Реабилитация после травмы связок голеностопного сустава и физиотерапия при них
Добавил пользователь Алексей Ф. Обновлено: 28.11.2025
Рассмотрим восстановление и реабилитацию после растяжения связок голеностопа, оказание первой помощи, восстановительные процедуры, методы лечения травмы.
Классификация
Повреждение связок голеностопа и коленного сустава является частой травмой на отдыхе или во время занятий спортом:
- Растяжение.
- Повреждению подвержено большое количество волокон. Как последствие - функциональность снижена.
- Разрыв связок.
Зачастую разрыв связок лодыжки случается у людей, ранее получавших растяжения.
Когда растяжение случается с какой-то периодичностью, появляется нестабильность голеностопа. Это приводит к повышению риска травм в будущем, а также к образованию остеорартроза.
Разрыв связок происходит, когда подворачиваются ноги внутрь. При этом нагрузка на наружные связки сустава значительно увеличивается. В определенных случаях возможен перелом костей, которые формируют сустав.
Данные травмы можно классифицировать на три степени тяжести:
Факторы риска
Травмы растяжения голеностопа происходят из-за таких распространенных факторов:
- Активная двигательная жизнь.
- Большая масса тела. Если человек страдает от избыточного веса, у него происходит:
- нарушение кровообращения;
- затруднение свободы телодвижений;
- нарушение равновесия.Как следствие, возрастает нагрузка на суставы. - Врожденные особенности голеностопного сустава.Человек может иметь врожденные нарушения конфигурации, плоскостопие.
- Физические нагрузки.
- Неудобная обувь.
Показатели получения травмы
Для определения, какая травма получена, и можно ли считать, что повреждены связки голеностопа, следует обратить внимание на следующие симптомы:
- резкая боль после травмы;
- деформация сустава;
- боль и отек, которые только усиливаются;
- невозможность становиться на ногу;
- гематомы.
Если травма произошла после падения с высоты или после столкновения, симптомы будут явно выражены.
Растяжение, разрыв связок коленного сустава сопровождаются такими симптомами:
- после травмы сразу проявляется сильная, острая боль;
- отек;
- покраснения тканей вокруг травмы;
- в суставную часть есть излияния крови;
- повышение температуры;
- ощущение онемения.

Действия для оказания первой помощи
- Пострадавшему необходимо обеспечить покой. Для этого нужно снять нагрузку с области травмы. Не стоит наступать на ногу минимум в течение двух суток.
- Для того чтобы уменьшить отечность, необходимо приложить лед или сделать холодный компресс. Повторять такие действия нужно около четырех раз. Время использования компресса должно составлять десять-двенадцать минут.
- Пострадавшему, для облегчения, нужно наложить повязку или шины.
- Для улучшения микроциркуляции и уменьшения отека нужно приподнять пострадавшую часть тела.
Для определения точного диагноза и выбора лечения необходимо пройти осмотр у специалиста и сделать рентгеновские снимки. После проведенного обследования травматолог определит степень тяжести травмы и сделает назначение.
Если после получения травмы в полости сустава скопилась кровь, проводится пункция. Это процедура, во время которой удаляется скопившаяся жидкость. Невыполнение данного мероприятия может вызвать образование воспалений.
Медикаментозная терапия
Для снятия боли после растяжения связок голеностопа используют:
- Димексид-гель. Его действия направлены на снятие отечности и избавление от боли. Препарат также оказывает лечебный эффект;
- Лиотон. Препарат помогает снять отек;
- Троксевазин;
- Фастум. Применение этой мази помогает снять воспаление.
Упаковка Фастум геля
После применения подобных мазей необходимо начать восстановление микроциркуляции крови. Разрешается проводить такие процедуры только через четыре дня. Для этого используется разогревающая мазь Капсикам.
В случаях, когда терпеть боль не получается, можно прибегнуть к использованию спазмолитических лекарственных препаратов (анальгин, нурофен, темпалгин).
В народной медицине также существуют способы, которые помогают снизить боль, снять отечность:
- компрессы из чая;
- компрессы из меда и ржаного хлеба;
- компрессы из настоя лавровых листьев.
Лечебная физкультура
В течение трех дней выполняются легкие упражнения, не провоцирующие чрезмерное напряжение:
- движения пальцами пострадавшей конечности;
- напряжение мышц стопы и голени.
Спустя четыре-семь дней, исходя из состояния, можно добавить другие упражнения. Необходимо пытаться делать подъем на носочки, также тянуть какой-то предмет на себя.
Нужно начинать ходить и делать упражнения на растяжку. Выполняя перечисленные упражнения, можно улучшить кровообращение в ногах и сохранить тонус мышц. Обязательно перед тем, как приступить к упражнениям, нужно сделать разминку. Выполнение упражнений через боль может привести к ухудшению состояния связок.
Физиотерапия
Для стимуляции расширения кровеносных сосудов, усиления восстановительных и обменных процессов применяется УВЧ-терапия. Применение ультразвукового массажа помогает снять воспаление и обезболить травму. После такого массажа улучшается кровообмен.
При растяжениях связок можно применять магнитотерапию. Она способна улучшить кровообращение и снять отек. Посещение бассейна может облегчить состояние пострадавшего, но плавать в привычном стиле не рекомендуется, стоит ограничиться лечебной физкультурой.
Реабилитация травмы с помощью ортеза и бандажа
Восстановление с использованием ортеза разрешается, даже если опухоль не сошла до конца и присутствует боль. Конструкция ортеза точно повторяет все движения сустава голеностопа. С его помощью сустав разрабатывается безболезненно. Бандаж в использовании удобен. Он способен сохранять тепло тела, а это оказывает положительный эффект на область травмы.
Использование ортеза и бандажа помогает снизить у пострадавшего страх повторного травмирования. Отсутствие страхов положительно влияет на организм человека и способствует выздоровлению.
Срок восстановления после травмы
На период, необходимый для реабилитации, влияет:
- состояние здоровья пострадавшего;
- индивидуальные особенности полученной травмы.
В зависимости от того, какая степень растяжения присутствует, можно предположить, как долго полученные повреждения будут заживать. При первой степени растяжения стоит вести размеренный образ жизни и воздержаться от лишних нагрузок на протяжении недели.
Для передвижения ногу обязательно нужно фиксировать, чтобы избежать повторения растяжения. В случаях, когда травма относится ко второй степени, на место, подверженное растяжению, накладывается лангет. Носить его необходимо на протяжении десяти дней.
Восстановительные процедуры и возвращение в привычный ритм жизни нужно осуществлять постепенно.
Осложнения после полученной травмы
Растяжения, разрывы, вывихи могут привести к следующим последствиям:
- неустойчивость, слабость в суставе;
- рецидив получения травмы;
- боли;
- подвывих, вывих сухожилий;
- разрыв сухожилий малоберцовой мышцы;
- повреждения малоберцового нерва;
- наружная нестабильность таранной кости.
Противопоказания
Пациентам, получившим травму, необходимо воздержаться:
- от принятия горячей ванной, посещения сауны, бани;
- от употребления алкоголя. Спиртные напитки могут повысить степень отечности и снизить способность тканей быстро восстанавливаться;
- от массажа. В первые дни после получения травмы массаж противопоказан, так как он может усилить отечность.
Профилактика растяжения связок коленного сустава и
связок голеностопного сустав
Для предупреждения растяжений, разрывов, вывихов необходимо соблюдать следующие правила:
- не нагружать физическими нагрузками;
- не носить неудобную обувь;
- во время выполнения физических упражнений использовать средства защиты;
- укреплять мышцы ног.
Растяжения, разрывы и вывихи важно своевременно диагностировать и начать лечение. Это оказывает влияние на срок реабилитации. Необходимо стараться избегать ситуаций, представляющих риск для здоровья.
Лечение растяжения и разрыва связок голеностопного сустава
Квалифицированная помощь при повреждении связок голеностопного сустава: УВТ и хирургическое вмешательство под руководством опытных специалистов, в комфортной обстановке, с гарантией пролонгированного результата.

