витаминов;
5. Полноценный сон;
6. Исключение чрезмерных физических нагрузок и стрессов;
7. Отказ от вредных привычек.
8. Соблюдение рационального и сбалансированного режима питания: отказ от острой, жаренной и консервированной пищи, употребление продуктов с высоким содержанием клетчатки.
Читайте также:
- Попадание лекарств и токсинов в грудное молоко. Когда нельзя кормить грудью?
- Техника и этапы повторной ринопластики
- Давление спинномозговой жидкости. Субокципитальная пункция
- Вторичная головная боль. Субарахноидальное кровоизлияние. Менингит. Субдуральная гематома. Внутримозговое кровоизлияние.
- Виды лейкоплакии полости рта. Гистология лейкоплакии полости рта.