Одной из наиболее распространенных проблем среди современного населения является травмирование связок в области голеностопа. Этот процесс может сопровождаться разрывами и вывихами, и другими серьезными последствиями, способными нарушать двигательную активность пациента и негативным образом отражаться на его привычном образе жизни.
Чтобы избежать нежелательных последствий следует своевременно обратиться к опытному специалисту в проверенную клинику.
В нашем медцентре Вам окажут профессиональную помощь при наличии любых проблем в области голеностопного сустава. Рентген, ультразвуковое исследование, хирургическая операция и УВТ с использованием инновационной аппаратуры премиального качества - это лишь часть тех преимуществ, на которые Вы можете рассчитывать, обратившись к нам.
Далее мы дадим детальную информацию, касающуюся повреждения связок в области голеностопа.
Описание травмы связок голеностопного сустава

К числу наиболее распространенных травм, встречающихся у современного населения, относится повреждение связок голеностопного сустава. При этом в 12% случаев это обусловлено наличием надрывов, разрывов и растяжений в области голеностопа. Также спровоцировать нарушение целостности связочного аппарата могут вывихи или подвывихи в вышеуказанной зоне.
Чаще всего, травма связок голеностопного сустава случается в холодный период, при преодолении человеком обледенелых поверхностей. Нередко, причиной подобного повреждения может стать передвижение по неровной местности или прыжок с высоты.
Первая помощь при повреждении связок голеностопного сустава
Иногда растяжение связок голеностопного сустава сопоставляют с повреждениями, проявляющимися в результате подворачивании стопы. Однако в этом случае ошибочно говорить о растяжении, поскольку имеют место кровоподтеки и отечность. В момент получения травмы возникают разрывы в области связочного аппарата. В свою очередь, при растяжении нарушается целостность некоторых волокон, но функциональные характеристики остаются без изменений.

В случае обнаружения признаков повреждения в области голеностопа человеку следует оказать срочную помощь. В первую очередь, требуется минимизировать на грузки на голеностопный сустав. Это позволит предотвратить ухудшение состояния связок и сухожилий в дальнейшем. Также по отношению к пострадавшему следует применить следующие меры:
- Наложить холодный компресс. Это даст возможность предупредить усиление отечности и распространение кровоподтеков на близлежащие ткани. При этом пациент отмечает потерю чувствительности в пораженной зоне, что способствует устранению болевых проявлений. Более того, за счет использования холодного компресса непосредственно после травмирования удается уменьшить длительность лечебного процесса. Прикладывать повязку к болезненному участку следует на 20 минут;
- Использование эластичного бинта. Чтобы обеспечить неподвижность поврежденного сустава, рекомендуется прибегнуть к помощи фиксирующей повязки. Специалисты рекомендуют избегать тугого бинтовании, поскольку оно может спровоцировать потерю чувствительности в пальцах конечности и усиление отечности. Однако подобная повязка позволит предупредить возникновение разрывов в дальнейшем;
- Размещение ноги в приподнятом положении. Конечность, подвергшуюся повреждению, следует расположить на подушки или на стул (в сидячем положении). Это позволит купировать боль в голеностопном суставе и устранить отек в близлежащих тканях.
Использование согревающих средств категорически запрещено в период оказания первой помощи. Не рекомендуется делать спиртовые растирания и принимать горячий душ. Следует помнить, что перед ночным отдыхом фиксирующие повязки снимаются.
Лечение повреждения связок голеностопного сустава 1-2 степени
Как правило, при легком травмировании связочного аппарата пациент не замечает каких-либо признаков недуга. В первые дни болевой синдром не дает о себе знать даже при повышенных физических нагрузках.

Усиление отечности, расширение площади кровоподтека и увеличение очага воспаления наблюдается в последующие сутки. Больной начинает хромать, руководствуясь желанием устранить дискомфорт.
Признаки растяжения связок голеностопного сустава 2-ой степени дают о себе знать непосредственно после травмирования и сопровождаются интенсивными болевыми ощущениями. Появление кровоподтеков и отечности отслеживается примерно через 60 минут после случившегося. Чтобы исключить вероятность нарушения целостности лодыжки, следует незамедлительно обратиться в травматологию.
- Эластичный бинт средней растяжимости желательно использовать в течение 2-х недель;
- Повязку, изготавливаемую с использованием гипса, не следует носить более 7 суток. В противном случае будет сложно восстановить мышечный тонус.
Наиболее действенными препаратами, когда повреждены связки голеностопного сустава, считаются средства нестероидного противовоспалительного ряда. Также лечить связки голеностопного сустава можно при специальных гелей и мазей: Диклофенак, Кеторолак, Нимесулид, Индометацин и др. Подобные средства предназначены исключительно для наружного применения, но они способны оказывает мощное обезболивающее и противовоспалительное воздействие.
Также врач может назначить мази для восстановления кровотока. В их число входят гель Лиотон и Гепариновая мазь. Благодаря их использованию удается улучшить микроциркуляцию крови и обеспечить активное питание связок важными биологическими и питательными веществами.
Помощь при растяжении связок голеностопного сустава 3 степени

При более серьезных травмах может наблюдаться полный разрыв связок голеностопного сустава. При этом проявляются признаки, идентичные перелому костей. Больной утрачивает способность передвигаться, поскольку ощущает сильный болевой синдром и невозможность наступать на конечность. Подобные симптомы обусловлены изменением анатомического соотношения составных частей сустава. К числу характерных черт недуга также относится быстрое распространение гематомы и отечности на всю площадь лодыжки.
В случае разрыва связок голеностопного сустава консервативное лечение практически не назначается, что связано со следующими моментами:
- Наблюдается слабая способность поврежденных волокон к сращению;
- Может отсутствовать возможность полного восстановления функциональных характеристик стопы;
- В случае отказа от оперативного вмешательства возникает вероятность периодической травмы лодыжки, что обусловлено нестабильностью голеностопа.
Плановое оперативное вмешательства производится в случае полного отрыва связки от кости. Для восстановления ее непрерывности накладываются костные и сухожильные швы. После завершения хирургической манипуляции больному рекомендуется носить повязку, изготовленную из гипса, на протяжении 21-28 дней. В течение всего реабилитационного периода пациент должен принимать медикаментозные средства, улучшающие кровоснабжение тканей в голеностопном суставе. Также назначаются лекарства, расширяющие сосудистые просветы: Венарус, Детралекс и Флебодиа.
Физиотерапия при повреждении связок голеностопного сустава
Выполнение физиотерапевтических процедур для тех, кто интересуется, как лечить растяжение связок голеностопного сустава, является обязательным шагом. При реализации подобных мероприятий можно получить более ощутимый положительный эффект, чем после приема медикаментозных средств.

В случае получения травм первой и второй степени к физиотерапевтическому воздействию следует прибегать уже через 72 часа после начала лечения. Также они могут выполняться после оперативного вмешательства, в период реабилитации. Подобрать наиболее действенные физиопроцедуры Вам поможет опытный специалист. При этом он учитывает индивидуальные нюансы каждого пациента, а также:
- Интенсивность повреждений;
- Способность тканей к регенерации;
- Присутствие в анамнезе патологий, обусловленных сбоями в работе сердечно-сосудистой системы.
Первоначально пациенту рекомендуется пройти процедуру, в рамках которой производится воздействие постоянным электрическим током и специальными лекарственными препаратами. Для этой цели на поврежденный участок наносится ватный тампон, пропитанный специальным лекарственным средством, а на него накладывают металлические пластины. Благодаря использованию электрических импульсов лекарство может достигать наиболее глубоких слоев ткани. Как правило, в процессе процедуры используются средства с анальгезирующим и противовоспалительным эффектом. В отдельных ситуациях, для ускорения процесса сращивания связок, которые были ранее оторваны от основания, рекомендуется использовать хондропротекторы.
Также в восстановительный период можно использовать следующие методики: воздействие ультразвуком, парафиновые аппликации, магнитотерапия и УВТ.
Лечение связок голеностопного сустава ударно-волновой терапией

Наилучший эффект при восстановлении голеностопного сустава можно получить благодаря ударно-волновому методу. В его основе лежит воздействие акустических волн, за счет чего обеспечивается быстрые процессы регенерации:
- Исчезают гематомы;
- Обеспечивается активное дробление кальциевых отложений и разрушение соединительнотканных тяжей (рубцов);
- Улучшается кровоток;
- Ускоряются обменные процессы.
По мнению большинства пациентов, получить заметные улучшения после ударно-волновой терапии удается уже после первых сеансов. Возвращается утраченная легкость, уходит ощущение скованности и дискомфорта, улучшается общее самочувствие.
В нашей клинике процедуру УВТ выполняют врачи-ортопеды с солидным стажем, которые владеют навыками работы со специальной техникой и обеспечивают персональный подход к каждому посетителю. При этом первый визит в наш медцентр осуществляется с 20%-ной скидкой.
ЛФК для укрепления голеностопного сустава и связок
Улучшить функциональную активность связок и сухожилий также позволяет лечебная физкультура. На первоначальном шаге выполняется легкая разминка. Постепенно вводятся более сложные упражнения. Основной принцип ЛФК - отсутствие болевого синдрома. При занятиях физкультурой следует придерживаться следующих правил:
Одним из наиболее эффективных и обязательных упражнений для всех пациентов с данным недугом является хождение на пятках и пальцах несколько раз в сутки. Также специалисты советуют производиться разгибания/сгибания стопы, сочетая их с вращательными движениями.
При отсутствии своевременных мер при патологии первой степени могут возникать серьезные осложнения в дальнейшем. К их числу относятся: заболевания суставов воспалительной этиологии, патологическое уплощение стопы, вывихи, деформирующий остеоартроз.
В медцентре «Здоровье Плюс» работают грамотные специалисты, которые окажут первую помощь, выполнят все необходимые обследования и составят лечебный план, реализация которого позволит избежать возникновения необратимых последствий в дальнейшем. В нашей клинике осуществляется рентгенографическое исследование, УЗИ и оперативное вмешательство. Однако приоритетным и наиболее действенным способом восстановления голеностопного сустава является УВТ. При реализации данной методики применяется современная швейцарская аппаратура, что позволяет получить быстрый и эффективный результат.
Как избежать травмы связок голеностопного сустава?
С целью минимизации риска травмирования сустава специалисты рекомендуют придерживаться следующих мер:
- Обеспечить достаточную и регулярную двигательную активность - для поддержания необходимой эластичности связок;
- Обеспечить умеренные нагрузки на конечность;
- Использовать комфортную обувь на небольшом каблуке (не более 7 см);
- Выполнять специальный комплекс упражнений, позволяют укрепить голеностопный сустав и связки;
- Стараться поддерживать вес в норме;
- Своевременно лечить патологии, оказывающие негативное влияние на костно-мышечную систему.
Эксперт статьи:
Татаринов Олег Петрович

Врач высшей категории, врач невролог, физиотерапевт, специалист УВТ, ведущий специалист сети «Здоровье Плюс»
Реабилитация голеностопного сустава: восстановление после травм, артродеза, эндопротезирования
По статистике, 54% переломов и переломо-вывихов голеностопного сустава случаются в молодом возрасте, когда человеку важно сохранять трудоспособность. Эти травмы относятся к тяжелым повреждениям опорно-двигательного аппарата. Даже при качественном лечении они приводят к инвалидности в 3-12% случаев. Поэтому восстановление функций голеностопного сустава требует тщательного подхода, индивидуального для каждого пациента.

С повреждениями связочного аппарата ситуация аналогична. Голеностоп часто травмируется у спортсменов и молодых, активных людей. У 30-50% из них несвоевременная диагностика или некачественное лечение приводит к хронической нестабильности голеностопного сустава. Она мешает вести активный образ жизни, а со временем и вовсе приводит к инвалидности.
Ранняя диагностика и качественное лечение помогают снизить риск инвалидизации. Более того, повреждения связок, вывихи и переломы гораздо легче лечить вначале, сразу после травмы. При этом шансы восстановить функции голеностопа гораздо выше. А само лечение и реабилитация - менее инвазивны и занимают меньше времени.
Поэтому после травмы лучше сразу же обращаться в хорошую клинику, где применяют самые эффективные алгоритмы диагностики и лечения.
Как восстановить функции голеностопа после травмы
Каким способом врачи будут проводить лечение - зависит от тяжести травмы и характера повреждения сустава. Ведь надрывы связок лечить гораздо легче, чем, к примеру, переломы со смещением или переломо-вывихи. С лечебной тактикой специалисты определяются лишь после обследования пациента, имея полное представление о его состоянии и тяжести травмы.
Для восстановления функций голеностопного сустава используют несколько способов:
- Консервативное лечение. Эффективно при легких травмах, которые не сопровождаются переломами, вывихами и полным разрывом связок. Функции голеностопа восстанавливают с помощью покоя, фиксации эластичным бинтом, обезболивающих и противовоспалительных препаратов, физиопроцедур и ЛФК.
- Гипсовая иммобилизация. Применяют в лечении переломов, при которых нет смещения костных отломком и нестабильности голеностопа. Гипс накладывают и при свежих разрывах и надрывах связок (не позже двух-трех месяцев после травмы). Также гипсовую иммобилизацию используют после остеосинтеза и скелетного вытяжения в качестве завершающего метода лечения.
- Закрытая репозиция с дальнейшей гипсовой иммобилизацией. Применяется при закрытых переломах со смещением. При сопутствующих подвывихах голеностопа ее не рекомендуют использовать из-за высокого риска неудовлетворительного исхода лечения.
- Открытая репозиция с фиксацией погружными конструкциями. Таким путем лечат все открытые и часть закрытых переломов. В некоторых случаях после операции сустав дополнительно фиксируют гипсом.
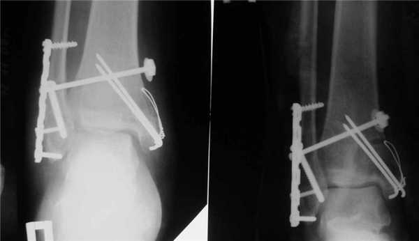
- Скелетное вытяжение и чрескостный компрессионный остеосинтез. Используются для лечения сложных и застарелых переломов в области голеностопного сустава. Проводится с помощью специальных аппаратов внешней фиксации.
- Хирургическое лечение. Проводится при застарелых повреждениях связок, посттравматическом остеопорозе, тяжелых переломах и переломо-вывихах. Позволяет восстановить функции голеностопа даже тогда, когда другими путями сделать это невозможно.
Иммобилизация голеностопа
При полных разрывах и значительных надрывах связок используют гипсовую иммобилизацию или аппараты внешней фиксации. Однако они эффективны только на ранних сроках, пока у человека не успела развиться нестабильность голеностопного сустава. При застарелых травмах, которым больше 2-3 месяцев, эти методы не дают ожидаемого результата.

Если у человека вовремя не обнаружили разрыв связок или он не получил качественного лечения, у него развивается нестабильность голеностопа. В таком случае восстановить функции сустава уже не поможет никакая иммобилизация. И чтобы вернуть трудоспособность, необходимо делать операцию.
Безоперационное лечение переломов
Консервативное лечение возможно лишь когда нет смещения костных фрагментов, а голеностопный сустав остается стабильным. В таком случае больному на 1-2 месяца накладывают гипсовую повязку или предлагают носить ботинок для реабилитационной ходьбы.
Несмотря на доступность и малотравматичность гипсовой иммобилизации она имеет ряд недостатков:
- ограничивает подвижность нижней конечности и затрудняет реабилитацию;
- нарушает периферическое кровообращение;
- вызывает необратимые изменения в нервно-мышечном аппарате голени и стопы.
Чтобы частично нивелировать вред длительной иммобилизации, со второго-третьего дня после наложения гипса человек начинает заниматься лечебной гимнастикой. ЛФК помогает снять отек, улучшить кровообращение в области голеностопа, укрепить мышцы стопы, голени и бедра. А это ускоряет восстановление и препятствует развитию посттравматического остеопороза.
После снятия гипса реабилитация продолжается в течение еще нескольких месяцев. В этот период больному назначают массаж, физиопроцедуры, лечебную физкультуру и т.д. Главная задача этих процедур - укрепить мышцы и связки, улучшить обменные процессы в тканях, нормализовать кровообращение и восстановить функции травмированного сустава.
Закрытая репозиция с дальнейшей гипсовой иммобилизацией
Это распространенный метод лечения, который применяют в основном при переломах лодыжек. Его суть заключается в ручной репозиции костных фрагментов и последующей фиксации голеностопа гипсовой повязкой. Данный метод доступный и малотравматичный, но имеет свои недостатки.

Длительная гипсовая иммобилизация нарушает трофику и ухудшает кровообращение в тканях конечности, вызывая необратимые изменения в нервах и мышцах голени, стопы, голеностопного сустава. Она не обеспечивает достаточно стабильную фиксацию и не гарантирует полную неподвижность отломков. Все это может привести к неправильному сращению костей и образованию ложного сустава.
При сопутствующих вывихах и подвывихах голеностопа закрытую репозицию рекомендуют не использовать. Причина - высокий риск неудовлетворительных результатов лечения.
Самые частые из них:
- послеоперационные контрактуры;
- ложные суставы;
- деформирующий артроз тяжелой степени.
Поэтому многие специалисты предпочитают иной подход к лечению переломов со смещениями. Пациентам трудоспособного возраста они рекомендуют выполнять открытую репозицию с фиксацией костных фрагментов металлоконструкциями. А больным старшей возрастной группы - репозицию под ЭОП-контролем и фиксацию спицами Киршнера.
Открытая репозиция с внутренней фиксацией
Метод применяют для лечения сложных переломов, когда невозможна ручная репозиция отломков и удержание их в нужной позиции с помощью гипса. Чтобы сопоставить костные фрагменты и надежно зафиксировать их, используют погружные элементы и конструкции:
- болты-стяжки;
- винты;
- болты с клеммами-накладками;
- спицы Киршнера;
- болты с гибкой тягой;
- лавсановые ленты и прочее.

Открытая репозиция обеспечивает одномоментное точное сопоставление отломков и их надежную фиксацию. После операции нередко сохраняется ранняя опороспособность конечности, что позволяет нагружать ее вскоре после операции. И тем не менее многие специалисты уверены, что ни один из методов открытой репозиции не может обеспечить полной неподвижности костных фрагментов. Поэтому после операции пациентам требуется дополнительная гипсовая иммобилизация.
Оперативное сопоставление и фиксация отломков имеет и другие недостатки:
- Травмирование мягких тканей в месте проведения хирургического вмешательства.
- Риск развития инфекционных осложнений.
- Вероятность вторичных смещений отломков из-за несостоятельности фиксаторов.
- Высокая частота развития псевдоартрозов.
В ряде случаев закрытые переломы лучше лечить путем скелетного вытяжения или чрескостного остеосинтеза. Эти методы исключают вмешательство травматолога в естественный процесс заживления. Регенерация ускоряется, поскольку врач не удаляет гематому и не повреждает мышцы, сосуды, надкостницу. А противопоставление отломков и растяжение мягких тканей дополнительно стимулирует регенеративные процессы.
Чрескостный остеосинтез
Сегодня остеосинтез проводят с помощью шарнирно-дистракционных аппаратов и аппаратов для скелетного вытяжения. Методика позволяет надежно зафиксировать костные отломки, что создает идеальные условия для их сращения.

Главное преимущество чрескостного остеосинтеза в том, что он не требует открытого хирургического вмешательства. Недостаток - он не всегда позволяет сопоставить фрагменты костей. Поэтому чрескостный остеосинтез могут комбинировать с операцией. Сначала отломки соединяют хирургическим путем, а зачем кости дополнительно фиксируют аппаратом внешней фиксации.
Реконструктивные операции
С помощью реконструктивных операций лечат застарелые разрывы связок, которые сопровождаются нестабильностью голеностопа. Целостность связок восстанавливают хирургическим путем, после чего сустав фиксируют аппаратом Илизарова. При давности травмы менее 5 месяцев операцию часто делают путем артроскопии. А вот застарелые разрывы требуют открытой реконструкции.
Целостность связок могут восстанавливать:
- местными тканями;
- аллотканями;
- синтетическими эндопротезами.
Пластика местными тканями сопряжена с дополнительной травматизацией донорского участка, поэтому ее выполняют редко. Для восстановления связок чаще используют синтетические ткани или аллосухожилия.
Эндопротезирование и артродез
Операции на голеностопном суставе делают в основном при тяжелом посттравматическом остеопорозе, который сопровождается сильными болями и ограничением подвижности голеностопа.

Молодым пациентам чаще выполняют эндопротезирование - замену сустава искусственным эндопротезом. Такая операция позволяет полностью восстановить функции голеностопа. Когда сделать эндопротезирование нет возможности (пожилой возраст, наличие тяжелых сопутствующих заболеваний), больному выполняют артродез - обездвиживание сустава. К этой операции прибегают в крайнем случае.
- Разрывы связок и переломы голеностопа часто случаются в молодом возрасте. Они тяжело поддаются лечению и нередко приводят к инвалидности.
- Свежие травмы лечить намного легче. Чем раньше человек получит медицинскую помощь, тем выше шансы, что функции сустава восстановятся.
- Для лечения травм используют разные методы, начиная консервативным лечением и заканчивая хирургическим.
- Выбор метода лечения зависит от многих факторов. Играет роль тяжесть и давность травмы, нестабильность голеностопа, степень посттравматического остеопороза и т.д.
- Хирургическое вмешательство - радикальный метод лечения. Как правило, операцию делают тогда, когда восстановить функции сустава другими путями невозможно.
Лечебная физкультура (ЛФК) при переломе лодыжки

Лодыжки - это две выступающие косточки, которые являются частью голеностопного сустава. Внутренняя лодыжка располагается с внутренней стороны голеностопа, а внешняя лодыжка находится его на наружной стороне. При переломе лодыжки без смещения травматолог накладывает гипсовую повязку. После её снятия для восстановления функции нижней конечности реабилитологи Юсуповской больницы назначают курс лечебной физкультуры.
Если на рентгеновском снимке врач находит смещение отломков при переломе лодыжки, производит их сопоставление (одномоментную репозицию). После сопоставления отломков на ногу накладывается гипс от кончиков пальцев до средней трети бедра. Положение стопы зависит от вида перелома. Длительность иммобилизации около 6 недель.
Если сопоставить отломки невозможно, проводится оперативное лечение. Внутреннюю лодыжку укрепляют при помощи винта, а наружную - при помощи пластины. При наличии разрыва связок между большеберцовой и малоберцовой костями их соединяют спонгиозным винтом. После оперативного вмешательства на травмированную конечность на 6 недель накладывается гипсовый сапожок. В дальнейшем реабилитологи назначают пациенту ЛФК после перелома лодыжки (видео есть в интернете).
Упражнения ЛФК при переломе голеностопа
Реабилитологи Юсуповской больницы начинают ЛФК при переломе лодыжки в то время, когда нога находится в гипсовой повязке. В этот период нельзя нагружать травмированную конечность. Задачей ЛФК является улучшение кровообращения в повреждённой конечности. В самом начале пациенты делают упражнения через день, а потом занимаются лечебной физкультурой ежедневно.
Пока нога находится в гипсе, пациент может выполнять несколько упражнений. Необходимо встать на здоровую ногу около стены или стула и опереться руками, чтобы не потерять равновесие, и выполнять перекрестные махи. Сначала надо начинать движения травмированной ногой - отвести её на вдохе в сторону и на выдохе выполнить приводящее движение, перекрестное перед здоровой ногой. Из того же исходного положения выполняются махи ногами в сторону. Больную ногу нужно отвести как можно выше, задержаться на несколько секунд, затем опустить. Выполнить это упражнение необходимо 10-15 раз.
Не меняя исходного положения, выполняют подъём колена до тех пор, пока бедро не станет параллельно полу. В таком положении нужно задержаться на несколько секунд, а затем опустить ногу. Упражнение выполняется в течение 30 секунд.
Стоя на здоровой ноге и опёршись об стенку руками, выполняют подъём ног назад. Поврежденную конечность необходимо поднимать назад как можно выше. Затем нужно сделать задержку на несколько секунд и вернуться в исходное положение. При выполнении этого упражнения нельзя прогибаться в пояснице.

Лечебная физкультура после перелома лодыжки
После снятия гипса реабилитологи Юсуповской больницы проводят пациентам с переломом голеностопа реабилитационные мероприятия. Сначала для восстановления кровообращения и лимфооттока, снятия отёчности, проводят электромагнитную терапию. Затем назначают комплекс ЛФК при переломе голеностопа.
Первое время пациент не сможет обходиться без опоры, поэтому ему необходимо приобрести локтевой костыль. Благодаря уравновешенной поддержке рука не перенапрягается и пациенту становится легче передвигаться. Через 2 недели больной постепенно отказывается от костыля. От оставшейся хромоты можно избавиться с помощью лечебной физкультуры.
Лечебная гимнастика при переломе лодыжки - путь к полному выздоровлению. Сустав необходимо эффективно разрабатывать после длительного статического положения. Пациент в клинике реабилитации выполняет упражнения лечебной физкультуры под наблюдением опытных инструкторов ЛФК. Реабилитологи Юсуповской больницы придерживаются при назначении ЛФК после перелома лодыжки следующих принципов: сначала необходимо вернуть диапазон подвижности голеностопного сустава, а затем давать на него полную нагрузку при ходьбе.
Упражнения после снятия гипса с голеностопа
После снятия гипса с голеностопного сустава пациент может из исходного положения лёжа выполнять следующие упражнения:
20-30 раз напрячь четырехглавую мышцу бедра
10-20 раз выполнять сгибание и разгибание стопы
10-20 раз согнуть пальцы ног
10-20 раз разогнуть пальцы ног
Во время выполнения этих упражнений темп должен быть медленным, дыхание свободным. После двухминутного отдыха повторяют последнее упражнение.
Затем можно делать по 10 раз круговые движения в голеностопных суставах в обе стороны. Далее 10-20 раз выполняют сгибание стопы вперёд, затем назад, с максимальной амплитудой.
В комплекс ЛФК после перелома лодыжки входят следующие упражнения:
- разведение носков ног в стороны, максимально поворачивая всю ногу от бедра;
- подъём ног поочерёдно до прямого угла в тазобедренных суставах (нижние конечности не сгибать, носки тянуть на себя);
- подъём прямой повреждённой конечности до прямого угла в тазобедренном суставе, одновременно сгибая и выпрямляя стопу и пальцы ног на весу.
Кроме упражнений ЛФК, реабилитологи Юсуповской больницы выполняют пациентам с переломом голеностопного сустава массаж. Повреждённую ногу необходимо бинтовать эластичным бинтом от пальцев до коленного сустава или носить компрессионные гольфы первого класса компрессии. На ночь и во время занятий ЛФК при переломе голеностопа компрессионное бельё нужно снимать. В этом периоде восстановления в клинике реабилитации пациентам после перелома лодыжки включают в лечение физиотерапевтические процедуры: магнитотерапию, электрофорез, озокерит.
ЛФК в тренировочном периоде реабилитации
В третьем периоде реабилитации в комплекс упражнений ЛФК при переломе голеностопа включают различные варианты ходьбы: на носках, пятках, внутреннем и наружном крае стоп, боком, назад. Хорошо восстанавливает функцию нижней конечности перекатывание повреждённой ногой обычной скалки. Эффективны упражнения в бассейне.
Пациентам рекомендуют самостоятельно выполнять следующие упражнения:
ходить с упором на всю стопу
подниматься вверх по лестнице, придерживаясь при спуске за перила
приседать, не отрывая пяток от пола
катать стопой маленький мячик или бутылку
пытаться взять пальцами ноги карандаш или ручку
прыгать на месте и в стороны
Полезно вспомнить детскую игру в классики, бегать приставным шагом, разминать внешнюю и внутреннюю сторону стопы, становясь на неё, запрыгивать на небольшой выступ, поднимать колена с задержкой в воздухе.
Пациенты занимаются в клинике реабилитации на велотренажёрах, бегущей дорожке, регулируя нагрузку на травмированную конечность. В комплекс упражнений ЛФК после перелома голеностопа входит дозированная ходьба, затем - подскоки, прыжки, бег. Эти упражнения пациенты делают, зафиксировав голеностопный сустав эластическим бинтом или надев голеностопник. Занятия ЛФК при переломе лодыжки могут включать танцевальные шаги и ходьбу с преодолением препятствий. Лицам пожилого возраста реабилитологи рекомендуют только ходьбу.
При лечении последствий перелома лодыжки не рекомендуется:
- подвергаться сильным физическим нагрузкам;
- быстро бегать;
- ходить на местности с неровными участками;
- осуществлять долгие пешие прогулки;
- носить высокие каблуки и неудобную обувь;
- принимать участия в активных танцевальных занятиях.
Реабилитологи Юсуповской больницы индивидуально составляют план ЛФК в зависимости от вида перелома голеностопного сустава. При однолодыжечных и двулодыжечных переломах без смещения стопы назначают:
- энергичное активное тыльное сгибание стопы (по 20-30 сгибаний 10-15 раз в течение дня);
- качательные движения на аппарате с балансиром ежедневно по 10-15 минут;
- занятия на велотренажёре;
- приседания с поднятием пяток и без отрыва пяток от пола (по 3-5 приседаний 2 раза в день);
- ходьбу на носках и на пятках по одной минуте 2-3 раза в день.
При переломах лодыжек со смещением стопы пациентам рекомендуют выполнять по 10-15 энергичных тыльных и подошвенных сгибаний стопы 5-6 раз в день, качательные движения на аппарате с балансиром 1 раз в день по 10-15 минут, приседание на носках 2 раза в день (3-5 приседаний с отрывом пяток от пола).
Пациентам с переломами лодыжек в сочетании с переднезадними переломами большеберцовой кости в комплекс ЛФК включают энергичное активное тыльное и подошвенное сгибание стопы, качательные движения на аппарате с балансиром, ежедневно увеличивая рычаг, 5-6 приседаний на носках 3-4 раза в день. Для того чтобы составить индивидуальную программу ЛФК после перелома лодыжки, звоните по телефону Юсуповской больницы.
Польза магнитотерапии

Магнитотерапия - метод физиотерапевтического лечения с помощью воздействия на организм постоянным, переменным или бегущим магнитным полем.
В Юсуповской больнице процедуры отпускают с помощью современного стационарного и мобильных аппаратов магнитотерапии. Врачи клиники реабилитации учитывают наличие показаний и противопоказаний к назначению магнитотерапии конкретному пациенту.
Показания к магнитотерапии
Магнитотерапия обладает следующими эффектами от физиотерапевтического лечения:
- сосудорасширяющим;
- анальгезирующим;
- противовоспалительным;
- симулирующим;
- общеукрепляющим;
- нейрозащитным;
- расслабляющим;
- восстанавливающим структуру повреждённых тканей.
С помощью магнитотерапии можно избавиться от:
- головных болей;
- головокружения;
- высокого артериального давления;
- мышечной боли;
- целлюлита.
Магнитное поле повышает иммунитет, стимулирует образование собственного коллагена, усиливает питание тканей и половое влечение, разжижает кровь, улучшает лимфодренаж. Применение магнитотерапии позволяет пациентам забыть об обострениях хронических заболеваний за счёт стимуляции иммунитета и обменных процессов.
- неврологии;
- косметологии;
- хирургии;
- гинекологии;
- урологии;
- терапии;
- педиатрии;
- кардиологии;
- гастроэнтерологии;
- эндокринологии;
- пульмонологии;
- ортопедии;
- травматологии.
Показаниями к магнитотерапии также являются:
- остеохондроз позвоночника;
- невралгии различного происхождения;
- нарушение качества сна;
- синдром хронической усталости;
- повышенная чувствительность к метеорологическим факторам;
- перенесенные черепно-мозговые травмы и повреждения позвоночника;
- хронические нарушения мозгового кровообращения;
- дисциркуляторная энцефалопатия;
- вертебро-базиллярная болезнь;
- вегетососудистая дисфункция;
- когнитивные расстройства;
- детский церебральный паралич;
- снижение памяти;
- послеродовые травмы и их последствия.
Процедуры магнитотерапии включают в схему комплексной реабилитации больных различными заболеваниями. В неврологии польза от магнитотерапии наблюдается после перенесенного острого нарушения мозгового кровообращения.В ортопедии магнитотерапия для суставов применятся при коксартрозе, артрозах другой локализации и артритах.
Процедуры отпускают при кардиологических заболеваниях: гипертонической болезни, ишемической болезни сердца, кардиосклерозе, применяют для профилактики сердечно-сосудистых заболеваний. Магнитотерапия применяется при заболеваниях периферических сосудов: облитерирующем эндартериите, тромбофлебите, синдроме Рейно, атеросклерозе сосудов нижних конечностей, хронической венозной недостаточности, диабетической ангиопатии, нарушениях оттока лимфы.
Показаниями для магнитотерапии являются:
- в хирургии - трофические язвы, переломы, вывихи, растяжения, поражения мягких тканей, ушибы;
- в гастроэнтерологии - панкреатит, гастрит, колит, язвенная болезнь желудка и двенадцатиперстной кишки, дискинезия желчевыводящих путей, хронический холецистит;
- в эндокринологии - инсулиннезависимый сахарный диабет и его последствия, заболевания обмена веществ, патология яичников и надпочечников;
- в косметологии - целлюлит, избыточная масса тела;
- в гинекологии - хронический эндометрит, альгодисменорея, бесплодие, климактерический синдром;
- в пульмонологии - бронхиты, пневмонии, гормоннезависимая бронхиальная астма, туберкулёз в неактивной фазе.
С помощью магнитотерапии нормализуются биоритмы человека, проходит депрессия, тревожные и навязчивые состояния. Процедуры полезны при алкоголизме, наркомании, токсикомании, абстинентном синдроме. Урологи применяют магнитотерапию в составе комплексного лечения мужского бесплодия, простатита, эректильной дисфункции, хронического воспаления семенных пузырьков, уретрита, дизурического синдрома, пиелонефрита, мочекаменной болезни, цистита.
Противопоказания и побочные действия магнитотерапии
Противопоказаниями к применению магнитотерапии являются:
склонность к кровотечениям
острая стадия патологического процесса
обострение хронических заболеваний
нарушение целостности кожного покрова в месте проведения процедуры
индивидуальная непереносимость физиотерапевтической процедуры
нарушения сердечного ритма
сердечно-сосудистая недостаточность III-IV стадии
Процедуры магнитотерапии не назначают при наличии кардиостимулятора и металлических штифтов, варикозном расширении вен, гипертонической болезни III стадии, системных заболеваниях крови, психических болезнях, эпилепсии, выраженном атеросклерозе сосудов головного мозга. Можно ли делать магнитотерапию при беременности? Процедуры не делают беременным и детям в возрасте до 1,5 лет. Реабилитологи Юсуповской при назначении магнитотерапии больницы всегда оценивают пользу и вред от процедур.
Пациент лежит на кушетке или сидит на деревянном стуле. Ему устанавливают у соответствующей области контактно или с воздушным зазором 0,5 - 1,5 см 1 или 2 работающих индуктора. При одновременном использовании двух индукторов расстояние между ними не менее 5 см. Стрелки индукторов располагаются в одном направлении.
Продолжительность воздействия магнитотерапии на одну область тела от 15 до 30 минут. Магнитотерапию надо делать каждый день. Курс лечения - 20 процедур. Эластичные магнитофорные аппликаторы накладывают контактно с помощью фиксирующих повязок.
Лечебным фактором ультравысокочастотной магнитотерапии является высокочастотное электромагнитное поле, частота которого 27,12 МГц. Оно вызывает в тканях - электролитах колебательные движения электрически заряженных частиц (вихревые токи). Это вызывает теплообразование в мышечном слое, лимфе, крови, и других жидких средах на глубине 7 - 8 см. В основе действия высокочастотной магнитотерапии лежит нервно-рефлекторный механизм:
- повышение возбудимости нервов и скорости проведения возбуждения;
- усиление тормозных процессов в центральной нервной системе;
- расширение кровеносных сосудов вследствие повышения температуры на 2,5-5 0 с), ускорение кровотока, увеличение количества функционирующих капилляров;
- активизация венозного и лимфатического оттока;
- снижение артериального давления;
- освобождение глюкокортикоидов, повышение концентрации гормонов в крови;
- усиление фагоцитоза;
- снижение иммунных реакций;
- улучшение вентиляции лёгких и проходимости бронхов.
Высокочастотная магнитотерапия оказывает следующее действие:
- противовоспалительное (при хронических и подострых воспалительных процессах);
- спазмолитическое;
- болеутоляющее.
Физиотерапевтические процедуры в клинике реабилитации специалисты проводят по доступным ценам. Медицинские сёстры строго придерживаются инструкции по проведению магнитотерапии, внимательно относятся к пожеланиям пациентов. Записаться на приём к физиотерапевту для определения показаний и противопоказаний к магнитотерапии в Москве можно по телефону Юсуповской больницы.
Физиотерапия магнитами: показания и противопоказания
В современной медицине физиотерапевтические процедуры назначаются практически при всех видах лечения. Методы физиотерапии позволяют ускорить процесс выздоровления. При этом одновременное принятие медикаментов обязательным условием не является.
В Юсуповской больнице одним из наиболее эффективных методов физиотерапии является магнит, который работает с низкочастотным полем. Этот метод врачи по праву, считают идеальным дополнительным лечением практически всех заболеваний любых систем органов.
Магнитотерапия в физиотерапии
Человеческое тело и биологические жидкости состоят из разного типа клеток. Хотя у них есть общие особенности. Клетки образованы ионизированными молекулами, каждая из них имеет свой электрический заряд. Таким образом, когда на организм начинает действовать магнит с низкими частотами, в тканях возникают слабые токи, которые в свою очередь способствуют:
улучшению кислородного обмена
снижению активности тромбоцитов
уменьшению вязкости крови
увеличения колебательных движений белков и эритроцитов в плазме
изменению скорости биологических и химических процессов
Исследованиями отмечена способность магнита, оказывать влияние на головной мозг. Получаемый эффект зависит от типа магнитного поля. При непрерывном воздействии процессы затормаживания усиливаются. Возбуждающее действие оказывает импульсный метод воздействия, таким образом, ускоряя все процессы. Этот способ влияния позволяет усилить функции передачи сигналов, которые идут по нервной системе периферического типа.
Физиотерапия магнитами при гипертонии дает позитивные результаты в течении болезни, а это в первую очередь видно на состоянии больных. Артериальное давление под действием физиопроцедуры снижается, нормализуется пульс, а самочувствие улучшается. Низкими магнитными частотами снимается болевой синдром, а действие магнитных полей приводит к завершению воспалительных процессов и как результат, уменьшению отечности тканей. Понижается уровень сворачиваемости крови, стимулируется и восстанавливается регенерация.

Оставьте заявку и наши врачи ответят на все ваши вопросы!
Показания и противопоказания
Магнитная физиотерапия оказывает на организм болеутоляющий, седативный, противовоспалительный и противоотечный эффекты. Магнитные процедуры дают практически тот же эффект, что и медикаментозное лечение. Эта методика способствует рассасыванию гематом.
Способ состоит в улучшении микроциркуляции крови, а также устранения тромбов в тканях. Используют эту методику в следующих случаях:
- сердечно-сосудистые заболевания;
- мочеполовые заболевания;
- заболевания органов дыхательных путей;
- наркологическая зависимость;
- гнойные воспалительные процессы;
- поражения кожи и мягких тканей;
- болезни нервной системы;
- болезни опорно-двигательного аппарата;
- нарушения в работе ЖКТ.
Использование метода магнитотерапии в физиотерапии запрещается только в тех случаях, если у больного:
- беременность;
- индивидуальная непереносимость;
- истощение организма;
- гипертония III степени;
- опухоли и новообразования;
- нарушения свойств кровяного состава с патологическим характером;
- абсцессы и гнойные процессы в тканях;
- сердечная недостаточность II, III стадий.
Такое ограничение касается в основном больных с тяжелыми патологическими состояниями либо тех, для кого риск развития осложнений считается не оправданным.
Лечение магнитотерапией суставов показало высокую эффективность, особенно артрита артроза. Метод магнитотерапии дает возможность быстро убрать очаги воспаления и болевой синдром. Если есть необходимость восстановить хрящевые ткани, эта методика помогает в улучшении подвижности сустава и уровне его образования. Также эта методика позволяет убрать отёчность и быстро вернуть нормальное функционирование суставов. В Юсуповской больнице врачи параллельно проводят лечение магнитной терапией и медикаментами, в результате, эффективность лечения усиливается в разы.





Лечение спины
Одним из видов лечения магнитами является лечение неодимовым магнитом. Этот тип магнита осуществляет структурирование воды. Основа метода заключается в том, что на жидкость воздействуют электромагнитное поле и она под ним приобретает следующие особые лечебные свойства:
- выведение радионуклидов, свободных радикалов, токсинов, отложений солей;
- очищение сосудов;
- улучшение клеточного обмена веществ;
- устранение патогенных организмов.
Еще одним эффективным способом проведения лечения магнитами считается магнитное одеяло. Его принцип действия такой же, как в аппаратном аналоге. Разница состоит в том, что аппарат работает от электричества, поэтому и эффект от него лучше.
После применения магнитов в Юсуповской больнице, пациенты отмечают улучшение метаболизма, общее укрепление иммунитета, повышение тонуса. Эти преимущества являются доказательством того, что магнитотерапия действительно очень эффективна. Записаться на курс магнитотерапии можно круглосуточно по телефону Юсуповской больницы.
Магнитная терапия при остеохондрозе
Остеохондроз - это тяжелое дегенеративное заболевание, характеризующееся деформацией межпозвоночных дисков, нарушением кровообращения, обменных процессов в хрящевой ткани, развитием межпозвоночной грыжи. Остеохондроз наиболее часто поражает людей старшего возраста, развитие заболевания может спровоцировать травма, тяжелый физический труд, малоподвижный образ жизни и многие другие факторы.
В Юсуповской больнице оказывают неврологическую помощь, которая в последнее время стала наиболее востребованной. В клинике неврологии занимаются лечением остеохондроза, состоящим из комплекса методов.
Магнитная терапия при остеохондрозе шейного отдела
Кроме медикаментозной терапии, применяют физиотерапию, в том числе магнитотерапию, лечебную физкультуру, массаж, рефлексотерапию и другие методы восстановительной терапии. Магнитотерапия - это один из методов физиотерапии, который основан на воздействии на организм низкочастотным магнитным полем. При воздействии магнитного поля в клетках организма приобретают магнитные свойства находящиеся там молекулы воды. Воздействие магнитного поля изменяет содержание протеинов, ферментов, нуклеиновых кислот, связывает свободные радикалы. Способствует процедура улучшению питания и газообмена в поврежденных тканях, снимает боль, отеки, мышечные спазмы, оказывает противовоспалительное действие.
Применять магнитную терапию следует после консультации с врачом - этот метод физиотерапии имеет не только показания, но также и противопоказания. Воздействие магнитным полем широко применяется при лечении заболеваний опорно-двигательного аппарата, для профилактики различных заболеваний. Магнитотерапия проводится с помощью разнообразных приборов, которые можно использовать не только в больнице, но и в домашних условиях. Применяют магнитотерапию при осложненной и неосложненной форме остеохондроза позвоночника, артритах, остеоартрозах и других патологических состояниях опорно-двигательного аппарата.

Применение магнитной терапии при остеохондрозе шейного отдела позвоночника позволяет устранить головную боль, снизить напряжение мышц плечевого пояса, шеи, восстановить питание в хрящевых тканях межпозвоночных дисков шейного отдела, усилить кровообращение. Если остеохондроз поразил грудной отдел позвоночника, магнитотерапия позволяет устранить межреберную невралгию, при поясничном остеохондрозе оказывает положительное влияние на работу внутренних органов: желудочно-кишечного тракта, почек, мочевого пузыря.
Магнитотерапия при остеохондрозе шейного отдела может применяться совместно с другими видами физиотерапевтических процедур, что значительно усиливает ее эффективность. Магнитотерапия проводится с помощью магнитных индукторов, или аппликаторов, которые накладываются на предварительно очищенную кожу в месте поражения позвоночника. Сама процедура проходит около 30 минут, техника проведения зависит от применяемого прибора. После процедуры на кожу в области поражения позвоночника наносятся мази, специальные лечебные составы или гель, снимающие боль, отечность, питающие ткани и предотвращающие развитие воспалительного процесса.
Через 3-5 сеансов больной начинает чувствовать облегчение, после полного курса магнитотерапии (20 процедур) исчезает боль, усиливается кровообращение в мышечных тканях. Рекомендуется для закрепления эффекта проходить магнитотерапию при остеохондрозе не менее двух раз в год с сопутствующим проведением других физиотерапевтических процедур.
Данный метод физиотерапии разрешен к использованию при всех формах остеохондроза, в том числе осложненном рефлекторным или корешковым синдромом. Применяется при лечении остеохондроза с сопутствующими заболеваниями (артритом, артрозом, протрузией и грыжей межпозвоночного диска, спондилоартрозом и другими заболеваниями). Существует ряд противопоказаний, при которых магнитотерапию применять нельзя:
- наличие кардиостимулятора и других электроустройств имплантов;
- беременность и период кормления грудью;
- младенческий возраст;
- заболевания психики;
- нарушение свертываемости крови;
- больной болен туберкулезом;
- лихорадочное состояние;
- тяжелые сердечно-сосудистые патологии;
- в анамнезе больного доброкачественная или злокачественная опухоль.
В Юсуповской больнице проводится магнитотерапия (2 поля), другие физиотерапевтические процедуры при лечении остеохондроза позвоночника. Магнитотерапия относится к дополнительным физиотерапевтическим методам, которые помогают оздоравливать позвоночник при тяжелых заболеваниях опорно-двигательного аппарата. В больнице применяют для лечения остеохондроза инновационные препараты, применяют эффективные методы реабилитационной терапии. Записаться на консультацию к врачу можно по телефону Юсуповской больницы.
Читайте также:
